We use cookies to enhance the usability of our website. If you continue, we'll assume that you are happy to receive all cookies. More information. Don't show this again.
HSPE1
HPA
RESOURCES
  • TISSUE
  • BRAIN
  • SINGLE CELL
  • SUBCELLULAR
  • CANCER
  • BLOOD
  • CELL LINE
  • STRUCTURE & INTERACTION
ABOUT
  • INTRODUCTION
  • HISTORY
  • ORGANIZATION
  • PUBLICATIONS
  • ANTIBODY SUBMISSION
  • ANTIBODY AVAILABILITY
  • ACKNOWLEDGMENTS
  • CONTACT
NEWS
  • NEWS ARTICLES
  • PRESS ROOM
LEARN
  • DICTIONARY
  • PROTEIN CLASSES
  • PROTEIN EVIDENCE
  • METHODS
  • EDUCATIONAL VIDEOS
DATA
  • DOWNLOADABLE DATA
  • PUBLICATION DATA
  • RELEASE HISTORY
HELP
  • ANTIBODY VALIDATION
  • ASSAYS & ANNOTATION
  • DISCLAIMER
  • HELP & FAQ
  • PRIVACY STATEMENT
  • LICENCE & CITATION
Fields »
Search result

Field
Term
Gene name
Class
Subclass
Class
Keyword
Chromosome
External id
Tissue
Cell type
Expression
Antibody panel
Tissue
Main location
Patient ID
Annotation
Tissue
Category
Tau score
Cluster
Reliability
Brain region
Category
Tau score
Brain region
Category
Tau score
Brain region
Category
Tau score
Cluster
Reliability
Tissue
Cell type
Enrichment
Cell type
Category
Tau score
Cell type
Category
Tau score
Cell type
Category
Tau score
Cell lineage
Category
Tau score
Cluster
Cluster
Location
Searches
Location
Cell line
Class
Type
Phase
Reliability
Cancer
Prognosis
Cancer
Category
Cancer
Category
Tau score
Cluster
Variants
Interacting gene (ensg_id)
Type
Number of interactions
Pathway
Category
Score
Score
Score
Validation
Validation
Validation
Validation
Antibodies
Data type
Column


  • SUMMARY

  • TISSUE

  • BRAIN

  • SINGLE CELL

  • SUBCELL

  • CANCER

  • BLOOD

  • CELL LINE

  • STRUCT & INT

  • HSPE1
TISSUE PRIMARY DATA THYROID GLAND Show tissue menu
ADIPOSE TISSUE ADRENAL GLAND AMYGDALA APPENDIX BASAL GANGLIA BONE MARROW BREAST BRONCHUS CEREBELLUM CEREBRAL CORTEX CERVIX CHOROID PLEXUS COLON DUODENUM
ENDOMETRIUM EPIDIDYMIS ESOPHAGUS FALLOPIAN TUBE GALLBLADDER HEART MUSCLE HIPPOCAMPAL FORMATION HYPOTHALAMUS KIDNEY LIVER LUNG LYMPH NODE MIDBRAIN NASOPHARYNX
ORAL MUCOSA OVARY PANCREAS PARATHYROID GLAND PITUITARY GLAND PLACENTA PROSTATE RECTUM RETINA SALIVARY GLAND SEMINAL VESICLE SKELETAL MUSCLE SKIN SMALL INTESTINE
SMOOTH MUSCLE SOFT TISSUE SPINAL CORD SPLEEN STOMACH TESTIS THYMUS THYROID GLAND TONGUE TONSIL URINARY BLADDER VAGINA
ANTIBODIES
AND
VALIDATION
Dictionary
Thyroid gland
Tissue proteome
Thyroid gland
THYROID GLAND - Expression summary
Protein expression
Thyroid glandi

On the top, protein expression in current human tissue, based on all annotated cell types, is reported with the units not detected (n), low (l), medium (m) and high (h). Underneath, protein expression in each annotated cell type are reported using the same units.

Protein expression data is based on knowledge-based annotation. For genes where more than one antibody has been used, a collective score is set.

If knowledge-based annotation could not be performed for a gene, no data is displayed here. View antibody staining data further down this page.

h
m
l
n
Glandular cells: High
RNA expressioni

A summary of mRNA expression data available for current tissue based on several datasets. The mRNA expression levels in human tissues are based on RNA-seq data generated by the Human Protein Atlas (HPA), Genotype-Tissue Expression (GTEx) portal and CAGE data generated by the FANTOM5 consortium. Consensus normalized expression levels for human tissues was created by combining the data from HPA and GTEx datasets.

The mRNA expression levels in pig are based on RNA-seq data generated by the Human Protein Atlas (HPA), and for mouse, HPA data and in situ hybridization generated by the Allen brain atlas are reported.

Scroll down to view mRNA expression data in more detail.
Consensus:101.3 nTPM
HPA:101.3 nTPM
GTEx:86.2 nTPM
FANTOM5:250.8 Scaled Tags Per Million

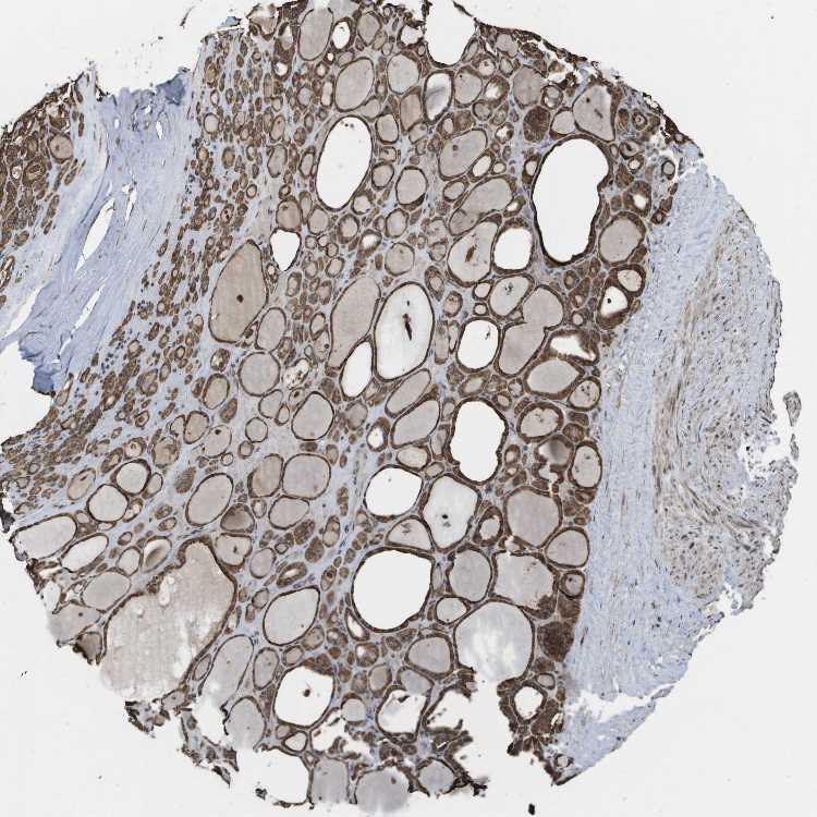
THYROID GLAND - Antibody stainingi

Antibody staining in the annotated cell types in the current human tissue is reported as not detected, low, medium, or high, based on conventional immunohistochemistry profiling in selected tissues. This score is based on the combination of the staining intensity and fraction of stained cells.

Each image is clickable and will lead to virtual microscopy that enables deeper exploration of all samples and also displays staining intensity scores, fraction scores and subcellular localization as well as patient and tissue information for each sample.

Antibody HPA038755Antibody HPA048272Antibody CAB017366
Glandular cells HighMediumHigh







THYROID GLAND - HPA RNA-seqi

The RNA-seq details section shows detailed information about the individual samples used for the transcript profiling and results of the RNA-seq analysis.

Information about each individual sample is listed below, including gender, age, a tissue section image and estimated fractions of cell types. nTPM (normalized transcripts per million) values give a quantification of the gene abundance which is comparable between different genes and samples.
Average nTPMi

Max subtype nTPM is the value for the subtype with the largest average nTPM across the subtype samples.

