We use cookies to enhance the usability of our website. If you continue, we'll assume that you are happy to receive all cookies. More information. Don't show this again.
HSPB1
HPA
RESOURCES
  • TISSUE
  • BRAIN
  • SINGLE CELL
  • SUBCELLULAR
  • CANCER
  • BLOOD
  • CELL LINE
  • STRUCTURE & INTERACTION
ABOUT
  • INTRODUCTION
  • HISTORY
  • ORGANIZATION
  • PUBLICATIONS
  • ANTIBODY SUBMISSION
  • ANTIBODY AVAILABILITY
  • ACKNOWLEDGMENTS
  • CONTACT
NEWS
  • NEWS ARTICLES
  • PRESS ROOM
LEARN
  • DICTIONARY
  • PROTEIN CLASSES
  • PROTEIN EVIDENCE
  • METHODS
  • EDUCATIONAL VIDEOS
DATA
  • DOWNLOADABLE DATA
  • PUBLICATION DATA
  • RELEASE HISTORY
HELP
  • ANTIBODY VALIDATION
  • ASSAYS & ANNOTATION
  • DISCLAIMER
  • HELP & FAQ
  • PRIVACY STATEMENT
  • LICENCE & CITATION
Fields »
Search result

Field
Term
Gene name
Class
Subclass
Class
Keyword
Chromosome
External id
Tissue
Cell type
Expression
Antibody panel
Tissue
Main location
Patient ID
Annotation
Tissue
Category
Tau score
Cluster
Reliability
Brain region
Category
Tau score
Brain region
Category
Tau score
Brain region
Category
Tau score
Cluster
Reliability
Tissue
Cell type
Enrichment
Cell type
Category
Tau score
Cell type
Category
Tau score
Cell type
Category
Tau score
Cell lineage
Category
Tau score
Cluster
Cluster
Location
Searches
Location
Cell line
Class
Type
Phase
Reliability
Cancer
Prognosis
Cancer
Category
Cancer
Category
Tau score
Cluster
Variants
Interacting gene (ensg_id)
Type
Number of interactions
Pathway
Category
Score
Score
Score
Validation
Validation
Validation
Validation
Antibodies
Data type
Column


  • SUMMARY

  • TISSUE

  • BRAIN

  • SINGLE CELL

  • SUBCELL

  • CANCER

  • BLOOD

  • CELL LINE

  • STRUCT & INT

  • HSPB1
TISSUE PRIMARY DATA SKIN Show tissue menu
ADIPOSE TISSUE ADRENAL GLAND AMYGDALA APPENDIX BASAL GANGLIA BONE MARROW BREAST BRONCHUS CEREBELLUM CEREBRAL CORTEX CERVIX CHOROID PLEXUS COLON DUODENUM
ENDOMETRIUM EPIDIDYMIS ESOPHAGUS FALLOPIAN TUBE GALLBLADDER HEART MUSCLE HIPPOCAMPAL FORMATION HYPOTHALAMUS KIDNEY LIVER LUNG LYMPH NODE MIDBRAIN NASOPHARYNX
ORAL MUCOSA OVARY PANCREAS PARATHYROID GLAND PITUITARY GLAND PLACENTA PROSTATE RECTUM RETINA SALIVARY GLAND SEMINAL VESICLE SKELETAL MUSCLE SKIN SMALL INTESTINE
SMOOTH MUSCLE SOFT TISSUE SPINAL CORD SPLEEN STOMACH TESTIS THYMUS THYROID GLAND TONGUE TONSIL URINARY BLADDER VAGINA
ANTIBODIES
AND
VALIDATION
Dictionary
Skin
Tissue proteome
Skin
SKIN - Expression summary
Protein expression
Skini

On the top, protein expression in current human tissue, based on all annotated cell types, is reported with the units not detected (n), low (l), medium (m) and high (h). Underneath, protein expression in each annotated cell type are reported using the same units.

Protein expression data is based on knowledge-based annotation. For genes where more than one antibody has been used, a collective score is set.

If knowledge-based annotation could not be performed for a gene, no data is displayed here. View antibody staining data further down this page.

h
m
l
n
Arrector pili muscle cells: Not detected
Cells in basal layer: Medium
Cells in corneal layer: Not detected
Cells in granular layer: High
Cells in spinous layer: High
Eccrine glands: Medium
Endothelial cells: Medium
Extracellular matrix: Not detected
Fibrohistiocytic cells: Low
Langerhans cells: High
Lymphocytes: Not detected
Melanocytes: Medium
Vascular mural cells: Not detected
RNA expressioni

A summary of mRNA expression data available for current tissue based on several datasets. The mRNA expression levels in human tissues are based on RNA-seq data generated by the Human Protein Atlas (HPA), Genotype-Tissue Expression (GTEx) portal and CAGE data generated by the FANTOM5 consortium. Consensus normalized expression levels for human tissues was created by combining the data from HPA and GTEx datasets.

The mRNA expression levels in pig are based on RNA-seq data generated by the Human Protein Atlas (HPA), and for mouse, HPA data and in situ hybridization generated by the Allen brain atlas are reported.

Scroll down to view mRNA expression data in more detail.
Consensus:2188.6 nTPM
HPA:1323.3 nTPM
GTEx:2188.6 nTPM

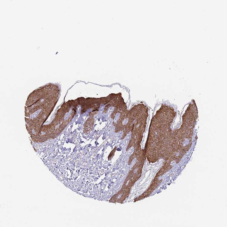
SKIN 1 - Antibody stainingi

Antibody staining in the annotated cell types in the current human tissue is reported as not detected, low, medium, or high, based on conventional immunohistochemistry profiling in selected tissues. This score is based on the combination of the staining intensity and fraction of stained cells.

Each image is clickable and will lead to virtual microscopy that enables deeper exploration of all samples and also displays staining intensity scores, fraction scores and subcellular localization as well as patient and tissue information for each sample.

Antibody HPA000497Antibody CAB004439Antibody CAB047331
Langerhans HighHigh-
Arrector pili muscle cells --Not detected
Cells in basal layer --Medium
Cells in corneal layer --Not detected
Cells in granular layer --Medium
Cells in spinous layer --Medium
Eccrine glands --Medium
Endothelial cells --Low
Extracellular matrix --Not detected
Fibroblasts Not detectedLow-
Fibrohistiocytic cells --Low
Keratinocytes HighHigh-
Langerhans cells --Medium
Lymphocytes --Not detected
Melanocytes MediumHighMedium
Vascular mural cells --Not detected





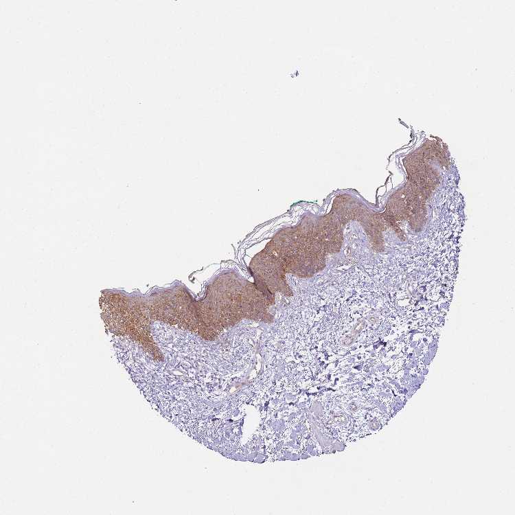
SKIN 2 - Antibody stainingi

Antibody staining in the annotated cell types in the current human tissue is reported as not detected, low, medium, or high, based on conventional immunohistochemistry profiling in selected tissues. This score is based on the combination of the staining intensity and fraction of stained cells.

Each image is clickable and will lead to virtual microscopy that enables deeper exploration of all samples and also displays staining intensity scores, fraction scores and subcellular localization as well as patient and tissue information for each sample.

Antibody HPA000497Antibody CAB004439Antibody CAB047331
Cells in basal layer --Medium
Cells in corneal layer --Not detected
Cells in granular layer --High
Cells in spinous layer --High
Endothelial cells --Medium
Epidermal cells HighHigh-
Extracellular matrix --Not detected
Fibrohistiocytic cells --Not detected
Langerhans cells --High
Lymphocytes --Not detected
Melanocytes --Medium
Vascular mural cells --Not detected
   
   
   
   





SKIN - HPA RNA-seqi

The RNA-seq details section shows detailed information about the individual samples used for the transcript profiling and results of the RNA-seq analysis.

Information about each individual sample is listed below, including gender, age, a tissue section image and estimated fractions of cell types. nTPM (normalized transcripts per million) values give a quantification of the gene abundance which is comparable between different genes and samples.
Average nTPMi

Max subtype nTPM is the value for the subtype with the largest average nTPM across the subtype samples.

1323.3
overview
Female, age 34
Skin sample 225
nTPM: 1048.5
Cell types%
Keratinocytes:
60

Other cell types:
40

overview
Female, age 30
Skin sample 226
nTPM: 867.1
Cell types%
Keratinocytes:
55

Other cell types:
45

N/A
Male, age 57
Skin sample 227
nTPM: 2054.4

SKIN - GTEx RNA-seqi

RNA-Seq data generated by the Genotype-Tissue Expression (GTEx) project from human tissues is reported as mean nTPM. More information can be found on the GTEx portal.

Distribution across the dataset is visualized with box plots, shown as median and 25th and 75th percentiles. Points are displayed as outliers if they are above or below 1.5 times the interquartile range. nTPM values of the individual samples are presented next to the box plot.
Max subtype nTPMi

Max subtype nTPM is the value for the subtype with the largest average nTPM across the subtype samples.

