We use cookies to enhance the usability of our website. If you continue, we'll assume that you are happy to receive all cookies. More information. Don't show this again.
SEM1
HPA
RESOURCES
  • TISSUE
  • BRAIN
  • SINGLE CELL
  • SUBCELLULAR
  • CANCER
  • BLOOD
  • CELL LINE
  • STRUCTURE & INTERACTION
ABOUT
  • INTRODUCTION
  • HISTORY
  • ORGANIZATION
  • PUBLICATIONS
  • ANTIBODY SUBMISSION
  • ANTIBODY AVAILABILITY
  • ACKNOWLEDGMENTS
  • CONTACT
NEWS
  • NEWS ARTICLES
  • PRESS ROOM
LEARN
  • DICTIONARY
  • PROTEIN CLASSES
  • PROTEIN EVIDENCE
  • METHODS
  • EDUCATIONAL VIDEOS
DATA
  • DOWNLOADABLE DATA
  • PUBLICATION DATA
  • RELEASE HISTORY
HELP
  • ANTIBODY VALIDATION
  • ASSAYS & ANNOTATION
  • DISCLAIMER
  • HELP & FAQ
  • PRIVACY STATEMENT
  • LICENCE & CITATION
Fields »
Search result

Field
Term
Gene name
Class
Subclass
Class
Keyword
Chromosome
External id
Tissue
Cell type
Expression
Antibody panel
Tissue
Main location
Patient ID
Annotation
Tissue
Category
Tau score
Cluster
Reliability
Brain region
Category
Tau score
Brain region
Category
Tau score
Brain region
Category
Tau score
Cluster
Reliability
Tissue
Cell type
Enrichment
Cell type
Category
Tau score
Cell type
Category
Tau score
Cell type
Category
Tau score
Cell lineage
Category
Tau score
Cluster
Cluster
Location
Searches
Location
Cell line
Class
Type
Phase
Reliability
Cancer
Prognosis
Cancer
Category
Cancer
Category
Tau score
Cluster
Variants
Interacting gene (ensg_id)
Type
Number of interactions
Pathway
Category
Score
Score
Score
Validation
Validation
Validation
Validation
Antibodies
Data type
Column


  • SUMMARY

  • TISSUE

  • BRAIN

  • SINGLE CELL

  • SUBCELL

  • CANCER

  • BLOOD

  • CELL LINE

  • STRUCT & INT

  • SEM1
TISSUE PRIMARY DATA STOMACH Show tissue menu
ADIPOSE TISSUE ADRENAL GLAND AMYGDALA APPENDIX BASAL GANGLIA BONE MARROW BREAST BRONCHUS CEREBELLUM CEREBRAL CORTEX CERVIX CHOROID PLEXUS COLON DUODENUM
ENDOMETRIUM EPIDIDYMIS ESOPHAGUS FALLOPIAN TUBE GALLBLADDER HEART MUSCLE HIPPOCAMPAL FORMATION HYPOTHALAMUS KIDNEY LIVER LUNG LYMPH NODE MIDBRAIN NASOPHARYNX
ORAL MUCOSA OVARY PANCREAS PARATHYROID GLAND PITUITARY GLAND PLACENTA PROSTATE RECTUM RETINA SALIVARY GLAND SEMINAL VESICLE SKELETAL MUSCLE SKIN SMALL INTESTINE
SMOOTH MUSCLE SOFT TISSUE SPINAL CORD SPLEEN STOMACH TESTIS THYMUS THYROID GLAND TONGUE TONSIL URINARY BLADDER VAGINA
ANTIBODIES
AND
VALIDATION
Dictionary
Tissue proteome
Stomach
STOMACH - Expression summary
Protein expression
Stomachi

On the top, protein expression in current human tissue, based on all annotated cell types, is reported with the units not detected (n), low (l), medium (m) and high (h). Underneath, protein expression in each annotated cell type are reported using the same units.

Protein expression data is based on knowledge-based annotation. For genes where more than one antibody has been used, a collective score is set.

If knowledge-based annotation could not be performed for a gene, no data is displayed here. View antibody staining data further down this page.

h
m
l
n
Glandular cells: High
RNA expressioni

A summary of mRNA expression data available for current tissue based on several datasets. The mRNA expression levels in human tissues are based on RNA-seq data generated by the Human Protein Atlas (HPA), Genotype-Tissue Expression (GTEx) portal and CAGE data generated by the FANTOM5 consortium. Consensus normalized expression levels for human tissues was created by combining the data from HPA and GTEx datasets.

The mRNA expression levels in pig are based on RNA-seq data generated by the Human Protein Atlas (HPA), and for mouse, HPA data and in situ hybridization generated by the Allen brain atlas are reported.