101.3
overview
Female, age 20
Thyroid gland sample 249
nTPM: 134.5
Cell types%
Glandular cells:
70

Endothelial cells:
20

Other cell types:
10

overview
Female, age 55
Thyroid gland sample 250
nTPM: 85.1
Cell types%
Glandular cells:
70

Endothelial cells:
20

Other cell types:
10

overview
Female, age 58
Thyroid gland sample 251
nTPM: 66.2
Cell types%
Glandular cells:
70

Endothelial cells:
15

Other cell types:
15

overview
Female, age 48
Thyroid gland sample 252
nTPM: 99.7
Cell types%
Glandular cells:
70

Endothelial cells:
20

Other cell types:
10

overview
Male, age 21
Thyroid gland sample 363
nTPM: 120.9
Cell types%
Glandular cells:
75

Endothelial cells:
10

Other cell types:
15


THYROID GLAND - GTEx RNA-seqi

RNA-Seq data generated by the Genotype-Tissue Expression (GTEx) project from human tissues is reported as mean nTPM. More information can be found on the GTEx portal.

Distribution across the dataset is visualized with box plots, shown as median and 25th and 75th percentiles. Points are displayed as outliers if they are above or below 1.5 times the interquartile range. nTPM values of the individual samples are presented next to the box plot.
Max subtype nTPMi

Max subtype nTPM is the value for the subtype with the largest average nTPM across the subtype samples.

