We use cookies to enhance the usability of our website. If you continue, we'll assume that you are happy to receive all cookies. More information. Don't show this again.
EIF5A
HPA
RESOURCES
  • TISSUE
  • BRAIN
  • SINGLE CELL
  • SUBCELLULAR
  • CANCER
  • BLOOD
  • CELL LINE
  • STRUCTURE & INTERACTION
ABOUT
  • INTRODUCTION
  • HISTORY
  • ORGANIZATION
  • PUBLICATIONS
  • ANTIBODY SUBMISSION
  • ANTIBODY AVAILABILITY
  • ACKNOWLEDGMENTS
  • CONTACT
NEWS
  • NEWS ARTICLES
  • PRESS ROOM
LEARN
  • DICTIONARY
  • PROTEIN CLASSES
  • PROTEIN EVIDENCE
  • METHODS
  • EDUCATIONAL VIDEOS
DATA
  • DOWNLOADABLE DATA
  • PUBLICATION DATA
  • RELEASE HISTORY
HELP
  • ANTIBODY VALIDATION
  • ASSAYS & ANNOTATION
  • DISCLAIMER
  • HELP & FAQ
  • PRIVACY STATEMENT
  • LICENCE & CITATION
Fields »
Search result

Field
Term
Gene name
Class
Subclass
Class
Keyword
Chromosome
External id
Tissue
Cell type
Expression
Antibody panel
Tissue
Main location
Patient ID
Annotation
Tissue
Category
Tau score
Cluster
Reliability
Brain region
Category
Tau score
Brain region
Category
Tau score
Brain region
Category
Tau score
Cluster
Reliability
Tissue
Cell type
Enrichment
Cell type
Category
Tau score
Cell type
Category
Tau score
Cell type
Category
Tau score
Cell lineage
Category
Tau score
Cluster
Cluster
Location
Searches
Location
Cell line
Class
Type
Phase
Reliability
Cancer
Prognosis
Cancer
Category
Cancer
Category
Tau score
Cluster
Variants
Interacting gene (ensg_id)
Type
Number of interactions
Pathway
Category
Score
Score
Score
Validation
Validation
Validation
Validation
Antibodies
Data type
Column


  • SUMMARY

  • TISSUE

  • BRAIN

  • SINGLE CELL

  • SUBCELL

  • CANCER

  • BLOOD

  • CELL LINE

  • STRUCT & INT

  • EIF5A
TISSUE PRIMARY DATA BREAST Show tissue menu
ADIPOSE TISSUE ADRENAL GLAND AMYGDALA APPENDIX BASAL GANGLIA BONE MARROW BREAST BRONCHUS CEREBELLUM CEREBRAL CORTEX CERVIX CHOROID PLEXUS COLON DUODENUM
ENDOMETRIUM EPIDIDYMIS ESOPHAGUS FALLOPIAN TUBE GALLBLADDER HEART MUSCLE HIPPOCAMPAL FORMATION HYPOTHALAMUS KIDNEY LIVER LUNG LYMPH NODE MIDBRAIN NASOPHARYNX
ORAL MUCOSA OVARY PANCREAS PARATHYROID GLAND PITUITARY GLAND PLACENTA PROSTATE RECTUM RETINA SALIVARY GLAND SEMINAL VESICLE SKELETAL MUSCLE SKIN SMALL INTESTINE
SMOOTH MUSCLE SOFT TISSUE SPINAL CORD SPLEEN STOMACH TESTIS THYMUS THYROID GLAND TONGUE TONSIL URINARY BLADDER VAGINA
ANTIBODIES
AND
VALIDATION
Dictionary
Breast
Tissue proteome
Breast
BREAST - Expression summary
Protein expression
Breasti

On the top, protein expression in current human tissue, based on all annotated cell types, is reported with the units not detected (n), low (l), medium (m) and high (h). Underneath, protein expression in each annotated cell type are reported using the same units.

Protein expression data is based on knowledge-based annotation. For genes where more than one antibody has been used, a collective score is set.

If knowledge-based annotation could not be performed for a gene, no data is displayed here. View antibody staining data further down this page.

h
m
l
n
Adipocytes: Not detected
RNA expressioni

A summary of mRNA expression data available for current tissue based on several datasets. The mRNA expression levels in human tissues are based on RNA-seq data generated by the Human Protein Atlas (HPA), Genotype-Tissue Expression (GTEx) portal and CAGE data generated by the FANTOM5 consortium. Consensus normalized expression levels for human tissues was created by combining the data from HPA and GTEx datasets.

The mRNA expression levels in pig are based on RNA-seq data generated by the Human Protein Atlas (HPA), and for mouse, HPA data and in situ hybridization generated by the Allen brain atlas are reported.

Scroll down to view mRNA expression data in more detail.
Consensus:232.8 nTPM
HPA:83.7 nTPM
GTEx:232.8 nTPM
FANTOM5:220.7 Scaled Tags Per Million

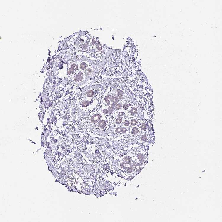
BREAST - Antibody stainingi

Antibody staining in the annotated cell types in the current human tissue is reported as not detected, low, medium, or high, based on conventional immunohistochemistry profiling in selected tissues. This score is based on the combination of the staining intensity and fraction of stained cells.

Each image is clickable and will lead to virtual microscopy that enables deeper exploration of all samples and also displays staining intensity scores, fraction scores and subcellular localization as well as patient and tissue information for each sample.

Antibody HPA061298Antibody CAB005042
Adipocytes Not detectedNot detected
Glandular cells Low-
Myoepithelial cells Not detected-


BREAST - HPA RNA-seqi

The RNA-seq details section shows detailed information about the individual samples used for the transcript profiling and results of the RNA-seq analysis.

Information about each individual sample is listed below, including gender, age, a tissue section image and estimated fractions of cell types. nTPM (normalized transcripts per million) values give a quantification of the gene abundance which is comparable between different genes and samples.
Average nTPMi

Max subtype nTPM is the value for the subtype with the largest average nTPM across the subtype samples.

