We use cookies to enhance the usability of our website. If you continue, we'll assume that you are happy to receive all cookies. More information. Don't show this again.
GPX4
HPA
RESOURCES
  • TISSUE
  • BRAIN
  • SINGLE CELL
  • SUBCELLULAR
  • CANCER
  • BLOOD
  • CELL LINE
  • STRUCTURE & INTERACTION
ABOUT
  • INTRODUCTION
  • HISTORY
  • ORGANIZATION
  • PUBLICATIONS
  • ANTIBODY SUBMISSION
  • ANTIBODY AVAILABILITY
  • ACKNOWLEDGMENTS
  • CONTACT
NEWS
  • NEWS ARTICLES
  • PRESS ROOM
LEARN
  • DICTIONARY
  • PROTEIN CLASSES
  • PROTEIN EVIDENCE
  • METHODS
  • EDUCATIONAL VIDEOS
DATA
  • DOWNLOADABLE DATA
  • PUBLICATION DATA
  • RELEASE HISTORY
HELP
  • ANTIBODY VALIDATION
  • ASSAYS & ANNOTATION
  • DISCLAIMER
  • HELP & FAQ
  • PRIVACY STATEMENT
  • LICENCE & CITATION
Fields »
Search result

Field
Term
Gene name
Class
Subclass
Class
Keyword
Chromosome
External id
Tissue
Cell type
Expression
Antibody panel
Tissue
Main location
Patient ID
Annotation
Tissue
Category
Tau score
Cluster
Reliability
Brain region
Category
Tau score
Brain region
Category
Tau score
Brain region
Category
Tau score
Cluster
Reliability
Tissue
Cell type
Enrichment
Cell type
Category
Tau score
Cell type
Category
Tau score
Cell type
Category
Tau score
Cell lineage
Category
Tau score
Cluster
Cluster
Location
Searches
Location
Cell line
Class
Type
Phase
Reliability
Cancer
Prognosis
Cancer
Category
Cancer
Category
Tau score
Cluster
Variants
Interacting gene (ensg_id)
Type
Number of interactions
Pathway
Category
Score
Score
Score
Validation
Validation
Validation
Validation
Antibodies
Data type
Column


  • SUMMARY

  • TISSUE

  • BRAIN

  • SINGLE CELL

  • SUBCELL

  • CANCER

  • BLOOD

  • CELL LINE

  • STRUCT & INT

  • GPX4
TISSUE PRIMARY DATA SKIN Show tissue menu
ADIPOSE TISSUE ADRENAL GLAND AMYGDALA APPENDIX BASAL GANGLIA BONE MARROW BREAST BRONCHUS CEREBELLUM CEREBRAL CORTEX CERVIX CHOROID PLEXUS COLON DUODENUM
ENDOMETRIUM EPIDIDYMIS ESOPHAGUS FALLOPIAN TUBE GALLBLADDER HEART MUSCLE HIPPOCAMPAL FORMATION HYPOTHALAMUS KIDNEY LIVER LUNG LYMPH NODE MIDBRAIN NASOPHARYNX
ORAL MUCOSA OVARY PANCREAS PARATHYROID GLAND PITUITARY GLAND PLACENTA PROSTATE RECTUM RETINA SALIVARY GLAND SEMINAL VESICLE SKELETAL MUSCLE SKIN SMALL INTESTINE
SMOOTH MUSCLE SOFT TISSUE SPINAL CORD SPLEEN STOMACH TESTIS THYMUS THYROID GLAND TONGUE TONSIL URINARY BLADDER VAGINA
ANTIBODIES
AND
VALIDATION
Dictionary
Skin
Tissue proteome
Skin
SKIN - Expression summary
Protein expression
Skini

On the top, protein expression in current human tissue, based on all annotated cell types, is reported with the units not detected (n), low (l), medium (m) and high (h). Underneath, protein expression in each annotated cell type are reported using the same units.

Protein expression data is based on knowledge-based annotation. For genes where more than one antibody has been used, a collective score is set.

If knowledge-based annotation could not be performed for a gene, no data is displayed here. View antibody staining data further down this page.

h
m
l
n
Cells in basal layer: Not detected
Cells in corneal layer: Not detected
Cells in granular layer: Not detected
Cells in spinous layer: Not detected
Endothelial cells: Low
Extracellular matrix: Not detected
Fibrohistiocytic cells: Medium
Langerhans cells: Not detected
Lymphocytes: High
Melanocytes: Not detected
Vascular mural cells: Not detected
RNA expressioni

A summary of mRNA expression data available for current tissue based on several datasets. The mRNA expression levels in human tissues are based on RNA-seq data generated by the Human Protein Atlas (HPA), Genotype-Tissue Expression (GTEx) portal and CAGE data generated by the FANTOM5 consortium. Consensus normalized expression levels for human tissues was created by combining the data from HPA and GTEx datasets.

The mRNA expression levels in pig are based on RNA-seq data generated by the Human Protein Atlas (HPA), and for mouse, HPA data and in situ hybridization generated by the Allen brain atlas are reported.

Scroll down to view mRNA expression data in more detail.
Consensus:280.6 nTPM
HPA:123.2 nTPM
GTEx:280.6 nTPM

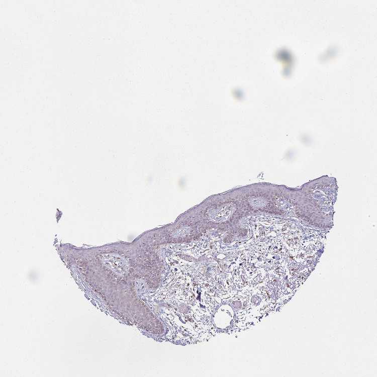
SKIN 1 - Antibody stainingi

Antibody staining in the annotated cell types in the current human tissue is reported as not detected, low, medium, or high, based on conventional immunohistochemistry profiling in selected tissues. This score is based on the combination of the staining intensity and fraction of stained cells.

Each image is clickable and will lead to virtual microscopy that enables deeper exploration of all samples and also displays staining intensity scores, fraction scores and subcellular localization as well as patient and tissue information for each sample.

Antibody HPA047224Antibody HPA058546Antibody CAB008630
Langerhans -Not detectedNot detected
Cells in basal layer Not detected--
Cells in corneal layer Not detected--
Cells in granular layer Not detected--
Cells in spinous layer Not detected--
Endothelial cells Low--
Extracellular matrix Not detected--
Fibroblasts -Not detectedNot detected
Fibrohistiocytic cells Medium--
Keratinocytes -Not detectedNot detected
Langerhans cells Not detected--
Lymphocytes Medium--
Melanocytes Not detectedNot detectedLow
Vascular mural cells Not detected--



SKIN 2 - Antibody stainingi

Antibody staining in the annotated cell types in the current human tissue is reported as not detected, low, medium, or high, based on conventional immunohistochemistry profiling in selected tissues. This score is based on the combination of the staining intensity and fraction of stained cells.

Each image is clickable and will lead to virtual microscopy that enables deeper exploration of all samples and also displays staining intensity scores, fraction scores and subcellular localization as well as patient and tissue information for each sample.

Antibody HPA047224Antibody HPA058546Antibody CAB008630
Cells in basal layer Not detected--
Cells in corneal layer Not detected--
Cells in granular layer Not detected--
Cells in spinous layer Not detected--
Endothelial cells Low--
Epidermal cells -Not detectedLow
Extracellular matrix Not detected--
Fibrohistiocytic cells Medium--
Langerhans cells Not detected--
Lymphocytes High--
Melanocytes Not detected--
Vascular mural cells Not detected--
   
   




SKIN - HPA RNA-seqi

The RNA-seq details section shows detailed information about the individual samples used for the transcript profiling and results of the RNA-seq analysis.

Information about each individual sample is listed below, including gender, age, a tissue section image and estimated fractions of cell types. nTPM (normalized transcripts per million) values give a quantification of the gene abundance which is comparable between different genes and samples.
Average nTPMi

Max subtype nTPM is the value for the subtype with the largest average nTPM across the subtype samples.

123.2
overview
Female, age 34
Skin sample 225
nTPM: 126.2
Cell types%
Keratinocytes:
60

Other cell types:
40

overview
Female, age 30
Skin sample 226
nTPM: 72.9
Cell types%
Keratinocytes:
55

Other cell types:
45

N/A
Male, age 57
Skin sample 227
nTPM: 170.4

SKIN - GTEx RNA-seqi

RNA-Seq data generated by the Genotype-Tissue Expression (GTEx) project from human tissues is reported as mean nTPM. More information can be found on the GTEx portal.

Distribution across the dataset is visualized with box plots, shown as median and 25th and 75th percentiles. Points are displayed as outliers if they are above or below 1.5 times the interquartile range. nTPM values of the individual samples are presented next to the box plot.
Max subtype nTPMi

Max subtype nTPM is the value for the subtype with the largest average nTPM across the subtype samples.

