We use cookies to enhance the usability of our website. If you continue, we'll assume that you are happy to receive all cookies. More information. Don't show this again.
S100A11
HPA
RESOURCES
  • TISSUE
  • BRAIN
  • SINGLE CELL
  • SUBCELLULAR
  • CANCER
  • BLOOD
  • CELL LINE
  • STRUCTURE & INTERACTION
ABOUT
  • INTRODUCTION
  • HISTORY
  • ORGANIZATION
  • PUBLICATIONS
  • ANTIBODY SUBMISSION
  • ANTIBODY AVAILABILITY
  • ACKNOWLEDGMENTS
  • CONTACT
NEWS
  • NEWS ARTICLES
  • PRESS ROOM
LEARN
  • DICTIONARY
  • PROTEIN CLASSES
  • PROTEIN EVIDENCE
  • METHODS
  • EDUCATIONAL VIDEOS
DATA
  • DOWNLOADABLE DATA
  • PUBLICATION DATA
  • RELEASE HISTORY
HELP
  • ANTIBODY VALIDATION
  • ASSAYS & ANNOTATION
  • DISCLAIMER
  • HELP & FAQ
  • PRIVACY STATEMENT
  • LICENCE & CITATION
Fields »
Search result

Field
Term
Gene name
Class
Subclass
Class
Keyword
Chromosome
External id
Tissue
Cell type
Expression
Antibody panel
Tissue
Main location
Patient ID
Annotation
Tissue
Category
Tau score
Cluster
Reliability
Brain region
Category
Tau score
Brain region
Category
Tau score
Brain region
Category
Tau score
Cluster
Reliability
Tissue
Cell type
Enrichment
Cell type
Category
Tau score
Cell type
Category
Tau score
Cell type
Category
Tau score
Cell lineage
Category
Tau score
Cluster
Cluster
Location
Searches
Location
Cell line
Class
Type
Phase
Reliability
Cancer
Prognosis
Cancer
Category
Cancer
Category
Tau score
Cluster
Variants
Interacting gene (ensg_id)
Type
Number of interactions
Pathway
Category
Score
Score
Score
Validation
Validation
Validation
Validation
Antibodies
Data type
Column


  • SUMMARY

  • TISSUE

  • BRAIN

  • SINGLE CELL

  • SUBCELL

  • CANCER

  • BLOOD

  • CELL LINE

  • STRUCT & INT

  • S100A11
TISSUE PRIMARY DATA BREAST Show tissue menu
ADIPOSE TISSUE ADRENAL GLAND AMYGDALA APPENDIX BASAL GANGLIA BONE MARROW BREAST BRONCHUS CEREBELLUM CEREBRAL CORTEX CERVIX CHOROID PLEXUS COLON DUODENUM
ENDOMETRIUM EPIDIDYMIS ESOPHAGUS FALLOPIAN TUBE GALLBLADDER HEART MUSCLE HIPPOCAMPAL FORMATION HYPOTHALAMUS KIDNEY LIVER LUNG LYMPH NODE MIDBRAIN NASOPHARYNX
ORAL MUCOSA OVARY PANCREAS PARATHYROID GLAND PITUITARY GLAND PLACENTA PROSTATE RECTUM RETINA SALIVARY GLAND SEMINAL VESICLE SKELETAL MUSCLE SKIN SMALL INTESTINE
SMOOTH MUSCLE SOFT TISSUE SPINAL CORD SPLEEN STOMACH TESTIS THYMUS THYROID GLAND TONGUE TONSIL URINARY BLADDER VAGINA
ANTIBODIES
AND
VALIDATION
Dictionary
Breast
Tissue proteome
Breast
BREAST - Expression summary
Protein expression
Breasti

On the top, protein expression in current human tissue, based on all annotated cell types, is reported with the units not detected (n), low (l), medium (m) and high (h). Underneath, protein expression in each annotated cell type are reported using the same units.

Protein expression data is based on knowledge-based annotation. For genes where more than one antibody has been used, a collective score is set.

If knowledge-based annotation could not be performed for a gene, no data is displayed here. View antibody staining data further down this page.

h
m
l
n
Adipocytes: Low
Glandular cells: Low
Myoepithelial cells: Low
RNA expressioni

A summary of mRNA expression data available for current tissue based on several datasets. The mRNA expression levels in human tissues are based on RNA-seq data generated by the Human Protein Atlas (HPA), Genotype-Tissue Expression (GTEx) portal and CAGE data generated by the FANTOM5 consortium. Consensus normalized expression levels for human tissues was created by combining the data from HPA and GTEx datasets.

The mRNA expression levels in pig are based on RNA-seq data generated by the Human Protein Atlas (HPA), and for mouse, HPA data and in situ hybridization generated by the Allen brain atlas are reported.

Scroll down to view mRNA expression data in more detail.
Consensus:556.0 nTPM
HPA:502.9 nTPM
GTEx:556.0 nTPM
FANTOM5:704.6 Scaled Tags Per Million

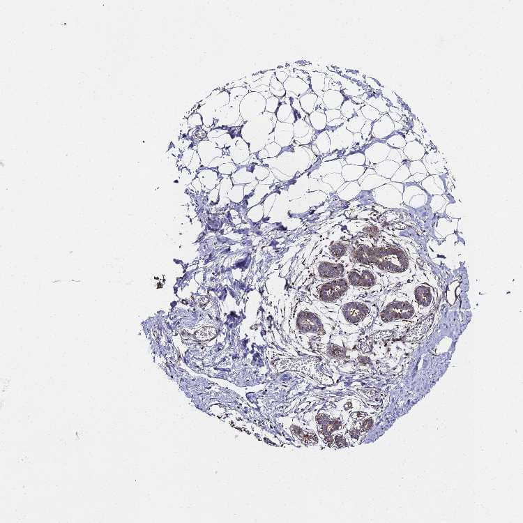
BREAST - Antibody stainingi

Antibody staining in the annotated cell types in the current human tissue is reported as not detected, low, medium, or high, based on conventional immunohistochemistry profiling in selected tissues. This score is based on the combination of the staining intensity and fraction of stained cells.

