We use cookies to enhance the usability of our website. If you continue, we'll assume that you are happy to receive all cookies. More information. Don't show this again.
GPX4
HPA
RESOURCES
  • TISSUE
  • BRAIN
  • SINGLE CELL
  • SUBCELLULAR
  • CANCER
  • BLOOD
  • CELL LINE
  • STRUCTURE & INTERACTION
ABOUT
  • INTRODUCTION
  • HISTORY
  • ORGANIZATION
  • PUBLICATIONS
  • ANTIBODY SUBMISSION
  • ANTIBODY AVAILABILITY
  • ACKNOWLEDGMENTS
  • CONTACT
NEWS
  • NEWS ARTICLES
  • PRESS ROOM
LEARN
  • DICTIONARY
  • PROTEIN CLASSES
  • PROTEIN EVIDENCE
  • METHODS
  • EDUCATIONAL VIDEOS
DATA
  • DOWNLOADABLE DATA
  • PUBLICATION DATA
  • RELEASE HISTORY
HELP
  • ANTIBODY VALIDATION
  • ASSAYS & ANNOTATION
  • DISCLAIMER
  • HELP & FAQ
  • PRIVACY STATEMENT
  • LICENCE & CITATION
Fields »
Search result

Field
Term
Gene name
Class
Subclass
Class
Keyword
Chromosome
External id
Tissue
Cell type
Expression
Antibody panel
Tissue
Main location
Patient ID
Annotation
Tissue
Category
Tau score
Cluster
Reliability
Brain region
Category
Tau score
Brain region
Category
Tau score
Brain region
Category
Tau score
Cluster
Reliability
Tissue
Cell type
Enrichment
Cell type
Category
Tau score
Cell type
Category
Tau score
Cell type
Category
Tau score
Cell lineage
Category
Tau score
Cluster
Cluster
Location
Searches
Location
Cell line
Class
Type
Phase
Reliability
Cancer
Prognosis
Cancer
Category
Cancer
Category
Tau score
Cluster
Variants
Interacting gene (ensg_id)
Type
Number of interactions
Pathway
Category
Score
Score
Score
Validation
Validation
Validation
Validation
Antibodies
Data type
Column


  • SUMMARY

  • TISSUE

  • BRAIN

  • SINGLE CELL

  • SUBCELL

  • CANCER

  • BLOOD

  • CELL LINE

  • STRUCT & INT

  • GPX4
TISSUE PRIMARY DATA ESOPHAGUS Show tissue menu
ADIPOSE TISSUE ADRENAL GLAND AMYGDALA APPENDIX BASAL GANGLIA BONE MARROW BREAST BRONCHUS CEREBELLUM CEREBRAL CORTEX CERVIX CHOROID PLEXUS COLON DUODENUM
ENDOMETRIUM EPIDIDYMIS ESOPHAGUS FALLOPIAN TUBE GALLBLADDER HEART MUSCLE HIPPOCAMPAL FORMATION HYPOTHALAMUS KIDNEY LIVER LUNG LYMPH NODE MIDBRAIN NASOPHARYNX
ORAL MUCOSA OVARY PANCREAS PARATHYROID GLAND PITUITARY GLAND PLACENTA PROSTATE RECTUM RETINA SALIVARY GLAND SEMINAL VESICLE SKELETAL MUSCLE SKIN SMALL INTESTINE
SMOOTH MUSCLE SOFT TISSUE SPINAL CORD SPLEEN STOMACH TESTIS THYMUS THYROID GLAND TONGUE TONSIL URINARY BLADDER VAGINA
ANTIBODIES
AND
VALIDATION
Dictionary
Esophagus
Tissue proteome
Esophagus
ESOPHAGUS - Expression summary
Protein expression
Esophagusi

On the top, protein expression in current human tissue, based on all annotated cell types, is reported with the units not detected (n), low (l), medium (m) and high (h). Underneath, protein expression in each annotated cell type are reported using the same units.

Protein expression data is based on knowledge-based annotation. For genes where more than one antibody has been used, a collective score is set.

If knowledge-based annotation could not be performed for a gene, no data is displayed here. View antibody staining data further down this page.

h
m
l
n
Squamous epithelial cells: Not detected
RNA expressioni

A summary of mRNA expression data available for current tissue based on several datasets. The mRNA expression levels in human tissues are based on RNA-seq data generated by the Human Protein Atlas (HPA), Genotype-Tissue Expression (GTEx) portal and CAGE data generated by the FANTOM5 consortium. Consensus normalized expression levels for human tissues was created by combining the data from HPA and GTEx datasets.

The mRNA expression levels in pig are based on RNA-seq data generated by the Human Protein Atlas (HPA), and for mouse, HPA data and in situ hybridization generated by the Allen brain atlas are reported.

Scroll down to view mRNA expression data in more detail.
Consensus:213.8 nTPM
HPA:151.1 nTPM
GTEx:213.8 nTPM
FANTOM5:387.5 Scaled Tags Per Million

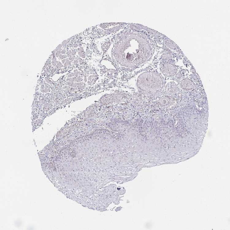
ESOPHAGUS - Antibody stainingi

Antibody staining in the annotated cell types in the current human tissue is reported as not detected, low, medium, or high, based on conventional immunohistochemistry profiling in selected tissues. This score is based on the combination of the staining intensity and fraction of stained cells.

Each image is clickable and will lead to virtual microscopy that enables deeper exploration of all samples and also displays staining intensity scores, fraction scores and subcellular localization as well as patient and tissue information for each sample.

Antibody HPA047224Antibody HPA058546Antibody CAB008630
Squamous epithelial cells Not detectedNot detectedLow






ESOPHAGUS - HPA RNA-seqi

The RNA-seq details section shows detailed information about the individual samples used for the transcript profiling and results of the RNA-seq analysis.

Information about each individual sample is listed below, including gender, age, a tissue section image and estimated fractions of cell types. nTPM (normalized transcripts per million) values give a quantification of the gene abundance which is comparable between different genes and samples.
Average nTPMi

Max subtype nTPM is the value for the subtype with the largest average nTPM across the subtype samples.

151.1
overview
Female, age 70
Esophagus sample 130
nTPM: 200.7
Cell types%
Squamous epithelial cells:
35

Smooth muscle cells:
15

Skeletal muscle cells:
5

Other cell types:
45

overview
Male, age 38
Esophagus sample 131
nTPM: 125.9
Cell types%
Squamous epithelial cells:
60

Smooth muscle cells:
20

Other cell types:
20

overview
Male, age 76
Esophagus sample 132
nTPM: 126.6
Cell types%
Squamous epithelial cells:
45

Smooth muscle cells:
15

Other cell types:
40


ESOPHAGUS - GTEx RNA-seqi

RNA-Seq data generated by the Genotype-Tissue Expression (GTEx) project from human tissues is reported as mean nTPM. More information can be found on the GTEx portal.

