We use cookies to enhance the usability of our website. If you continue, we'll assume that you are happy to receive all cookies. More information. Don't show this again.
EIF5A
HPA
RESOURCES
  • TISSUE
  • BRAIN
  • SINGLE CELL
  • SUBCELLULAR
  • CANCER
  • BLOOD
  • CELL LINE
  • STRUCTURE & INTERACTION
ABOUT
  • INTRODUCTION
  • HISTORY
  • ORGANIZATION
  • PUBLICATIONS
  • ANTIBODY SUBMISSION
  • ANTIBODY AVAILABILITY
  • ACKNOWLEDGMENTS
  • CONTACT
NEWS
  • NEWS ARTICLES
  • PRESS ROOM
LEARN
  • DICTIONARY
  • PROTEIN CLASSES
  • PROTEIN EVIDENCE
  • METHODS
  • EDUCATIONAL VIDEOS
DATA
  • DOWNLOADABLE DATA
  • PUBLICATION DATA
  • RELEASE HISTORY
HELP
  • ANTIBODY VALIDATION
  • ASSAYS & ANNOTATION
  • DISCLAIMER
  • HELP & FAQ
  • PRIVACY STATEMENT
  • LICENCE & CITATION
Fields »
Search result

Field
Term
Gene name
Class
Subclass
Class
Keyword
Chromosome
External id
Tissue
Cell type
Expression
Antibody panel
Tissue
Main location
Patient ID
Annotation
Tissue
Category
Tau score
Cluster
Reliability
Brain region
Category
Tau score
Brain region
Category
Tau score
Brain region
Category
Tau score
Cluster
Reliability
Tissue
Cell type
Enrichment
Cell type
Category
Tau score
Cell type
Category
Tau score
Cell type
Category
Tau score
Cell lineage
Category
Tau score
Cluster
Cluster
Location
Searches
Location
Cell line
Class
Type
Phase
Reliability
Cancer
Prognosis
Cancer
Category
Cancer
Category
Tau score
Cluster
Variants
Interacting gene (ensg_id)
Type
Number of interactions
Pathway
Category
Score
Score
Score
Validation
Validation
Validation
Validation
Antibodies
Data type
Column


  • SUMMARY

  • TISSUE

  • BRAIN

  • SINGLE CELL

  • SUBCELL

  • CANCER

  • BLOOD

  • CELL LINE

  • STRUCT & INT

  • EIF5A
TISSUE PRIMARY DATA PANCREAS Show tissue menu
ADIPOSE TISSUE ADRENAL GLAND AMYGDALA APPENDIX BASAL GANGLIA BONE MARROW BREAST BRONCHUS CEREBELLUM CEREBRAL CORTEX CERVIX CHOROID PLEXUS COLON DUODENUM
ENDOMETRIUM EPIDIDYMIS ESOPHAGUS FALLOPIAN TUBE GALLBLADDER HEART MUSCLE HIPPOCAMPAL FORMATION HYPOTHALAMUS KIDNEY LIVER LUNG LYMPH NODE MIDBRAIN NASOPHARYNX
ORAL MUCOSA OVARY PANCREAS PARATHYROID GLAND PITUITARY GLAND PLACENTA PROSTATE RECTUM RETINA SALIVARY GLAND SEMINAL VESICLE SKELETAL MUSCLE SKIN SMALL INTESTINE
SMOOTH MUSCLE SOFT TISSUE SPINAL CORD SPLEEN STOMACH TESTIS THYMUS THYROID GLAND TONGUE TONSIL URINARY BLADDER VAGINA
ANTIBODIES
AND
VALIDATION
Dictionary
Pancreas
Tissue proteome
Pancreas
PANCREAS - Expression summary
Protein expression
Pancreasi

On the top, protein expression in current human tissue, based on all annotated cell types, is reported with the units not detected (n), low (l), medium (m) and high (h). Underneath, protein expression in each annotated cell type are reported using the same units.

Protein expression data is based on knowledge-based annotation. For genes where more than one antibody has been used, a collective score is set.

If knowledge-based annotation could not be performed for a gene, no data is displayed here. View antibody staining data further down this page.

h
m
l
n
Exocrine glandular cells: High
Pancreatic endocrine cells: Low
RNA expressioni

A summary of mRNA expression data available for current tissue based on several datasets. The mRNA expression levels in human tissues are based on RNA-seq data generated by the Human Protein Atlas (HPA), Genotype-Tissue Expression (GTEx) portal and CAGE data generated by the FANTOM5 consortium. Consensus normalized expression levels for human tissues was created by combining the data from HPA and GTEx datasets.