Each image is clickable and will lead to virtual microscopy that enables deeper exploration of all samples and also displays staining intensity scores, fraction scores and subcellular localization as well as patient and tissue information for each sample.

Antibody HPA042745Antibody CAB034320
Adipocytes LowNot detected
Glandular cells LowLow
Myoepithelial cells LowLow




BREAST - HPA RNA-seqi

The RNA-seq details section shows detailed information about the individual samples used for the transcript profiling and results of the RNA-seq analysis.

Information about each individual sample is listed below, including gender, age, a tissue section image and estimated fractions of cell types. nTPM (normalized transcripts per million) values give a quantification of the gene abundance which is comparable between different genes and samples.
Average nTPMi

Max subtype nTPM is the value for the subtype with the largest average nTPM across the subtype samples.

502.9
overview
Female, age 52
Breast sample 373
nTPM: 411.9
Cell types%
Glandular cells:
15

Adipocytes:
5

Other cell types:
80

overview
Female, age 80
Breast sample 390
nTPM: 663.4
Cell types%
Glandular cells:
5

Adipocytes:
15

Other cell types:
80

overview
Female, age 47
Breast sample 405
nTPM: 734.6
Cell types%
Glandular cells:
5

Adipocytes:
5

Other cell types:
90

overview
Female, age 38
Breast sample 410
nTPM: 201.7
Cell types%
Glandular cells:
40

Adipocytes:
5

Other cell types:
55


BREAST - GTEx RNA-seqi

RNA-Seq data generated by the Genotype-Tissue Expression (GTEx) project from human tissues is reported as mean nTPM. More information can be found on the GTEx portal.

Distribution across the dataset is visualized with box plots, shown as median and 25th and 75th percentiles. Points are displayed as outliers if they are above or below 1.5 times the interquartile range. nTPM values of the individual samples are presented next to the box plot.
Max subtype nTPMi

Max subtype nTPM is the value for the subtype with the largest average nTPM across the subtype samples.