Scroll down to view mRNA expression data in more detail.
Consensus:168.2 nTPM
HPA:168.2 nTPM
GTEx:122.9 nTPM

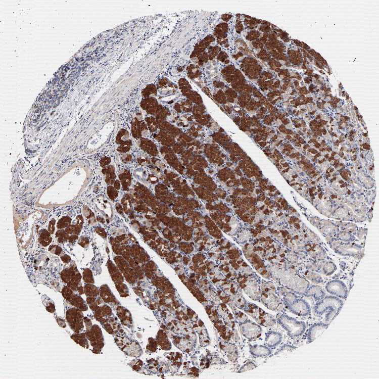
STOMACH 1 - Antibody stainingi

Antibody staining in the annotated cell types in the current human tissue is reported as not detected, low, medium, or high, based on conventional immunohistochemistry profiling in selected tissues. This score is based on the combination of the staining intensity and fraction of stained cells.

Each image is clickable and will lead to virtual microscopy that enables deeper exploration of all samples and also displays staining intensity scores, fraction scores and subcellular localization as well as patient and tissue information for each sample.

Antibody HPA020429
Glandular cells High


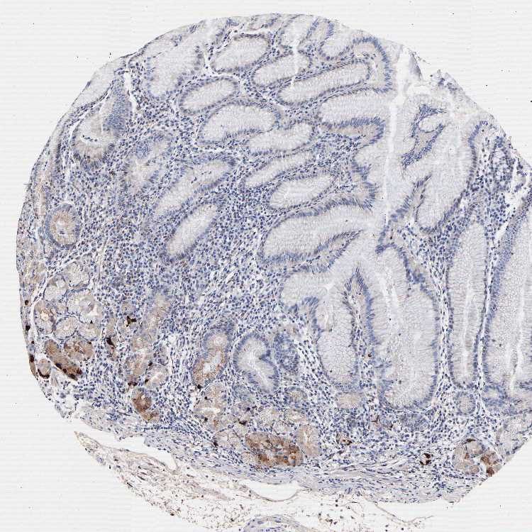
STOMACH 2 - Antibody stainingi

Antibody staining in the annotated cell types in the current human tissue is reported as not detected, low, medium, or high, based on conventional immunohistochemistry profiling in selected tissues. This score is based on the combination of the staining intensity and fraction of stained cells.

Each image is clickable and will lead to virtual microscopy that enables deeper exploration of all samples and also displays staining intensity scores, fraction scores and subcellular localization as well as patient and tissue information for each sample.

Antibody HPA020429
Glandular cells Medium



STOMACH - HPA RNA-seqi

The RNA-seq details section shows detailed information about the individual samples used for the transcript profiling and results of the RNA-seq analysis.

Information about each individual sample is listed below, including gender, age, a tissue section image and estimated fractions of cell types. nTPM (normalized transcripts per million) values give a quantification of the gene abundance which is comparable between different genes and samples.
Average nTPMi

Max subtype nTPM is the value for the subtype with the largest average nTPM across the subtype samples.

168.2
overview
Female, age 33
Stomach sample 61
nTPM: 180.1
Cell types%
Glandular cells:
60

Smooth muscle cells:
5

Other cell types:
35

N/A
Male, age 82
Stomach sample 240
nTPM: 129.6
Cell types%
Glandular cells:
65

Smooth muscle cells:
5

Other cell types:
30

overview
Male, age 71
Stomach sample 241
nTPM: 210.8
Cell types%
Glandular cells:
50

Smooth muscle cells:
5

Other cell types:
45

overview
Female, age 66
Stomach sample 369
nTPM: 152.5
Cell types%
Glandular cells:
50

Smooth muscle cells:
10

Other cell types:
40


STOMACH - GTEx RNA-seqi

RNA-Seq data generated by the Genotype-Tissue Expression (GTEx) project from human tissues is reported as mean nTPM. More information can be found on the GTEx portal.

Distribution across the dataset is visualized with box plots, shown as median and 25th and 75th percentiles. Points are displayed as outliers if they are above or below 1.5 times the interquartile range. nTPM values of the individual samples are presented next to the box plot.
Max subtype nTPMi

Max subtype nTPM is the value for the subtype with the largest average nTPM across the subtype samples.

