We use cookies to enhance the usability of our website. If you continue, we'll assume that you are happy to receive all cookies. More information. Don't show this again.
S100A11
HPA
RESOURCES
  • TISSUE
  • BRAIN
  • SINGLE CELL
  • SUBCELLULAR
  • CANCER
  • BLOOD
  • CELL LINE
  • STRUCTURE & INTERACTION
ABOUT
  • INTRODUCTION
  • HISTORY
  • ORGANIZATION
  • PUBLICATIONS
  • ANTIBODY SUBMISSION
  • ANTIBODY AVAILABILITY
  • ACKNOWLEDGMENTS
  • CONTACT
NEWS
  • NEWS ARTICLES
  • PRESS ROOM
LEARN
  • DICTIONARY
  • PROTEIN CLASSES
  • PROTEIN EVIDENCE
  • METHODS
  • EDUCATIONAL VIDEOS
DATA
  • DOWNLOADABLE DATA
  • PUBLICATION DATA
  • RELEASE HISTORY
HELP
  • ANTIBODY VALIDATION
  • ASSAYS & ANNOTATION
  • DISCLAIMER
  • HELP & FAQ
  • PRIVACY STATEMENT
  • LICENCE & CITATION
Fields »
Search result

Field
Term
Gene name
Class
Subclass
Class
Keyword
Chromosome
External id
Tissue
Cell type
Expression
Antibody panel
Tissue
Main location
Patient ID
Annotation
Tissue
Category
Tau score
Cluster
Reliability
Brain region
Category
Tau score
Brain region
Category
Tau score
Brain region
Category
Tau score
Cluster
Reliability
Tissue
Cell type
Enrichment
Cell type
Category
Tau score
Cell type
Category
Tau score
Cell type
Category
Tau score
Cell lineage
Category
Tau score
Cluster
Cluster
Location
Searches
Location
Cell line
Class
Type
Phase
Reliability
Cancer
Prognosis
Cancer
Category
Cancer
Category
Tau score
Cluster
Variants
Interacting gene (ensg_id)
Type
Number of interactions
Pathway
Category
Score
Score
Score
Validation
Validation
Validation
Validation
Antibodies
Data type
Column


  • SUMMARY

  • TISSUE

  • BRAIN

  • SINGLE CELL

  • SUBCELL

  • CANCER

  • BLOOD

  • CELL LINE

  • STRUCT & INT

  • S100A11
TISSUE PRIMARY DATA STOMACH Show tissue menu
ADIPOSE TISSUE ADRENAL GLAND AMYGDALA APPENDIX BASAL GANGLIA BONE MARROW BREAST BRONCHUS CEREBELLUM CEREBRAL CORTEX CERVIX CHOROID PLEXUS COLON DUODENUM
ENDOMETRIUM EPIDIDYMIS ESOPHAGUS FALLOPIAN TUBE GALLBLADDER HEART MUSCLE HIPPOCAMPAL FORMATION HYPOTHALAMUS KIDNEY LIVER LUNG LYMPH NODE MIDBRAIN NASOPHARYNX
ORAL MUCOSA OVARY PANCREAS PARATHYROID GLAND PITUITARY GLAND PLACENTA PROSTATE RECTUM RETINA SALIVARY GLAND SEMINAL VESICLE SKELETAL MUSCLE SKIN SMALL INTESTINE
SMOOTH MUSCLE SOFT TISSUE SPINAL CORD SPLEEN STOMACH TESTIS THYMUS THYROID GLAND TONGUE TONSIL URINARY BLADDER VAGINA
ANTIBODIES
AND
VALIDATION
Dictionary
Tissue proteome
Stomach
STOMACH - Expression summary
Protein expression
Stomachi

On the top, protein expression in current human tissue, based on all annotated cell types, is reported with the units not detected (n), low (l), medium (m) and high (h). Underneath, protein expression in each annotated cell type are reported using the same units.

Protein expression data is based on knowledge-based annotation. For genes where more than one antibody has been used, a collective score is set.

If knowledge-based annotation could not be performed for a gene, no data is displayed here. View antibody staining data further down this page.

h
m
l
n
Glandular cells: Medium
RNA expressioni

A summary of mRNA expression data available for current tissue based on several datasets. The mRNA expression levels in human tissues are based on RNA-seq data generated by the Human Protein Atlas (HPA), Genotype-Tissue Expression (GTEx) portal and CAGE data generated by the FANTOM5 consortium. Consensus normalized expression levels for human tissues was created by combining the data from HPA and GTEx datasets.

The mRNA expression levels in pig are based on RNA-seq data generated by the Human Protein Atlas (HPA), and for mouse, HPA data and in situ hybridization generated by the Allen brain atlas are reported.