Distribution across the dataset is visualized with box plots, shown as median and 25th and 75th percentiles. Points are displayed as outliers if they are above or below 1.5 times the interquartile range. nTPM values of the individual samples are presented next to the box plot.
Max subtype nTPMi

Max subtype nTPM is the value for the subtype with the largest average nTPM across the subtype samples.

213.8
GTEx sample id Sample description nTPM
Esophagus - Mucosa
Average nTPM: 213.8
Samples: 555

Max nTPM: 639.3
Min nTPM: 78.7
Std nTPM: 74.0
Median nTPM: 197.2
GTEX-Q2AG-1326-SM-43V8K 40-49 years, female 639.3
GTEX-16Z82-1926-SM-6M47U 60-69 years, male 612.0
GTEX-16A39-1026-SM-6LPJU 30-39 years, female 521.8
GTEX-XQ3S-1126-SM-4BOPK 20-29 years, male 516.7
GTEX-1N2EE-2426-SM-EXOIO 60-69 years, male 469.1
GTEX-1LVA9-2126-SM-DLHBY 50-59 years, male 465.0
GTEX-15RIF-0826-SM-6M47C 20-29 years, male 455.9
GTEX-1269C-1026-SM-5N9EY 60-69 years, female 425.3
GTEX-14JIY-0926-SM-6871D 60-69 years, male 394.5
GTEX-N7MS-1225-SM-3LK5G 60-69 years, male 393.6
GTEX-1MCQQ-1026-SM-EV7AX 60-69 years, male 392.4
GTEX-ZZPT-1426-SM-5N9C5 50-59 years, male 389.4
GTEX-1BAJH-2026-SM-7P8OZ 70-79 years, male 385.5
GTEX-13NYB-0926-SM-5IFFA 40-49 years, male 376.7
GTEX-ZV68-0926-SM-59HK7 50-59 years, female 373.2
GTEX-QVUS-0626-SM-447CC 60-69 years, female 370.9
GTEX-1I1GS-2126-SM-ARU7G 60-69 years, male 370.7
GTEX-15DCD-1626-SM-6AJBH 70-79 years, female 367.0
GTEX-1KANB-1826-SM-DHXJU 50-59 years, male 366.7
GTEX-1CAMQ-2726-SM-7MKGD 40-49 years, male 362.8
GTEX-148VJ-1026-SM-5LU98 70-79 years, male 357.6
GTEX-17F97-1326-SM-7MGVO 50-59 years, male 355.9
GTEX-1RLM8-0726-SM-E6CRH 50-59 years, male 355.6
GTEX-12ZZW-1726-SM-5DUVD 50-59 years, male 354.5
GTEX-13O3Q-0826-SM-5IFGF 50-59 years, male 352.6
GTEX-1F88F-1126-SM-7MKHL 60-69 years, female 352.6
GTEX-17HII-1526-SM-9OSVD 50-59 years, male 348.1
GTEX-12ZZX-1326-SM-5DUWI 40-49 years, female 346.4
GTEX-11EI6-1526-SM-5P9GL 60-69 years, male 342.9
GTEX-1MJIX-0826-SM-DTXEO 40-49 years, male 342.2
GTEX-12WSA-1426-SM-5EGJU 60-69 years, male 341.4
GTEX-1LB8K-1326-SM-CXZKB 50-59 years, male 339.6
GTEX-1HBPM-1426-SM-9WPPE 60-69 years, female 339.4
GTEX-X4EP-1626-SM-4QAS6 60-69 years, female 339.2
GTEX-1QEPI-1826-SM-EAZ3J 60-69 years, female 336.8
GTEX-PVOW-1626-SM-48TC9 40-49 years, male 335.9
GTEX-11GSP-1826-SM-5N9DQ 60-69 years, female 335.0
GTEX-1LSVX-1226-SM-DHXJN 60-69 years, male 332.1
GTEX-1EH9U-2426-SM-7EWFG 60-69 years, male 331.6
GTEX-R45C-1226-SM-48FEE 60-69 years, female 331.1
GTEX-132Q8-1826-SM-5EGIY 60-69 years, male 330.4
GTEX-ZYFC-1626-SM-5N9EU 50-59 years, male 327.7
GTEX-1EX96-2226-SM-7MKGT 50-59 years, male 326.7
GTEX-14PJ5-0526-SM-664OE 60-69 years, female 326.0
GTEX-1EN7A-1226-SM-7MGX9 40-49 years, male 326.0
GTEX-1EKGG-1726-SM-7MXUP 60-69 years, male 325.3
GTEX-1QW4Y-0526-SM-EAZ3V 30-39 years, male 324.0
GTEX-1EU9M-2326-SM-7MKGS 60-69 years, male 322.0
GTEX-Y111-1626-SM-57WCY 50-59 years, male 322.0
GTEX-1HFI6-1226-SM-A96SK 40-49 years, male 320.1
GTEX-1R9K4-1926-SM-DPRZW 60-69 years, male 318.8
GTEX-1399Q-1126-SM-5P9JA 40-49 years, male 318.2
GTEX-11DXY-1426-SM-5N9CN 60-69 years, male 317.5
GTEX-1E1VI-1526-SM-7IGQ2 50-59 years, male 317.4
GTEX-1I1GR-1326-SM-ARU7B 60-69 years, male 317.0
GTEX-TSE9-1226-SM-4DXTM 60-69 years, female 316.2
GTEX-13FHO-1726-SM-DPRZX 60-69 years, male 314.8
GTEX-1JMLX-2326-SM-CXZJP 50-59 years, male 313.3
GTEX-1RDX4-2126-SM-EV7B3 50-59 years, female 310.8
GTEX-1HSKV-2426-SM-A8N8K 60-69 years, male 310.3
GTEX-WVLH-1426-SM-4MVNX 50-59 years, male 309.6
GTEX-OHPN-1026-SM-E9TI8 60-69 years, female 309.4
GTEX-ZYW4-1326-SM-5E45N 60-69 years, male 307.8
GTEX-POYW-1326-SM-48TCG 60-69 years, male 306.6
GTEX-13YAN-1926-SM-7EPH9 60-69 years, male 305.8
GTEX-144FL-2726-SM-5O98Z 50-59 years, male 305.8
GTEX-15F5U-5010-SM-AHZ2D 40-49 years, male 303.6
GTEX-1F7RK-1526-SM-7P8T6 20-29 years, female 302.8
GTEX-13FLV-1126-SM-5J2NO 50-59 years, male 301.3
GTEX-T5JC-1726-SM-4DM6U 20-29 years, male 296.7
GTEX-11NUK-1326-SM-5P9GN 50-59 years, male 296.3
GTEX-1PPGY-1726-SM-EVR3S 60-69 years, male 293.9