2188.6
GTEx sample id Sample description nTPM
Skin - Not Sun Exposed (Suprapubic)
Average nTPM: 2188.6
Samples: 604

Max nTPM: 6881.2
Min nTPM: 444.3
Std nTPM: 912.0
Median nTPM: 2087.2
GTEX-13IVO-0726-SM-5LZYV 70-79 years, male 6881.2
GTEX-1F6RS-2026-SM-7RHHC 60-69 years, female 5974.0
GTEX-17F97-2626-SM-7IGM5 50-59 years, male 5558.4
GTEX-X585-2426-SM-46MW2 50-59 years, male 5208.5
GTEX-WFG7-2026-SM-5SI7P 20-29 years, male 5123.3
GTEX-1E2YA-2126-SM-7MXUO 50-59 years, male 5036.4
GTEX-1R9PN-0426-SM-DTXDT 40-49 years, female 4535.1
GTEX-XBEW-1126-SM-4QARW 40-49 years, male 4501.3
GTEX-147F4-0726-SM-5TDDD 50-59 years, male 4430.9
GTEX-12WSJ-1126-SM-5LZVJ 40-49 years, female 4398.8
GTEX-ZE7O-2726-SM-51MT5 50-59 years, female 4379.0
GTEX-13PDP-0726-SM-5L3HP 60-69 years, male 4346.6
GTEX-11OF3-0126-SM-5PNYF 60-69 years, male 4318.5
GTEX-Y114-2126-SM-4TT8B 50-59 years, female 4306.9
GTEX-12WSH-1526-SM-5BC5W 50-59 years, male 4284.3
GTEX-1117F-2926-SM-5GZYI 60-69 years, female 4268.8
GTEX-15RIG-0726-SM-7KUM7 40-49 years, male 4251.5
GTEX-1JMLX-0626-SM-ARL8T 50-59 years, male 4235.5
GTEX-13G51-1826-SM-5KLZH 60-69 years, male 4224.7
GTEX-1192X-2726-SM-5N9DN 50-59 years, male 4217.8
GTEX-13JVG-0726-SM-5KM16 60-69 years, male 4182.8
GTEX-14PHY-1226-SM-5ZZWK 60-69 years, female 4148.2
GTEX-ZXG5-2126-SM-59HKD 60-69 years, male 4139.5
GTEX-14LZ3-0126-SM-69LPM 60-69 years, female 4070.8
GTEX-13O61-1426-SM-5KM3D 60-69 years, male 4053.2
GTEX-13NZ8-1226-SM-5KM4A 60-69 years, female 4042.9
GTEX-11EQ8-0926-SM-5H12V 60-69 years, male 4026.9
GTEX-14PJ3-1126-SM-5ZZVX 50-59 years, male 3999.5
GTEX-ZVE1-0726-SM-51MRN 50-59 years, female 3973.2
GTEX-14C39-1726-SM-5RQIL 40-49 years, male 3883.2
GTEX-15UF6-1926-SM-7KUDV 70-79 years, female 3833.5
GTEX-1PPH8-0126-SM-EWRN8 20-29 years, male 3826.5
GTEX-1OJC3-1226-SM-DTXER 20-29 years, male 3824.1
GTEX-1HT8W-0626-SM-A9G2H 30-39 years, male 3816.3
GTEX-1H2FU-0926-SM-9WPPT 60-69 years, female 3814.7
GTEX-ZPCL-1126-SM-4WWFE 60-69 years, female 3788.1
GTEX-14ICL-1626-SM-5YYAO 30-39 years, male 3758.4
GTEX-17F96-0126-SM-7EWDU 70-79 years, male 3747.4
GTEX-144GL-0626-SM-5LU4D 50-59 years, male 3731.2
GTEX-ZYT6-2326-SM-5GZY3 30-39 years, male 3723.7
GTEX-1JJEA-1826-SM-ARU8P 60-69 years, male 3717.6
GTEX-1399Q-2326-SM-5KM2X 40-49 years, male 3717.3
GTEX-16AAH-0626-SM-793C9 50-59 years, male 3667.9
GTEX-1313W-0626-SM-5EQ4H 50-59 years, female 3662.7
GTEX-17F9E-2326-SM-79OKD 50-59 years, male 3647.2
GTEX-139UW-0326-SM-5J1ML 60-69 years, male 3639.4
GTEX-13FTX-1526-SM-5K7VJ 20-29 years, female 3624.9
GTEX-1NSGN-0726-SM-DTXEF 50-59 years, male 3610.6
GTEX-1C64N-2626-SM-7PC2N 50-59 years, male 3607.3
GTEX-11DZ1-2426-SM-5GZZX 50-59 years, male 3606.5
GTEX-YECK-0326-SM-4W1YS 60-69 years, male 3599.5
GTEX-1H3O1-1326-SM-9MQLD 60-69 years, male 3585.0
GTEX-1399S-0126-SM-5IJCF 30-39 years, female 3555.0
GTEX-ZYVF-0926-SM-5E44J 50-59 years, female 3553.2
GTEX-1RMOY-1326-SM-E9TIH 50-59 years, male 3544.1
GTEX-1CAMQ-1326-SM-7P8RV 40-49 years, male 3534.5
GTEX-1ICLZ-0326-SM-ARL82 60-69 years, male 3532.0
GTEX-WHSB-1326-SM-3LK6W 50-59 years, male 3531.6
GTEX-1NV5F-0626-SM-DTXEG 60-69 years, female 3500.0
GTEX-1HGF4-0126-SM-CNPPX 60-69 years, male 3488.5
GTEX-1HCU7-0726-SM-A9SL1 50-59 years, male 3460.0
GTEX-11ZU8-0126-SM-5EQ58 60-69 years, male 3441.3
GTEX-1QP2A-1726-SM-E76QC 50-59 years, male 3430.9
GTEX-11DXX-2126-SM-5PNYR 60-69 years, female 3415.7
GTEX-111VG-1626-SM-5EGIO 60-69 years, male 3402.4
GTEX-ZT9X-1526-SM-5DUXD 40-49 years, male 3399.6
GTEX-1N2DV-1526-SM-DTXEP 40-49 years, male 3397.7
GTEX-11DXY-0126-SM-5H11Q 60-69 years, male 3393.9
GTEX-11WQC-1826-SM-5GU59 60-69 years, male 3378.3
GTEX-17F9Y-0126-SM-79OKX 70-79 years, female 3376.0
GTEX-ZTX8-1326-SM-4YCEL 20-29 years, male 3356.7
GTEX-11DYG-1526-SM-5A5JS 60-69 years, male 3348.0
GTEX-1QP9N-1226-SM-E76QN 30-39 years, male 3324.5
GTEX-139D8-1126-SM-5LU8W 30-39 years, female 3309.9
GTEX-16YQH-2226-SM-7IGM2 30-39 years, male 3308.8
GTEX-14PJO-2526-SM-6AJBQ 60-69 years, male 3298.4
GTEX-14A5H-0826-SM-5QGPJ 60-69 years, male 3293.1
GTEX-1JMQI-1726-SM-ARL93 50-59 years, male 3288.1
GTEX-145MH-2826-SM-5RQJF 50-59 years, male 3285.9
GTEX-WH7G-2026-SM-3NMBL 40-49 years, male 3285.2
GTEX-YFCO-1226-SM-5LUAT 40-49 years, male 3264.2
GTEX-1IKOE-1426-SM-CE6T7 30-39 years, female 3260.7
GTEX-1C6VQ-1226-SM-73KYD 50-59 years, male 3253.2
GTEX-XYKS-1426-SM-4BRUO 60-69 years, female 3252.1
GTEX-ZF3C-0626-SM-DO92O 50-59 years, female 3246.5
GTEX-1R9K4-2826-SM-DTX8F 60-69 years, male 3206.2
GTEX-1KAFJ-0126-SM-DIPEK 50-59 years, male 3197.1
GTEX-Y5V6-2326-SM-4VDSA 60-69 years, male 3192.9
GTEX-15RJE-2826-SM-7KUM9 40-49 years, male 3192.7
GTEX-13YAN-0226-SM-5TDC6 60-69 years, male 3188.2
GTEX-139TU-0726-SM-5L3EK 60-69 years, male 3183.1
GTEX-1EX96-1026-SM-7MKG2 50-59 years, male 3164.8
GTEX-1F6I4-2326-SM-7RHGL 60-69 years, male 3133.9
GTEX-13PL6-1126-SM-5L3IE 40-49 years, female 3132.6
GTEX-16MT9-0126-SM-7EPI8 60-69 years, female 3124.9
GTEX-1MCYP-0526-SM-E9U6Q 20-29 years, female 3115.7
GTEX-1J8EW-2726-SM-CY8HR 60-69 years, female 3109.4
GTEX-11DXZ-2026-SM-5987S 50-59 years, male 3108.6
GTEX-139YR-1026-SM-5LZYN 50-59 years, male 3100.5
GTEX-1269C-0126-SM-5EQ5L 60-69 years, female 3077.0
GTEX-14PII-0726-SM-6EU2B 60-69 years, male 3050.9
GTEX-ZP4G-1426-SM-4WWCL 20-29 years, female 3027.9
GTEX-ZVP2-0326-SM-57WBP 50-59 years, male 3025.1
GTEX-1JMQJ-0826-SM-CNPP7 50-59 years, male 2977.1
GTEX-11PRG-0726-SM-5EGL1 50-59 years, male 2973.3
GTEX-15DYW-2726-SM-6EU2I 60-69 years, female 2966.1
GTEX-12126-0826-SM-5FQTZ 20-29 years, male 2965.8
GTEX-14BIN-1126-SM-5RQJZ 50-59 years, female 2959.9
GTEX-ZAB4-2126-SM-5HL8U 40-49 years, male 2945.8
GTEX-148VJ-0626-SM-5LUAW 70-79 years, male 2925.8
GTEX-18D9A-1426-SM-7LT8M 30-39 years, female 2921.3
GTEX-1H11D-1826-SM-9QEHM 40-49 years, male 2918.9
GTEX-1R9PM-1926-SM-EVR3O 20-29 years, male 2915.3
GTEX-ZC5H-1526-SM-5HL9Y 40-49 years, female 2902.0
GTEX-11P81-2226-SM-5PNYI 30-39 years, female 2891.0
GTEX-1S82U-1026-SM-E6CJK 30-39 years, female 2882.7
GTEX-13FTY-2126-SM-5IFFB 40-49 years, female 2879.7
GTEX-1RAZQ-1326-SM-E9TK6 30-39 years, male 2874.6
GTEX-XK95-0226-SM-4AT58 40-49 years, male 2870.3
GTEX-1B8KE-1126-SM-7EPHI 50-59 years, male 2859.5
GTEX-1I1GP-1326-SM-A9G28 50-59 years, male 2851.3
GTEX-1LKK1-2626-SM-DKPQE 50-59 years, female 2838.3
GTEX-WI4N-2726-SM-3LK7Y 40-49 years, female 2824.7
GTEX-Y111-0626-SM-4SOIT 50-59 years, male 2821.5
GTEX-1JMQK-1226-SM-D4P2S 60-69 years, male 2810.2
GTEX-14PK6-0226-SM-62LF5 70-79 years, female 2802.5
GTEX-13OW6-2726-SM-5J2OE 50-59 years, male 2801.6
GTEX-1I1GT-1026-SM-ARZLV 60-69 years, female 2798.2
GTEX-12ZZX-2426-SM-5GCOE 40-49 years, female 2784.8
GTEX-1HSMP-0926-SM-A9SKX 70-79 years, male 2773.1
GTEX-13NYB-0126-SM-5J1MD 40-49 years, male 2764.5
GTEX-1GF9X-1326-SM-7PC2Y 40-49 years, female 2763.5
GTEX-16MTA-0926-SM-6M47Z 50-59 years, male 2760.7
GTEX-1PIIG-2326-SM-DTXFR 30-39 years, male 2759.0
GTEX-13O3Q-0126-SM-5KM34 50-59 years, male 2746.9
GTEX-14753-0726-SM-5QGQO 60-69 years, male 2741.6
GTEX-18QFQ-1826-SM-72D52 30-39 years, male 2740.5
GTEX-Y8E4-2026-SM-5IFJB 40-49 years, male 2726.0
GTEX-1CAMS-2226-SM-7PBXQ 40-49 years, female 2721.2
GTEX-13QJC-0126-SM-5ZZWJ 60-69 years, female 2717.0
GTEX-1MCC2-1826-SM-DIPEX 30-39 years, female 2716.1
GTEX-1399U-1126-SM-5L3DB 50-59 years, female 2707.6
GTEX-147GR-2426-SM-5ZZWQ 60-69 years, male 2701.3
GTEX-13OVL-0126-SM-5L3GJ 50-59 years, male 2694.4
GTEX-1HB9E-0126-SM-CM2S5 50-59 years, male 2684.5
GTEX-X4EO-2926-SM-4E3JH 60-69 years, female 2672.2
GTEX-ZDTS-0826-SM-4WKHL 60-69 years, male 2663.1
GTEX-133LE-2326-SM-5K7W3 20-29 years, female 2657.4
GTEX-1S82P-2126-SM-E6CI5 60-69 years, female 2629.5
GTEX-1PPH7-1126-SM-DTX9A 40-49 years, male 2625.7
GTEX-139TS-2126-SM-5K7XC 60-69 years, male 2622.2
GTEX-15CHR-1126-SM-7EWF4 50-59 years, male 2619.0
GTEX-1QP28-1126-SM-EVYC4 50-59 years, female 2615.1
GTEX-1OJC4-2726-SM-E76PJ 50-59 years, female 2614.4
GTEX-ZAK1-0626-SM-5HL8E 50-59 years, female 2606.1
GTEX-ZWKS-0626-SM-5GIDV 30-39 years, male 2604.0
GTEX-13OW7-0426-SM-5K7VK 50-59 years, male 2595.7
GTEX-1F52S-2926-SM-7MKGA 60-69 years, female 2595.5
GTEX-ZLFU-1826-SM-4WWBV 40-49 years, male 2577.1
GTEX-1I1GV-0626-SM-ARL7M 60-69 years, male 2573.1
GTEX-13NYS-0626-SM-5L3F1 60-69 years, male 2572.6
GTEX-1CAMR-1326-SM-7PC1F 20-29 years, male 2559.2
GTEX-13VXT-1926-SM-5K7UO 20-29 years, female 2550.9
GTEX-1IDFM-0326-SM-ARL7V 60-69 years, male 2550.6
GTEX-1A8FM-0626-SM-7PC25 50-59 years, female 2546.7
GTEX-17HHE-1326-SM-7EWDZ 50-59 years, male 2546.3
GTEX-17EVP-2626-SM-7IGMA 40-49 years, male 2545.0
GTEX-1HFI6-0126-SM-CNPPI 40-49 years, male 2543.9
GTEX-XOT4-0626-SM-4B66L 60-69 years, female 2540.4
GTEX-ZVT4-2426-SM-5GIEI 50-59 years, female 2535.9
GTEX-13O3O-2326-SM-5IJD6 60-69 years, female 2528.8
GTEX-1C64O-1326-SM-7MGWR 60-69 years, male 2523.0
GTEX-17HHY-0426-SM-7DHLC 50-59 years, male 2521.8
GTEX-1BAJH-2426-SM-7IGP8 70-79 years, male 2515.2
GTEX-1HR98-2226-SM-ADEI2 60-69 years, male 2514.7
GTEX-Y3I4-1726-SM-4TT89 50-59 years, male 2512.6
GTEX-18A66-0626-SM-7LT8Z 60-69 years, male 2509.9
GTEX-11DXW-0826-SM-5H118 40-49 years, male 2509.2
GTEX-1S83E-1326-SM-E6CJM 40-49 years, male 2506.2
GTEX-14E1K-2026-SM-7DUEI 50-59 years, male 2504.8
GTEX-ZTTD-2826-SM-4YCFA 50-59 years, male 2496.6
GTEX-145LS-0626-SM-7EPG7 60-69 years, female 2494.9
GTEX-11WQK-1026-SM-5EQLX 50-59 years, male 2492.8
GTEX-1QCLY-0226-SM-EWRNH 30-39 years, male 2485.3
GTEX-WHPG-2626-SM-3NMBR 50-59 years, male 2479.0
GTEX-WHWD-1826-SM-3LK6I 50-59 years, male 2478.3
GTEX-15G19-2426-SM-7KUMR 60-69 years, male 2477.7
GTEX-XQ3S-1426-SM-4BOPR 20-29 years, male 2459.7
GTEX-1JMPY-0226-SM-CKZOK 30-39 years, male 2455.9
GTEX-Z93S-1626-SM-5CVMB 50-59 years, male 2453.2
GTEX-139T8-0626-SM-5KLZX 60-69 years, male 2452.3
GTEX-13FLV-0126-SM-5K7WT 50-59 years, male 2450.7
GTEX-14PJ5-1526-SM-6LLIL 60-69 years, female 2447.8
GTEX-11GSP-2326-SM-5HL63 60-69 years, female 2445.1
GTEX-1MJK3-0726-SM-E6CJC 20-29 years, male 2441.6
GTEX-131XF-2626-SM-5EQ6K 60-69 years, male 2440.1
GTEX-ZF29-0926-SM-4WKFZ 60-69 years, female 2434.0
GTEX-13SLX-2226-SM-62LEP 50-59 years, female 2429.2
GTEX-18A67-1626-SM-7LT9T 50-59 years, male 2421.3
