We use cookies to enhance the usability of our website. If you continue, we'll assume that you are happy to receive all cookies. More information. Don't show this again.
PFN1
HPA
RESOURCES
  • TISSUE
  • BRAIN
  • SINGLE CELL
  • SUBCELLULAR
  • CANCER
  • BLOOD
  • CELL LINE
  • STRUCTURE & INTERACTION
ABOUT
  • INTRODUCTION
  • HISTORY
  • ORGANIZATION
  • PUBLICATIONS
  • ANTIBODY SUBMISSION
  • ANTIBODY AVAILABILITY
  • ACKNOWLEDGMENTS
  • CONTACT
NEWS
  • NEWS ARTICLES
  • PRESS ROOM
LEARN
  • DICTIONARY
  • PROTEIN CLASSES
  • PROTEIN EVIDENCE
  • METHODS
  • EDUCATIONAL VIDEOS
DATA
  • DOWNLOADABLE DATA
  • PUBLICATION DATA
  • RELEASE HISTORY
HELP
  • ANTIBODY VALIDATION
  • ASSAYS & ANNOTATION
  • DISCLAIMER
  • HELP & FAQ
  • PRIVACY STATEMENT
  • LICENCE & CITATION
Fields »
Search result

Field
Term
Gene name
Class
Subclass
Class
Keyword
Chromosome
External id
Tissue
Cell type
Expression
Antibody panel
Tissue
Main location
Patient ID
Annotation
Tissue
Category
Tau score
Cluster
Reliability
Brain region
Category
Tau score
Brain region
Category
Tau score
Brain region
Category
Tau score
Cluster
Reliability
Tissue
Cell type
Enrichment
Cell type
Category
Tau score
Cell type
Category
Tau score
Cell type
Category
Tau score
Cell lineage
Category
Tau score
Cluster
Cluster
Location
Searches
Location
Cell line
Class
Type
Phase
Reliability
Cancer
Prognosis
Cancer
Category
Cancer
Category
Tau score
Cluster
Variants
Interacting gene (ensg_id)
Type
Number of interactions
Pathway
Category
Score
Score
Score
Validation
Validation
Validation
Validation
Antibodies
Data type
Column


  • SUMMARY

  • TISSUE

  • BRAIN

  • SINGLE CELL

  • SUBCELL

  • CANCER

  • BLOOD

  • CELL LINE

  • STRUCT & INT

  • PFN1
TISSUE PRIMARY DATA BREAST Show tissue menu
ADIPOSE TISSUE ADRENAL GLAND AMYGDALA APPENDIX BASAL GANGLIA BONE MARROW BREAST BRONCHUS CEREBELLUM CEREBRAL CORTEX CERVIX CHOROID PLEXUS COLON DUODENUM
ENDOMETRIUM EPIDIDYMIS ESOPHAGUS FALLOPIAN TUBE GALLBLADDER HEART MUSCLE HIPPOCAMPAL FORMATION HYPOTHALAMUS KIDNEY LIVER LUNG LYMPH NODE MIDBRAIN NASOPHARYNX
ORAL MUCOSA OVARY PANCREAS PARATHYROID GLAND PITUITARY GLAND PLACENTA PROSTATE RECTUM RETINA SALIVARY GLAND SEMINAL VESICLE SKELETAL MUSCLE SKIN SMALL INTESTINE
SMOOTH MUSCLE SOFT TISSUE SPINAL CORD SPLEEN STOMACH TESTIS THYMUS THYROID GLAND TONGUE TONSIL URINARY BLADDER VAGINA
ANTIBODIES
AND
VALIDATION
Dictionary
Breast
Tissue proteome
Breast
BREAST - Expression summary
Protein expression
Breasti

On the top, protein expression in current human tissue, based on all annotated cell types, is reported with the units not detected (n), low (l), medium (m) and high (h). Underneath, protein expression in each annotated cell type are reported using the same units.

Protein expression data is based on knowledge-based annotation. For genes where more than one antibody has been used, a collective score is set.

If knowledge-based annotation could not be performed for a gene, no data is displayed here. View antibody staining data further down this page.

h
m
l
n
Adipocytes: Medium
Glandular cells: Medium
Myoepithelial cells: Medium
RNA expressioni

A summary of mRNA expression data available for current tissue based on several datasets. The mRNA expression levels in human tissues are based on RNA-seq data generated by the Human Protein Atlas (HPA), Genotype-Tissue Expression (GTEx) portal and CAGE data generated by the FANTOM5 consortium. Consensus normalized expression levels for human tissues was created by combining the data from HPA and GTEx datasets.

The mRNA expression levels in pig are based on RNA-seq data generated by the Human Protein Atlas (HPA), and for mouse, HPA data and in situ hybridization generated by the Allen brain atlas are reported.

Scroll down to view mRNA expression data in more detail.
Consensus:384.1 nTPM
HPA:304.8 nTPM
GTEx:384.1 nTPM
FANTOM5:637.5 Scaled Tags Per Million

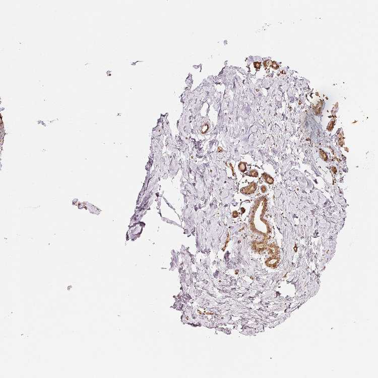
BREAST - Antibody stainingi

Antibody staining in the annotated cell types in the current human tissue is reported as not detected, low, medium, or high, based on conventional immunohistochemistry profiling in selected tissues. This score is based on the combination of the staining intensity and fraction of stained cells.

Each image is clickable and will lead to virtual microscopy that enables deeper exploration of all samples and also displays staining intensity scores, fraction scores and subcellular localization as well as patient and tissue information for each sample.