122.9
GTEx sample id Sample description nTPM
Stomach
Average nTPM: 122.9
Samples: 359

Max nTPM: 263.8
Min nTPM: 53.3
Std nTPM: 32.0
Median nTPM: 122.0
GTEX-15RIF-1126-SM-7KUG2 20-29 years, male 263.8
GTEX-ZYY3-1726-SM-5EGH3 60-69 years, female 208.1
GTEX-12C56-0526-SM-5FQST 20-29 years, male 208.0
GTEX-11EQ9-1226-SM-5987E 30-39 years, male 200.7
GTEX-15EU6-2526-SM-7KUGB 50-59 years, male 200.3
GTEX-13CF3-1926-SM-5K7WF 60-69 years, female 199.6
GTEX-13O21-0926-SM-5IFGT 50-59 years, male 197.6
GTEX-ZDYS-1926-SM-5HL59 50-59 years, male 195.0
GTEX-ZT9W-1526-SM-4YCDE 50-59 years, male 192.7
GTEX-ZZ64-0426-SM-5E43F 20-29 years, male 191.2
GTEX-12WSJ-0926-SM-5P9JD 40-49 years, female 190.7
GTEX-12696-1726-SM-5EQLH 60-69 years, male 185.7
GTEX-YEC4-1426-SM-5IFHS 40-49 years, male 184.1
GTEX-1F5PL-1426-SM-7MKFH 40-49 years, female 183.2
GTEX-1C475-1026-SM-7MKFJ 40-49 years, female 181.8
GTEX-1F75I-1826-SM-7MKGX 40-49 years, male 180.9
GTEX-1211K-1426-SM-5FQTF 60-69 years, female 180.0
GTEX-13FTW-1726-SM-5KM2B 40-49 years, male 179.2
GTEX-11GSP-2126-SM-5HL5E 60-69 years, female 179.1
GTEX-13O61-1126-SM-5L3FI 60-69 years, male 178.8
GTEX-1GPI7-1326-SM-9KNVA 20-29 years, male 178.8
GTEX-XPVG-1526-SM-4B66C 50-59 years, male 176.1
GTEX-ZV6S-0926-SM-57WGB 40-49 years, female 175.6
GTEX-14PKV-1826-SM-69LO9 20-29 years, female 173.0
GTEX-1KANA-1126-SM-D3L9M 20-29 years, male 171.8
GTEX-1PIGE-1126-SM-EWRMV 20-29 years, male 169.4
GTEX-13X6H-1626-SM-5Q5CT 50-59 years, female 169.2
GTEX-131XG-1226-SM-5EGH9 50-59 years, female 168.9
GTEX-132QS-1826-SM-5IFFN 60-69 years, male 168.3
GTEX-146FR-2026-SM-5NQAI 60-69 years, female 167.1
GTEX-13FTX-0726-SM-5N9BI 20-29 years, female 166.7
GTEX-WH7G-1526-SM-4LVMX 40-49 years, male 166.7
GTEX-15SHW-2126-SM-6M46Y 60-69 years, male 166.5
GTEX-117YX-1026-SM-5H11V 50-59 years, male 166.1
GTEX-133LE-1326-SM-5IFGO 20-29 years, female 166.1
GTEX-11NUK-2426-SM-5BC4U 50-59 years, male 166.0
GTEX-13D11-2126-SM-5IFH2 50-59 years, female 165.3
GTEX-P4PP-1526-SM-3P61M 30-39 years, female 164.9
GTEX-144GM-1726-SM-5O9AS 20-29 years, male 164.5
GTEX-POMQ-0826-SM-3P61H 20-29 years, female 164.5
GTEX-ZZPU-1426-SM-5GZZ6 50-59 years, female 164.2
GTEX-14E6E-0926-SM-664N8 30-39 years, male 163.7
GTEX-T5JW-0926-SM-4DM5K 20-29 years, female 163.7
GTEX-12BJ1-1726-SM-5HL9B 60-69 years, male 163.0
GTEX-14PHX-1026-SM-664OL 50-59 years, male 162.4
GTEX-ZVT2-1626-SM-51MRC 50-59 years, female 162.3
GTEX-QCQG-0526-SM-48U2A 50-59 years, female 162.1
GTEX-13OW6-2526-SM-5IJEC 50-59 years, male 161.9
GTEX-1AYCT-1326-SM-7MKHB 50-59 years, male 161.9
GTEX-P4QT-1526-SM-3NMCT 50-59 years, female 160.7
GTEX-145MN-1326-SM-5NQ9S 30-39 years, male 160.6
GTEX-14PJ4-1626-SM-664OB 60-69 years, male 159.9
GTEX-11DXX-1326-SM-5GIDZ 60-69 years, female 159.6
GTEX-ZYFG-1326-SM-5GICJ 60-69 years, female 159.6
GTEX-1399U-1626-SM-5P9J3 50-59 years, female 159.5
GTEX-1JKYN-1726-SM-AHZ48 30-39 years, male 159.0
GTEX-WFJO-1126-SM-4LVLZ 30-39 years, male 158.0
GTEX-14B4R-0726-SM-5TDDR 30-39 years, male 157.6
