We use cookies to enhance the usability of our website. If you continue, we'll assume that you are happy to receive all cookies. More information. Don't show this again.
SEM1
HPA
RESOURCES
  • TISSUE
  • BRAIN
  • SINGLE CELL
  • SUBCELLULAR
  • CANCER
  • BLOOD
  • CELL LINE
  • STRUCTURE & INTERACTION
ABOUT
  • INTRODUCTION
  • HISTORY
  • ORGANIZATION
  • PUBLICATIONS
  • ANTIBODY SUBMISSION
  • ANTIBODY AVAILABILITY
  • ACKNOWLEDGMENTS
  • CONTACT
NEWS
  • NEWS ARTICLES
  • PRESS ROOM
LEARN
  • DICTIONARY
  • PROTEIN CLASSES
  • PROTEIN EVIDENCE
  • METHODS
  • EDUCATIONAL VIDEOS
DATA
  • DOWNLOADABLE DATA
  • PUBLICATION DATA
  • RELEASE HISTORY
HELP
  • ANTIBODY VALIDATION
  • ASSAYS & ANNOTATION
  • DISCLAIMER
  • HELP & FAQ
  • PRIVACY STATEMENT
  • LICENCE & CITATION
Fields »
Search result

Field
Term
Gene name
Class
Subclass
Class
Keyword
Chromosome
External id
Tissue
Cell type
Expression
Antibody panel
Tissue
Main location
Patient ID
Annotation
Tissue
Category
Tau score
Cluster
Reliability
Brain region
Category
Tau score
Brain region
Category
Tau score
Brain region
Category
Tau score
Cluster
Reliability
Tissue
Cell type
Enrichment
Cell type
Category
Tau score
Cell type
Category
Tau score
Cell type
Category
Tau score
Cell lineage
Category
Tau score
Cluster
Cluster
Location
Searches
Location
Cell line
Class
Type
Phase
Reliability
Cancer
Prognosis
Cancer
Category
Cancer
Category
Tau score
Cluster
Variants
Interacting gene (ensg_id)
Type
Number of interactions
Pathway
Category
Score
Score
Score
Validation
Validation
Validation
Validation
Antibodies
Data type
Column


  • SUMMARY

  • TISSUE

  • BRAIN

  • SINGLE CELL

  • SUBCELL

  • CANCER

  • BLOOD

  • CELL LINE

  • STRUCT & INT

  • SEM1
TISSUE PRIMARY DATA SALIVARY GLAND Show tissue menu
ADIPOSE TISSUE ADRENAL GLAND AMYGDALA APPENDIX BASAL GANGLIA BONE MARROW BREAST BRONCHUS CEREBELLUM CEREBRAL CORTEX CERVIX CHOROID PLEXUS COLON DUODENUM
ENDOMETRIUM EPIDIDYMIS ESOPHAGUS FALLOPIAN TUBE GALLBLADDER HEART MUSCLE HIPPOCAMPAL FORMATION HYPOTHALAMUS KIDNEY LIVER LUNG LYMPH NODE MIDBRAIN NASOPHARYNX
ORAL MUCOSA OVARY PANCREAS PARATHYROID GLAND PITUITARY GLAND PLACENTA PROSTATE RECTUM RETINA SALIVARY GLAND SEMINAL VESICLE SKELETAL MUSCLE SKIN SMALL INTESTINE
SMOOTH MUSCLE SOFT TISSUE SPINAL CORD SPLEEN STOMACH TESTIS THYMUS THYROID GLAND TONGUE TONSIL URINARY BLADDER VAGINA
ANTIBODIES
AND
VALIDATION
Dictionary
Salivary gland
Tissue proteome
Salivary gland
SALIVARY GLAND - Expression summary
Protein expression
Salivary glandi

On the top, protein expression in current human tissue, based on all annotated cell types, is reported with the units not detected (n), low (l), medium (m) and high (h). Underneath, protein expression in each annotated cell type are reported using the same units.

Protein expression data is based on knowledge-based annotation. For genes where more than one antibody has been used, a collective score is set.

If knowledge-based annotation could not be performed for a gene, no data is displayed here. View antibody staining data further down this page.

h
m
l
n
Glandular cells: High
RNA expressioni

A summary of mRNA expression data available for current tissue based on several datasets. The mRNA expression levels in human tissues are based on RNA-seq data generated by the Human Protein Atlas (HPA), Genotype-Tissue Expression (GTEx) portal and CAGE data generated by the FANTOM5 consortium. Consensus normalized expression levels for human tissues was created by combining the data from HPA and GTEx datasets.