Antibody CAB037134Antibody CAB037140
Adipocytes MediumNot detected
Glandular cells MediumMedium
Myoepithelial cells MediumLow




BREAST - HPA RNA-seqi

The RNA-seq details section shows detailed information about the individual samples used for the transcript profiling and results of the RNA-seq analysis.

Information about each individual sample is listed below, including gender, age, a tissue section image and estimated fractions of cell types. nTPM (normalized transcripts per million) values give a quantification of the gene abundance which is comparable between different genes and samples.
Average nTPMi

Max subtype nTPM is the value for the subtype with the largest average nTPM across the subtype samples.

304.8
overview
Female, age 52
Breast sample 373
nTPM: 322.7
Cell types%
Glandular cells:
15

Adipocytes:
5

Other cell types:
80

overview
Female, age 80
Breast sample 390
nTPM: 344
Cell types%
Glandular cells:
5

Adipocytes:
15

Other cell types:
80

overview
Female, age 47
Breast sample 405
nTPM: 305.2
Cell types%
Glandular cells:
5

Adipocytes:
5

Other cell types:
90

overview
Female, age 38
Breast sample 410
nTPM: 247.3
Cell types%
Glandular cells:
40

Adipocytes:
5

Other cell types:
55


BREAST - GTEx RNA-seqi

RNA-Seq data generated by the Genotype-Tissue Expression (GTEx) project from human tissues is reported as mean nTPM. More information can be found on the GTEx portal.

Distribution across the dataset is visualized with box plots, shown as median and 25th and 75th percentiles. Points are displayed as outliers if they are above or below 1.5 times the interquartile range. nTPM values of the individual samples are presented next to the box plot.
Max subtype nTPMi

Max subtype nTPM is the value for the subtype with the largest average nTPM across the subtype samples.