83.7
overview
Female, age 52
Breast sample 373
nTPM: 82
Cell types%
Glandular cells:
15

Adipocytes:
5

Other cell types:
80

overview
Female, age 80
Breast sample 390
nTPM: 78
Cell types%
Glandular cells:
5

Adipocytes:
15

Other cell types:
80

overview
Female, age 47
Breast sample 405
nTPM: 74.1
Cell types%
Glandular cells:
5

Adipocytes:
5

Other cell types:
90

overview
Female, age 38
Breast sample 410
nTPM: 100.5
Cell types%
Glandular cells:
40

Adipocytes:
5

Other cell types:
55


BREAST - GTEx RNA-seqi

RNA-Seq data generated by the Genotype-Tissue Expression (GTEx) project from human tissues is reported as mean nTPM. More information can be found on the GTEx portal.

Distribution across the dataset is visualized with box plots, shown as median and 25th and 75th percentiles. Points are displayed as outliers if they are above or below 1.5 times the interquartile range. nTPM values of the individual samples are presented next to the box plot.
Max subtype nTPMi

Max subtype nTPM is the value for the subtype with the largest average nTPM across the subtype samples.

232.8
GTEx sample id Sample description nTPM
Breast - Mammary Tissue
Average nTPM: 232.8
Samples: 459

Max nTPM: 898.2
Min nTPM: 103.4
Std nTPM: 110.7
Median nTPM: 198.5
GTEX-1N2EF-2226-SM-E9J33 60-69 years, male 898.2
GTEX-11P82-1326-SM-5HL62 20-29 years, male 842.1
GTEX-13PVQ-1026-SM-5KM3M 50-59 years, male 727.8
GTEX-U8XE-0826-SM-4E3J1 30-39 years, male 719.3
GTEX-11TUW-1826-SM-5BC5D 60-69 years, male 667.0
GTEX-1ICG6-1326-SM-ACKWR 70-79 years, female 639.0
GTEX-1CAMR-1426-SM-793BO 20-29 years, male 621.1
GTEX-1JN1M-3026-SM-CMKGK 60-69 years, female 614.3
GTEX-X4XY-0926-SM-4E3JD 60-69 years, male 542.3
GTEX-1ICLY-1726-SM-B2LVT 50-59 years, male 537.9
GTEX-13CF3-2126-SM-5IFJP 60-69 years, female 526.5
GTEX-ZLFU-2126-SM-DO931 40-49 years, male 508.4
GTEX-1L5NE-2126-SM-CY8IH 50-59 years, male 494.4
GTEX-ZT9W-2026-SM-51MRA 50-59 years, male 490.8
GTEX-REY6-2426-SM-48FF5 60-69 years, male 490.2
GTEX-14E6C-1326-SM-62LEQ 40-49 years, male 488.8
GTEX-1H23P-0726-SM-9WG7K 60-69 years, male 488.5
GTEX-1I1GP-0426-SM-COH3N 50-59 years, male 480.8
GTEX-11WQK-2426-SM-5GU5C 50-59 years, male 473.4
GTEX-1R7EV-1526-SM-E8VOD 40-49 years, male 473.1
GTEX-11DZ1-0326-SM-5N9BN 50-59 years, male 468.7
GTEX-13O3O-0826-SM-5K7WE 60-69 years, female 467.9
GTEX-1I1GU-1026-SM-ADEHJ 40-49 years, male 467.8
GTEX-13S86-1226-SM-5S2OA 40-49 years, male 465.8
GTEX-RUSQ-2026-SM-4GIAK 50-59 years, male 463.2
GTEX-14PJ4-2126-SM-6ETZJ 60-69 years, male 458.0
GTEX-14PN4-0626-SM-62LFP 50-59 years, male 453.0
GTEX-13N1W-0626-SM-5MR4U 70-79 years, male 447.0
GTEX-S32W-2026-SM-4AD6E 50-59 years, female 443.0
GTEX-TKQ1-0226-SM-33HB5 30-39 years, male 441.3
GTEX-14PJO-0726-SM-69LO8 60-69 years, male 437.9
GTEX-11TT1-2126-SM-5GU5Y 20-29 years, male 433.3
GTEX-WY7C-2726-SM-3NB3P 50-59 years, male 415.7
GTEX-1H1DG-0526-SM-9YFLN 70-79 years, male 414.6
GTEX-ZDYS-1126-SM-5K7UB 50-59 years, male 408.5
GTEX-1HCU7-1026-SM-ADEIP 50-59 years, male 402.4
GTEX-1A3MX-2726-SM-718B6 60-69 years, male 396.0
GTEX-1211K-1926-SM-5EQLB 60-69 years, female 387.8
GTEX-1HSEH-2026-SM-ADEHN 60-69 years, male 381.6
GTEX-11ZTT-2326-SM-5EQLG 60-69 years, female 377.2
GTEX-ZLWG-1926-SM-DO92J 50-59 years, female 376.3
GTEX-144GM-0926-SM-5O994 20-29 years, male 374.3
GTEX-13O61-1826-SM-5KM4I 60-69 years, male 372.6
GTEX-1GF9U-1726-SM-7MGY5 40-49 years, female 371.8
GTEX-14ICK-2426-SM-6EU27 40-49 years, male 371.6
GTEX-17GQL-0326-SM-7LG5U 60-69 years, male 369.5
