We use cookies to enhance the usability of our website. If you continue, we'll assume that you are happy to receive all cookies. More information. Don't show this again.
S100A11
HPA
RESOURCES
  • TISSUE
  • BRAIN
  • SINGLE CELL
  • SUBCELLULAR
  • CANCER
  • BLOOD
  • CELL LINE
  • STRUCTURE & INTERACTION
ABOUT
  • INTRODUCTION
  • HISTORY
  • ORGANIZATION
  • PUBLICATIONS
  • ANTIBODY SUBMISSION
  • ANTIBODY AVAILABILITY
  • ACKNOWLEDGMENTS
  • CONTACT
NEWS
  • NEWS ARTICLES
  • PRESS ROOM
LEARN
  • DICTIONARY
  • PROTEIN CLASSES
  • PROTEIN EVIDENCE
  • METHODS
  • EDUCATIONAL VIDEOS
DATA
  • DOWNLOADABLE DATA
  • PUBLICATION DATA
  • RELEASE HISTORY
HELP
  • ANTIBODY VALIDATION
  • ASSAYS & ANNOTATION
  • DISCLAIMER
  • HELP & FAQ
  • PRIVACY STATEMENT
  • LICENCE & CITATION
Fields »
Search result

Field
Term
Gene name
Class
Subclass
Class
Keyword
Chromosome
External id
Tissue
Cell type
Expression
Antibody panel
Tissue
Main location
Patient ID
Annotation
Tissue
Category
Tau score
Cluster
Reliability
Brain region
Category
Tau score
Brain region
Category
Tau score
Brain region
Category
Tau score
Cluster
Reliability
Tissue
Cell type
Enrichment
Cell type
Category
Tau score
Cell type
Category
Tau score
Cell type
Category
Tau score
Cell lineage
Category
Tau score
Cluster
Cluster
Location
Searches
Location
Cell line
Class
Type
Phase
Reliability
Cancer
Prognosis
Cancer
Category
Cancer
Category
Tau score
Cluster
Variants
Interacting gene (ensg_id)
Type
Number of interactions
Pathway
Category
Score
Score
Score
Validation
Validation
Validation
Validation
Antibodies
Data type
Column


  • SUMMARY

  • TISSUE

  • BRAIN

  • SINGLE CELL

  • SUBCELL

  • CANCER

  • BLOOD

  • CELL LINE

  • STRUCT & INT

  • S100A11
TISSUE PRIMARY DATA THYROID GLAND Show tissue menu
ADIPOSE TISSUE ADRENAL GLAND AMYGDALA APPENDIX BASAL GANGLIA BONE MARROW BREAST BRONCHUS CEREBELLUM CEREBRAL CORTEX CERVIX CHOROID PLEXUS COLON DUODENUM
ENDOMETRIUM EPIDIDYMIS ESOPHAGUS FALLOPIAN TUBE GALLBLADDER HEART MUSCLE HIPPOCAMPAL FORMATION HYPOTHALAMUS KIDNEY LIVER LUNG LYMPH NODE MIDBRAIN NASOPHARYNX
ORAL MUCOSA OVARY PANCREAS PARATHYROID GLAND PITUITARY GLAND PLACENTA PROSTATE RECTUM RETINA SALIVARY GLAND SEMINAL VESICLE SKELETAL MUSCLE SKIN SMALL INTESTINE
SMOOTH MUSCLE SOFT TISSUE SPINAL CORD SPLEEN STOMACH TESTIS THYMUS THYROID GLAND TONGUE TONSIL URINARY BLADDER VAGINA
ANTIBODIES
AND
VALIDATION
Dictionary
Thyroid gland
Tissue proteome
Thyroid gland
THYROID GLAND - Expression summary
Protein expression
Thyroid glandi

On the top, protein expression in current human tissue, based on all annotated cell types, is reported with the units not detected (n), low (l), medium (m) and high (h). Underneath, protein expression in each annotated cell type are reported using the same units.

Protein expression data is based on knowledge-based annotation. For genes where more than one antibody has been used, a collective score is set.

If knowledge-based annotation could not be performed for a gene, no data is displayed here. View antibody staining data further down this page.

h
m
l
n
Glandular cells: Low
RNA expressioni

A summary of mRNA expression data available for current tissue based on several datasets. The mRNA expression levels in human tissues are based on RNA-seq data generated by the Human Protein Atlas (HPA), Genotype-Tissue Expression (GTEx) portal and CAGE data generated by the FANTOM5 consortium. Consensus normalized expression levels for human tissues was created by combining the data from HPA and GTEx datasets.

The mRNA expression levels in pig are based on RNA-seq data generated by the Human Protein Atlas (HPA), and for mouse, HPA data and in situ hybridization generated by the Allen brain atlas are reported.

Scroll down to view mRNA expression data in more detail.
Consensus:315.4 nTPM
HPA:177.3 nTPM
GTEx:315.4 nTPM
FANTOM5:629.8 Scaled Tags Per Million

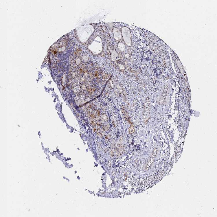
THYROID GLAND - Antibody stainingi

Antibody staining in the annotated cell types in the current human tissue is reported as not detected, low, medium, or high, based on conventional immunohistochemistry profiling in selected tissues. This score is based on the combination of the staining intensity and fraction of stained cells.

Each image is clickable and will lead to virtual microscopy that enables deeper exploration of all samples and also displays staining intensity scores, fraction scores and subcellular localization as well as patient and tissue information for each sample.

Antibody HPA042745Antibody CAB034320
Glandular cells Not detectedMedium


THYROID GLAND - HPA RNA-seqi

The RNA-seq details section shows detailed information about the individual samples used for the transcript profiling and results of the RNA-seq analysis.

Information about each individual sample is listed below, including gender, age, a tissue section image and estimated fractions of cell types. nTPM (normalized transcripts per million) values give a quantification of the gene abundance which is comparable between different genes and samples.
Average nTPMi

Max subtype nTPM is the value for the subtype with the largest average nTPM across the subtype samples.

177.3
overview
Female, age 20
Thyroid gland sample 249
nTPM: 153.8
Cell types%
Glandular cells:
70

Endothelial cells:
20

Other cell types:
10

overview
Female, age 55
Thyroid gland sample 250
nTPM: 132.5
Cell types%
Glandular cells:
70

Endothelial cells:
20

Other cell types:
10

overview
Female, age 58
Thyroid gland sample 251
nTPM: 199.8
Cell types%
Glandular cells:
70

Endothelial cells:
15

Other cell types:
15

overview
Female, age 48
Thyroid gland sample 252
nTPM: 190.9
Cell types%
Glandular cells:
70

Endothelial cells:
20

Other cell types:
10

overview
Male, age 21
Thyroid gland sample 363
nTPM: 209.4
Cell types%
Glandular cells:
75

Endothelial cells:
10

Other cell types:
15


THYROID GLAND - GTEx RNA-seqi

RNA-Seq data generated by the Genotype-Tissue Expression (GTEx) project from human tissues is reported as mean nTPM. More information can be found on the GTEx portal.

Distribution across the dataset is visualized with box plots, shown as median and 25th and 75th percentiles. Points are displayed as outliers if they are above or below 1.5 times the interquartile range. nTPM values of the individual samples are presented next to the box plot.
Max subtype nTPMi

Max subtype nTPM is the value for the subtype with the largest average nTPM across the subtype samples.

