We use cookies to enhance the usability of our website. If you continue, we'll assume that you are happy to receive all cookies. More information. Don't show this again.
ATP1A1
HPA
RESOURCES
  • TISSUE
  • BRAIN
  • SINGLE CELL
  • SUBCELLULAR
  • CANCER
  • BLOOD
  • CELL LINE
  • STRUCTURE & INTERACTION
ABOUT
  • INTRODUCTION
  • HISTORY
  • ORGANIZATION
  • PUBLICATIONS
  • ANTIBODY SUBMISSION
  • ANTIBODY AVAILABILITY
  • ACKNOWLEDGMENTS
  • CONTACT
NEWS
  • NEWS ARTICLES
  • PRESS ROOM
LEARN
  • DICTIONARY
  • PROTEIN CLASSES
  • PROTEIN EVIDENCE
  • METHODS
  • EDUCATIONAL VIDEOS
DATA
  • DOWNLOADABLE DATA
  • PUBLICATION DATA
  • RELEASE HISTORY
HELP
  • ANTIBODY VALIDATION
  • ASSAYS & ANNOTATION
  • DISCLAIMER
  • HELP & FAQ
  • PRIVACY STATEMENT
  • LICENCE & CITATION
Fields »
Search result

Field
Term
Gene name
Class
Subclass
Class
Keyword
Chromosome
External id
Tissue
Cell type
Expression
Antibody panel
Tissue
Main location
Patient ID
Annotation
Tissue
Category
Tau score
Cluster
Reliability
Brain region
Category
Tau score
Brain region
Category
Tau score
Brain region
Category
Tau score
Cluster
Reliability
Tissue
Cell type
Enrichment
Cell type
Category
Tau score
Cell type
Category
Tau score
Cell type
Category
Tau score
Cell lineage
Category
Tau score
Cluster
Cluster
Location
Searches
Location
Cell line
Class
Type
Phase
Reliability
Cancer
Prognosis
Cancer
Category
Cancer
Category
Tau score
Cluster
Variants
Interacting gene (ensg_id)
Type
Number of interactions
Pathway
Category
Score
Score
Score
Validation
Validation
Validation
Validation
Antibodies
Data type
Column


  • SUMMARY

  • TISSUE

  • BRAIN

  • SINGLE CELL

  • SUBCELL

  • CANCER

  • BLOOD

  • CELL LINE

  • STRUCT & INT

  • ATP1A1
TISSUE PRIMARY DATA BREAST Show tissue menu
ADIPOSE TISSUE ADRENAL GLAND AMYGDALA APPENDIX BASAL GANGLIA BONE MARROW BREAST BRONCHUS CEREBELLUM CEREBRAL CORTEX CERVIX CHOROID PLEXUS COLON DUODENUM
ENDOMETRIUM EPIDIDYMIS ESOPHAGUS FALLOPIAN TUBE GALLBLADDER HEART MUSCLE HIPPOCAMPAL FORMATION HYPOTHALAMUS KIDNEY LIVER LUNG LYMPH NODE MIDBRAIN NASOPHARYNX
ORAL MUCOSA OVARY PANCREAS PARATHYROID GLAND PITUITARY GLAND PLACENTA PROSTATE RECTUM RETINA SALIVARY GLAND SEMINAL VESICLE SKELETAL MUSCLE SKIN SMALL INTESTINE
SMOOTH MUSCLE SOFT TISSUE SPINAL CORD SPLEEN STOMACH TESTIS THYMUS THYROID GLAND TONGUE TONSIL URINARY BLADDER VAGINA
ANTIBODIES
AND
VALIDATION
Dictionary
Breast
Tissue proteome
Breast
BREAST - Expression summary
Protein expression
Breasti

On the top, protein expression in current human tissue, based on all annotated cell types, is reported with the units not detected (n), low (l), medium (m) and high (h). Underneath, protein expression in each annotated cell type are reported using the same units.

Protein expression data is based on knowledge-based annotation. For genes where more than one antibody has been used, a collective score is set.

If knowledge-based annotation could not be performed for a gene, no data is displayed here. View antibody staining data further down this page.

h
m
l
n
Adipocytes: Not detected
Glandular cells: High
Myoepithelial cells: Low
RNA expressioni

A summary of mRNA expression data available for current tissue based on several datasets. The mRNA expression levels in human tissues are based on RNA-seq data generated by the Human Protein Atlas (HPA), Genotype-Tissue Expression (GTEx) portal and CAGE data generated by the FANTOM5 consortium. Consensus normalized expression levels for human tissues was created by combining the data from HPA and GTEx datasets.

The mRNA expression levels in pig are based on RNA-seq data generated by the Human Protein Atlas (HPA), and for mouse, HPA data and in situ hybridization generated by the Allen brain atlas are reported.

Scroll down to view mRNA expression data in more detail.
Consensus:213.4 nTPM
HPA:213.4 nTPM
GTEx:143.3 nTPM
FANTOM5:149.5 Scaled Tags Per Million