GTEX-R55E-1326-SM-48FCR 20-29 years, male 293.1
GTEX-YFC4-1226-SM-5LU9R 40-49 years, female 291.7
GTEX-1LSNL-2226-SM-DHXKM 50-59 years, male 291.2
GTEX-1B996-1826-SM-7MGY6 60-69 years, male 291.1
GTEX-ZT9W-1326-SM-51MTB 50-59 years, male 290.8
GTEX-WH7G-0926-SM-4LVMJ 40-49 years, male 290.4
GTEX-13JVG-2026-SM-5KM1N 60-69 years, male 289.5
GTEX-15UF6-2326-SM-6M465 70-79 years, female 289.4
GTEX-13W46-1926-SM-5J2MF 50-59 years, male 289.1
GTEX-13FHP-1526-SM-5IJGE 50-59 years, male 288.7
GTEX-1I1GP-1026-SM-C1YRZ 50-59 years, male 288.5
GTEX-1H1ZS-1526-SM-9OSXR 70-79 years, male 286.8
GTEX-1N2DW-1426-SM-EV7AZ 50-59 years, male 285.4
GTEX-OXRP-0926-SM-48TC1 60-69 years, female 284.7
GTEX-1HBPI-0626-SM-9WPP4 50-59 years, male 284.5
GTEX-XLM4-2326-SM-4AT5E 60-69 years, male 283.8
GTEX-1IY9M-1626-SM-AHZ39 60-69 years, male 283.4
GTEX-15DYW-1826-SM-6LPIY 60-69 years, female 283.1
GTEX-15EO6-1026-SM-7KUG9 50-59 years, male 283.0
GTEX-1HCVE-1226-SM-9WPPH 50-59 years, male 283.0
GTEX-1RAZS-2626-SM-EV79C 50-59 years, male 282.7
GTEX-1HCU8-2226-SM-9WPOV 60-69 years, female 281.7
GTEX-13SLX-1726-SM-5Q5E5 50-59 years, female 281.3
GTEX-13OW8-2326-SM-5L3I9 60-69 years, male 280.4
GTEX-1JMQJ-1226-SM-D3L97 50-59 years, male 279.2
GTEX-YECK-1626-SM-5IFHQ 60-69 years, male 278.1
GTEX-OXRN-1726-SM-3NM9B 50-59 years, male 276.0
GTEX-1IDJH-2026-SM-CNNQX 70-79 years, male 275.7
GTEX-117YW-1926-SM-5H121 50-59 years, male 275.5
GTEX-17F96-2526-SM-7DHL3 70-79 years, male 274.6
GTEX-X585-1226-SM-46MW7 50-59 years, male 274.6
GTEX-OIZG-1026-SM-3LK5X 50-59 years, male 274.2
GTEX-139TU-1226-SM-5J2NL 60-69 years, male 273.1
GTEX-1A8FM-1526-SM-7MXTA 50-59 years, female 271.9
GTEX-1R9PM-0926-SM-DPRYA 20-29 years, male 271.5
GTEX-SJXC-1426-SM-EYYVB 60-69 years, male 271.3
GTEX-1KD4Q-1126-SM-CXZKK 40-49 years, male 271.1
GTEX-15RJE-0926-SM-6LLHZ 40-49 years, male 270.2
GTEX-1CB4G-1326-SM-7MKFP 60-69 years, male 268.6
GTEX-T2IS-0826-SM-4DM6L 20-29 years, female 268.3
GTEX-S95S-0426-SM-4B64I 60-69 years, male 267.6
GTEX-WK11-1026-SM-4OOS8 50-59 years, male 266.9
GTEX-1JMPZ-2026-SM-C1YR8 30-39 years, male 264.3
GTEX-ZE9C-1126-SM-4WWBD 60-69 years, male 263.4
GTEX-11ZTS-2626-SM-5EGIC 60-69 years, female 261.9
GTEX-17EVQ-1926-SM-7IGOF 70-79 years, male 261.4
GTEX-14ICK-2026-SM-6AJB2 40-49 years, male 260.9
GTEX-P4PP-0626-SM-3NM9X 30-39 years, female 260.9
GTEX-ZXES-1126-SM-5GZXN 30-39 years, female 260.2
GTEX-1GN73-1926-SM-9JGGS 60-69 years, male 258.9
GTEX-XMK1-1326-SM-4B65Q 40-49 years, male 257.9
GTEX-131YS-1426-SM-5IJF7 60-69 years, female 257.2
GTEX-1GMR3-1526-SM-9JGGL 40-49 years, male 257.0
GTEX-1H23P-1426-SM-9JGH5 60-69 years, male 256.6
GTEX-UPJH-1026-SM-EAZB2 50-59 years, male 256.3
GTEX-1I1GV-2226-SM-ARU7E 60-69 years, male 256.1
GTEX-VUSG-1226-SM-4KKZF 50-59 years, male 255.7
GTEX-SE5C-1226-SM-4BRWV 40-49 years, female 254.7
GTEX-1I1GQ-1726-SM-B2LWZ 50-59 years, male 254.7
GTEX-13OVJ-1226-SM-5L3HA 50-59 years, female 254.3
GTEX-145LU-0926-SM-79OJL 50-59 years, male 254.3
GTEX-1MA7X-0726-SM-EV7AB 60-69 years, male 253.1
GTEX-14BIN-2726-SM-5RQIE 50-59 years, female 253.0
GTEX-X4LF-0626-SM-4QASB 50-59 years, male 252.8
GTEX-15SHU-1426-SM-6LPIN 40-49 years, female 252.2
GTEX-18D9A-0526-SM-7KFSW 30-39 years, female 250.2
GTEX-1I1CD-1726-SM-A9G3P 60-69 years, female 249.7
GTEX-RVPV-0526-SM-47JYL 60-69 years, male 249.3
GTEX-1K2DU-1726-SM-EV79S 20-29 years, male 249.2
GTEX-17F9E-1926-SM-7IGQF 50-59 years, male 249.0
GTEX-1IDJD-1626-SM-C1YRC 30-39 years, male 248.5
GTEX-1M5QR-0726-SM-DHXK7 40-49 years, male 248.4
GTEX-17JCI-1226-SM-793D9 60-69 years, female 248.1
GTEX-11ZU8-1526-SM-5EGHX 60-69 years, male 247.9
GTEX-1HBPH-1126-SM-A96TU 40-49 years, female 247.7
GTEX-RN64-1026-SM-48FDX 50-59 years, male 247.6
GTEX-UPK5-1226-SM-4IHL8 40-49 years, male 247.2
GTEX-ZYT6-1126-SM-5GZYR 30-39 years, male 246.3
GTEX-183WM-1726-SM-7KFT5 70-79 years, female 245.3
GTEX-1GMR8-1826-SM-9WYUE 50-59 years, female 245.3
GTEX-1F75I-1726-SM-7MKGW 40-49 years, male 245.2
GTEX-14PKV-1726-SM-6871U 20-29 years, female 245.1
GTEX-12ZZY-1426-SM-5N9EI 60-69 years, male 244.8
GTEX-144GO-2726-SM-5O9A2 60-69 years, male 244.8