315.4
GTEx sample id Sample description nTPM
Thyroid
Average nTPM: 315.4
Samples: 653

Max nTPM: 1288.2
Min nTPM: 125.7
Std nTPM: 115.4
Median nTPM: 287.4
GTEX-15RIF-0326-SM-7KUFR 20-29 years, male 1288.2
GTEX-XYKS-0826-SM-4BRVF 60-69 years, female 949.1
GTEX-OHPL-2626-SM-2HMJA 60-69 years, female 837.6
GTEX-1CB4J-1426-SM-7MKFR 60-69 years, male 776.7
GTEX-14C39-0226-SM-5TDDW 40-49 years, male 707.7
GTEX-13O1R-0826-SM-5J2MB 60-69 years, male 701.3
GTEX-1K9T9-0826-SM-EAZ4X 50-59 years, female 688.4
GTEX-1R46S-0426-SM-EVR48 60-69 years, female 683.0
GTEX-YEC3-0826-SM-4WWFP 50-59 years, male 665.5
GTEX-1I1GP-0326-SM-CNPQ4 50-59 years, male 663.4
GTEX-183WM-2626-SM-7KFRY 70-79 years, female 649.4
GTEX-1JMQL-0926-SM-CJI3F 50-59 years, female 627.7
GTEX-145ME-0126-SM-5S2QM 40-49 years, female 624.4
GTEX-1NV5F-0726-SM-DTXEH 60-69 years, female 619.7
GTEX-1O9I2-1226-SM-E6CQC 50-59 years, male 608.1
GTEX-13FHO-0926-SM-5N9EW 60-69 years, male 597.3
GTEX-1HUB1-1226-SM-B2LWX 60-69 years, male 594.6
GTEX-15UF6-1126-SM-6LPJ3 70-79 years, female 592.3
GTEX-1QP28-0626-SM-E76P5 50-59 years, female 584.9
GTEX-14PN4-1526-SM-6871V 50-59 years, male 581.7
GTEX-14XAO-0426-SM-6AJB6 60-69 years, female 581.3
GTEX-11TT1-1126-SM-5P9GV 20-29 years, male 575.2
GTEX-1RNSC-1126-SM-E9TIP 60-69 years, male 573.9
GTEX-QEG5-0826-SM-2I5GF 20-29 years, male 569.3
GTEX-13NYC-2426-SM-5MR3K 60-69 years, male 565.5
GTEX-X4XY-0826-SM-4E3JM 60-69 years, male 559.4
GTEX-11O72-2326-SM-5BC7H 40-49 years, male 558.3
GTEX-133LE-0326-SM-5P9G4 20-29 years, female 556.6
GTEX-144GM-0226-SM-5Q5CB 20-29 years, male 555.0
GTEX-15G19-0626-SM-6M474 60-69 years, male 554.4
GTEX-WOFL-0726-SM-3MJG4 60-69 years, male 552.4
GTEX-13JVG-0926-SM-5IJE1 60-69 years, male 548.8
GTEX-13OVJ-0626-SM-5J2O2 50-59 years, female 546.6
GTEX-ZTPG-0826-SM-5DUVC 20-29 years, female 543.8
GTEX-1GN1V-0626-SM-7P8QU 60-69 years, male 540.9
GTEX-18D9B-0726-SM-72D6K 60-69 years, male 531.8
GTEX-1GF9W-0626-SM-7MXVJ 60-69 years, male 527.8
GTEX-YB5E-0626-SM-4VDSE 40-49 years, male 525.9
GTEX-RUSQ-1026-SM-2TF6V 50-59 years, male 525.4
GTEX-WEY5-0526-SM-3GIKZ 40-49 years, female 520.5
GTEX-1CB4E-0326-SM-7MXT3 60-69 years, male 519.9
GTEX-OXRN-1526-SM-E6CHM 50-59 years, male 518.3
GTEX-1JJ6O-0626-SM-AHZ3H 60-69 years, male 515.1
GTEX-14DAQ-0826-SM-73KWT 60-69 years, female 513.0
GTEX-1HB9E-0826-SM-CNNQJ 50-59 years, male 507.7
GTEX-132QS-0326-SM-5IJFN 60-69 years, male 507.2
GTEX-13NZA-1026-SM-5MR48 60-69 years, male 504.2
GTEX-1H1DG-0726-SM-A96TN 70-79 years, male 498.6
GTEX-ZYFD-0826-SM-5NQ9A 50-59 years, male 497.0
GTEX-14PJO-0626-SM-6LLHH 60-69 years, male 487.7
GTEX-14PJ6-0326-SM-6871H 60-69 years, female 486.8
GTEX-14C38-0826-SM-5S2U8 50-59 years, male 484.6
GTEX-14PII-0826-SM-6871S 60-69 years, male 484.0
GTEX-1QAET-0226-SM-EVR3T 50-59 years, male 479.5
GTEX-15G1A-0326-SM-6M467 30-39 years, male 477.5
GTEX-13O61-0226-SM-5KM52 60-69 years, male 477.2
GTEX-14PK6-0426-SM-6EU1J 70-79 years, female 474.1
GTEX-11UD2-0626-SM-5GU6L 50-59 years, male 473.8
GTEX-WHPG-0226-SM-3NMB9 50-59 years, male 472.3
GTEX-1AX8Z-0826-SM-7DUFZ 60-69 years, male 469.1
GTEX-1PWST-0726-SM-EWRMO 70-79 years, male 468.4
GTEX-1I1GS-0726-SM-C1YS7 60-69 years, male 468.1
GTEX-S32W-0726-SM-2XCBL 50-59 years, female 466.9
GTEX-14ICK-1626-SM-6ETZX 40-49 years, male 466.8
GTEX-1RQEC-1026-SM-EVR5B 60-69 years, male 462.2
GTEX-ZF3C-0826-SM-DO11E 50-59 years, female 457.0
GTEX-1GN1W-0126-SM-7MXV7 50-59 years, female 456.8
GTEX-1H1ZS-0726-SM-A9G3K 70-79 years, male 452.2
GTEX-1LGRB-1226-SM-CNNPS 50-59 years, female 451.7
GTEX-12WSN-0726-SM-5GCMS 40-49 years, male 449.3
GTEX-1RQED-0926-SM-EWRNZ 60-69 years, male 447.4
GTEX-13D11-0226-SM-5LZXL 50-59 years, female 445.3
GTEX-1IDJC-1026-SM-A96T2 50-59 years, male 444.2
GTEX-13PVQ-0726-SM-5L3GI 50-59 years, male 442.0
GTEX-1LSVX-0726-SM-E9TJG 60-69 years, male 441.3
GTEX-1MCC2-0526-SM-DHXJS 30-39 years, female 441.2
GTEX-W5WG-1426-SM-4KKZP 50-59 years, female 441.0
GTEX-11EM3-0126-SM-5985K 20-29 years, female 439.3
GTEX-OIZF-2626-SM-7P8QZ 60-69 years, male 439.1
GTEX-1I1GU-0826-SM-ARZM5 40-49 years, male 435.4
GTEX-ZYY3-1926-SM-5GZXS 60-69 years, female 435.2
GTEX-13FXS-0726-SM-5LZXJ 50-59 years, male 434.3
GTEX-13CF3-0926-SM-5LZZC 60-69 years, female 433.8
GTEX-12WSH-0226-SM-5GCOG 50-59 years, male 432.6
GTEX-1F5PL-0826-SM-7MXU7 40-49 years, female 429.3
GTEX-1KANC-0826-SM-D3LA8 50-59 years, female 429.3
GTEX-14E6E-0326-SM-73KY6 30-39 years, male 428.3
GTEX-Y5V6-0526-SM-4VBRV 60-69 years, male 428.0
GTEX-15EU6-1426-SM-6M48E 50-59 years, male 427.9
GTEX-ZYVF-1126-SM-5E458 50-59 years, female 427.8
GTEX-1PBJI-0726-SM-EXUSQ 20-29 years, female 427.1
GTEX-1KD5A-0426-SM-D4P3X 50-59 years, male 426.5
GTEX-12WSJ-0326-SM-5GCMT 40-49 years, female 425.7