The mRNA expression levels in pig are based on RNA-seq data generated by the Human Protein Atlas (HPA), and for mouse, HPA data and in situ hybridization generated by the Allen brain atlas are reported.

Scroll down to view mRNA expression data in more detail.
Consensus:286.4 nTPM
HPA:132.1 nTPM
GTEx:286.4 nTPM
FANTOM5:808.1 Scaled Tags Per Million

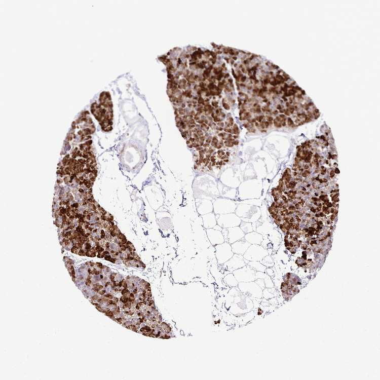
PANCREAS - Antibody stainingi

Antibody staining in the annotated cell types in the current human tissue is reported as not detected, low, medium, or high, based on conventional immunohistochemistry profiling in selected tissues. This score is based on the combination of the staining intensity and fraction of stained cells.

Each image is clickable and will lead to virtual microscopy that enables deeper exploration of all samples and also displays staining intensity scores, fraction scores and subcellular localization as well as patient and tissue information for each sample.

Antibody HPA061298Antibody CAB005042
Exocrine glandular cells HighHigh
Pancreatic endocrine cells LowLow




PANCREAS - HPA RNA-seqi

The RNA-seq details section shows detailed information about the individual samples used for the transcript profiling and results of the RNA-seq analysis.

Information about each individual sample is listed below, including gender, age, a tissue section image and estimated fractions of cell types. nTPM (normalized transcripts per million) values give a quantification of the gene abundance which is comparable between different genes and samples.
Average nTPMi

Max subtype nTPM is the value for the subtype with the largest average nTPM across the subtype samples.

132.1
overview
Female, age 59
Pancreas sample 194
nTPM: 142.4
Cell types%
Exocrine glandular cells:
75

Pancreatic endocrine cells:
10

Ductal cells:
5

Other cell types:
10

overview
Male, age 60
Pancreas sample 195
nTPM: 121.7
Cell types%
Exocrine glandular cells:
90

Pancreatic endocrine cells:
5

Ductal cells:
5


PANCREAS - GTEx RNA-seqi

RNA-Seq data generated by the Genotype-Tissue Expression (GTEx) project from human tissues is reported as mean nTPM. More information can be found on the GTEx portal.

Distribution across the dataset is visualized with box plots, shown as median and 25th and 75th percentiles. Points are displayed as outliers if they are above or below 1.5 times the interquartile range. nTPM values of the individual samples are presented next to the box plot.
Max subtype nTPMi

Max subtype nTPM is the value for the subtype with the largest average nTPM across the subtype samples.

