We use cookies to enhance the usability of our website. If you continue, we'll assume that you are happy to receive all cookies. More information. Don't show this again.
HSPE1
HPA
RESOURCES
  • TISSUE
  • BRAIN
  • SINGLE CELL
  • SUBCELLULAR
  • CANCER
  • BLOOD
  • CELL LINE
  • STRUCTURE & INTERACTION
ABOUT
  • INTRODUCTION
  • HISTORY
  • ORGANIZATION
  • PUBLICATIONS
  • ANTIBODY SUBMISSION
  • ANTIBODY AVAILABILITY
  • ACKNOWLEDGMENTS
  • CONTACT
NEWS
  • NEWS ARTICLES
  • PRESS ROOM
LEARN
  • DICTIONARY
  • PROTEIN CLASSES
  • PROTEIN EVIDENCE
  • METHODS
  • EDUCATIONAL VIDEOS
DATA
  • DOWNLOADABLE DATA
  • PUBLICATION DATA
  • RELEASE HISTORY
HELP
  • ANTIBODY VALIDATION
  • ASSAYS & ANNOTATION
  • DISCLAIMER
  • HELP & FAQ
  • PRIVACY STATEMENT
  • LICENCE & CITATION
Fields »
Search result

Field
Term
Gene name
Class
Subclass
Class
Keyword
Chromosome
External id
Tissue
Cell type
Expression
Antibody panel
Tissue
Main location
Patient ID
Annotation
Tissue
Category
Tau score
Cluster
Reliability
Brain region
Category
Tau score
Brain region
Category
Tau score
Brain region
Category
Tau score
Cluster
Reliability
Tissue
Cell type
Enrichment
Cell type
Category
Tau score
Cell type
Category
Tau score
Cell type
Category
Tau score
Cell lineage
Category
Tau score
Cluster
Cluster
Location
Searches
Location
Cell line
Class
Type
Phase
Reliability
Cancer
Prognosis
Cancer
Category
Cancer
Category
Tau score
Cluster
Variants
Interacting gene (ensg_id)
Type
Number of interactions
Pathway
Category
Score
Score
Score
Validation
Validation
Validation
Validation
Antibodies
Data type
Column


  • SUMMARY

  • TISSUE

  • BRAIN

  • SINGLE CELL

  • SUBCELL

  • CANCER

  • BLOOD

  • CELL LINE

  • STRUCT & INT

  • HSPE1
TISSUE PRIMARY DATA ESOPHAGUS Show tissue menu
ADIPOSE TISSUE ADRENAL GLAND AMYGDALA APPENDIX BASAL GANGLIA BONE MARROW BREAST BRONCHUS CEREBELLUM CEREBRAL CORTEX CERVIX CHOROID PLEXUS COLON DUODENUM
ENDOMETRIUM EPIDIDYMIS ESOPHAGUS FALLOPIAN TUBE GALLBLADDER HEART MUSCLE HIPPOCAMPAL FORMATION HYPOTHALAMUS KIDNEY LIVER LUNG LYMPH NODE MIDBRAIN NASOPHARYNX
ORAL MUCOSA OVARY PANCREAS PARATHYROID GLAND PITUITARY GLAND PLACENTA PROSTATE RECTUM RETINA SALIVARY GLAND SEMINAL VESICLE SKELETAL MUSCLE SKIN SMALL INTESTINE
SMOOTH MUSCLE SOFT TISSUE SPINAL CORD SPLEEN STOMACH TESTIS THYMUS THYROID GLAND TONGUE TONSIL URINARY BLADDER VAGINA
ANTIBODIES
AND
VALIDATION
Dictionary
Esophagus
Tissue proteome
Esophagus
ESOPHAGUS - Expression summary
Protein expression
Esophagusi

On the top, protein expression in current human tissue, based on all annotated cell types, is reported with the units not detected (n), low (l), medium (m) and high (h). Underneath, protein expression in each annotated cell type are reported using the same units.

Protein expression data is based on knowledge-based annotation. For genes where more than one antibody has been used, a collective score is set.

If knowledge-based annotation could not be performed for a gene, no data is displayed here. View antibody staining data further down this page.

h
m
l
n
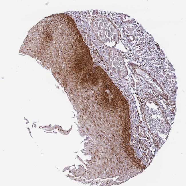
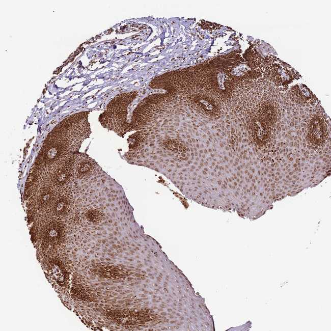
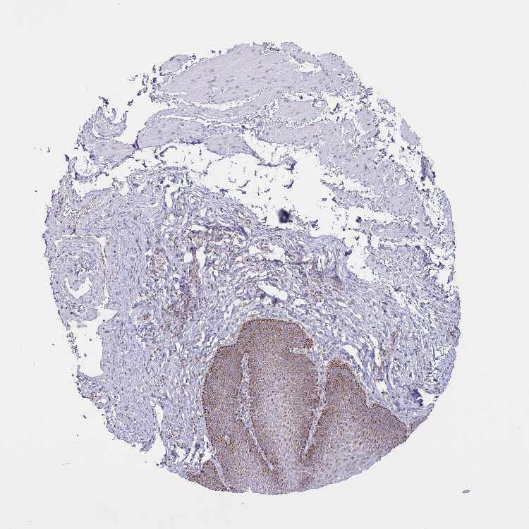
Squamous epithelial cells: High
RNA expressioni

A summary of mRNA expression data available for current tissue based on several datasets. The mRNA expression levels in human tissues are based on RNA-seq data generated by the Human Protein Atlas (HPA), Genotype-Tissue Expression (GTEx) portal and CAGE data generated by the FANTOM5 consortium. Consensus normalized expression levels for human tissues was created by combining the data from HPA and GTEx datasets.

The mRNA expression levels in pig are based on RNA-seq data generated by the Human Protein Atlas (HPA), and for mouse, HPA data and in situ hybridization generated by the Allen brain atlas are reported.

Scroll down to view mRNA expression data in more detail.
Consensus:129.2 nTPM
HPA:95.3 nTPM
GTEx:129.2 nTPM
FANTOM5:165.5 Scaled Tags Per Million

ESOPHAGUS - Antibody stainingi

Antibody staining in the annotated cell types in the current human tissue is reported as not detected, low, medium, or high, based on conventional immunohistochemistry profiling in selected tissues. This score is based on the combination of the staining intensity and fraction of stained cells.

Each image is clickable and will lead to virtual microscopy that enables deeper exploration of all samples and also displays staining intensity scores, fraction scores and subcellular localization as well as patient and tissue information for each sample.

Antibody HPA038755Antibody HPA048272Antibody CAB017366
Squamous epithelial cells HighHighHigh





ESOPHAGUS - HPA RNA-seqi

The RNA-seq details section shows detailed information about the individual samples used for the transcript profiling and results of the RNA-seq analysis.