280.6
GTEx sample id Sample description nTPM
Skin - Not Sun Exposed (Suprapubic)
Average nTPM: 265.8
Samples: 604

Max nTPM: 658.8
Min nTPM: 112.5
Std nTPM: 79.0
Median nTPM: 256.5
GTEX-YB5K-2026-SM-4VDT3 40-49 years, female 658.8
GTEX-1399R-1326-SM-5PNYS 30-39 years, male 618.5
GTEX-15RIE-1926-SM-7KUKJ 60-69 years, male 602.4
GTEX-1PIGE-1826-SM-E8VOU 20-29 years, male 567.0
GTEX-ZYW4-0626-SM-59HJR 60-69 years, male 558.2
GTEX-14DAR-1226-SM-73KYV 50-59 years, male 535.1
GTEX-X585-2426-SM-46MW2 50-59 years, male 529.0
GTEX-17F96-0126-SM-7EWDU 70-79 years, male 504.2
GTEX-12BJ1-0926-SM-5EQ62 60-69 years, male 483.6
GTEX-Y5V6-2326-SM-4VDSA 60-69 years, male 483.3
GTEX-14A5H-0826-SM-5QGPJ 60-69 years, male 481.4
GTEX-ZPU1-1126-SM-4YCF3 40-49 years, male 466.5
GTEX-1LSNM-0826-SM-DIPG8 50-59 years, male 460.4
GTEX-Y3IK-1626-SM-4YCF5 50-59 years, female 459.2
GTEX-14E6C-2426-SM-5S2NF 40-49 years, male 453.4
GTEX-14E1K-2026-SM-7DUEI 50-59 years, male 452.1
GTEX-15RIG-0726-SM-7KUM7 40-49 years, male 446.9
GTEX-1S3DN-2126-SM-E9TIN 50-59 years, male 443.5
GTEX-13OVG-1626-SM-5J1NF 60-69 years, male 440.3
GTEX-17F9E-2326-SM-79OKD 50-59 years, male 427.7
GTEX-1LBAC-0826-SM-CY8IJ 20-29 years, male 427.7
GTEX-1117F-2926-SM-5GZYI 60-69 years, female 417.6
GTEX-15UF6-1926-SM-7KUDV 70-79 years, female 414.7
GTEX-1IKOE-1426-SM-CE6T7 30-39 years, female 413.9
GTEX-1192X-2726-SM-5N9DN 50-59 years, male 406.6
GTEX-1N2DV-1526-SM-DTXEP 40-49 years, male 405.6
GTEX-WHSE-0126-SM-3NMBT 20-29 years, male 404.4
GTEX-14PJO-2526-SM-6AJBQ 60-69 years, male 403.6
GTEX-1LKK1-2626-SM-DKPQE 50-59 years, female 402.5
GTEX-1LVAO-2726-SM-E9TJ8 60-69 years, male 402.3
GTEX-XK95-0226-SM-4AT58 40-49 years, male 401.9
GTEX-1H23P-0626-SM-9WG6T 60-69 years, male 400.2
GTEX-WH7G-2026-SM-3NMBL 40-49 years, male 399.6
GTEX-17F97-2626-SM-7IGM5 50-59 years, male 398.3
GTEX-1E1VI-0326-SM-793D1 50-59 years, male 398.2
GTEX-18D9A-1426-SM-7LT8M 30-39 years, female 397.6
GTEX-12WSF-1626-SM-7KUG5 70-79 years, male 397.3
GTEX-1H1ZS-2726-SM-9WG75 70-79 years, male 397.2
GTEX-11WQK-1026-SM-5EQLX 50-59 years, male 396.6
GTEX-X8HC-0626-SM-4E3HQ 50-59 years, female 395.5
GTEX-144GO-2026-SM-5O99P 60-69 years, male 395.0
GTEX-1HUB1-1426-SM-CGQF5 60-69 years, male 387.9
GTEX-1QP9N-1226-SM-E76QN 30-39 years, male 387.3
GTEX-1QCLY-0226-SM-EWRNH 30-39 years, male 386.4
GTEX-145MG-1526-SM-5Q5EM 50-59 years, male 386.2
GTEX-13YAN-0226-SM-5TDC6 60-69 years, male 379.6
GTEX-YEC4-1826-SM-4W1YP 40-49 years, male 377.7
GTEX-1E2YA-2126-SM-7MXUO 50-59 years, male 376.3
GTEX-1K2DA-1026-SM-CGQGF 50-59 years, male 375.7
GTEX-11DYG-1526-SM-5A5JS 60-69 years, male 373.9
GTEX-117YX-1926-SM-5GIEC 50-59 years, male 372.6
GTEX-1GMR3-0126-SM-A9SLW 40-49 years, male 372.3
GTEX-UPK5-0426-SM-3GAEK 40-49 years, male 372.2
GTEX-1IDJI-0126-SM-CMKHS 50-59 years, female 371.6
GTEX-1I4MK-0126-SM-CY8G6 50-59 years, female 371.3
GTEX-1RB15-1326-SM-E76Q9 60-69 years, male 371.1
GTEX-XV7Q-1826-SM-4BRUV 40-49 years, female 368.5
GTEX-11NSD-0626-SM-5A5LU 20-29 years, male 368.3
GTEX-1GPI7-1826-SM-9KNU1 20-29 years, male 366.8
GTEX-Y5LM-0926-SM-6LLJG 40-49 years, female 366.1
GTEX-ZYFG-1526-SM-5GZYM 60-69 years, female 366.0
GTEX-16YQH-2226-SM-7IGM2 30-39 years, male 365.9
GTEX-1I6K7-1926-SM-B2LXR 40-49 years, male 364.8
GTEX-111YS-1526-SM-5GZYW 60-69 years, male 363.4
GTEX-1GMR2-0826-SM-7PC3V 50-59 years, male 360.1
GTEX-146FQ-2126-SM-5RQHU 30-39 years, male 358.1
GTEX-13NYS-0626-SM-5L3F1 60-69 years, male 357.9
GTEX-WI4N-2726-SM-3LK7Y 40-49 years, female 357.9
GTEX-15CHQ-0326-SM-69LQD 60-69 years, male 357.7
GTEX-1I19N-0126-SM-CYPSF 70-79 years, male 357.6
GTEX-X3Y1-2026-SM-3P5YM 40-49 years, male 356.4
GTEX-111FC-2526-SM-5GZXU 60-69 years, male 356.3
GTEX-145ME-1726-SM-5Q5EU 40-49 years, female 354.8
GTEX-1I1GS-2626-SM-B2LY3 60-69 years, male 353.5
GTEX-1HSMP-0926-SM-A9SKX 70-79 years, male 353.3
GTEX-ZDTS-0826-SM-4WKHL 60-69 years, male 352.3
GTEX-ZA64-1026-SM-5HL8R 20-29 years, male 352.2
GTEX-ZVE1-0726-SM-51MRN 50-59 years, female 352.1
GTEX-14ICL-1626-SM-5YYAO 30-39 years, male 350.1
GTEX-16BQI-1326-SM-6M486 30-39 years, female 348.3
GTEX-ZTTD-2826-SM-4YCFA 50-59 years, male 348.0
GTEX-14E6E-0526-SM-793DN 30-39 years, male 347.7
GTEX-1H3VE-0726-SM-9YFL5 40-49 years, male 347.7
GTEX-1B996-0426-SM-7EWF8 60-69 years, male 347.3
GTEX-1H1CY-0126-SM-9YFLY 60-69 years, female 345.6
GTEX-ZF3C-0626-SM-DO92O 50-59 years, female 345.1
GTEX-13113-1626-SM-5EQ4I 60-69 years, female 344.8
GTEX-17EVQ-0126-SM-7IGLR 70-79 years, male 344.6
GTEX-16MT8-2926-SM-7DUFO 60-69 years, female 343.1
GTEX-14PJ3-1126-SM-5ZZVX 50-59 years, male 343.0
GTEX-14PKV-1126-SM-6LLJ1 20-29 years, female 343.0
GTEX-147F3-1726-SM-5SIAW 50-59 years, female 342.3
GTEX-13OVK-1426-SM-6PAN7 40-49 years, male 342.0
GTEX-1F6IF-0926-SM-7SB7M 60-69 years, male 340.9
GTEX-16MTA-0926-SM-6M47Z 50-59 years, male 340.8
GTEX-1H2FU-0926-SM-9WPPT 60-69 years, female 340.5
GTEX-14753-0726-SM-5QGQO 60-69 years, male 340.2
GTEX-13U4I-2226-SM-5LU5H 40-49 years, female 339.7
GTEX-1GF9U-2026-SM-7SB92 40-49 years, female 339.2
GTEX-1RAZA-2226-SM-E9U4X 20-29 years, male 338.5
GTEX-XQ3S-1426-SM-4BOPR 20-29 years, male 338.3
GTEX-131XH-0126-SM-5LZUY 50-59 years, male 338.2
GTEX-145MN-1526-SM-5SI9T 30-39 years, male 337.5
GTEX-1S82P-2126-SM-E6CI5 60-69 years, female 336.1
GTEX-12WSJ-1126-SM-5LZVJ 40-49 years, female 336.0
GTEX-1JKYN-0826-SM-ARU8S 30-39 years, male 336.0
GTEX-11P7K-1126-SM-5HL4L 30-39 years, male 333.9
GTEX-Z93S-1626-SM-5CVMB 50-59 years, male 332.5
GTEX-XBEW-1126-SM-4QARW 40-49 years, male 332.4
GTEX-1I6K6-1726-SM-CGQFD 30-39 years, male 331.7
GTEX-WFG8-2126-SM-3GIKQ 20-29 years, male 330.6
GTEX-1HFI6-0126-SM-CNPPI 40-49 years, male 330.2
GTEX-17HII-1426-SM-7EPGG 50-59 years, male 329.0
GTEX-1C64O-1326-SM-7MGWR 60-69 years, male 328.7
GTEX-YEC3-1326-SM-DO92X 50-59 years, male 328.5
GTEX-1F6I4-2326-SM-7RHGL 60-69 years, male 327.0
GTEX-12WSA-0426-SM-5EQ5X 60-69 years, male 326.6
GTEX-1F75W-2726-SM-7SB8H 60-69 years, male 326.2
GTEX-18D9B-0926-SM-7LG4U 60-69 years, male 325.9
GTEX-11TT1-1826-SM-5EQLV 20-29 years, male 325.7
GTEX-1OJC3-1226-SM-DTXER 20-29 years, male 325.0
GTEX-11OF3-0126-SM-5PNYF 60-69 years, male 324.7
GTEX-1IY9M-2826-SM-ARU8H 60-69 years, male 324.2
GTEX-XBEC-0726-SM-4QARZ 50-59 years, male 324.1
GTEX-1CAV2-0126-SM-7IGN7 40-49 years, female 323.6
GTEX-X4EP-0626-SM-3P621 60-69 years, female 322.5
GTEX-13IVO-0726-SM-5LZYV 70-79 years, male 322.1
GTEX-1LGOU-1326-SM-D3L8M 20-29 years, female 322.1
GTEX-WXYG-2026-SM-4E3IY 50-59 years, female 321.9
GTEX-1KANC-1226-SM-CYPT7 50-59 years, female 320.6
GTEX-145LT-0526-SM-5LUB2 40-49 years, male 320.1
GTEX-1399Q-2326-SM-5KM2X 40-49 years, male 319.8
GTEX-1JMOU-1026-SM-CYPSS 60-69 years, female 318.6
GTEX-1IDJE-1426-SM-ADEIW 50-59 years, female 318.4
GTEX-ZAJG-1526-SM-5CVML 50-59 years, female 317.7
GTEX-ZU9S-1826-SM-5NQ9E 30-39 years, male 317.3
GTEX-16XZZ-0726-SM-7KUF2 60-69 years, male 317.2
GTEX-1LVA9-2626-SM-EVYD4 50-59 years, male 317.2
GTEX-131XF-2626-SM-5EQ6K 60-69 years, male 314.8
GTEX-Y114-2126-SM-4TT8B 50-59 years, female 314.7
GTEX-ZZ64-1026-SM-5GZXG 20-29 years, male 314.4
GTEX-ZE7O-2726-SM-51MT5 50-59 years, female 313.6
GTEX-1F5PK-2226-SM-7SB6N 50-59 years, male 313.6
GTEX-Y8E4-2026-SM-5IFJB 40-49 years, male 313.5
GTEX-139YR-1026-SM-5LZYN 50-59 years, male 312.9
GTEX-1O9I2-0226-SM-EYYXD 50-59 years, male 312.1
GTEX-18A66-0626-SM-7LT8Z 60-69 years, male 311.5
GTEX-XOT4-0626-SM-4B66L 60-69 years, female 311.3
GTEX-1CAMQ-1326-SM-7P8RV 40-49 years, male 309.0
GTEX-139T8-0626-SM-5KLZX 60-69 years, male 308.8
GTEX-YFCO-1226-SM-5LUAT 40-49 years, male 308.7
GTEX-1JN1M-2726-SM-CY8I4 60-69 years, female 307.6
GTEX-ZLFU-1826-SM-4WWBV 40-49 years, male 304.0
GTEX-1QW4Y-1126-SM-DTXE3 30-39 years, male 304.0
GTEX-17JCI-2926-SM-7DUFF 60-69 years, female 302.9
GTEX-WEY5-2326-SM-3GIKK 40-49 years, female 302.7
GTEX-139TS-2126-SM-5K7XC 60-69 years, male 302.2
GTEX-13O61-1426-SM-5KM3D 60-69 years, male 302.0
GTEX-ZDXO-3126-SM-5IJDF 60-69 years, male 302.0
GTEX-13NZ9-2626-SM-5L3FK 50-59 years, male 301.6
GTEX-139TU-0726-SM-5L3EK 60-69 years, male 301.5
GTEX-12584-0726-SM-5FQTK 40-49 years, male 300.1
GTEX-ZLWG-0826-SM-59888 50-59 years, female 299.6
GTEX-1MJK3-0726-SM-E6CJC 20-29 years, male 299.1
GTEX-11DZ1-2426-SM-5GZZX 50-59 years, male 299.0
GTEX-ZXG5-2126-SM-59HKD 60-69 years, male 298.5
GTEX-17MF6-2626-SM-79OKQ 40-49 years, male 298.1
GTEX-XPVG-2126-SM-4B667 50-59 years, male 298.1
GTEX-14JFF-0626-SM-5ZZVT 60-69 years, male 296.9
GTEX-1R9K4-2826-SM-DTX8F 60-69 years, male 296.2
GTEX-XXEK-1626-SM-4BRUZ 50-59 years, male 295.9
GTEX-14BMU-1226-SM-5S2OR 20-29 years, female 295.0
GTEX-13OVJ-0826-SM-5J1OK 50-59 years, female 294.9
GTEX-ZF2S-1626-SM-57WES 50-59 years, female 294.8
GTEX-ZVTK-0226-SM-51MRG 20-29 years, male 294.4
GTEX-13SLX-2226-SM-62LEP 50-59 years, female 293.6
GTEX-12126-0826-SM-5FQTZ 20-29 years, male 293.3
GTEX-13112-0126-SM-5P9IU 50-59 years, male 293.2
GTEX-16Z82-2626-SM-7KULU 60-69 years, male 293.2
GTEX-WHWD-1826-SM-3LK6I 50-59 years, male 293.2
GTEX-144FL-0626-SM-5LU43 50-59 years, male 292.2
GTEX-1RAZR-2126-SM-E9U6T 40-49 years, male 291.8
GTEX-ZPCL-1126-SM-4WWFE 60-69 years, female 291.6
GTEX-1GZ2Q-0126-SM-9WG6M 40-49 years, male 291.5
GTEX-148VJ-0626-SM-5LUAW 70-79 years, male 291.1
GTEX-1LG7Z-1626-SM-CXKYR 30-39 years, male 290.6
GTEX-11DXW-0826-SM-5H118 40-49 years, male 290.4
GTEX-14AS3-1526-SM-5Q5ED 40-49 years, female 290.4
GTEX-ZT9W-1126-SM-57WDR 50-59 years, male 289.9
GTEX-13X6H-0926-SM-5SIB2 50-59 years, female 289.2
GTEX-1IDJD-2326-SM-ACKWX 30-39 years, male 289.2
GTEX-11DXZ-2026-SM-5987S 50-59 years, male 288.6
GTEX-ZAB4-2126-SM-5HL8U 40-49 years, male 288.6
GTEX-11DXX-2126-SM-5PNYR 60-69 years, female 288.4
GTEX-12696-0126-SM-5EQ4L 60-69 years, male 287.8
GTEX-ZC5H-1526-SM-5HL9Y 40-49 years, female 287.7
GTEX-1JMQK-1226-SM-D4P2S 60-69 years, male 287.6
GTEX-1RMOY-1326-SM-E9TIH 50-59 years, male 287.4
GTEX-11EQ9-1626-SM-5PNY8 30-39 years, male 286.4
GTEX-1GF9W-1426-SM-7PBYM 60-69 years, male 286.1
