We use cookies to enhance the usability of our website. If you continue, we'll assume that you are happy to receive all cookies. More information. Don't show this again.
ATP1A1
HPA
RESOURCES
  • TISSUE
  • BRAIN
  • SINGLE CELL
  • SUBCELLULAR
  • CANCER
  • BLOOD
  • CELL LINE
  • STRUCTURE & INTERACTION
ABOUT
  • INTRODUCTION
  • HISTORY
  • ORGANIZATION
  • PUBLICATIONS
  • ANTIBODY SUBMISSION
  • ANTIBODY AVAILABILITY
  • ACKNOWLEDGMENTS
  • CONTACT
NEWS
  • NEWS ARTICLES
  • PRESS ROOM
LEARN
  • DICTIONARY
  • PROTEIN CLASSES
  • PROTEIN EVIDENCE
  • METHODS
  • EDUCATIONAL VIDEOS
DATA
  • DOWNLOADABLE DATA
  • PUBLICATION DATA
  • RELEASE HISTORY
HELP
  • ANTIBODY VALIDATION
  • ASSAYS & ANNOTATION
  • DISCLAIMER
  • HELP & FAQ
  • PRIVACY STATEMENT
  • LICENCE & CITATION
Fields »
Search result

Field
Term
Gene name
Class
Subclass
Class
Keyword
Chromosome
External id
Tissue
Cell type
Expression
Antibody panel
Tissue
Main location
Patient ID
Annotation
Tissue
Category
Tau score
Cluster
Reliability
Brain region
Category
Tau score
Brain region
Category
Tau score
Brain region
Category
Tau score
Cluster
Reliability
Tissue
Cell type
Enrichment
Cell type
Category
Tau score
Cell type
Category
Tau score
Cell type
Category
Tau score
Cell lineage
Category
Tau score
Cluster
Cluster
Location
Searches
Location
Cell line
Class
Type
Phase
Reliability
Cancer
Prognosis
Cancer
Category
Cancer
Category
Tau score
Cluster
Variants
Interacting gene (ensg_id)
Type
Number of interactions
Pathway
Category
Score
Score
Score
Validation
Validation
Validation
Validation
Antibodies
Data type
Column


  • SUMMARY

  • TISSUE

  • BRAIN

  • SINGLE CELL

  • SUBCELL

  • CANCER

  • BLOOD

  • CELL LINE

  • STRUCT & INT

  • ATP1A1
TISSUE PRIMARY DATA SKIN Show tissue menu
ADIPOSE TISSUE ADRENAL GLAND AMYGDALA APPENDIX BASAL GANGLIA BONE MARROW BREAST BRONCHUS CEREBELLUM CEREBRAL CORTEX CERVIX CHOROID PLEXUS COLON DUODENUM
ENDOMETRIUM EPIDIDYMIS ESOPHAGUS FALLOPIAN TUBE GALLBLADDER HEART MUSCLE HIPPOCAMPAL FORMATION HYPOTHALAMUS KIDNEY LIVER LUNG LYMPH NODE MIDBRAIN NASOPHARYNX
ORAL MUCOSA OVARY PANCREAS PARATHYROID GLAND PITUITARY GLAND PLACENTA PROSTATE RECTUM RETINA SALIVARY GLAND SEMINAL VESICLE SKELETAL MUSCLE SKIN SMALL INTESTINE
SMOOTH MUSCLE SOFT TISSUE SPINAL CORD SPLEEN STOMACH TESTIS THYMUS THYROID GLAND TONGUE TONSIL URINARY BLADDER VAGINA
ANTIBODIES
AND
VALIDATION
Dictionary
Skin
Tissue proteome
Skin
SKIN - Expression summary
Protein expression
Skini

On the top, protein expression in current human tissue, based on all annotated cell types, is reported with the units not detected (n), low (l), medium (m) and high (h). Underneath, protein expression in each annotated cell type are reported using the same units.

Protein expression data is based on knowledge-based annotation. For genes where more than one antibody has been used, a collective score is set.

If knowledge-based annotation could not be performed for a gene, no data is displayed here. View antibody staining data further down this page.

h
m
l
n
Cells in basal layer: High
Cells in corneal layer: Not detected
Cells in granular layer: Not detected
Cells in spinous layer: Not detected
Endothelial cells: Not detected
Extracellular matrix: Not detected
Fibrohistiocytic cells: Not detected
Hair follicles: High
Langerhans cells: Not detected
Lymphocytes: Not detected
Melanocytes: Not detected
Vascular mural cells: Not detected
RNA expressioni

A summary of mRNA expression data available for current tissue based on several datasets. The mRNA expression levels in human tissues are based on RNA-seq data generated by the Human Protein Atlas (HPA), Genotype-Tissue Expression (GTEx) portal and CAGE data generated by the FANTOM5 consortium. Consensus normalized expression levels for human tissues was created by combining the data from HPA and GTEx datasets.

The mRNA expression levels in pig are based on RNA-seq data generated by the Human Protein Atlas (HPA), and for mouse, HPA data and in situ hybridization generated by the Allen brain atlas are reported.

Scroll down to view mRNA expression data in more detail.
Consensus:306.4 nTPM
HPA:174.3 nTPM
GTEx:306.4 nTPM

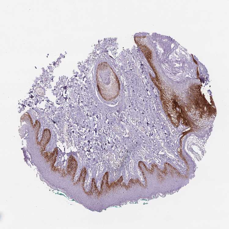
SKIN 1 - Antibody stainingi

Antibody staining in the annotated cell types in the current human tissue is reported as not detected, low, medium, or high, based on conventional immunohistochemistry profiling in selected tissues. This score is based on the combination of the staining intensity and fraction of stained cells.

Each image is clickable and will lead to virtual microscopy that enables deeper exploration of all samples and also displays staining intensity scores, fraction scores and subcellular localization as well as patient and tissue information for each sample.

Antibody CAB018702Antibody CAB069993
Langerhans Not detected-
Cells in basal layer -High
Cells in corneal layer -Not detected
Cells in granular layer -Not detected
Cells in spinous layer -Not detected
Endothelial cells -Not detected
Extracellular matrix -Not detected
Fibroblasts Not detected-
Fibrohistiocytic cells -Not detected
Keratinocytes Not detected-
Langerhans cells -Not detected
Lymphocytes -Not detected
Melanocytes LowNot detected
Vascular mural cells -Not detected


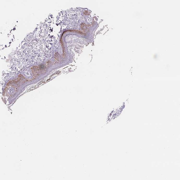
SKIN 2 - Antibody stainingi

Antibody staining in the annotated cell types in the current human tissue is reported as not detected, low, medium, or high, based on conventional immunohistochemistry profiling in selected tissues. This score is based on the combination of the staining intensity and fraction of stained cells.

Each image is clickable and will lead to virtual microscopy that enables deeper exploration of all samples and also displays staining intensity scores, fraction scores and subcellular localization as well as patient and tissue information for each sample.

Antibody CAB018702Antibody CAB069993
Cells in basal layer -High
Cells in corneal layer -Not detected
Cells in granular layer -Not detected
Cells in spinous layer -Not detected
Endothelial cells -Not detected
Epidermal cells Low-
Extracellular matrix -Not detected
Fibrohistiocytic cells -Not detected
Hair follicles -High
Langerhans cells -Not detected
Lymphocytes -Not detected
Melanocytes -Not detected
Vascular mural cells -Not detected
  




SKIN - HPA RNA-seqi

The RNA-seq details section shows detailed information about the individual samples used for the transcript profiling and results of the RNA-seq analysis.

Information about each individual sample is listed below, including gender, age, a tissue section image and estimated fractions of cell types. nTPM (normalized transcripts per million) values give a quantification of the gene abundance which is comparable between different genes and samples.
Average nTPMi

Max subtype nTPM is the value for the subtype with the largest average nTPM across the subtype samples.

174.3
overview
Female, age 34
Skin sample 225
nTPM: 208.6
Cell types%
Keratinocytes:
60

Other cell types:
40

overview
Female, age 30
Skin sample 226
nTPM: 199.8
Cell types%
Keratinocytes:
55

Other cell types:
45

N/A
Male, age 57
Skin sample 227
nTPM: 114.5

SKIN - GTEx RNA-seqi

RNA-Seq data generated by the Genotype-Tissue Expression (GTEx) project from human tissues is reported as mean nTPM. More information can be found on the GTEx portal.

Distribution across the dataset is visualized with box plots, shown as median and 25th and 75th percentiles. Points are displayed as outliers if they are above or below 1.5 times the interquartile range. nTPM values of the individual samples are presented next to the box plot.
Max subtype nTPMi

Max subtype nTPM is the value for the subtype with the largest average nTPM across the subtype samples.