Information about each individual sample is listed below, including gender, age, a tissue section image and estimated fractions of cell types. nTPM (normalized transcripts per million) values give a quantification of the gene abundance which is comparable between different genes and samples.
Average nTPMi

Max subtype nTPM is the value for the subtype with the largest average nTPM across the subtype samples.

95.3
overview
Female, age 70
Esophagus sample 130
nTPM: 120.6
Cell types%
Squamous epithelial cells:
35

Smooth muscle cells:
15

Skeletal muscle cells:
5

Other cell types:
45

overview
Male, age 38
Esophagus sample 131
nTPM: 94.8
Cell types%
Squamous epithelial cells:
60

Smooth muscle cells:
20

Other cell types:
20

overview
Male, age 76
Esophagus sample 132
nTPM: 70.5
Cell types%
Squamous epithelial cells:
45

Smooth muscle cells:
15

Other cell types:
40


ESOPHAGUS - GTEx RNA-seqi

RNA-Seq data generated by the Genotype-Tissue Expression (GTEx) project from human tissues is reported as mean nTPM. More information can be found on the GTEx portal.

Distribution across the dataset is visualized with box plots, shown as median and 25th and 75th percentiles. Points are displayed as outliers if they are above or below 1.5 times the interquartile range. nTPM values of the individual samples are presented next to the box plot.
Max subtype nTPMi

Max subtype nTPM is the value for the subtype with the largest average nTPM across the subtype samples.