GTEX-1H1E6-0426-SM-9WYUS 30-39 years, male 286.1
GTEX-12KS4-2126-SM-5FQUT 30-39 years, male 285.8
GTEX-1RLM8-2926-SM-E8VON 50-59 years, male 285.5
GTEX-Y111-0626-SM-4SOIT 50-59 years, male 284.9
GTEX-ZYVF-0926-SM-5E44J 50-59 years, female 284.7
GTEX-13JUV-2026-SM-5K7UA 40-49 years, female 283.8
GTEX-18D9U-0126-SM-731BM 40-49 years, male 283.7
GTEX-16NGA-0726-SM-731AO 40-49 years, female 283.4
GTEX-WK11-2726-SM-3NMAQ 50-59 years, male 283.4
GTEX-13RTJ-0126-SM-5S2NN 60-69 years, male 282.7
GTEX-1J8JJ-0626-SM-ARZMQ 60-69 years, female 282.0
GTEX-XQ8I-0926-SM-4BOOF 50-59 years, male 281.9
GTEX-1JMLX-0626-SM-ARL8T 50-59 years, male 280.8
GTEX-1JK1U-0226-SM-ARZMX 60-69 years, male 280.6
GTEX-XMD2-2126-SM-4YCF8 60-69 years, female 280.4
GTEX-ZVP2-0326-SM-57WBP 50-59 years, male 280.1
GTEX-1A32A-0626-SM-731AQ 50-59 years, female 279.7
GTEX-1LVAN-0626-SM-CNPOQ 50-59 years, female 279.0
GTEX-X5EB-1926-SM-4E3IW 40-49 years, male 278.7
GTEX-13FTW-0326-SM-5K7UW 40-49 years, male 278.5
GTEX-1B8KE-1126-SM-7EPHI 50-59 years, male 278.3
GTEX-1F75I-2226-SM-7SB8U 40-49 years, male 278.0
GTEX-1HC8U-1326-SM-9YFMJ 40-49 years, female 277.5
GTEX-16GPK-0626-SM-7KFSF 60-69 years, male 277.4
GTEX-15SHW-0226-SM-7LTAT 60-69 years, male 277.3
GTEX-14PK6-0226-SM-62LF5 70-79 years, female 277.0
GTEX-ZYFD-0626-SM-5E44E 50-59 years, male 276.8
GTEX-139UW-0326-SM-5J1ML 60-69 years, male 276.7
GTEX-WFG7-2026-SM-5SI7P 20-29 years, male 276.7
GTEX-1AYD5-2626-SM-7PBXY 50-59 years, male 276.7
GTEX-1BAJH-2426-SM-7IGP8 70-79 years, male 276.4
GTEX-1QCLZ-2426-SM-EVYBW 60-69 years, female 276.4
GTEX-1CB4I-0126-SM-7RHGG 50-59 years, male 276.2
GTEX-1ICLZ-0326-SM-ARL82 60-69 years, male 275.7
GTEX-13PVQ-0626-SM-5LU47 50-59 years, male 275.5
GTEX-15RJ7-2126-SM-6PAMD 40-49 years, male 275.5
GTEX-ZDTT-0426-SM-4WKFL 60-69 years, male 275.5
GTEX-14ABY-2026-SM-62LDL 50-59 years, male 275.3
GTEX-11UD2-2526-SM-5CVNU 50-59 years, male 275.2
GTEX-16AAH-0626-SM-793C9 50-59 years, male 274.8
GTEX-1H3NZ-2726-SM-9WYTQ 60-69 years, male 274.4
GTEX-11P81-2226-SM-5PNYI 30-39 years, female 274.2
GTEX-1IDFM-0326-SM-ARL7V 60-69 years, male 274.2
GTEX-1QP66-1226-SM-DTX7U 50-59 years, male 274.2
GTEX-13NYB-0126-SM-5J1MD 40-49 years, male 274.0
GTEX-18A7B-2726-SM-7LG56 70-79 years, male 273.8
GTEX-1AX9J-1326-SM-731BJ 60-69 years, male 273.3
GTEX-1CAMR-1326-SM-7PC1F 20-29 years, male 273.0
GTEX-1HCUA-0826-SM-ADEHM 50-59 years, female 272.8
GTEX-11WQC-1826-SM-5GU59 60-69 years, male 272.7
GTEX-14JG6-1426-SM-9WG7C 30-39 years, female 272.7
GTEX-147F4-0726-SM-5TDDD 50-59 years, male 271.8
GTEX-13D11-0926-SM-5J2NC 50-59 years, female 271.5
GTEX-13VXT-1926-SM-5K7UO 20-29 years, female 270.5
GTEX-1PPH7-1126-SM-DTX9A 40-49 years, male 270.1
GTEX-Y3I4-1726-SM-4TT89 50-59 years, male 270.0
GTEX-XYKS-1426-SM-4BRUO 60-69 years, female 269.9
GTEX-132AR-0326-SM-5KM2C 50-59 years, female 269.8
GTEX-YF7O-1526-SM-5IFI6 50-59 years, male 269.7
GTEX-11P82-1426-SM-DTXFY 20-29 years, male 269.3
GTEX-13PVR-0426-SM-5RQK2 60-69 years, female 269.2
GTEX-1PPH8-0126-SM-EWRN8 20-29 years, male 269.0
GTEX-1R9PM-1926-SM-EVR3O 20-29 years, male 268.8
GTEX-14PHX-2226-SM-6EU2P 50-59 years, male 268.1
GTEX-11NUK-2726-SM-5A5MC 50-59 years, male 267.9
GTEX-16NPX-0726-SM-7KULC 50-59 years, male 267.3
GTEX-12WSL-2026-SM-5GCML 50-59 years, male 267.1
GTEX-17KNJ-2126-SM-718AM 50-59 years, male 266.8
GTEX-ZAK1-0626-SM-5HL8E 50-59 years, female 266.8
GTEX-15RJE-2826-SM-7KUM9 40-49 years, male 266.4
GTEX-15FZZ-0526-SM-7KUGD 30-39 years, female 265.5
GTEX-1IDJF-2026-SM-CL53V 20-29 years, male 265.2
GTEX-17HGU-2326-SM-7DUFE 50-59 years, male 265.1
GTEX-15DYW-2726-SM-6EU2I 60-69 years, female 264.8
GTEX-145MO-2826-SM-5LU96 60-69 years, male 264.1
GTEX-15CHR-1126-SM-7EWF4 50-59 years, male 263.9
GTEX-11O72-0626-SM-5PNYE 40-49 years, male 263.3
GTEX-1HCU8-2526-SM-CE6RX 60-69 years, female 263.0
GTEX-1IL2V-1926-SM-B2LW8 70-79 years, male 261.9
GTEX-1S831-1826-SM-EWROF 20-29 years, male 261.9
GTEX-12WSH-1526-SM-5BC5W 50-59 years, male 261.8
GTEX-1JN6P-2926-SM-CL54D 60-69 years, male 261.6
GTEX-11EI6-2826-SM-5H11D 60-69 years, male 261.5
GTEX-11EM3-1226-SM-5N9DD 20-29 years, female 261.5
GTEX-1NV5F-0626-SM-DTXEG 60-69 years, female 261.0
GTEX-1EH9U-2826-SM-7DUGT 60-69 years, male 260.7
GTEX-1KANA-1326-SM-DIPFA 20-29 years, male 260.7
GTEX-1497J-0226-SM-5QGPU 60-69 years, male 260.6
GTEX-13FTY-2126-SM-5IFFB 40-49 years, female 260.4
GTEX-1PPGY-1626-SM-EVYBL 60-69 years, male 260.4
GTEX-11DXY-0126-SM-5H11Q 60-69 years, male 260.1
GTEX-1C475-1326-SM-7SB73 40-49 years, female 260.0
GTEX-ZTX8-1326-SM-4YCEL 20-29 years, male 259.9
GTEX-1JJE9-2626-SM-ARZMT 70-79 years, male 259.8
GTEX-13X6I-1826-SM-5SIAO 60-69 years, male 259.5
GTEX-1F75B-0726-SM-7PC3R 50-59 years, male 259.3
GTEX-1HCU6-2526-SM-ADEHL 60-69 years, female 259.3
GTEX-18QFQ-1826-SM-72D52 30-39 years, male 259.2
GTEX-ZWKS-0626-SM-5GIDV 30-39 years, male 258.8
GTEX-13W3W-0726-SM-5IJDQ 60-69 years, female 258.4
GTEX-1S82U-1026-SM-E6CJK 30-39 years, female 257.3
GTEX-VUSG-2326-SM-4KL1U 50-59 years, male 256.6
GTEX-131YS-2826-SM-5EQ47 60-69 years, female 256.4
GTEX-1L5NE-1126-SM-D3L9P 50-59 years, male 256.4
GTEX-18A6Q-0626-SM-7KFRP 60-69 years, male 256.3
GTEX-ZUA1-2626-SM-5NQ92 40-49 years, male 256.3
GTEX-ZVE2-2826-SM-5GU51 50-59 years, male 256.2
GTEX-YJ8O-2526-SM-5HL85 40-49 years, female 256.1
GTEX-13FTX-1526-SM-5K7VJ 20-29 years, female 256.0
GTEX-1M4P7-0726-SM-E6CJ3 60-69 years, male 255.8
GTEX-1A3MW-0626-SM-731CB 60-69 years, female 255.7
GTEX-1AX8Z-0726-SM-73KTS 60-69 years, male 255.7
GTEX-1J1R8-2026-SM-CL53Y 40-49 years, male 255.7
GTEX-1F48J-0726-SM-7RHGS 50-59 years, female 255.6
GTEX-13FH7-1126-SM-5K7UG 50-59 years, female 255.2
GTEX-1EX96-1026-SM-7MKG2 50-59 years, male 255.0
GTEX-YECK-0326-SM-4W1YS 60-69 years, male 255.0
GTEX-139TT-2126-SM-5LZWC 60-69 years, male 254.8
GTEX-ZTSS-1426-SM-5985P 40-49 years, male 254.6
GTEX-14PHY-1226-SM-5ZZWK 60-69 years, female 254.4
GTEX-Y8LW-1526-SM-5IFHL 50-59 years, female 254.4
GTEX-1MCC2-1826-SM-DIPEX 30-39 years, female 254.1
GTEX-1211K-1526-SM-5FQU4 60-69 years, female 253.9
GTEX-1HGF4-0126-SM-CNPPX 60-69 years, male 253.8
GTEX-1JN76-0626-SM-CKZOQ 20-29 years, female 253.7
GTEX-178AV-1726-SM-7KUL8 40-49 years, male 253.6
GTEX-X4EO-2926-SM-4E3JH 60-69 years, female 253.6
GTEX-1NSGN-0726-SM-DTXEF 50-59 years, male 253.1
GTEX-13OW5-2326-SM-5L3HO 60-69 years, male 252.7
GTEX-14PJ2-0626-SM-6LLII 50-59 years, male 251.9
GTEX-13JVG-0726-SM-5KM16 60-69 years, male 251.6
GTEX-1C6WA-2626-SM-7MKGM 60-69 years, male 251.3
GTEX-1HKZK-0726-SM-ACKW2 40-49 years, male 251.0
GTEX-1MCYP-0526-SM-E9U6Q 20-29 years, female 251.0
GTEX-1K9T9-1526-SM-DIPFR 50-59 years, female 250.5
GTEX-1IDJC-1526-SM-B2LW4 50-59 years, male 250.1
GTEX-1RAZQ-1326-SM-E9TK6 30-39 years, male 250.1
GTEX-1A3MV-1826-SM-731CD 30-39 years, male 249.8
GTEX-1KAFJ-0126-SM-DIPEK 50-59 years, male 248.2
GTEX-12ZZX-2426-SM-5GCOE 40-49 years, female 247.7
GTEX-1PIIG-2326-SM-DTXFR 30-39 years, male 247.5
GTEX-1B97I-0626-SM-73KUZ 40-49 years, male 246.5
GTEX-1F52S-2926-SM-7MKGA 60-69 years, female 246.5
GTEX-1HCU7-0726-SM-A9SL1 50-59 years, male 246.5
GTEX-133LE-2326-SM-5K7W3 20-29 years, female 245.6
GTEX-1GN1W-2426-SM-9KNUU 50-59 years, female 245.0
GTEX-U8XE-0226-SM-4E3J3 30-39 years, male 244.3
GTEX-15EO6-2426-SM-6PALZ 50-59 years, male 244.2
GTEX-131XG-0326-SM-5L3DX 50-59 years, female 244.0
GTEX-1JKYR-0626-SM-ARL8R 20-29 years, male 243.6
GTEX-1H1DG-2426-SM-9QEHJ 70-79 years, male 243.5
GTEX-1JMQI-1726-SM-ARL93 50-59 years, male 243.1
GTEX-11VI4-1126-SM-5EQMD 40-49 years, female 242.9
GTEX-14C39-1726-SM-5RQIL 40-49 years, male 242.8
GTEX-1GTWX-2026-SM-9YFLM 60-69 years, male 242.8
GTEX-1CAMS-2226-SM-7PBXQ 40-49 years, female 242.0
GTEX-14JG1-1526-SM-5YY9X 40-49 years, male 241.5
GTEX-1314G-1326-SM-5BC6E 30-39 years, male 241.2
GTEX-XUW1-0926-SM-4BONX 50-59 years, female 241.0
GTEX-13N11-2326-SM-5IJBF 50-59 years, female 240.6
GTEX-Y5V5-0126-SM-5S2NW 60-69 years, female 240.6
GTEX-1JJ6O-2726-SM-CNPOG 60-69 years, male 240.6
GTEX-1QPFJ-1926-SM-EVYBD 30-39 years, female 240.5
GTEX-ZPIC-0526-SM-DO91W 40-49 years, female 240.5
GTEX-13N2G-0226-SM-5K7VF 60-69 years, male 239.8
GTEX-1LSVX-2526-SM-DIPEU 60-69 years, male 239.1
GTEX-13G51-1826-SM-5KLZH 60-69 years, male 238.4
GTEX-1LG7Y-2526-SM-EWRO7 50-59 years, male 238.1
GTEX-13OVL-0126-SM-5L3GJ 50-59 years, male 238.0
GTEX-15D1Q-2826-SM-6LLH7 40-49 years, male 238.0
GTEX-1A8FM-0626-SM-7PC25 50-59 years, female 238.0
GTEX-144GM-0526-SM-79OJO 20-29 years, male 237.9
GTEX-1POEN-2326-SM-E9J2L 30-39 years, female 237.7
GTEX-14PJN-1826-SM-6AJ98 30-39 years, male 237.6
GTEX-1IDJH-0126-SM-D3L92 70-79 years, male 237.4
GTEX-14LLW-2626-SM-62LDZ 70-79 years, female 237.3
GTEX-ZP4G-1426-SM-4WWCL 20-29 years, female 237.3
GTEX-1QAET-0326-SM-EVR3U 50-59 years, male 237.1
GTEX-1EN7A-2426-SM-793DB 40-49 years, male 236.7
GTEX-1I1GP-1326-SM-A9G28 50-59 years, male 236.5
GTEX-ZY6K-1426-SM-5GZX2 50-59 years, male 236.4
GTEX-13PDP-0726-SM-5L3HP 60-69 years, male 236.2
GTEX-14PJ5-1526-SM-6LLIL 60-69 years, female 236.0
GTEX-13NYC-0126-SM-5L3F4 60-69 years, male 235.6
GTEX-17MFQ-1526-SM-7KFRR 20-29 years, male 235.2
GTEX-ZT9X-1526-SM-5DUXD 40-49 years, male 234.9
GTEX-14LZ3-0126-SM-69LPM 60-69 years, female 234.3
GTEX-1R9PN-0426-SM-DTXDT 40-49 years, female 234.3
GTEX-ZGAY-1826-SM-DO91Q 40-49 years, female 233.2
GTEX-1N5O9-0926-SM-E9J3C 60-69 years, male 233.1
GTEX-12WSD-0626-SM-5GCMW 60-69 years, female 232.4
GTEX-WFON-1926-SM-3LK7L 40-49 years, male 232.0
GTEX-11ZUS-2626-SM-5FQUR 30-39 years, male 231.5
GTEX-1HCU9-0426-SM-9WYSD 20-29 years, male 231.5
GTEX-UPJH-0226-SM-3GADV 50-59 years, male 231.3
GTEX-1477Z-0326-SM-7IGLA 60-69 years, male 230.3
GTEX-1HFI7-2326-SM-CGQFS 50-59 years, female 229.9
GTEX-1EWIQ-0326-SM-7DHMQ 70-79 years, female 229.8
GTEX-ZYFC-0426-SM-5GICQ 50-59 years, male 229.7
GTEX-1HSMQ-2626-SM-A9SML 50-59 years, male 229.6
GTEX-17EVP-2626-SM-7IGMA 40-49 years, male 228.8
GTEX-17HHE-1326-SM-7EWDZ 50-59 years, male 228.8
GTEX-147GR-2426-SM-5ZZWQ 60-69 years, male 228.0