306.4
GTEx sample id Sample description nTPM
Skin - Not Sun Exposed (Suprapubic)
Average nTPM: 297.2
Samples: 604

Max nTPM: 953.9
Min nTPM: 57.2
Std nTPM: 123.2
Median nTPM: 275.1
GTEX-15G1A-1626-SM-7KUKN 30-39 years, male 953.9
GTEX-14E6C-2426-SM-5S2NF 40-49 years, male 855.6
GTEX-1LGOU-1326-SM-D3L8M 20-29 years, female 801.2
GTEX-11P7K-1126-SM-5HL4L 30-39 years, male 746.4
GTEX-WHSE-0126-SM-3NMBT 20-29 years, male 733.9
GTEX-1I1GU-0926-SM-ACKVS 40-49 years, male 728.3
GTEX-WI4N-2726-SM-3LK7Y 40-49 years, female 724.8
GTEX-14C38-0726-SM-5SI6M 50-59 years, male 719.2
GTEX-1QP66-1226-SM-DTX7U 50-59 years, male 701.5
GTEX-117YX-1926-SM-5GIEC 50-59 years, male 694.5
GTEX-1H1DF-1126-SM-9WG7G 40-49 years, female 669.6
GTEX-1I19N-0126-SM-CYPSF 70-79 years, male 655.7
GTEX-11WQK-1026-SM-5EQLX 50-59 years, male 635.5
GTEX-1F75I-2226-SM-7SB8U 40-49 years, male 631.7
GTEX-11EM3-1226-SM-5N9DD 20-29 years, female 628.2
GTEX-1KANC-1226-SM-CYPT7 50-59 years, female 616.5
GTEX-1L5NE-1126-SM-D3L9P 50-59 years, male 605.5
GTEX-13NYC-0126-SM-5L3F4 60-69 years, male 596.8
GTEX-18D9B-0926-SM-7LG4U 60-69 years, male 591.7
GTEX-1F6RS-2026-SM-7RHHC 60-69 years, female 581.0
GTEX-1A3MW-0626-SM-731CB 60-69 years, female 575.2
GTEX-ZT9W-1126-SM-57WDR 50-59 years, male 574.8
GTEX-1H1E6-0426-SM-9WYUS 30-39 years, male 567.4
GTEX-ZYFD-0626-SM-5E44E 50-59 years, male 563.3
GTEX-12696-0126-SM-5EQ4L 60-69 years, male 545.5
GTEX-13JUV-2026-SM-5K7UA 40-49 years, female 544.0
GTEX-18A7B-2726-SM-7LG56 70-79 years, male 540.4
GTEX-1C64O-1326-SM-7MGWR 60-69 years, male 538.7
GTEX-1N2DV-1526-SM-DTXEP 40-49 years, male 532.5
GTEX-12BJ1-0926-SM-5EQ62 60-69 years, male 532.4
GTEX-14XAO-1226-SM-6EU1C 60-69 years, female 528.3
GTEX-UPK5-0426-SM-3GAEK 40-49 years, male 521.7
GTEX-ZAJG-1526-SM-5CVML 50-59 years, female 521.2
GTEX-12WSL-2026-SM-5GCML 50-59 years, male 519.0
GTEX-WH7G-2026-SM-3NMBL 40-49 years, male 518.3
GTEX-U8XE-0226-SM-4E3J3 30-39 years, male 511.6
GTEX-1GTWX-2026-SM-9YFLM 60-69 years, male 509.8
GTEX-148VJ-0626-SM-5LUAW 70-79 years, male 506.9
GTEX-1JN1M-2726-SM-CY8I4 60-69 years, female 506.2
GTEX-1HCU9-0426-SM-9WYSD 20-29 years, male 503.5
GTEX-144FL-0626-SM-5LU43 50-59 years, male 503.0
GTEX-16XZZ-0726-SM-7KUF2 60-69 years, male 502.9
GTEX-1IDJC-1526-SM-B2LW4 50-59 years, male 496.7
GTEX-1F52S-2926-SM-7MKGA 60-69 years, female 493.2
GTEX-15UF6-1926-SM-7KUDV 70-79 years, female 492.5
GTEX-YF7O-1526-SM-5IFI6 50-59 years, male 491.1
GTEX-13FH7-1126-SM-5K7UG 50-59 years, female 490.5
GTEX-1R9K4-2826-SM-DTX8F 60-69 years, male 488.4
GTEX-15G19-2426-SM-7KUMR 60-69 years, male 486.9
GTEX-1497J-0226-SM-5QGPU 60-69 years, male 486.7
GTEX-1F75B-0726-SM-7PC3R 50-59 years, male 486.7
GTEX-14BMU-1226-SM-5S2OR 20-29 years, female 483.8
GTEX-12WSK-2126-SM-5CVNC 40-49 years, female 483.7
GTEX-ZVP2-0326-SM-57WBP 50-59 years, male 481.0
GTEX-XK95-0226-SM-4AT58 40-49 years, male 474.3
GTEX-14PJO-2526-SM-6AJBQ 60-69 years, male 473.6
GTEX-YB5K-2026-SM-4VDT3 40-49 years, female 471.2
GTEX-11TT1-1826-SM-5EQLV 20-29 years, male 468.9
GTEX-1JMQL-2226-SM-CNPP4 50-59 years, female 457.5
GTEX-131XH-0126-SM-5LZUY 50-59 years, male 457.2
GTEX-Y114-2126-SM-4TT8B 50-59 years, female 455.7
GTEX-16AAH-0626-SM-793C9 50-59 years, male 455.2
GTEX-1HSMP-0926-SM-A9SKX 70-79 years, male 453.6
GTEX-1RAZA-2226-SM-E9U4X 20-29 years, male 452.6
GTEX-1QP9N-1226-SM-E76QN 30-39 years, male 450.6
GTEX-11EQ9-1626-SM-5PNY8 30-39 years, male 450.3
GTEX-XBED-1926-SM-47JYP 60-69 years, male 445.2
GTEX-1KANA-1326-SM-DIPFA 20-29 years, male 440.7
GTEX-1C475-1326-SM-7SB73 40-49 years, female 439.1
GTEX-1O9I2-0226-SM-EYYXD 50-59 years, male 437.4
GTEX-XXEK-1626-SM-4BRUZ 50-59 years, male 437.0
GTEX-ZTX8-1326-SM-4YCEL 20-29 years, male 430.7
GTEX-ZLWG-0826-SM-59888 50-59 years, female 430.6
GTEX-WFG7-2026-SM-5SI7P 20-29 years, male 430.4
GTEX-13NZ8-1226-SM-5KM4A 60-69 years, female 427.1
GTEX-YFCO-1226-SM-5LUAT 40-49 years, male 424.8
GTEX-1PPH7-1126-SM-DTX9A 40-49 years, male 423.9
GTEX-145MO-2826-SM-5LU96 60-69 years, male 423.4
GTEX-13FTX-1526-SM-5K7VJ 20-29 years, female 422.4
GTEX-13RTJ-0126-SM-5S2NN 60-69 years, male 421.3
GTEX-12C56-1526-SM-5FQUQ 20-29 years, male 419.4
GTEX-Y5LM-0926-SM-6LLJG 40-49 years, female 418.0
GTEX-ZYVF-0926-SM-5E44J 50-59 years, female 416.6
GTEX-XMD2-2126-SM-4YCF8 60-69 years, female 416.3
GTEX-1211K-1526-SM-5FQU4 60-69 years, female 414.0
GTEX-139TS-2126-SM-5K7XC 60-69 years, male 412.2
GTEX-14PHY-1226-SM-5ZZWK 60-69 years, female 411.9
GTEX-13OVH-0526-SM-5L3E6 70-79 years, male 409.3
GTEX-Y8LW-1526-SM-5IFHL 50-59 years, female 409.0
GTEX-1A3MV-1826-SM-731CD 30-39 years, male 407.6
GTEX-13NZ9-2626-SM-5L3FK 50-59 years, male 405.9
GTEX-1GZ4I-2626-SM-9KNU3 50-59 years, male 404.7
GTEX-1H2FU-0926-SM-9WPPT 60-69 years, female 404.4
GTEX-X8HC-0626-SM-4E3HQ 50-59 years, female 403.7
GTEX-WFG8-2126-SM-3GIKQ 20-29 years, male 402.3
GTEX-1S5ZU-2526-SM-E6CIF 20-29 years, female 401.7
GTEX-14ICL-1626-SM-5YYAO 30-39 years, male 398.4
GTEX-131XG-0326-SM-5L3DX 50-59 years, female 397.6
GTEX-15EU6-2226-SM-6EU2L 50-59 years, male 396.5
GTEX-12584-0726-SM-5FQTK 40-49 years, male 396.1
GTEX-ZDYS-2426-SM-4WKGI 50-59 years, male 395.6
GTEX-14PJ2-0626-SM-6LLII 50-59 years, male 395.5
GTEX-1HCU7-0726-SM-A9SL1 50-59 years, male 395.1
GTEX-16NGA-0726-SM-731AO 40-49 years, female 394.9
GTEX-13X6I-1826-SM-5SIAO 60-69 years, male 391.7
GTEX-1HCU6-2526-SM-ADEHL 60-69 years, female 388.6
GTEX-YEC3-1326-SM-DO92X 50-59 years, male 388.5
GTEX-1CB4J-1326-SM-7P8RX 60-69 years, male 388.0
GTEX-ZYW4-0626-SM-59HJR 60-69 years, male 387.4
GTEX-1HSMQ-2626-SM-A9SML 50-59 years, male 386.8
GTEX-1HR98-2226-SM-ADEI2 60-69 years, male 386.7
GTEX-1E1VI-0326-SM-793D1 50-59 years, male 384.8
GTEX-18A6Q-0626-SM-7KFRP 60-69 years, male 382.9
GTEX-18D9U-0126-SM-731BM 40-49 years, male 381.7
GTEX-147GR-2426-SM-5ZZWQ 60-69 years, male 377.6
GTEX-WHWD-1826-SM-3LK6I 50-59 years, male 375.8
GTEX-14DAQ-0626-SM-793DS 60-69 years, female 375.5
GTEX-WXYG-2026-SM-4E3IY 50-59 years, female 375.0
GTEX-ZWKS-0626-SM-5GIDV 30-39 years, male 374.7
GTEX-ZYFG-1526-SM-5GZYM 60-69 years, female 373.4
GTEX-1CAV2-0126-SM-7IGN7 40-49 years, female 372.5
GTEX-WY7C-2126-SM-3NB2R 50-59 years, male 371.8
GTEX-18A66-0626-SM-7LT8Z 60-69 years, male 370.8
GTEX-17F9E-2326-SM-79OKD 50-59 years, male 369.8
GTEX-1S82P-2126-SM-E6CI5 60-69 years, female 369.4
GTEX-1IDJE-1426-SM-ADEIW 50-59 years, female 368.5
GTEX-1H1CY-0126-SM-9YFLY 60-69 years, female 367.7
GTEX-1H1DG-2426-SM-9QEHJ 70-79 years, male 366.8
GTEX-1S831-1826-SM-EWROF 20-29 years, male 366.6
GTEX-11DYG-1526-SM-5A5JS 60-69 years, male 365.0
GTEX-144GM-0526-SM-79OJO 20-29 years, male 363.8
GTEX-14PHX-2226-SM-6EU2P 50-59 years, male 362.5
GTEX-11DXX-2126-SM-5PNYR 60-69 years, female 361.9
GTEX-11EQ8-0926-SM-5H12V 60-69 years, male 360.6
GTEX-1H3NZ-2726-SM-9WYTQ 60-69 years, male 360.3
GTEX-ZVE1-0726-SM-51MRN 50-59 years, female 359.0
GTEX-17MFQ-1526-SM-7KFRR 20-29 years, male 358.4
GTEX-1PPH8-0126-SM-EWRN8 20-29 years, male 358.3
GTEX-ZUA1-2626-SM-5NQ92 40-49 years, male 357.0
GTEX-12126-0826-SM-5FQTZ 20-29 years, male 355.9
GTEX-1OJC3-1226-SM-DTXER 20-29 years, male 355.5
GTEX-14PJ5-1526-SM-6LLIL 60-69 years, female 354.9
GTEX-1GN1W-2426-SM-9KNUU 50-59 years, female 352.7
GTEX-13OVL-0126-SM-5L3GJ 50-59 years, male 352.5
GTEX-15DDE-2926-SM-6LLJ3 50-59 years, female 351.9
GTEX-1JMQK-1226-SM-D4P2S 60-69 years, male 350.8
GTEX-144GO-2026-SM-5O99P 60-69 years, male 350.6
GTEX-13N11-2326-SM-5IJBF 50-59 years, female 350.1
GTEX-12WSM-1926-SM-5BC65 60-69 years, male 348.1
GTEX-1192X-2726-SM-5N9DN 50-59 years, male 347.3
GTEX-1LSNM-0826-SM-DIPG8 50-59 years, male 347.1
GTEX-15D1Q-2826-SM-6LLH7 40-49 years, male 346.9
GTEX-Y5V6-2326-SM-4VDSA 60-69 years, male 346.5
GTEX-1MJK3-0726-SM-E6CJC 20-29 years, male 345.5
GTEX-1F88E-1626-SM-7SB8Z 60-69 years, female 345.3
GTEX-1LVAM-0726-SM-E6CIL 50-59 years, female 345.2
GTEX-111FC-2526-SM-5GZXU 60-69 years, male 345.1
GTEX-1I6K6-1726-SM-CGQFD 30-39 years, male 344.8
GTEX-145ME-1726-SM-5Q5EU 40-49 years, female 344.7
GTEX-14E1K-2026-SM-7DUEI 50-59 years, male 344.7
GTEX-ZDTT-0426-SM-4WKFL 60-69 years, male 343.9
GTEX-1A32A-0626-SM-731AQ 50-59 years, female 343.8
GTEX-11P82-1426-SM-DTXFY 20-29 years, male 343.8
GTEX-1QCLY-0226-SM-EWRNH 30-39 years, male 343.6
GTEX-1E2YA-2126-SM-7MXUO 50-59 years, male 342.4
GTEX-1LVAN-0626-SM-CNPOQ 50-59 years, female 341.9
GTEX-1314G-1326-SM-5BC6E 30-39 years, male 341.4
GTEX-1GF9X-1326-SM-7PC2Y 40-49 years, female 341.4
GTEX-1HC8U-1326-SM-9YFMJ 40-49 years, female 341.2
GTEX-1A3MX-2626-SM-7PC24 60-69 years, male 340.9
GTEX-1JMQI-1726-SM-ARL93 50-59 years, male 340.6
GTEX-WEY5-2326-SM-3GIKK 40-49 years, female 340.3
GTEX-17F96-0126-SM-7EWDU 70-79 years, male 339.2
GTEX-12WSF-1626-SM-7KUG5 70-79 years, male 339.1
GTEX-1399Q-2326-SM-5KM2X 40-49 years, male 338.2
GTEX-WYBS-0626-SM-3NMAS 60-69 years, female 337.4
GTEX-14PKV-1126-SM-6LLJ1 20-29 years, female 335.4
GTEX-1IDFM-0326-SM-ARL7V 60-69 years, male 335.0
GTEX-X585-2426-SM-46MW2 50-59 years, male 334.4
GTEX-1PDJ9-1226-SM-EXUSX 20-29 years, male 333.9
GTEX-14DAR-1226-SM-73KYV 50-59 years, male 332.0
GTEX-1ICLY-0826-SM-CMKG1 50-59 years, male 331.7
GTEX-VUSG-2326-SM-4KL1U 50-59 years, male 331.5
GTEX-13YAN-0226-SM-5TDC6 60-69 years, male 331.4
GTEX-14A5H-0826-SM-5QGPJ 60-69 years, male 330.3
GTEX-1J8Q2-2626-SM-ACKWQ 60-69 years, male 330.2
GTEX-131XF-2626-SM-5EQ6K 60-69 years, male 329.6
GTEX-1JKYN-0826-SM-ARU8S 30-39 years, male 329.0
GTEX-16MT8-2926-SM-7DUFO 60-69 years, female 328.7
GTEX-145LT-0526-SM-5LUB2 40-49 years, male 326.4
GTEX-14PJ4-0226-SM-5YY92 60-69 years, male 326.2
GTEX-13W3W-0726-SM-5IJDQ 60-69 years, female 325.3
GTEX-1RAZS-2526-SM-E6CHT 50-59 years, male 324.8
GTEX-1PIGE-1826-SM-E8VOU 20-29 years, male 324.5
GTEX-17F98-1326-SM-7DUEP 40-49 years, female 324.4
GTEX-1IKOE-1426-SM-CE6T7 30-39 years, female 323.7
GTEX-1NSGN-0726-SM-DTXEF 50-59 years, male 323.7
GTEX-17F9Y-0126-SM-79OKX 70-79 years, female 323.4
GTEX-Y8E4-2026-SM-5IFJB 40-49 years, male 323.0
GTEX-14JFF-0626-SM-5ZZVT 60-69 years, male 323.0