384.1
GTEx sample id Sample description nTPM
Breast - Mammary Tissue
Average nTPM: 384.1
Samples: 459

Max nTPM: 1080.8
Min nTPM: 158.7
Std nTPM: 146.0
Median nTPM: 346.7
GTEX-11P82-1326-SM-5HL62 20-29 years, male 1080.8
GTEX-13S86-1226-SM-5S2OA 40-49 years, male 992.0
GTEX-13QJ3-0826-SM-7DHKK 50-59 years, male 943.8
GTEX-1JN1M-3026-SM-CMKGK 60-69 years, female 920.4
GTEX-1N2EF-2226-SM-E9J33 60-69 years, male 847.6
GTEX-1R7EV-1526-SM-E8VOD 40-49 years, male 835.8
GTEX-REY6-2426-SM-48FF5 60-69 years, male 800.9
GTEX-S32W-2026-SM-4AD6E 50-59 years, female 778.8
GTEX-U8XE-0826-SM-4E3J1 30-39 years, male 777.5
GTEX-11TT1-2126-SM-5GU5Y 20-29 years, male 762.8
GTEX-11DZ1-0326-SM-5N9BN 50-59 years, male 749.9
GTEX-1HSMO-0826-SM-ADEIV 60-69 years, male 749.8
GTEX-ZT9W-2026-SM-51MRA 50-59 years, male 726.9
GTEX-14PJO-0726-SM-69LO8 60-69 years, male 721.3
GTEX-1MJK3-1126-SM-E9J3F 20-29 years, male 708.4
GTEX-1GF9U-1726-SM-7MGY5 40-49 years, female 703.3
GTEX-14PJ4-2126-SM-6ETZJ 60-69 years, male 702.7
GTEX-11WQK-2426-SM-5GU5C 50-59 years, male 699.4
GTEX-132AR-0826-SM-5EGK6 50-59 years, female 698.8
GTEX-1H23P-0726-SM-9WG7K 60-69 years, male 694.4
GTEX-1CAMR-1426-SM-793BO 20-29 years, male 678.0
GTEX-14PN4-0626-SM-62LFP 50-59 years, male 671.7
GTEX-11EQ9-1826-SM-5Q5AJ 30-39 years, male 662.8
GTEX-TKQ1-0226-SM-33HB5 30-39 years, male 657.4
GTEX-14ABY-2126-SM-5QGQZ 50-59 years, male 656.8
GTEX-1C6VQ-0426-SM-79OOX 50-59 years, male 655.1
GTEX-13CF3-2126-SM-5IFJP 60-69 years, female 653.9
GTEX-X4XY-0926-SM-4E3JD 60-69 years, male 650.0
GTEX-1ICLZ-0426-SM-B2LW2 60-69 years, male 647.8
GTEX-ZLFU-2126-SM-DO931 40-49 years, male 646.7
GTEX-1IDJF-2326-SM-ARL86 20-29 years, male 643.4
GTEX-1ICG6-1326-SM-ACKWR 70-79 years, female 641.9
GTEX-11ZTT-2326-SM-5EQLG 60-69 years, female 636.6
GTEX-YB5E-1726-SM-5IFJ3 40-49 years, male 636.1
GTEX-1L5NE-2126-SM-CY8IH 50-59 years, male 627.1
GTEX-1A3MX-2726-SM-718B6 60-69 years, male 626.3
GTEX-183FY-1126-SM-7DHLJ 20-29 years, male 619.0
GTEX-ZDYS-1126-SM-5K7UB 50-59 years, male 616.9
GTEX-XYKS-1326-SM-4BRUN 60-69 years, female 614.3
GTEX-ZQG8-0726-SM-5P9H9 60-69 years, female 613.9
GTEX-1H1DG-0526-SM-9YFLN 70-79 years, male 612.9
GTEX-ZTPG-2826-SM-57WGA 20-29 years, female 602.4
GTEX-1I1GU-1026-SM-ADEHJ 40-49 years, male 597.5
GTEX-13PVQ-1026-SM-5KM3M 50-59 years, male 593.7
GTEX-1ICLY-1726-SM-B2LVT 50-59 years, male 589.6
GTEX-S4Q7-1126-SM-4AD6R 20-29 years, male 586.8
GTEX-1AMEY-1026-SM-718AA 30-39 years, female 584.6
GTEX-12WSN-1326-SM-5GCNT 40-49 years, male 581.7
GTEX-1HSEH-2026-SM-ADEHN 60-69 years, male 581.0
GTEX-1117F-2826-SM-5GZXL 60-69 years, female 574.5
GTEX-1IGQW-0926-SM-ADEH6 60-69 years, male 573.5
GTEX-1LC47-1226-SM-D4P44 60-69 years, male 573.0
GTEX-WOFL-0826-SM-3MJG1 60-69 years, male 569.0
GTEX-1HCU8-0126-SM-ADEHH 60-69 years, female 567.9
GTEX-Y5V6-2126-SM-4WWFX 60-69 years, male 561.5
GTEX-13FTW-1426-SM-5LZWZ 40-49 years, male 561.1
GTEX-13O3O-0826-SM-5K7WE 60-69 years, female 558.1
GTEX-17GQL-0326-SM-7LG5U 60-69 years, male 557.8
GTEX-14E6C-1326-SM-62LEQ 40-49 years, male 554.2
GTEX-14PKU-0426-SM-6EU1P 40-49 years, female 554.2
GTEX-14ICK-2426-SM-6EU27 40-49 years, male 551.7
GTEX-1I6K6-0826-SM-ARL7Z 30-39 years, male 547.1
GTEX-139T6-1626-SM-5PNYZ 50-59 years, male 543.0
GTEX-ZA64-1526-SM-5CVMD 20-29 years, male 542.2
GTEX-WI4N-1426-SM-3LK7H 40-49 years, female 540.6
GTEX-1LG7Z-0726-SM-CXKYD 30-39 years, male 539.7
GTEX-SE5C-2126-SM-4BRUJ 40-49 years, female 539.1
GTEX-1F5PK-2126-SM-7PC28 50-59 years, male 537.8
GTEX-18A7B-2626-SM-7LG55 70-79 years, male 533.8
GTEX-14E6E-1326-SM-5S2NR 30-39 years, male 531.4
GTEX-Y8E4-1626-SM-5S2MW 40-49 years, male 530.2
GTEX-13N1W-0626-SM-5MR4U 70-79 years, male 529.9
GTEX-1NHNU-0926-SM-E9J2T 50-59 years, male 525.2
GTEX-1H1ZS-0126-SM-9YFKQ 70-79 years, male 523.2
GTEX-17F97-2526-SM-7EWDV 50-59 years, male 521.3
GTEX-RUSQ-2026-SM-4GIAK 50-59 years, male 519.3
GTEX-11TUW-1826-SM-5BC5D 60-69 years, male 515.5
