We use cookies to enhance the usability of our website. If you continue, we'll assume that you are happy to receive all cookies. More information. Don't show this again.
TMEM219
HPA
RESOURCES
  • TISSUE
  • BRAIN
  • SINGLE CELL
  • SUBCELLULAR
  • CANCER
  • BLOOD
  • CELL LINE
  • STRUCTURE & INTERACTION
ABOUT
  • INTRODUCTION
  • HISTORY
  • ORGANIZATION
  • PUBLICATIONS
  • ANTIBODY SUBMISSION
  • ANTIBODY AVAILABILITY
  • ACKNOWLEDGMENTS
  • CONTACT
NEWS
  • NEWS ARTICLES
  • PRESS ROOM
LEARN
  • DICTIONARY
  • PROTEIN CLASSES
  • PROTEIN EVIDENCE
  • METHODS
  • EDUCATIONAL VIDEOS
DATA
  • DOWNLOADABLE DATA
  • PUBLICATION DATA
  • RELEASE HISTORY
HELP
  • ANTIBODY VALIDATION
  • ASSAYS & ANNOTATION
  • DISCLAIMER
  • HELP & FAQ
  • PRIVACY STATEMENT
  • LICENCE & CITATION
Fields »
Search result

Field
Term
Gene name
Class
Subclass
Class
Keyword
Chromosome
External id
Tissue
Cell type
Expression
Antibody panel
Tissue
Main location
Patient ID
Annotation
Tissue
Category
Tau score
Cluster
Reliability
Brain region
Category
Tau score
Brain region
Category
Tau score
Brain region
Category
Tau score
Cluster
Reliability
Tissue
Cell type
Enrichment
Cell type
Category
Tau score
Cell type
Category
Tau score
Cell type
Category
Tau score
Cell lineage
Category
Tau score
Cluster
Cluster
Location
Searches
Location
Cell line
Class
Type
Phase
Reliability
Cancer
Prognosis
Cancer
Category
Cancer
Category
Tau score
Cluster
Variants
Interacting gene (ensg_id)
Type
Number of interactions
Pathway
Category
Score
Score
Score
Validation
Validation
Validation
Validation
Antibodies
Data type
Column


  • SUMMARY

  • TISSUE

  • BRAIN

  • SINGLE CELL

  • SUBCELL

  • CANCER

  • BLOOD

  • CELL LINE

  • STRUCT & INT

  • TMEM219
TISSUE PRIMARY DATA SKIN Show tissue menu
ADIPOSE TISSUE ADRENAL GLAND AMYGDALA APPENDIX BASAL GANGLIA BONE MARROW BREAST BRONCHUS CEREBELLUM CEREBRAL CORTEX CERVIX CHOROID PLEXUS COLON DUODENUM
ENDOMETRIUM EPIDIDYMIS ESOPHAGUS FALLOPIAN TUBE GALLBLADDER HEART MUSCLE HIPPOCAMPAL FORMATION HYPOTHALAMUS KIDNEY LIVER LUNG LYMPH NODE MIDBRAIN NASOPHARYNX
ORAL MUCOSA OVARY PANCREAS PARATHYROID GLAND PITUITARY GLAND PLACENTA PROSTATE RECTUM RETINA SALIVARY GLAND SEMINAL VESICLE SKELETAL MUSCLE SKIN SMALL INTESTINE
SMOOTH MUSCLE SOFT TISSUE SPINAL CORD SPLEEN STOMACH TESTIS THYMUS THYROID GLAND TONGUE TONSIL URINARY BLADDER VAGINA
ANTIBODIES
AND
VALIDATION
Dictionary
Skin
Tissue proteome
Skin
SKIN - Expression summary
Protein expression
Skini

On the top, protein expression in current human tissue, based on all annotated cell types, is reported with the units not detected (n), low (l), medium (m) and high (h). Underneath, protein expression in each annotated cell type are reported using the same units.

Protein expression data is based on knowledge-based annotation. For genes where more than one antibody has been used, a collective score is set.

If knowledge-based annotation could not be performed for a gene, no data is displayed here. View antibody staining data further down this page.

h
m
l
n
Epidermal cells: Medium
Fibroblasts: Not detected
Keratinocytes: Not detected
Langerhans: Not detected
Melanocytes: Not detected
RNA expressioni

A summary of mRNA expression data available for current tissue based on several datasets. The mRNA expression levels in human tissues are based on RNA-seq data generated by the Human Protein Atlas (HPA), Genotype-Tissue Expression (GTEx) portal and CAGE data generated by the FANTOM5 consortium. Consensus normalized expression levels for human tissues was created by combining the data from HPA and GTEx datasets.

The mRNA expression levels in pig are based on RNA-seq data generated by the Human Protein Atlas (HPA), and for mouse, HPA data and in situ hybridization generated by the Allen brain atlas are reported.

Scroll down to view mRNA expression data in more detail.
Consensus:117.6 nTPM
HPA:80.6 nTPM
GTEx:117.6 nTPM

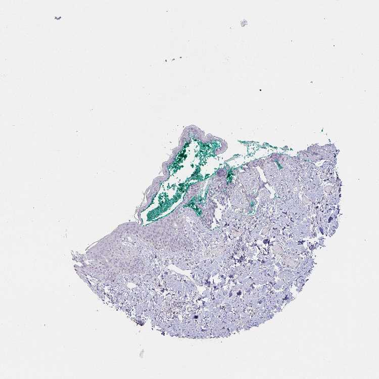
SKIN 1 - Antibody stainingi

Antibody staining in the annotated cell types in the current human tissue is reported as not detected, low, medium, or high, based on conventional immunohistochemistry profiling in selected tissues. This score is based on the combination of the staining intensity and fraction of stained cells.

Each image is clickable and will lead to virtual microscopy that enables deeper exploration of all samples and also displays staining intensity scores, fraction scores and subcellular localization as well as patient and tissue information for each sample.

Antibody HPA059185
Langerhans Not detected
Fibroblasts Not detected
Keratinocytes Not detected
Melanocytes Not detected


SKIN 2 - Antibody stainingi

Antibody staining in the annotated cell types in the current human tissue is reported as not detected, low, medium, or high, based on conventional immunohistochemistry profiling in selected tissues. This score is based on the combination of the staining intensity and fraction of stained cells.

Each image is clickable and will lead to virtual microscopy that enables deeper exploration of all samples and also displays staining intensity scores, fraction scores and subcellular localization as well as patient and tissue information for each sample.

Antibody HPA059185
Epidermal cells Medium
 
 
 



SKIN - HPA RNA-seqi

The RNA-seq details section shows detailed information about the individual samples used for the transcript profiling and results of the RNA-seq analysis.

Information about each individual sample is listed below, including gender, age, a tissue section image and estimated fractions of cell types. nTPM (normalized transcripts per million) values give a quantification of the gene abundance which is comparable between different genes and samples.
Average nTPMi

Max subtype nTPM is the value for the subtype with the largest average nTPM across the subtype samples.

80.6
overview
Female, age 34
Skin sample 225
nTPM: 80.7
Cell types%
Keratinocytes:
60

Other cell types:
40

overview
Female, age 30
Skin sample 226
nTPM: 68.6
Cell types%
Keratinocytes:
55

Other cell types:
45

N/A
Male, age 57
Skin sample 227
nTPM: 92.5

SKIN - GTEx RNA-seqi

RNA-Seq data generated by the Genotype-Tissue Expression (GTEx) project from human tissues is reported as mean nTPM. More information can be found on the GTEx portal.

Distribution across the dataset is visualized with box plots, shown as median and 25th and 75th percentiles. Points are displayed as outliers if they are above or below 1.5 times the interquartile range. nTPM values of the individual samples are presented next to the box plot.
Max subtype nTPMi

Max subtype nTPM is the value for the subtype with the largest average nTPM across the subtype samples.