Scroll down to view mRNA expression data in more detail.
Consensus:469.1 nTPM
HPA:469.1 nTPM
GTEx:453.3 nTPM

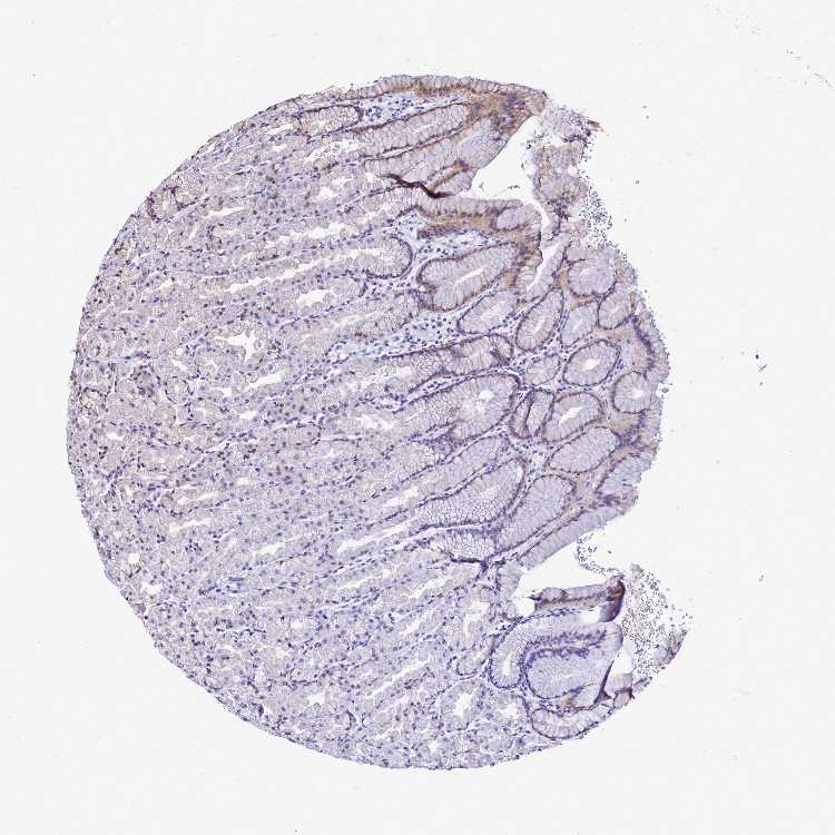
STOMACH 1 - Antibody stainingi

Antibody staining in the annotated cell types in the current human tissue is reported as not detected, low, medium, or high, based on conventional immunohistochemistry profiling in selected tissues. This score is based on the combination of the staining intensity and fraction of stained cells.

Each image is clickable and will lead to virtual microscopy that enables deeper exploration of all samples and also displays staining intensity scores, fraction scores and subcellular localization as well as patient and tissue information for each sample.

Antibody HPA042745Antibody CAB034320
Glandular cells LowLow


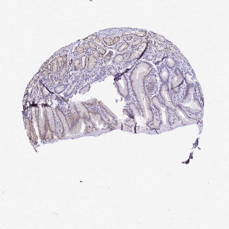
STOMACH 2 - Antibody stainingi

Antibody staining in the annotated cell types in the current human tissue is reported as not detected, low, medium, or high, based on conventional immunohistochemistry profiling in selected tissues. This score is based on the combination of the staining intensity and fraction of stained cells.

Each image is clickable and will lead to virtual microscopy that enables deeper exploration of all samples and also displays staining intensity scores, fraction scores and subcellular localization as well as patient and tissue information for each sample.

Antibody HPA042745Antibody CAB034320
Glandular cells MediumMedium





STOMACH - HPA RNA-seqi

The RNA-seq details section shows detailed information about the individual samples used for the transcript profiling and results of the RNA-seq analysis.

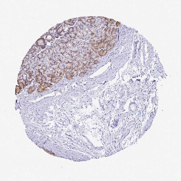
Information about each individual sample is listed below, including gender, age, a tissue section image and estimated fractions of cell types. nTPM (normalized transcripts per million) values give a quantification of the gene abundance which is comparable between different genes and samples.
Average nTPMi

Max subtype nTPM is the value for the subtype with the largest average nTPM across the subtype samples.

469.1
overview
Female, age 33
Stomach sample 61
nTPM: 301.3
Cell types%
Glandular cells:
60

Smooth muscle cells:
5

Other cell types:
35

N/A
Male, age 82
Stomach sample 240
nTPM: 290.4
Cell types%
Glandular cells:
65

Smooth muscle cells:
5

Other cell types:
30

overview
Male, age 71
Stomach sample 241
nTPM: 878.1
Cell types%
Glandular cells:
50

Smooth muscle cells:
5

Other cell types:
45

overview
Female, age 66
Stomach sample 369
nTPM: 406.6
Cell types%
Glandular cells:
50

Smooth muscle cells:
10

Other cell types:
40


STOMACH - GTEx RNA-seqi

RNA-Seq data generated by the Genotype-Tissue Expression (GTEx) project from human tissues is reported as mean nTPM. More information can be found on the GTEx portal.

Distribution across the dataset is visualized with box plots, shown as median and 25th and 75th percentiles. Points are displayed as outliers if they are above or below 1.5 times the interquartile range. nTPM values of the individual samples are presented next to the box plot.
Max subtype nTPMi

Max subtype nTPM is the value for the subtype with the largest average nTPM across the subtype samples.