GTEX-1CAMR-0726-SM-7EPIE 20-29 years, male 157.6
GTEX-13113-0726-SM-5LZUF 60-69 years, female 157.5
GTEX-ZV7C-1626-SM-5NQ7E 50-59 years, male 156.5
GTEX-15G1A-1226-SM-7KUF3 30-39 years, male 156.2
GTEX-ZLWG-1526-SM-DO12F 50-59 years, female 155.0
GTEX-XMK1-1526-SM-EYYVO 40-49 years, male 153.9
GTEX-14PJ6-0826-SM-686Z9 60-69 years, female 153.8
GTEX-ZVZP-1726-SM-5GZWY 50-59 years, male 153.4
GTEX-111CU-0926-SM-5EGIK 50-59 years, male 152.9
GTEX-1339X-1426-SM-5K7YO 40-49 years, male 152.6
GTEX-QDVJ-1426-SM-48U1Y 50-59 years, male 150.6
GTEX-1MJIX-1126-SM-EV7AO 40-49 years, male 150.0
GTEX-1H3NZ-2226-SM-9WYUT 60-69 years, male 149.6
GTEX-17EUY-1526-SM-793CA 20-29 years, male 149.2
GTEX-ZA64-0826-SM-5HL9U 20-29 years, male 149.1
GTEX-1H1DE-1226-SM-9JGHH 20-29 years, male 149.1
GTEX-Q2AI-0826-SM-48TZO 40-49 years, male 149.0
GTEX-QDT8-2026-SM-EZ6LS 30-39 years, female 148.4
GTEX-RWS6-0926-SM-47JXE 60-69 years, female 148.1
GTEX-1LG7Z-1226-SM-DHXK4 30-39 years, male 147.8
GTEX-14PKU-1126-SM-69LOU 40-49 years, female 147.2
GTEX-15G19-1526-SM-6LPKP 60-69 years, male 146.9
GTEX-18A7A-2726-SM-7LG6U 50-59 years, female 145.0
GTEX-1LGOU-1526-SM-D3LAJ 20-29 years, female 144.9
GTEX-1122O-1926-SM-5EGIQ 60-69 years, female 144.5
GTEX-ZY6K-0726-SM-5A5L8 50-59 years, male 144.1
GTEX-YJ8A-1526-SM-5P9FT 20-29 years, male 143.6
GTEX-13FH7-1026-SM-5IJGF 50-59 years, female 143.1
GTEX-1N2DV-0926-SM-E9TJT 40-49 years, male 142.9
GTEX-15DZA-1126-SM-6LPK8 30-39 years, female 142.7
GTEX-14PHY-0926-SM-5ZZWL 60-69 years, female 142.6
GTEX-1S831-1126-SM-EWROI 20-29 years, male 142.6
GTEX-1H1E6-1626-SM-9OSWC 30-39 years, male 142.5
GTEX-1JK1U-1326-SM-AHZ45 60-69 years, male 142.4
GTEX-11NSD-1426-SM-5HL67 20-29 years, male 142.3
GTEX-18D9B-2226-SM-718BM 60-69 years, male 141.5
GTEX-Q2AH-1126-SM-48TZM 40-49 years, male 141.5
GTEX-ZP4G-1226-SM-4WWCJ 20-29 years, female 141.3
GTEX-1GL5R-1926-SM-9WG7U 50-59 years, male 141.1
GTEX-ZXES-1426-SM-5NQ8S 30-39 years, female 141.0
GTEX-13N1W-2026-SM-5K7YU 70-79 years, male 140.8
GTEX-14JG6-1226-SM-664O6 30-39 years, female 140.3
GTEX-131XF-1226-SM-5HL8V 60-69 years, male 140.2
GTEX-1IDJD-2426-SM-C1YS6 30-39 years, male 139.9
GTEX-1IDJF-1426-SM-ACKWK 20-29 years, male 139.2
GTEX-QXCU-1926-SM-48FE4 50-59 years, male 138.9
GTEX-QLQ7-0826-SM-447B3 60-69 years, male 138.7
GTEX-15UF7-1226-SM-6M46G 40-49 years, male 138.5
GTEX-117YW-2226-SM-5N9DB 50-59 years, male 138.4
GTEX-15DCE-1626-SM-6LPJM 20-29 years, male 138.1
GTEX-ZLV1-0826-SM-DO11P 60-69 years, female 137.6
GTEX-13111-1226-SM-5GCNC 50-59 years, male 137.3
GTEX-14E1K-1526-SM-664MN 50-59 years, male 137.3
GTEX-1LGRB-1726-SM-CNNRA 50-59 years, female 137.3
GTEX-11WQK-2626-SM-5EQ4K 50-59 years, male 136.7
GTEX-1IDJU-1526-SM-CNNR3 60-69 years, female 136.6
GTEX-11P82-0726-SM-5PNYL 20-29 years, male 136.3
GTEX-1JMLX-2426-SM-CXZJQ 50-59 years, male 136.1
GTEX-X15G-1126-SM-4PQZG 50-59 years, female 135.9
GTEX-Y5LM-1326-SM-5RQIS 40-49 years, female 135.9
GTEX-18D9A-0626-SM-7KFTY 30-39 years, female 135.7
