We use cookies to enhance the usability of our website. If you continue, we'll assume that you are happy to receive all cookies. More information. Don't show this again.
PFN1
HPA
RESOURCES
  • TISSUE
  • BRAIN
  • SINGLE CELL
  • SUBCELLULAR
  • CANCER
  • BLOOD
  • CELL LINE
  • STRUCTURE & INTERACTION
ABOUT
  • INTRODUCTION
  • HISTORY
  • ORGANIZATION
  • PUBLICATIONS
  • ANTIBODY SUBMISSION
  • ANTIBODY AVAILABILITY
  • ACKNOWLEDGMENTS
  • CONTACT
NEWS
  • NEWS ARTICLES
  • PRESS ROOM
LEARN
  • DICTIONARY
  • PROTEIN CLASSES
  • PROTEIN EVIDENCE
  • METHODS
  • EDUCATIONAL VIDEOS
DATA
  • DOWNLOADABLE DATA
  • PUBLICATION DATA
  • RELEASE HISTORY
HELP
  • ANTIBODY VALIDATION
  • ASSAYS & ANNOTATION
  • DISCLAIMER
  • HELP & FAQ
  • PRIVACY STATEMENT
  • LICENCE & CITATION
Fields »
Search result

Field
Term
Gene name
Class
Subclass
Class
Keyword
Chromosome
External id
Tissue
Cell type
Expression
Antibody panel
Tissue
Main location
Patient ID
Annotation
Tissue
Category
Tau score
Cluster
Reliability
Brain region
Category
Tau score
Brain region
Category
Tau score
Brain region
Category
Tau score
Cluster
Reliability
Tissue
Cell type
Enrichment
Cell type
Category
Tau score
Cell type
Category
Tau score
Cell type
Category
Tau score
Cell lineage
Category
Tau score
Cluster
Cluster
Location
Searches
Location
Cell line
Class
Type
Phase
Reliability
Cancer
Prognosis
Cancer
Category
Cancer
Category
Tau score
Cluster
Variants
Interacting gene (ensg_id)
Type
Number of interactions
Pathway
Category
Score
Score
Score
Validation
Validation
Validation
Validation
Antibodies
Data type
Column


  • SUMMARY

  • TISSUE

  • BRAIN

  • SINGLE CELL

  • SUBCELL

  • CANCER

  • BLOOD

  • CELL LINE

  • STRUCT & INT

  • PFN1
TISSUE PRIMARY DATA SKIN Show tissue menu
ADIPOSE TISSUE ADRENAL GLAND AMYGDALA APPENDIX BASAL GANGLIA BONE MARROW BREAST BRONCHUS CEREBELLUM CEREBRAL CORTEX CERVIX CHOROID PLEXUS COLON DUODENUM
ENDOMETRIUM EPIDIDYMIS ESOPHAGUS FALLOPIAN TUBE GALLBLADDER HEART MUSCLE HIPPOCAMPAL FORMATION HYPOTHALAMUS KIDNEY LIVER LUNG LYMPH NODE MIDBRAIN NASOPHARYNX
ORAL MUCOSA OVARY PANCREAS PARATHYROID GLAND PITUITARY GLAND PLACENTA PROSTATE RECTUM RETINA SALIVARY GLAND SEMINAL VESICLE SKELETAL MUSCLE SKIN SMALL INTESTINE
SMOOTH MUSCLE SOFT TISSUE SPINAL CORD SPLEEN STOMACH TESTIS THYMUS THYROID GLAND TONGUE TONSIL URINARY BLADDER VAGINA
ANTIBODIES
AND
VALIDATION
Dictionary
Skin
Tissue proteome
Skin
SKIN - Expression summary
Protein expression
Skini

On the top, protein expression in current human tissue, based on all annotated cell types, is reported with the units not detected (n), low (l), medium (m) and high (h). Underneath, protein expression in each annotated cell type are reported using the same units.

Protein expression data is based on knowledge-based annotation. For genes where more than one antibody has been used, a collective score is set.

If knowledge-based annotation could not be performed for a gene, no data is displayed here. View antibody staining data further down this page.

h
m
l
n
Cells in basal layer: Low
Cells in corneal layer: Not detected
Cells in granular layer: Not detected
Cells in spinous layer: Low
Endothelial cells: Low
Extracellular matrix: Not detected
Fibrohistiocytic cells: Medium
Hair follicles: Medium
Langerhans cells: Medium
Lymphocytes: High
Melanocytes: Not detected
Vascular mural cells: Not detected
RNA expressioni

A summary of mRNA expression data available for current tissue based on several datasets. The mRNA expression levels in human tissues are based on RNA-seq data generated by the Human Protein Atlas (HPA), Genotype-Tissue Expression (GTEx) portal and CAGE data generated by the FANTOM5 consortium. Consensus normalized expression levels for human tissues was created by combining the data from HPA and GTEx datasets.

The mRNA expression levels in pig are based on RNA-seq data generated by the Human Protein Atlas (HPA), and for mouse, HPA data and in situ hybridization generated by the Allen brain atlas are reported.

Scroll down to view mRNA expression data in more detail.
Consensus:437.6 nTPM
HPA:437.6 nTPM
GTEx:415.5 nTPM

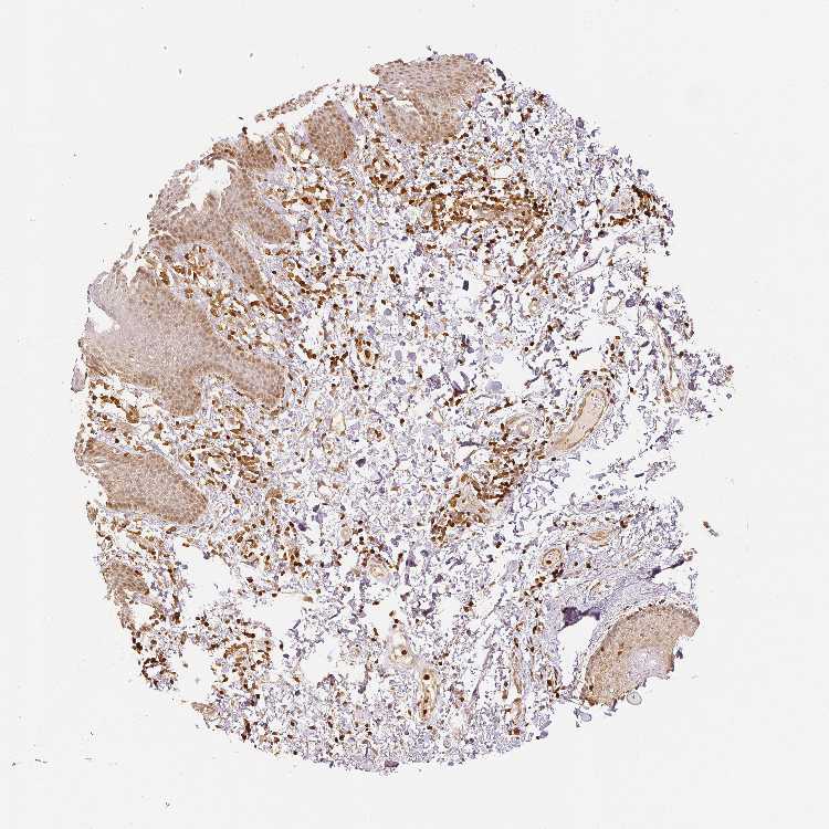
SKIN 1 - Antibody stainingi

Antibody staining in the annotated cell types in the current human tissue is reported as not detected, low, medium, or high, based on conventional immunohistochemistry profiling in selected tissues. This score is based on the combination of the staining intensity and fraction of stained cells.

Each image is clickable and will lead to virtual microscopy that enables deeper exploration of all samples and also displays staining intensity scores, fraction scores and subcellular localization as well as patient and tissue information for each sample.

Antibody CAB037134Antibody CAB037140
Langerhans High-
Cells in basal layer -Low
Cells in corneal layer -Not detected
Cells in granular layer -Not detected
Cells in spinous layer -Low
Endothelial cells -Low
Extracellular matrix -Not detected
Fibroblasts High-
Fibrohistiocytic cells -Medium
Hair follicles -Medium
Keratinocytes Low-
Langerhans cells -Medium
Lymphocytes -High
Melanocytes LowNot detected
Vascular mural cells -Not detected




SKIN 2 - Antibody stainingi

Antibody staining in the annotated cell types in the current human tissue is reported as not detected, low, medium, or high, based on conventional immunohistochemistry profiling in selected tissues. This score is based on the combination of the staining intensity and fraction of stained cells.

Each image is clickable and will lead to virtual microscopy that enables deeper exploration of all samples and also displays staining intensity scores, fraction scores and subcellular localization as well as patient and tissue information for each sample.

Antibody CAB037134Antibody CAB037140
Cells in basal layer -Low
Cells in corneal layer -Not detected
Cells in granular layer -Not detected
Cells in spinous layer -Low
Endothelial cells -Low
Epidermal cells Low-
Extracellular matrix -Not detected
Fibrohistiocytic cells -Medium
Langerhans cells -Medium
Lymphocytes -High
Melanocytes -Not detected
Vascular mural cells -Not detected
  
  
  



SKIN - HPA RNA-seqi

The RNA-seq details section shows detailed information about the individual samples used for the transcript profiling and results of the RNA-seq analysis.

Information about each individual sample is listed below, including gender, age, a tissue section image and estimated fractions of cell types. nTPM (normalized transcripts per million) values give a quantification of the gene abundance which is comparable between different genes and samples.
Average nTPMi

Max subtype nTPM is the value for the subtype with the largest average nTPM across the subtype samples.

437.6
overview
Female, age 34
Skin sample 225
nTPM: 498.7
Cell types%
Keratinocytes:
60

Other cell types:
40

overview
Female, age 30
Skin sample 226
nTPM: 294
Cell types%
Keratinocytes:
55

Other cell types:
45

N/A
Male, age 57
Skin sample 227
nTPM: 519.9

SKIN - GTEx RNA-seqi

RNA-Seq data generated by the Genotype-Tissue Expression (GTEx) project from human tissues is reported as mean nTPM. More information can be found on the GTEx portal.

Distribution across the dataset is visualized with box plots, shown as median and 25th and 75th percentiles. Points are displayed as outliers if they are above or below 1.5 times the interquartile range. nTPM values of the individual samples are presented next to the box plot.
Max subtype nTPMi

Max subtype nTPM is the value for the subtype with the largest average nTPM across the subtype samples.