GTEX-1IE54-1126-SM-A9G2Z 40-49 years, female 227.6
GTEX-13OVH-0526-SM-5L3E6 70-79 years, male 227.4
GTEX-1K2DU-1226-SM-CYPT4 20-29 years, male 226.9
GTEX-183WM-0326-SM-72D5V 70-79 years, female 226.7
GTEX-13FHO-0426-SM-5L3F5 60-69 years, male 226.6
GTEX-WHPG-2626-SM-3NMBR 50-59 years, male 226.5
GTEX-11TUW-0626-SM-5LU9M 60-69 years, male 226.0
GTEX-1H3O1-1326-SM-9MQLD 60-69 years, male 225.6
GTEX-1QP29-1826-SM-DTX9S 50-59 years, male 225.6
GTEX-1KD5A-0126-SM-E9U54 50-59 years, male 225.5
GTEX-17F98-1326-SM-7DUEP 40-49 years, female 225.3
GTEX-1LGRB-0926-SM-COH3K 50-59 years, female 225.1
GTEX-1S5ZU-2526-SM-E6CIF 20-29 years, female 225.0
GTEX-1IDJU-1726-SM-CMKHU 60-69 years, female 224.6
GTEX-1ICG6-1226-SM-A9SLN 70-79 years, female 224.5
GTEX-111CU-1126-SM-5EGIM 50-59 years, male 224.4
GTEX-WYJK-0526-SM-3NM8Z 50-59 years, male 223.4
GTEX-12ZZY-0726-SM-5EQ66 60-69 years, male 223.3
GTEX-17HHY-0426-SM-7DHLC 50-59 years, male 222.4
GTEX-1C64N-2626-SM-7PC2N 50-59 years, male 222.2
GTEX-1N2EE-0626-SM-E76PW 60-69 years, male 222.0
GTEX-ZZPU-0826-SM-5GZX5 50-59 years, female 221.9
GTEX-1212Z-0126-SM-59HK4 60-69 years, male 220.9
GTEX-1GZHY-0626-SM-9KNVC 50-59 years, female 220.2
GTEX-VJYA-1526-SM-3GIJV 60-69 years, male 220.1
GTEX-13QBU-1226-SM-5LU4G 40-49 years, female 218.6
GTEX-1EKGG-0626-SM-7DUGJ 60-69 years, male 218.1
GTEX-18A7A-0126-SM-731AH 50-59 years, female 217.9
GTEX-1I1CD-0626-SM-CE6SW 60-69 years, female 217.9
GTEX-15DDE-2926-SM-6LLJ3 50-59 years, female 217.3
GTEX-1CB4F-1026-SM-7DUH1 60-69 years, male 217.1
GTEX-ZF29-0926-SM-4WKFZ 60-69 years, female 215.6
GTEX-1GZ4H-0526-SM-9KNU9 50-59 years, female 214.8
GTEX-1HBPN-0126-SM-CGQEF 50-59 years, male 214.2
GTEX-1A3MX-2626-SM-7PC24 60-69 years, male 213.0
GTEX-1A8G7-1326-SM-73KVM 60-69 years, male 212.7
GTEX-14BMV-2826-SM-5TDED 50-59 years, male 211.4
GTEX-1HT8W-0626-SM-A9G2H 30-39 years, male 211.2
GTEX-1HSMO-0626-SM-ACKXC 60-69 years, male 210.6
GTEX-131XW-0626-SM-5PNVD 50-59 years, female 210.3
GTEX-ZYT6-2326-SM-5GZY3 30-39 years, male 208.6
GTEX-1F88E-1626-SM-7SB8Z 60-69 years, female 208.5
GTEX-1C2JI-1026-SM-73KY1 50-59 years, male 207.9
GTEX-1GF9V-0826-SM-9KNUV 60-69 years, male 207.5
GTEX-1HR98-2226-SM-ADEI2 60-69 years, male 207.1
GTEX-1AX9I-2226-SM-73KUO 60-69 years, male 206.8
GTEX-ZVZP-1226-SM-5GID7 50-59 years, male 206.1
GTEX-1CB4E-0926-SM-7EPHT 60-69 years, male 206.0
GTEX-1HBPI-2126-SM-ARL9K 50-59 years, male 206.0
GTEX-17F9Y-0126-SM-79OKX 70-79 years, female 205.8
GTEX-15SKB-2826-SM-6PAMH 60-69 years, male 205.4
GTEX-13O3Q-0126-SM-5KM34 50-59 years, male 205.2
GTEX-11EQ8-0926-SM-5H12V 60-69 years, male 204.6
GTEX-14DAQ-0626-SM-793DS 60-69 years, female 204.4
GTEX-13X6K-0626-SM-5LU5D 60-69 years, female 204.2
GTEX-1A8G6-2726-SM-731AR 60-69 years, male 203.8
GTEX-1399S-0126-SM-5IJCF 30-39 years, female 203.6
GTEX-12ZZZ-0726-SM-5GCNZ 60-69 years, male 203.4
GTEX-1GMRU-2126-SM-7P8RA 50-59 years, male 202.8
GTEX-1GN2E-0226-SM-9WG6K 60-69 years, male 202.6
GTEX-1QEPI-2626-SM-DTXF4 60-69 years, female 202.4
GTEX-1JMQL-2226-SM-CNPP4 50-59 years, female 202.1
GTEX-13FLV-0126-SM-5K7WT 50-59 years, male 202.0
GTEX-1GL5R-1326-SM-7RHHF 50-59 years, male 200.9
GTEX-1EMGI-2326-SM-7PBYA 60-69 years, male 200.6
GTEX-18465-2826-SM-7LT9J 50-59 years, male 200.5
GTEX-13N1W-2426-SM-5IJD1 70-79 years, male 200.3
GTEX-1B933-2426-SM-7DHMD 50-59 years, female 200.2
GTEX-1HBPM-0726-SM-9YFL7 60-69 years, female 200.2
GTEX-11LCK-2226-SM-5HL4Q 30-39 years, male 199.7
GTEX-17HG3-2626-SM-7DUF2 30-39 years, female 199.2
GTEX-13O3O-2326-SM-5IJD6 60-69 years, female 199.0
GTEX-1H1DE-1326-SM-9KNUG 20-29 years, male 198.7
GTEX-139D8-1126-SM-5LU8W 30-39 years, female 198.5
GTEX-12WSK-2126-SM-5CVNC 40-49 years, female 198.1
GTEX-WY7C-2126-SM-3NB2R 50-59 years, male 198.0
GTEX-13NZ8-1226-SM-5KM4A 60-69 years, female 197.5
GTEX-14PJ6-2626-SM-6EU2T 60-69 years, female 196.8
GTEX-15G19-2426-SM-7KUMR 60-69 years, male 196.5
GTEX-W5X1-2526-SM-3GILC 40-49 years, female 196.4
GTEX-Y9LG-1126-SM-4VBQ7 30-39 years, male 196.4
GTEX-1KWVE-1026-SM-D3L9O 30-39 years, male 196.4
GTEX-1JJEA-1826-SM-ARU8P 60-69 years, male 196.1
GTEX-1R7EU-1626-SM-DTXG3 60-69 years, male 195.9
GTEX-1I1GT-1026-SM-ARZLV 60-69 years, female 195.2
GTEX-12C56-1526-SM-5FQUQ 20-29 years, male 194.9
GTEX-111VG-1626-SM-5EGIO 60-69 years, male 194.6
GTEX-12WSC-2826-SM-5BC5Y 50-59 years, male 194.2
GTEX-145MH-2826-SM-5RQJF 50-59 years, male 194.2
GTEX-13VXU-0626-SM-5L3F9 50-59 years, male 193.9
GTEX-11PRG-0726-SM-5EGL1 50-59 years, male 193.7
GTEX-145LS-0626-SM-7EPG7 60-69 years, female 192.8
GTEX-1GN1V-2826-SM-9JGIA 60-69 years, male 192.6
GTEX-13OW7-0426-SM-5K7VK 50-59 years, male 192.5
GTEX-1GMR8-0626-SM-7RHI7 50-59 years, female 191.5
GTEX-13X6J-0626-SM-5LU5F 50-59 years, male 191.4
GTEX-18A67-1626-SM-7LT9T 50-59 years, male 190.7
GTEX-1GZ4I-2626-SM-9KNU3 50-59 years, male 190.3
GTEX-ZLV1-1526-SM-DO91J 60-69 years, female 190.0
GTEX-13OW6-2726-SM-5J2OE 50-59 years, male 189.8
GTEX-WYBS-0626-SM-3NMAS 60-69 years, female 189.3
GTEX-1HCVE-2726-SM-CL54F 50-59 years, male 189.3
GTEX-183FY-1026-SM-7939A 20-29 years, male 189.0
GTEX-14PII-0726-SM-6EU2B 60-69 years, male 188.9
GTEX-1F75A-0726-SM-7RHHD 50-59 years, male 188.9
GTEX-11ZU8-0126-SM-5EQ58 60-69 years, male 188.6
GTEX-13OW8-1026-SM-5J1NQ 60-69 years, male 188.6
GTEX-1CB4H-1126-SM-7MKGL 60-69 years, female 188.4
GTEX-1B8KZ-0326-SM-73KY4 50-59 years, male 187.8
GTEX-1H11D-1826-SM-9QEHM 40-49 years, male 187.2
GTEX-1QP28-1126-SM-EVYC4 50-59 years, female 187.0
GTEX-15EU6-2226-SM-6EU2L 50-59 years, male 186.9
GTEX-1R46S-2426-SM-E76QA 60-69 years, female 186.9
GTEX-XBED-1926-SM-47JYP 60-69 years, male 186.8
GTEX-15G1A-1626-SM-7KUKN 30-39 years, male 186.6
GTEX-1RAZS-2526-SM-E6CHT 50-59 years, male 186.5
GTEX-ZE9C-2526-SM-5IJDR 60-69 years, male 186.4
GTEX-1JMPZ-0726-SM-CY8HZ 30-39 years, male 186.4
GTEX-1GF9X-1326-SM-7PC2Y 40-49 years, female 185.8
GTEX-ZVT2-0126-SM-5GIDQ 50-59 years, female 185.7
GTEX-1IDJV-0126-SM-COH3Y 60-69 years, male 185.3
GTEX-144GL-0626-SM-5LU4D 50-59 years, male 185.0
GTEX-14B4R-1326-SM-5Q5EZ 30-39 years, male 184.4
GTEX-1J8Q2-2626-SM-ACKWQ 60-69 years, male 184.4
GTEX-1HB9E-0126-SM-CM2S5 50-59 years, male 183.9
GTEX-WRHU-2826-SM-3MJG8 50-59 years, female 183.6
GTEX-ZDYS-2426-SM-4WKGI 50-59 years, male 183.4
GTEX-1H1DF-1126-SM-9WG7G 40-49 years, female 182.7
GTEX-1KXAM-1626-SM-D3LAD 60-69 years, male 181.2
GTEX-1QMI2-2526-SM-E8VNZ 60-69 years, male 180.9
GTEX-11ZTT-2126-SM-5CVLO 60-69 years, female 180.7
GTEX-1I1HK-2326-SM-CKZOH 60-69 years, male 179.7
GTEX-1IKJJ-2226-SM-CJI4C 60-69 years, male 179.5
GTEX-1HSGN-0826-SM-ACKW3 40-49 years, female 179.4
GTEX-16MT9-0126-SM-7EPI8 60-69 years, female 179.0
GTEX-1F5PL-0926-SM-7PC2W 40-49 years, female 178.7
GTEX-1LSNL-2726-SM-E9TKJ 50-59 years, male 178.1
GTEX-XAJ8-1426-SM-47JYM 40-49 years, male 177.9
GTEX-WHSB-1326-SM-3LK6W 50-59 years, male 177.8
GTEX-ZYY3-2926-SM-5GIEB 60-69 years, female 177.8
GTEX-11GSP-2326-SM-5HL63 60-69 years, female 177.0
GTEX-1PBJJ-1026-SM-E76OS 30-39 years, male 176.7
GTEX-14C5O-0326-SM-5ZZUX 60-69 years, male 176.1
GTEX-1GN73-0726-SM-7P8TJ 60-69 years, male 176.1
GTEX-1B8SF-0126-SM-7DUG3 60-69 years, male 175.9
GTEX-1JMPY-0226-SM-CKZOK 30-39 years, male 174.4
GTEX-ZVT4-2426-SM-5GIEI 50-59 years, female 174.1
GTEX-1H4P4-2126-SM-9WYSL 50-59 years, male 172.8
GTEX-1J8QM-2426-SM-A9SLS 60-69 years, female 172.8
GTEX-1F6RS-2026-SM-7RHHC 60-69 years, female 171.9
GTEX-1F88F-0126-SM-9WYSZ 60-69 years, female 171.9
GTEX-1PDJ9-1226-SM-EXUSX 20-29 years, male 170.8
GTEX-13SLW-0626-SM-5Q5ER 70-79 years, male 169.1
GTEX-1KANB-2826-SM-CY8I6 50-59 years, male 168.9
GTEX-14A6H-2026-SM-5Q5DD 30-39 years, male 168.4
GTEX-1313W-0626-SM-5EQ4H 50-59 years, female 166.9
GTEX-14BIN-1126-SM-5RQJZ 50-59 years, female 166.6
GTEX-1HSKV-1226-SM-ADEI4 60-69 years, male 166.3
GTEX-1CB4J-1326-SM-7P8RX 60-69 years, male 166.2
GTEX-14PJ4-0226-SM-5YY92 60-69 years, male 166.1
GTEX-1EU9M-1426-SM-793AI 60-69 years, male 165.8
GTEX-V1D1-2026-SM-3GAF4 50-59 years, male 165.8
GTEX-1B8L1-2226-SM-7P8PT 60-69 years, male 165.6
GTEX-1LVAM-0726-SM-E6CIL 50-59 years, female 163.9
GTEX-1J1OQ-0126-SM-D4P2N 40-49 years, female 163.1
GTEX-145MF-0926-SM-5Q5EA 50-59 years, male 160.9
GTEX-1IOXB-2726-SM-CM2RI 50-59 years, male 160.8
GTEX-15ER7-0626-SM-6PANF 20-29 years, female 160.6
GTEX-1I1GV-0626-SM-ARL7M 60-69 years, male 160.3
GTEX-1C6VR-0126-SM-7RHGB 60-69 years, male 159.1
GTEX-13PL6-1126-SM-5L3IE 40-49 years, female 158.7
GTEX-WYVS-1626-SM-3NM9R 40-49 years, female 158.0
GTEX-1C6VQ-1226-SM-73KYD 50-59 years, male 157.8
GTEX-1GN1U-0626-SM-9MQL9 50-59 years, female 157.8
GTEX-1122O-1026-SM-9WYSF 60-69 years, female 157.7
GTEX-147JS-0226-SM-5S2U9 60-69 years, male 157.5
GTEX-1HR9M-2226-SM-CNPPY 60-69 years, male 156.2
GTEX-1399U-1126-SM-5L3DB 50-59 years, female 155.7
GTEX-1B932-2326-SM-79OL5 40-49 years, female 155.2
GTEX-15CHC-1126-SM-6LLHQ 60-69 years, female 152.9
GTEX-11GS4-0226-SM-5HL77 60-69 years, male 151.1
GTEX-1ICLY-0826-SM-CMKG1 50-59 years, male 150.0
GTEX-13QJC-0126-SM-5ZZWJ 60-69 years, female 149.8
GTEX-14PKU-0126-SM-6LLHV 40-49 years, female 149.8
GTEX-1LB8K-0726-SM-D5OV2 50-59 years, male 148.5
GTEX-145LU-1926-SM-79OJN 50-59 years, male 148.4
GTEX-1AMFI-1326-SM-7939R 50-59 years, female 147.3
GTEX-1GPI6-1926-SM-9KNV7 60-69 years, male 145.4
GTEX-1S83E-1326-SM-E6CJM 40-49 years, male 145.0
GTEX-1J8Q3-0526-SM-ARL8U 60-69 years, male 144.0
GTEX-12WSM-1926-SM-5BC65 60-69 years, male 143.1
GTEX-14C38-0726-SM-5SI6M 50-59 years, male 143.1
GTEX-1J8EW-2726-SM-CY8HR 60-69 years, female 141.4
GTEX-1OJC4-2726-SM-E76PJ 50-59 years, female 139.8
GTEX-1AMEY-0826-SM-72D65 30-39 years, female 139.3
GTEX-1I1GU-0926-SM-ACKVS 40-49 years, male 135.7
GTEX-1JMQJ-0826-SM-CNPP7 50-59 years, male 123.6
GTEX-1QP2A-1726-SM-E76QC 50-59 years, male 122.2
GTEX-14XAO-1226-SM-6EU1C 60-69 years, female 118.1
GTEX-145MI-0626-SM-5SI8S 60-69 years, female 115.6
GTEX-1269C-0126-SM-5EQ5L 60-69 years, female 112.5
Show allShow less
Skin - Sun Exposed (Lower leg)
Average nTPM: 280.6
Samples: 701

