We use cookies to enhance the usability of our website. If you continue, we'll assume that you are happy to receive all cookies. More information. Don't show this again.
ATP1A1
HPA
RESOURCES
  • TISSUE
  • BRAIN
  • SINGLE CELL
  • SUBCELLULAR
  • CANCER
  • BLOOD
  • CELL LINE
  • STRUCTURE & INTERACTION
ABOUT
  • INTRODUCTION
  • HISTORY
  • ORGANIZATION
  • PUBLICATIONS
  • ANTIBODY SUBMISSION
  • ANTIBODY AVAILABILITY
  • ACKNOWLEDGMENTS
  • CONTACT
NEWS
  • NEWS ARTICLES
  • PRESS ROOM
LEARN
  • DICTIONARY
  • PROTEIN CLASSES
  • PROTEIN EVIDENCE
  • METHODS
  • EDUCATIONAL VIDEOS
DATA
  • DOWNLOADABLE DATA
  • PUBLICATION DATA
  • RELEASE HISTORY
HELP
  • ANTIBODY VALIDATION
  • ASSAYS & ANNOTATION
  • DISCLAIMER
  • HELP & FAQ
  • PRIVACY STATEMENT
  • LICENCE & CITATION
Fields »
Search result

Field
Term
Gene name
Class
Subclass
Class
Keyword
Chromosome
External id
Tissue
Cell type
Expression
Antibody panel
Tissue
Main location
Patient ID
Annotation
Tissue
Category
Tau score
Cluster
Reliability
Brain region
Category
Tau score
Brain region
Category
Tau score
Brain region
Category
Tau score
Cluster
Reliability
Tissue
Cell type
Enrichment
Cell type
Category
Tau score
Cell type
Category
Tau score
Cell type
Category
Tau score
Cell lineage
Category
Tau score
Cluster
Cluster
Location
Searches
Location
Cell line
Class
Type
Phase
Reliability
Cancer
Prognosis
Cancer
Category
Cancer
Category
Tau score
Cluster
Variants
Interacting gene (ensg_id)
Type
Number of interactions
Pathway
Category
Score
Score
Score
Validation
Validation
Validation
Validation
Antibodies
Data type
Column


  • SUMMARY

  • TISSUE

  • BRAIN

  • SINGLE CELL

  • SUBCELL

  • CANCER

  • BLOOD

  • CELL LINE

  • STRUCT & INT

  • ATP1A1
TISSUE PRIMARY DATA SALIVARY GLAND Show tissue menu
ADIPOSE TISSUE ADRENAL GLAND AMYGDALA APPENDIX BASAL GANGLIA BONE MARROW BREAST BRONCHUS CEREBELLUM CEREBRAL CORTEX CERVIX CHOROID PLEXUS COLON DUODENUM
ENDOMETRIUM EPIDIDYMIS ESOPHAGUS FALLOPIAN TUBE GALLBLADDER HEART MUSCLE HIPPOCAMPAL FORMATION HYPOTHALAMUS KIDNEY LIVER LUNG LYMPH NODE MIDBRAIN NASOPHARYNX
ORAL MUCOSA OVARY PANCREAS PARATHYROID GLAND PITUITARY GLAND PLACENTA PROSTATE RECTUM RETINA SALIVARY GLAND SEMINAL VESICLE SKELETAL MUSCLE SKIN SMALL INTESTINE
SMOOTH MUSCLE SOFT TISSUE SPINAL CORD SPLEEN STOMACH TESTIS THYMUS THYROID GLAND TONGUE TONSIL URINARY BLADDER VAGINA
ANTIBODIES
AND
VALIDATION
Dictionary
Salivary gland
Tissue proteome
Salivary gland
SALIVARY GLAND - Expression summary
Protein expression
Salivary glandi

On the top, protein expression in current human tissue, based on all annotated cell types, is reported with the units not detected (n), low (l), medium (m) and high (h). Underneath, protein expression in each annotated cell type are reported using the same units.

Protein expression data is based on knowledge-based annotation. For genes where more than one antibody has been used, a collective score is set.

If knowledge-based annotation could not be performed for a gene, no data is displayed here. View antibody staining data further down this page.

h
m
l
n
Glandular cells: High
RNA expressioni

A summary of mRNA expression data available for current tissue based on several datasets. The mRNA expression levels in human tissues are based on RNA-seq data generated by the Human Protein Atlas (HPA), Genotype-Tissue Expression (GTEx) portal and CAGE data generated by the FANTOM5 consortium. Consensus normalized expression levels for human tissues was created by combining the data from HPA and GTEx datasets.