86.2
GTEx sample id Sample description nTPM
Thyroid
Average nTPM: 86.2
Samples: 653

Max nTPM: 1164.5
Min nTPM: 28.3
Std nTPM: 83.2
Median nTPM: 69.8
GTEX-OXRO-1226-SM-48TDL 60-69 years, female 1164.5
GTEX-15DDE-0626-SM-69LOK 50-59 years, female 953.9
GTEX-13PDP-1026-SM-5L3FA 60-69 years, male 787.6
GTEX-145MI-1126-SM-5O9AK 60-69 years, female 731.0
GTEX-1399T-0126-SM-5KM15 60-69 years, male 615.4
GTEX-11EQ8-0826-SM-5N9FG 60-69 years, male 509.6
GTEX-ZAJG-0726-SM-5HL9A 50-59 years, female 455.2
GTEX-13IVO-0926-SM-5KLZP 70-79 years, male 442.5
GTEX-1IKOH-0626-SM-CJI35 60-69 years, female 392.5
GTEX-13NZ8-0226-SM-5J2OK 60-69 years, female 357.1
GTEX-132AR-1126-SM-5P9GA 50-59 years, female 337.6
GTEX-15RIF-0326-SM-7KUFR 20-29 years, male 332.5
GTEX-12WSH-0226-SM-5GCOG 50-59 years, male 291.5
GTEX-15G19-0626-SM-6M474 60-69 years, male 264.9
GTEX-1GN1V-0626-SM-7P8QU 60-69 years, male 255.0
GTEX-WWYW-0826-SM-3NB2X 50-59 years, female 242.2
GTEX-1H2FU-0626-SM-9WPPS 60-69 years, female 229.6
GTEX-ZYFD-0826-SM-5NQ9A 50-59 years, male 214.6
GTEX-1F5PL-0826-SM-7MXU7 40-49 years, female 212.2
GTEX-1GZ4H-0226-SM-9JGGJ 50-59 years, female 209.0
GTEX-11NV4-0626-SM-5N9BR 60-69 years, male 204.1
GTEX-QEG5-0826-SM-2I5GF 20-29 years, male 191.6
GTEX-RUSQ-1026-SM-2TF6V 50-59 years, male 183.6
GTEX-13FLW-0326-SM-5J2M4 50-59 years, male 182.5
GTEX-RN5K-2826-SM-EZ6L3 50-59 years, female 174.5
GTEX-131XE-0126-SM-5LZVC 50-59 years, male 170.1
GTEX-14XAO-0426-SM-6AJB6 60-69 years, female 161.7
GTEX-1H1DG-0726-SM-A96TN 70-79 years, male 160.2
GTEX-14BIN-0126-SM-5TDCG 50-59 years, female 159.6
GTEX-XGQ4-0426-SM-4AT4I 50-59 years, male 157.5
GTEX-17F9Y-0526-SM-7EWDC 70-79 years, female 150.4
GTEX-1HSMQ-0526-SM-A96TY 50-59 years, male 146.0
GTEX-1GMR3-0726-SM-9WPOF 40-49 years, male 143.2
GTEX-132QS-0326-SM-5IJFN 60-69 years, male 140.6
GTEX-12WSJ-0326-SM-5GCMT 40-49 years, female 140.2
GTEX-ZTPG-0826-SM-5DUVC 20-29 years, female 140.1
GTEX-ZY6K-0226-SM-5SIAY 50-59 years, male 136.6
GTEX-11TT1-1126-SM-5P9GV 20-29 years, male 133.0
GTEX-12ZZX-1226-SM-5EGHS 40-49 years, female 132.6
GTEX-1GF9W-0626-SM-7MXVJ 60-69 years, male 131.6
GTEX-14PJ6-0326-SM-6871H 60-69 years, female 131.5
GTEX-13NYC-2426-SM-5MR3K 60-69 years, male 130.9
GTEX-P44G-0626-SM-2I5EO 30-39 years, male 130.8
GTEX-183WM-2626-SM-7KFRY 70-79 years, female 130.2
GTEX-13O3P-0726-SM-5J2OM 50-59 years, male 129.0
GTEX-13OVJ-0626-SM-5J2O2 50-59 years, female 128.6
GTEX-13PL6-1026-SM-5L3E5 40-49 years, female 128.5
GTEX-13O61-0226-SM-5KM52 60-69 years, male 127.8
GTEX-1NV5F-0726-SM-DTXEH 60-69 years, female 126.8
GTEX-1269C-0226-SM-5EGKS 60-69 years, female 126.4
GTEX-1I1GP-0326-SM-CNPQ4 50-59 years, male 125.5
GTEX-16AAH-0326-SM-7DHML 50-59 years, male 124.4
GTEX-XV7Q-0326-SM-4BRVM 40-49 years, female 124.4
GTEX-ZF28-0826-SM-4WKGJ 60-69 years, male 123.9
GTEX-11DXY-0426-SM-5H12R 60-69 years, male 121.7
GTEX-X261-0726-SM-EZ6MH 50-59 years, male 120.2
GTEX-111CU-0226-SM-5GZXC 50-59 years, male 120.1
GTEX-1HSMO-0726-SM-A96TM 60-69 years, male 119.6
GTEX-1HR98-0326-SM-CGQEL 60-69 years, male 119.4
GTEX-13O1R-0826-SM-5J2MB 60-69 years, male 118.8
GTEX-OXRN-1526-SM-E6CHM 50-59 years, male 117.7
GTEX-13S86-1126-SM-5RQJX 40-49 years, male 117.5
GTEX-14C38-0826-SM-5S2U8 50-59 years, male 117.1
GTEX-15RJ7-0326-SM-6M47H 40-49 years, male 116.6
GTEX-11O72-2326-SM-5BC7H 40-49 years, male 115.5
GTEX-1OJC4-0526-SM-E6CQV 50-59 years, female 115.2
GTEX-11UD2-0626-SM-5GU6L 50-59 years, male 115.0
GTEX-OHPL-2626-SM-2HMJA 60-69 years, female 114.8
GTEX-1H1DF-1026-SM-9QEJ1 40-49 years, female 114.1
GTEX-1LVAM-0826-SM-EV79X 50-59 years, female 113.5
GTEX-1KD5A-0426-SM-D4P3X 50-59 years, male 113.1
GTEX-1QP28-0626-SM-E76P5 50-59 years, female 111.3
GTEX-14PK6-0426-SM-6EU1J 70-79 years, female 111.1
GTEX-11DYG-0826-SM-5N9GH 60-69 years, male 109.5
GTEX-132NY-1026-SM-5P9IY 60-69 years, male 109.4
GTEX-1RQEC-1026-SM-EVR5B 60-69 years, male 108.6
GTEX-ZVZQ-0626-SM-59HJU 60-69 years, female 108.4
GTEX-13FTW-0626-SM-5IFEX 40-49 years, male 107.9
GTEX-1KANC-0826-SM-D3LA8 50-59 years, female 107.7
GTEX-1RAZR-1126-SM-E6CRC 40-49 years, male 107.5
GTEX-O5YV-1526-SM-EV799 60-69 years, female 107.1
GTEX-ZYVF-1126-SM-5E458 50-59 years, female 107.0
GTEX-1PIGE-0726-SM-DPRZD 20-29 years, male 106.4
GTEX-1LVAN-0726-SM-CNNPF 50-59 years, female 106.3
GTEX-YEC3-0826-SM-4WWFP 50-59 years, male 106.2
GTEX-144GM-0226-SM-5Q5CB 20-29 years, male 106.1
GTEX-14C39-0226-SM-5TDDW 40-49 years, male 105.7
GTEX-1QP2A-0626-SM-DTX9C 50-59 years, male 105.7
GTEX-1IE54-0926-SM-A9G2Y 40-49 years, female 105.6
GTEX-YF7O-0726-SM-4W213 50-59 years, male 105.5
GTEX-YB5E-0626-SM-4VDSE 40-49 years, male 105.4
GTEX-1F75A-0326-SM-7MXTR 50-59 years, male 104.9
GTEX-11DXX-0226-SM-5P9HL 60-69 years, female 104.3
GTEX-18D9B-0726-SM-72D6K 60-69 years, male 104.3
GTEX-ZLWG-0526-SM-4WWFB 50-59 years, female 104.3
GTEX-1M4P7-0626-SM-EVR51 60-69 years, male 104.2
GTEX-1LSVX-0726-SM-E9TJG 60-69 years, male 104.0
GTEX-1MJK2-0826-SM-DTXE8 50-59 years, male 103.7
GTEX-1F88F-0726-SM-7P8R7 60-69 years, female 103.6
GTEX-13NYB-0726-SM-5MR4J 40-49 years, male 103.4
GTEX-1S5ZU-0726-SM-EWROH 20-29 years, female 103.3
GTEX-XUZC-0126-SM-4BOO6 30-39 years, female 102.9
GTEX-WYBS-1926-SM-3NM8N 60-69 years, female 102.6
GTEX-1QAET-0226-SM-EVR3T 50-59 years, male 102.1
GTEX-1F6IF-1126-SM-9KNV2 60-69 years, male 101.9
GTEX-OXRP-0326-SM-33HBJ 60-69 years, female 101.6
GTEX-1JK1U-0326-SM-CXZJH 60-69 years, male 101.5