Max nTPM: 913.7
Min nTPM: 104.6
Std nTPM: 88.8
Median nTPM: 270.4
GTEX-SE5C-1626-SM-2XCE3 40-49 years, female 913.7
GTEX-15SB6-1726-SM-6PAME 50-59 years, female 787.6
GTEX-1QP67-1626-SM-EAZ3X 40-49 years, female 675.0
GTEX-O5YW-0126-SM-3LK6D 50-59 years, male 623.4
GTEX-15UF6-0826-SM-6PALJ 70-79 years, female 607.7
GTEX-1399U-2326-SM-5K7WY 50-59 years, female 600.2
GTEX-11UD1-0126-SM-5PNYG 40-49 years, female 545.2
GTEX-WI4N-1026-SM-3LK7N 40-49 years, female 538.9
GTEX-1RAZQ-0726-SM-EAZ43 30-39 years, male 531.3
GTEX-P4PP-0126-SM-3LK69 30-39 years, female 520.2
GTEX-TMZS-0126-SM-3DB9Q 60-69 years, male 517.1
GTEX-RTLS-0126-SM-447CA 60-69 years, female 512.2
GTEX-ZAB4-0226-SM-5N9F5 40-49 years, male 511.8
GTEX-15EOM-0126-SM-7KUGG 20-29 years, female 508.8
GTEX-X5EB-2226-SM-46MW4 40-49 years, male 500.1
GTEX-1JN1M-0326-SM-CYPT3 60-69 years, female 500.0
GTEX-14E6C-0126-SM-5RQIP 40-49 years, male 499.6
GTEX-X8HC-0126-SM-4E3JW 50-59 years, female 495.4
GTEX-X4EP-0126-SM-3P5YV 60-69 years, female 489.7
GTEX-QDT8-0126-SM-48TZ1 30-39 years, female 481.4
GTEX-1HBPM-0226-SM-ARL9F 60-69 years, female 476.8
GTEX-PWCY-1826-SM-DHXIZ 20-29 years, female 476.4
GTEX-1192X-0226-SM-5H12D 50-59 years, male 475.9
GTEX-13NZ8-0826-SM-5MR3I 60-69 years, female 474.2
GTEX-1HSMO-0126-SM-CL547 60-69 years, male 473.7
GTEX-W5X1-3026-SM-EAZAX 40-49 years, female 465.3
GTEX-Z93T-0126-SM-5HL5N 50-59 years, male 463.2
GTEX-ZVT2-2526-SM-51MT1 50-59 years, female 458.1
GTEX-ZTPG-0326-SM-5O9AX 20-29 years, female 456.9
GTEX-17MF6-0126-SM-7LG4F 40-49 years, male 453.9
GTEX-P4PQ-0126-SM-2S1NM 60-69 years, male 453.7
GTEX-1H2FU-0126-SM-9WYSI 60-69 years, female 449.2
GTEX-16MT8-0426-SM-7KUEY 60-69 years, female 448.8
GTEX-11TTK-0126-SM-5987B 60-69 years, female 446.7
GTEX-131XF-5016-SM-7MGWE 60-69 years, male 445.9
GTEX-14753-0426-SM-5NQAM 60-69 years, male 442.7
GTEX-1497J-2426-SM-7IGNX 60-69 years, male 442.4
GTEX-Y3IK-2426-SM-4WWDU 50-59 years, female 441.4
GTEX-1I1GS-0126-SM-B2LVW 60-69 years, male 440.7
GTEX-S33H-1026-SM-EZ6L6 30-39 years, male 436.3
GTEX-12WSG-2826-SM-E9J4H 50-59 years, female 433.5
GTEX-X585-0226-SM-4QAS2 50-59 years, male 431.6
GTEX-146FQ-0126-SM-5NQA9 30-39 years, male 429.1
GTEX-ZAJG-0126-SM-5HL94 50-59 years, female 428.9
GTEX-145MO-0326-SM-5Q5B3 60-69 years, male 428.7
GTEX-X88G-0126-SM-47JZ3 30-39 years, male 428.3
GTEX-OIZG-0726-SM-33HBL 50-59 years, male 426.7
GTEX-PLZ4-0126-SM-5SI8O 50-59 years, female 426.7
GTEX-XV7Q-2526-SM-4BRV9 40-49 years, female 424.3
GTEX-R45C-0126-SM-EAZ2R 60-69 years, female 422.9
GTEX-S7PM-0126-SM-4AD6S 60-69 years, male 420.0
GTEX-17EVQ-0226-SM-7LG4P 70-79 years, male 414.7
GTEX-1NV5F-0226-SM-E8VNY 60-69 years, female 414.1
GTEX-X638-0126-SM-47JZ8 70-79 years, female 412.3
GTEX-17F98-0626-SM-79OMX 40-49 years, female 411.8
GTEX-ZZPT-0226-SM-5E43X 50-59 years, male 409.5
GTEX-1R46S-0626-SM-E9J41 60-69 years, female 409.1
GTEX-1LNCM-1126-SM-E9U5E 50-59 years, female 408.4
GTEX-1MCYP-1926-SM-E9J2R 20-29 years, female 406.8
GTEX-1IKK5-0626-SM-ARL8A 60-69 years, male 406.6
GTEX-13NYS-0126-SM-5MR3W 60-69 years, male 406.4
GTEX-X4XX-0126-SM-3NMC2 60-69 years, male 406.4
GTEX-139T4-0226-SM-5HL5S 50-59 years, female 405.0
GTEX-145LT-1726-SM-5QGP3 40-49 years, male 403.5
GTEX-17HII-0226-SM-7LG4E 50-59 years, male 400.5
GTEX-13IVO-0126-SM-5J1NG 70-79 years, male 397.2
GTEX-NPJ8-0126-SM-2YUNR 40-49 years, male 395.7
GTEX-ZF28-0126-SM-4WKGK 60-69 years, male 390.3
GTEX-13O21-1426-SM-5K7XI 50-59 years, male 390.0
GTEX-117YW-2626-SM-5GZZH 50-59 years, male 389.4
GTEX-18QFQ-0126-SM-731BE 30-39 years, male 385.1
GTEX-1RB15-2126-SM-E9TIM 60-69 years, male 384.9
GTEX-1HBPH-0426-SM-B2LW5 40-49 years, female 383.5
GTEX-Y5LM-1926-SM-5RQJH 40-49 years, female 383.3
GTEX-1C6VQ-0126-SM-7P8RI 50-59 years, male 383.2
GTEX-1QW4Y-1526-SM-EAZ3Z 30-39 years, male 382.8
GTEX-13VXT-0126-SM-5LU4I 20-29 years, female 381.7
GTEX-1AYCT-2426-SM-7IGQ3 50-59 years, male 381.6
GTEX-139T8-0126-SM-5K7XZ 60-69 years, male 381.4
GTEX-X62O-0126-SM-4E3JN 50-59 years, male 381.2
GTEX-14A6H-0126-SM-5QGPK 30-39 years, male 380.7
GTEX-WH7G-2326-SM-3NMBC 40-49 years, male 380.7
GTEX-S95S-1226-SM-4GICG 60-69 years, male 380.6
GTEX-13OW7-0126-SM-5MR3B 50-59 years, male 379.4
GTEX-1HGF4-2426-SM-ACKXM 60-69 years, male 378.6
GTEX-OOBJ-0126-SM-E6CJW 60-69 years, male 376.6
GTEX-1HUB1-0426-SM-E9U4U 60-69 years, male 373.9
GTEX-RVPV-0126-SM-EAZAW 60-69 years, male 372.9
GTEX-1QP9N-1426-SM-DTXFL 30-39 years, male 371.7
GTEX-11WQK-0526-SM-5EQLD 50-59 years, male 370.6
GTEX-14PJ3-1826-SM-62LEX 50-59 years, male 370.2
GTEX-ZE7O-0126-SM-57WC1 50-59 years, female 369.6
GTEX-1H1ZS-0426-SM-9WG6G 70-79 years, male 369.4
GTEX-13OVI-1426-SM-5L3EY 60-69 years, female 369.1
GTEX-11ZUS-0626-SM-59885 30-39 years, male 368.5
GTEX-11P82-1626-SM-59879 20-29 years, male 368.0
GTEX-1A32A-0126-SM-718B1 50-59 years, female 366.9
GTEX-WZTO-0126-SM-3NM95 40-49 years, male 366.8
GTEX-1PWST-0226-SM-E76QJ 70-79 years, male 366.7
GTEX-14JIY-0126-SM-6LLH6 60-69 years, male 365.0
GTEX-T2YK-0526-SM-32QPJ 50-59 years, male 363.2
GTEX-11EMC-2926-SM-5EQ4F 60-69 years, female 363.1
GTEX-XQ8I-0426-SM-4BOPO 50-59 years, male 362.8
GTEX-1N2DV-0226-SM-E6CJ6 40-49 years, male 359.5
GTEX-U412-0426-SM-3DB9O 60-69 years, male 356.9
GTEX-14PK6-1926-SM-6ETZU 70-79 years, female 355.4
GTEX-1AYD5-2426-SM-73KXR 50-59 years, male 354.5
GTEX-SN8G-0126-SM-32PLI 50-59 years, female 353.8
GTEX-13W46-0226-SM-5SIAG 50-59 years, male 351.9
GTEX-148VI-1626-SM-5SI6E 60-69 years, female 351.7
GTEX-17HHY-0126-SM-7LG5D 50-59 years, male 351.6
GTEX-Y5V6-2426-SM-4VDSB 60-69 years, male 351.5
GTEX-1211K-2026-SM-5EQ4Z 60-69 years, female 350.5
GTEX-XXEK-2226-SM-4BRUM 50-59 years, male 349.2
GTEX-11H98-0126-SM-5EGHG 50-59 years, male 348.4
GTEX-14DAR-2026-SM-5S2O3 50-59 years, male 347.3
GTEX-WOFL-0126-SM-3MJG2 60-69 years, male 347.3
GTEX-WVJS-0126-SM-4MVOT 50-59 years, male 346.9
GTEX-113IC-0126-SM-5HL6T 60-69 years, male 344.3
GTEX-12126-0326-SM-5PNW3 20-29 years, male 343.4
GTEX-12WSD-0126-SM-59HKN 60-69 years, female 343.4
GTEX-Y3I4-2126-SM-4TT7C 50-59 years, male 342.7
GTEX-13RTL-0126-SM-7LG5S 40-49 years, male 342.6
GTEX-ZXES-1826-SM-5E43S 30-39 years, female 342.6
GTEX-1GPI7-0126-SM-9MQL8 20-29 years, male 341.9
GTEX-1ICLZ-0126-SM-CKZPO 60-69 years, male 341.8
GTEX-13PDP-0126-SM-5L3HD 60-69 years, male 340.3
GTEX-11GSO-2426-SM-5A5LY 60-69 years, male 340.1
GTEX-1RLM8-2326-SM-EWRN4 50-59 years, male 338.8
GTEX-11NUK-0126-SM-5A5L3 50-59 years, male 338.3
GTEX-PWO3-1526-SM-48TCM 60-69 years, female 338.3
GTEX-1R9PO-2126-SM-E9J4O 60-69 years, female 337.9
GTEX-1122O-2126-SM-5EGIR 60-69 years, female 337.8
GTEX-XAJ8-0826-SM-47JY6 40-49 years, male 337.7
GTEX-OXRL-0126-SM-2YUMP 50-59 years, male 337.5
GTEX-ZPIC-1726-SM-DHXIU 40-49 years, female 337.2
GTEX-13X6H-2126-SM-7EWD5 50-59 years, female 337.1
GTEX-ZF3C-0126-SM-DO92D 50-59 years, female 336.6
GTEX-13113-5016-SM-7EPIP 60-69 years, female 336.3
GTEX-145LV-2126-SM-5LU8N 50-59 years, male 335.7
GTEX-1N2EF-0226-SM-EYYXB 60-69 years, male 335.5
GTEX-U3ZM-1526-SM-3DB9D 40-49 years, male 335.3
GTEX-U4B1-1826-SM-4DXSU 40-49 years, male 335.3
GTEX-1A3MW-0126-SM-73KXX 60-69 years, female 334.2
GTEX-YJ8A-0426-SM-5IFID 20-29 years, male 334.2
GTEX-1PPH7-2326-SM-EVYB8 40-49 years, male 333.9
GTEX-1PFEY-1526-SM-E76PP 30-39 years, male 333.8
GTEX-1J1R8-1726-SM-ARL8M 40-49 years, male 333.6
GTEX-ZDXO-3026-SM-5J1N5 60-69 years, male 333.5
GTEX-1MCQQ-0826-SM-DLHC2 60-69 years, male 333.5
GTEX-11OC5-0126-SM-5HL6A 60-69 years, male 332.2
GTEX-RU72-0926-SM-2TF6B 50-59 years, female 331.9
GTEX-OXRK-0226-SM-3NB2G 50-59 years, female 331.7
GTEX-13N1W-0126-SM-5K7VT 70-79 years, male 331.0
GTEX-Y111-0126-SM-4SOIV 50-59 years, male 331.0
GTEX-1LBAC-0126-SM-DIPEZ 20-29 years, male 329.8
GTEX-14PHW-0126-SM-6LLJI 60-69 years, female 329.4
GTEX-13OVJ-0126-SM-5KM36 50-59 years, female 329.1
GTEX-ZDTS-0126-SM-4WAY5 60-69 years, male 328.5
GTEX-111VG-2426-SM-5GZXD 60-69 years, male 328.4
GTEX-1314G-1526-SM-5EGK2 30-39 years, male 327.7
GTEX-16XZY-2126-SM-79OK1 70-79 years, male 327.2
GTEX-WRHK-1426-SM-3MJF9 20-29 years, female 327.1
GTEX-XQ3S-1526-SM-4BOOC 20-29 years, male 327.1
GTEX-SIU8-0126-SM-2XCDT 50-59 years, male 327.0
GTEX-131XG-2626-SM-5KM17 50-59 years, female 326.5
GTEX-Y114-2426-SM-4TT8A 50-59 years, female 326.4
GTEX-13O1R-0126-SM-5L3EH 60-69 years, male 326.3
GTEX-13RTJ-2426-SM-5S2Q2 60-69 years, male 326.3
GTEX-ZYY3-0126-SM-5GZY5 60-69 years, female 325.5
GTEX-1F48J-0126-SM-7P8TT 50-59 years, female 323.9
GTEX-14ICK-0226-SM-6EU25 40-49 years, male 323.8
GTEX-1S3DN-2226-SM-EVYCD 50-59 years, male 323.6
GTEX-15RIG-0226-SM-7KFTL 40-49 years, male 323.4
GTEX-1HSMP-0126-SM-E6CJS 70-79 years, male 323.4
GTEX-ZQG8-1626-SM-DHXIT 60-69 years, female 322.3