GTEX-S4Q7-1126-SM-4AD6R 20-29 years, male 367.6
GTEX-1MJK3-1126-SM-E9J3F 20-29 years, male 359.8
GTEX-13QJ3-0826-SM-7DHKK 50-59 years, male 357.3
GTEX-1HCU8-0126-SM-ADEHH 60-69 years, female 356.5
GTEX-SE5C-2126-SM-4BRUJ 40-49 years, female 354.8
GTEX-12WSN-1326-SM-5GCNT 40-49 years, male 353.9
GTEX-ZYW4-0826-SM-5GIDG 60-69 years, male 353.8
GTEX-11EQ9-1826-SM-5Q5AJ 30-39 years, male 351.7
GTEX-X261-0626-SM-3NMD9 50-59 years, male 351.3
GTEX-Y114-2026-SM-4TT7L 50-59 years, female 343.7
GTEX-XYKS-1326-SM-4BRUN 60-69 years, female 342.9
GTEX-ZA64-1526-SM-5CVMD 20-29 years, male 342.5
GTEX-1KANC-1426-SM-CYPT9 50-59 years, female 342.4
GTEX-ZQG8-0726-SM-5P9H9 60-69 years, female 338.9
GTEX-117YX-1426-SM-5H12H 50-59 years, male 338.2
GTEX-15EOM-5019-SM-793DK 20-29 years, female 338.2
GTEX-14PKU-0426-SM-6EU1P 40-49 years, female 337.5
GTEX-15G19-2126-SM-6M48J 60-69 years, male 332.4
GTEX-1F5PK-2126-SM-7PC28 50-59 years, male 331.1
GTEX-1C6VQ-0426-SM-79OOX 50-59 years, male 331.0
GTEX-YB5E-1726-SM-5IFJ3 40-49 years, male 328.4
GTEX-1NHNU-0926-SM-E9J2T 50-59 years, male 327.8
GTEX-Y5V6-2126-SM-4WWFX 60-69 years, male 326.2
GTEX-15UF7-0726-SM-6M46D 40-49 years, male 321.6
GTEX-ZTTD-1026-SM-51MRD 50-59 years, male 321.5
GTEX-14E6E-1326-SM-5S2NR 30-39 years, male 321.0
GTEX-Y9LG-1426-SM-5IFJZ 30-39 years, male 319.0
GTEX-T5JW-2026-SM-4DM63 20-29 years, female 318.7
GTEX-XV7Q-2326-SM-4BRVZ 40-49 years, female 318.6
GTEX-1ICLZ-0426-SM-B2LW2 60-69 years, male 317.8
GTEX-ZZ64-1226-SM-5E43R 20-29 years, male 316.8
GTEX-R55D-0826-SM-48FEA 50-59 years, male 314.2
GTEX-14753-2426-SM-5LU8U 60-69 years, male 313.9
GTEX-YB5K-1626-SM-5IFIN 40-49 years, female 313.6
GTEX-1RLM8-2226-SM-EVYD1 50-59 years, male 312.1
GTEX-1HR9M-2426-SM-ACKXI 60-69 years, male 311.8
GTEX-1IDJF-2326-SM-ARL86 20-29 years, male 306.9
GTEX-Y8E4-1626-SM-5S2MW 40-49 years, male 299.8
GTEX-139T6-1626-SM-5PNYZ 50-59 years, male 299.6
GTEX-YEC3-1026-SM-5IFI5 50-59 years, male 297.4
GTEX-132AR-0826-SM-5EGK6 50-59 years, female 296.5
GTEX-U412-1826-SM-4DXTJ 60-69 years, male 295.4
GTEX-1S82Z-0726-SM-E6CHX 30-39 years, female 295.1
GTEX-11I78-2226-SM-5PNYA 50-59 years, female 292.7
GTEX-12BJ1-1826-SM-5HL9N 60-69 years, male 292.1
GTEX-PSDG-1626-SM-48TCQ 50-59 years, male 290.7
GTEX-1HSMO-0826-SM-ADEIV 60-69 years, male 289.7
GTEX-183FY-1126-SM-7DHLJ 20-29 years, male 287.7
GTEX-11O72-2126-SM-5N9FO 40-49 years, male 287.1
GTEX-1AMEY-1026-SM-718AA 30-39 years, female 284.8
GTEX-14AS3-1626-SM-5S2OY 40-49 years, female 284.2
GTEX-1J8Q3-1326-SM-CMKI1 60-69 years, male 284.1
GTEX-1QP9N-1826-SM-E8VMP 30-39 years, male 283.6
GTEX-YFCO-1826-SM-4W1YH 40-49 years, male 282.8
GTEX-1LC47-1226-SM-D4P44 60-69 years, male 282.2
GTEX-13O3Q-2226-SM-5KM4O 50-59 years, male 281.9
GTEX-13W3W-1226-SM-5LU4H 60-69 years, female 278.2
GTEX-14ABY-2126-SM-5QGQZ 50-59 years, male 278.1
GTEX-ZQUD-1926-SM-51MSA 30-39 years, male 277.9
GTEX-145MO-0826-SM-5NQBL 60-69 years, male 277.5
GTEX-1CB4J-1826-SM-7EWF9 60-69 years, male 276.9
GTEX-1117F-2826-SM-5GZXL 60-69 years, female 276.6
GTEX-ZVT2-1826-SM-5NQ8W 50-59 years, female 275.8
GTEX-1399U-1826-SM-5PNZ1 50-59 years, female 275.6
GTEX-1H11D-1526-SM-9MQJY 40-49 years, male 275.6
GTEX-1M4P7-2626-SM-E9U5F 60-69 years, male 275.2
GTEX-1B8SG-1226-SM-7IGPF 50-59 years, male 274.7
GTEX-14B4R-1226-SM-5TDDT 30-39 years, male 274.6
GTEX-1S82U-1126-SM-E9U6I 30-39 years, female 273.4
GTEX-17MF6-0326-SM-7EPH5 40-49 years, male 271.5
GTEX-1R46S-2526-SM-E8VN2 60-69 years, female 270.5
GTEX-1GPI7-0926-SM-7PC3J 20-29 years, male 268.5