286.4
GTEx sample id Sample description nTPM
Pancreas
Average nTPM: 286.4
Samples: 328

Max nTPM: 762.6
Min nTPM: 124.0
Std nTPM: 76.5
Median nTPM: 272.9
GTEX-1H1DG-1426-SM-9OSXP 70-79 years, male 762.6
GTEX-13O1R-1826-SM-5KM3B 60-69 years, male 610.9
GTEX-QESD-0226-SM-447BH 20-29 years, male 565.6
GTEX-17MF6-1426-SM-7IGOX 40-49 years, male 546.8
GTEX-14PJO-1826-SM-69LPR 60-69 years, male 518.4
GTEX-XXEK-1726-SM-4BRVB 50-59 years, male 511.8
GTEX-13CF3-1026-SM-5LZWY 60-69 years, female 486.9
GTEX-13U4I-1526-SM-5IFFF 40-49 years, female 473.0
GTEX-11XUK-0626-SM-5N9ES 40-49 years, female 469.4
GTEX-1C6VQ-1726-SM-7IGLQ 50-59 years, male 461.1
GTEX-16Z82-1726-SM-7MGX3 60-69 years, male 460.5
GTEX-1PFEY-1126-SM-DPRZ3 30-39 years, male 453.0
GTEX-ZYY3-0826-SM-5E44R 60-69 years, female 452.7
GTEX-1CAMR-1126-SM-7MGXF 20-29 years, male 444.5
GTEX-1N2EF-2126-SM-DPRYL 60-69 years, male 441.3
GTEX-1339X-1026-SM-5IFH5 40-49 years, male 433.5
GTEX-1PBJI-2126-SM-DPRYG 20-29 years, female 431.8
GTEX-15ER7-1326-SM-6LPK9 20-29 years, female 421.7
GTEX-148VI-0826-SM-5TDDI 60-69 years, female 420.0
GTEX-U8XE-2026-SM-3DB8S 30-39 years, male 415.6
GTEX-OOBK-1026-SM-48TC2 40-49 years, male 403.1
GTEX-ZLWG-0326-SM-4WWC7 50-59 years, female 401.7
GTEX-1128S-0826-SM-5GZZI 60-69 years, female 398.8
GTEX-1PPH8-2326-SM-EAZ48 20-29 years, male 393.0
GTEX-1A3MW-1926-SM-7IGM8 60-69 years, female 392.7
GTEX-144GM-0726-SM-79OJQ 20-29 years, male 390.4
GTEX-14PJN-1526-SM-6AJBP 30-39 years, male 387.8
GTEX-WFG7-0426-SM-4LMK5 20-29 years, male 385.1
GTEX-1QPFJ-2226-SM-EXOJW 30-39 years, female 382.7
GTEX-1I1GQ-2226-SM-B2LX1 50-59 years, male 381.8
GTEX-T8EM-0826-SM-4DM76 40-49 years, male 380.4
GTEX-14ICL-1126-SM-5S2RE 30-39 years, male 379.3
GTEX-11GSP-0426-SM-5A5KX 60-69 years, female 378.1
GTEX-1F5PL-0726-SM-7MKH8 40-49 years, female 377.4
GTEX-13SLX-1326-SM-5S2QS 50-59 years, female 376.7
GTEX-14JG6-0426-SM-68715 30-39 years, female 372.1
GTEX-1R46S-1426-SM-EXOJD 60-69 years, female 371.1
GTEX-11ONC-0526-SM-5BC57 60-69 years, male 365.1
GTEX-PSDG-1526-SM-48TCY 50-59 years, male 362.5
GTEX-14PN3-0126-SM-6AJAU 60-69 years, female 362.2
GTEX-WHPG-0326-SM-4M1XV 50-59 years, male 358.5
GTEX-1AX9K-2026-SM-731D1 50-59 years, male 358.4
GTEX-OIZF-1026-SM-2HML5 60-69 years, male 355.9
GTEX-P4PP-1026-SM-3NM9O 30-39 years, female 355.7
GTEX-1C64O-1426-SM-7EWER 60-69 years, male 355.5
GTEX-WFG8-0326-SM-4LVN4 20-29 years, male 355.3
GTEX-1497J-0426-SM-5Q5CO 60-69 years, male 354.7
GTEX-ZEX8-1026-SM-4WKHE 50-59 years, male 351.7
GTEX-OOBJ-1026-SM-3NB2L 60-69 years, male 350.2
GTEX-YB5E-0526-SM-4VDSD 40-49 years, male 347.6
GTEX-OIZI-1526-SM-E6CHI 40-49 years, male 347.6
GTEX-11TT1-0326-SM-5LUAY 20-29 years, male 346.1
GTEX-17F98-0426-SM-79ONZ 40-49 years, female 345.9
GTEX-14DAR-0526-SM-664MX 50-59 years, male 345.7
GTEX-XBED-0226-SM-47JY8 60-69 years, male 343.7