GTEX-ZZ64-1226-SM-5E43R 20-29 years, male 511.9
GTEX-11I78-2226-SM-5PNYA 50-59 years, female 510.2
GTEX-1AX8Z-0926-SM-731AW 60-69 years, male 507.5
GTEX-XV7Q-2326-SM-4BRVZ 40-49 years, female 507.5
GTEX-15G19-2126-SM-6M48J 60-69 years, male 504.6
GTEX-11O72-2126-SM-5N9FO 40-49 years, male 501.5
GTEX-ZAB4-2526-SM-5HL8M 40-49 years, male 499.2
GTEX-1211K-1926-SM-5EQLB 60-69 years, female 497.5
GTEX-15UF7-0726-SM-6M46D 40-49 years, male 491.4
GTEX-13NZ9-1026-SM-5MR5K 50-59 years, male 490.6
GTEX-1GPI7-0926-SM-7PC3J 20-29 years, male 488.4
GTEX-1HC8U-0826-SM-ADEIL 40-49 years, female 488.0
GTEX-YB5K-1626-SM-5IFIN 40-49 years, female 486.6
GTEX-R55D-0826-SM-48FEA 50-59 years, male 486.4
GTEX-1J8Q3-1326-SM-CMKI1 60-69 years, male 486.3
GTEX-1JKYN-0726-SM-ARZMY 30-39 years, male 485.3
GTEX-1QEPI-0926-SM-DTXF3 60-69 years, female 485.1
GTEX-1I1GP-0426-SM-COH3N 50-59 years, male 484.1
GTEX-13D11-1026-SM-5IJFB 50-59 years, female 482.0
GTEX-1QPFJ-2026-SM-EVYBE 30-39 years, female 481.6
GTEX-1GZ2Q-2626-SM-7MXV9 40-49 years, male 479.0
GTEX-Y3I4-1526-SM-4TT7K 50-59 years, male 477.7
GTEX-T5JW-2026-SM-4DM63 20-29 years, female 474.3
GTEX-WY7C-2726-SM-3NB3P 50-59 years, male 473.7
GTEX-XGQ4-0926-SM-4AT4U 50-59 years, male 473.0
GTEX-145MO-0826-SM-5NQBL 60-69 years, male 471.3
GTEX-YFCO-1826-SM-4W1YH 40-49 years, male 471.3
GTEX-13O3Q-2226-SM-5KM4O 50-59 years, male 470.8
GTEX-1IOXB-1926-SM-ARL8E 50-59 years, male 469.4
GTEX-14PHY-1926-SM-5YY95 60-69 years, female 468.9
GTEX-1HR9M-2426-SM-ACKXI 60-69 years, male 468.1
GTEX-14753-2426-SM-5LU8U 60-69 years, male 467.1
GTEX-ZYW4-0826-SM-5GIDG 60-69 years, male 465.3
GTEX-ZLWG-1926-SM-DO92J 50-59 years, female 464.1
GTEX-117YX-1426-SM-5H12H 50-59 years, male 464.0
GTEX-16YQH-2826-SM-6PAMY 30-39 years, male 462.8
GTEX-13O61-1826-SM-5KM4I 60-69 years, male 461.6
GTEX-14AS3-1626-SM-5S2OY 40-49 years, female 460.0
GTEX-144GM-0926-SM-5O994 20-29 years, male 458.0
GTEX-Y114-2026-SM-4TT7L 50-59 years, female 455.9
GTEX-145LT-0726-SM-5S2VM 40-49 years, male 453.8
GTEX-PSDG-1626-SM-48TCQ 50-59 years, male 451.2
GTEX-ZTTD-1026-SM-51MRD 50-59 years, male 450.8
GTEX-S33H-0326-SM-4AD6N 30-39 years, male 450.4
GTEX-1HFI7-0126-SM-CGQFQ 50-59 years, female 448.8
GTEX-13FTX-1126-SM-5N9EN 20-29 years, female 448.0
GTEX-132NY-0826-SM-5K7Y7 60-69 years, male 445.1
GTEX-YJ8O-2226-SM-5IFHW 40-49 years, female 445.0
GTEX-1JJEA-2726-SM-ARL8V 60-69 years, male 444.7
GTEX-1R46S-2526-SM-E8VN2 60-69 years, female 443.8
GTEX-1JJE9-2326-SM-ARL8Q 70-79 years, male 442.7
GTEX-1CB4J-1826-SM-7EWF9 60-69 years, male 442.1
GTEX-11ONC-2126-SM-5HL6E 60-69 years, male 440.3
GTEX-12BJ1-1826-SM-5HL9N 60-69 years, male 438.6
GTEX-ZV6S-1826-SM-5NQ8D 40-49 years, female 436.8
GTEX-1PPGY-1526-SM-EVYBK 60-69 years, male 435.9
GTEX-1S82U-1126-SM-E9U6I 30-39 years, female 434.9
GTEX-145MN-1926-SM-5SIAI 30-39 years, male 434.5
GTEX-17HGU-1326-SM-79OKB 50-59 years, male 434.5
GTEX-1KANC-1426-SM-CYPT9 50-59 years, female 434.5
GTEX-1M4P7-2626-SM-E9U5F 60-69 years, male 434.0
GTEX-13W3W-1226-SM-5LU4H 60-69 years, female 433.7
GTEX-ZYFC-0826-SM-5E44K 50-59 years, male 430.3
GTEX-1RLM8-2226-SM-EVYD1 50-59 years, male 429.0
GTEX-146FH-0826-SM-5SI8T 50-59 years, female 428.9
GTEX-ZWKS-2826-SM-5NQ74 30-39 years, male 428.9
GTEX-11LCK-2426-SM-5HL5F 30-39 years, male 428.1
GTEX-XQ8I-2426-SM-4WAXY 50-59 years, male 427.6
GTEX-16BQI-1026-SM-7KUEA 30-39 years, female 426.6
GTEX-YEC3-1026-SM-5IFI5 50-59 years, male 426.6
GTEX-14B4R-1226-SM-5TDDT 30-39 years, male 424.0
GTEX-1JMOU-2026-SM-CMKGU 60-69 years, female 421.6
GTEX-ZDTT-2126-SM-DKPOM 60-69 years, male 419.7
GTEX-12WSM-1726-SM-5BC6J 60-69 years, male 418.9
GTEX-1HBPM-0126-SM-ARL9E 60-69 years, female 415.3
GTEX-X261-0626-SM-3NMD9 50-59 years, male 414.0
GTEX-13VXU-2826-SM-664MA 50-59 years, male 412.7
GTEX-18D9A-1526-SM-7LG4J 30-39 years, female 412.6
GTEX-183WM-0726-SM-7LTAA 70-79 years, female 412.0
GTEX-17F96-2426-SM-7IGLN 70-79 years, male 409.6