117.6
GTEx sample id Sample description nTPM
Skin - Not Sun Exposed (Suprapubic)
Average nTPM: 117.6
Samples: 604

Max nTPM: 237.6
Min nTPM: 49.3
Std nTPM: 27.2
Median nTPM: 113.2
GTEX-1OJC3-1226-SM-DTXER 20-29 years, male 237.6
GTEX-15RIG-0726-SM-7KUM7 40-49 years, male 234.3
GTEX-1PIGE-1826-SM-E8VOU 20-29 years, male 230.9
GTEX-WFG7-2026-SM-5SI7P 20-29 years, male 223.9
GTEX-ZPCL-1126-SM-4WWFE 60-69 years, female 219.5
GTEX-1QP9N-1226-SM-E76QN 30-39 years, male 211.0
GTEX-Y114-2126-SM-4TT8B 50-59 years, female 210.1
GTEX-17F97-2626-SM-7IGM5 50-59 years, male 202.3
GTEX-Y5V6-2326-SM-4VDSA 60-69 years, male 200.0
GTEX-X585-2426-SM-46MW2 50-59 years, male 195.5
GTEX-ZF3C-0626-SM-DO92O 50-59 years, female 192.9
GTEX-ZTX8-1326-SM-4YCEL 20-29 years, male 192.8
GTEX-XBEW-1126-SM-4QARW 40-49 years, male 190.2
GTEX-147F4-0726-SM-5TDDD 50-59 years, male 185.4
GTEX-16YQH-2226-SM-7IGM2 30-39 years, male 183.2
GTEX-1RAZQ-1326-SM-E9TK6 30-39 years, male 181.3
GTEX-Y3IK-1626-SM-4YCF5 50-59 years, female 180.6
GTEX-1HCUA-0826-SM-ADEHM 50-59 years, female 179.3
GTEX-1IKOE-1426-SM-CE6T7 30-39 years, female 179.2
GTEX-1RMOY-1326-SM-E9TIH 50-59 years, male 178.2
GTEX-11DYG-1526-SM-5A5JS 60-69 years, male 178.1
GTEX-1399R-1326-SM-5PNYS 30-39 years, male 178.1
GTEX-1LVAN-0626-SM-CNPOQ 50-59 years, female 177.7
GTEX-14E1K-2026-SM-7DUEI 50-59 years, male 176.7
GTEX-WI4N-2726-SM-3LK7Y 40-49 years, female 173.0
GTEX-1N2DV-1526-SM-DTXEP 40-49 years, male 172.8
GTEX-1JMPY-0226-SM-CKZOK 30-39 years, male 171.1
GTEX-13JVG-0726-SM-5KM16 60-69 years, male 170.7
GTEX-ZVP2-0326-SM-57WBP 50-59 years, male 170.4
GTEX-1JMLX-0626-SM-ARL8T 50-59 years, male 168.9
GTEX-11OF3-0126-SM-5PNYF 60-69 years, male 168.5
GTEX-ZVZP-1226-SM-5GID7 50-59 years, male 168.3
GTEX-14PJ3-1126-SM-5ZZVX 50-59 years, male 167.9
GTEX-12WSJ-1126-SM-5LZVJ 40-49 years, female 167.3
GTEX-1K2DA-1026-SM-CGQGF 50-59 years, male 167.3
GTEX-11PRG-0726-SM-5EGL1 50-59 years, male 165.9
GTEX-Y111-0626-SM-4SOIT 50-59 years, male 165.2
GTEX-13IVO-0726-SM-5LZYV 70-79 years, male 165.0
GTEX-14DAR-1226-SM-73KYV 50-59 years, male 164.3
GTEX-17F9E-2326-SM-79OKD 50-59 years, male 163.5
GTEX-15G19-2426-SM-7KUMR 60-69 years, male 162.9
GTEX-1S3DN-2126-SM-E9TIN 50-59 years, male 162.9
GTEX-1E2YA-2126-SM-7MXUO 50-59 years, male 162.6
GTEX-15RIE-1926-SM-7KUKJ 60-69 years, male 161.5
GTEX-11P7K-1126-SM-5HL4L 30-39 years, male 160.5
GTEX-11DXZ-2026-SM-5987S 50-59 years, male 160.0
GTEX-YFCO-1226-SM-5LUAT 40-49 years, male 158.2
GTEX-1CAMR-1326-SM-7PC1F 20-29 years, male 158.1
GTEX-1HGF4-0126-SM-CNPPX 60-69 years, male 157.9
GTEX-1192X-2726-SM-5N9DN 50-59 years, male 157.4
GTEX-1LSNM-0826-SM-DIPG8 50-59 years, male 157.3
GTEX-ZPU1-1126-SM-4YCF3 40-49 years, male 156.8
GTEX-ZYW4-0626-SM-59HJR 60-69 years, male 156.2
GTEX-ZDTT-0426-SM-4WKFL 60-69 years, male 155.8
GTEX-Y3I4-1726-SM-4TT89 50-59 years, male 155.5
GTEX-16MTA-0926-SM-6M47Z 50-59 years, male 155.4
GTEX-1F6I4-2326-SM-7RHGL 60-69 years, male 155.4
GTEX-Y9LG-1126-SM-4VBQ7 30-39 years, male 155.3
GTEX-18QFQ-1826-SM-72D52 30-39 years, male 155.2
GTEX-1AYD5-2626-SM-7PBXY 50-59 years, male 155.1
GTEX-1J8EW-2726-SM-CY8HR 60-69 years, female 153.8
GTEX-1EMGI-2326-SM-7PBYA 60-69 years, male 153.3
GTEX-14PJO-2526-SM-6AJBQ 60-69 years, male 153.1
GTEX-ZP4G-1426-SM-4WWCL 20-29 years, female 152.9
GTEX-1NV5F-0626-SM-DTXEG 60-69 years, female 152.2
GTEX-1LBAC-0826-SM-CY8IJ 20-29 years, male 151.9
GTEX-14ICL-1626-SM-5YYAO 30-39 years, male 151.1
GTEX-1MCYP-0526-SM-E9U6Q 20-29 years, female 150.8
GTEX-11ZU8-0126-SM-5EQ58 60-69 years, male 150.7
GTEX-YECK-0326-SM-4W1YS 60-69 years, male 150.5
GTEX-1399S-0126-SM-5IJCF 30-39 years, female 149.8
GTEX-145MG-1526-SM-5Q5EM 50-59 years, male 149.7
GTEX-1399Q-2326-SM-5KM2X 40-49 years, male 149.3
GTEX-111CU-1126-SM-5EGIM 50-59 years, male 148.8
GTEX-ZAB4-2126-SM-5HL8U 40-49 years, male 148.7
GTEX-1PPH8-0126-SM-EWRN8 20-29 years, male 148.7
GTEX-1QCLY-0226-SM-EWRNH 30-39 years, male 148.7
GTEX-1LKK1-2626-SM-DKPQE 50-59 years, female 148.6
GTEX-1S82P-2126-SM-E6CI5 60-69 years, female 148.1
GTEX-1HBPN-0126-SM-CGQEF 50-59 years, male 147.8
GTEX-131XH-0126-SM-5LZUY 50-59 years, male 147.7
GTEX-14PHY-1226-SM-5ZZWK 60-69 years, female 147.7
GTEX-14C39-1726-SM-5RQIL 40-49 years, male 147.5
GTEX-11P81-2226-SM-5PNYI 30-39 years, female 147.4
GTEX-XOT4-0626-SM-4B66L 60-69 years, female 147.2
GTEX-ZE7O-2726-SM-51MT5 50-59 years, female 147.0
GTEX-1NSGN-0726-SM-DTXEF 50-59 years, male 146.9
GTEX-ZT9X-1526-SM-5DUXD 40-49 years, male 145.9
GTEX-ZC5H-1526-SM-5HL9Y 40-49 years, female 145.5
GTEX-WHSB-1326-SM-3LK6W 50-59 years, male 145.1
GTEX-12WSH-1526-SM-5BC5W 50-59 years, male 144.8
GTEX-145MN-1526-SM-5SI9T 30-39 years, male 144.3
GTEX-YEC4-1826-SM-4W1YP 40-49 years, male 144.1
GTEX-1I1GT-1026-SM-ARZLV 60-69 years, female 143.8
GTEX-WXYG-2026-SM-4E3IY 50-59 years, female 143.2
GTEX-17HII-1426-SM-7EPGG 50-59 years, male 143.1
GTEX-131XF-2626-SM-5EQ6K 60-69 years, male 142.7
GTEX-145ME-1726-SM-5Q5EU 40-49 years, female 142.5
GTEX-11NSD-0626-SM-5A5LU 20-29 years, male 141.9
GTEX-14PII-0726-SM-6EU2B 60-69 years, male 141.9
GTEX-15RJE-2826-SM-7KUM9 40-49 years, male 141.3
GTEX-13PL6-1126-SM-5L3IE 40-49 years, female 141.2
GTEX-13NYS-0626-SM-5L3F1 60-69 years, male 140.3
GTEX-13O61-1426-SM-5KM3D 60-69 years, male 140.3
GTEX-16AAH-0626-SM-793C9 50-59 years, male 139.2
GTEX-17F96-0126-SM-7EWDU 70-79 years, male 139.0
GTEX-1H1ZS-2726-SM-9WG75 70-79 years, male 138.6
GTEX-WHPG-2626-SM-3NMBR 50-59 years, male 138.1
GTEX-XYKS-1426-SM-4BRUO 60-69 years, female 137.4
GTEX-14PK6-0226-SM-62LF5 70-79 years, female 137.2
GTEX-12BJ1-0926-SM-5EQ62 60-69 years, male 137.1
GTEX-1QP28-1126-SM-EVYC4 50-59 years, female 137.1
GTEX-147GR-2426-SM-5ZZWQ 60-69 years, male 136.9
GTEX-1R9PM-1926-SM-EVR3O 20-29 years, male 136.3
GTEX-11WQC-1826-SM-5GU59 60-69 years, male 136.2
GTEX-ZYFG-1526-SM-5GZYM 60-69 years, female 136.1
GTEX-1GPI7-1826-SM-9KNU1 20-29 years, male 135.9
GTEX-XQ8I-0926-SM-4BOOF 50-59 years, male 135.8
GTEX-144FL-0626-SM-5LU43 50-59 years, male 135.7
GTEX-139TS-2126-SM-5K7XC 60-69 years, male 135.3
GTEX-1PIIG-2326-SM-DTXFR 30-39 years, male 135.1
GTEX-13FTY-2126-SM-5IFFB 40-49 years, female 134.8
GTEX-15DYW-2726-SM-6EU2I 60-69 years, female 134.7
GTEX-1CAMQ-1326-SM-7P8RV 40-49 years, male 134.5
GTEX-1H3O1-1326-SM-9MQLD 60-69 years, male 134.3
GTEX-1J1OQ-0126-SM-D4P2N 40-49 years, female 134.3
GTEX-WH7G-2026-SM-3NMBL 40-49 years, male 134.2
GTEX-ZDTS-0826-SM-4WKHL 60-69 years, male 134.2
GTEX-1BAJH-2426-SM-7IGP8 70-79 years, male 134.1
GTEX-1GMR2-0826-SM-7PC3V 50-59 years, male 134.1
GTEX-1JKYN-0826-SM-ARU8S 30-39 years, male 133.9
GTEX-15SHW-0226-SM-7LTAT 60-69 years, male 133.8
GTEX-1QP2A-1726-SM-E76QC 50-59 years, male 133.4
GTEX-18D9U-0126-SM-731BM 40-49 years, male 133.2
GTEX-12WSF-1626-SM-7KUG5 70-79 years, male 133.1
GTEX-ZDYS-2426-SM-4WKGI 50-59 years, male 132.8
GTEX-1JMQJ-0826-SM-CNPP7 50-59 years, male 132.4
GTEX-1MJK3-0726-SM-E6CJC 20-29 years, male 132.0
GTEX-139TU-0726-SM-5L3EK 60-69 years, male 131.8
GTEX-13SLX-2226-SM-62LEP 50-59 years, female 131.8
GTEX-1POEN-2326-SM-E9J2L 30-39 years, female 131.8
GTEX-1KAFJ-0126-SM-DIPEK 50-59 years, male 131.7
GTEX-1QW4Y-1126-SM-DTXE3 30-39 years, male 131.4
GTEX-YB5K-2026-SM-4VDT3 40-49 years, female 131.2
GTEX-1HCU8-2526-SM-CE6RX 60-69 years, female 131.1
GTEX-1A3MV-1826-SM-731CD 30-39 years, male 131.0
GTEX-XQ3S-1426-SM-4BOPR 20-29 years, male 131.0
GTEX-12126-0826-SM-5FQTZ 20-29 years, male 130.9
GTEX-ZLV1-1526-SM-DO91J 60-69 years, female 130.7
GTEX-XV7Q-1826-SM-4BRUV 40-49 years, female 130.5
GTEX-1S831-1826-SM-EWROF 20-29 years, male 130.5
GTEX-146FQ-2126-SM-5RQHU 30-39 years, male 130.3
GTEX-11P82-1426-SM-DTXFY 20-29 years, male 130.2
GTEX-15RJ7-2126-SM-6PAMD 40-49 years, male 130.0
GTEX-13W3W-0726-SM-5IJDQ 60-69 years, female 129.9
GTEX-Y8E4-2026-SM-5IFJB 40-49 years, male 129.8
GTEX-1HSMQ-2626-SM-A9SML 50-59 years, male 129.7
GTEX-14E6E-0526-SM-793DN 30-39 years, male 129.6
GTEX-XUW1-0926-SM-4BONX 50-59 years, female 129.6
GTEX-13NYB-0126-SM-5J1MD 40-49 years, male 129.5
GTEX-13OVK-1426-SM-6PAN7 40-49 years, male 129.5
GTEX-UPK5-0426-SM-3GAEK 40-49 years, male 129.4
GTEX-1GZ4H-0526-SM-9KNU9 50-59 years, female 129.1
GTEX-ZYT6-2326-SM-5GZY3 30-39 years, male 128.9
GTEX-1399U-1126-SM-5L3DB 50-59 years, female 128.8
GTEX-1HFI6-0126-SM-CNPPI 40-49 years, male 128.5
GTEX-W5X1-2526-SM-3GILC 40-49 years, female 128.4
GTEX-ZE9C-2526-SM-5IJDR 60-69 years, male 128.4
GTEX-1LGRB-0926-SM-COH3K 50-59 years, female 128.3
GTEX-1AX8Z-0726-SM-73KTS 60-69 years, male 128.2
GTEX-X3Y1-2026-SM-3P5YM 40-49 years, male 128.0
GTEX-14PJ5-1526-SM-6LLIL 60-69 years, female 127.6
GTEX-14PKV-1126-SM-6LLJ1 20-29 years, female 127.3
GTEX-15FZZ-0526-SM-7KUGD 30-39 years, female 127.3
GTEX-17HHE-1326-SM-7EWDZ 50-59 years, male 127.2
GTEX-11O72-0626-SM-5PNYE 40-49 years, male 127.1
GTEX-1B97I-0626-SM-73KUZ 40-49 years, male 127.1
GTEX-1C6WA-2626-SM-7MKGM 60-69 years, male 126.8
GTEX-1EX96-1026-SM-7MKG2 50-59 years, male 126.8
GTEX-1IDJU-1726-SM-CMKHU 60-69 years, female 126.7
GTEX-15SKB-2826-SM-6PAMH 60-69 years, male 126.3
GTEX-ZAK1-0626-SM-5HL8E 50-59 years, female 126.3
GTEX-1122O-1026-SM-9WYSF 60-69 years, female 126.1
GTEX-1CB4I-0126-SM-7RHGG 50-59 years, male 126.0
GTEX-1H3VE-0726-SM-9YFL5 40-49 years, male 126.0
GTEX-1C2JI-1026-SM-73KY1 50-59 years, male 125.9
GTEX-18D9A-1426-SM-7LT8M 30-39 years, female 125.5
GTEX-1B8KE-1126-SM-7EPHI 50-59 years, male 125.3
GTEX-11VI4-1126-SM-5EQMD 40-49 years, female 125.2
GTEX-YEC3-1326-SM-DO92X 50-59 years, male 125.2
GTEX-1H1CY-0126-SM-9YFLY 60-69 years, female 125.0
GTEX-WHWD-1826-SM-3LK6I 50-59 years, male 124.9
GTEX-1S82U-1026-SM-E6CJK 30-39 years, female 124.9
GTEX-1JJEA-1826-SM-ARU8P 60-69 years, male 124.7
GTEX-14PHX-2226-SM-6EU2P 50-59 years, male 124.6
GTEX-1HB9E-0126-SM-CM2S5 50-59 years, male 124.5
GTEX-1RAZS-2526-SM-E6CHT 50-59 years, male 124.2
GTEX-1JN6P-2926-SM-CL54D 60-69 years, male 124.1
GTEX-16BQI-1326-SM-6M486 30-39 years, female 124.0