GTEX-ZTTD-2826-SM-4YCFA 50-59 years, male 321.8
GTEX-1B996-0426-SM-7EWF8 60-69 years, male 321.1
GTEX-14PJ3-1126-SM-5ZZVX 50-59 years, male 320.6
GTEX-183FY-1026-SM-7939A 20-29 years, male 320.3
GTEX-ZDTS-0826-SM-4WKHL 60-69 years, male 320.1
GTEX-139D8-1126-SM-5LU8W 30-39 years, female 319.7
GTEX-1CAMR-1326-SM-7PC1F 20-29 years, male 318.2
GTEX-1F75W-2726-SM-7SB8H 60-69 years, male 318.2
GTEX-139TT-2126-SM-5LZWC 60-69 years, male 317.9
GTEX-1R7EU-1626-SM-DTXG3 60-69 years, male 317.1
GTEX-1RMOY-1326-SM-E9TIH 50-59 years, male 316.9
GTEX-11NUK-2726-SM-5A5MC 50-59 years, male 316.3
GTEX-13O61-1426-SM-5KM3D 60-69 years, male 316.1
GTEX-1JMLX-0626-SM-ARL8T 50-59 years, male 314.3
GTEX-14BMV-2826-SM-5TDED 50-59 years, male 314.2
GTEX-WHPG-2626-SM-3NMBR 50-59 years, male 314.2
GTEX-13OW6-2726-SM-5J2OE 50-59 years, male 311.5
GTEX-1399U-1126-SM-5L3DB 50-59 years, female 310.7
GTEX-1HBPN-0126-SM-CGQEF 50-59 years, male 310.7
GTEX-1IE54-1126-SM-A9G2Z 40-49 years, female 310.6
GTEX-ZGAY-1826-SM-DO91Q 40-49 years, female 310.6
GTEX-12KS4-2126-SM-5FQUT 30-39 years, male 310.5
GTEX-ZDXO-3126-SM-5IJDF 60-69 years, male 310.0
GTEX-1F48J-0726-SM-7RHGS 50-59 years, female 309.8
GTEX-1RLM8-2926-SM-E8VON 50-59 years, male 309.4
GTEX-1KAFJ-0126-SM-DIPEK 50-59 years, male 309.3
GTEX-1H23P-0626-SM-9WG6T 60-69 years, male 309.2
GTEX-11DXZ-2026-SM-5987S 50-59 years, male 308.2
GTEX-14PJ6-2626-SM-6EU2T 60-69 years, female 308.1
GTEX-1LSVX-2526-SM-DIPEU 60-69 years, male 308.1
GTEX-1F5PL-0926-SM-7PC2W 40-49 years, female 308.0
GTEX-13NYS-0626-SM-5L3F1 60-69 years, male 306.8
GTEX-1HSMO-0626-SM-ACKXC 60-69 years, male 306.6
GTEX-1K2DA-1026-SM-CGQGF 50-59 years, male 306.2
GTEX-XYKS-1426-SM-4BRUO 60-69 years, female 305.9
GTEX-18QFQ-1826-SM-72D52 30-39 years, male 305.6
GTEX-1399S-0126-SM-5IJCF 30-39 years, female 304.9
GTEX-XBEW-1126-SM-4QARW 40-49 years, male 304.8
GTEX-ZZ64-1026-SM-5GZXG 20-29 years, male 303.2
GTEX-12ZZX-2426-SM-5GCOE 40-49 years, female 303.1
GTEX-15RJE-2826-SM-7KUM9 40-49 years, male 303.1
GTEX-1HB9E-0126-SM-CM2S5 50-59 years, male 302.1
GTEX-14PKU-0126-SM-6LLHV 40-49 years, female 301.8
GTEX-12WSH-1526-SM-5BC5W 50-59 years, male 301.7
GTEX-XOT4-0626-SM-4B66L 60-69 years, female 301.5
GTEX-14LLW-2626-SM-62LDZ 70-79 years, female 300.8
GTEX-1MCC2-1826-SM-DIPEX 30-39 years, female 300.6
GTEX-132AR-0326-SM-5KM2C 50-59 years, female 299.9
GTEX-1GMR2-0826-SM-7PC3V 50-59 years, male 299.8
GTEX-11ZUS-2626-SM-5FQUR 30-39 years, male 296.9
GTEX-13PVR-0426-SM-5RQK2 60-69 years, female 296.4
GTEX-1HKZK-0726-SM-ACKW2 40-49 years, male 294.8
GTEX-14C5O-0326-SM-5ZZUX 60-69 years, male 294.6
GTEX-1EH9U-2826-SM-7DUGT 60-69 years, male 294.6
GTEX-1LG7Y-2526-SM-EWRO7 50-59 years, male 294.6
GTEX-11WQC-1826-SM-5GU59 60-69 years, male 294.5
GTEX-1QP2A-1726-SM-E76QC 50-59 years, male 294.5
GTEX-Y3I4-1726-SM-4TT89 50-59 years, male 294.4
GTEX-13G51-1826-SM-5KLZH 60-69 years, male 293.4
GTEX-13OVJ-0826-SM-5J1OK 50-59 years, female 292.8
GTEX-13VXT-1926-SM-5K7UO 20-29 years, female 292.5
GTEX-139UW-0326-SM-5J1ML 60-69 years, male 292.3
GTEX-18A67-1626-SM-7LT9T 50-59 years, male 292.3
GTEX-11TUW-0626-SM-5LU9M 60-69 years, male 290.3
GTEX-1PBJJ-1026-SM-E76OS 30-39 years, male 289.9
GTEX-13N2G-0226-SM-5K7VF 60-69 years, male 289.8
GTEX-1CB4I-0126-SM-7RHGG 50-59 years, male 289.3
GTEX-1212Z-0126-SM-59HK4 60-69 years, male 287.9
GTEX-XQ8I-0926-SM-4BOOF 50-59 years, male 287.7
GTEX-1CAMQ-1326-SM-7P8RV 40-49 years, male 287.4
GTEX-ZVTK-0226-SM-51MRG 20-29 years, male 286.2
GTEX-ZA64-1026-SM-5HL8R 20-29 years, male 286.0
GTEX-1B933-2426-SM-7DHMD 50-59 years, female 285.0
GTEX-15SHW-0226-SM-7LTAT 60-69 years, male 284.4
GTEX-1GZ2Q-0126-SM-9WG6M 40-49 years, male 284.3
GTEX-11DZ1-2426-SM-5GZZX 50-59 years, male 284.2
GTEX-1JJ6O-2726-SM-CNPOG 60-69 years, male 284.0
GTEX-12ZZY-0726-SM-5EQ66 60-69 years, male 283.7
GTEX-1B97I-0626-SM-73KUZ 40-49 years, male 283.7
GTEX-13IVO-0726-SM-5LZYV 70-79 years, male 283.6
GTEX-1IL2V-1926-SM-B2LW8 70-79 years, male 282.9
GTEX-13OW5-2326-SM-5L3HO 60-69 years, male 282.6
GTEX-1N5O9-0926-SM-E9J3C 60-69 years, male 282.3
GTEX-111YS-1526-SM-5GZYW 60-69 years, male 282.0
GTEX-1JK1U-0226-SM-ARZMX 60-69 years, male 281.3
GTEX-1GMR8-0626-SM-7RHI7 50-59 years, female 281.0
GTEX-1S82U-1026-SM-E6CJK 30-39 years, female 280.6
GTEX-1GL5R-1326-SM-7RHHF 50-59 years, male 280.0
GTEX-1RAZR-2126-SM-E9U6T 40-49 years, male 280.0
GTEX-13D11-0926-SM-5J2NC 50-59 years, female 279.6
GTEX-1LBAC-0826-SM-CY8IJ 20-29 years, male 279.3
GTEX-13112-0126-SM-5P9IU 50-59 years, male 279.0
GTEX-1QP28-1126-SM-EVYC4 50-59 years, female 279.0
GTEX-1HSGN-0826-SM-ACKW3 40-49 years, female 277.7
GTEX-11DXY-0126-SM-5H11Q 60-69 years, male 277.3
GTEX-13X6H-0926-SM-5SIB2 50-59 years, female 277.2
GTEX-ZLFU-1826-SM-4WWBV 40-49 years, male 277.1
GTEX-14753-0726-SM-5QGQO 60-69 years, male 276.8
GTEX-1AX9I-2226-SM-73KUO 60-69 years, male 276.4
GTEX-1IDJV-0126-SM-COH3Y 60-69 years, male 276.0
GTEX-ZXG5-2126-SM-59HKD 60-69 years, male 275.7
GTEX-1IDJF-2026-SM-CL53V 20-29 years, male 275.3
GTEX-14JG6-1426-SM-9WG7C 30-39 years, female 275.0
GTEX-1HR9M-2226-SM-CNPPY 60-69 years, male 273.9
GTEX-16GPK-0626-SM-7KFSF 60-69 years, male 273.4
GTEX-1MCYP-0526-SM-E9U6Q 20-29 years, female 273.3
GTEX-ZF29-0926-SM-4WKFZ 60-69 years, female 273.2
GTEX-15RIE-1926-SM-7KUKJ 60-69 years, male 272.7
GTEX-13OVG-1626-SM-5J1NF 60-69 years, male 272.1
GTEX-1IDJU-1726-SM-CMKHU 60-69 years, female 271.9
GTEX-WFON-1926-SM-3LK7L 40-49 years, male 271.0
GTEX-1B8KE-1126-SM-7EPHI 50-59 years, male 270.5
GTEX-1K2DU-1226-SM-CYPT4 20-29 years, male 270.4
GTEX-11NSD-0626-SM-5A5LU 20-29 years, male 270.0
GTEX-11ZTT-2126-SM-5CVLO 60-69 years, female 268.9
GTEX-17HG3-2626-SM-7DUF2 30-39 years, female 268.8
GTEX-1QP29-1826-SM-DTX9S 50-59 years, male 268.4
GTEX-17MF6-2626-SM-79OKQ 40-49 years, male 268.2
GTEX-1KWVE-1026-SM-D3L9O 30-39 years, male 268.1
GTEX-13QJC-0126-SM-5ZZWJ 60-69 years, female 268.0
GTEX-145MI-0626-SM-5SI8S 60-69 years, female 267.4
GTEX-145MN-1526-SM-5SI9T 30-39 years, male 267.4
GTEX-1KXAM-1626-SM-D3LAD 60-69 years, male 267.4
GTEX-131YS-2826-SM-5EQ47 60-69 years, female 267.2
GTEX-1GF9W-1426-SM-7PBYM 60-69 years, male 266.8
GTEX-1IDJH-0126-SM-D3L92 70-79 years, male 266.7
GTEX-1AMFI-1326-SM-7939R 50-59 years, female 265.6
GTEX-1C6VQ-1226-SM-73KYD 50-59 years, male 265.1
GTEX-15SKB-2826-SM-6PAMH 60-69 years, male 264.3
GTEX-1R9PN-0426-SM-DTXDT 40-49 years, female 264.0
GTEX-1QEPI-2626-SM-DTXF4 60-69 years, female 263.5
GTEX-1S83E-1326-SM-E6CJM 40-49 years, male 263.3
GTEX-1NV5F-0626-SM-DTXEG 60-69 years, female 263.0
GTEX-ZVE2-2826-SM-5GU51 50-59 years, male 262.6
GTEX-145MG-1526-SM-5Q5EM 50-59 years, male 261.7
GTEX-14LZ3-0126-SM-69LPM 60-69 years, female 260.7
GTEX-1JMPZ-0726-SM-CY8HZ 30-39 years, male 260.5
GTEX-17EVQ-0126-SM-7IGLR 70-79 years, male 259.5
GTEX-11O72-0626-SM-5PNYE 40-49 years, male 259.1
GTEX-ZTSS-1426-SM-5985P 40-49 years, male 259.1
GTEX-1ICLZ-0326-SM-ARL82 60-69 years, male 259.1
GTEX-1HGF4-0126-SM-CNPPX 60-69 years, male 259.0
GTEX-12WSJ-1126-SM-5LZVJ 40-49 years, female 258.5
GTEX-1M4P7-0726-SM-E6CJ3 60-69 years, male 258.3
GTEX-133LE-2326-SM-5K7W3 20-29 years, female 257.7
GTEX-14B4R-1326-SM-5Q5EZ 30-39 years, male 256.8
GTEX-WK11-2726-SM-3NMAQ 50-59 years, male 256.3
GTEX-13N1W-2426-SM-5IJD1 70-79 years, male 256.2
GTEX-1QW4Y-1126-SM-DTXE3 30-39 years, male 256.1
GTEX-ZLV1-1526-SM-DO91J 60-69 years, female 255.8
GTEX-ZY6K-1426-SM-5GZX2 50-59 years, male 255.6
GTEX-1PPGY-1626-SM-EVYBL 60-69 years, male 255.6
GTEX-17JCI-2926-SM-7DUFF 60-69 years, female 255.3
GTEX-1JKYR-0626-SM-ARL8R 20-29 years, male 255.3
GTEX-1HCUA-0826-SM-ADEHM 50-59 years, female 255.2
GTEX-XAJ8-1426-SM-47JYM 40-49 years, male 254.8
GTEX-1IY9M-2826-SM-ARU8H 60-69 years, male 254.8
GTEX-X4EP-0626-SM-3P621 60-69 years, female 254.7
GTEX-139YR-1026-SM-5LZYN 50-59 years, male 254.4
GTEX-1H1DE-1326-SM-9KNUG 20-29 years, male 254.1
GTEX-11LCK-2226-SM-5HL4Q 30-39 years, male 253.7
GTEX-VJYA-1526-SM-3GIJV 60-69 years, male 252.4
GTEX-14JG1-1526-SM-5YY9X 40-49 years, male 251.6
GTEX-1A8FM-0626-SM-7PC25 50-59 years, female 250.9
GTEX-147F4-0726-SM-5TDDD 50-59 years, male 250.8
GTEX-1J1R8-2026-SM-CL53Y 40-49 years, male 250.5
GTEX-1EX96-1026-SM-7MKG2 50-59 years, male 250.0
GTEX-1GZ4H-0526-SM-9KNU9 50-59 years, female 250.0
GTEX-1F6I4-2326-SM-7RHGL 60-69 years, male 249.7
GTEX-13113-1626-SM-5EQ4I 60-69 years, female 249.2
GTEX-1GPI7-1826-SM-9KNU1 20-29 years, male 249.2
GTEX-13SLW-0626-SM-5Q5ER 70-79 years, male 248.9
GTEX-Z93S-1626-SM-5CVMB 50-59 years, male 248.8
GTEX-139TU-0726-SM-5L3EK 60-69 years, male 248.7
GTEX-145LS-0626-SM-7EPG7 60-69 years, female 248.4
GTEX-1J8Q3-0526-SM-ARL8U 60-69 years, male 247.4
GTEX-1I6K7-1926-SM-B2LXR 40-49 years, male 247.3
GTEX-1J8JJ-0626-SM-ARZMQ 60-69 years, female 247.3
GTEX-13O3O-2326-SM-5IJD6 60-69 years, female 246.7
GTEX-147F3-1726-SM-5SIAW 50-59 years, female 246.1
GTEX-1F5PK-2226-SM-7SB6N 50-59 years, male 245.7
GTEX-17HHY-0426-SM-7DHLC 50-59 years, male 244.2
GTEX-1QCLZ-2426-SM-EVYBW 60-69 years, female 243.3
GTEX-1RB15-1326-SM-E76Q9 60-69 years, male 243.2
GTEX-1LG7Z-1626-SM-CXKYR 30-39 years, male 243.1
GTEX-146FQ-2126-SM-5RQHU 30-39 years, male 243.0
GTEX-1LKK1-2626-SM-DKPQE 50-59 years, female 242.9
GTEX-18D9A-1426-SM-7LT8M 30-39 years, female 242.3
GTEX-18A7A-0126-SM-731AH 50-59 years, female 240.5
GTEX-X5EB-1926-SM-4E3IW 40-49 years, male 240.5
GTEX-1A8G7-1326-SM-73KVM 60-69 years, male 239.8
GTEX-12WSD-0626-SM-5GCMW 60-69 years, female 239.3
GTEX-13X6K-0626-SM-5LU5D 60-69 years, female 238.4
GTEX-1LSNL-2726-SM-E9TKJ 50-59 years, male 237.9
GTEX-1RAZQ-1326-SM-E9TK6 30-39 years, male 237.6
GTEX-11DXW-0826-SM-5H118 40-49 years, male 236.5
GTEX-13OVK-1426-SM-6PAN7 40-49 years, male 236.2
GTEX-1C6WA-2626-SM-7MKGM 60-69 years, male 236.0
GTEX-1BAJH-2426-SM-7IGP8 70-79 years, male 235.8
GTEX-1HT8W-0626-SM-A9G2H 30-39 years, male 235.8
GTEX-V1D1-2026-SM-3GAF4 50-59 years, male 235.4
GTEX-WYJK-0526-SM-3NM8Z 50-59 years, male 235.2
GTEX-ZVZP-1226-SM-5GID7 50-59 years, male 235.2