556.0
GTEx sample id Sample description nTPM
Breast - Mammary Tissue
Average nTPM: 556.0
Samples: 459

Max nTPM: 1774.1
Min nTPM: 194.2
Std nTPM: 239.8
Median nTPM: 499.4
GTEX-1JN1M-3026-SM-CMKGK 60-69 years, female 1774.1
GTEX-13QJ3-0826-SM-7DHKK 50-59 years, male 1687.1
GTEX-13S86-1226-SM-5S2OA 40-49 years, male 1545.3
GTEX-U8XE-0826-SM-4E3J1 30-39 years, male 1519.8
GTEX-1N2EF-2226-SM-E9J33 60-69 years, male 1491.0
GTEX-14PJ4-2126-SM-6ETZJ 60-69 years, male 1402.4
GTEX-TKQ1-0226-SM-33HB5 30-39 years, male 1388.9
GTEX-12WSN-1326-SM-5GCNT 40-49 years, male 1277.4
GTEX-1C6VQ-0426-SM-79OOX 50-59 years, male 1241.3
GTEX-132AR-0826-SM-5EGK6 50-59 years, female 1232.2
GTEX-X4XY-0926-SM-4E3JD 60-69 years, male 1226.9
GTEX-1IGQW-0926-SM-ADEH6 60-69 years, male 1176.4
GTEX-S32W-2026-SM-4AD6E 50-59 years, female 1161.8
GTEX-15G19-2126-SM-6M48J 60-69 years, male 1157.0
GTEX-1GF9U-1726-SM-7MGY5 40-49 years, female 1152.2
GTEX-15UF7-0726-SM-6M46D 40-49 years, male 1148.3
GTEX-1HSMO-0826-SM-ADEIV 60-69 years, male 1140.6
GTEX-1ICLZ-0426-SM-B2LW2 60-69 years, male 1122.8
GTEX-1LC47-1226-SM-D4P44 60-69 years, male 1099.6
GTEX-RUSQ-2026-SM-4GIAK 50-59 years, male 1093.4
GTEX-S33H-0326-SM-4AD6N 30-39 years, male 1085.3
GTEX-11TT1-2126-SM-5GU5Y 20-29 years, male 1060.0
GTEX-11EQ9-1826-SM-5Q5AJ 30-39 years, male 1054.9
GTEX-1I1GU-1026-SM-ADEHJ 40-49 years, male 1043.1
GTEX-Y5V6-2126-SM-4WWFX 60-69 years, male 1032.4
GTEX-XYKS-1326-SM-4BRUN 60-69 years, female 1024.8
GTEX-14PN4-0626-SM-62LFP 50-59 years, male 989.3
GTEX-1IDJF-2326-SM-ARL86 20-29 years, male 978.6
GTEX-1AMEY-1026-SM-718AA 30-39 years, female 965.5
GTEX-1I1GV-2426-SM-CGQFM 60-69 years, male 952.4
GTEX-1LG7Z-0726-SM-CXKYD 30-39 years, male 944.4
GTEX-1NUQO-2226-SM-E9U68 20-29 years, female 930.9
GTEX-1MJK3-1126-SM-E9J3F 20-29 years, male 927.0
GTEX-1S82Z-0726-SM-E6CHX 30-39 years, female 921.4
GTEX-1ICLY-1726-SM-B2LVT 50-59 years, male 915.1
GTEX-11ZTT-2326-SM-5EQLG 60-69 years, female 909.6
GTEX-1J8Q3-1326-SM-CMKI1 60-69 years, male 907.6
GTEX-1I1GP-0426-SM-COH3N 50-59 years, male 892.3
GTEX-13O3Q-2226-SM-5KM4O 50-59 years, male 884.5
GTEX-1H23P-0726-SM-9WG7K 60-69 years, male 879.5
GTEX-11ONC-2126-SM-5HL6E 60-69 years, male 863.4
GTEX-13CF3-2126-SM-5IFJP 60-69 years, female 855.8
GTEX-13O3O-0826-SM-5K7WE 60-69 years, female 851.7
GTEX-1AX8Z-0926-SM-731AW 60-69 years, male 851.1
GTEX-1QEPI-0926-SM-DTXF3 60-69 years, female 849.2
GTEX-17F97-2526-SM-7EWDV 50-59 years, male 848.9
GTEX-11DZ1-0326-SM-5N9BN 50-59 years, male 843.0
GTEX-14ABY-2126-SM-5QGQZ 50-59 years, male 841.8
GTEX-132NY-0826-SM-5K7Y7 60-69 years, male 840.9
GTEX-1HBPN-2326-SM-9WPPU 50-59 years, male 839.6
GTEX-17GQL-0326-SM-7LG5U 60-69 years, male 838.2
GTEX-ZDYS-1126-SM-5K7UB 50-59 years, male 835.0
GTEX-11O72-2126-SM-5N9FO 40-49 years, male 831.5
GTEX-ZT9W-2026-SM-51MRA 50-59 years, male 822.2
GTEX-Z9EW-1526-SM-EZ6LU 40-49 years, male 818.7
GTEX-14AS3-1626-SM-5S2OY 40-49 years, female 810.5
GTEX-1QP9N-1826-SM-E8VMP 30-39 years, male 808.5
GTEX-1L5NE-2126-SM-CY8IH 50-59 years, male 808.3
GTEX-16YQH-2826-SM-6PAMY 30-39 years, male 807.1
GTEX-11TUW-1826-SM-5BC5D 60-69 years, male 801.7
GTEX-146FH-0826-SM-5SI8T 50-59 years, female 801.1
GTEX-144GM-0926-SM-5O994 20-29 years, male 798.9
GTEX-WFON-1826-SM-3GILG 40-49 years, male 792.5
GTEX-1H1ZS-0126-SM-9YFKQ 70-79 years, male 789.9
GTEX-1F5PK-2126-SM-7PC28 50-59 years, male 789.8
GTEX-13NZ9-1026-SM-5MR5K 50-59 years, male 789.4
GTEX-1HFI7-0126-SM-CGQFQ 50-59 years, female 782.8
GTEX-183FY-1126-SM-7DHLJ 20-29 years, male 774.4
GTEX-1H4P4-2226-SM-9MQKQ 50-59 years, male 771.2
GTEX-1RQEC-2026-SM-DTXDM 60-69 years, male 771.1
GTEX-1QP29-1726-SM-E8VMQ 50-59 years, male 770.7
GTEX-1HC8U-0826-SM-ADEIL 40-49 years, female 769.8
GTEX-14E6E-1326-SM-5S2NR 30-39 years, male 768.5
GTEX-1NHNU-0926-SM-E9J2T 50-59 years, male 768.3
GTEX-14B4R-1226-SM-5TDDT 30-39 years, male 766.1
GTEX-14PHY-1926-SM-5YY95 60-69 years, female 765.5
