We use cookies to enhance the usability of our website. If you continue, we'll assume that you are happy to receive all cookies. More information. Don't show this again.
HSPE1
HPA
RESOURCES
  • TISSUE
  • BRAIN
  • SINGLE CELL
  • SUBCELLULAR
  • CANCER
  • BLOOD
  • CELL LINE
  • STRUCTURE & INTERACTION
ABOUT
  • INTRODUCTION
  • HISTORY
  • ORGANIZATION
  • PUBLICATIONS
  • ANTIBODY SUBMISSION
  • ANTIBODY AVAILABILITY
  • ACKNOWLEDGMENTS
  • CONTACT
NEWS
  • NEWS ARTICLES
  • PRESS ROOM
LEARN
  • DICTIONARY
  • PROTEIN CLASSES
  • PROTEIN EVIDENCE
  • METHODS
  • EDUCATIONAL VIDEOS
DATA
  • DOWNLOADABLE DATA
  • PUBLICATION DATA
  • RELEASE HISTORY
HELP
  • ANTIBODY VALIDATION
  • ASSAYS & ANNOTATION
  • DISCLAIMER
  • HELP & FAQ
  • PRIVACY STATEMENT
  • LICENCE & CITATION
Fields »
Search result

Field
Term
Gene name
Class
Subclass
Class
Keyword
Chromosome
External id
Tissue
Cell type
Expression
Antibody panel
Tissue
Main location
Patient ID
Annotation
Tissue
Category
Tau score
Cluster
Reliability
Brain region
Category
Tau score
Brain region
Category
Tau score
Brain region
Category
Tau score
Cluster
Reliability
Tissue
Cell type
Enrichment
Cell type
Category
Tau score
Cell type
Category
Tau score
Cell type
Category
Tau score
Cell lineage
Category
Tau score
Cluster
Cluster
Location
Searches
Location
Cell line
Class
Type
Phase
Reliability
Cancer
Prognosis
Cancer
Category
Cancer
Category
Tau score
Cluster
Variants
Interacting gene (ensg_id)
Type
Number of interactions
Pathway
Category
Score
Score
Score
Validation
Validation
Validation
Validation
Antibodies
Data type
Column


  • SUMMARY

  • TISSUE

  • BRAIN

  • SINGLE CELL

  • SUBCELL

  • CANCER

  • BLOOD

  • CELL LINE

  • STRUCT & INT

  • HSPE1
TISSUE PRIMARY DATA SMALL INTESTINE Show tissue menu
ADIPOSE TISSUE ADRENAL GLAND AMYGDALA APPENDIX BASAL GANGLIA BONE MARROW BREAST BRONCHUS CEREBELLUM CEREBRAL CORTEX CERVIX CHOROID PLEXUS COLON DUODENUM
ENDOMETRIUM EPIDIDYMIS ESOPHAGUS FALLOPIAN TUBE GALLBLADDER HEART MUSCLE HIPPOCAMPAL FORMATION HYPOTHALAMUS KIDNEY LIVER LUNG LYMPH NODE MIDBRAIN NASOPHARYNX
ORAL MUCOSA OVARY PANCREAS PARATHYROID GLAND PITUITARY GLAND PLACENTA PROSTATE RECTUM RETINA SALIVARY GLAND SEMINAL VESICLE SKELETAL MUSCLE SKIN SMALL INTESTINE
SMOOTH MUSCLE SOFT TISSUE SPINAL CORD SPLEEN STOMACH TESTIS THYMUS THYROID GLAND TONGUE TONSIL URINARY BLADDER VAGINA
ANTIBODIES
AND
VALIDATION
Dictionary
Small intestine
Tissue proteome
Intestine
SMALL INTESTINE - Expression summary
Protein expression
Small intestinei

On the top, protein expression in current human tissue, based on all annotated cell types, is reported with the units not detected (n), low (l), medium (m) and high (h). Underneath, protein expression in each annotated cell type are reported using the same units.

Protein expression data is based on knowledge-based annotation. For genes where more than one antibody has been used, a collective score is set.

If knowledge-based annotation could not be performed for a gene, no data is displayed here. View antibody staining data further down this page.

h
m
l
n
Endocrine cells: High
Enterocytes: High
Enterocytes - Microvilli: Not detected
Goblet cells: High
Paneth cells: Medium
RNA expressioni

A summary of mRNA expression data available for current tissue based on several datasets. The mRNA expression levels in human tissues are based on RNA-seq data generated by the Human Protein Atlas (HPA), Genotype-Tissue Expression (GTEx) portal and CAGE data generated by the FANTOM5 consortium. Consensus normalized expression levels for human tissues was created by combining the data from HPA and GTEx datasets.