453.3
GTEx sample id Sample description nTPM
Stomach
Average nTPM: 453.3
Samples: 359

Max nTPM: 1993.0
Min nTPM: 123.4
Std nTPM: 242.8
Median nTPM: 383.0
GTEX-11NUK-2426-SM-5BC4U 50-59 years, male 1993.0
GTEX-ZYY3-1726-SM-5EGH3 60-69 years, female 1580.7
GTEX-15G19-1526-SM-6LPKP 60-69 years, male 1542.7
GTEX-WHPG-0426-SM-4M1XW 50-59 years, male 1472.9
GTEX-12BJ1-1726-SM-5HL9B 60-69 years, male 1327.1
GTEX-13OW6-2526-SM-5IJEC 50-59 years, male 1286.5
GTEX-U4B1-1026-SM-4DXT1 40-49 years, male 1143.9
GTEX-131XG-1226-SM-5EGH9 50-59 years, female 1125.5
GTEX-Y5LM-1326-SM-5RQIS 40-49 years, female 1050.5
GTEX-POMQ-0826-SM-3P61H 20-29 years, female 1043.6
GTEX-17EUY-1526-SM-793CA 20-29 years, male 996.0
GTEX-1JMPZ-1826-SM-CXZJT 30-39 years, male 986.1
GTEX-ZYVF-2726-SM-5GID4 50-59 years, female 975.5
GTEX-18A67-2626-SM-718AD 50-59 years, male 947.9
GTEX-1GMRU-2526-SM-9WG7T 50-59 years, male 941.7
GTEX-13PVQ-2126-SM-5L3FW 50-59 years, male 936.9
GTEX-11TT1-0726-SM-5GU5A 20-29 years, male 929.7
GTEX-QCQG-0526-SM-48U2A 50-59 years, female 912.6
GTEX-Q2AH-1126-SM-48TZM 40-49 years, male 909.8
GTEX-13S7M-1826-SM-5RQK6 60-69 years, female 904.2
GTEX-1JKYN-1726-SM-AHZ48 30-39 years, male 876.7
GTEX-11GSP-2126-SM-5HL5E 60-69 years, female 868.4
GTEX-QDVJ-1426-SM-48U1Y 50-59 years, male 857.2
GTEX-QDVN-1226-SM-48TZ5 50-59 years, male 838.9
GTEX-18D9B-2226-SM-718BM 60-69 years, male 823.3
GTEX-ZVT3-2126-SM-59HL2 60-69 years, female 821.7
GTEX-15G1A-1226-SM-7KUF3 30-39 years, male 816.2
GTEX-1L5NE-1526-SM-DIPFW 50-59 years, male 807.8
GTEX-1F5PL-1426-SM-7MKFH 40-49 years, female 807.4
GTEX-1MJIX-1126-SM-EV7AO 40-49 years, male 802.4
GTEX-ZLWG-1526-SM-DO12F 50-59 years, female 799.2
GTEX-131XF-1226-SM-5HL8V 60-69 years, male 797.9
GTEX-15SHW-2126-SM-6M46Y 60-69 years, male 797.1
GTEX-Y3IK-1426-SM-4YCES 50-59 years, female 797.1
GTEX-146FH-2126-SM-5SI9U 50-59 years, female 794.9
GTEX-1I6K7-1726-SM-B2LXQ 40-49 years, male 790.5
GTEX-1NSGN-1926-SM-E9J36 50-59 years, male 773.7
GTEX-WHSB-1226-SM-4M1XR 50-59 years, male 758.4
GTEX-1LGRB-1726-SM-CNNRA 50-59 years, female 757.6
GTEX-1IDJD-2426-SM-C1YS6 30-39 years, male 744.4
GTEX-1JMLX-2426-SM-CXZJQ 50-59 years, male 742.4
GTEX-17HGU-2126-SM-7IGOV 50-59 years, male 739.3
GTEX-12WSJ-0926-SM-5P9JD 40-49 years, female 718.8
GTEX-ZY6K-0726-SM-5A5L8 50-59 years, male 707.9
GTEX-117YW-2226-SM-5N9DB 50-59 years, male 706.1
GTEX-QMRM-1126-SM-447BN 50-59 years, male 699.5
GTEX-1F75I-1826-SM-7MKGX 40-49 years, male 695.6
GTEX-WFG7-1326-SM-4LMK1 20-29 years, male 694.4
GTEX-144GM-1726-SM-5O9AS 20-29 years, male 678.8
GTEX-XV7Q-1326-SM-4BRWM 40-49 years, female 678.3
GTEX-13CF3-1926-SM-5K7WF 60-69 years, female 676.9
GTEX-WFG8-1326-SM-4LVN3 20-29 years, male 675.4
GTEX-13X6H-1626-SM-5Q5CT 50-59 years, female 671.7
GTEX-132AR-2426-SM-5IFFD 50-59 years, female 664.9
GTEX-13X6J-2126-SM-5TDCV 50-59 years, male 664.5
GTEX-S4P3-0726-SM-4AD57 50-59 years, female 663.2
GTEX-1KANA-1126-SM-D3L9M 20-29 years, male 651.7
GTEX-14PKV-1826-SM-69LO9 20-29 years, female 647.9