GTEX-17MF6-0326-SM-7EPH5 40-49 years, male 409.4
GTEX-ZVT2-1826-SM-5NQ8W 50-59 years, female 408.6
GTEX-1S82Z-0726-SM-E6CHX 30-39 years, female 408.1
GTEX-1HCU7-1026-SM-ADEIP 50-59 years, male 407.8
GTEX-133LE-1726-SM-5K7VQ 20-29 years, female 406.7
GTEX-1QP9N-1826-SM-E8VMP 30-39 years, male 406.0
GTEX-1H3VY-0926-SM-ACKXE 50-59 years, male 405.8
GTEX-15RJE-2626-SM-7KFT1 40-49 years, male 405.5
GTEX-17F98-0526-SM-79OK5 40-49 years, female 403.4
GTEX-1122O-1226-SM-5H113 60-69 years, female 402.7
GTEX-Z9EW-1526-SM-EZ6LU 40-49 years, male 402.7
GTEX-1H4P4-2226-SM-9MQKQ 50-59 years, male 402.0
GTEX-1R9PN-0326-SM-DTX85 40-49 years, female 401.7
GTEX-15EOM-5019-SM-793DK 20-29 years, female 401.0
GTEX-1B8SG-1226-SM-7IGPF 50-59 years, male 398.0
GTEX-S7SE-0826-SM-4AT4D 50-59 years, male 397.6
GTEX-1I19N-2826-SM-CL55D 70-79 years, male 397.4
GTEX-ZPIC-1126-SM-5BC7F 40-49 years, female 394.8
GTEX-ZVZQ-0826-SM-51MRF 60-69 years, female 394.4
GTEX-1I1GV-2426-SM-CGQFM 60-69 years, male 394.1
GTEX-13OW8-0226-SM-5K7UP 60-69 years, male 394.0
GTEX-1PPH7-0826-SM-E8VNX 40-49 years, male 393.9
GTEX-17JCI-0726-SM-7EPH1 60-69 years, female 393.4
GTEX-17HG3-0126-SM-7IGNH 30-39 years, female 391.7
GTEX-145MF-2226-SM-7EPIR 50-59 years, male 390.7
GTEX-11ZUS-0826-SM-5FQUY 30-39 years, male 388.5
GTEX-18A6Q-0926-SM-7LG4N 60-69 years, male 387.2
GTEX-ZLV1-1426-SM-DO92Z 60-69 years, female 386.7
GTEX-13O3P-0826-SM-5L3DH 50-59 years, male 386.2
GTEX-ZVT4-1026-SM-57WC4 50-59 years, female 384.2
GTEX-Y9LG-1426-SM-5IFJZ 30-39 years, male 382.1
GTEX-ZY6K-1626-SM-5GZWV 50-59 years, male 382.1
GTEX-11DXY-2326-SM-5GICW 60-69 years, male 382.0
GTEX-1EKGG-2626-SM-7IGPY 60-69 years, male 381.9
GTEX-QVJO-1826-SM-447C9 60-69 years, female 380.7
GTEX-1H11D-1526-SM-9MQJY 40-49 years, male 378.1
GTEX-1HBPN-2326-SM-9WPPU 50-59 years, male 376.4
GTEX-ZQUD-1926-SM-51MSA 30-39 years, male 376.2
GTEX-ZDXO-0126-SM-5S2ND 60-69 years, male 376.1
GTEX-13SLW-2526-SM-62LDQ 70-79 years, male 373.9
GTEX-YECK-0726-SM-EZ6LV 60-69 years, male 372.9
GTEX-139TU-0626-SM-5KM3X 60-69 years, male 372.4
GTEX-1313W-0826-SM-5EQ4T 50-59 years, female 372.2
GTEX-1BAJH-0826-SM-7EWEF 70-79 years, male 372.0
GTEX-11GSO-1926-SM-5A5K3 60-69 years, male 369.4
GTEX-ZAJG-0626-SM-5HL8X 50-59 years, female 368.9
GTEX-1C6VS-0726-SM-7EPHF 60-69 years, male 368.5
GTEX-17EVQ-0426-SM-7LG57 70-79 years, male 367.6
GTEX-1RQEC-2026-SM-DTXDM 60-69 years, male 364.9
GTEX-17MFQ-0926-SM-7LG4S 20-29 years, male 364.5
GTEX-11NV4-2026-SM-5N9DG 60-69 years, male 364.0
GTEX-1E2YA-2726-SM-7IGPW 50-59 years, male 362.3
GTEX-12WSK-2226-SM-5GCO5 40-49 years, female 361.5
GTEX-1PDJ9-1126-SM-EXUSW 20-29 years, male 360.8
GTEX-1OKEX-0826-SM-E9J2B 60-69 years, male 360.2
GTEX-1QCLZ-2326-SM-DTXDO 60-69 years, female 360.2
GTEX-1IE54-0626-SM-ARL8D 40-49 years, female 359.8
GTEX-1MA7X-1626-SM-E9U5B 60-69 years, male 358.6
GTEX-144GL-2026-SM-5LU3O 50-59 years, male 356.5
GTEX-1HCU9-0326-SM-9WYSC 20-29 years, male 356.2
GTEX-12KS4-0126-SM-5Q5A5 30-39 years, male 356.0
GTEX-1R9JW-0326-SM-EAZ45 30-39 years, female 355.9
GTEX-17EUY-1926-SM-7DUF6 20-29 years, male 354.4
GTEX-13N11-1726-SM-5J1OJ 50-59 years, female 354.0
GTEX-13FHO-0826-SM-5L3E8 60-69 years, male 353.5
GTEX-1399U-1826-SM-5PNZ1 50-59 years, female 352.5
GTEX-14BMV-0626-SM-793AU 50-59 years, male 352.1
GTEX-ZV7C-1826-SM-5NQ83 50-59 years, male 352.1
GTEX-XQ3S-1326-SM-4BOPQ 20-29 years, male 349.5
GTEX-Y5LM-1726-SM-4VDSX 40-49 years, female 347.8
GTEX-13W46-0826-SM-5LU3H 50-59 years, male 347.1
GTEX-14DAR-1326-SM-7DUEG 50-59 years, male 346.8
GTEX-1JN6P-2426-SM-ARL99 60-69 years, male 346.7
GTEX-11NSD-0926-SM-5N9DR 20-29 years, male 346.0
GTEX-1KANA-2026-SM-DIPFB 20-29 years, male 345.7
GTEX-11OF3-1926-SM-59889 60-69 years, male 344.5
GTEX-13113-5013-SM-7SB7G 60-69 years, female 343.8
GTEX-1NUQO-2226-SM-E9U68 20-29 years, female 343.4
GTEX-Y5V5-2126-SM-4WWFO 60-69 years, female 343.2
GTEX-1QP29-1726-SM-E8VMQ 50-59 years, male 341.6