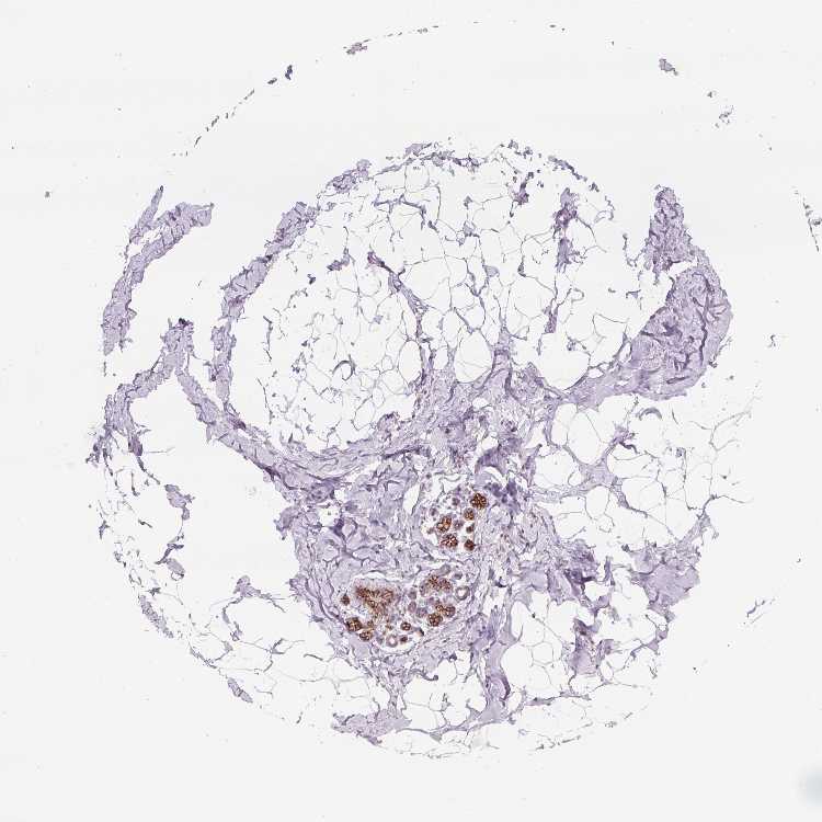
BREAST - Antibody stainingi

Antibody staining in the annotated cell types in the current human tissue is reported as not detected, low, medium, or high, based on conventional immunohistochemistry profiling in selected tissues. This score is based on the combination of the staining intensity and fraction of stained cells.

Each image is clickable and will lead to virtual microscopy that enables deeper exploration of all samples and also displays staining intensity scores, fraction scores and subcellular localization as well as patient and tissue information for each sample.

Antibody CAB018702Antibody CAB069993
Adipocytes Not detectedNot detected
Glandular cells HighHigh
Myoepithelial cells LowNot detected



BREAST - HPA RNA-seqi

The RNA-seq details section shows detailed information about the individual samples used for the transcript profiling and results of the RNA-seq analysis.

Information about each individual sample is listed below, including gender, age, a tissue section image and estimated fractions of cell types. nTPM (normalized transcripts per million) values give a quantification of the gene abundance which is comparable between different genes and samples.
Average nTPMi

Max subtype nTPM is the value for the subtype with the largest average nTPM across the subtype samples.

213.4
overview
Female, age 52
Breast sample 373
nTPM: 219.9
Cell types%
Glandular cells:
15

Adipocytes:
5

Other cell types:
80

overview
Female, age 80
Breast sample 390
nTPM: 175.3
Cell types%
Glandular cells:
5

Adipocytes:
15

Other cell types:
80

overview
Female, age 47
Breast sample 405
nTPM: 259.1
Cell types%
Glandular cells:
5

Adipocytes:
5

Other cell types:
90

overview
Female, age 38
Breast sample 410
nTPM: 199.1
Cell types%
Glandular cells:
40

Adipocytes:
5

Other cell types:
55


BREAST - GTEx RNA-seqi

RNA-Seq data generated by the Genotype-Tissue Expression (GTEx) project from human tissues is reported as mean nTPM. More information can be found on the GTEx portal.

Distribution across the dataset is visualized with box plots, shown as median and 25th and 75th percentiles. Points are displayed as outliers if they are above or below 1.5 times the interquartile range. nTPM values of the individual samples are presented next to the box plot.
Max subtype nTPMi

Max subtype nTPM is the value for the subtype with the largest average nTPM across the subtype samples.