GTEX-13FTW-1726-SM-5KM2B 40-49 years, male 647.4
GTEX-1RAZR-1526-SM-EAZ4U 40-49 years, male 645.7
GTEX-P4QT-1526-SM-3NMCT 50-59 years, female 642.7
GTEX-1QP29-2326-SM-EXOJO 50-59 years, male 641.0
GTEX-15UF7-1226-SM-6M46G 40-49 years, male 640.8
GTEX-T8EM-1226-SM-4DM5J 40-49 years, male 637.8
GTEX-1H3VY-2326-SM-9WG81 50-59 years, male 631.3
GTEX-1HCUA-1626-SM-A9SMG 50-59 years, female 629.8
GTEX-18A7A-2726-SM-7LG6U 50-59 years, female 626.5
GTEX-117YX-1026-SM-5H11V 50-59 years, male 616.9
GTEX-1MUQO-1926-SM-EAZ59 60-69 years, male 615.6
GTEX-SNMC-0626-SM-4DM6H 20-29 years, male 615.2
GTEX-1GN1W-2126-SM-9JGI7 50-59 years, female 614.5
GTEX-15RIF-1126-SM-7KUG2 20-29 years, male 612.0
GTEX-PWN1-1526-SM-48TDA 40-49 years, female 602.7
GTEX-Q2AI-0826-SM-48TZO 40-49 years, male 594.8
GTEX-RTLS-2626-SM-46MUJ 60-69 years, female 594.2
GTEX-UPK5-2126-SM-4JBJK 40-49 years, male 591.6
GTEX-17MF6-2126-SM-7KFS7 40-49 years, male 587.9
GTEX-13O21-0926-SM-5IFGT 50-59 years, male 578.9
GTEX-OHPK-1526-SM-3MJGM 50-59 years, female 569.5
GTEX-R55C-1026-SM-48FCM 40-49 years, male 564.3
GTEX-1HBPI-0726-SM-9WG7Z 50-59 years, male 558.8
GTEX-WXYG-1626-SM-4ONCR 50-59 years, female 557.5
GTEX-14PHX-1026-SM-664OL 50-59 years, male 549.4
GTEX-12WSD-2326-SM-59HKQ 60-69 years, female 547.3
GTEX-14PJ4-1626-SM-664OB 60-69 years, male 543.0
GTEX-V1D1-1726-SM-4JBHB 50-59 years, male 539.8
GTEX-1MCYP-1126-SM-E9J2P 20-29 years, female 539.5
GTEX-P4PP-1526-SM-3P61M 30-39 years, female 538.9
GTEX-YFCO-0826-SM-5LUAG 40-49 years, male 536.8
GTEX-VJYA-1026-SM-4KL21 60-69 years, male 534.5
GTEX-139YR-1926-SM-5LZXM 50-59 years, male 533.3
GTEX-1JK1U-1326-SM-AHZ45 60-69 years, male 528.8
GTEX-15DZA-1126-SM-6LPK8 30-39 years, female 523.6
GTEX-XMK1-1526-SM-EYYVO 40-49 years, male 523.1
GTEX-1399S-1626-SM-5P9GI 30-39 years, female 520.2
GTEX-SNOS-0826-SM-4DM5N 40-49 years, male 520.0
GTEX-133LE-1326-SM-5IFGO 20-29 years, female 516.1
GTEX-14B4R-0726-SM-5TDDR 30-39 years, male 513.8
GTEX-OHPM-1526-SM-EV796 50-59 years, male 512.3
GTEX-1IDJU-1526-SM-CNNR3 60-69 years, female 512.0
GTEX-1JMPY-0926-SM-ARL92 30-39 years, male 511.9
GTEX-1I4MK-0926-SM-A9SLD 50-59 years, female 510.7
GTEX-1HBPN-1626-SM-9WPNP 50-59 years, male 508.3
GTEX-ZGAY-1626-SM-DNZZ3 40-49 years, female 504.4
GTEX-11DXX-1326-SM-5GIDZ 60-69 years, female 503.1
GTEX-S4Q7-0726-SM-4AD5F 20-29 years, male 501.9
GTEX-RUSQ-1126-SM-EAZAU 50-59 years, male 499.9
GTEX-1JN1M-2926-SM-CNNPJ 60-69 years, female 497.2
GTEX-WH7G-1526-SM-4LVMX 40-49 years, male 491.9
GTEX-1H1DE-1226-SM-9JGHH 20-29 years, male 491.3
GTEX-1QCLY-1126-SM-EAZ4J 30-39 years, male 489.3
GTEX-1HCU8-1326-SM-C1YQQ 60-69 years, female 488.9
GTEX-S341-0626-SM-4AD5T 40-49 years, female 488.7
GTEX-111CU-0926-SM-5EGIK 50-59 years, male 487.9
GTEX-13RTK-0226-SM-5RQHR 20-29 years, male 481.1
GTEX-1R7EU-1126-SM-EAZ4M 60-69 years, male 476.8
GTEX-ZVZP-1726-SM-5GZWY 50-59 years, male 472.4
GTEX-PLZ5-1226-SM-EXOHA 50-59 years, male 471.3
GTEX-13FTX-0726-SM-5N9BI 20-29 years, female 469.7
GTEX-18A66-2226-SM-7189E 60-69 years, male 468.9