GTEX-1I1GP-1326-SM-A9G28 50-59 years, male 235.0
GTEX-ZYFC-0426-SM-5GICQ 50-59 years, male 234.4
GTEX-1I1CD-0626-SM-CE6SW 60-69 years, female 234.1
GTEX-1JMPY-0226-SM-CKZOK 30-39 years, male 234.0
GTEX-12WSA-0426-SM-5EQ5X 60-69 years, male 233.9
GTEX-ZP4G-1426-SM-4WWCL 20-29 years, female 233.7
GTEX-1HCVE-2726-SM-CL54F 50-59 years, male 233.7
GTEX-1H3VE-0726-SM-9YFL5 40-49 years, male 233.6
GTEX-1AYD5-2626-SM-7PBXY 50-59 years, male 233.5
GTEX-1B8KZ-0326-SM-73KY4 50-59 years, male 233.4
GTEX-1R46S-2426-SM-E76QA 60-69 years, female 233.0
GTEX-XUW1-0926-SM-4BONX 50-59 years, female 232.9
GTEX-1AX8Z-0726-SM-73KTS 60-69 years, male 232.7
GTEX-1HFI6-0126-SM-CNPPI 40-49 years, male 231.4
GTEX-13QBU-1226-SM-5LU4G 40-49 years, female 231.1
GTEX-145MF-0926-SM-5Q5EA 50-59 years, male 230.1
GTEX-1QAET-0326-SM-EVR3U 50-59 years, male 230.1
GTEX-1AMEY-0826-SM-72D65 30-39 years, female 229.9
GTEX-1R9PM-1926-SM-EVR3O 20-29 years, male 229.4
GTEX-13PVQ-0626-SM-5LU47 50-59 years, male 228.9
GTEX-1GF9U-2026-SM-7SB92 40-49 years, female 228.8
GTEX-1GMR3-0126-SM-A9SLW 40-49 years, male 228.6
GTEX-1C64N-2626-SM-7PC2N 50-59 years, male 228.5
GTEX-131XW-0626-SM-5PNVD 50-59 years, female 228.1
GTEX-13NYB-0126-SM-5J1MD 40-49 years, male 227.7
GTEX-X4EO-2926-SM-4E3JH 60-69 years, female 227.6
GTEX-X3Y1-2026-SM-3P5YM 40-49 years, male 227.5
GTEX-14PK6-0226-SM-62LF5 70-79 years, female 227.3
GTEX-13FLV-0126-SM-5K7WT 50-59 years, male 227.0
GTEX-1F88F-0126-SM-9WYSZ 60-69 years, female 226.9
GTEX-ZPU1-1126-SM-4YCF3 40-49 years, male 226.4
GTEX-16NPX-0726-SM-7KULC 50-59 years, male 226.1
GTEX-13FTW-0326-SM-5K7UW 40-49 years, male 225.0
GTEX-1I1GS-2626-SM-B2LY3 60-69 years, male 223.9
GTEX-1LVAO-2726-SM-E9TJ8 60-69 years, male 223.1
GTEX-11OF3-0126-SM-5PNYF 60-69 years, male 222.7
GTEX-1QPFJ-1926-SM-EVYBD 30-39 years, female 222.7
GTEX-ZU9S-1826-SM-5NQ9E 30-39 years, male 222.2
GTEX-14E6E-0526-SM-793DN 30-39 years, male 221.9
GTEX-13PDP-0726-SM-5L3HP 60-69 years, male 221.2
GTEX-1J1OQ-0126-SM-D4P2N 40-49 years, female 221.0
GTEX-16YQH-2226-SM-7IGM2 30-39 years, male 220.1
GTEX-1EU9M-1426-SM-793AI 60-69 years, male 220.0
GTEX-1A8G6-2726-SM-731AR 60-69 years, male 219.9
GTEX-UPJH-0226-SM-3GADV 50-59 years, male 219.9
GTEX-W5X1-2526-SM-3GILC 40-49 years, female 219.4
GTEX-1J8QM-2426-SM-A9SLS 60-69 years, female 218.6
GTEX-111CU-1126-SM-5EGIM 50-59 years, male 218.1
GTEX-183WM-0326-SM-72D5V 70-79 years, female 217.3
GTEX-15RIG-0726-SM-7KUM7 40-49 years, male 216.8
GTEX-1JN76-0626-SM-CKZOQ 20-29 years, female 216.8
GTEX-1KANB-2826-SM-CY8I6 50-59 years, male 216.6
GTEX-1QMI2-2526-SM-E8VNZ 60-69 years, male 216.3
GTEX-1HFI7-2326-SM-CGQFS 50-59 years, female 216.1
GTEX-YEC4-1826-SM-4W1YP 40-49 years, male 215.8
GTEX-1ICG6-1226-SM-A9SLN 70-79 years, female 215.8
GTEX-1CAMS-2226-SM-7PBXQ 40-49 years, female 215.0
GTEX-16MT9-0126-SM-7EPI8 60-69 years, female 212.4
GTEX-XQ3S-1426-SM-4BOPR 20-29 years, male 212.2
GTEX-15CHQ-0326-SM-69LQD 60-69 years, male 211.8
GTEX-15ER7-0626-SM-6PANF 20-29 years, female 209.2
GTEX-XPVG-2126-SM-4B667 50-59 years, male 208.8
GTEX-11VI4-1126-SM-5EQMD 40-49 years, female 208.7
GTEX-1JJE9-2626-SM-ARZMT 70-79 years, male 208.7
GTEX-1H1ZS-2726-SM-9WG75 70-79 years, male 208.3
GTEX-15CHC-1126-SM-6LLHQ 60-69 years, female 208.2
GTEX-17HHE-1326-SM-7EWDZ 50-59 years, male 207.0
GTEX-17HGU-2326-SM-7DUFE 50-59 years, male 206.9
GTEX-ZYY3-2926-SM-5GIEB 60-69 years, female 205.9
GTEX-16MTA-0926-SM-6M47Z 50-59 years, male 205.6
GTEX-1S3DN-2126-SM-E9TIN 50-59 years, male 205.4
GTEX-ZC5H-1526-SM-5HL9Y 40-49 years, female 205.2
GTEX-13PL6-1126-SM-5L3IE 40-49 years, female 203.9
GTEX-YECK-0326-SM-4W1YS 60-69 years, male 203.7
GTEX-Y3IK-1626-SM-4YCF5 50-59 years, female 203.2
GTEX-ZT9X-1526-SM-5DUXD 40-49 years, male 202.5
GTEX-1B8SF-0126-SM-7DUG3 60-69 years, male 202.1
GTEX-1K9T9-1526-SM-DIPFR 50-59 years, female 201.7
GTEX-12WSC-2826-SM-5BC5Y 50-59 years, male 201.1
GTEX-13FHO-0426-SM-5L3F5 60-69 years, male 201.0
GTEX-14AS3-1526-SM-5Q5ED 40-49 years, female 201.0
GTEX-11EI6-2826-SM-5H11D 60-69 years, male 200.5
GTEX-16BQI-1326-SM-6M486 30-39 years, female 200.2
GTEX-15RJ7-2126-SM-6PAMD 40-49 years, male 198.8
GTEX-1KD5A-0126-SM-E9U54 50-59 years, male 198.1
GTEX-144GL-0626-SM-5LU4D 50-59 years, male 198.0
GTEX-1LGRB-0926-SM-COH3K 50-59 years, female 197.2
GTEX-1B932-2326-SM-79OL5 40-49 years, female 196.9
GTEX-1H11D-1826-SM-9QEHM 40-49 years, male 195.9
GTEX-14C39-1726-SM-5RQIL 40-49 years, male 195.1
GTEX-1IDJD-2326-SM-ACKWX 30-39 years, male 194.9
GTEX-17F97-2626-SM-7IGM5 50-59 years, male 194.8
GTEX-1C2JI-1026-SM-73KY1 50-59 years, male 194.3
GTEX-147JS-0226-SM-5S2U9 60-69 years, male 194.2
GTEX-1CB4H-1126-SM-7MKGL 60-69 years, female 192.1
GTEX-13OW7-0426-SM-5K7VK 50-59 years, male 191.9
GTEX-ZE7O-2726-SM-51MT5 50-59 years, female 191.9
GTEX-16Z82-2626-SM-7KULU 60-69 years, male 191.6
GTEX-13X6J-0626-SM-5LU5F 50-59 years, male 189.7
GTEX-1122O-1026-SM-9WYSF 60-69 years, female 189.4
GTEX-ZVT4-2426-SM-5GIEI 50-59 years, female 188.9
GTEX-ZYT6-2326-SM-5GZY3 30-39 years, male 188.9
GTEX-1JJEA-1826-SM-ARU8P 60-69 years, male 188.1
GTEX-1F6IF-0926-SM-7SB7M 60-69 years, male 187.7
GTEX-ZE9C-2526-SM-5IJDR 60-69 years, male 186.5
GTEX-13SLX-2226-SM-62LEP 50-59 years, female 186.3
GTEX-ZAK1-0626-SM-5HL8E 50-59 years, female 186.2
GTEX-1CB4E-0926-SM-7EPHT 60-69 years, male 186.1
GTEX-1LVA9-2626-SM-EVYD4 50-59 years, male 185.9
GTEX-14PJN-1826-SM-6AJ98 30-39 years, male 185.8
GTEX-14PII-0726-SM-6EU2B 60-69 years, male 184.6
GTEX-1HBPI-2126-SM-ARL9K 50-59 years, male 182.8
GTEX-139T8-0626-SM-5KLZX 60-69 years, male 182.2
GTEX-1F75A-0726-SM-7RHHD 50-59 years, male 180.9
GTEX-145MH-2826-SM-5RQJF 50-59 years, male 180.7
GTEX-1HSKV-1226-SM-ADEI4 60-69 years, male 180.3
GTEX-1HUB1-1426-SM-CGQF5 60-69 years, male 180.2
GTEX-11P81-2226-SM-5PNYI 30-39 years, female 179.6
GTEX-14BIN-1126-SM-5RQJZ 50-59 years, female 176.9
GTEX-1AX9J-1326-SM-731BJ 60-69 years, male 176.9
GTEX-13JVG-0726-SM-5KM16 60-69 years, male 176.4
GTEX-178AV-1726-SM-7KUL8 40-49 years, male 176.2
GTEX-1I4MK-0126-SM-CY8G6 50-59 years, female 176.0
GTEX-Y9LG-1126-SM-4VBQ7 30-39 years, male 175.9
GTEX-1JN6P-2926-SM-CL54D 60-69 years, male 175.7
GTEX-1JMOU-1026-SM-CYPSS 60-69 years, female 173.6
GTEX-1313W-0626-SM-5EQ4H 50-59 years, female 173.4
GTEX-Y111-0626-SM-4SOIT 50-59 years, male 173.2
GTEX-1HBPM-0726-SM-9YFL7 60-69 years, female 172.6
GTEX-1GN1U-0626-SM-9MQL9 50-59 years, female 172.5
GTEX-15EO6-2426-SM-6PALZ 50-59 years, male 172.4
GTEX-1117F-2926-SM-5GZYI 60-69 years, female 172.0
GTEX-17KNJ-2126-SM-718AM 50-59 years, male 170.8
GTEX-WHSB-1326-SM-3LK6W 50-59 years, male 170.7
GTEX-11PRG-0726-SM-5EGL1 50-59 years, male 170.5
GTEX-11UD2-2526-SM-5CVNU 50-59 years, male 169.5
GTEX-14ABY-2026-SM-62LDL 50-59 years, male 169.5
GTEX-1GPI6-1926-SM-9KNV7 60-69 years, male 169.0
GTEX-1I1GV-0626-SM-ARL7M 60-69 years, male 168.9
GTEX-ZPIC-0526-SM-DO91W 40-49 years, female 168.6
GTEX-13OW8-1026-SM-5J1NQ 60-69 years, male 167.2
GTEX-YJ8O-2526-SM-5HL85 40-49 years, female 163.9
GTEX-13VXU-0626-SM-5L3F9 50-59 years, male 163.5
GTEX-1I1GT-1026-SM-ARZLV 60-69 years, female 163.3
GTEX-WRHU-2826-SM-3MJG8 50-59 years, female 161.7
GTEX-1GN73-0726-SM-7P8TJ 60-69 years, male 160.6
GTEX-XBEC-0726-SM-4QARZ 50-59 years, male 160.2
GTEX-ZF3C-0626-SM-DO92O 50-59 years, female 160.0
GTEX-18465-2826-SM-7LT9J 50-59 years, male 159.6
GTEX-1GZHY-0626-SM-9KNVC 50-59 years, female 159.5
GTEX-1EN7A-2426-SM-793DB 40-49 years, male 158.7
GTEX-1GMRU-2126-SM-7P8RA 50-59 years, male 158.6
GTEX-1H4P4-2126-SM-9WYSL 50-59 years, male 158.4
GTEX-1399R-1326-SM-5PNYS 30-39 years, male 157.2
GTEX-1CB4F-1026-SM-7DUH1 60-69 years, male 156.7
GTEX-1B8L1-2226-SM-7P8PT 60-69 years, male 155.5
GTEX-1IDJI-0126-SM-CMKHS 50-59 years, female 155.5
GTEX-ZF2S-1626-SM-57WES 50-59 years, female 155.4
GTEX-1269C-0126-SM-5EQ5L 60-69 years, female 155.3
GTEX-13U4I-2226-SM-5LU5H 40-49 years, female 155.3
GTEX-1I1HK-2326-SM-CKZOH 60-69 years, male 154.7
GTEX-1IKJJ-2226-SM-CJI4C 60-69 years, male 154.3
GTEX-13FTY-2126-SM-5IFFB 40-49 years, female 153.6
GTEX-13O3Q-0126-SM-5KM34 50-59 years, male 152.7
GTEX-ZZPU-0826-SM-5GZX5 50-59 years, female 150.9
GTEX-1PIIG-2326-SM-DTXFR 30-39 years, male 150.4
GTEX-1477Z-0326-SM-7IGLA 60-69 years, male 148.5
GTEX-145LU-1926-SM-79OJN 50-59 years, male 146.6
GTEX-14A6H-2026-SM-5Q5DD 30-39 years, male 146.5
GTEX-ZPCL-1126-SM-4WWFE 60-69 years, female 145.1
GTEX-1EWIQ-0326-SM-7DHMQ 70-79 years, female 143.9
GTEX-1POEN-2326-SM-E9J2L 30-39 years, female 141.7
GTEX-ZAB4-2126-SM-5HL8U 40-49 years, male 139.2
GTEX-11GSP-2326-SM-5HL63 60-69 years, female 138.8
GTEX-11ZU8-0126-SM-5EQ58 60-69 years, male 138.4
GTEX-XV7Q-1826-SM-4BRUV 40-49 years, female 137.0
GTEX-1GF9V-0826-SM-9KNUV 60-69 years, male 136.3
GTEX-17HII-1426-SM-7EPGG 50-59 years, male 135.9
GTEX-1GN1V-2826-SM-9JGIA 60-69 years, male 135.4
GTEX-1HCU8-2526-SM-CE6RX 60-69 years, female 134.6
GTEX-1IOXB-2726-SM-CM2RI 50-59 years, male 130.9
GTEX-15CHR-1126-SM-7EWF4 50-59 years, male 129.9
GTEX-ZVT2-0126-SM-5GIDQ 50-59 years, female 129.5
GTEX-17EVP-2626-SM-7IGMA 40-49 years, male 129.2
GTEX-1GN2E-0226-SM-9WG6K 60-69 years, male 125.9
GTEX-1N2EE-0626-SM-E76PW 60-69 years, male 124.0
GTEX-1C6VR-0126-SM-7RHGB 60-69 years, male 122.7
GTEX-11GS4-0226-SM-5HL77 60-69 years, male 115.0
GTEX-1H3O1-1326-SM-9MQLD 60-69 years, male 114.5
GTEX-1EKGG-0626-SM-7DUGJ 60-69 years, male 112.3
GTEX-Y5V5-0126-SM-5S2NW 60-69 years, female 111.5
GTEX-12ZZZ-0726-SM-5GCNZ 60-69 years, male 111.2
GTEX-WYVS-1626-SM-3NM9R 40-49 years, female 111.2
GTEX-1J8EW-2726-SM-CY8HR 60-69 years, female 109.5
GTEX-1EMGI-2326-SM-7PBYA 60-69 years, male 106.2
GTEX-1JMQJ-0826-SM-CNPP7 50-59 years, male 105.3
GTEX-1OJC4-2726-SM-E76PJ 50-59 years, female 105.0
GTEX-15DYW-2726-SM-6EU2I 60-69 years, female 99.1
GTEX-111VG-1626-SM-5EGIO 60-69 years, male 97.4
GTEX-1LB8K-0726-SM-D5OV2 50-59 years, male 87.9
GTEX-15FZZ-0526-SM-7KUGD 30-39 years, female 57.2
Show allShow less
Skin - Sun Exposed (Lower leg)
Average nTPM: 306.4
Samples: 701