GTEX-17F98-0526-SM-79OK5 40-49 years, female 268.2
GTEX-XGQ4-0926-SM-4AT4U 50-59 years, male 267.2
GTEX-17F97-2526-SM-7EWDV 50-59 years, male 266.4
GTEX-1IGQW-0926-SM-ADEH6 60-69 years, male 265.1
GTEX-1C6VS-0726-SM-7EPHF 60-69 years, male 261.7
GTEX-14BMV-0626-SM-793AU 50-59 years, male 261.2
GTEX-1QPFJ-2026-SM-EVYBE 30-39 years, female 261.2
GTEX-13FTW-1426-SM-5LZWZ 40-49 years, male 260.2
GTEX-16BQI-1026-SM-7KUEA 30-39 years, female 260.1
GTEX-1HCU9-0326-SM-9WYSC 20-29 years, male 260.1
GTEX-1IDJH-2226-SM-E6CJV 70-79 years, male 258.0
GTEX-1HFI7-0126-SM-CGQFQ 50-59 years, female 257.8
GTEX-1OKEX-0826-SM-E9J2B 60-69 years, male 257.0
GTEX-14PHY-1926-SM-5YY95 60-69 years, female 256.3
GTEX-UTHO-1026-SM-3GAF7 60-69 years, male 256.3
GTEX-ZY6K-1626-SM-5GZWV 50-59 years, male 256.3
GTEX-145LT-0726-SM-5S2VM 40-49 years, male 255.0
GTEX-13FTX-1126-SM-5N9EN 20-29 years, female 253.7
GTEX-12WSM-1726-SM-5BC6J 60-69 years, male 251.4
GTEX-1H1ZS-0126-SM-9YFKQ 70-79 years, male 249.2
GTEX-1JJEA-2726-SM-ARL8V 60-69 years, male 249.1
GTEX-17EVQ-0426-SM-7LG57 70-79 years, male 249.0
GTEX-1LG7Z-0726-SM-CXKYD 30-39 years, male 248.5
GTEX-ZAB4-2526-SM-5HL8M 40-49 years, male 248.4
GTEX-1AX8Z-0926-SM-731AW 60-69 years, male 247.8
GTEX-ZV7C-1826-SM-5NQ83 50-59 years, male 247.6
GTEX-133LE-1726-SM-5K7VQ 20-29 years, female 246.2
GTEX-ZTPG-2826-SM-57WGA 20-29 years, female 244.7
GTEX-WOFL-0826-SM-3MJG1 60-69 years, male 243.8
GTEX-14DAR-1326-SM-7DUEG 50-59 years, male 243.6
GTEX-ZDXO-0126-SM-5S2ND 60-69 years, male 243.0
GTEX-1PDJ9-1126-SM-EXUSW 20-29 years, male 242.5
GTEX-Y3I4-1526-SM-4TT7K 50-59 years, male 240.2
GTEX-XUZC-1626-SM-4BRVP 30-39 years, female 239.5
GTEX-1PPGY-1526-SM-EVYBK 60-69 years, male 239.4
GTEX-1I6K6-0826-SM-ARL7Z 30-39 years, male 239.1
GTEX-1LGRB-1826-SM-CNPQL 50-59 years, female 238.6
GTEX-17HGU-1326-SM-79OKB 50-59 years, male 237.4
GTEX-18D9A-1526-SM-7LG4J 30-39 years, female 237.3
GTEX-11LCK-2426-SM-5HL5F 30-39 years, male 237.1
GTEX-T2IS-1526-SM-32QPR 20-29 years, female 236.9
GTEX-1J8Q2-2726-SM-A9G2X 60-69 years, male 234.4
GTEX-1122O-1226-SM-5H113 60-69 years, female 233.8
GTEX-XQ8I-2426-SM-4WAXY 50-59 years, male 233.5
GTEX-13NZ9-1026-SM-5MR5K 50-59 years, male 233.3
GTEX-ZV6S-1826-SM-5NQ8D 40-49 years, female 232.8
GTEX-1IKOE-1326-SM-CE6T6 30-39 years, female 232.4
GTEX-1HC8U-0826-SM-ADEIL 40-49 years, female 232.2
GTEX-18A7B-2626-SM-7LG55 70-79 years, male 231.5
GTEX-13SLX-2326-SM-5ZZWE 50-59 years, female 231.4
GTEX-ZAJG-0626-SM-5HL8X 50-59 years, female 231.1
GTEX-1QCLZ-2326-SM-DTXDO 60-69 years, female 230.6
GTEX-1JJE9-2326-SM-ARL8Q 70-79 years, male 229.8
GTEX-1NUQO-2226-SM-E9U68 20-29 years, female 229.5
GTEX-ZPIC-1126-SM-5BC7F 40-49 years, female 228.0
GTEX-1IDFM-0426-SM-B2LVV 60-69 years, male 227.9
GTEX-1JN6P-2426-SM-ARL99 60-69 years, male 226.6
GTEX-ZDTT-2126-SM-DKPOM 60-69 years, male 226.6
GTEX-1F5PL-1026-SM-7RHI1 40-49 years, female 226.1
GTEX-1R9PN-0326-SM-DTX85 40-49 years, female 225.0
GTEX-1GZ2Q-2626-SM-7MXV9 40-49 years, male 223.9
GTEX-QEL4-2126-SM-447AE 50-59 years, male 223.5
GTEX-WFON-1826-SM-3GILG 40-49 years, male 223.2
GTEX-1HBPM-0126-SM-ARL9E 60-69 years, female 222.9
GTEX-139TU-0626-SM-5KM3X 60-69 years, male 221.5
GTEX-1I4MK-1626-SM-CM2TJ 50-59 years, female 221.4
GTEX-1R9JW-0326-SM-EAZ45 30-39 years, female 221.4
GTEX-145MF-2226-SM-7EPIR 50-59 years, male 221.1
GTEX-12KS4-0126-SM-5Q5A5 30-39 years, male 220.5
GTEX-145ME-1526-SM-5Q5F2 40-49 years, female 220.2
GTEX-1B97I-0426-SM-79OL7 40-49 years, male 219.8
GTEX-QEG5-0726-SM-D4P1T 20-29 years, male 218.1