415.5
GTEx sample id Sample description nTPM
Skin - Not Sun Exposed (Suprapubic)
Average nTPM: 415.5
Samples: 604

Max nTPM: 872.3
Min nTPM: 214.3
Std nTPM: 110.6
Median nTPM: 400.7
GTEX-1PPH8-0126-SM-EWRN8 20-29 years, male 872.3
GTEX-WI4N-2726-SM-3LK7Y 40-49 years, female 864.2
GTEX-1R9PN-0426-SM-DTXDT 40-49 years, female 860.7
GTEX-1E2YA-2126-SM-7MXUO 50-59 years, male 852.2
GTEX-1ICLZ-0326-SM-ARL82 60-69 years, male 843.4
GTEX-WHSE-0126-SM-3NMBT 20-29 years, male 814.1
GTEX-X585-2426-SM-46MW2 50-59 years, male 813.4
GTEX-14XAO-1226-SM-6EU1C 60-69 years, female 806.4
GTEX-Y114-2126-SM-4TT8B 50-59 years, female 793.4
GTEX-11DYG-1526-SM-5A5JS 60-69 years, male 793.1
GTEX-11WQK-1026-SM-5EQLX 50-59 years, male 790.3
GTEX-13G51-1826-SM-5KLZH 60-69 years, male 754.8
GTEX-ZY6K-1426-SM-5GZX2 50-59 years, male 753.4
GTEX-ZYFD-0626-SM-5E44E 50-59 years, male 747.9
GTEX-1HSMP-0926-SM-A9SKX 70-79 years, male 747.6
GTEX-111VG-1626-SM-5EGIO 60-69 years, male 708.7
GTEX-WH7G-2026-SM-3NMBL 40-49 years, male 697.7
GTEX-ZYVF-0926-SM-5E44J 50-59 years, female 686.4
GTEX-1C6WA-2626-SM-7MKGM 60-69 years, male 677.8
GTEX-17F97-2626-SM-7IGM5 50-59 years, male 670.1
GTEX-1OJC3-1226-SM-DTXER 20-29 years, male 668.8
GTEX-14PJ3-1126-SM-5ZZVX 50-59 years, male 657.9
GTEX-1F6I4-2326-SM-7RHGL 60-69 years, male 655.0
GTEX-WFG7-2026-SM-5SI7P 20-29 years, male 647.4
GTEX-12WSJ-1126-SM-5LZVJ 40-49 years, female 637.5
GTEX-11DZ1-2426-SM-5GZZX 50-59 years, male 633.0
GTEX-11DXX-2126-SM-5PNYR 60-69 years, female 629.5
GTEX-ZDTS-0826-SM-4WKHL 60-69 years, male 629.4
GTEX-144GL-0626-SM-5LU4D 50-59 years, male 628.2
GTEX-14A5H-0826-SM-5QGPJ 60-69 years, male 616.7
GTEX-U8XE-0226-SM-4E3J3 30-39 years, male 614.8
GTEX-147F4-0726-SM-5TDDD 50-59 years, male 608.5
GTEX-Z93S-1626-SM-5CVMB 50-59 years, male 606.5
GTEX-13NYC-0126-SM-5L3F4 60-69 years, male 605.7
GTEX-XK95-0226-SM-4AT58 40-49 years, male 602.0
GTEX-15SHW-0226-SM-7LTAT 60-69 years, male 599.8
GTEX-ZTX8-1326-SM-4YCEL 20-29 years, male 597.2
GTEX-1399Q-2326-SM-5KM2X 40-49 years, male 595.4
GTEX-13NYB-0126-SM-5J1MD 40-49 years, male 595.2
GTEX-ZT9X-1526-SM-5DUXD 40-49 years, male 592.9
GTEX-131XG-0326-SM-5L3DX 50-59 years, female 584.4
GTEX-15RIE-1926-SM-7KUKJ 60-69 years, male 582.0
GTEX-13O3O-2326-SM-5IJD6 60-69 years, female 579.1
GTEX-15G19-2426-SM-7KUMR 60-69 years, male 577.2
GTEX-11WQC-1826-SM-5GU59 60-69 years, male 576.2
GTEX-XQ3S-1426-SM-4BOPR 20-29 years, male 574.7
GTEX-144FL-0626-SM-5LU43 50-59 years, male 572.6
GTEX-1HCU6-2526-SM-ADEHL 60-69 years, female 570.8
GTEX-15RJ7-2126-SM-6PAMD 40-49 years, male 570.3
GTEX-11PRG-0726-SM-5EGL1 50-59 years, male 568.8
GTEX-15RIG-0726-SM-7KUM7 40-49 years, male 568.5
GTEX-16YQH-2226-SM-7IGM2 30-39 years, male 567.3
GTEX-W5X1-2526-SM-3GILC 40-49 years, female 567.3
GTEX-YECK-0326-SM-4W1YS 60-69 years, male 565.5
GTEX-XBEW-1126-SM-4QARW 40-49 years, male 564.9
GTEX-ZE7O-2726-SM-51MT5 50-59 years, female 564.1
GTEX-13OVK-1426-SM-6PAN7 40-49 years, male 562.3
GTEX-1AYD5-2626-SM-7PBXY 50-59 years, male 560.0
GTEX-1N2DV-1526-SM-DTXEP 40-49 years, male 556.3
GTEX-ZYW4-0626-SM-59HJR 60-69 years, male 555.4
GTEX-12ZZX-2426-SM-5GCOE 40-49 years, female 555.1
GTEX-14PHY-1226-SM-5ZZWK 60-69 years, female 549.3
GTEX-1JMLX-0626-SM-ARL8T 50-59 years, male 547.5
GTEX-1399S-0126-SM-5IJCF 30-39 years, female 546.8
GTEX-1QP9N-1226-SM-E76QN 30-39 years, male 546.8
GTEX-Y111-0626-SM-4SOIT 50-59 years, male 545.2
GTEX-148VJ-0626-SM-5LUAW 70-79 years, male 539.4
GTEX-1RAZQ-1326-SM-E9TK6 30-39 years, male 536.6
GTEX-1MJK3-0726-SM-E6CJC 20-29 years, male 535.2
GTEX-1PIGE-1826-SM-E8VOU 20-29 years, male 535.1
GTEX-13OVJ-0826-SM-5J1OK 50-59 years, female 533.4
GTEX-ZYFC-0426-SM-5GICQ 50-59 years, male 531.8
GTEX-16MT9-0126-SM-7EPI8 60-69 years, female 531.5
GTEX-1QAET-0326-SM-EVR3U 50-59 years, male 529.9
GTEX-1H11D-1826-SM-9QEHM 40-49 years, male 529.6
GTEX-1IKOE-1426-SM-CE6T7 30-39 years, female 529.2
GTEX-13112-0126-SM-5P9IU 50-59 years, male 527.8
GTEX-1PIIG-2326-SM-DTXFR 30-39 years, male 527.1
GTEX-1GZHY-0626-SM-9KNVC 50-59 years, female 526.4
GTEX-11O72-0626-SM-5PNYE 40-49 years, male 525.2
GTEX-132AR-0326-SM-5KM2C 50-59 years, female 522.6
GTEX-1JMQL-2226-SM-CNPP4 50-59 years, female 522.3
GTEX-144GO-2026-SM-5O99P 60-69 years, male 522.2
GTEX-139TU-0726-SM-5L3EK 60-69 years, male 518.2
GTEX-12WSK-2126-SM-5CVNC 40-49 years, female 517.0
GTEX-1A3MW-0626-SM-731CB 60-69 years, female 516.4
GTEX-1JN1M-2726-SM-CY8I4 60-69 years, female 514.7
GTEX-1I1GP-1326-SM-A9G28 50-59 years, male 513.5
GTEX-14PJO-2526-SM-6AJBQ 60-69 years, male 511.7
GTEX-17HGU-2326-SM-7DUFE 50-59 years, male 511.6
GTEX-WFON-1926-SM-3LK7L 40-49 years, male 511.0
GTEX-XYKS-1426-SM-4BRUO 60-69 years, female 510.6
GTEX-YEC4-1826-SM-4W1YP 40-49 years, male 510.5
GTEX-17HG3-2626-SM-7DUF2 30-39 years, female 509.1
GTEX-1BAJH-2426-SM-7IGP8 70-79 years, male 509.1
GTEX-11OF3-0126-SM-5PNYF 60-69 years, male 508.8
GTEX-12126-0826-SM-5FQTZ 20-29 years, male 507.3
GTEX-ZVT4-2426-SM-5GIEI 50-59 years, female 505.9
GTEX-1J1OQ-0126-SM-D4P2N 40-49 years, female 505.6
GTEX-13JVG-0726-SM-5KM16 60-69 years, male 505.1
GTEX-13YAN-0226-SM-5TDC6 60-69 years, male 504.9
GTEX-14E1K-2026-SM-7DUEI 50-59 years, male 501.9
GTEX-1I1GU-0926-SM-ACKVS 40-49 years, male 500.8
GTEX-ZYT6-2326-SM-5GZY3 30-39 years, male 500.5
GTEX-11TT1-1826-SM-5EQLV 20-29 years, male 499.7
GTEX-131XH-0126-SM-5LZUY 50-59 years, male 498.5
GTEX-139TS-2126-SM-5K7XC 60-69 years, male 497.3
GTEX-145MG-1526-SM-5Q5EM 50-59 years, male 495.3
GTEX-11DXW-0826-SM-5H118 40-49 years, male 493.9
GTEX-1CB4F-1026-SM-7DUH1 60-69 years, male 493.4
GTEX-ZLFU-1826-SM-4WWBV 40-49 years, male 493.3
GTEX-1JJEA-1826-SM-ARU8P 60-69 years, male 493.3
GTEX-1313W-0626-SM-5EQ4H 50-59 years, female 491.8
GTEX-WXYG-2026-SM-4E3IY 50-59 years, female 491.0
GTEX-1H1CY-0126-SM-9YFLY 60-69 years, female 490.4
GTEX-1CAMS-2226-SM-7PBXQ 40-49 years, female 490.3
GTEX-14ICL-1626-SM-5YYAO 30-39 years, male 489.5
GTEX-1MCYP-0526-SM-E9U6Q 20-29 years, female 489.4
GTEX-1HT8W-0626-SM-A9G2H 30-39 years, male 488.3
GTEX-11DXY-0126-SM-5H11Q 60-69 years, male 488.2
GTEX-1CB4J-1326-SM-7P8RX 60-69 years, male 487.5
GTEX-1LKK1-2626-SM-DKPQE 50-59 years, female 486.0
GTEX-1JMQK-1226-SM-D4P2S 60-69 years, male 485.4
GTEX-1F48J-0726-SM-7RHGS 50-59 years, female 485.1
GTEX-YJ8O-2526-SM-5HL85 40-49 years, female 483.2
GTEX-145MH-2826-SM-5RQJF 50-59 years, male 481.8
GTEX-1IDFM-0326-SM-ARL7V 60-69 years, male 481.8
GTEX-14LZ3-0126-SM-69LPM 60-69 years, female 481.0
GTEX-1R9PM-1926-SM-EVR3O 20-29 years, male 480.9
GTEX-13FTY-2126-SM-5IFFB 40-49 years, female 480.6
GTEX-1B97I-0626-SM-73KUZ 40-49 years, male 480.3
GTEX-13SLX-2226-SM-62LEP 50-59 years, female 479.7
GTEX-1O9I2-0226-SM-EYYXD 50-59 years, male 479.5
GTEX-18A6Q-0626-SM-7KFRP 60-69 years, male 477.7
GTEX-1AX8Z-0726-SM-73KTS 60-69 years, male 477.7
GTEX-1HC8U-1326-SM-9YFMJ 40-49 years, female 477.7
GTEX-1IY9M-2826-SM-ARU8H 60-69 years, male 477.3
GTEX-1I1GV-0626-SM-ARL7M 60-69 years, male 477.2
GTEX-Y5V6-2326-SM-4VDSA 60-69 years, male 477.0
GTEX-13RTJ-0126-SM-5S2NN 60-69 years, male 476.9
GTEX-ZXG5-2126-SM-59HKD 60-69 years, male 474.8
GTEX-1J8EW-2726-SM-CY8HR 60-69 years, female 474.6
GTEX-1QCLY-0226-SM-EWRNH 30-39 years, male 472.4
GTEX-1POEN-2326-SM-E9J2L 30-39 years, female 470.7
GTEX-1GF9V-0826-SM-9KNUV 60-69 years, male 470.5
GTEX-1GMRU-2126-SM-7P8RA 50-59 years, male 470.5
GTEX-YFCO-1226-SM-5LUAT 40-49 years, male 470.1
GTEX-14ABY-2026-SM-62LDL 50-59 years, male 470.0
GTEX-1IKJJ-2226-SM-CJI4C 60-69 years, male 469.4
GTEX-18A66-0626-SM-7LT8Z 60-69 years, male 468.7
GTEX-17F9E-2326-SM-79OKD 50-59 years, male 467.2
GTEX-1E1VI-0326-SM-793D1 50-59 years, male 466.7
GTEX-1JMQJ-0826-SM-CNPP7 50-59 years, male 466.6
GTEX-ZPCL-1126-SM-4WWFE 60-69 years, female 466.2
GTEX-13OVH-0526-SM-5L3E6 70-79 years, male 465.7
GTEX-1H2FU-0926-SM-9WPPT 60-69 years, female 465.7
GTEX-139TT-2126-SM-5LZWC 60-69 years, male 465.1
GTEX-ZZ64-1026-SM-5GZXG 20-29 years, male 464.5
GTEX-1CAMQ-1326-SM-7P8RV 40-49 years, male 464.3
GTEX-1H23P-0626-SM-9WG6T 60-69 years, male 462.6
GTEX-1IE54-1126-SM-A9G2Z 40-49 years, female 461.9
GTEX-1J8QM-2426-SM-A9SLS 60-69 years, female 461.9
GTEX-1JMOU-1026-SM-CYPSS 60-69 years, female 461.5
GTEX-12WSD-0626-SM-5GCMW 60-69 years, female 460.7
GTEX-11NUK-2726-SM-5A5MC 50-59 years, male 460.3
GTEX-1F88F-0126-SM-9WYSZ 60-69 years, female 460.1
GTEX-ZDXO-3126-SM-5IJDF 60-69 years, male 459.8
GTEX-14PHX-2226-SM-6EU2P 50-59 years, male 459.3
GTEX-15RJE-2826-SM-7KUM9 40-49 years, male 459.0
GTEX-WHWD-1826-SM-3LK6I 50-59 years, male 457.9
GTEX-1GPI7-1826-SM-9KNU1 20-29 years, male 457.4
GTEX-17HHY-0426-SM-7DHLC 50-59 years, male 457.3
GTEX-1PDJ9-1226-SM-EXUSX 20-29 years, male 455.5
GTEX-139UW-0326-SM-5J1ML 60-69 years, male 455.2
GTEX-1192X-2726-SM-5N9DN 50-59 years, male 454.9
GTEX-1R9K4-2826-SM-DTX8F 60-69 years, male 454.7
GTEX-Y3I4-1726-SM-4TT89 50-59 years, male 454.2
GTEX-15DYW-2726-SM-6EU2I 60-69 years, female 454.1
GTEX-1H1DG-2426-SM-9QEHJ 70-79 years, male 454.1
GTEX-16MT8-2926-SM-7DUFO 60-69 years, female 453.5
GTEX-17F9Y-0126-SM-79OKX 70-79 years, female 452.9
GTEX-ZVP2-0326-SM-57WBP 50-59 years, male 451.5
GTEX-ZDYS-2426-SM-4WKGI 50-59 years, male 451.4
GTEX-1GN1V-2826-SM-9JGIA 60-69 years, male 451.4
GTEX-15CHR-1126-SM-7EWF4 50-59 years, male 449.6
GTEX-17HHE-1326-SM-7EWDZ 50-59 years, male 449.2
GTEX-131YS-2826-SM-5EQ47 60-69 years, female 448.3
GTEX-1PBJJ-1026-SM-E76OS 30-39 years, male 448.2
GTEX-14C38-0726-SM-5SI6M 50-59 years, male 448.0
GTEX-1QPFJ-1926-SM-EVYBD 30-39 years, female 446.5
GTEX-13OW7-0426-SM-5K7VK 50-59 years, male 445.3
GTEX-1GZ4I-2626-SM-9KNU3 50-59 years, male 444.1
GTEX-17F96-0126-SM-7EWDU 70-79 years, male 442.9
GTEX-1B8SF-0126-SM-7DUG3 60-69 years, male 442.8
GTEX-11P7K-1126-SM-5HL4L 30-39 years, male 442.6
GTEX-1GN73-0726-SM-7P8TJ 60-69 years, male 442.4
GTEX-12WSF-1626-SM-7KUG5 70-79 years, male 441.9
GTEX-14E6C-2426-SM-5S2NF 40-49 years, male 441.8
GTEX-1N2EE-0626-SM-E76PW 60-69 years, male 441.8
GTEX-1LVAN-0626-SM-CNPOQ 50-59 years, female 440.8
