We use cookies to enhance the usability of our website. If you continue, we'll assume that you are happy to receive all cookies. More information. Don't show this again.
HSPB1
HPA
RESOURCES
  • TISSUE
  • BRAIN
  • SINGLE CELL
  • SUBCELLULAR
  • CANCER
  • BLOOD
  • CELL LINE
  • STRUCTURE & INTERACTION
ABOUT
  • INTRODUCTION
  • HISTORY
  • ORGANIZATION
  • PUBLICATIONS
  • ANTIBODY SUBMISSION
  • ANTIBODY AVAILABILITY
  • ACKNOWLEDGMENTS
  • CONTACT
NEWS
  • NEWS ARTICLES
  • PRESS ROOM
LEARN
  • DICTIONARY
  • PROTEIN CLASSES
  • PROTEIN EVIDENCE
  • METHODS
  • EDUCATIONAL VIDEOS
DATA
  • DOWNLOADABLE DATA
  • PUBLICATION DATA
  • RELEASE HISTORY
HELP
  • ANTIBODY VALIDATION
  • ASSAYS & ANNOTATION
  • DISCLAIMER
  • HELP & FAQ
  • PRIVACY STATEMENT
  • LICENCE & CITATION
Fields »
Search result

Field
Term
Gene name
Class
Subclass
Class
Keyword
Chromosome
External id
Tissue
Cell type
Expression
Antibody panel
Tissue
Main location
Patient ID
Annotation
Tissue
Category
Tau score
Cluster
Reliability
Brain region
Category
Tau score
Brain region
Category
Tau score
Brain region
Category
Tau score
Cluster
Reliability
Tissue
Cell type
Enrichment
Cell type
Category
Tau score
Cell type
Category
Tau score
Cell type
Category
Tau score
Cell lineage
Category
Tau score
Cluster
Cluster
Location
Searches
Location
Cell line
Class
Type
Phase
Reliability
Cancer
Prognosis
Cancer
Category
Cancer
Category
Tau score
Cluster
Variants
Interacting gene (ensg_id)
Type
Number of interactions
Pathway
Category
Score
Score
Score
Validation
Validation
Validation
Validation
Antibodies
Data type
Column


  • SUMMARY

  • TISSUE

  • BRAIN

  • SINGLE CELL

  • SUBCELL

  • CANCER

  • BLOOD

  • CELL LINE

  • STRUCT & INT

  • HSPB1
TISSUE PRIMARY DATA SALIVARY GLAND Show tissue menu
ADIPOSE TISSUE ADRENAL GLAND AMYGDALA APPENDIX BASAL GANGLIA BONE MARROW BREAST BRONCHUS CEREBELLUM CEREBRAL CORTEX CERVIX CHOROID PLEXUS COLON DUODENUM
ENDOMETRIUM EPIDIDYMIS ESOPHAGUS FALLOPIAN TUBE GALLBLADDER HEART MUSCLE HIPPOCAMPAL FORMATION HYPOTHALAMUS KIDNEY LIVER LUNG LYMPH NODE MIDBRAIN NASOPHARYNX
ORAL MUCOSA OVARY PANCREAS PARATHYROID GLAND PITUITARY GLAND PLACENTA PROSTATE RECTUM RETINA SALIVARY GLAND SEMINAL VESICLE SKELETAL MUSCLE SKIN SMALL INTESTINE
SMOOTH MUSCLE SOFT TISSUE SPINAL CORD SPLEEN STOMACH TESTIS THYMUS THYROID GLAND TONGUE TONSIL URINARY BLADDER VAGINA
ANTIBODIES
AND
VALIDATION
Dictionary
Salivary gland
Tissue proteome
Salivary gland
SALIVARY GLAND - Expression summary
Protein expression
Salivary glandi

On the top, protein expression in current human tissue, based on all annotated cell types, is reported with the units not detected (n), low (l), medium (m) and high (h). Underneath, protein expression in each annotated cell type are reported using the same units.

Protein expression data is based on knowledge-based annotation. For genes where more than one antibody has been used, a collective score is set.