GTEX-UJHI-0626-SM-3DB8T 50-59 years, female 343.5
GTEX-ZV7C-0726-SM-59HKH 50-59 years, male 343.1
GTEX-15FZZ-0626-SM-7KFTO 30-39 years, female 339.4
GTEX-ZAB4-1726-SM-5HL8C 40-49 years, male 338.8
GTEX-1RAZQ-1426-SM-EV7B2 30-39 years, male 337.3
GTEX-XV7Q-0926-SM-4BRVQ 40-49 years, female 336.3
GTEX-Y9LG-0726-SM-4VDS3 30-39 years, male 336.2
GTEX-14C39-1026-SM-73KWG 40-49 years, male 335.0
GTEX-13VXT-1226-SM-5LU3M 20-29 years, female 334.6
GTEX-WYJK-2426-SM-4ONDQ 50-59 years, male 333.6
GTEX-13N11-0226-SM-5KM3C 50-59 years, female 332.9
GTEX-18A6Q-1726-SM-7LT9A 60-69 years, male 329.9
GTEX-12WSG-1026-SM-5EGII 50-59 years, female 329.5
GTEX-QDVJ-1226-SM-48U1V 50-59 years, male 327.6
GTEX-11VI4-0426-SM-5EGHZ 40-49 years, female 327.4
GTEX-1I1GT-0926-SM-AHZ2G 60-69 years, female 326.9
GTEX-T5JW-0226-SM-4DM7I 20-29 years, female 326.0
GTEX-15SHV-1526-SM-6LLIB 60-69 years, male 324.0
GTEX-SE5C-0326-SM-4BRWX 40-49 years, female 323.6
GTEX-1O97I-1726-SM-EXOIP 60-69 years, male 323.5
GTEX-1399S-0326-SM-5IFFS 30-39 years, female 323.2
GTEX-145MO-2126-SM-5Q5CZ 60-69 years, male 323.1
GTEX-13FLV-0626-SM-5IFEY 50-59 years, male 322.3
GTEX-1NSGN-1726-SM-EXOJG 50-59 years, male 321.7
GTEX-RM2N-0326-SM-48FD8 50-59 years, male 321.5
GTEX-PLZ6-0726-SM-3P619 30-39 years, male 320.5
GTEX-TML8-0526-SM-32QOQ 40-49 years, female 319.6
GTEX-1B996-1326-SM-731EO 60-69 years, male 319.2
GTEX-XBEW-1626-SM-4SOJP 40-49 years, male 319.1
GTEX-131XG-1426-SM-5GCMO 50-59 years, female 318.5
GTEX-1211K-1126-SM-5EGGB 60-69 years, female 318.4
GTEX-1L5NE-0826-SM-DHXKU 50-59 years, male 316.8
GTEX-14PJ4-0726-SM-6872E 60-69 years, male 316.7
GTEX-WFON-0626-SM-4LVLX 40-49 years, male 316.6
GTEX-S3XE-0526-SM-4AD4G 50-59 years, male 315.4
GTEX-1PWST-1526-SM-EXOIT 70-79 years, male 314.4
GTEX-139YR-1526-SM-5IFJ1 50-59 years, male 314.2
GTEX-ZDTT-1126-SM-4WKFW 60-69 years, male 313.7
GTEX-18A67-1726-SM-7KFT9 50-59 years, male 313.4
GTEX-1CAMQ-1626-SM-7MGXG 40-49 years, male 312.8
GTEX-Q2AH-0926-SM-48TZK 40-49 years, male 312.4
GTEX-ZYW4-2126-SM-59HJ9 60-69 years, male 312.2
GTEX-14PJM-2126-SM-6AJAS 50-59 years, female 311.3
GTEX-Y8LW-1026-SM-5IFJY 50-59 years, female 310.7
GTEX-1I4MK-1026-SM-AHZ2H 50-59 years, female 310.7
GTEX-X4LF-0326-SM-4QAS9 50-59 years, male 310.6
GTEX-15UF7-0826-SM-6M46E 40-49 years, male 309.5
GTEX-1QP29-1926-SM-DPRZO 50-59 years, male 309.2
GTEX-WH7G-0826-SM-4LVMR 40-49 years, male 309.0
GTEX-WRHK-0226-SM-4MVOH 20-29 years, female 308.7
GTEX-QV44-0426-SM-4R1KF 50-59 years, male 308.6
GTEX-11EQ9-1026-SM-5H134 30-39 years, male 306.8
GTEX-1H23P-2026-SM-9OSXY 60-69 years, male 306.5
GTEX-1JKYN-0426-SM-CGQG2 30-39 years, male 306.5
GTEX-WY7C-1026-SM-4OND3 50-59 years, male 306.3
GTEX-S95S-0726-SM-4B64H 60-69 years, male 305.9
GTEX-1IDJC-0526-SM-AHZ2Q 50-59 years, male 305.4
GTEX-ZTPG-1026-SM-5DUWP 20-29 years, female 304.1