143.3
GTEx sample id Sample description nTPM
Breast - Mammary Tissue
Average nTPM: 143.3
Samples: 459

Max nTPM: 524.5
Min nTPM: 35.5
Std nTPM: 54.6
Median nTPM: 136.2
GTEX-ZTPG-2826-SM-57WGA 20-29 years, female 524.5
GTEX-14H4A-2526-SM-5YYAY 40-49 years, female 454.6
GTEX-1HBPN-2326-SM-9WPPU 50-59 years, male 403.3
GTEX-11EM3-1326-SM-5N9C6 20-29 years, female 354.3
GTEX-1HKZK-1826-SM-ADEJ2 40-49 years, male 309.0
GTEX-11WQK-2426-SM-5GU5C 50-59 years, male 306.2
GTEX-1AX9J-1126-SM-731B7 60-69 years, male 297.3
GTEX-12WSK-2226-SM-5GCO5 40-49 years, female 275.8
GTEX-1I1GU-1026-SM-ADEHJ 40-49 years, male 273.7
GTEX-1PPH7-0826-SM-E8VNX 40-49 years, male 271.9
GTEX-U412-1826-SM-4DXTJ 60-69 years, male 269.5
GTEX-1KAFJ-0226-SM-DIPEL 50-59 years, male 262.7
GTEX-1NUQO-2226-SM-E9U68 20-29 years, female 262.2
GTEX-ZLV1-1426-SM-DO92Z 60-69 years, female 255.3
GTEX-1F5PL-1026-SM-7RHI1 40-49 years, female 248.0
GTEX-13SLX-2326-SM-5ZZWE 50-59 years, female 242.6
GTEX-ZA64-1526-SM-5CVMD 20-29 years, male 238.9
GTEX-1CB4J-1826-SM-7EWF9 60-69 years, male 237.9
GTEX-13O3O-0826-SM-5K7WE 60-69 years, female 236.1
GTEX-14PHY-1926-SM-5YY95 60-69 years, female 235.8
GTEX-14753-2426-SM-5LU8U 60-69 years, male 233.5
GTEX-ZLFU-2126-SM-DO931 40-49 years, male 233.4
GTEX-14PKU-0426-SM-6EU1P 40-49 years, female 231.4
GTEX-11TT1-2126-SM-5GU5Y 20-29 years, male 230.7
GTEX-15EOM-5019-SM-793DK 20-29 years, female 229.8
GTEX-1JN1M-3026-SM-CMKGK 60-69 years, female 228.7
GTEX-1MCC2-2126-SM-EWRON 30-39 years, female 225.2
GTEX-X4XY-0926-SM-4E3JD 60-69 years, male 223.7
GTEX-XBED-1626-SM-47JYN 60-69 years, male 221.2
GTEX-17EUY-1926-SM-7DUF6 20-29 years, male 221.1
GTEX-ZXES-0826-SM-5E43C 30-39 years, female 220.6
GTEX-QEG5-0726-SM-D4P1T 20-29 years, male 219.7
GTEX-T6MO-0326-SM-32QOK 40-49 years, female 219.5
GTEX-12WSN-1326-SM-5GCNT 40-49 years, male 218.9
GTEX-ZAJG-0626-SM-5HL8X 50-59 years, female 218.7
GTEX-RUSQ-2026-SM-4GIAK 50-59 years, male 218.6
GTEX-1ICLY-1726-SM-B2LVT 50-59 years, male 218.5
GTEX-1I1GT-1126-SM-ARL7J 60-69 years, female 218.2
GTEX-16NGA-0826-SM-718AF 40-49 years, female 217.1
GTEX-14PN4-0626-SM-62LFP 50-59 years, male 216.2
GTEX-1C6VS-0726-SM-7EPHF 60-69 years, male 214.6
GTEX-ZV7C-1826-SM-5NQ83 50-59 years, male 214.5
GTEX-ZVT2-1826-SM-5NQ8W 50-59 years, female 213.8
GTEX-1IDFM-0426-SM-B2LVV 60-69 years, male 213.5
GTEX-11P7K-0726-SM-5EGKX 30-39 years, male 211.9
GTEX-13PVR-2226-SM-7DHKP 60-69 years, female 210.5
GTEX-WXYG-2226-SM-4E3IM 50-59 years, female 209.1
GTEX-1L5NE-2126-SM-CY8IH 50-59 years, male 207.0
GTEX-13PVQ-1026-SM-5KM3M 50-59 years, male 206.1
GTEX-1I6K6-0826-SM-ARL7Z 30-39 years, male 205.4
GTEX-1HCUA-0726-SM-ACKVU 50-59 years, female 204.3
GTEX-1KANA-2026-SM-DIPFB 20-29 years, male 203.3
GTEX-1LVAN-1326-SM-CNPQE 50-59 years, female 202.2
GTEX-ZTX8-1226-SM-4YCE9 20-29 years, male 201.9
GTEX-WYBS-0926-SM-3NM94 60-69 years, female 201.0
GTEX-17EVQ-0426-SM-7LG57 70-79 years, male 200.8
GTEX-VJWN-0726-SM-3GIJ8 50-59 years, female 200.6
GTEX-13O3P-0826-SM-5L3DH 50-59 years, male 200.3
GTEX-131XW-0726-SM-5EGK3 50-59 years, female 199.5
GTEX-1GN1U-0526-SM-9KNTT 50-59 years, female 197.8
GTEX-1H1E6-0926-SM-9YFLT 30-39 years, male 197.2
GTEX-1I1GP-0426-SM-COH3N 50-59 years, male 196.9
GTEX-T2IS-1526-SM-32QPR 20-29 years, female 196.8
GTEX-RU1J-0626-SM-4WAWY 20-29 years, female 196.4
GTEX-13CF3-2126-SM-5IFJP 60-69 years, female 196.3
GTEX-14E6C-1326-SM-62LEQ 40-49 years, male 196.2
GTEX-Y9LG-1426-SM-5IFJZ 30-39 years, male 196.2
GTEX-S4UY-0726-SM-4AD6X 40-49 years, female 195.9
GTEX-14ICK-2426-SM-6EU27 40-49 years, male 195.7
GTEX-132Q8-1426-SM-5EGK7 60-69 years, male 192.1
GTEX-13113-5013-SM-7SB7G 60-69 years, female 191.7
GTEX-Y114-2026-SM-4TT7L 50-59 years, female 190.2
GTEX-1B97I-0426-SM-79OL7 40-49 years, male 190.1
GTEX-1LGRB-1826-SM-CNPQL 50-59 years, female 189.9
GTEX-15ETS-0626-SM-7KUMX 40-49 years, female 189.8
GTEX-139T6-1626-SM-5PNYZ 50-59 years, male 189.1