The mRNA expression levels in pig are based on RNA-seq data generated by the Human Protein Atlas (HPA), and for mouse, HPA data and in situ hybridization generated by the Allen brain atlas are reported.

Scroll down to view mRNA expression data in more detail.
Consensus:138.9 nTPM
HPA:138.9 nTPM
GTEx:127.5 nTPM
FANTOM5:206.8 Scaled Tags Per Million

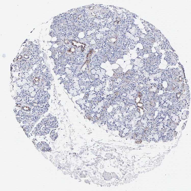
SALIVARY GLAND - Antibody stainingi

Antibody staining in the annotated cell types in the current human tissue is reported as not detected, low, medium, or high, based on conventional immunohistochemistry profiling in selected tissues. This score is based on the combination of the staining intensity and fraction of stained cells.

Each image is clickable and will lead to virtual microscopy that enables deeper exploration of all samples and also displays staining intensity scores, fraction scores and subcellular localization as well as patient and tissue information for each sample.

Antibody HPA020429
Glandular cells High


SALIVARY GLAND - HPA RNA-seqi

The RNA-seq details section shows detailed information about the individual samples used for the transcript profiling and results of the RNA-seq analysis.

Information about each individual sample is listed below, including gender, age, a tissue section image and estimated fractions of cell types. nTPM (normalized transcripts per million) values give a quantification of the gene abundance which is comparable between different genes and samples.
Average nTPMi

Max subtype nTPM is the value for the subtype with the largest average nTPM across the subtype samples.

138.9
overview
Female, age 68
Salivary gland sample 216
nTPM: 142.3
Cell types%
Glandular cells:
45

Ductal cells:
25

Adipocytes:
5

Other cell types:
25

overview
Male, age 60
Salivary gland sample 217
nTPM: 137.9
Cell types%
Glandular cells:
55

Ductal cells:
20

Adipocytes:
5

Endothelial cells:
5

Other cell types:
15

overview
Female, age 21
Salivary gland sample 218
nTPM: 136.5
Cell types%
Glandular cells:
55

Ductal cells:
15

Adipocytes:
5

Endothelial cells:
5

Other cell types:
20


SALIVARY GLAND - GTEx RNA-seqi

RNA-Seq data generated by the Genotype-Tissue Expression (GTEx) project from human tissues is reported as mean nTPM. More information can be found on the GTEx portal.

Distribution across the dataset is visualized with box plots, shown as median and 25th and 75th percentiles. Points are displayed as outliers if they are above or below 1.5 times the interquartile range. nTPM values of the individual samples are presented next to the box plot.
Max subtype nTPMi

Max subtype nTPM is the value for the subtype with the largest average nTPM across the subtype samples.