The mRNA expression levels in pig are based on RNA-seq data generated by the Human Protein Atlas (HPA), and for mouse, HPA data and in situ hybridization generated by the Allen brain atlas are reported.

Scroll down to view mRNA expression data in more detail.
Consensus:163.2 nTPM
HPA:163.2 nTPM
GTEx:97.6 nTPM
FANTOM5:198.9 Scaled Tags Per Million

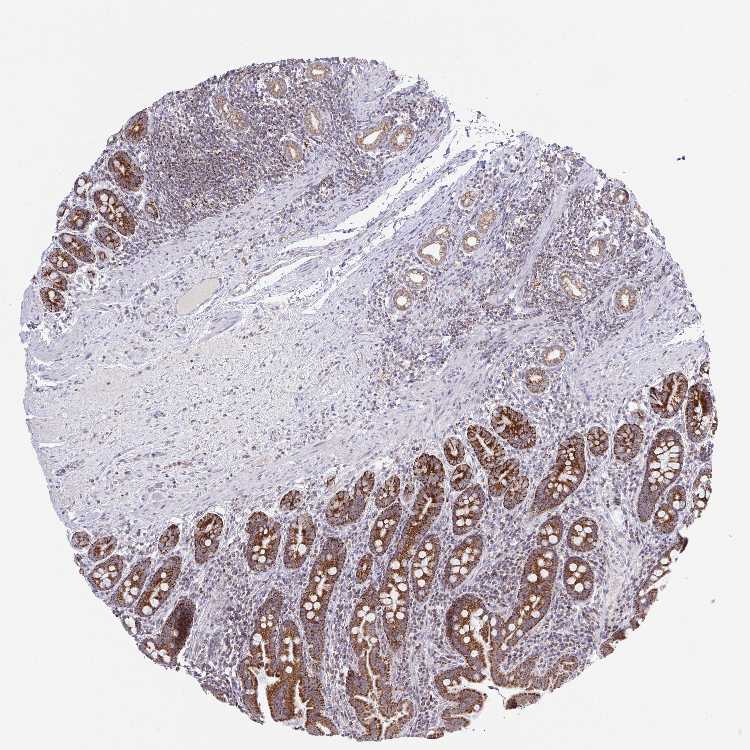
SMALL INTESTINE - Antibody stainingi

Antibody staining in the annotated cell types in the current human tissue is reported as not detected, low, medium, or high, based on conventional immunohistochemistry profiling in selected tissues. This score is based on the combination of the staining intensity and fraction of stained cells.

Each image is clickable and will lead to virtual microscopy that enables deeper exploration of all samples and also displays staining intensity scores, fraction scores and subcellular localization as well as patient and tissue information for each sample.

Antibody HPA038755Antibody HPA048272Antibody CAB017366
Endocrine cells -High-
Enterocytes -High-
Enterocytes - Microvilli -Not detected-
Glandular cells High-High
Goblet cells -High-
Paneth cells -Medium-






SMALL INTESTINE - HPA RNA-seqi

The RNA-seq details section shows detailed information about the individual samples used for the transcript profiling and results of the RNA-seq analysis.

Information about each individual sample is listed below, including gender, age, a tissue section image and estimated fractions of cell types. nTPM (normalized transcripts per million) values give a quantification of the gene abundance which is comparable between different genes and samples.
Average nTPMi

Max subtype nTPM is the value for the subtype with the largest average nTPM across the subtype samples.

163.2
overview
Male, age 65
Small intestine sample 232
nTPM: 191
Cell types%
Glandular cells:
55

Smooth muscle cells:
5

Other cell types:
40

overview
Male, age 39
Small intestine sample 233
nTPM: 168.1
Cell types%
Glandular cells:
40

Smooth muscle cells:
5

Other cell types:
55

overview
Male, age 68
Small intestine sample 234
nTPM: 131.6
Cell types%
Glandular cells:
30

Smooth muscle cells:
15

Other cell types:
55

N/A
Male, age 85
Small intestine sample 235
nTPM: 162.3

SMALL INTESTINE - GTEx RNA-seqi

RNA-Seq data generated by the Genotype-Tissue Expression (GTEx) project from human tissues is reported as mean nTPM. More information can be found on the GTEx portal.