GTEX-13OVI-2626-SM-5KM4T 60-69 years, female 244.7
GTEX-18A66-1426-SM-7KFRT 60-69 years, male 243.2
GTEX-WRHK-0526-SM-4MVOF 20-29 years, female 242.8
GTEX-1399U-1026-SM-5J1OC 50-59 years, female 242.4
GTEX-1I4MK-0426-SM-B2LWQ 50-59 years, female 242.3
GTEX-XBEW-1326-SM-4AT63 40-49 years, male 242.2
GTEX-1MCC2-1926-SM-DHXJR 30-39 years, female 241.6
GTEX-14C5O-1626-SM-73KYH 60-69 years, male 240.7
GTEX-11DYG-1326-SM-5N9DO 60-69 years, male 240.5
GTEX-13FTW-1626-SM-5KM4N 40-49 years, male 240.4
GTEX-1CB4J-2426-SM-7MXVC 60-69 years, male 239.4
GTEX-14PJM-1526-SM-664NY 50-59 years, female 238.7
GTEX-YEC3-2526-SM-CXZIH 50-59 years, male 236.3
GTEX-1J8EW-1326-SM-AHZ3S 60-69 years, female 235.3
GTEX-YJ89-1526-SM-5P9IR 60-69 years, male 235.1
GTEX-11ONC-1526-SM-5GU6S 60-69 years, male 234.8
GTEX-13G51-0926-SM-5IFFU 60-69 years, male 234.3
GTEX-18A6Q-1226-SM-7KFS9 60-69 years, male 234.1
GTEX-12BJ1-1626-SM-5HL8Y 60-69 years, male 234.0
GTEX-1LNCM-0626-SM-EV7AI 50-59 years, female 233.4
GTEX-Q2AH-0826-SM-48TZN 40-49 years, male 232.9
GTEX-13PVQ-1726-SM-5IFF3 50-59 years, male 231.6
GTEX-15RIE-0826-SM-6M47X 60-69 years, male 230.7
GTEX-1H3NZ-1326-SM-9JGHI 60-69 years, male 230.5
GTEX-139UW-1126-SM-5IJEJ 60-69 years, male 230.3
GTEX-1LG7Y-1726-SM-EV7AR 50-59 years, male 230.3
GTEX-X62O-2226-SM-46MW3 50-59 years, male 229.4
GTEX-T6MO-0526-SM-4DM6R 40-49 years, female 229.2
GTEX-1212Z-2126-SM-5FQTM 60-69 years, male 229.1
GTEX-1B97I-0926-SM-731DZ 40-49 years, male 228.1
GTEX-PLZ4-1626-SM-3P618 50-59 years, female 228.1
GTEX-1C2JI-1126-SM-731FH 50-59 years, male 227.1
GTEX-SNOS-0626-SM-4DM5F 40-49 years, male 226.6
GTEX-QEG4-0726-SM-CNNRF 30-39 years, male 226.4
GTEX-13QJ3-1726-SM-5RQK9 50-59 years, male 226.1
GTEX-1CB4H-1526-SM-7MXU4 60-69 years, female 226.1
GTEX-1GPI7-1026-SM-7MGY2 20-29 years, male 226.1
GTEX-1EWIQ-1526-SM-79OO7 70-79 years, female 226.0
GTEX-ZUA1-1226-SM-5NQ6O 40-49 years, male 226.0
GTEX-147F3-0826-SM-5NQA7 50-59 years, female 225.6
GTEX-T8EM-0526-SM-4DM64 40-49 years, male 225.3
GTEX-1497J-2726-SM-5SI9W 60-69 years, male 225.2
GTEX-148VI-1026-SM-5TDDJ 60-69 years, female 224.9
GTEX-18D9U-2126-SM-7LG4Y 40-49 years, male 224.8
GTEX-1B933-2026-SM-7EWFC 50-59 years, female 224.8
GTEX-12WSG-5007-SM-7DUGZ 50-59 years, female 224.6
GTEX-11TUW-1326-SM-5EQKV 60-69 years, male 224.2
GTEX-T2YK-1326-SM-4DM6S 50-59 years, male 223.8
GTEX-1QP29-2126-SM-E6CPZ 50-59 years, male 223.5
GTEX-1EMGI-1926-SM-7938Y 60-69 years, male 222.8
GTEX-ZAB4-1126-SM-5HL86 40-49 years, male 222.3
GTEX-16MT8-1326-SM-6M47R 60-69 years, female 222.1
GTEX-18QFQ-1026-SM-7LG6B 30-39 years, male 221.9
GTEX-14DAQ-1426-SM-5RQJD 60-69 years, female 221.7
GTEX-1HB9E-1526-SM-D3LA6 50-59 years, male 221.6
GTEX-RU72-0726-SM-46MUW 50-59 years, female 221.4
GTEX-WHSE-1526-SM-4M1XH 20-29 years, male 221.3
GTEX-WQUQ-1626-SM-4OOSH 60-69 years, male 220.4
GTEX-1N2DV-2026-SM-EV7BL 40-49 years, male 220.1
GTEX-1A32A-1826-SM-72D5G 50-59 years, female 219.2
GTEX-XK95-1026-SM-4GIDV 40-49 years, male 218.2
GTEX-1QP67-0726-SM-DPRY1 40-49 years, female 216.7
GTEX-YEC4-1026-SM-9WG7N 40-49 years, male 216.7
GTEX-1LBAC-1226-SM-DHXK1 20-29 years, male 215.7
GTEX-14PJ3-0626-SM-6UGC5 50-59 years, male 215.5
GTEX-ZAK1-1526-SM-5S2OV 50-59 years, female 215.1
GTEX-1GTWX-1326-SM-9JGHU 60-69 years, male 215.1
GTEX-14A6H-1326-SM-5NQBC 30-39 years, male 214.2
GTEX-ZVE2-1326-SM-5NQ94 50-59 years, male 213.9
GTEX-X4EO-1226-SM-4QARR 60-69 years, female 213.1
GTEX-1NSGN-2026-SM-DPRYM 50-59 years, male 212.9
GTEX-PWN1-0626-SM-48TDT 40-49 years, female 212.7
GTEX-R3RS-1326-SM-48FE7 40-49 years, female 212.4
GTEX-1J1OQ-2526-SM-AHZ3Q 40-49 years, female 211.8
GTEX-13PVR-1826-SM-5Q5CC 60-69 years, female 211.6
GTEX-1JMQK-2026-SM-C1YQN 60-69 years, male 210.9
GTEX-12WSN-5013-SM-7P8P9 40-49 years, male 210.1
GTEX-ZVP2-1326-SM-57WCE 50-59 years, male 210.0
GTEX-YB5E-0926-SM-4WWDQ 40-49 years, male 209.3
GTEX-18A7A-2326-SM-7KFRH 50-59 years, female 209.0
GTEX-14AS3-0626-SM-5QGQD 40-49 years, female 208.8
GTEX-139T6-0626-SM-5IFF9 50-59 years, male 208.4
GTEX-111CU-0726-SM-5GZYD 50-59 years, male 207.9