GTEX-1H4P4-2126-SM-9WYSL 50-59 years, male 440.4
GTEX-11ZU8-0126-SM-5EQ58 60-69 years, male 439.8
GTEX-13OW5-2326-SM-5L3HO 60-69 years, male 439.8
GTEX-1IDJC-1526-SM-B2LW4 50-59 years, male 439.4
GTEX-ZAK1-0626-SM-5HL8E 50-59 years, female 438.8
GTEX-13IVO-0726-SM-5LZYV 70-79 years, male 438.3
GTEX-18A67-1626-SM-7LT9T 50-59 years, male 437.7
GTEX-WHPG-2626-SM-3NMBR 50-59 years, male 437.6
GTEX-12584-0726-SM-5FQTK 40-49 years, male 437.4
GTEX-1HFI6-0126-SM-CNPPI 40-49 years, male 437.1
GTEX-11TUW-0626-SM-5LU9M 60-69 years, male 437.0
GTEX-13OW6-2726-SM-5J2OE 50-59 years, male 436.3
GTEX-ZVE1-0726-SM-51MRN 50-59 years, female 436.1
GTEX-1NSGN-0726-SM-DTXEF 50-59 years, male 436.1
GTEX-1LVA9-2626-SM-EVYD4 50-59 years, male 435.2
GTEX-139T8-0626-SM-5KLZX 60-69 years, male 434.4
GTEX-ZWKS-0626-SM-5GIDV 30-39 years, male 434.4
GTEX-139YR-1026-SM-5LZYN 50-59 years, male 434.2
GTEX-YEC3-1326-SM-DO92X 50-59 years, male 434.1
GTEX-12ZZY-0726-SM-5EQ66 60-69 years, male 433.1
GTEX-17F98-1326-SM-7DUEP 40-49 years, female 433.1
GTEX-15DDE-2926-SM-6LLJ3 50-59 years, female 432.9
GTEX-18465-2826-SM-7LT9J 50-59 years, male 432.9
GTEX-17HII-1426-SM-7EPGG 50-59 years, male 432.8
GTEX-ZTTD-2826-SM-4YCFA 50-59 years, male 432.3
GTEX-Y8E4-2026-SM-5IFJB 40-49 years, male 432.0
GTEX-ZC5H-1526-SM-5HL9Y 40-49 years, female 431.7
GTEX-1ICG6-1226-SM-A9SLN 70-79 years, female 431.7
GTEX-145MN-1526-SM-5SI9T 30-39 years, male 431.6
GTEX-ZF2S-1626-SM-57WES 50-59 years, female 430.8
GTEX-17KNJ-2126-SM-718AM 50-59 years, male 430.4
GTEX-12ZZZ-0726-SM-5GCNZ 60-69 years, male 430.0
GTEX-14BIN-1126-SM-5RQJZ 50-59 years, female 430.0
GTEX-1J8JJ-0626-SM-ARZMQ 60-69 years, female 429.7
GTEX-12WSH-1526-SM-5BC5W 50-59 years, male 428.0
GTEX-13FTX-1526-SM-5K7VJ 20-29 years, female 427.6
GTEX-1S82U-1026-SM-E6CJK 30-39 years, female 427.1
GTEX-1EKGG-0626-SM-7DUGJ 60-69 years, male 426.1
GTEX-1PPGY-1626-SM-EVYBL 60-69 years, male 426.1
GTEX-XPVG-2126-SM-4B667 50-59 years, male 425.4
GTEX-Y3IK-1626-SM-4YCF5 50-59 years, female 425.2
GTEX-1CB4E-0926-SM-7EPHT 60-69 years, male 425.0
GTEX-ZPU1-1126-SM-4YCF3 40-49 years, male 424.6
GTEX-13OVG-1626-SM-5J1NF 60-69 years, male 424.3
GTEX-17MFQ-1526-SM-7KFRR 20-29 years, male 424.3
GTEX-1LSVX-2526-SM-DIPEU 60-69 years, male 424.2
GTEX-1QP2A-1726-SM-E76QC 50-59 years, male 424.1
GTEX-11DXZ-2026-SM-5987S 50-59 years, male 423.5
GTEX-13PVQ-0626-SM-5LU47 50-59 years, male 422.2
GTEX-15G1A-1626-SM-7KUKN 30-39 years, male 421.6
GTEX-1OJC4-2726-SM-E76PJ 50-59 years, female 421.6
GTEX-ZF3C-0626-SM-DO92O 50-59 years, female 421.4
GTEX-1JN6P-2926-SM-CL54D 60-69 years, male 421.3
GTEX-1H3O1-1326-SM-9MQLD 60-69 years, male 420.1
GTEX-1B933-2426-SM-7DHMD 50-59 years, female 419.8
GTEX-1GTWX-2026-SM-9YFLM 60-69 years, male 419.8
GTEX-X8HC-0626-SM-4E3HQ 50-59 years, female 419.2
GTEX-15UF6-1926-SM-7KUDV 70-79 years, female 418.3
GTEX-1117F-2926-SM-5GZYI 60-69 years, female 417.8
GTEX-1CAMR-1326-SM-7PC1F 20-29 years, male 417.5
GTEX-18A7B-2726-SM-7LG56 70-79 years, male 415.8
GTEX-1RB15-1326-SM-E76Q9 60-69 years, male 415.8
GTEX-1CB4I-0126-SM-7RHGG 50-59 years, male 415.5
GTEX-15CHQ-0326-SM-69LQD 60-69 years, male 414.4
GTEX-1JMPY-0226-SM-CKZOK 30-39 years, male 414.2
GTEX-1I1HK-2326-SM-CKZOH 60-69 years, male 413.9
GTEX-1C64N-2626-SM-7PC2N 50-59 years, male 413.3
GTEX-1HGF4-0126-SM-CNPPX 60-69 years, male 413.2
GTEX-1EMGI-2326-SM-7PBYA 60-69 years, male 412.9
GTEX-1GMR3-0126-SM-A9SLW 40-49 years, male 412.1
GTEX-1C64O-1326-SM-7MGWR 60-69 years, male 412.0
GTEX-11GS4-0226-SM-5HL77 60-69 years, male 411.3
GTEX-14JG1-1526-SM-5YY9X 40-49 years, male 411.2
GTEX-1S83E-1326-SM-E6CJM 40-49 years, male 411.2
GTEX-ZP4G-1426-SM-4WWCL 20-29 years, female 410.5
GTEX-14C39-1726-SM-5RQIL 40-49 years, male 410.3
GTEX-11NSD-0626-SM-5A5LU 20-29 years, male 409.8
GTEX-1KAFJ-0126-SM-DIPEK 50-59 years, male 409.8
GTEX-139D8-1126-SM-5LU8W 30-39 years, female 409.5
GTEX-1S3DN-2126-SM-E9TIN 50-59 years, male 409.2
GTEX-1J8Q2-2626-SM-ACKWQ 60-69 years, male 408.0
GTEX-18D9B-0926-SM-7LG4U 60-69 years, male 407.7
GTEX-1B8KE-1126-SM-7EPHI 50-59 years, male 407.3
GTEX-13PL6-1126-SM-5L3IE 40-49 years, female 407.2
GTEX-1RLM8-2926-SM-E8VON 50-59 years, male 406.4
GTEX-16NPX-0726-SM-7KULC 50-59 years, male 406.2
GTEX-WHSB-1326-SM-3LK6W 50-59 years, male 406.0
GTEX-1EWIQ-0326-SM-7DHMQ 70-79 years, female 405.6
GTEX-14BMV-2826-SM-5TDED 50-59 years, male 404.2
GTEX-1HBPI-2126-SM-ARL9K 50-59 years, male 404.1
GTEX-147GR-2426-SM-5ZZWQ 60-69 years, male 403.8
GTEX-14C5O-0326-SM-5ZZUX 60-69 years, male 403.7
GTEX-1EX96-1026-SM-7MKG2 50-59 years, male 403.7
GTEX-ZF29-0926-SM-4WKFZ 60-69 years, female 403.6
GTEX-1A8FM-0626-SM-7PC25 50-59 years, female 403.6
GTEX-1HBPN-0126-SM-CGQEF 50-59 years, male 403.5
GTEX-ZVZP-1226-SM-5GID7 50-59 years, male 402.8
GTEX-XXEK-1626-SM-4BRUZ 50-59 years, male 402.7
GTEX-13PDP-0726-SM-5L3HP 60-69 years, male 402.4
GTEX-WFG8-2126-SM-3GIKQ 20-29 years, male 402.0
GTEX-111YS-1526-SM-5GZYW 60-69 years, male 400.9
GTEX-16MTA-0926-SM-6M47Z 50-59 years, male 400.7
GTEX-1GN1U-0626-SM-9MQL9 50-59 years, female 400.7
GTEX-XOT4-0626-SM-4B66L 60-69 years, female 400.4
GTEX-1F5PK-2226-SM-7SB6N 50-59 years, male 400.4
GTEX-18D9U-0126-SM-731BM 40-49 years, male 398.9
GTEX-1LB8K-0726-SM-D5OV2 50-59 years, male 398.5
GTEX-18D9A-1426-SM-7LT8M 30-39 years, female 397.5
GTEX-13X6K-0626-SM-5LU5D 60-69 years, female 397.3
GTEX-ZU9S-1826-SM-5NQ9E 30-39 years, male 397.2
GTEX-14PII-0726-SM-6EU2B 60-69 years, male 396.4
GTEX-1QW4Y-1126-SM-DTXE3 30-39 years, male 396.2
GTEX-133LE-2326-SM-5K7W3 20-29 years, female 395.0
GTEX-11ZTT-2126-SM-5CVLO 60-69 years, female 394.0
GTEX-YB5K-2026-SM-4VDT3 40-49 years, female 392.1
GTEX-1JN76-0626-SM-CKZOQ 20-29 years, female 391.6
GTEX-11VI4-1126-SM-5EQMD 40-49 years, female 391.4
GTEX-1A8G6-2726-SM-731AR 60-69 years, male 391.3
GTEX-13X6J-0626-SM-5LU5F 50-59 years, male 391.0
GTEX-1F75A-0726-SM-7RHHD 50-59 years, male 390.7
GTEX-1EN7A-2426-SM-793DB 40-49 years, male 390.6
GTEX-1AX9I-2226-SM-73KUO 60-69 years, male 389.7
GTEX-1PPH7-1126-SM-DTX9A 40-49 years, male 389.4
GTEX-X4EO-2926-SM-4E3JH 60-69 years, female 389.2
GTEX-1S82P-2126-SM-E6CI5 60-69 years, female 388.9
GTEX-1I6K7-1926-SM-B2LXR 40-49 years, male 388.8
GTEX-14JFF-0626-SM-5ZZVT 60-69 years, male 388.3
GTEX-12KS4-2126-SM-5FQUT 30-39 years, male 387.9
GTEX-1H1DE-1326-SM-9KNUG 20-29 years, male 385.1
GTEX-11GSP-2326-SM-5HL63 60-69 years, female 384.9
GTEX-13N1W-2426-SM-5IJD1 70-79 years, male 384.8
GTEX-1IL2V-1926-SM-B2LW8 70-79 years, male 383.7
GTEX-1HCU7-0726-SM-A9SL1 50-59 years, male 383.0
GTEX-17EVP-2626-SM-7IGMA 40-49 years, male 382.9
GTEX-13113-1626-SM-5EQ4I 60-69 years, female 382.8
GTEX-15SKB-2826-SM-6PAMH 60-69 years, male 382.7
GTEX-1JMQI-1726-SM-ARL93 50-59 years, male 382.7
GTEX-14PK6-0226-SM-62LF5 70-79 years, female 381.4
GTEX-1GZ4H-0526-SM-9KNU9 50-59 years, female 381.3
GTEX-11UD2-2526-SM-5CVNU 50-59 years, male 381.2
GTEX-1H1DF-1126-SM-9WG7G 40-49 years, female 380.8
GTEX-11ZUS-2626-SM-5FQUR 30-39 years, male 380.6
GTEX-1497J-0226-SM-5QGPU 60-69 years, male 380.4
GTEX-1MCC2-1826-SM-DIPEX 30-39 years, female 380.4
GTEX-16AAH-0626-SM-793C9 50-59 years, male 379.9
GTEX-1HCUA-0826-SM-ADEHM 50-59 years, female 379.9
GTEX-ZAB4-2126-SM-5HL8U 40-49 years, male 378.9
GTEX-111CU-1126-SM-5EGIM 50-59 years, male 378.5
GTEX-1HR98-2226-SM-ADEI2 60-69 years, male 377.3
GTEX-X4EP-0626-SM-3P621 60-69 years, female 376.8
GTEX-ZE9C-2526-SM-5IJDR 60-69 years, male 376.3
GTEX-15EU6-2226-SM-6EU2L 50-59 years, male 375.2
GTEX-14PKV-1126-SM-6LLJ1 20-29 years, female 374.3
GTEX-Y5LM-0926-SM-6LLJG 40-49 years, female 374.3
GTEX-ZDTT-0426-SM-4WKFL 60-69 years, male 372.1
GTEX-1C6VQ-1226-SM-73KYD 50-59 years, male 371.9
GTEX-WRHU-2826-SM-3MJG8 50-59 years, female 371.9
GTEX-13O61-1426-SM-5KM3D 60-69 years, male 371.8
GTEX-145MF-0926-SM-5Q5EA 50-59 years, male 371.2
GTEX-1IDJE-1426-SM-ADEIW 50-59 years, female 371.1
GTEX-1QP28-1126-SM-EVYC4 50-59 years, female 370.8
GTEX-1269C-0126-SM-5EQ5L 60-69 years, female 370.7
GTEX-11EQ9-1626-SM-5PNY8 30-39 years, male 370.2
GTEX-1GN2E-0226-SM-9WG6K 60-69 years, male 369.6
GTEX-13SLW-0626-SM-5Q5ER 70-79 years, male 369.5
GTEX-13VXU-0626-SM-5L3F9 50-59 years, male 369.1
GTEX-144GM-0526-SM-79OJO 20-29 years, male 368.7
GTEX-1K2DU-1226-SM-CYPT4 20-29 years, male 368.4
GTEX-1GF9W-1426-SM-7PBYM 60-69 years, male 368.3
GTEX-146FQ-2126-SM-5RQHU 30-39 years, male 367.7
GTEX-1I1CD-0626-SM-CE6SW 60-69 years, female 367.2
GTEX-183FY-1026-SM-7939A 20-29 years, male 366.6
GTEX-145LS-0626-SM-7EPG7 60-69 years, female 366.0
GTEX-17EVQ-0126-SM-7IGLR 70-79 years, male 365.5
GTEX-XAJ8-1426-SM-47JYM 40-49 years, male 365.5
GTEX-1LVAO-2726-SM-E9TJ8 60-69 years, male 365.1
GTEX-131XW-0626-SM-5PNVD 50-59 years, female 365.0
GTEX-1F6IF-0926-SM-7SB7M 60-69 years, male 364.9
GTEX-ZPIC-0526-SM-DO91W 40-49 years, female 364.3
GTEX-13X6I-1826-SM-5SIAO 60-69 years, male 363.1
GTEX-13NYS-0626-SM-5L3F1 60-69 years, male 362.8
GTEX-13OVL-0126-SM-5L3GJ 50-59 years, male 362.4
GTEX-1F75B-0726-SM-7PC3R 50-59 years, male 361.6
GTEX-VUSG-2326-SM-4KL1U 50-59 years, male 361.4
GTEX-ZUA1-2626-SM-5NQ92 40-49 years, male 360.5
GTEX-1JMPZ-0726-SM-CY8HZ 30-39 years, male 360.4
GTEX-1F75I-2226-SM-7SB8U 40-49 years, male 360.3
GTEX-15D1Q-2826-SM-6LLH7 40-49 years, male 360.1
GTEX-UPJH-0226-SM-3GADV 50-59 years, male 359.6
GTEX-WY7C-2126-SM-3NB2R 50-59 years, male 359.5
GTEX-1GPI6-1926-SM-9KNV7 60-69 years, male 358.9
GTEX-1I1GT-1026-SM-ARZLV 60-69 years, female 358.9
GTEX-145MO-2826-SM-5LU96 60-69 years, male 358.6
GTEX-1F6RS-2026-SM-7RHHC 60-69 years, female 358.0
GTEX-1C6VR-0126-SM-7RHGB 60-69 years, male 357.7
GTEX-X3Y1-2026-SM-3P5YM 40-49 years, male 357.4
GTEX-1GN1W-2426-SM-9KNUU 50-59 years, female 357.3
GTEX-1212Z-0126-SM-59HK4 60-69 years, male 357.2
GTEX-16XZZ-0726-SM-7KUF2 60-69 years, male 357.1
GTEX-V1D1-2026-SM-3GAF4 50-59 years, male 357.1
GTEX-1S5ZU-2526-SM-E6CIF 20-29 years, female 357.1
GTEX-1B8KZ-0326-SM-73KY4 50-59 years, male 356.5
GTEX-1LBAC-0826-SM-CY8IJ 20-29 years, male 356.4