Distribution across the dataset is visualized with box plots, shown as median and 25th and 75th percentiles. Points are displayed as outliers if they are above or below 1.5 times the interquartile range. nTPM values of the individual samples are presented next to the box plot.
Max subtype nTPMi

Max subtype nTPM is the value for the subtype with the largest average nTPM across the subtype samples.

97.6
GTEx sample id Sample description nTPM
Small Intestine - Terminal Ileum
Average nTPM: 97.6
Samples: 187

Max nTPM: 351.1
Min nTPM: 45.5
Std nTPM: 43.0
Median nTPM: 87.2
GTEX-13W3W-2026-SM-5K7UL 60-69 years, female 351.1
GTEX-1EMGI-2826-SM-7IGMR 60-69 years, male 319.3
GTEX-139YR-2226-SM-5IFFW 50-59 years, male 277.7
GTEX-XXEK-1026-SM-4BRUW 50-59 years, male 265.8
GTEX-1CAMS-2426-SM-7DHMV 40-49 years, female 207.3
GTEX-1NSGN-2126-SM-DPRYN 50-59 years, male 189.7
GTEX-UPK5-2026-SM-4JBIM 40-49 years, male 189.2
GTEX-1JK1U-1226-SM-CNNPN 60-69 years, male 189.1
GTEX-1399R-2026-SM-5K7WN 30-39 years, male 172.7
GTEX-1K9T9-2726-SM-D4P3E 50-59 years, female 165.8
GTEX-XGQ4-1326-SM-4GIDU 50-59 years, male 165.3
GTEX-16NGA-1126-SM-7KFSY 40-49 years, female 162.3
GTEX-133LE-1426-SM-5IFH1 20-29 years, female 157.4
GTEX-ZLV1-1126-SM-4WWBW 60-69 years, female 152.4
GTEX-14PKV-2026-SM-6AJ9A 20-29 years, female 150.2
GTEX-WFG8-1626-SM-4LVMB 20-29 years, male 148.6
GTEX-14BMU-1426-SM-5TDE5 20-29 years, female 148.5
GTEX-13NYB-1826-SM-5J1N3 40-49 years, male 144.8
GTEX-Y5LM-1626-SM-4VDTB 40-49 years, female 144.5
GTEX-13FTW-2026-SM-5IJE2 40-49 years, male 139.3
GTEX-1PIEJ-1526-SM-E6CP8 20-29 years, female 138.0
GTEX-1H11D-2526-SM-9JGGU 40-49 years, male 137.1
GTEX-131XE-0926-SM-5HL7J 50-59 years, male 135.9
GTEX-16AAH-1426-SM-7KFTR 50-59 years, male 135.8
GTEX-18A66-2526-SM-7KFTZ 60-69 years, male 133.5
GTEX-YFCO-1326-SM-664NV 40-49 years, male 129.8
GTEX-13X6H-1826-SM-7EWCZ 50-59 years, female 129.4
GTEX-XUZC-1426-SM-4BRV3 30-39 years, female 129.1
GTEX-1L5NE-1826-SM-EV79T 50-59 years, male 126.1
GTEX-1GL5R-2026-SM-7MKHP 50-59 years, male 121.9
GTEX-Y3IK-1726-SM-4YCCR 50-59 years, female 121.2
GTEX-14DAR-1426-SM-5RQIR 50-59 years, male 120.2
GTEX-WHSB-1026-SM-4M1XN 50-59 years, male 119.5
GTEX-ZTPG-2626-SM-57WFX 20-29 years, female 119.3
GTEX-1OKEX-1126-SM-DTXEB 60-69 years, male 117.1
GTEX-13D11-0726-SM-5LZZB 50-59 years, female 115.5
GTEX-145LT-1026-SM-5LU9O 40-49 years, male 115.4
GTEX-11NSD-1726-SM-5N9C3 20-29 years, male 112.0
GTEX-VJYA-0926-SM-4KL1N 60-69 years, male 111.7
GTEX-ZLWG-1626-SM-DNZZ1 50-59 years, female 111.6
GTEX-1CAMR-0826-SM-7MKFK 20-29 years, male 111.4
GTEX-VUSG-1726-SM-4KKZL 50-59 years, male 110.6