GTEX-13CF2-2026-SM-5K7VI 60-69 years, male 341.3
GTEX-14LLW-0626-SM-62LFC 70-79 years, female 341.1
GTEX-WFON-1826-SM-3GILG 40-49 years, male 340.5
GTEX-11DXW-0626-SM-5N9ER 40-49 years, male 339.4
GTEX-1C6WA-2426-SM-7SB86 60-69 years, male 339.3
GTEX-13SLX-2326-SM-5ZZWE 50-59 years, female 339.2
GTEX-XMK1-1126-SM-4IHJ8 40-49 years, male 338.7
GTEX-15UF6-0126-SM-6PAMB 70-79 years, female 337.1
GTEX-1KD5A-1926-SM-DKPQA 50-59 years, male 336.6
GTEX-1GN2E-2226-SM-9WG6J 60-69 years, male 336.4
GTEX-1I4MK-1626-SM-CM2TJ 50-59 years, female 335.7
GTEX-ZZPU-0626-SM-5E43T 50-59 years, female 335.4
GTEX-XMD2-0926-SM-4WWEF 60-69 years, female 334.9
GTEX-147F4-2826-SM-5NQBN 50-59 years, male 333.4
GTEX-1LNCM-0226-SM-DIPF4 50-59 years, female 332.7
GTEX-13NZB-2126-SM-5MR4Y 30-39 years, male 330.9
GTEX-X4EP-2926-SM-3P5YQ 60-69 years, female 330.4
GTEX-1EWIQ-1726-SM-7SB7T 70-79 years, female 329.5
GTEX-QMRM-1626-SM-D4P1U 50-59 years, male 328.9
GTEX-1B8KE-1226-SM-73KWK 50-59 years, male 328.8
GTEX-1IDFM-0426-SM-B2LVV 60-69 years, male 327.0
GTEX-ZTX8-1226-SM-4YCE9 20-29 years, male 326.5
GTEX-169BO-1126-SM-7MGWN 50-59 years, male 326.3
GTEX-WFG8-2026-SM-EXOHO 20-29 years, male 326.2
GTEX-1MCC2-2126-SM-EWRON 30-39 years, female 325.6
GTEX-1R9PM-1826-SM-EVYBH 20-29 years, male 324.2
GTEX-1B97I-0426-SM-79OL7 40-49 years, male 321.6
GTEX-17F9E-2526-SM-7MGW2 50-59 years, male 321.2
GTEX-11P7K-0726-SM-5EGKX 30-39 years, male 319.3
GTEX-14E7W-0826-SM-62LEJ 70-79 years, male 319.1
GTEX-1GZHY-0726-SM-9WG6B 50-59 years, female 319.0
GTEX-1N2EE-2126-SM-E8VNN 60-69 years, male 318.6
GTEX-1IKOE-1326-SM-CE6T6 30-39 years, female 318.2
GTEX-1HR98-0426-SM-COH36 60-69 years, male 318.0
GTEX-XUZC-1626-SM-4BRVP 30-39 years, female 317.4
GTEX-1KAFJ-0226-SM-DIPEL 50-59 years, male 317.3
GTEX-Y8LW-1626-SM-5IFHX 50-59 years, female 316.6
GTEX-1M5QR-2526-SM-E9U5P 40-49 years, male 316.5
GTEX-1IDJE-0826-SM-CKZNZ 50-59 years, female 316.2
GTEX-1I1GT-1126-SM-ARL7J 60-69 years, female 315.9
GTEX-1I6K7-1026-SM-A9SLK 40-49 years, male 315.9
GTEX-11DXZ-1926-SM-5GZZL 50-59 years, male 315.4
GTEX-XUW1-2326-SM-4BOO5 50-59 years, female 314.0
GTEX-1HT8W-2226-SM-CGQEC 30-39 years, male 313.9
GTEX-1QMI2-0726-SM-E9J4F 60-69 years, male 313.8
GTEX-131YS-0626-SM-5EGKL 60-69 years, female 313.6
GTEX-ZEX8-2226-SM-57WC6 50-59 years, male 313.5
GTEX-1NV8Z-2826-SM-E8VME 60-69 years, male 313.2
GTEX-14BMU-1626-SM-5TDE7 20-29 years, female 309.5
GTEX-RU1J-0626-SM-4WAWY 20-29 years, female 309.3
GTEX-117XS-1926-SM-5GICO 60-69 years, male 308.4
GTEX-ZU9S-1926-SM-5NQBP 30-39 years, male 307.7
GTEX-Q2AG-0326-SM-48U1O 40-49 years, female 306.9
GTEX-VUSG-2226-SM-4KKZO 50-59 years, male 304.9
GTEX-ZUA1-1526-SM-59HLS 40-49 years, male 304.0
GTEX-1JK1U-1826-SM-ARL8W 60-69 years, male 304.0
GTEX-1A8G7-2426-SM-731AK 60-69 years, male 303.5
GTEX-1LGRB-1826-SM-CNPQL 50-59 years, female 302.8
GTEX-11WQC-1726-SM-5GU4W 60-69 years, male 302.6
GTEX-13NZ8-0126-SM-5IJCT 60-69 years, female 302.5
GTEX-WYBS-0926-SM-3NM94 60-69 years, female 302.4
GTEX-S4UY-0726-SM-4AD6X 40-49 years, female 302.3
GTEX-1F75B-0626-SM-7SB8A 50-59 years, male 302.2
GTEX-131XW-0726-SM-5EGK3 50-59 years, female 302.0
GTEX-1QW4Y-1026-SM-DTXE2 30-39 years, male 301.8
GTEX-1POEN-0926-SM-DTX88 30-39 years, female 301.4
GTEX-1B933-2526-SM-7IGO5 50-59 years, female 301.1
GTEX-1EN7A-1426-SM-7PBY4 40-49 years, male 299.3
GTEX-145ME-1526-SM-5Q5F2 40-49 years, female 298.5
GTEX-UTHO-1026-SM-3GAF7 60-69 years, male 298.1
GTEX-1RAZQ-1226-SM-EWRNL 30-39 years, male 298.0
GTEX-XBED-1626-SM-47JYN 60-69 years, male 297.5
GTEX-R3RS-0626-SM-48FE1 40-49 years, female 297.2
GTEX-Y111-2026-SM-4SOJA 50-59 years, male 297.2
GTEX-1IDJH-2226-SM-E6CJV 70-79 years, male 296.9
GTEX-1IDJU-1826-SM-CMKHV 60-69 years, female 296.0
GTEX-1J8QM-2026-SM-ARZMW 60-69 years, female 294.1
GTEX-1J8Q2-2726-SM-A9G2X 60-69 years, male 293.1
GTEX-14H4A-2526-SM-5YYAY 40-49 years, female 292.0
GTEX-ZYT6-0126-SM-5E45J 30-39 years, male 292.0