GTEX-14PHY-1126-SM-664OR 60-69 years, female 303.3
GTEX-146FQ-1526-SM-5Q5CX 30-39 years, male 299.5
GTEX-WI4N-1826-SM-4OOSF 40-49 years, female 299.0
GTEX-1AMFI-0726-SM-731D9 50-59 years, female 298.6
GTEX-YEC4-1326-SM-5IFHG 40-49 years, male 297.0
GTEX-1KANA-1526-SM-CXZKG 20-29 years, male 297.0
GTEX-13YAN-2126-SM-5Q5C4 60-69 years, male 295.7
GTEX-132QS-0926-SM-5P9GB 60-69 years, male 294.8
GTEX-13O61-2126-SM-5IJEO 60-69 years, male 293.3
GTEX-1MUQO-1426-SM-DPRYJ 60-69 years, male 293.2
GTEX-YF7O-1326-SM-4W1ZR 50-59 years, male 292.8
GTEX-144FL-1526-SM-5Q5CA 50-59 years, male 291.9
GTEX-1LSNM-0726-SM-DHXL1 50-59 years, male 290.3
GTEX-1CB4I-1326-SM-79OLY 50-59 years, male 289.4
GTEX-14PHX-2026-SM-6872C 50-59 years, male 289.3
GTEX-13FH7-1426-SM-5IFIC 50-59 years, female 289.2
GTEX-14E6E-1426-SM-5RQI2 30-39 years, male 289.0
GTEX-14PKU-0626-SM-6EU1Q 40-49 years, female 287.9
GTEX-178AV-0226-SM-793B7 40-49 years, male 287.8
GTEX-117YX-0226-SM-5EGH6 50-59 years, male 286.8
GTEX-15RIF-0626-SM-6LLI3 20-29 years, male 286.1
GTEX-XQ8I-1926-SM-4BOOK 50-59 years, male 284.2
GTEX-13OVI-0526-SM-5IFFQ 60-69 years, female 284.0
GTEX-1IDJU-0326-SM-CGQEE 60-69 years, female 283.8
GTEX-145MN-1426-SM-5SI9H 30-39 years, male 283.7
GTEX-YEC3-0626-SM-CMKFG 50-59 years, male 283.7
GTEX-15UKP-1326-SM-6LPI8 20-29 years, male 283.6
GTEX-11NSD-0526-SM-5A5LT 20-29 years, male 283.3
GTEX-ZDYS-2526-SM-4WKGU 50-59 years, male 282.9
GTEX-11LCK-0226-SM-5A5M6 30-39 years, male 282.5
GTEX-13FTW-0526-SM-5IFIP 40-49 years, male 282.5
GTEX-1I1GU-0326-SM-AHZ2K 40-49 years, male 282.1
GTEX-1OKEX-1726-SM-E9U4F 60-69 years, male 281.9
GTEX-1C2JI-0926-SM-731F1 50-59 years, male 281.0
GTEX-ZLFU-0726-SM-57WF6 40-49 years, male 280.6
GTEX-XPVG-0326-SM-4B653 50-59 years, male 280.3
GTEX-1C4CL-0926-SM-79OL2 30-39 years, male 280.0
GTEX-15EU6-1126-SM-68721 50-59 years, male 279.4
GTEX-XUW1-1726-SM-4BOOZ 50-59 years, female 277.7
GTEX-15CHR-2026-SM-7MXU2 50-59 years, male 277.0
GTEX-1KXAM-0226-SM-EV7AP 60-69 years, male 276.8
GTEX-15DYW-1626-SM-6LLI1 60-69 years, female 276.4
GTEX-14PJ3-0426-SM-6LLHF 50-59 years, male 276.1
GTEX-Y5LM-0526-SM-4V6G3 40-49 years, female 274.8
GTEX-1HSGN-1426-SM-A8NAA 40-49 years, female 274.8
GTEX-1K2DU-1026-SM-DHXKC 20-29 years, male 274.8
GTEX-15SB6-0226-SM-6LLIA 50-59 years, female 274.3
GTEX-11DXX-0926-SM-5H112 60-69 years, female 274.2
GTEX-12WSK-0226-SM-5BC62 40-49 years, female 273.9
GTEX-14PKV-0926-SM-6AJB4 20-29 years, female 273.9
GTEX-18A7A-1726-SM-7LT93 50-59 years, female 272.9
GTEX-14PJ6-0926-SM-686ZA 60-69 years, female 272.8
GTEX-1B8KZ-0926-SM-731D7 50-59 years, male 272.6
GTEX-Y8E4-1326-SM-5IFIY 40-49 years, male 271.9
GTEX-ZVZP-0626-SM-59HL5 50-59 years, male 271.9
GTEX-ZYFG-0826-SM-5BC5T 60-69 years, female 271.9
GTEX-1LVAN-1226-SM-CNNQY 50-59 years, female 271.7
GTEX-YFCO-1026-SM-5LU9S 40-49 years, male 271.3