129.2
GTEx sample id Sample description nTPM
Esophagus - Mucosa
Average nTPM: 129.2
Samples: 555

Max nTPM: 489.5
Min nTPM: 50.4
Std nTPM: 50.0
Median nTPM: 118.2
GTEX-132AR-2226-SM-5J2NT 50-59 years, female 489.5
GTEX-NPJ8-1926-SM-3MJGB 40-49 years, male 451.7
GTEX-1HCU8-2226-SM-9WPOV 60-69 years, female 410.1
GTEX-RUSQ-0826-SM-47JWW 50-59 years, male 375.3
GTEX-ZAJG-1326-SM-5S2NV 50-59 years, female 354.8
GTEX-WHWD-0926-SM-4OORY 50-59 years, male 344.0
GTEX-1N2EE-2426-SM-EXOIO 60-69 years, male 336.9
GTEX-1H11D-2126-SM-9OSXM 40-49 years, male 286.4
GTEX-1AX8Z-5016-SM-AHZ2B 60-69 years, male 279.7
GTEX-T2YK-1326-SM-4DM6S 50-59 years, male 278.3
GTEX-YFC4-1226-SM-5LU9R 40-49 years, female 275.6
GTEX-1C6VQ-1826-SM-7EWEH 50-59 years, male 273.1
GTEX-11DZ1-2026-SM-5A5KG 50-59 years, male 271.4
GTEX-11EMC-2226-SM-5A5JW 60-69 years, female 253.1
GTEX-1GF9U-0826-SM-7MXTZ 40-49 years, female 251.5
GTEX-XQ3S-1126-SM-4BOPK 20-29 years, male 251.0
GTEX-14PK6-1326-SM-686ZE 70-79 years, female 250.7
GTEX-183WM-1726-SM-7KFT5 70-79 years, female 235.6
GTEX-14PJ6-1026-SM-686ZB 60-69 years, female 233.1
GTEX-12WSN-5013-SM-7P8P9 40-49 years, male 231.0
GTEX-16A39-1026-SM-6LPJU 30-39 years, female 227.8
GTEX-1JMQJ-1226-SM-D3L97 50-59 years, male 226.0
GTEX-ZTX8-0226-SM-5E44D 20-29 years, male 225.8
GTEX-15RIF-0826-SM-6M47C 20-29 years, male 222.9
GTEX-15DCE-1326-SM-6LPJL 20-29 years, male 219.6
GTEX-1H1DE-1026-SM-9JGH6 20-29 years, male 218.7
GTEX-14BMU-0926-SM-5S2QB 20-29 years, female 218.2
GTEX-TMMY-1126-SM-4DXSX 40-49 years, female 215.1
GTEX-1F52S-1426-SM-7P8PU 60-69 years, female 212.5
GTEX-XGQ4-1526-SM-4AT6H 50-59 years, male 210.6
GTEX-12ZZX-1326-SM-5DUWI 40-49 years, female 210.5
GTEX-11DXX-1126-SM-5GZZK 60-69 years, female 202.1
GTEX-13S86-0826-SM-5SI6J 40-49 years, male 201.1
GTEX-1NSGN-2026-SM-DPRYM 50-59 years, male 201.0
GTEX-1F88F-1126-SM-7MKHL 60-69 years, female 200.3
GTEX-1I6K7-1426-SM-B2LXP 40-49 years, male 200.0
GTEX-11DYG-1326-SM-5N9DO 60-69 years, male 199.5
GTEX-146FH-1726-SM-5QGQ2 50-59 years, female 196.8
GTEX-1F5PL-1726-SM-9QEGL 40-49 years, female 195.5
GTEX-1LNCM-0626-SM-EV7AI 50-59 years, female 194.1
GTEX-1R7EU-0826-SM-DPRZL 60-69 years, male 189.4
GTEX-1M5QR-0726-SM-DHXK7 40-49 years, male 188.0
GTEX-14PJ4-1526-SM-664OA 60-69 years, male 185.8
GTEX-1399Q-1126-SM-5P9JA 40-49 years, male 185.5
GTEX-XK95-1026-SM-4GIDV 40-49 years, male 185.2
GTEX-1H3VY-2026-SM-9JGHK 50-59 years, male 183.6
GTEX-1GPI7-1026-SM-7MGY2 20-29 years, male 182.7
GTEX-14BIM-1326-SM-7EWD1 60-69 years, female 181.9
GTEX-1R9K4-1926-SM-DPRZW 60-69 years, male 179.6
GTEX-1K9T9-2026-SM-CXZK3 50-59 years, female 179.5
GTEX-1RAZA-1326-SM-DPS12 20-29 years, male 179.4
GTEX-ZYFC-1626-SM-5N9EU 50-59 years, male 178.7
GTEX-1C475-0926-SM-7MKFI 40-49 years, female 178.3
GTEX-1IKOE-1526-SM-C1YSD 30-39 years, female 178.1
GTEX-13X6H-1326-SM-5LU42 50-59 years, female 178.0
GTEX-15F5U-5010-SM-AHZ2D 40-49 years, male 177.9
GTEX-ZE9C-1126-SM-4WWBD 60-69 years, male 177.7
GTEX-1L5NE-1426-SM-DHXKV 50-59 years, male 177.1
GTEX-1JMQK-2026-SM-C1YQN 60-69 years, male 176.1
GTEX-1497J-2726-SM-5SI9W 60-69 years, male 175.6
GTEX-1CB4J-2426-SM-7MXVC 60-69 years, male 175.5
GTEX-1I1GP-1026-SM-C1YRZ 50-59 years, male 174.7
GTEX-144GO-2726-SM-5O9A2 60-69 years, male 174.5
GTEX-12WSL-1526-SM-5GCP8 50-59 years, male 173.9
GTEX-1JK1U-1726-SM-CNNPM 60-69 years, male 173.1
GTEX-1N2DW-1426-SM-EV7AZ 50-59 years, male 173.0
GTEX-18QFQ-1026-SM-7LG6B 30-39 years, male 172.2
GTEX-QEG5-1426-SM-447AS 20-29 years, male 172.0
GTEX-XMK1-1326-SM-4B65Q 40-49 years, male 171.8
GTEX-15SHU-1426-SM-6LPIN 40-49 years, female 171.3
GTEX-139YR-1726-SM-5IFFK 50-59 years, male 170.9
GTEX-13O3Q-0826-SM-5IFGF 50-59 years, male 170.6
GTEX-Y3I4-1226-SM-4TT8N 50-59 years, male 170.4
GTEX-15DCD-1626-SM-6AJBH 70-79 years, female 170.3
GTEX-14E6E-0726-SM-5S2R3 30-39 years, male 170.2
GTEX-1HCU7-2126-SM-A96SG 50-59 years, male 169.5
GTEX-1LVAN-2326-SM-CNNPY 50-59 years, female 169.1
GTEX-15RIE-0826-SM-6M47X 60-69 years, male 169.0
GTEX-16XZY-0926-SM-7938M 70-79 years, male 168.7
GTEX-17MFQ-0526-SM-7KFTX 20-29 years, male 168.2
GTEX-ZG7Y-1126-SM-4WWEZ 50-59 years, male 167.6
GTEX-13X6I-1026-SM-5LU4C 60-69 years, male 166.7
GTEX-RU72-0726-SM-46MUW 50-59 years, female 166.7
GTEX-11TT1-0526-SM-5P9JO 20-29 years, male 166.5
GTEX-R55E-1326-SM-48FCR 20-29 years, male 166.1
GTEX-ZY6K-0626-SM-59HJL 50-59 years, male 166.1
GTEX-QEG4-0726-SM-CNNRF 30-39 years, male 165.8
GTEX-T5JW-1326-SM-4DM5G 20-29 years, female 165.7
GTEX-1QEPI-1826-SM-EAZ3J 60-69 years, female 165.7
GTEX-14PJ5-0526-SM-664OE 60-69 years, female 165.5
GTEX-12ZZW-1726-SM-5DUVD 50-59 years, male 165.3
GTEX-Y111-1626-SM-57WCY 50-59 years, male 164.7