GTEX-WI4N-1426-SM-3LK7H 40-49 years, female 217.8
GTEX-X4EP-2926-SM-3P5YQ 60-69 years, female 217.2
GTEX-S7SE-0826-SM-4AT4D 50-59 years, male 217.1
GTEX-14LLW-0626-SM-62LFC 70-79 years, female 216.8
GTEX-1H3VY-0926-SM-ACKXE 50-59 years, male 216.5
GTEX-1PPH7-0826-SM-E8VNX 40-49 years, male 215.5
GTEX-16YQH-2826-SM-6PAMY 30-39 years, male 215.4
GTEX-1AX9J-1126-SM-731B7 60-69 years, male 215.0
GTEX-13SLW-2526-SM-62LDQ 70-79 years, male 214.1
GTEX-11ZUS-0826-SM-5FQUY 30-39 years, male 213.9
GTEX-13VXU-2826-SM-664MA 50-59 years, male 212.8
GTEX-T6MO-0326-SM-32QOK 40-49 years, female 212.8
GTEX-13D11-1026-SM-5IJFB 50-59 years, female 211.5
GTEX-13113-5013-SM-7SB7G 60-69 years, female 210.8
GTEX-13FHO-0826-SM-5L3E8 60-69 years, male 210.5
GTEX-1C6WA-2426-SM-7SB86 60-69 years, male 210.0
GTEX-1RQEC-2026-SM-DTXDM 60-69 years, male 210.0
GTEX-17EUY-1926-SM-7DUF6 20-29 years, male 209.6
GTEX-V955-2026-SM-3GAFA 60-69 years, male 209.6
GTEX-13OW8-0226-SM-5K7UP 60-69 years, male 209.3
GTEX-1QP29-1726-SM-E8VMQ 50-59 years, male 209.3
GTEX-17JCI-0726-SM-7EPH1 60-69 years, female 208.1
GTEX-1IOXB-1926-SM-ARL8E 50-59 years, male 208.0
GTEX-XQ3S-1326-SM-4BOPQ 20-29 years, male 207.5
GTEX-14H4A-2526-SM-5YYAY 40-49 years, female 207.2
GTEX-1GN2E-2226-SM-9WG6J 60-69 years, male 207.1
GTEX-18A66-1726-SM-7LG5N 60-69 years, male 207.0
GTEX-1JMQK-2626-SM-COH2W 60-69 years, male 205.5
GTEX-Z9EW-1526-SM-EZ6LU 40-49 years, male 205.4
GTEX-17MFQ-0926-SM-7LG4S 20-29 years, male 205.3
GTEX-1I19N-2826-SM-CL55D 70-79 years, male 204.5
GTEX-YECK-0726-SM-EZ6LV 60-69 years, male 203.7
GTEX-ZLV1-1426-SM-DO92Z 60-69 years, female 203.7
GTEX-18A6Q-0926-SM-7LG4N 60-69 years, male 203.3
GTEX-RU1J-0626-SM-4WAWY 20-29 years, female 202.2
GTEX-ZVT4-1026-SM-57WC4 50-59 years, female 200.8
GTEX-132NY-0826-SM-5K7Y7 60-69 years, male 199.4
GTEX-1GF9V-2526-SM-7SB8K 60-69 years, male 199.3
GTEX-TKQ2-1826-SM-33HB2 50-59 years, male 198.8
GTEX-17HG3-0126-SM-7IGNH 30-39 years, female 198.5
GTEX-1POEN-0926-SM-DTX88 30-39 years, female 198.4
GTEX-WFG8-2026-SM-EXOHO 20-29 years, male 198.3
GTEX-11ONC-2126-SM-5HL6E 60-69 years, male 198.2
GTEX-11NSD-0926-SM-5N9DR 20-29 years, male 197.7
GTEX-1A8G7-2426-SM-731AK 60-69 years, male 197.3
GTEX-1B8KE-1226-SM-73KWK 50-59 years, male 197.2
GTEX-145MN-1926-SM-5SIAI 30-39 years, male 197.0
GTEX-1QP28-1226-SM-E9J2M 50-59 years, female 197.0
GTEX-13O3P-0826-SM-5L3DH 50-59 years, male 196.9
GTEX-1JKYN-0726-SM-ARZMY 30-39 years, male 196.8
GTEX-S33H-0326-SM-4AD6N 30-39 years, male 196.2
GTEX-1LSVX-2426-SM-E6CJX 60-69 years, male 196.2
GTEX-1C475-1226-SM-7SB72 40-49 years, female 195.7
GTEX-183WM-0726-SM-7LTAA 70-79 years, female 195.1
GTEX-1IDJU-1826-SM-CMKHV 60-69 years, female 194.2
GTEX-XMK1-1126-SM-4IHJ8 40-49 years, male 194.1
GTEX-ZTX8-1226-SM-4YCE9 20-29 years, male 193.5
GTEX-QMRM-1626-SM-D4P1U 50-59 years, male 193.2
GTEX-S4UY-0726-SM-4AD6X 40-49 years, female 192.8
GTEX-ZVZQ-0826-SM-51MRF 60-69 years, female 192.4
GTEX-1JMOU-2026-SM-CMKGU 60-69 years, female 192.2
GTEX-11DXY-2326-SM-5GICW 60-69 years, male 191.9
GTEX-ZYFC-0826-SM-5E44K 50-59 years, male 191.1
GTEX-1MJK2-2226-SM-EVYCR 50-59 years, male 190.2
GTEX-15RJE-2626-SM-7KFT1 40-49 years, male 189.8
GTEX-1I1GV-2426-SM-CGQFM 60-69 years, male 189.0
GTEX-1E2YA-2726-SM-7IGPW 50-59 years, male 188.4
GTEX-1F75I-2026-SM-7SB7N 40-49 years, male 188.3
GTEX-11NV4-2026-SM-5N9DG 60-69 years, male 188.0
GTEX-13CF2-2026-SM-5K7VI 60-69 years, male 186.6
GTEX-1QEPI-0926-SM-DTXF3 60-69 years, female 186.4
GTEX-1NV8Z-2826-SM-E8VME 60-69 years, male 186.3