GTEX-RU72-0626-SM-46MUI 50-59 years, female 187.6
GTEX-1GZ4H-0326-SM-7P8QX 50-59 years, female 186.9
GTEX-13N1W-0626-SM-5MR4U 70-79 years, male 186.2
GTEX-1HCU7-1026-SM-ADEIP 50-59 years, male 186.1
GTEX-1JJE9-2326-SM-ARL8Q 70-79 years, male 185.8
GTEX-1399U-1826-SM-5PNZ1 50-59 years, female 185.6
GTEX-1N2EF-2226-SM-E9J33 60-69 years, male 185.3
GTEX-1M5QR-2526-SM-E9U5P 40-49 years, male 184.8
GTEX-1MCYP-0126-SM-E6CIS 20-29 years, female 184.6
GTEX-SE5C-2126-SM-4BRUJ 40-49 years, female 184.5
GTEX-17MF6-0326-SM-7EPH5 40-49 years, male 183.5
GTEX-15UF6-0126-SM-6PAMB 70-79 years, female 183.4
GTEX-Y5LM-1726-SM-4VDSX 40-49 years, female 182.4
GTEX-1J8Q2-2726-SM-A9G2X 60-69 years, male 182.2
GTEX-13QJ3-0826-SM-7DHKK 50-59 years, male 181.5
GTEX-14AS3-1626-SM-5S2OY 40-49 years, female 181.2
GTEX-1CAMS-1426-SM-7IGPM 40-49 years, female 181.2
GTEX-1B8KE-1226-SM-73KWK 50-59 years, male 180.5
GTEX-1R7EU-1226-SM-E8VMR 60-69 years, male 179.8
GTEX-1269C-2426-SM-5FQSN 60-69 years, female 178.0
GTEX-14BMU-1626-SM-5TDE7 20-29 years, female 177.7
GTEX-ZVE2-1226-SM-5NQ8R 50-59 years, male 177.5
GTEX-QDT8-0626-SM-48TYW 30-39 years, female 177.0
GTEX-ZQUD-1926-SM-51MSA 30-39 years, male 176.9
GTEX-X261-0626-SM-3NMD9 50-59 years, male 176.7
GTEX-14A5I-0726-SM-5TDEB 50-59 years, female 176.4
GTEX-WI4N-1426-SM-3LK7H 40-49 years, female 173.9
GTEX-13S86-1226-SM-5S2OA 40-49 years, male 172.5
GTEX-1PDJ9-1126-SM-EXUSW 20-29 years, male 172.3
GTEX-14E6E-1326-SM-5S2NR 30-39 years, male 171.6
GTEX-12WSM-1726-SM-5BC6J 60-69 years, male 170.0
GTEX-RWS6-1926-SM-47JXY 60-69 years, female 170.0
GTEX-13OW5-2226-SM-5L3HC 60-69 years, male 169.9
GTEX-Y5V6-2126-SM-4WWFX 60-69 years, male 169.9
GTEX-S4P3-1326-SM-4AD6V 50-59 years, female 169.7
GTEX-TMMY-0726-SM-33HBE 40-49 years, female 169.6
GTEX-ZF29-1926-SM-5S2P1 60-69 years, female 169.3
GTEX-Y8LW-1626-SM-5IFHX 50-59 years, female 169.2
GTEX-17EVP-0226-SM-79OND 40-49 years, male 169.0
GTEX-TKQ1-0226-SM-33HB5 30-39 years, male 168.1
GTEX-ZTTD-1026-SM-51MRD 50-59 years, male 167.8
GTEX-1H1DG-0526-SM-9YFLN 70-79 years, male 167.7
GTEX-14LLW-0626-SM-62LFC 70-79 years, female 167.4
GTEX-1GMR8-0726-SM-9KNVI 50-59 years, female 167.2
GTEX-1IDJH-2226-SM-E6CJV 70-79 years, male 167.0
GTEX-145LT-0726-SM-5S2VM 40-49 years, male 166.9
GTEX-14B4R-1226-SM-5TDDT 30-39 years, male 166.8
GTEX-13NZ8-0126-SM-5IJCT 60-69 years, female 166.7
GTEX-13D11-1026-SM-5IJFB 50-59 years, female 166.0
GTEX-1QCLY-1626-SM-DTXDW 30-39 years, male 166.0
GTEX-1OKEX-0826-SM-E9J2B 60-69 years, male 165.6
GTEX-1IE54-0626-SM-ARL8D 40-49 years, female 165.4
GTEX-1H1CY-2226-SM-9WG7E 60-69 years, female 164.7
GTEX-XUZC-1626-SM-4BRVP 30-39 years, female 163.7
GTEX-ZGAY-1726-SM-DO91P 40-49 years, female 163.6
GTEX-1JK1U-1826-SM-ARL8W 60-69 years, male 162.7
GTEX-ZU9S-1926-SM-5NQBP 30-39 years, male 162.6
GTEX-X4EP-2926-SM-3P5YQ 60-69 years, female 162.2
GTEX-1KXAM-1026-SM-CY8IA 60-69 years, male 162.0
GTEX-U8XE-0826-SM-4E3J1 30-39 years, male 161.0
GTEX-1JN6P-2426-SM-ARL99 60-69 years, male 160.8
GTEX-133LE-1726-SM-5K7VQ 20-29 years, female 160.3
GTEX-15G19-2126-SM-6M48J 60-69 years, male 160.2
GTEX-ZC5H-2626-SM-5J2MG 40-49 years, female 160.0
GTEX-Y3I4-1526-SM-4TT7K 50-59 years, male 159.8
GTEX-1QPFJ-2026-SM-EVYBE 30-39 years, female 159.7
GTEX-13W3W-1226-SM-5LU4H 60-69 years, female 159.5
GTEX-1GZHY-0726-SM-9WG6B 50-59 years, female 159.4
GTEX-UJHI-1426-SM-3DB9C 50-59 years, female 159.2
GTEX-XUW1-2326-SM-4BOO5 50-59 years, female 159.1
GTEX-1QP29-1726-SM-E8VMQ 50-59 years, male 158.7
GTEX-14ABY-2126-SM-5QGQZ 50-59 years, male 158.0
GTEX-18A7A-0726-SM-7LTAI 50-59 years, female 157.6
GTEX-1R9PN-0326-SM-DTX85 40-49 years, female 157.5
GTEX-1211K-1926-SM-5EQLB 60-69 years, female 157.2
GTEX-1HSGN-1526-SM-A9SMO 40-49 years, female 157.1
GTEX-145MN-1926-SM-5SIAI 30-39 years, male 156.9
GTEX-ZZ64-1226-SM-5E43R 20-29 years, male 156.9
GTEX-UTHO-1026-SM-3GAF7 60-69 years, male 156.7