Max nTPM: 874.4
Min nTPM: 61.7
Std nTPM: 135.2
Median nTPM: 282.0
GTEX-1F75I-0326-SM-9YFLU 40-49 years, male 874.4
GTEX-U4B1-1826-SM-4DXSU 40-49 years, male 827.6
GTEX-OHPM-0126-SM-2YUN9 50-59 years, male 820.2
GTEX-14E6E-1826-SM-5S2R7 30-39 years, male 809.5
GTEX-X4XY-0226-SM-4E3IZ 60-69 years, male 784.3
GTEX-1R9PO-2126-SM-E9J4O 60-69 years, female 779.9
GTEX-OXRL-0126-SM-2YUMP 50-59 years, male 746.9
GTEX-14E6C-0126-SM-5RQIP 40-49 years, male 719.3
GTEX-15UF6-0826-SM-6PALJ 70-79 years, female 718.6
GTEX-1QW4Y-1526-SM-EAZ3Z 30-39 years, male 712.5
GTEX-1IKK5-0626-SM-ARL8A 60-69 years, male 704.0
GTEX-11P7K-2126-SM-5GU7G 30-39 years, male 691.8
GTEX-11TT1-2526-SM-5EGIB 20-29 years, male 678.8
GTEX-15EOM-0126-SM-7KUGG 20-29 years, female 676.7
GTEX-1NHNU-1026-SM-E9J2A 50-59 years, male 667.6
GTEX-12WSK-2326-SM-5GCOH 40-49 years, female 661.7
GTEX-11ZUS-0626-SM-59885 30-39 years, male 655.0
GTEX-1JKYN-1326-SM-CGQG9 30-39 years, male 650.9
GTEX-1CAMR-1926-SM-7EPI2 20-29 years, male 628.9
GTEX-117YX-2326-SM-5H12W 50-59 years, male 627.6
GTEX-14ICK-0226-SM-6EU25 40-49 years, male 615.9
GTEX-11WQK-0526-SM-5EQLD 50-59 years, male 615.8
GTEX-15D1Q-0126-SM-7KUG6 40-49 years, male 615.3
GTEX-13NYC-0326-SM-E9J4S 60-69 years, male 615.2
GTEX-ZYFD-0126-SM-5GIDL 50-59 years, male 609.8
GTEX-1LSNM-1926-SM-E6CII 50-59 years, male 606.6
GTEX-1JMQL-0226-SM-CNPP5 50-59 years, female 604.5
GTEX-XQ8I-0426-SM-4BOPO 50-59 years, male 598.1
GTEX-11UD1-0126-SM-5PNYG 40-49 years, female 595.0
GTEX-1QP2A-0126-SM-E9J43 50-59 years, male 592.7
GTEX-1AX9K-2326-SM-73KWU 50-59 years, male 586.9
GTEX-1211K-2026-SM-5EQ4Z 60-69 years, female 583.1
GTEX-1H1E6-1726-SM-ACKVK 30-39 years, male 580.8
GTEX-1B996-0226-SM-7RHGO 60-69 years, male 579.5
GTEX-1A3MX-0126-SM-731BR 60-69 years, male 579.1
GTEX-146FH-0126-SM-5QGPP 50-59 years, female 577.7
GTEX-WRHK-1426-SM-3MJF9 20-29 years, female 570.7
GTEX-15EU6-0426-SM-6PAN5 50-59 years, male 567.5
GTEX-1I1GU-2226-SM-CGQFA 40-49 years, male 565.4
GTEX-RUSQ-1526-SM-2TF62 50-59 years, male 563.9
GTEX-1H23P-0126-SM-ADEJ3 60-69 years, male 560.9
GTEX-ZF3C-0126-SM-DO92D 50-59 years, female 556.1
GTEX-13W3W-2426-SM-5LU5B 60-69 years, female 550.4
GTEX-1AX9I-0126-SM-7SB74 60-69 years, male 549.9
GTEX-OXRK-0226-SM-3NB2G 50-59 years, female 544.0
GTEX-1497J-2426-SM-7IGNX 60-69 years, male 542.3
GTEX-XBED-2226-SM-47JYQ 60-69 years, male 539.9
GTEX-1H3VY-0126-SM-ACKXD 50-59 years, male 533.3
GTEX-1PDJ9-0326-SM-DTX95 20-29 years, male 529.0
GTEX-13NYS-0126-SM-5MR3W 60-69 years, male 526.7
GTEX-1N2DV-0226-SM-E6CJ6 40-49 years, male 522.9
GTEX-14XAO-2326-SM-6EU1B 60-69 years, female 521.8
GTEX-O5YT-0126-SM-48TBW 20-29 years, male 520.2
GTEX-1A3MW-0126-SM-73KXX 60-69 years, female 517.7
GTEX-1I19N-0326-SM-ACKVX 70-79 years, male 512.9
GTEX-1F6RS-0126-SM-9MQKZ 60-69 years, female 511.8
GTEX-1GPI6-0126-SM-9WG69 60-69 years, male 504.2
GTEX-U3ZM-1526-SM-3DB9D 40-49 years, male 501.2
GTEX-1PPH7-2326-SM-EVYB8 40-49 years, male 499.9
GTEX-1AMEY-1326-SM-73KYK 30-39 years, female 497.5
GTEX-XAJ8-0826-SM-47JY6 40-49 years, male 497.0
GTEX-13O21-1426-SM-5K7XI 50-59 years, male 495.4
GTEX-OHPL-0126-SM-2HMJ7 60-69 years, female 492.6
GTEX-T2YK-0526-SM-32QPJ 50-59 years, male 490.9
GTEX-1RLM8-2326-SM-EWRN4 50-59 years, male 490.9
GTEX-11WQC-2526-SM-5CVLE 60-69 years, male 490.2
GTEX-14JIY-0126-SM-6LLH6 60-69 years, male 489.6
GTEX-Q2AH-1626-SM-3GAF8 40-49 years, male 488.6
GTEX-T6MO-1626-SM-32QOM 40-49 years, female 486.7
GTEX-1I6K6-0126-SM-A9SLE 30-39 years, male 486.6
GTEX-12WSN-5019-SM-79OM6 40-49 years, male 482.1
GTEX-1AX8Z-0126-SM-7DHM6 60-69 years, male 480.4
GTEX-13NZ8-0826-SM-5MR3I 60-69 years, female 478.6
GTEX-WI4N-1026-SM-3LK7N 40-49 years, female 478.4
GTEX-SUCS-1926-SM-32PM3 70-79 years, male 476.9
GTEX-1C2JI-1826-SM-73KXC 50-59 years, male 471.4
GTEX-1HSMP-0126-SM-E6CJS 70-79 years, male 471.4
GTEX-14PN4-0126-SM-6EU2V 50-59 years, male 467.6
GTEX-131XF-5016-SM-7MGWE 60-69 years, male 467.6
GTEX-15UKP-0426-SM-7KUFQ 20-29 years, male 466.8
GTEX-W5X1-3026-SM-EAZAX 40-49 years, female 462.5
GTEX-XYKS-2126-SM-4E3IB 60-69 years, female 458.7
GTEX-1HCUA-2426-SM-ADEIS 50-59 years, female 457.9
GTEX-12WSL-2526-SM-5GCNJ 50-59 years, male 457.4
GTEX-ZTPG-0326-SM-5O9AX 20-29 years, female 457.3
GTEX-16XZZ-0126-SM-793DV 60-69 years, male 455.7
GTEX-1HSMQ-1226-SM-CGQFX 50-59 years, male 455.2
GTEX-U8XE-0326-SM-3DB8P 30-39 years, male 454.0
GTEX-YB5K-2126-SM-4WWDJ 40-49 years, female 454.0
GTEX-1B8KE-2126-SM-73KYX 50-59 years, male 453.5
GTEX-13113-5016-SM-7EPIP 60-69 years, female 451.7
GTEX-S7PM-0126-SM-4AD6S 60-69 years, male 451.3
GTEX-13O3Q-2426-SM-5IJBR 50-59 years, male 450.7
GTEX-1NV5F-0226-SM-E8VNY 60-69 years, female 450.1
GTEX-1K2DA-1826-SM-CGQGT 50-59 years, male 449.3
GTEX-131XG-2626-SM-5KM17 50-59 years, female 446.9
GTEX-U8T8-0126-SM-3DB94 60-69 years, male 445.9
GTEX-WXYG-2326-SM-4E3I6 50-59 years, female 444.6
GTEX-S95S-1226-SM-4GICG 60-69 years, male 443.8
GTEX-1ICLY-0126-SM-D4P36 50-59 years, male 443.8
GTEX-WOFL-0126-SM-3MJG2 60-69 years, male 443.6
GTEX-QESD-1426-SM-2S1R9 20-29 years, male 442.5
GTEX-QDVN-2026-SM-3GAEP 50-59 years, male 441.6
GTEX-Y114-2426-SM-4TT8A 50-59 years, female 441.4
GTEX-13FTX-1826-SM-5J1NX 20-29 years, female 440.4
GTEX-YEC4-2126-SM-5IFJH 40-49 years, male 439.0
GTEX-1IDJF-0126-SM-CM2RS 20-29 years, male 437.2
GTEX-13YAN-0326-SM-5O9DF 60-69 years, male 436.3
GTEX-1F75B-0126-SM-9KNVL 50-59 years, male 434.4
GTEX-P4PQ-0126-SM-2S1NM 60-69 years, male 432.6
GTEX-QLQW-1126-SM-2S1Q8 30-39 years, male 431.3
GTEX-1CAMS-0426-SM-7P8T2 40-49 years, female 431.1
GTEX-RU72-0926-SM-2TF6B 50-59 years, female 431.0
GTEX-13VXT-0126-SM-5LU4I 20-29 years, female 430.7
GTEX-ZZ64-1726-SM-5GZYB 20-29 years, male 430.3
GTEX-OXRO-0126-SM-2YUN4 60-69 years, female 427.2
GTEX-13RTK-1426-SM-5QGQJ 20-29 years, male 425.8
GTEX-X62O-0126-SM-4E3JN 50-59 years, male 425.8
GTEX-144GN-2326-SM-5LU4F 50-59 years, male 424.4
GTEX-1L5NE-2526-SM-E6CIE 50-59 years, male 423.9
GTEX-145LV-2126-SM-5LU8N 50-59 years, male 423.4
GTEX-X261-0126-SM-3NMD6 50-59 years, male 421.2
GTEX-T5JC-0426-SM-32PLO 20-29 years, male 421.0
GTEX-139T4-0226-SM-5HL5S 50-59 years, female 419.0
GTEX-14PN3-2426-SM-6LLHS 60-69 years, female 418.9
GTEX-11TUW-2726-SM-E9J4M 60-69 years, male 417.9
GTEX-QEG4-0226-SM-2S1PY 30-39 years, male 417.0
GTEX-11ZTT-2426-SM-5EQLS 60-69 years, female 416.4
GTEX-1PBJI-0526-SM-E8VNK 20-29 years, female 415.2
GTEX-1QP9N-1426-SM-DTXFL 30-39 years, male 415.1
GTEX-1R7EV-2426-SM-EVYBG 40-49 years, male 414.1
GTEX-ZE7O-0126-SM-57WC1 50-59 years, female 413.8
GTEX-1CB4J-0626-SM-7DHMP 60-69 years, male 412.2
GTEX-RM2N-1426-SM-2TF4H 50-59 years, male 410.9
GTEX-13O1R-0126-SM-5L3EH 60-69 years, male 410.6
GTEX-12126-0326-SM-5PNW3 20-29 years, male 410.3
GTEX-1H1DE-2126-SM-9WG6R 20-29 years, male 409.4
GTEX-17HHE-2026-SM-79OKF 50-59 years, male 408.4
GTEX-WQUQ-0426-SM-3MJFU 60-69 years, male 407.5
GTEX-1F75A-0126-SM-7RHGM 50-59 years, male 407.0
GTEX-PLZ6-1426-SM-DKPOT 30-39 years, male 406.3
GTEX-1B933-0126-SM-7PC29 50-59 years, female 405.9
GTEX-18D9B-0526-SM-7LTAS 60-69 years, male 405.0
GTEX-1H1CY-2826-SM-9MQM3 60-69 years, female 404.4
GTEX-VJWN-0126-SM-3GIK7 50-59 years, female 404.2
GTEX-W5WG-1826-SM-4KL2Y 50-59 years, female 404.0
GTEX-QDVJ-1726-SM-2I5FX 50-59 years, male 403.8
GTEX-1GN1W-0526-SM-9MQJQ 50-59 years, female 403.8
GTEX-1N2EF-0226-SM-EYYXB 60-69 years, male 403.0
GTEX-1C64O-0126-SM-7SB8P 60-69 years, male 402.8
GTEX-13OVI-1426-SM-5L3EY 60-69 years, female 402.5
GTEX-1LC47-0326-SM-E9TJP 60-69 years, male 401.8
GTEX-1PIGE-0126-SM-EVYBJ 20-29 years, male 401.6
GTEX-144FL-0126-SM-5TDC8 50-59 years, male 401.1
GTEX-14DAR-2026-SM-5S2O3 50-59 years, male 400.4
GTEX-Y3I4-2126-SM-4TT7C 50-59 years, male 399.3
GTEX-X8HC-0126-SM-4E3JW 50-59 years, female 398.5
GTEX-15SB6-1726-SM-6PAME 50-59 years, female 398.2
GTEX-R55G-2526-SM-2TC6D 40-49 years, female 397.7
GTEX-145LT-1726-SM-5QGP3 40-49 years, male 397.4
GTEX-17F98-0626-SM-79OMX 40-49 years, female 397.4
GTEX-1A3MV-1926-SM-718BT 30-39 years, male 396.9
GTEX-16AAH-1726-SM-7939C 50-59 years, male 396.1
GTEX-O5YW-0126-SM-3LK6D 50-59 years, male 392.6
GTEX-11EM3-2426-SM-59861 20-29 years, female 391.9
GTEX-17EUY-0426-SM-793BD 20-29 years, male 391.6
GTEX-13FH7-2026-SM-E9J4I 50-59 years, female 391.5
GTEX-PWCY-1826-SM-DHXIZ 20-29 years, female 388.1
GTEX-QLQ7-1626-SM-2S1R8 60-69 years, male 386.3
GTEX-1GF9X-2026-SM-7PC3A 40-49 years, female 380.6
GTEX-1HFI6-0226-SM-ADEHZ 40-49 years, male 377.3
GTEX-139UW-2826-SM-5L3E7 60-69 years, male 377.2
GTEX-183WM-0126-SM-7LTAB 70-79 years, female 377.2
GTEX-14BIL-0126-SM-5SI92 50-59 years, male 376.7
GTEX-183FY-0126-SM-7LT9P 20-29 years, male 375.0
GTEX-13FTW-2626-SM-5K7WL 40-49 years, male 374.8