GTEX-1GF9W-0326-SM-9KNUN 60-69 years, male 322.0
GTEX-Q2AI-1326-SM-2S1PL 40-49 years, male 321.4
GTEX-1C6WA-0126-SM-7PC2B 60-69 years, male 321.2
GTEX-UJHI-1526-SM-3DB99 50-59 years, female 321.0
GTEX-144FL-0126-SM-5TDC8 50-59 years, male 320.5
GTEX-1IDFM-0126-SM-COH2V 60-69 years, male 319.9
GTEX-1GTWX-0126-SM-9YFLK 60-69 years, male 319.8
GTEX-1LC47-0326-SM-E9TJP 60-69 years, male 319.6
GTEX-1PBJI-0526-SM-E8VNK 20-29 years, female 319.6
GTEX-Q2AG-0126-SM-33HBV 40-49 years, female 318.7
GTEX-1B933-0126-SM-7PC29 50-59 years, female 318.4
GTEX-1GN2E-0426-SM-9MQKX 60-69 years, male 318.3
GTEX-SSA3-0126-SM-32QPU 60-69 years, male 318.2
GTEX-WQUQ-0426-SM-3MJFU 60-69 years, male 317.7
GTEX-11GSP-2526-SM-5N9BP 60-69 years, female 317.5
GTEX-X4XY-0226-SM-4E3IZ 60-69 years, male 317.5
GTEX-1JMQK-0226-SM-CL543 60-69 years, male 316.5
GTEX-13FTX-1826-SM-5J1NX 20-29 years, female 316.3
GTEX-169BO-1326-SM-9MQK2 50-59 years, male 316.3
GTEX-Y8LW-1826-SM-5S2MV 50-59 years, female 315.9
GTEX-12WSJ-1826-SM-5GCNY 40-49 years, female 315.8
GTEX-ZVE2-0226-SM-59HJB 50-59 years, male 315.8
GTEX-117YX-2326-SM-5H12W 50-59 years, male 315.5
GTEX-1I6K6-0126-SM-A9SLE 30-39 years, male 315.0
GTEX-13QJ3-0326-SM-5S2RA 50-59 years, male 312.7
GTEX-WXYG-2326-SM-4E3I6 50-59 years, female 312.4
GTEX-ZF29-2326-SM-DO92K 60-69 years, female 311.4
GTEX-1OJC4-0126-SM-E9J2E 50-59 years, female 311.0
GTEX-XUZC-1726-SM-4BRWS 30-39 years, female 310.9
GTEX-139D8-0226-SM-5KLZO 30-39 years, female 310.5
GTEX-ZEX8-2426-SM-4WKG4 50-59 years, male 310.0
GTEX-11TT1-2526-SM-5EGIB 20-29 years, male 309.8
GTEX-1K2DU-2326-SM-E9TIV 20-29 years, male 309.1
GTEX-13CF2-2526-SM-5LZYX 60-69 years, male 308.8
GTEX-147F4-0226-SM-5QGPW 50-59 years, male 308.6
GTEX-O5YT-0126-SM-48TBW 20-29 years, male 307.8
GTEX-17F96-1626-SM-7DUFL 70-79 years, male 307.4
GTEX-X4EO-0326-SM-3P5YO 60-69 years, female 307.0
GTEX-131XE-2326-SM-5PNZ2 50-59 years, male 306.9
GTEX-1H23P-0126-SM-ADEJ3 60-69 years, male 306.7
GTEX-1S82Y-2026-SM-EVYCM 40-49 years, male 306.4
GTEX-13NZB-2526-SM-5J1OM 30-39 years, male 306.2
GTEX-1GF9U-2126-SM-7SB7L 40-49 years, female 305.0
GTEX-1CAMS-0426-SM-7P8T2 40-49 years, female 304.5
GTEX-18A66-0226-SM-718BD 60-69 years, male 304.1
GTEX-18A67-0126-SM-7LG5P 50-59 years, male 304.0
GTEX-Q2AH-1626-SM-3GAF8 40-49 years, male 304.0
GTEX-R55E-0126-SM-2TC5Y 20-29 years, male 303.6
GTEX-T2IS-0126-SM-4DM6O 20-29 years, female 303.5
GTEX-11DXX-2426-SM-5GZZW 60-69 years, female 302.4
GTEX-1M4P7-0226-SM-DIPEV 60-69 years, male 302.2
GTEX-Z93S-0126-SM-5HL7M 50-59 years, male 302.0
GTEX-QV44-1926-SM-2S1RF 50-59 years, male 301.8
GTEX-1NHNU-1026-SM-E9J2A 50-59 years, male 301.6
GTEX-13D11-2426-SM-5KM1V 50-59 years, female 301.4
GTEX-QEG4-0226-SM-2S1PY 30-39 years, male 301.2
GTEX-1JKYR-0126-SM-CNPOJ 20-29 years, male 301.2
GTEX-QLQW-1126-SM-2S1Q8 30-39 years, male 300.7
GTEX-1K2DA-1826-SM-CGQGT 50-59 years, male 300.7
GTEX-16XZZ-0126-SM-793DV 60-69 years, male 300.0
GTEX-T5JC-0426-SM-32PLO 20-29 years, male 299.8
GTEX-13FTW-2626-SM-5K7WL 40-49 years, male 299.6
GTEX-1F75A-0126-SM-7RHGM 50-59 years, male 299.6
GTEX-ZYFG-2326-SM-5E44B 60-69 years, female 299.5
GTEX-13X6I-0626-SM-5QGP9 60-69 years, male 299.4
GTEX-13OVK-2026-SM-7KUEO 40-49 years, male 299.2
GTEX-11TUW-2726-SM-E9J4M 60-69 years, male 299.1
GTEX-14BMU-2226-SM-5TDE9 20-29 years, female 298.9
GTEX-132NY-0326-SM-5IJBL 60-69 years, male 298.4
GTEX-1A3MX-0126-SM-731BR 60-69 years, male 298.1
GTEX-13YAN-0326-SM-5O9DF 60-69 years, male 297.5
GTEX-139TS-2826-SM-5J1OO 60-69 years, male 297.0
GTEX-18A7B-0126-SM-7LG64 70-79 years, male 296.8
GTEX-1RAZA-0126-SM-E6CI3 20-29 years, male 296.6
GTEX-1AX8Z-0126-SM-7DHM6 60-69 years, male 296.4
GTEX-12ZZX-0126-SM-5EGK9 40-49 years, female 296.3
GTEX-17F97-0326-SM-7LG5B 50-59 years, male 296.1
GTEX-14LLW-0126-SM-6LLIO 70-79 years, female 295.8
GTEX-15D1Q-0126-SM-7KUG6 40-49 years, male 295.8
GTEX-ZYW4-0126-SM-5E44A 60-69 years, male 295.8
GTEX-1HFI6-0226-SM-ADEHZ 40-49 years, male 295.8
GTEX-R55G-2526-SM-2TC6D 40-49 years, female 295.3
GTEX-13G51-2526-SM-5LZYK 60-69 years, male 295.1
GTEX-12WSA-0226-SM-5BC5V 60-69 years, male 294.9
GTEX-15SDE-2226-SM-7IGLO 50-59 years, female 294.4
GTEX-1PIGE-0126-SM-EVYBJ 20-29 years, male 294.2
GTEX-1LGOU-2026-SM-DIPFF 20-29 years, female 293.9
GTEX-13FHO-0226-SM-5IFGY 60-69 years, male 293.8
GTEX-1GN1V-0126-SM-9WPOS 60-69 years, male 293.5
GTEX-1H1CY-2826-SM-9MQM3 60-69 years, female 293.3
GTEX-1HCVE-0126-SM-CGQEU 50-59 years, male 293.3
GTEX-1JMOU-1526-SM-CL54I 60-69 years, female 292.8
GTEX-OXRN-0126-SM-48TDM 50-59 years, male 292.7
GTEX-139UW-2826-SM-5L3E7 60-69 years, male 292.6
GTEX-XBEW-0626-SM-4QASP 40-49 years, male 292.6
GTEX-1H1DE-2126-SM-9WG6R 20-29 years, male 292.3
GTEX-1MGNQ-0126-SM-EVYCJ 40-49 years, male 292.2
GTEX-113JC-2326-SM-5EQ4E 50-59 years, female 292.1
GTEX-U8XE-0326-SM-3DB8P 30-39 years, male 292.1
GTEX-1F6I4-0126-SM-9MQL2 60-69 years, male 291.9
GTEX-1C2JI-1826-SM-73KXC 50-59 years, male 291.5
GTEX-1GZ2Q-0226-SM-7P8TL 40-49 years, male 291.4
GTEX-13O3P-0126-SM-5KM4S 50-59 years, male 290.5
GTEX-1H3VY-0126-SM-ACKXD 50-59 years, male 290.0
GTEX-14A5H-0426-SM-5QGQF 60-69 years, male 289.9
GTEX-1J8EW-0126-SM-CJI4F 60-69 years, female 289.9
GTEX-1HKZK-0326-SM-9WYUH 40-49 years, male 289.8
GTEX-1F75I-0326-SM-9YFLU 40-49 years, male 289.7
GTEX-1JKYN-1326-SM-CGQG9 30-39 years, male 289.3
GTEX-11P7K-2126-SM-5GU7G 30-39 years, male 288.6
GTEX-13O3Q-2426-SM-5IJBR 50-59 years, male 288.6
GTEX-1I1GP-2226-SM-CGQFK 50-59 years, male 288.4
GTEX-18D9U-0226-SM-718BP 40-49 years, male 287.9
GTEX-13U4I-0126-SM-5LU38 40-49 years, female 287.7
GTEX-14BIL-0126-SM-5SI92 50-59 years, male 287.3
GTEX-1KD4Q-0226-SM-E9TJ9 40-49 years, male 286.4
GTEX-XUW1-0426-SM-4BOOT 50-59 years, female 286.1
GTEX-XMD2-0126-SM-4YCDU 60-69 years, female 286.0
GTEX-1CAV2-2226-SM-7P8P2 40-49 years, female 285.9
GTEX-13RTK-1426-SM-5QGQJ 20-29 years, male 285.5
GTEX-OXRP-0126-SM-3NB32 60-69 years, female 285.5
GTEX-ZYFD-0126-SM-5GIDL 50-59 years, male 285.0
GTEX-U3ZN-2326-SM-3DB7W 30-39 years, female 284.4
GTEX-U8T8-0126-SM-3DB94 60-69 years, male 284.3
GTEX-18D9A-1926-SM-7LG6P 30-39 years, female 283.9
GTEX-13N11-2526-SM-5K7UE 50-59 years, female 283.6
GTEX-1F6IF-0726-SM-7P8TW 60-69 years, male 283.4
GTEX-1HSEH-0126-SM-ACKXN 60-69 years, male 283.2
GTEX-14BIM-0226-SM-7IGLD 60-69 years, female 282.9
GTEX-XYKS-2126-SM-4E3IB 60-69 years, female 282.9
GTEX-NFK9-0226-SM-2HMKQ 40-49 years, male 282.2
GTEX-1H3O1-0426-SM-9YFKY 60-69 years, male 282.1
GTEX-ZE9C-2726-SM-57WB5 60-69 years, male 281.5
GTEX-13OVG-1926-SM-5L3DK 60-69 years, male 281.2
GTEX-1HCU6-0126-SM-CL54K 60-69 years, female 281.0
GTEX-ZAB5-1826-SM-5HL7C 50-59 years, male 280.8
GTEX-XUYS-0126-SM-47JWZ 50-59 years, male 280.5
GTEX-11DZ1-0126-SM-5985Q 50-59 years, male 280.4
GTEX-ZVT3-0126-SM-5GU6I 60-69 years, female 280.1
GTEX-18A7A-0226-SM-718BH 50-59 years, female 279.3
GTEX-SUCS-1926-SM-32PM3 70-79 years, male 279.1
GTEX-YFC4-0126-SM-5CVLY 40-49 years, female 279.1
GTEX-QDVN-2026-SM-3GAEP 50-59 years, male 279.0
GTEX-17HGU-0226-SM-7DHKV 50-59 years, male 278.4
GTEX-TML8-1926-SM-32QOS 40-49 years, female 278.4
GTEX-13W3W-2426-SM-5LU5B 60-69 years, female 278.3
GTEX-1H3NZ-0126-SM-ACKX7 60-69 years, male 278.0
GTEX-Y8DK-0126-SM-4TT3L 60-69 years, male 277.8
GTEX-1R7EU-0226-SM-EVR4G 60-69 years, male 277.8
GTEX-14PJM-0226-SM-62LF1 50-59 years, female 277.7
GTEX-VUSG-2526-SM-4KL1V 50-59 years, male 277.3
GTEX-1C64O-0126-SM-7SB8P 60-69 years, male 276.8
GTEX-17EUY-0426-SM-793BD 20-29 years, male 276.1
GTEX-1F52S-0126-SM-9MQJU 60-69 years, female 276.0
GTEX-WY7C-2326-SM-3NB2U 50-59 years, male 275.7
GTEX-11GS4-2726-SM-5A5LE 60-69 years, male 275.3
GTEX-YEC4-2126-SM-5IFJH 40-49 years, male 275.3
GTEX-1ICLY-0126-SM-D4P36 50-59 years, male 275.3
GTEX-145MN-2226-SM-5SIAU 30-39 years, male 275.1
GTEX-T8EM-1026-SM-3DB7M 40-49 years, male 275.1
GTEX-ZGAY-0526-SM-4WWBB 40-49 years, female 274.6
GTEX-1EKGG-0226-SM-9WYTH 60-69 years, male 273.4
GTEX-14XAO-2326-SM-6EU1B 60-69 years, female 273.2
GTEX-ZU9S-0226-SM-5E441 30-39 years, male 273.0
GTEX-13OVL-0226-SM-5L3E9 50-59 years, male 272.9
GTEX-1F7RK-0126-SM-7PC2S 20-29 years, female 272.6
GTEX-1F6RS-0126-SM-9MQKZ 60-69 years, female 272.5
GTEX-1GF9X-2026-SM-7PC3A 40-49 years, female 272.1
GTEX-1GZ4H-1726-SM-7PBZJ 50-59 years, female 271.9
GTEX-YB5E-2026-SM-5IFIS 40-49 years, male 271.8
GTEX-16YQH-0126-SM-7DUFJ 30-39 years, male 271.1
GTEX-11NSD-2226-SM-5986V 20-29 years, male 270.9
GTEX-ZC5H-0226-SM-4WAY9 40-49 years, female 270.8
GTEX-1R7EV-2426-SM-EVYBG 40-49 years, male 270.6
GTEX-1I1GV-0526-SM-A9G29 60-69 years, male 270.4
GTEX-14PHX-2326-SM-62LEM 50-59 years, male 269.9
GTEX-1192W-2626-SM-5Q5AF 60-69 years, male 269.6