GTEX-ZDXO-3126-SM-5IJDF 60-69 years, male 123.9
GTEX-1RB15-1326-SM-E76Q9 60-69 years, male 123.8
GTEX-ZF29-0926-SM-4WKFZ 60-69 years, female 123.7
GTEX-WY7C-2126-SM-3NB2R 50-59 years, male 123.5
GTEX-ZF2S-1626-SM-57WES 50-59 years, female 123.5
GTEX-1HCU7-0726-SM-A9SL1 50-59 years, male 123.5
GTEX-XBEC-0726-SM-4QARZ 50-59 years, male 123.4
GTEX-XXEK-1626-SM-4BRUZ 50-59 years, male 123.4
GTEX-Y8LW-1526-SM-5IFHL 50-59 years, female 123.4
GTEX-1H1E6-0426-SM-9WYUS 30-39 years, male 123.3
GTEX-1J1R8-2026-SM-CL53Y 40-49 years, male 123.2
GTEX-ZLFU-1826-SM-4WWBV 40-49 years, male 123.1
GTEX-15CHR-1126-SM-7EWF4 50-59 years, male 123.0
GTEX-17EVP-2626-SM-7IGMA 40-49 years, male 122.9
GTEX-ZTTD-2826-SM-4YCFA 50-59 years, male 122.7
GTEX-131XG-0326-SM-5L3DX 50-59 years, female 122.5
GTEX-17MFQ-1526-SM-7KFRR 20-29 years, male 122.4
GTEX-14ABY-2026-SM-62LDL 50-59 years, male 122.2
GTEX-145LT-0526-SM-5LUB2 40-49 years, male 122.0
GTEX-ZA64-1026-SM-5HL8R 20-29 years, male 122.0
GTEX-14753-0726-SM-5QGQO 60-69 years, male 121.9
GTEX-1PPGY-1626-SM-EVYBL 60-69 years, male 121.9
GTEX-11DXX-2126-SM-5PNYR 60-69 years, female 121.7
GTEX-14JG1-1526-SM-5YY9X 40-49 years, male 121.7
GTEX-1HSGN-0826-SM-ACKW3 40-49 years, female 121.7
GTEX-14AS3-1526-SM-5Q5ED 40-49 years, female 121.4
GTEX-ZZPU-0826-SM-5GZX5 50-59 years, female 121.4
GTEX-15DDE-2926-SM-6LLJ3 50-59 years, female 121.2
GTEX-XPVG-2126-SM-4B667 50-59 years, male 121.1
GTEX-1IY9M-2826-SM-ARU8H 60-69 years, male 121.0
GTEX-13SLW-0626-SM-5Q5ER 70-79 years, male 120.9
GTEX-13YAN-0226-SM-5TDC6 60-69 years, male 120.9
GTEX-1PPH7-1126-SM-DTX9A 40-49 years, male 120.8
GTEX-14PJN-1826-SM-6AJ98 30-39 years, male 120.7
GTEX-1F75I-2226-SM-7SB8U 40-49 years, male 120.6
GTEX-1LVA9-2626-SM-EVYD4 50-59 years, male 120.2
GTEX-145MI-0626-SM-5SI8S 60-69 years, female 119.9
GTEX-1F5PK-2226-SM-7SB6N 50-59 years, male 119.7
GTEX-ZVE1-0726-SM-51MRN 50-59 years, female 119.6
GTEX-1IL2V-1926-SM-B2LW8 70-79 years, male 119.6
GTEX-13OW5-2326-SM-5L3HO 60-69 years, male 119.4
GTEX-11DXY-0126-SM-5H11Q 60-69 years, male 119.3
GTEX-16MT9-0126-SM-7EPI8 60-69 years, female 119.3
GTEX-1GN1V-2826-SM-9JGIA 60-69 years, male 119.3
GTEX-1K9T9-1526-SM-DIPFR 50-59 years, female 119.3
GTEX-1N2EE-0626-SM-E76PW 60-69 years, male 119.3
GTEX-132AR-0326-SM-5KM2C 50-59 years, female 119.1
GTEX-1F52S-2926-SM-7MKGA 60-69 years, female 119.0
GTEX-1R9PN-0426-SM-DTXDT 40-49 years, female 119.0
GTEX-1RLM8-2926-SM-E8VON 50-59 years, male 118.9
GTEX-11TT1-1826-SM-5EQLV 20-29 years, male 118.8
GTEX-13112-0126-SM-5P9IU 50-59 years, male 118.6
GTEX-183WM-0326-SM-72D5V 70-79 years, female 118.6
GTEX-1CB4E-0926-SM-7EPHT 60-69 years, male 118.6
GTEX-117YX-1926-SM-5GIEC 50-59 years, male 118.5
GTEX-1JMOU-1026-SM-CYPSS 60-69 years, female 118.2
GTEX-139YR-1026-SM-5LZYN 50-59 years, male 118.1
GTEX-X4EP-0626-SM-3P621 60-69 years, female 118.1
GTEX-1C64N-2626-SM-7PC2N 50-59 years, male 118.1
GTEX-1HFI7-2326-SM-CGQFS 50-59 years, female 118.1
GTEX-1CB4F-1026-SM-7DUH1 60-69 years, male 118.0
GTEX-Z93S-1626-SM-5CVMB 50-59 years, male 118.0
GTEX-1GZ2Q-0126-SM-9WG6M 40-49 years, male 117.9
GTEX-1I4MK-0126-SM-CY8G6 50-59 years, female 117.5
GTEX-1H2FU-0926-SM-9WPPT 60-69 years, female 117.4
GTEX-139T8-0626-SM-5KLZX 60-69 years, male 117.2
GTEX-1R46S-2426-SM-E76QA 60-69 years, female 117.2
GTEX-13PDP-0726-SM-5L3HP 60-69 years, male 117.1
GTEX-12ZZZ-0726-SM-5GCNZ 60-69 years, male 116.9
GTEX-13RTJ-0126-SM-5S2NN 60-69 years, male 116.9
GTEX-13U4I-2226-SM-5LU5H 40-49 years, female 116.5
GTEX-1IDJI-0126-SM-CMKHS 50-59 years, female 116.5
GTEX-11LCK-2226-SM-5HL4Q 30-39 years, male 116.2
GTEX-ZTSS-1426-SM-5985P 40-49 years, male 115.9
GTEX-ZYVF-0926-SM-5E44J 50-59 years, female 115.9
GTEX-1I1GP-1326-SM-A9G28 50-59 years, male 115.9
GTEX-1PDJ9-1226-SM-EXUSX 20-29 years, male 115.9
GTEX-131XW-0626-SM-5PNVD 50-59 years, female 115.8
GTEX-14BMU-1226-SM-5S2OR 20-29 years, female 115.6
GTEX-1LVAO-2726-SM-E9TJ8 60-69 years, male 115.5
GTEX-ZWKS-0626-SM-5GIDV 30-39 years, male 115.4
GTEX-1PBJJ-1026-SM-E76OS 30-39 years, male 115.3
GTEX-1LSVX-2526-SM-DIPEU 60-69 years, male 115.2
GTEX-1313W-0626-SM-5EQ4H 50-59 years, female 115.1
GTEX-1C64O-1326-SM-7MGWR 60-69 years, male 115.0
GTEX-16MT8-2926-SM-7DUFO 60-69 years, female 114.7
GTEX-15CHQ-0326-SM-69LQD 60-69 years, male 114.6
GTEX-1R9K4-2826-SM-DTX8F 60-69 years, male 114.6
GTEX-V1D1-2026-SM-3GAF4 50-59 years, male 114.4
GTEX-1JK1U-0226-SM-ARZMX 60-69 years, male 114.4
GTEX-1HCU6-2526-SM-ADEHL 60-69 years, female 114.3
GTEX-1QAET-0326-SM-EVR3U 50-59 years, male 114.3
GTEX-18465-2826-SM-7LT9J 50-59 years, male 114.2
GTEX-14PJ6-2626-SM-6EU2T 60-69 years, female 114.1
GTEX-1H1DE-1326-SM-9KNUG 20-29 years, male 114.1
GTEX-1O9I2-0226-SM-EYYXD 50-59 years, male 114.1
GTEX-17KNJ-2126-SM-718AM 50-59 years, male 114.0
GTEX-1GF9V-0826-SM-9KNUV 60-69 years, male 114.0
GTEX-14LZ3-0126-SM-69LPM 60-69 years, female 113.9
GTEX-14LLW-2626-SM-62LDZ 70-79 years, female 113.8
GTEX-ZU9S-1826-SM-5NQ9E 30-39 years, male 113.8
GTEX-1H11D-1826-SM-9QEHM 40-49 years, male 113.5
GTEX-11GSP-2326-SM-5HL63 60-69 years, female 113.3
GTEX-11NUK-2726-SM-5A5MC 50-59 years, male 113.2
GTEX-17F9Y-0126-SM-79OKX 70-79 years, female 113.0
GTEX-1HSMP-0926-SM-A9SKX 70-79 years, male 113.0
GTEX-14PJ4-0226-SM-5YY92 60-69 years, male 112.8
GTEX-13X6I-1826-SM-5SIAO 60-69 years, male 112.7
GTEX-18A6Q-0626-SM-7KFRP 60-69 years, male 112.7
GTEX-1JJ6O-2726-SM-CNPOG 60-69 years, male 112.7
GTEX-13FTX-1526-SM-5K7VJ 20-29 years, female 112.4
GTEX-17F98-1326-SM-7DUEP 40-49 years, female 112.4
GTEX-1CAMS-2226-SM-7PBXQ 40-49 years, female 112.4
GTEX-13G51-1826-SM-5KLZH 60-69 years, male 112.2
GTEX-145MH-2826-SM-5RQJF 50-59 years, male 112.0
GTEX-1I6K7-1926-SM-B2LXR 40-49 years, male 112.0
GTEX-139UW-0326-SM-5J1ML 60-69 years, male 111.9
GTEX-1JN76-0626-SM-CKZOQ 20-29 years, female 111.8
GTEX-139TT-2126-SM-5LZWC 60-69 years, male 111.6
GTEX-XK95-0226-SM-4AT58 40-49 years, male 111.4
GTEX-17HGU-2326-SM-7DUFE 50-59 years, male 111.3
GTEX-145LU-1926-SM-79OJN 50-59 years, male 111.1
GTEX-1J8Q2-2626-SM-ACKWQ 60-69 years, male 111.1
GTEX-111VG-1626-SM-5EGIO 60-69 years, male 111.0
GTEX-1211K-1526-SM-5FQU4 60-69 years, female 111.0
GTEX-13OVG-1626-SM-5J1NF 60-69 years, male 110.8
GTEX-1K2DU-1226-SM-CYPT4 20-29 years, male 110.7
GTEX-13FHO-0426-SM-5L3F5 60-69 years, male 110.4
GTEX-WEY5-2326-SM-3GIKK 40-49 years, female 110.4
GTEX-1C6VR-0126-SM-7RHGB 60-69 years, male 110.4
GTEX-1HT8W-0626-SM-A9G2H 30-39 years, male 110.2
GTEX-11ZTT-2126-SM-5CVLO 60-69 years, female 110.0
GTEX-13OVJ-0826-SM-5J1OK 50-59 years, female 109.8
GTEX-13113-1626-SM-5EQ4I 60-69 years, female 109.7
GTEX-14C5O-0326-SM-5ZZUX 60-69 years, male 109.7
GTEX-X4EO-2926-SM-4E3JH 60-69 years, female 109.7
GTEX-1KANA-1326-SM-DIPFA 20-29 years, male 109.7
GTEX-14JFF-0626-SM-5ZZVT 60-69 years, male 109.3
GTEX-145LS-0626-SM-7EPG7 60-69 years, female 109.0
GTEX-1JMQI-1726-SM-ARL93 50-59 years, male 109.0
GTEX-16NPX-0726-SM-7KULC 50-59 years, male 108.8
GTEX-14A5H-0826-SM-5QGPJ 60-69 years, male 108.7
GTEX-1F75A-0726-SM-7RHHD 50-59 years, male 108.7
GTEX-1JMQK-1226-SM-D4P2S 60-69 years, male 108.7
GTEX-1KANC-1226-SM-CYPT7 50-59 years, female 108.6
GTEX-1QP29-1826-SM-DTX9S 50-59 years, male 108.6
GTEX-13FTW-0326-SM-5K7UW 40-49 years, male 108.5
GTEX-17EVQ-0126-SM-7IGLR 70-79 years, male 108.4
GTEX-1EN7A-2426-SM-793DB 40-49 years, male 108.4
GTEX-1LG7Y-2526-SM-EWRO7 50-59 years, male 108.4
GTEX-1IDJD-2326-SM-ACKWX 30-39 years, male 108.3
GTEX-XBED-1926-SM-47JYP 60-69 years, male 108.2
GTEX-13QJC-0126-SM-5ZZWJ 60-69 years, female 108.1
GTEX-1I19N-0126-SM-CYPSF 70-79 years, male 108.1
GTEX-X5EB-1926-SM-4E3IW 40-49 years, male 108.0
GTEX-XAJ8-1426-SM-47JYM 40-49 years, male 107.8
GTEX-1KANB-2826-SM-CY8I6 50-59 years, male 107.8
GTEX-ZPIC-0526-SM-DO91W 40-49 years, female 107.8
GTEX-1S83E-1326-SM-E6CJM 40-49 years, male 107.7
GTEX-1497J-0226-SM-5QGPU 60-69 years, male 107.4
GTEX-1QPFJ-1926-SM-EVYBD 30-39 years, female 107.2
GTEX-ZYFC-0426-SM-5GICQ 50-59 years, male 107.1
GTEX-14BIN-1126-SM-5RQJZ 50-59 years, female 107.0
GTEX-12WSA-0426-SM-5EQ5X 60-69 years, male 106.9
GTEX-1EKGG-0626-SM-7DUGJ 60-69 years, male 106.9
GTEX-1IKJJ-2226-SM-CJI4C 60-69 years, male 106.9
GTEX-111FC-2526-SM-5GZXU 60-69 years, male 106.8
GTEX-11UD2-2526-SM-5CVNU 50-59 years, male 106.8
GTEX-15UF6-1926-SM-7KUDV 70-79 years, female 106.8
GTEX-1LG7Z-1626-SM-CXKYR 30-39 years, male 106.4
GTEX-ZVT2-0126-SM-5GIDQ 50-59 years, female 106.3
GTEX-13O3Q-0126-SM-5KM34 50-59 years, male 106.2
GTEX-UPJH-0226-SM-3GADV 50-59 years, male 106.0
GTEX-1GTWX-2026-SM-9YFLM 60-69 years, male 105.9
GTEX-13FH7-1126-SM-5K7UG 50-59 years, female 105.8
GTEX-148VJ-0626-SM-5LUAW 70-79 years, male 105.8
GTEX-1F88F-0126-SM-9WYSZ 60-69 years, female 105.8
GTEX-11EQ8-0926-SM-5H12V 60-69 years, male 105.7
GTEX-147F3-1726-SM-5SIAW 50-59 years, female 105.6
GTEX-1EWIQ-0326-SM-7DHMQ 70-79 years, female 105.5
GTEX-12WSL-2026-SM-5GCML 50-59 years, male 105.4
GTEX-1S5ZU-2526-SM-E6CIF 20-29 years, female 105.3
GTEX-12ZZX-2426-SM-5GCOE 40-49 years, female 105.1
GTEX-15D1Q-2826-SM-6LLH7 40-49 years, male 105.1
GTEX-13OW8-1026-SM-5J1NQ 60-69 years, male 104.9
GTEX-ZXG5-2126-SM-59HKD 60-69 years, male 104.7
GTEX-111YS-1526-SM-5GZYW 60-69 years, male 104.6
GTEX-1212Z-0126-SM-59HK4 60-69 years, male 104.6
GTEX-18A66-0626-SM-7LT8Z 60-69 years, male 104.6
GTEX-1GN73-0726-SM-7P8TJ 60-69 years, male 104.6
GTEX-1N5O9-0926-SM-E9J3C 60-69 years, male 104.5
GTEX-18A67-1626-SM-7LT9T 50-59 years, male 104.4
GTEX-1GL5R-1326-SM-7RHHF 50-59 years, male 104.4
GTEX-1HKZK-0726-SM-ACKW2 40-49 years, male 104.4
GTEX-145MF-0926-SM-5Q5EA 50-59 years, male 104.3
GTEX-1F75B-0726-SM-7PC3R 50-59 years, male 104.2
GTEX-13N11-2326-SM-5IJBF 50-59 years, female 104.1
GTEX-1A8G7-1326-SM-73KVM 60-69 years, male 104.0
GTEX-12WSD-0626-SM-5GCMW 60-69 years, female 103.9
GTEX-1JJE9-2626-SM-ARZMT 70-79 years, male 103.9
GTEX-13OVL-0126-SM-5L3GJ 50-59 years, male 103.6
GTEX-1AMEY-0826-SM-72D65 30-39 years, female 103.5