If knowledge-based annotation could not be performed for a gene, no data is displayed here. View antibody staining data further down this page.

h
m
l
n
Glandular cells: Medium
RNA expressioni

A summary of mRNA expression data available for current tissue based on several datasets. The mRNA expression levels in human tissues are based on RNA-seq data generated by the Human Protein Atlas (HPA), Genotype-Tissue Expression (GTEx) portal and CAGE data generated by the FANTOM5 consortium. Consensus normalized expression levels for human tissues was created by combining the data from HPA and GTEx datasets.

The mRNA expression levels in pig are based on RNA-seq data generated by the Human Protein Atlas (HPA), and for mouse, HPA data and in situ hybridization generated by the Allen brain atlas are reported.

Scroll down to view mRNA expression data in more detail.
Consensus:1043.5 nTPM
HPA:305.1 nTPM
GTEx:1043.5 nTPM
FANTOM5:1189.8 Scaled Tags Per Million

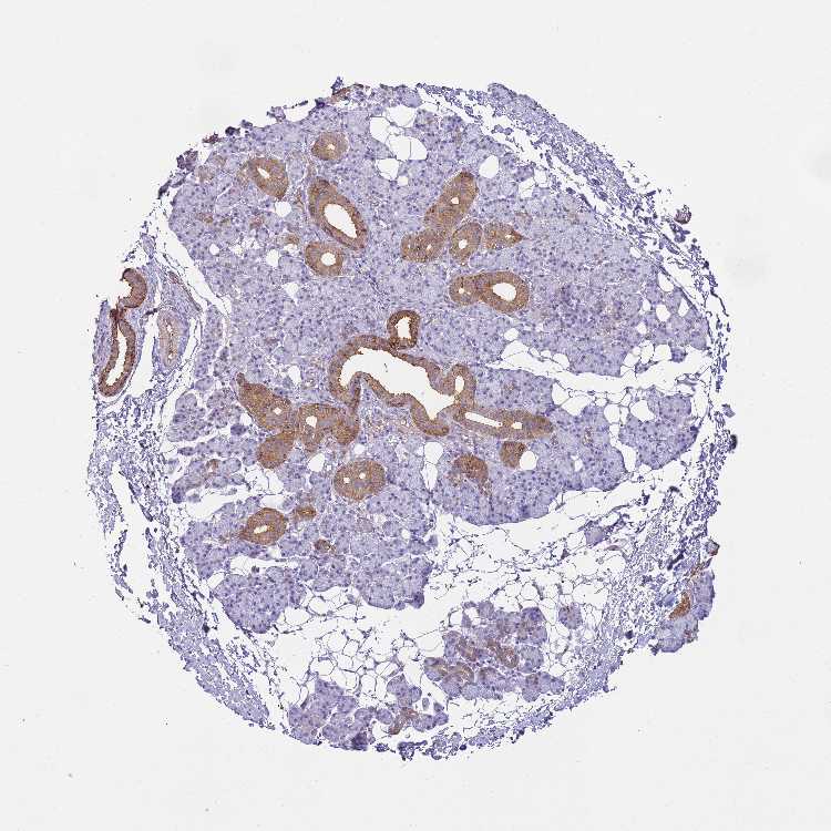
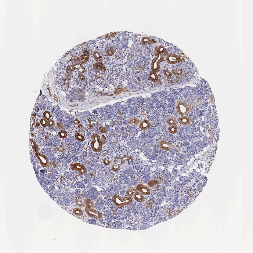
SALIVARY GLAND - Antibody stainingi

Antibody staining in the annotated cell types in the current human tissue is reported as not detected, low, medium, or high, based on conventional immunohistochemistry profiling in selected tissues. This score is based on the combination of the staining intensity and fraction of stained cells.

Each image is clickable and will lead to virtual microscopy that enables deeper exploration of all samples and also displays staining intensity scores, fraction scores and subcellular localization as well as patient and tissue information for each sample.

Antibody HPA000497Antibody CAB004439Antibody CAB047331
Glandular cells HighMediumMedium







SALIVARY GLAND - HPA RNA-seqi

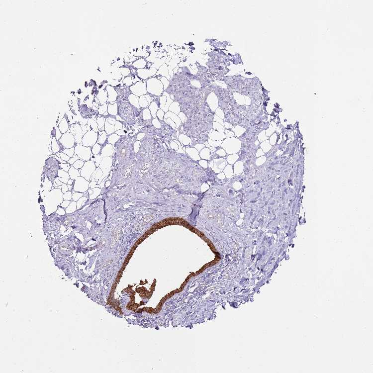
The RNA-seq details section shows detailed information about the individual samples used for the transcript profiling and results of the RNA-seq analysis.