GTEX-15ER7-0626-SM-6PANF 20-29 years, female 356.0
GTEX-1KANA-1326-SM-DIPFA 20-29 years, male 356.0
GTEX-1IOXB-2726-SM-CM2RI 50-59 years, male 354.9
GTEX-13W3W-0726-SM-5IJDQ 60-69 years, female 354.2
GTEX-1HR9M-2226-SM-CNPPY 60-69 years, male 353.2
GTEX-1LSNL-2726-SM-E9TKJ 50-59 years, male 353.2
GTEX-1A8G7-1326-SM-73KVM 60-69 years, male 352.9
GTEX-XBED-1926-SM-47JYP 60-69 years, male 352.9
GTEX-13FHO-0426-SM-5L3F5 60-69 years, male 352.0
GTEX-13N11-2326-SM-5IJBF 50-59 years, female 351.9
GTEX-147F3-1726-SM-5SIAW 50-59 years, female 351.6
GTEX-13FH7-1126-SM-5K7UG 50-59 years, female 351.5
GTEX-WEY5-2326-SM-3GIKK 40-49 years, female 351.5
GTEX-Y9LG-1126-SM-4VBQ7 30-39 years, male 351.4
GTEX-1QP29-1826-SM-DTX9S 50-59 years, male 351.1
GTEX-111FC-2526-SM-5GZXU 60-69 years, male 350.7
GTEX-ZZPU-0826-SM-5GZX5 50-59 years, female 350.5
GTEX-13FTW-0326-SM-5K7UW 40-49 years, male 350.0
GTEX-1KD5A-0126-SM-E9U54 50-59 years, male 349.7
GTEX-1KANB-2826-SM-CY8I6 50-59 years, male 349.5
GTEX-1HSMQ-2626-SM-A9SML 50-59 years, male 349.4
GTEX-Y8LW-1526-SM-5IFHL 50-59 years, female 349.3
GTEX-16Z82-2626-SM-7KULU 60-69 years, male 348.7
GTEX-18QFQ-1826-SM-72D52 30-39 years, male 348.4
GTEX-ZAJG-1526-SM-5CVML 50-59 years, female 348.2
GTEX-1JKYN-0826-SM-ARU8S 30-39 years, male 348.2
GTEX-XV7Q-1826-SM-4BRUV 40-49 years, female 348.1
GTEX-11P82-1426-SM-DTXFY 20-29 years, male 347.6
GTEX-14753-0726-SM-5QGQO 60-69 years, male 345.9
GTEX-145LT-0526-SM-5LUB2 40-49 years, male 344.8
GTEX-11EI6-2826-SM-5H11D 60-69 years, male 344.5
GTEX-1QEPI-2626-SM-DTXF4 60-69 years, female 344.4
GTEX-14A6H-2026-SM-5Q5DD 30-39 years, male 344.3
GTEX-1B996-0426-SM-7EWF8 60-69 years, male 344.1
GTEX-ZTSS-1426-SM-5985P 40-49 years, male 344.1
GTEX-1HBPM-0726-SM-9YFL7 60-69 years, female 344.0
GTEX-1CAV2-0126-SM-7IGN7 40-49 years, female 343.6
GTEX-1JK1U-0226-SM-ARZMX 60-69 years, male 342.5
GTEX-16BQI-1326-SM-6M486 30-39 years, female 342.1
GTEX-ZLV1-1526-SM-DO91J 60-69 years, female 341.9
GTEX-145ME-1726-SM-5Q5EU 40-49 years, female 340.8
GTEX-1A3MX-2626-SM-7PC24 60-69 years, male 340.8
GTEX-1JJE9-2626-SM-ARZMT 70-79 years, male 340.4
GTEX-X5EB-1926-SM-4E3IW 40-49 years, male 340.1
GTEX-1LVAM-0726-SM-E6CIL 50-59 years, female 339.7
GTEX-16GPK-0626-SM-7KFSF 60-69 years, male 339.4
GTEX-UPK5-0426-SM-3GAEK 40-49 years, male 339.2
GTEX-1H1ZS-2726-SM-9WG75 70-79 years, male 339.2
GTEX-11LCK-2226-SM-5HL4Q 30-39 years, male 338.7
GTEX-1F52S-2926-SM-7MKGA 60-69 years, female 338.4
GTEX-1J8Q3-0526-SM-ARL8U 60-69 years, male 338.4
GTEX-XBEC-0726-SM-4QARZ 50-59 years, male 337.8
GTEX-1M4P7-0726-SM-E6CJ3 60-69 years, male 337.7
GTEX-ZVTK-0226-SM-51MRG 20-29 years, male 337.6
GTEX-WK11-2726-SM-3NMAQ 50-59 years, male 337.5
GTEX-12696-0126-SM-5EQ4L 60-69 years, male 337.4
GTEX-15EO6-2426-SM-6PALZ 50-59 years, male 337.4
GTEX-1LG7Y-2526-SM-EWRO7 50-59 years, male 337.3
GTEX-1HSKV-1226-SM-ADEI4 60-69 years, male 336.7
GTEX-1RMOY-1326-SM-E9TIH 50-59 years, male 336.0
GTEX-1AX9J-1326-SM-731BJ 60-69 years, male 335.9
GTEX-1B8L1-2226-SM-7P8PT 60-69 years, male 335.5
GTEX-1HB9E-0126-SM-CM2S5 50-59 years, male 335.4
GTEX-1HKZK-0726-SM-ACKW2 40-49 years, male 335.0
GTEX-12BJ1-0926-SM-5EQ62 60-69 years, male 334.8
GTEX-1N5O9-0926-SM-E9J3C 60-69 years, male 334.5
GTEX-1211K-1526-SM-5FQU4 60-69 years, female 334.4
GTEX-13O3Q-0126-SM-5KM34 50-59 years, male 334.3
GTEX-183WM-0326-SM-72D5V 70-79 years, female 334.3
GTEX-178AV-1726-SM-7KUL8 40-49 years, male 333.8
GTEX-1QP66-1226-SM-DTX7U 50-59 years, male 333.8
GTEX-1S831-1826-SM-EWROF 20-29 years, male 333.7
GTEX-11EQ8-0926-SM-5H12V 60-69 years, male 333.6
GTEX-14DAR-1226-SM-73KYV 50-59 years, male 333.1
GTEX-13NZ9-2626-SM-5L3FK 50-59 years, male 332.9
GTEX-1JKYR-0626-SM-ARL8R 20-29 years, male 332.8
GTEX-17JCI-2926-SM-7DUFF 60-69 years, female 332.3
GTEX-1HUB1-1426-SM-CGQF5 60-69 years, male 331.8
GTEX-1I1GS-2626-SM-B2LY3 60-69 years, male 331.4
GTEX-131XF-2626-SM-5EQ6K 60-69 years, male 331.2
GTEX-1LG7Z-1626-SM-CXKYR 30-39 years, male 331.2
GTEX-14JG6-1426-SM-9WG7C 30-39 years, female 331.1
GTEX-13D11-0926-SM-5J2NC 50-59 years, female 329.9
GTEX-14B4R-1326-SM-5Q5EZ 30-39 years, male 329.4
GTEX-145LU-1926-SM-79OJN 50-59 years, male 329.2
GTEX-1RAZA-2226-SM-E9U4X 20-29 years, male 328.5
GTEX-14PJ6-2626-SM-6EU2T 60-69 years, female 327.9
GTEX-12WSM-1926-SM-5BC65 60-69 years, male 327.3
GTEX-XUW1-0926-SM-4BONX 50-59 years, female 326.6
GTEX-1GZ2Q-0126-SM-9WG6M 40-49 years, male 325.3
GTEX-1IDJF-2026-SM-CL53V 20-29 years, male 324.5
GTEX-1B932-2326-SM-79OL5 40-49 years, female 324.4
GTEX-1LSNM-0826-SM-DIPG8 50-59 years, male 322.8
GTEX-1IDJH-0126-SM-D3L92 70-79 years, male 322.5
GTEX-13U4I-2226-SM-5LU5H 40-49 years, female 321.9
GTEX-ZYY3-2926-SM-5GIEB 60-69 years, female 321.7
GTEX-14PKU-0126-SM-6LLHV 40-49 years, female 321.5
GTEX-13NZ8-1226-SM-5KM4A 60-69 years, female 321.3
GTEX-14PJ4-0226-SM-5YY92 60-69 years, male 321.0
GTEX-13VXT-1926-SM-5K7UO 20-29 years, female 320.7
GTEX-145MI-0626-SM-5SI8S 60-69 years, female 319.9
GTEX-13OW8-1026-SM-5J1NQ 60-69 years, male 319.8
GTEX-1F75W-2726-SM-7SB8H 60-69 years, male 319.4
GTEX-1A3MV-1826-SM-731CD 30-39 years, male 319.1
GTEX-YF7O-1526-SM-5IFI6 50-59 years, male 318.8
GTEX-1IDJI-0126-SM-CMKHS 50-59 years, female 318.8
GTEX-1IDJD-2326-SM-ACKWX 30-39 years, male 318.2
GTEX-14AS3-1526-SM-5Q5ED 40-49 years, female 317.5
GTEX-13FLV-0126-SM-5K7WT 50-59 years, male 317.0
GTEX-11P81-2226-SM-5PNYI 30-39 years, female 316.6
GTEX-1C2JI-1026-SM-73KY1 50-59 years, male 316.6
GTEX-1H1E6-0426-SM-9WYUS 30-39 years, male 316.1
GTEX-12WSL-2026-SM-5GCML 50-59 years, male 316.0
GTEX-14LLW-2626-SM-62LDZ 70-79 years, female 315.6
GTEX-VJYA-1526-SM-3GIJV 60-69 years, male 315.6
GTEX-1HFI7-2326-SM-CGQFS 50-59 years, female 315.1
GTEX-1399R-1326-SM-5PNYS 30-39 years, male 314.8
GTEX-13PVR-0426-SM-5RQK2 60-69 years, female 313.8
GTEX-14PJ5-1526-SM-6LLIL 60-69 years, female 313.7
GTEX-XMD2-2126-SM-4YCF8 60-69 years, female 313.1
GTEX-1NV5F-0626-SM-DTXEG 60-69 years, female 312.4
GTEX-WYVS-1626-SM-3NM9R 40-49 years, female 312.3
GTEX-1H3VE-0726-SM-9YFL5 40-49 years, male 312.1
GTEX-14E6E-0526-SM-793DN 30-39 years, male 311.8
GTEX-WYBS-0626-SM-3NMAS 60-69 years, female 311.8
GTEX-XQ8I-0926-SM-4BOOF 50-59 years, male 311.3
GTEX-1QMI2-2526-SM-E8VNZ 60-69 years, male 309.5
GTEX-11EM3-1226-SM-5N9DD 20-29 years, female 309.0
GTEX-1EU9M-1426-SM-793AI 60-69 years, male 309.0
GTEX-ZT9W-1126-SM-57WDR 50-59 years, male 308.9
GTEX-1HCU9-0426-SM-9WYSD 20-29 years, male 306.8
GTEX-1GMR2-0826-SM-7PC3V 50-59 years, male 303.2
GTEX-1GF9X-1326-SM-7PC2Y 40-49 years, female 302.9
GTEX-WYJK-0526-SM-3NM8Z 50-59 years, male 302.3
GTEX-13X6H-0926-SM-5SIB2 50-59 years, female 302.1
GTEX-1K2DA-1026-SM-CGQGF 50-59 years, male 302.1
GTEX-1399U-1126-SM-5L3DB 50-59 years, female 301.3
GTEX-1GL5R-1326-SM-7RHHF 50-59 years, male 300.5
GTEX-ZYFG-1526-SM-5GZYM 60-69 years, female 299.9
GTEX-1K9T9-1526-SM-DIPFR 50-59 years, female 299.5
GTEX-1LGRB-0926-SM-COH3K 50-59 years, female 296.1
GTEX-1I6K6-1726-SM-CGQFD 30-39 years, male 295.9
GTEX-17MF6-2626-SM-79OKQ 40-49 years, male 294.4
GTEX-1HCVE-2726-SM-CL54F 50-59 years, male 293.7
GTEX-1CB4H-1126-SM-7MKGL 60-69 years, female 292.9
GTEX-1KWVE-1026-SM-D3L9O 30-39 years, male 292.8
GTEX-15FZZ-0526-SM-7KUGD 30-39 years, female 292.5
GTEX-1R46S-2426-SM-E76QA 60-69 years, female 291.9
GTEX-1I4MK-0126-SM-CY8G6 50-59 years, female 291.7
GTEX-1HCU8-2526-SM-CE6RX 60-69 years, female 291.6
GTEX-1314G-1326-SM-5BC6E 30-39 years, male 291.2
GTEX-ZA64-1026-SM-5HL8R 20-29 years, male 287.5
GTEX-1EH9U-2826-SM-7DUGT 60-69 years, male 286.4
GTEX-1QCLZ-2426-SM-EVYBW 60-69 years, female 286.3
GTEX-13QBU-1226-SM-5LU4G 40-49 years, female 285.3
GTEX-ZVT2-0126-SM-5GIDQ 50-59 years, female 284.0
GTEX-117YX-1926-SM-5GIEC 50-59 years, male 283.7
GTEX-1477Z-0326-SM-7IGLA 60-69 years, male 283.5
GTEX-12WSC-2826-SM-5BC5Y 50-59 years, male 281.6
GTEX-18A7A-0126-SM-731AH 50-59 years, female 281.4
GTEX-13JUV-2026-SM-5K7UA 40-49 years, female 281.3
GTEX-1J1R8-2026-SM-CL53Y 40-49 years, male 279.2
GTEX-1R7EU-1626-SM-DTXG3 60-69 years, male 277.4
GTEX-15CHC-1126-SM-6LLHQ 60-69 years, female 277.3
GTEX-ZLWG-0826-SM-59888 50-59 years, female 277.3
GTEX-1F5PL-0926-SM-7PC2W 40-49 years, female 277.1
GTEX-1RAZS-2526-SM-E6CHT 50-59 years, male 276.4
GTEX-12WSA-0426-SM-5EQ5X 60-69 years, male 276.3
GTEX-1HSMO-0626-SM-ACKXC 60-69 years, male 276.0
GTEX-1I19N-0126-SM-CYPSF 70-79 years, male 275.3
GTEX-ZVE2-2826-SM-5GU51 50-59 years, male 275.0
GTEX-1122O-1026-SM-9WYSF 60-69 years, female 274.9
GTEX-1A32A-0626-SM-731AQ 50-59 years, female 274.3
GTEX-13N2G-0226-SM-5K7VF 60-69 years, male 274.1
GTEX-1F88E-1626-SM-7SB8Z 60-69 years, female 272.5
GTEX-1KXAM-1626-SM-D3LAD 60-69 years, male 272.2
GTEX-13QJC-0126-SM-5ZZWJ 60-69 years, female 270.4
GTEX-16NGA-0726-SM-731AO 40-49 years, female 269.7
GTEX-14PJN-1826-SM-6AJ98 30-39 years, male 269.4
GTEX-1C475-1326-SM-7SB73 40-49 years, female 267.3
GTEX-14BMU-1226-SM-5S2OR 20-29 years, female 266.3
GTEX-1RAZR-2126-SM-E9U6T 40-49 years, male 264.0
GTEX-1H3NZ-2726-SM-9WYTQ 60-69 years, male 263.8
GTEX-1KANC-1226-SM-CYPT7 50-59 years, female 263.0
GTEX-147JS-0226-SM-5S2U9 60-69 years, male 261.4
GTEX-1IDJV-0126-SM-COH3Y 60-69 years, male 257.3
GTEX-1L5NE-1126-SM-D3L9P 50-59 years, male 253.0
GTEX-1LGOU-1326-SM-D3L8M 20-29 years, female 251.0
GTEX-1GMR8-0626-SM-7RHI7 50-59 years, female 249.4
GTEX-1HSGN-0826-SM-ACKW3 40-49 years, female 241.3
GTEX-14DAQ-0626-SM-793DS 60-69 years, female 240.5
GTEX-1GF9U-2026-SM-7SB92 40-49 years, female 237.3
GTEX-14PJ2-0626-SM-6LLII 50-59 years, male 237.1
GTEX-1JJ6O-2726-SM-CNPOG 60-69 years, male 237.1
GTEX-Y5V5-0126-SM-5S2NW 60-69 years, female 235.1
GTEX-1ICLY-0826-SM-CMKG1 50-59 years, male 235.1
GTEX-1AMEY-0826-SM-72D65 30-39 years, female 231.5
GTEX-12C56-1526-SM-5FQUQ 20-29 years, male 231.0
GTEX-ZGAY-1826-SM-DO91Q 40-49 years, female 230.4
GTEX-1IDJU-1726-SM-CMKHU 60-69 years, female 229.1
GTEX-1AMFI-1326-SM-7939R 50-59 years, female 214.3
Show allShow less
Skin - Sun Exposed (Lower leg)
Average nTPM: 397.6
Samples: 701