GTEX-1GN1V-2826-SM-9JGIA 60-69 years, male 2418.7
GTEX-1PBJJ-1026-SM-E76OS 30-39 years, male 2418.6
GTEX-1JN1M-2726-SM-CY8I4 60-69 years, female 2409.0
GTEX-1A8G7-1326-SM-73KVM 60-69 years, male 2406.4
GTEX-1HCVE-2726-SM-CL54F 50-59 years, male 2398.7
GTEX-1GN73-0726-SM-7P8TJ 60-69 years, male 2393.2
GTEX-XBED-1926-SM-47JYP 60-69 years, male 2389.0
GTEX-15EO6-2426-SM-6PALZ 50-59 years, male 2388.4
GTEX-ZE9C-2526-SM-5IJDR 60-69 years, male 2385.1
GTEX-11GS4-0226-SM-5HL77 60-69 years, male 2384.8
GTEX-18A6Q-0626-SM-7KFRP 60-69 years, male 2384.8
GTEX-XQ8I-0926-SM-4BOOF 50-59 years, male 2383.4
GTEX-14PJ6-2626-SM-6EU2T 60-69 years, female 2382.7
GTEX-1LGRB-0926-SM-COH3K 50-59 years, female 2381.3
GTEX-13OW5-2326-SM-5L3HO 60-69 years, male 2380.4
GTEX-11VI4-1126-SM-5EQMD 40-49 years, female 2373.7
GTEX-1GZ4I-2626-SM-9KNU3 50-59 years, male 2370.2
GTEX-YEC3-1326-SM-DO92X 50-59 years, male 2368.9
GTEX-ZF2S-1626-SM-57WES 50-59 years, female 2360.3
GTEX-131XH-0126-SM-5LZUY 50-59 years, male 2359.6
GTEX-1HR9M-2226-SM-CNPPY 60-69 years, male 2357.8
GTEX-13JUV-2026-SM-5K7UA 40-49 years, female 2356.5
GTEX-1F75A-0726-SM-7RHHD 50-59 years, male 2355.3
GTEX-1CB4E-0926-SM-7EPHT 60-69 years, male 2355.0
GTEX-1QPFJ-1926-SM-EVYBD 30-39 years, female 2352.8
GTEX-ZYW4-0626-SM-59HJR 60-69 years, male 2349.5
GTEX-1GMRU-2126-SM-7P8RA 50-59 years, male 2348.7
GTEX-144GO-2026-SM-5O99P 60-69 years, male 2348.4
GTEX-1EKGG-0626-SM-7DUGJ 60-69 years, male 2348.4
GTEX-13RTJ-0126-SM-5S2NN 60-69 years, male 2348.1
GTEX-1PPGY-1626-SM-EVYBL 60-69 years, male 2341.9
GTEX-1AX9I-2226-SM-73KUO 60-69 years, male 2332.9
GTEX-1LVAN-0626-SM-CNPOQ 50-59 years, female 2324.5
GTEX-1HSMQ-2626-SM-A9SML 50-59 years, male 2321.9
GTEX-ZDYS-2426-SM-4WKGI 50-59 years, male 2318.4
GTEX-13D11-0926-SM-5J2NC 50-59 years, female 2316.0
GTEX-ZDTT-0426-SM-4WKFL 60-69 years, male 2315.2
GTEX-13SLW-0626-SM-5Q5ER 70-79 years, male 2309.2
GTEX-13OVK-1426-SM-6PAN7 40-49 years, male 2300.1
GTEX-11O72-0626-SM-5PNYE 40-49 years, male 2293.7
GTEX-11P7K-1126-SM-5HL4L 30-39 years, male 2290.7
GTEX-ZLV1-1526-SM-DO91J 60-69 years, female 2288.9
GTEX-13FTW-0326-SM-5K7UW 40-49 years, male 2282.1
GTEX-14PHX-2226-SM-6EU2P 50-59 years, male 2274.6
GTEX-15SKB-2826-SM-6PAMH 60-69 years, male 2272.6
GTEX-1C6VR-0126-SM-7RHGB 60-69 years, male 2272.0
GTEX-1LVAM-0726-SM-E6CIL 50-59 years, female 2270.4
GTEX-15DDE-2926-SM-6LLJ3 50-59 years, female 2267.1
GTEX-15RIE-1926-SM-7KUKJ 60-69 years, male 2264.2
GTEX-11NUK-2726-SM-5A5MC 50-59 years, male 2264.1
GTEX-1HCU6-2526-SM-ADEHL 60-69 years, female 2262.4
GTEX-144FL-0626-SM-5LU43 50-59 years, male 2261.1
GTEX-ZVZP-1226-SM-5GID7 50-59 years, male 2259.7
GTEX-14C5O-0326-SM-5ZZUX 60-69 years, male 2255.0
GTEX-131XG-0326-SM-5L3DX 50-59 years, female 2253.7
GTEX-15RJ7-2126-SM-6PAMD 40-49 years, male 2249.0
GTEX-18A7B-2726-SM-7LG56 70-79 years, male 2247.2
GTEX-ZA64-1026-SM-5HL8R 20-29 years, male 2245.6
GTEX-1IL2V-1926-SM-B2LW8 70-79 years, male 2244.9
GTEX-13FHO-0426-SM-5L3F5 60-69 years, male 2239.2
GTEX-14PKV-1126-SM-6LLJ1 20-29 years, female 2237.5
GTEX-1N2EE-0626-SM-E76PW 60-69 years, male 2232.0
GTEX-12WSK-2126-SM-5CVNC 40-49 years, female 2226.7
GTEX-1LSVX-2526-SM-DIPEU 60-69 years, male 2224.9
GTEX-1H1CY-0126-SM-9YFLY 60-69 years, female 2222.3
GTEX-1EMGI-2326-SM-7PBYA 60-69 years, male 2219.6
GTEX-13112-0126-SM-5P9IU 50-59 years, male 2219.2
GTEX-17MFQ-1526-SM-7KFRR 20-29 years, male 2211.4
GTEX-145MN-1526-SM-5SI9T 30-39 years, male 2203.5
GTEX-XBEC-0726-SM-4QARZ 50-59 years, male 2203.4
GTEX-13N1W-2426-SM-5IJD1 70-79 years, male 2195.8
GTEX-1CB4H-1126-SM-7MKGL 60-69 years, female 2195.0
GTEX-X5EB-1926-SM-4E3IW 40-49 years, male 2193.0
GTEX-1I1HK-2326-SM-CKZOH 60-69 years, male 2192.4
GTEX-1H23P-0626-SM-9WG6T 60-69 years, male 2183.5
GTEX-WY7C-2126-SM-3NB2R 50-59 years, male 2180.1
GTEX-1JK1U-0226-SM-ARZMX 60-69 years, male 2177.1
GTEX-14JG1-1526-SM-5YY9X 40-49 years, male 2165.7
GTEX-1PDJ9-1226-SM-EXUSX 20-29 years, male 2164.5
GTEX-1GZ4H-0526-SM-9KNU9 50-59 years, female 2158.0
GTEX-1LG7Y-2526-SM-EWRO7 50-59 years, male 2156.1
GTEX-1QMI2-2526-SM-E8VNZ 60-69 years, male 2154.7
GTEX-1HBPN-0126-SM-CGQEF 50-59 years, male 2153.1
GTEX-15CHQ-0326-SM-69LQD 60-69 years, male 2152.4
GTEX-131XW-0626-SM-5PNVD 50-59 years, female 2152.3
GTEX-1AYD5-2626-SM-7PBXY 50-59 years, male 2149.1
GTEX-1C2JI-1026-SM-73KY1 50-59 years, male 2143.7
GTEX-16MT8-2926-SM-7DUFO 60-69 years, female 2140.0
GTEX-14LLW-2626-SM-62LDZ 70-79 years, female 2126.4
GTEX-1B97I-0626-SM-73KUZ 40-49 years, male 2124.3
GTEX-145MF-0926-SM-5Q5EA 50-59 years, male 2124.1
GTEX-1KANB-2826-SM-CY8I6 50-59 years, male 2123.1
GTEX-12KS4-2126-SM-5FQUT 30-39 years, male 2122.9
GTEX-ZZPU-0826-SM-5GZX5 50-59 years, female 2121.5
GTEX-WRHU-2826-SM-3MJG8 50-59 years, female 2118.6
GTEX-17KNJ-2126-SM-718AM 50-59 years, male 2118.2
GTEX-1A8G6-2726-SM-731AR 60-69 years, male 2115.3
GTEX-1GPI7-1826-SM-9KNU1 20-29 years, male 2113.2
GTEX-1B933-2426-SM-7DHMD 50-59 years, female 2100.9
GTEX-1F88F-0126-SM-9WYSZ 60-69 years, female 2099.6
GTEX-11ZTT-2126-SM-5CVLO 60-69 years, female 2098.6
GTEX-11LCK-2226-SM-5HL4Q 30-39 years, male 2089.6
GTEX-145MO-2826-SM-5LU96 60-69 years, male 2088.4
GTEX-1B8L1-2226-SM-7P8PT 60-69 years, male 2086.0
GTEX-WFON-1926-SM-3LK7L 40-49 years, male 2082.7
GTEX-147F3-1726-SM-5SIAW 50-59 years, female 2081.8
GTEX-1S5ZU-2526-SM-E6CIF 20-29 years, female 2078.9
GTEX-12WSF-1626-SM-7KUG5 70-79 years, male 2076.4
GTEX-16XZZ-0726-SM-7KUF2 60-69 years, male 2074.7
GTEX-YJ8O-2526-SM-5HL85 40-49 years, female 2066.5
GTEX-14ABY-2026-SM-62LDL 50-59 years, male 2066.1
GTEX-13X6I-1826-SM-5SIAO 60-69 years, male 2065.6
GTEX-1IKJJ-2226-SM-CJI4C 60-69 years, male 2060.5
GTEX-1I1GS-2626-SM-B2LY3 60-69 years, male 2055.4
GTEX-1GN1U-0626-SM-9MQL9 50-59 years, female 2054.1
GTEX-Y9LG-1126-SM-4VBQ7 30-39 years, male 2050.3
GTEX-1IE54-1126-SM-A9G2Z 40-49 years, female 2049.8
GTEX-11NSD-0626-SM-5A5LU 20-29 years, male 2047.0
GTEX-1K2DU-1226-SM-CYPT4 20-29 years, male 2024.8
GTEX-14PJ4-0226-SM-5YY92 60-69 years, male 2024.5
GTEX-145LU-1926-SM-79OJN 50-59 years, male 2023.9
GTEX-1IOXB-2726-SM-CM2RI 50-59 years, male 2023.9
GTEX-17HGU-2326-SM-7DUFE 50-59 years, male 2023.5
GTEX-1PIGE-1826-SM-E8VOU 20-29 years, male 2019.2
GTEX-15SHW-0226-SM-7LTAT 60-69 years, male 2008.0
GTEX-111CU-1126-SM-5EGIM 50-59 years, male 2006.2
GTEX-12ZZZ-0726-SM-5GCNZ 60-69 years, male 2000.4
GTEX-13OVJ-0826-SM-5J1OK 50-59 years, female 1997.7
GTEX-139TT-2126-SM-5LZWC 60-69 years, male 1991.0
GTEX-YEC4-1826-SM-4W1YP 40-49 years, male 1985.0
GTEX-ZYFC-0426-SM-5GICQ 50-59 years, male 1983.9
GTEX-1LB8K-0726-SM-D5OV2 50-59 years, male 1983.7
GTEX-1KD5A-0126-SM-E9U54 50-59 years, male 1983.2
GTEX-WXYG-2026-SM-4E3IY 50-59 years, female 1981.6
GTEX-17F98-1326-SM-7DUEP 40-49 years, female 1975.2
GTEX-VUSG-2326-SM-4KL1U 50-59 years, male 1974.3
GTEX-14JFF-0626-SM-5ZZVT 60-69 years, male 1970.6
GTEX-11P82-1426-SM-DTXFY 20-29 years, male 1966.0
GTEX-12WSA-0426-SM-5EQ5X 60-69 years, male 1965.5
GTEX-1HBPM-0726-SM-9YFL7 60-69 years, female 1965.4
GTEX-1212Z-0126-SM-59HK4 60-69 years, male 1962.8
GTEX-1GN1W-2426-SM-9KNUU 50-59 years, female 1951.6
GTEX-12584-0726-SM-5FQTK 40-49 years, male 1951.0
GTEX-11TT1-1826-SM-5EQLV 20-29 years, male 1949.7
GTEX-1KANA-1326-SM-DIPFA 20-29 years, male 1947.1
GTEX-1CB4F-1026-SM-7DUH1 60-69 years, male 1937.3
GTEX-1IY9M-2826-SM-ARU8H 60-69 years, male 1931.9
GTEX-1GF9V-0826-SM-9KNUV 60-69 years, male 1929.9
GTEX-11EI6-2826-SM-5H11D 60-69 years, male 1928.8
GTEX-XMD2-2126-SM-4YCF8 60-69 years, female 1926.1
GTEX-ZYY3-2926-SM-5GIEB 60-69 years, female 1921.5
GTEX-1H4P4-2126-SM-9WYSL 50-59 years, male 1903.6
GTEX-14JG6-1426-SM-9WG7C 30-39 years, female 1900.8
GTEX-1JJ6O-2726-SM-CNPOG 60-69 years, male 1892.3
GTEX-ZAJG-1526-SM-5CVML 50-59 years, female 1890.5
GTEX-14AS3-1526-SM-5Q5ED 40-49 years, female 1889.5
GTEX-1HCU8-2526-SM-CE6RX 60-69 years, female 1886.1
GTEX-1JN76-0626-SM-CKZOQ 20-29 years, female 1885.8
GTEX-18465-2826-SM-7LT9J 50-59 years, male 1878.4
GTEX-16Z82-2626-SM-7KULU 60-69 years, male 1853.0
GTEX-YB5K-2026-SM-4VDT3 40-49 years, female 1850.3
GTEX-111YS-1526-SM-5GZYW 60-69 years, male 1849.5
GTEX-Y3IK-1626-SM-4YCF5 50-59 years, female 1845.2
GTEX-ZDXO-3126-SM-5IJDF 60-69 years, male 1842.3
GTEX-13N2G-0226-SM-5K7VF 60-69 years, male 1839.1
GTEX-1EH9U-2826-SM-7DUGT 60-69 years, male 1834.8
GTEX-1JKYR-0626-SM-ARL8R 20-29 years, male 1832.8
GTEX-146FQ-2126-SM-5RQHU 30-39 years, male 1829.7
GTEX-1JJE9-2626-SM-ARZMT 70-79 years, male 1828.2
GTEX-1EWIQ-0326-SM-7DHMQ 70-79 years, female 1826.6
GTEX-1H3VE-0726-SM-9YFL5 40-49 years, male 1825.0
GTEX-13VXU-0626-SM-5L3F9 50-59 years, male 1813.4
GTEX-1A3MV-1826-SM-731CD 30-39 years, male 1812.1
GTEX-1H1DE-1326-SM-9KNUG 20-29 years, male 1804.3
GTEX-ZYFD-0626-SM-5E44E 50-59 years, male 1797.9
GTEX-XXEK-1626-SM-4BRUZ 50-59 years, male 1794.2
GTEX-1H1DG-2426-SM-9QEHJ 70-79 years, male 1787.4
GTEX-1S831-1826-SM-EWROF 20-29 years, male 1783.5
GTEX-1B8SF-0126-SM-7DUG3 60-69 years, male 1775.8
GTEX-X4EP-0626-SM-3P621 60-69 years, female 1771.1
GTEX-17HII-1426-SM-7EPGG 50-59 years, male 1766.5
GTEX-1R46S-2426-SM-E76QA 60-69 years, female 1766.5
GTEX-15ER7-0626-SM-6PANF 20-29 years, female 1762.1
GTEX-1S3DN-2126-SM-E9TIN 50-59 years, male 1753.4
GTEX-ZZ64-1026-SM-5GZXG 20-29 years, male 1751.9
GTEX-1GN2E-0226-SM-9WG6K 60-69 years, male 1748.3
GTEX-1EN7A-2426-SM-793DB 40-49 years, male 1747.2
GTEX-WK11-2726-SM-3NMAQ 50-59 years, male 1745.6
GTEX-12WSM-1926-SM-5BC65 60-69 years, male 1745.2
GTEX-11EQ9-1626-SM-5PNY8 30-39 years, male 1741.9
GTEX-1314G-1326-SM-5BC6E 30-39 years, male 1741.3
GTEX-1J8JJ-0626-SM-ARZMQ 60-69 years, female 1736.6
GTEX-14A6H-2026-SM-5Q5DD 30-39 years, male 1733.7
GTEX-18D9B-0926-SM-7LG4U 60-69 years, male 1732.4
GTEX-13OW8-1026-SM-5J1NQ 60-69 years, male 1729.2
GTEX-13PVQ-0626-SM-5LU47 50-59 years, male 1726.5
GTEX-16NPX-0726-SM-7KULC 50-59 years, male 1725.1
GTEX-14PJN-1826-SM-6AJ98 30-39 years, male 1724.8
GTEX-145MI-0626-SM-5SI8S 60-69 years, female 1712.0
GTEX-145MG-1526-SM-5Q5EM 50-59 years, male 1711.8
GTEX-UPJH-0226-SM-3GADV 50-59 years, male 1705.6
GTEX-1HFI7-2326-SM-CGQFS 50-59 years, female 1702.5
GTEX-1GF9W-1426-SM-7PBYM 60-69 years, male 1698.3
GTEX-XUW1-0926-SM-4BONX 50-59 years, female 1694.6