GTEX-14PJ3-1326-SM-664O7 50-59 years, male 109.7
GTEX-11P82-0826-SM-5P9GU 20-29 years, male 108.9
GTEX-X15G-1426-SM-4PQZK 50-59 years, female 108.5
GTEX-Y3I4-1326-SM-4TT8Z 50-59 years, male 108.4
GTEX-ZA64-1226-SM-5HL7B 20-29 years, male 108.3
GTEX-14XAO-1926-SM-6ETZO 60-69 years, female 107.7
GTEX-ZC5H-2326-SM-4WAYT 40-49 years, female 107.3
GTEX-13RTK-0826-SM-5Q5C6 20-29 years, male 107.2
GTEX-1GMR3-2726-SM-7MKFB 40-49 years, male 107.2
GTEX-1S82Z-1826-SM-E9TIK 30-39 years, female 106.7
GTEX-144GM-1026-SM-79OKU 20-29 years, male 106.6
GTEX-1JN76-1126-SM-C1YRL 20-29 years, female 105.8
GTEX-1J8QM-1026-SM-C1YQA 60-69 years, female 105.5
GTEX-1KXAM-2026-SM-DHXKI 60-69 years, male 105.1
GTEX-131XG-1726-SM-5LZUR 50-59 years, female 104.6
GTEX-ZEX8-1826-SM-57WBH 50-59 years, male 104.3
GTEX-1AMFI-1926-SM-731F2 50-59 years, female 104.2
GTEX-WQUQ-2426-SM-4MVNW 60-69 years, male 104.0
GTEX-Z9EW-0926-SM-5CVMM 40-49 years, male 102.8
GTEX-1IKOE-1926-SM-ARU7V 30-39 years, female 101.3
GTEX-ZG7Y-1926-SM-DNZZ5 50-59 years, male 101.1
GTEX-ZYFG-2026-SM-5E43Y 60-69 years, female 100.7
GTEX-1MGNQ-2326-SM-EV7BG 40-49 years, male 100.6
GTEX-YB5E-1526-SM-5IFIE 40-49 years, male 100.2
GTEX-1GMR2-1026-SM-7MKHJ 50-59 years, male 98.9
GTEX-16MTA-1526-SM-6LPJB 50-59 years, male 98.3
GTEX-1LH75-1926-SM-DIPGD 50-59 years, female 98.3
GTEX-11EQ9-1326-SM-5985X 30-39 years, male 97.7
GTEX-17KNJ-1626-SM-718AL 50-59 years, male 97.3
GTEX-ZAB5-1526-SM-5HL9P 50-59 years, male 97.0
GTEX-1R9K4-2326-SM-E6CRB 60-69 years, male 96.9
GTEX-ZPCL-1726-SM-57WEO 60-69 years, female 96.5
GTEX-1OJC3-1626-SM-E9U65 20-29 years, male 96.1
GTEX-1QW4Y-1226-SM-EWRMY 30-39 years, male 96.1
GTEX-131XF-1326-SM-5GCMQ 60-69 years, male 94.2
GTEX-ZP4G-1626-SM-57WGD 20-29 years, female 94.1
GTEX-1I1GT-1826-SM-ARZLW 60-69 years, female 93.5
GTEX-Y5V5-1826-SM-4VDS5 60-69 years, female 92.7
GTEX-ZPIC-2326-SM-57WDW 40-49 years, female 91.9
GTEX-1R9PM-1626-SM-DPRY9 20-29 years, male 91.8
GTEX-14PJ6-1726-SM-6AJBN 60-69 years, female 91.7
GTEX-13113-1226-SM-5EGHT 60-69 years, female 91.3
GTEX-1JJE9-2226-SM-CXZJM 70-79 years, male 90.7
GTEX-WYJK-1526-SM-4ONCW 50-59 years, male 89.9
GTEX-1122O-1326-SM-5H11F 60-69 years, female 89.6
GTEX-15G1A-1726-SM-6LPI4 30-39 years, male 88.7
GTEX-111CU-1326-SM-5NQ8L 50-59 years, male 88.3
GTEX-14PK6-1626-SM-6871I 70-79 years, female 88.1
GTEX-1RAZA-1826-SM-DTXA2 20-29 years, male 88.1
GTEX-ZVT2-2126-SM-5NQ93 50-59 years, female 87.5
GTEX-YF7O-1826-SM-5IFIU 50-59 years, male 87.2
GTEX-1R9JW-1926-SM-EVR4J 30-39 years, female 87.2
GTEX-1AX8Z-2526-SM-731E3 60-69 years, male 87.1
GTEX-11DXZ-1326-SM-5H11X 50-59 years, male 86.7