GTEX-ZAJG-0726-SM-5HL9A 50-59 years, female 425.0
GTEX-1ICLZ-0526-SM-ARZM8 60-69 years, male 423.6
GTEX-11TUW-0226-SM-5LU8X 60-69 years, male 423.1
GTEX-1122O-0226-SM-5N9DA 60-69 years, female 422.9
GTEX-1497J-0126-SM-5Q5BK 60-69 years, male 422.7
GTEX-15FZZ-0226-SM-6LLI4 30-39 years, female 420.5
GTEX-1GMR8-0826-SM-9KNUR 50-59 years, female 413.9
GTEX-ZDTS-0926-SM-5YY9D 60-69 years, male 410.7
GTEX-1269C-0226-SM-5EGKS 60-69 years, female 410.3
GTEX-YFCO-0326-SM-4W1ZP 40-49 years, male 410.1
GTEX-16XZY-0726-SM-79OMU 70-79 years, male 408.9
GTEX-U412-0726-SM-EVR2Y 60-69 years, male 407.9
GTEX-O5YV-1526-SM-EV799 60-69 years, female 406.0
GTEX-1OFPY-1526-SM-DTX8R 60-69 years, male 401.9
GTEX-132NY-1026-SM-5P9IY 60-69 years, male 401.1
GTEX-1LH75-0626-SM-DIPG3 50-59 years, female 400.9
GTEX-WYBS-1926-SM-3NM8N 60-69 years, female 399.4
GTEX-X8HC-0726-SM-46MWG 50-59 years, female 398.8
GTEX-12BJ1-0426-SM-5FQSO 60-69 years, male 398.1
GTEX-P44G-0626-SM-2I5EO 30-39 years, male 397.7
GTEX-14A5H-0726-SM-5Q5DW 60-69 years, male 397.1
GTEX-1MJK2-0826-SM-DTXE8 50-59 years, male 397.0
GTEX-1J1OQ-0526-SM-A9G2P 40-49 years, female 396.1
GTEX-1LG7Z-0526-SM-D4P3Q 30-39 years, male 395.5
GTEX-13O3O-0926-SM-5KM1F 60-69 years, female 394.6
GTEX-ZE7O-1126-SM-57WC8 50-59 years, female 394.3
GTEX-ZY6K-0226-SM-5SIAY 50-59 years, male 393.9
GTEX-1I1GQ-0826-SM-CNNQR 50-59 years, male 392.8
GTEX-1JMQK-2126-SM-CY8I2 60-69 years, male 392.5
GTEX-15RJ7-0326-SM-6M47H 40-49 years, male 391.3
GTEX-111VG-0526-SM-5N9BW 60-69 years, male 390.4
GTEX-R3RS-0726-SM-3GIJR 40-49 years, female 389.0
GTEX-1GZ4H-0226-SM-9JGGJ 50-59 years, female 387.3
GTEX-11ZTT-1026-SM-5EQKF 60-69 years, female 386.2
GTEX-ZT9X-0226-SM-51MT2 40-49 years, male 385.2
GTEX-XLM4-0726-SM-4AT64 60-69 years, male 384.9
GTEX-1JK1U-0326-SM-CXZJH 60-69 years, male 384.7
GTEX-1AX9K-0626-SM-73KVD 50-59 years, male 384.2
GTEX-OXRO-1226-SM-48TDL 60-69 years, female 383.7
GTEX-ZPCL-0126-SM-4WWC8 60-69 years, female 382.7
GTEX-11DXX-0226-SM-5P9HL 60-69 years, female 381.6
GTEX-1H1DF-1026-SM-9QEJ1 40-49 years, female 377.9
GTEX-1R9K4-0726-SM-EWRN2 60-69 years, male 376.9
GTEX-1HR98-0326-SM-CGQEL 60-69 years, male 376.6
GTEX-13YAN-0926-SM-5O9C3 60-69 years, male 376.4
GTEX-13PVR-0626-SM-5S2RC 60-69 years, female 376.2
GTEX-Q2AI-0326-SM-2I3EK 40-49 years, male 376.1
GTEX-T2IS-0626-SM-32QP6 20-29 years, female 374.6
GTEX-ZF29-0726-SM-DO92H 60-69 years, female 374.6
GTEX-ZZ64-0126-SM-5GZXA 20-29 years, male 374.0
GTEX-1ICLY-0726-SM-A96TB 50-59 years, male 374.0
GTEX-1EX96-0126-SM-9KNVH 50-59 years, male 373.8
GTEX-13QBU-0626-SM-5J2OG 40-49 years, female 373.1
GTEX-ZLWG-0526-SM-4WWFB 50-59 years, female 372.8
GTEX-139YR-1226-SM-5IFEU 50-59 years, male 372.6
GTEX-15DZA-0226-SM-7KFS6 30-39 years, female 372.6
GTEX-OIZG-0226-SM-2TC5L 50-59 years, male 370.1
GTEX-1JMPZ-0626-SM-CY8HY 30-39 years, male 369.2
GTEX-14753-0926-SM-5Q5BI 60-69 years, male 369.1
GTEX-14ASI-0726-SM-5Q5DC 60-69 years, male 367.6
GTEX-1H1DE-0226-SM-ARZN8 20-29 years, male 367.3
GTEX-1HSGN-0726-SM-A9G2F 40-49 years, female 366.5
GTEX-14PJM-1326-SM-664NX 50-59 years, female 366.3
GTEX-QDVJ-0226-SM-2I5FV 50-59 years, male 364.1
GTEX-1OJC3-0626-SM-E8VMO 20-29 years, male 364.1
GTEX-13111-0226-SM-5EQ55 50-59 years, male 363.2
GTEX-1GMR3-0726-SM-9WPOF 40-49 years, male 361.9
GTEX-17JCI-0626-SM-7IGM7 60-69 years, female 361.6
GTEX-ZV7C-0126-SM-57WDE 50-59 years, male 361.5
GTEX-X5EB-0726-SM-46MVR 40-49 years, male 360.9
GTEX-1H1E6-0326-SM-9OSWE 30-39 years, male 360.5
GTEX-1CB4G-1526-SM-7P8QG 60-69 years, male 359.3
GTEX-1GTWX-0726-SM-9WPPA 60-69 years, male 359.3
GTEX-U3ZH-0226-SM-3DB7B 30-39 years, male 356.9
GTEX-YEC4-0626-SM-5CVLU 40-49 years, male 355.7
GTEX-11EMC-0226-SM-5EGLP 60-69 years, female 354.9
GTEX-17HGU-0826-SM-7EWE5 50-59 years, male 354.8
GTEX-QLQ7-0726-SM-2I5G2 60-69 years, male 354.4
GTEX-ZVP2-0426-SM-57WC2 50-59 years, male 353.5
GTEX-111CU-0226-SM-5GZXC 50-59 years, male 353.4
GTEX-1KAFJ-0426-SM-DHXJH 50-59 years, male 352.6
GTEX-WYVS-0326-SM-3NM9V 40-49 years, female 352.0
GTEX-1B8SF-0626-SM-73KVV 60-69 years, male 351.4
GTEX-1HBPM-0926-SM-ARL9C 60-69 years, female 351.1
GTEX-13S86-1126-SM-5RQJX 40-49 years, male 350.8
GTEX-1C6VQ-0526-SM-7MGWD 50-59 years, male 350.4
GTEX-16NPX-1426-SM-6LPK3 50-59 years, male 350.1
GTEX-1B97I-0326-SM-7DUGB 40-49 years, male 349.9
GTEX-1MUQO-0726-SM-E9TJM 60-69 years, male 349.8
GTEX-145MI-1126-SM-5O9AK 60-69 years, female 349.6
GTEX-13NYB-0726-SM-5MR4J 40-49 years, male 349.4
GTEX-ZDYS-0626-SM-5J2N5 50-59 years, male 349.2
GTEX-ZYFC-0926-SM-5GZWW 50-59 years, male 347.6
GTEX-1I19N-0226-SM-CE6ST 70-79 years, male 347.5
GTEX-1PDJ9-0826-SM-E76PS 20-29 years, male 347.0
GTEX-ZLV1-0126-SM-4WWBZ 60-69 years, female 346.5