GTEX-1RAZS-2526-SM-E6CHT 50-59 years, male 1691.4
GTEX-1122O-1026-SM-9WYSF 60-69 years, female 1690.5
GTEX-1J8Q2-2626-SM-ACKWQ 60-69 years, male 1688.9
GTEX-13NYC-0126-SM-5L3F4 60-69 years, male 1686.7
GTEX-1H1ZS-2726-SM-9WG75 70-79 years, male 1676.8
GTEX-ZU9S-1826-SM-5NQ9E 30-39 years, male 1666.2
GTEX-1LSNM-0826-SM-DIPG8 50-59 years, male 1656.7
GTEX-1RB15-1326-SM-E76Q9 60-69 years, male 1656.3
GTEX-1JN6P-2926-SM-CL54D 60-69 years, male 1656.1
GTEX-11UD2-2526-SM-5CVNU 50-59 years, male 1656.0
GTEX-XPVG-2126-SM-4B667 50-59 years, male 1653.0
GTEX-1LVAO-2726-SM-E9TJ8 60-69 years, male 1644.2
GTEX-18D9U-0126-SM-731BM 40-49 years, male 1637.4
GTEX-ZUA1-2626-SM-5NQ92 40-49 years, male 1635.5
GTEX-WYVS-1626-SM-3NM9R 40-49 years, female 1634.6
GTEX-1ICG6-1226-SM-A9SLN 70-79 years, female 1633.2
GTEX-1M4P7-0726-SM-E6CJ3 60-69 years, male 1629.1
GTEX-18A7A-0126-SM-731AH 50-59 years, female 1628.1
GTEX-1QW4Y-1126-SM-DTXE3 30-39 years, male 1627.2
GTEX-1F5PL-0926-SM-7PC2W 40-49 years, female 1626.1
GTEX-ZYFG-1526-SM-5GZYM 60-69 years, female 1624.2
GTEX-1J8Q3-0526-SM-ARL8U 60-69 years, male 1623.0
GTEX-12ZZY-0726-SM-5EQ66 60-69 years, male 1619.6
GTEX-12WSC-2826-SM-5BC5Y 50-59 years, male 1614.7
GTEX-X8HC-0626-SM-4E3HQ 50-59 years, female 1598.2
GTEX-14BMV-2826-SM-5TDED 50-59 years, male 1597.4
GTEX-1JMPZ-0726-SM-CY8HZ 30-39 years, male 1588.3
GTEX-147JS-0226-SM-5S2U9 60-69 years, male 1586.7
GTEX-17HG3-2626-SM-7DUF2 30-39 years, female 1585.0
GTEX-13X6K-0626-SM-5LU5D 60-69 years, female 1584.7
GTEX-1HSKV-1226-SM-ADEI4 60-69 years, male 1583.9
GTEX-X3Y1-2026-SM-3P5YM 40-49 years, male 1582.9
GTEX-1CB4I-0126-SM-7RHGG 50-59 years, male 1579.9
GTEX-WHSE-0126-SM-3NMBT 20-29 years, male 1572.2
GTEX-12WSD-0626-SM-5GCMW 60-69 years, female 1569.2
GTEX-ZTSS-1426-SM-5985P 40-49 years, male 1568.3
GTEX-1R7EU-1626-SM-DTXG3 60-69 years, male 1563.5
GTEX-1QEPI-2626-SM-DTXF4 60-69 years, female 1557.1
GTEX-XAJ8-1426-SM-47JYM 40-49 years, male 1555.1
GTEX-11ZUS-2626-SM-5FQUR 30-39 years, male 1553.1
GTEX-1HCUA-0826-SM-ADEHM 50-59 years, female 1553.0
GTEX-1KXAM-1626-SM-D3LAD 60-69 years, male 1550.1
GTEX-15CHC-1126-SM-6LLHQ 60-69 years, female 1548.5
GTEX-1GL5R-1326-SM-7RHHF 50-59 years, male 1545.9
GTEX-1HBPI-2126-SM-ARL9K 50-59 years, male 1544.6
GTEX-12696-0126-SM-5EQ4L 60-69 years, male 1542.2
GTEX-1K2DA-1026-SM-CGQGF 50-59 years, male 1536.6
GTEX-1LSNL-2726-SM-E9TKJ 50-59 years, male 1529.6
GTEX-183FY-1026-SM-7939A 20-29 years, male 1528.4
GTEX-13NZ9-2626-SM-5L3FK 50-59 years, male 1525.1
GTEX-1F5PK-2226-SM-7SB6N 50-59 years, male 1524.5
GTEX-1K9T9-1526-SM-DIPFR 50-59 years, female 1523.9
GTEX-1J1R8-2026-SM-CL53Y 40-49 years, male 1523.4
GTEX-1GMR8-0626-SM-7RHI7 50-59 years, female 1512.3
GTEX-16BQI-1326-SM-6M486 30-39 years, female 1511.9
GTEX-1POEN-2326-SM-E9J2L 30-39 years, female 1510.8
GTEX-16NGA-0726-SM-731AO 40-49 years, female 1510.6
GTEX-15D1Q-2826-SM-6LLH7 40-49 years, male 1504.8
GTEX-1IDJH-0126-SM-D3L92 70-79 years, male 1489.2
GTEX-13PVR-0426-SM-5RQK2 60-69 years, female 1484.9
GTEX-1J1OQ-0126-SM-D4P2N 40-49 years, female 1484.5
GTEX-13X6H-0926-SM-5SIB2 50-59 years, female 1482.9
GTEX-13OVH-0526-SM-5L3E6 70-79 years, male 1478.9
GTEX-XV7Q-1826-SM-4BRUV 40-49 years, female 1478.9
GTEX-15EU6-2226-SM-6EU2L 50-59 years, male 1474.2
GTEX-1F75B-0726-SM-7PC3R 50-59 years, male 1469.5
GTEX-1LBAC-0826-SM-CY8IJ 20-29 years, male 1462.2
GTEX-1N5O9-0926-SM-E9J3C 60-69 years, male 1462.1
GTEX-14BMU-1226-SM-5S2OR 20-29 years, female 1458.4
GTEX-17EVQ-0126-SM-7IGLR 70-79 years, male 1451.2
GTEX-WYBS-0626-SM-3NMAS 60-69 years, female 1450.3
GTEX-178AV-1726-SM-7KUL8 40-49 years, male 1445.3
GTEX-ZVE2-2826-SM-5GU51 50-59 years, male 1438.7
GTEX-1CAV2-0126-SM-7IGN7 40-49 years, female 1436.5
GTEX-1JKYN-0826-SM-ARU8S 30-39 years, male 1436.2
GTEX-WYJK-0526-SM-3NM8Z 50-59 years, male 1428.3
GTEX-Y8LW-1526-SM-5IFHL 50-59 years, female 1426.4
GTEX-1211K-1526-SM-5FQU4 60-69 years, female 1426.3
GTEX-11TUW-0626-SM-5LU9M 60-69 years, male 1416.7
GTEX-1QAET-0326-SM-EVR3U 50-59 years, male 1416.7
GTEX-1I19N-0126-SM-CYPSF 70-79 years, male 1404.6
GTEX-11EM3-1226-SM-5N9DD 20-29 years, female 1398.6
GTEX-1GPI6-1926-SM-9KNV7 60-69 years, male 1387.5
GTEX-ZPU1-1126-SM-4YCF3 40-49 years, male 1385.9
GTEX-1C6WA-2626-SM-7MKGM 60-69 years, male 1385.2
GTEX-ZVT2-0126-SM-5GIDQ 50-59 years, female 1383.9
GTEX-1GZ2Q-0126-SM-9WG6M 40-49 years, male 1373.4
GTEX-17MF6-2626-SM-79OKQ 40-49 years, male 1372.3
GTEX-1B8KZ-0326-SM-73KY4 50-59 years, male 1372.3
GTEX-111FC-2526-SM-5GZXU 60-69 years, male 1370.5
GTEX-13X6J-0626-SM-5LU5F 50-59 years, male 1369.3
GTEX-1HSMO-0626-SM-ACKXC 60-69 years, male 1367.6
GTEX-ZY6K-1426-SM-5GZX2 50-59 years, male 1363.0
GTEX-1I6K7-1926-SM-B2LXR 40-49 years, male 1362.9
GTEX-132AR-0326-SM-5KM2C 50-59 years, female 1358.5
GTEX-15FZZ-0526-SM-7KUGD 30-39 years, female 1358.5
GTEX-1GTWX-2026-SM-9YFLM 60-69 years, male 1354.0
GTEX-1IDJC-1526-SM-B2LW4 50-59 years, male 1342.5
GTEX-1F88E-1626-SM-7SB8Z 60-69 years, female 1339.7
GTEX-1QP29-1826-SM-DTX9S 50-59 years, male 1325.3
GTEX-14B4R-1326-SM-5Q5EZ 30-39 years, male 1317.3
GTEX-1C475-1326-SM-7SB73 40-49 years, female 1306.6
GTEX-Y5V5-0126-SM-5S2NW 60-69 years, female 1303.9
GTEX-145ME-1726-SM-5Q5EU 40-49 years, female 1287.5
GTEX-1GMR3-0126-SM-A9SLW 40-49 years, male 1287.2
GTEX-1IDJF-2026-SM-CL53V 20-29 years, male 1281.1
GTEX-16GPK-0626-SM-7KFSF 60-69 years, male 1272.7
GTEX-14PKU-0126-SM-6LLHV 40-49 years, female 1269.4
GTEX-1F75I-2226-SM-7SB8U 40-49 years, male 1269.0
GTEX-1IDJV-0126-SM-COH3Y 60-69 years, male 1264.5
GTEX-14E6E-0526-SM-793DN 30-39 years, male 1256.4
GTEX-14DAR-1226-SM-73KYV 50-59 years, male 1253.9
GTEX-1I4MK-0126-SM-CY8G6 50-59 years, female 1250.3
GTEX-1H1E6-0426-SM-9WYUS 30-39 years, male 1234.9
GTEX-1JMOU-1026-SM-CYPSS 60-69 years, female 1231.0
GTEX-13OVG-1626-SM-5J1NF 60-69 years, male 1230.4
GTEX-12C56-1526-SM-5FQUQ 20-29 years, male 1224.7
GTEX-ZPIC-0526-SM-DO91W 40-49 years, female 1224.6
GTEX-14DAQ-0626-SM-793DS 60-69 years, female 1223.7
GTEX-1O9I2-0226-SM-EYYXD 50-59 years, male 1218.1
GTEX-14E6C-2426-SM-5S2NF 40-49 years, male 1213.7
GTEX-17JCI-2926-SM-7DUFF 60-69 years, female 1212.6
GTEX-1KANC-1226-SM-CYPT7 50-59 years, female 1202.6
GTEX-ZT9W-1126-SM-57WDR 50-59 years, male 1193.2
GTEX-13U4I-2226-SM-5LU5H 40-49 years, female 1191.6
GTEX-14PJ2-0626-SM-6LLII 50-59 years, male 1190.9
GTEX-1QCLZ-2426-SM-EVYBW 60-69 years, female 1189.5
GTEX-1HSGN-0826-SM-ACKW3 40-49 years, female 1187.0
GTEX-U8XE-0226-SM-4E3J3 30-39 years, male 1185.3
GTEX-1AX9J-1326-SM-731BJ 60-69 years, male 1180.9
GTEX-1AMEY-0826-SM-72D65 30-39 years, female 1178.7
GTEX-1EU9M-1426-SM-793AI 60-69 years, male 1175.4
GTEX-1399R-1326-SM-5PNYS 30-39 years, male 1169.9
GTEX-WEY5-2326-SM-3GIKK 40-49 years, female 1168.2
GTEX-1JMQL-2226-SM-CNPP4 50-59 years, female 1164.1
GTEX-1ICLY-0826-SM-CMKG1 50-59 years, male 1158.7
GTEX-1HCU9-0426-SM-9WYSD 20-29 years, male 1150.2
GTEX-117YX-1926-SM-5GIEC 50-59 years, male 1142.1
GTEX-1J8QM-2426-SM-A9SLS 60-69 years, female 1131.9
GTEX-1RLM8-2926-SM-E8VON 50-59 years, male 1126.5
GTEX-1LVA9-2626-SM-EVYD4 50-59 years, male 1124.3
GTEX-13W3W-0726-SM-5IJDQ 60-69 years, female 1120.6
GTEX-1GMR2-0826-SM-7PC3V 50-59 years, male 1117.4
GTEX-183WM-0326-SM-72D5V 70-79 years, female 1114.5
GTEX-144GM-0526-SM-79OJO 20-29 years, male 1114.0
GTEX-1B932-2326-SM-79OL5 40-49 years, female 1113.6
GTEX-1477Z-0326-SM-7IGLA 60-69 years, male 1109.0
GTEX-1RAZR-2126-SM-E9U6T 40-49 years, male 1104.1
GTEX-1IDJE-1426-SM-ADEIW 50-59 years, female 1095.9
GTEX-1A3MX-2626-SM-7PC24 60-69 years, male 1095.2
GTEX-145LT-0526-SM-5LUB2 40-49 years, male 1080.8
GTEX-1I1CD-0626-SM-CE6SW 60-69 years, female 1080.8
GTEX-12WSL-2026-SM-5GCML 50-59 years, male 1078.4
GTEX-ZLWG-0826-SM-59888 50-59 years, female 1077.1
GTEX-1E1VI-0326-SM-793D1 50-59 years, male 1045.1
GTEX-1GZHY-0626-SM-9KNVC 50-59 years, female 1039.3
GTEX-1HKZK-0726-SM-ACKW2 40-49 years, male 1038.1
GTEX-YF7O-1526-SM-5IFI6 50-59 years, male 1036.4
GTEX-1AX8Z-0726-SM-73KTS 60-69 years, male 1033.1
GTEX-1KWVE-1026-SM-D3L9O 30-39 years, male 1031.0
GTEX-1F48J-0726-SM-7RHGS 50-59 years, female 1026.9
GTEX-15G1A-1626-SM-7KUKN 30-39 years, male 1022.5
GTEX-1AMFI-1326-SM-7939R 50-59 years, female 1022.5
GTEX-1LGOU-1326-SM-D3L8M 20-29 years, female 1021.1
GTEX-ZVTK-0226-SM-51MRG 20-29 years, male 1016.1
GTEX-UPK5-0426-SM-3GAEK 40-49 years, male 1008.4
GTEX-131YS-2826-SM-5EQ47 60-69 years, female 995.6
GTEX-1IDJU-1726-SM-CMKHU 60-69 years, female 993.4
GTEX-1CB4J-1326-SM-7P8RX 60-69 years, male 991.6
GTEX-13113-1626-SM-5EQ4I 60-69 years, female 991.2
GTEX-13N11-2326-SM-5IJBF 50-59 years, female 985.7
GTEX-W5X1-2526-SM-3GILC 40-49 years, female 984.9
GTEX-1IDJD-2326-SM-ACKWX 30-39 years, male 977.3
GTEX-1F75W-2726-SM-7SB8H 60-69 years, male 962.2
GTEX-1497J-0226-SM-5QGPU 60-69 years, male 959.8
GTEX-1I6K6-1726-SM-CGQFD 30-39 years, male 956.7
GTEX-13FH7-1126-SM-5K7UG 50-59 years, female 954.1
GTEX-1B996-0426-SM-7EWF8 60-69 years, male 952.1
GTEX-1H1DF-1126-SM-9WG7G 40-49 years, female 948.6
GTEX-12BJ1-0926-SM-5EQ62 60-69 years, male 943.6
GTEX-1QP66-1226-SM-DTX7U 50-59 years, male 940.1
GTEX-13QBU-1226-SM-5LU4G 40-49 years, female 925.5
GTEX-1A32A-0626-SM-731AQ 50-59 years, female 920.0
GTEX-1IDJI-0126-SM-CMKHS 50-59 years, female 911.4
GTEX-1H3NZ-2726-SM-9WYTQ 60-69 years, male 910.8
GTEX-ZGAY-1826-SM-DO91Q 40-49 years, female 908.9
GTEX-1F6IF-0926-SM-7SB7M 60-69 years, male 901.4
GTEX-1A3MW-0626-SM-731CB 60-69 years, female 897.2
GTEX-V1D1-2026-SM-3GAF4 50-59 years, male 844.1
GTEX-1HC8U-1326-SM-9YFMJ 40-49 years, female 824.9
GTEX-1RAZA-2226-SM-E9U4X 20-29 years, male 823.5
GTEX-1HUB1-1426-SM-CGQF5 60-69 years, male 816.7
GTEX-1LG7Z-1626-SM-CXKYR 30-39 years, male 805.1
GTEX-14C38-0726-SM-5SI6M 50-59 years, male 770.7
GTEX-WFG8-2126-SM-3GIKQ 20-29 years, male 754.2
GTEX-VJYA-1526-SM-3GIJV 60-69 years, male 710.3
GTEX-1I1GU-0926-SM-ACKVS 40-49 years, male 700.2
GTEX-1GF9U-2026-SM-7SB92 40-49 years, female 635.4
GTEX-1L5NE-1126-SM-D3L9P 50-59 years, male 562.0
GTEX-Y5LM-0926-SM-6LLJG 40-49 years, female 471.2
GTEX-14XAO-1226-SM-6EU1C 60-69 years, female 444.3
Show allShow less
Skin - Sun Exposed (Lower leg)
Average nTPM: 1799.1
Samples: 701

