We use cookies to enhance the usability of our website. If you continue, we'll assume that you are happy to receive all cookies. More information. Don't show this again.
RPS10
HPA
RESOURCES
  • TISSUE
  • BRAIN
  • SINGLE CELL
  • SUBCELLULAR
  • CANCER
  • BLOOD
  • CELL LINE
  • STRUCTURE & INTERACTION
ABOUT
  • INTRODUCTION
  • HISTORY
  • ORGANIZATION
  • PUBLICATIONS
  • ANTIBODY SUBMISSION
  • ANTIBODY AVAILABILITY
  • ACKNOWLEDGMENTS
  • CONTACT
NEWS
  • NEWS ARTICLES
  • PRESS ROOM
LEARN
  • DICTIONARY
  • PROTEIN CLASSES
  • PROTEIN EVIDENCE
  • METHODS
  • EDUCATIONAL VIDEOS
DATA
  • DOWNLOADABLE DATA
  • PUBLICATION DATA
  • RELEASE HISTORY
HELP
  • ANTIBODY VALIDATION
  • ASSAYS & ANNOTATION
  • DISCLAIMER
  • HELP & FAQ
  • PRIVACY STATEMENT
  • LICENCE & CITATION
Fields »
Search result

Field
Term
Gene name
Class
Subclass
Class
Keyword
Chromosome
External id
Tissue
Cell type
Expression
Antibody panel
Tissue
Main location
Patient ID
Annotation
Tissue
Category
Tau score
Cluster
Reliability
Brain region
Category
Tau score
Brain region
Category
Tau score
Brain region
Category
Tau score
Cluster
Reliability
Tissue
Cell type
Enrichment
Cell type
Category
Tau score
Cell type
Category
Tau score
Cell type
Category
Tau score
Cell lineage
Category
Tau score
Cluster
Cluster
Location
Searches
Location
Cell line
Class
Type
Phase
Reliability
Cancer
Prognosis
Cancer
Category
Cancer
Category
Tau score
Cluster
Variants
Interacting gene (ensg_id)
Type
Number of interactions
Pathway
Category
Score
Score
Score
Validation
Validation
Validation
Validation
Antibodies
Data type
Column


  • SUMMARY

  • TISSUE

  • BRAIN

  • SINGLE CELL

  • SUBCELL

  • CANCER

  • BLOOD

  • CELL LINE

  • STRUCT & INT

  • RPS10
TISSUE PRIMARY DATA BREAST Show tissue menu
ADIPOSE TISSUE ADRENAL GLAND AMYGDALA APPENDIX BASAL GANGLIA BONE MARROW BREAST CEREBELLUM CEREBRAL CORTEX CERVIX CHOROID PLEXUS COLON DUODENUM
ENDOMETRIUM EPIDIDYMIS ESOPHAGUS FALLOPIAN TUBE GALLBLADDER HEART MUSCLE HIPPOCAMPAL FORMATION HYPOTHALAMUS KIDNEY LIVER LUNG LYMPH NODE MIDBRAIN
ORAL MUCOSA OVARY PANCREAS PARATHYROID GLAND PITUITARY GLAND PLACENTA PROSTATE RECTUM RETINA SALIVARY GLAND SEMINAL VESICLE SKELETAL MUSCLE SKIN
SMALL INTESTINE SMOOTH MUSCLE SOFT TISSUE SPINAL CORD SPLEEN STOMACH TESTIS THYMUS THYROID GLAND TONGUE TONSIL URINARY BLADDER VAGINA
ANTIBODIES
AND
VALIDATION
Dictionary
Breast
Tissue proteome
Breast
BREAST - Expression summary
Protein expression
Breasti

On the top, protein expression in current human tissue, based on all annotated cell types, is reported with the units not detected (n), low (l), medium (m) and high (h). Underneath, protein expression in each annotated cell type are reported using the same units.

Protein expression data is based on knowledge-based annotation. For genes where more than one antibody has been used, a collective score is set.

If knowledge-based annotation could not be performed for a gene, no data is displayed here. View antibody staining data further down this page.

h
m
l
n
Adipocytes: Not detected
Glandular cells: High
Myoepithelial cells: Medium
RNA expressioni

A summary of mRNA expression data available for current tissue based on several datasets. The mRNA expression levels in human tissues are based on RNA-seq data generated by the Human Protein Atlas (HPA), Genotype-Tissue Expression (GTEx) portal and CAGE data generated by the FANTOM5 consortium. Consensus normalized expression levels for human tissues was created by combining the data from HPA and GTEx datasets.

The mRNA expression levels in pig are based on RNA-seq data generated by the Human Protein Atlas (HPA), and for mouse, HPA data and in situ hybridization generated by the Allen brain atlas are reported.

Scroll down to view mRNA expression data in more detail.
Consensus:1936.5 nTPM
HPA:1936.5 nTPM
GTEx:1580.5 nTPM
FANTOM5:477.6 Scaled Tags Per Million

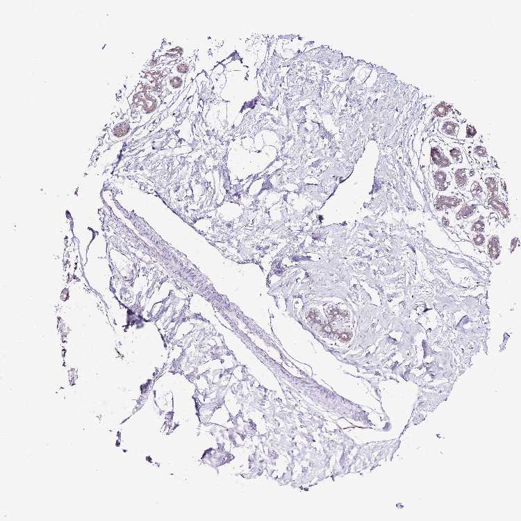
BREAST - Antibody stainingi

Antibody staining in the annotated cell types in the current human tissue is reported as not detected, low, medium, or high, based on conventional immunohistochemistry profiling in selected tissues. This score is based on the combination of the staining intensity and fraction of stained cells.

Each image is clickable and will lead to virtual microscopy that enables deeper exploration of all samples and also displays staining intensity scores, fraction scores and subcellular localization as well as patient and tissue information for each sample.