GTEX-1B933-1026-SM-7P8RO 50-59 years, female 101.2
GTEX-1KXAM-1726-SM-D3LAE 60-69 years, male 101.2
GTEX-12696-0326-SM-5EGL4 60-69 years, male 100.6
GTEX-1HUB1-1226-SM-B2LWX 60-69 years, male 100.5
GTEX-13D11-0226-SM-5LZXL 50-59 years, female 100.2
GTEX-YFC4-2626-SM-5P9FQ 40-49 years, female 100.2
GTEX-1JMQL-0926-SM-CJI3F 50-59 years, female 100.0
GTEX-1QP9N-0126-SM-DPRZS 30-39 years, male 99.7
GTEX-QV31-0726-SM-3GAEG 30-39 years, male 99.5
GTEX-ZT9W-0226-SM-7SB6H 50-59 years, male 99.5
GTEX-Q734-0526-SM-2I3EH 40-49 years, female 99.0
GTEX-ZV7C-0126-SM-57WDE 50-59 years, male 98.4
GTEX-14JIY-1226-SM-6871R 60-69 years, male 98.1
GTEX-QEL4-0726-SM-3GIJ5 50-59 years, male 97.8
GTEX-1FIGZ-0226-SM-7P8QR 40-49 years, male 97.2
GTEX-139TS-0126-SM-5K7XJ 60-69 years, male 96.9
GTEX-13W46-0926-SM-5LU3T 50-59 years, male 96.7
GTEX-1ICLY-0726-SM-A96TB 50-59 years, male 95.9
GTEX-1CB4J-1426-SM-7MKFR 60-69 years, male 95.8
GTEX-1I1GQ-0826-SM-CNNQR 50-59 years, male 95.6
GTEX-1K2DU-0126-SM-E9TIU 20-29 years, male 95.6
GTEX-17GQL-0226-SM-7LTAK 60-69 years, male 95.5
GTEX-11OF3-0626-SM-5BC4Y 60-69 years, male 95.1
GTEX-1MCC2-0526-SM-DHXJS 30-39 years, female 95.1
GTEX-12ZZZ-1226-SM-59HK1 60-69 years, male 94.7
GTEX-1PPGY-1426-SM-EVR3R 60-69 years, male 94.0
GTEX-Z9EW-0226-SM-5CVM7 40-49 years, male 93.7
GTEX-1F75I-0926-SM-7MXUU 40-49 years, male 93.7
GTEX-13PVQ-0726-SM-5L3GI 50-59 years, male 93.6
GTEX-1OFPY-1526-SM-DTX8R 60-69 years, male 93.4
GTEX-1GMR8-0826-SM-9KNUR 50-59 years, female 93.3
GTEX-WHSE-0626-SM-4RGNF 20-29 years, male 93.1
GTEX-1QP67-0326-SM-EVR45 40-49 years, female 92.6
GTEX-X15G-0526-SM-3NMB7 50-59 years, female 92.5
GTEX-139YR-1226-SM-5IFEU 50-59 years, male 92.0
GTEX-WEY5-0526-SM-3GIKZ 40-49 years, female 92.0
GTEX-1CB4E-0326-SM-7MXT3 60-69 years, male 91.9
GTEX-1PIIG-2026-SM-EVR43 30-39 years, male 91.9
GTEX-XYKS-0826-SM-4BRVF 60-69 years, female 91.8
GTEX-17F97-0626-SM-7IGOH 50-59 years, male 91.7
GTEX-13NZA-1026-SM-5MR48 60-69 years, male 91.6
GTEX-13FTY-0726-SM-5J2OH 40-49 years, female 91.5
GTEX-1HCU7-0826-SM-B2LX7 50-59 years, male 91.4
GTEX-13OW8-0126-SM-5IJE5 60-69 years, male 90.9
GTEX-14ASI-0726-SM-5Q5DC 60-69 years, male 90.9
GTEX-1HBPI-0826-SM-9WYTX 50-59 years, male 90.9
GTEX-13N2G-0726-SM-5MR38 60-69 years, male 90.7
GTEX-11DZ1-2726-SM-5A5KH 50-59 years, male 90.6
GTEX-13OW5-0626-SM-5J2N2 60-69 years, male 90.6
GTEX-1QEPI-0726-SM-E76QG 60-69 years, female 90.4
GTEX-YFCO-0326-SM-4W1ZP 40-49 years, male 90.3
GTEX-1IGQW-0626-SM-C1YR9 60-69 years, male 90.2
GTEX-14A5H-0726-SM-5Q5DW 60-69 years, male 90.1
GTEX-1JJ6O-0626-SM-AHZ3H 60-69 years, male 90.1
GTEX-13JVG-0926-SM-5IJE1 60-69 years, male 89.4
GTEX-Y5V6-0526-SM-4VBRV 60-69 years, male 89.3
GTEX-POYW-0826-SM-2XCEM 60-69 years, male 89.1
GTEX-1HCU9-0226-SM-9WPNT 20-29 years, male 89.0
GTEX-1HFI7-0326-SM-9WPOX 50-59 years, female 88.9
GTEX-16GPK-0926-SM-6LPJ9 60-69 years, male 88.3
GTEX-147F4-0826-SM-5QGRB 50-59 years, male 88.2
GTEX-13O3O-0926-SM-5KM1F 60-69 years, female 88.1
GTEX-1B8KZ-0426-SM-731DP 50-59 years, male 88.1
GTEX-1EWIQ-0826-SM-7MXTH 70-79 years, female 87.7
GTEX-11EMC-0226-SM-5EGLP 60-69 years, female 87.5
GTEX-14PJ4-0326-SM-664OT 60-69 years, male 87.5
GTEX-TKQ1-0126-SM-33HB3 30-39 years, male 87.4
GTEX-ZQG8-0926-SM-57WFF 60-69 years, female 87.3
GTEX-VUSG-0426-SM-3GIKD 50-59 years, male 87.1
GTEX-YJ89-0726-SM-5P9F7 60-69 years, male 87.1
GTEX-18A6Q-0726-SM-7LT8Y 60-69 years, male 86.9
GTEX-1K9T9-0826-SM-EAZ4X 50-59 years, female 86.2
GTEX-ZPCL-0126-SM-4WWC8 60-69 years, female 85.7
GTEX-T8EM-0226-SM-3DB7C 40-49 years, male 85.6
GTEX-13FH7-0126-SM-5KLZ1 50-59 years, female 85.4
GTEX-1CB4G-1526-SM-7P8QG 60-69 years, male 85.4
GTEX-15CHQ-0826-SM-69LOT 60-69 years, male 85.3
GTEX-145MG-0826-SM-5Q5C2 50-59 years, male 85.0
GTEX-XUW1-1026-SM-4BONY 50-59 years, female 85.0
GTEX-1R46S-0426-SM-EVR48 60-69 years, female 85.0
GTEX-Q2AI-0326-SM-2I3EK 40-49 years, male 84.8
GTEX-169BO-0326-SM-7EPIM 50-59 years, male 84.6
GTEX-1JJE9-0226-SM-CY8HU 70-79 years, male 84.6
GTEX-13VXU-0826-SM-5KLZ2 50-59 years, male 84.5
GTEX-1I19N-0226-SM-CE6ST 70-79 years, male 84.4
GTEX-145ME-0126-SM-5S2QM 40-49 years, female 84.3
GTEX-XXEK-1326-SM-4BRV1 50-59 years, male 84.3
GTEX-ZYFC-0926-SM-5GZWW 50-59 years, male 84.0
GTEX-11GS4-0826-SM-5986J 60-69 years, male 83.8
GTEX-1HB9E-0826-SM-CNNQJ 50-59 years, male 83.8
GTEX-178AV-0726-SM-6LPJI 40-49 years, male 83.7
GTEX-1KAFJ-0426-SM-DHXJH 50-59 years, male 83.6
GTEX-1CB4H-0126-SM-7IGN2 60-69 years, female 83.5
GTEX-U412-0726-SM-EVR2Y 60-69 years, male 83.4
GTEX-1GN1W-0126-SM-7MXV7 50-59 years, female 83.1
GTEX-Y3I4-0226-SM-4TT27 50-59 years, male 82.9
GTEX-WOFL-0726-SM-3MJG4 60-69 years, male 82.8
GTEX-YEC4-0626-SM-5CVLU 40-49 years, male 82.8
GTEX-ZLV1-0126-SM-4WWBZ 60-69 years, female 82.6
GTEX-OIZF-2626-SM-7P8QZ 60-69 years, male 82.6
GTEX-R3RS-0726-SM-3GIJR 40-49 years, female 82.5
GTEX-1497J-0126-SM-5Q5BK 60-69 years, male 82.3
GTEX-13111-0226-SM-5EQ55 50-59 years, male 82.0
GTEX-146FR-0326-SM-5SI8U 60-69 years, female 82.0
GTEX-13CF3-0926-SM-5LZZC 60-69 years, female 81.9
GTEX-17HG3-0226-SM-7EWEA 30-39 years, female 81.9
GTEX-1I1GS-0726-SM-C1YS7 60-69 years, male 81.8
GTEX-1LGRB-1226-SM-CNNPS 50-59 years, female 81.8
GTEX-13O21-2226-SM-5MR3L 50-59 years, male 81.6
GTEX-14PJ3-0126-SM-69LQP 50-59 years, male 81.5
GTEX-1J8QM-0726-SM-CE6RF 60-69 years, female 81.4
GTEX-16XZZ-0826-SM-7IGM3 60-69 years, male 81.2
GTEX-14PQA-1226-SM-6M47A 50-59 years, female 80.8