GTEX-1GZ4H-1726-SM-7PBZJ 50-59 years, female 373.3
GTEX-1I1GP-2226-SM-CGQFK 50-59 years, male 372.7
GTEX-1JMQI-2226-SM-CM2SD 50-59 years, male 372.5
GTEX-1AYCT-2426-SM-7IGQ3 50-59 years, male 372.0
GTEX-1J8Q3-1626-SM-CMKGC 60-69 years, male 370.8
GTEX-X4XX-0126-SM-3NMC2 60-69 years, male 369.0
GTEX-ZVZP-2426-SM-59HKJ 50-59 years, male 369.0
GTEX-14PJ3-1826-SM-62LEX 50-59 years, male 368.2
GTEX-OIZH-0126-SM-2HMIS 50-59 years, male 368.2
GTEX-1GPI7-0126-SM-9MQL8 20-29 years, male 368.2
GTEX-1I4MK-2226-SM-ACKWD 50-59 years, female 367.3
GTEX-ZQUD-1426-SM-57WER 30-39 years, male 367.2
GTEX-13G51-2526-SM-5LZYK 60-69 years, male 366.9
GTEX-ZTX8-1426-SM-5DUVO 20-29 years, male 365.8
GTEX-1F6I4-0126-SM-9MQL2 60-69 years, male 365.5
GTEX-1HBPH-0426-SM-B2LW5 40-49 years, female 365.2
GTEX-1QP67-1626-SM-EAZ3X 40-49 years, female 365.2
GTEX-Q2AI-1326-SM-2S1PL 40-49 years, male 365.0
GTEX-POMQ-2226-SM-2I5FK 20-29 years, female 364.6
GTEX-15G19-0126-SM-6PANQ 60-69 years, male 363.6
GTEX-1MGNQ-0126-SM-EVYCJ 40-49 years, male 363.6
GTEX-YJ8A-0426-SM-5IFID 20-29 years, male 363.3
GTEX-1MUQO-0126-SM-EAZ58 60-69 years, male 362.3
GTEX-1S5ZA-0126-SM-EVYCV 20-29 years, male 362.2
GTEX-13X6H-2126-SM-7EWD5 50-59 years, female 361.6
GTEX-1GN1V-0126-SM-9WPOS 60-69 years, male 361.1
GTEX-146FR-1326-SM-E9J48 60-69 years, female 360.8
GTEX-13PVR-2326-SM-5QGR1 60-69 years, female 360.7
GTEX-1KANC-1526-SM-D3LAB 50-59 years, female 358.6
GTEX-12WSD-0126-SM-59HKN 60-69 years, female 358.1
GTEX-1J8QM-2126-SM-CYPSJ 60-69 years, female 357.3
GTEX-1PPH8-0226-SM-E8VND 20-29 years, male 356.4
GTEX-XQ3S-1526-SM-4BOOC 20-29 years, male 355.6
GTEX-NPJ8-0126-SM-2YUNR 40-49 years, male 354.2
GTEX-S32W-2126-SM-2XCB1 50-59 years, female 354.0
GTEX-1B8KZ-2026-SM-7DHMB 50-59 years, male 353.7
GTEX-1HSMO-0126-SM-CL547 60-69 years, male 353.7
GTEX-1HGF4-2426-SM-ACKXM 60-69 years, male 353.3
GTEX-Y5LM-1926-SM-5RQJH 40-49 years, female 352.7
GTEX-XMD2-0126-SM-4YCDU 60-69 years, female 352.2
GTEX-145MI-0526-SM-5O9A8 60-69 years, female 352.0
GTEX-1CAV2-2226-SM-7P8P2 40-49 years, female 352.0
GTEX-WVJS-0126-SM-4MVOT 50-59 years, male 350.9
GTEX-1R7EU-0226-SM-EVR4G 60-69 years, male 350.3
GTEX-1RAZQ-0726-SM-EAZ43 30-39 years, male 350.3
GTEX-1I1GV-0526-SM-A9G29 60-69 years, male 349.0
GTEX-TKQ1-1026-SM-4GICL 30-39 years, male 348.7
GTEX-139T8-0126-SM-5K7XZ 60-69 years, male 348.1
GTEX-ZGAY-0526-SM-4WWBB 40-49 years, female 348.1
GTEX-1AMFI-2026-SM-731BH 50-59 years, female 346.6
GTEX-11ZU8-2526-SM-5EQKI 60-69 years, male 346.3
GTEX-145ME-1826-SM-5SI9G 40-49 years, female 346.1
GTEX-1399U-2326-SM-5K7WY 50-59 years, female 346.0
GTEX-1GZ2Q-0226-SM-7P8TL 40-49 years, male 345.6
GTEX-1PWST-0226-SM-E76QJ 70-79 years, male 344.9
GTEX-1J1R8-1726-SM-ARL8M 40-49 years, male 344.7
GTEX-12584-0126-SM-5EGKQ 40-49 years, male 344.0
GTEX-13X6I-0626-SM-5QGP9 60-69 years, male 343.6
GTEX-11GS4-2726-SM-5A5LE 60-69 years, male 342.7
GTEX-1IE54-0126-SM-CMKHW 40-49 years, female 342.4
GTEX-1HSEH-0126-SM-ACKXN 60-69 years, male 340.2
GTEX-1CB4F-0426-SM-9KNV4 60-69 years, male 340.1
GTEX-1C4CL-0526-SM-73KVK 30-39 years, male 339.2
GTEX-1H3O1-0426-SM-9YFKY 60-69 years, male 339.1
GTEX-1J8Q2-0526-SM-CM2RW 60-69 years, male 338.2
GTEX-1QCLY-0326-SM-E8VOG 30-39 years, male 338.2
GTEX-TMMY-0226-SM-33HBA 40-49 years, female 337.3
GTEX-14PHX-2326-SM-62LEM 50-59 years, male 336.9
GTEX-14A5I-0126-SM-5TDEA 50-59 years, female 336.0
GTEX-1R9K4-0126-SM-DTX9X 60-69 years, male 334.7
GTEX-XPVG-2626-SM-4B669 50-59 years, male 334.5
GTEX-147F4-0226-SM-5QGPW 50-59 years, male 334.2
GTEX-17GQL-2026-SM-718BA 60-69 years, male 333.9
GTEX-ZDYS-2026-SM-5HL5L 50-59 years, male 333.9
GTEX-18D9U-0226-SM-718BP 40-49 years, male 333.8
GTEX-15DDE-0126-SM-6LPKH 50-59 years, female 333.6
GTEX-YB5E-2026-SM-5IFIS 40-49 years, male 330.3
GTEX-1C6WA-0126-SM-7PC2B 60-69 years, male 329.5
GTEX-131XW-0426-SM-5LZWP 50-59 years, female 329.4
GTEX-R55E-0126-SM-2TC5Y 20-29 years, male 329.0
GTEX-11OC5-0126-SM-5HL6A 60-69 years, male 328.3
GTEX-UPJH-0326-SM-3GADU 50-59 years, male 327.7
GTEX-PVOW-0126-SM-2XCFA 40-49 years, male 325.9
GTEX-1JN6P-0126-SM-D3L98 60-69 years, male 324.7
GTEX-1PFEY-1526-SM-E76PP 30-39 years, male 323.6
GTEX-PSDG-0226-SM-DKPOZ 50-59 years, male 321.9
GTEX-1MCYP-1926-SM-E9J2R 20-29 years, female 320.8
GTEX-RVPV-0126-SM-EAZAW 60-69 years, male 320.8
GTEX-13O3P-0126-SM-5KM4S 50-59 years, male 320.7
GTEX-RWS6-2026-SM-2XCB5 60-69 years, female 320.4
GTEX-ZVT2-2526-SM-51MT1 50-59 years, female 320.3
GTEX-1OFPY-2426-SM-DTXEJ 60-69 years, male 319.0
GTEX-1JMPY-1326-SM-ARL8Y 30-39 years, male 318.9
GTEX-NFK9-0226-SM-2HMKQ 40-49 years, male 318.7
GTEX-11OF3-2626-SM-5GU7F 60-69 years, male 318.0
GTEX-WYJK-0126-SM-3NMAB 50-59 years, male 317.8
GTEX-11LCK-1026-SM-5A5KB 30-39 years, male 317.6
GTEX-18465-0126-SM-731BN 50-59 years, male 317.4
GTEX-WFG8-2226-SM-3GIL9 20-29 years, male 317.1
GTEX-13CF3-2426-SM-5IFGX 60-69 years, female 316.9
GTEX-1GTWX-0126-SM-9YFLK 60-69 years, male 316.6
GTEX-14DAQ-0126-SM-5S2MQ 60-69 years, female 316.0
GTEX-1H2FU-0126-SM-9WYSI 60-69 years, female 315.3
GTEX-1128S-2326-SM-5GZZY 60-69 years, female 315.1
GTEX-1JN1M-0326-SM-CYPT3 60-69 years, female 313.5
GTEX-OOBJ-0126-SM-E6CJW 60-69 years, male 313.1
GTEX-ZE9C-2726-SM-57WB5 60-69 years, male 312.3
GTEX-1HKZK-0326-SM-9WYUH 40-49 years, male 311.7
GTEX-1I1GS-0126-SM-B2LVW 60-69 years, male 311.4
GTEX-113JC-2326-SM-5EQ4E 50-59 years, female 310.4
GTEX-1QP66-1726-SM-E8VO1 50-59 years, male 309.7
GTEX-Y5V6-2426-SM-4VDSB 60-69 years, male 309.2
GTEX-13OVK-2026-SM-7KUEO 40-49 years, male 308.9
GTEX-1LNCM-1126-SM-E9U5E 50-59 years, female 308.2
GTEX-15F5U-1526-SM-6PANO 40-49 years, male 308.0
GTEX-13S7M-0126-SM-5SI6A 60-69 years, female 307.8
GTEX-OIZF-0126-SM-7SB8I 60-69 years, male 306.5
GTEX-131XH-2226-SM-5DUXJ 50-59 years, male 304.8
GTEX-15SHW-0326-SM-6PAML 60-69 years, male 304.6
GTEX-ZWKS-0126-SM-5SIAA 30-39 years, male 304.2
GTEX-12C56-1726-SM-5EQ61 20-29 years, male 304.0
GTEX-WY7C-2326-SM-3NB2U 50-59 years, male 303.7
GTEX-OOBK-0126-SM-2YUND 40-49 years, male 303.6
GTEX-TMZS-0126-SM-3DB9Q 60-69 years, male 303.4
GTEX-QVJO-1626-SM-2S1QW 60-69 years, female 302.5
GTEX-1C475-1826-SM-73KWA 40-49 years, female 302.2
GTEX-11O72-0126-SM-59887 40-49 years, male 302.1
GTEX-12WSJ-1826-SM-5GCNY 40-49 years, female 301.9
GTEX-14BIM-0226-SM-7IGLD 60-69 years, female 301.0
GTEX-1S82Z-0826-SM-E6CHY 30-39 years, female 300.9
GTEX-1GL5R-1826-SM-9KNUY 50-59 years, male 300.3
GTEX-1CB4I-0226-SM-79OLH 50-59 years, male 300.2
GTEX-XXEK-2226-SM-4BRUM 50-59 years, male 300.0
GTEX-1JMQK-0226-SM-CL543 60-69 years, male 299.4
GTEX-1ICLZ-0126-SM-CKZPO 60-69 years, male 299.1
GTEX-14C5O-0126-SM-5SI6N 60-69 years, male 298.8
GTEX-SE5C-1626-SM-2XCE3 40-49 years, female 298.1
GTEX-17F96-1626-SM-7DUFL 70-79 years, male 297.4
GTEX-1KANA-0726-SM-D3L9I 20-29 years, male 296.9
GTEX-SIU8-0126-SM-2XCDT 50-59 years, male 296.1
GTEX-Y3IK-2426-SM-4WWDU 50-59 years, female 295.6
GTEX-1F5PL-0326-SM-7P8PQ 40-49 years, female 295.1
GTEX-1399R-2726-SM-5IJBA 30-39 years, male 294.8
GTEX-1MA7X-2226-SM-E6CIY 60-69 years, male 294.6
GTEX-11DZ1-0126-SM-5985Q 50-59 years, male 294.3
GTEX-ZVZO-0126-SM-5A5L9 40-49 years, male 294.3
GTEX-11DXX-2426-SM-5GZZW 60-69 years, female 293.2
GTEX-13FHO-0226-SM-5IFGY 60-69 years, male 293.2
GTEX-X5EB-2226-SM-46MW4 40-49 years, male 292.7
GTEX-OXRP-0126-SM-3NB32 60-69 years, female 292.2
GTEX-1QP29-0626-SM-EWRMX 50-59 years, male 291.9
GTEX-11NUK-0126-SM-5A5L3 50-59 years, male 291.7
GTEX-UJHI-1526-SM-3DB99 50-59 years, female 291.6
GTEX-12ZZX-0126-SM-5EGK9 40-49 years, female 291.3
GTEX-1GN2E-0426-SM-9MQKX 60-69 years, male 291.3
GTEX-1ICG6-2526-SM-CGQFZ 70-79 years, female 291.3
GTEX-14A5H-0426-SM-5QGQF 60-69 years, male 291.0
GTEX-P4QT-0126-SM-2I3FL 50-59 years, female 291.0
GTEX-1KAFJ-2026-SM-CY8ID 50-59 years, male 290.8
GTEX-1IDFM-0126-SM-COH2V 60-69 years, male 288.3
GTEX-1HBPN-0226-SM-9YFM1 50-59 years, male 286.1
GTEX-1N2DW-0226-SM-E9TK2 50-59 years, male 285.5
GTEX-13FHP-0126-SM-5IJBG 50-59 years, male 285.4
GTEX-1AX9J-0226-SM-73KXM 60-69 years, male 285.3
GTEX-18A6Q-0126-SM-731BZ 60-69 years, male 285.1
GTEX-1RB15-2126-SM-E9TIM 60-69 years, male 285.1
GTEX-18A7A-0226-SM-718BH 50-59 years, female 283.7
GTEX-1JKYR-0126-SM-CNPOJ 20-29 years, male 283.6
GTEX-QV44-1926-SM-2S1RF 50-59 years, male 283.4
GTEX-1B8SG-0126-SM-73KZ3 50-59 years, male 283.3
GTEX-1IGQW-0126-SM-COH42 60-69 years, male 282.9
GTEX-145MO-0326-SM-5Q5B3 60-69 years, male 282.5
GTEX-15ETS-0126-SM-7KUMW 40-49 years, female 282.3
GTEX-ZF29-2326-SM-DO92K 60-69 years, female 282.3
GTEX-PWO3-1526-SM-48TCM 60-69 years, female 282.0
GTEX-14PK6-1926-SM-6ETZU 70-79 years, female 281.7
GTEX-11XUK-2026-SM-5EQLF 40-49 years, female 281.2