GTEX-1R7EV-1526-SM-E8VOD 40-49 years, male 763.6
GTEX-145LT-0726-SM-5S2VM 40-49 years, male 756.0
GTEX-1H1DG-0526-SM-9YFLN 70-79 years, male 744.0
GTEX-17F96-2426-SM-7IGLN 70-79 years, male 742.1
GTEX-17HGU-1326-SM-79OKB 50-59 years, male 741.4
GTEX-183WM-0726-SM-7LTAA 70-79 years, female 739.5
GTEX-13PVQ-1026-SM-5KM3M 50-59 years, male 739.4
GTEX-ZTTD-1026-SM-51MRD 50-59 years, male 737.7
GTEX-1JKYN-0726-SM-ARZMY 30-39 years, male 730.5
GTEX-1QCLZ-2326-SM-DTXDO 60-69 years, female 722.2
GTEX-SE5C-2126-SM-4BRUJ 40-49 years, female 717.5
GTEX-11ZUS-0826-SM-5FQUY 30-39 years, male 711.3
GTEX-S4Q7-1126-SM-4AD6R 20-29 years, male 707.3
GTEX-14PJO-0726-SM-69LO8 60-69 years, male 703.9
GTEX-XMK1-1126-SM-4IHJ8 40-49 years, male 702.4
GTEX-139T6-1626-SM-5PNYZ 50-59 years, male 700.2
GTEX-1MCC2-2126-SM-EWRON 30-39 years, female 697.9
GTEX-14PKU-0426-SM-6EU1P 40-49 years, female 696.2
GTEX-WOFL-0826-SM-3MJG1 60-69 years, male 692.4
GTEX-1HCU8-0126-SM-ADEHH 60-69 years, female 689.5
GTEX-11NSD-0926-SM-5N9DR 20-29 years, male 689.0
GTEX-1GPI7-0926-SM-7PC3J 20-29 years, male 685.6
GTEX-1OKEX-0826-SM-E9J2B 60-69 years, male 684.5
GTEX-YB5E-1726-SM-5IFJ3 40-49 years, male 683.4
GTEX-1JMOU-2026-SM-CMKGU 60-69 years, female 682.4
GTEX-1IOXB-1926-SM-ARL8E 50-59 years, male 680.3
GTEX-11LCK-2426-SM-5HL5F 30-39 years, male 675.1
GTEX-1IDJH-2226-SM-E6CJV 70-79 years, male 673.5
GTEX-1R46S-2526-SM-E8VN2 60-69 years, female 671.9
GTEX-14ICK-2426-SM-6EU27 40-49 years, male 671.8
GTEX-1HR9M-2426-SM-ACKXI 60-69 years, male 669.8
GTEX-1KANC-1426-SM-CYPT9 50-59 years, female 666.3
GTEX-REY6-2426-SM-48FF5 60-69 years, male 663.7
GTEX-13FTW-1426-SM-5LZWZ 40-49 years, male 663.0
GTEX-1S82U-1126-SM-E9U6I 30-39 years, female 662.4
GTEX-1RLM8-2226-SM-EVYD1 50-59 years, male 660.5
GTEX-ZPIC-1126-SM-5BC7F 40-49 years, female 658.4
GTEX-S7SE-0826-SM-4AT4D 50-59 years, male 657.6
GTEX-1M4P7-2626-SM-E9U5F 60-69 years, male 653.6
GTEX-Y3I4-1526-SM-4TT7K 50-59 years, male 651.6
GTEX-1211K-1926-SM-5EQLB 60-69 years, female 651.1
GTEX-1I6K6-0826-SM-ARL7Z 30-39 years, male 650.9
GTEX-15EOM-5019-SM-793DK 20-29 years, female 649.6
GTEX-1PPGY-1526-SM-EVYBK 60-69 years, male 649.5
GTEX-18A7B-2626-SM-7LG55 70-79 years, male 642.0
GTEX-ZDTT-2126-SM-DKPOM 60-69 years, male 638.6
GTEX-1LSNL-2826-SM-E9U5L 50-59 years, male 629.0
GTEX-WY7C-2726-SM-3NB3P 50-59 years, male 628.7
GTEX-1117F-2826-SM-5GZXL 60-69 years, female 626.8
GTEX-1JJE9-2326-SM-ARL8Q 70-79 years, male 624.6
GTEX-14BMV-0626-SM-793AU 50-59 years, male 617.9
GTEX-13D11-1026-SM-5IJFB 50-59 years, female 617.8
GTEX-1N2EE-2126-SM-E8VNN 60-69 years, male 615.7
GTEX-QEG5-0726-SM-D4P1T 20-29 years, male 615.6
GTEX-11P82-1326-SM-5HL62 20-29 years, male 607.3
GTEX-ZV6S-1826-SM-5NQ8D 40-49 years, female 607.3
GTEX-11GSO-1926-SM-5A5K3 60-69 years, male 607.1
GTEX-117YX-1426-SM-5H12H 50-59 years, male 606.8
GTEX-17HG3-0126-SM-7IGNH 30-39 years, female 606.7
GTEX-1H3VY-0926-SM-ACKXE 50-59 years, male 602.9
GTEX-145MN-1926-SM-5SIAI 30-39 years, male 600.6
GTEX-XQ8I-2426-SM-4WAXY 50-59 years, male 599.2
GTEX-ZVZQ-0826-SM-51MRF 60-69 years, female 599.2
GTEX-13113-5013-SM-7SB7G 60-69 years, female 598.0
GTEX-ZLWG-1926-SM-DO92J 50-59 years, female 597.9
GTEX-Y8E4-1626-SM-5S2MW 40-49 years, male 596.8
GTEX-ZQG8-0726-SM-5P9H9 60-69 years, female 594.4
GTEX-11OF3-1926-SM-59889 60-69 years, male 594.0
GTEX-1QPFJ-2026-SM-EVYBE 30-39 years, female 594.0
GTEX-18A6Q-0926-SM-7LG4N 60-69 years, male 593.7
GTEX-ZWKS-2826-SM-5NQ74 30-39 years, male 593.4
GTEX-1A3MX-2726-SM-718B6 60-69 years, male 593.0
GTEX-1HT8W-2226-SM-CGQEC 30-39 years, male 592.0
GTEX-1HBPM-0126-SM-ARL9E 60-69 years, female 591.6
GTEX-13SLX-2326-SM-5ZZWE 50-59 years, female 590.2
GTEX-13N1W-0626-SM-5MR4U 70-79 years, male 588.9
GTEX-11WQK-2426-SM-5GU5C 50-59 years, male 587.9
GTEX-WFG8-2026-SM-EXOHO 20-29 years, male 586.4
GTEX-1NV8Z-2826-SM-E8VME 60-69 years, male 585.0
GTEX-ZAB4-2526-SM-5HL8M 40-49 years, male 584.9