Information about each individual sample is listed below, including gender, age, a tissue section image and estimated fractions of cell types. nTPM (normalized transcripts per million) values give a quantification of the gene abundance which is comparable between different genes and samples.
Average nTPMi

Max subtype nTPM is the value for the subtype with the largest average nTPM across the subtype samples.

305.1
overview
Female, age 68
Salivary gland sample 216
nTPM: 387.1
Cell types%
Glandular cells:
45

Ductal cells:
25

Adipocytes:
5

Other cell types:
25

overview
Male, age 60
Salivary gland sample 217
nTPM: 252.6
Cell types%
Glandular cells:
55

Ductal cells:
20

Adipocytes:
5

Endothelial cells:
5

Other cell types:
15

overview
Female, age 21
Salivary gland sample 218
nTPM: 275.7
Cell types%
Glandular cells:
55

Ductal cells:
15

Adipocytes:
5

Endothelial cells:
5

Other cell types:
20


SALIVARY GLAND - GTEx RNA-seqi

RNA-Seq data generated by the Genotype-Tissue Expression (GTEx) project from human tissues is reported as mean nTPM. More information can be found on the GTEx portal.

Distribution across the dataset is visualized with box plots, shown as median and 25th and 75th percentiles. Points are displayed as outliers if they are above or below 1.5 times the interquartile range. nTPM values of the individual samples are presented next to the box plot.
Max subtype nTPMi

Max subtype nTPM is the value for the subtype with the largest average nTPM across the subtype samples.