GTEX-13D11-0926-SM-5J2NC 50-59 years, female 103.3
GTEX-15G1A-1626-SM-7KUKN 30-39 years, male 103.3
GTEX-1IE54-1126-SM-A9G2Z 40-49 years, female 103.3
GTEX-1LGOU-1326-SM-D3L8M 20-29 years, female 103.3
GTEX-13JUV-2026-SM-5K7UA 40-49 years, female 103.2
GTEX-1477Z-0326-SM-7IGLA 60-69 years, male 103.2
GTEX-1IDJV-0126-SM-COH3Y 60-69 years, male 103.0
GTEX-16NGA-0726-SM-731AO 40-49 years, female 102.9
GTEX-1GMRU-2126-SM-7P8RA 50-59 years, male 102.8
GTEX-133LE-2326-SM-5K7W3 20-29 years, female 102.7
GTEX-16GPK-0626-SM-7KFSF 60-69 years, male 102.6
GTEX-1LB8K-0726-SM-D5OV2 50-59 years, male 102.5
GTEX-1B996-0426-SM-7EWF8 60-69 years, male 102.3
GTEX-1GMR3-0126-SM-A9SLW 40-49 years, male 102.3
GTEX-1F75W-2726-SM-7SB8H 60-69 years, male 102.2
GTEX-16Z82-2626-SM-7KULU 60-69 years, male 102.0
GTEX-1117F-2926-SM-5GZYI 60-69 years, female 101.9
GTEX-1GZ4I-2626-SM-9KNU3 50-59 years, male 101.9
GTEX-11DZ1-2426-SM-5GZZX 50-59 years, male 101.7
GTEX-Y5LM-0926-SM-6LLJG 40-49 years, female 101.6
GTEX-1RAZR-2126-SM-E9U6T 40-49 years, male 101.5
GTEX-1HC8U-1326-SM-9YFMJ 40-49 years, female 101.4
GTEX-1ICLZ-0326-SM-ARL82 60-69 years, male 101.4
GTEX-1IDJE-1426-SM-ADEIW 50-59 years, female 101.4
GTEX-17JCI-2926-SM-7DUFF 60-69 years, female 101.3
GTEX-1I1HK-2326-SM-CKZOH 60-69 years, male 101.2
GTEX-1M4P7-0726-SM-E6CJ3 60-69 years, male 101.2
GTEX-1CB4H-1126-SM-7MKGL 60-69 years, female 101.0
GTEX-144GM-0526-SM-79OJO 20-29 years, male 100.9
GTEX-WRHU-2826-SM-3MJG8 50-59 years, female 100.9
GTEX-139D8-1126-SM-5LU8W 30-39 years, female 100.8
GTEX-1H23P-0626-SM-9WG6T 60-69 years, male 100.4
GTEX-14B4R-1326-SM-5Q5EZ 30-39 years, male 100.3
GTEX-15ER7-0626-SM-6PANF 20-29 years, female 100.2
GTEX-1JMQL-2226-SM-CNPP4 50-59 years, female 100.2
GTEX-WYVS-1626-SM-3NM9R 40-49 years, female 100.1
GTEX-13FLV-0126-SM-5K7WT 50-59 years, male 100.0
GTEX-13OW6-2726-SM-5J2OE 50-59 years, male 99.9
GTEX-18D9B-0926-SM-7LG4U 60-69 years, male 99.9
GTEX-1A8G6-2726-SM-731AR 60-69 years, male 99.8
GTEX-1MCC2-1826-SM-DIPEX 30-39 years, female 99.7
GTEX-12ZZY-0726-SM-5EQ66 60-69 years, male 99.6
GTEX-1HSKV-1226-SM-ADEI4 60-69 years, male 99.6
GTEX-1IDFM-0326-SM-ARL7V 60-69 years, male 99.2
GTEX-1OJC4-2726-SM-E76PJ 50-59 years, female 99.1
GTEX-1AX9I-2226-SM-73KUO 60-69 years, male 98.7
GTEX-1A3MW-0626-SM-731CB 60-69 years, female 98.6
GTEX-1KD5A-0126-SM-E9U54 50-59 years, male 98.6
GTEX-1IOXB-2726-SM-CM2RI 50-59 years, male 98.4
GTEX-12KS4-2126-SM-5FQUT 30-39 years, male 98.3
GTEX-13X6H-0926-SM-5SIB2 50-59 years, female 98.3
GTEX-17HG3-2626-SM-7DUF2 30-39 years, female 98.3
GTEX-1H1DG-2426-SM-9QEHJ 70-79 years, male 98.3
GTEX-1QMI2-2526-SM-E8VNZ 60-69 years, male 98.3
GTEX-12584-0726-SM-5FQTK 40-49 years, male 98.2
GTEX-144GO-2026-SM-5O99P 60-69 years, male 98.2
GTEX-X8HC-0626-SM-4E3HQ 50-59 years, female 98.0
GTEX-Y5V5-0126-SM-5S2NW 60-69 years, female 98.0
GTEX-1KXAM-1626-SM-D3LAD 60-69 years, male 98.0
GTEX-13PVR-0426-SM-5RQK2 60-69 years, female 97.8
GTEX-1QEPI-2626-SM-DTXF4 60-69 years, female 97.8
GTEX-1RAZA-2226-SM-E9U4X 20-29 years, male 97.8
GTEX-12696-0126-SM-5EQ4L 60-69 years, male 97.6
GTEX-18A7A-0126-SM-731AH 50-59 years, female 97.5
GTEX-YJ8O-2526-SM-5HL85 40-49 years, female 97.5
GTEX-ZYY3-2926-SM-5GIEB 60-69 years, female 97.4
GTEX-ZZ64-1026-SM-5GZXG 20-29 years, male 97.4
GTEX-WFG8-2126-SM-3GIKQ 20-29 years, male 97.3
GTEX-11DXW-0826-SM-5H118 40-49 years, male 97.2
GTEX-1LVAM-0726-SM-E6CIL 50-59 years, female 96.9
GTEX-1B8KZ-0326-SM-73KY4 50-59 years, male 96.8
GTEX-14JG6-1426-SM-9WG7C 30-39 years, female 96.8
GTEX-1QCLZ-2426-SM-EVYBW 60-69 years, female 96.7
GTEX-ZGAY-1826-SM-DO91Q 40-49 years, female 96.7
GTEX-11TUW-0626-SM-5LU9M 60-69 years, male 96.6
GTEX-1I6K6-1726-SM-CGQFD 30-39 years, male 96.6
GTEX-11GS4-0226-SM-5HL77 60-69 years, male 96.4
GTEX-VUSG-2326-SM-4KL1U 50-59 years, male 96.3
GTEX-145MO-2826-SM-5LU96 60-69 years, male 96.1
GTEX-ZT9W-1126-SM-57WDR 50-59 years, male 96.1
GTEX-11EM3-1226-SM-5N9DD 20-29 years, female 95.6
GTEX-13NZ9-2626-SM-5L3FK 50-59 years, male 95.5
GTEX-15CHC-1126-SM-6LLHQ 60-69 years, female 95.3
GTEX-1GF9X-1326-SM-7PC2Y 40-49 years, female 95.2
GTEX-1I1GS-2626-SM-B2LY3 60-69 years, male 95.2
GTEX-11EQ9-1626-SM-5PNY8 30-39 years, male 95.1
GTEX-13PVQ-0626-SM-5LU47 50-59 years, male 95.0
GTEX-1A32A-0626-SM-731AQ 50-59 years, female 94.9
GTEX-13VXT-1926-SM-5K7UO 20-29 years, female 94.8
GTEX-ZVTK-0226-SM-51MRG 20-29 years, male 94.8
GTEX-1H4P4-2126-SM-9WYSL 50-59 years, male 94.8
GTEX-1CAV2-0126-SM-7IGN7 40-49 years, female 94.7
GTEX-1HR98-2226-SM-ADEI2 60-69 years, male 94.7
GTEX-1ICG6-1226-SM-A9SLN 70-79 years, female 94.7
GTEX-1314G-1326-SM-5BC6E 30-39 years, male 94.5
GTEX-13N1W-2426-SM-5IJD1 70-79 years, male 94.5
GTEX-178AV-1726-SM-7KUL8 40-49 years, male 94.4
GTEX-17HHY-0426-SM-7DHLC 50-59 years, male 94.2
GTEX-1C6VQ-1226-SM-73KYD 50-59 years, male 94.2
GTEX-1GN1U-0626-SM-9MQL9 50-59 years, female 94.2
GTEX-1HCVE-2726-SM-CL54F 50-59 years, male 94.2
GTEX-14DAQ-0626-SM-793DS 60-69 years, female 94.0
GTEX-1E1VI-0326-SM-793D1 50-59 years, male 93.7
GTEX-1AX9J-1326-SM-731BJ 60-69 years, male 93.6
GTEX-13NZ8-1226-SM-5KM4A 60-69 years, female 93.5
GTEX-12C56-1526-SM-5FQUQ 20-29 years, male 93.4
GTEX-13N2G-0226-SM-5K7VF 60-69 years, male 93.4
GTEX-1GPI6-1926-SM-9KNV7 60-69 years, male 93.1
GTEX-13OVH-0526-SM-5L3E6 70-79 years, male 92.9
GTEX-1AMFI-1326-SM-7939R 50-59 years, female 92.9
GTEX-14PKU-0126-SM-6LLHV 40-49 years, female 92.8
GTEX-11ZUS-2626-SM-5FQUR 30-39 years, male 92.7
GTEX-11EI6-2826-SM-5H11D 60-69 years, male 92.4
GTEX-15EU6-2226-SM-6EU2L 50-59 years, male 92.4
GTEX-WYJK-0526-SM-3NM8Z 50-59 years, male 92.3
GTEX-1IDJH-0126-SM-D3L92 70-79 years, male 92.3
GTEX-15EO6-2426-SM-6PALZ 50-59 years, male 92.2
GTEX-1B8SF-0126-SM-7DUG3 60-69 years, male 92.2
GTEX-1F6RS-2026-SM-7RHHC 60-69 years, female 92.2
GTEX-1JMPZ-0726-SM-CY8HZ 30-39 years, male 92.2
GTEX-14PJ2-0626-SM-6LLII 50-59 years, male 92.1
GTEX-1R7EU-1626-SM-DTXG3 60-69 years, male 92.0
GTEX-1GF9W-1426-SM-7PBYM 60-69 years, male 91.8
GTEX-1269C-0126-SM-5EQ5L 60-69 years, female 91.7
GTEX-ZAJG-1526-SM-5CVML 50-59 years, female 91.7
GTEX-1GN1W-2426-SM-9KNUU 50-59 years, female 91.7
GTEX-12WSC-2826-SM-5BC5Y 50-59 years, male 91.6
GTEX-16XZZ-0726-SM-7KUF2 60-69 years, male 91.5
GTEX-1A8FM-0626-SM-7PC25 50-59 years, female 91.4
GTEX-17MF6-2626-SM-79OKQ 40-49 years, male 91.2
GTEX-WK11-2726-SM-3NMAQ 50-59 years, male 91.2
GTEX-1GZHY-0626-SM-9KNVC 50-59 years, female 91.2
GTEX-XMD2-2126-SM-4YCF8 60-69 years, female 91.1
GTEX-ZVE2-2826-SM-5GU51 50-59 years, male 91.1
GTEX-ZUA1-2626-SM-5NQ92 40-49 years, male 91.0
GTEX-1LSNL-2726-SM-E9TKJ 50-59 years, male 91.0
GTEX-13VXU-0626-SM-5L3F9 50-59 years, male 90.6
GTEX-1B932-2326-SM-79OL5 40-49 years, female 90.5
GTEX-1IDJF-2026-SM-CL53V 20-29 years, male 90.3
GTEX-12WSK-2126-SM-5CVNC 40-49 years, female 90.2
GTEX-ZVT4-2426-SM-5GIEI 50-59 years, female 89.8
GTEX-1HUB1-1426-SM-CGQF5 60-69 years, male 89.6
GTEX-ZLWG-0826-SM-59888 50-59 years, female 89.5
GTEX-1HR9M-2226-SM-CNPPY 60-69 years, male 89.5
GTEX-1I1GV-0626-SM-ARL7M 60-69 years, male 89.4
GTEX-144GL-0626-SM-5LU4D 50-59 years, male 89.3
GTEX-1EU9M-1426-SM-793AI 60-69 years, male 89.3
GTEX-1JN1M-2726-SM-CY8I4 60-69 years, female 89.2
GTEX-1F6IF-0926-SM-7SB7M 60-69 years, male 89.1
GTEX-1HBPI-2126-SM-ARL9K 50-59 years, male 89.1
GTEX-1IDJC-1526-SM-B2LW4 50-59 years, male 89.1
GTEX-1C475-1326-SM-7SB73 40-49 years, female 88.8
GTEX-1J8JJ-0626-SM-ARZMQ 60-69 years, female 88.8
GTEX-18A7B-2726-SM-7LG56 70-79 years, male 88.6
GTEX-1L5NE-1126-SM-D3L9P 50-59 years, male 88.5
GTEX-1EH9U-2826-SM-7DUGT 60-69 years, male 87.9
GTEX-1B933-2426-SM-7DHMD 50-59 years, female 87.7
GTEX-1HCU9-0426-SM-9WYSD 20-29 years, male 87.3
GTEX-1B8L1-2226-SM-7P8PT 60-69 years, male 87.1
GTEX-13X6K-0626-SM-5LU5D 60-69 years, female 87.0
GTEX-1QP66-1226-SM-DTX7U 50-59 years, male 86.8
GTEX-1GMR8-0626-SM-7RHI7 50-59 years, female 86.6
GTEX-14BMV-2826-SM-5TDED 50-59 years, male 86.5
GTEX-131YS-2826-SM-5EQ47 60-69 years, female 86.3
GTEX-VJYA-1526-SM-3GIJV 60-69 years, male 86.1
GTEX-13NYC-0126-SM-5L3F4 60-69 years, male 85.9
GTEX-12WSM-1926-SM-5BC65 60-69 years, male 85.1
GTEX-14C38-0726-SM-5SI6M 50-59 years, male 84.9
GTEX-1I1CD-0626-SM-CE6SW 60-69 years, female 84.4
GTEX-13X6J-0626-SM-5LU5F 50-59 years, male 84.3
GTEX-13OW7-0426-SM-5K7VK 50-59 years, male 84.0
GTEX-WFON-1926-SM-3LK7L 40-49 years, male 83.2
GTEX-1GN2E-0226-SM-9WG6K 60-69 years, male 82.9
GTEX-1KWVE-1026-SM-D3L9O 30-39 years, male 82.9
GTEX-1J8QM-2426-SM-A9SLS 60-69 years, female 82.8
GTEX-1H3NZ-2726-SM-9WYTQ 60-69 years, male 82.6
GTEX-13QBU-1226-SM-5LU4G 40-49 years, female 82.4
GTEX-1HBPM-0726-SM-9YFL7 60-69 years, female 82.1
GTEX-183FY-1026-SM-7939A 20-29 years, male 81.8
GTEX-14A6H-2026-SM-5Q5DD 30-39 years, male 81.5
GTEX-YF7O-1526-SM-5IFI6 50-59 years, male 81.1
GTEX-1I1GU-0926-SM-ACKVS 40-49 years, male 80.8
GTEX-1F48J-0726-SM-7RHGS 50-59 years, female 80.4
GTEX-13O3O-2326-SM-5IJD6 60-69 years, female 79.7
GTEX-14E6C-2426-SM-5S2NF 40-49 years, male 79.6
GTEX-WYBS-0626-SM-3NMAS 60-69 years, female 78.6
GTEX-1ICLY-0826-SM-CMKG1 50-59 years, male 77.5
GTEX-U8XE-0226-SM-4E3J3 30-39 years, male 77.3
GTEX-1H1DF-1126-SM-9WG7G 40-49 years, female 77.2
GTEX-WHSE-0126-SM-3NMBT 20-29 years, male 77.1
GTEX-147JS-0226-SM-5S2U9 60-69 years, male 76.8
GTEX-1JKYR-0626-SM-ARL8R 20-29 years, male 76.5
GTEX-ZYFD-0626-SM-5E44E 50-59 years, male 72.1
GTEX-1J8Q3-0526-SM-ARL8U 60-69 years, male 71.9
GTEX-1CB4J-1326-SM-7P8RX 60-69 years, male 70.9
GTEX-14XAO-1226-SM-6EU1C 60-69 years, female 69.5
GTEX-1F5PL-0926-SM-7PC2W 40-49 years, female 68.3
GTEX-11WQK-1026-SM-5EQLX 50-59 years, male 67.0
GTEX-1A3MX-2626-SM-7PC24 60-69 years, male 66.8
GTEX-1GF9U-2026-SM-7SB92 40-49 years, female 65.2
GTEX-1F88E-1626-SM-7SB8Z 60-69 years, female 61.8
GTEX-1HSMO-0626-SM-ACKXC 60-69 years, male 61.5
GTEX-ZY6K-1426-SM-5GZX2 50-59 years, male 49.3
Show allShow less
Skin - Sun Exposed (Lower leg)
Average nTPM: 114.6
Samples: 701