GTEX-12WSM-1726-SM-5BC6J 60-69 years, male 584.2
GTEX-13VXU-2826-SM-664MA 50-59 years, male 583.8
GTEX-X261-0626-SM-3NMD9 50-59 years, male 583.6
GTEX-1MA7X-1626-SM-E9U5B 60-69 years, male 582.9
GTEX-15RJE-2626-SM-7KFT1 40-49 years, male 580.9
GTEX-1LSVX-2426-SM-E6CJX 60-69 years, male 579.6
GTEX-13W3W-1226-SM-5LU4H 60-69 years, female 579.3
GTEX-ZY6K-1626-SM-5GZWV 50-59 years, male 579.0
GTEX-QMRM-1626-SM-D4P1U 50-59 years, male 575.2
GTEX-12BJ1-1826-SM-5HL9N 60-69 years, male 572.3
GTEX-YECK-0726-SM-EZ6LV 60-69 years, male 571.3
GTEX-1IDFM-0426-SM-B2LVV 60-69 years, male 571.2
GTEX-1GF9V-2526-SM-7SB8K 60-69 years, male 570.7
GTEX-ZDXO-0126-SM-5S2ND 60-69 years, male 570.6
GTEX-TKQ2-1826-SM-33HB2 50-59 years, male 569.7
GTEX-1IKOE-1326-SM-CE6T6 30-39 years, female 567.5
GTEX-1GZHY-0726-SM-9WG6B 50-59 years, female 567.2
GTEX-18A66-1726-SM-7LG5N 60-69 years, male 566.2
GTEX-17F98-0526-SM-79OK5 40-49 years, female 566.1
GTEX-ZGAY-1726-SM-DO91P 40-49 years, female 565.1
GTEX-1B8SG-1226-SM-7IGPF 50-59 years, male 564.0
GTEX-ZYW4-0826-SM-5GIDG 60-69 years, male 562.2
GTEX-16BQI-1026-SM-7KUEA 30-39 years, female 559.4
GTEX-WI4N-1426-SM-3LK7H 40-49 years, female 559.2
GTEX-1EWIQ-1726-SM-7SB7T 70-79 years, female 557.5
GTEX-1HSEH-2026-SM-ADEHN 60-69 years, male 556.5
GTEX-145ME-1526-SM-5Q5F2 40-49 years, female 556.0
GTEX-1PPH7-0826-SM-E8VNX 40-49 years, male 552.6
GTEX-1269C-2426-SM-5FQSN 60-69 years, female 551.8
GTEX-ZAJG-0626-SM-5HL8X 50-59 years, female 551.1
GTEX-1R9PN-0326-SM-DTX85 40-49 years, female 549.2
GTEX-ZLV1-1426-SM-DO92Z 60-69 years, female 548.6
GTEX-15UF6-0126-SM-6PAMB 70-79 years, female 546.7
GTEX-14753-2426-SM-5LU8U 60-69 years, male 544.7
GTEX-V955-2026-SM-3GAFA 60-69 years, male 544.6
GTEX-Y114-2026-SM-4TT7L 50-59 years, female 543.9
GTEX-1KD5A-1926-SM-DKPQA 50-59 years, male 543.4
GTEX-1F75I-2026-SM-7SB7N 40-49 years, male 543.3
GTEX-Y9LG-1426-SM-5IFJZ 30-39 years, male 543.2
GTEX-R3RS-0626-SM-48FE1 40-49 years, female 542.8
GTEX-1CB4J-1826-SM-7EWF9 60-69 years, male 542.0
GTEX-1GN2E-2226-SM-9WG6J 60-69 years, male 537.4
GTEX-1HCU7-1026-SM-ADEIP 50-59 years, male 532.7
GTEX-ZZ64-1226-SM-5E43R 20-29 years, male 531.9
GTEX-ZYFC-0826-SM-5E44K 50-59 years, male 530.3
GTEX-11DXY-2326-SM-5GICW 60-69 years, male 527.0
GTEX-1H11D-1526-SM-9MQJY 40-49 years, male 525.5
GTEX-145MO-0826-SM-5NQBL 60-69 years, male 523.6
GTEX-14E6C-1326-SM-62LEQ 40-49 years, male 523.5
GTEX-1B933-2526-SM-7IGO5 50-59 years, female 523.3
GTEX-11I78-2226-SM-5PNYA 50-59 years, female 520.1
GTEX-XUZC-1626-SM-4BRVP 30-39 years, female 519.5
GTEX-ZLFU-2126-SM-DO931 40-49 years, male 519.3
GTEX-1JJEA-2726-SM-ARL8V 60-69 years, male 519.2
GTEX-12KS4-0126-SM-5Q5A5 30-39 years, male 518.3
GTEX-XGQ4-0926-SM-4AT4U 50-59 years, male 516.2
GTEX-13O61-1826-SM-5KM4I 60-69 years, male 515.8
GTEX-T2IS-1526-SM-32QPR 20-29 years, female 515.3
GTEX-Y5V5-2126-SM-4WWFO 60-69 years, female 514.7
GTEX-13NZ8-0126-SM-5IJCT 60-69 years, female 512.5
GTEX-18D9A-1526-SM-7LG4J 30-39 years, female 512.4
GTEX-1I19N-2826-SM-CL55D 70-79 years, male 511.5
GTEX-1QW4Y-1026-SM-DTXE2 30-39 years, male 510.7
GTEX-1QMI2-0726-SM-E9J4F 60-69 years, male 510.3
GTEX-YJ8O-2226-SM-5IFHW 40-49 years, female 508.3
GTEX-1KANA-2026-SM-DIPFB 20-29 years, male 508.1
GTEX-1M5QR-2526-SM-E9U5P 40-49 years, male 505.1
GTEX-145MF-2226-SM-7EPIR 50-59 years, male 504.4
GTEX-1LGRB-1826-SM-CNPQL 50-59 years, female 503.4
GTEX-1LBAC-0926-SM-CXKY9 20-29 years, male 503.1
GTEX-X62O-0526-SM-EWRMA 50-59 years, male 502.6
GTEX-1GZ2Q-2626-SM-7MXV9 40-49 years, male 500.8
GTEX-1IDJE-0826-SM-CKZNZ 50-59 years, female 499.5
GTEX-ZVT2-1826-SM-5NQ8W 50-59 years, female 499.4
GTEX-1QP28-1226-SM-E9J2M 50-59 years, female 498.4
GTEX-YEC3-1026-SM-5IFI5 50-59 years, male 498.0
GTEX-15ETS-0626-SM-7KUMX 40-49 years, female 494.6
GTEX-1J8EW-2626-SM-CL53E 60-69 years, female 494.3
GTEX-13W46-0826-SM-5LU3H 50-59 years, male 493.9
GTEX-1I1GT-1126-SM-ARL7J 60-69 years, female 493.2