GTEX-145ME-1026-SM-5O9B4 40-49 years, female 466.4
GTEX-YJ8A-1526-SM-5P9FT 20-29 years, male 466.3
GTEX-1HSEH-1526-SM-B2LXG 60-69 years, male 465.5
GTEX-Y3I4-1626-SM-4TT7W 50-59 years, male 465.1
GTEX-1GF9U-1126-SM-AHZ4H 40-49 years, female 465.0
GTEX-1B97J-1826-SM-7IGPP 50-59 years, female 461.4
GTEX-R55G-1126-SM-48FDG 40-49 years, female 460.3
GTEX-ZV6S-0926-SM-57WGB 40-49 years, female 459.9
GTEX-1R9K5-1026-SM-EAZ4F 50-59 years, male 459.1
GTEX-ZQUD-0826-SM-57WDQ 30-39 years, male 458.4
GTEX-13U4I-2526-SM-5SI8Z 40-49 years, female 452.4
GTEX-16AAH-1226-SM-79OO9 50-59 years, male 451.5
GTEX-WY7C-1726-SM-4ONCC 50-59 years, male 447.5
GTEX-WYJK-2526-SM-4ONDF 50-59 years, male 446.6
GTEX-1C475-1026-SM-7MKFJ 40-49 years, female 441.7
GTEX-145MN-1326-SM-5NQ9S 30-39 years, male 434.9
GTEX-1S82Z-1726-SM-E6CHZ 30-39 years, female 434.8
GTEX-TMMY-1626-SM-4DXTY 40-49 years, female 434.4
GTEX-15DCE-1626-SM-6LPJM 20-29 years, male 431.8
GTEX-RM2N-0826-SM-48FD3 50-59 years, male 431.5
GTEX-14DAR-0926-SM-73KUQ 50-59 years, male 431.0
GTEX-1QPFJ-1526-SM-DPRXT 30-39 years, female 429.8
GTEX-1AYCT-1326-SM-7MKHB 50-59 years, male 428.8
GTEX-17F98-1526-SM-7EWD8 40-49 years, female 428.4
GTEX-1H23P-2726-SM-9JGHN 60-69 years, male 428.4
GTEX-17F9E-2226-SM-7IGNC 50-59 years, male 427.7
GTEX-13D11-2126-SM-5IFH2 50-59 years, female 427.6
GTEX-YEC4-1426-SM-5IFHS 40-49 years, male 426.2
GTEX-1B8KZ-1226-SM-793CP 50-59 years, male 425.6
GTEX-1A8G6-1426-SM-731EZ 60-69 years, male 425.0
GTEX-P78B-1826-SM-3P5YX 40-49 years, female 424.2
GTEX-1S831-1126-SM-EWROI 20-29 years, male 422.8
GTEX-ZVP2-1626-SM-5GU5D 50-59 years, male 422.4
GTEX-QDT8-2026-SM-EZ6LS 30-39 years, female 422.2
GTEX-1KXAM-0926-SM-CXZKA 60-69 years, male 421.7
GTEX-14E6E-0926-SM-664N8 30-39 years, male 421.1
GTEX-1MGNQ-1826-SM-DPRYI 40-49 years, male 417.9
GTEX-14BMU-1126-SM-5RQJ8 20-29 years, female 415.4
GTEX-1F5PK-1826-SM-7RHHX 50-59 years, male 414.9
GTEX-1QMI2-2126-SM-DPRXQ 60-69 years, male 411.1
GTEX-144GN-1226-SM-5O991 50-59 years, male 406.9
GTEX-1A3MV-1226-SM-718BW 30-39 years, male 405.8
GTEX-WRHK-0626-SM-4MVOE 20-29 years, female 404.8
GTEX-ZA64-0826-SM-5HL9U 20-29 years, male 404.1
GTEX-WFJO-1126-SM-4LVLZ 30-39 years, male 403.8
GTEX-18D9A-0626-SM-7KFTY 30-39 years, female 403.3
GTEX-T6MO-0726-SM-4DM58 40-49 years, female 399.4
GTEX-1LBAC-1426-SM-CXZKT 20-29 years, male 399.4
GTEX-1CAMR-0726-SM-7EPIE 20-29 years, male 396.6
GTEX-17JCI-2226-SM-7LTA1 60-69 years, female 395.5
GTEX-T5JW-0926-SM-4DM5K 20-29 years, female 393.8
GTEX-1122O-1926-SM-5EGIQ 60-69 years, female 392.9
GTEX-OXRL-1526-SM-E6CHQ 50-59 years, male 391.7
GTEX-Y8LW-0826-SM-4WWDO 50-59 years, female 390.4
GTEX-ZPIC-2026-SM-57WG3 40-49 years, female 389.8
GTEX-1AMEY-1226-SM-731DU 30-39 years, female 389.0
GTEX-QLQ7-0826-SM-447B3 60-69 years, male 388.7
GTEX-ZE7O-3026-SM-51MS4 50-59 years, female 384.9
GTEX-ZPU1-1626-SM-4WWB2 40-49 years, male 384.1
GTEX-13113-0726-SM-5LZUF 60-69 years, female 383.0
GTEX-Y9LG-1026-SM-5IFJN 30-39 years, male 382.8