Antibody HPA047268Antibody HPA048084
Adipocytes Not detectedNot detected
Glandular cells HighHigh
Myoepithelial cells MediumMedium





BREAST - HPA RNA-seqi

The RNA-seq details section shows detailed information about the individual samples used for the transcript profiling and results of the RNA-seq analysis.

Information about each individual sample is listed below, including gender, age, a tissue section image and estimated fractions of cell types. nTPM (normalized transcripts per million) values give a quantification of the gene abundance which is comparable between different genes and samples.
Average nTPMi

Max subtype nTPM is the value for the subtype with the largest average nTPM across the subtype samples.

1936.5
overview
Female, age 52
Breast sample 373
nTPM: 2961.1
Cell types%
Glandular cells:
15

Adipocytes:
5

Other cell types:
80

overview
Female, age 80
Breast sample 390
nTPM: 1662.1
Cell types%
Glandular cells:
5

Adipocytes:
15

Other cell types:
80

overview
Female, age 47
Breast sample 405
nTPM: 1533
Cell types%
Glandular cells:
5

Adipocytes:
5

Other cell types:
90

overview
Female, age 38
Breast sample 410
nTPM: 1589.8
Cell types%
Glandular cells:
40

Adipocytes:
5

Other cell types:
55


BREAST - GTEx RNA-seqi

RNA-Seq data generated by the Genotype-Tissue Expression (GTEx) project from human tissues is reported as mean nTPM. More information can be found on the GTEx portal.

Distribution across the dataset is visualized with box plots, shown as median and 25th and 75th percentiles. Points are displayed as outliers if they are above or below 1.5 times the interquartile range. nTPM values of the individual samples are presented next to the box plot.
Max subtype nTPMi

Max subtype nTPM is the value for the subtype with the largest average nTPM across the subtype samples.