GTEX-XV7Q-2326-SM-4BRVZ 40-49 years, female 491.6
GTEX-17F9E-2526-SM-7MGW2 50-59 years, male 491.5
GTEX-1I4MK-1626-SM-CM2TJ 50-59 years, female 491.3
GTEX-VJWN-0726-SM-3GIJ8 50-59 years, female 490.9
GTEX-11P7K-0726-SM-5EGKX 30-39 years, male 490.4
GTEX-1EKGG-2626-SM-7IGPY 60-69 years, male 488.3
GTEX-1R7EU-1226-SM-E8VMR 60-69 years, male 486.3
GTEX-1LNCM-0226-SM-DIPF4 50-59 years, female 485.7
GTEX-Y5LM-1726-SM-4VDSX 40-49 years, female 484.8
GTEX-11EMC-2026-SM-5A5JV 60-69 years, female 481.3
GTEX-11GSP-0926-SM-9WYSG 60-69 years, female 481.0
GTEX-YFCO-1826-SM-4W1YH 40-49 years, male 480.8
GTEX-1R9PM-1826-SM-EVYBH 20-29 years, male 480.5
GTEX-13CF2-2026-SM-5K7VI 60-69 years, male 476.2
GTEX-X15G-1626-SM-3NMB3 50-59 years, female 474.9
GTEX-17JCI-0726-SM-7EPH1 60-69 years, female 473.9
GTEX-1B932-0826-SM-73KXG 40-49 years, female 473.6
GTEX-13FTX-1126-SM-5N9EN 20-29 years, female 473.3
GTEX-1IDJU-1826-SM-CMKHV 60-69 years, female 473.3
GTEX-13SLW-2526-SM-62LDQ 70-79 years, male 473.0
GTEX-1313W-0826-SM-5EQ4T 50-59 years, female 472.1
GTEX-1AX9I-0726-SM-73KWV 60-69 years, male 471.5
GTEX-X4EP-2926-SM-3P5YQ 60-69 years, female 469.7
GTEX-133LE-1726-SM-5K7VQ 20-29 years, female 468.7
GTEX-1B97I-0426-SM-79OL7 40-49 years, male 467.2
GTEX-14A5I-0726-SM-5TDEB 50-59 years, female 465.8
GTEX-1H1CY-2226-SM-9WG7E 60-69 years, female 464.6
GTEX-WYBS-0926-SM-3NM94 60-69 years, female 464.3
GTEX-1ICG6-1326-SM-ACKWR 70-79 years, female 462.9
GTEX-1C6WA-2426-SM-7SB86 60-69 years, male 462.5
GTEX-11NV4-2026-SM-5N9DG 60-69 years, male 462.4
GTEX-VUSG-2226-SM-4KKZO 50-59 years, male 461.4
GTEX-XMD2-0926-SM-4WWEF 60-69 years, female 460.4
GTEX-17EVQ-0426-SM-7LG57 70-79 years, male 460.0
GTEX-1122O-1226-SM-5H113 60-69 years, female 458.6
GTEX-1E2YA-2726-SM-7IGPW 50-59 years, male 457.8
GTEX-18A7A-0726-SM-7LTAI 50-59 years, female 457.2
GTEX-12WSK-2226-SM-5GCO5 40-49 years, female 455.4
GTEX-14DAR-1326-SM-7DUEG 50-59 years, male 455.1
GTEX-17MFQ-0926-SM-7LG4S 20-29 years, male 454.9
GTEX-ZA64-1526-SM-5CVMD 20-29 years, male 453.6
GTEX-QDT8-0626-SM-48TYW 30-39 years, female 453.1
GTEX-13QIC-2326-SM-5LU5N 60-69 years, female 450.4
GTEX-1GF9X-1026-SM-ACKX2 40-49 years, female 449.1
GTEX-1LVAN-1326-SM-CNPQE 50-59 years, female 448.4
GTEX-1HKZK-1826-SM-ADEJ2 40-49 years, male 448.0
GTEX-1KD4Q-2326-SM-D4P3M 40-49 years, male 447.3
GTEX-1I6K7-1026-SM-A9SLK 40-49 years, male 446.9
GTEX-TML8-1226-SM-32QON 40-49 years, female 442.4
GTEX-1MCYP-0126-SM-E6CIS 20-29 years, female 441.3
GTEX-14BMU-1626-SM-5TDE7 20-29 years, female 439.8
GTEX-1LSNM-1326-SM-E9TJ1 50-59 years, male 437.3
GTEX-1399U-1826-SM-5PNZ1 50-59 years, female 437.2
GTEX-11EI6-0626-SM-5985T 60-69 years, male 436.6
GTEX-1RAZQ-1226-SM-EWRNL 30-39 years, male 436.6
GTEX-ZV7C-1826-SM-5NQ83 50-59 years, male 436.4
GTEX-PSDG-1626-SM-48TCQ 50-59 years, male 435.6
GTEX-17MF6-0326-SM-7EPH5 40-49 years, male 433.2
GTEX-15FZZ-0726-SM-7KUFZ 30-39 years, female 432.5
GTEX-13PL6-2926-SM-5L3I2 40-49 years, female 432.3
GTEX-1HCU9-0326-SM-9WYSC 20-29 years, male 431.6
GTEX-T5JW-2026-SM-4DM63 20-29 years, female 431.0
GTEX-WHSB-1926-SM-EXOHH 50-59 years, male 429.4
GTEX-1KAFJ-0226-SM-DIPEL 50-59 years, male 429.3
GTEX-1MJK2-2226-SM-EVYCR 50-59 years, male 429.0
GTEX-Y111-2026-SM-4SOJA 50-59 years, male 428.7
GTEX-ZVT4-1026-SM-57WC4 50-59 years, female 427.6
GTEX-XBED-1626-SM-47JYN 60-69 years, male 427.3
GTEX-ZQUD-1926-SM-51MSA 30-39 years, male 427.0
GTEX-144GL-2026-SM-5LU3O 50-59 years, male 424.5
GTEX-1C475-1226-SM-7SB72 40-49 years, female 424.3
GTEX-1PDJ9-1126-SM-EXUSW 20-29 years, male 423.5
GTEX-13N11-1726-SM-5J1OJ 50-59 years, female 421.9
GTEX-XQ3S-1326-SM-4BOPQ 20-29 years, male 421.0
GTEX-1HR98-0426-SM-COH36 60-69 years, male 421.0
GTEX-13OW8-0226-SM-5K7UP 60-69 years, male 420.4
GTEX-XUW1-2326-SM-4BOO5 50-59 years, female 420.2
GTEX-1F6I4-2526-SM-7SB8F 60-69 years, male 419.7
GTEX-18QFQ-0826-SM-718AX 30-39 years, male 419.3
GTEX-11P81-1926-SM-5BC53 30-39 years, female 419.0