GTEX-1HGF4-0926-SM-9WPP8 60-69 years, male 164.0
GTEX-OXRK-1326-SM-3NB1A 50-59 years, female 163.5
GTEX-13W46-1926-SM-5J2MF 50-59 years, male 163.3
GTEX-X15G-0826-SM-4PQZD 50-59 years, female 162.1
GTEX-144FL-2726-SM-5O98Z 50-59 years, male 161.9
GTEX-148VI-1026-SM-5TDDJ 60-69 years, female 161.9
GTEX-1PPH8-1626-SM-E6CQP 20-29 years, male 161.5
GTEX-1F5PK-1526-SM-7MKGV 50-59 years, male 160.8
GTEX-17F97-1326-SM-7MGVO 50-59 years, male 160.4
GTEX-17F9E-1926-SM-7IGQF 50-59 years, male 160.0
GTEX-145MF-1426-SM-5O9B6 50-59 years, male 159.9
GTEX-WQUQ-1626-SM-4OOSH 60-69 years, male 159.6
GTEX-145ME-5004-SM-7MGXP 40-49 years, female 159.6
GTEX-R3RS-1326-SM-48FE7 40-49 years, female 159.4
GTEX-1LVAM-1126-SM-DHXKP 50-59 years, female 158.9
GTEX-1I4MK-0426-SM-B2LWQ 50-59 years, female 158.4
GTEX-13PVQ-1726-SM-5IFF3 50-59 years, male 158.2
GTEX-11NSD-1126-SM-5N9BQ 20-29 years, male 158.0
GTEX-1RAZR-1226-SM-E6CRD 40-49 years, male 157.5
GTEX-XMD2-1326-SM-4YCET 60-69 years, female 157.0
GTEX-ZAB5-0926-SM-5CVMV 50-59 years, male 156.7
GTEX-TSE9-1226-SM-4DXTM 60-69 years, female 156.2
GTEX-1GMR8-1826-SM-9WYUE 50-59 years, female 156.0
GTEX-1QP2A-1926-SM-EXOJ9 50-59 years, male 155.7
GTEX-1F75I-1726-SM-7MKGW 40-49 years, male 155.6
GTEX-ZYY3-1526-SM-5SIA9 60-69 years, female 155.3
GTEX-1KAFJ-0626-SM-D3L8X 50-59 years, male 155.3
GTEX-S32W-0926-SM-4AD5X 50-59 years, female 155.0
GTEX-U8XE-1726-SM-4E3IF 30-39 years, male 154.4
GTEX-UPJH-1026-SM-EAZB2 50-59 years, male 154.4
GTEX-QV44-1126-SM-CL55C 50-59 years, male 154.1
GTEX-1I1GS-2126-SM-ARU7G 60-69 years, male 153.8
GTEX-1S82Y-1226-SM-EV7BD 40-49 years, male 153.5
GTEX-18A66-1426-SM-7KFRT 60-69 years, male 152.8
GTEX-Y8E4-1726-SM-5LU9G 40-49 years, male 152.6
GTEX-18D9U-2126-SM-7LG4Y 40-49 years, male 152.5
GTEX-14PJN-0526-SM-68724 30-39 years, male 152.3
GTEX-ZVE2-1326-SM-5NQ94 50-59 years, male 151.4
GTEX-ZV68-0926-SM-59HK7 50-59 years, female 151.3
GTEX-131XE-1426-SM-5HL7V 50-59 years, male 151.1
GTEX-1QP67-0726-SM-DPRY1 40-49 years, female 151.1
GTEX-1QP29-2126-SM-E6CPZ 50-59 years, male 150.9
GTEX-146FQ-1026-SM-5LU8I 30-39 years, male 150.8
GTEX-P78B-1026-SM-3NMC4 40-49 years, female 150.6
GTEX-13O1R-1326-SM-5IJF5 60-69 years, male 150.4
GTEX-18465-1126-SM-7LG6E 50-59 years, male 150.0
GTEX-ZLFU-1126-SM-DO11K 40-49 years, male 150.0
GTEX-133LE-0626-SM-5IFFJ 20-29 years, female 149.7
GTEX-R55D-1126-SM-48FEB 50-59 years, male 149.3
GTEX-11DXY-1426-SM-5N9CN 60-69 years, male 149.0
GTEX-18A7A-2326-SM-7KFRH 50-59 years, female 149.0
GTEX-ZYT6-1126-SM-5GZYR 30-39 years, male 149.0
GTEX-13CF3-1626-SM-5IFG9 60-69 years, female 148.7
GTEX-1HB9E-1526-SM-D3LA6 50-59 years, male 148.6
GTEX-Y5V5-1626-SM-4VDSG 60-69 years, female 147.9
GTEX-18A6Q-1226-SM-7KFS9 60-69 years, male 147.8
GTEX-1J1OQ-2526-SM-AHZ3Q 40-49 years, female 147.8
GTEX-REY6-1326-SM-48FDO 60-69 years, male 147.3
GTEX-V955-1126-SM-4JBH3 60-69 years, male 147.0
GTEX-1PFEY-0826-SM-E9U6A 30-39 years, male 146.9
GTEX-1IDJD-1626-SM-C1YRC 30-39 years, male 146.5
GTEX-13OVJ-1226-SM-5L3HA 50-59 years, female 146.0
GTEX-R45C-1226-SM-48FEE 60-69 years, female 145.6
GTEX-XYKS-1526-SM-4BRUP 60-69 years, female 145.4
GTEX-PVOW-1626-SM-48TC9 40-49 years, male 144.6
GTEX-13NZB-1226-SM-5J2MW 30-39 years, male 143.7
GTEX-14C38-2126-SM-5RQJO 50-59 years, male 143.1
GTEX-13NYB-0926-SM-5IFFA 40-49 years, male 143.0
GTEX-YEC3-2526-SM-CXZIH 50-59 years, male 142.9
GTEX-14AS3-0626-SM-5QGQD 40-49 years, female 142.6
GTEX-1HSKV-2426-SM-A8N8K 60-69 years, male 142.3
GTEX-11LCK-1726-SM-5S2OQ 30-39 years, male 142.2
GTEX-1LB8K-1326-SM-CXZKB 50-59 years, male 142.1
GTEX-11EM3-0826-SM-5N9CC 20-29 years, female 141.4
GTEX-1MCC2-1926-SM-DHXJR 30-39 years, female 141.1
GTEX-1RAZQ-1726-SM-EAZ4T 30-39 years, male 141.1
GTEX-1KANA-0626-SM-D4P3I 20-29 years, male 141.0
GTEX-Y5V6-1026-SM-4VBS2 60-69 years, male 140.5
GTEX-WFJO-0826-SM-4LVM5 30-39 years, male 140.4
GTEX-WK11-1026-SM-4OOS8 50-59 years, male 140.4
GTEX-RU1J-0326-SM-46MUM 20-29 years, female 140.3
GTEX-1OKEX-1326-SM-E9J2U 60-69 years, male 140.2
GTEX-OXRN-1726-SM-3NM9B 50-59 years, male 139.9
GTEX-1JMPZ-2026-SM-C1YR8 30-39 years, male 139.8
GTEX-16MTA-0826-SM-6LLIC 50-59 years, male 139.6
GTEX-14PKV-1726-SM-6871U 20-29 years, female 139.5
GTEX-11GSP-1826-SM-5N9DQ 60-69 years, female 139.4
GTEX-1QCLZ-1626-SM-E9U5R 60-69 years, female 138.9
GTEX-XV7Q-1126-SM-4BRVS 40-49 years, female 138.8
GTEX-1LG7Z-0926-SM-CXKYK 30-39 years, male 138.4
GTEX-13SLX-1726-SM-5Q5E5 50-59 years, female 138.0
GTEX-15RJE-0926-SM-6LLHZ 40-49 years, male 138.0
GTEX-15SB6-0726-SM-6M48F 50-59 years, female 137.6
GTEX-17KNJ-1326-SM-7KFTG 50-59 years, male 137.6
GTEX-11ZU8-1526-SM-5EGHX 60-69 years, male 137.1