GTEX-1I6K7-1026-SM-A9SLK 40-49 years, male 156.5
GTEX-1GF9U-1726-SM-7MGY5 40-49 years, female 155.6
GTEX-1J8QM-2026-SM-ARZMW 60-69 years, female 155.4
GTEX-1QW4Y-1026-SM-DTXE2 30-39 years, male 155.3
GTEX-16BQI-1026-SM-7KUEA 30-39 years, female 155.0
GTEX-1PPGY-1526-SM-EVYBK 60-69 years, male 155.0
GTEX-17JCI-0726-SM-7EPH1 60-69 years, female 154.9
GTEX-1P4AB-1826-SM-E76PU 50-59 years, male 154.2
GTEX-WYJK-1326-SM-3NB2T 50-59 years, male 154.0
GTEX-1GF9X-1026-SM-ACKX2 40-49 years, female 153.2
GTEX-13NZB-2126-SM-5MR4Y 30-39 years, male 153.1
GTEX-13W46-0826-SM-5LU3H 50-59 years, male 152.3
GTEX-1IKOH-2326-SM-CM2TW 60-69 years, female 152.2
GTEX-1H23P-0726-SM-9WG7K 60-69 years, male 152.1
GTEX-XOT4-0726-SM-4GIAW 60-69 years, female 151.9
GTEX-1MA7W-1026-SM-DKPQK 20-29 years, female 151.9
GTEX-11O72-2126-SM-5N9FO 40-49 years, male 151.4
GTEX-14PJ4-2126-SM-6ETZJ 60-69 years, male 151.3
GTEX-11LCK-2426-SM-5HL5F 30-39 years, male 151.1
GTEX-13NZ9-1026-SM-5MR5K 50-59 years, male 150.9
GTEX-11EMC-2026-SM-5A5JV 60-69 years, female 150.7
GTEX-1B8SG-1226-SM-7IGPF 50-59 years, male 150.5
GTEX-1HR9M-2426-SM-ACKXI 60-69 years, male 150.5
GTEX-1A3MX-2726-SM-718B6 60-69 years, male 150.4
GTEX-1AMEY-1026-SM-718AA 30-39 years, female 150.4
GTEX-13SLW-2526-SM-62LDQ 70-79 years, male 150.0
GTEX-1LSVX-2426-SM-E6CJX 60-69 years, male 149.7
GTEX-1GMR3-2626-SM-7RHHG 40-49 years, male 149.5
GTEX-13OW8-0226-SM-5K7UP 60-69 years, male 149.2
GTEX-111YS-1926-SM-5GICC 60-69 years, male 149.0
GTEX-1GF9V-2526-SM-7SB8K 60-69 years, male 148.8
GTEX-11DZ1-0326-SM-5N9BN 50-59 years, male 148.0
GTEX-1GN1W-1926-SM-7P8TH 50-59 years, female 147.5
GTEX-1JKYR-0926-SM-CMKGJ 20-29 years, male 147.4
GTEX-ZF3C-2326-SM-5S2NC 50-59 years, female 147.4
GTEX-YFCO-1826-SM-4W1YH 40-49 years, male 147.0
GTEX-13VXU-2826-SM-664MA 50-59 years, male 146.5
GTEX-1I4MK-1626-SM-CM2TJ 50-59 years, female 146.2
GTEX-ZDTT-2126-SM-DKPOM 60-69 years, male 145.8
GTEX-YEC3-1026-SM-5IFI5 50-59 years, male 145.2
GTEX-15RJE-2626-SM-7KFT1 40-49 years, male 145.0
GTEX-S4Q7-1126-SM-4AD6R 20-29 years, male 144.3
GTEX-1IKOE-1326-SM-CE6T6 30-39 years, female 144.1
GTEX-ZDYS-1126-SM-5K7UB 50-59 years, male 143.8
GTEX-13QIC-2326-SM-5LU5N 60-69 years, female 143.5
GTEX-T5JC-2126-SM-32PMO 20-29 years, male 143.4
GTEX-1JMPY-0526-SM-CL54O 30-39 years, male 143.2
GTEX-R3RS-0626-SM-48FE1 40-49 years, female 143.1
GTEX-1M4P7-2626-SM-E9U5F 60-69 years, male 143.1
GTEX-ZYW4-0826-SM-5GIDG 60-69 years, male 143.0
GTEX-1LC47-1226-SM-D4P44 60-69 years, male 143.0
GTEX-1IDJF-2326-SM-ARL86 20-29 years, male 142.8
GTEX-Y5V5-2126-SM-4WWFO 60-69 years, female 142.6
GTEX-1F75I-2026-SM-7SB7N 40-49 years, male 142.5
GTEX-1AX8Z-0926-SM-731AW 60-69 years, male 142.1
GTEX-XYKS-1326-SM-4BRUN 60-69 years, female 142.1
GTEX-13O61-1826-SM-5KM4I 60-69 years, male 142.0
GTEX-12ZZX-1126-SM-5EGKB 40-49 years, female 141.6
GTEX-13FTX-1126-SM-5N9EN 20-29 years, female 141.4
GTEX-1LSNM-1326-SM-E9TJ1 50-59 years, male 141.4
GTEX-WFG8-2026-SM-EXOHO 20-29 years, male 141.4
GTEX-1IDJE-0826-SM-CKZNZ 50-59 years, female 140.6
GTEX-1A3MV-1626-SM-731C1 30-39 years, male 140.5
GTEX-1313W-0826-SM-5EQ4T 50-59 years, female 140.2
GTEX-1RAZQ-1226-SM-EWRNL 30-39 years, male 140.0
GTEX-131YS-0626-SM-5EGKL 60-69 years, female 139.8
GTEX-ZV6S-1826-SM-5NQ8D 40-49 years, female 139.8
GTEX-ZWKS-2826-SM-5NQ74 30-39 years, male 139.4
GTEX-ZZPU-0626-SM-5E43T 50-59 years, female 139.4
GTEX-1B933-2526-SM-7IGO5 50-59 years, female 138.9
GTEX-XMD1-0826-SM-4AT52 60-69 years, male 137.6
GTEX-ZT9W-2026-SM-51MRA 50-59 years, male 137.4
GTEX-1HSMO-0826-SM-ADEIV 60-69 years, male 136.6
GTEX-11OF3-1926-SM-59889 60-69 years, male 136.5
GTEX-1K2DA-1726-SM-CGQGS 50-59 years, male 136.2
GTEX-Y3IK-2326-SM-4WWDT 50-59 years, female 136.1
GTEX-1QP28-1226-SM-E9J2M 50-59 years, female 135.9
GTEX-12BJ1-1826-SM-5HL9N 60-69 years, male 135.8
GTEX-WFON-1826-SM-3GILG 40-49 years, male 135.8
GTEX-X15G-1626-SM-3NMB3 50-59 years, female 135.3