GTEX-1IOXB-1026-SM-CJI4D 50-59 years, male 346.4
GTEX-17F97-0626-SM-7IGOH 50-59 years, male 346.2
GTEX-1HCU7-0826-SM-B2LX7 50-59 years, male 345.2
GTEX-SN8G-1526-SM-4DM79 50-59 years, female 345.1
GTEX-14PQA-1226-SM-6M47A 50-59 years, female 344.9
GTEX-14E6C-2626-SM-5RQJP 40-49 years, male 344.1
GTEX-1PBJJ-1926-SM-DTX8T 30-39 years, male 343.2
GTEX-1QP2A-0626-SM-DTX9C 50-59 years, male 343.1
GTEX-1HCU9-0226-SM-9WPNT 20-29 years, male 342.5
GTEX-1B932-0926-SM-73KUP 40-49 years, female 342.3
GTEX-OXRP-0326-SM-33HBJ 60-69 years, female 342.0
GTEX-183FY-0626-SM-79OKR 20-29 years, male 339.8
GTEX-S341-0226-SM-D4P1Y 40-49 years, female 338.8
GTEX-18A66-0826-SM-72D5Z 60-69 years, male 338.2
GTEX-1EKGG-0726-SM-7IGPX 60-69 years, male 337.7
GTEX-YF7O-0726-SM-4W213 50-59 years, male 337.0
GTEX-14BMU-0226-SM-5S2QA 20-29 years, female 336.5
GTEX-1F52S-0526-SM-7P8TP 60-69 years, female 336.4
GTEX-1K2DU-0126-SM-E9TIU 20-29 years, male 336.2
GTEX-13FH7-0126-SM-5KLZ1 50-59 years, female 335.6
GTEX-13113-0126-SM-5LZVX 60-69 years, female 335.4
GTEX-13O3Q-0626-SM-5IJG1 50-59 years, male 335.3
GTEX-1QEPI-0726-SM-E76QG 60-69 years, female 335.2
GTEX-1I1GT-0826-SM-B2LWO 60-69 years, female 334.9
GTEX-1128S-0126-SM-5H12S 60-69 years, female 334.7
GTEX-12WSE-1226-SM-73KUF 20-29 years, male 334.2
GTEX-ZPIC-0226-SM-DO91T 40-49 years, female 333.6
GTEX-1IY9M-1026-SM-A96TG 60-69 years, male 333.5
GTEX-13PDP-1026-SM-5L3FA 60-69 years, male 333.2
GTEX-11ZTS-1126-SM-5LU9X 60-69 years, female 332.3
GTEX-1FIGZ-0226-SM-7P8QR 40-49 years, male 331.5
GTEX-13O3P-0726-SM-5J2OM 50-59 years, male 331.4
GTEX-17GQL-0226-SM-7LTAK 60-69 years, male 331.3
GTEX-139TS-0126-SM-5K7XJ 60-69 years, male 331.0
GTEX-Y3IK-0526-SM-4WWE3 50-59 years, female 330.5
GTEX-Y114-0626-SM-4TT98 50-59 years, female 329.5
GTEX-16AAH-0326-SM-7DHML 50-59 years, male 329.4
GTEX-VUSG-0426-SM-3GIKD 50-59 years, male 329.2
GTEX-12696-0326-SM-5EGL4 60-69 years, male 328.1
GTEX-18A67-0826-SM-7KFTI 50-59 years, male 327.7
GTEX-ZV6S-0226-SM-59HJT 40-49 years, female 327.6
GTEX-132AR-1126-SM-5P9GA 50-59 years, female 327.5
GTEX-1HFI7-0326-SM-9WPOX 50-59 years, female 326.4
GTEX-131XE-0126-SM-5LZVC 50-59 years, male 325.9
GTEX-WHSE-0626-SM-4RGNF 20-29 years, male 325.7
GTEX-11NV4-0626-SM-5N9BR 60-69 years, male 323.6
GTEX-RWS6-0626-SM-2XCAS 60-69 years, female 323.4
GTEX-11DXY-0426-SM-5H12R 60-69 years, male 323.2
GTEX-1C475-0226-SM-7MGXM 40-49 years, female 323.1
GTEX-1HSMQ-0526-SM-A96TY 50-59 years, male 323.1
GTEX-14B4R-0126-SM-5TDE4 30-39 years, male 322.4
GTEX-11GSP-0126-SM-5A5KU 60-69 years, female 322.0
GTEX-17HG3-0226-SM-7EWEA 30-39 years, female 320.9
GTEX-1A8G6-0626-SM-7IGNB 60-69 years, male 319.9
GTEX-1F75I-0926-SM-7MXUU 40-49 years, male 319.4
GTEX-TKQ1-0126-SM-33HB3 30-39 years, male 319.3
GTEX-145LU-0426-SM-5O9AH 50-59 years, male 319.1
GTEX-1JN6P-0626-SM-ARZN6 60-69 years, male 318.9
GTEX-17MF6-0626-SM-7LT8D 40-49 years, male 318.2
GTEX-ZF28-0826-SM-4WKGJ 60-69 years, male 317.7
GTEX-1GF9U-0226-SM-7P8TY 40-49 years, female 317.0
GTEX-1HBPI-0826-SM-9WYTX 50-59 years, male 316.3
GTEX-XV7Q-0326-SM-4BRVM 40-49 years, female 316.0
GTEX-13FTW-0626-SM-5IFEX 40-49 years, male 315.7
GTEX-1HSMO-0726-SM-A96TM 60-69 years, male 314.3
GTEX-139T6-0326-SM-5J2LY 50-59 years, male 314.2
GTEX-1JKYR-0826-SM-ARU8L 20-29 years, male 313.7
GTEX-T6MO-0226-SM-32QOL 40-49 years, female 313.5
GTEX-11DYG-0826-SM-5N9GH 60-69 years, male 312.6
GTEX-1399U-0326-SM-5P9G5 50-59 years, female 312.6
GTEX-ZC5H-0626-SM-5LU9K 40-49 years, female 312.6
GTEX-Q2AH-0726-SM-2I3EA 40-49 years, male 312.5
GTEX-11DZ1-2726-SM-5A5KH 50-59 years, male 312.3
GTEX-14JG6-1326-SM-9OSXU 30-39 years, female 311.8
GTEX-13FHP-0926-SM-5L3EC 50-59 years, male 311.4
GTEX-XBEW-0126-SM-4AT66 40-49 years, male 311.3
GTEX-OHPM-2626-SM-33HC5 50-59 years, male 311.1
GTEX-WFG8-0426-SM-3GILD 20-29 years, male 309.4
GTEX-XXEK-1326-SM-4BRV1 50-59 years, male 309.2
GTEX-1ICG6-0426-SM-ARU7M 70-79 years, female 309.1
GTEX-1MGNQ-0726-SM-DPRYH 40-49 years, male 308.9
GTEX-145MG-0826-SM-5Q5C2 50-59 years, male 308.7
GTEX-148VI-0526-SM-5TDDG 60-69 years, female 308.6
GTEX-Y5LM-0626-SM-4V6G4 40-49 years, female 308.1
GTEX-1F75B-0826-SM-9QEIT 50-59 years, male 307.7
GTEX-169BO-0326-SM-7EPIM 50-59 years, male 307.6
GTEX-QV31-0726-SM-3GAEG 30-39 years, male 307.6
GTEX-13VXT-0626-SM-5SIA1 20-29 years, female 307.1
GTEX-1PPGY-1426-SM-EVR3R 60-69 years, male 306.9
GTEX-QEL4-0726-SM-3GIJ5 50-59 years, male 306.8
GTEX-1PIIG-2026-SM-EVR43 30-39 years, male 306.6
GTEX-1LVAM-0826-SM-EV79X 50-59 years, female 306.2
GTEX-1HBPN-1226-SM-B2LW9 50-59 years, male 305.7
GTEX-1JJE9-0226-SM-CY8HU 70-79 years, male 305.7
GTEX-XMK1-0626-SM-4B65A 40-49 years, male 304.3
GTEX-17HII-1926-SM-79OLB 50-59 years, male 302.8