GTEX-1F75B-0626-SM-7SB8A 50-59 years, male 186.2
GTEX-VUSG-2226-SM-4KKZO 50-59 years, male 186.0
GTEX-11DXZ-1926-SM-5GZZL 50-59 years, male 185.9
GTEX-146FH-0826-SM-5SI8T 50-59 years, female 185.5
GTEX-XUW1-2326-SM-4BOO5 50-59 years, female 185.5
GTEX-ZWKS-2826-SM-5NQ74 30-39 years, male 185.1
GTEX-14BMU-1626-SM-5TDE7 20-29 years, female 184.7
GTEX-Y8LW-1626-SM-5IFHX 50-59 years, female 184.6
GTEX-1MCC2-2126-SM-EWRON 30-39 years, female 184.5
GTEX-1IE54-0626-SM-ARL8D 40-49 years, female 183.9
GTEX-1313W-0826-SM-5EQ4T 50-59 years, female 183.6
GTEX-17F96-2426-SM-7IGLN 70-79 years, male 183.6
GTEX-1MA7X-1626-SM-E9U5B 60-69 years, male 183.1
GTEX-ZGAY-1726-SM-DO91P 40-49 years, female 182.9
GTEX-1MCYP-0126-SM-E6CIS 20-29 years, female 182.1
GTEX-1A3MV-1626-SM-731C1 30-39 years, male 181.9
GTEX-11WQC-1726-SM-5GU4W 60-69 years, male 181.7
GTEX-17F9E-2526-SM-7MGW2 50-59 years, male 181.6
GTEX-1JMLX-2026-SM-CMKGN 50-59 years, male 181.5
GTEX-1B97J-0426-SM-79OLQ 50-59 years, female 181.3
GTEX-1GF9X-1026-SM-ACKX2 40-49 years, female 181.0
GTEX-VJWN-0726-SM-3GIJ8 50-59 years, female 179.9
GTEX-1AX9I-0726-SM-73KWV 60-69 years, male 179.2
GTEX-ZU9S-1926-SM-5NQBP 30-39 years, male 179.0
GTEX-1KAFJ-0226-SM-DIPEL 50-59 years, male 178.8
GTEX-13N11-1726-SM-5J1OJ 50-59 years, female 178.4
GTEX-1HBPN-2326-SM-9WPPU 50-59 years, male 177.6
GTEX-18465-2026-SM-718AP 50-59 years, male 176.5
GTEX-ZYT6-0126-SM-5E45J 30-39 years, male 175.9
GTEX-11OF3-1926-SM-59889 60-69 years, male 175.6
GTEX-13NZB-2126-SM-5MR4Y 30-39 years, male 175.5
GTEX-11EM3-1326-SM-5N9C6 20-29 years, female 175.4
GTEX-11GSO-1926-SM-5A5K3 60-69 years, male 175.3
GTEX-1BAJH-0826-SM-7EWEF 70-79 years, male 174.3
GTEX-WXYG-2226-SM-4E3IM 50-59 years, female 174.1
GTEX-1QMI2-0726-SM-E9J4F 60-69 years, male 173.7
GTEX-1KD5A-1926-SM-DKPQA 50-59 years, male 173.3
GTEX-1I1GT-1126-SM-ARL7J 60-69 years, female 172.6
GTEX-11GS4-2126-SM-5A5KR 60-69 years, male 172.5
GTEX-1LSNL-2826-SM-E9U5L 50-59 years, male 172.1
GTEX-1KANA-2026-SM-DIPFB 20-29 years, male 171.9
GTEX-XOT4-0726-SM-4GIAW 60-69 years, female 171.7
GTEX-131XW-0726-SM-5EGK3 50-59 years, female 171.2
GTEX-WHSB-1926-SM-EXOHH 50-59 years, male 170.9
GTEX-1HT8W-2226-SM-CGQEC 30-39 years, male 170.8
GTEX-14E7W-0826-SM-62LEJ 70-79 years, male 169.6
GTEX-1N2EE-2126-SM-E8VNN 60-69 years, male 169.6
GTEX-XBED-1626-SM-47JYN 60-69 years, male 169.0
GTEX-X62O-0526-SM-EWRMA 50-59 years, male 168.9
GTEX-1IDJE-0826-SM-CKZNZ 50-59 years, female 168.7
GTEX-111YS-1926-SM-5GICC 60-69 years, male 168.6
GTEX-144GL-2026-SM-5LU3O 50-59 years, male 168.2
GTEX-Y5V5-2126-SM-4WWFO 60-69 years, female 168.0
GTEX-11DXW-0626-SM-5N9ER 40-49 years, male 167.6
GTEX-QVJO-1826-SM-447C9 60-69 years, female 166.5
GTEX-13PVR-2226-SM-7DHKP 60-69 years, female 166.2
GTEX-1EKGG-2626-SM-7IGPY 60-69 years, male 166.1
GTEX-1LSNM-1326-SM-E9TJ1 50-59 years, male 166.1
GTEX-WRHU-0326-SM-3MJFY 50-59 years, female 165.5
GTEX-1R7EU-1226-SM-E8VMR 60-69 years, male 165.5
GTEX-1EU9M-2826-SM-7EWFH 60-69 years, male 165.4
GTEX-13OW5-2226-SM-5L3HC 60-69 years, male 165.2
GTEX-1JK1U-1826-SM-ARL8W 60-69 years, male 165.2
GTEX-1B933-2526-SM-7IGO5 50-59 years, female 165.0
GTEX-11GSP-0926-SM-9WYSG 60-69 years, female 164.8
GTEX-18A7A-0726-SM-7LTAI 50-59 years, female 164.5
GTEX-ZUA1-1526-SM-59HLS 40-49 years, male 164.1
GTEX-ZF3C-2326-SM-5S2NC 50-59 years, female 164.0
GTEX-15ETS-0626-SM-7KUMX 40-49 years, female 163.3
GTEX-1M5QR-2526-SM-E9U5P 40-49 years, male 163.3
GTEX-12WSK-2226-SM-5GCO5 40-49 years, female 163.2