Max nTPM: 984.0
Min nTPM: 186.0
Std nTPM: 108.9
Median nTPM: 378.4
GTEX-POMQ-2226-SM-2I5FK 20-29 years, female 984.0
GTEX-Y3IK-2426-SM-4WWDU 50-59 years, female 969.0
GTEX-W5X1-3026-SM-EAZAX 40-49 years, female 880.9
GTEX-X4XY-0226-SM-4E3IZ 60-69 years, male 822.4
GTEX-11DXZ-2326-SM-5EGGV 50-59 years, male 820.7
GTEX-ZYFD-0126-SM-5GIDL 50-59 years, male 809.5
GTEX-14XAO-2326-SM-6EU1B 60-69 years, female 726.8
GTEX-WI4N-1026-SM-3LK7N 40-49 years, female 722.6
GTEX-13CF2-2526-SM-5LZYX 60-69 years, male 715.4
GTEX-13OVH-0126-SM-5MR4B 70-79 years, male 714.9
GTEX-11TT1-2526-SM-5EGIB 20-29 years, male 708.2
GTEX-ZU9S-0226-SM-5E441 30-39 years, male 690.2
GTEX-1399U-2326-SM-5K7WY 50-59 years, female 683.1
GTEX-ZVZO-0126-SM-5A5L9 40-49 years, male 677.0
GTEX-XUZC-1726-SM-4BRWS 30-39 years, female 670.3
GTEX-O5YT-0126-SM-48TBW 20-29 years, male 662.5
GTEX-11DYG-0126-SM-59883 60-69 years, male 648.5
GTEX-XYKS-2126-SM-4E3IB 60-69 years, female 646.2
GTEX-139UW-2826-SM-5L3E7 60-69 years, male 643.8
GTEX-Q734-1926-SM-2I5EV 40-49 years, female 641.5
GTEX-1CAV2-2226-SM-7P8P2 40-49 years, female 637.5
GTEX-Y114-2426-SM-4TT8A 50-59 years, female 637.3
GTEX-1192W-2626-SM-5Q5AF 60-69 years, male 635.0
GTEX-11WQK-0526-SM-5EQLD 50-59 years, male 632.4
GTEX-1JMLX-0226-SM-CM2RO 50-59 years, male 632.4
GTEX-13G51-2526-SM-5LZYK 60-69 years, male 631.9
GTEX-1JMQL-0226-SM-CNPP5 50-59 years, female 631.3
GTEX-183WM-0126-SM-7LTAB 70-79 years, female 630.8
GTEX-1497J-2426-SM-7IGNX 60-69 years, male 627.5
GTEX-Y8DK-0126-SM-4TT3L 60-69 years, male 622.3
GTEX-ZF3C-0126-SM-DO92D 50-59 years, female 615.0
GTEX-15SB6-1726-SM-6PAME 50-59 years, female 613.5
GTEX-139TS-2826-SM-5J1OO 60-69 years, male 609.5
GTEX-14E6C-0126-SM-5RQIP 40-49 years, male 608.3
GTEX-Z93S-0126-SM-5HL7M 50-59 years, male 605.8
GTEX-12584-0126-SM-5EGKQ 40-49 years, male 603.7
GTEX-11H98-0126-SM-5EGHG 50-59 years, male 593.0
GTEX-RUSQ-1526-SM-2TF62 50-59 years, male 591.7
GTEX-14PN4-0126-SM-6EU2V 50-59 years, male 591.0
GTEX-P4QT-0126-SM-2I3FL 50-59 years, female 591.0
GTEX-ZVTK-0426-SM-51MRS 20-29 years, male 584.9
GTEX-11UD1-0126-SM-5PNYG 40-49 years, female 583.9
GTEX-1A3MX-0126-SM-731BR 60-69 years, male 582.1
GTEX-1PIIG-0226-SM-EWRN6 30-39 years, male 580.7
GTEX-132NY-0326-SM-5IJBL 60-69 years, male 580.6
GTEX-X8HC-0126-SM-4E3JW 50-59 years, female 576.5
GTEX-X88G-0126-SM-47JZ3 30-39 years, male 574.7
GTEX-144GN-2326-SM-5LU4F 50-59 years, male 573.0
GTEX-13FXS-0226-SM-5IJCK 50-59 years, male 572.8
GTEX-1HR98-0126-SM-B2LWI 60-69 years, male 571.6
GTEX-U8XE-0326-SM-3DB8P 30-39 years, male 571.3
GTEX-1I1GV-0526-SM-A9G29 60-69 years, male 571.1
GTEX-U8T8-0126-SM-3DB94 60-69 years, male 563.5
GTEX-13NYS-0126-SM-5MR3W 60-69 years, male 563.3
GTEX-131YS-0126-SM-5KM1M 60-69 years, female 560.5
GTEX-ZTPG-0326-SM-5O9AX 20-29 years, female 556.4
GTEX-15UKP-0426-SM-7KUFQ 20-29 years, male 556.0
GTEX-U412-0426-SM-3DB9O 60-69 years, male 555.8
GTEX-1IOXB-0126-SM-ARL8G 50-59 years, male 555.2
GTEX-15ER7-0326-SM-7KUEV 20-29 years, female 552.7
GTEX-Y3I4-2126-SM-4TT7C 50-59 years, male 552.3
GTEX-1C6VQ-0126-SM-7P8RI 50-59 years, male 549.2
GTEX-1N2DW-0226-SM-E9TK2 50-59 years, male 548.0
GTEX-ZDYS-2026-SM-5HL5L 50-59 years, male 543.5
GTEX-12126-0326-SM-5PNW3 20-29 years, male 543.2
GTEX-S33H-1026-SM-EZ6L6 30-39 years, male 540.8
GTEX-117YW-2626-SM-5GZZH 50-59 years, male 538.7
GTEX-ZE7O-0126-SM-57WC1 50-59 years, female 538.1
GTEX-131XE-2326-SM-5PNZ2 50-59 years, male 534.6
GTEX-QESD-1426-SM-2S1R9 20-29 years, male 532.7
GTEX-1KD4Q-0226-SM-E9TJ9 40-49 years, male 529.2
GTEX-1F6IF-0726-SM-7P8TW 60-69 years, male 528.3
GTEX-1QAET-0926-SM-E76QM 50-59 years, male 527.1
GTEX-13FTW-2626-SM-5K7WL 40-49 years, male 525.2
GTEX-RTLS-0126-SM-447CA 60-69 years, female 524.9
GTEX-NPJ8-0126-SM-2YUNR 40-49 years, male 522.7
GTEX-1GN2E-0426-SM-9MQKX 60-69 years, male 520.4
GTEX-ZDTS-0126-SM-4WAY5 60-69 years, male 520.1
GTEX-14ICK-0226-SM-6EU25 40-49 years, male 518.0
GTEX-SE5C-1626-SM-2XCE3 40-49 years, female 517.7
GTEX-1B8SF-1426-SM-7DUGL 60-69 years, male 517.2
GTEX-1GMR3-1926-SM-9KNUZ 40-49 years, male 515.6
GTEX-1H1CY-2826-SM-9MQM3 60-69 years, female 515.4
GTEX-RVPV-0126-SM-EAZAW 60-69 years, male 513.0
GTEX-Y5V6-2426-SM-4VDSB 60-69 years, male 512.1
GTEX-1R9K4-0126-SM-DTX9X 60-69 years, male 511.8
GTEX-14JG1-0426-SM-6ETZZ 40-49 years, male 510.8
GTEX-146FQ-0126-SM-5NQA9 30-39 years, male 508.9
GTEX-17JCI-0126-SM-7LG5G 60-69 years, female 507.8
GTEX-11DZ1-0126-SM-5985Q 50-59 years, male 505.9
GTEX-1HFI6-0226-SM-ADEHZ 40-49 years, male 505.1
GTEX-1PWST-0226-SM-E76QJ 70-79 years, male 504.9
GTEX-1JMPY-1326-SM-ARL8Y 30-39 years, male 504.7
GTEX-ZTX8-1426-SM-5DUVO 20-29 years, male 504.3
GTEX-OHPL-0126-SM-2HMJ7 60-69 years, female 504.0
GTEX-1IKK5-0626-SM-ARL8A 60-69 years, male 503.9
GTEX-1MJK2-0426-SM-DTXE5 50-59 years, male 501.9
GTEX-111VG-2426-SM-5GZXD 60-69 years, male 500.7
GTEX-1EMGI-0126-SM-9KNUE 60-69 years, male 500.6
GTEX-13112-2826-SM-5DUWH 50-59 years, male 500.5
GTEX-TKQ1-1026-SM-4GICL 30-39 years, male 497.5
GTEX-TMZS-0126-SM-3DB9Q 60-69 years, male 497.2
GTEX-18A7A-0226-SM-718BH 50-59 years, female 495.8
GTEX-PX3G-0126-SM-2I3EN 20-29 years, female 495.3
GTEX-ZDXO-3026-SM-5J1N5 60-69 years, male 495.2
GTEX-T6MN-0126-SM-32PLP 50-59 years, male 493.8
GTEX-15UF6-0826-SM-6PALJ 70-79 years, female 493.4
GTEX-13N11-2526-SM-5K7UE 50-59 years, female 492.9
GTEX-1EWIQ-0126-SM-7RHH2 70-79 years, female 492.1
GTEX-1H3VE-0326-SM-9YFLH 40-49 years, male 490.8
GTEX-YFC4-0126-SM-5CVLY 40-49 years, female 489.6
GTEX-146FH-0126-SM-5QGPP 50-59 years, female 488.9
GTEX-SIU8-0126-SM-2XCDT 50-59 years, male 486.9
GTEX-Y111-0126-SM-4SOIV 50-59 years, male 486.8
GTEX-11O72-0126-SM-59887 40-49 years, male 486.3
GTEX-117XS-2726-SM-5N9BL 60-69 years, male 486.2
GTEX-YJ89-0126-SM-4TT3X 60-69 years, male 485.8
GTEX-1J8EW-0126-SM-CJI4F 60-69 years, female 485.4
GTEX-YJ8A-0426-SM-5IFID 20-29 years, male 485.3
GTEX-12WSL-2526-SM-5GCNJ 50-59 years, male 483.6
GTEX-11DXW-0226-SM-5H122 40-49 years, male 481.8
GTEX-1GZHY-0326-SM-9QEHI 50-59 years, female 481.5
GTEX-1M4P7-0226-SM-DIPEV 60-69 years, male 480.8
GTEX-11GSP-2526-SM-5N9BP 60-69 years, female 480.4
GTEX-ZYFC-0226-SM-5NQ75 50-59 years, male 480.0
GTEX-18A6Q-0126-SM-731BZ 60-69 years, male 476.1
GTEX-14E6D-0126-SM-62LDV 50-59 years, male 475.7
GTEX-12ZZX-0126-SM-5EGK9 40-49 years, female 473.6
GTEX-1GZ2Q-0226-SM-7P8TL 40-49 years, male 472.9
GTEX-12WSJ-1826-SM-5GCNY 40-49 years, female 472.6
GTEX-X585-0226-SM-4QAS2 50-59 years, male 472.3
GTEX-1399T-2826-SM-5KLYZ 60-69 years, male 471.9
GTEX-16YQH-0126-SM-7DUFJ 30-39 years, male 471.6
GTEX-14A5H-0426-SM-5QGQF 60-69 years, male 471.2
GTEX-147F4-0226-SM-5QGPW 50-59 years, male 471.0
GTEX-1313W-0126-SM-5LZUN 50-59 years, female 470.0
GTEX-1JMQJ-0526-SM-CYPSU 50-59 years, male 470.0
GTEX-Q2AI-1326-SM-2S1PL 40-49 years, male 469.0
GTEX-ZYW4-0126-SM-5E44A 60-69 years, male 468.4
GTEX-13O1R-0126-SM-5L3EH 60-69 years, male 468.2
GTEX-13OVL-0226-SM-5L3E9 50-59 years, male 467.5
GTEX-1GF9X-2026-SM-7PC3A 40-49 years, female 466.9
GTEX-1GF9V-0326-SM-7RHI5 60-69 years, male 466.8
GTEX-T2IS-0126-SM-4DM6O 20-29 years, female 466.5
GTEX-1JN6P-0126-SM-D3L98 60-69 years, male 466.3
GTEX-14E6E-1826-SM-5S2R7 30-39 years, male 466.2
GTEX-ZWKS-0126-SM-5SIAA 30-39 years, male 466.2
GTEX-1F6I4-0126-SM-9MQL2 60-69 years, male 465.9
GTEX-139D8-0226-SM-5KLZO 30-39 years, female 465.6
GTEX-S7PM-0126-SM-4AD6S 60-69 years, male 465.3
GTEX-14PJM-0226-SM-62LF1 50-59 years, female 465.2
GTEX-17KNJ-2326-SM-7DHLQ 50-59 years, male 465.2
GTEX-1AX8Z-0126-SM-7DHM6 60-69 years, male 464.5
GTEX-ZAB4-0226-SM-5N9F5 40-49 years, male 464.5
GTEX-ZGAY-0526-SM-4WWBB 40-49 years, female 463.8
GTEX-1JN1M-0326-SM-CYPT3 60-69 years, female 463.3
GTEX-SN8G-0126-SM-32PLI 50-59 years, female 463.0
GTEX-13PDP-0126-SM-5L3HD 60-69 years, male 462.3
GTEX-13O3P-0126-SM-5KM4S 50-59 years, male 462.2
GTEX-11NUK-0126-SM-5A5L3 50-59 years, male 462.1
GTEX-P4PP-0126-SM-3LK69 30-39 years, female 462.1
GTEX-OOBK-0126-SM-2YUND 40-49 years, male 461.9
GTEX-16GPK-0126-SM-7DHLE 60-69 years, male 461.3
GTEX-1HBPM-0226-SM-ARL9F 60-69 years, female 460.8
GTEX-OIZH-0126-SM-2HMIS 50-59 years, male 460.7
GTEX-14BMV-0126-SM-5S2PO 50-59 years, male 460.4
GTEX-13RTJ-2426-SM-5S2Q2 60-69 years, male 460.3
GTEX-1B8L1-2526-SM-9WYTF 60-69 years, male 460.2
GTEX-11UD2-0226-SM-5EQKY 50-59 years, male 459.4
GTEX-15EOM-0126-SM-7KUGG 20-29 years, female 459.3
GTEX-14PII-0226-SM-6EU1T 60-69 years, male 459.1
GTEX-X4EP-0126-SM-3P5YV 60-69 years, female 458.8
GTEX-1CB4F-0426-SM-9KNV4 60-69 years, male 458.3
GTEX-1LBAC-0126-SM-DIPEZ 20-29 years, male 458.3
GTEX-111FC-0126-SM-5N9DL 60-69 years, male 457.3
GTEX-1H1DE-2126-SM-9WG6R 20-29 years, male 457.2