GTEX-U3ZM-0126-SM-3DB8M 40-49 years, male 302.3
GTEX-1GN73-0826-SM-9OSW4 60-69 years, male 301.8
GTEX-RVPV-1226-SM-2TF73 60-69 years, male 301.7
GTEX-ZT9W-0226-SM-7SB6H 50-59 years, male 301.6
GTEX-16MTA-0726-SM-7KUL4 50-59 years, male 300.0
GTEX-11TTK-0826-SM-5N9EG 60-69 years, female 299.9
GTEX-11I78-0526-SM-5986A 50-59 years, female 299.2
GTEX-13X6J-0826-SM-5LU32 50-59 years, male 299.2
GTEX-1CAMR-0226-SM-7DUGO 20-29 years, male 299.0
GTEX-Y5V5-0326-SM-5RQJG 60-69 years, female 298.9
GTEX-1EU9M-0626-SM-7MXUT 60-69 years, male 298.7
GTEX-1HR9M-0626-SM-A96S6 60-69 years, male 297.4
GTEX-P4PQ-2626-SM-33HC9 60-69 years, male 296.4
GTEX-14BMV-0726-SM-73KVE 50-59 years, male 296.1
GTEX-1GZHY-1426-SM-9WG5H 50-59 years, female 295.9
GTEX-12ZZX-1226-SM-5EGHS 40-49 years, female 295.7
GTEX-13N2G-0726-SM-5MR38 60-69 years, male 295.6
GTEX-1F75A-0326-SM-7MXTR 50-59 years, male 295.4
GTEX-1JKYN-1126-SM-CGQG5 30-39 years, male 295.1
GTEX-1S83E-0726-SM-EV7B6 40-49 years, male 294.8
GTEX-15SHV-0426-SM-6M476 60-69 years, male 294.3
GTEX-13PL6-1026-SM-5L3E5 40-49 years, female 294.2
GTEX-16XZZ-0826-SM-7IGM3 60-69 years, male 293.6
GTEX-1RMOY-0126-SM-EWRNN 50-59 years, male 293.6
GTEX-WK11-0926-SM-3NMAU 50-59 years, male 293.3
GTEX-1P4AB-1126-SM-DTX94 50-59 years, male 293.2
GTEX-T5JW-1226-SM-3GACY 20-29 years, female 293.1
GTEX-1J8EW-1126-SM-A96T8 60-69 years, female 293.1
GTEX-14PN3-0826-SM-69LOS 60-69 years, female 292.8
GTEX-1I6K7-1126-SM-A96SW 40-49 years, male 292.8
GTEX-12WSC-0826-SM-5EQ5Q 50-59 years, male 291.9
GTEX-ZQG8-0926-SM-57WFF 60-69 years, female 291.7
GTEX-1B8SG-1126-SM-7IGMT 50-59 years, male 290.8
GTEX-13FTY-0726-SM-5J2OH 40-49 years, female 290.4
GTEX-1RAZA-0826-SM-EAZ4I 20-29 years, male 290.3
GTEX-1HGF4-0726-SM-9WYU9 60-69 years, male 290.1
GTEX-WFG7-0326-SM-DKPO8 20-29 years, male 289.9
GTEX-1C4CL-0726-SM-7IGP9 30-39 years, male 289.6
GTEX-X15G-0526-SM-3NMB7 50-59 years, female 289.4
GTEX-144GO-0126-SM-5LUAO 60-69 years, male 288.0
GTEX-13W46-0926-SM-5LU3T 50-59 years, male 287.5
GTEX-WWYW-0826-SM-3NB2X 50-59 years, female 287.4
GTEX-13RTK-0326-SM-5RQHS 20-29 years, male 287.3
GTEX-1IKOH-0626-SM-CJI35 60-69 years, female 286.2
GTEX-13U4I-0526-SM-5LU59 40-49 years, female 285.8
GTEX-147F4-0826-SM-5QGRB 50-59 years, male 285.8
GTEX-13QJC-0826-SM-5RQKC 60-69 years, female 285.6
GTEX-11EQ9-0626-SM-5A5K1 30-39 years, male 285.3
GTEX-14PKV-0626-SM-6AJA2 20-29 years, female 285.3
GTEX-12WSG-0226-SM-5EGIF 50-59 years, female 284.8
GTEX-QDVN-0626-SM-2I3FP 50-59 years, male 284.7
GTEX-1K2DA-1526-SM-CGQGQ 50-59 years, male 283.8
GTEX-1MA7X-0926-SM-DIPEJ 60-69 years, male 283.2
GTEX-1QP66-0326-SM-DTX7V 50-59 years, male 283.1
GTEX-1EN7A-1026-SM-7IGPZ 40-49 years, male 282.8
GTEX-1H11D-0626-SM-9WPQ1 40-49 years, male 282.8
GTEX-ZYFG-0626-SM-5GZYA 60-69 years, female 282.6
GTEX-1PFEY-0226-SM-EVR3M 30-39 years, male 282.5
GTEX-14PJ3-0126-SM-69LQP 50-59 years, male 282.0
GTEX-1F6IF-1126-SM-9KNV2 60-69 years, male 281.9
GTEX-RN5K-2826-SM-EZ6L3 50-59 years, female 281.7
GTEX-15SB6-1526-SM-7KUMQ 50-59 years, female 281.6
GTEX-1IDJH-0826-SM-CE6SY 70-79 years, male 281.6
GTEX-1399R-0126-SM-5IFEV 30-39 years, male 280.8
GTEX-11XUK-0226-SM-5EQLW 40-49 years, female 280.3
GTEX-1JMQJ-2026-SM-CNPP9 50-59 years, male 280.3
GTEX-113JC-0126-SM-5EGJW 50-59 years, female 280.1
GTEX-117XS-0526-SM-5987Q 60-69 years, male 279.7
GTEX-XGQ4-0426-SM-4AT4I 50-59 years, male 279.2
GTEX-1H1CY-0726-SM-9OSXX 60-69 years, female 279.2
GTEX-18A6Q-0726-SM-7LT8Y 60-69 years, male 279.1
GTEX-1J8QM-0726-SM-CE6RF 60-69 years, female 279.1
GTEX-1RAZS-1026-SM-E9TID 50-59 years, male 278.6
GTEX-1QCLZ-0626-SM-E6CR2 60-69 years, female 278.1
GTEX-147GR-0726-SM-5S2PL 60-69 years, male 277.9
GTEX-1RDX4-0926-SM-E9U6D 50-59 years, female 277.7
GTEX-1H2FU-0626-SM-9WPPS 60-69 years, female 277.2
GTEX-12ZZY-0826-SM-5EQMT 60-69 years, male 276.9
GTEX-13NZ9-1126-SM-5MR37 50-59 years, male 276.8
GTEX-17KNJ-1026-SM-79ONK 50-59 years, male 276.2
GTEX-1192W-0126-SM-5EGGS 60-69 years, male 276.0
GTEX-145MH-0426-SM-5LU8T 50-59 years, male 276.0
GTEX-1J8Q3-0226-SM-C1YR4 60-69 years, male 276.0
GTEX-1AMEY-0126-SM-73KTX 30-39 years, female 275.9
GTEX-1S5ZU-0726-SM-EWROH 20-29 years, female 274.6
GTEX-T8EM-0226-SM-3DB7C 40-49 years, male 274.2
GTEX-ZVZP-1026-SM-5GICI 50-59 years, male 274.0
GTEX-1NUQO-0926-SM-DTXEX 20-29 years, female 273.6
GTEX-SIU8-0626-SM-2XCDN 50-59 years, male 273.3
GTEX-1JMLX-0826-SM-CNNPP 50-59 years, male 273.2
GTEX-1JJEA-0626-SM-D3L96 60-69 years, male 272.9
GTEX-15EO6-0126-SM-6LPKJ 50-59 years, male 272.7
GTEX-13OW5-0626-SM-5J2N2 60-69 years, male 272.4
GTEX-YJ89-0726-SM-5P9F7 60-69 years, male 272.4
GTEX-14JIY-1226-SM-6871R 60-69 years, male 272.2
GTEX-1QMI2-0826-SM-EXUT4 60-69 years, male 271.6