GTEX-15UF6-2326-SM-6M465 70-79 years, female 136.0
GTEX-14ICL-0526-SM-5RQJ6 30-39 years, male 135.6
GTEX-ZTPG-1626-SM-5DUX2 20-29 years, female 135.5
GTEX-ZGAY-1126-SM-4WWBS 40-49 years, female 135.3
GTEX-XLM4-2326-SM-4AT5E 60-69 years, male 135.0
GTEX-PLZ4-1626-SM-3P618 50-59 years, female 134.7
GTEX-144GN-0626-SM-5O9B2 50-59 years, male 134.5
GTEX-11P81-0826-SM-5P9GR 30-39 years, female 134.4
GTEX-14E1K-1226-SM-5S2PD 50-59 years, male 134.4
GTEX-131XF-0826-SM-5GICG 60-69 years, male 133.6
GTEX-1IDFM-1126-SM-A96SY 60-69 years, male 133.6
GTEX-1OJC3-0826-SM-DPRYU 20-29 years, male 133.5
GTEX-1CB4I-1026-SM-7MKFZ 50-59 years, male 133.3
GTEX-1N2DV-2026-SM-EV7BL 40-49 years, male 133.3
GTEX-169BO-0526-SM-793AK 50-59 years, male 132.8
GTEX-1AMEY-0226-SM-7189Q 30-39 years, female 132.5
GTEX-ZC5H-1326-SM-5HL7E 40-49 years, female 132.5
GTEX-11I78-1526-SM-5A5K7 50-59 years, female 132.4
GTEX-1AX9K-1126-SM-731DQ 50-59 years, male 132.4
GTEX-1QP9N-0926-SM-E9U5S 30-39 years, male 132.4
GTEX-1HC8U-1526-SM-9WPO4 40-49 years, female 132.3
GTEX-Y3IK-1126-SM-51MSV 50-59 years, female 132.2
GTEX-15RJ7-0926-SM-6LPJO 40-49 years, male 132.1
GTEX-111YS-0926-SM-5EGGI 60-69 years, male 131.3
GTEX-132QS-1426-SM-5P9GE 60-69 years, male 131.2
GTEX-1PIGE-0926-SM-E9U5Z 20-29 years, male 130.7
GTEX-1H23P-1426-SM-9JGH5 60-69 years, male 130.4
GTEX-1GN73-1926-SM-9JGGS 60-69 years, male 130.2
GTEX-12ZZY-1426-SM-5N9EI 60-69 years, male 130.0
GTEX-S4P3-0426-SM-4AD56 50-59 years, female 129.9
GTEX-1EX96-2226-SM-7MKGT 50-59 years, male 129.8
GTEX-ZEX8-1426-SM-4WKHQ 50-59 years, male 129.8
GTEX-QEL4-1426-SM-447AC 50-59 years, male 129.4
GTEX-132Q8-1826-SM-5EGIY 60-69 years, male 129.3
GTEX-178AV-0526-SM-6LPJH 40-49 years, male 129.3
GTEX-139UW-1126-SM-5IJEJ 60-69 years, male 129.2
GTEX-1B996-1826-SM-7MGY6 60-69 years, male 129.2
GTEX-1LG7Y-1726-SM-EV7AR 50-59 years, male 128.3
GTEX-OIZH-0626-SM-3NB1L 50-59 years, male 128.2
GTEX-WFG7-1126-SM-4LMK3 20-29 years, male 128.0
GTEX-1HSMQ-2026-SM-B2LY1 50-59 years, male 127.5
GTEX-1MA7X-0726-SM-EV7AB 60-69 years, male 127.1
GTEX-1QP28-1826-SM-EAZ4L 50-59 years, female 127.1
GTEX-12WSG-5007-SM-7DUGZ 50-59 years, female 126.9
GTEX-S33H-0826-SM-4AD5Y 30-39 years, male 126.6
GTEX-O5YV-1026-SM-3LK72 60-69 years, female 126.4
GTEX-ZXES-1126-SM-5GZXN 30-39 years, female 126.2
GTEX-14B4R-0326-SM-5TDDP 30-39 years, male 126.1
GTEX-1MCYP-1026-SM-DPRYB 20-29 years, female 126.1
GTEX-QESD-0826-SM-47J4G 20-29 years, male 126.0
GTEX-1JKYR-2126-SM-CNNPC 20-29 years, male 126.0
GTEX-17EVQ-1926-SM-7IGOF 70-79 years, male 125.9
GTEX-VUSG-1226-SM-4KKZF 50-59 years, male 125.9
GTEX-1HCUA-1426-SM-9WPP7 50-59 years, female 125.8
GTEX-RM2N-0726-SM-48FD5 50-59 years, male 125.7
GTEX-1LSVX-1226-SM-DHXJN 60-69 years, male 125.6
GTEX-14BIN-2726-SM-5RQIE 50-59 years, female 125.5
GTEX-OXRP-0926-SM-48TC1 60-69 years, female 125.2
GTEX-1QW4Y-0526-SM-EAZ3V 30-39 years, male 124.9
GTEX-XXEK-0326-SM-4BRVV 50-59 years, male 123.7
GTEX-18D9A-0526-SM-7KFSW 30-39 years, female 123.5
GTEX-ZVP2-1326-SM-57WCE 50-59 years, male 123.1
GTEX-VJYA-0726-SM-4KL1T 60-69 years, male 122.7
GTEX-1IKK5-1326-SM-AHZ2X 60-69 years, male 122.5
GTEX-13U4I-1126-SM-5LU3S 40-49 years, female 122.4
GTEX-1QCLY-1526-SM-DPRXX 30-39 years, male 122.4
GTEX-Y5LM-1026-SM-4VDSQ 40-49 years, female 121.7
GTEX-1LGRB-1626-SM-CNNR7 50-59 years, female 121.4
GTEX-1CB4E-1026-SM-793AB 60-69 years, male 121.1
GTEX-S7SF-0926-SM-4AD4M 20-29 years, female 120.4
GTEX-ZLWG-1326-SM-DNZYZ 50-59 years, female 120.3
GTEX-183FY-1526-SM-7IGOW 20-29 years, male 120.2
GTEX-1B933-2026-SM-7EWFC 50-59 years, female 120.0
GTEX-ZDYS-0826-SM-4WWCR 50-59 years, male 120.0
GTEX-1K2DA-0626-SM-CGQGO 50-59 years, male 119.8
GTEX-18A67-2426-SM-7LT95 50-59 years, male 119.7
GTEX-13OVK-1126-SM-6PAMR 40-49 years, male 119.5
GTEX-W5WG-1626-SM-4LMKG 50-59 years, female 119.5
GTEX-11ZTS-2626-SM-5EGIC 60-69 years, female 119.4
GTEX-P4QS-0626-SM-3NMD1 60-69 years, male 119.4
GTEX-WXYG-1226-SM-4ONCJ 50-59 years, female 119.3
GTEX-Q2AG-1326-SM-43V8K 40-49 years, female 119.2
GTEX-WOFM-0626-SM-4OOS3 20-29 years, male 119.2
GTEX-OHPN-1026-SM-E9TI8 60-69 years, female 119.1
GTEX-1H1DG-1226-SM-9JGH3 70-79 years, male 119.0
GTEX-1IY9M-1626-SM-AHZ39 60-69 years, male 118.8
GTEX-1BAJH-2026-SM-7P8OZ 70-79 years, male 118.7
GTEX-UPK5-1226-SM-4IHL8 40-49 years, male 118.5
GTEX-1ICG6-1926-SM-ARU7L 70-79 years, female 118.3
GTEX-Q2AI-0626-SM-48TZU 40-49 years, male 118.2
GTEX-1R9K5-1526-SM-DPRZA 50-59 years, male 118.2
GTEX-RNOR-1226-SM-48FDQ 50-59 years, female 118.1
GTEX-13JVG-2026-SM-5KM1N 60-69 years, male 117.9
GTEX-14JIY-0926-SM-6871D 60-69 years, male 117.8
GTEX-1J8EW-1326-SM-AHZ3S 60-69 years, female 117.7
GTEX-18D9B-2026-SM-7LT96 60-69 years, male 117.4