1580.5
GTEx sample id Sample description nTPM
Breast - Mammary Tissue
Average nTPM: 1580.5
Samples: 459

Max nTPM: 6486.2
Min nTPM: 719.8
Std nTPM: 721.5
Median nTPM: 1400.8
GTEX-14AS3-1626-SM-5S2OY 40-49 years, female 6486.2
GTEX-14PN4-0626-SM-62LFP 50-59 years, male 6401.7
GTEX-1B8SG-1226-SM-7IGPF 50-59 years, male 6348.1
GTEX-1JJE9-2326-SM-ARL8Q 70-79 years, male 4795.9
GTEX-1R9JW-0326-SM-EAZ45 30-39 years, female 4594.7
GTEX-14ABY-2126-SM-5QGQZ 50-59 years, male 4581.8
GTEX-1F75I-2026-SM-7SB7N 40-49 years, male 4435.5
GTEX-1AMEY-1026-SM-718AA 30-39 years, female 4169.9
GTEX-ZVT2-1826-SM-5NQ8W 50-59 years, female 4136.0
GTEX-1JJEA-2726-SM-ARL8V 60-69 years, male 4071.9
GTEX-11TT1-2126-SM-5GU5Y 20-29 years, male 4052.3
GTEX-1F5PK-2126-SM-7PC28 50-59 years, male 3739.7
GTEX-145LT-0726-SM-5S2VM 40-49 years, male 3685.6
GTEX-13SLW-2526-SM-62LDQ 70-79 years, male 3466.9
GTEX-1ICLZ-0426-SM-B2LW2 60-69 years, male 3415.5
GTEX-1CAMS-1426-SM-7IGPM 40-49 years, female 3388.3
GTEX-14PJO-0726-SM-69LO8 60-69 years, male 3172.8
GTEX-1N2EF-2226-SM-E9J33 60-69 years, male 3004.5
GTEX-1I19N-2826-SM-CL55D 70-79 years, male 2989.1
GTEX-1H1DG-0526-SM-9YFLN 70-79 years, male 2925.7
GTEX-15G19-2126-SM-6M48J 60-69 years, male 2878.9
GTEX-14H4A-2526-SM-5YYAY 40-49 years, female 2855.7
GTEX-ZAJG-0626-SM-5HL8X 50-59 years, female 2789.9
GTEX-13S86-1226-SM-5S2OA 40-49 years, male 2761.1
GTEX-14ICK-2426-SM-6EU27 40-49 years, male 2728.8
GTEX-ZAB4-2526-SM-5HL8M 40-49 years, male 2727.8
GTEX-1IDJH-2226-SM-E6CJV 70-79 years, male 2572.0
GTEX-1CB4J-1826-SM-7EWF9 60-69 years, male 2532.0
GTEX-14LLW-0626-SM-62LFC 70-79 years, female 2448.2
GTEX-1IE54-0626-SM-ARL8D 40-49 years, female 2444.5
GTEX-145MF-2226-SM-7EPIR 50-59 years, male 2432.5
GTEX-16NGA-0826-SM-718AF 40-49 years, female 2424.7
GTEX-13SLX-2326-SM-5ZZWE 50-59 years, female 2408.3
GTEX-1IKOE-1326-SM-CE6T6 30-39 years, female 2387.9
GTEX-11WQC-1726-SM-5GU4W 60-69 years, male 2376.9
GTEX-XMD1-0826-SM-4AT52 60-69 years, male 2372.9
GTEX-1N2EE-2126-SM-E8VNN 60-69 years, male 2367.5
GTEX-1QP29-1726-SM-E8VMQ 50-59 years, male 2308.4
GTEX-ZGAY-1726-SM-DO91P 40-49 years, female 2300.3
GTEX-13D11-1026-SM-5IJFB 50-59 years, female 2289.7
GTEX-ZVE2-1226-SM-5NQ8R 50-59 years, male 2259.1
GTEX-14PKU-0426-SM-6EU1P 40-49 years, female 2248.7
GTEX-ZLFU-2126-SM-DO931 40-49 years, male 2245.4
GTEX-13FHO-0826-SM-5L3E8 60-69 years, male 2233.3
GTEX-1ICLY-1726-SM-B2LVT 50-59 years, male 2225.4
GTEX-1399U-1826-SM-5PNZ1 50-59 years, female 2222.4
GTEX-1IDFM-0426-SM-B2LVV 60-69 years, male 2210.9
GTEX-ZTTD-1026-SM-51MRD 50-59 years, male 2189.6
GTEX-131XW-0726-SM-5EGK3 50-59 years, female 2178.9
GTEX-1GZ4H-0326-SM-7P8QX 50-59 years, female 2155.6
GTEX-1KAFJ-0226-SM-DIPEL 50-59 years, male 2155.2
GTEX-1HCVE-2626-SM-ADEJ8 50-59 years, male 2152.1
GTEX-1MCC2-2126-SM-EWRON 30-39 years, female 2141.0
GTEX-1JMPZ-1626-SM-COH31 30-39 years, male 2130.3
GTEX-QEL4-2126-SM-447AE 50-59 years, male 2116.3
GTEX-ZYW4-0826-SM-5GIDG 60-69 years, male 2113.3
GTEX-T2IS-1526-SM-32QPR 20-29 years, female 2111.2
GTEX-1IDJE-0826-SM-CKZNZ 50-59 years, female 2109.4
GTEX-11PRG-0826-SM-5EQ6A 50-59 years, male 2108.0
GTEX-RU1J-0626-SM-4WAWY 20-29 years, female 2097.5
GTEX-133LE-1726-SM-5K7VQ 20-29 years, female 2091.2
GTEX-13PL6-2926-SM-5L3I2 40-49 years, female 2087.6
GTEX-183WM-0726-SM-7LTAA 70-79 years, female 2086.7
GTEX-ZF3C-2326-SM-5S2NC 50-59 years, female 2082.0
GTEX-14E6C-1326-SM-62LEQ 40-49 years, male 2078.6
GTEX-13113-5013-SM-7SB7G 60-69 years, female 2078.2
GTEX-1I1GT-1126-SM-ARL7J 60-69 years, female 2076.8
GTEX-13O3O-0826-SM-5K7WE 60-69 years, female 2070.7
GTEX-1QMI2-0726-SM-E9J4F 60-69 years, male 2048.5
GTEX-1R7EV-1526-SM-E8VOD 40-49 years, male 2035.5
GTEX-1HC8U-0826-SM-ADEIL 40-49 years, female 2021.5
GTEX-1HCUA-0726-SM-ACKVU 50-59 years, female 2020.2
GTEX-12ZZX-1126-SM-5EGKB 40-49 years, female 2017.0
GTEX-1IDJF-2326-SM-ARL86 20-29 years, male 2009.9
GTEX-Y5LM-1726-SM-4VDSX 40-49 years, female 1996.9
GTEX-1S82Z-0726-SM-E6CHX 30-39 years, female 1991.6