GTEX-1B8KE-1326-SM-73KVI 50-59 years, male 135.7
GTEX-1LSNM-1026-SM-DHXL2 50-59 years, male 135.1
GTEX-13S7M-1826-SM-5RQK6 60-69 years, female 134.7
GTEX-1S82Z-1726-SM-E6CHZ 30-39 years, female 133.7
GTEX-1RQEC-2126-SM-DPS15 60-69 years, male 133.4
GTEX-14DAR-0926-SM-73KUQ 50-59 years, male 133.1
GTEX-1B97J-1826-SM-7IGPP 50-59 years, female 133.0
GTEX-1HFI7-1526-SM-9WG7W 50-59 years, female 132.5
GTEX-13QBU-1126-SM-5LU44 40-49 years, female 132.3
GTEX-1ICG6-1826-SM-AHZ2O 70-79 years, female 131.9
GTEX-VJYA-1026-SM-4KL21 60-69 years, male 131.2
GTEX-11VI4-0326-SM-5EQ6L 40-49 years, female 131.0
GTEX-1399S-1626-SM-5P9GI 30-39 years, female 131.0
GTEX-YB5E-1126-SM-664NU 40-49 years, male 130.8
GTEX-1I6K7-1726-SM-B2LXQ 40-49 years, male 130.8
GTEX-1E2YA-2426-SM-7EPIG 50-59 years, male 130.5
GTEX-12WSD-2326-SM-59HKQ 60-69 years, female 130.4
GTEX-ZAB4-1526-SM-5CVN7 40-49 years, male 130.0
GTEX-R55G-1126-SM-48FDG 40-49 years, female 129.9
GTEX-11EM3-1026-SM-5A5KL 20-29 years, female 129.5
GTEX-QLQW-0726-SM-447AA 30-39 years, male 129.4
GTEX-Y114-1226-SM-4TT88 50-59 years, female 129.4
GTEX-1B8L1-1526-SM-79OLK 60-69 years, male 129.2
GTEX-1QPFJ-1526-SM-DPRXT 30-39 years, female 129.2
GTEX-ZGAY-1626-SM-DNZZ3 40-49 years, female 129.0
GTEX-145LT-1426-SM-5O9B3 40-49 years, male 128.7
GTEX-QV31-0626-SM-447C5 30-39 years, male 127.9
GTEX-1B97I-1226-SM-7MGWQ 40-49 years, male 127.6
GTEX-1RAZR-1526-SM-EAZ4U 40-49 years, male 127.4
GTEX-QMRM-1126-SM-447BN 50-59 years, male 127.3
GTEX-145ME-1026-SM-5O9B4 40-49 years, female 127.1
GTEX-17KNJ-1526-SM-7LTA9 50-59 years, male 127.0
GTEX-PX3G-1526-SM-48U11 20-29 years, female 126.8
GTEX-PWN1-1526-SM-48TDA 40-49 years, female 126.6
GTEX-1I1HK-2026-SM-CNNRB 60-69 years, male 126.3
GTEX-17F98-1526-SM-7EWD8 40-49 years, female 126.0
GTEX-NFK9-1526-SM-3LK7B 40-49 years, male 125.8
GTEX-ZLFU-1326-SM-DO11R 40-49 years, male 125.7
GTEX-14BMU-1126-SM-5RQJ8 20-29 years, female 125.3
GTEX-ZQUD-0826-SM-57WDQ 30-39 years, male 125.3
GTEX-XUZC-0726-SM-4BOPH 30-39 years, female 125.2
GTEX-1399R-1126-SM-5IFIO 30-39 years, male 125.1
GTEX-WEY5-1226-SM-4LMIQ 40-49 years, female 125.1
GTEX-OXRL-1526-SM-E6CHQ 50-59 years, male 125.0
GTEX-1GF9U-1126-SM-AHZ4H 40-49 years, female 124.9
GTEX-ZVT3-2126-SM-59HL2 60-69 years, female 124.6
GTEX-1JMPZ-1826-SM-CXZJT 30-39 years, male 124.5
GTEX-Y3IK-1426-SM-4YCES 50-59 years, female 124.3
GTEX-144GN-1226-SM-5O991 50-59 years, male 124.2
GTEX-17MF6-2126-SM-7KFS7 40-49 years, male 124.2
GTEX-1QCLZ-1826-SM-DPRXP 60-69 years, female 123.9
GTEX-17JCI-2226-SM-7LTA1 60-69 years, female 123.8
GTEX-1H23P-2726-SM-9JGHN 60-69 years, male 123.8
GTEX-14PJ3-1426-SM-664O8 50-59 years, male 123.6
GTEX-ZYVF-2726-SM-5GID4 50-59 years, female 123.5
GTEX-17F9E-2226-SM-7IGNC 50-59 years, male 123.4
GTEX-QDVN-1226-SM-48TZ5 50-59 years, male 123.1
GTEX-1HBPI-0726-SM-9WG7Z 50-59 years, male 123.0
GTEX-UJMC-1226-SM-4IHLI 50-59 years, male 122.4
GTEX-SUCS-0926-SM-4DM4Z 70-79 years, male 122.1
GTEX-13RTK-0226-SM-5RQHR 20-29 years, male 122.0