1043.5
GTEx sample id Sample description nTPM
Minor Salivary Gland
Average nTPM: 1043.5
Samples: 162

Max nTPM: 6749.0
Min nTPM: 192.2
Std nTPM: 1222.5
Median nTPM: 599.5
GTEX-Y5LM-1826-SM-4VDT9 40-49 years, female 6749.0
GTEX-1HCU7-0126-SM-C1YR3 50-59 years, male 6134.9
GTEX-ZLFU-2226-SM-EXUS7 40-49 years, male 5909.7
GTEX-1192X-2926-SM-5N9BA 50-59 years, male 5708.9
GTEX-ZLWG-2026-SM-DO11F 50-59 years, female 4929.0
GTEX-12BJ1-2226-SM-5BC6G 60-69 years, male 4659.4
GTEX-11ZTS-3026-SM-5EQM7 60-69 years, female 4276.6
GTEX-ZP4G-1926-SM-57WDZ 20-29 years, female 3887.3
GTEX-14E1K-2626-SM-664OJ 50-59 years, male 3829.5
GTEX-ZT9W-2126-SM-51MSF 50-59 years, male 3583.0
GTEX-13QBU-2126-SM-5KLZN 40-49 years, female 3499.8
GTEX-ZF29-2126-SM-DNZYX 60-69 years, female 3421.8
GTEX-131XH-2626-SM-5GCNP 50-59 years, male 3167.3
GTEX-ZPU1-2326-SM-57WEP 40-49 years, male 3156.3
GTEX-11EMC-2526-SM-5PNVU 60-69 years, female 2908.7
GTEX-XV7Q-2426-SM-4BRV8 40-49 years, female 2709.2
GTEX-1CB4I-2526-SM-7MKG1 50-59 years, male 2663.6
GTEX-WFJO-2026-SM-4LVM3 30-39 years, male 2662.7
GTEX-18QFQ-0626-SM-718AW 30-39 years, male 2582.7
GTEX-ZAB5-2326-SM-5IJFR 50-59 years, male 2284.2
GTEX-1B97J-2126-SM-79OL6 50-59 years, female 1802.1
GTEX-1C6VR-0726-SM-7P8OV 60-69 years, male 1769.4
GTEX-ZQG8-2126-SM-4YCF1 60-69 years, female 1725.4
GTEX-1R9PM-1726-SM-E8VOA 20-29 years, male 1661.4
GTEX-14JIY-3026-SM-6EU1R 60-69 years, male 1567.0
GTEX-17MFQ-1626-SM-7938Z 20-29 years, male 1482.0
GTEX-1JN1M-2426-SM-ARU93 60-69 years, female 1376.5
GTEX-1MCC2-2226-SM-EV7AJ 30-39 years, female 1362.0
GTEX-ZC5H-2726-SM-5KLZW 40-49 years, female 1360.2
GTEX-1I4MK-1326-SM-B2LWT 50-59 years, female 1335.8
GTEX-131XF-2826-SM-5EGKH 60-69 years, male 1324.7
GTEX-11WQK-2926-SM-5EQKT 50-59 years, male 1264.5
GTEX-ZA64-1726-SM-5CVMF 20-29 years, male 1242.2
GTEX-13OVI-2326-SM-5KM47 60-69 years, female 1181.1
GTEX-1QCLZ-2526-SM-EXUST 60-69 years, female 1156.3
GTEX-13CF2-2426-SM-5LZYL 60-69 years, male 1146.0
GTEX-Y5V6-2226-SM-4VDTC 60-69 years, male 1086.4
GTEX-12WSN-2226-SM-5DUXT 40-49 years, male 1029.1
GTEX-X261-2426-SM-4PQZU 50-59 years, male 1027.8
GTEX-WY7C-1426-SM-4OND1 50-59 years, male 1021.6
GTEX-1S83E-0626-SM-E9TKC 40-49 years, male 1012.3
GTEX-WH7G-2126-SM-4M1XU 40-49 years, male 978.5
GTEX-YB5K-1726-SM-5IFIZ 40-49 years, female 924.6
GTEX-1QP9N-2026-SM-DPRZT 30-39 years, male 920.3
GTEX-1GPI7-0326-SM-7MKH6 20-29 years, male 918.1
GTEX-1I6K7-0926-SM-A96SV 40-49 years, male 917.7
GTEX-1IY9M-2926-SM-A96TH 60-69 years, male 895.9
GTEX-1OJC3-1026-SM-E6CQK 20-29 years, male 879.1
GTEX-X15G-2126-SM-4PQZR 50-59 years, female 869.1
GTEX-1R9PO-2626-SM-E6CPU 60-69 years, female 865.2
GTEX-1NSGN-0626-SM-E9J35 50-59 years, male 858.2
GTEX-1GF9X-0226-SM-7P8SM 40-49 years, female 823.3
GTEX-XMK1-2626-SM-4B65R 40-49 years, male 814.9
GTEX-146FR-1226-SM-5SIA7 60-69 years, female 806.4
GTEX-ZE7O-2926-SM-51MSG 50-59 years, female 789.9
GTEX-1117F-3026-SM-5GZYU 60-69 years, female 758.7
GTEX-1HFI7-2426-SM-B2LXV 50-59 years, female 754.9
GTEX-1C64O-0626-SM-7DHL1 60-69 years, male 750.4