GTEX-1HR9M-2326-SM-CNPPZ 60-69 years, male 382.0
GTEX-11NSD-1426-SM-5HL67 20-29 years, male 381.1
GTEX-1HFI7-1526-SM-9WG7W 50-59 years, female 380.6
GTEX-17GQL-1226-SM-7KFTS 60-69 years, male 380.1
GTEX-1399R-1126-SM-5IFIO 30-39 years, male 380.0
GTEX-1AX9J-2626-SM-731EK 60-69 years, male 377.8
GTEX-ZLFU-1326-SM-DO11R 40-49 years, male 376.3
GTEX-XBED-1226-SM-4AT5V 60-69 years, male 376.2
GTEX-14PHY-0926-SM-5ZZWL 60-69 years, female 375.5
GTEX-15RIE-1026-SM-6LPJQ 60-69 years, male 374.2
GTEX-17KNJ-1526-SM-7LTA9 50-59 years, male 373.3
GTEX-14BMV-2226-SM-5RQHX 50-59 years, male 372.9
GTEX-UJHI-1026-SM-4IHJP 50-59 years, female 372.4
GTEX-12C56-0526-SM-5FQST 20-29 years, male 371.7
GTEX-1EH9U-2226-SM-7PBXX 60-69 years, male 371.5
GTEX-15EU6-2526-SM-7KUGB 50-59 years, male 370.4
GTEX-14PJ3-1426-SM-664O8 50-59 years, male 370.1
GTEX-ZZPU-1426-SM-5GZZ6 50-59 years, female 366.4
GTEX-1LSNM-1026-SM-DHXL2 50-59 years, male 364.4
GTEX-1RB15-1026-SM-E9U6V 60-69 years, male 362.6
GTEX-QXCU-1926-SM-48FE4 50-59 years, male 362.2
GTEX-ZDYS-1926-SM-5HL59 50-59 years, male 360.6
GTEX-Q734-1026-SM-48U16 40-49 years, female 360.0
GTEX-11I78-1726-SM-5A5M3 50-59 years, female 357.9
GTEX-14JG6-1226-SM-664O6 30-39 years, female 356.4
GTEX-1A3MX-1926-SM-72D7F 60-69 years, male 355.8
GTEX-OIZH-1526-SM-3NB1J 50-59 years, male 355.3
GTEX-132QS-1826-SM-5IFFN 60-69 years, male 354.0
GTEX-PW2O-1226-SM-48TCH 20-29 years, male 354.0
GTEX-1N2DV-0926-SM-E9TJT 40-49 years, male 353.5
GTEX-1LG7Z-1226-SM-DHXK4 30-39 years, male 353.0
GTEX-S3XE-1026-SM-4AD4O 50-59 years, male 350.5
GTEX-ZXES-1426-SM-5NQ8S 30-39 years, female 350.5
GTEX-ZF29-1526-SM-4WKF7 60-69 years, female 349.8
GTEX-OOBJ-1526-SM-3NB1Q 60-69 years, male 349.2
GTEX-RWS6-0926-SM-47JXE 60-69 years, female 348.4
GTEX-U3ZN-2026-SM-4DXUC 30-39 years, female 346.7
GTEX-Y114-1226-SM-4TT88 50-59 years, female 345.3
GTEX-14PJ5-0826-SM-6AJAR 60-69 years, female 342.6
GTEX-146FR-2026-SM-5NQAI 60-69 years, female 341.4
GTEX-1211K-1426-SM-5FQTF 60-69 years, female 341.2
GTEX-R55D-1526-SM-48FEJ 50-59 years, male 340.5
GTEX-13OVK-0926-SM-7KUFX 40-49 years, male 340.4
GTEX-YB5E-1126-SM-664NU 40-49 years, male 339.8
GTEX-ZZ64-0426-SM-5E43F 20-29 years, male 339.2
GTEX-1H1DG-2126-SM-9WPPB 70-79 years, male 339.0
GTEX-11EI6-2426-SM-5PNVS 60-69 years, male 337.6
GTEX-ZP4G-1226-SM-4WWCJ 20-29 years, female 337.3
GTEX-ZLV1-0826-SM-DO11P 60-69 years, female 336.3
GTEX-XUZC-0726-SM-4BOPH 30-39 years, female 334.4
GTEX-ZYFG-1326-SM-5GICJ 60-69 years, female 333.5
GTEX-WEY5-1226-SM-4LMIQ 40-49 years, female 333.4
GTEX-14E1K-1526-SM-664MN 50-59 years, male 332.9
GTEX-1CB4E-1326-SM-7DUGD 60-69 years, male 331.1
GTEX-17HHE-1026-SM-79ON6 50-59 years, male 330.9
GTEX-1PIGE-1126-SM-EWRMV 20-29 years, male 330.8
GTEX-1LVAN-2426-SM-CNNPZ 50-59 years, female 329.4
GTEX-1B8KE-1326-SM-73KVI 50-59 years, male 329.0
GTEX-11P82-0726-SM-5PNYL 20-29 years, male 328.8
GTEX-XAJ8-0326-SM-47JYI 40-49 years, male 328.4
GTEX-1339X-1426-SM-5K7YO 40-49 years, male 328.2
GTEX-O5YW-1526-SM-3MJGL 50-59 years, male 325.6