GTEX-17F98-0626-SM-79OMX 40-49 years, female 457.1
GTEX-12696-2426-SM-5EQ6H 60-69 years, male 455.4
GTEX-145MO-0326-SM-5Q5B3 60-69 years, male 455.2
GTEX-13NYB-2526-SM-5K7Z6 40-49 years, male 454.8
GTEX-XQ3S-1526-SM-4BOOC 20-29 years, male 454.0
GTEX-1R9PM-2026-SM-E76OY 20-29 years, male 454.0
GTEX-QDVN-2026-SM-3GAEP 50-59 years, male 453.2
GTEX-1ICLZ-0126-SM-CKZPO 60-69 years, male 452.3
GTEX-ZVT4-0126-SM-DTXFN 50-59 years, female 451.6
GTEX-11DXX-2426-SM-5GZZW 60-69 years, female 449.7
GTEX-ZAK1-0126-SM-5IJD3 50-59 years, female 449.3
GTEX-T2YK-0526-SM-32QPJ 50-59 years, male 449.1
GTEX-12WSD-0126-SM-59HKN 60-69 years, female 448.8
GTEX-131XH-2226-SM-5DUXJ 50-59 years, male 448.7
GTEX-UJHI-1526-SM-3DB99 50-59 years, female 448.6
GTEX-1H1DG-0126-SM-9WYU2 70-79 years, male 448.4
GTEX-1RLM8-2326-SM-EWRN4 50-59 years, male 447.9
GTEX-X4XX-0126-SM-3NMC2 60-69 years, male 447.5
GTEX-ZYT6-0226-SM-5NQ6T 30-39 years, male 447.5
GTEX-13VXU-0126-SM-5SI9F 50-59 years, male 445.7
GTEX-131XG-2626-SM-5KM17 50-59 years, female 444.8
GTEX-T5JC-0426-SM-32PLO 20-29 years, male 444.6
GTEX-13OVK-2026-SM-7KUEO 40-49 years, male 444.5
GTEX-1KD5A-0226-SM-D5OV3 50-59 years, male 444.5
GTEX-ZE9C-2726-SM-57WB5 60-69 years, male 443.0
GTEX-1211K-2026-SM-5EQ4Z 60-69 years, female 442.7
GTEX-13OW6-0426-SM-5L3HM 50-59 years, male 442.6
GTEX-13NZB-2526-SM-5J1OM 30-39 years, male 442.4
GTEX-1QP9N-1426-SM-DTXFL 30-39 years, male 442.2
GTEX-139T8-0126-SM-5K7XZ 60-69 years, male 440.9
GTEX-145LT-1726-SM-5QGP3 40-49 years, male 440.6
GTEX-144FL-0126-SM-5TDC8 50-59 years, male 440.2
GTEX-ZV6S-2326-SM-4YCEY 40-49 years, female 440.2
GTEX-1HCUA-2426-SM-ADEIS 50-59 years, female 439.3
GTEX-1314G-1526-SM-5EGK2 30-39 years, male 437.9
GTEX-1LB8K-0226-SM-EWRNW 50-59 years, male 437.6
GTEX-12ZZZ-0626-SM-5DUXI 60-69 years, male 436.6
GTEX-15SHU-0126-SM-7KUEH 40-49 years, female 436.5
GTEX-RU72-0926-SM-2TF6B 50-59 years, female 436.1
GTEX-QEG4-0226-SM-2S1PY 30-39 years, male 435.4
GTEX-1HB9E-0226-SM-E9U4R 50-59 years, male 435.2
GTEX-1JMQI-2226-SM-CM2SD 50-59 years, male 435.1
GTEX-XXEK-2226-SM-4BRUM 50-59 years, male 434.9
GTEX-16MT8-0426-SM-7KUEY 60-69 years, female 434.5
GTEX-13X6J-0126-SM-5QGOU 50-59 years, male 434.3
GTEX-1GN73-0226-SM-9WG67 60-69 years, male 434.2
GTEX-18A67-0126-SM-7LG5P 50-59 years, male 433.6
GTEX-1HSKV-0226-SM-A9SKJ 60-69 years, male 433.2
GTEX-145MN-2226-SM-5SIAU 30-39 years, male 432.5
GTEX-13FHP-0126-SM-5IJBG 50-59 years, male 432.3
GTEX-15SHW-0326-SM-6PAML 60-69 years, male 430.1
GTEX-1JN76-0126-SM-CNPPE 20-29 years, female 429.8
GTEX-13IVO-0126-SM-5J1NG 70-79 years, male 429.7
GTEX-11TTK-0126-SM-5987B 60-69 years, female 429.5
GTEX-1122O-2126-SM-5EGIR 60-69 years, female 429.2
GTEX-1OJC3-0126-SM-E76QX 20-29 years, male 429.1
GTEX-WVJS-0126-SM-4MVOT 50-59 years, male 428.9
GTEX-145MF-0626-SM-5LUAI 50-59 years, male 428.5
GTEX-14753-0426-SM-5NQAM 60-69 years, male 428.3
GTEX-1128S-2326-SM-5GZZY 60-69 years, female 427.0
GTEX-O5YW-0126-SM-3LK6D 50-59 years, male 427.0
GTEX-OIZG-0726-SM-33HBL 50-59 years, male 426.4
GTEX-1IDJH-0326-SM-A9SLQ 70-79 years, male 425.7
GTEX-1AYD5-2426-SM-73KXR 50-59 years, male 424.7
GTEX-1JMQK-0226-SM-CL543 60-69 years, male 424.7
GTEX-11ZTS-0126-SM-5EQ6M 60-69 years, female 424.2
GTEX-1EX96-1626-SM-7PBXR 50-59 years, male 424.2
GTEX-113JC-2326-SM-5EQ4E 50-59 years, female 423.4
GTEX-1399R-2726-SM-5IJBA 30-39 years, male 422.3
GTEX-13111-1626-SM-5EGJY 50-59 years, male 421.9
GTEX-1ICG6-2526-SM-CGQFZ 70-79 years, female 421.8
GTEX-1HGF4-2426-SM-ACKXM 60-69 years, male 421.7
GTEX-1BAJH-0526-SM-793CQ 70-79 years, male 421.5
GTEX-YB5E-2026-SM-5IFIS 40-49 years, male 421.5
GTEX-1RB15-2126-SM-E9TIM 60-69 years, male 421.3
GTEX-1HBPN-0226-SM-9YFM1 50-59 years, male 421.1
GTEX-1F5PL-0326-SM-7P8PQ 40-49 years, female 420.7
GTEX-1J1OQ-0226-SM-CYPSH 40-49 years, female 420.3
GTEX-13NZ8-0826-SM-5MR3I 60-69 years, female 419.9
GTEX-ZV68-0126-SM-59HKS 50-59 years, female 419.8
GTEX-ZPIC-1726-SM-DHXIU 40-49 years, female 418.7
GTEX-XAJ8-0826-SM-47JY6 40-49 years, male 418.4
GTEX-P4PQ-0126-SM-2S1NM 60-69 years, male 417.3
GTEX-S32W-2126-SM-2XCB1 50-59 years, female 416.4
GTEX-S7SE-0126-SM-2XCD5 50-59 years, male 416.4
GTEX-1S3DN-2226-SM-EVYCD 50-59 years, male 416.2
GTEX-1GMRU-0126-SM-9YFLV 50-59 years, male 415.5
GTEX-1PDJ9-0326-SM-DTX95 20-29 years, male 415.2
GTEX-14PK6-1926-SM-6ETZU 70-79 years, female 414.0
GTEX-13CF3-2426-SM-5IFGX 60-69 years, female 413.8
GTEX-145LS-0126-SM-5QGP1 60-69 years, female 413.3
GTEX-1CB4G-0226-SM-7PC3O 60-69 years, male 413.3
GTEX-11OC5-0126-SM-5HL6A 60-69 years, male 412.8
GTEX-17HHY-0126-SM-7LG5D 50-59 years, male 412.6
GTEX-1H4P4-0726-SM-9YFLR 50-59 years, male 412.5
GTEX-13OW7-0126-SM-5MR3B 50-59 years, male 412.2
GTEX-18D9A-1926-SM-7LG6P 30-39 years, female 412.1
GTEX-1GF9W-0326-SM-9KNUN 60-69 years, male 411.9
GTEX-13X6H-2126-SM-7EWD5 50-59 years, female 411.8
GTEX-X5EB-2226-SM-46MW4 40-49 years, male 411.7
GTEX-1C6WA-0126-SM-7PC2B 60-69 years, male 411.1
GTEX-148VI-1626-SM-5SI6E 60-69 years, female 411.0
GTEX-1B933-0126-SM-7PC29 50-59 years, female 410.0
GTEX-1HSMO-0126-SM-CL547 60-69 years, male 410.0
GTEX-ZF2S-2326-SM-4WWCE 50-59 years, female 409.7
GTEX-14C5O-0126-SM-5SI6N 60-69 years, male 407.9
GTEX-13OVJ-0126-SM-5KM36 50-59 years, female 407.8
GTEX-139TT-0126-SM-5K7Y5 60-69 years, male 407.5
GTEX-13N1W-0126-SM-5K7VT 70-79 years, male 406.6
GTEX-17EVP-0326-SM-7DHLG 40-49 years, male 406.3
GTEX-11ZVC-2526-SM-5FQTE 50-59 years, female 406.2
GTEX-1CB4H-0226-SM-7PBXM 60-69 years, female 406.1
GTEX-1R46S-0626-SM-E9J41 60-69 years, female 406.1
GTEX-X4EO-0326-SM-3P5YO 60-69 years, female 406.0
GTEX-1QMI2-0226-SM-EVYBX 60-69 years, male 405.2
GTEX-1212Z-2526-SM-5EGKP 60-69 years, male 405.1
GTEX-1C4CL-0526-SM-73KVK 30-39 years, male 405.1
GTEX-13N2G-2626-SM-5J1OT 60-69 years, male 404.1
GTEX-1B8KE-2126-SM-73KYX 50-59 years, male 403.9
GTEX-WY7C-2326-SM-3NB2U 50-59 years, male 403.9
GTEX-1J8JJ-0226-SM-CL53I 60-69 years, female 402.7
GTEX-17EVQ-0226-SM-7LG4P 70-79 years, male 402.4
GTEX-ZVT2-2526-SM-51MT1 50-59 years, female 402.3
GTEX-11TUW-2726-SM-E9J4M 60-69 years, male 401.8
GTEX-145MI-0526-SM-5O9A8 60-69 years, female 401.2
GTEX-WQUQ-0426-SM-3MJFU 60-69 years, male 400.7
GTEX-Y5LM-1926-SM-5RQJH 40-49 years, female 400.6
GTEX-YB5K-2126-SM-4WWDJ 40-49 years, female 400.5
GTEX-18QFQ-0126-SM-731BE 30-39 years, male 400.0
GTEX-1GTWX-0126-SM-9YFLK 60-69 years, male 400.0
GTEX-PSDG-0226-SM-DKPOZ 50-59 years, male 399.8
GTEX-14BIM-0226-SM-7IGLD 60-69 years, female 399.5
GTEX-1JJEA-0326-SM-CNPOT 60-69 years, male 399.2
GTEX-ZAJG-0126-SM-5HL94 50-59 years, female 398.4
GTEX-12WSE-0526-SM-793B2 20-29 years, male 398.1
GTEX-13SLX-0526-SM-5S2ON 50-59 years, female 398.1
GTEX-14BIN-0626-SM-793DP 50-59 years, female 398.1
GTEX-1K2DU-2326-SM-E9TIV 20-29 years, male 398.1
GTEX-17HG3-2226-SM-7938L 30-39 years, female 397.7
GTEX-1KWVE-1426-SM-E9TJO 30-39 years, male 397.6
GTEX-1192X-0226-SM-5H12D 50-59 years, male 396.9
GTEX-183FY-0126-SM-7LT9P 20-29 years, male 396.2
GTEX-11GS4-2726-SM-5A5LE 60-69 years, male 395.8
GTEX-1HBPI-1526-SM-C1YQ1 50-59 years, male 395.8
GTEX-11XUK-2026-SM-5EQLF 40-49 years, female 395.2
GTEX-Z93T-0126-SM-5HL5N 50-59 years, male 395.0
GTEX-11WQC-2526-SM-5CVLE 60-69 years, male 394.4
GTEX-13113-5016-SM-7EPIP 60-69 years, female 394.3
GTEX-17MF6-0126-SM-7LG4F 40-49 years, male 393.7
GTEX-131XF-5016-SM-7MGWE 60-69 years, male 393.7
GTEX-1CAMS-0426-SM-7P8T2 40-49 years, female 393.5
GTEX-WZTO-0126-SM-3NM95 40-49 years, male 392.9
GTEX-13SLW-0126-SM-5SI6C 70-79 years, male 392.4
GTEX-1HUB1-0426-SM-E9U4U 60-69 years, male 391.9
GTEX-12ZZY-0226-SM-5LZVE 60-69 years, male 391.7
GTEX-1HCU6-0126-SM-CL54K 60-69 years, female 391.7
GTEX-ZXES-1826-SM-5E43S 30-39 years, female 391.3
GTEX-13YAN-0326-SM-5O9DF 60-69 years, male 390.2
GTEX-OXRO-0126-SM-2YUN4 60-69 years, female 389.9
GTEX-13O3Q-2426-SM-5IJBR 50-59 years, male 389.6
GTEX-139TU-0126-SM-5K7WH 60-69 years, male 389.0
GTEX-1F6RS-0126-SM-9MQKZ 60-69 years, female 387.2
GTEX-1EKGG-0226-SM-9WYTH 60-69 years, male 387.1
GTEX-ZY6K-1826-SM-5GZXK 50-59 years, male 386.5
GTEX-1A3MW-0126-SM-73KXX 60-69 years, female 386.4
GTEX-PWCY-1826-SM-DHXIZ 20-29 years, female 386.0
GTEX-QVJO-1626-SM-2S1QW 60-69 years, female 385.4
GTEX-11P82-1626-SM-59879 20-29 years, male 384.6
GTEX-1AYCT-2426-SM-7IGQ3 50-59 years, male 384.4
GTEX-1A32A-0126-SM-718B1 50-59 years, female 384.1
GTEX-1NV5F-0226-SM-E8VNY 60-69 years, female 381.3
GTEX-1QP66-1726-SM-E8VO1 50-59 years, male 380.5
GTEX-ZQG8-1626-SM-DHXIT 60-69 years, female 380.1
GTEX-13FTY-0526-SM-5L3EV 40-49 years, female 378.7
GTEX-YEC4-2126-SM-5IFJH 40-49 years, male 378.4
GTEX-1F75B-0126-SM-9KNVL 50-59 years, male 378.1
GTEX-WH7G-2326-SM-3NMBC 40-49 years, male 378.0