The mRNA expression levels in pig are based on RNA-seq data generated by the Human Protein Atlas (HPA), and for mouse, HPA data and in situ hybridization generated by the Allen brain atlas are reported.

Scroll down to view mRNA expression data in more detail.
Consensus:701.1 nTPM
HPA:701.1 nTPM
GTEx:435.9 nTPM
FANTOM5:843.3 Scaled Tags Per Million

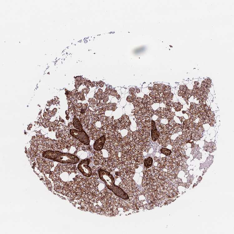
SALIVARY GLAND - Antibody stainingi

Antibody staining in the annotated cell types in the current human tissue is reported as not detected, low, medium, or high, based on conventional immunohistochemistry profiling in selected tissues. This score is based on the combination of the staining intensity and fraction of stained cells.

Each image is clickable and will lead to virtual microscopy that enables deeper exploration of all samples and also displays staining intensity scores, fraction scores and subcellular localization as well as patient and tissue information for each sample.

Antibody CAB018702Antibody CAB069993
Glandular cells HighHigh





SALIVARY GLAND - HPA RNA-seqi

The RNA-seq details section shows detailed information about the individual samples used for the transcript profiling and results of the RNA-seq analysis.

Information about each individual sample is listed below, including gender, age, a tissue section image and estimated fractions of cell types. nTPM (normalized transcripts per million) values give a quantification of the gene abundance which is comparable between different genes and samples.
Average nTPMi

Max subtype nTPM is the value for the subtype with the largest average nTPM across the subtype samples.

701.1
overview
Female, age 68
Salivary gland sample 216
nTPM: 812.2
Cell types%
Glandular cells:
45

Ductal cells:
25

Adipocytes:
5

Other cell types:
25

overview
Male, age 60
Salivary gland sample 217
nTPM: 764.5
Cell types%
Glandular cells:
55

Ductal cells:
20

Adipocytes:
5

Endothelial cells:
5

Other cell types:
15

overview
Female, age 21
Salivary gland sample 218
nTPM: 526.7
Cell types%
Glandular cells:
55

Ductal cells:
15

Adipocytes:
5

Endothelial cells:
5

Other cell types:
20


SALIVARY GLAND - GTEx RNA-seqi

RNA-Seq data generated by the Genotype-Tissue Expression (GTEx) project from human tissues is reported as mean nTPM. More information can be found on the GTEx portal.

Distribution across the dataset is visualized with box plots, shown as median and 25th and 75th percentiles. Points are displayed as outliers if they are above or below 1.5 times the interquartile range. nTPM values of the individual samples are presented next to the box plot.
Max subtype nTPMi

Max subtype nTPM is the value for the subtype with the largest average nTPM across the subtype samples.