GTEX-11EQ9-1226-SM-5987E 30-39 years, male 324.9
GTEX-QV31-0626-SM-447C5 30-39 years, male 324.5
GTEX-13FH7-1026-SM-5IJGF 50-59 years, female 323.1
GTEX-111YS-1126-SM-5GZYQ 60-69 years, male 323.0
GTEX-S95S-0826-SM-4B64N 60-69 years, male 322.6
GTEX-13OVI-2426-SM-5KM4J 60-69 years, female 321.9
GTEX-P4PQ-1526-SM-3NMCK 60-69 years, male 321.9
GTEX-V955-1326-SM-4JBHR 60-69 years, male 321.2
GTEX-1GL5R-1926-SM-9WG7U 50-59 years, male 320.9
GTEX-ZEX8-1626-SM-4WKG7 50-59 years, male 318.5
GTEX-WFON-1126-SM-4LVMA 40-49 years, male 316.9
GTEX-QV44-1226-SM-CJI1S 50-59 years, male 313.1
GTEX-11EM3-1026-SM-5A5KL 20-29 years, female 313.0
GTEX-ZV7C-1626-SM-5NQ7E 50-59 years, male 311.6
GTEX-13QJ3-2726-SM-5SI6L 50-59 years, male 310.8
GTEX-XBEW-1826-SM-4RTWX 40-49 years, male 309.7
GTEX-11VI4-0326-SM-5EQ6L 40-49 years, female 308.6
GTEX-QLQW-0726-SM-447AA 30-39 years, male 308.5
GTEX-1PPH8-1326-SM-DTXFO 20-29 years, male 306.2
GTEX-1IL2V-2026-SM-ARZMA 70-79 years, male 301.8
GTEX-1I1GT-1726-SM-C1YS3 60-69 years, female 299.8
GTEX-PWCY-0926-SM-48TD7 20-29 years, female 299.4
GTEX-14PJ6-0826-SM-686Z9 60-69 years, female 298.6
GTEX-1H11D-2226-SM-9OSXN 40-49 years, male 296.5
GTEX-ZF2S-1426-SM-57WET 50-59 years, female 294.7
GTEX-Y8E4-1526-SM-4WWDI 40-49 years, male 293.3
GTEX-18QFQ-1226-SM-718AE 30-39 years, male 292.3
GTEX-S7SF-0626-SM-4AD4V 20-29 years, female 289.9
GTEX-1E1VI-2826-SM-7MGWU 50-59 years, male 289.9
GTEX-139D8-2326-SM-5IFGE 30-39 years, female 288.4
GTEX-1J8EW-2226-SM-AHZ3T 60-69 years, female 288.3
GTEX-1RMOY-1126-SM-EV79E 50-59 years, male 287.2
GTEX-1B97I-1226-SM-7MGWQ 40-49 years, male 285.9
GTEX-13O61-1126-SM-5L3FI 60-69 years, male 285.7
GTEX-14PKU-1126-SM-69LOU 40-49 years, female 284.6
GTEX-14ICL-0826-SM-5YY9W 30-39 years, male 282.1
GTEX-1LGOU-1526-SM-D3LAJ 20-29 years, female 281.0
GTEX-SUCS-0926-SM-4DM4Z 70-79 years, male 280.0
GTEX-NFK9-1526-SM-3LK7B 40-49 years, male 277.4
GTEX-1RQEC-2126-SM-DPS15 60-69 years, male 276.8
GTEX-1E2YA-2426-SM-7EPIG 50-59 years, male 275.6
GTEX-1HKZK-1526-SM-B2LWG 40-49 years, male 273.2
GTEX-13111-1226-SM-5GCNC 50-59 years, male 272.9
GTEX-1JN76-0926-SM-ARZNH 20-29 years, female 272.8
GTEX-PX3G-1526-SM-48U11 20-29 years, female 272.6
GTEX-1ICG6-1826-SM-AHZ2O 70-79 years, female 272.6
GTEX-XPVG-1526-SM-4B66C 50-59 years, male 271.9
GTEX-15CHR-1326-SM-79OLT 50-59 years, male 271.5
GTEX-1H1E6-1626-SM-9OSWC 30-39 years, male 270.8
GTEX-12WSK-1426-SM-5CVNN 40-49 years, female 270.7
GTEX-1JMQJ-1326-SM-D4P3B 50-59 years, male 269.5
GTEX-1QP2A-2126-SM-DPRZ7 50-59 years, male 267.5
GTEX-S4Z8-1226-SM-4AD6W 60-69 years, male 266.9
GTEX-12WSG-2026-SM-5FQUU 50-59 years, female 265.9
GTEX-W5WG-1726-SM-4LMI5 50-59 years, female 265.9
GTEX-X15G-1126-SM-4PQZG 50-59 years, female 264.7
GTEX-XQ8I-2026-SM-4BOOL 50-59 years, male 264.2
GTEX-1J8JJ-1726-SM-C1YQG 60-69 years, female 264.0
GTEX-13O3Q-2126-SM-5KM4C 50-59 years, male 263.7
GTEX-145MO-2226-SM-5Q5BN 60-69 years, male 261.6
GTEX-11WQK-2626-SM-5EQ4K 50-59 years, male 260.1