GTEX-1192X-2326-SM-5987X 50-59 years, male 1987.1
GTEX-11EM3-1326-SM-5N9C6 20-29 years, female 1983.5
GTEX-131YS-0626-SM-5EGKL 60-69 years, female 1967.6
GTEX-1117F-2826-SM-5GZXL 60-69 years, female 1959.2
GTEX-1A8G7-2426-SM-731AK 60-69 years, male 1956.1
GTEX-1GPI7-0926-SM-7PC3J 20-29 years, male 1955.8
GTEX-1MJK2-2226-SM-EVYCR 50-59 years, male 1948.1
GTEX-1JMQK-2626-SM-COH2W 60-69 years, male 1933.2
GTEX-1S82U-1126-SM-E9U6I 30-39 years, female 1928.3
GTEX-XYKS-1326-SM-4BRUN 60-69 years, female 1916.3
GTEX-14BMU-1626-SM-5TDE7 20-29 years, female 1912.2
GTEX-1POEN-0926-SM-DTX88 30-39 years, female 1904.9
GTEX-1PPGY-1526-SM-EVYBK 60-69 years, male 1903.0
GTEX-17EVQ-0426-SM-7LG57 70-79 years, male 1902.5
GTEX-17MF6-0326-SM-7EPH5 40-49 years, male 1865.0
GTEX-11GSP-0926-SM-9WYSG 60-69 years, female 1862.9
GTEX-1I6K6-0826-SM-ARL7Z 30-39 years, male 1860.3
GTEX-145MN-1926-SM-5SIAI 30-39 years, male 1848.6
GTEX-Y8E4-1626-SM-5S2MW 40-49 years, male 1847.8
GTEX-1JN6P-2426-SM-ARL99 60-69 years, male 1845.9
GTEX-1NHNU-0926-SM-E9J2T 50-59 years, male 1843.2
GTEX-14753-2426-SM-5LU8U 60-69 years, male 1842.1
GTEX-11DZ1-0326-SM-5N9BN 50-59 years, male 1838.4
GTEX-11P7K-0726-SM-5EGKX 30-39 years, male 1838.0
GTEX-XMD2-0926-SM-4WWEF 60-69 years, female 1833.5
GTEX-132Q8-1426-SM-5EGK7 60-69 years, male 1816.3
GTEX-1GMR2-1926-SM-9MQLZ 50-59 years, male 1808.6
GTEX-1QPFJ-2026-SM-EVYBE 30-39 years, female 1800.9
GTEX-ZLWG-1926-SM-DO92J 50-59 years, female 1787.2
GTEX-ZVT4-1026-SM-57WC4 50-59 years, female 1774.4
GTEX-14BMV-0626-SM-793AU 50-59 years, male 1772.6
GTEX-R3RS-0626-SM-48FE1 40-49 years, female 1768.6
GTEX-X62O-0526-SM-EWRMA 50-59 years, male 1768.6
GTEX-XOT4-0726-SM-4GIAW 60-69 years, female 1751.6
GTEX-1RQEC-2026-SM-DTXDM 60-69 years, male 1736.2
GTEX-1LNCM-0226-SM-DIPF4 50-59 years, female 1720.5
GTEX-1PDJ9-1126-SM-EXUSW 20-29 years, male 1719.5
GTEX-ZC5H-2626-SM-5J2MG 40-49 years, female 1715.2
GTEX-1GPI6-0626-SM-7RHHJ 60-69 years, male 1712.8
GTEX-11P82-1326-SM-5HL62 20-29 years, male 1708.1
GTEX-139T8-0826-SM-5L3DE 60-69 years, male 1707.6
GTEX-1P4AB-1826-SM-E76PU 50-59 years, male 1703.2
GTEX-11WQK-2426-SM-5GU5C 50-59 years, male 1703.0
GTEX-ZTX8-1226-SM-4YCE9 20-29 years, male 1688.2
GTEX-SE5C-2126-SM-4BRUJ 40-49 years, female 1678.2
GTEX-1R9PN-0326-SM-DTX85 40-49 years, female 1672.9
GTEX-ZXES-0826-SM-5E43C 30-39 years, female 1669.3
GTEX-1R7EU-1226-SM-E8VMR 60-69 years, male 1668.5
GTEX-13NZB-2126-SM-5MR4Y 30-39 years, male 1668.0
GTEX-1GN2E-2226-SM-9WG6J 60-69 years, male 1667.0
GTEX-1CB4E-0226-SM-79OLW 60-69 years, male 1664.0
GTEX-1JMLX-2026-SM-CMKGN 50-59 years, male 1660.3
GTEX-1E2YA-2726-SM-7IGPW 50-59 years, male 1659.1
GTEX-15UF6-0126-SM-6PAMB 70-79 years, female 1658.4
GTEX-12WSK-2226-SM-5GCO5 40-49 years, female 1656.7
GTEX-13W46-0826-SM-5LU3H 50-59 years, male 1656.3
GTEX-1B8KE-1226-SM-73KWK 50-59 years, male 1652.0
GTEX-117YX-1426-SM-5H12H 50-59 years, male 1650.7
GTEX-1M4P7-2626-SM-E9U5F 60-69 years, male 1645.2
GTEX-11EQ9-1826-SM-5Q5AJ 30-39 years, male 1645.0
GTEX-1QEPI-0926-SM-DTXF3 60-69 years, female 1643.0
GTEX-1LVAM-0926-SM-E9TJ2 50-59 years, female 1639.7
GTEX-1HSMO-0826-SM-ADEIV 60-69 years, male 1637.3
GTEX-14PHY-1926-SM-5YY95 60-69 years, female 1637.1
GTEX-S4Q7-1126-SM-4AD6R 20-29 years, male 1623.3
GTEX-13NZ9-1026-SM-5MR5K 50-59 years, male 1622.6
GTEX-1211K-1926-SM-5EQLB 60-69 years, female 1616.4
GTEX-1MCYP-0126-SM-E6CIS 20-29 years, female 1612.4
GTEX-XGQ4-0926-SM-4AT4U 50-59 years, male 1611.8
GTEX-TMMY-0726-SM-33HBE 40-49 years, female 1608.0
GTEX-17EUY-1926-SM-7DUF6 20-29 years, male 1606.2
GTEX-17F97-2526-SM-7EWDV 50-59 years, male 1605.1
GTEX-18A66-1726-SM-7LG5N 60-69 years, male 1603.2
GTEX-W5X1-2326-SM-3GIL6 40-49 years, female 1599.2
GTEX-18A7A-0726-SM-7LTAI 50-59 years, female 1585.8
GTEX-1H1ZS-0126-SM-9YFKQ 70-79 years, male 1583.2
GTEX-1HSGN-1526-SM-A9SMO 40-49 years, female 1575.9
GTEX-17F9E-2526-SM-7MGW2 50-59 years, male 1575.2
GTEX-1HT8W-2226-SM-CGQEC 30-39 years, male 1571.4