GTEX-1R7EU-0226-SM-EVR4G 60-69 years, male 377.1
GTEX-13O21-1426-SM-5K7XI 50-59 years, male 377.0
GTEX-ZTSS-1926-SM-57WEW 40-49 years, male 377.0
GTEX-1HT8W-0126-SM-CNPPP 30-39 years, male 376.8
GTEX-1269C-2526-SM-5EGJ3 60-69 years, female 375.8
GTEX-11P7K-2126-SM-5GU7G 30-39 years, male 375.7
GTEX-1HCU8-0626-SM-A9SM9 60-69 years, female 375.7
GTEX-1JMPZ-0226-SM-CNPP1 30-39 years, male 375.5
GTEX-VUSG-2526-SM-4KL1V 50-59 years, male 375.0
GTEX-PWO3-1526-SM-48TCM 60-69 years, female 374.5
GTEX-14PJ3-1826-SM-62LEX 50-59 years, male 374.4
GTEX-XV7Q-2526-SM-4BRV9 40-49 years, female 374.2
GTEX-1H3O1-0426-SM-9YFKY 60-69 years, male 374.2
GTEX-OXRN-0126-SM-48TDM 50-59 years, male 372.3
GTEX-1POEN-0126-SM-EYYXJ 30-39 years, female 371.7
GTEX-16XZZ-0126-SM-793DV 60-69 years, male 371.4
GTEX-1OFPY-2426-SM-DTXEJ 60-69 years, male 371.1
GTEX-13S7M-0126-SM-5SI6A 60-69 years, female 371.0
GTEX-1PPH8-0226-SM-E8VND 20-29 years, male 370.9
GTEX-VJYA-1126-SM-3GIJU 60-69 years, male 370.8
GTEX-1B8SG-0126-SM-73KZ3 50-59 years, male 370.4
GTEX-QV44-1926-SM-2S1RF 50-59 years, male 370.2
GTEX-18465-0126-SM-731BN 50-59 years, male 370.1
GTEX-1I1GP-2226-SM-CGQFK 50-59 years, male 369.9
GTEX-145ME-1826-SM-5SI9G 40-49 years, female 369.6
GTEX-1N2EF-0226-SM-EYYXB 60-69 years, male 369.2
GTEX-11EMC-2926-SM-5EQ4F 60-69 years, female 368.7
GTEX-11GSO-2426-SM-5A5LY 60-69 years, male 368.7
GTEX-1EU9M-0226-SM-7P8SP 60-69 years, male 368.3
GTEX-144GL-0126-SM-5TDE2 50-59 years, male 367.3
GTEX-15DYW-0126-SM-7KULE 60-69 years, female 367.0
GTEX-13U4I-0126-SM-5LU38 40-49 years, female 366.9
GTEX-Y8E4-0626-SM-4WWDL 40-49 years, male 366.9
GTEX-1LG7Z-1726-SM-D3LA4 30-39 years, male 366.9
GTEX-ZF29-2326-SM-DO92K 60-69 years, female 366.6
GTEX-1IKJJ-0126-SM-CNPQB 60-69 years, male 364.9
GTEX-12WSC-0126-SM-5EQ4P 50-59 years, male 364.6
GTEX-14A5I-0126-SM-5TDEA 50-59 years, female 364.6
GTEX-131XW-0426-SM-5LZWP 50-59 years, female 364.4
GTEX-ZVZP-2426-SM-59HKJ 50-59 years, male 364.3
GTEX-1MGNQ-0126-SM-EVYCJ 40-49 years, male 364.1
GTEX-17GQL-2026-SM-718BA 60-69 years, male 364.0
GTEX-15RIG-0226-SM-7KFTL 40-49 years, male 363.4
GTEX-15ETS-0126-SM-7KUMW 40-49 years, female 363.3
GTEX-WFG8-2226-SM-3GIL9 20-29 years, male 363.3
GTEX-1F75A-0126-SM-7RHGM 50-59 years, male 363.3
GTEX-ZVT3-0126-SM-5GU6I 60-69 years, female 362.8
GTEX-15DDE-0126-SM-6LPKH 50-59 years, female 362.0
GTEX-1CB4I-0226-SM-79OLH 50-59 years, male 361.8
GTEX-1GN1V-0126-SM-9WPOS 60-69 years, male 361.5
GTEX-16BQI-0226-SM-7KUEX 30-39 years, female 361.4
GTEX-1K2DA-1826-SM-CGQGT 50-59 years, male 361.4
GTEX-13FHO-0226-SM-5IFGY 60-69 years, male 361.3
GTEX-17HII-0226-SM-7LG4E 50-59 years, male 361.2
GTEX-12WSK-2326-SM-5GCOH 40-49 years, female 361.1
GTEX-17HGU-0226-SM-7DHKV 50-59 years, male 360.8
GTEX-1H1ZS-0426-SM-9WG6G 70-79 years, male 360.7
GTEX-XQ8I-0426-SM-4BOPO 50-59 years, male 360.2
GTEX-XBED-2226-SM-47JYQ 60-69 years, male 360.1
GTEX-169BO-1326-SM-9MQK2 50-59 years, male 359.8
GTEX-13QJ3-0326-SM-5S2RA 50-59 years, male 359.2
GTEX-15D1Q-0126-SM-7KUG6 40-49 years, male 358.3
GTEX-QLQW-1126-SM-2S1Q8 30-39 years, male 357.9
GTEX-R3RS-0126-SM-3GIJL 40-49 years, female 357.9
GTEX-XBEW-0626-SM-4QASP 40-49 years, male 356.7
GTEX-14ABY-0226-SM-5TDCQ 50-59 years, male 356.3
GTEX-ZYY3-0126-SM-5GZY5 60-69 years, female 356.1
GTEX-11P81-2326-SM-59875 30-39 years, female 355.5
GTEX-1H3VY-0126-SM-ACKXD 50-59 years, male 355.3
GTEX-NFK9-0226-SM-2HMKQ 40-49 years, male 354.9
GTEX-PVOW-0126-SM-2XCFA 40-49 years, male 354.7
GTEX-XUYS-0126-SM-47JWZ 50-59 years, male 354.7
GTEX-WYVS-2126-SM-3NMA3 40-49 years, female 354.3
GTEX-1LC47-0326-SM-E9TJP 60-69 years, male 354.3
GTEX-1CB4E-2226-SM-793DC 60-69 years, male 354.0
GTEX-WXYG-2326-SM-4E3I6 50-59 years, female 354.0
GTEX-14PHX-2326-SM-62LEM 50-59 years, male 353.9
GTEX-X261-0126-SM-3NMD6 50-59 years, male 353.7
GTEX-15G19-0126-SM-6PANQ 60-69 years, male 353.2
GTEX-17F97-0326-SM-7LG5B 50-59 years, male 352.8
GTEX-XPVG-2626-SM-4B669 50-59 years, male 352.8
GTEX-OOBJ-0126-SM-E6CJW 60-69 years, male 352.5
GTEX-1O97I-0326-SM-EYYX7 60-69 years, male 352.3
GTEX-1HCVE-0126-SM-CGQEU 50-59 years, male 352.1
GTEX-Q2AH-1626-SM-3GAF8 40-49 years, male 352.0
GTEX-15SDE-2226-SM-7IGLO 50-59 years, female 351.6
GTEX-133LE-1826-SM-5J1MV 20-29 years, female 351.5
GTEX-1B996-0226-SM-7RHGO 60-69 years, male 351.2
GTEX-1A8FM-0226-SM-7SB7Q 50-59 years, female 351.0
GTEX-ZZ64-1726-SM-5GZYB 20-29 years, male 350.8
GTEX-QDVJ-1726-SM-2I5FX 50-59 years, male 350.5
GTEX-1LG7Y-0526-SM-DKPQC 50-59 years, male 350.5
GTEX-1M5QR-1226-SM-EWROB 40-49 years, male 349.7
GTEX-1AX9I-0126-SM-7SB74 60-69 years, male 349.2
GTEX-1E2YA-0126-SM-9KNUC 50-59 years, male 348.7
GTEX-PLZ4-0126-SM-5SI8O 50-59 years, female 348.0
GTEX-13X6I-0626-SM-5QGP9 60-69 years, male 347.9
GTEX-1C64N-0126-SM-793D7 50-59 years, male 347.8
GTEX-1H11D-0226-SM-9WG6Z 40-49 years, male 347.8
GTEX-139T4-0226-SM-5HL5S 50-59 years, female 347.5
GTEX-1S82Y-2026-SM-EVYCM 40-49 years, male 347.5
GTEX-12WSA-0226-SM-5BC5V 60-69 years, male 346.8
GTEX-1QPFJ-0226-SM-E76PB 30-39 years, female 346.6
GTEX-WFON-2126-SM-3LK7O 40-49 years, male 346.5
GTEX-R55G-2526-SM-2TC6D 40-49 years, female 346.2
GTEX-1CB4J-0626-SM-7DHMP 60-69 years, male 346.1
GTEX-TML8-1926-SM-32QOS 40-49 years, female 345.7
GTEX-1PIGE-0126-SM-EVYBJ 20-29 years, male 345.5
GTEX-13FTX-1826-SM-5J1NX 20-29 years, female 344.0
GTEX-1IDFM-0126-SM-COH2V 60-69 years, male 344.0
GTEX-14LLW-0126-SM-6LLIO 70-79 years, female 343.3
GTEX-15DCD-0126-SM-7KUEK 70-79 years, female 343.2
GTEX-SUCS-1926-SM-32PM3 70-79 years, male 343.2
GTEX-OXRP-0126-SM-3NB32 60-69 years, female 342.7
GTEX-13VXT-0126-SM-5LU4I 20-29 years, female 341.7
GTEX-XMD2-0126-SM-4YCDU 60-69 years, female 341.4
GTEX-1GN1U-0126-SM-7PBZK 50-59 years, female 341.2
GTEX-1LNCM-1126-SM-E9U5E 50-59 years, female 341.2
GTEX-11EM3-2426-SM-59861 20-29 years, female 340.6
GTEX-T5JW-1626-SM-3GADZ 20-29 years, female 339.9
GTEX-1J8Q2-0526-SM-CM2RW 60-69 years, male 339.2
GTEX-WYJK-0126-SM-3NMAB 50-59 years, male 339.1
GTEX-1PFEY-1526-SM-E76PP 30-39 years, male 338.9
GTEX-RN64-0126-SM-2TC68 50-59 years, male 338.4
GTEX-13RTK-1426-SM-5QGQJ 20-29 years, male 338.3
GTEX-1HSEH-0126-SM-ACKXN 60-69 years, male 338.3
GTEX-1KXAM-2226-SM-CYPTC 60-69 years, male 338.3
GTEX-ZC5H-0226-SM-4WAY9 40-49 years, female 338.2
GTEX-1RQEC-0426-SM-E6CHU 60-69 years, male 338.2
GTEX-13D11-2426-SM-5KM1V 50-59 years, female 337.7
GTEX-1F7RK-0126-SM-7PC2S 20-29 years, female 337.6
GTEX-S95S-1226-SM-4GICG 60-69 years, male 337.1
GTEX-1KANC-1526-SM-D3LAB 50-59 years, female 337.0
GTEX-1LGRB-2526-SM-CNPPQ 50-59 years, female 336.9
GTEX-13OVG-1926-SM-5L3DK 60-69 years, male 336.4
GTEX-1CAMR-1926-SM-7EPI2 20-29 years, male 335.8
GTEX-18A7B-0126-SM-7LG64 70-79 years, male 335.6
GTEX-T8EM-1026-SM-3DB7M 40-49 years, male 335.6
GTEX-1I6K6-0126-SM-A9SLE 30-39 years, male 335.3
GTEX-1RDX4-0126-SM-E9J4P 50-59 years, female 335.1
GTEX-1IL2U-0226-SM-CE6T8 60-69 years, male 334.7
GTEX-1QEPI-0126-SM-EWRMQ 60-69 years, female 333.8
GTEX-QDT8-0126-SM-48TZ1 30-39 years, female 333.3
GTEX-11NSD-2226-SM-5986V 20-29 years, male 333.2
GTEX-RNOR-0126-SM-E9J4R 50-59 years, female 332.7
GTEX-ZEX8-2426-SM-4WKG4 50-59 years, male 332.6
GTEX-11DXY-2626-SM-5GIE7 60-69 years, male 332.4
GTEX-145LV-2126-SM-5LU8N 50-59 years, male 332.3
GTEX-1H2FU-0126-SM-9WYSI 60-69 years, female 332.2
GTEX-15CHC-2126-SM-6EU21 60-69 years, female 332.1
GTEX-RWSA-0126-SM-2XCBB 40-49 years, male 331.5
GTEX-UPJH-0326-SM-3GADU 50-59 years, male 331.0
GTEX-1S83E-0126-SM-EWRO4 40-49 years, male 331.0
GTEX-11LCK-1026-SM-5A5KB 30-39 years, male 328.7
GTEX-1MCQQ-0826-SM-DLHC2 60-69 years, male 328.3
GTEX-14BMU-2226-SM-5TDE9 20-29 years, female 328.2
GTEX-16XZY-2126-SM-79OK1 70-79 years, male 327.5
GTEX-148VJ-0126-SM-5TDDN 70-79 years, male 327.2
GTEX-1E1VI-0126-SM-7DHMZ 50-59 years, male 327.1
GTEX-12WSG-2826-SM-E9J4H 50-59 years, female 327.1
GTEX-W5WG-1826-SM-4KL2Y 50-59 years, female 326.7
GTEX-1AX9J-0226-SM-73KXM 60-69 years, male 326.6
GTEX-Y5V5-2326-SM-4V6GA 60-69 years, female 326.2
GTEX-12KS4-0326-SM-5EQ41 30-39 years, male 325.7
GTEX-1H23P-0126-SM-ADEJ3 60-69 years, male 325.7
GTEX-14JG6-2226-SM-6EU2G 30-39 years, female 325.5
GTEX-1L5NE-2526-SM-E6CIE 50-59 years, male 325.3
GTEX-1GZ4H-1726-SM-7PBZJ 50-59 years, female 323.6
GTEX-14DAR-2026-SM-5S2O3 50-59 years, male 323.4
GTEX-18D9U-0226-SM-718BP 40-49 years, male 323.3
GTEX-1I4MK-2226-SM-ACKWD 50-59 years, female 322.8
GTEX-1C2JI-1826-SM-73KXC 50-59 years, male 322.2
GTEX-1C6VR-2426-SM-79OLD 60-69 years, male 322.1
GTEX-13NZA-0226-SM-5K7Z7 60-69 years, male 321.5
GTEX-1J1R8-1726-SM-ARL8M 40-49 years, male 321.3
GTEX-ZVE2-0226-SM-59HJB 50-59 years, male 320.7
GTEX-1IGQW-0126-SM-COH42 60-69 years, male 320.6
GTEX-XUW1-0426-SM-4BOOT 50-59 years, female 320.4