Max nTPM: 7642.0
Min nTPM: 334.4
Std nTPM: 871.6
Median nTPM: 1635.8
GTEX-1LBAC-0126-SM-DIPEZ 20-29 years, male 7642.0
GTEX-14E6C-0126-SM-5RQIP 40-49 years, male 6381.1
GTEX-XYKS-2126-SM-4E3IB 60-69 years, female 5864.9
GTEX-1399U-2326-SM-5K7WY 50-59 years, female 5546.5
GTEX-XUZC-1726-SM-4BRWS 30-39 years, female 5364.7
GTEX-11DXZ-2326-SM-5EGGV 50-59 years, male 5019.3
GTEX-P4QT-0126-SM-2I3FL 50-59 years, female 4905.0
GTEX-13CF2-2526-SM-5LZYX 60-69 years, male 4772.3
GTEX-1F6RS-0126-SM-9MQKZ 60-69 years, female 4633.0
GTEX-139UW-2826-SM-5L3E7 60-69 years, male 4551.1
GTEX-T2YK-0526-SM-32QPJ 50-59 years, male 4536.9
GTEX-Y3IK-2426-SM-4WWDU 50-59 years, female 4422.0
GTEX-14LZ3-0226-SM-62LET 60-69 years, female 4418.0
GTEX-P4PP-0126-SM-3LK69 30-39 years, female 4353.4
GTEX-15EOM-0126-SM-7KUGG 20-29 years, female 3978.6
GTEX-ZVTK-0426-SM-51MRS 20-29 years, male 3976.7
GTEX-RTLS-0126-SM-447CA 60-69 years, female 3954.4
GTEX-X88G-0126-SM-47JZ3 30-39 years, male 3932.9
GTEX-UJHI-1526-SM-3DB99 50-59 years, female 3898.6
GTEX-1F5PL-0326-SM-7P8PQ 40-49 years, female 3828.8
GTEX-PX3G-0126-SM-2I3EN 20-29 years, female 3798.3
GTEX-13OVK-2026-SM-7KUEO 40-49 years, male 3786.5
GTEX-11WQK-0526-SM-5EQLD 50-59 years, male 3729.6
GTEX-ZTX8-1426-SM-5DUVO 20-29 years, male 3691.3
GTEX-YB5E-2026-SM-5IFIS 40-49 years, male 3686.9
GTEX-1122O-2126-SM-5EGIR 60-69 years, female 3629.6
GTEX-OIZH-0126-SM-2HMIS 50-59 years, male 3623.6
GTEX-1CAV2-2226-SM-7P8P2 40-49 years, female 3622.9
GTEX-15ETS-0126-SM-7KUMW 40-49 years, female 3606.0
GTEX-1I1GV-0526-SM-A9G29 60-69 years, male 3488.2
GTEX-ZF3C-0126-SM-DO92D 50-59 years, female 3420.2
GTEX-ZF2S-2326-SM-4WWCE 50-59 years, female 3417.7
GTEX-139TS-2826-SM-5J1OO 60-69 years, male 3415.7
GTEX-13FTW-2626-SM-5K7WL 40-49 years, male 3413.8
GTEX-TKQ1-1026-SM-4GICL 30-39 years, male 3407.6
GTEX-17JCI-0126-SM-7LG5G 60-69 years, female 3393.4
GTEX-117XS-2726-SM-5N9BL 60-69 years, male 3357.1
GTEX-T6MN-0126-SM-32PLP 50-59 years, male 3304.1
GTEX-1R9PM-2026-SM-E76OY 20-29 years, male 3282.1
GTEX-13N2G-2626-SM-5J1OT 60-69 years, male 3279.9
GTEX-ZWKS-0126-SM-5SIAA 30-39 years, male 3267.0
GTEX-18D9A-1926-SM-7LG6P 30-39 years, female 3253.1
GTEX-1IOXB-0126-SM-ARL8G 50-59 years, male 3206.7
GTEX-O5YW-0126-SM-3LK6D 50-59 years, male 3198.9
GTEX-1LGRB-2526-SM-CNPPQ 50-59 years, female 3176.8
GTEX-WYJK-0126-SM-3NMAB 50-59 years, male 3174.6
GTEX-ZV68-0126-SM-59HKS 50-59 years, female 3167.6
GTEX-ZAK1-0126-SM-5IJD3 50-59 years, female 3153.9
GTEX-Y8DK-0126-SM-4TT3L 60-69 years, male 3145.4
GTEX-14PII-0226-SM-6EU1T 60-69 years, male 3139.9
GTEX-ZXES-1826-SM-5E43S 30-39 years, female 3135.9
GTEX-11NSD-2226-SM-5986V 20-29 years, male 3106.4
GTEX-XBEW-0626-SM-4QASP 40-49 years, male 3097.1
GTEX-ZYFG-2326-SM-5E44B 60-69 years, female 3094.0
GTEX-1NV5F-0226-SM-E8VNY 60-69 years, female 3084.6
GTEX-1MA7W-2026-SM-E9TJ6 20-29 years, female 3073.6
GTEX-11DYG-0126-SM-59883 60-69 years, male 3071.0
GTEX-145MN-2226-SM-5SIAU 30-39 years, male 3056.1
GTEX-ZGAY-0526-SM-4WWBB 40-49 years, female 3038.3
GTEX-139D8-0226-SM-5KLZO 30-39 years, female 3033.1
GTEX-13NZ8-0826-SM-5MR3I 60-69 years, female 3017.6
GTEX-PSDG-0226-SM-DKPOZ 50-59 years, male 2996.7
GTEX-1PDJ9-0326-SM-DTX95 20-29 years, male 2993.6
GTEX-1H11D-0226-SM-9WG6Z 40-49 years, male 2980.3
GTEX-1QP9N-1426-SM-DTXFL 30-39 years, male 2959.2
GTEX-1399R-2726-SM-5IJBA 30-39 years, male 2949.0
GTEX-1PFEY-1526-SM-E76PP 30-39 years, male 2938.6
GTEX-14PK6-1926-SM-6ETZU 70-79 years, female 2919.9
GTEX-1MJK2-0426-SM-DTXE5 50-59 years, male 2911.5
GTEX-1IKK5-0626-SM-ARL8A 60-69 years, male 2881.5
GTEX-U412-0426-SM-3DB9O 60-69 years, male 2867.2
GTEX-1JMQI-2226-SM-CM2SD 50-59 years, male 2843.2
GTEX-13111-1626-SM-5EGJY 50-59 years, male 2841.8
GTEX-15RIG-0226-SM-7KFTL 40-49 years, male 2840.3
GTEX-14ICK-0226-SM-6EU25 40-49 years, male 2834.5
GTEX-Y114-2426-SM-4TT8A 50-59 years, female 2830.8
GTEX-OXRK-0226-SM-3NB2G 50-59 years, female 2829.1
GTEX-1PIIG-0226-SM-EWRN6 30-39 years, male 2823.6
GTEX-14753-0426-SM-5NQAM 60-69 years, male 2807.6
GTEX-1LVAN-0226-SM-COH3S 50-59 years, female 2797.4
GTEX-15ER7-0326-SM-7KUEV 20-29 years, female 2780.2
GTEX-13G51-2526-SM-5LZYK 60-69 years, male 2779.7
GTEX-WFON-2126-SM-3LK7O 40-49 years, male 2758.5
GTEX-ZDTS-0126-SM-4WAY5 60-69 years, male 2755.2
GTEX-1JMLX-0226-SM-CM2RO 50-59 years, male 2752.5
GTEX-XQ8I-0426-SM-4BOPO 50-59 years, male 2747.1
GTEX-13FXS-0226-SM-5IJCK 50-59 years, male 2746.5
GTEX-11EQ9-2426-SM-5HL5T 30-39 years, male 2742.2
GTEX-145MO-0326-SM-5Q5B3 60-69 years, male 2739.8
GTEX-18QFQ-0126-SM-731BE 30-39 years, male 2730.0
GTEX-111FC-0126-SM-5N9DL 60-69 years, male 2726.0
GTEX-14JG1-0426-SM-6ETZZ 40-49 years, male 2697.6
GTEX-POMQ-2226-SM-2I5FK 20-29 years, female 2692.5
GTEX-ZVT2-2526-SM-51MT1 50-59 years, female 2673.2
GTEX-13PDP-0126-SM-5L3HD 60-69 years, male 2665.3
GTEX-1KANC-1526-SM-D3LAB 50-59 years, female 2642.1
GTEX-1S3DN-2226-SM-EVYCD 50-59 years, male 2632.5
GTEX-Y5LM-1926-SM-5RQJH 40-49 years, female 2630.6
GTEX-ZV6S-2326-SM-4YCEY 40-49 years, female 2629.8
GTEX-1JMPY-1326-SM-ARL8Y 30-39 years, male 2629.3
GTEX-YJ89-0126-SM-4TT3X 60-69 years, male 2624.2
GTEX-1497J-2426-SM-7IGNX 60-69 years, male 2620.3
GTEX-1HFI6-0226-SM-ADEHZ 40-49 years, male 2609.8
GTEX-WVJS-0126-SM-4MVOT 50-59 years, male 2571.9
GTEX-1I4MK-2226-SM-ACKWD 50-59 years, female 2570.9
GTEX-131YS-0126-SM-5KM1M 60-69 years, female 2564.0
GTEX-1IDJH-0326-SM-A9SLQ 70-79 years, male 2558.0
GTEX-1JN1M-0326-SM-CYPT3 60-69 years, female 2556.0
GTEX-1BAJH-0526-SM-793CQ 70-79 years, male 2554.3
GTEX-1R7EU-0226-SM-EVR4G 60-69 years, male 2539.4
GTEX-Y8E4-0626-SM-4WWDL 40-49 years, male 2535.6
GTEX-1CB4I-0226-SM-79OLH 50-59 years, male 2530.1
GTEX-12WSK-2326-SM-5GCOH 40-49 years, female 2526.9
GTEX-1LGOU-2026-SM-DIPFF 20-29 years, female 2520.3
GTEX-146FQ-0126-SM-5NQA9 30-39 years, male 2512.1
GTEX-133LE-1826-SM-5J1MV 20-29 years, female 2496.4
GTEX-13PVR-2326-SM-5QGR1 60-69 years, female 2492.3
GTEX-Y5V6-2426-SM-4VDSB 60-69 years, male 2488.0
GTEX-15F5U-1526-SM-6PANO 40-49 years, male 2484.8
GTEX-ZZ64-1726-SM-5GZYB 20-29 years, male 2479.1
GTEX-WQUQ-0426-SM-3MJFU 60-69 years, male 2477.1
GTEX-16GPK-0126-SM-7DHLE 60-69 years, male 2473.0
GTEX-SUCS-1926-SM-32PM3 70-79 years, male 2468.0
GTEX-13NZB-2526-SM-5J1OM 30-39 years, male 2461.5
GTEX-12126-0326-SM-5PNW3 20-29 years, male 2450.2
GTEX-1KD4Q-0226-SM-E9TJ9 40-49 years, male 2449.7
GTEX-1M4P7-0226-SM-DIPEV 60-69 years, male 2441.6
GTEX-131XE-2326-SM-5PNZ2 50-59 years, male 2434.7
GTEX-OOBJ-0126-SM-E6CJW 60-69 years, male 2431.4
GTEX-12WSJ-1826-SM-5GCNY 40-49 years, female 2430.6
GTEX-1I6K6-0126-SM-A9SLE 30-39 years, male 2424.3
GTEX-13YAN-0326-SM-5O9DF 60-69 years, male 2422.1
GTEX-1M5QR-1226-SM-EWROB 40-49 years, male 2420.3
GTEX-YB5K-2126-SM-4WWDJ 40-49 years, female 2414.5
GTEX-1GN2E-0426-SM-9MQKX 60-69 years, male 2411.8
GTEX-13FHP-0126-SM-5IJBG 50-59 years, male 2404.3
GTEX-18D9B-0526-SM-7LTAS 60-69 years, male 2399.6
GTEX-13D11-2426-SM-5KM1V 50-59 years, female 2386.2
GTEX-YFC4-0126-SM-5CVLY 40-49 years, female 2384.3
GTEX-1EMGI-0126-SM-9KNUE 60-69 years, male 2377.0
GTEX-13IVO-0126-SM-5J1NG 70-79 years, male 2372.9
GTEX-WI4N-1026-SM-3LK7N 40-49 years, female 2359.9
GTEX-NFK9-0226-SM-2HMKQ 40-49 years, male 2357.8
GTEX-OIZG-0726-SM-33HBL 50-59 years, male 2337.5
GTEX-14BIN-0626-SM-793DP 50-59 years, female 2336.1
GTEX-18A6Q-0126-SM-731BZ 60-69 years, male 2336.0
GTEX-13NYS-0126-SM-5MR3W 60-69 years, male 2331.1
GTEX-1B8SF-1426-SM-7DUGL 60-69 years, male 2326.2
GTEX-1GZHY-0326-SM-9QEHI 50-59 years, female 2315.7
GTEX-1H4P4-0726-SM-9YFLR 50-59 years, male 2311.1
GTEX-1192X-0226-SM-5H12D 50-59 years, male 2308.5
GTEX-1HR98-0126-SM-B2LWI 60-69 years, male 2299.7
GTEX-1269C-2526-SM-5EGJ3 60-69 years, female 2299.2
GTEX-1I1GT-0626-SM-CGQER 60-69 years, female 2279.7
GTEX-1HCU8-0626-SM-A9SM9 60-69 years, female 2274.8
GTEX-11P81-2326-SM-59875 30-39 years, female 2270.7
GTEX-1QMI2-0226-SM-EVYBX 60-69 years, male 2264.5
GTEX-1CAMS-0426-SM-7P8T2 40-49 years, female 2259.7
GTEX-1HSKV-0226-SM-A9SKJ 60-69 years, male 2250.7
GTEX-1H1CY-2826-SM-9MQM3 60-69 years, female 2246.6
GTEX-1LG7Z-1726-SM-D3LA4 30-39 years, male 2244.4
GTEX-OHPL-0126-SM-2HMJ7 60-69 years, female 2242.1
GTEX-13OVH-0126-SM-5MR4B 70-79 years, male 2235.5
GTEX-1CAMR-1926-SM-7EPI2 20-29 years, male 2227.8
GTEX-OXRN-0126-SM-48TDM 50-59 years, male 2226.1
GTEX-1OFPY-2426-SM-DTXEJ 60-69 years, male 2221.8
GTEX-131XF-5016-SM-7MGWE 60-69 years, male 2216.5
GTEX-132NY-0326-SM-5IJBL 60-69 years, male 2208.0
GTEX-W5WG-1826-SM-4KL2Y 50-59 years, female 2206.8
GTEX-1J8QM-2126-SM-CYPSJ 60-69 years, female 2204.0
GTEX-1QPFJ-0226-SM-E76PB 30-39 years, female 2203.4
GTEX-1QP66-1726-SM-E8VO1 50-59 years, male 2201.7
GTEX-17F96-1626-SM-7DUFL 70-79 years, male 2195.3
GTEX-1GF9X-2026-SM-7PC3A 40-49 years, female 2194.1
GTEX-1JJEA-0326-SM-CNPOT 60-69 years, male 2189.3