GTEX-1I1CD-0126-SM-CM2TK 60-69 years, female 269.6
GTEX-15SHU-0126-SM-7KUEH 40-49 years, female 268.8
GTEX-WYJK-0126-SM-3NMAB 50-59 years, male 268.5
GTEX-148VJ-0126-SM-5TDDN 70-79 years, male 268.2
GTEX-1OFPY-2426-SM-DTXEJ 60-69 years, male 268.2
GTEX-146FH-0126-SM-5QGPP 50-59 years, female 268.1
GTEX-T6MO-1626-SM-32QOM 40-49 years, female 267.4
GTEX-11EM3-2426-SM-59861 20-29 years, female 267.2
GTEX-1GN73-0226-SM-9WG67 60-69 years, male 267.0
GTEX-1B8SG-0126-SM-73KZ3 50-59 years, male 266.4
GTEX-144GN-2326-SM-5LU4F 50-59 years, male 266.3
GTEX-1MUQO-0126-SM-EAZ58 60-69 years, male 265.9
GTEX-1GPI6-0126-SM-9WG69 60-69 years, male 265.7
GTEX-13O3O-0126-SM-E9J49 60-69 years, female 265.5
GTEX-1LSNM-1926-SM-E6CII 50-59 years, male 265.2
GTEX-13VXU-0126-SM-5SI9F 50-59 years, male 264.6
GTEX-RM2N-1426-SM-2TF4H 50-59 years, male 264.0
GTEX-1JMPY-1326-SM-ARL8Y 30-39 years, male 263.9
GTEX-PLZ6-1426-SM-DKPOT 30-39 years, male 263.7
GTEX-147F3-0526-SM-5SI98 50-59 years, female 262.6
GTEX-QESD-1426-SM-2S1R9 20-29 years, male 262.1
GTEX-14PN4-0126-SM-6EU2V 50-59 years, male 262.0
GTEX-13PVR-2326-SM-5QGR1 60-69 years, female 261.9
GTEX-11DXW-0226-SM-5H122 40-49 years, male 261.5
GTEX-UPJH-0326-SM-3GADU 50-59 years, male 261.4
GTEX-17HHE-2026-SM-79OKF 50-59 years, male 261.3
GTEX-11UD2-0226-SM-5EQKY 50-59 years, male 260.2
GTEX-15SHW-0326-SM-6PAML 60-69 years, male 259.7
GTEX-1QCLY-0326-SM-E8VOG 30-39 years, male 259.4
GTEX-OXRO-0126-SM-2YUN4 60-69 years, female 258.8
GTEX-1B8SF-1426-SM-7DUGL 60-69 years, male 257.9
GTEX-1GN1W-0526-SM-9MQJQ 50-59 years, female 257.8
GTEX-13111-1626-SM-5EGJY 50-59 years, male 257.4
GTEX-1B8KE-2126-SM-73KYX 50-59 years, male 257.3
GTEX-1ICG6-2526-SM-CGQFZ 70-79 years, female 256.6
GTEX-146FR-1326-SM-E9J48 60-69 years, female 256.5
GTEX-18D9B-0526-SM-7LTAS 60-69 years, male 256.3
GTEX-1I19N-0326-SM-ACKVX 70-79 years, male 256.3
GTEX-15DYW-0126-SM-7KULE 60-69 years, female 256.2
GTEX-1CB4G-0226-SM-7PC3O 60-69 years, male 256.1
GTEX-11VI4-1726-SM-5CVLH 40-49 years, female 255.6
GTEX-1JMQL-0226-SM-CNPP5 50-59 years, female 255.5
GTEX-QCQG-1726-SM-3GIJ9 50-59 years, female 255.4
GTEX-17GQL-2026-SM-718BA 60-69 years, male 254.4
GTEX-1AMEY-1326-SM-73KYK 30-39 years, female 253.5
GTEX-1QP66-1726-SM-E8VO1 50-59 years, male 253.4
GTEX-12696-2426-SM-5EQ6H 60-69 years, male 253.3
GTEX-16NGA-1726-SM-731B4 40-49 years, female 253.2
GTEX-ZYFC-0226-SM-5NQ75 50-59 years, male 252.9
GTEX-1S5ZA-0126-SM-EVYCV 20-29 years, male 252.4
GTEX-1BAJH-0526-SM-793CQ 70-79 years, male 252.3
GTEX-1CAMR-1926-SM-7EPI2 20-29 years, male 251.9
GTEX-12584-0126-SM-5EGKQ 40-49 years, male 251.8
GTEX-OHPM-0126-SM-2YUN9 50-59 years, male 251.6
GTEX-12WSK-2326-SM-5GCOH 40-49 years, female 251.4
GTEX-18A6Q-0126-SM-731BZ 60-69 years, male 251.4
GTEX-13FTY-0526-SM-5L3EV 40-49 years, female 251.3
GTEX-1B8L1-2526-SM-9WYTF 60-69 years, male 251.1
GTEX-QVJO-1626-SM-2S1QW 60-69 years, female 251.0
GTEX-P4QT-0126-SM-2I3FL 50-59 years, female 250.9
GTEX-ZY6K-1826-SM-5GZXK 50-59 years, male 250.9
GTEX-1F75B-0126-SM-9KNVL 50-59 years, male 250.6
GTEX-13NZA-0226-SM-5K7Z7 60-69 years, male 250.4
GTEX-14E6D-0126-SM-62LDV 50-59 years, male 250.4
GTEX-1JK1U-2026-SM-CM2RZ 60-69 years, male 250.4
GTEX-1IY9M-0126-SM-D3L8S 60-69 years, male 250.2
GTEX-14JG6-2226-SM-6EU2G 30-39 years, female 250.1
GTEX-13SLW-0126-SM-5SI6C 70-79 years, male 250.0
GTEX-183FY-0126-SM-7LT9P 20-29 years, male 250.0
GTEX-1PDJ9-0326-SM-DTX95 20-29 years, male 249.6
GTEX-1C4CL-0526-SM-73KVK 30-39 years, male 249.4
GTEX-TMMY-0226-SM-33HBA 40-49 years, female 249.2
GTEX-11OF3-2626-SM-5GU7F 60-69 years, male 248.8
GTEX-1HCU8-0626-SM-A9SM9 60-69 years, female 245.9
GTEX-1MA7W-2026-SM-E9TJ6 20-29 years, female 245.8
GTEX-1313W-0126-SM-5LZUN 50-59 years, female 245.2
GTEX-ZVTK-0426-SM-51MRS 20-29 years, male 244.8
GTEX-1H1DG-0126-SM-9WYU2 70-79 years, male 244.7
GTEX-15DCD-0126-SM-7KUEK 70-79 years, female 244.3
GTEX-1EU9M-0226-SM-7P8SP 60-69 years, male 244.1
GTEX-ZQUD-1426-SM-57WER 30-39 years, male 244.0
GTEX-11WQC-2526-SM-5CVLE 60-69 years, male 243.4
GTEX-PLZ5-2026-SM-2S1O4 50-59 years, male 243.2
GTEX-Y5V5-2326-SM-4V6GA 60-69 years, female 242.7
GTEX-11DXY-2626-SM-5GIE7 60-69 years, male 242.1
GTEX-11EQ9-2426-SM-5HL5T 30-39 years, male 242.1
GTEX-OIZH-0126-SM-2HMIS 50-59 years, male 241.7
GTEX-15ETS-0126-SM-7KUMW 40-49 years, female 241.6
GTEX-1C6VS-0526-SM-7DUEN 60-69 years, male 240.9
GTEX-111FC-0126-SM-5N9DL 60-69 years, male 240.7
GTEX-1J1OQ-0226-SM-CYPSH 40-49 years, female 240.3
GTEX-13NYB-2526-SM-5K7Z6 40-49 years, male 239.9
GTEX-ZDTT-2726-SM-4WKF8 60-69 years, male 239.9
GTEX-ZUA1-0126-SM-5GU76 40-49 years, male 239.7
GTEX-1JMLX-0226-SM-CM2RO 50-59 years, male 239.7
GTEX-W5WG-1826-SM-4KL2Y 50-59 years, female 239.6
GTEX-R3RS-0126-SM-3GIJL 40-49 years, female 239.5
GTEX-ZVZP-2426-SM-59HKJ 50-59 years, male 238.7
GTEX-1A3MV-1926-SM-718BT 30-39 years, male 238.3
GTEX-Y8E4-0626-SM-4WWDL 40-49 years, male 237.8
GTEX-1EMGI-0126-SM-9KNUE 60-69 years, male 237.6
GTEX-1HBPI-1526-SM-C1YQ1 50-59 years, male 237.6
GTEX-1H1E6-1726-SM-ACKVK 30-39 years, male 237.2
GTEX-RN64-0126-SM-2TC68 50-59 years, male 237.1
GTEX-14JG1-0426-SM-6ETZZ 40-49 years, male 237.0
GTEX-PSDG-0226-SM-DKPOZ 50-59 years, male 236.8
GTEX-18465-0126-SM-731BN 50-59 years, male 236.4
GTEX-PW2O-1526-SM-7RHHB 20-29 years, male 236.2
GTEX-14PII-0226-SM-6EU1T 60-69 years, male 235.9
GTEX-1I4MK-2226-SM-ACKWD 50-59 years, female 235.9
GTEX-13X6J-0126-SM-5QGOU 50-59 years, male 234.9
GTEX-1H3VE-0326-SM-9YFLH 40-49 years, male 234.7
GTEX-1QP29-0626-SM-EWRMX 50-59 years, male 234.1
GTEX-ZV6S-2326-SM-4YCEY 40-49 years, female 233.7
GTEX-S7SE-0126-SM-2XCD5 50-59 years, male 233.1
GTEX-11P81-2326-SM-59875 30-39 years, female 232.8
GTEX-U3ZH-2026-SM-3DB78 30-39 years, male 232.8
GTEX-131XH-2226-SM-5DUXJ 50-59 years, male 232.6
GTEX-1OJC3-0126-SM-E76QX 20-29 years, male 232.4
GTEX-1IGQW-0126-SM-COH42 60-69 years, male 232.2
GTEX-133LE-1826-SM-5J1MV 20-29 years, female 231.2
GTEX-139TT-0126-SM-5K7Y5 60-69 years, male 231.2
GTEX-1AX9J-0226-SM-73KXM 60-69 years, male 231.1
GTEX-1IDJF-0126-SM-CM2RS 20-29 years, male 230.9
GTEX-1AMFI-2026-SM-731BH 50-59 years, female 230.5
GTEX-11ZVC-2526-SM-5FQTE 50-59 years, female 230.1
GTEX-1GMR3-1926-SM-9KNUZ 40-49 years, male 230.1
GTEX-1JN76-0126-SM-CNPPE 20-29 years, female 229.8
GTEX-1J8Q3-1626-SM-CMKGC 60-69 years, male 229.5
GTEX-1JMQI-2226-SM-CM2SD 50-59 years, male 229.1
GTEX-11DXZ-2326-SM-5EGGV 50-59 years, male 228.9
GTEX-117XS-2726-SM-5N9BL 60-69 years, male 228.8
GTEX-15UKP-0426-SM-7KUFQ 20-29 years, male 228.6
GTEX-1EWIQ-0126-SM-7RHH2 70-79 years, female 228.5
GTEX-TKQ1-1026-SM-4GICL 30-39 years, male 228.4
GTEX-1IE54-0126-SM-CMKHW 40-49 years, female 228.4
GTEX-YB5K-2126-SM-4WWDJ 40-49 years, female 228.1
GTEX-XBED-2226-SM-47JYQ 60-69 years, male 228.0
GTEX-RUSQ-1526-SM-2TF62 50-59 years, male 227.9
GTEX-131YS-0126-SM-5KM1M 60-69 years, female 227.4
GTEX-1KANC-1526-SM-D3LAB 50-59 years, female 227.1
GTEX-1MA7X-2226-SM-E6CIY 60-69 years, male 226.9
GTEX-11ZU8-2526-SM-5EQKI 60-69 years, male 226.4
GTEX-T6MN-0126-SM-32PLP 50-59 years, male 226.4
GTEX-VJYA-1126-SM-3GIJU 60-69 years, male 226.0
GTEX-13SLX-0526-SM-5S2ON 50-59 years, female 225.9
GTEX-1J8QM-2126-SM-CYPSJ 60-69 years, female 225.2
GTEX-ZWKS-0126-SM-5SIAA 30-39 years, male 224.9
GTEX-15CHC-2126-SM-6EU21 60-69 years, female 224.2
GTEX-VJWN-0126-SM-3GIK7 50-59 years, female 224.0
GTEX-OHPL-0126-SM-2HMJ7 60-69 years, female 223.7
GTEX-12ZZY-0226-SM-5LZVE 60-69 years, male 223.6
GTEX-OIZF-0126-SM-7SB8I 60-69 years, male 223.4
GTEX-1QAET-0926-SM-E76QM 50-59 years, male 222.7
GTEX-1KD5A-0226-SM-D5OV3 50-59 years, male 222.5
GTEX-1LG7Y-0526-SM-DKPQC 50-59 years, male 222.4
GTEX-1LVAN-0226-SM-COH3S 50-59 years, female 222.0
GTEX-1POEN-0126-SM-EYYXJ 30-39 years, female 221.9
GTEX-1QPFJ-0226-SM-E76PB 30-39 years, female 221.9
GTEX-14ABY-0226-SM-5TDCQ 50-59 years, male 221.5
GTEX-SJXC-0126-SM-2XCFF 60-69 years, male 221.5
GTEX-1GZHY-0326-SM-9QEHI 50-59 years, female 221.4
GTEX-ZVT4-0126-SM-DTXFN 50-59 years, female 221.3
GTEX-11O72-0126-SM-59887 40-49 years, male 220.9
GTEX-1JMPZ-0226-SM-CNPP1 30-39 years, male 220.9
GTEX-1CB4H-0226-SM-7PBXM 60-69 years, female 220.7
GTEX-1PIIG-0226-SM-EWRN6 30-39 years, male 220.3
GTEX-1KWVE-1426-SM-E9TJO 30-39 years, male 220.1
GTEX-15DDE-0126-SM-6LPKH 50-59 years, female 219.9
GTEX-1I1HK-0126-SM-COH49 60-69 years, male 219.6
GTEX-1LH75-2426-SM-E9TJE 50-59 years, female 219.6
GTEX-11DYG-0126-SM-59883 60-69 years, male 219.0
GTEX-1R9PM-2026-SM-E76OY 20-29 years, male 219.0
GTEX-1GMRU-0126-SM-9YFLV 50-59 years, male 218.3
GTEX-11ZTS-0126-SM-5EQ6M 60-69 years, female 218.2
GTEX-T5JW-1626-SM-3GADZ 20-29 years, female 217.7
GTEX-OOBK-0126-SM-2YUND 40-49 years, male 217.5