GTEX-ZT9X-0526-SM-5GCOP 40-49 years, male 117.4
GTEX-ZYVF-2226-SM-5GIDD 50-59 years, female 117.4
GTEX-S341-0526-SM-4AD5U 40-49 years, female 117.3
GTEX-13OVG-0626-SM-5IFEP 60-69 years, male 117.0
GTEX-1IDJH-2026-SM-CNNQX 70-79 years, male 117.0
GTEX-1J1R8-0326-SM-AHZ3D 40-49 years, male 116.9
GTEX-WVLH-1426-SM-4MVNX 50-59 years, male 116.7
GTEX-ZUA1-1226-SM-5NQ6O 40-49 years, male 116.6
GTEX-Z9EW-0526-SM-5HL8S 40-49 years, male 116.3
GTEX-1R9PM-0926-SM-DPRYA 20-29 years, male 116.2
GTEX-1HCU6-1326-SM-A96TZ 60-69 years, female 116.1
GTEX-146FR-0426-SM-5SI97 60-69 years, female 115.8
GTEX-17F98-1726-SM-7938O 40-49 years, female 115.8
GTEX-1S83E-0826-SM-EV7B7 40-49 years, male 115.8
GTEX-16BQI-1526-SM-6LLIE 30-39 years, female 115.6
GTEX-QVUS-0626-SM-447CC 60-69 years, female 115.4
GTEX-16NPX-1626-SM-6LLI5 50-59 years, male 115.2
GTEX-1IDJF-1226-SM-C1YPX 20-29 years, male 115.2
GTEX-13W3W-1626-SM-5LU35 60-69 years, female 115.0
GTEX-OIZF-0626-SM-7MKHG 60-69 years, male 115.0
GTEX-ZYFG-1126-SM-5GICY 60-69 years, female 114.9
GTEX-11NUK-1326-SM-5P9GN 50-59 years, male 114.8
GTEX-1CB4F-1526-SM-7MKFM 60-69 years, male 114.8
GTEX-14JG6-0926-SM-6871Y 30-39 years, female 114.5
GTEX-13O21-0626-SM-5IJDI 50-59 years, male 114.2
GTEX-1H1ZS-1526-SM-9OSXR 70-79 years, male 113.7
GTEX-13FH7-0526-SM-5IJF8 50-59 years, female 113.6
GTEX-R53T-1126-SM-48FD4 50-59 years, female 113.6
GTEX-145MO-1426-SM-DTX9W 60-69 years, male 113.4
GTEX-1MGNQ-1626-SM-EAZ4Z 40-49 years, male 113.4
GTEX-13PVR-1826-SM-5Q5CC 60-69 years, female 113.3
GTEX-WHPG-1126-SM-4M1XT 50-59 years, male 113.1
GTEX-ZZ64-0226-SM-5E44X 20-29 years, male 113.1
GTEX-PSDG-1326-SM-48TD2 50-59 years, male 113.0
GTEX-ZPU1-1426-SM-4WWFU 40-49 years, male 113.0
GTEX-1I1GU-1426-SM-B2LX3 40-49 years, male 113.0
GTEX-1KXAM-0826-SM-CXZK9 60-69 years, male 113.0
GTEX-X4EO-1226-SM-4QARR 60-69 years, female 112.9
GTEX-1EU9M-2326-SM-7MKGS 60-69 years, male 112.7
GTEX-1A8FM-1526-SM-7MXTA 50-59 years, female 112.6
GTEX-1NUQO-1126-SM-DTX98 20-29 years, female 112.4
GTEX-1RLM8-0726-SM-E6CRH 50-59 years, male 112.4
GTEX-Q2AH-0826-SM-48TZN 40-49 years, male 112.3
GTEX-WFG8-1226-SM-4V6EI 20-29 years, male 111.9
GTEX-13FLV-1126-SM-5J2NO 50-59 years, male 111.3
GTEX-13G51-0926-SM-5IFFU 60-69 years, male 111.3
GTEX-139T6-0626-SM-5IFF9 50-59 years, male 111.2
GTEX-13111-0826-SM-5LZV3 50-59 years, male 111.1
GTEX-XUZC-0426-SM-4BOPE 30-39 years, female 111.1
GTEX-12WSA-1426-SM-5EGJU 60-69 years, male 110.8
GTEX-1KANB-1826-SM-DHXJU 50-59 years, male 110.6
GTEX-1RDX4-2126-SM-EV7B3 50-59 years, female 110.6
GTEX-Y9LG-0626-SM-4WWDH 30-39 years, male 110.5
GTEX-131YS-1426-SM-5IJF7 60-69 years, female 110.2
GTEX-S3XE-0926-SM-4AD4S 50-59 years, male 109.7
GTEX-XQ8I-1526-SM-4BOOH 50-59 years, male 109.7
GTEX-OXRL-0626-SM-3NM9C 50-59 years, male 109.6
GTEX-1212Z-2126-SM-5FQTM 60-69 years, male 109.5
GTEX-1JKYN-1526-SM-CGQGA 30-39 years, male 109.5
GTEX-17HGU-1426-SM-7938G 50-59 years, male 109.4
GTEX-1CB4G-1326-SM-7MKFP 60-69 years, male 109.3
GTEX-WHSE-1526-SM-4M1XH 20-29 years, male 109.3
GTEX-1K2DU-1726-SM-EV79S 20-29 years, male 108.6
GTEX-1J8QM-1926-SM-AHZ3Z 60-69 years, female 108.5
GTEX-XBEW-1326-SM-4AT63 40-49 years, male 108.2
GTEX-144GM-1426-SM-5LU31 20-29 years, male 108.0
GTEX-T5JC-1726-SM-4DM6U 20-29 years, male 107.9
GTEX-1EN7A-1226-SM-7MGX9 40-49 years, male 107.5
GTEX-1GL5R-1526-SM-7MKHO 50-59 years, male 107.4
GTEX-1I1GQ-1726-SM-B2LWZ 50-59 years, male 107.4
GTEX-U4B1-0826-SM-4DXTW 40-49 years, male 107.3
GTEX-14PJM-1526-SM-664NY 50-59 years, female 107.2
GTEX-Y8LW-0726-SM-5IFI1 50-59 years, female 107.2
GTEX-13D11-1926-SM-5IFGB 50-59 years, female 106.8
GTEX-15DYW-1826-SM-6LPIY 60-69 years, female 106.8
GTEX-ZZPT-1426-SM-5N9C5 50-59 years, male 106.7
GTEX-1C2JI-1126-SM-731FH 50-59 years, male 106.4
GTEX-YJ89-1526-SM-5P9IR 60-69 years, male 106.4
GTEX-1399U-1026-SM-5J1OC 50-59 years, female 106.3
GTEX-1AYD5-0926-SM-793AF 50-59 years, male 105.5
GTEX-14ICK-2026-SM-6AJB2 40-49 years, male 105.2
GTEX-X4LF-0626-SM-4QASB 50-59 years, male 105.1
GTEX-13FTX-0526-SM-5IFGS 20-29 years, female 105.0
GTEX-1QPFJ-1226-SM-EAZ3M 30-39 years, female 104.8
GTEX-ZF29-1326-SM-DNZYV 60-69 years, female 104.7
GTEX-1B97J-1026-SM-7MXTE 50-59 years, female 104.6
GTEX-V1D1-1026-SM-4JBHE 50-59 years, male 104.3
GTEX-17F96-2526-SM-7DHL3 70-79 years, male 104.0
GTEX-13FTW-1626-SM-5KM4N 40-49 years, male 103.9
GTEX-SNMC-0526-SM-4DM69 20-29 years, male 103.7
GTEX-1211K-0926-SM-5FQTL 60-69 years, female 103.5
GTEX-1R9JW-1526-SM-DPRZK 30-39 years, female 103.5
GTEX-1CB4H-1526-SM-7MXU4 60-69 years, female 102.9
GTEX-1399R-0826-SM-5IJEL 30-39 years, male 102.6
GTEX-UJHI-0826-SM-4IHLM 50-59 years, female 102.5