GTEX-Z9EW-0226-SM-5CVM7 40-49 years, male 271.4
GTEX-1O97I-1026-SM-E76PI 60-69 years, male 271.0
GTEX-15CHC-0126-SM-5YYBA 60-69 years, female 270.5
GTEX-111YS-0726-SM-5GZY8 60-69 years, male 269.9
GTEX-OXRL-2626-SM-2I3F1 50-59 years, male 269.2
GTEX-1N5O9-1026-SM-DTX8Y 60-69 years, male 268.9
GTEX-13OW8-0126-SM-5IJE5 60-69 years, male 268.8
GTEX-RTLS-0626-SM-5SI7Z 60-69 years, female 268.6
GTEX-1EMGI-0826-SM-7EPHY 60-69 years, male 268.3
GTEX-16BQI-0726-SM-6LPJZ 30-39 years, female 268.2
GTEX-14BIN-0126-SM-5TDCG 50-59 years, female 267.8
GTEX-16Z82-0426-SM-7EPGX 60-69 years, male 267.7
GTEX-PWCY-2326-SM-2I3EQ 20-29 years, female 267.6
GTEX-VJYA-0426-SM-3GIJK 60-69 years, male 267.2
GTEX-1EWIQ-0826-SM-7MXTH 70-79 years, female 267.2
GTEX-13G51-1226-SM-5K7Z3 60-69 years, male 266.9
GTEX-1LVAN-0726-SM-CNNPF 50-59 years, female 266.5
GTEX-1C2JI-0326-SM-7EWFD 50-59 years, male 266.4
GTEX-1OJC4-0526-SM-E6CQV 50-59 years, female 266.4
GTEX-1GL5R-0626-SM-7PBZY 50-59 years, male 266.3
GTEX-1IGQW-0626-SM-C1YR9 60-69 years, male 265.6
GTEX-SUCS-0226-SM-32PLQ 70-79 years, male 265.4
GTEX-R55C-0626-SM-2TF4Q 40-49 years, male 264.8
GTEX-13QJ3-0926-SM-73KX5 50-59 years, male 263.9
GTEX-ZPU1-0426-SM-4WWCA 40-49 years, male 263.8
GTEX-XUZC-0126-SM-4BOO6 30-39 years, female 262.7
GTEX-ZVZQ-0626-SM-59HJU 60-69 years, female 262.7
GTEX-1HCVE-0726-SM-A96SH 50-59 years, male 262.5
GTEX-1QCLY-0826-SM-DTX8A 30-39 years, male 262.3
GTEX-11GS4-0826-SM-5986J 60-69 years, male 262.1
GTEX-1I1GR-1126-SM-A9G2I 60-69 years, male 261.7
GTEX-1HT8W-1526-SM-CE6S3 30-39 years, male 261.0
GTEX-1HC8U-1226-SM-9WYUW 40-49 years, female 260.9
GTEX-1GPI7-0726-SM-9WG84 20-29 years, male 260.4
GTEX-11EI6-0726-SM-59866 60-69 years, male 259.9
GTEX-ZXG5-0926-SM-5NQ8H 60-69 years, male 259.7
GTEX-1PIGE-0726-SM-DPRZD 20-29 years, male 259.3
GTEX-18A7A-0826-SM-7KFTJ 50-59 years, female 259.1
GTEX-U3ZN-0326-SM-3DB86 30-39 years, female 259.1
GTEX-16GPK-0926-SM-6LPJ9 60-69 years, male 258.8
GTEX-11EQ8-0826-SM-5N9FG 60-69 years, male 258.2
GTEX-12ZZZ-1226-SM-59HK1 60-69 years, male 257.7
GTEX-P4QT-2626-SM-2I3FM 50-59 years, female 257.1
GTEX-13O21-2226-SM-5MR3L 50-59 years, male 257.0
GTEX-XOT4-1526-SM-EAZ2W 60-69 years, female 256.5
GTEX-18465-1426-SM-7KFTF 50-59 years, male 255.9
GTEX-1C6VR-0426-SM-7IGN6 60-69 years, male 255.4
GTEX-TSE9-0626-SM-3DB8B 60-69 years, female 254.2
GTEX-1IDJU-1626-SM-CJI4B 60-69 years, female 253.8
GTEX-1AMFI-0526-SM-7189M 50-59 years, female 253.4
GTEX-144GL-1226-SM-5O9A4 50-59 years, male 253.1
GTEX-15RJE-1326-SM-6LPI6 40-49 years, male 252.8
GTEX-13N1W-0826-SM-5MR5J 70-79 years, male 252.5
GTEX-WRHU-0926-SM-4E3IG 50-59 years, female 251.9
GTEX-1J8JJ-0726-SM-AHZ3E 60-69 years, female 251.7
GTEX-N7MS-2326-SM-2HMLD 60-69 years, male 251.4
GTEX-12WSL-0626-SM-5GCOY 50-59 years, male 251.2
GTEX-1HSKV-1026-SM-B2LWK 60-69 years, male 250.7
GTEX-ZUA1-0926-SM-4YCDX 40-49 years, male 250.6
GTEX-WY7C-0226-SM-3NB37 50-59 years, male 249.9
GTEX-1GZ2Q-0826-SM-7P8TK 40-49 years, male 249.7
GTEX-131XF-1826-SM-5EGKG 60-69 years, male 249.6
GTEX-1F88F-0726-SM-7P8R7 60-69 years, female 249.6
GTEX-1LB8K-0626-SM-D4P3Z 50-59 years, male 249.6
GTEX-1BAJH-0926-SM-79OO6 70-79 years, male 249.5
GTEX-RWSA-0826-SM-2XCBF 40-49 years, male 249.4
GTEX-T6MN-0626-SM-32PM9 50-59 years, male 249.4
GTEX-1JMPY-0126-SM-CJI39 30-39 years, male 249.3
GTEX-146FQ-0726-SM-5LUA7 30-39 years, male 249.2
GTEX-11LCK-0526-SM-5A5M9 30-39 years, male 248.4
GTEX-W5X1-0426-SM-3GILB 40-49 years, female 247.4
GTEX-15SHU-0726-SM-7KUFI 40-49 years, female 247.2
GTEX-WXYG-0226-SM-3NB2Y 50-59 years, female 247.2
GTEX-ZAB5-0726-SM-5P9JG 50-59 years, male 246.8
GTEX-ZAK1-0726-SM-5HL8Q 50-59 years, female 246.7
GTEX-12584-0826-SM-5FQSK 40-49 years, male 246.5
GTEX-1CB4H-0126-SM-7IGN2 60-69 years, female 246.4
GTEX-1IKJJ-1026-SM-A96SQ 60-69 years, male 246.4
GTEX-U8T8-2326-SM-3DB96 60-69 years, male 246.0
GTEX-S7SE-0726-SM-2XCD7 50-59 years, male 245.7
GTEX-1GMRU-1126-SM-9KNV1 50-59 years, male 245.6
GTEX-1MJK3-0326-SM-DTX96 20-29 years, male 245.6
GTEX-16MT8-0626-SM-6M47Q 60-69 years, female 245.0
GTEX-131XH-0526-SM-5DUX7 50-59 years, male 244.9
GTEX-WVLH-0626-SM-3MJG7 50-59 years, male 244.7
GTEX-1QP6S-2526-SM-DTX9Z 40-49 years, male 244.7
GTEX-11OF3-0626-SM-5BC4Y 60-69 years, male 244.6
GTEX-1HSEH-0826-SM-B2LXE 60-69 years, male 244.6
GTEX-Y9LG-0426-SM-4VBRT 30-39 years, male 244.4
GTEX-148VJ-0726-SM-5LU8J 70-79 years, male 243.7
GTEX-15D1Q-0626-SM-6AJAZ 40-49 years, male 242.8
GTEX-Y3I4-0226-SM-4TT27 50-59 years, male 242.8
GTEX-13OVG-0226-SM-5LU93 60-69 years, male 242.7
GTEX-V955-0426-SM-3GAEL 60-69 years, male 242.6
GTEX-1GN1U-0826-SM-9WPPX 50-59 years, female 242.5
GTEX-1C6VS-0826-SM-7EWEI 60-69 years, male 242.0
GTEX-18D9U-1026-SM-72D5R 40-49 years, male 241.8