GTEX-1H4P4-2226-SM-9MQKQ 50-59 years, male 163.1
GTEX-Y5LM-1726-SM-4VDSX 40-49 years, female 162.6
GTEX-1192X-2326-SM-5987X 50-59 years, male 162.5
GTEX-13NZ8-0126-SM-5IJCT 60-69 years, female 162.5
GTEX-1QW4Y-1026-SM-DTXE2 30-39 years, male 162.3
GTEX-1RAZQ-1226-SM-EWRNL 30-39 years, male 161.3
GTEX-117XS-1926-SM-5GICO 60-69 years, male 161.2
GTEX-YJ8O-2226-SM-5IFHW 40-49 years, female 161.2
GTEX-1HCVE-2626-SM-ADEJ8 50-59 years, male 161.2
GTEX-11P7K-0726-SM-5EGKX 30-39 years, male 160.5
GTEX-17EVP-0226-SM-79OND 40-49 years, male 160.5
GTEX-WYBS-0926-SM-3NM94 60-69 years, female 160.5
GTEX-XMD2-0926-SM-4WWEF 60-69 years, female 160.3
GTEX-1269C-2426-SM-5FQSN 60-69 years, female 160.0
GTEX-1HUB1-1626-SM-CM2SL 60-69 years, male 160.0
GTEX-QDT8-0626-SM-48TYW 30-39 years, female 159.9
GTEX-1GZHY-0726-SM-9WG6B 50-59 years, female 159.8
GTEX-Y111-2026-SM-4SOJA 50-59 years, male 159.1
GTEX-147F4-2826-SM-5NQBN 50-59 years, male 158.9
GTEX-1EN7A-1426-SM-7PBY4 40-49 years, male 158.6
GTEX-13W46-0826-SM-5LU3H 50-59 years, male 157.4
GTEX-13QIC-2326-SM-5LU5N 60-69 years, female 157.1
GTEX-1GMR2-1926-SM-9MQLZ 50-59 years, male 157.1
GTEX-1CB4E-0226-SM-79OLW 60-69 years, male 155.1
GTEX-1I6K7-1026-SM-A9SLK 40-49 years, male 155.1
GTEX-Q2AG-0326-SM-48U1O 40-49 years, female 154.9
GTEX-14A5I-0726-SM-5TDEB 50-59 years, female 154.5
GTEX-169BO-1126-SM-7MGWN 50-59 years, male 154.3
GTEX-ZEX8-2226-SM-57WC6 50-59 years, male 153.8
GTEX-1LBAC-0926-SM-CXKY9 20-29 years, male 153.8
GTEX-1314G-1226-SM-5BC6D 30-39 years, male 153.6
GTEX-ZXES-0826-SM-5E43C 30-39 years, female 153.0
GTEX-UJHI-1426-SM-3DB9C 50-59 years, female 152.0
GTEX-1F6I4-2526-SM-7SB8F 60-69 years, male 151.7
GTEX-15UF6-0126-SM-6PAMB 70-79 years, female 151.4
GTEX-1H1CY-2226-SM-9WG7E 60-69 years, female 150.4
GTEX-1LVAM-0926-SM-E9TJ2 50-59 years, female 149.8
GTEX-15ER7-1626-SM-6PAMZ 20-29 years, female 149.7
GTEX-1IKJJ-2326-SM-COH3U 60-69 years, male 149.6
GTEX-1KD4Q-2326-SM-D4P3M 40-49 years, male 149.1
GTEX-1GZ4H-0326-SM-7P8QX 50-59 years, female 149.0
GTEX-1J8QM-2026-SM-ARZMW 60-69 years, female 149.0
GTEX-1K9T9-1426-SM-DIPFQ 50-59 years, female 148.9
GTEX-ZF29-1926-SM-5S2P1 60-69 years, female 148.6
GTEX-1EWIQ-1726-SM-7SB7T 70-79 years, female 148.1
GTEX-1C64O-0726-SM-7DUFU 60-69 years, male 147.4
GTEX-1N5O9-1126-SM-DTXEQ 60-69 years, male 147.4
GTEX-15SHW-1326-SM-6PAL8 60-69 years, male 147.2
GTEX-131YS-0626-SM-5EGKL 60-69 years, female 147.1
GTEX-18QFQ-0826-SM-718AX 30-39 years, male 146.6
GTEX-Y3IK-2326-SM-4WWDT 50-59 years, female 146.1
GTEX-11PRG-0826-SM-5EQ6A 50-59 years, male 146.0
GTEX-WYJK-1326-SM-3NB2T 50-59 years, male 145.9
GTEX-1CB4G-2326-SM-79OOI 60-69 years, male 145.3
GTEX-S4P3-1326-SM-4AD6V 50-59 years, female 144.7
GTEX-ZC5H-2626-SM-5J2MG 40-49 years, female 144.6
GTEX-1RAZS-1226-SM-E8VMT 50-59 years, male 144.6
GTEX-1KXAM-1026-SM-CY8IA 60-69 years, male 144.5
GTEX-1MA7W-1026-SM-DKPQK 20-29 years, female 144.2
GTEX-1IKOH-2326-SM-CM2TW 60-69 years, female 144.0
GTEX-1HCUA-0726-SM-ACKVU 50-59 years, female 143.8
GTEX-1LNCM-0226-SM-DIPF4 50-59 years, female 143.8
GTEX-1GMRU-0826-SM-9WYT7 50-59 years, male 143.5
GTEX-1QCLY-1626-SM-DTXDW 30-39 years, male 143.3
GTEX-11EMC-2026-SM-5A5JV 60-69 years, female 143.1
GTEX-RU72-0626-SM-46MUI 50-59 years, female 142.3
GTEX-15FZZ-0726-SM-7KUFZ 30-39 years, female 142.0
GTEX-1P4AB-1826-SM-E76PU 50-59 years, male 142.0
GTEX-RWS6-1926-SM-47JXY 60-69 years, female 141.8
GTEX-17HHY-0926-SM-793C1 50-59 years, male 141.7
GTEX-1HR98-0426-SM-COH36 60-69 years, male 141.2