GTEX-1F75B-0826-SM-9QEIT 50-59 years, male 80.7
GTEX-131XH-0526-SM-5DUX7 50-59 years, male 80.6
GTEX-15CHC-0126-SM-5YYBA 60-69 years, female 80.4
GTEX-16XZY-0726-SM-79OMU 70-79 years, male 80.4
GTEX-R53T-0526-SM-3GADL 50-59 years, female 80.0
GTEX-1RAZA-0826-SM-EAZ4I 20-29 years, male 80.0
GTEX-11I78-0526-SM-5986A 50-59 years, female 79.7
GTEX-1QP66-0326-SM-DTX7V 50-59 years, male 79.6
GTEX-ZUA1-0926-SM-4YCDX 40-49 years, male 79.5
GTEX-1GZ2Q-0826-SM-7P8TK 40-49 years, male 79.4
GTEX-ZV6S-0226-SM-59HJT 40-49 years, female 79.3
GTEX-1JMQJ-2026-SM-CNPP9 50-59 years, male 79.3
GTEX-ZVZP-1026-SM-5GICI 50-59 years, male 79.0
GTEX-11ZTT-1026-SM-5EQKF 60-69 years, female 78.9
GTEX-111FC-1026-SM-5GZX1 60-69 years, male 78.6
GTEX-1399R-0126-SM-5IFEV 30-39 years, male 78.6
GTEX-15DZA-0226-SM-7KFS6 30-39 years, female 78.5
GTEX-1AX8Z-0826-SM-7DUFZ 60-69 years, male 78.5
GTEX-ZT9X-0226-SM-51MT2 40-49 years, male 78.5
GTEX-1IDJH-0826-SM-CE6SY 70-79 years, male 78.4
GTEX-13N11-1026-SM-5K7XQ 50-59 years, female 78.2
GTEX-15SHV-0426-SM-6M476 60-69 years, male 78.1
GTEX-ZTSS-0226-SM-59877 40-49 years, male 78.0
GTEX-15UF6-1126-SM-6LPJ3 70-79 years, female 77.6
GTEX-Y111-1926-SM-4SOIS 50-59 years, male 77.4
GTEX-TMMY-0826-SM-33HB9 40-49 years, female 77.3
GTEX-1HKZK-0826-SM-A9G2C 40-49 years, male 77.3
GTEX-WFG7-0326-SM-DKPO8 20-29 years, male 77.3
GTEX-ZDTS-0926-SM-5YY9D 60-69 years, male 77.2
GTEX-ZPIC-0226-SM-DO91T 40-49 years, female 77.2
GTEX-1H1E6-0326-SM-9OSWE 30-39 years, male 77.0
GTEX-S341-0226-SM-D4P1Y 40-49 years, female 77.0
GTEX-14ICK-1626-SM-6ETZX 40-49 years, male 76.9
GTEX-1I1GU-0826-SM-ARZM5 40-49 years, male 76.9
GTEX-11P82-0226-SM-5HL4O 20-29 years, male 76.7
GTEX-13NZ9-1126-SM-5MR37 50-59 years, male 76.7
GTEX-1K2DA-1526-SM-CGQGQ 50-59 years, male 76.5
GTEX-13YAN-0926-SM-5O9C3 60-69 years, male 76.3
GTEX-15EO6-0126-SM-6LPKJ 50-59 years, male 76.3
GTEX-14JG6-1326-SM-9OSXU 30-39 years, female 76.2
GTEX-14PN4-1526-SM-6871V 50-59 years, male 76.1
GTEX-1J8Q3-0226-SM-C1YR4 60-69 years, male 76.0
GTEX-1O97I-1026-SM-E76PI 60-69 years, male 76.0
GTEX-14BMU-0226-SM-5S2QA 20-29 years, female 75.9
GTEX-VJYA-0426-SM-3GIJK 60-69 years, male 75.9
GTEX-1R9K5-0726-SM-EAZ4E 50-59 years, male 75.8
GTEX-QDVJ-0226-SM-2I5FV 50-59 years, male 75.6
GTEX-13FXS-0726-SM-5LZXJ 50-59 years, male 75.5
GTEX-1B8KE-0626-SM-7189H 50-59 years, male 75.4
GTEX-1I1GV-0726-SM-ARZLY 60-69 years, male 75.4
GTEX-1RNSC-1126-SM-E9TIP 60-69 years, male 75.3
GTEX-1RQED-0926-SM-EWRNZ 60-69 years, male 75.3
GTEX-1GF9V-0926-SM-9KNW7 60-69 years, male 75.2
GTEX-15G1A-0326-SM-6M467 30-39 years, male 75.0
GTEX-14PN3-0826-SM-69LOS 60-69 years, female 74.9
GTEX-WVLH-0626-SM-3MJG7 50-59 years, male 74.9
GTEX-1H1DE-0226-SM-ARZN8 20-29 years, male 74.9
GTEX-13O3Q-0626-SM-5IJG1 50-59 years, male 74.4
GTEX-1B97J-0626-SM-7P8RU 50-59 years, female 74.3
GTEX-1PFEY-0226-SM-EVR3M 30-39 years, male 74.3
GTEX-111YS-0726-SM-5GZY8 60-69 years, male 74.2
GTEX-W5WG-1426-SM-4KKZP 50-59 years, female 74.2
GTEX-ZVP2-0426-SM-57WC2 50-59 years, male 74.2
GTEX-1MGNQ-0726-SM-DPRYH 40-49 years, male 74.2
GTEX-WHPG-0226-SM-3NMB9 50-59 years, male 74.1
GTEX-1PBJI-0726-SM-EXUSQ 20-29 years, female 74.1
GTEX-1CB4I-0726-SM-7DUGS 50-59 years, male 73.9
GTEX-1EX96-0126-SM-9KNVH 50-59 years, male 73.8
GTEX-ZE7O-1126-SM-57WC8 50-59 years, female 73.7
GTEX-1O9I2-1226-SM-E6CQC 50-59 years, male 73.6
GTEX-11LCK-0526-SM-5A5M9 30-39 years, male 73.5
GTEX-OXRK-0626-SM-2HMJ5 50-59 years, female 73.5
GTEX-1R9JW-0226-SM-EVR4K 30-39 years, female 73.5
GTEX-1QP6S-2526-SM-DTX9Z 40-49 years, male 73.3
GTEX-T6MO-0226-SM-32QOL 40-49 years, female 73.2
GTEX-1HBPH-0926-SM-A9SME 40-49 years, female 73.2
GTEX-1GF9U-0226-SM-7P8TY 40-49 years, female 72.7
GTEX-1ICLZ-0526-SM-ARZM8 60-69 years, male 72.7
GTEX-1IDJU-1626-SM-CJI4B 60-69 years, female 72.7
GTEX-11TUW-0226-SM-5LU8X 60-69 years, male 72.6
GTEX-1J8JJ-0726-SM-AHZ3E 60-69 years, female 72.6
GTEX-131XG-0226-SM-5IFG1 50-59 years, female 72.5
GTEX-14B4R-0126-SM-5TDE4 30-39 years, male 72.5
GTEX-U8T8-2326-SM-3DB96 60-69 years, male 72.5
GTEX-1LH75-0626-SM-DIPG3 50-59 years, female 72.5
GTEX-ZF3C-0826-SM-DO11E 50-59 years, female 72.5
GTEX-14ABY-0926-SM-5Q5DY 50-59 years, male 72.4
GTEX-1PWST-0726-SM-EWRMO 70-79 years, male 72.4
GTEX-14E6E-0326-SM-73KY6 30-39 years, male 72.1
GTEX-P4PQ-2626-SM-33HC9 60-69 years, male 72.0
GTEX-11TTK-0826-SM-5N9EG 60-69 years, female 71.9
GTEX-1C6VQ-0526-SM-7MGWD 50-59 years, male 71.8
GTEX-U3ZN-0326-SM-3DB86 30-39 years, female 71.2
GTEX-1R9PM-0226-SM-DPRY7 20-29 years, male 71.2
GTEX-18A66-0826-SM-72D5Z 60-69 years, male 71.0
GTEX-1HR9M-0626-SM-A96S6 60-69 years, male 71.0
GTEX-11ZTS-1126-SM-5LU9X 60-69 years, female 70.7
GTEX-1CAMR-0226-SM-7DUGO 20-29 years, male 70.7
GTEX-12WSL-0626-SM-5GCOY 50-59 years, male 70.6
GTEX-1B8SF-0626-SM-73KVV 60-69 years, male 70.6
GTEX-S32W-0726-SM-2XCBL 50-59 years, female 70.6
GTEX-13OVK-0226-SM-6M472 40-49 years, male 70.5
GTEX-13OW6-0726-SM-5L3FX 50-59 years, male 70.3
GTEX-1JKYN-1126-SM-CGQG5 30-39 years, male 70.3
GTEX-1313W-0726-SM-5EGK1 50-59 years, female 70.2
GTEX-1AMFI-0526-SM-7189M 50-59 years, female 69.9
GTEX-1122O-0226-SM-5N9DA 60-69 years, female 69.8
GTEX-1GF9X-0126-SM-A9G38 40-49 years, female 69.8
GTEX-1I6K7-1126-SM-A96SW 40-49 years, male 69.6
GTEX-12WSN-0726-SM-5GCMS 40-49 years, male 69.5
GTEX-14753-0926-SM-5Q5BI 60-69 years, male 69.5
GTEX-1B8SG-1126-SM-7IGMT 50-59 years, male 69.4