GTEX-11P82-0226-SM-5HL4O 20-29 years, male 241.7
GTEX-14PJ4-0326-SM-664OT 60-69 years, male 241.7
GTEX-13X6H-0526-SM-5LU4Q 50-59 years, female 241.1
GTEX-POYW-0826-SM-2XCEM 60-69 years, male 240.9
GTEX-14A6H-2426-SM-5Q5BO 30-39 years, male 240.7
GTEX-15CHQ-0826-SM-69LOT 60-69 years, male 240.4
GTEX-11P81-0126-SM-5HL5Y 30-39 years, female 240.0
GTEX-1M4P7-0626-SM-EVR51 60-69 years, male 239.8
GTEX-111FC-1026-SM-5GZX1 60-69 years, male 239.3
GTEX-16YQH-0326-SM-6LPJV 30-39 years, male 239.3
GTEX-XBED-0126-SM-47JY7 60-69 years, male 238.9
GTEX-S7SF-0226-SM-5SI7H 20-29 years, female 238.3
GTEX-12WSD-0926-SM-5GCNL 60-69 years, female 236.8
GTEX-131XG-0226-SM-5IFG1 50-59 years, female 236.8
GTEX-1LBAC-0726-SM-D3L9U 20-29 years, male 236.5
GTEX-1399T-0126-SM-5KM15 60-69 years, male 236.3
GTEX-11NUK-1026-SM-5HL5J 50-59 years, male 236.1
GTEX-14ABY-0926-SM-5Q5DY 50-59 years, male 236.0
GTEX-14E7W-0926-SM-5YYA4 70-79 years, male 235.9
GTEX-15ETS-0526-SM-6PAN3 40-49 years, female 235.7
GTEX-Y111-1926-SM-4SOIS 50-59 years, male 235.7
GTEX-11VI4-0226-SM-5GU6C 40-49 years, female 235.6
GTEX-178AV-0726-SM-6LPJI 40-49 years, male 235.6
GTEX-1AYCT-0226-SM-73KVB 50-59 years, male 235.6
GTEX-117YX-1226-SM-5H11S 50-59 years, male 235.3
GTEX-1QP67-0326-SM-EVR45 40-49 years, female 235.0
GTEX-1HCUA-0126-SM-B2LWC 50-59 years, female 234.8
GTEX-146FR-0326-SM-5SI8U 60-69 years, female 234.4
GTEX-1313W-0726-SM-5EGK1 50-59 years, female 234.3
GTEX-1192X-1126-SM-5EGGU 50-59 years, male 233.9
GTEX-ZA64-0426-SM-5HL96 20-29 years, male 232.8
GTEX-1HKZK-0826-SM-A9G2C 40-49 years, male 232.8
GTEX-1C64N-1026-SM-79ONM 50-59 years, male 232.7
GTEX-OXRK-0626-SM-2HMJ5 50-59 years, female 232.6
GTEX-12WSK-0926-SM-5CVNQ 40-49 years, female 232.4
GTEX-13112-0326-SM-5P9IW 50-59 years, male 232.1
GTEX-13OW6-0726-SM-5L3FX 50-59 years, male 231.5
GTEX-1KXAM-1726-SM-D3LAE 60-69 years, male 231.4
GTEX-18D9A-0126-SM-7KFSI 30-39 years, female 231.1
GTEX-SNOS-0226-SM-32PLR 40-49 years, male 231.1
GTEX-1GF9X-0126-SM-A9G38 40-49 years, female 231.0
GTEX-ZYT6-0426-SM-5GID3 30-39 years, male 230.7
GTEX-ZZPU-1326-SM-5GZWS 50-59 years, female 230.7
GTEX-13VXU-0826-SM-5KLZ2 50-59 years, male 230.5
GTEX-1QP9N-0126-SM-DPRZS 30-39 years, male 230.4
GTEX-1I6K6-0726-SM-B2LX4 30-39 years, male 230.2
GTEX-1RAZQ-0926-SM-EAZ4Q 30-39 years, male 229.9
GTEX-17F9Y-0526-SM-7EWDC 70-79 years, female 229.8
GTEX-1QPFJ-0626-SM-DTX7Y 30-39 years, female 229.8
GTEX-1H3VE-0826-SM-9KNVQ 40-49 years, male 229.7
GTEX-Z93S-0526-SM-EVYB4 50-59 years, male 229.6
GTEX-1F48J-0926-SM-7P8PZ 50-59 years, female 228.7
GTEX-1A3MV-0326-SM-73KW7 30-39 years, male 228.4
GTEX-R55G-0726-SM-2TC6J 40-49 years, female 228.4
GTEX-1RAZR-1126-SM-E6CRC 40-49 years, male 228.3
GTEX-1E1VI-0726-SM-7P8QJ 50-59 years, male 227.7
GTEX-1B933-1026-SM-7P8RO 50-59 years, female 227.5
GTEX-15CHR-1726-SM-7DUGW 50-59 years, male 226.6
GTEX-XUW1-1026-SM-4BONY 50-59 years, female 226.5
GTEX-WYJK-1626-SM-3NM9J 50-59 years, male 225.8
GTEX-TMMY-0826-SM-33HB9 40-49 years, female 225.6
GTEX-11ZVC-0126-SM-5986G 50-59 years, female 225.2
GTEX-P4QS-2626-SM-2I3EV 60-69 years, male 225.1
GTEX-OIZI-0726-SM-2XCEI 40-49 years, male 224.3
GTEX-14PHW-2926-SM-6AJBA 60-69 years, female 224.2
GTEX-YFC4-2626-SM-5P9FQ 40-49 years, female 224.1
GTEX-1GF9V-0926-SM-9KNW7 60-69 years, male 224.1
GTEX-1B8KE-0626-SM-7189H 50-59 years, male 223.8
GTEX-1CB4F-0826-SM-793CV 60-69 years, male 223.5
GTEX-1GZ4I-0626-SM-9WPPN 50-59 years, male 223.4
GTEX-WFJO-0226-SM-3GIKW 30-39 years, male 223.3
GTEX-1B97J-0626-SM-7P8RU 50-59 years, female 222.8
GTEX-1HBPH-0926-SM-A9SME 40-49 years, female 222.2
GTEX-QDT8-1226-SM-EVR35 30-39 years, female 222.0
GTEX-1IE54-0926-SM-A9G2Y 40-49 years, female 221.9
GTEX-13FLW-0326-SM-5J2M4 50-59 years, male 221.7
GTEX-1HFI6-1326-SM-A9SL8 40-49 years, male 220.8
GTEX-X261-0726-SM-EZ6MH 50-59 years, male 220.7
GTEX-11P7K-0226-SM-5986Z 30-39 years, male 220.1
GTEX-1IKOE-0926-SM-ARU7X 30-39 years, female 219.8
GTEX-1EH9U-0926-SM-7EWF1 60-69 years, male 219.7
GTEX-ZQUD-0126-SM-7EPIS 30-39 years, male 219.4
GTEX-ZTSS-0226-SM-59877 40-49 years, male 218.7
GTEX-P78B-0526-SM-2I5F7 40-49 years, female 218.5
GTEX-14PKU-0326-SM-6AJA7 40-49 years, female 218.3
GTEX-ZVT3-0726-SM-5GICN 60-69 years, female 218.3
GTEX-13RTJ-0326-SM-5YYAE 60-69 years, male 218.1
GTEX-YB5K-0526-SM-5LUAS 40-49 years, female 217.5
GTEX-1212Z-0426-SM-5FQT6 60-69 years, male 217.0
GTEX-X4XX-0926-SM-46MV7 60-69 years, male 217.0
GTEX-SE5C-0726-SM-4BRWY 40-49 years, female 216.7
GTEX-1I1GV-0726-SM-ARZLY 60-69 years, male 216.1
GTEX-1IL2V-0626-SM-ARU7S 70-79 years, male 216.0
GTEX-RU72-0126-SM-2TF6Z 50-59 years, female 215.9
GTEX-1CAMS-0826-SM-7P8P1 40-49 years, female 215.1
GTEX-17HHY-0826-SM-7EPID 50-59 years, male 213.6