GTEX-1CB4E-0226-SM-79OLW 60-69 years, male 134.7
GTEX-15FZZ-0726-SM-7KUFZ 30-39 years, female 134.5
GTEX-ZY6K-1626-SM-5GZWV 50-59 years, male 133.7
GTEX-1JMLX-2026-SM-CMKGN 50-59 years, male 133.7
GTEX-17F98-0526-SM-79OK5 40-49 years, female 133.4
GTEX-1S82Z-0726-SM-E6CHX 30-39 years, female 133.4
GTEX-1E2YA-2726-SM-7IGPW 50-59 years, male 133.0
GTEX-13O3Q-2226-SM-5KM4O 50-59 years, male 132.8
GTEX-1RAZS-1226-SM-E8VMT 50-59 years, male 132.6
GTEX-1B932-0826-SM-73KXG 40-49 years, female 132.4
GTEX-1QEPI-0926-SM-DTXF3 60-69 years, female 132.4
GTEX-1HSKV-2026-SM-CMKGX 60-69 years, male 132.0
GTEX-S32W-2026-SM-4AD6E 50-59 years, female 131.4
GTEX-WYVS-1726-SM-3NMAY 40-49 years, female 130.7
GTEX-Z9EW-1526-SM-EZ6LU 40-49 years, male 130.7
GTEX-1EU9M-2826-SM-7EWFH 60-69 years, male 130.5
GTEX-1R46S-2526-SM-E8VN2 60-69 years, female 130.2
GTEX-1C64O-0726-SM-7DUFU 60-69 years, male 130.0
GTEX-1A8G7-2426-SM-731AK 60-69 years, male 129.2
GTEX-PSDG-1626-SM-48TCQ 50-59 years, male 128.8
GTEX-WOFL-0826-SM-3MJG1 60-69 years, male 128.8
GTEX-1GN2E-2226-SM-9WG6J 60-69 years, male 128.8
GTEX-1HBPM-0126-SM-ARL9E 60-69 years, female 128.8
GTEX-Q2AG-0326-SM-48U1O 40-49 years, female 128.3
GTEX-VUSG-2226-SM-4KKZO 50-59 years, male 128.3
GTEX-11TUW-1826-SM-5BC5D 60-69 years, male 128.1
GTEX-1122O-1226-SM-5H113 60-69 years, female 127.9
GTEX-1HCU8-0126-SM-ADEHH 60-69 years, female 127.9
GTEX-13PL6-2926-SM-5L3I2 40-49 years, female 127.7
GTEX-18QFQ-0826-SM-718AX 30-39 years, male 127.7
GTEX-1BAJH-0826-SM-7EWEF 70-79 years, male 127.4
GTEX-XMD2-0926-SM-4WWEF 60-69 years, female 127.3
GTEX-1MJK3-1126-SM-E9J3F 20-29 years, male 126.8
GTEX-13FTY-2226-SM-5J1ND 40-49 years, female 126.2
GTEX-X62O-0526-SM-EWRMA 50-59 years, male 126.1
GTEX-17F9E-2526-SM-7MGW2 50-59 years, male 125.7
GTEX-17KNJ-2026-SM-7LG53 50-59 years, male 125.6
GTEX-1GPI7-0926-SM-7PC3J 20-29 years, male 125.6
GTEX-145ME-1526-SM-5Q5F2 40-49 years, female 125.2
GTEX-145MF-2226-SM-7EPIR 50-59 years, male 125.2
GTEX-147F4-2826-SM-5NQBN 50-59 years, male 125.0
GTEX-11P81-1926-SM-5BC53 30-39 years, female 124.9
GTEX-1S82U-1126-SM-E9U6I 30-39 years, female 124.5
GTEX-183FY-1126-SM-7DHLJ 20-29 years, male 123.9
GTEX-1JKYN-0726-SM-ARZMY 30-39 years, male 123.9
GTEX-1F6I4-2526-SM-7SB8F 60-69 years, male 123.4
GTEX-1NHNU-0926-SM-E9J2T 50-59 years, male 123.2
GTEX-1HCVE-2626-SM-ADEJ8 50-59 years, male 121.8
GTEX-1NV8Z-2826-SM-E8VME 60-69 years, male 121.7
GTEX-1N5O9-1126-SM-DTXEQ 60-69 years, male 121.2
GTEX-WRHU-0326-SM-3MJFY 50-59 years, female 121.1
GTEX-1LNCM-0226-SM-DIPF4 50-59 years, female 121.0
GTEX-R55D-0826-SM-48FEA 50-59 years, male 120.9
GTEX-145MO-0826-SM-5NQBL 60-69 years, male 119.6
GTEX-1H3VY-0926-SM-ACKXE 50-59 years, male 118.7
GTEX-117YX-1426-SM-5H12H 50-59 years, male 117.8
GTEX-1J8Q3-1326-SM-CMKI1 60-69 years, male 117.8
GTEX-1MJK2-2226-SM-EVYCR 50-59 years, male 117.8
GTEX-U3ZH-1426-SM-4DXSR 30-39 years, male 117.3
GTEX-1QP9N-1826-SM-E8VMP 30-39 years, male 117.3
GTEX-1117F-2826-SM-5GZXL 60-69 years, female 117.0
GTEX-1AX9I-0726-SM-73KWV 60-69 years, male 116.9
GTEX-1KD4Q-2326-SM-D4P3M 40-49 years, male 116.7
GTEX-11GS4-2126-SM-5A5KR 60-69 years, male 116.4
GTEX-169BO-1126-SM-7MGWN 50-59 years, male 116.1
GTEX-1IY9M-2726-SM-CMKG5 60-69 years, male 116.1
GTEX-1ICLZ-0426-SM-B2LW2 60-69 years, male 116.0
GTEX-1LVAM-0926-SM-E9TJ2 50-59 years, female 116.0
GTEX-1QCLZ-2326-SM-DTXDO 60-69 years, female 115.5
GTEX-144GM-0926-SM-5O994 20-29 years, male 114.8
GTEX-1GMRU-0826-SM-9WYT7 50-59 years, male 114.7
GTEX-11ZTT-2326-SM-5EQLG 60-69 years, female 114.6
GTEX-17MFQ-0926-SM-7LG4S 20-29 years, male 114.6
GTEX-V955-2026-SM-3GAFA 60-69 years, male 114.5
GTEX-13FTW-1426-SM-5LZWZ 40-49 years, male 114.3
GTEX-1K9T9-1426-SM-DIPFQ 50-59 years, female 114.2
GTEX-T6MN-0726-SM-32PML 50-59 years, male 113.8
GTEX-1314G-1226-SM-5BC6D 30-39 years, male 113.4
GTEX-ZQG8-0726-SM-5P9H9 60-69 years, female 113.3