GTEX-Y8E4-0126-SM-4VBQ2 40-49 years, male 69.4
GTEX-111VG-0526-SM-5N9BW 60-69 years, male 69.3
GTEX-1128S-0126-SM-5H12S 60-69 years, female 68.8
GTEX-117XS-0526-SM-5987Q 60-69 years, male 68.8
GTEX-SJXC-0726-SM-2XCFJ 60-69 years, male 68.8
GTEX-SNOS-0226-SM-32PLR 40-49 years, male 68.8
GTEX-1EU9M-0626-SM-7MXUT 60-69 years, male 68.6
GTEX-1HT8W-1526-SM-CE6S3 30-39 years, male 68.6
GTEX-117YX-1226-SM-5H11S 50-59 years, male 68.5
GTEX-133LE-0326-SM-5P9G4 20-29 years, female 68.5
GTEX-14PII-0826-SM-6871S 60-69 years, male 68.4
GTEX-P4QS-2626-SM-2I3EV 60-69 years, male 68.1
GTEX-14E7W-0926-SM-5YYA4 70-79 years, male 68.0
GTEX-1AX9K-0626-SM-73KVD 50-59 years, male 68.0
GTEX-ZYY3-1926-SM-5GZXS 60-69 years, female 68.0
GTEX-1A3MV-0326-SM-73KW7 30-39 years, male 67.9
GTEX-13RTK-0326-SM-5RQHS 20-29 years, male 67.8
GTEX-1IY9M-1026-SM-A96TG 60-69 years, male 67.8
GTEX-ZF29-0726-SM-DO92H 60-69 years, female 67.8
GTEX-QV44-0826-SM-2S1RG 50-59 years, male 67.7
GTEX-ZYFG-0626-SM-5GZYA 60-69 years, female 67.6
GTEX-1RMOY-0126-SM-EWRNN 50-59 years, male 67.5
GTEX-1BAJH-0926-SM-79OO6 70-79 years, male 67.0
GTEX-X4XY-0826-SM-4E3JM 60-69 years, male 67.0
GTEX-1S83E-0726-SM-EV7B6 40-49 years, male 67.0
GTEX-15EU6-1426-SM-6M48E 50-59 years, male 66.9
GTEX-QLQ7-0726-SM-2I5G2 60-69 years, male 66.9
GTEX-U3ZH-0226-SM-3DB7B 30-39 years, male 66.9
GTEX-1212Z-0426-SM-5FQT6 60-69 years, male 66.8
GTEX-145MH-0426-SM-5LU8T 50-59 years, male 66.8
GTEX-1GN73-0826-SM-9OSW4 60-69 years, male 66.8
GTEX-1LGOU-0126-SM-EV79W 20-29 years, female 66.7
GTEX-11EI6-0726-SM-59866 60-69 years, male 66.6
GTEX-OHPM-2626-SM-33HC5 50-59 years, male 66.6
GTEX-1HSEH-0826-SM-B2LXE 60-69 years, male 66.5
GTEX-XBEW-0126-SM-4AT66 40-49 years, male 66.3
GTEX-Y5LM-0626-SM-4V6G4 40-49 years, female 66.3
GTEX-1C475-0226-SM-7MGXM 40-49 years, female 66.3
GTEX-18D9U-1026-SM-72D5R 40-49 years, male 66.2
GTEX-1B97I-0326-SM-7DUGB 40-49 years, male 66.2
GTEX-13OW7-0826-SM-5L3EL 50-59 years, male 66.1
GTEX-1JJEA-0626-SM-D3L96 60-69 years, male 66.1
GTEX-11EQ9-0626-SM-5A5K1 30-39 years, male 66.0
GTEX-11ZVC-0126-SM-5986G 50-59 years, female 66.0
GTEX-XLM4-0726-SM-4AT64 60-69 years, male 65.9
GTEX-R55C-0626-SM-2TF4Q 40-49 years, male 65.8
GTEX-WYVS-0326-SM-3NM9V 40-49 years, female 65.8
GTEX-1H3VE-0826-SM-9KNVQ 40-49 years, male 65.7
GTEX-11EM3-0126-SM-5985K 20-29 years, female 65.6
GTEX-146FQ-0726-SM-5LUA7 30-39 years, male 65.6
GTEX-1C64N-1026-SM-79ONM 50-59 years, male 65.5
GTEX-WFG8-0426-SM-3GILD 20-29 years, male 65.5
GTEX-1HSKV-1026-SM-B2LWK 60-69 years, male 65.4
GTEX-147GR-0726-SM-5S2PL 60-69 years, male 65.3
GTEX-14PJM-1326-SM-664NX 50-59 years, female 65.2
GTEX-17JCI-0626-SM-7IGM7 60-69 years, female 65.1
GTEX-N7MS-2326-SM-2HMLD 60-69 years, male 65.1
GTEX-13FHO-0926-SM-5N9EW 60-69 years, male 64.9
GTEX-ZDXO-1726-SM-5HL6L 60-69 years, male 64.9
GTEX-14E6C-2626-SM-5RQJP 40-49 years, male 64.7
GTEX-17KNJ-1026-SM-79ONK 50-59 years, male 64.7
GTEX-18D9A-0126-SM-7KFSI 30-39 years, female 64.7
GTEX-18A7A-0826-SM-7KFTJ 50-59 years, female 64.6
GTEX-ZZ64-0126-SM-5GZXA 20-29 years, male 64.6
GTEX-1HSGN-0726-SM-A9G2F 40-49 years, female 64.6
GTEX-SUCS-0226-SM-32PLQ 70-79 years, male 64.5
GTEX-1QPFJ-0626-SM-DTX7Y 30-39 years, female 64.5
GTEX-1C2JI-0326-SM-7EWFD 50-59 years, male 64.4
GTEX-1RAZS-1026-SM-E9TID 50-59 years, male 64.4
GTEX-1ICG6-0426-SM-ARU7M 70-79 years, female 64.3
GTEX-13VXT-0626-SM-5SIA1 20-29 years, female 64.2
GTEX-ZC5H-0626-SM-5LU9K 40-49 years, female 64.2
GTEX-1MUQO-0726-SM-E9TJM 60-69 years, male 64.1
GTEX-139UW-0126-SM-5KM1B 60-69 years, male 64.0
GTEX-1F52S-0526-SM-7P8TP 60-69 years, female 64.0
GTEX-1R9K4-0726-SM-EWRN2 60-69 years, male 64.0
GTEX-15SB6-1526-SM-7KUMQ 50-59 years, female 63.9
GTEX-V955-0426-SM-3GAEL 60-69 years, male 63.9
GTEX-139T6-0326-SM-5J2LY 50-59 years, male 63.8
GTEX-13QBU-0626-SM-5J2OG 40-49 years, female 63.5
GTEX-1LB8K-0626-SM-D4P3Z 50-59 years, male 63.4
GTEX-17HGU-0826-SM-7EWE5 50-59 years, male 63.3
GTEX-1C6VS-0826-SM-7EWEI 60-69 years, male 63.3
GTEX-18A67-0826-SM-7KFTI 50-59 years, male 63.1
GTEX-1J1OQ-0526-SM-A9G2P 40-49 years, female 63.1
GTEX-13QJC-0826-SM-5RQKC 60-69 years, female 63.0
GTEX-1CB4F-0826-SM-793CV 60-69 years, male 63.0
GTEX-17F9E-0626-SM-79ON5 50-59 years, male 62.9
GTEX-16BQI-0726-SM-6LPJZ 30-39 years, female 62.8
GTEX-SN8G-1526-SM-4DM79 50-59 years, female 62.8
GTEX-131XF-1826-SM-5EGKG 60-69 years, male 62.7
GTEX-1IOXB-1026-SM-CJI4D 50-59 years, male 62.7
GTEX-13X6J-0826-SM-5LU32 50-59 years, male 62.6
GTEX-145LU-0426-SM-5O9AH 50-59 years, male 62.6
GTEX-1B932-0926-SM-73KUP 40-49 years, female 62.6
GTEX-13G51-1226-SM-5K7Z3 60-69 years, male 62.5
GTEX-XMK1-0626-SM-4B65A 40-49 years, male 62.5
GTEX-14PKU-0326-SM-6AJA7 40-49 years, female 62.4
GTEX-1HBPN-1226-SM-B2LW9 50-59 years, male 62.3
GTEX-1QMI2-0826-SM-EXUT4 60-69 years, male 62.3
GTEX-1IDJC-1026-SM-A96T2 50-59 years, male 62.2
GTEX-Q2AH-0726-SM-2I3EA 40-49 years, male 62.0
GTEX-13FLV-0226-SM-5J2OF 50-59 years, male 61.7
GTEX-WYJK-1626-SM-3NM9J 50-59 years, male 61.7
GTEX-1A8G6-0626-SM-7IGNB 60-69 years, male 61.6
GTEX-1AYCT-0226-SM-73KVB 50-59 years, male 61.6
GTEX-WK11-0926-SM-3NMAU 50-59 years, male 61.6
GTEX-1399U-0326-SM-5P9G5 50-59 years, female 61.4
GTEX-15SHU-0726-SM-7KUFI 40-49 years, female 61.3
GTEX-1CAMS-0826-SM-7P8P1 40-49 years, female 61.2
GTEX-1C6VR-0426-SM-7IGN6 60-69 years, male 61.0
GTEX-Q2AG-0826-SM-2HMKF 40-49 years, female 61.0
GTEX-1MA7X-0926-SM-DIPEJ 60-69 years, male 61.0