127.5
GTEx sample id Sample description nTPM
Minor Salivary Gland
Average nTPM: 127.5
Samples: 162

Max nTPM: 271.6
Min nTPM: 49.3
Std nTPM: 36.1
Median nTPM: 121.4
GTEX-11EMC-2526-SM-5PNVU 60-69 years, female 271.6
GTEX-ZLWG-2026-SM-DO11F 50-59 years, female 258.3
GTEX-ZF29-2126-SM-DNZYX 60-69 years, female 244.0
GTEX-ZAB5-2326-SM-5IJFR 50-59 years, male 234.3
GTEX-11ZTS-3026-SM-5EQM7 60-69 years, female 230.3
GTEX-12BJ1-2226-SM-5BC6G 60-69 years, male 224.0
GTEX-13QBU-2126-SM-5KLZN 40-49 years, female 213.3
GTEX-ZT9W-2126-SM-51MSF 50-59 years, male 207.5
GTEX-131XH-2626-SM-5GCNP 50-59 years, male 199.5
GTEX-ZLFU-2226-SM-EXUS7 40-49 years, male 186.1
GTEX-1192X-2926-SM-5N9BA 50-59 years, male 183.8
GTEX-ZA64-1726-SM-5CVMF 20-29 years, male 183.6
GTEX-Y5LM-1826-SM-4VDT9 40-49 years, female 179.3
GTEX-14E1K-2626-SM-664OJ 50-59 years, male 172.6
GTEX-11WQK-2926-SM-5EQKT 50-59 years, male 171.9
GTEX-1C6VR-0726-SM-7P8OV 60-69 years, male 166.6
GTEX-13OVI-2326-SM-5KM47 60-69 years, female 164.8
GTEX-1GPI7-0326-SM-7MKH6 20-29 years, male 163.3
GTEX-ZPU1-2326-SM-57WEP 40-49 years, male 160.5
GTEX-ZQG8-2126-SM-4YCF1 60-69 years, female 158.5
GTEX-14JIY-3026-SM-6EU1R 60-69 years, male 158.4
GTEX-1339X-2326-SM-5HL5B 40-49 years, male 158.1
GTEX-1R9K4-0526-SM-E76P1 60-69 years, male 156.8
GTEX-1GMR2-2026-SM-7MKHK 50-59 years, male 156.6
GTEX-ZP4G-1926-SM-57WDZ 20-29 years, female 156.1
GTEX-1117F-3026-SM-5GZYU 60-69 years, female 154.8
GTEX-1CB4I-2526-SM-7MKG1 50-59 years, male 154.1
GTEX-YF7O-2226-SM-5CVN8 50-59 years, male 153.8
GTEX-1HCU7-0126-SM-C1YR3 50-59 years, male 153.5
GTEX-1GN1W-2526-SM-9JGHX 50-59 years, female 151.2
GTEX-1KD5A-2226-SM-EV79U 50-59 years, male 149.6
GTEX-146FR-1226-SM-5SIA7 60-69 years, female 147.4
GTEX-X15G-2126-SM-4PQZR 50-59 years, female 147.1
GTEX-11P81-2026-SM-5P9GT 30-39 years, female 146.8
GTEX-131XF-2826-SM-5EGKH 60-69 years, male 146.6
GTEX-14PN4-2526-SM-686ZG 50-59 years, male 145.4
GTEX-WFJO-2026-SM-4LVM3 30-39 years, male 145.0
GTEX-1QP9N-2026-SM-DPRZT 30-39 years, male 144.6
GTEX-X261-2426-SM-4PQZU 50-59 years, male 142.9
GTEX-1C64O-0626-SM-7DHL1 60-69 years, male 142.6
GTEX-13OVL-2926-SM-5IFG3 50-59 years, male 142.2
GTEX-XMK1-2626-SM-4B65R 40-49 years, male 142.0
GTEX-11P82-0926-SM-5986X 20-29 years, male 141.1
GTEX-13111-2326-SM-5LZUQ 50-59 years, male 140.8
GTEX-1AYD5-2726-SM-7MXVG 50-59 years, male 140.4
GTEX-11NV4-1926-SM-5N9D4 60-69 years, male 138.5
GTEX-WYVS-2026-SM-4RGNS 40-49 years, female 138.4
GTEX-1POEN-2226-SM-DPRXV 30-39 years, female 137.5
GTEX-1R9K5-0626-SM-DPRZB 50-59 years, male 137.5
GTEX-11TUW-2426-SM-5EQKB 60-69 years, male 137.3
GTEX-1LVAO-2626-SM-EVR4S 60-69 years, male 137.1
GTEX-ZXG5-2826-SM-5NQ8T 60-69 years, male 137.0
GTEX-X3Y1-1926-SM-4PQZO 40-49 years, male 136.8
GTEX-15RJE-2726-SM-6LPJ1 40-49 years, male 136.4
GTEX-1LKK1-2926-SM-EVR4Z 50-59 years, female 136.2
GTEX-13VXT-1726-SM-5IFF5 20-29 years, female 136.0
GTEX-15EU6-2626-SM-7KUN4 50-59 years, male 135.6
GTEX-ZC5H-2726-SM-5KLZW 40-49 years, female 135.4
GTEX-13113-1526-SM-5EGHV 60-69 years, female 134.5