GTEX-ZVT4-1026-SM-57WC4 50-59 years, female 113.2
GTEX-1R7EV-1526-SM-E8VOD 40-49 years, male 113.1
GTEX-1B8KZ-1526-SM-7DUG7 50-59 years, male 112.8
GTEX-1CB4G-2326-SM-79OOI 60-69 years, male 111.8
GTEX-17HHE-1426-SM-7EPH4 50-59 years, male 111.4
GTEX-1HUB1-1626-SM-CM2SL 60-69 years, male 111.4
GTEX-11P82-1326-SM-5HL62 20-29 years, male 110.9
GTEX-11WQC-1726-SM-5GU4W 60-69 years, male 110.9
GTEX-17GQL-0326-SM-7LG5U 60-69 years, male 110.8
GTEX-17HHY-0926-SM-793C1 50-59 years, male 110.7
GTEX-1J8EW-2626-SM-CL53E 60-69 years, female 110.6
GTEX-15ER7-1626-SM-6PAMZ 20-29 years, female 110.4
GTEX-11EQ9-1826-SM-5Q5AJ 30-39 years, male 110.2
GTEX-1GPI6-0626-SM-7RHHJ 60-69 years, male 110.1
GTEX-1B97J-0426-SM-79OLQ 50-59 years, female 109.7
GTEX-14PJO-0726-SM-69LO8 60-69 years, male 109.4
GTEX-XQ8I-2426-SM-4WAXY 50-59 years, male 109.0
GTEX-1JMOU-2026-SM-CMKGU 60-69 years, female 108.6
GTEX-S341-1526-SM-4AD6K 40-49 years, female 108.0
GTEX-1POEN-0926-SM-DTX88 30-39 years, female 108.0
GTEX-17F96-2426-SM-7IGLN 70-79 years, male 107.9
GTEX-1192X-2326-SM-5987X 50-59 years, male 107.7
GTEX-11EI6-0626-SM-5985T 60-69 years, male 107.7
GTEX-11NV4-2026-SM-5N9DG 60-69 years, male 107.7
GTEX-T2YK-2226-SM-32QPT 50-59 years, male 107.3
GTEX-1I19N-2826-SM-CL55D 70-79 years, male 107.1
GTEX-146FH-0826-SM-5SI8T 50-59 years, female 106.9
GTEX-1QMI2-0726-SM-E9J4F 60-69 years, male 106.8
GTEX-15UF7-0726-SM-6M46D 40-49 years, male 106.6
GTEX-1GMR2-1926-SM-9MQLZ 50-59 years, male 106.2
GTEX-18D9A-1526-SM-7LG4J 30-39 years, female 105.9
GTEX-ZPIC-1126-SM-5BC7F 40-49 years, female 105.7
GTEX-11DXW-0626-SM-5N9ER 40-49 years, male 105.6
GTEX-13FHO-0826-SM-5L3E8 60-69 years, male 105.2
GTEX-1C6WA-2426-SM-7SB86 60-69 years, male 105.0
GTEX-QEL4-2126-SM-447AE 50-59 years, male 103.8
GTEX-13CF2-2026-SM-5K7VI 60-69 years, male 103.4
GTEX-183WM-0726-SM-7LTAA 70-79 years, female 103.0
GTEX-1KANC-1426-SM-CYPT9 50-59 years, female 102.9
GTEX-1HFI7-0126-SM-CGQFQ 50-59 years, female 102.4
GTEX-18A7B-2626-SM-7LG55 70-79 years, male 102.1
GTEX-REY6-2426-SM-48FF5 60-69 years, male 101.8
GTEX-1IKJJ-2326-SM-COH3U 60-69 years, male 101.6
GTEX-1JJEA-2726-SM-ARL8V 60-69 years, male 101.1
GTEX-1GZ4I-2826-SM-9MQK5 50-59 years, male 100.8
GTEX-14E7W-0826-SM-62LEJ 70-79 years, male 100.0
GTEX-11I78-2226-SM-5PNYA 50-59 years, female 99.8
GTEX-1IGQW-0926-SM-ADEH6 60-69 years, male 99.4
GTEX-1N2EE-2126-SM-E8VNN 60-69 years, male 99.2
GTEX-UPK5-2326-SM-3P5Z8 40-49 years, male 99.1
GTEX-18A66-1726-SM-7LG5N 60-69 years, male 98.8
GTEX-1EKGG-2626-SM-7IGPY 60-69 years, male 98.6
GTEX-13N11-1726-SM-5J1OJ 50-59 years, female 98.5
GTEX-1JMQK-2626-SM-COH2W 60-69 years, male 98.1
GTEX-ZF2S-2026-SM-5E461 50-59 years, female 98.0
GTEX-1B8L1-2426-SM-9WYTE 60-69 years, male 98.0
GTEX-1C475-1226-SM-7SB72 40-49 years, female 97.6
GTEX-11PRG-0826-SM-5EQ6A 50-59 years, male 97.5
GTEX-1IOXB-1926-SM-ARL8E 50-59 years, male 97.2
GTEX-139TU-0626-SM-5KM3X 60-69 years, male 97.0
GTEX-14DAR-1326-SM-7DUEG 50-59 years, male 96.4
GTEX-139T8-0826-SM-5L3DE 60-69 years, male 96.1
GTEX-Y8E4-1626-SM-5S2MW 40-49 years, male 96.1
GTEX-ZVZQ-0826-SM-51MRF 60-69 years, female 96.1
GTEX-1HC8U-0826-SM-ADEIL 40-49 years, female 95.8
GTEX-1MA7X-1626-SM-E9U5B 60-69 years, male 95.5
GTEX-XGQ4-0926-SM-4AT4U 50-59 years, male 95.1
GTEX-1C6VQ-0426-SM-79OOX 50-59 years, male 94.9
GTEX-132AR-0826-SM-5EGK6 50-59 years, female 94.5
GTEX-1JMPZ-1626-SM-COH31 30-39 years, male 94.5
GTEX-YB5E-1726-SM-5IFJ3 40-49 years, male 94.0
GTEX-1F75B-0626-SM-7SB8A 50-59 years, male 93.8
GTEX-1HCU9-0326-SM-9WYSC 20-29 years, male 93.8
GTEX-XV7Q-2326-SM-4BRVZ 40-49 years, female 93.7
GTEX-1RQEC-2026-SM-DTXDM 60-69 years, male 93.7
GTEX-ZAK1-1326-SM-EVYAS 50-59 years, female 92.8
GTEX-ZLWG-1926-SM-DO92J 50-59 years, female 92.8
GTEX-18A6Q-0926-SM-7LG4N 60-69 years, male 92.5
GTEX-YJ8O-2226-SM-5IFHW 40-49 years, female 91.4
GTEX-W5X1-2326-SM-3GIL6 40-49 years, female 91.3