435.9
GTEx sample id Sample description nTPM
Minor Salivary Gland
Average nTPM: 435.9
Samples: 162

Max nTPM: 954.5
Min nTPM: 115.7
Std nTPM: 158.2
Median nTPM: 409.7
GTEX-15SHV-2226-SM-6M464 60-69 years, male 954.5
GTEX-13O21-1926-SM-5MR39 50-59 years, male 943.4
GTEX-11ZTT-2226-SM-5CVLP 60-69 years, female 879.2
GTEX-14PJN-1726-SM-69LO7 30-39 years, male 804.8
GTEX-1B97J-2126-SM-79OL6 50-59 years, female 792.7
GTEX-13113-1526-SM-5EGHV 60-69 years, female 769.8
GTEX-1IDJC-1626-SM-AHZ2R 50-59 years, male 738.3
GTEX-1S82P-0726-SM-EVR4O 60-69 years, female 726.1
GTEX-1KANC-1326-SM-CYPT8 50-59 years, female 720.5
GTEX-146FR-1226-SM-5SIA7 60-69 years, female 683.9
GTEX-1MCC2-2226-SM-EV7AJ 30-39 years, female 671.7
GTEX-1AMEY-1126-SM-72D79 30-39 years, female 669.0
GTEX-1J8QM-1826-SM-A96TA 60-69 years, female 663.1
GTEX-1HSGN-0626-SM-A9G2E 40-49 years, female 659.0
GTEX-1LKK1-2926-SM-EVR4Z 50-59 years, female 648.7
GTEX-18D9U-2226-SM-7KFTN 40-49 years, male 646.7
GTEX-14PN4-2526-SM-686ZG 50-59 years, male 646.6
GTEX-1117F-3026-SM-5GZYU 60-69 years, female 645.8
GTEX-1GN1W-2526-SM-9JGHX 50-59 years, female 643.0
GTEX-1HFI7-2426-SM-B2LXV 50-59 years, female 640.7
GTEX-12WSL-2126-SM-5GCNG 50-59 years, male 635.0
GTEX-18A7B-2826-SM-7KFTK 70-79 years, male 632.1
GTEX-1GTWX-2526-SM-9JGHG 60-69 years, male 628.8
GTEX-XGQ4-2626-SM-4AT6B 50-59 years, male 628.0
GTEX-1HSMQ-0926-SM-A96SI 50-59 years, male 627.6
GTEX-14B4R-1426-SM-5Q5CG 30-39 years, male 621.2
GTEX-11WQK-2926-SM-5EQKT 50-59 years, male 611.1
GTEX-14PJ3-1526-SM-664O9 50-59 years, male 599.0
GTEX-Y5V6-2226-SM-4VDTC 60-69 years, male 586.4
GTEX-YF7O-2226-SM-5CVN8 50-59 years, male 573.5
GTEX-13VXT-1726-SM-5IFF5 20-29 years, female 563.1
GTEX-15CHC-1226-SM-686ZH 60-69 years, female 559.9
GTEX-1339X-2326-SM-5HL5B 40-49 years, male 559.6
GTEX-1RNSC-2926-SM-EV79L 60-69 years, male 555.8
GTEX-WHSB-2326-SM-4M1XK 50-59 years, male 552.3
GTEX-ZG7Y-2426-SM-DO11H 50-59 years, male 550.9
GTEX-11P82-0926-SM-5986X 20-29 years, male 550.2
GTEX-12WSM-1826-SM-5BC64 60-69 years, male 545.7
GTEX-15EU6-2626-SM-7KUN4 50-59 years, male 545.4
GTEX-1445S-2926-SM-5O993 60-69 years, male 540.4
GTEX-1I6K6-0626-SM-ARU7J 30-39 years, male 538.6
GTEX-11P81-2026-SM-5P9GT 30-39 years, female 537.9
GTEX-1R9K4-0526-SM-E76P1 60-69 years, male 536.5
GTEX-1I4MK-1326-SM-B2LWT 50-59 years, female 532.5
GTEX-ZQUD-2126-SM-51MSY 30-39 years, male 522.8
GTEX-X3Y1-1926-SM-4PQZO 40-49 years, male 518.2
GTEX-X15G-2126-SM-4PQZR 50-59 years, female 509.0
GTEX-1GMR2-2026-SM-7MKHK 50-59 years, male 505.7
GTEX-1A3MV-1726-SM-72D68 30-39 years, male 505.5
GTEX-1MGNQ-1926-SM-DTX8L 40-49 years, male 498.6
GTEX-1J1R8-1826-SM-AHZ3B 40-49 years, male 490.9
GTEX-12WSN-2226-SM-5DUXT 40-49 years, male 485.6
GTEX-1EH9U-2926-SM-7DHLX 60-69 years, male 483.4
GTEX-11EQ9-2026-SM-5P9JI 30-39 years, male 480.2
GTEX-1RAZA-0626-SM-EAZ4H 20-29 years, male 473.9
GTEX-WOFM-2126-SM-4OOSR 20-29 years, male 469.1
GTEX-1QP9N-2026-SM-DPRZT 30-39 years, male 468.6
GTEX-YB5K-1726-SM-5IFIZ 40-49 years, female 468.3