GTEX-PX3G-2626-SM-2I3EG 20-29 years, female 60.7
GTEX-YB5K-0526-SM-5LUAS 40-49 years, female 60.7
GTEX-13N1W-0826-SM-5MR5J 70-79 years, male 60.5
GTEX-1HCUA-0126-SM-B2LWC 50-59 years, female 60.5
GTEX-1PDJ9-0826-SM-E76PS 20-29 years, male 60.4
GTEX-1192W-0126-SM-5EGGS 60-69 years, male 60.3
GTEX-1GPI7-0726-SM-9WG84 20-29 years, male 60.3
GTEX-13PVR-0626-SM-5S2RC 60-69 years, female 60.2
GTEX-1A8FM-0726-SM-7DUGK 50-59 years, female 60.2
GTEX-1HCVE-0726-SM-A96SH 50-59 years, male 60.0
GTEX-1N5O9-1026-SM-DTX8Y 60-69 years, male 59.9
GTEX-1QCLZ-0626-SM-E6CR2 60-69 years, female 59.9
GTEX-OHPK-2626-SM-2HMK9 50-59 years, female 59.8
GTEX-1HBPM-0926-SM-ARL9C 60-69 years, female 59.7
GTEX-1IKJJ-1026-SM-A96SQ 60-69 years, male 59.7
GTEX-1KD4Q-1026-SM-CXZKJ 40-49 years, male 59.7
GTEX-15CHR-1726-SM-7DUGW 50-59 years, male 59.6
GTEX-ZXG5-0926-SM-5NQ8H 60-69 years, male 59.6
GTEX-13FHP-0926-SM-5L3EC 50-59 years, male 59.5
GTEX-1GMRU-1126-SM-9KNV1 50-59 years, male 59.4
GTEX-144GO-0126-SM-5LUAO 60-69 years, male 59.3
GTEX-OXRL-2626-SM-2I3F1 50-59 years, male 59.3
GTEX-1JMQK-2126-SM-CY8I2 60-69 years, male 59.2
GTEX-1PBJJ-1926-SM-DTX8T 30-39 years, male 59.2
GTEX-18465-1426-SM-7KFTF 50-59 years, male 58.9
GTEX-1LBAC-0726-SM-D3L9U 20-29 years, male 58.7
GTEX-1211K-0726-SM-5FQUW 60-69 years, female 58.5
GTEX-14PHW-2926-SM-6AJBA 60-69 years, female 58.5
GTEX-17HHY-0826-SM-7EPID 50-59 years, male 58.3
GTEX-QDVN-0626-SM-2I3FP 50-59 years, male 58.3
GTEX-ZAK1-0726-SM-5HL8Q 50-59 years, female 58.3
GTEX-17HII-1926-SM-79OLB 50-59 years, male 58.2
GTEX-1C4CL-0726-SM-7IGP9 30-39 years, male 58.2
GTEX-1EH9U-0926-SM-7EWF1 60-69 years, male 58.2
GTEX-1192X-1126-SM-5EGGU 50-59 years, male 58.1
GTEX-11NSD-0126-SM-5987F 20-29 years, male 58.1
GTEX-16NPX-1426-SM-6LPK3 50-59 years, male 58.1
GTEX-X4LF-0426-SM-3NMB5 50-59 years, male 58.0
GTEX-15RIE-0426-SM-7KUMH 60-69 years, male 57.8
GTEX-UJMC-0326-SM-3GAE2 50-59 years, male 57.8
GTEX-1GZHY-1426-SM-9WG5H 50-59 years, female 57.8
GTEX-1P4AB-1126-SM-DTX94 50-59 years, male 57.8
GTEX-14C5O-0826-SM-5TDEG 60-69 years, male 57.7
GTEX-ZZPU-1326-SM-5GZWS 50-59 years, female 57.7
GTEX-1QW4Y-0226-SM-EAZ3U 30-39 years, male 57.7
GTEX-11P81-0126-SM-5HL5Y 30-39 years, female 57.5
GTEX-ZYT6-0426-SM-5GID3 30-39 years, male 57.4
GTEX-17F96-0526-SM-79OLE 70-79 years, male 57.3
GTEX-1E1VI-0726-SM-7P8QJ 50-59 years, male 57.2
GTEX-ZAB5-0726-SM-5P9JG 50-59 years, male 57.1
GTEX-1GZ4I-0626-SM-9WPPN 50-59 years, male 57.1
GTEX-RVPV-1226-SM-2TF73 60-69 years, male 56.8
GTEX-13112-0326-SM-5P9IW 50-59 years, male 56.5
GTEX-XBED-0126-SM-47JY7 60-69 years, male 56.4
GTEX-S7SF-0226-SM-5SI7H 20-29 years, female 56.2
GTEX-T6MN-0626-SM-32PM9 50-59 years, male 56.2
GTEX-ZTX8-0626-SM-59HKC 20-29 years, male 56.1
GTEX-183FY-0626-SM-79OKR 20-29 years, male 55.8
GTEX-R55E-0826-SM-2TC5M 20-29 years, male 55.8
GTEX-1NUQO-0926-SM-DTXEX 20-29 years, female 55.8
GTEX-P78B-0526-SM-2I5F7 40-49 years, female 55.7
GTEX-1LG7Y-0626-SM-DHXJM 50-59 years, male 55.7
GTEX-145LT-0226-SM-5S2QK 40-49 years, male 55.6
GTEX-14PJO-0626-SM-6LLHH 60-69 years, male 55.6
GTEX-16NGA-0326-SM-718AJ 40-49 years, female 55.6
GTEX-16Z82-0426-SM-7EPGX 60-69 years, male 55.6
GTEX-12WSE-1226-SM-73KUF 20-29 years, male 55.5
GTEX-14PKV-0626-SM-6AJA2 20-29 years, female 55.5
GTEX-1AMEY-0126-SM-73KTX 30-39 years, female 55.5
GTEX-P4QT-2626-SM-2I3FM 50-59 years, female 55.4
GTEX-U4B1-0626-SM-3DB8L 40-49 years, male 55.4
GTEX-SE5C-0726-SM-4BRWY 40-49 years, female 55.3
GTEX-ZA64-0426-SM-5HL96 20-29 years, male 55.3
GTEX-1F48J-0926-SM-7P8PZ 50-59 years, female 55.1
GTEX-15D1Q-0626-SM-6AJAZ 40-49 years, male 55.0
GTEX-1H1CY-0726-SM-9OSXX 60-69 years, female 54.9
GTEX-13OVI-0826-SM-5KLZ8 60-69 years, female 54.8
GTEX-1IKOE-0926-SM-ARU7X 30-39 years, female 54.8
GTEX-14ICL-0426-SM-5RQJ3 30-39 years, male 54.6
GTEX-1A8G7-1026-SM-73KVA 60-69 years, male 54.5
GTEX-Y114-0626-SM-4TT98 50-59 years, female 54.5
GTEX-1OJC3-0626-SM-E8VMO 20-29 years, male 54.2
GTEX-148VJ-0726-SM-5LU8J 70-79 years, male 54.1
GTEX-18QFQ-0726-SM-7LG6D 30-39 years, male 54.0
GTEX-ZDYS-0626-SM-5J2N5 50-59 years, male 54.0
GTEX-S7SE-0726-SM-2XCD7 50-59 years, male 53.7
GTEX-1RAZQ-0926-SM-EAZ4Q 30-39 years, male 53.7
GTEX-113JC-0126-SM-5EGJW 50-59 years, female 53.5
GTEX-13OVG-0226-SM-5LU93 60-69 years, male 53.5
GTEX-15FZZ-0226-SM-6LLI4 30-39 years, female 53.5
GTEX-Y3IK-0526-SM-4WWE3 50-59 years, female 53.5
GTEX-XOT4-1526-SM-EAZ2W 60-69 years, female 53.5
GTEX-12BJ1-0426-SM-5FQSO 60-69 years, male 53.4
GTEX-12ZZY-0826-SM-5EQMT 60-69 years, male 53.3
GTEX-14BMV-0726-SM-73KVE 50-59 years, male 53.3
GTEX-14A6H-2426-SM-5Q5BO 30-39 years, male 53.2
GTEX-OIZG-0226-SM-2TC5L 50-59 years, male 53.1
GTEX-1LG7Z-0526-SM-D4P3Q 30-39 years, male 53.1
GTEX-17EVP-0126-SM-7EPHW 40-49 years, male 53.0
GTEX-1GL5R-0626-SM-7PBZY 50-59 years, male 52.9
GTEX-14AS3-0226-SM-5Q5B6 40-49 years, female 52.8
GTEX-PLZ4-1226-SM-2I5FE 50-59 years, female 52.6
GTEX-PWN1-2626-SM-2I3FH 40-49 years, female 52.5
GTEX-117YW-0126-SM-5EGGN 50-59 years, male 52.2
GTEX-11GSP-0126-SM-5A5KU 60-69 years, female 52.2
GTEX-1AX9I-0626-SM-72D54 60-69 years, male 52.2
GTEX-RU1J-0226-SM-2TF5Y 20-29 years, female 52.2
GTEX-U3ZM-0126-SM-3DB8M 40-49 years, male 52.2
GTEX-1HGF4-0726-SM-9WYU9 60-69 years, male 52.0
GTEX-13113-0126-SM-5LZVX 60-69 years, female 51.8
GTEX-WH7G-0526-SM-3NMBI 40-49 years, male 51.8
GTEX-Y5V5-0326-SM-5RQJG 60-69 years, female 51.8
GTEX-1GTWX-0726-SM-9WPPA 60-69 years, male 51.8