GTEX-12KS4-0126-SM-5Q5A5 30-39 years, male 91.2
GTEX-17HG3-0126-SM-7IGNH 30-39 years, female 90.8
GTEX-U3ZN-1926-SM-4DXSG 30-39 years, female 90.7
GTEX-11DXY-2326-SM-5GICW 60-69 years, male 90.5
GTEX-Y111-2026-SM-4SOJA 50-59 years, male 90.5
GTEX-ZVTK-0326-SM-51MRR 20-29 years, male 90.3
GTEX-1F5PK-2126-SM-7PC28 50-59 years, male 90.3
GTEX-1GZ2Q-2626-SM-7MXV9 40-49 years, male 89.8
GTEX-11NSD-0926-SM-5N9DR 20-29 years, male 88.3
GTEX-ZUA1-1526-SM-59HLS 40-49 years, male 88.2
GTEX-1H4P4-2226-SM-9MQKQ 50-59 years, male 88.2
GTEX-14BMV-0626-SM-793AU 50-59 years, male 88.1
GTEX-TML8-1226-SM-32QON 40-49 years, female 88.0
GTEX-1H1ZS-0126-SM-9YFKQ 70-79 years, male 87.9
GTEX-1HSEH-2026-SM-ADEHN 60-69 years, male 87.8
GTEX-YB5K-1626-SM-5IFIN 40-49 years, female 87.6
GTEX-ZEX8-2226-SM-57WC6 50-59 years, male 87.3
GTEX-15SHW-1326-SM-6PAL8 60-69 years, male 87.0
GTEX-1CAMR-1426-SM-793BO 20-29 years, male 86.1
GTEX-1R9PM-1826-SM-EVYBH 20-29 years, male 86.1
GTEX-1I1HK-2426-SM-ADEHX 60-69 years, male 85.9
GTEX-QVJO-1826-SM-447C9 60-69 years, female 85.7
GTEX-11GSP-0926-SM-9WYSG 60-69 years, female 85.1
GTEX-ZAB4-2526-SM-5HL8M 40-49 years, male 85.0
GTEX-1HT8W-2226-SM-CGQEC 30-39 years, male 84.6
GTEX-1LG7Z-0726-SM-CXKYD 30-39 years, male 84.2
GTEX-WHSB-1926-SM-EXOHH 50-59 years, male 82.8
GTEX-1RLM8-2226-SM-EVYD1 50-59 years, male 82.2
GTEX-QMRM-1626-SM-D4P1U 50-59 years, male 81.9
GTEX-1F75A-1826-SM-7SB8G 50-59 years, male 80.8
GTEX-1H11D-1526-SM-9MQJY 40-49 years, male 80.8
GTEX-1R9JW-0326-SM-EAZ45 30-39 years, female 80.8
GTEX-YFC4-1426-SM-5IFJG 40-49 years, female 79.9
GTEX-11GSO-1926-SM-5A5K3 60-69 years, male 79.6
GTEX-16YQH-2826-SM-6PAMY 30-39 years, male 78.9
GTEX-1KD5A-1926-SM-DKPQA 50-59 years, male 78.9
GTEX-1LBAC-0926-SM-CXKY9 20-29 years, male 78.5
GTEX-YECK-0726-SM-EZ6LV 60-69 years, male 78.2
GTEX-17F97-2526-SM-7EWDV 50-59 years, male 77.9
GTEX-132NY-0826-SM-5K7Y7 60-69 years, male 77.6
GTEX-1EN7A-1426-SM-7PBY4 40-49 years, male 77.4
GTEX-R53T-1526-SM-48FEK 50-59 years, female 76.7
GTEX-ZYFC-0826-SM-5E44K 50-59 years, male 76.6
GTEX-ZDXO-0126-SM-5S2ND 60-69 years, male 75.7
GTEX-17HGU-1326-SM-79OKB 50-59 years, male 75.3
GTEX-117XS-1926-SM-5GICO 60-69 years, male 74.2
GTEX-WY7C-2726-SM-3NB3P 50-59 years, male 73.7
GTEX-S7SE-0826-SM-4AT4D 50-59 years, male 73.1
GTEX-T5JW-2026-SM-4DM63 20-29 years, female 72.9
GTEX-S33H-0326-SM-4AD6N 30-39 years, male 71.5
GTEX-ZYT6-0126-SM-5E45J 30-39 years, male 68.5
GTEX-1HR98-0426-SM-COH36 60-69 years, male 67.5
GTEX-1I1GV-2426-SM-CGQFM 60-69 years, male 66.7
GTEX-1IDJU-1826-SM-CMKHV 60-69 years, female 66.5
GTEX-11DXZ-1926-SM-5GZZL 50-59 years, male 66.1
GTEX-11ZUS-0826-SM-5FQUY 30-39 years, male 65.6
GTEX-144GL-2026-SM-5LU3O 50-59 years, male 63.1
GTEX-TKQ2-1826-SM-33HB2 50-59 years, male 62.3
GTEX-18465-2026-SM-718AP 50-59 years, male 61.5
GTEX-XQ3S-1326-SM-4BOPQ 20-29 years, male 61.4
GTEX-11ONC-2126-SM-5HL6E 60-69 years, male 59.1
GTEX-1EWIQ-1726-SM-7SB7T 70-79 years, female 55.7
GTEX-1LSNL-2826-SM-E9U5L 50-59 years, male 54.1
GTEX-1ICG6-1326-SM-ACKWR 70-79 years, female 53.7
GTEX-XMK1-1126-SM-4IHJ8 40-49 years, male 35.5
Show allShow less

BREAST - FANTOM5 CAGEi

RNA expression in human tissues obtained through Cap Analysis of Gene Expression (CAGE) generated by the FANTOM5 project are reported as Scaled Tags Per Million.

Max subtype Scaled Tags Per Millioni

Max subtype Scaled Tags Per Million is the value for the subtype with the largest average Scaled Tags Per Million across the subtype samples.

149.5
FANTOM5 sample id Sample description Scaled Tags Per Million
Breast
Scaled Tags Per Million: 149.5
FF:10080-102A8 77 years, female 149.5

Contact

  • NEWS ARTICLES
  • PRESS ROOM

The Project

  • INTRODUCTION
  • ORGANIZATION
  • PUBLICATIONS

The Human Protein Atlas

  • DOWNLOADABLE DATA
  • LICENCE & CITATION
  • HELP & FAQ
The Human Protein Atlas project is funded
by the Knut & Alice Wallenberg Foundation.


contact@proteinatlas.org