GTEX-145MF-1426-SM-5O9B6 50-59 years, male 207.9
GTEX-146FQ-1026-SM-5LU8I 30-39 years, male 207.0
GTEX-ZC5H-1326-SM-5HL7E 40-49 years, female 206.9
GTEX-OOBK-0625-SM-3LK5P 40-49 years, male 206.8
GTEX-1QP9N-0926-SM-E9U5S 30-39 years, male 206.6
GTEX-14ICL-0526-SM-5RQJ6 30-39 years, male 206.5
GTEX-1LGRB-1626-SM-CNNR7 50-59 years, female 206.4
GTEX-1KAFJ-0626-SM-D3L8X 50-59 years, male 206.3
GTEX-1KANA-0626-SM-D4P3I 20-29 years, male 206.0
GTEX-1GMR2-1526-SM-7MXV6 50-59 years, male 205.6
GTEX-RM2N-0726-SM-48FD5 50-59 years, male 205.3
GTEX-1QPFJ-1226-SM-EAZ3M 30-39 years, female 205.2
GTEX-N7MT-0326-SM-48TDP 60-69 years, female 205.1
GTEX-15SB6-0726-SM-6M48F 50-59 years, female 205.0
GTEX-13NZB-1226-SM-5J2MW 30-39 years, male 204.6
GTEX-Q2AI-0626-SM-48TZU 40-49 years, male 204.4
GTEX-11I78-1526-SM-5A5K7 50-59 years, female 204.2
GTEX-145LV-1326-SM-5S2QI 50-59 years, male 203.9
GTEX-ZF29-1326-SM-DNZYV 60-69 years, female 203.3
GTEX-1JKYN-1526-SM-CGQGA 30-39 years, male 203.2
GTEX-17HGU-1426-SM-7938G 50-59 years, male 202.9
GTEX-QEG5-1426-SM-447AS 20-29 years, male 202.4
GTEX-ZTPG-1626-SM-5DUX2 20-29 years, female 202.4
GTEX-1C6VQ-1826-SM-7EWEH 50-59 years, male 201.5
GTEX-RNOR-1226-SM-48FDQ 50-59 years, female 201.5
GTEX-132QS-1426-SM-5P9GE 60-69 years, male 200.9
GTEX-ZTX8-0226-SM-5E44D 20-29 years, male 200.8
GTEX-12696-1326-SM-5FQTJ 60-69 years, male 200.3
GTEX-15ETS-1926-SM-7KUN5 40-49 years, female 199.5
GTEX-R55G-1026-SM-48FDI 40-49 years, female 199.5
GTEX-Y5LM-1026-SM-4VDSQ 40-49 years, female 199.4
GTEX-1399S-1326-SM-5P9GH 30-39 years, female 199.2
GTEX-14E1K-1226-SM-5S2PD 50-59 years, male 199.1
GTEX-18465-1126-SM-7LG6E 50-59 years, male 198.9
GTEX-1GL5R-1526-SM-7MKHO 50-59 years, male 198.7
GTEX-WFG8-1226-SM-4V6EI 20-29 years, male 198.7
GTEX-15EU6-1626-SM-6LPKF 50-59 years, male 198.3
GTEX-1MGNQ-1626-SM-EAZ4Z 40-49 years, male 197.3
GTEX-17KNJ-1326-SM-7KFTG 50-59 years, male 197.2
GTEX-XBED-1026-SM-48TCB 60-69 years, male 197.2
GTEX-13O61-0926-SM-5IFFE 60-69 years, male 196.8
GTEX-145MO-1426-SM-DTX9W 60-69 years, male 196.1
GTEX-1HGF4-0926-SM-9WPP8 60-69 years, male 196.1
GTEX-1GF9U-0826-SM-7MXTZ 40-49 years, female 195.9
GTEX-14PJ6-1026-SM-686ZB 60-69 years, female 195.6
GTEX-14PJN-0526-SM-68724 30-39 years, male 195.5
GTEX-1IDFM-1126-SM-A96SY 60-69 years, male 195.3
GTEX-ZLV1-0526-SM-4WWD4 60-69 years, female 195.1
GTEX-1R7EU-0826-SM-DPRZL 60-69 years, male 195.0
GTEX-1LVAN-2326-SM-CNNPY 50-59 years, female 194.7
GTEX-QLQW-0526-SM-4R1KS 30-39 years, male 194.4
GTEX-1GN1W-2226-SM-9JGI5 50-59 years, female 194.3
GTEX-16NPX-1626-SM-6LLI5 50-59 years, male 194.2
GTEX-11EMC-2226-SM-5A5JW 60-69 years, female 193.9
GTEX-14PHY-0626-SM-664NN 60-69 years, female 193.9
GTEX-13QBU-1026-SM-5LU3R 40-49 years, female 193.6
GTEX-S4Q7-0626-SM-4AD5M 20-29 years, male 193.1
GTEX-RTLS-1126-SM-46MUQ 60-69 years, female 193.0
GTEX-ZAJG-1326-SM-5S2NV 50-59 years, female 193.0
GTEX-ZF3C-1626-SM-4WWB4 50-59 years, female 192.3
GTEX-1IKOE-1526-SM-C1YSD 30-39 years, female 192.1
GTEX-1RAZR-1226-SM-E6CRD 40-49 years, male 191.9
GTEX-145LS-1826-SM-5LUAZ 60-69 years, female 191.8
GTEX-PWCY-0726-SM-48TCS 20-29 years, female 191.8
GTEX-1QCLY-1526-SM-DPRXX 30-39 years, male 191.8
GTEX-1IKK5-1326-SM-AHZ2X 60-69 years, male 191.7
GTEX-1PFEY-0826-SM-E9U6A 30-39 years, male 191.7
GTEX-XMD2-1326-SM-4YCET 60-69 years, female 191.4
GTEX-UJMC-0926-SM-4IHLK 50-59 years, male 191.2
GTEX-1KXAM-0826-SM-CXZK9 60-69 years, male 191.2
GTEX-1F5PK-1526-SM-7MKGV 50-59 years, male 190.6
GTEX-ZYVF-2226-SM-5GIDD 50-59 years, female 190.5
GTEX-OIZF-0626-SM-7MKHG 60-69 years, male 190.2
GTEX-XYKS-1526-SM-4BRUP 60-69 years, female 189.8
GTEX-1GN1U-1826-SM-9JGH2 50-59 years, female 189.7
GTEX-13X6K-2126-SM-5O9D4 60-69 years, female 189.6
GTEX-1MA7W-0426-SM-E9TJ5 20-29 years, female 189.6
GTEX-145ME-5004-SM-7MGXP 40-49 years, female 189.5
GTEX-13D11-1926-SM-5IFGB 50-59 years, female 189.4
GTEX-11VI4-0526-SM-5EQ48 40-49 years, female 189.1
GTEX-145LT-1126-SM-5LUA1 40-49 years, male 188.6
GTEX-17MFQ-0526-SM-7KFTX 20-29 years, male 188.6
GTEX-15DCE-1326-SM-6LPJL 20-29 years, male 188.4