GTEX-1I1GR-1126-SM-A9G2I 60-69 years, male 51.8
GTEX-11NUK-1026-SM-5HL5J 50-59 years, male 51.7
GTEX-11XUK-0226-SM-5EQLW 40-49 years, female 51.7
GTEX-V1D1-0926-SM-4JBHQ 50-59 years, male 51.7
GTEX-WRHU-0926-SM-4E3IG 50-59 years, female 51.5
GTEX-1EKGG-0726-SM-7IGPX 60-69 years, male 51.3
GTEX-RWSA-0826-SM-2XCBF 40-49 years, male 51.3
GTEX-16MTA-0726-SM-7KUL4 50-59 years, male 51.2
GTEX-X4XX-0926-SM-46MV7 60-69 years, male 51.0
GTEX-1H11D-0626-SM-9WPQ1 40-49 years, male 51.0
GTEX-X8HC-0726-SM-46MWG 50-59 years, female 50.7
GTEX-ZGAY-1026-SM-4WWBR 40-49 years, female 50.4
GTEX-1IL2U-0826-SM-CL53Q 60-69 years, male 50.3
GTEX-131YS-0726-SM-5P9G9 60-69 years, female 49.9
GTEX-TSE9-0626-SM-3DB8B 60-69 years, female 49.9
GTEX-1H1ZS-0726-SM-A9G3K 70-79 years, male 49.8
GTEX-QDT8-1226-SM-EVR35 30-39 years, female 49.8
GTEX-12WSC-0826-SM-5EQ5Q 50-59 years, male 49.7
GTEX-13RTJ-0326-SM-5YYAE 60-69 years, male 49.7
GTEX-Y9LG-0426-SM-4VBRT 30-39 years, male 49.6
GTEX-ZQUD-0126-SM-7EPIS 30-39 years, male 49.5
GTEX-14DAQ-0826-SM-73KWT 60-69 years, female 49.4
GTEX-1B8L1-1626-SM-7IGMH 60-69 years, male 49.4
GTEX-1EN7A-1026-SM-7IGPZ 40-49 years, male 49.4
GTEX-15ETS-0526-SM-6PAN3 40-49 years, female 49.3
GTEX-13X6H-0526-SM-5LU4Q 50-59 years, female 49.2
GTEX-16YQH-0326-SM-6LPJV 30-39 years, male 48.8
GTEX-11VI4-0226-SM-5GU6C 40-49 years, female 48.7
GTEX-1JMLX-0826-SM-CNNPP 50-59 years, male 48.7
GTEX-144GL-1226-SM-5O9A4 50-59 years, male 48.6
GTEX-1GN2E-0826-SM-9WYT8 60-69 years, male 48.5
GTEX-12WSG-0226-SM-5EGIF 50-59 years, female 48.4
GTEX-13QJ3-0926-SM-73KX5 50-59 years, male 48.2
GTEX-1I6K6-0726-SM-B2LX4 30-39 years, male 48.1
GTEX-1IL2V-0626-SM-ARU7S 70-79 years, male 48.1
GTEX-12584-0826-SM-5FQSK 40-49 years, male 48.0
GTEX-1CAMQ-1126-SM-7EWFE 40-49 years, male 48.0
GTEX-WHSB-1626-SM-3LK6J 50-59 years, male 48.0
GTEX-1JMPY-0126-SM-CJI39 30-39 years, male 47.9
GTEX-11GSO-0626-SM-5A5LW 60-69 years, male 47.8
GTEX-OIZI-0726-SM-2XCEI 40-49 years, male 47.8
GTEX-REY6-0526-SM-2TF5M 60-69 years, male 47.8
GTEX-R55G-0726-SM-2TC6J 40-49 years, female 47.6
GTEX-WY7C-0226-SM-3NB37 50-59 years, male 47.6
GTEX-1HFI6-1326-SM-A9SL8 40-49 years, male 47.2
GTEX-WL46-0126-SM-3TW8I 50-59 years, male 47.1
GTEX-1I1GT-0826-SM-B2LWO 60-69 years, female 46.7
GTEX-1JN6P-0626-SM-ARZN6 60-69 years, male 46.7
GTEX-RWS6-0626-SM-2XCAS 60-69 years, female 46.4
GTEX-Z93S-0526-SM-EVYB4 50-59 years, male 46.4
GTEX-11P7K-0226-SM-5986Z 30-39 years, male 46.3
GTEX-13U4I-0526-SM-5LU59 40-49 years, female 46.2
GTEX-15RJE-1326-SM-6LPI6 40-49 years, male 46.2
GTEX-1PPH8-0926-SM-DTX9U 20-29 years, male 45.9
GTEX-1477Z-0226-SM-5TDCI 60-69 years, male 45.8
GTEX-1GN1U-0826-SM-9WPPX 50-59 years, female 45.8
GTEX-RNOR-0926-SM-2TF56 50-59 years, female 45.7
GTEX-1EMGI-0826-SM-7EPHY 60-69 years, male 45.5
GTEX-T5JW-1226-SM-3GACY 20-29 years, female 45.3
GTEX-OOBJ-2626-SM-2I3F6 60-69 years, male 45.1
GTEX-RU72-0126-SM-2TF6Z 50-59 years, female 45.0
GTEX-ZPU1-0426-SM-4WWCA 40-49 years, male 45.0
GTEX-WXYG-0226-SM-3NB2Y 50-59 years, female 44.8
GTEX-1HC8U-1226-SM-9WYUW 40-49 years, female 44.7
GTEX-1QCLY-0826-SM-DTX8A 30-39 years, male 44.7
GTEX-W5X1-0426-SM-3GILB 40-49 years, female 44.5
GTEX-1JKYR-0826-SM-ARU8L 20-29 years, male 44.3
GTEX-RM2N-0526-SM-2TF4N 50-59 years, male 43.9
GTEX-PWCY-2326-SM-2I3EQ 20-29 years, female 43.8
GTEX-148VI-0526-SM-5TDDG 60-69 years, female 43.7
GTEX-RN64-0626-SM-2TC5V 50-59 years, male 43.7
GTEX-T2IS-0626-SM-32QP6 20-29 years, female 43.7
GTEX-1MJK3-0326-SM-DTX96 20-29 years, male 43.0
GTEX-1RDX4-0926-SM-E9U6D 50-59 years, female 42.7
GTEX-11DXZ-0926-SM-5N9CG 50-59 years, male 42.6
GTEX-NFK9-0726-SM-2HMJW 40-49 years, male 42.5
GTEX-QXCU-0326-SM-2TC63 50-59 years, male 42.5
GTEX-16MT8-0626-SM-6M47Q 60-69 years, female 42.2
GTEX-17MF6-0626-SM-7LT8D 40-49 years, male 42.0
GTEX-12WSD-0926-SM-5GCNL 60-69 years, female 41.7
GTEX-X5EB-0726-SM-46MVR 40-49 years, male 41.6
GTEX-1J1R8-0126-SM-CJI36 40-49 years, male 41.3
GTEX-12WSK-0926-SM-5CVNQ 40-49 years, female 41.2
GTEX-ZLFU-0626-SM-4WWBO 40-49 years, male 41.2
GTEX-1JMPZ-0626-SM-CY8HY 30-39 years, male 40.1
GTEX-ZYW4-1126-SM-5SI99 60-69 years, male 40.0
GTEX-15ER7-0726-SM-7KUMF 20-29 years, female 38.9
GTEX-WFJO-0226-SM-3GIKW 30-39 years, male 38.5
GTEX-1J8EW-1126-SM-A96T8 60-69 years, female 38.3
GTEX-17HHE-0426-SM-79OK3 50-59 years, male 38.1
GTEX-ZVT3-0726-SM-5GICN 60-69 years, female 37.0
GTEX-17EVQ-0526-SM-7KFSK 70-79 years, male 35.6
GTEX-SIU8-0626-SM-2XCDN 50-59 years, male 33.7
GTEX-RTLS-0626-SM-5SI7Z 60-69 years, female 31.8
GTEX-1AX9J-2126-SM-731DD 60-69 years, male 28.3
Show allShow less

THYROID GLAND - FANTOM5 CAGEi

RNA expression in human tissues obtained through Cap Analysis of Gene Expression (CAGE) generated by the FANTOM5 project are reported as Scaled Tags Per Million.

Max subtype Scaled Tags Per Millioni

Max subtype Scaled Tags Per Million is the value for the subtype with the largest average Scaled Tags Per Million across the subtype samples.

250.8
FANTOM5 sample id Sample description Scaled Tags Per Million
Thyroid
Scaled Tags Per Million: 250.8
FF:10028-101E1 67,68,78 years, mixed 250.8

Contact

  • NEWS ARTICLES
  • PRESS ROOM

The Project

  • INTRODUCTION
  • ORGANIZATION
  • PUBLICATIONS

The Human Protein Atlas

  • DOWNLOADABLE DATA
  • LICENCE & CITATION
  • HELP & FAQ
The Human Protein Atlas project is funded
by the Knut & Alice Wallenberg Foundation.


contact@proteinatlas.org