GTEX-ZVT2-1626-SM-51MRC 50-59 years, female 257.0
GTEX-1S3DN-1526-SM-EVYCB 50-59 years, male 256.9
GTEX-S4UY-1626-SM-4AD55 40-49 years, female 254.2
GTEX-131XE-2226-SM-5PNYX 50-59 years, male 254.1
GTEX-1HT8W-2326-SM-A9SLA 30-39 years, male 253.0
GTEX-RU1J-0526-SM-46MUT 20-29 years, female 251.4
GTEX-1B8L1-1526-SM-79OLK 60-69 years, male 250.1
GTEX-R53T-1226-SM-48FCT 50-59 years, female 248.1
GTEX-1QP28-2126-SM-DTX8B 50-59 years, female 248.0
GTEX-1QCLZ-1826-SM-DPRXP 60-69 years, female 247.0
GTEX-12696-1726-SM-5EQLH 60-69 years, male 244.7
GTEX-14DAQ-2826-SM-664MU 60-69 years, female 244.7
GTEX-YEC3-1426-SM-D4P1S 50-59 years, male 243.8
GTEX-13QBU-1126-SM-5LU44 40-49 years, female 242.6
GTEX-11P7K-1726-SM-5GU6F 30-39 years, male 239.3
GTEX-ZT9W-1526-SM-4YCDE 50-59 years, male 238.3
GTEX-XXEK-0826-SM-4BRWG 50-59 years, male 236.8
GTEX-OXRK-1626-SM-3NB17 50-59 years, female 232.3
GTEX-WHWD-1426-SM-4OORU 50-59 years, male 232.3
GTEX-WZTO-2126-SM-4PQYW 40-49 years, male 231.4
GTEX-1AMFI-1226-SM-731CZ 50-59 years, female 230.3
GTEX-1H3NZ-2226-SM-9WYUT 60-69 years, male 229.0
GTEX-1KD5A-1426-SM-D4P3V 50-59 years, male 228.6
GTEX-1K2DA-0826-SM-CGQGD 50-59 years, male 228.4
GTEX-O5YV-1926-SM-EV797 60-69 years, female 228.0
GTEX-T5JC-1926-SM-4DM6Q 20-29 years, male 226.3
GTEX-17HII-2426-SM-7KFTT 50-59 years, male 226.2
GTEX-1GPI7-1326-SM-9KNVA 20-29 years, male 226.0
GTEX-Y5V6-1326-SM-4VDTF 60-69 years, male 218.6
GTEX-1GZ4H-1026-SM-9OSXL 50-59 years, female 216.1
GTEX-1QP67-1026-SM-EVR47 40-49 years, female 216.0
GTEX-1J8Q3-1926-SM-C1YSJ 60-69 years, male 215.2
GTEX-1399U-1626-SM-5P9J3 50-59 years, female 215.0
GTEX-1J8QM-1126-SM-C1YQB 60-69 years, female 204.3
GTEX-1I1HK-2026-SM-CNNRB 60-69 years, male 202.7
GTEX-16NGA-1526-SM-72D56 40-49 years, female 202.2
GTEX-ZTX8-0426-SM-59HLG 20-29 years, male 200.0
GTEX-OIZF-1526-SM-2I5GR 60-69 years, male 197.4
GTEX-1CB4H-2426-SM-7PBYR 60-69 years, female 196.0
GTEX-1QW4Y-0726-SM-DTX8E 30-39 years, male 194.1
GTEX-14BIL-1926-SM-73KYI 50-59 years, male 193.6
GTEX-1C64O-2226-SM-73KTV 60-69 years, male 192.7
GTEX-13N1W-2026-SM-5K7YU 70-79 years, male 189.6
GTEX-13PVR-2126-SM-73KVR 60-69 years, female 189.3
GTEX-UJMC-1226-SM-4IHLI 50-59 years, male 184.5
GTEX-TKQ1-0526-SM-4DXTG 30-39 years, male 183.6
GTEX-1IDJF-1426-SM-ACKWK 20-29 years, male 181.5
GTEX-1LVAM-1426-SM-E9TJ4 50-59 years, female 180.1
GTEX-PLZ6-0826-SM-3P61K 30-39 years, male 176.6
GTEX-1HSMQ-2426-SM-CE6RY 50-59 years, male 176.3
GTEX-145LT-1426-SM-5O9B3 40-49 years, male 174.7
GTEX-ZAB4-1526-SM-5CVN7 40-49 years, male 171.5
GTEX-TKQ2-0926-SM-4DXU5 50-59 years, male 170.5
GTEX-WYVS-1326-SM-4ONCQ 40-49 years, female 161.0
GTEX-14PN3-1326-SM-6AJ9U 60-69 years, female 123.4
Show allShow less

Contact

  • NEWS ARTICLES
  • PRESS ROOM

The Project

  • INTRODUCTION
  • ORGANIZATION
  • PUBLICATIONS

The Human Protein Atlas

  • DOWNLOADABLE DATA
  • LICENCE & CITATION
  • HELP & FAQ
The Human Protein Atlas project is funded
by the Knut & Alice Wallenberg Foundation.


contact@proteinatlas.org