GTEX-ZTX8-1226-SM-4YCE9 20-29 years, male 418.3
GTEX-13FHO-0826-SM-5L3E8 60-69 years, male 418.1
GTEX-S4P3-1326-SM-4AD6V 50-59 years, female 417.8
GTEX-WXYG-2226-SM-4E3IM 50-59 years, female 416.9
GTEX-Y3IK-2326-SM-4WWDT 50-59 years, female 414.5
GTEX-14LLW-0626-SM-62LFC 70-79 years, female 413.9
GTEX-11WQC-1726-SM-5GU4W 60-69 years, male 413.2
GTEX-1BAJH-0826-SM-7EWEF 70-79 years, male 410.6
GTEX-UTHO-1026-SM-3GAF7 60-69 years, male 410.0
GTEX-117XS-1926-SM-5GICO 60-69 years, male 409.2
GTEX-11DXW-0626-SM-5N9ER 40-49 years, male 408.5
GTEX-1IKOH-2326-SM-CM2TW 60-69 years, female 408.1
GTEX-1GMRU-0826-SM-9WYT7 50-59 years, male 407.9
GTEX-139TU-0626-SM-5KM3X 60-69 years, male 406.9
GTEX-1K9T9-1426-SM-DIPFQ 50-59 years, female 406.7
GTEX-1F75B-0626-SM-7SB8A 50-59 years, male 404.4
GTEX-1CB4G-2326-SM-79OOI 60-69 years, male 404.3
GTEX-1R9JW-0326-SM-EAZ45 30-39 years, female 402.3
GTEX-R55D-0826-SM-48FEA 50-59 years, male 402.2
GTEX-1CAMR-1426-SM-793BO 20-29 years, male 402.0
GTEX-XOT4-0726-SM-4GIAW 60-69 years, female 401.0
GTEX-17EUY-1926-SM-7DUF6 20-29 years, male 397.7
GTEX-ZF3C-2326-SM-5S2NC 50-59 years, female 397.7
GTEX-YB5K-1626-SM-5IFIN 40-49 years, female 396.4
GTEX-1MA7W-1026-SM-DKPQK 20-29 years, female 395.8
GTEX-17KNJ-2026-SM-7LG53 50-59 years, male 395.6
GTEX-QVJO-1826-SM-447C9 60-69 years, female 394.9
GTEX-1AX9J-1126-SM-731B7 60-69 years, male 394.7
GTEX-1B8KE-1226-SM-73KWK 50-59 years, male 392.3
GTEX-1QCLY-1626-SM-DTXDW 30-39 years, male 391.1
GTEX-13O3P-0826-SM-5L3DH 50-59 years, male 390.5
GTEX-13FTY-2226-SM-5J1ND 40-49 years, female 390.1
GTEX-T6MO-0326-SM-32QOK 40-49 years, female 389.7
GTEX-ZZPU-0626-SM-5E43T 50-59 years, female 389.1
GTEX-1J8QM-2026-SM-ARZMW 60-69 years, female 388.6
GTEX-13NZB-2126-SM-5MR4Y 30-39 years, male 386.6
GTEX-18465-2026-SM-718AP 50-59 years, male 386.6
GTEX-1CB4E-0226-SM-79OLW 60-69 years, male 386.4
GTEX-14H4A-2526-SM-5YYAY 40-49 years, female 386.1
GTEX-1H1E6-0926-SM-9YFLT 30-39 years, male 385.8
GTEX-RU1J-0626-SM-4WAWY 20-29 years, female 385.7
GTEX-17EVP-0226-SM-79OND 40-49 years, male 385.0
GTEX-1GZ4I-2826-SM-9MQK5 50-59 years, male 384.5
GTEX-WRHU-0326-SM-3MJFY 50-59 years, female 384.1
GTEX-1HCUA-0726-SM-ACKVU 50-59 years, female 383.8
GTEX-ZVTK-0326-SM-51MRR 20-29 years, male 383.3
GTEX-1JK1U-1826-SM-ARL8W 60-69 years, male 380.1
GTEX-1C6VS-0726-SM-7EPHF 60-69 years, male 377.3
GTEX-1GMR3-2626-SM-7RHHG 40-49 years, male 377.3
GTEX-131YS-0626-SM-5EGKL 60-69 years, female 374.2
GTEX-ZU9S-1926-SM-5NQBP 30-39 years, male 374.1
GTEX-1GMR8-0726-SM-9KNVI 50-59 years, female 371.1
GTEX-11PRG-0826-SM-5EQ6A 50-59 years, male 369.9
GTEX-1LVAM-0926-SM-E9TJ2 50-59 years, female 369.2
GTEX-1IE54-0626-SM-ARL8D 40-49 years, female 369.1
GTEX-1A8G7-2426-SM-731AK 60-69 years, male 368.7
GTEX-1B8L1-2426-SM-9WYTE 60-69 years, male 367.8
GTEX-ZUA1-1526-SM-59HLS 40-49 years, male 367.2
GTEX-YFC4-1426-SM-5IFJG 40-49 years, female 366.9
GTEX-1314G-1226-SM-5BC6D 30-39 years, male 366.1
GTEX-1F75A-1826-SM-7SB8G 50-59 years, male 365.7
GTEX-1JN6P-2426-SM-ARL99 60-69 years, male 364.8
GTEX-17HHY-0926-SM-793C1 50-59 years, male 363.1
GTEX-1KXAM-1026-SM-CY8IA 60-69 years, male 362.4
GTEX-ZEX8-2226-SM-57WC6 50-59 years, male 361.1
GTEX-1JMQK-2626-SM-COH2W 60-69 years, male 360.7
GTEX-1192X-2326-SM-5987X 50-59 years, male 359.3
GTEX-1HCVE-2626-SM-ADEJ8 50-59 years, male 358.4
GTEX-S341-1526-SM-4AD6K 40-49 years, female 357.9
GTEX-1J8Q2-2726-SM-A9G2X 60-69 years, male 357.6
GTEX-1F5PL-1026-SM-7RHI1 40-49 years, female 356.6
GTEX-11GS4-2126-SM-5A5KR 60-69 years, male 354.8
GTEX-R53T-1526-SM-48FEK 50-59 years, female 354.0
GTEX-169BO-1126-SM-7MGWN 50-59 years, male 352.8
GTEX-1GPI6-0626-SM-7RHHJ 60-69 years, male 351.1
GTEX-1A3MV-1626-SM-731C1 30-39 years, male 350.5
GTEX-1C64O-0726-SM-7DUFU 60-69 years, male 349.2
GTEX-QEL4-2126-SM-447AE 50-59 years, male 348.7
GTEX-1RAZS-1226-SM-E8VMT 50-59 years, male 348.7
GTEX-1POEN-0926-SM-DTX88 30-39 years, female 348.3