GTEX-18465-2026-SM-718AP 50-59 years, male 291.7
GTEX-1AX9J-1126-SM-731B7 60-69 years, male 291.5
GTEX-13PVR-2226-SM-7DHKP 60-69 years, female 290.8
GTEX-YFC4-1426-SM-5IFJG 40-49 years, female 290.4
GTEX-1MJK2-2226-SM-EVYCR 50-59 years, male 290.3
GTEX-1K9T9-1426-SM-DIPFQ 50-59 years, female 290.1
GTEX-WHSB-1926-SM-EXOHH 50-59 years, male 288.8
GTEX-15ETS-0626-SM-7KUMX 40-49 years, female 287.2
GTEX-1JMQK-2626-SM-COH2W 60-69 years, male 286.4
GTEX-1C475-1226-SM-7SB72 40-49 years, female 286.2
GTEX-1RAZS-1226-SM-E8VMT 50-59 years, male 285.2
GTEX-WXYG-2226-SM-4E3IM 50-59 years, female 284.8
GTEX-11EM3-1326-SM-5N9C6 20-29 years, female 284.5
GTEX-T2IS-1526-SM-32QPR 20-29 years, female 284.0
GTEX-X15G-1626-SM-3NMB3 50-59 years, female 284.0
GTEX-11GS4-2126-SM-5A5KR 60-69 years, male 283.7
GTEX-QEG5-0726-SM-D4P1T 20-29 years, male 283.6
GTEX-ZF3C-2326-SM-5S2NC 50-59 years, female 283.6
GTEX-15FZZ-0726-SM-7KUFZ 30-39 years, female 283.5
GTEX-1F75I-2026-SM-7SB7N 40-49 years, male 281.3
GTEX-13QIC-2326-SM-5LU5N 60-69 years, female 278.1
GTEX-17EVP-0226-SM-79OND 40-49 years, male 278.1
GTEX-1LSNM-1326-SM-E9TJ1 50-59 years, male 278.1
GTEX-1LSVX-2426-SM-E6CJX 60-69 years, male 277.3
GTEX-RWS6-1926-SM-47JXY 60-69 years, female 276.9
GTEX-18A66-1726-SM-7LG5N 60-69 years, male 276.9
GTEX-1QP28-1226-SM-E9J2M 50-59 years, female 276.2
GTEX-1192X-2326-SM-5987X 50-59 years, male 275.4
GTEX-ZGAY-1726-SM-DO91P 40-49 years, female 274.1
GTEX-11EMC-2026-SM-5A5JV 60-69 years, female 273.8
GTEX-1269C-2426-SM-5FQSN 60-69 years, female 273.8
GTEX-1CB4G-2326-SM-79OOI 60-69 years, male 273.8
GTEX-1LBAC-0926-SM-CXKY9 20-29 years, male 273.6
GTEX-1C64O-0726-SM-7DUFU 60-69 years, male 273.3
GTEX-QDT8-0626-SM-48TYW 30-39 years, female 272.9
GTEX-QEL4-2126-SM-447AE 50-59 years, male 272.7
GTEX-U412-1826-SM-4DXTJ 60-69 years, male 272.7
GTEX-TKQ2-1826-SM-33HB2 50-59 years, male 271.6
GTEX-1F5PL-1026-SM-7RHI1 40-49 years, female 270.9
GTEX-V955-2026-SM-3GAFA 60-69 years, male 270.6
GTEX-1JMLX-2026-SM-CMKGN 50-59 years, male 270.3
GTEX-1GF9V-2526-SM-7SB8K 60-69 years, male 269.4
GTEX-1B97J-0426-SM-79OLQ 50-59 years, female 268.2
GTEX-13OW5-2226-SM-5L3HC 60-69 years, male 267.9
GTEX-1HCVE-2626-SM-ADEJ8 50-59 years, male 266.8
GTEX-ZC5H-2626-SM-5J2MG 40-49 years, female 266.0
GTEX-17KNJ-2026-SM-7LG53 50-59 years, male 265.4
GTEX-1AX9I-0726-SM-73KWV 60-69 years, male 264.4
GTEX-1KXAM-1026-SM-CY8IA 60-69 years, male 264.2
GTEX-1F6I4-2526-SM-7SB8F 60-69 years, male 263.9
GTEX-VJWN-0726-SM-3GIJ8 50-59 years, female 263.7
GTEX-17HHE-1426-SM-7EPH4 50-59 years, male 263.4
GTEX-Y3IK-2326-SM-4WWDT 50-59 years, female 262.5
GTEX-1GMRU-0826-SM-9WYT7 50-59 years, male 262.4
GTEX-11GSP-0926-SM-9WYSG 60-69 years, female 261.6
GTEX-WRHU-0326-SM-3MJFY 50-59 years, female 261.4
GTEX-15SHW-1326-SM-6PAL8 60-69 years, male 260.9
GTEX-T6MO-0326-SM-32QOK 40-49 years, female 259.9
GTEX-1EU9M-2826-SM-7EWFH 60-69 years, male 259.8
GTEX-1A3MV-1626-SM-731C1 30-39 years, male 259.7
GTEX-XOT4-0726-SM-4GIAW 60-69 years, female 259.7
GTEX-139T8-0826-SM-5L3DE 60-69 years, male 259.1
GTEX-S4P3-1326-SM-4AD6V 50-59 years, female 258.7
GTEX-1GF9X-1026-SM-ACKX2 40-49 years, female 258.6
GTEX-11EI6-0626-SM-5985T 60-69 years, male 258.3
GTEX-1314G-1226-SM-5BC6D 30-39 years, male 258.2
GTEX-13PL6-2926-SM-5L3I2 40-49 years, female 256.4
GTEX-13FTY-2226-SM-5J1ND 40-49 years, female 254.5
GTEX-R53T-1526-SM-48FEK 50-59 years, female 253.2
GTEX-ZXES-0826-SM-5E43C 30-39 years, female 251.9
GTEX-18A7A-0726-SM-7LTAI 50-59 years, female 251.3
GTEX-1H1E6-0926-SM-9YFLT 30-39 years, male 251.3
GTEX-17HHY-0926-SM-793C1 50-59 years, male 250.8
GTEX-ZVTK-0326-SM-51MRR 20-29 years, male 250.7
GTEX-1H1CY-2226-SM-9WG7E 60-69 years, female 250.5
GTEX-X62O-0526-SM-EWRMA 50-59 years, male 250.5
GTEX-1N5O9-1126-SM-DTXEQ 60-69 years, male 249.9
GTEX-UJHI-1426-SM-3DB9C 50-59 years, female 249.6
GTEX-S341-1526-SM-4AD6K 40-49 years, female 248.3