GTEX-139UW-0126-SM-5KM1B 60-69 years, male 213.5
GTEX-1CB4I-0726-SM-7DUGS 50-59 years, male 213.4
GTEX-13OVI-0826-SM-5KLZ8 60-69 years, female 212.3
GTEX-WH7G-0526-SM-3NMBI 40-49 years, male 212.0
GTEX-RU1J-0226-SM-2TF5Y 20-29 years, female 211.3
GTEX-15RIE-0426-SM-7KUMH 60-69 years, male 211.0
GTEX-V1D1-0926-SM-4JBHQ 50-59 years, male 210.4
GTEX-1B8KZ-0426-SM-731DP 50-59 years, male 209.5
GTEX-1R9K5-0726-SM-EAZ4E 50-59 years, male 209.5
GTEX-1LGOU-0126-SM-EV79W 20-29 years, female 206.6
GTEX-ZDXO-1726-SM-5HL6L 60-69 years, male 206.5
GTEX-OHPK-2626-SM-2HMK9 50-59 years, female 206.3
GTEX-117YW-0126-SM-5EGGN 50-59 years, male 206.1
GTEX-R55E-0826-SM-2TC5M 20-29 years, male 205.2
GTEX-11DXZ-0926-SM-5N9CG 50-59 years, male 204.5
GTEX-1LG7Y-0626-SM-DHXJM 50-59 years, male 204.2
GTEX-WL46-0126-SM-3TW8I 50-59 years, male 204.0
GTEX-16NGA-0326-SM-718AJ 40-49 years, female 203.3
GTEX-17F9E-0626-SM-79ON5 50-59 years, male 203.1
GTEX-18QFQ-0726-SM-7LG6D 30-39 years, male 203.0
GTEX-13N11-1026-SM-5K7XQ 50-59 years, female 202.8
GTEX-15DDE-0626-SM-69LOK 50-59 years, female 202.8
GTEX-WHSB-1626-SM-3LK6J 50-59 years, male 202.1
GTEX-1GN2E-0826-SM-9WYT8 60-69 years, male 201.4
GTEX-131YS-0726-SM-5P9G9 60-69 years, female 200.4
GTEX-1KD4Q-1026-SM-CXZKJ 40-49 years, male 200.3
GTEX-ZTX8-0626-SM-59HKC 20-29 years, male 199.9
GTEX-17F96-0526-SM-79OLE 70-79 years, male 198.1
GTEX-13OW7-0826-SM-5L3EL 50-59 years, male 197.1
GTEX-13IVO-0926-SM-5KLZP 70-79 years, male 197.0
GTEX-ZGAY-1026-SM-4WWBR 40-49 years, female 196.9
GTEX-145LT-0226-SM-5S2QK 40-49 years, male 196.8
GTEX-ZYW4-1126-SM-5SI99 60-69 years, male 196.6
GTEX-1B8L1-1626-SM-7IGMH 60-69 years, male 196.3
GTEX-17EVQ-0526-SM-7KFSK 70-79 years, male 195.4
GTEX-1477Z-0226-SM-5TDCI 60-69 years, male 193.8
GTEX-PLZ4-1226-SM-2I5FE 50-59 years, female 193.4
GTEX-14C5O-0826-SM-5TDEG 60-69 years, male 193.1
GTEX-17EVP-0126-SM-7EPHW 40-49 years, male 193.1
GTEX-1A8FM-0726-SM-7DUGK 50-59 years, female 192.6
GTEX-1A8G7-1026-SM-73KVA 60-69 years, male 191.8
GTEX-1R9PM-0226-SM-DPRY7 20-29 years, male 190.7
GTEX-X4LF-0426-SM-3NMB5 50-59 years, male 190.6
GTEX-Y8E4-0126-SM-4VBQ2 40-49 years, male 190.5
GTEX-UJMC-0326-SM-3GAE2 50-59 years, male 189.4
GTEX-1CAMQ-1126-SM-7EWFE 40-49 years, male 189.2
GTEX-1R9JW-0226-SM-EVR4K 30-39 years, female 188.2
GTEX-RN64-0626-SM-2TC5V 50-59 years, male 188.0
GTEX-U4B1-0626-SM-3DB8L 40-49 years, male 187.5
GTEX-PWN1-2626-SM-2I3FH 40-49 years, female 186.1
GTEX-R53T-0526-SM-3GADL 50-59 years, female 185.7
GTEX-QXCU-0326-SM-2TC63 50-59 years, male 185.2
GTEX-11GSO-0626-SM-5A5LW 60-69 years, male 185.0
GTEX-ZLFU-0626-SM-4WWBO 40-49 years, male 184.8
GTEX-QV44-0826-SM-2S1RG 50-59 years, male 184.5
GTEX-14AS3-0226-SM-5Q5B6 40-49 years, female 184.0
GTEX-Q734-0526-SM-2I3EH 40-49 years, female 182.5
GTEX-RM2N-0526-SM-2TF4N 50-59 years, male 181.8
GTEX-13FLV-0226-SM-5J2OF 50-59 years, male 179.6
GTEX-PX3G-2626-SM-2I3EG 20-29 years, female 178.7
GTEX-1AX9I-0626-SM-72D54 60-69 years, male 178.1
GTEX-1J1R8-0126-SM-CJI36 40-49 years, male 176.7
GTEX-REY6-0526-SM-2TF5M 60-69 years, male 173.8
GTEX-1QW4Y-0226-SM-EAZ3U 30-39 years, male 173.6
GTEX-13OVK-0226-SM-6M472 40-49 years, male 172.9
GTEX-OOBJ-2626-SM-2I3F6 60-69 years, male 171.9
GTEX-13NZ8-0226-SM-5J2OK 60-69 years, female 171.2
GTEX-1IL2U-0826-SM-CL53Q 60-69 years, male 170.4
GTEX-15ER7-0726-SM-7KUMF 20-29 years, female 167.1
GTEX-SJXC-0726-SM-2XCFJ 60-69 years, male 165.4
GTEX-RNOR-0926-SM-2TF56 50-59 years, female 164.1
GTEX-14ICL-0426-SM-5RQJ3 30-39 years, male 161.8
GTEX-17HHE-0426-SM-79OK3 50-59 years, male 159.1
GTEX-11NSD-0126-SM-5987F 20-29 years, male 158.0
GTEX-1211K-0726-SM-5FQUW 60-69 years, female 156.9
GTEX-1AX9J-2126-SM-731DD 60-69 years, male 156.8
GTEX-NFK9-0726-SM-2HMJW 40-49 years, male 148.1
GTEX-1PPH8-0926-SM-DTX9U 20-29 years, male 146.7
GTEX-Q2AG-0826-SM-2HMKF 40-49 years, female 125.7
Show allShow less

THYROID GLAND - FANTOM5 CAGEi

RNA expression in human tissues obtained through Cap Analysis of Gene Expression (CAGE) generated by the FANTOM5 project are reported as Scaled Tags Per Million.

Max subtype Scaled Tags Per Millioni

Max subtype Scaled Tags Per Million is the value for the subtype with the largest average Scaled Tags Per Million across the subtype samples.

629.8
FANTOM5 sample id Sample description Scaled Tags Per Million
Thyroid
Scaled Tags Per Million: 629.8
FF:10028-101E1 67,68,78 years, mixed 629.8

Contact

  • NEWS ARTICLES
  • PRESS ROOM

The Project

  • INTRODUCTION
  • ORGANIZATION
  • PUBLICATIONS

The Human Protein Atlas

  • DOWNLOADABLE DATA
  • LICENCE & CITATION
  • HELP & FAQ
The Human Protein Atlas project is funded
by the Knut & Alice Wallenberg Foundation.


contact@proteinatlas.org