GTEX-1LGRB-2526-SM-CNPPQ 50-59 years, female 281.0
GTEX-V1D1-2226-SM-3NMAX 50-59 years, male 280.9
GTEX-13RTJ-2426-SM-5S2Q2 60-69 years, male 280.5
GTEX-16XZY-2126-SM-79OK1 70-79 years, male 279.8
GTEX-1LG7Y-0526-SM-DKPQC 50-59 years, male 279.8
GTEX-1LGOU-2026-SM-DIPFF 20-29 years, female 279.5
GTEX-1JN76-0126-SM-CNPPE 20-29 years, female 279.4
GTEX-117YW-2626-SM-5GZZH 50-59 years, male 278.3
GTEX-1IDJU-2626-SM-CM2RT 60-69 years, female 278.3
GTEX-1GN1U-0126-SM-7PBZK 50-59 years, female 278.0
GTEX-1HBPM-0226-SM-ARL9F 60-69 years, female 277.8
GTEX-14PHW-0126-SM-6LLJI 60-69 years, female 277.0
GTEX-12WSE-0526-SM-793B2 20-29 years, male 276.9
GTEX-13D11-2426-SM-5KM1V 50-59 years, female 276.1
GTEX-139D8-0226-SM-5KLZO 30-39 years, female 276.0
GTEX-1OJC3-0126-SM-E76QX 20-29 years, male 275.2
GTEX-1RAZA-0126-SM-E6CI3 20-29 years, male 275.1
GTEX-ZDTS-0126-SM-4WAY5 60-69 years, male 275.0
GTEX-17MFQ-1726-SM-793C7 20-29 years, male 274.9
GTEX-1GF9W-0326-SM-9KNUN 60-69 years, male 274.6
GTEX-13OVH-0126-SM-5MR4B 70-79 years, male 274.4
GTEX-QCQG-1726-SM-3GIJ9 50-59 years, female 274.3
GTEX-1JJ6O-0126-SM-E6CI8 60-69 years, male 274.2
GTEX-U412-0426-SM-3DB9O 60-69 years, male 274.1
GTEX-P44H-0226-SM-2XCEU 40-49 years, male 274.0
GTEX-XUW1-0426-SM-4BOOT 50-59 years, female 272.8
GTEX-1MCQQ-0826-SM-DLHC2 60-69 years, male 272.3
GTEX-1F7RK-0126-SM-7PC2S 20-29 years, female 271.8
GTEX-16MT8-0426-SM-7KUEY 60-69 years, female 271.6
GTEX-1HB9E-0226-SM-E9U4R 50-59 years, male 271.6
GTEX-WH7G-2326-SM-3NMBC 40-49 years, male 269.2
GTEX-148VI-1626-SM-5SI6E 60-69 years, female 268.1
GTEX-13X6J-0126-SM-5QGOU 50-59 years, male 267.4
GTEX-OXRN-0126-SM-48TDM 50-59 years, male 267.3
GTEX-145MN-2226-SM-5SIAU 30-39 years, male 266.6
GTEX-1KD5A-0226-SM-D5OV3 50-59 years, male 265.9
GTEX-T5JW-1626-SM-3GADZ 20-29 years, female 265.8
GTEX-17EVQ-0226-SM-7LG4P 70-79 years, male 265.7
GTEX-1HSGN-0226-SM-CGQFV 40-49 years, female 265.7
GTEX-S7SE-0126-SM-2XCD5 50-59 years, male 265.6
GTEX-1H3VE-0326-SM-9YFLH 40-49 years, male 265.5
GTEX-15SHU-0126-SM-7KUEH 40-49 years, female 265.0
GTEX-14BMU-2226-SM-5TDE9 20-29 years, female 264.4
GTEX-RN64-0126-SM-2TC68 50-59 years, male 263.8
GTEX-1192X-0226-SM-5H12D 50-59 years, male 263.4
GTEX-1CB4G-0226-SM-7PC3O 60-69 years, male 263.1
GTEX-13W46-0226-SM-5SIAG 50-59 years, male 261.5
GTEX-14PJ6-2126-SM-6EU1V 60-69 years, female 261.0
GTEX-PLZ4-0126-SM-5SI8O 50-59 years, female 260.9
GTEX-11NSD-2226-SM-5986V 20-29 years, male 260.7
GTEX-18A7B-0126-SM-7LG64 70-79 years, male 260.2
GTEX-13IVO-0126-SM-5J1NG 70-79 years, male 260.1
GTEX-12696-2426-SM-5EQ6H 60-69 years, male 259.8
GTEX-18QFQ-0126-SM-731BE 30-39 years, male 259.7
GTEX-11P81-2326-SM-59875 30-39 years, female 258.7
GTEX-12KS4-0326-SM-5EQ41 30-39 years, male 257.9
GTEX-1314G-1526-SM-5EGK2 30-39 years, male 256.7
GTEX-1HCU7-0226-SM-CL545 50-59 years, male 256.5
GTEX-XBEW-0626-SM-4QASP 40-49 years, male 256.4
GTEX-17HG3-2226-SM-7938L 30-39 years, female 256.2
GTEX-VJYA-1126-SM-3GIJU 60-69 years, male 256.2
GTEX-1HCU9-1526-SM-A9SL7 20-29 years, male 255.7
GTEX-16NPX-0226-SM-79OMT 50-59 years, male 254.8
GTEX-1H1DG-0126-SM-9WYU2 70-79 years, male 254.8
GTEX-ZQG8-1626-SM-DHXIT 60-69 years, female 254.3
GTEX-1S3DN-2226-SM-EVYCD 50-59 years, male 254.1
GTEX-11TTK-0126-SM-5987B 60-69 years, female 253.8
GTEX-1HFI7-1826-SM-ACKXH 50-59 years, female 253.5
GTEX-13OW6-0426-SM-5L3HM 50-59 years, male 252.1
GTEX-13U4I-0126-SM-5LU38 40-49 years, female 252.1
GTEX-145MF-0626-SM-5LUAI 50-59 years, male 251.6
GTEX-Y111-0126-SM-4SOIV 50-59 years, male 251.6
GTEX-13JUV-2726-SM-5LZZ8 40-49 years, female 249.7
GTEX-16NGA-1726-SM-731B4 40-49 years, female 249.7
GTEX-T8EM-1026-SM-3DB7M 40-49 years, male 249.7
GTEX-18D9A-1926-SM-7LG6P 30-39 years, female 249.2
GTEX-132NY-0326-SM-5IJBL 60-69 years, male 249.1
GTEX-Y8DK-0126-SM-4TT3L 60-69 years, male 248.0
GTEX-1K2DU-2326-SM-E9TIV 20-29 years, male 247.0
GTEX-14A6H-0126-SM-5QGPK 30-39 years, male 246.7
GTEX-11UD2-0226-SM-5EQKY 50-59 years, male 245.5
GTEX-1RQEC-0426-SM-E6CHU 60-69 years, male 244.5
GTEX-PW2O-1526-SM-7RHHB 20-29 years, male 244.3
GTEX-16BQI-0226-SM-7KUEX 30-39 years, female 243.8
GTEX-ZV6S-2326-SM-4YCEY 40-49 years, female 243.6
GTEX-RTLS-0126-SM-447CA 60-69 years, female 243.1
GTEX-12WSA-0226-SM-5BC5V 60-69 years, male 241.8
GTEX-1KANB-0526-SM-E6CJH 50-59 years, male 241.8
GTEX-13O3O-0126-SM-E9J49 60-69 years, female 241.5
GTEX-1JMQJ-0526-SM-CYPSU 50-59 years, male 241.4
GTEX-1JMOU-1526-SM-CL54I 60-69 years, female 241.1
GTEX-11P82-1626-SM-59879 20-29 years, male 240.9
GTEX-14E7W-0126-SM-6LLJ9 70-79 years, male 240.1
GTEX-13PDP-0126-SM-5L3HD 60-69 years, male 239.9
GTEX-1MA7W-2026-SM-E9TJ6 20-29 years, female 239.6
GTEX-1KXAM-2226-SM-CYPTC 60-69 years, male 238.9
GTEX-1HCU6-0126-SM-CL54K 60-69 years, female 238.5
GTEX-1HCU8-0626-SM-A9SM9 60-69 years, female 238.2
GTEX-TML8-1926-SM-32QOS 40-49 years, female 238.0
GTEX-OIZG-0726-SM-33HBL 50-59 years, male 237.5
GTEX-1EWIQ-0126-SM-7RHH2 70-79 years, female 236.9
GTEX-TSE9-0126-SM-3DB83 60-69 years, female 236.5
GTEX-14753-0426-SM-5NQAM 60-69 years, male 236.2
GTEX-1AYD5-2426-SM-73KXR 50-59 years, male 235.9
GTEX-ZU9S-0226-SM-5E441 30-39 years, male 235.8
GTEX-1F52S-0126-SM-9MQJU 60-69 years, female 235.6
GTEX-ZPIC-1726-SM-DHXIU 40-49 years, female 235.2
GTEX-Z93S-0126-SM-5HL7M 50-59 years, male 233.6
GTEX-111VG-2426-SM-5GZXD 60-69 years, male 233.5
GTEX-1JK1U-2026-SM-CM2RZ 60-69 years, male 233.5
GTEX-1IL2V-0126-SM-CM2TX 70-79 years, male 232.6
GTEX-X4EP-0126-SM-3P5YV 60-69 years, female 231.9
GTEX-ZDTT-2726-SM-4WKF8 60-69 years, male 231.9
GTEX-11ZVC-2526-SM-5FQTE 50-59 years, female 231.8
GTEX-18A66-0226-SM-718BD 60-69 years, male 231.8
GTEX-ZZPT-0226-SM-5E43X 50-59 years, male 231.6
GTEX-WZTO-0126-SM-3NM95 40-49 years, male 231.4
GTEX-ZYW4-0126-SM-5E44A 60-69 years, male 231.3
GTEX-13NZB-2526-SM-5J1OM 30-39 years, male 230.9
GTEX-14PJM-0226-SM-62LF1 50-59 years, female 230.0
GTEX-1IY9M-0126-SM-D3L8S 60-69 years, male 229.7
GTEX-ZAB5-1826-SM-5HL7C 50-59 years, male 229.3
GTEX-1LVAN-0226-SM-COH3S 50-59 years, female 228.6
GTEX-1R46S-0626-SM-E9J41 60-69 years, female 228.6
GTEX-13FXS-0226-SM-5IJCK 50-59 years, male 228.1
GTEX-13QJ3-0326-SM-5S2RA 50-59 years, male 227.2
GTEX-1EMGI-0126-SM-9KNUE 60-69 years, male 226.4
GTEX-11ZTS-0126-SM-5EQ6M 60-69 years, female 225.9
GTEX-13OVJ-0126-SM-5KM36 50-59 years, female 225.9
GTEX-1QAET-0926-SM-E76QM 50-59 years, male 225.6
GTEX-13OW5-0126-SM-DTXFS 60-69 years, male 224.9
GTEX-1M5QR-1226-SM-EWROB 40-49 years, male 224.5
GTEX-17KNJ-2326-SM-7DHLQ 50-59 years, male 224.3
GTEX-Z9EW-1626-SM-5CVMN 40-49 years, male 224.3
GTEX-1LH75-2426-SM-E9TJE 50-59 years, female 224.2
GTEX-14ABY-0226-SM-5TDCQ 50-59 years, male 223.5
GTEX-X585-0226-SM-4QAS2 50-59 years, male 223.1
GTEX-148VJ-0126-SM-5TDDN 70-79 years, male 222.9
GTEX-1B8L1-2526-SM-9WYTF 60-69 years, male 222.8
GTEX-1HUB1-0426-SM-E9U4U 60-69 years, male 222.6
GTEX-1E1VI-0126-SM-7DHMZ 50-59 years, male 222.5
GTEX-1F48J-0126-SM-7P8TT 50-59 years, female 221.4
GTEX-1JJE9-0326-SM-CL53Z 70-79 years, male 221.4
GTEX-XUZC-1726-SM-4BRWS 30-39 years, female 221.0
GTEX-ZAJG-0126-SM-5HL94 50-59 years, female 220.4
GTEX-1F5PK-2426-SM-7RHHY 50-59 years, male 220.2
GTEX-11DXY-2626-SM-5GIE7 60-69 years, male 220.1
GTEX-17HGU-0226-SM-7DHKV 50-59 years, male 219.5
GTEX-SNMC-1226-SM-2XCFP 20-29 years, male 217.5
GTEX-13SLW-0126-SM-5SI6C 70-79 years, male 217.4
GTEX-147GR-0526-SM-5S2MY 60-69 years, male 217.0
GTEX-13CF2-2526-SM-5LZYX 60-69 years, male 216.5
GTEX-1IOXB-0126-SM-ARL8G 50-59 years, male 216.4
GTEX-1HBPI-1526-SM-C1YQ1 50-59 years, male 216.3
GTEX-13OW7-0126-SM-5MR3B 50-59 years, male 215.2
GTEX-1B97I-1626-SM-73KYO 40-49 years, male 214.3
GTEX-16GPK-0126-SM-7DHLE 60-69 years, male 213.9
GTEX-13OVL-0226-SM-5L3E9 50-59 years, male 213.8
GTEX-1KD4Q-0226-SM-E9TJ9 40-49 years, male 213.6
GTEX-ZC5H-0226-SM-4WAY9 40-49 years, female 213.3
GTEX-146FQ-0126-SM-5NQA9 30-39 years, male 213.2
GTEX-11EQ9-2426-SM-5HL5T 30-39 years, male 213.0
GTEX-1J8JJ-0226-SM-CL53I 60-69 years, female 212.7
GTEX-1F88F-2726-SM-7PBZZ 60-69 years, female 212.2
GTEX-11DXZ-2326-SM-5EGGV 50-59 years, male 211.4
GTEX-13N11-2526-SM-5K7UE 50-59 years, female 211.3
GTEX-14PII-0226-SM-6EU1T 60-69 years, male 211.3
GTEX-Y8LW-1826-SM-5S2MV 50-59 years, female 210.4
GTEX-133LE-1826-SM-5J1MV 20-29 years, female 210.0
GTEX-WFON-2126-SM-3LK7O 40-49 years, male 210.0
GTEX-X4EO-0326-SM-3P5YO 60-69 years, female 209.8
GTEX-SN8G-0126-SM-32PLI 50-59 years, female 209.6
GTEX-13112-2826-SM-5DUWH 50-59 years, male 208.7
GTEX-RWSA-0126-SM-2XCBB 40-49 years, male 208.6
GTEX-1313W-0126-SM-5LZUN 50-59 years, female 208.4
GTEX-17HII-0226-SM-7LG4E 50-59 years, male 208.1
GTEX-1IDJH-0326-SM-A9SLQ 70-79 years, male 208.0