GTEX-1LSNL-2826-SM-E9U5L 50-59 years, male 248.1
GTEX-1B8L1-2426-SM-9WYTE 60-69 years, male 247.4
GTEX-1I1HK-2426-SM-ADEHX 60-69 years, male 247.3
GTEX-1J8EW-2626-SM-CL53E 60-69 years, female 245.6
GTEX-132Q8-1426-SM-5EGK7 60-69 years, male 245.5
GTEX-1GN1W-1926-SM-7P8TH 50-59 years, female 245.2
GTEX-1LVAM-0926-SM-E9TJ2 50-59 years, female 245.0
GTEX-1JKYR-0926-SM-CMKGJ 20-29 years, male 244.3
GTEX-1GZ4I-2826-SM-9MQK5 50-59 years, male 243.7
GTEX-1HCUA-0726-SM-ACKVU 50-59 years, female 242.4
GTEX-1R7EU-1226-SM-E8VMR 60-69 years, male 242.2
GTEX-1CB4E-0226-SM-79OLW 60-69 years, male 241.3
GTEX-1B932-0826-SM-73KXG 40-49 years, female 241.2
GTEX-1HUB1-1626-SM-CM2SL 60-69 years, male 241.0
GTEX-11P81-1926-SM-5BC53 30-39 years, female 240.1
GTEX-1MA7W-1026-SM-DKPQK 20-29 years, female 240.1
GTEX-16NGA-0826-SM-718AF 40-49 years, female 238.8
GTEX-18QFQ-0826-SM-718AX 30-39 years, male 238.5
GTEX-1IKOH-2326-SM-CM2TW 60-69 years, female 238.5
GTEX-1GMR2-1926-SM-9MQLZ 50-59 years, male 238.0
GTEX-1HKZK-1826-SM-ADEJ2 40-49 years, male 236.9
GTEX-11PRG-0826-SM-5EQ6A 50-59 years, male 235.7
GTEX-1MCYP-0126-SM-E6CIS 20-29 years, female 234.9
GTEX-111YS-1926-SM-5GICC 60-69 years, male 232.2
GTEX-1GMR3-2626-SM-7RHHG 40-49 years, male 231.6
GTEX-1GZ4H-0326-SM-7P8QX 50-59 years, female 227.5
GTEX-WYJK-1326-SM-3NB2T 50-59 years, male 227.0
GTEX-1K2DA-1726-SM-CGQGS 50-59 years, male 225.4
GTEX-XMD1-0826-SM-4AT52 60-69 years, male 223.9
GTEX-1P4AB-1826-SM-E76PU 50-59 years, male 222.4
GTEX-1KD4Q-2326-SM-D4P3M 40-49 years, male 222.2
GTEX-UPK5-2326-SM-3P5Z8 40-49 years, male 221.5
GTEX-14A5I-0726-SM-5TDEB 50-59 years, female 220.9
GTEX-1CAMS-1426-SM-7IGPM 40-49 years, female 219.9
GTEX-1GPI6-0626-SM-7RHHJ 60-69 years, male 219.8
GTEX-1IY9M-2726-SM-CMKG5 60-69 years, male 219.3
GTEX-1QCLY-1626-SM-DTXDW 30-39 years, male 214.3
GTEX-TML8-1226-SM-32QON 40-49 years, female 214.1
GTEX-U3ZN-1926-SM-4DXSG 30-39 years, female 214.1
GTEX-1GMR8-0726-SM-9KNVI 50-59 years, female 213.3
GTEX-U3ZH-1426-SM-4DXSR 30-39 years, male 213.0
GTEX-ZVE2-1226-SM-5NQ8R 50-59 years, male 212.3
GTEX-RU72-0626-SM-46MUI 50-59 years, female 211.9
GTEX-ZF29-1926-SM-5S2P1 60-69 years, female 211.3
GTEX-12ZZX-1126-SM-5EGKB 40-49 years, female 210.5
GTEX-1JMPZ-1626-SM-COH31 30-39 years, male 209.0
GTEX-1F75A-1826-SM-7SB8G 50-59 years, male 205.4
GTEX-1HSKV-2026-SM-CMKGX 60-69 years, male 204.8
GTEX-1GN1U-0526-SM-9KNTT 50-59 years, female 203.3
GTEX-15ER7-1626-SM-6PAMZ 20-29 years, female 198.7
GTEX-1IKJJ-2326-SM-COH3U 60-69 years, male 197.0
GTEX-T6MN-0726-SM-32PML 50-59 years, male 195.2
GTEX-T5JC-2126-SM-32PMO 20-29 years, male 195.1
GTEX-1B8KZ-1526-SM-7DUG7 50-59 years, male 193.8
GTEX-ZF2S-2026-SM-5E461 50-59 years, female 192.4
GTEX-W5X1-2326-SM-3GIL6 40-49 years, female 190.8
GTEX-TMMY-0726-SM-33HBE 40-49 years, female 185.7
GTEX-ZAK1-1326-SM-EVYAS 50-59 years, female 182.6
GTEX-1HSGN-1526-SM-A9SMO 40-49 years, female 182.2
GTEX-1JMPY-0526-SM-CL54O 30-39 years, male 179.8
GTEX-T2YK-2226-SM-32QPT 50-59 years, male 169.4
GTEX-WYVS-1726-SM-3NMAY 40-49 years, female 166.0
GTEX-1LVAN-1326-SM-CNPQE 50-59 years, female 158.7
Show allShow less

BREAST - FANTOM5 CAGEi

RNA expression in human tissues obtained through Cap Analysis of Gene Expression (CAGE) generated by the FANTOM5 project are reported as Scaled Tags Per Million.

Max subtype Scaled Tags Per Millioni

Max subtype Scaled Tags Per Million is the value for the subtype with the largest average Scaled Tags Per Million across the subtype samples.

637.5
FANTOM5 sample id Sample description Scaled Tags Per Million
Breast
Scaled Tags Per Million: 637.5
FF:10080-102A8 77 years, female 637.5

Contact

  • NEWS ARTICLES
  • PRESS ROOM

The Project

  • INTRODUCTION
  • ORGANIZATION
  • PUBLICATIONS

The Human Protein Atlas

  • DOWNLOADABLE DATA
  • LICENCE & CITATION
  • HELP & FAQ
The Human Protein Atlas project is funded
by the Knut & Alice Wallenberg Foundation.


contact@proteinatlas.org