GTEX-1C64O-0626-SM-7DHL1 60-69 years, male 468.2
GTEX-WFJO-2026-SM-4LVM3 30-39 years, male 465.0
GTEX-1IDJD-2526-SM-C1YSA 30-39 years, male 464.3
GTEX-1LC47-2426-SM-DHXKK 60-69 years, male 463.7
GTEX-1LSNL-2626-SM-EV7AT 50-59 years, male 460.6
GTEX-145ME-1626-SM-5RQI3 40-49 years, female 460.0
GTEX-13QJC-2326-SM-5Q5CD 60-69 years, female 455.0
GTEX-1HSEH-1826-SM-A96SA 60-69 years, male 449.0
GTEX-WY7C-1426-SM-4OND1 50-59 years, male 444.1
GTEX-1314G-2026-SM-5LZUM 30-39 years, male 443.5
GTEX-WH7G-2126-SM-4M1XU 40-49 years, male 442.1
GTEX-X5EB-1726-SM-4E3J7 40-49 years, male 441.9
GTEX-13OVK-1826-SM-6PALE 40-49 years, male 434.5
GTEX-1KD5A-2226-SM-EV79U 50-59 years, male 432.5
GTEX-1GPI7-0326-SM-7MKH6 20-29 years, male 431.3
GTEX-11TUW-2426-SM-5EQKB 60-69 years, male 431.1
GTEX-1C4CL-2026-SM-731EB 30-39 years, male 427.0
GTEX-1LBAC-0626-SM-D3L9T 20-29 years, male 426.0
GTEX-X261-2426-SM-4PQZU 50-59 years, male 423.6
GTEX-1GN1V-2926-SM-9JGI3 60-69 years, male 423.3
GTEX-1I6K7-0926-SM-A96SV 40-49 years, male 422.6
GTEX-ZP4G-1926-SM-57WDZ 20-29 years, female 422.2
GTEX-13OVI-2326-SM-5KM47 60-69 years, female 412.2
GTEX-15RJE-2726-SM-6LPJ1 40-49 years, male 407.1
GTEX-1QCLZ-2526-SM-EXUST 60-69 years, female 404.1
GTEX-WYVS-2026-SM-4RGNS 40-49 years, female 397.8
GTEX-1QEPI-0626-SM-E76QE 60-69 years, female 397.5
GTEX-14E1K-2626-SM-664OJ 50-59 years, male 396.7
GTEX-1KD4Q-2526-SM-CXZKL 40-49 years, male 396.7
GTEX-1MCQQ-2226-SM-DLHC4 60-69 years, male 395.4
GTEX-13111-2326-SM-5LZUQ 50-59 years, male 394.7
GTEX-1CB4I-2526-SM-7MKG1 50-59 years, male 391.3
GTEX-13G51-2426-SM-5LZY8 60-69 years, male 388.0
GTEX-ZLFU-2226-SM-EXUS7 40-49 years, male 386.1
GTEX-ZT9W-2126-SM-51MSF 50-59 years, male 384.4
GTEX-11NV4-1926-SM-5N9D4 60-69 years, male 384.3
GTEX-1AX9K-2126-SM-72D7K 50-59 years, male 381.1
GTEX-1OJC3-1026-SM-E6CQK 20-29 years, male 380.2
GTEX-17KNJ-2726-SM-7KFRE 50-59 years, male 379.5
GTEX-1PIEJ-0626-SM-DTX99 20-29 years, female 372.5
GTEX-1AX8Z-0626-SM-731EH 60-69 years, male 369.1
GTEX-1H4P4-2026-SM-9WPNV 50-59 years, male 368.0
GTEX-1IE54-0826-SM-AHZ2Z 40-49 years, female 367.8
GTEX-12BJ1-2226-SM-5BC6G 60-69 years, male 365.3
GTEX-13OVL-2926-SM-5IFG3 50-59 years, male 362.9
GTEX-1GF9X-0226-SM-7P8SM 40-49 years, female 360.5
GTEX-1B8KZ-1726-SM-73KV7 50-59 years, male 354.8
GTEX-Y111-2626-SM-4TT24 50-59 years, male 350.8
GTEX-ZA64-1726-SM-5CVMF 20-29 years, male 348.3
GTEX-Y3I4-1926-SM-4TT8L 50-59 years, male 347.0
GTEX-1GZ2Q-2526-SM-9KNVW 40-49 years, male 342.2
GTEX-1IY9M-2926-SM-A96TH 60-69 years, male 340.7
GTEX-1JN1M-2426-SM-ARU93 60-69 years, female 340.4
GTEX-1HR9M-2526-SM-A9G3J 60-69 years, male 340.0
GTEX-1LVAO-2626-SM-EVR4S 60-69 years, male 339.4
GTEX-ZF29-2126-SM-DNZYX 60-69 years, female 336.6
GTEX-1AYD5-2726-SM-7MXVG 50-59 years, male 336.3
GTEX-ZXG5-2826-SM-5NQ8T 60-69 years, male 334.6
GTEX-13JVG-2926-SM-5J2N9 60-69 years, male 330.4
GTEX-1R9PO-2626-SM-E6CPU 60-69 years, female 330.3
GTEX-1I1HK-2526-SM-A96SM 60-69 years, male 329.8
GTEX-1P4AB-2926-SM-EXOJR 50-59 years, male 327.3
GTEX-1R9K5-0626-SM-DPRZB 50-59 years, male 327.2