Max nTPM: 274.4
Min nTPM: 44.2
Std nTPM: 26.0
Median nTPM: 110.8
GTEX-15SB6-1726-SM-6PAME 50-59 years, female 274.4
GTEX-1399U-2326-SM-5K7WY 50-59 years, female 248.1
GTEX-S33H-1026-SM-EZ6L6 30-39 years, male 211.9
GTEX-OIZG-0726-SM-33HBL 50-59 years, male 210.6
GTEX-P4PP-0126-SM-3LK69 30-39 years, female 208.8
GTEX-1QP9N-1426-SM-DTXFL 30-39 years, male 200.9
GTEX-X88G-0126-SM-47JZ3 30-39 years, male 199.9
GTEX-Y3IK-2426-SM-4WWDU 50-59 years, female 196.0
GTEX-11UD1-0126-SM-5PNYG 40-49 years, female 195.0
GTEX-1497J-2426-SM-7IGNX 60-69 years, male 192.9
GTEX-P4QT-0126-SM-2I3FL 50-59 years, female 192.5
GTEX-O5YW-0126-SM-3LK6D 50-59 years, male 191.1
GTEX-ZXES-1826-SM-5E43S 30-39 years, female 189.1
GTEX-14753-0426-SM-5NQAM 60-69 years, male 188.2
GTEX-XUZC-1726-SM-4BRWS 30-39 years, female 187.9
GTEX-ZYFG-2326-SM-5E44B 60-69 years, female 180.5
GTEX-1PFEY-1526-SM-E76PP 30-39 years, male 180.5
GTEX-X4EP-0126-SM-3P5YV 60-69 years, female 176.9
GTEX-1NV5F-0226-SM-E8VNY 60-69 years, female 176.1
GTEX-139TS-2826-SM-5J1OO 60-69 years, male 174.1
GTEX-117XS-2726-SM-5N9BL 60-69 years, male 170.9
GTEX-146FQ-0126-SM-5NQA9 30-39 years, male 170.5
GTEX-ZVTK-0426-SM-51MRS 20-29 years, male 170.1
GTEX-13CF2-2526-SM-5LZYX 60-69 years, male 169.5
GTEX-U412-0426-SM-3DB9O 60-69 years, male 169.0
GTEX-13FTW-2626-SM-5K7WL 40-49 years, male 168.2
GTEX-1JMLX-0226-SM-CM2RO 50-59 years, male 168.2
GTEX-13NZ8-0826-SM-5MR3I 60-69 years, female 167.8
GTEX-1CAV2-2226-SM-7P8P2 40-49 years, female 167.0
GTEX-OIZH-0126-SM-2HMIS 50-59 years, male 166.9
GTEX-Z93T-0126-SM-5HL5N 50-59 years, male 166.7
GTEX-RTLS-0126-SM-447CA 60-69 years, female 166.4
GTEX-RVPV-0126-SM-EAZAW 60-69 years, male 164.8
GTEX-14BMU-2226-SM-5TDE9 20-29 years, female 164.4
GTEX-TMZS-0126-SM-3DB9Q 60-69 years, male 163.7
GTEX-UJHI-1526-SM-3DB99 50-59 years, female 163.1
GTEX-1QP66-1726-SM-E8VO1 50-59 years, male 160.2
GTEX-17F98-0626-SM-79OMX 40-49 years, female 159.7
GTEX-1122O-2126-SM-5EGIR 60-69 years, female 158.7
GTEX-W5X1-3026-SM-EAZAX 40-49 years, female 157.7
GTEX-ZAB4-0226-SM-5N9F5 40-49 years, male 157.6
GTEX-15UF6-0826-SM-6PALJ 70-79 years, female 157.5
GTEX-P4PQ-0126-SM-2S1NM 60-69 years, male 157.5
GTEX-1PPH8-0226-SM-E8VND 20-29 years, male 157.1
GTEX-PWCY-1826-SM-DHXIZ 20-29 years, female 157.1
GTEX-X8HC-0126-SM-4E3JW 50-59 years, female 157.0
GTEX-Y5V6-2426-SM-4VDSB 60-69 years, male 156.8
GTEX-13FXS-0226-SM-5IJCK 50-59 years, male 156.3
GTEX-Y114-2426-SM-4TT8A 50-59 years, female 155.3
GTEX-145MN-2226-SM-5SIAU 30-39 years, male 155.2
GTEX-1J8EW-0126-SM-CJI4F 60-69 years, female 154.9
GTEX-18QFQ-0126-SM-731BE 30-39 years, male 154.5
GTEX-1KANC-1526-SM-D3LAB 50-59 years, female 152.6
GTEX-QV44-1926-SM-2S1RF 50-59 years, male 152.1
GTEX-WI4N-1026-SM-3LK7N 40-49 years, female 152.0
GTEX-13111-1626-SM-5EGJY 50-59 years, male 150.8
GTEX-15ETS-0126-SM-7KUMW 40-49 years, female 150.7
GTEX-131XE-2326-SM-5PNZ2 50-59 years, male 150.3
GTEX-T2YK-0526-SM-32QPJ 50-59 years, male 149.6
GTEX-1MA7W-2026-SM-E9TJ6 20-29 years, female 149.5
GTEX-ZE9C-2726-SM-57WB5 60-69 years, male 149.0
GTEX-NPJ8-0126-SM-2YUNR 40-49 years, male 148.8
GTEX-12126-0326-SM-5PNW3 20-29 years, male 148.5
GTEX-ZGAY-0526-SM-4WWBB 40-49 years, female 148.0
GTEX-1I1GV-0526-SM-A9G29 60-69 years, male 147.8
GTEX-O5YT-0126-SM-48TBW 20-29 years, male 147.7
GTEX-PX3G-0126-SM-2I3EN 20-29 years, female 147.4
GTEX-R45C-0126-SM-EAZ2R 60-69 years, female 146.8
GTEX-1PDJ9-0326-SM-DTX95 20-29 years, male 146.7
GTEX-1OJC3-0126-SM-E76QX 20-29 years, male 146.4
GTEX-1K2DA-1826-SM-CGQGT 50-59 years, male 146.3
GTEX-ZVT2-2526-SM-51MT1 50-59 years, female 145.7
GTEX-X4XX-0126-SM-3NMC2 60-69 years, male 145.4
GTEX-15RIG-0226-SM-7KFTL 40-49 years, male 145.3
GTEX-TML8-1926-SM-32QOS 40-49 years, female 144.5
GTEX-12WSK-2326-SM-5GCOH 40-49 years, female 144.4
GTEX-T6MN-0126-SM-32PLP 50-59 years, male 144.1
GTEX-1OFPY-2426-SM-DTXEJ 60-69 years, male 144.1
GTEX-1HGF4-2426-SM-ACKXM 60-69 years, male 143.2
GTEX-1HBPM-0226-SM-ARL9F 60-69 years, female 143.0
GTEX-11DYG-0126-SM-59883 60-69 years, male 142.9
GTEX-SUCS-1926-SM-32PM3 70-79 years, male 142.8
GTEX-S95S-1226-SM-4GICG 60-69 years, male 142.3
GTEX-PSDG-0226-SM-DKPOZ 50-59 years, male 142.0
GTEX-Y111-0126-SM-4SOIV 50-59 years, male 141.9
GTEX-ZYFC-0226-SM-5NQ75 50-59 years, male 141.9
GTEX-1PIIG-0226-SM-EWRN6 30-39 years, male 141.9
GTEX-ZF3C-0126-SM-DO92D 50-59 years, female 141.9
GTEX-14PHX-2326-SM-62LEM 50-59 years, male 141.6
GTEX-ZWKS-0126-SM-5SIAA 30-39 years, male 141.1
GTEX-XQ3S-1526-SM-4BOOC 20-29 years, male 141.0
GTEX-1RB15-2126-SM-E9TIM 60-69 years, male 141.0
GTEX-WVJS-0126-SM-4MVOT 50-59 years, male 140.8
GTEX-1J1OQ-0226-SM-CYPSH 40-49 years, female 140.7
GTEX-1S83E-0126-SM-EWRO4 40-49 years, male 140.2
GTEX-X585-0226-SM-4QAS2 50-59 years, male 139.9
GTEX-1LVAN-0226-SM-COH3S 50-59 years, female 139.5
GTEX-13O21-1426-SM-5K7XI 50-59 years, male 139.4
GTEX-145MO-0326-SM-5Q5B3 60-69 years, male 139.4
GTEX-18D9A-1926-SM-7LG6P 30-39 years, female 139.2
GTEX-YB5E-2026-SM-5IFIS 40-49 years, male 138.7
GTEX-13NZB-2526-SM-5J1OM 30-39 years, male 138.6
GTEX-145LT-1726-SM-5QGP3 40-49 years, male 138.5
GTEX-1M5QR-1226-SM-EWROB 40-49 years, male 138.3
GTEX-OOBJ-0126-SM-E6CJW 60-69 years, male 138.0
GTEX-ZDXO-3026-SM-5J1N5 60-69 years, male 137.8
GTEX-XQ8I-0426-SM-4BOPO 50-59 years, male 137.7
GTEX-11DXW-0226-SM-5H122 40-49 years, male 137.5
GTEX-14PK6-1926-SM-6ETZU 70-79 years, female 137.5
GTEX-NFK9-0226-SM-2HMKQ 40-49 years, male 137.5
GTEX-S7PM-0126-SM-4AD6S 60-69 years, male 137.2
GTEX-1R9PM-2026-SM-E76OY 20-29 years, male 137.1
GTEX-W5WG-1826-SM-4KL2Y 50-59 years, female 137.0
GTEX-XYKS-2126-SM-4E3IB 60-69 years, female 136.8
GTEX-145MI-0526-SM-5O9A8 60-69 years, female 136.5
GTEX-117YW-2626-SM-5GZZH 50-59 years, male 136.2
GTEX-18D9U-0226-SM-718BP 40-49 years, male 136.1
GTEX-Y5LM-1926-SM-5RQJH 40-49 years, female 136.1
GTEX-1HCU6-0126-SM-CL54K 60-69 years, female 136.1
GTEX-13FTY-0526-SM-5L3EV 40-49 years, female 135.9
GTEX-SN8G-0126-SM-32PLI 50-59 years, female 135.9
GTEX-1K2DU-2326-SM-E9TIV 20-29 years, male 135.9
GTEX-PLZ6-1426-SM-DKPOT 30-39 years, male 135.9
GTEX-TKQ1-1026-SM-4GICL 30-39 years, male 135.8
GTEX-SIU8-0126-SM-2XCDT 50-59 years, male 135.6
GTEX-17F97-0326-SM-7LG5B 50-59 years, male 135.5
GTEX-1H1CY-2826-SM-9MQM3 60-69 years, female 135.3
GTEX-1JN6P-0126-SM-D3L98 60-69 years, male 135.2
GTEX-11P7K-2126-SM-5GU7G 30-39 years, male 135.1
GTEX-1H2FU-0126-SM-9WYSI 60-69 years, female 135.0
GTEX-U3ZM-1526-SM-3DB9D 40-49 years, male 134.8
GTEX-Y8E4-0626-SM-4WWDL 40-49 years, male 134.8
GTEX-169BO-1326-SM-9MQK2 50-59 years, male 134.6
GTEX-11GSP-2526-SM-5N9BP 60-69 years, female 134.5
GTEX-1F6RS-0126-SM-9MQKZ 60-69 years, female 134.5
GTEX-113IC-0126-SM-5HL6T 60-69 years, male 134.4
GTEX-1399R-2726-SM-5IJBA 30-39 years, male 134.3
GTEX-18A6Q-0126-SM-731BZ 60-69 years, male 134.3
GTEX-1IKK5-0626-SM-ARL8A 60-69 years, male 134.2
GTEX-1QAET-0926-SM-E76QM 50-59 years, male 134.1
GTEX-1EWIQ-0126-SM-7RHH2 70-79 years, female 133.8
GTEX-1JJ6O-0126-SM-E6CI8 60-69 years, male 133.5
GTEX-14E6C-0126-SM-5RQIP 40-49 years, male 133.4
GTEX-T5JW-1626-SM-3GADZ 20-29 years, female 133.3
GTEX-1CB4I-0226-SM-79OLH 50-59 years, male 133.2
GTEX-QVJO-1626-SM-2S1QW 60-69 years, female 133.2
GTEX-1QCLY-0326-SM-E8VOG 30-39 years, male 133.2
GTEX-POMQ-2226-SM-2I5FK 20-29 years, female 132.9
GTEX-14PII-0226-SM-6EU1T 60-69 years, male 132.8
GTEX-QEG4-0226-SM-2S1PY 30-39 years, male 132.8
GTEX-RNOR-0126-SM-E9J4R 50-59 years, female 132.8
GTEX-139T8-0126-SM-5K7XZ 60-69 years, male 132.7
GTEX-1S5ZA-0126-SM-EVYCV 20-29 years, male 132.6
GTEX-WYJK-0126-SM-3NMAB 50-59 years, male 132.4
GTEX-1211K-2026-SM-5EQ4Z 60-69 years, female 131.4
GTEX-132NY-0326-SM-5IJBL 60-69 years, male 131.2
GTEX-1HCU8-0626-SM-A9SM9 60-69 years, female 131.2
GTEX-ZDTS-0126-SM-4WAY5 60-69 years, male 131.0
GTEX-13QJ3-0326-SM-5S2RA 50-59 years, male 130.4
GTEX-144FL-0126-SM-5TDC8 50-59 years, male 130.4
GTEX-131XF-5016-SM-7MGWE 60-69 years, male 130.0
GTEX-16MT8-0426-SM-7KUEY 60-69 years, female 129.9
GTEX-WH7G-2326-SM-3NMBC 40-49 years, male 129.8
GTEX-1IL2U-0226-SM-CE6T8 60-69 years, male 129.8
GTEX-111FC-0126-SM-5N9DL 60-69 years, male 128.8
GTEX-OXRL-0126-SM-2YUMP 50-59 years, male 128.8
GTEX-RM2N-1426-SM-2TF4H 50-59 years, male 128.2
GTEX-OHPM-0126-SM-2YUN9 50-59 years, male 128.0
GTEX-1S3DN-2226-SM-EVYCD 50-59 years, male 127.7
GTEX-1MGNQ-0126-SM-EVYCJ 40-49 years, male 127.6
GTEX-YEC4-2126-SM-5IFJH 40-49 years, male 127.5
GTEX-1JKYR-0126-SM-CNPOJ 20-29 years, male 127.4
GTEX-11ZTS-0126-SM-5EQ6M 60-69 years, female 127.2
GTEX-1313W-0126-SM-5LZUN 50-59 years, female 127.2
GTEX-Y8DK-0126-SM-4TT3L 60-69 years, male 127.1