GTEX-ZWKS-2826-SM-5NQ74 30-39 years, male 1567.1
GTEX-13NZ8-0126-SM-5IJCT 60-69 years, female 1565.2
GTEX-139TU-0626-SM-5KM3X 60-69 years, male 1563.9
GTEX-17F96-2426-SM-7IGLN 70-79 years, male 1561.6
GTEX-Y114-2026-SM-4TT7L 50-59 years, female 1560.0
GTEX-16BQI-1026-SM-7KUEA 30-39 years, female 1559.8
GTEX-12KS4-0126-SM-5Q5A5 30-39 years, male 1559.7
GTEX-U412-1826-SM-4DXTJ 60-69 years, male 1559.3
GTEX-X15G-1626-SM-3NMB3 50-59 years, female 1558.1
GTEX-13O3Q-2226-SM-5KM4O 50-59 years, male 1555.7
GTEX-T6MO-0326-SM-32QOK 40-49 years, female 1553.0
GTEX-VUSG-2226-SM-4KKZO 50-59 years, male 1544.7
GTEX-1RLM8-2226-SM-EVYD1 50-59 years, male 1544.7
GTEX-QDT8-0626-SM-48TYW 30-39 years, female 1543.8
GTEX-1F5PL-1026-SM-7RHI1 40-49 years, female 1538.2
GTEX-Y3IK-2326-SM-4WWDT 50-59 years, female 1538.1
GTEX-13PVQ-1026-SM-5KM3M 50-59 years, male 1533.7
GTEX-15RJE-2626-SM-7KFT1 40-49 years, male 1530.6
GTEX-13W3W-1226-SM-5LU4H 60-69 years, female 1529.4
GTEX-QVJO-1826-SM-447C9 60-69 years, female 1522.4
GTEX-132AR-0826-SM-5EGK6 50-59 years, female 1521.7
GTEX-ZLV1-1426-SM-DO92Z 60-69 years, female 1520.6
GTEX-UTHO-1026-SM-3GAF7 60-69 years, male 1518.6
GTEX-15EOM-5019-SM-793DK 20-29 years, female 1514.7
GTEX-Y9LG-1426-SM-5IFJZ 30-39 years, male 1512.3
GTEX-1HCU9-0326-SM-9WYSC 20-29 years, male 1509.1
GTEX-139T6-1626-SM-5PNYZ 50-59 years, male 1505.8
GTEX-13O61-1826-SM-5KM4I 60-69 years, male 1501.6
GTEX-15ER7-1626-SM-6PAMZ 20-29 years, female 1489.6
GTEX-Y8LW-1626-SM-5IFHX 50-59 years, female 1486.8
GTEX-1GN1W-1926-SM-7P8TH 50-59 years, female 1486.6
GTEX-11DXY-2326-SM-5GICW 60-69 years, male 1485.5
GTEX-RU72-0626-SM-46MUI 50-59 years, female 1482.3
GTEX-1GN1U-0526-SM-9KNTT 50-59 years, female 1479.9
GTEX-S341-1526-SM-4AD6K 40-49 years, female 1478.1
GTEX-S4P3-1326-SM-4AD6V 50-59 years, female 1476.7
GTEX-13VXU-2826-SM-664MA 50-59 years, male 1473.7
GTEX-1LSNM-1326-SM-E9TJ1 50-59 years, male 1472.6
GTEX-1C6VS-0726-SM-7EPHF 60-69 years, male 1470.7
GTEX-S4UY-0726-SM-4AD6X 40-49 years, female 1470.4
GTEX-1I4MK-1626-SM-CM2TJ 50-59 years, female 1465.9
GTEX-1314G-1226-SM-5BC6D 30-39 years, male 1463.5
GTEX-WI4N-1426-SM-3LK7H 40-49 years, female 1460.8
GTEX-YFCO-1826-SM-4W1YH 40-49 years, male 1460.5
GTEX-15FZZ-0726-SM-7KUFZ 30-39 years, female 1460.4
GTEX-1I1GP-0426-SM-COH3N 50-59 years, male 1458.3
GTEX-11I78-2226-SM-5PNYA 50-59 years, female 1450.2
GTEX-1NV8Z-2826-SM-E8VME 60-69 years, male 1449.3
GTEX-11NV4-2026-SM-5N9DG 60-69 years, male 1448.9
GTEX-1HCU7-1026-SM-ADEIP 50-59 years, male 1444.8
GTEX-ZDTT-2126-SM-DKPOM 60-69 years, male 1443.3
GTEX-U3ZN-1926-SM-4DXSG 30-39 years, female 1442.3
GTEX-WOFL-0826-SM-3MJG1 60-69 years, male 1442.3
GTEX-1H23P-0726-SM-9WG7K 60-69 years, male 1440.5
GTEX-1JN1M-3026-SM-CMKGK 60-69 years, female 1437.9
GTEX-1L5NE-2126-SM-CY8IH 50-59 years, male 1437.9
GTEX-13N11-1726-SM-5J1OJ 50-59 years, female 1437.0
GTEX-ZEX8-2226-SM-57WC6 50-59 years, male 1433.9
GTEX-1JMOU-2026-SM-CMKGU 60-69 years, female 1430.6
GTEX-1B8KZ-1526-SM-7DUG7 50-59 years, male 1428.5
GTEX-13O3P-0826-SM-5L3DH 50-59 years, male 1427.8
GTEX-ZZ64-1226-SM-5E43R 20-29 years, male 1426.8
GTEX-1LSVX-2426-SM-E6CJX 60-69 years, male 1426.5
GTEX-11OF3-1926-SM-59889 60-69 years, male 1423.6
GTEX-X4EP-2926-SM-3P5YQ 60-69 years, female 1422.3
GTEX-YB5E-1726-SM-5IFJ3 40-49 years, male 1417.8
GTEX-15SHW-1326-SM-6PAL8 60-69 years, male 1417.6
GTEX-11EMC-2026-SM-5A5JV 60-69 years, female 1415.1
GTEX-ZV6S-1826-SM-5NQ8D 40-49 years, female 1414.2
GTEX-1KD4Q-2326-SM-D4P3M 40-49 years, male 1413.9
GTEX-ZT9W-2026-SM-51MRA 50-59 years, male 1413.6
GTEX-13QIC-2326-SM-5LU5N 60-69 years, female 1410.6
GTEX-17JCI-0726-SM-7EPH1 60-69 years, female 1405.9
GTEX-1R46S-2526-SM-E8VN2 60-69 years, female 1405.2
GTEX-1BAJH-0826-SM-7EWEF 70-79 years, male 1400.8
GTEX-Y3I4-1526-SM-4TT7K 50-59 years, male 1400.8
GTEX-1NUQO-2226-SM-E9U68 20-29 years, female 1397.2
GTEX-1RAZS-1226-SM-E8VMT 50-59 years, male 1396.7
GTEX-1GF9U-1726-SM-7MGY5 40-49 years, female 1396.1
GTEX-1R9PM-1826-SM-EVYBH 20-29 years, male 1395.8