GTEX-1I1GS-0126-SM-B2LVW 60-69 years, male 320.2
GTEX-1S5ZA-0126-SM-EVYCV 20-29 years, male 320.1
GTEX-13JUV-2726-SM-5LZZ8 40-49 years, female 320.0
GTEX-ZZPT-0226-SM-5E43X 50-59 years, male 318.2
GTEX-13OW5-0126-SM-DTXFS 60-69 years, male 318.0
GTEX-145LU-0126-SM-5TDCB 50-59 years, male 316.9
GTEX-1MA7X-2226-SM-E6CIY 60-69 years, male 316.8
GTEX-1IDJF-0126-SM-CM2RS 20-29 years, male 316.7
GTEX-R55E-0126-SM-2TC5Y 20-29 years, male 316.3
GTEX-1B8KZ-2026-SM-7DHMB 50-59 years, male 315.7
GTEX-13PVR-2326-SM-5QGR1 60-69 years, female 315.3
GTEX-1IY9M-0126-SM-D3L8S 60-69 years, male 314.0
GTEX-1F88F-2726-SM-7PBZZ 60-69 years, female 313.8
GTEX-13OW8-1326-SM-5J1OW 60-69 years, male 313.6
GTEX-PLZ6-1426-SM-DKPOT 30-39 years, male 313.6
GTEX-1I19N-0326-SM-ACKVX 70-79 years, male 313.0
GTEX-1KAFJ-2026-SM-CY8ID 50-59 years, male 313.0
GTEX-11OF3-2626-SM-5GU7F 60-69 years, male 312.0
GTEX-1QCLY-0326-SM-E8VOG 30-39 years, male 311.7
GTEX-13W46-0226-SM-5SIAG 50-59 years, male 311.4
GTEX-14A6H-0126-SM-5QGPK 30-39 years, male 311.4
GTEX-1IKOH-0226-SM-COH4E 60-69 years, female 310.6
GTEX-SJXC-0126-SM-2XCFF 60-69 years, male 310.1
GTEX-13RTL-0126-SM-7LG5S 40-49 years, male 309.8
GTEX-117YX-2326-SM-5H12W 50-59 years, male 309.5
GTEX-1F48J-0126-SM-7P8TT 50-59 years, female 309.3
GTEX-R45C-0126-SM-EAZ2R 60-69 years, female 309.2
GTEX-17F96-1626-SM-7DUFL 70-79 years, male 309.0
GTEX-1I1CD-0126-SM-CM2TK 60-69 years, female 309.0
GTEX-1I1GR-0126-SM-CL55F 60-69 years, male 308.1
GTEX-17EUY-0426-SM-793BD 20-29 years, male 307.9
GTEX-1HSMP-0126-SM-E6CJS 70-79 years, male 307.9
GTEX-1JMOU-1526-SM-CL54I 60-69 years, female 306.8
GTEX-13FH7-2026-SM-E9J4I 50-59 years, female 305.6
GTEX-13O3O-0126-SM-E9J49 60-69 years, female 304.8
GTEX-U3ZM-1526-SM-3DB9D 40-49 years, male 304.6
GTEX-14LZ3-0226-SM-62LET 60-69 years, female 303.5
GTEX-13OVI-1426-SM-5L3EY 60-69 years, female 303.3
GTEX-11ZU8-2526-SM-5EQKI 60-69 years, male 303.0
GTEX-1MA7W-2026-SM-E9TJ6 20-29 years, female 302.8
GTEX-1I1GQ-0126-SM-COH3H 50-59 years, male 302.3
GTEX-U3ZH-2026-SM-3DB78 30-39 years, male 301.9
GTEX-1GF9U-2126-SM-7SB7L 40-49 years, female 301.6
GTEX-RM2N-1426-SM-2TF4H 50-59 years, male 300.7
GTEX-11EQ9-2426-SM-5HL5T 30-39 years, male 300.4
GTEX-14JIY-0126-SM-6LLH6 60-69 years, male 300.4
GTEX-SNMC-1226-SM-2XCFP 20-29 years, male 300.2
GTEX-147GR-0526-SM-5S2MY 60-69 years, male 299.2
GTEX-1LGOU-2026-SM-DIPFF 20-29 years, female 298.8
GTEX-1C475-1826-SM-73KWA 40-49 years, female 298.6
GTEX-1I1GU-2226-SM-CGQFA 40-49 years, male 298.3
GTEX-1KANA-0726-SM-D3L9I 20-29 years, male 298.3
GTEX-1HKZK-0326-SM-9WYUH 40-49 years, male 298.1
GTEX-1RAZQ-0726-SM-EAZ43 30-39 years, male 298.1
GTEX-WOFL-0126-SM-3MJG2 60-69 years, male 297.9
GTEX-ZDTT-2726-SM-4WKF8 60-69 years, male 296.4
GTEX-1JKYR-0126-SM-CNPOJ 20-29 years, male 296.3
GTEX-1HSGN-0226-SM-CGQFV 40-49 years, female 294.6
GTEX-OXRL-0126-SM-2YUMP 50-59 years, male 294.1
GTEX-1LH75-2426-SM-E9TJE 50-59 years, female 293.5
GTEX-16NPX-0226-SM-79OMT 50-59 years, male 293.3
GTEX-ZUA1-0126-SM-5GU76 40-49 years, male 292.3
GTEX-1ICLY-0126-SM-D4P36 50-59 years, male 291.7
GTEX-1QP67-1626-SM-EAZ3X 40-49 years, female 291.5
GTEX-1RAZA-0126-SM-E6CI3 20-29 years, male 291.4
GTEX-1I1GT-0626-SM-CGQER 60-69 years, female 289.8
GTEX-QLQ7-1626-SM-2S1R8 60-69 years, male 289.5
GTEX-V1D1-2226-SM-3NMAX 50-59 years, male 289.3
GTEX-1MCYP-1926-SM-E9J2R 20-29 years, female 288.8
GTEX-1I1HK-0126-SM-COH49 60-69 years, male 288.5
GTEX-Y8LW-1826-SM-5S2MV 50-59 years, female 288.2
GTEX-1IL2V-0126-SM-CM2TX 70-79 years, male 288.1
GTEX-X62O-0126-SM-4E3JN 50-59 years, male 288.0
GTEX-1GPI6-0126-SM-9WG69 60-69 years, male 288.0
GTEX-1GMR8-0126-SM-9WYTM 50-59 years, female 287.8
GTEX-11ZTT-2426-SM-5EQLS 60-69 years, female 286.7
GTEX-12C56-1726-SM-5EQ61 20-29 years, male 286.4
GTEX-1J8QM-2126-SM-CYPSJ 60-69 years, female 286.2
GTEX-1QP29-0626-SM-EWRMX 50-59 years, male 286.0
GTEX-17HHE-2026-SM-79OKF 50-59 years, male 285.4
GTEX-14DAQ-0126-SM-5S2MQ 60-69 years, female 285.2
GTEX-1GPI7-0126-SM-9MQL8 20-29 years, male 285.0
GTEX-QCQG-1726-SM-3GIJ9 50-59 years, female 284.8
GTEX-17MFQ-1726-SM-793C7 20-29 years, male 284.4
GTEX-WRHK-1426-SM-3MJF9 20-29 years, female 283.4
GTEX-1HFI7-1826-SM-ACKXH 50-59 years, female 283.4
GTEX-1H1E6-1726-SM-ACKVK 30-39 years, male 282.0
GTEX-1LVAN-0226-SM-COH3S 50-59 years, female 281.7
GTEX-ZF28-0126-SM-4WKGK 60-69 years, male 281.4
GTEX-OXRK-0226-SM-3NB2G 50-59 years, female 281.3
GTEX-1JJ6O-0126-SM-E6CI8 60-69 years, male 280.9
GTEX-1H3NZ-0126-SM-ACKX7 60-69 years, male 280.5
GTEX-1PBJI-0526-SM-E8VNK 20-29 years, female 279.5
GTEX-14PJ6-2126-SM-6EU1V 60-69 years, female 279.1
GTEX-1EN7A-0126-SM-7SB81 40-49 years, male 279.1
GTEX-1KANB-0526-SM-E6CJH 50-59 years, male 279.1
GTEX-18A66-0226-SM-718BD 60-69 years, male 278.8
GTEX-ZYFG-2326-SM-5E44B 60-69 years, female 278.4
GTEX-ZQUD-1426-SM-57WER 30-39 years, male 278.3
GTEX-RWS6-2026-SM-2XCB5 60-69 years, female 277.8
GTEX-1LSNM-1926-SM-E6CII 50-59 years, male 277.7
GTEX-1N2DV-0226-SM-E6CJ6 40-49 years, male 277.5
GTEX-Q2AG-0126-SM-33HBV 40-49 years, female 276.9
GTEX-1HCU9-1526-SM-A9SL7 20-29 years, male 275.5
GTEX-PLZ5-2026-SM-2S1O4 50-59 years, male 274.8
GTEX-1QP2A-0126-SM-E9J43 50-59 years, male 274.2
GTEX-X638-0126-SM-47JZ8 70-79 years, female 273.0
GTEX-113IC-0126-SM-5HL6T 60-69 years, male 272.8
GTEX-1A3MV-1926-SM-718BT 30-39 years, male 272.0
GTEX-PW2O-1526-SM-7RHHB 20-29 years, male 271.9
GTEX-1CAMQ-0226-SM-7IGPK 40-49 years, male 271.5
GTEX-VJWN-0126-SM-3GIK7 50-59 years, female 270.4
GTEX-14E7W-0126-SM-6LLJ9 70-79 years, male 269.5
GTEX-ZAB5-1826-SM-5HL7C 50-59 years, male 267.9
GTEX-14BIL-0126-SM-5SI92 50-59 years, male 267.7
GTEX-1F52S-0126-SM-9MQJU 60-69 years, female 267.5
GTEX-11ZUS-0626-SM-59885 30-39 years, male 267.1
GTEX-T6MO-1626-SM-32QOM 40-49 years, female 267.0
GTEX-SSA3-0126-SM-32QPU 60-69 years, male 266.8
GTEX-1R7EV-2426-SM-EVYBG 40-49 years, male 266.7
GTEX-1JKYN-1326-SM-CGQG9 30-39 years, male 266.6
GTEX-1PPH7-2326-SM-EVYB8 40-49 years, male 266.4
GTEX-1HBPH-0426-SM-B2LW5 40-49 years, female 266.2
GTEX-1S82Z-0826-SM-E6CHY 30-39 years, female 265.8
GTEX-14PN3-2426-SM-6LLHS 60-69 years, female 265.7
GTEX-TMMY-0226-SM-33HBA 40-49 years, female 264.4
GTEX-1HCU7-0226-SM-CL545 50-59 years, male 264.3
GTEX-11VI4-1726-SM-5CVLH 40-49 years, female 263.0
GTEX-1HSMQ-1226-SM-CGQFX 50-59 years, male 262.4
GTEX-OHPM-0126-SM-2YUN9 50-59 years, male 262.0
GTEX-1K9T9-0126-SM-EVYCF 50-59 years, female 260.2
GTEX-1OJC4-0126-SM-E9J2E 50-59 years, female 260.0
GTEX-1GL5R-1826-SM-9KNUY 50-59 years, male 259.9
GTEX-18D9B-0526-SM-7LTAS 60-69 years, male 259.4
GTEX-U4B1-1826-SM-4DXSU 40-49 years, male 258.1
GTEX-1AX9K-2326-SM-73KWU 50-59 years, male 257.9
GTEX-1NHNU-1026-SM-E9J2A 50-59 years, male 257.6
GTEX-16AAH-1726-SM-7939C 50-59 years, male 255.7
GTEX-11EI6-0126-SM-5985R 60-69 years, male 255.5
GTEX-1GN1W-0526-SM-9MQJQ 50-59 years, female 253.4
GTEX-P44H-0226-SM-2XCEU 40-49 years, male 252.1
GTEX-15EU6-0426-SM-6PAN5 50-59 years, male 252.0
GTEX-15F5U-1526-SM-6PANO 40-49 years, male 250.4
GTEX-146FR-1326-SM-E9J48 60-69 years, female 249.7
GTEX-1JK1U-2026-SM-CM2RZ 60-69 years, male 248.9
GTEX-1J8Q3-1626-SM-CMKGC 60-69 years, male 248.3
GTEX-1JJE9-0326-SM-CL53Z 70-79 years, male 247.5
GTEX-OIZF-0126-SM-7SB8I 60-69 years, male 246.6
GTEX-Z9EW-1626-SM-5CVMN 40-49 years, male 245.9
GTEX-13NYC-0326-SM-E9J4S 60-69 years, male 245.9
GTEX-1C6VS-0526-SM-7DUEN 60-69 years, male 244.8
GTEX-1MUQO-0126-SM-EAZ58 60-69 years, male 240.9
GTEX-1C64O-0126-SM-7SB8P 60-69 years, male 239.4
GTEX-ZXG5-0126-SM-5GIEU 60-69 years, male 238.4
GTEX-1B97I-1626-SM-73KYO 40-49 years, male 238.1
GTEX-147F3-0526-SM-5SI98 50-59 years, female 238.0
GTEX-13W3W-2426-SM-5LU5B 60-69 years, female 233.2
GTEX-12WSN-5019-SM-79OM6 40-49 years, male 230.4
GTEX-TSE9-0126-SM-3DB83 60-69 years, female 228.9
GTEX-U3ZN-2326-SM-3DB7W 30-39 years, female 228.7
GTEX-1IDJU-2626-SM-CM2RT 60-69 years, female 222.5
GTEX-16NGA-1726-SM-731B4 40-49 years, female 221.9
GTEX-1F5PK-2426-SM-7RHHY 50-59 years, male 220.8
GTEX-1AMFI-2026-SM-731BH 50-59 years, female 219.1
GTEX-1F75I-0326-SM-9YFLU 40-49 years, male 214.2
GTEX-1AMEY-1326-SM-73KYK 30-39 years, female 213.8
GTEX-1R9PO-2126-SM-E9J4O 60-69 years, female 208.1
GTEX-1IE54-0126-SM-CMKHW 40-49 years, female 197.3
GTEX-14PHW-0126-SM-6LLJI 60-69 years, female 195.8
GTEX-1QW4Y-1526-SM-EAZ3Z 30-39 years, male 186.0
Show allShow less

Contact

  • NEWS ARTICLES
  • PRESS ROOM

The Project

  • INTRODUCTION
  • ORGANIZATION
  • PUBLICATIONS

The Human Protein Atlas

  • DOWNLOADABLE DATA
  • LICENCE & CITATION
  • HELP & FAQ
The Human Protein Atlas project is funded
by the Knut & Alice Wallenberg Foundation.


contact@proteinatlas.org