GTEX-1HSEH-0126-SM-ACKXN 60-69 years, male 126.8
GTEX-WY7C-2326-SM-3NB2U 50-59 years, male 126.7
GTEX-17JCI-0126-SM-7LG5G 60-69 years, female 126.6
GTEX-1LBAC-0126-SM-DIPEZ 20-29 years, male 126.6
GTEX-1AYCT-2426-SM-7IGQ3 50-59 years, male 126.5
GTEX-1LSNM-1926-SM-E6CII 50-59 years, male 126.3
GTEX-1KAFJ-2026-SM-CY8ID 50-59 years, male 126.2
GTEX-14ICK-0226-SM-6EU25 40-49 years, male 126.1
GTEX-YJ89-0126-SM-4TT3X 60-69 years, male 126.1
GTEX-1CB4E-2226-SM-793DC 60-69 years, male 125.8
GTEX-WXYG-2326-SM-4E3I6 50-59 years, female 125.6
GTEX-ZF28-0126-SM-4WKGK 60-69 years, male 125.6
GTEX-1H3VE-0326-SM-9YFLH 40-49 years, male 125.6
GTEX-ZVZP-2426-SM-59HKJ 50-59 years, male 125.3
GTEX-11DXZ-2326-SM-5EGGV 50-59 years, male 125.2
GTEX-1LGOU-2026-SM-DIPFF 20-29 years, female 125.2
GTEX-13RTK-1426-SM-5QGQJ 20-29 years, male 125.0
GTEX-145LV-2126-SM-5LU8N 50-59 years, male 124.8
GTEX-1IOXB-0126-SM-ARL8G 50-59 years, male 124.8
GTEX-14JG1-0426-SM-6ETZZ 40-49 years, male 124.6
GTEX-1KD4Q-0226-SM-E9TJ9 40-49 years, male 124.5
GTEX-12WSA-0226-SM-5BC5V 60-69 years, male 124.4
GTEX-12WSJ-1826-SM-5GCNY 40-49 years, female 124.4
GTEX-13PDP-0126-SM-5L3HD 60-69 years, male 124.4
GTEX-T6MO-1626-SM-32QOM 40-49 years, female 124.4
GTEX-YFC4-0126-SM-5CVLY 40-49 years, female 124.4
GTEX-139D8-0226-SM-5KLZO 30-39 years, female 124.2
GTEX-OXRK-0226-SM-3NB2G 50-59 years, female 123.9
GTEX-13FHP-0126-SM-5IJBG 50-59 years, male 123.8
GTEX-16YQH-0126-SM-7DUFJ 30-39 years, male 123.8
GTEX-1MCYP-1926-SM-E9J2R 20-29 years, female 123.8
GTEX-139UW-2826-SM-5L3E7 60-69 years, male 123.6
GTEX-14PJ3-1826-SM-62LEX 50-59 years, male 123.6
GTEX-1JMQI-2226-SM-CM2SD 50-59 years, male 123.6
GTEX-OXRN-0126-SM-48TDM 50-59 years, male 123.5
GTEX-1HSMP-0126-SM-E6CJS 70-79 years, male 123.5
GTEX-1MUQO-0126-SM-EAZ58 60-69 years, male 123.5
GTEX-13O3Q-2426-SM-5IJBR 50-59 years, male 123.4
GTEX-1GN2E-0426-SM-9MQKX 60-69 years, male 123.3
GTEX-1L5NE-2526-SM-E6CIE 50-59 years, male 123.3
GTEX-Q2AH-1626-SM-3GAF8 40-49 years, male 122.9
GTEX-XBEW-0626-SM-4QASP 40-49 years, male 122.9
GTEX-1IDJH-0326-SM-A9SLQ 70-79 years, male 122.9
GTEX-ZV68-0126-SM-59HKS 50-59 years, female 122.7
GTEX-13FH7-2026-SM-E9J4I 50-59 years, female 122.6
GTEX-ZAJG-0126-SM-5HL94 50-59 years, female 122.5
GTEX-1F6I4-0126-SM-9MQL2 60-69 years, male 122.5
GTEX-1192X-0226-SM-5H12D 50-59 years, male 122.4
GTEX-1ICLZ-0126-SM-CKZPO 60-69 years, male 122.4
GTEX-WRHK-1426-SM-3MJF9 20-29 years, female 122.3
GTEX-1EMGI-0126-SM-9KNUE 60-69 years, male 122.3
GTEX-13SLW-0126-SM-5SI6C 70-79 years, male 122.0
GTEX-1GZ2Q-0226-SM-7P8TL 40-49 years, male 121.7
GTEX-13FHO-0226-SM-5IFGY 60-69 years, male 121.6
GTEX-1RAZA-0126-SM-E6CI3 20-29 years, male 121.5
GTEX-PLZ4-0126-SM-5SI8O 50-59 years, female 121.3
GTEX-131YS-0126-SM-5KM1M 60-69 years, female 121.1
GTEX-13O3P-0126-SM-5KM4S 50-59 years, male 121.0
GTEX-1F75A-0126-SM-7RHGM 50-59 years, male 121.0
GTEX-1EX96-1626-SM-7PBXR 50-59 years, male 120.9
GTEX-17MFQ-1726-SM-793C7 20-29 years, male 120.8
GTEX-ZTX8-1426-SM-5DUVO 20-29 years, male 120.8
GTEX-12WSD-0126-SM-59HKN 60-69 years, female 120.7
GTEX-1GZHY-0326-SM-9QEHI 50-59 years, female 120.7
GTEX-13PVR-2326-SM-5QGR1 60-69 years, female 120.5
GTEX-15SDE-2226-SM-7IGLO 50-59 years, female 120.5
GTEX-1LGRB-2526-SM-CNPPQ 50-59 years, female 120.5
GTEX-1LB8K-0226-SM-EWRNW 50-59 years, male 120.3
GTEX-13OVK-2026-SM-7KUEO 40-49 years, male 120.2
GTEX-1HCU9-1526-SM-A9SL7 20-29 years, male 120.2
GTEX-1GF9W-0326-SM-9KNUN 60-69 years, male 120.1
GTEX-ZDYS-2026-SM-5HL5L 50-59 years, male 120.0
GTEX-1H11D-0226-SM-9WG6Z 40-49 years, male 119.8
GTEX-PW2O-1526-SM-7RHHB 20-29 years, male 119.8
GTEX-ZE7O-0126-SM-57WC1 50-59 years, female 119.5
GTEX-ZVZO-0126-SM-5A5L9 40-49 years, male 119.5
GTEX-1GF9V-0326-SM-7RHI5 60-69 years, male 119.2
GTEX-1KWVE-1426-SM-E9TJO 30-39 years, male 119.0
GTEX-1JMPZ-0226-SM-CNPP1 30-39 years, male 118.9
GTEX-1MCQQ-0826-SM-DLHC2 60-69 years, male 118.9
GTEX-11UD2-0226-SM-5EQKY 50-59 years, male 118.6
GTEX-1AX8Z-0126-SM-7DHM6 60-69 years, male 118.5
GTEX-12WSG-2826-SM-E9J4H 50-59 years, female 118.5
GTEX-1CAMQ-0226-SM-7IGPK 40-49 years, male 118.4
GTEX-1JN1M-0326-SM-CYPT3 60-69 years, female 118.4
GTEX-145LS-0126-SM-5QGP1 60-69 years, female 118.3
GTEX-1A32A-0126-SM-718B1 50-59 years, female 118.3
GTEX-1GF9U-2126-SM-7SB7L 40-49 years, female 118.3
GTEX-1BAJH-0526-SM-793CQ 70-79 years, male 118.2
GTEX-T2IS-0126-SM-4DM6O 20-29 years, female 118.2
GTEX-1PWST-0226-SM-E76QJ 70-79 years, male 118.1
GTEX-145MF-0626-SM-5LUAI 50-59 years, male 118.0
GTEX-1N2DW-0226-SM-E9TK2 50-59 years, male 118.0
GTEX-1JMPY-1326-SM-ARL8Y 30-39 years, male 117.9
GTEX-YB5K-2126-SM-4WWDJ 40-49 years, female 117.8
GTEX-1GPI7-0126-SM-9MQL8 20-29 years, male 117.8
GTEX-13YAN-0326-SM-5O9DF 60-69 years, male 117.7
GTEX-X5EB-2226-SM-46MW4 40-49 years, male 117.5
GTEX-Q2AI-1326-SM-2S1PL 40-49 years, male 117.4
GTEX-XV7Q-2526-SM-4BRV9 40-49 years, female 117.4
GTEX-1HFI6-0226-SM-ADEHZ 40-49 years, male 117.4
GTEX-11OC5-0126-SM-5HL6A 60-69 years, male 117.3
GTEX-1HSGN-0226-SM-CGQFV 40-49 years, female 117.1
GTEX-15ER7-0326-SM-7KUEV 20-29 years, female 117.0
GTEX-11EM3-2426-SM-59861 20-29 years, female 116.9
GTEX-1R46S-0626-SM-E9J41 60-69 years, female 116.9
GTEX-OHPL-0126-SM-2HMJ7 60-69 years, female 116.7
GTEX-13VXU-0126-SM-5SI9F 50-59 years, male 116.6
GTEX-WZTO-0126-SM-3NM95 40-49 years, male 116.6
GTEX-ZAK1-0126-SM-5IJD3 50-59 years, female 116.6
GTEX-1I1GP-2226-SM-CGQFK 50-59 years, male 116.6
GTEX-13OW7-0126-SM-5MR3B 50-59 years, male 116.4
GTEX-Q734-1926-SM-2I5EV 40-49 years, female 116.4
GTEX-1IDFM-0126-SM-COH2V 60-69 years, male 116.4
GTEX-1MJK2-0426-SM-DTXE5 50-59 years, male 116.4
GTEX-133LE-1826-SM-5J1MV 20-29 years, female 116.3
GTEX-1B8SF-1426-SM-7DUGL 60-69 years, male 116.3
GTEX-1KANB-0526-SM-E6CJH 50-59 years, male 116.3
GTEX-ZC5H-0226-SM-4WAY9 40-49 years, female 116.2
GTEX-1F52S-0126-SM-9MQJU 60-69 years, female 116.2
GTEX-13JUV-2726-SM-5LZZ8 40-49 years, female 116.1
GTEX-17HHY-0126-SM-7LG5D 50-59 years, male 116.1
GTEX-ZDTT-2726-SM-4WKF8 60-69 years, male 116.1
GTEX-13W46-0226-SM-5SIAG 50-59 years, male 116.0
GTEX-1AYD5-2426-SM-73KXR 50-59 years, male 116.0
GTEX-1OJC4-0126-SM-E9J2E 50-59 years, female 116.0
GTEX-13113-5016-SM-7EPIP 60-69 years, female 115.9
GTEX-ZVT3-0126-SM-5GU6I 60-69 years, female 115.5
GTEX-13O3O-0126-SM-E9J49 60-69 years, female 115.4
GTEX-1B933-0126-SM-7PC29 50-59 years, female 115.4
GTEX-13OVJ-0126-SM-5KM36 50-59 years, female 115.3
GTEX-1PIGE-0126-SM-EVYBJ 20-29 years, male 114.5
GTEX-1GN1V-0126-SM-9WPOS 60-69 years, male 114.4
GTEX-QESD-1426-SM-2S1R9 20-29 years, male 114.3
GTEX-U8T8-0126-SM-3DB94 60-69 years, male 114.3
GTEX-UPJH-0326-SM-3GADU 50-59 years, male 114.3
GTEX-WQUQ-0426-SM-3MJFU 60-69 years, male 114.3
GTEX-11EQ9-2426-SM-5HL5T 30-39 years, male 114.2
GTEX-14JG6-2226-SM-6EU2G 30-39 years, female 114.0
GTEX-Z93S-0126-SM-5HL7M 50-59 years, male 114.0
GTEX-11GS4-2726-SM-5A5LE 60-69 years, male 113.9
GTEX-1KANA-0726-SM-D3L9I 20-29 years, male 113.9
GTEX-14LLW-0126-SM-6LLIO 70-79 years, female 113.8
GTEX-13G51-2526-SM-5LZYK 60-69 years, male 113.7
GTEX-14E6D-0126-SM-62LDV 50-59 years, male 113.7
GTEX-1RDX4-0126-SM-E9J4P 50-59 years, female 113.7
GTEX-QDT8-0126-SM-48TZ1 30-39 years, female 113.6
GTEX-13OW5-0126-SM-DTXFS 60-69 years, male 113.6
GTEX-14LZ3-0226-SM-62LET 60-69 years, female 113.3
GTEX-1HCVE-0126-SM-CGQEU 50-59 years, male 113.3
GTEX-1H3O1-0426-SM-9YFKY 60-69 years, male 113.0
GTEX-11OF3-2626-SM-5GU7F 60-69 years, male 112.9
GTEX-1CAMR-1926-SM-7EPI2 20-29 years, male 112.9
GTEX-1IKOH-0226-SM-COH4E 60-69 years, female 112.9
GTEX-Y3I4-2126-SM-4TT7C 50-59 years, male 112.7
GTEX-1J8JJ-0226-SM-CL53I 60-69 years, female 112.7
GTEX-144GN-2326-SM-5LU4F 50-59 years, male 112.5
GTEX-1HBPI-1526-SM-C1YQ1 50-59 years, male 112.5
GTEX-1H4P4-0726-SM-9YFLR 50-59 years, male 112.2
GTEX-1J8QM-2126-SM-CYPSJ 60-69 years, female 112.1
GTEX-X638-0126-SM-47JZ8 70-79 years, female 111.9
GTEX-1ICG6-2526-SM-CGQFZ 70-79 years, female 111.8
GTEX-18A7A-0226-SM-718BH 50-59 years, female 111.7
GTEX-1I1GT-0626-SM-CGQER 60-69 years, female 111.7
GTEX-1C4CL-0526-SM-73KVK 30-39 years, male 111.6
GTEX-1F75B-0126-SM-9KNVL 50-59 years, male 111.5
GTEX-X4EO-0326-SM-3P5YO 60-69 years, female 111.4
GTEX-13IVO-0126-SM-5J1NG 70-79 years, male 111.3
GTEX-QLQW-1126-SM-2S1Q8 30-39 years, male 111.3
GTEX-1314G-1526-SM-5EGK2 30-39 years, male 111.2
GTEX-14PJ6-2126-SM-6EU1V 60-69 years, female 111.2
GTEX-1RAZQ-0726-SM-EAZ43 30-39 years, male 111.2
GTEX-15F5U-1526-SM-6PANO 40-49 years, male 110.9
GTEX-RU72-0926-SM-2TF6B 50-59 years, female 110.9
GTEX-1JMQJ-0526-SM-CYPSU 50-59 years, male 110.9
GTEX-SSA3-0126-SM-32QPU 60-69 years, male 110.8