GTEX-1K9T9-1426-SM-DIPFQ 50-59 years, female 1395.6
GTEX-1IOXB-1926-SM-ARL8E 50-59 years, male 1391.6
GTEX-18QFQ-0826-SM-718AX 30-39 years, male 1389.5
GTEX-13FTX-1126-SM-5N9EN 20-29 years, female 1387.9
GTEX-183FY-1126-SM-7DHLJ 20-29 years, male 1387.4
GTEX-15UF7-0726-SM-6M46D 40-49 years, male 1387.1
GTEX-ZY6K-1626-SM-5GZWV 50-59 years, male 1377.9
GTEX-ZVTK-0326-SM-51MRR 20-29 years, male 1376.6
GTEX-ZA64-1526-SM-5CVMD 20-29 years, male 1374.5
GTEX-1IKOH-2326-SM-CM2TW 60-69 years, female 1374.5
GTEX-1JKYR-0926-SM-CMKGJ 20-29 years, male 1374.1
GTEX-ZQUD-1926-SM-51MSA 30-39 years, male 1373.8
GTEX-ZV7C-1826-SM-5NQ83 50-59 years, male 1373.5
GTEX-XUW1-2326-SM-4BOO5 50-59 years, female 1373.3
GTEX-T2YK-2226-SM-32QPT 50-59 years, male 1371.8
GTEX-1PPH7-0826-SM-E8VNX 40-49 years, male 1371.2
GTEX-1MA7W-1026-SM-DKPQK 20-29 years, female 1370.4
GTEX-18D9A-1526-SM-7LG4J 30-39 years, female 1370.3
GTEX-1HUB1-1626-SM-CM2SL 60-69 years, male 1369.4
GTEX-17HG3-0126-SM-7IGNH 30-39 years, female 1364.1
GTEX-1H1CY-2226-SM-9WG7E 60-69 years, female 1363.2
GTEX-WFG8-2026-SM-EXOHO 20-29 years, male 1360.4
GTEX-1AX8Z-0926-SM-731AW 60-69 years, male 1356.3
GTEX-WY7C-2726-SM-3NB3P 50-59 years, male 1351.7
GTEX-TKQ1-0226-SM-33HB5 30-39 years, male 1349.0
GTEX-1ICG6-1326-SM-ACKWR 70-79 years, female 1347.6
GTEX-12BJ1-1826-SM-5HL9N 60-69 years, male 1344.1
GTEX-145MO-0826-SM-5NQBL 60-69 years, male 1343.5
GTEX-XUZC-1626-SM-4BRVP 30-39 years, female 1338.1
GTEX-1LGRB-1826-SM-CNPQL 50-59 years, female 1337.4
GTEX-X261-0626-SM-3NMD9 50-59 years, male 1336.3
GTEX-1B933-2526-SM-7IGO5 50-59 years, female 1332.7
GTEX-WXYG-2226-SM-4E3IM 50-59 years, female 1330.9
GTEX-1GMRU-0826-SM-9WYT7 50-59 years, male 1329.0
GTEX-1MJK3-1126-SM-E9J3F 20-29 years, male 1326.9
GTEX-1CAMR-1426-SM-793BO 20-29 years, male 1324.2
GTEX-ZAK1-1326-SM-EVYAS 50-59 years, female 1322.9
GTEX-1C6VQ-0426-SM-79OOX 50-59 years, male 1320.5
GTEX-14PJ4-2126-SM-6ETZJ 60-69 years, male 1319.4
GTEX-XMK1-1126-SM-4IHJ8 40-49 years, male 1318.5
GTEX-1AX9J-1126-SM-731B7 60-69 years, male 1318.3
GTEX-1HR98-0426-SM-COH36 60-69 years, male 1318.3
GTEX-X4XY-0926-SM-4E3JD 60-69 years, male 1317.5
GTEX-UJHI-1426-SM-3DB9C 50-59 years, female 1316.3
GTEX-14E7W-0826-SM-62LEJ 70-79 years, male 1313.8
GTEX-1A3MX-2726-SM-718B6 60-69 years, male 1309.6
GTEX-1QCLZ-2326-SM-DTXDO 60-69 years, female 1308.7
GTEX-XV7Q-2326-SM-4BRVZ 40-49 years, female 1302.5
GTEX-1HBPM-0126-SM-ARL9E 60-69 years, female 1302.0
GTEX-XQ8I-2426-SM-4WAXY 50-59 years, male 1298.9
GTEX-1313W-0826-SM-5EQ4T 50-59 years, female 1298.5
GTEX-15ETS-0626-SM-7KUMX 40-49 years, female 1297.3
GTEX-ZU9S-1926-SM-5NQBP 30-39 years, male 1296.9
GTEX-1LBAC-0926-SM-CXKY9 20-29 years, male 1295.0
GTEX-1H11D-1526-SM-9MQJY 40-49 years, male 1293.1
GTEX-VJWN-0726-SM-3GIJ8 50-59 years, female 1288.6
GTEX-1IGQW-0926-SM-ADEH6 60-69 years, male 1288.2
GTEX-ZYFC-0826-SM-5E44K 50-59 years, male 1287.3
GTEX-13PVR-2226-SM-7DHKP 60-69 years, female 1281.8
GTEX-17KNJ-2026-SM-7LG53 50-59 years, male 1280.4
GTEX-169BO-1126-SM-7MGWN 50-59 years, male 1277.6
GTEX-1QP9N-1826-SM-E8VMP 30-39 years, male 1277.4
GTEX-11O72-2126-SM-5N9FO 40-49 years, male 1274.9
GTEX-17F98-0526-SM-79OK5 40-49 years, female 1272.0
GTEX-Y5V5-2126-SM-4WWFO 60-69 years, female 1272.0
GTEX-S7SE-0826-SM-4AT4D 50-59 years, male 1267.8
GTEX-ZPIC-1126-SM-5BC7F 40-49 years, female 1262.9
GTEX-1QP28-1226-SM-E9J2M 50-59 years, female 1261.9
GTEX-1GF9X-1026-SM-ACKX2 40-49 years, female 1261.8
GTEX-1N5O9-1126-SM-DTXEQ 60-69 years, male 1260.0
GTEX-144GM-0926-SM-5O994 20-29 years, male 1258.8
GTEX-1KANA-2026-SM-DIPFB 20-29 years, male 1258.6
GTEX-1RAZQ-1226-SM-EWRNL 30-39 years, male 1255.9
GTEX-ZQG8-0726-SM-5P9H9 60-69 years, female 1252.6
GTEX-17GQL-0326-SM-7LG5U 60-69 years, male 1242.8
GTEX-1J8QM-2026-SM-ARZMW 60-69 years, female 1242.1
GTEX-YFC4-1426-SM-5IFJG 40-49 years, female 1241.8
GTEX-1OKEX-0826-SM-E9J2B 60-69 years, male 1241.1
GTEX-17MFQ-0926-SM-7LG4S 20-29 years, male 1240.9
GTEX-1LVAN-1326-SM-CNPQE 50-59 years, female 1237.9