GTEX-WFG7-1326-SM-4LMK1 20-29 years, male 121.4
GTEX-PLZ6-0826-SM-3P61K 30-39 years, male 120.9
GTEX-11TT1-0726-SM-5GU5A 20-29 years, male 120.6
GTEX-1F5PK-1826-SM-7RHHX 50-59 years, male 120.5
GTEX-ZF29-1526-SM-4WKF7 60-69 years, female 120.1
GTEX-RTLS-2626-SM-46MUJ 60-69 years, female 120.0
GTEX-1RMOY-1126-SM-EV79E 50-59 years, male 120.0
GTEX-T8EM-1226-SM-4DM5J 40-49 years, male 119.5
GTEX-TKQ1-0526-SM-4DXTG 30-39 years, male 119.4
GTEX-W5WG-1726-SM-4LMI5 50-59 years, female 119.3
GTEX-ZTX8-0426-SM-59HLG 20-29 years, male 119.1
GTEX-11P7K-1726-SM-5GU6F 30-39 years, male 119.0
GTEX-RUSQ-1126-SM-EAZAU 50-59 years, male 118.8
GTEX-1PPH8-1326-SM-DTXFO 20-29 years, male 118.6
GTEX-YEC3-1426-SM-D4P1S 50-59 years, male 118.5
GTEX-12WSK-1426-SM-5CVNN 40-49 years, female 118.2
GTEX-R55C-1026-SM-48FCM 40-49 years, male 117.9
GTEX-18QFQ-1226-SM-718AE 30-39 years, male 117.0
GTEX-17HII-2426-SM-7KFTT 50-59 years, male 116.7
GTEX-WFON-1126-SM-4LVMA 40-49 years, male 116.4
GTEX-18A67-2626-SM-718AD 50-59 years, male 116.2
GTEX-1KXAM-0926-SM-CXZKA 60-69 years, male 116.0
GTEX-131XE-2226-SM-5PNYX 50-59 years, male 115.7
GTEX-14PN3-1326-SM-6AJ9U 60-69 years, female 115.5
GTEX-1L5NE-1526-SM-DIPFW 50-59 years, male 115.5
GTEX-1QMI2-2126-SM-DPRXQ 60-69 years, male 114.5
GTEX-18A66-2226-SM-7189E 60-69 years, male 113.8
GTEX-1CB4E-1326-SM-7DUGD 60-69 years, male 113.8
GTEX-OHPK-1526-SM-3MJGM 50-59 years, female 113.8
GTEX-12WSG-2026-SM-5FQUU 50-59 years, female 113.3
GTEX-1NSGN-1926-SM-E9J36 50-59 years, male 112.6
GTEX-13OVI-2426-SM-5KM4J 60-69 years, female 112.5
GTEX-P4PQ-1526-SM-3NMCK 60-69 years, male 112.3
GTEX-WFG8-1326-SM-4LVN3 20-29 years, male 112.1
GTEX-1K2DA-0826-SM-CGQGD 50-59 years, male 112.1
GTEX-1LVAM-1426-SM-E9TJ4 50-59 years, female 112.0
GTEX-14DAQ-2826-SM-664MU 60-69 years, female 111.7
GTEX-14BMV-2226-SM-5RQHX 50-59 years, male 111.0
GTEX-13X6J-2126-SM-5TDCV 50-59 years, male 110.4
GTEX-13OVK-0926-SM-7KUFX 40-49 years, male 110.1
GTEX-S341-0626-SM-4AD5T 40-49 years, female 109.8
GTEX-1A3MV-1226-SM-718BW 30-39 years, male 109.6
GTEX-1MCYP-1126-SM-E9J2P 20-29 years, female 109.6
GTEX-14ICL-0826-SM-5YY9W 30-39 years, male 109.4
GTEX-Y8LW-0826-SM-4WWDO 50-59 years, female 109.0
GTEX-1HCUA-1626-SM-A9SMG 50-59 years, female 108.6
GTEX-ZVP2-1626-SM-5GU5D 50-59 years, male 107.9
GTEX-146FH-2126-SM-5SI9U 50-59 years, female 107.8
GTEX-U4B1-1026-SM-4DXT1 40-49 years, male 107.7
GTEX-1GMRU-2526-SM-9WG7T 50-59 years, male 107.5
GTEX-16AAH-1226-SM-79OO9 50-59 years, male 107.2
GTEX-T6MO-0726-SM-4DM58 40-49 years, female 106.9
GTEX-1JMQJ-1326-SM-D4P3B 50-59 years, male 106.7
GTEX-RM2N-0826-SM-48FD3 50-59 years, male 106.5
GTEX-1R7EU-1126-SM-EAZ4M 60-69 years, male 105.9
GTEX-1QP2A-2126-SM-DPRZ7 50-59 years, male 105.8
GTEX-17GQL-1226-SM-7KFTS 60-69 years, male 105.4
GTEX-OIZF-1526-SM-2I5GR 60-69 years, male 104.8
GTEX-WXYG-1626-SM-4ONCR 50-59 years, female 104.7
GTEX-111YS-1126-SM-5GZYQ 60-69 years, male 104.6
GTEX-OHPM-1526-SM-EV796 50-59 years, male 104.6