GTEX-X4EP-0126-SM-3P5YV 60-69 years, female 2188.1
GTEX-13OW6-0426-SM-5L3HM 50-59 years, male 2184.7
GTEX-13O21-1426-SM-5K7XI 50-59 years, male 2183.1
GTEX-1KANA-0726-SM-D3L9I 20-29 years, male 2174.9
GTEX-15SHU-0126-SM-7KUEH 40-49 years, female 2164.8
GTEX-1LB8K-0226-SM-EWRNW 50-59 years, male 2162.5
GTEX-1HBPM-0226-SM-ARL9F 60-69 years, female 2161.1
GTEX-14BMV-0126-SM-5S2PO 50-59 years, male 2155.1
GTEX-Y111-0126-SM-4SOIV 50-59 years, male 2152.3
GTEX-1L5NE-2526-SM-E6CIE 50-59 years, male 2145.8
GTEX-1J1OQ-0226-SM-CYPSH 40-49 years, female 2143.4
GTEX-TMZS-0126-SM-3DB9Q 60-69 years, male 2129.9
GTEX-PWO3-1526-SM-48TCM 60-69 years, female 2126.2
GTEX-X8HC-0126-SM-4E3JW 50-59 years, female 2124.0
GTEX-1K2DA-1826-SM-CGQGT 50-59 years, male 2123.1
GTEX-1GPI7-0126-SM-9MQL8 20-29 years, male 2121.6
GTEX-S33H-1026-SM-EZ6L6 30-39 years, male 2121.4
GTEX-1LSNM-1926-SM-E6CII 50-59 years, male 2119.4
GTEX-1CB4F-0426-SM-9KNV4 60-69 years, male 2118.5
GTEX-X261-0126-SM-3NMD6 50-59 years, male 2116.0
GTEX-ZYFD-0126-SM-5GIDL 50-59 years, male 2103.7
GTEX-1QCLY-0326-SM-E8VOG 30-39 years, male 2103.0
GTEX-1K2DU-2326-SM-E9TIV 20-29 years, male 2100.4
GTEX-ZTSS-1926-SM-57WEW 40-49 years, male 2099.1
GTEX-15SB6-1726-SM-6PAME 50-59 years, female 2087.2
GTEX-13O3Q-2426-SM-5IJBR 50-59 years, male 2085.3
GTEX-17EVP-0326-SM-7DHLG 40-49 years, male 2084.7
GTEX-1OJC3-0126-SM-E76QX 20-29 years, male 2083.8
GTEX-139T8-0126-SM-5K7XZ 60-69 years, male 2083.0
GTEX-Y5V5-2326-SM-4V6GA 60-69 years, female 2079.8
GTEX-145MF-0626-SM-5LUAI 50-59 years, male 2076.8
GTEX-1JJ6O-0126-SM-E6CI8 60-69 years, male 2071.3
GTEX-ZYT6-0226-SM-5NQ6T 30-39 years, male 2070.5
GTEX-1HCU9-1526-SM-A9SL7 20-29 years, male 2062.3
GTEX-Z9EW-1626-SM-5CVMN 40-49 years, male 2062.2
GTEX-ZE9C-2726-SM-57WB5 60-69 years, male 2055.4
GTEX-T5JC-0426-SM-32PLO 20-29 years, male 2054.9
GTEX-1JMQL-0226-SM-CNPP5 50-59 years, female 2037.6
GTEX-1S83E-0126-SM-EWRO4 40-49 years, male 2036.7
GTEX-131XH-2226-SM-5DUXJ 50-59 years, male 2033.2
GTEX-14PJM-0226-SM-62LF1 50-59 years, female 2030.9
GTEX-17GQL-2026-SM-718BA 60-69 years, male 2025.4
GTEX-Z93T-0126-SM-5HL5N 50-59 years, male 2025.4
GTEX-14BIM-0226-SM-7IGLD 60-69 years, female 2021.3
GTEX-1EWIQ-0126-SM-7RHH2 70-79 years, female 2021.1
GTEX-XMD2-0126-SM-4YCDU 60-69 years, female 2020.6
GTEX-1GMR8-0126-SM-9WYTM 50-59 years, female 2010.7
GTEX-WY7C-2326-SM-3NB2U 50-59 years, male 2004.1
GTEX-ZC5H-0226-SM-4WAY9 40-49 years, female 2003.0
GTEX-OOBK-0126-SM-2YUND 40-49 years, male 2000.1
GTEX-1E2YA-0126-SM-9KNUC 50-59 years, male 1999.4
GTEX-14PHX-2326-SM-62LEM 50-59 years, male 1998.9
GTEX-OHPM-0126-SM-2YUN9 50-59 years, male 1997.4
GTEX-1F6I4-0126-SM-9MQL2 60-69 years, male 1987.6
GTEX-1HCU7-0226-SM-CL545 50-59 years, male 1987.0
GTEX-13OW5-0126-SM-DTXFS 60-69 years, male 1980.0
GTEX-11DXW-0226-SM-5H122 40-49 years, male 1975.3
GTEX-14E6D-0126-SM-62LDV 50-59 years, male 1970.2
GTEX-1H2FU-0126-SM-9WYSI 60-69 years, female 1958.7
GTEX-13OVL-0226-SM-5L3E9 50-59 years, male 1958.5
GTEX-16BQI-0226-SM-7KUEX 30-39 years, female 1948.1
GTEX-ZDTT-2726-SM-4WKF8 60-69 years, male 1946.3
GTEX-11ZTS-0126-SM-5EQ6M 60-69 years, female 1942.5
GTEX-1GMR3-1926-SM-9KNUZ 40-49 years, male 1941.9
GTEX-1JMQJ-0526-SM-CYPSU 50-59 years, male 1938.0
GTEX-T2IS-0126-SM-4DM6O 20-29 years, female 1937.9
GTEX-ZE7O-0126-SM-57WC1 50-59 years, female 1933.3
GTEX-NPJ8-0126-SM-2YUNR 40-49 years, male 1931.8
GTEX-18A7A-0226-SM-718BH 50-59 years, female 1921.6
GTEX-1H1DG-0126-SM-9WYU2 70-79 years, male 1921.6
GTEX-17F98-0626-SM-79OMX 40-49 years, female 1914.3
GTEX-X4XX-0126-SM-3NMC2 60-69 years, male 1911.8
GTEX-1B8L1-2526-SM-9WYTF 60-69 years, male 1905.6
GTEX-13VXU-0126-SM-5SI9F 50-59 years, male 1894.5
GTEX-SIU8-0126-SM-2XCDT 50-59 years, male 1894.3
GTEX-14BMU-2226-SM-5TDE9 20-29 years, female 1891.1
GTEX-Z93S-0126-SM-5HL7M 50-59 years, male 1890.8
GTEX-1F75B-0126-SM-9KNVL 50-59 years, male 1886.4
GTEX-1313W-0126-SM-5LZUN 50-59 years, female 1885.6
GTEX-1HSGN-0226-SM-CGQFV 40-49 years, female 1885.6
GTEX-ZVZP-2426-SM-59HKJ 50-59 years, male 1883.6
GTEX-1J8JJ-0226-SM-CL53I 60-69 years, female 1873.0
GTEX-13NYB-2526-SM-5K7Z6 40-49 years, male 1872.8
GTEX-WYVS-2126-SM-3NMA3 40-49 years, female 1870.1
GTEX-13O3P-0126-SM-5KM4S 50-59 years, male 1867.5
GTEX-1F52S-0126-SM-9MQJU 60-69 years, female 1867.2
GTEX-RVPV-0126-SM-EAZAW 60-69 years, male 1860.1
GTEX-11EM3-2426-SM-59861 20-29 years, female 1848.0
GTEX-13FTY-0526-SM-5L3EV 40-49 years, female 1847.9
GTEX-145LU-0126-SM-5TDCB 50-59 years, male 1844.8
GTEX-14PJ6-2126-SM-6EU1V 60-69 years, female 1843.6
GTEX-ZAJG-0126-SM-5HL94 50-59 years, female 1838.5
GTEX-ZY6K-1826-SM-5GZXK 50-59 years, male 1836.4
GTEX-O5YT-0126-SM-48TBW 20-29 years, male 1835.3
GTEX-ZDYS-2026-SM-5HL5L 50-59 years, male 1834.9
GTEX-1KAFJ-2026-SM-CY8ID 50-59 years, male 1834.1
GTEX-X4EO-0326-SM-3P5YO 60-69 years, female 1834.0
GTEX-12ZZZ-0626-SM-5DUXI 60-69 years, male 1827.6
GTEX-13112-2826-SM-5DUWH 50-59 years, male 1818.6
GTEX-1GN73-0226-SM-9WG67 60-69 years, male 1817.8
GTEX-12696-2426-SM-5EQ6H 60-69 years, male 1807.0
GTEX-1399T-2826-SM-5KLYZ 60-69 years, male 1806.7
GTEX-XAJ8-0826-SM-47JY6 40-49 years, male 1803.1
GTEX-WH7G-2326-SM-3NMBC 40-49 years, male 1798.1
GTEX-XQ3S-1526-SM-4BOOC 20-29 years, male 1796.1
GTEX-1PPH8-0226-SM-E8VND 20-29 years, male 1794.0
GTEX-11UD1-0126-SM-5PNYG 40-49 years, female 1793.9
GTEX-1HGF4-2426-SM-ACKXM 60-69 years, male 1793.5
GTEX-111VG-2426-SM-5GZXD 60-69 years, male 1792.7
GTEX-1212Z-2526-SM-5EGKP 60-69 years, male 1792.0
GTEX-1CB4E-2226-SM-793DC 60-69 years, male 1788.9
GTEX-1HSEH-0126-SM-ACKXN 60-69 years, male 1786.5
GTEX-1N2DW-0226-SM-E9TK2 50-59 years, male 1786.4
GTEX-12WSA-0226-SM-5BC5V 60-69 years, male 1781.8
GTEX-14DAR-2026-SM-5S2O3 50-59 years, male 1781.8
GTEX-1C6VR-2426-SM-79OLD 60-69 years, male 1778.7
GTEX-13FTX-1826-SM-5J1NX 20-29 years, female 1777.7
GTEX-15CHC-2126-SM-6EU21 60-69 years, female 1777.5
GTEX-1GZ2Q-0226-SM-7P8TL 40-49 years, male 1773.6
GTEX-ZAB4-0226-SM-5N9F5 40-49 years, male 1772.3
GTEX-12584-0126-SM-5EGKQ 40-49 years, male 1771.7
GTEX-1J1R8-1726-SM-ARL8M 40-49 years, male 1771.1
GTEX-13113-5016-SM-7EPIP 60-69 years, female 1769.9
GTEX-1JKYR-0126-SM-CNPOJ 20-29 years, male 1768.0
GTEX-XPVG-2626-SM-4B669 50-59 years, male 1767.0
GTEX-1HT8W-0126-SM-CNPPP 30-39 years, male 1766.6
GTEX-S7SE-0126-SM-2XCD5 50-59 years, male 1759.7
GTEX-144FL-0126-SM-5TDC8 50-59 years, male 1758.6
GTEX-T5JW-1626-SM-3GADZ 20-29 years, female 1755.0
GTEX-1GMRU-0126-SM-9YFLV 50-59 years, male 1754.4
GTEX-ZVT4-0126-SM-DTXFN 50-59 years, female 1750.7
GTEX-14JG6-2226-SM-6EU2G 30-39 years, female 1746.8
GTEX-1RB15-2126-SM-E9TIM 60-69 years, male 1745.3
GTEX-15UF6-0826-SM-6PALJ 70-79 years, female 1744.2
GTEX-U8T8-0126-SM-3DB94 60-69 years, male 1737.8
GTEX-11XUK-2026-SM-5EQLF 40-49 years, female 1731.8
GTEX-18D9U-0226-SM-718BP 40-49 years, male 1727.8
GTEX-1J8EW-0126-SM-CJI4F 60-69 years, female 1725.6
GTEX-11GSP-2526-SM-5N9BP 60-69 years, female 1724.6
GTEX-147F4-0226-SM-5QGPW 50-59 years, male 1724.1
GTEX-1H3VE-0326-SM-9YFLH 40-49 years, male 1722.7
GTEX-XV7Q-2526-SM-4BRV9 40-49 years, female 1722.1
GTEX-ZEX8-2426-SM-4WKG4 50-59 years, male 1719.4
GTEX-1PIGE-0126-SM-EVYBJ 20-29 years, male 1717.6
GTEX-11H98-0126-SM-5EGHG 50-59 years, male 1717.5
GTEX-QV44-1926-SM-2S1RF 50-59 years, male 1716.6
GTEX-ZAB5-1826-SM-5HL7C 50-59 years, male 1716.4
GTEX-183WM-0126-SM-7LTAB 70-79 years, female 1708.8
GTEX-1JN6P-0126-SM-D3L98 60-69 years, male 1704.0
GTEX-17KNJ-2326-SM-7DHLQ 50-59 years, male 1701.5
GTEX-145LT-1726-SM-5QGP3 40-49 years, male 1701.0
GTEX-1HCUA-2426-SM-ADEIS 50-59 years, female 1693.1
GTEX-ZVE2-0226-SM-59HJB 50-59 years, male 1690.7
GTEX-14PN3-2426-SM-6LLHS 60-69 years, female 1689.4
GTEX-16NGA-1726-SM-731B4 40-49 years, female 1687.7
GTEX-12ZZX-0126-SM-5EGK9 40-49 years, female 1687.1
GTEX-11DXX-2426-SM-5GZZW 60-69 years, female 1686.4
GTEX-1314G-1526-SM-5EGK2 30-39 years, male 1675.9
GTEX-PWCY-1826-SM-DHXIZ 20-29 years, female 1671.3
GTEX-1GF9V-0326-SM-7RHI5 60-69 years, male 1670.7
GTEX-Q2AI-1326-SM-2S1PL 40-49 years, male 1666.6
GTEX-1KD5A-0226-SM-D5OV3 50-59 years, male 1665.4
GTEX-ZYFC-0226-SM-5NQ75 50-59 years, male 1664.4
GTEX-1GZ4H-1726-SM-7PBZJ 50-59 years, female 1663.3
GTEX-X585-0226-SM-4QAS2 50-59 years, male 1662.0
GTEX-1KXAM-2226-SM-CYPTC 60-69 years, male 1660.1
GTEX-11GS4-2726-SM-5A5LE 60-69 years, male 1656.8
GTEX-1128S-2326-SM-5GZZY 60-69 years, female 1653.1
GTEX-13X6J-0126-SM-5QGOU 50-59 years, male 1652.7
GTEX-QLQW-1126-SM-2S1Q8 30-39 years, male 1644.9
GTEX-14C5O-0126-SM-5SI6N 60-69 years, male 1639.3
GTEX-11OC5-0126-SM-5HL6A 60-69 years, male 1638.7
GTEX-11UD2-0226-SM-5EQKY 50-59 years, male 1638.2
GTEX-13SLW-0126-SM-5SI6C 70-79 years, male 1637.2
GTEX-1EX96-1626-SM-7PBXR 50-59 years, male 1636.6
GTEX-11P82-1626-SM-59879 20-29 years, male 1635.8
GTEX-145LS-0126-SM-5QGP1 60-69 years, female 1635.3