GTEX-ZZPU-0626-SM-5E43T 50-59 years, female 1236.1
GTEX-ZVZQ-0826-SM-51MRF 60-69 years, female 1232.9
GTEX-18A6Q-0926-SM-7LG4N 60-69 years, male 1232.1
GTEX-T5JW-2026-SM-4DM63 20-29 years, female 1227.5
GTEX-132NY-0826-SM-5K7Y7 60-69 years, male 1226.0
GTEX-1KANC-1426-SM-CYPT9 50-59 years, female 1225.7
GTEX-U8XE-0826-SM-4E3J1 30-39 years, male 1224.7
GTEX-13N1W-0626-SM-5MR4U 70-79 years, male 1222.4
GTEX-ZYT6-0126-SM-5E45J 30-39 years, male 1221.9
GTEX-1KD5A-1926-SM-DKPQA 50-59 years, male 1221.1
GTEX-WYJK-1326-SM-3NB2T 50-59 years, male 1220.9
GTEX-1I1GU-1026-SM-ADEHJ 40-49 years, male 1217.7
GTEX-Z9EW-1526-SM-EZ6LU 40-49 years, male 1212.2
GTEX-1KXAM-1026-SM-CY8IA 60-69 years, male 1208.1
GTEX-147F4-2826-SM-5NQBN 50-59 years, male 1207.5
GTEX-Q2AG-0326-SM-48U1O 40-49 years, female 1206.8
GTEX-XQ3S-1326-SM-4BOPQ 20-29 years, male 1206.7
GTEX-111YS-1926-SM-5GICC 60-69 years, male 1206.0
GTEX-13FTW-1426-SM-5LZWZ 40-49 years, male 1203.4
GTEX-1LG7Z-0726-SM-CXKYD 30-39 years, male 1202.5
GTEX-1GZ2Q-2626-SM-7MXV9 40-49 years, male 1199.2
GTEX-1M5QR-2526-SM-E9U5P 40-49 years, male 1198.9
GTEX-1LC47-1226-SM-D4P44 60-69 years, male 1195.1
GTEX-1B97I-0426-SM-79OL7 40-49 years, male 1191.4
GTEX-11DXZ-1926-SM-5GZZL 50-59 years, male 1191.0
GTEX-1QCLY-1626-SM-DTXDW 30-39 years, male 1190.2
GTEX-1GMR8-0726-SM-9KNVI 50-59 years, female 1187.1
GTEX-146FH-0826-SM-5SI8T 50-59 years, female 1186.9
GTEX-1122O-1226-SM-5H113 60-69 years, female 1184.4
GTEX-1JK1U-1826-SM-ARL8W 60-69 years, male 1183.4
GTEX-WYVS-1726-SM-3NMAY 40-49 years, female 1183.2
GTEX-13OW8-0226-SM-5K7UP 60-69 years, male 1175.9
GTEX-1GZHY-0726-SM-9WG6B 50-59 years, female 1171.6
GTEX-YECK-0726-SM-EZ6LV 60-69 years, male 1171.1
GTEX-S32W-2026-SM-4AD6E 50-59 years, female 1170.9
GTEX-1C6WA-2426-SM-7SB86 60-69 years, male 1167.7
GTEX-1GZ4I-2826-SM-9MQK5 50-59 years, male 1167.0
GTEX-1HCU8-0126-SM-ADEHH 60-69 years, female 1165.5
GTEX-11LCK-2426-SM-5HL5F 30-39 years, male 1164.8
GTEX-11GSO-1926-SM-5A5K3 60-69 years, male 1164.4
GTEX-XBED-1626-SM-47JYN 60-69 years, male 1162.3
GTEX-13QJ3-0826-SM-7DHKK 50-59 years, male 1161.1
GTEX-13FTY-2226-SM-5J1ND 40-49 years, female 1160.8
GTEX-REY6-2426-SM-48FF5 60-69 years, male 1159.3
GTEX-1B932-0826-SM-73KXG 40-49 years, female 1157.5
GTEX-13CF3-2126-SM-5IFJP 60-69 years, female 1156.4
GTEX-1C64O-0726-SM-7DUFU 60-69 years, male 1155.4
GTEX-YB5K-1626-SM-5IFIN 40-49 years, female 1153.4
GTEX-14B4R-1226-SM-5TDDT 30-39 years, male 1153.0
GTEX-RWS6-1926-SM-47JXY 60-69 years, female 1150.4
GTEX-1AX9I-0726-SM-73KWV 60-69 years, male 1150.0
GTEX-12WSN-1326-SM-5GCNT 40-49 years, male 1147.8
GTEX-TML8-1226-SM-32QON 40-49 years, female 1145.7
GTEX-T5JC-2126-SM-32PMO 20-29 years, male 1141.5
GTEX-13CF2-2026-SM-5K7VI 60-69 years, male 1137.3
GTEX-ZDXO-0126-SM-5S2ND 60-69 years, male 1136.0
GTEX-1CB4G-2326-SM-79OOI 60-69 years, male 1130.1
GTEX-13OW5-2226-SM-5L3HC 60-69 years, male 1125.1
GTEX-PSDG-1626-SM-48TCQ 50-59 years, male 1122.3
GTEX-ZF29-1926-SM-5S2P1 60-69 years, female 1120.4
GTEX-11NSD-0926-SM-5N9DR 20-29 years, male 1116.1
GTEX-12WSM-1726-SM-5BC6J 60-69 years, male 1113.2
GTEX-1J8EW-2626-SM-CL53E 60-69 years, female 1112.7
GTEX-14A5I-0726-SM-5TDEB 50-59 years, female 1110.8
GTEX-Y5V6-2126-SM-4WWFX 60-69 years, male 1101.6
GTEX-R55D-0826-SM-48FEA 50-59 years, male 1098.1
GTEX-1I1HK-2426-SM-ADEHX 60-69 years, male 1096.4
GTEX-S33H-0326-SM-4AD6N 30-39 years, male 1094.3
GTEX-16YQH-2826-SM-6PAMY 30-39 years, male 1091.3
GTEX-1HBPN-2326-SM-9WPPU 50-59 years, male 1088.5
GTEX-1GMR3-2626-SM-7RHHG 40-49 years, male 1087.6
GTEX-11P81-1926-SM-5BC53 30-39 years, female 1086.0
GTEX-1EKGG-2626-SM-7IGPY 60-69 years, male 1083.5
GTEX-1H4P4-2226-SM-9MQKQ 50-59 years, male 1082.3
GTEX-WYBS-0926-SM-3NM94 60-69 years, female 1082.2
GTEX-QEG5-0726-SM-D4P1T 20-29 years, male 1080.1
GTEX-1F75B-0626-SM-7SB8A 50-59 years, male 1077.8
GTEX-11EI6-0626-SM-5985T 60-69 years, male 1076.9
GTEX-QMRM-1626-SM-D4P1U 50-59 years, male 1074.6
GTEX-U3ZH-1426-SM-4DXSR 30-39 years, male 1074.5