GTEX-1QP2A-1926-SM-EXOJ9 50-59 years, male 188.4
GTEX-13111-0826-SM-5LZV3 50-59 years, male 187.9
GTEX-ZYY3-1526-SM-5SIA9 60-69 years, female 187.6
GTEX-1K2DA-0626-SM-CGQGO 50-59 years, male 187.5
GTEX-P4QT-0626-SM-3NMCP 50-59 years, female 187.1
GTEX-1AX9I-1426-SM-7DHM8 60-69 years, male 186.6
GTEX-1CB4F-1526-SM-7MKFM 60-69 years, male 186.6
GTEX-QV44-1126-SM-CL55C 50-59 years, male 186.4
GTEX-16BQI-1526-SM-6LLIE 30-39 years, female 186.2
GTEX-WFG7-1126-SM-4LMK3 20-29 years, male 186.2
GTEX-Z9EW-0526-SM-5HL8S 40-49 years, male 186.0
GTEX-1MCYP-1026-SM-DPRYB 20-29 years, female 185.1
GTEX-PSDG-1326-SM-48TD2 50-59 years, male 184.5
GTEX-Y5V5-1626-SM-4VDSG 60-69 years, female 184.0
GTEX-14B4R-0326-SM-5TDDP 30-39 years, male 183.9
GTEX-1HSMQ-2026-SM-B2LY1 50-59 years, male 183.8
GTEX-ZZ64-0226-SM-5E44X 20-29 years, male 183.1
GTEX-1F5PL-1726-SM-9QEGL 40-49 years, female 183.0
GTEX-WHPG-1126-SM-4M1XT 50-59 years, male 182.8
GTEX-1R9K5-1526-SM-DPRZA 50-59 years, male 182.7
GTEX-1HKZK-1426-SM-A96U1 40-49 years, male 182.6
GTEX-1S82Y-1226-SM-EV7BD 40-49 years, male 182.5
GTEX-U3ZM-0526-SM-4DXTB 40-49 years, male 182.0
GTEX-QEL4-1426-SM-447AC 50-59 years, male 181.9
GTEX-TKQ1-0326-SM-4DXSM 30-39 years, male 181.7
GTEX-13X6H-1326-SM-5LU42 50-59 years, female 181.4
GTEX-XUZC-0426-SM-4BOPE 30-39 years, female 180.7
GTEX-11EQ9-0726-SM-5A5K2 30-39 years, male 180.5
GTEX-O5YV-1026-SM-3LK72 60-69 years, female 180.3
GTEX-ZF2S-1226-SM-4WWAX 50-59 years, female 180.1
GTEX-1NUQO-1126-SM-DTX98 20-29 years, female 179.7
GTEX-R55C-0826-SM-48FCL 40-49 years, male 179.1
GTEX-1IDJF-1226-SM-C1YPX 20-29 years, male 178.5
GTEX-XQ8I-1526-SM-4BOOH 50-59 years, male 178.4
GTEX-1OJC3-0826-SM-DPRYU 20-29 years, male 178.2
GTEX-15EOM-5013-SM-7MKF9 20-29 years, female 177.8
GTEX-ZLWG-1326-SM-DNZYZ 50-59 years, female 177.6
GTEX-14JG6-0926-SM-6871Y 30-39 years, female 177.0
GTEX-1J8QM-1926-SM-AHZ3Z 60-69 years, female 177.0
GTEX-ZDTT-1326-SM-4WKFH 60-69 years, male 176.7
GTEX-1AX8Z-5016-SM-AHZ2B 60-69 years, male 176.6
GTEX-139YR-1726-SM-5IFFK 50-59 years, male 176.5
GTEX-1AMFI-0226-SM-731D5 50-59 years, female 176.5
GTEX-ZA64-0626-SM-5HL9O 20-29 years, male 175.9
GTEX-V955-1126-SM-4JBH3 60-69 years, male 175.7
GTEX-NFK9-1126-SM-3LK78 40-49 years, male 175.4
GTEX-WFON-0826-SM-4LVMI 40-49 years, male 175.3
GTEX-11XUK-0826-SM-5GU6P 40-49 years, female 175.2
GTEX-ZPU1-1426-SM-4WWFU 40-49 years, male 175.0
GTEX-1B8KE-1826-SM-731FD 50-59 years, male 174.9
GTEX-1B97J-1026-SM-7MXTE 50-59 years, female 174.9
GTEX-12WSK-1126-SM-5LZV8 40-49 years, female 174.8
GTEX-15UF7-0926-SM-6M46F 40-49 years, male 174.8
GTEX-14BIM-1326-SM-7EWD1 60-69 years, female 174.6
GTEX-TML8-1526-SM-4DXUX 40-49 years, female 174.6
GTEX-1F52S-1426-SM-7P8PU 60-69 years, female 174.1
GTEX-1C64O-1826-SM-7DHM4 60-69 years, male 174.0
GTEX-1JMPY-0826-SM-AHZ4A 30-39 years, male 173.4
GTEX-ZLFU-1126-SM-DO11K 40-49 years, male 173.3
GTEX-1122O-1726-SM-5GICM 60-69 years, female 173.1
GTEX-W5WG-1626-SM-4LMKG 50-59 years, female 172.4
GTEX-1S83E-0826-SM-EV7B7 40-49 years, male 172.3
GTEX-QDVN-1026-SM-48TZA 50-59 years, male 172.1
GTEX-1H1DG-1226-SM-9JGH3 70-79 years, male 172.1
GTEX-1J1R8-0326-SM-AHZ3D 40-49 years, male 171.8
GTEX-11DZ1-2026-SM-5A5KG 50-59 years, male 171.6
GTEX-11EM3-0826-SM-5N9CC 20-29 years, female 171.2
GTEX-Y5V6-1026-SM-4VBS2 60-69 years, male 171.2
GTEX-15ER7-2126-SM-7939E 20-29 years, female 170.2
GTEX-111YS-0926-SM-5EGGI 60-69 years, male 169.9
GTEX-ZTSS-0626-SM-59867 40-49 years, male 169.7
GTEX-1AX9J-1826-SM-731FM 60-69 years, male 169.6
GTEX-P4QS-0626-SM-3NMD1 60-69 years, male 168.9
GTEX-P78B-1026-SM-3NMC4 40-49 years, female 168.6
GTEX-13U4I-1126-SM-5LU3S 40-49 years, female 168.5
GTEX-18A67-2426-SM-7LT95 50-59 years, male 167.7
GTEX-YF7O-0926-SM-5IFIF 50-59 years, male 167.4
GTEX-1HCU7-2126-SM-A96SG 50-59 years, male 167.2
GTEX-1H1DE-1026-SM-9JGH6 20-29 years, male 166.7
GTEX-S341-0526-SM-4AD5U 40-49 years, female 166.6
GTEX-Y3IK-1126-SM-51MSV 50-59 years, female 166.6
GTEX-WYVS-0726-SM-4ONDO 40-49 years, female 166.3
GTEX-WYJK-1926-SM-4ONDP 50-59 years, male 166.1