GTEX-1QPFJ-0226-SM-E76PB 30-39 years, female 110.8
GTEX-U3ZN-2326-SM-3DB7W 30-39 years, female 110.6
GTEX-1H1DG-0126-SM-9WYU2 70-79 years, male 110.5
GTEX-1NHNU-1026-SM-E9J2A 50-59 years, male 110.5
GTEX-1QP29-0626-SM-EWRMX 50-59 years, male 110.5
GTEX-1S82Y-2026-SM-EVYCM 40-49 years, male 110.5
GTEX-1GF9X-2026-SM-7PC3A 40-49 years, female 110.3
GTEX-QDVN-2026-SM-3GAEP 50-59 years, male 110.1
GTEX-1O97I-0326-SM-EYYX7 60-69 years, male 110.1
GTEX-1LG7Z-1726-SM-D3LA4 30-39 years, male 110.0
GTEX-R55G-2526-SM-2TC6D 40-49 years, female 109.9
GTEX-1HSKV-0226-SM-A9SKJ 60-69 years, male 109.8
GTEX-14A6H-0126-SM-5QGPK 30-39 years, male 109.6
GTEX-WYVS-2126-SM-3NMA3 40-49 years, female 109.6
GTEX-117YX-2326-SM-5H12W 50-59 years, male 109.5
GTEX-U8XE-0326-SM-3DB8P 30-39 years, male 109.3
GTEX-XXEK-2226-SM-4BRUM 50-59 years, male 109.3
GTEX-111VG-2426-SM-5GZXD 60-69 years, male 109.2
GTEX-WFG8-2226-SM-3GIL9 20-29 years, male 109.2
GTEX-1HR98-0126-SM-B2LWI 60-69 years, male 109.2
GTEX-15SHU-0126-SM-7KUEH 40-49 years, female 109.1
GTEX-16GPK-0126-SM-7DHLE 60-69 years, male 109.1
GTEX-WFON-2126-SM-3LK7O 40-49 years, male 109.1
GTEX-11TUW-2726-SM-E9J4M 60-69 years, male 109.0
GTEX-13D11-2426-SM-5KM1V 50-59 years, female 108.8
GTEX-17GQL-2026-SM-718BA 60-69 years, male 108.8
GTEX-PLZ5-2026-SM-2S1O4 50-59 years, male 108.8
GTEX-T5JC-0426-SM-32PLO 20-29 years, male 108.8
GTEX-1GMR3-1926-SM-9KNUZ 40-49 years, male 108.8
GTEX-1128S-2326-SM-5GZZY 60-69 years, female 108.7
GTEX-T8EM-1026-SM-3DB7M 40-49 years, male 108.7
GTEX-1LNCM-1126-SM-E9U5E 50-59 years, female 108.7
GTEX-S7SE-0126-SM-2XCD5 50-59 years, male 108.6
GTEX-1QP67-1626-SM-EAZ3X 40-49 years, female 108.6
GTEX-1KXAM-2226-SM-CYPTC 60-69 years, male 108.4
GTEX-1R7EU-0226-SM-EVR4G 60-69 years, male 108.4
GTEX-147F4-0226-SM-5QGPW 50-59 years, male 108.3
GTEX-113JC-2326-SM-5EQ4E 50-59 years, female 108.1
GTEX-11GSO-2426-SM-5A5LY 60-69 years, male 108.1
GTEX-1GZ4H-1726-SM-7PBZJ 50-59 years, female 108.1
GTEX-1IL2V-0126-SM-CM2TX 70-79 years, male 108.0
GTEX-1J1R8-1726-SM-ARL8M 40-49 years, male 108.0
GTEX-17EUY-0426-SM-793BD 20-29 years, male 107.9
GTEX-PWO3-1526-SM-48TCM 60-69 years, female 107.5
GTEX-ZYFD-0126-SM-5GIDL 50-59 years, male 107.4
GTEX-1I1GS-0126-SM-B2LVW 60-69 years, male 107.4
GTEX-131XG-2626-SM-5KM17 50-59 years, female 107.3
GTEX-16NPX-0226-SM-79OMT 50-59 years, male 107.3
GTEX-ZEX8-2426-SM-4WKG4 50-59 years, male 107.3
GTEX-1IDJF-0126-SM-CM2RS 20-29 years, male 107.3
GTEX-1B8L1-2526-SM-9WYTF 60-69 years, male 107.2
GTEX-1GN1U-0126-SM-7PBZK 50-59 years, female 107.2
GTEX-1RQEC-0426-SM-E6CHU 60-69 years, male 107.2
GTEX-1B97I-1626-SM-73KYO 40-49 years, male 107.1
GTEX-1CB4H-0226-SM-7PBXM 60-69 years, female 107.1
GTEX-14DAR-2026-SM-5S2O3 50-59 years, male 107.0
GTEX-1LG7Y-0526-SM-DKPQC 50-59 years, male 107.0
GTEX-13OVL-0226-SM-5L3E9 50-59 years, male 106.9
GTEX-1N2DV-0226-SM-E6CJ6 40-49 years, male 106.9
GTEX-13X6J-0126-SM-5QGOU 50-59 years, male 106.6
GTEX-Q2AG-0126-SM-33HBV 40-49 years, female 106.6
GTEX-147GR-0526-SM-5S2MY 60-69 years, male 106.4
GTEX-1F7RK-0126-SM-7PC2S 20-29 years, female 106.2
GTEX-11ZVC-2526-SM-5FQTE 50-59 years, female 106.1
GTEX-14PJM-0226-SM-62LF1 50-59 years, female 106.1
GTEX-17HII-0226-SM-7LG4E 50-59 years, male 106.1
GTEX-1I4MK-2226-SM-ACKWD 50-59 years, female 106.1
GTEX-13FTX-1826-SM-5J1NX 20-29 years, female 106.0
GTEX-1I1CD-0126-SM-CM2TK 60-69 years, female 105.7
GTEX-1GN73-0226-SM-9WG67 60-69 years, male 105.6
GTEX-1H3VY-0126-SM-ACKXD 50-59 years, male 105.6
GTEX-13OW8-1326-SM-5J1OW 60-69 years, male 105.5
GTEX-XUW1-0426-SM-4BOOT 50-59 years, female 105.4
GTEX-17HHE-2026-SM-79OKF 50-59 years, male 105.3
GTEX-13NYB-2526-SM-5K7Z6 40-49 years, male 105.1
GTEX-1269C-2526-SM-5EGJ3 60-69 years, female 105.0
GTEX-1F6IF-0726-SM-7P8TW 60-69 years, male 104.8
GTEX-13S7M-0126-SM-5SI6A 60-69 years, female 104.7
GTEX-1LC47-0326-SM-E9TJP 60-69 years, male 104.5
GTEX-1PPH7-2326-SM-EVYB8 40-49 years, male 104.5
GTEX-148VJ-0126-SM-5TDDN 70-79 years, male 104.4
GTEX-1EKGG-0226-SM-9WYTH 60-69 years, male 104.3
GTEX-14BIM-0226-SM-7IGLD 60-69 years, female 104.2
GTEX-ZF2S-2326-SM-4WWCE 50-59 years, female 104.1
GTEX-1M4P7-0226-SM-DIPEV 60-69 years, male 104.1
GTEX-1IY9M-0126-SM-D3L8S 60-69 years, male 104.0
GTEX-1I6K6-0126-SM-A9SLE 30-39 years, male 103.9
GTEX-ZAB5-1826-SM-5HL7C 50-59 years, male 103.8
GTEX-1C64O-0126-SM-7SB8P 60-69 years, male 103.8
GTEX-XAJ8-0826-SM-47JY6 40-49 years, male 103.7
GTEX-1GMRU-0126-SM-9YFLV 50-59 years, male 103.7
GTEX-1K9T9-0126-SM-EVYCF 50-59 years, female 103.7
GTEX-15G19-0126-SM-6PANQ 60-69 years, male 103.4
GTEX-1AMFI-2026-SM-731BH 50-59 years, female 103.4
GTEX-1C64N-0126-SM-793D7 50-59 years, male 103.4
GTEX-ZQUD-1426-SM-57WER 30-39 years, male 103.4
GTEX-1JMQL-0226-SM-CNPP5 50-59 years, female 103.4
GTEX-QCQG-1726-SM-3GIJ9 50-59 years, female 103.3
GTEX-1IDJU-2626-SM-CM2RT 60-69 years, female 103.0
GTEX-1LH75-2426-SM-E9TJE 50-59 years, female 102.9
GTEX-WOFL-0126-SM-3MJG2 60-69 years, male 102.8
GTEX-13N11-2526-SM-5K7UE 50-59 years, female 102.6
GTEX-13RTJ-2426-SM-5S2Q2 60-69 years, male 102.6
GTEX-11DXY-2626-SM-5GIE7 60-69 years, male 102.4
GTEX-13NZA-0226-SM-5K7Z7 60-69 years, male 102.4
GTEX-1B8KZ-2026-SM-7DHMB 50-59 years, male 102.4
GTEX-1POEN-0126-SM-EYYXJ 30-39 years, female 102.4
GTEX-VUSG-2526-SM-4KL1V 50-59 years, male 102.3
GTEX-1AX9J-0226-SM-73KXM 60-69 years, male 102.2
GTEX-RUSQ-1526-SM-2TF62 50-59 years, male 102.2
GTEX-11P82-1626-SM-59879 20-29 years, male 102.1
GTEX-15CHC-2126-SM-6EU21 60-69 years, female 102.1
GTEX-17MF6-0126-SM-7LG4F 40-49 years, male 102.0
GTEX-1JMQK-0226-SM-CL543 60-69 years, male 102.0
GTEX-13NYS-0126-SM-5MR3W 60-69 years, male 101.9
GTEX-ZV6S-2326-SM-4YCEY 40-49 years, female 101.9
GTEX-1A3MV-1926-SM-718BT 30-39 years, male 101.8
GTEX-RWS6-2026-SM-2XCB5 60-69 years, female 101.8
GTEX-1C6VQ-0126-SM-7P8RI 50-59 years, male 101.8
GTEX-1HKZK-0326-SM-9WYUH 40-49 years, male 101.8
GTEX-ZQG8-1626-SM-DHXIT 60-69 years, female 101.8
GTEX-15DDE-0126-SM-6LPKH 50-59 years, female 101.6
GTEX-SJXC-0126-SM-2XCFF 60-69 years, male 101.6
GTEX-1CB4F-0426-SM-9KNV4 60-69 years, male 101.6
GTEX-1I1HK-0126-SM-COH49 60-69 years, male 101.6
GTEX-11TTK-0126-SM-5987B 60-69 years, female 101.5
GTEX-12696-2426-SM-5EQ6H 60-69 years, male 101.3
GTEX-1IGQW-0126-SM-COH42 60-69 years, male 101.3
GTEX-1PBJI-0526-SM-E8VNK 20-29 years, female 101.3
GTEX-1GTWX-0126-SM-9YFLK 60-69 years, male 101.2
GTEX-11NUK-0126-SM-5A5L3 50-59 years, male 101.0
GTEX-1AMEY-1326-SM-73KYK 30-39 years, female 101.0
GTEX-ZZ64-1726-SM-5GZYB 20-29 years, male 101.0
GTEX-ZVT4-0126-SM-DTXFN 50-59 years, female 101.0
GTEX-1HBPH-0426-SM-B2LW5 40-49 years, female 100.8
GTEX-13OVI-1426-SM-5L3EY 60-69 years, female 100.7
GTEX-17EVQ-0226-SM-7LG4P 70-79 years, male 100.7
GTEX-ZYY3-0126-SM-5GZY5 60-69 years, female 100.4
GTEX-1RLM8-2326-SM-EWRN4 50-59 years, male 100.4
GTEX-12C56-1726-SM-5EQ61 20-29 years, male 100.3
GTEX-QDVJ-1726-SM-2I5FX 50-59 years, male 100.3
GTEX-ZTSS-1926-SM-57WEW 40-49 years, male 100.3
GTEX-13U4I-0126-SM-5LU38 40-49 years, female 100.2
GTEX-18465-0126-SM-731BN 50-59 years, male 100.2
GTEX-145ME-1826-SM-5SI9G 40-49 years, female 100.0
GTEX-ZF29-2326-SM-DO92K 60-69 years, female 100.0
GTEX-X261-0126-SM-3NMD6 50-59 years, male 99.7
GTEX-1C2JI-1826-SM-73KXC 50-59 years, male 99.6
GTEX-Y5V5-2326-SM-4V6GA 60-69 years, female 99.6
GTEX-1QW4Y-1526-SM-EAZ3Z 30-39 years, male 99.5
GTEX-14JIY-0126-SM-6LLH6 60-69 years, male 99.0
GTEX-1GPI6-0126-SM-9WG69 60-69 years, male 99.0
GTEX-11NSD-2226-SM-5986V 20-29 years, male 98.8
GTEX-183FY-0126-SM-7LT9P 20-29 years, male 98.8
GTEX-1H1ZS-0426-SM-9WG6G 70-79 years, male 98.8
GTEX-1F5PL-0326-SM-7P8PQ 40-49 years, female 98.7
GTEX-1MA7X-2226-SM-E6CIY 60-69 years, male 98.6
GTEX-11DXX-2426-SM-5GZZW 60-69 years, female 98.5
GTEX-131XH-2226-SM-5DUXJ 50-59 years, male 98.5
GTEX-13X6I-0626-SM-5QGP9 60-69 years, male 98.4
GTEX-1R9PO-2126-SM-E9J4O 60-69 years, female 98.4
GTEX-147F3-0526-SM-5SI98 50-59 years, female 98.3
GTEX-14BIN-0626-SM-793DP 50-59 years, female 98.1
GTEX-139TU-0126-SM-5K7WH 60-69 years, male 98.0
GTEX-11VI4-1726-SM-5CVLH 40-49 years, female 97.9
GTEX-1ICLY-0126-SM-D4P36 50-59 years, male 97.7
GTEX-12ZZZ-0626-SM-5DUXI 60-69 years, male 97.5
GTEX-17F96-1626-SM-7DUFL 70-79 years, male 97.5
GTEX-14E7W-0126-SM-6LLJ9 70-79 years, male 97.4
GTEX-1R7EV-2426-SM-EVYBG 40-49 years, male 97.4
GTEX-R55E-0126-SM-2TC5Y 20-29 years, male 97.3
GTEX-XUYS-0126-SM-47JWZ 50-59 years, male 97.1
GTEX-ZYT6-0226-SM-5NQ6T 30-39 years, male 97.1
GTEX-XMD2-0126-SM-4YCDU 60-69 years, female 97.0
GTEX-ZZPT-0226-SM-5E43X 50-59 years, male 97.0
GTEX-1HT8W-0126-SM-CNPPP 30-39 years, male 96.4
GTEX-14PN4-0126-SM-6EU2V 50-59 years, male 96.3