GTEX-1RNSC-2926-SM-EV79L 60-69 years, male 134.4
GTEX-1I6K7-0926-SM-A96SV 40-49 years, male 134.3
GTEX-1PPH8-1526-SM-E6CQO 20-29 years, male 133.3
GTEX-1IY9M-2926-SM-A96TH 60-69 years, male 133.1
GTEX-1LVA9-2526-SM-EVR5H 50-59 years, male 132.2
GTEX-18QFQ-0626-SM-718AW 30-39 years, male 131.8
GTEX-1J8QM-1826-SM-A96TA 60-69 years, female 130.9
GTEX-15SHV-2226-SM-6M464 60-69 years, male 130.2
GTEX-1JN1M-2426-SM-ARU93 60-69 years, female 129.7
GTEX-15CHC-1226-SM-686ZH 60-69 years, female 129.0
GTEX-14PJ3-1526-SM-664O9 50-59 years, male 127.4
GTEX-ZQUD-2126-SM-51MSY 30-39 years, male 127.0
GTEX-1HR9M-2526-SM-A9G3J 60-69 years, male 126.8
GTEX-1MCC2-2226-SM-EV7AJ 30-39 years, female 126.8
GTEX-1LSNL-2626-SM-EV7AT 50-59 years, male 126.0
GTEX-12WSM-1826-SM-5BC64 60-69 years, male 125.3
GTEX-11ZTT-2226-SM-5CVLP 60-69 years, female 124.1
GTEX-1MCQQ-2226-SM-DLHC4 60-69 years, male 124.1
GTEX-145ME-1626-SM-5RQI3 40-49 years, female 123.6
GTEX-1KANC-1326-SM-CYPT8 50-59 years, female 122.2
GTEX-1QCLZ-2526-SM-EXUST 60-69 years, female 122.2
GTEX-13O21-1926-SM-5MR39 50-59 years, male 121.7
GTEX-WY7C-1426-SM-4OND1 50-59 years, male 121.0
GTEX-11EQ9-2026-SM-5P9JI 30-39 years, male 120.7
GTEX-1445S-2926-SM-5O993 60-69 years, male 120.7
GTEX-111FC-2926-SM-5GZY7 60-69 years, male 119.8
GTEX-13CF2-2426-SM-5LZYL 60-69 years, male 119.1
GTEX-13NYB-2426-SM-5IFF4 40-49 years, male 119.0
GTEX-ZG7Y-2426-SM-DO11H 50-59 years, male 118.5
GTEX-12WSN-2226-SM-5DUXT 40-49 years, male 118.1
GTEX-1J8EW-2826-SM-A96T9 60-69 years, female 117.8
GTEX-18D9U-2226-SM-7KFTN 40-49 years, male 117.7
GTEX-1GTWX-2526-SM-9JGHG 60-69 years, male 117.2
GTEX-1IDJC-1626-SM-AHZ2R 50-59 years, male 116.6
GTEX-1OJC3-1026-SM-E6CQK 20-29 years, male 116.2
GTEX-Y111-2626-SM-4TT24 50-59 years, male 115.5
GTEX-1IOXB-2826-SM-AHZ32 50-59 years, male 115.5
GTEX-14B4R-1426-SM-5Q5CG 30-39 years, male 115.1
GTEX-14PJN-1726-SM-69LO7 30-39 years, male 114.4
GTEX-12WSL-2126-SM-5GCNG 50-59 years, male 113.7
GTEX-1HSEH-1826-SM-A96SA 60-69 years, male 113.4
GTEX-1HFI7-2426-SM-B2LXV 50-59 years, female 113.2
GTEX-1RAZA-0626-SM-EAZ4H 20-29 years, male 113.2
GTEX-1AMEY-1126-SM-72D79 30-39 years, female 113.0
GTEX-18A7B-2826-SM-7KFTK 70-79 years, male 112.9
GTEX-1R9PM-1726-SM-E8VOA 20-29 years, male 112.6
GTEX-1H4P4-2026-SM-9WPNV 50-59 years, male 112.5
GTEX-1I1HK-2526-SM-A96SM 60-69 years, male 112.5
GTEX-1314G-2026-SM-5LZUM 30-39 years, male 111.4
GTEX-18A67-0626-SM-7KFSL 50-59 years, male 110.4
GTEX-1HSGN-0626-SM-A9G2E 40-49 years, female 110.1
GTEX-1S83E-0626-SM-E9TKC 40-49 years, male 109.8
GTEX-17KNJ-2726-SM-7KFRE 50-59 years, male 109.3
GTEX-1MGNQ-1926-SM-DTX8L 40-49 years, male 109.1
GTEX-1GN1V-2926-SM-9JGI3 60-69 years, male 109.0
GTEX-13OVK-1826-SM-6PALE 40-49 years, male 108.8
GTEX-1B97J-2126-SM-79OL6 50-59 years, female 108.8
GTEX-178AV-1426-SM-6LLID 40-49 years, male 108.3
GTEX-1I4MK-1326-SM-B2LWT 50-59 years, female 107.9
GTEX-1IDJD-2526-SM-C1YSA 30-39 years, male 107.8
GTEX-1GF9X-0226-SM-7P8SM 40-49 years, female 107.3