GTEX-WY7C-1726-SM-4ONCC 50-59 years, male 104.4
GTEX-OOBJ-1526-SM-3NB1Q 60-69 years, male 104.2
GTEX-ZEX8-1626-SM-4WKG7 50-59 years, male 104.1
GTEX-PWCY-0926-SM-48TD7 20-29 years, female 104.0
GTEX-14PJ5-0826-SM-6AJAR 60-69 years, female 103.9
GTEX-13O3Q-2126-SM-5KM4C 50-59 years, male 103.8
GTEX-1RB15-1026-SM-E9U6V 60-69 years, male 103.8
GTEX-13U4I-2526-SM-5SI8Z 40-49 years, female 103.7
GTEX-1AMFI-1226-SM-731CZ 50-59 years, female 103.1
GTEX-1R9K5-1026-SM-EAZ4F 50-59 years, male 102.8
GTEX-Y8E4-1526-SM-4WWDI 40-49 years, male 102.7
GTEX-SNOS-0826-SM-4DM5N 40-49 years, male 102.5
GTEX-XBED-1226-SM-4AT5V 60-69 years, male 102.5
GTEX-1AMEY-1226-SM-731DU 30-39 years, female 102.4
GTEX-1I1GT-1726-SM-C1YS3 60-69 years, female 102.4
GTEX-Y5V6-1326-SM-4VDTF 60-69 years, male 102.3
GTEX-XBEW-1826-SM-4RTWX 40-49 years, male 102.0
GTEX-1MGNQ-1826-SM-DPRYI 40-49 years, male 101.9
GTEX-U3ZN-2026-SM-4DXUC 30-39 years, female 101.6
GTEX-17HHE-1026-SM-79ON6 50-59 years, male 101.5
GTEX-1HBPN-1626-SM-9WPNP 50-59 years, male 101.3
GTEX-1EH9U-2226-SM-7PBXX 60-69 years, male 100.2
GTEX-1J8Q3-1926-SM-C1YSJ 60-69 years, male 100.1
GTEX-1QP29-2326-SM-EXOJO 50-59 years, male 99.5
GTEX-XAJ8-0326-SM-47JYI 40-49 years, male 99.1
GTEX-RU1J-0526-SM-46MUT 20-29 years, female 99.0
GTEX-S4Q7-0726-SM-4AD5F 20-29 years, male 98.9
GTEX-YFCO-0826-SM-5LUAG 40-49 years, male 98.6
GTEX-PLZ5-1226-SM-EXOHA 50-59 years, male 98.4
GTEX-13PVR-2126-SM-73KVR 60-69 years, female 98.3
GTEX-1IL2V-2026-SM-ARZMA 70-79 years, male 98.2
GTEX-S95S-0826-SM-4B64N 60-69 years, male 98.0
GTEX-TKQ2-0926-SM-4DXU5 50-59 years, male 97.9
GTEX-16NGA-1526-SM-72D56 40-49 years, female 97.6
GTEX-1I4MK-0926-SM-A9SLD 50-59 years, female 97.5
GTEX-S4P3-0726-SM-4AD57 50-59 years, female 97.0
GTEX-XXEK-0826-SM-4BRWG 50-59 years, male 96.9
GTEX-1HT8W-2326-SM-A9SLA 30-39 years, male 96.9
GTEX-1GN1W-2126-SM-9JGI7 50-59 years, female 96.8
GTEX-SNMC-0626-SM-4DM6H 20-29 years, male 96.2
GTEX-ZPU1-1626-SM-4WWB2 40-49 years, male 96.1
GTEX-1QP67-1026-SM-EVR47 40-49 years, female 95.8
GTEX-R55D-1526-SM-48FEJ 50-59 years, male 95.7
GTEX-ZE7O-3026-SM-51MS4 50-59 years, female 93.5
GTEX-1H3VY-2326-SM-9WG81 50-59 years, male 93.5
GTEX-P78B-1826-SM-3P5YX 40-49 years, female 92.8
GTEX-WZTO-2126-SM-4PQYW 40-49 years, male 91.9
GTEX-1LBAC-1426-SM-CXZKT 20-29 years, male 91.9
GTEX-Q734-1026-SM-48U16 40-49 years, female 91.8
GTEX-1J8QM-1126-SM-C1YQB 60-69 years, female 91.8
GTEX-1JN76-0926-SM-ARZNH 20-29 years, female 91.6
GTEX-1J8JJ-1726-SM-C1YQG 60-69 years, female 91.5
GTEX-13QJ3-2726-SM-5SI6L 50-59 years, male 91.4
GTEX-1CB4H-2426-SM-7PBYR 60-69 years, female 91.1
GTEX-1H1DG-2126-SM-9WPPB 70-79 years, male 90.5
GTEX-1A3MX-1926-SM-72D7F 60-69 years, male 90.3
GTEX-UJHI-1026-SM-4IHJP 50-59 years, female 90.3
GTEX-ZPIC-2026-SM-57WG3 40-49 years, female 90.3
GTEX-S7SF-0626-SM-4AD4V 20-29 years, female 90.0
GTEX-1QP28-2126-SM-DTX8B 50-59 years, female 90.0
GTEX-1QW4Y-0726-SM-DTX8E 30-39 years, male 90.0
GTEX-13PVQ-2126-SM-5L3FW 50-59 years, male 89.8