GTEX-1H11D-0926-SM-9OSXO 40-49 years, male 271.3
GTEX-QMRM-0326-SM-CKZNB 50-59 years, male 271.0
GTEX-R55D-1426-SM-48FEN 50-59 years, male 270.9
GTEX-S33H-1226-SM-4AD69 30-39 years, male 270.9
GTEX-18A66-2126-SM-7189D 60-69 years, male 270.4
GTEX-YB5K-1826-SM-5IFJC 40-49 years, female 269.9
GTEX-13PVR-0726-SM-5S2PX 60-69 years, female 268.6
GTEX-SNOS-0926-SM-4DM7A 40-49 years, male 268.1
GTEX-111CU-0526-SM-5EGHK 50-59 years, male 267.9
GTEX-Q2AI-0426-SM-48U13 40-49 years, male 267.7
GTEX-ZAB5-0826-SM-5P9FU 50-59 years, male 267.5
GTEX-S4P3-0626-SM-4AD59 50-59 years, female 267.3
GTEX-ZAK1-2326-SM-5CVMY 50-59 years, female 267.2
GTEX-1R7EV-1126-SM-DPRXU 40-49 years, male 266.9
GTEX-Y114-0826-SM-4TT77 50-59 years, female 266.8
GTEX-13FTX-1226-SM-5IFGN 20-29 years, female 266.7
GTEX-13D11-2226-SM-5IFEO 50-59 years, female 266.1
GTEX-1B8KE-0726-SM-72D7G 50-59 years, male 264.6
GTEX-1S83E-1426-SM-EV7B8 40-49 years, male 264.5
GTEX-ZT9W-0926-SM-57WFS 50-59 years, male 264.2
GTEX-18D9U-1626-SM-7KFTW 40-49 years, male 264.0
GTEX-1QAET-1326-SM-E9U64 50-59 years, male 263.3
GTEX-17HGU-2026-SM-79OKS 50-59 years, male 262.9
GTEX-U4B1-0726-SM-4DXUA 40-49 years, male 262.7
GTEX-ZVT2-2026-SM-5NQ8Q 50-59 years, female 262.2
GTEX-1R7EU-0726-SM-DPRZM 60-69 years, male 261.9
GTEX-ZPU1-0226-SM-4WWC9 40-49 years, male 261.3
GTEX-R53T-0426-SM-48FEM 50-59 years, female 260.9
GTEX-131XF-1426-SM-5BC68 60-69 years, male 260.5
GTEX-WHSB-0726-SM-4M1XQ 50-59 years, male 260.4
GTEX-1OFPY-0626-SM-EXOJ4 60-69 years, male 260.3
GTEX-ZP4G-0426-SM-4YCER 20-29 years, female 260.0
GTEX-1S82P-1026-SM-EAZ4W 60-69 years, female 259.8
GTEX-1A8FM-1826-SM-7MGXO 50-59 years, female 259.5
GTEX-P4QS-1026-SM-3NMCW 60-69 years, male 259.4
GTEX-1JK1U-1026-SM-AHZ44 60-69 years, male 258.6
GTEX-O5YT-1026-SM-3MJGF 20-29 years, male 258.4
GTEX-ZG7Y-0326-SM-4WWEY 50-59 years, male 258.2
GTEX-1GZ4H-0626-SM-9OSXJ 50-59 years, female 257.8
GTEX-111YS-1226-SM-5EGGJ 60-69 years, male 257.7
GTEX-PX3G-1026-SM-48TZW 20-29 years, female 257.2
GTEX-QV31-0226-SM-447BO 30-39 years, male 257.0
GTEX-QEL4-1326-SM-447AD 50-59 years, male 256.5
GTEX-QLQW-0326-SM-447A8 30-39 years, male 255.6
GTEX-W5WG-0826-SM-4RGNE 50-59 years, female 255.0
GTEX-1IL2U-2326-SM-CNNQV 60-69 years, male 254.7
GTEX-ZF29-1126-SM-4WKGO 60-69 years, female 254.2
GTEX-TKQ2-0426-SM-4DXUO 50-59 years, male 253.7
GTEX-Y3IK-0426-SM-4WWE2 50-59 years, female 252.6
GTEX-NFK9-1626-SM-3LK5J 40-49 years, male 251.7
GTEX-1H1E6-0826-SM-9WG83 30-39 years, male 251.2
GTEX-1NUQO-0826-SM-DPS16 20-29 years, female 250.5
GTEX-1N2DV-1726-SM-DPRYR 40-49 years, male 250.3
GTEX-1IDJD-0126-SM-C1YQZ 30-39 years, male 250.2
GTEX-1RAZA-1626-SM-EV79I 20-29 years, male 250.2
GTEX-S32W-0826-SM-4AD5Z 50-59 years, female 249.7
GTEX-11P7K-0526-SM-5BC5I 30-39 years, male 249.6
GTEX-1GL5R-0926-SM-9JGFO 50-59 years, male 248.7