GTEX-YB5K-1726-SM-5IFIZ 40-49 years, female 106.4
GTEX-1S82P-0726-SM-EVR4O 60-69 years, female 106.3
GTEX-1KD4Q-2526-SM-CXZKL 40-49 years, male 104.8
GTEX-1I6K6-0626-SM-ARU7J 30-39 years, male 104.5
GTEX-1J1R8-1826-SM-AHZ3B 40-49 years, male 103.8
GTEX-13QJC-2326-SM-5Q5CD 60-69 years, female 103.0
GTEX-1HSMQ-0926-SM-A96SI 50-59 years, male 102.6
GTEX-1QEPI-0626-SM-E76QE 60-69 years, female 102.4
GTEX-1JN6P-2526-SM-CNNPX 60-69 years, male 102.3
GTEX-1R9PO-2626-SM-E6CPU 60-69 years, female 102.1
GTEX-1LC47-2426-SM-DHXKK 60-69 years, male 101.4
GTEX-13JVG-2926-SM-5J2N9 60-69 years, male 101.0
GTEX-1A3MV-1726-SM-72D68 30-39 years, male 100.2
GTEX-XV7Q-2426-SM-4BRV8 40-49 years, female 99.8
GTEX-ZE7O-2926-SM-51MSG 50-59 years, female 99.2
GTEX-1PIEJ-0626-SM-DTX99 20-29 years, female 98.6
GTEX-1B8SF-1826-SM-731DJ 60-69 years, male 98.1
GTEX-1LBAC-0626-SM-D3L9T 20-29 years, male 97.4
GTEX-1QMI2-0426-SM-EWRND 60-69 years, male 95.4
GTEX-1C4CL-2026-SM-731EB 30-39 years, male 95.0
GTEX-1EH9U-2926-SM-7DHLX 60-69 years, male 94.5
GTEX-Y5V6-2226-SM-4VDTC 60-69 years, male 93.1
GTEX-13G51-2426-SM-5LZY8 60-69 years, male 92.2
GTEX-1NSGN-0626-SM-E9J35 50-59 years, male 91.1
GTEX-1AX9K-2126-SM-72D7K 50-59 years, male 90.8
GTEX-1IE54-0826-SM-AHZ2Z 40-49 years, female 88.4
GTEX-XGQ4-2626-SM-4AT6B 50-59 years, male 87.5
GTEX-1OJC4-3126-SM-EXOJK 50-59 years, female 86.6
GTEX-1GZ2Q-2526-SM-9KNVW 40-49 years, male 84.9
GTEX-X5EB-1726-SM-4E3J7 40-49 years, male 82.8
GTEX-17MFQ-1626-SM-7938Z 20-29 years, male 81.7
GTEX-1P4AB-2926-SM-EXOJR 50-59 years, male 81.6
GTEX-WOFM-2126-SM-4OOSR 20-29 years, male 80.0
GTEX-1AX8Z-0626-SM-731EH 60-69 years, male 79.9
GTEX-1B8KZ-1726-SM-73KV7 50-59 years, male 77.9
GTEX-1JKYR-0726-SM-AHZ3K 20-29 years, male 77.6
GTEX-1C64N-2926-SM-79OLM 50-59 years, male 74.0
GTEX-Y3I4-1926-SM-4TT8L 50-59 years, male 71.9
GTEX-1H1CY-2326-SM-9OSXW 60-69 years, female 71.6
GTEX-1B932-0626-SM-731EM 40-49 years, female 68.4
GTEX-WH7G-2126-SM-4M1XU 40-49 years, male 62.8
GTEX-WHSB-2326-SM-4M1XK 50-59 years, male 49.3
Show allShow less

SALIVARY GLAND - FANTOM5 CAGEi

RNA expression in human tissues obtained through Cap Analysis of Gene Expression (CAGE) generated by the FANTOM5 project are reported as Scaled Tags Per Million.

Max subtype Scaled Tags Per Millioni

Max subtype Scaled Tags Per Million is the value for the subtype with the largest average Scaled Tags Per Million across the subtype samples.

206.8
FANTOM5 sample id Sample description Scaled Tags Per Million
Parotid gland
Scaled Tags Per Million: 203.5
FF:10199-103F1 23 years, male 203.5
Salivary gland
Scaled Tags Per Million: 206.8
FF:10093-102C3 16-60 years, mixed 206.8
Submaxillary gland
Scaled Tags Per Million: 136.2
FF:10202-103F4 24 years, male 136.2

Contact

  • NEWS ARTICLES
  • PRESS ROOM

The Project

  • INTRODUCTION
  • ORGANIZATION
  • PUBLICATIONS

The Human Protein Atlas

  • DOWNLOADABLE DATA
  • LICENCE & CITATION
  • HELP & FAQ
The Human Protein Atlas project is funded
by the Knut & Alice Wallenberg Foundation.


contact@proteinatlas.org