GTEX-11TUW-1926-SM-5BC58 60-69 years, male 86.7
GTEX-14E6E-1626-SM-5RQI7 30-39 years, male 86.7
GTEX-ZXES-1526-SM-5NQ95 30-39 years, female 86.6
GTEX-1C64O-2526-SM-79ONO 60-69 years, male 86.2
GTEX-1CB4F-1826-SM-7MGXI 60-69 years, male 85.2
GTEX-13111-1426-SM-5DUW3 50-59 years, male 84.6
GTEX-WEY5-1526-SM-4LMJF 40-49 years, female 84.0
GTEX-1QP2A-2426-SM-EXOJA 50-59 years, male 83.9
GTEX-1RAZR-1826-SM-E6CRE 40-49 years, male 83.9
GTEX-XPVG-1726-SM-4B65W 50-59 years, male 83.7
GTEX-1QCLZ-2126-SM-EWRNC 60-69 years, female 83.7
GTEX-ZVP2-1726-SM-5GU5P 50-59 years, male 83.5
GTEX-ZZ64-0526-SM-5GZXM 20-29 years, male 83.5
GTEX-14C39-1826-SM-5ZZW4 40-49 years, male 82.9
GTEX-WY7C-1826-SM-4ONCE 50-59 years, male 82.8
GTEX-11DXX-1626-SM-5H11H 60-69 years, female 82.1
GTEX-1399U-2126-SM-5IFEZ 50-59 years, female 80.6
GTEX-1BAJH-2526-SM-7IGOT 70-79 years, male 80.6
GTEX-1MUQO-2426-SM-EAZ5A 60-69 years, male 80.6
GTEX-117YX-0326-SM-5GICL 50-59 years, male 80.5
GTEX-1R7EU-1326-SM-E6CQ6 60-69 years, male 80.2
GTEX-183FY-1626-SM-793D8 20-29 years, male 80.1
GTEX-1192X-2526-SM-59868 50-59 years, male 80.0
GTEX-11LCK-1926-SM-5A5KE 30-39 years, male 79.3
GTEX-1C475-1426-SM-793CH 40-49 years, female 79.3
GTEX-1QPFJ-2626-SM-DPRZU 30-39 years, female 78.8
GTEX-1RAZQ-2226-SM-DPRZR 30-39 years, male 78.8
GTEX-ZDTT-1726-SM-5HL69 60-69 years, male 78.5
GTEX-17MFQ-1026-SM-7KFSZ 20-29 years, male 78.0
GTEX-WFG7-1726-SM-4LVME 20-29 years, male 78.0
GTEX-ZTX8-0526-SM-59HLD 20-29 years, male 77.8
GTEX-1LBAC-1526-SM-CXZKU 20-29 years, male 77.3
GTEX-1R9K5-2026-SM-E6CPS 50-59 years, male 77.2
GTEX-ZVZP-1826-SM-5GZXB 50-59 years, male 76.0
GTEX-WH7G-1626-SM-4LVMY 40-49 years, male 75.7
GTEX-11I78-1126-SM-5A5K5 50-59 years, female 74.9
GTEX-16A39-1426-SM-6LLI6 30-39 years, female 74.9
GTEX-139T6-1026-SM-5IJGC 50-59 years, male 74.4
GTEX-13CF3-1226-SM-5LZXN 60-69 years, female 74.4
GTEX-1B8KZ-1126-SM-7IGLX 50-59 years, male 74.4
GTEX-XAJ8-0526-SM-47JYK 40-49 years, male 73.6
GTEX-ZTSS-0926-SM-59865 40-49 years, male 73.5
GTEX-1JMQK-2426-SM-CXZJU 60-69 years, male 73.1
GTEX-14PN3-2026-SM-68729 60-69 years, female 72.6
GTEX-13O61-1326-SM-5KM31 60-69 years, male 72.4
GTEX-X5EB-1626-SM-4E3IV 40-49 years, male 72.4
GTEX-13PL7-2626-SM-5IFH4 60-69 years, female 72.2
GTEX-Y111-2226-SM-4SOJB 50-59 years, male 70.9
GTEX-11VI4-1626-SM-5EQKO 40-49 years, female 70.3
GTEX-ZF2S-1726-SM-57WFT 50-59 years, female 69.5
GTEX-12BJ1-1926-SM-5HL9Z 60-69 years, male 68.9
GTEX-ZQUD-0926-SM-57WE3 30-39 years, male 68.7
GTEX-14PJN-0826-SM-686ZL 30-39 years, male 68.6
GTEX-14PKU-1626-SM-6871C 40-49 years, female 68.4