GTEX-1RAZS-2626-SM-EV79C 50-59 years, male 102.4
GTEX-1399S-1326-SM-5P9GH 30-39 years, female 102.2
GTEX-1GMR2-1526-SM-7MXV6 50-59 years, male 102.2
GTEX-17HHE-0926-SM-7938K 50-59 years, male 102.1
GTEX-YB5E-0926-SM-4WWDQ 40-49 years, male 102.1
GTEX-1122O-1726-SM-5GICM 60-69 years, female 102.0
GTEX-U3ZH-1026-SM-4DXUZ 30-39 years, male 102.0
GTEX-1AX9J-1826-SM-731FM 60-69 years, male 101.8
GTEX-X4EP-1626-SM-4QAS6 60-69 years, female 101.7
GTEX-SJXC-1426-SM-EYYVB 60-69 years, male 101.7
GTEX-QLQW-0526-SM-4R1KS 30-39 years, male 101.4
GTEX-14DAR-0826-SM-73KYJ 50-59 years, male 101.0
GTEX-1PPGY-1726-SM-EVR3S 60-69 years, male 101.0
GTEX-139TU-1226-SM-5J2NL 60-69 years, male 100.8
GTEX-15EOM-5013-SM-7MKF9 20-29 years, female 100.8
GTEX-1GN1W-2226-SM-9JGI5 50-59 years, female 100.6
GTEX-16NGA-1426-SM-718AC 40-49 years, female 100.4
GTEX-1H3NZ-1326-SM-9JGHI 60-69 years, male 100.2
GTEX-Y114-0926-SM-4TT7J 50-59 years, female 100.0
GTEX-1A3MV-1326-SM-7LG6C 30-39 years, male 99.9
GTEX-13X6K-2126-SM-5O9D4 60-69 years, female 99.8
GTEX-1I1GR-1326-SM-ARU7B 60-69 years, male 99.8
GTEX-1KD4Q-1126-SM-CXZKK 40-49 years, male 99.7
GTEX-11TUW-1326-SM-5EQKV 60-69 years, male 99.6
GTEX-13FHO-1726-SM-DPRZX 60-69 years, male 99.6
GTEX-OOBK-0625-SM-3LK5P 40-49 years, male 99.5
GTEX-T8EM-0526-SM-4DM64 40-49 years, male 99.0
GTEX-1C64O-1826-SM-7DHM4 60-69 years, male 98.8
GTEX-P4PQ-0626-SM-3NMCU 60-69 years, male 98.8
GTEX-X3Y1-1326-SM-4PQZB 40-49 years, male 98.8
GTEX-12WSD-1826-SM-5GCOA 60-69 years, female 98.7
GTEX-ZT9W-1326-SM-51MTB 50-59 years, male 98.6
GTEX-ZVT2-1326-SM-5E45H 50-59 years, female 98.4
GTEX-15UF7-0926-SM-6M46F 40-49 years, male 98.3
GTEX-ZYW4-1326-SM-5E45N 60-69 years, male 98.1
GTEX-15EU6-1626-SM-6LPKF 50-59 years, male 97.9
GTEX-1LVA9-2126-SM-DLHBY 50-59 years, male 97.9
GTEX-POYW-1326-SM-48TCG 60-69 years, male 97.6
GTEX-ZDTT-1326-SM-4WKFH 60-69 years, male 97.6
GTEX-1LSNL-2226-SM-DHXKM 50-59 years, male 97.6
GTEX-1LBAC-1226-SM-DHXK1 20-29 years, male 97.5
GTEX-12KS4-0926-SM-5BC5S 30-39 years, male 97.2
GTEX-WFON-0826-SM-4LVMI 40-49 years, male 97.1
GTEX-12696-1326-SM-5FQTJ 60-69 years, male 96.9
GTEX-RN64-1026-SM-48FDX 50-59 years, male 96.5
GTEX-11P82-0526-SM-5986P 20-29 years, male 96.4
GTEX-YF7O-0926-SM-5IFIF 50-59 years, male 96.4
GTEX-14PJ3-0626-SM-6UGC5 50-59 years, male 96.4
GTEX-1EKGG-1726-SM-7MXUP 60-69 years, male 96.4
GTEX-1HKZK-1426-SM-A96U1 40-49 years, male 96.3
GTEX-145LS-1826-SM-5LUAZ 60-69 years, female 96.2
GTEX-SUCS-0726-SM-4DM7J 70-79 years, male 96.1
GTEX-U3ZM-0526-SM-4DXTB 40-49 years, male 96.1
GTEX-PLZ5-0926-SM-3TW8L 50-59 years, male 96.0
GTEX-1AMFI-0226-SM-731D5 50-59 years, female 95.9
GTEX-S95S-0426-SM-4B64I 60-69 years, male 95.6
GTEX-U3ZN-1726-SM-4DXUQ 30-39 years, female 95.5
GTEX-T2IS-0826-SM-4DM6L 20-29 years, female 95.4
GTEX-1E1VI-1526-SM-7IGQ2 50-59 years, male 95.0
GTEX-12C56-1226-SM-5FQSU 20-29 years, male 94.9
GTEX-T6MO-0526-SM-4DM6R 40-49 years, female 94.9
GTEX-1HCVE-1226-SM-9WPPH 50-59 years, male 94.9
GTEX-QDVJ-0726-SM-48U1W 50-59 years, male 94.8
GTEX-RWS6-0826-SM-47JXF 60-69 years, female 94.6
GTEX-111CU-0726-SM-5GZYD 50-59 years, male 94.4
GTEX-YB5K-0826-SM-5YYB7 40-49 years, female 94.3
GTEX-R55C-0826-SM-48FCL 40-49 years, male 94.2
GTEX-ZA64-0626-SM-5HL9O 20-29 years, male 94.0
GTEX-1MA7W-0426-SM-E9TJ5 20-29 years, female 94.0
GTEX-TKQ1-0326-SM-4DXSM 30-39 years, male 93.9
GTEX-ZF3C-1626-SM-4WWB4 50-59 years, female 93.6
GTEX-NFK9-1126-SM-3LK78 40-49 years, male 93.5
GTEX-1GMR3-1526-SM-9JGGL 40-49 years, male 93.4
GTEX-1EMGI-1926-SM-7938Y 60-69 years, male 92.8
GTEX-13OW8-2326-SM-5L3I9 60-69 years, male 92.7
GTEX-1HFI6-1226-SM-A96SK 40-49 years, male 92.7
GTEX-12WSK-1126-SM-5LZV8 40-49 years, female 92.5
GTEX-17EUY-1426-SM-7938X 20-29 years, male 92.5
GTEX-1269C-1026-SM-5N9EY 60-69 years, female 92.3
GTEX-1A32A-1826-SM-72D5G 50-59 years, female 92.3
GTEX-1B97I-0926-SM-731DZ 40-49 years, male 92.3
GTEX-ZAB4-1126-SM-5HL86 40-49 years, male 92.3
GTEX-1HBPH-1126-SM-A96TU 40-49 years, female 92.2
GTEX-1I1CD-1726-SM-A9G3P 60-69 years, female 92.1
GTEX-11P7K-1326-SM-5BC5G 30-39 years, male 91.7
GTEX-ZTSS-0626-SM-59867 40-49 years, male 91.5
GTEX-1B8KZ-0726-SM-7938W 50-59 years, male 90.8
GTEX-WYVS-0726-SM-4ONDO 40-49 years, female 90.8
GTEX-QDVN-1026-SM-48TZA 50-59 years, male 90.4
GTEX-1F7RK-1526-SM-7P8T6 20-29 years, female 90.3
GTEX-14A6H-1326-SM-5NQBC 30-39 years, male 89.9
GTEX-OIZI-1426-SM-3NB1T 40-49 years, male 89.9
GTEX-145MN-1026-SM-5NQ9G 30-39 years, male 89.8
GTEX-SE5C-1226-SM-4BRWV 40-49 years, female 89.5
GTEX-1GN1U-1826-SM-9JGH2 50-59 years, female 89.5
GTEX-14PHY-0626-SM-664NN 60-69 years, female 89.3
GTEX-QLQ7-0926-SM-447BC 60-69 years, male 89.2