GTEX-11EI6-0626-SM-5985T 60-69 years, male 140.7
GTEX-1HKZK-1826-SM-ADEJ2 40-49 years, male 139.9
GTEX-139T8-0826-SM-5L3DE 60-69 years, male 139.5
GTEX-1GMR3-2626-SM-7RHHG 40-49 years, male 139.2
GTEX-1I1HK-2426-SM-ADEHX 60-69 years, male 139.2
GTEX-ZVTK-0326-SM-51MRR 20-29 years, male 138.6
GTEX-17KNJ-2026-SM-7LG53 50-59 years, male 138.5
GTEX-1B8L1-2426-SM-9WYTE 60-69 years, male 138.1
GTEX-1GPI6-0626-SM-7RHHJ 60-69 years, male 138.1
GTEX-17HHE-1426-SM-7EPH4 50-59 years, male 137.8
GTEX-16NGA-0826-SM-718AF 40-49 years, female 137.2
GTEX-ZVE2-1226-SM-5NQ8R 50-59 years, male 136.9
GTEX-T5JC-2126-SM-32PMO 20-29 years, male 136.8
GTEX-1GZ4I-2826-SM-9MQK5 50-59 years, male 136.6
GTEX-1J8EW-2626-SM-CL53E 60-69 years, female 136.4
GTEX-S341-1526-SM-4AD6K 40-49 years, female 136.2
GTEX-1R9PM-1826-SM-EVYBH 20-29 years, male 136.1
GTEX-12ZZX-1126-SM-5EGKB 40-49 years, female 135.8
GTEX-R53T-1526-SM-48FEK 50-59 years, female 135.7
GTEX-1GN1W-1926-SM-7P8TH 50-59 years, female 134.7
GTEX-T6MN-0726-SM-32PML 50-59 years, male 133.5
GTEX-1HSGN-1526-SM-A9SMO 40-49 years, female 132.9
GTEX-UPK5-2326-SM-3P5Z8 40-49 years, male 132.8
GTEX-X15G-1626-SM-3NMB3 50-59 years, female 132.8
GTEX-1JKYR-0926-SM-CMKGJ 20-29 years, male 132.5
GTEX-1K2DA-1726-SM-CGQGS 50-59 years, male 132.5
GTEX-1CAMS-1426-SM-7IGPM 40-49 years, female 130.5
GTEX-T2YK-2226-SM-32QPT 50-59 years, male 130.0
GTEX-11P81-1926-SM-5BC53 30-39 years, female 129.1
GTEX-13FTY-2226-SM-5J1ND 40-49 years, female 126.9
GTEX-R3RS-0626-SM-48FE1 40-49 years, female 126.8
GTEX-ZZPU-0626-SM-5E43T 50-59 years, female 126.8
GTEX-YFC4-1426-SM-5IFJG 40-49 years, female 126.5
GTEX-XMD1-0826-SM-4AT52 60-69 years, male 125.7
GTEX-1H1E6-0926-SM-9YFLT 30-39 years, male 124.8
GTEX-TMMY-0726-SM-33HBE 40-49 years, female 124.7
GTEX-1JMPY-0526-SM-CL54O 30-39 years, male 123.6
GTEX-TML8-1226-SM-32QON 40-49 years, female 123.5
GTEX-13PL6-2926-SM-5L3I2 40-49 years, female 121.7
GTEX-1GMR8-0726-SM-9KNVI 50-59 years, female 121.6
GTEX-1B932-0826-SM-73KXG 40-49 years, female 121.5
GTEX-WYVS-1726-SM-3NMAY 40-49 years, female 121.3
GTEX-1LVAN-1326-SM-CNPQE 50-59 years, female 118.7
GTEX-1B8KZ-1526-SM-7DUG7 50-59 years, male 117.6
GTEX-1GN1U-0526-SM-9KNTT 50-59 years, female 117.1
GTEX-U3ZN-1926-SM-4DXSG 30-39 years, female 116.3
GTEX-1IY9M-2726-SM-CMKG5 60-69 years, male 115.3
GTEX-132Q8-1426-SM-5EGK7 60-69 years, male 114.8
GTEX-1HSKV-2026-SM-CMKGX 60-69 years, male 114.5
GTEX-W5X1-2326-SM-3GIL6 40-49 years, female 114.0
GTEX-U3ZH-1426-SM-4DXSR 30-39 years, male 112.9
GTEX-ZAK1-1326-SM-EVYAS 50-59 years, female 112.4
GTEX-1JMPZ-1626-SM-COH31 30-39 years, male 112.2
GTEX-1F75A-1826-SM-7SB8G 50-59 years, male 105.0
GTEX-ZF2S-2026-SM-5E461 50-59 years, female 103.4
Show allShow less

BREAST - FANTOM5 CAGEi

RNA expression in human tissues obtained through Cap Analysis of Gene Expression (CAGE) generated by the FANTOM5 project are reported as Scaled Tags Per Million.

Max subtype Scaled Tags Per Millioni

Max subtype Scaled Tags Per Million is the value for the subtype with the largest average Scaled Tags Per Million across the subtype samples.

220.7
FANTOM5 sample id Sample description Scaled Tags Per Million
Breast
Scaled Tags Per Million: 220.7
FF:10080-102A8 77 years, female 220.7

Contact

  • NEWS ARTICLES
  • PRESS ROOM

The Project

  • INTRODUCTION
  • ORGANIZATION
  • PUBLICATIONS

The Human Protein Atlas

  • DOWNLOADABLE DATA
  • LICENCE & CITATION
  • HELP & FAQ
The Human Protein Atlas project is funded
by the Knut & Alice Wallenberg Foundation.


contact@proteinatlas.org