GTEX-T5JW-1326-SM-4DM5G 20-29 years, female 165.9
GTEX-1ICG6-1926-SM-ARU7L 70-79 years, female 165.9
GTEX-12KS4-0926-SM-5BC5S 30-39 years, male 165.5
GTEX-S3XE-0926-SM-4AD4S 50-59 years, male 165.4
GTEX-12WSD-1826-SM-5GCOA 60-69 years, female 165.0
GTEX-16AAH-0726-SM-793A9 50-59 years, male 164.7
GTEX-WHWD-0926-SM-4OORY 50-59 years, male 164.3
GTEX-1HCU6-1326-SM-A96TZ 60-69 years, female 163.8
GTEX-1QP28-1826-SM-EAZ4L 50-59 years, female 163.0
GTEX-1LGOU-0526-SM-D3LAO 20-29 years, female 162.8
GTEX-1L5NE-1426-SM-DHXKV 50-59 years, male 161.9
GTEX-11DXZ-1226-SM-5H11L 50-59 years, male 161.8
GTEX-1QCLZ-1626-SM-E9U5R 60-69 years, female 161.7
GTEX-1JK1U-1726-SM-CNNPM 60-69 years, male 161.6
GTEX-13OVK-1126-SM-6PAMR 40-49 years, male 161.4
GTEX-1K9T9-2026-SM-CXZK3 50-59 years, female 161.3
GTEX-1OKEX-1326-SM-E9J2U 60-69 years, male 161.2
GTEX-1LG7Z-0926-SM-CXKYK 30-39 years, male 161.1
GTEX-13X6I-1026-SM-5LU4C 60-69 years, male 160.5
GTEX-X4XY-1726-SM-46MVO 60-69 years, male 160.4
GTEX-ZPCL-1426-SM-57WEC 60-69 years, female 160.0
GTEX-13O1R-1326-SM-5IJF5 60-69 years, male 159.7
GTEX-17F98-1726-SM-7938O 40-49 years, female 159.7
GTEX-Y8E4-1726-SM-5LU9G 40-49 years, male 159.7
GTEX-U3ZH-1026-SM-4DXUZ 30-39 years, male 159.6
GTEX-13FTX-0526-SM-5IFGS 20-29 years, female 159.5
GTEX-14DAR-0826-SM-73KYJ 50-59 years, male 159.4
GTEX-14H4A-1626-SM-5SI69 40-49 years, female 159.3
GTEX-PLZ6-0526-SM-3P61C 30-39 years, male 159.3
GTEX-1A3MV-1326-SM-7LG6C 30-39 years, male 158.1
GTEX-1PPH8-1626-SM-E6CQP 20-29 years, male 158.0
GTEX-U4B1-0826-SM-4DXTW 40-49 years, male 157.9
GTEX-RWS6-0826-SM-47JXF 60-69 years, female 157.8
GTEX-UJHI-0826-SM-4IHLM 50-59 years, female 157.7
GTEX-QCQG-0626-SM-48U21 50-59 years, female 157.1
GTEX-WEY5-0926-SM-4LMI4 40-49 years, female 157.0
GTEX-13RTK-0526-SM-5S2QF 20-29 years, male 156.7
GTEX-Y8LW-0726-SM-5IFI1 50-59 years, female 156.4
GTEX-Y9LG-0626-SM-4WWDH 30-39 years, male 156.2
GTEX-13OVG-0626-SM-5IFEP 60-69 years, male 156.1
GTEX-178AV-0526-SM-6LPJH 40-49 years, male 156.1
GTEX-1CB4I-1026-SM-7MKFZ 50-59 years, male 155.5
GTEX-QLQ7-0926-SM-447BC 60-69 years, male 155.1
GTEX-18D9B-2026-SM-7LT96 60-69 years, male 155.0
GTEX-ZG7Y-1126-SM-4WWEZ 50-59 years, male 154.6
GTEX-1R9JW-1526-SM-DPRZK 30-39 years, female 154.3
GTEX-U8XE-1726-SM-4E3IF 30-39 years, male 154.0
GTEX-OIZH-0626-SM-3NB1L 50-59 years, male 153.4
GTEX-XGQ4-1526-SM-4AT6H 50-59 years, male 153.4
GTEX-12C56-1226-SM-5FQSU 20-29 years, male 153.1
GTEX-16MTA-0826-SM-6LLIC 50-59 years, male 153.1
GTEX-ZVT2-1326-SM-5E45H 50-59 years, female 152.9
GTEX-13W3W-1626-SM-5LU35 60-69 years, female 152.5
GTEX-QESD-0826-SM-47J4G 20-29 years, male 152.5
GTEX-17EUY-1426-SM-7938X 20-29 years, male 152.4
GTEX-133LE-0626-SM-5IFFJ 20-29 years, female 152.3
GTEX-131XF-0826-SM-5GICG 60-69 years, male 152.2
GTEX-YB5K-0826-SM-5YYB7 40-49 years, female 151.6
GTEX-WOFM-0626-SM-4OOS3 20-29 years, male 151.5
GTEX-11TT1-0526-SM-5P9JO 20-29 years, male 150.8
GTEX-131XG-1026-SM-5GCMX 50-59 years, female 148.9
GTEX-TMMY-1126-SM-4DXSX 40-49 years, female 148.8
GTEX-ZQUD-0426-SM-57WFR 30-39 years, male 148.8
GTEX-12WSL-1526-SM-5GCP8 50-59 years, male 147.8
GTEX-16NGA-1426-SM-718AC 40-49 years, female 146.9
GTEX-S7SF-0926-SM-4AD4M 20-29 years, female 145.8
GTEX-1CB4E-1026-SM-793AB 60-69 years, male 145.5
GTEX-14E6E-0726-SM-5S2R3 30-39 years, male 145.4
GTEX-146FR-0426-SM-5SI97 60-69 years, female 144.7
GTEX-144GM-1426-SM-5LU31 20-29 years, male 144.5
GTEX-1JKYR-2126-SM-CNNPC 20-29 years, male 144.0
GTEX-16XZY-0926-SM-7938M 70-79 years, male 143.9
GTEX-1RAZA-1326-SM-DPS12 20-29 years, male 143.9
GTEX-11P81-0826-SM-5P9GR 30-39 years, female 142.8
GTEX-Y114-0926-SM-4TT7J 50-59 years, female 142.4
GTEX-S33H-0826-SM-4AD5Y 30-39 years, male 142.3
GTEX-1HSGN-1626-SM-A96U2 40-49 years, female 142.0
GTEX-1HC8U-1526-SM-9WPO4 40-49 years, female 141.7
GTEX-SUCS-0726-SM-4DM7J 70-79 years, male 141.6
GTEX-11P82-0526-SM-5986P 20-29 years, male 141.2
GTEX-146FH-1726-SM-5QGQ2 50-59 years, female 140.1
GTEX-14C38-2126-SM-5RQJO 50-59 years, male 140.1
GTEX-RU1J-0326-SM-46MUM 20-29 years, female 139.7