GTEX-ZLV1-0526-SM-4WWD4 60-69 years, female 88.9
GTEX-14H4A-1626-SM-5SI69 40-49 years, female 88.5
GTEX-PWCY-0726-SM-48TCS 20-29 years, female 88.3
GTEX-1GTWX-1326-SM-9JGHU 60-69 years, male 88.3
GTEX-11DXZ-1226-SM-5H11L 50-59 years, male 88.2
GTEX-11VI4-0526-SM-5EQ48 40-49 years, female 87.9
GTEX-16MT8-1326-SM-6M47R 60-69 years, female 87.8
GTEX-X62O-2226-SM-46MW3 50-59 years, male 87.4
GTEX-N7MT-0326-SM-48TDP 60-69 years, female 87.0
GTEX-R55G-1026-SM-48FDI 40-49 years, female 86.6
GTEX-131XG-1026-SM-5GCMX 50-59 years, female 86.3
GTEX-1LGOU-0526-SM-D3LAO 20-29 years, female 86.1
GTEX-13YAN-1926-SM-7EPH9 60-69 years, male 85.8
GTEX-PLZ6-0526-SM-3P61C 30-39 years, male 85.8
GTEX-1I1GV-2226-SM-ARU7E 60-69 years, male 85.8
GTEX-YEC4-1026-SM-9WG7N 40-49 years, male 85.7
GTEX-WEY5-0926-SM-4LMI4 40-49 years, female 85.5
GTEX-YECK-1626-SM-5IFHQ 60-69 years, male 85.4
GTEX-13QJ3-1726-SM-5RQK9 50-59 years, male 85.3
GTEX-117YW-1926-SM-5H121 50-59 years, male 84.4
GTEX-RVPV-0526-SM-47JYL 60-69 years, male 84.4
GTEX-WHSB-0426-SM-4M1XI 50-59 years, male 84.4
GTEX-11EQ9-0726-SM-5A5K2 30-39 years, male 84.2
GTEX-17JCI-1226-SM-793D9 60-69 years, female 84.1
GTEX-15ER7-2126-SM-7939E 20-29 years, female 84.0
GTEX-WYJK-1926-SM-4ONDP 50-59 years, male 84.0
GTEX-OIZG-1026-SM-3LK5X 50-59 years, male 83.8
GTEX-145LT-1126-SM-5LUA1 40-49 years, male 83.3
GTEX-16AAH-0726-SM-793A9 50-59 years, male 83.3
GTEX-1EWIQ-1526-SM-79OO7 70-79 years, female 83.3
GTEX-15EO6-1026-SM-7KUG9 50-59 years, male 82.8
GTEX-ZF2S-1226-SM-4WWAX 50-59 years, female 82.4
GTEX-11ONC-1526-SM-5GU6S 60-69 years, male 81.9
GTEX-1HBPI-0626-SM-9WPP4 50-59 years, male 80.5
GTEX-X585-1226-SM-46MW7 50-59 years, male 80.0
GTEX-PWN1-0626-SM-48TDT 40-49 years, female 79.9
GTEX-P4QT-0626-SM-3NMCP 50-59 years, female 79.8
GTEX-16Z82-1926-SM-6M47U 60-69 years, male 79.7
GTEX-1JMLX-2326-SM-CXZJP 50-59 years, male 79.6
GTEX-1CAMQ-2726-SM-7MKGD 40-49 years, male 79.3
GTEX-SNOS-0626-SM-4DM5F 40-49 years, male 78.5
GTEX-147F3-0826-SM-5NQA7 50-59 years, female 78.2
GTEX-1B8KE-1826-SM-731FD 50-59 years, male 78.2
GTEX-13RTK-0526-SM-5S2QF 20-29 years, male 77.8
GTEX-QCQG-0626-SM-48U21 50-59 years, female 77.4
GTEX-12BJ1-1626-SM-5HL8Y 60-69 years, male 77.3
GTEX-RTLS-1126-SM-46MUQ 60-69 years, female 77.2
GTEX-WH7G-0926-SM-4LVMJ 40-49 years, male 76.6
GTEX-13OVI-2626-SM-5KM4T 60-69 years, female 76.3
GTEX-S4Q7-0626-SM-4AD5M 20-29 years, male 76.1
GTEX-1MJIX-0826-SM-DTXEO 40-49 years, male 74.9
GTEX-11EI6-1526-SM-5P9GL 60-69 years, male 73.1
GTEX-11XUK-0826-SM-5GU6P 40-49 years, female 72.7
GTEX-1HSGN-1626-SM-A96U2 40-49 years, female 72.3
GTEX-ZPCL-1426-SM-57WEC 60-69 years, female 71.8
GTEX-WRHK-0526-SM-4MVOF 20-29 years, female 71.7
GTEX-UJMC-0926-SM-4IHLK 50-59 years, male 71.6
GTEX-1HBPM-1426-SM-9WPPE 60-69 years, female 71.6
GTEX-145LV-1326-SM-5S2QI 50-59 years, male 71.0
GTEX-XBED-1026-SM-48TCB 60-69 years, male 70.9
GTEX-1JMPY-0826-SM-AHZ4A 30-39 years, male 70.8
GTEX-15ETS-1926-SM-7KUN5 40-49 years, female 69.8
GTEX-145LU-0926-SM-79OJL 50-59 years, male 69.3
GTEX-TML8-1526-SM-4DXUX 40-49 years, female 69.2
GTEX-ZQUD-0426-SM-57WFR 30-39 years, male 69.2
GTEX-ZAK1-1526-SM-5S2OV 50-59 years, female 67.7
GTEX-13QBU-1026-SM-5LU3R 40-49 years, female 67.5
GTEX-14DAQ-1426-SM-5RQJD 60-69 years, female 67.1
GTEX-13O61-0926-SM-5IFFE 60-69 years, male 66.7
GTEX-X4XY-1726-SM-46MVO 60-69 years, male 66.0
GTEX-N7MS-1225-SM-3LK5G 60-69 years, male 65.3
GTEX-1AX9I-1426-SM-7DHM8 60-69 years, male 64.7
GTEX-1MCQQ-1026-SM-EV7AX 60-69 years, male 63.3
GTEX-17HII-1526-SM-9OSVD 50-59 years, male 62.1
GTEX-1EH9U-2426-SM-7EWFG 60-69 years, male 60.1
GTEX-13PL7-0226-SM-731DT 60-69 years, female 58.5
GTEX-148VJ-1026-SM-5LU98 70-79 years, male 55.1
GTEX-13FHP-1526-SM-5IJGE 50-59 years, male 54.5
GTEX-P4PP-0626-SM-3NM9X 30-39 years, female 54.2
GTEX-14C5O-1626-SM-73KYH 60-69 years, male 50.4
Show allShow less

ESOPHAGUS - FANTOM5 CAGEi

RNA expression in human tissues obtained through Cap Analysis of Gene Expression (CAGE) generated by the FANTOM5 project are reported as Scaled Tags Per Million.

Max subtype Scaled Tags Per Millioni

Max subtype Scaled Tags Per Million is the value for the subtype with the largest average Scaled Tags Per Million across the subtype samples.

165.5
FANTOM5 sample id Sample description Scaled Tags Per Million
Esophagus
Scaled Tags Per Million: 165.5
FF:10015-101C6 68,74,75 years, mixed 165.5

Contact

  • NEWS ARTICLES
  • PRESS ROOM

The Project

  • INTRODUCTION
  • ORGANIZATION
  • PUBLICATIONS

The Human Protein Atlas

  • DOWNLOADABLE DATA
  • LICENCE & CITATION
  • HELP & FAQ
The Human Protein Atlas project is funded
by the Knut & Alice Wallenberg Foundation.


contact@proteinatlas.org