GTEX-15EU6-2626-SM-7KUN4 50-59 years, male 734.4
GTEX-WOFM-2126-SM-4OOSR 20-29 years, male 702.7
GTEX-11P81-2026-SM-5P9GT 30-39 years, female 682.3
GTEX-1IE54-0826-SM-AHZ2Z 40-49 years, female 678.3
GTEX-1339X-2326-SM-5HL5B 40-49 years, male 675.8
GTEX-178AV-1426-SM-6LLID 40-49 years, male 675.6
GTEX-13JVG-2926-SM-5J2N9 60-69 years, male 661.4
GTEX-ZXG5-2826-SM-5NQ8T 60-69 years, male 661.3
GTEX-13111-2326-SM-5LZUQ 50-59 years, male 658.0
GTEX-1POEN-2226-SM-DPRXV 30-39 years, female 651.8
GTEX-1HSMQ-0926-SM-A96SI 50-59 years, male 650.2
GTEX-WHSB-2326-SM-4M1XK 50-59 years, male 648.2
GTEX-15CHC-1226-SM-686ZH 60-69 years, female 640.1
GTEX-YF7O-2226-SM-5CVN8 50-59 years, male 639.9
GTEX-12WSL-2126-SM-5GCNG 50-59 years, male 633.6
GTEX-14PJ3-1526-SM-664O9 50-59 years, male 630.6
GTEX-1PPH8-1526-SM-E6CQO 20-29 years, male 620.8
GTEX-1EH9U-2926-SM-7DHLX 60-69 years, male 616.8
GTEX-1HSEH-1826-SM-A96SA 60-69 years, male 616.0
GTEX-18A67-0626-SM-7KFSL 50-59 years, male 614.3
GTEX-1B932-0626-SM-731EM 40-49 years, female 602.8
GTEX-13VXT-1726-SM-5IFF5 20-29 years, female 600.7
GTEX-13O21-1926-SM-5MR39 50-59 years, male 599.7
GTEX-1GN1W-2526-SM-9JGHX 50-59 years, female 599.3
GTEX-18D9U-2226-SM-7KFTN 40-49 years, male 595.0
GTEX-13QJC-2326-SM-5Q5CD 60-69 years, female 587.9
GTEX-14PJN-1726-SM-69LO7 30-39 years, male 580.7
GTEX-1PIEJ-0626-SM-DTX99 20-29 years, female 577.7
GTEX-17KNJ-2726-SM-7KFRE 50-59 years, male 571.3
GTEX-1QEPI-0626-SM-E76QE 60-69 years, female 570.3
GTEX-1314G-2026-SM-5LZUM 30-39 years, male 570.0
GTEX-ZG7Y-2426-SM-DO11H 50-59 years, male 565.8
GTEX-11EQ9-2026-SM-5P9JI 30-39 years, male 561.1
GTEX-1QMI2-0426-SM-EWRND 60-69 years, male 554.9
GTEX-1J1R8-1826-SM-AHZ3B 40-49 years, male 540.9
GTEX-1AX9K-2126-SM-72D7K 50-59 years, male 540.3
GTEX-1H4P4-2026-SM-9WPNV 50-59 years, male 535.6
GTEX-1B8KZ-1726-SM-73KV7 50-59 years, male 527.1
GTEX-13G51-2426-SM-5LZY8 60-69 years, male 527.0
GTEX-1GN1V-2926-SM-9JGI3 60-69 years, male 522.1
GTEX-1R9K5-0626-SM-DPRZB 50-59 years, male 509.8
GTEX-1S82P-0726-SM-EVR4O 60-69 years, female 503.7
GTEX-Y3I4-1926-SM-4TT8L 50-59 years, male 496.8
GTEX-11ZTT-2226-SM-5CVLP 60-69 years, female 495.9
GTEX-15SHV-2226-SM-6M464 60-69 years, male 494.3
GTEX-1AMEY-1126-SM-72D79 30-39 years, female 494.1
GTEX-13NYB-2426-SM-5IFF4 40-49 years, male 492.7
GTEX-1RAZA-0626-SM-EAZ4H 20-29 years, male 492.6
GTEX-1J8EW-2826-SM-A96T9 60-69 years, female 491.7
GTEX-1LC47-2426-SM-DHXKK 60-69 years, male 485.4
GTEX-1OJC4-3126-SM-EXOJK 50-59 years, female 473.2
GTEX-145ME-1626-SM-5RQI3 40-49 years, female 465.0
GTEX-1LVAO-2626-SM-EVR4S 60-69 years, male 465.0
GTEX-11NV4-1926-SM-5N9D4 60-69 years, male 463.7
GTEX-111FC-2926-SM-5GZY7 60-69 years, male 456.8
GTEX-1H1CY-2326-SM-9OSXW 60-69 years, female 454.2
GTEX-14PN4-2526-SM-686ZG 50-59 years, male 440.9
GTEX-1JKYR-0726-SM-AHZ3K 20-29 years, male 438.7
GTEX-1I1HK-2526-SM-A96SM 60-69 years, male 430.1
GTEX-18A7B-2826-SM-7KFTK 70-79 years, male 427.2
GTEX-13OVL-2926-SM-5IFG3 50-59 years, male 427.1
GTEX-13113-1526-SM-5EGHV 60-69 years, female 413.0