GTEX-1211K-2026-SM-5EQ4Z 60-69 years, female 1631.3
GTEX-11OF3-2626-SM-5GU7F 60-69 years, male 1623.2
GTEX-YEC4-2126-SM-5IFJH 40-49 years, male 1621.9
GTEX-1C4CL-0526-SM-73KVK 30-39 years, male 1621.2
GTEX-11EI6-0126-SM-5985R 60-69 years, male 1616.2
GTEX-17MF6-0126-SM-7LG4F 40-49 years, male 1615.9
GTEX-1AX9J-0226-SM-73KXM 60-69 years, male 1614.9
GTEX-145LV-2126-SM-5LU8N 50-59 years, male 1611.2
GTEX-SN8G-0126-SM-32PLI 50-59 years, female 1608.3
GTEX-PLZ6-1426-SM-DKPOT 30-39 years, male 1606.8
GTEX-1CB4H-0226-SM-7PBXM 60-69 years, female 1606.5
GTEX-1C64N-0126-SM-793D7 50-59 years, male 1595.9
GTEX-17HHY-0126-SM-7LG5D 50-59 years, male 1587.7
GTEX-RM2N-1426-SM-2TF4H 50-59 years, male 1586.2
GTEX-1KWVE-1426-SM-E9TJO 30-39 years, male 1585.6
GTEX-1QP29-0626-SM-EWRMX 50-59 years, male 1577.1
GTEX-1JMPZ-0226-SM-CNPP1 30-39 years, male 1573.8
GTEX-ZDXO-3026-SM-5J1N5 60-69 years, male 1572.0
GTEX-1CAMQ-0226-SM-7IGPK 40-49 years, male 1571.7
GTEX-QVJO-1626-SM-2S1QW 60-69 years, female 1570.2
GTEX-18A67-0126-SM-7LG5P 50-59 years, male 1569.7
GTEX-1HCU6-0126-SM-CL54K 60-69 years, female 1564.0
GTEX-X4XY-0226-SM-4E3IZ 60-69 years, male 1563.4
GTEX-QEG4-0226-SM-2S1PY 30-39 years, male 1558.2
GTEX-1JMQK-0226-SM-CL543 60-69 years, male 1558.0
GTEX-ZVT3-0126-SM-5GU6I 60-69 years, female 1556.7
GTEX-WZTO-0126-SM-3NM95 40-49 years, male 1550.3
GTEX-1C6VQ-0126-SM-7P8RI 50-59 years, male 1546.2
GTEX-13JUV-2726-SM-5LZZ8 40-49 years, female 1542.3
GTEX-131XW-0426-SM-5LZWP 50-59 years, female 1540.4
GTEX-S95S-1226-SM-4GICG 60-69 years, male 1540.2
GTEX-SE5C-1626-SM-2XCE3 40-49 years, female 1539.9
GTEX-TML8-1926-SM-32QOS 40-49 years, female 1536.3
GTEX-18A7B-0126-SM-7LG64 70-79 years, male 1533.8
GTEX-15DCD-0126-SM-7KUEK 70-79 years, female 1525.6
GTEX-1HBPI-1526-SM-C1YQ1 50-59 years, male 1522.1
GTEX-1AYCT-2426-SM-7IGQ3 50-59 years, male 1519.3
GTEX-ZPIC-1726-SM-DHXIU 40-49 years, female 1518.2
GTEX-131XG-2626-SM-5KM17 50-59 years, female 1514.8
GTEX-1F75A-0126-SM-7RHGM 50-59 years, male 1509.8
GTEX-1HCVE-0126-SM-CGQEU 50-59 years, male 1507.1
GTEX-1IGQW-0126-SM-COH42 60-69 years, male 1506.7
GTEX-14PJ3-1826-SM-62LEX 50-59 years, male 1499.9
GTEX-1HBPN-0226-SM-9YFM1 50-59 years, male 1496.1
GTEX-117YW-2626-SM-5GZZH 50-59 years, male 1493.3
GTEX-XBED-2226-SM-47JYQ 60-69 years, male 1493.2
GTEX-16MT8-0426-SM-7KUEY 60-69 years, female 1493.0
GTEX-1B933-0126-SM-7PC29 50-59 years, female 1484.3
GTEX-ZZPT-0226-SM-5E43X 50-59 years, male 1475.7
GTEX-XXEK-2226-SM-4BRUM 50-59 years, male 1475.1
GTEX-1B8KE-2126-SM-73KYX 50-59 years, male 1470.6
GTEX-13OVJ-0126-SM-5KM36 50-59 years, female 1467.6
GTEX-1QP2A-0126-SM-E9J43 50-59 years, male 1464.9
GTEX-11TTK-0126-SM-5987B 60-69 years, female 1463.6
GTEX-12KS4-0326-SM-5EQ41 30-39 years, male 1458.8
GTEX-11TT1-2526-SM-5EGIB 20-29 years, male 1457.1
GTEX-11P7K-2126-SM-5GU7G 30-39 years, male 1452.8
GTEX-16AAH-1726-SM-7939C 50-59 years, male 1451.3
GTEX-117YX-2326-SM-5H12W 50-59 years, male 1450.4
GTEX-ZQG8-1626-SM-DHXIT 60-69 years, female 1449.9
GTEX-1LH75-2426-SM-E9TJE 50-59 years, female 1446.4
GTEX-17F97-0326-SM-7LG5B 50-59 years, male 1444.8
GTEX-1EKGG-0226-SM-9WYTH 60-69 years, male 1444.8
GTEX-16NPX-0226-SM-79OMT 50-59 years, male 1443.9
GTEX-VUSG-2526-SM-4KL1V 50-59 years, male 1441.5
GTEX-13VXT-0126-SM-5LU4I 20-29 years, female 1439.5
GTEX-14A5H-0426-SM-5QGQF 60-69 years, male 1439.2
GTEX-1RQEC-0426-SM-E6CHU 60-69 years, male 1438.4
GTEX-1R7EV-2426-SM-EVYBG 40-49 years, male 1436.1
GTEX-13SLX-0526-SM-5S2ON 50-59 years, female 1433.7
GTEX-S7PM-0126-SM-4AD6S 60-69 years, male 1432.6
GTEX-1IDFM-0126-SM-COH2V 60-69 years, male 1431.6
GTEX-12WSE-0526-SM-793B2 20-29 years, male 1428.7
GTEX-12WSC-0126-SM-5EQ4P 50-59 years, male 1423.1
GTEX-13N11-2526-SM-5K7UE 50-59 years, female 1421.5
GTEX-RWS6-2026-SM-2XCB5 60-69 years, female 1420.2
GTEX-148VJ-0126-SM-5TDDN 70-79 years, male 1419.0
GTEX-ZTPG-0326-SM-5O9AX 20-29 years, female 1418.5
GTEX-183FY-0126-SM-7LT9P 20-29 years, male 1416.2
GTEX-15SDE-2226-SM-7IGLO 50-59 years, female 1415.0
GTEX-QESD-1426-SM-2S1R9 20-29 years, male 1414.4
GTEX-12ZZY-0226-SM-5LZVE 60-69 years, male 1413.9
GTEX-1ICG6-2526-SM-CGQFZ 70-79 years, female 1413.4
GTEX-1R46S-0626-SM-E9J41 60-69 years, female 1412.6
GTEX-1RAZA-0126-SM-E6CI3 20-29 years, male 1412.0
GTEX-1RDX4-0126-SM-E9J4P 50-59 years, female 1411.3
GTEX-ZVZO-0126-SM-5A5L9 40-49 years, male 1410.5
GTEX-1A32A-0126-SM-718B1 50-59 years, female 1409.4
GTEX-13X6H-2126-SM-7EWD5 50-59 years, female 1407.0
GTEX-147F3-0526-SM-5SI98 50-59 years, female 1391.9
GTEX-1H3O1-0426-SM-9YFKY 60-69 years, male 1389.6
GTEX-11ZVC-2526-SM-5FQTE 50-59 years, female 1388.4
GTEX-139TU-0126-SM-5K7WH 60-69 years, male 1387.5
GTEX-1F6IF-0726-SM-7P8TW 60-69 years, male 1384.9
GTEX-SJXC-0126-SM-2XCFF 60-69 years, male 1384.2
GTEX-RNOR-0126-SM-E9J4R 50-59 years, female 1382.8
GTEX-ZXG5-0126-SM-5GIEU 60-69 years, male 1380.2
GTEX-1IDJU-2626-SM-CM2RT 60-69 years, female 1378.6
GTEX-U8XE-0326-SM-3DB8P 30-39 years, male 1378.1
GTEX-1B97I-1626-SM-73KYO 40-49 years, male 1377.0
GTEX-1MGNQ-0126-SM-EVYCJ 40-49 years, male 1376.9
GTEX-12WSD-0126-SM-59HKN 60-69 years, female 1374.9
GTEX-1GN1U-0126-SM-7PBZK 50-59 years, female 1372.0
GTEX-11O72-0126-SM-59887 40-49 years, male 1367.0
GTEX-QDVJ-1726-SM-2I5FX 50-59 years, male 1365.9
GTEX-14PN4-0126-SM-6EU2V 50-59 years, male 1364.2
GTEX-13RTK-1426-SM-5QGQJ 20-29 years, male 1363.8
GTEX-1MCYP-1926-SM-E9J2R 20-29 years, female 1362.9
GTEX-14LLW-0126-SM-6LLIO 70-79 years, female 1362.6
GTEX-12C56-1726-SM-5EQ61 20-29 years, male 1360.1
GTEX-1IKJJ-0126-SM-CNPQB 60-69 years, male 1359.2
GTEX-13N1W-0126-SM-5K7VT 70-79 years, male 1359.1
GTEX-147GR-0526-SM-5S2MY 60-69 years, male 1357.7
GTEX-RU72-0926-SM-2TF6B 50-59 years, female 1354.6
GTEX-1LC47-0326-SM-E9TJP 60-69 years, male 1353.3
GTEX-VJWN-0126-SM-3GIK7 50-59 years, female 1349.7
GTEX-XUW1-0426-SM-4BOOT 50-59 years, female 1348.5
GTEX-14ABY-0226-SM-5TDCQ 50-59 years, male 1347.0
GTEX-U3ZN-2326-SM-3DB7W 30-39 years, female 1342.1
GTEX-1HB9E-0226-SM-E9U4R 50-59 years, male 1341.7
GTEX-1S82Y-2026-SM-EVYCM 40-49 years, male 1340.3
GTEX-P4PQ-0126-SM-2S1NM 60-69 years, male 1338.2
GTEX-1I19N-0326-SM-ACKVX 70-79 years, male 1334.9
GTEX-1MUQO-0126-SM-EAZ58 60-69 years, male 1333.3
GTEX-13W46-0226-SM-5SIAG 50-59 years, male 1330.7
GTEX-11GSO-2426-SM-5A5LY 60-69 years, male 1329.6
GTEX-1AX9I-0126-SM-7SB74 60-69 years, male 1322.8
GTEX-1I1GQ-0126-SM-COH3H 50-59 years, male 1322.7
GTEX-16YQH-0126-SM-7DUFJ 30-39 years, male 1319.4
GTEX-T8EM-1026-SM-3DB7M 40-49 years, male 1303.5
GTEX-11NUK-0126-SM-5A5L3 50-59 years, male 1301.4
GTEX-1PPH7-2326-SM-EVYB8 40-49 years, male 1301.0
GTEX-1LG7Y-0526-SM-DKPQC 50-59 years, male 1300.0
GTEX-13X6I-0626-SM-5QGP9 60-69 years, male 1298.8
GTEX-1HFI7-1826-SM-ACKXH 50-59 years, female 1298.4
GTEX-1GL5R-1826-SM-9KNUY 50-59 years, male 1293.7
GTEX-TMMY-0226-SM-33HBA 40-49 years, female 1290.2
GTEX-1QAET-0926-SM-E76QM 50-59 years, male 1289.3
GTEX-PLZ4-0126-SM-5SI8O 50-59 years, female 1288.1
GTEX-13RTJ-2426-SM-5S2Q2 60-69 years, male 1285.5
GTEX-11LCK-1026-SM-5A5KB 30-39 years, male 1283.7
GTEX-13S7M-0126-SM-5SI6A 60-69 years, female 1283.3
GTEX-1I1GP-2226-SM-CGQFK 50-59 years, male 1280.8
GTEX-1MCQQ-0826-SM-DLHC2 60-69 years, male 1278.0
GTEX-11DXY-2626-SM-5GIE7 60-69 years, male 1277.5
GTEX-1HSMQ-1226-SM-CGQFX 50-59 years, male 1276.3
GTEX-1IDJF-0126-SM-CM2RS 20-29 years, male 1275.6
GTEX-X5EB-2226-SM-46MW4 40-49 years, male 1270.9
GTEX-18465-0126-SM-731BN 50-59 years, male 1269.8
GTEX-1B8KZ-2026-SM-7DHMB 50-59 years, male 1264.0
GTEX-ZQUD-1426-SM-57WER 30-39 years, male 1262.3
GTEX-1IL2U-0226-SM-CE6T8 60-69 years, male 1262.0
GTEX-1N2EF-0226-SM-EYYXB 60-69 years, male 1260.5
GTEX-113JC-2326-SM-5EQ4E 50-59 years, female 1253.0
GTEX-13NZA-0226-SM-5K7Z7 60-69 years, male 1250.2
GTEX-14A5I-0126-SM-5TDEA 50-59 years, female 1248.4
GTEX-145ME-1826-SM-5SI9G 40-49 years, female 1245.9
GTEX-1J8Q2-0526-SM-CM2RW 60-69 years, male 1243.0
GTEX-1I1GR-0126-SM-CL55F 60-69 years, male 1241.0
GTEX-1KANB-0526-SM-E6CJH 50-59 years, male 1229.4
GTEX-Y8LW-1826-SM-5S2MV 50-59 years, female 1229.2
GTEX-Q734-1926-SM-2I5EV 40-49 years, female 1228.9
GTEX-RN64-0126-SM-2TC68 50-59 years, male 1224.3
GTEX-1JKYN-1326-SM-CGQG9 30-39 years, male 1223.6
GTEX-1C64O-0126-SM-7SB8P 60-69 years, male 1222.8
GTEX-OXRP-0126-SM-3NB32 60-69 years, female 1222.4
GTEX-17EUY-0426-SM-793BD 20-29 years, male 1219.8
GTEX-1S5ZA-0126-SM-EVYCV 20-29 years, male 1215.0
GTEX-17MFQ-1726-SM-793C7 20-29 years, male 1211.2
GTEX-OIZF-0126-SM-7SB8I 60-69 years, male 1208.8
GTEX-TSE9-0126-SM-3DB83 60-69 years, female 1207.6
GTEX-1GF9W-0326-SM-9KNUN 60-69 years, male 1202.8
GTEX-X62O-0126-SM-4E3JN 50-59 years, male 1202.7
GTEX-Q2AG-0126-SM-33HBV 40-49 years, female 1202.5
GTEX-SNMC-1226-SM-2XCFP 20-29 years, male 1202.1
GTEX-1ICLY-0126-SM-D4P36 50-59 years, male 1193.7
GTEX-1E1VI-0126-SM-7DHMZ 50-59 years, male 1189.8