GTEX-14C5O-0126-SM-5SI6N 60-69 years, male 96.0
GTEX-XPVG-2626-SM-4B669 50-59 years, male 96.0
GTEX-X62O-0126-SM-4E3JN 50-59 years, male 95.9
GTEX-13OW6-0426-SM-5L3HM 50-59 years, male 95.8
GTEX-16NGA-1726-SM-731B4 40-49 years, female 95.7
GTEX-16XZZ-0126-SM-793DV 60-69 years, male 95.7
GTEX-1B8KE-2126-SM-73KYX 50-59 years, male 95.7
GTEX-15DCD-0126-SM-7KUEK 70-79 years, female 95.6
GTEX-ZYW4-0126-SM-5E44A 60-69 years, male 95.6
GTEX-1HSMQ-1226-SM-CGQFX 50-59 years, male 95.6
GTEX-VJYA-1126-SM-3GIJU 60-69 years, male 95.5
GTEX-11DZ1-0126-SM-5985Q 50-59 years, male 95.4
GTEX-131XW-0426-SM-5LZWP 50-59 years, female 95.3
GTEX-18A7B-0126-SM-7LG64 70-79 years, male 95.2
GTEX-1I19N-0326-SM-ACKVX 70-79 years, male 95.2
GTEX-1399T-2826-SM-5KLYZ 60-69 years, male 94.9
GTEX-1C6VR-2426-SM-79OLD 60-69 years, male 94.9
GTEX-U3ZH-2026-SM-3DB78 30-39 years, male 94.9
GTEX-1JJE9-0326-SM-CL53Z 70-79 years, male 94.9
GTEX-ZPIC-1726-SM-DHXIU 40-49 years, female 94.8
GTEX-13OVG-1926-SM-5L3DK 60-69 years, male 94.7
GTEX-14PN3-2426-SM-6LLHS 60-69 years, female 94.7
GTEX-1C6WA-0126-SM-7PC2B 60-69 years, male 94.6
GTEX-12ZZX-0126-SM-5EGK9 40-49 years, female 94.5
GTEX-144GL-0126-SM-5TDE2 50-59 years, male 94.5
GTEX-11XUK-2026-SM-5EQLF 40-49 years, female 94.3
GTEX-15SHW-0326-SM-6PAML 60-69 years, male 94.3
GTEX-1JJEA-0326-SM-CNPOT 60-69 years, male 94.0
GTEX-R3RS-0126-SM-3GIJL 40-49 years, female 93.8
GTEX-1QEPI-0126-SM-EWRMQ 60-69 years, female 93.7
GTEX-17EVP-0326-SM-7DHLG 40-49 years, male 93.6
GTEX-RN64-0126-SM-2TC68 50-59 years, male 93.6
GTEX-15DYW-0126-SM-7KULE 60-69 years, female 93.4
GTEX-1I1GQ-0126-SM-COH3H 50-59 years, male 93.3
GTEX-Y8LW-1826-SM-5S2MV 50-59 years, female 93.2
GTEX-13RTL-0126-SM-7LG5S 40-49 years, male 93.0
GTEX-XBED-2226-SM-47JYQ 60-69 years, male 93.0
GTEX-1QMI2-0226-SM-EVYBX 60-69 years, male 93.0
GTEX-14BMV-0126-SM-5S2PO 50-59 years, male 92.9
GTEX-15EU6-0426-SM-6PAN5 50-59 years, male 92.9
GTEX-183WM-0126-SM-7LTAB 70-79 years, female 92.6
GTEX-1F88F-2726-SM-7PBZZ 60-69 years, female 92.6
GTEX-14A5H-0426-SM-5QGQF 60-69 years, male 92.5
GTEX-1J8Q2-0526-SM-CM2RW 60-69 years, male 92.5
GTEX-QLQ7-1626-SM-2S1R8 60-69 years, male 92.4
GTEX-1CB4G-0226-SM-7PC3O 60-69 years, male 92.2
GTEX-OXRP-0126-SM-3NB32 60-69 years, female 92.0
GTEX-11EI6-0126-SM-5985R 60-69 years, male 91.9
GTEX-12WSE-0526-SM-793B2 20-29 years, male 91.9
GTEX-14ABY-0226-SM-5TDCQ 50-59 years, male 91.9
GTEX-ZTPG-0326-SM-5O9AX 20-29 years, female 91.7
GTEX-12KS4-0326-SM-5EQ41 30-39 years, male 91.6
GTEX-17HG3-2226-SM-7938L 30-39 years, female 91.5
GTEX-1AX9I-0126-SM-7SB74 60-69 years, male 91.4
GTEX-11TT1-2526-SM-5EGIB 20-29 years, male 91.3
GTEX-139T4-0226-SM-5HL5S 50-59 years, female 90.9
GTEX-1GL5R-1826-SM-9KNUY 50-59 years, male 90.8
GTEX-15D1Q-0126-SM-7KUG6 40-49 years, male 90.6
GTEX-18A66-0226-SM-718BD 60-69 years, male 90.6
GTEX-1212Z-2526-SM-5EGKP 60-69 years, male 90.3
GTEX-12ZZY-0226-SM-5LZVE 60-69 years, male 90.3
GTEX-18A67-0126-SM-7LG5P 50-59 years, male 90.3
GTEX-13CF3-2426-SM-5IFGX 60-69 years, female 90.1
GTEX-13W3W-2426-SM-5LU5B 60-69 years, female 89.8
GTEX-14E6E-1826-SM-5S2R7 30-39 years, male 89.8
GTEX-16AAH-1726-SM-7939C 50-59 years, male 89.8
GTEX-ZUA1-0126-SM-5GU76 40-49 years, male 89.6
GTEX-1HB9E-0226-SM-E9U4R 50-59 years, male 89.5
GTEX-1EU9M-0226-SM-7P8SP 60-69 years, male 89.3
GTEX-1HCUA-2426-SM-ADEIS 50-59 years, female 89.3
GTEX-SNMC-1226-SM-2XCFP 20-29 years, male 89.2
GTEX-1R9K4-0126-SM-DTX9X 60-69 years, male 89.2
GTEX-12584-0126-SM-5EGKQ 40-49 years, male 89.1
GTEX-16BQI-0226-SM-7KUEX 30-39 years, female 89.0
GTEX-18D9B-0526-SM-7LTAS 60-69 years, male 88.8
GTEX-OOBK-0126-SM-2YUND 40-49 years, male 88.6
GTEX-ZXG5-0126-SM-5GIEU 60-69 years, male 88.6
GTEX-11P81-2326-SM-59875 30-39 years, female 88.5
GTEX-1AX9K-2326-SM-73KWU 50-59 years, male 88.5
GTEX-Z9EW-1626-SM-5CVMN 40-49 years, male 88.4
GTEX-RWSA-0126-SM-2XCBB 40-49 years, male 88.3
GTEX-1F75I-0326-SM-9YFLU 40-49 years, male 88.3
GTEX-1H3NZ-0126-SM-ACKX7 60-69 years, male 88.3
GTEX-1JKYN-1326-SM-CGQG9 30-39 years, male 88.2
GTEX-OXRO-0126-SM-2YUN4 60-69 years, female 88.1
GTEX-17KNJ-2326-SM-7DHLQ 50-59 years, male 88.0
GTEX-13N1W-0126-SM-5K7VT 70-79 years, male 87.8
GTEX-1HUB1-0426-SM-E9U4U 60-69 years, male 87.7
GTEX-1GMR8-0126-SM-9WYTM 50-59 years, female 87.6
GTEX-1GN1W-0526-SM-9MQJQ 50-59 years, female 87.6
GTEX-1QP2A-0126-SM-E9J43 50-59 years, male 87.6
GTEX-1I1GR-0126-SM-CL55F 60-69 years, male 87.5
GTEX-1J8Q3-1626-SM-CMKGC 60-69 years, male 87.3
GTEX-11ZU8-2526-SM-5EQKI 60-69 years, male 87.1
GTEX-13VXT-0126-SM-5LU4I 20-29 years, female 87.0
GTEX-V1D1-2226-SM-3NMAX 50-59 years, male 86.8
GTEX-1KD5A-0226-SM-D5OV3 50-59 years, male 86.8
GTEX-14DAQ-0126-SM-5S2MQ 60-69 years, female 86.6
GTEX-1H1E6-1726-SM-ACKVK 30-39 years, male 86.5
GTEX-17HGU-0226-SM-7DHKV 50-59 years, male 86.4
GTEX-1H1DE-2126-SM-9WG6R 20-29 years, male 86.4
GTEX-1CAMS-0426-SM-7P8T2 40-49 years, female 86.3
GTEX-148VI-1626-SM-5SI6E 60-69 years, female 86.1
GTEX-13SLX-0526-SM-5S2ON 50-59 years, female 86.0
GTEX-14PHW-0126-SM-6LLJI 60-69 years, female 85.9
GTEX-SE5C-1626-SM-2XCE3 40-49 years, female 85.9
GTEX-11ZUS-0626-SM-59885 30-39 years, male 85.7
GTEX-13OVH-0126-SM-5MR4B 70-79 years, male 85.7
GTEX-13X6H-2126-SM-7EWD5 50-59 years, female 85.6
GTEX-TMMY-0226-SM-33HBA 40-49 years, female 85.6
GTEX-VJWN-0126-SM-3GIK7 50-59 years, female 85.3
GTEX-1F5PK-2426-SM-7RHHY 50-59 years, male 85.2
GTEX-1B996-0226-SM-7RHGO 60-69 years, male 85.1
GTEX-OIZF-0126-SM-7SB8I 60-69 years, male 85.0
GTEX-13N2G-2626-SM-5J1OT 60-69 years, male 84.8
GTEX-1B8SG-0126-SM-73KZ3 50-59 years, male 84.6
GTEX-1HCU7-0226-SM-CL545 50-59 years, male 84.6
GTEX-11LCK-1026-SM-5A5KB 30-39 years, male 84.5
GTEX-16XZY-2126-SM-79OK1 70-79 years, male 84.5
GTEX-1192W-2626-SM-5Q5AF 60-69 years, male 83.9
GTEX-139TT-0126-SM-5K7Y5 60-69 years, male 83.7
GTEX-1IE54-0126-SM-CMKHW 40-49 years, female 83.4
GTEX-1IKJJ-0126-SM-CNPQB 60-69 years, male 83.0
GTEX-145LU-0126-SM-5TDCB 50-59 years, male 82.8
GTEX-TSE9-0126-SM-3DB83 60-69 years, female 82.7
GTEX-1JK1U-2026-SM-CM2RZ 60-69 years, male 82.6
GTEX-11WQC-2526-SM-5CVLE 60-69 years, male 82.5
GTEX-1HBPN-0226-SM-9YFM1 50-59 years, male 82.4
GTEX-X4XY-0226-SM-4E3IZ 60-69 years, male 82.2
GTEX-146FR-1326-SM-E9J48 60-69 years, female 82.0
GTEX-1HFI7-1826-SM-ACKXH 50-59 years, female 81.9
GTEX-YJ8A-0426-SM-5IFID 20-29 years, male 81.8
GTEX-11EMC-2926-SM-5EQ4F 60-69 years, female 81.5
GTEX-14XAO-2326-SM-6EU1B 60-69 years, female 81.2
GTEX-1HSMO-0126-SM-CL547 60-69 years, male 81.0
GTEX-1H23P-0126-SM-ADEJ3 60-69 years, male 80.7
GTEX-12WSC-0126-SM-5EQ4P 50-59 years, male 80.2
GTEX-1F48J-0126-SM-7P8TT 50-59 years, female 80.2
GTEX-1E1VI-0126-SM-7DHMZ 50-59 years, male 80.1
GTEX-PVOW-0126-SM-2XCFA 40-49 years, male 80.1
GTEX-13O1R-0126-SM-5L3EH 60-69 years, male 79.9
GTEX-13112-2826-SM-5DUWH 50-59 years, male 79.7
GTEX-1N2EF-0226-SM-EYYXB 60-69 years, male 79.7
GTEX-11H98-0126-SM-5EGHG 50-59 years, male 79.5
GTEX-146FH-0126-SM-5QGPP 50-59 years, female 79.5
GTEX-ZVE2-0226-SM-59HJB 50-59 years, male 79.5
GTEX-15UKP-0426-SM-7KUFQ 20-29 years, male 79.1
GTEX-U4B1-1826-SM-4DXSU 40-49 years, male 78.5
GTEX-13NYC-0326-SM-E9J4S 60-69 years, male 78.4
GTEX-1E2YA-0126-SM-9KNUC 50-59 years, male 78.4
GTEX-14BIL-0126-SM-5SI92 50-59 years, male 78.1
GTEX-1C6VS-0526-SM-7DUEN 60-69 years, male 77.8
GTEX-12WSN-5019-SM-79OM6 40-49 years, male 77.7
GTEX-1JN76-0126-SM-CNPPE 20-29 years, female 77.6
GTEX-11ZTT-2426-SM-5EQLS 60-69 years, female 76.7
GTEX-1A8FM-0226-SM-7SB7Q 50-59 years, female 75.6
GTEX-11O72-0126-SM-59887 40-49 years, male 75.4
GTEX-1I1GU-2226-SM-CGQFA 40-49 years, male 75.3
GTEX-14A5I-0126-SM-5TDEA 50-59 years, female 75.2
GTEX-1JMOU-1526-SM-CL54I 60-69 years, female 75.2
GTEX-1A3MX-0126-SM-731BR 60-69 years, male 74.2
GTEX-ZU9S-0226-SM-5E441 30-39 years, male 73.6
GTEX-P44H-0226-SM-2XCEU 40-49 years, male 73.5
GTEX-S32W-2126-SM-2XCB1 50-59 years, female 72.6
GTEX-1EN7A-0126-SM-7SB81 40-49 years, male 72.4
GTEX-1A3MW-0126-SM-73KXX 60-69 years, female 70.9
GTEX-12WSL-2526-SM-5GCNJ 50-59 years, male 69.4
GTEX-15EOM-0126-SM-7KUGG 20-29 years, female 66.9
GTEX-1C475-1826-SM-73KWA 40-49 years, female 66.4
GTEX-1CB4J-0626-SM-7DHMP 60-69 years, male 65.8
GTEX-11WQK-0526-SM-5EQLD 50-59 years, male 64.4
GTEX-ZY6K-1826-SM-5GZXK 50-59 years, male 62.9
GTEX-1S82Z-0826-SM-E6CHY 30-39 years, female 44.2
Show allShow less

Contact

  • NEWS ARTICLES
  • PRESS ROOM

The Project

  • INTRODUCTION
  • ORGANIZATION
  • PUBLICATIONS

The Human Protein Atlas

  • DOWNLOADABLE DATA
  • LICENCE & CITATION
  • HELP & FAQ
The Human Protein Atlas project is funded
by the Knut & Alice Wallenberg Foundation.


contact@proteinatlas.org