GTEX-1J8QM-1826-SM-A96TA 60-69 years, female 409.9
GTEX-1AX8Z-0626-SM-731EH 60-69 years, male 406.8
GTEX-1GMR2-2026-SM-7MKHK 50-59 years, male 405.1
GTEX-X5EB-1726-SM-4E3J7 40-49 years, male 402.1
GTEX-1IDJC-1626-SM-AHZ2R 50-59 years, male 393.3
GTEX-11P82-0926-SM-5986X 20-29 years, male 382.1
GTEX-Y111-2626-SM-4TT24 50-59 years, male 381.1
GTEX-13OVK-1826-SM-6PALE 40-49 years, male 379.5
GTEX-1KANC-1326-SM-CYPT8 50-59 years, female 375.9
GTEX-1KD4Q-2526-SM-CXZKL 40-49 years, male 374.0
GTEX-12WSM-1826-SM-5BC64 60-69 years, male 373.9
GTEX-1C64N-2926-SM-79OLM 50-59 years, male 354.0
GTEX-XGQ4-2626-SM-4AT6B 50-59 years, male 347.3
GTEX-ZQUD-2126-SM-51MSY 30-39 years, male 339.0
GTEX-1LSNL-2626-SM-EV7AT 50-59 years, male 336.1
GTEX-1JN6P-2526-SM-CNNPX 60-69 years, male 335.7
GTEX-1GZ2Q-2526-SM-9KNVW 40-49 years, male 332.8
GTEX-1RNSC-2926-SM-EV79L 60-69 years, male 331.9
GTEX-1KD5A-2226-SM-EV79U 50-59 years, male 325.3
GTEX-1445S-2926-SM-5O993 60-69 years, male 324.1
GTEX-1A3MV-1726-SM-72D68 30-39 years, male 316.3
GTEX-X3Y1-1926-SM-4PQZO 40-49 years, male 313.5
GTEX-1IDJD-2526-SM-C1YSA 30-39 years, male 299.8
GTEX-14B4R-1426-SM-5Q5CG 30-39 years, male 299.7
GTEX-1LBAC-0626-SM-D3L9T 20-29 years, male 294.6
GTEX-1LKK1-2926-SM-EVR4Z 50-59 years, female 294.2
GTEX-1MCQQ-2226-SM-DLHC4 60-69 years, male 291.7
GTEX-1IOXB-2826-SM-AHZ32 50-59 years, male 291.3
GTEX-1C4CL-2026-SM-731EB 30-39 years, male 287.4
GTEX-WYVS-2026-SM-4RGNS 40-49 years, female 284.5
GTEX-1AYD5-2726-SM-7MXVG 50-59 years, male 273.5
GTEX-1HR9M-2526-SM-A9G3J 60-69 years, male 264.5
GTEX-1MGNQ-1926-SM-DTX8L 40-49 years, male 264.1
GTEX-1I6K6-0626-SM-ARU7J 30-39 years, male 258.2
GTEX-1LVA9-2526-SM-EVR5H 50-59 years, male 257.2
GTEX-1B8SF-1826-SM-731DJ 60-69 years, male 256.6
GTEX-1HSGN-0626-SM-A9G2E 40-49 years, female 248.6
GTEX-1GTWX-2526-SM-9JGHG 60-69 years, male 222.1
GTEX-15RJE-2726-SM-6LPJ1 40-49 years, male 210.7
GTEX-1R9K4-0526-SM-E76P1 60-69 years, male 202.8
GTEX-1P4AB-2926-SM-EXOJR 50-59 years, male 195.2
GTEX-11TUW-2426-SM-5EQKB 60-69 years, male 192.2
Show allShow less

SALIVARY GLAND - FANTOM5 CAGEi

RNA expression in human tissues obtained through Cap Analysis of Gene Expression (CAGE) generated by the FANTOM5 project are reported as Scaled Tags Per Million.

Max subtype Scaled Tags Per Millioni

Max subtype Scaled Tags Per Million is the value for the subtype with the largest average Scaled Tags Per Million across the subtype samples.

1189.8
FANTOM5 sample id Sample description Scaled Tags Per Million
Parotid gland
Scaled Tags Per Million: 1163.7
FF:10199-103F1 23 years, male 1163.7
Salivary gland
Scaled Tags Per Million: 1189.8
FF:10093-102C3 16-60 years, mixed 1189.8
Submaxillary gland
Scaled Tags Per Million: 1069.9
FF:10202-103F4 24 years, male 1069.9

Contact

  • NEWS ARTICLES
  • PRESS ROOM

The Project

  • INTRODUCTION
  • ORGANIZATION
  • PUBLICATIONS

The Human Protein Atlas

  • DOWNLOADABLE DATA
  • LICENCE & CITATION
  • HELP & FAQ
The Human Protein Atlas project is funded
by the Knut & Alice Wallenberg Foundation.


contact@proteinatlas.org