GTEX-1I1GS-0126-SM-B2LVW 60-69 years, male 1189.0
GTEX-11VI4-1726-SM-5CVLH 40-49 years, female 1184.8
GTEX-18A66-0226-SM-718BD 60-69 years, male 1182.3
GTEX-ZF28-0126-SM-4WKGK 60-69 years, male 1181.7
GTEX-1C6VS-0526-SM-7DUEN 60-69 years, male 1180.7
GTEX-1IKOH-0226-SM-COH4E 60-69 years, female 1180.6
GTEX-1JK1U-2026-SM-CM2RZ 60-69 years, male 1179.1
GTEX-1GF9U-2126-SM-7SB7L 40-49 years, female 1175.0
GTEX-PVOW-0126-SM-2XCFA 40-49 years, male 1174.5
GTEX-145MI-0526-SM-5O9A8 60-69 years, female 1167.0
GTEX-1H3NZ-0126-SM-ACKX7 60-69 years, male 1166.2
GTEX-17HG3-2226-SM-7938L 30-39 years, female 1164.5
GTEX-1CB4G-0226-SM-7PC3O 60-69 years, male 1163.8
GTEX-11WQC-2526-SM-5CVLE 60-69 years, male 1163.6
GTEX-Y3I4-2126-SM-4TT7C 50-59 years, male 1160.8
GTEX-U3ZM-1526-SM-3DB9D 40-49 years, male 1160.7
GTEX-WXYG-2326-SM-4E3I6 50-59 years, female 1159.8
GTEX-11DZ1-0126-SM-5985Q 50-59 years, male 1159.5
GTEX-ZF29-2326-SM-DO92K 60-69 years, female 1157.6
GTEX-U3ZH-2026-SM-3DB78 30-39 years, male 1156.6
GTEX-13OVI-1426-SM-5L3EY 60-69 years, female 1155.5
GTEX-1HKZK-0326-SM-9WYUH 40-49 years, male 1153.5
GTEX-1R9K4-0126-SM-DTX9X 60-69 years, male 1150.3
GTEX-XUYS-0126-SM-47JWZ 50-59 years, male 1146.4
GTEX-1C475-1826-SM-73KWA 40-49 years, female 1145.5
GTEX-1A8FM-0226-SM-7SB7Q 50-59 years, female 1142.9
GTEX-1MA7X-2226-SM-E6CIY 60-69 years, male 1142.6
GTEX-1192W-2626-SM-5Q5AF 60-69 years, male 1139.0
GTEX-YJ8A-0426-SM-5IFID 20-29 years, male 1137.9
GTEX-13OW8-1326-SM-5J1OW 60-69 years, male 1137.1
GTEX-1O97I-0326-SM-EYYX7 60-69 years, male 1133.6
GTEX-1C2JI-1826-SM-73KXC 50-59 years, male 1130.5
GTEX-1A3MX-0126-SM-731BR 60-69 years, male 1127.8
GTEX-144GL-0126-SM-5TDE2 50-59 years, male 1127.2
GTEX-PLZ5-2026-SM-2S1O4 50-59 years, male 1123.3
GTEX-14DAQ-0126-SM-5S2MQ 60-69 years, female 1122.6
GTEX-1IL2V-0126-SM-CM2TX 70-79 years, male 1121.8
GTEX-15DYW-0126-SM-7KULE 60-69 years, female 1121.1
GTEX-ZU9S-0226-SM-5E441 30-39 years, male 1120.8
GTEX-17EVQ-0226-SM-7LG4P 70-79 years, male 1120.6
GTEX-1JJE9-0326-SM-CL53Z 70-79 years, male 1119.8
GTEX-148VI-1626-SM-5SI6E 60-69 years, female 1118.5
GTEX-15EU6-0426-SM-6PAN5 50-59 years, male 1116.3
GTEX-R45C-0126-SM-EAZ2R 60-69 years, female 1115.1
GTEX-1JN76-0126-SM-CNPPE 20-29 years, female 1111.5
GTEX-VJYA-1126-SM-3GIJU 60-69 years, male 1109.5
GTEX-1HSMO-0126-SM-CL547 60-69 years, male 1107.0
GTEX-13QJ3-0326-SM-5S2RA 50-59 years, male 1105.0
GTEX-R55G-2526-SM-2TC6D 40-49 years, female 1098.9
GTEX-169BO-1326-SM-9MQK2 50-59 years, male 1097.4
GTEX-144GN-2326-SM-5LU4F 50-59 years, male 1096.4
GTEX-1QEPI-0126-SM-EWRMQ 60-69 years, female 1092.9
GTEX-13O1R-0126-SM-5L3EH 60-69 years, male 1083.9
GTEX-RWSA-0126-SM-2XCBB 40-49 years, male 1079.5
GTEX-1ICLZ-0126-SM-CKZPO 60-69 years, male 1079.3
GTEX-1GN1V-0126-SM-9WPOS 60-69 years, male 1078.2
GTEX-139TT-0126-SM-5K7Y5 60-69 years, male 1077.4
GTEX-QDT8-0126-SM-48TZ1 30-39 years, female 1073.2
GTEX-V1D1-2226-SM-3NMAX 50-59 years, male 1072.1
GTEX-11ZTT-2426-SM-5EQLS 60-69 years, female 1071.0
GTEX-139T4-0226-SM-5HL5S 50-59 years, female 1068.3
GTEX-WRHK-1426-SM-3MJF9 20-29 years, female 1068.3
GTEX-1H3VY-0126-SM-ACKXD 50-59 years, male 1067.8
GTEX-13RTL-0126-SM-7LG5S 40-49 years, male 1062.3
GTEX-1EU9M-0226-SM-7P8SP 60-69 years, male 1062.3
GTEX-12WSL-2526-SM-5GCNJ 50-59 years, male 1057.2
GTEX-1F7RK-0126-SM-7PC2S 20-29 years, female 1055.3
GTEX-13U4I-0126-SM-5LU38 40-49 years, female 1054.8
GTEX-13W3W-2426-SM-5LU5B 60-69 years, female 1048.9
GTEX-1IY9M-0126-SM-D3L8S 60-69 years, male 1048.4
GTEX-1C6WA-0126-SM-7PC2B 60-69 years, male 1045.1
GTEX-1H1E6-1726-SM-ACKVK 30-39 years, male 1035.8
GTEX-15DDE-0126-SM-6LPKH 50-59 years, female 1035.7
GTEX-UPJH-0326-SM-3GADU 50-59 years, male 1009.6
GTEX-1I1CD-0126-SM-CM2TK 60-69 years, female 1009.5
GTEX-15G19-0126-SM-6PANQ 60-69 years, male 1006.6
GTEX-12WSG-2826-SM-E9J4H 50-59 years, female 1005.9
GTEX-13O3O-0126-SM-E9J49 60-69 years, female 1005.2
GTEX-13OW7-0126-SM-5MR3B 50-59 years, male 1004.6
GTEX-PW2O-1526-SM-7RHHB 20-29 years, male 1002.9
GTEX-1B996-0226-SM-7RHGO 60-69 years, male 1000.5
GTEX-16XZZ-0126-SM-793DV 60-69 years, male 998.2
GTEX-1AMFI-2026-SM-731BH 50-59 years, female 998.0
GTEX-1POEN-0126-SM-EYYXJ 30-39 years, female 997.2
GTEX-1LNCM-1126-SM-E9U5E 50-59 years, female 994.6
GTEX-1N2DV-0226-SM-E6CJ6 40-49 years, male 990.0
GTEX-ZYW4-0126-SM-5E44A 60-69 years, male 982.9
GTEX-R3RS-0126-SM-3GIJL 40-49 years, female 976.0
GTEX-T6MO-1626-SM-32QOM 40-49 years, female 968.3
GTEX-1HSMP-0126-SM-E6CJS 70-79 years, male 966.7
GTEX-WOFL-0126-SM-3MJG2 60-69 years, male 955.3
GTEX-1F88F-2726-SM-7PBZZ 60-69 years, female 953.2
GTEX-OXRO-0126-SM-2YUN4 60-69 years, female 953.0
GTEX-1GTWX-0126-SM-9YFLK 60-69 years, male 948.3
GTEX-ZYY3-0126-SM-5GZY5 60-69 years, female 945.0
GTEX-S32W-2126-SM-2XCB1 50-59 years, female 939.1
GTEX-1K9T9-0126-SM-EVYCF 50-59 years, female 937.3
GTEX-17HGU-0226-SM-7DHKV 50-59 years, male 925.3
GTEX-1IE54-0126-SM-CMKHW 40-49 years, female 923.6
GTEX-QCQG-1726-SM-3GIJ9 50-59 years, female 917.4
GTEX-1A3MV-1926-SM-718BT 30-39 years, male 914.2
GTEX-13CF3-2426-SM-5IFGX 60-69 years, female 913.3
GTEX-11EMC-2926-SM-5EQ4F 60-69 years, female 912.5
GTEX-13OVG-1926-SM-5L3DK 60-69 years, male 910.3
GTEX-WFG8-2226-SM-3GIL9 20-29 years, male 904.4
GTEX-1AYD5-2426-SM-73KXR 50-59 years, male 900.5
GTEX-13NYC-0326-SM-E9J4S 60-69 years, male 897.9
GTEX-1AX9K-2326-SM-73KWU 50-59 years, male 888.6
GTEX-11ZU8-2526-SM-5EQKI 60-69 years, male 887.0
GTEX-15D1Q-0126-SM-7KUG6 40-49 years, male 885.1
GTEX-W5X1-3026-SM-EAZAX 40-49 years, female 883.2
GTEX-13FHO-0226-SM-5IFGY 60-69 years, male 881.5
GTEX-X638-0126-SM-47JZ8 70-79 years, female 878.3
GTEX-1PWST-0226-SM-E76QJ 70-79 years, male 873.5
GTEX-R55E-0126-SM-2TC5Y 20-29 years, male 869.1
GTEX-1S82Z-0826-SM-E6CHY 30-39 years, female 868.3
GTEX-ZUA1-0126-SM-5GU76 40-49 years, male 862.3
GTEX-1PBJI-0526-SM-E8VNK 20-29 years, female 861.7
GTEX-13FH7-2026-SM-E9J4I 50-59 years, female 852.2
GTEX-1GN1W-0526-SM-9MQJQ 50-59 years, female 847.3
GTEX-1H23P-0126-SM-ADEJ3 60-69 years, male 847.0
GTEX-QLQ7-1626-SM-2S1R8 60-69 years, male 845.7
GTEX-1F5PK-2426-SM-7RHHY 50-59 years, male 842.6
GTEX-1NHNU-1026-SM-E9J2A 50-59 years, male 838.2
GTEX-1J8Q3-1626-SM-CMKGC 60-69 years, male 833.3
GTEX-17HHE-2026-SM-79OKF 50-59 years, male 832.1
GTEX-17HII-0226-SM-7LG4E 50-59 years, male 829.3
GTEX-QDVN-2026-SM-3GAEP 50-59 years, male 828.8
GTEX-14A6H-0126-SM-5QGPK 30-39 years, male 824.3
GTEX-1GPI6-0126-SM-9WG69 60-69 years, male 814.7
GTEX-11TUW-2726-SM-E9J4M 60-69 years, male 810.3
GTEX-1I1HK-0126-SM-COH49 60-69 years, male 800.4
GTEX-15SHW-0326-SM-6PAML 60-69 years, male 785.3
GTEX-OXRL-0126-SM-2YUMP 50-59 years, male 785.1
GTEX-1H1ZS-0426-SM-9WG6G 70-79 years, male 780.1
GTEX-14E6E-1826-SM-5S2R7 30-39 years, male 772.2
GTEX-1EN7A-0126-SM-7SB81 40-49 years, male 771.9
GTEX-1AX8Z-0126-SM-7DHM6 60-69 years, male 769.3
GTEX-1JMOU-1526-SM-CL54I 60-69 years, female 756.3
GTEX-14PHW-0126-SM-6LLJI 60-69 years, female 752.1
GTEX-1RLM8-2326-SM-EWRN4 50-59 years, male 752.0
GTEX-15UKP-0426-SM-7KUFQ 20-29 years, male 749.3
GTEX-RUSQ-1526-SM-2TF62 50-59 years, male 738.6
GTEX-1F48J-0126-SM-7P8TT 50-59 years, female 726.3
GTEX-SSA3-0126-SM-32QPU 60-69 years, male 717.8
GTEX-14XAO-2326-SM-6EU1B 60-69 years, female 686.4
GTEX-1H1DE-2126-SM-9WG6R 20-29 years, male 684.6
GTEX-113IC-0126-SM-5HL6T 60-69 years, male 684.3
GTEX-1AMEY-1326-SM-73KYK 30-39 years, female 676.8
GTEX-12WSN-5019-SM-79OM6 40-49 years, male 674.5
GTEX-1CB4J-0626-SM-7DHMP 60-69 years, male 665.6
GTEX-1HBPH-0426-SM-B2LW5 40-49 years, female 657.4
GTEX-14E7W-0126-SM-6LLJ9 70-79 years, male 653.6
GTEX-1B8SG-0126-SM-73KZ3 50-59 years, male 652.8
GTEX-P44H-0226-SM-2XCEU 40-49 years, male 622.5
GTEX-16XZY-2126-SM-79OK1 70-79 years, male 613.2
GTEX-1HUB1-0426-SM-E9U4U 60-69 years, male 605.2
GTEX-1A3MW-0126-SM-73KXX 60-69 years, female 604.7
GTEX-11ZUS-0626-SM-59885 30-39 years, male 593.8
GTEX-14JIY-0126-SM-6LLH6 60-69 years, male 587.2
GTEX-146FH-0126-SM-5QGPP 50-59 years, female 572.7
GTEX-1RAZQ-0726-SM-EAZ43 30-39 years, male 549.9
GTEX-14BIL-0126-SM-5SI92 50-59 years, male 544.9
GTEX-1OJC4-0126-SM-E9J2E 50-59 years, female 523.6
GTEX-1F75I-0326-SM-9YFLU 40-49 years, male 485.1
GTEX-U4B1-1826-SM-4DXSU 40-49 years, male 468.6
GTEX-146FR-1326-SM-E9J48 60-69 years, female 465.3
GTEX-1QP67-1626-SM-EAZ3X 40-49 years, female 453.4
GTEX-Q2AH-1626-SM-3GAF8 40-49 years, male 429.4
GTEX-1QW4Y-1526-SM-EAZ3Z 30-39 years, male 366.4
GTEX-1I1GU-2226-SM-CGQFA 40-49 years, male 357.2
GTEX-1R9PO-2126-SM-E9J4O 60-69 years, female 334.4
Show allShow less

Contact

  • NEWS ARTICLES
  • PRESS ROOM

The Project

  • INTRODUCTION
  • ORGANIZATION
  • PUBLICATIONS

The Human Protein Atlas

  • DOWNLOADABLE DATA
  • LICENCE & CITATION
  • HELP & FAQ
The Human Protein Atlas project is funded
by the Knut & Alice Wallenberg Foundation.


contact@proteinatlas.org