GTEX-O5YW-1526-SM-3MJGL 50-59 years, male 89.8
GTEX-OIZH-1526-SM-3NB1J 50-59 years, male 89.8
GTEX-S3XE-1026-SM-4AD4O 50-59 years, male 89.8
GTEX-15RIE-1026-SM-6LPJQ 60-69 years, male 89.5
GTEX-T5JC-1926-SM-4DM6Q 20-29 years, male 89.3
GTEX-1C64O-2226-SM-73KTV 60-69 years, male 89.2
GTEX-145MO-2226-SM-5Q5BN 60-69 years, male 89.0
GTEX-1J8EW-2226-SM-AHZ3T 60-69 years, female 89.0
GTEX-1KD5A-1426-SM-D4P3V 50-59 years, male 89.0
GTEX-1MUQO-1926-SM-EAZ59 60-69 years, male 88.9
GTEX-Y9LG-1026-SM-5IFJN 30-39 years, male 88.4
GTEX-S4UY-1626-SM-4AD55 40-49 years, female 87.8
GTEX-XQ8I-2026-SM-4BOOL 50-59 years, male 87.8
GTEX-WHPG-0426-SM-4M1XW 50-59 years, male 87.6
GTEX-V1D1-1726-SM-4JBHB 50-59 years, male 86.9
GTEX-TMMY-1626-SM-4DXTY 40-49 years, female 86.7
GTEX-1A8G6-1426-SM-731EZ 60-69 years, male 86.1
GTEX-11EI6-2426-SM-5PNVS 60-69 years, male 85.5
GTEX-1HKZK-1526-SM-B2LWG 40-49 years, male 85.2
GTEX-R53T-1226-SM-48FCT 50-59 years, female 84.3
GTEX-O5YV-1926-SM-EV797 60-69 years, female 83.9
GTEX-1E1VI-2826-SM-7MGWU 50-59 years, male 82.9
GTEX-WHWD-1426-SM-4OORU 50-59 years, male 82.8
GTEX-S4Z8-1226-SM-4AD6W 60-69 years, male 82.0
GTEX-WRHK-0626-SM-4MVOE 20-29 years, female 81.8
GTEX-1H11D-2226-SM-9OSXN 40-49 years, male 81.0
GTEX-1HSEH-1526-SM-B2LXG 60-69 years, male 80.8
GTEX-XV7Q-1326-SM-4BRWM 40-49 years, female 80.6
GTEX-PW2O-1226-SM-48TCH 20-29 years, male 80.4
GTEX-11I78-1726-SM-5A5M3 50-59 years, female 80.2
GTEX-1AX9J-2626-SM-731EK 60-69 years, male 80.1
GTEX-UPK5-2126-SM-4JBJK 40-49 years, male 79.8
GTEX-1S3DN-1526-SM-EVYCB 50-59 years, male 79.4
GTEX-1HR9M-2326-SM-CNPPZ 60-69 years, male 78.4
GTEX-WHSB-1226-SM-4M1XR 50-59 years, male 78.0
GTEX-ZF2S-1426-SM-57WET 50-59 years, female 77.6
GTEX-1JMPY-0926-SM-ARL92 30-39 years, male 77.2
GTEX-1HCU8-1326-SM-C1YQQ 60-69 years, female 76.9
GTEX-WYJK-2526-SM-4ONDF 50-59 years, male 76.7
GTEX-15CHR-1326-SM-79OLT 50-59 years, male 76.3
GTEX-1QCLY-1126-SM-EAZ4J 30-39 years, male 75.3
GTEX-1HSMQ-2426-SM-CE6RY 50-59 years, male 74.0
GTEX-OXRK-1626-SM-3NB17 50-59 years, female 73.3
GTEX-Y3I4-1626-SM-4TT7W 50-59 years, male 72.5
GTEX-WYVS-1326-SM-4ONCQ 40-49 years, female 71.5
GTEX-V955-1326-SM-4JBHR 60-69 years, male 70.3
GTEX-139YR-1926-SM-5LZXM 50-59 years, male 70.1
GTEX-1LVAN-2426-SM-CNNPZ 50-59 years, female 70.0
GTEX-QV44-1226-SM-CJI1S 50-59 years, male 69.4
GTEX-14BIL-1926-SM-73KYI 50-59 years, male 69.2
GTEX-17HGU-2126-SM-7IGOV 50-59 years, male 68.6
GTEX-1GZ4H-1026-SM-9OSXL 50-59 years, female 66.8
GTEX-1B8KZ-1226-SM-793CP 50-59 years, male 66.4
GTEX-1JN1M-2926-SM-CNNPJ 60-69 years, female 63.8
GTEX-132AR-2426-SM-5IFFD 50-59 years, female 54.6
GTEX-139D8-2326-SM-5IFGE 30-39 years, female 53.3
Show allShow less

Contact

  • NEWS ARTICLES
  • PRESS ROOM

The Project

  • INTRODUCTION
  • ORGANIZATION
  • PUBLICATIONS

The Human Protein Atlas

  • DOWNLOADABLE DATA
  • LICENCE & CITATION
  • HELP & FAQ
The Human Protein Atlas project is funded
by the Knut & Alice Wallenberg Foundation.


contact@proteinatlas.org