GTEX-1EN7A-1426-SM-7PBY4 40-49 years, male 1074.0
GTEX-1HKZK-1826-SM-ADEJ2 40-49 years, male 1066.1
GTEX-UPK5-2326-SM-3P5Z8 40-49 years, male 1065.9
GTEX-Y111-2026-SM-4SOJA 50-59 years, male 1063.8
GTEX-1H1E6-0926-SM-9YFLT 30-39 years, male 1063.7
GTEX-11ONC-2126-SM-5HL6E 60-69 years, male 1055.7
GTEX-1HFI7-0126-SM-CGQFQ 50-59 years, female 1050.5
GTEX-1QW4Y-1026-SM-DTXE2 30-39 years, male 1048.5
GTEX-ZTPG-2826-SM-57WGA 20-29 years, female 1038.9
GTEX-1GF9V-2526-SM-7SB8K 60-69 years, male 1037.9
GTEX-18A7B-2626-SM-7LG55 70-79 years, male 1037.6
GTEX-1JMPY-0526-SM-CL54O 30-39 years, male 1034.8
GTEX-RUSQ-2026-SM-4GIAK 50-59 years, male 1032.2
GTEX-ZUA1-1526-SM-59HLS 40-49 years, male 1031.0
GTEX-WFON-1826-SM-3GILG 40-49 years, male 1027.9
GTEX-18465-2026-SM-718AP 50-59 years, male 1027.2
GTEX-1A3MV-1626-SM-731C1 30-39 years, male 1026.6
GTEX-11DXW-0626-SM-5N9ER 40-49 years, male 1022.9
GTEX-1IDJU-1826-SM-CMKHV 60-69 years, female 1017.9
GTEX-1IKJJ-2326-SM-COH3U 60-69 years, male 1016.2
GTEX-ZDYS-1126-SM-5K7UB 50-59 years, male 1013.7
GTEX-1J8Q2-2726-SM-A9G2X 60-69 years, male 1013.4
GTEX-11ZTT-2326-SM-5EQLG 60-69 years, female 1011.3
GTEX-ZF2S-2026-SM-5E461 50-59 years, female 1009.7
GTEX-1C475-1226-SM-7SB72 40-49 years, female 1009.2
GTEX-117XS-1926-SM-5GICO 60-69 years, male 1007.4
GTEX-17HHE-1426-SM-7EPH4 50-59 years, male 1004.9
GTEX-1MA7X-1626-SM-E9U5B 60-69 years, male 993.3
GTEX-1F6I4-2526-SM-7SB8F 60-69 years, male 985.7
GTEX-1H3VY-0926-SM-ACKXE 50-59 years, male 984.1
GTEX-WRHU-0326-SM-3MJFY 50-59 years, female 980.5
GTEX-11ZUS-0826-SM-5FQUY 30-39 years, male 978.8
GTEX-1J8Q3-1326-SM-CMKI1 60-69 years, male 975.5
GTEX-17HGU-1326-SM-79OKB 50-59 years, male 963.3
GTEX-1K2DA-1726-SM-CGQGS 50-59 years, male 962.3
GTEX-144GL-2026-SM-5LU3O 50-59 years, male 961.8
GTEX-1269C-2426-SM-5FQSN 60-69 years, female 958.2
GTEX-145ME-1526-SM-5Q5F2 40-49 years, female 954.8
GTEX-1EWIQ-1726-SM-7SB7T 70-79 years, female 946.7
GTEX-1HR9M-2426-SM-ACKXI 60-69 years, male 945.7
GTEX-V955-2026-SM-3GAFA 60-69 years, male 944.7
GTEX-17EVP-0226-SM-79OND 40-49 years, male 943.4
GTEX-1I6K7-1026-SM-A9SLK 40-49 years, male 935.7
GTEX-14E6E-1326-SM-5S2NR 30-39 years, male 932.6
GTEX-1JKYN-0726-SM-ARZMY 30-39 years, male 912.4
GTEX-11GS4-2126-SM-5A5KR 60-69 years, male 906.5
GTEX-1HSEH-2026-SM-ADEHN 60-69 years, male 896.5
GTEX-1I1GV-2426-SM-CGQFM 60-69 years, male 895.4
GTEX-WHSB-1926-SM-EXOHH 50-59 years, male 889.8
GTEX-1B97J-0426-SM-79OLQ 50-59 years, female 870.2
GTEX-17HHY-0926-SM-793C1 50-59 years, male 868.7
GTEX-1F75A-1826-SM-7SB8G 50-59 years, male 854.8
GTEX-1B8L1-2426-SM-9WYTE 60-69 years, male 852.1
GTEX-14DAR-1326-SM-7DUEG 50-59 years, male 846.2
GTEX-YEC3-1026-SM-5IFI5 50-59 years, male 843.9
GTEX-1LSNL-2826-SM-E9U5L 50-59 years, male 833.1
GTEX-1IY9M-2726-SM-CMKG5 60-69 years, male 829.9
GTEX-R53T-1526-SM-48FEK 50-59 years, female 823.5
GTEX-1EU9M-2826-SM-7EWFH 60-69 years, male 820.3
GTEX-YJ8O-2226-SM-5IFHW 40-49 years, female 788.8
GTEX-1HSKV-2026-SM-CMKGX 60-69 years, male 788.3
GTEX-11TUW-1826-SM-5BC5D 60-69 years, male 754.5
GTEX-TKQ2-1826-SM-33HB2 50-59 years, male 722.4
GTEX-T6MN-0726-SM-32PML 50-59 years, male 719.8
Show allShow less

BREAST - FANTOM5 CAGEi

RNA expression in human tissues obtained through Cap Analysis of Gene Expression (CAGE) generated by the FANTOM5 project are reported as Scaled Tags Per Million.

Max subtype Scaled Tags Per Millioni

Max subtype Scaled Tags Per Million is the value for the subtype with the largest average Scaled Tags Per Million across the subtype samples.

477.6
FANTOM5 sample id Sample description Scaled Tags Per Million
Breast
Scaled Tags Per Million: 477.6
FF:10080-102A8 77 years, female 477.6

Contact

  • NEWS ARTICLES
  • PRESS ROOM

The Project

  • INTRODUCTION
  • ORGANIZATION
  • PUBLICATIONS

The Human Protein Atlas

  • DOWNLOADABLE DATA
  • LICENCE & CITATION
  • HELP & FAQ
The Human Protein Atlas project is funded
by the Knut & Alice Wallenberg Foundation.


contact@proteinatlas.org