GTEX-REY6-1326-SM-48FDO 60-69 years, male 139.2
GTEX-11DXX-1126-SM-5GZZK 60-69 years, female 138.5
GTEX-PLZ5-0926-SM-3TW8L 50-59 years, male 138.3
GTEX-P4PQ-0626-SM-3NMCU 60-69 years, male 137.8
GTEX-SNMC-0526-SM-4DM69 20-29 years, male 137.1
GTEX-ZYFG-1126-SM-5GICY 60-69 years, female 136.1
GTEX-1399R-0826-SM-5IJEL 30-39 years, male 135.9
GTEX-U3ZN-1726-SM-4DXUQ 30-39 years, female 135.9
GTEX-1C475-0926-SM-7MKFI 40-49 years, female 135.7
GTEX-1H11D-2126-SM-9OSXM 40-49 years, male 135.2
GTEX-1AYD5-0926-SM-793AF 50-59 years, male 134.9
GTEX-1AX9K-1126-SM-731DQ 50-59 years, male 134.5
GTEX-WXYG-1226-SM-4ONCJ 50-59 years, female 134.0
GTEX-R55D-1126-SM-48FEB 50-59 years, male 133.6
GTEX-R53T-1126-SM-48FD4 50-59 years, female 133.4
GTEX-WFJO-0826-SM-4LVM5 30-39 years, male 133.0
GTEX-1AMEY-0226-SM-7189Q 30-39 years, female 132.3
GTEX-XV7Q-1126-SM-4BRVS 40-49 years, female 132.2
GTEX-11NSD-1126-SM-5N9BQ 20-29 years, male 131.5
GTEX-14PJ4-1526-SM-664OA 60-69 years, male 131.1
GTEX-132AR-2226-SM-5J2NT 50-59 years, female 129.9
GTEX-V1D1-1026-SM-4JBHE 50-59 years, male 129.5
GTEX-S4P3-0426-SM-4AD56 50-59 years, female 129.1
GTEX-ZY6K-0626-SM-59HJL 50-59 years, male 128.9
GTEX-ZEX8-1426-SM-4WKHQ 50-59 years, male 128.8
GTEX-13S86-0826-SM-5SI6J 40-49 years, male 128.4
GTEX-13O21-0626-SM-5IJDI 50-59 years, male 128.0
GTEX-X3Y1-1326-SM-4PQZB 40-49 years, male 127.8
GTEX-OXRL-0626-SM-3NM9C 50-59 years, male 127.6
GTEX-1RAZQ-1726-SM-EAZ4T 30-39 years, male 127.3
GTEX-1211K-0926-SM-5FQTL 60-69 years, female 127.1
GTEX-OXRK-1326-SM-3NB1A 50-59 years, female 126.9
GTEX-183FY-1526-SM-7IGOW 20-29 years, male 126.7
GTEX-OIZI-1426-SM-3NB1T 40-49 years, male 126.1
GTEX-XXEK-0326-SM-4BRVV 50-59 years, male 126.0
GTEX-ZDYS-0826-SM-4WWCR 50-59 years, male 125.8
GTEX-QDVJ-0726-SM-48U1W 50-59 years, male 123.6
GTEX-ZAB5-0926-SM-5CVMV 50-59 years, male 123.4
GTEX-131XE-1426-SM-5HL7V 50-59 years, male 123.2
GTEX-1B8KZ-0726-SM-7938W 50-59 years, male 123.1
GTEX-13PL7-0226-SM-731DT 60-69 years, female 122.8
GTEX-ZGAY-1126-SM-4WWBS 40-49 years, female 122.6
GTEX-17HHE-0926-SM-7938K 50-59 years, male 121.0
GTEX-11P7K-1326-SM-5BC5G 30-39 years, male 120.9
GTEX-1LVAM-1126-SM-DHXKP 50-59 years, female 120.7
GTEX-1I1GU-1426-SM-B2LX3 40-49 years, male 120.6
GTEX-WHSB-0426-SM-4M1XI 50-59 years, male 119.4
GTEX-VJYA-0726-SM-4KL1T 60-69 years, male 118.3
GTEX-144GN-0626-SM-5O9B2 50-59 years, male 118.0
GTEX-X15G-0826-SM-4PQZD 50-59 years, female 114.4
GTEX-1HCUA-1426-SM-9WPP7 50-59 years, female 114.2
GTEX-NPJ8-1926-SM-3MJGB 40-49 years, male 113.5
GTEX-13CF3-1626-SM-5IFG9 60-69 years, female 112.7
GTEX-15RJ7-0926-SM-6LPJO 40-49 years, male 112.2
GTEX-ZT9X-0526-SM-5GCOP 40-49 years, male 110.5
GTEX-Y3I4-1226-SM-4TT8N 50-59 years, male 109.2
GTEX-145MN-1026-SM-5NQ9G 30-39 years, male 107.5
GTEX-RUSQ-0826-SM-47JWW 50-59 years, male 101.4
GTEX-13FH7-0526-SM-5IJF8 50-59 years, female 100.8
GTEX-169BO-0526-SM-793AK 50-59 years, male 99.7
GTEX-1H3VY-2026-SM-9JGHK 50-59 years, male 98.7
GTEX-1PIGE-0926-SM-E9U5Z 20-29 years, male 96.1
GTEX-11LCK-1726-SM-5S2OQ 30-39 years, male 95.6
GTEX-14BMU-0926-SM-5S2QB 20-29 years, female 89.3
GTEX-S32W-0926-SM-4AD5X 50-59 years, female 87.8
GTEX-14PK6-1326-SM-686ZE 70-79 years, female 79.7
GTEX-1I6K7-1426-SM-B2LXP 40-49 years, male 78.7
Show allShow less

ESOPHAGUS - FANTOM5 CAGEi

RNA expression in human tissues obtained through Cap Analysis of Gene Expression (CAGE) generated by the FANTOM5 project are reported as Scaled Tags Per Million.

Max subtype Scaled Tags Per Millioni

Max subtype Scaled Tags Per Million is the value for the subtype with the largest average Scaled Tags Per Million across the subtype samples.

387.5
FANTOM5 sample id Sample description Scaled Tags Per Million
Esophagus
Scaled Tags Per Million: 387.5
FF:10015-101C6 68,74,75 years, mixed 387.5

Contact

  • NEWS ARTICLES
  • PRESS ROOM

The Project

  • INTRODUCTION
  • ORGANIZATION
  • PUBLICATIONS

The Human Protein Atlas

  • DOWNLOADABLE DATA
  • LICENCE & CITATION
  • HELP & FAQ
The Human Protein Atlas project is funded
by the Knut & Alice Wallenberg Foundation.


contact@proteinatlas.org