GTEX-14E7W-0826-SM-62LEJ 70-79 years, male 343.5
GTEX-U412-1826-SM-4DXTJ 60-69 years, male 342.9
GTEX-1GN1W-1926-SM-7P8TH 50-59 years, female 342.1
GTEX-UJHI-1426-SM-3DB9C 50-59 years, female 341.4
GTEX-Y8LW-1626-SM-5IFHX 50-59 years, female 338.6
GTEX-1JKYR-0926-SM-CMKGJ 20-29 years, male 338.5
GTEX-RU72-0626-SM-46MUI 50-59 years, female 336.9
GTEX-15SHW-1326-SM-6PAL8 60-69 years, male 335.6
GTEX-111YS-1926-SM-5GICC 60-69 years, male 335.1
GTEX-1K2DA-1726-SM-CGQGS 50-59 years, male 333.5
GTEX-1HSKV-2026-SM-CMKGX 60-69 years, male 332.8
GTEX-13OW5-2226-SM-5L3HC 60-69 years, male 332.0
GTEX-RWS6-1926-SM-47JXY 60-69 years, female 327.3
GTEX-13PVR-2226-SM-7DHKP 60-69 years, female 327.2
GTEX-147F4-2826-SM-5NQBN 50-59 years, male 326.7
GTEX-S4UY-0726-SM-4AD6X 40-49 years, female 326.7
GTEX-ZTPG-2826-SM-57WGA 20-29 years, female 326.7
GTEX-ZYT6-0126-SM-5E45J 30-39 years, male 326.2
GTEX-Q2AG-0326-SM-48U1O 40-49 years, female 325.1
GTEX-UPK5-2326-SM-3P5Z8 40-49 years, male 320.7
GTEX-U3ZN-1926-SM-4DXSG 30-39 years, female 320.1
GTEX-11EM3-1326-SM-5N9C6 20-29 years, female 319.9
GTEX-17HHE-1426-SM-7EPH4 50-59 years, male 317.7
GTEX-ZXES-0826-SM-5E43C 30-39 years, female 317.7
GTEX-1IY9M-2726-SM-CMKG5 60-69 years, male 317.4
GTEX-TMMY-0726-SM-33HBE 40-49 years, female 309.6
GTEX-16NGA-0826-SM-718AF 40-49 years, female 309.1
GTEX-1IKJJ-2326-SM-COH3U 60-69 years, male 309.1
GTEX-T5JC-2126-SM-32PMO 20-29 years, male 308.9
GTEX-ZAK1-1326-SM-EVYAS 50-59 years, female 307.4
GTEX-12ZZX-1126-SM-5EGKB 40-49 years, female 305.4
GTEX-1N5O9-1126-SM-DTXEQ 60-69 years, male 301.8
GTEX-1GZ4H-0326-SM-7P8QX 50-59 years, female 301.4
GTEX-1CAMS-1426-SM-7IGPM 40-49 years, female 297.3
GTEX-ZC5H-2626-SM-5J2MG 40-49 years, female 295.6
GTEX-1JMLX-2026-SM-CMKGN 50-59 years, male 294.6
GTEX-T2YK-2226-SM-32QPT 50-59 years, male 292.0
GTEX-1HUB1-1626-SM-CM2SL 60-69 years, male 290.0
GTEX-1JMPY-0526-SM-CL54O 30-39 years, male 288.6
GTEX-11DXZ-1926-SM-5GZZL 50-59 years, male 288.5
GTEX-1EU9M-2826-SM-7EWFH 60-69 years, male 287.9
GTEX-1B97J-0426-SM-79OLQ 50-59 years, female 282.9
GTEX-1GN1U-0526-SM-9KNTT 50-59 years, female 282.8
GTEX-ZVE2-1226-SM-5NQ8R 50-59 years, male 281.7
GTEX-T6MN-0726-SM-32PML 50-59 years, male 273.9
GTEX-WYJK-1326-SM-3NB2T 50-59 years, male 268.7
GTEX-ZF29-1926-SM-5S2P1 60-69 years, female 265.6
GTEX-131XW-0726-SM-5EGK3 50-59 years, female 264.7
GTEX-1I1HK-2426-SM-ADEHX 60-69 years, male 263.6
GTEX-1HSGN-1526-SM-A9SMO 40-49 years, female 262.9
GTEX-1EN7A-1426-SM-7PBY4 40-49 years, male 262.7
GTEX-139T8-0826-SM-5L3DE 60-69 years, male 260.5
GTEX-1P4AB-1826-SM-E76PU 50-59 years, male 254.6
GTEX-U3ZH-1426-SM-4DXSR 30-39 years, male 254.1
GTEX-1B8KZ-1526-SM-7DUG7 50-59 years, male 252.8
GTEX-15ER7-1626-SM-6PAMZ 20-29 years, female 251.8
GTEX-XMD1-0826-SM-4AT52 60-69 years, male 249.4
GTEX-WYVS-1726-SM-3NMAY 40-49 years, female 247.1
GTEX-W5X1-2326-SM-3GIL6 40-49 years, female 239.6
GTEX-1GMR2-1926-SM-9MQLZ 50-59 years, male 236.6
GTEX-ZF2S-2026-SM-5E461 50-59 years, female 222.0
GTEX-132Q8-1426-SM-5EGK7 60-69 years, male 206.9
GTEX-1JMPZ-1626-SM-COH31 30-39 years, male 194.2
Show allShow less

BREAST - FANTOM5 CAGEi

RNA expression in human tissues obtained through Cap Analysis of Gene Expression (CAGE) generated by the FANTOM5 project are reported as Scaled Tags Per Million.

Max subtype Scaled Tags Per Millioni

Max subtype Scaled Tags Per Million is the value for the subtype with the largest average Scaled Tags Per Million across the subtype samples.

704.6
FANTOM5 sample id Sample description Scaled Tags Per Million
Breast
Scaled Tags Per Million: 704.6
FF:10080-102A8 77 years, female 704.6

Contact

  • NEWS ARTICLES
  • PRESS ROOM

The Project

  • INTRODUCTION
  • ORGANIZATION
  • PUBLICATIONS

The Human Protein Atlas

  • DOWNLOADABLE DATA
  • LICENCE & CITATION
  • HELP & FAQ
The Human Protein Atlas project is funded
by the Knut & Alice Wallenberg Foundation.


contact@proteinatlas.org