GTEX-OXRK-1526-SM-E6CHJ 50-59 years, female 248.4
GTEX-ZPIC-0926-SM-4WWFK 40-49 years, female 248.0
GTEX-14PN4-1626-SM-6AJB5 50-59 years, male 247.8
GTEX-WFJO-0626-SM-4LVMC 30-39 years, male 247.5
GTEX-1HKZK-1126-SM-9WG82 40-49 years, male 246.9
GTEX-145ME-0326-SM-5S2QO 40-49 years, female 245.6
GTEX-1B932-1626-SM-731EA 40-49 years, female 245.3
GTEX-1122O-0726-SM-5GIEV 60-69 years, female 245.2
GTEX-12BJ1-1126-SM-5EGGG 60-69 years, male 244.1
GTEX-QDVN-0926-SM-2I5GL 50-59 years, male 243.7
GTEX-1M5QR-0926-SM-DHXK8 40-49 years, male 242.4
GTEX-Q734-0426-SM-48TZX 40-49 years, female 242.2
GTEX-11I78-0626-SM-5A5LZ 50-59 years, female 242.0
GTEX-TMMY-1326-SM-4DXU9 40-49 years, female 241.5
GTEX-WQUQ-2126-SM-4OOSO 60-69 years, male 241.5
GTEX-RWS6-1126-SM-47JXC 60-69 years, female 241.1
GTEX-1QEPI-1626-SM-EAZ3I 60-69 years, female 240.5
GTEX-1QW4Y-0926-SM-DPRY2 30-39 years, male 240.3
GTEX-1K2DA-0326-SM-CGQGX 50-59 years, male 239.2
GTEX-15RJ7-0826-SM-6LLI8 40-49 years, male 238.6
GTEX-15UF6-1826-SM-6LLI9 70-79 years, female 238.6
GTEX-1AX8Z-1726-SM-731DE 60-69 years, male 238.1
GTEX-UJMC-1126-SM-3GADP 50-59 years, male 238.0
GTEX-X15G-0726-SM-4PQZ5 50-59 years, female 237.9
GTEX-1HSMO-2026-SM-CNNQO 60-69 years, male 236.8
GTEX-146FR-0126-SM-5Q5F3 60-69 years, female 236.6
GTEX-VJYA-0826-SM-4KL1M 60-69 years, male 236.0
GTEX-1MGNQ-1226-SM-EV7BM 40-49 years, male 233.6
GTEX-1B933-1726-SM-731FC 50-59 years, female 233.3
GTEX-17HHE-0526-SM-7DUGR 50-59 years, male 232.7
GTEX-1GMR3-1226-SM-7MGY1 40-49 years, male 232.6
GTEX-Y3I4-0826-SM-4TT2A 50-59 years, male 232.5
GTEX-12WSD-1626-SM-5GCNR 60-69 years, female 232.4
GTEX-1CAMS-1926-SM-7DUEU 40-49 years, female 231.9
GTEX-1GN1W-1126-SM-9OSW3 50-59 years, female 231.4
GTEX-PW2O-0826-SM-48TC5 20-29 years, male 230.8
GTEX-1AYCT-1226-SM-7EPGH 50-59 years, male 230.6
GTEX-X3Y1-0726-SM-3P5YU 40-49 years, male 229.9
GTEX-OHPL-1026-SM-3MJGI 60-69 years, female 226.2
GTEX-1LGRB-0426-SM-CNNRD 50-59 years, female 226.2
GTEX-1K9T9-1726-SM-CXZK1 50-59 years, female 226.1
GTEX-XGQ4-0226-SM-4GIDS 50-59 years, male 225.5
GTEX-13X6H-0626-SM-5LU53 50-59 years, female 224.6
GTEX-13W3W-1026-SM-5IFG4 60-69 years, female 224.4
GTEX-131XE-1926-SM-5IFER 50-59 years, male 223.4
GTEX-SUCS-1426-SM-4DM5W 70-79 years, male 222.1
GTEX-1J8Q3-0626-SM-AHZ3V 60-69 years, male 221.7
GTEX-1399U-0926-SM-5IFHA 50-59 years, female 221.1
GTEX-17F9E-1426-SM-793BG 50-59 years, male 221.1
GTEX-XYKS-1226-SM-4BRVI 60-69 years, female 220.3
GTEX-132AR-1826-SM-5EGHR 50-59 years, female 220.1
GTEX-1LG7Z-0326-SM-DHXK3 30-39 years, male 219.3
GTEX-WHWD-0726-SM-4OORX 50-59 years, male 218.6
GTEX-1JKYR-1026-SM-CGQGI 20-29 years, male 218.4
GTEX-1QP2A-1326-SM-EAZ3K 50-59 years, male 215.7
GTEX-15SDE-0826-SM-6M463 50-59 years, female 215.6
GTEX-13PL7-2226-SM-5L3IC 60-69 years, female 215.1
GTEX-17KNJ-1926-SM-7KFRV 50-59 years, male 213.1