GTEX-1GMR8-0126-SM-9WYTM 50-59 years, female 207.7
GTEX-1C6VQ-0126-SM-7P8RI 50-59 years, male 207.5
GTEX-PLZ5-2026-SM-2S1O4 50-59 years, male 206.0
GTEX-1EKGG-0226-SM-9WYTH 60-69 years, male 205.9
GTEX-X88G-0126-SM-47JZ3 30-39 years, male 205.7
GTEX-ZVE2-0226-SM-59HJB 50-59 years, male 205.2
GTEX-131YS-0126-SM-5KM1M 60-69 years, female 205.0
GTEX-P4PP-0126-SM-3LK69 30-39 years, female 204.9
GTEX-1CB4H-0226-SM-7PBXM 60-69 years, female 204.8
GTEX-17MF6-0126-SM-7LG4F 40-49 years, male 204.6
GTEX-VUSG-2526-SM-4KL1V 50-59 years, male 204.3
GTEX-1JMPZ-0226-SM-CNPP1 30-39 years, male 203.8
GTEX-1EU9M-0226-SM-7P8SP 60-69 years, male 202.9
GTEX-17F97-0326-SM-7LG5B 50-59 years, male 202.4
GTEX-12WSG-2826-SM-E9J4H 50-59 years, female 202.3
GTEX-ZAB4-0226-SM-5N9F5 40-49 years, male 202.2
GTEX-1QPFJ-0226-SM-E76PB 30-39 years, female 202.1
GTEX-1S82Y-2026-SM-EVYCM 40-49 years, male 201.5
GTEX-RNOR-0126-SM-E9J4R 50-59 years, female 200.2
GTEX-14LLW-0126-SM-6LLIO 70-79 years, female 199.8
GTEX-ZTSS-1926-SM-57WEW 40-49 years, male 198.8
GTEX-139TU-0126-SM-5K7WH 60-69 years, male 198.6
GTEX-1I1GT-0626-SM-CGQER 60-69 years, female 198.3
GTEX-1RDX4-0126-SM-E9J4P 50-59 years, female 196.9
GTEX-PX3G-0126-SM-2I3EN 20-29 years, female 196.1
GTEX-1A32A-0126-SM-718B1 50-59 years, female 195.6
GTEX-YFC4-0126-SM-5CVLY 40-49 years, female 195.6
GTEX-1S83E-0126-SM-EWRO4 40-49 years, male 195.1
GTEX-13NYB-2526-SM-5K7Z6 40-49 years, male 194.8
GTEX-12ZZY-0226-SM-5LZVE 60-69 years, male 194.7
GTEX-T2IS-0126-SM-4DM6O 20-29 years, female 194.4
GTEX-15CHC-2126-SM-6EU21 60-69 years, female 194.2
GTEX-1IKJJ-0126-SM-CNPQB 60-69 years, male 192.2
GTEX-15RIG-0226-SM-7KFTL 40-49 years, male 190.6
GTEX-1GF9U-2126-SM-7SB7L 40-49 years, female 190.4
GTEX-S33H-1026-SM-EZ6L6 30-39 years, male 190.4
GTEX-14JG6-2226-SM-6EU2G 30-39 years, female 190.1
GTEX-1CB4E-2226-SM-793DC 60-69 years, male 189.1
GTEX-18A67-0126-SM-7LG5P 50-59 years, male 188.9
GTEX-1R9PM-2026-SM-E76OY 20-29 years, male 186.2
GTEX-17HHY-0126-SM-7LG5D 50-59 years, male 186.1
GTEX-Q734-1926-SM-2I5EV 40-49 years, female 186.1
GTEX-1GN73-0226-SM-9WG67 60-69 years, male 185.8
GTEX-147F3-0526-SM-5SI98 50-59 years, female 184.7
GTEX-1122O-2126-SM-5EGIR 60-69 years, female 184.4
GTEX-U3ZH-2026-SM-3DB78 30-39 years, male 184.1
GTEX-Q2AG-0126-SM-33HBV 40-49 years, female 183.7
GTEX-1C6VS-0526-SM-7DUEN 60-69 years, male 183.4
GTEX-11H98-0126-SM-5EGHG 50-59 years, male 182.5
GTEX-SJXC-0126-SM-2XCFF 60-69 years, male 181.8
GTEX-11VI4-1726-SM-5CVLH 40-49 years, female 180.9
GTEX-13VXU-0126-SM-5SI9F 50-59 years, male 180.8
GTEX-1POEN-0126-SM-EYYXJ 30-39 years, female 180.4
GTEX-13N2G-2626-SM-5J1OT 60-69 years, male 180.3
GTEX-XUYS-0126-SM-47JWZ 50-59 years, male 180.3
GTEX-ZAK1-0126-SM-5IJD3 50-59 years, female 180.2
GTEX-1C64N-0126-SM-793D7 50-59 years, male 180.0
GTEX-Y8E4-0626-SM-4WWDL 40-49 years, male 179.5
GTEX-14BMV-0126-SM-5S2PO 50-59 years, male 178.9
GTEX-169BO-1326-SM-9MQK2 50-59 years, male 178.9
GTEX-14E6D-0126-SM-62LDV 50-59 years, male 176.9
GTEX-ZVT4-0126-SM-DTXFN 50-59 years, female 176.9
GTEX-15ER7-0326-SM-7KUEV 20-29 years, female 176.6
GTEX-1I1CD-0126-SM-CM2TK 60-69 years, female 176.6
GTEX-13N1W-0126-SM-5K7VT 70-79 years, male 176.1
GTEX-16YQH-0126-SM-7DUFJ 30-39 years, male 175.8
GTEX-1K9T9-0126-SM-EVYCF 50-59 years, female 174.9
GTEX-13OVG-1926-SM-5L3DK 60-69 years, male 174.7
GTEX-1BAJH-0526-SM-793CQ 70-79 years, male 174.7
GTEX-1LG7Z-1726-SM-D3LA4 30-39 years, male 174.7
GTEX-1EX96-1626-SM-7PBXR 50-59 years, male 173.4
GTEX-13NZA-0226-SM-5K7Z7 60-69 years, male 172.9
GTEX-1IL2U-0226-SM-CE6T8 60-69 years, male 172.8
GTEX-R45C-0126-SM-EAZ2R 60-69 years, female 172.5
GTEX-1192W-2626-SM-5Q5AF 60-69 years, male 172.0
GTEX-1H3NZ-0126-SM-ACKX7 60-69 years, male 171.8
GTEX-145LU-0126-SM-5TDCB 50-59 years, male 171.5
GTEX-15DCD-0126-SM-7KUEK 70-79 years, female 170.2
GTEX-XV7Q-2526-SM-4BRV9 40-49 years, female 169.8
GTEX-1QMI2-0226-SM-EVYBX 60-69 years, male 169.5
GTEX-T6MN-0126-SM-32PLP 50-59 years, male 169.2
GTEX-1I1GR-0126-SM-CL55F 60-69 years, male 167.8
GTEX-ZYT6-0226-SM-5NQ6T 30-39 years, male 167.7
GTEX-1J1OQ-0226-SM-CYPSH 40-49 years, female 167.6
GTEX-139TS-2826-SM-5J1OO 60-69 years, male 166.3
GTEX-1A8FM-0226-SM-7SB7Q 50-59 years, female 165.9
GTEX-1C6VR-2426-SM-79OLD 60-69 years, male 165.6
GTEX-1O97I-0326-SM-EYYX7 60-69 years, male 164.7
GTEX-139TT-0126-SM-5K7Y5 60-69 years, male 164.4
GTEX-1F6IF-0726-SM-7P8TW 60-69 years, male 164.4
GTEX-13111-1626-SM-5EGJY 50-59 years, male 164.2
GTEX-12ZZZ-0626-SM-5DUXI 60-69 years, male 163.6
GTEX-1269C-2526-SM-5EGJ3 60-69 years, female 163.1
GTEX-14LZ3-0226-SM-62LET 60-69 years, female 162.5
GTEX-1GMRU-0126-SM-9YFLV 50-59 years, male 162.5
GTEX-1IKOH-0226-SM-COH4E 60-69 years, female 162.2
GTEX-14BIN-0626-SM-793DP 50-59 years, female 160.7
GTEX-1H1ZS-0426-SM-9WG6G 70-79 years, male 160.0
GTEX-15SDE-2226-SM-7IGLO 50-59 years, female 159.3
GTEX-11GSO-2426-SM-5A5LY 60-69 years, male 158.6
GTEX-17EVP-0326-SM-7DHLG 40-49 years, male 157.5
GTEX-1GMR3-1926-SM-9KNUZ 40-49 years, male 157.2
GTEX-1LBAC-0126-SM-DIPEZ 20-29 years, male 156.5
GTEX-ZY6K-1826-SM-5GZXK 50-59 years, male 154.8
GTEX-Z93T-0126-SM-5HL5N 50-59 years, male 154.3
GTEX-YJ89-0126-SM-4TT3X 60-69 years, male 153.6
GTEX-SSA3-0126-SM-32QPU 60-69 years, male 153.4
GTEX-113IC-0126-SM-5HL6T 60-69 years, male 153.0
GTEX-ZXG5-0126-SM-5GIEU 60-69 years, male 152.1
GTEX-1HR98-0126-SM-B2LWI 60-69 years, male 150.9
GTEX-ZDXO-3026-SM-5J1N5 60-69 years, male 150.8
GTEX-ZVT3-0126-SM-5GU6I 60-69 years, female 150.6
GTEX-13RTL-0126-SM-7LG5S 40-49 years, male 149.8
GTEX-1KWVE-1426-SM-E9TJO 30-39 years, male 149.7
GTEX-X638-0126-SM-47JZ8 70-79 years, female 149.6
GTEX-13FTY-0526-SM-5L3EV 40-49 years, female 147.8
GTEX-1GZHY-0326-SM-9QEHI 50-59 years, female 147.5
GTEX-11DYG-0126-SM-59883 60-69 years, male 147.3
GTEX-14JG1-0426-SM-6ETZZ 40-49 years, male 146.6
GTEX-1399T-2826-SM-5KLYZ 60-69 years, male 145.4
GTEX-R3RS-0126-SM-3GIJL 40-49 years, female 145.4
GTEX-1M4P7-0226-SM-DIPEV 60-69 years, male 144.2
GTEX-1E2YA-0126-SM-9KNUC 50-59 years, male 143.2
GTEX-1MJK2-0426-SM-DTXE5 50-59 years, male 142.9
GTEX-1J8EW-0126-SM-CJI4F 60-69 years, female 142.5
GTEX-11DXW-0226-SM-5H122 40-49 years, male 141.3
GTEX-12WSC-0126-SM-5EQ4P 50-59 years, male 140.9
GTEX-13SLX-0526-SM-5S2ON 50-59 years, female 140.3
GTEX-144GL-0126-SM-5TDE2 50-59 years, male 139.5
GTEX-1JJEA-0326-SM-CNPOT 60-69 years, male 139.4
GTEX-1HCVE-0126-SM-CGQEU 50-59 years, male 139.0
GTEX-QDT8-0126-SM-48TZ1 30-39 years, female 138.2
GTEX-1LB8K-0226-SM-EWRNW 50-59 years, male 135.1
GTEX-ZF28-0126-SM-4WKGK 60-69 years, male 134.9
GTEX-ZV68-0126-SM-59HKS 50-59 years, female 133.4
GTEX-1EN7A-0126-SM-7SB81 40-49 years, male 129.7
GTEX-ZEX8-2426-SM-4WKG4 50-59 years, male 129.5
GTEX-11EMC-2926-SM-5EQ4F 60-69 years, female 128.7
GTEX-ZYY3-0126-SM-5GZY5 60-69 years, female 128.0
GTEX-WYVS-2126-SM-3NMA3 40-49 years, female 127.8
GTEX-Y5V5-2326-SM-4V6GA 60-69 years, female 127.5
GTEX-1PIIG-0226-SM-EWRN6 30-39 years, male 127.0
GTEX-1HT8W-0126-SM-CNPPP 30-39 years, male 126.8
GTEX-145LS-0126-SM-5QGP1 60-69 years, female 126.5
GTEX-1HSKV-0226-SM-A9SKJ 60-69 years, male 125.9
GTEX-111FC-0126-SM-5N9DL 60-69 years, male 123.8
GTEX-ZVTK-0426-SM-51MRS 20-29 years, male 122.7
GTEX-1QEPI-0126-SM-EWRMQ 60-69 years, female 122.5
GTEX-1I1HK-0126-SM-COH49 60-69 years, male 121.4
GTEX-1B8SF-1426-SM-7DUGL 60-69 years, male 121.2
GTEX-131XE-2326-SM-5PNZ2 50-59 years, male 120.6
GTEX-1I1GQ-0126-SM-COH3H 50-59 years, male 119.8
GTEX-ZXES-1826-SM-5E43S 30-39 years, female 118.4
GTEX-ZUA1-0126-SM-5GU76 40-49 years, male 117.6
GTEX-1JMLX-0226-SM-CM2RO 50-59 years, male 115.7
GTEX-1CAMQ-0226-SM-7IGPK 40-49 years, male 114.4
GTEX-1GF9V-0326-SM-7RHI5 60-69 years, male 112.4
GTEX-13OW8-1326-SM-5J1OW 60-69 years, male 107.8
GTEX-15DYW-0126-SM-7KULE 60-69 years, female 106.8
GTEX-ZYFG-2326-SM-5E44B 60-69 years, female 106.7
GTEX-11GSP-2526-SM-5N9BP 60-69 years, female 105.3
GTEX-17JCI-0126-SM-7LG5G 60-69 years, female 104.5
GTEX-1H11D-0226-SM-9WG6Z 40-49 years, male 104.1
GTEX-1OJC4-0126-SM-E9J2E 50-59 years, female 102.6
GTEX-117XS-2726-SM-5N9BL 60-69 years, male 100.6
GTEX-ZYFC-0226-SM-5NQ75 50-59 years, male 99.7
GTEX-1212Z-2526-SM-5EGKP 60-69 years, male 98.4
GTEX-U3ZN-2326-SM-3DB7W 30-39 years, female 95.8
GTEX-11EI6-0126-SM-5985R 60-69 years, male 80.9
GTEX-ZF2S-2326-SM-4WWCE 50-59 years, female 80.3
GTEX-1H4P4-0726-SM-9YFLR 50-59 years, male 61.7
Show allShow less

Contact

  • NEWS ARTICLES
  • PRESS ROOM

The Project

  • INTRODUCTION
  • ORGANIZATION
  • PUBLICATIONS

The Human Protein Atlas

  • DOWNLOADABLE DATA
  • LICENCE & CITATION
  • HELP & FAQ
The Human Protein Atlas project is funded
by the Knut & Alice Wallenberg Foundation.


contact@proteinatlas.org