GTEX-WFON-1526-SM-4LVMP 40-49 years, male 67.6
GTEX-1J8Q3-2526-SM-CNNQ4 60-69 years, male 67.4
GTEX-1R7EV-1226-SM-DTX82 40-49 years, male 66.4
GTEX-WFJO-0926-SM-4LVM2 30-39 years, male 66.0
GTEX-11XUK-1426-SM-5EQMG 40-49 years, female 65.8
GTEX-1H1DE-1426-SM-9JGHV 20-29 years, male 65.4
GTEX-1S5ZA-1326-SM-EV7BB 20-29 years, male 64.8
GTEX-1F75I-2526-SM-9WPOZ 40-49 years, male 64.6
GTEX-12WSK-1526-SM-5CVNO 40-49 years, female 64.4
GTEX-1QP28-1726-SM-E6CRK 50-59 years, female 63.5
GTEX-148VJ-2226-SM-5NQ9M 70-79 years, male 62.8
GTEX-1B8KE-1726-SM-7IGMN 50-59 years, male 62.5
GTEX-YEC4-1726-SM-4W21E 40-49 years, male 62.3
GTEX-1PDJ9-1826-SM-E9U66 20-29 years, male 62.0
GTEX-ZQG8-2526-SM-57WEQ 60-69 years, female 61.5
GTEX-1HSMQ-2226-SM-C1YRD 50-59 years, male 61.4
GTEX-WRHK-1026-SM-4MVOD 20-29 years, female 61.1
GTEX-XMK1-1826-SM-4B66F 40-49 years, male 61.0
GTEX-Y9LG-1626-SM-5IFHM 30-39 years, male 60.8
GTEX-XBED-1426-SM-4AT4G 60-69 years, male 60.7
GTEX-1LGOU-1426-SM-D3L8N 20-29 years, female 59.8
GTEX-17HHE-1726-SM-79OKT 50-59 years, male 59.7
GTEX-13QBU-1926-SM-5IJEW 40-49 years, female 59.4
GTEX-1399S-2026-SM-5KM4B 30-39 years, female 57.5
GTEX-13O21-1026-SM-5IJDU 50-59 years, male 57.1
GTEX-15DZA-0826-SM-6AJBF 30-39 years, female 56.9
GTEX-1497J-1926-SM-5TDCC 60-69 years, male 56.8
GTEX-111YS-1426-SM-5GID8 60-69 years, male 56.3
GTEX-ZLFU-1526-SM-4WWBT 40-49 years, male 54.9
GTEX-ZF29-1626-SM-4WKFJ 60-69 years, female 54.5
GTEX-145ME-0926-SM-5O9AR 40-49 years, female 54.3
GTEX-13FH7-1226-SM-5IJFK 50-59 years, female 53.3
GTEX-15EU6-1826-SM-7PC1W 50-59 years, male 50.5
GTEX-13OVI-1926-SM-5IJCG 60-69 years, female 49.7
GTEX-11P7K-1626-SM-5GU63 30-39 years, male 49.2
GTEX-Y114-1426-SM-4TT6W 50-59 years, female 49.2
GTEX-18QFQ-1626-SM-72D7H 30-39 years, male 45.5
Show allShow less

SMALL INTESTINE - FANTOM5 CAGEi

RNA expression in human tissues obtained through Cap Analysis of Gene Expression (CAGE) generated by the FANTOM5 project are reported as Scaled Tags Per Million.

Max subtype Scaled Tags Per Millioni

Max subtype Scaled Tags Per Million is the value for the subtype with the largest average Scaled Tags Per Million across the subtype samples.

198.9
FANTOM5 sample id Sample description Scaled Tags Per Million
Small intestine
Scaled Tags Per Million: 198.9
FF:10024-101D6 15,40,85 years, mixed 198.9

Contact

  • NEWS ARTICLES
  • PRESS ROOM

The Project

  • INTRODUCTION
  • ORGANIZATION
  • PUBLICATIONS

The Human Protein Atlas

  • DOWNLOADABLE DATA
  • LICENCE & CITATION
  • HELP & FAQ
The Human Protein Atlas project is funded
by the Knut & Alice Wallenberg Foundation.


contact@proteinatlas.org