GTEX-1QP28-1026-SM-EAZ4K 50-59 years, female 213.1
GTEX-1GN1U-1126-SM-9WPPZ 50-59 years, female 209.7
GTEX-QLQ7-0626-SM-CE6QX 60-69 years, male 208.4
GTEX-WYVS-0926-SM-4SOJV 40-49 years, female 208.3
GTEX-ZZPU-0726-SM-5N9C8 50-59 years, female 207.7
GTEX-R55G-0326-SM-48FDM 40-49 years, female 205.6
GTEX-XMK1-0326-SM-4B652 40-49 years, male 205.2
GTEX-14PJ2-1526-SM-686Z4 50-59 years, male 204.8
GTEX-144GN-0826-SM-5LU5G 50-59 years, male 204.3
GTEX-1S831-0626-SM-EV79N 20-29 years, male 203.9
GTEX-OHPM-1026-SM-3LK74 50-59 years, male 203.2
GTEX-V955-0326-SM-4JBGV 60-69 years, male 203.0
GTEX-1AX9J-1726-SM-731FF 60-69 years, male 202.4
GTEX-1CB4F-1226-SM-7DHKU 60-69 years, male 201.7
GTEX-12WSN-0826-SM-5GCOF 40-49 years, male 201.5
GTEX-X5EB-0526-SM-46MVP 40-49 years, male 201.1
GTEX-ZVP2-0726-SM-59HKY 50-59 years, male 200.7
GTEX-1B97J-1526-SM-79ONI 50-59 years, female 200.1
GTEX-V1D1-0726-SM-4JBH7 50-59 years, male 196.1
GTEX-P4PQ-1026-SM-3NMCN 60-69 years, male 194.8
GTEX-VUSG-0326-SM-3GIJ7 50-59 years, male 193.7
GTEX-1GF9X-1126-SM-7MKHC 40-49 years, female 191.5
GTEX-12WSL-0426-SM-5GCNX 50-59 years, male 188.0
GTEX-1AYD5-0326-SM-7EWEO 50-59 years, male 184.2
GTEX-QCQG-0426-SM-48U29 50-59 years, female 183.5
GTEX-ZPCL-0726-SM-DO91S 60-69 years, female 179.7
GTEX-14PK6-1026-SM-664NZ 70-79 years, female 179.5
GTEX-ZC5H-0826-SM-5N9FH 40-49 years, female 178.9
GTEX-WXYG-0826-SM-4ONC7 50-59 years, female 177.1
GTEX-NPJ8-2126-SM-3MJGK 40-49 years, male 174.0
GTEX-14BMU-0726-SM-73KXS 20-29 years, female 168.3
GTEX-1J8EW-1926-SM-CGQGR 60-69 years, female 165.9
GTEX-1399R-0426-SM-5IJE3 30-39 years, male 165.6
GTEX-16MT8-1726-SM-7EWE7 60-69 years, female 163.7
GTEX-N7MT-1626-SM-3LK71 60-69 years, female 163.5
GTEX-1CB4G-1826-SM-7MKGO 60-69 years, male 162.1
GTEX-14AS3-0326-SM-5Q5DB 40-49 years, female 161.3
GTEX-ZF3C-2026-SM-4WWB5 50-59 years, female 158.0
GTEX-ZYT6-1326-SM-5E453 30-39 years, male 152.1
GTEX-1R9K5-1226-SM-E6CPQ 50-59 years, male 147.3
GTEX-1JMPZ-1026-SM-CXZJS 30-39 years, male 124.0
Show allShow less

PANCREAS - FANTOM5 CAGEi

RNA expression in human tissues obtained through Cap Analysis of Gene Expression (CAGE) generated by the FANTOM5 project are reported as Scaled Tags Per Million.

Max subtype Scaled Tags Per Millioni

Max subtype Scaled Tags Per Million is the value for the subtype with the largest average Scaled Tags Per Million across the subtype samples.

808.1
FANTOM5 sample id Sample description Scaled Tags Per Million
Pancreas
Scaled Tags Per Million: 808.1
FF:10049-101G4 52 years, male 808.1

Contact

  • NEWS ARTICLES
  • PRESS ROOM

The Project

  • INTRODUCTION
  • ORGANIZATION
  • PUBLICATIONS

The Human Protein Atlas

  • DOWNLOADABLE DATA
  • LICENCE & CITATION
  • HELP & FAQ
The Human Protein Atlas project is funded
by the Knut & Alice Wallenberg Foundation.


contact@proteinatlas.org