GTEX-131XF-2826-SM-5EGKH 60-69 years, male 326.6
GTEX-178AV-1426-SM-6LLID 40-49 years, male 324.6
GTEX-17MFQ-1626-SM-7938Z 20-29 years, male 315.3
GTEX-111FC-2926-SM-5GZY7 60-69 years, male 311.2
GTEX-1JN6P-2526-SM-CNNPX 60-69 years, male 310.4
GTEX-ZLWG-2026-SM-DO11F 50-59 years, female 307.4
GTEX-ZE7O-2926-SM-51MSG 50-59 years, female 307.0
GTEX-1POEN-2226-SM-DPRXV 30-39 years, female 301.4
GTEX-1QMI2-0426-SM-EWRND 60-69 years, male 293.2
GTEX-1IOXB-2826-SM-AHZ32 50-59 years, male 292.3
GTEX-1LVA9-2526-SM-EVR5H 50-59 years, male 290.5
GTEX-1C64N-2926-SM-79OLM 50-59 years, male 290.4
GTEX-1JKYR-0726-SM-AHZ3K 20-29 years, male 290.2
GTEX-1PPH8-1526-SM-E6CQO 20-29 years, male 289.4
GTEX-ZPU1-2326-SM-57WEP 40-49 years, male 287.9
GTEX-18QFQ-0626-SM-718AW 30-39 years, male 283.5
GTEX-13NYB-2426-SM-5IFF4 40-49 years, male 282.7
GTEX-1B8SF-1826-SM-731DJ 60-69 years, male 281.3
GTEX-18A67-0626-SM-7KFSL 50-59 years, male 277.3
GTEX-1OJC4-3126-SM-EXOJK 50-59 years, female 277.3
GTEX-XV7Q-2426-SM-4BRV8 40-49 years, female 277.2
GTEX-1B932-0626-SM-731EM 40-49 years, female 277.1
GTEX-1C6VR-0726-SM-7P8OV 60-69 years, male 271.7
GTEX-1HCU7-0126-SM-C1YR3 50-59 years, male 271.6
GTEX-1R9PM-1726-SM-E8VOA 20-29 years, male 270.5
GTEX-XMK1-2626-SM-4B65R 40-49 years, male 270.3
GTEX-1H1CY-2326-SM-9OSXW 60-69 years, female 260.4
GTEX-1S83E-0626-SM-E9TKC 40-49 years, male 250.0
GTEX-ZAB5-2326-SM-5IJFR 50-59 years, male 244.6
GTEX-ZQG8-2126-SM-4YCF1 60-69 years, female 243.4
GTEX-1192X-2926-SM-5N9BA 50-59 years, male 233.2
GTEX-13QBU-2126-SM-5KLZN 40-49 years, female 229.8
GTEX-1J8EW-2826-SM-A96T9 60-69 years, female 221.9
GTEX-Y5LM-1826-SM-4VDT9 40-49 years, female 217.6
GTEX-13CF2-2426-SM-5LZYL 60-69 years, male 202.6
GTEX-1NSGN-0626-SM-E9J35 50-59 years, male 201.5
GTEX-11EMC-2526-SM-5PNVU 60-69 years, female 174.2
GTEX-131XH-2626-SM-5GCNP 50-59 years, male 167.0
GTEX-11ZTS-3026-SM-5EQM7 60-69 years, female 166.8
GTEX-ZC5H-2726-SM-5KLZW 40-49 years, female 132.3
GTEX-14JIY-3026-SM-6EU1R 60-69 years, male 115.7
Show allShow less

SALIVARY GLAND - FANTOM5 CAGEi

RNA expression in human tissues obtained through Cap Analysis of Gene Expression (CAGE) generated by the FANTOM5 project are reported as Scaled Tags Per Million.

Max subtype Scaled Tags Per Millioni

Max subtype Scaled Tags Per Million is the value for the subtype with the largest average Scaled Tags Per Million across the subtype samples.

843.3
FANTOM5 sample id Sample description Scaled Tags Per Million
Parotid gland
Scaled Tags Per Million: 486.5
FF:10199-103F1 23 years, male 486.5
Salivary gland
Scaled Tags Per Million: 843.3
FF:10093-102C3 16-60 years, mixed 843.3
Submaxillary gland
Scaled Tags Per Million: 579.5
FF:10202-103F4 24 years, male 579.5

Contact

  • NEWS ARTICLES
  • PRESS ROOM

The Project

  • INTRODUCTION
  • ORGANIZATION
  • PUBLICATIONS

The Human Protein Atlas

  • DOWNLOADABLE DATA
  • LICENCE & CITATION
  • HELP & FAQ
The Human Protein Atlas project is funded
by the Knut & Alice Wallenberg Foundation.


contact@proteinatlas.org