GTEX-1N2DW-0226-SM-E9TK2 50-59 years, male 217.2
GTEX-1CB4J-0626-SM-7DHMP 60-69 years, male 217.0
GTEX-147GR-0526-SM-5S2MY 60-69 years, male 216.8
GTEX-1EX96-1626-SM-7PBXR 50-59 years, male 216.6
GTEX-1S82Z-0826-SM-E6CHY 30-39 years, female 216.5
GTEX-1HSGN-0226-SM-CGQFV 40-49 years, female 216.4
GTEX-1LB8K-0226-SM-EWRNW 50-59 years, male 216.4
GTEX-139TU-0126-SM-5K7WH 60-69 years, male 216.3
GTEX-1B8KZ-2026-SM-7DHMB 50-59 years, male 216.3
GTEX-1IDJH-0326-SM-A9SLQ 70-79 years, male 216.2
GTEX-17MFQ-1726-SM-793C7 20-29 years, male 216.1
GTEX-1JJ6O-0126-SM-E6CI8 60-69 years, male 215.3
GTEX-X261-0126-SM-3NMD6 50-59 years, male 215.0
GTEX-1KANB-0526-SM-E6CJH 50-59 years, male 214.6
GTEX-ZDYS-2026-SM-5HL5L 50-59 years, male 213.7
GTEX-1B996-0226-SM-7RHGO 60-69 years, male 213.7
GTEX-13FXS-0226-SM-5IJCK 50-59 years, male 212.8
GTEX-1AX9K-2326-SM-73KWU 50-59 years, male 212.3
GTEX-ZZ64-1726-SM-5GZYB 20-29 years, male 212.3
GTEX-14C5O-0126-SM-5SI6N 60-69 years, male 211.8
GTEX-1LGRB-2526-SM-CNPPQ 50-59 years, female 211.8
GTEX-145MF-0626-SM-5LUAI 50-59 years, male 211.7
GTEX-131XW-0426-SM-5LZWP 50-59 years, female 211.3
GTEX-14PN3-2426-SM-6LLHS 60-69 years, female 211.2
GTEX-1PPH8-0226-SM-E8VND 20-29 years, male 210.7
GTEX-1QEPI-0126-SM-EWRMQ 60-69 years, female 210.5
GTEX-1K9T9-0126-SM-EVYCF 50-59 years, female 209.9
GTEX-13OW5-0126-SM-DTXFS 60-69 years, male 209.2
GTEX-1F5PK-2426-SM-7RHHY 50-59 years, male 209.0
GTEX-14E7W-0126-SM-6LLJ9 70-79 years, male 208.9
GTEX-1AX9I-0126-SM-7SB74 60-69 years, male 208.9
GTEX-16GPK-0126-SM-7DHLE 60-69 years, male 208.8
GTEX-RNOR-0126-SM-E9J4R 50-59 years, female 208.6
GTEX-TSE9-0126-SM-3DB83 60-69 years, female 208.5
GTEX-Q734-1926-SM-2I5EV 40-49 years, female 208.2
GTEX-13112-2826-SM-5DUWH 50-59 years, male 208.0
GTEX-1RQEC-0426-SM-E6CHU 60-69 years, male 207.8
GTEX-1128S-2326-SM-5GZZY 60-69 years, female 207.5
GTEX-12C56-1726-SM-5EQ61 20-29 years, male 207.1
GTEX-1GMR8-0126-SM-9WYTM 50-59 years, female 206.6
GTEX-1H11D-0226-SM-9WG6Z 40-49 years, male 206.3
GTEX-11ZTT-2426-SM-5EQLS 60-69 years, female 206.2
GTEX-15F5U-1526-SM-6PANO 40-49 years, male 206.1
GTEX-16BQI-0226-SM-7KUEX 30-39 years, female 206.0
GTEX-1KANA-0726-SM-D3L9I 20-29 years, male 205.8
GTEX-1F5PL-0326-SM-7P8PQ 40-49 years, female 205.5
GTEX-1GN1U-0126-SM-7PBZK 50-59 years, female 205.5
GTEX-12WSE-0526-SM-793B2 20-29 years, male 205.3
GTEX-1HCUA-2426-SM-ADEIS 50-59 years, female 205.3
GTEX-14LZ3-0226-SM-62LET 60-69 years, female 204.8
GTEX-1M5QR-1226-SM-EWROB 40-49 years, male 204.8
GTEX-1JN6P-0126-SM-D3L98 60-69 years, male 204.1
GTEX-1C64N-0126-SM-793D7 50-59 years, male 203.9
GTEX-1A8FM-0226-SM-7SB7Q 50-59 years, female 203.9
GTEX-RWSA-0126-SM-2XCBB 40-49 years, male 203.6
GTEX-17JCI-0126-SM-7LG5G 60-69 years, female 202.8
GTEX-11XUK-2026-SM-5EQLF 40-49 years, female 202.6
GTEX-1IL2V-0126-SM-CM2TX 70-79 years, male 202.6
GTEX-1KAFJ-2026-SM-CY8ID 50-59 years, male 202.0
GTEX-1QP2A-0126-SM-E9J43 50-59 years, male 202.0
GTEX-13FH7-2026-SM-E9J4I 50-59 years, female 201.7
GTEX-ZAK1-0126-SM-5IJD3 50-59 years, female 201.6
GTEX-1HCU9-1526-SM-A9SL7 20-29 years, male 201.5
GTEX-1HSKV-0226-SM-A9SKJ 60-69 years, male 201.5
GTEX-1F88F-2726-SM-7PBZZ 60-69 years, female 201.2
GTEX-13OW6-0426-SM-5L3HM 50-59 years, male 199.5
GTEX-1J8JJ-0226-SM-CL53I 60-69 years, female 199.4
GTEX-1IKOH-0226-SM-COH4E 60-69 years, female 199.2
GTEX-1RDX4-0126-SM-E9J4P 50-59 years, female 199.1
GTEX-1GL5R-1826-SM-9KNUY 50-59 years, male 198.8
GTEX-1I1GR-0126-SM-CL55F 60-69 years, male 197.8
GTEX-1IDJU-2626-SM-CM2RT 60-69 years, female 196.9
GTEX-12ZZZ-0626-SM-5DUXI 60-69 years, male 196.4
GTEX-YJ89-0126-SM-4TT3X 60-69 years, male 195.6
GTEX-1CB4F-0426-SM-9KNV4 60-69 years, male 194.8
GTEX-ZVZO-0126-SM-5A5L9 40-49 years, male 194.0
GTEX-1HBPN-0226-SM-9YFM1 50-59 years, male 193.7
GTEX-12KS4-0326-SM-5EQ41 30-39 years, male 192.9
GTEX-1O97I-0326-SM-EYYX7 60-69 years, male 192.5
GTEX-16AAH-1726-SM-7939C 50-59 years, male 192.4
GTEX-Z9EW-1626-SM-5CVMN 40-49 years, male 191.7
GTEX-ZTSS-1926-SM-57WEW 40-49 years, male 191.4
GTEX-1QMI2-0226-SM-EVYBX 60-69 years, male 190.8
GTEX-1R9K4-0126-SM-DTX9X 60-69 years, male 190.0
GTEX-1I1GT-0626-SM-CGQER 60-69 years, female 189.1
GTEX-WYVS-2126-SM-3NMA3 40-49 years, female 188.7
GTEX-16NPX-0226-SM-79OMT 50-59 years, male 188.6
GTEX-1KXAM-2226-SM-CYPTC 60-69 years, male 188.5
GTEX-11EI6-0126-SM-5985R 60-69 years, male 188.1
GTEX-13FHP-0126-SM-5IJBG 50-59 years, male 188.1
GTEX-17KNJ-2326-SM-7DHLQ 50-59 years, male 187.8
GTEX-ZTX8-1426-SM-5DUVO 20-29 years, male 187.8
GTEX-1HFI7-1826-SM-ACKXH 50-59 years, female 187.1
GTEX-1IOXB-0126-SM-ARL8G 50-59 years, male 186.4
GTEX-1GF9V-0326-SM-7RHI5 60-69 years, male 186.3
GTEX-PX3G-0126-SM-2I3EN 20-29 years, female 185.9
GTEX-1J8Q2-0526-SM-CM2RW 60-69 years, male 185.3
GTEX-1399R-2726-SM-5IJBA 30-39 years, male 184.7
GTEX-POMQ-2226-SM-2I5FK 20-29 years, female 184.7
GTEX-1C6VR-2426-SM-79OLD 60-69 years, male 184.4
GTEX-1CB4I-0226-SM-79OLH 50-59 years, male 184.0
GTEX-17HG3-2226-SM-7938L 30-39 years, female 183.8
GTEX-13JUV-2726-SM-5LZZ8 40-49 years, female 183.7
GTEX-145LU-0126-SM-5TDCB 50-59 years, male 183.4
GTEX-15EU6-0426-SM-6PAN5 50-59 years, male 182.9
GTEX-QDVJ-1726-SM-2I5FX 50-59 years, male 181.9
GTEX-RWS6-2026-SM-2XCB5 60-69 years, female 181.3
GTEX-QLQ7-1626-SM-2S1R8 60-69 years, male 181.2
GTEX-1JJE9-0326-SM-CL53Z 70-79 years, male 181.1
GTEX-13S7M-0126-SM-5SI6A 60-69 years, female 181.0
GTEX-1CB4E-2226-SM-793DC 60-69 years, male 180.5
GTEX-P44H-0226-SM-2XCEU 40-49 years, male 179.9
GTEX-V1D1-2226-SM-3NMAX 50-59 years, male 179.8
GTEX-13OW8-1326-SM-5J1OW 60-69 years, male 179.4
GTEX-17EVP-0326-SM-7DHLG 40-49 years, male 179.3
GTEX-1HR98-0126-SM-B2LWI 60-69 years, male 178.9
GTEX-13NYC-0326-SM-E9J4S 60-69 years, male 178.1
GTEX-XPVG-2626-SM-4B669 50-59 years, male 177.8
GTEX-1269C-2526-SM-5EGJ3 60-69 years, female 177.7
GTEX-ZXG5-0126-SM-5GIEU 60-69 years, male 177.6
GTEX-145LS-0126-SM-5QGP1 60-69 years, female 177.3
GTEX-14PJ6-2126-SM-6EU1V 60-69 years, female 176.0
GTEX-11LCK-1026-SM-5A5KB 30-39 years, male 175.7
GTEX-1HSMQ-1226-SM-CGQFX 50-59 years, male 175.7
GTEX-13CF3-2426-SM-5IFGX 60-69 years, female 175.4
GTEX-144GL-0126-SM-5TDE2 50-59 years, male 175.1
GTEX-14DAQ-0126-SM-5S2MQ 60-69 years, female 173.3
GTEX-1B97I-1626-SM-73KYO 40-49 years, male 173.0
GTEX-13OVH-0126-SM-5MR4B 70-79 years, male 172.8
GTEX-1IL2U-0226-SM-CE6T8 60-69 years, male 171.3
GTEX-14BMV-0126-SM-5S2PO 50-59 years, male 171.1
GTEX-1HT8W-0126-SM-CNPPP 30-39 years, male 170.5
GTEX-1I1GU-2226-SM-CGQFA 40-49 years, male 170.4
GTEX-1CAMQ-0226-SM-7IGPK 40-49 years, male 169.6
GTEX-ZYT6-0226-SM-5NQ6T 30-39 years, male 167.8
GTEX-1S83E-0126-SM-EWRO4 40-49 years, male 166.5
GTEX-145ME-1826-SM-5SI9G 40-49 years, female 166.0
GTEX-13N2G-2626-SM-5J1OT 60-69 years, male 164.5
GTEX-1399T-2826-SM-5KLYZ 60-69 years, male 163.1
GTEX-1MJK2-0426-SM-DTXE5 50-59 years, male 162.8
GTEX-12WSC-0126-SM-5EQ4P 50-59 years, male 162.7
GTEX-1EN7A-0126-SM-7SB81 40-49 years, male 162.3
GTEX-15ER7-0326-SM-7KUEV 20-29 years, female 161.5
GTEX-1LG7Z-1726-SM-D3LA4 30-39 years, male 160.5
GTEX-WFG8-2226-SM-3GIL9 20-29 years, male 160.3
GTEX-1HCU7-0226-SM-CL545 50-59 years, male 160.0
GTEX-14E6E-1826-SM-5S2R7 30-39 years, male 159.5
GTEX-15G19-0126-SM-6PANQ 60-69 years, male 159.2
GTEX-1JMQJ-0526-SM-CYPSU 50-59 years, male 158.4
GTEX-ZV68-0126-SM-59HKS 50-59 years, female 158.3
GTEX-14BIN-0626-SM-793DP 50-59 years, female 158.2
GTEX-PVOW-0126-SM-2XCFA 40-49 years, male 157.1
GTEX-14A5I-0126-SM-5TDEA 50-59 years, female 157.0
GTEX-12WSL-2526-SM-5GCNJ 50-59 years, male 156.4
GTEX-1JJEA-0326-SM-CNPOT 60-69 years, male 156.3
GTEX-1E1VI-0126-SM-7DHMZ 50-59 years, male 156.1
GTEX-12WSN-5019-SM-79OM6 40-49 years, male 154.3
GTEX-WFON-2126-SM-3LK7O 40-49 years, male 154.3
GTEX-1L5NE-2526-SM-E6CIE 50-59 years, male 151.8
GTEX-ZF2S-2326-SM-4WWCE 50-59 years, female 151.7
GTEX-145MI-0526-SM-5O9A8 60-69 years, female 150.6
GTEX-1E2YA-0126-SM-9KNUC 50-59 years, male 149.4
GTEX-1H4P4-0726-SM-9YFLR 50-59 years, male 147.6
GTEX-1I1GQ-0126-SM-COH3H 50-59 years, male 145.4
GTEX-SNMC-1226-SM-2XCFP 20-29 years, male 142.1
GTEX-1212Z-2526-SM-5EGKP 60-69 years, male 141.5
GTEX-183WM-0126-SM-7LTAB 70-79 years, female 139.7
GTEX-1IKJJ-0126-SM-CNPQB 60-69 years, male 128.4
GTEX-1HB9E-0226-SM-E9U4R 50-59 years, male 124.7
GTEX-1C475-1826-SM-73KWA 40-49 years, female 116.5
GTEX-S32W-2126-SM-2XCB1 50-59 years, female 104.6
Show allShow less

Contact

  • NEWS ARTICLES
  • PRESS ROOM

The Project

  • INTRODUCTION
  • ORGANIZATION
  • PUBLICATIONS

The Human Protein Atlas

  • DOWNLOADABLE DATA
  • LICENCE & CITATION
  • HELP & FAQ
The Human Protein Atlas project is funded
by the Knut & Alice Wallenberg Foundation.


contact@proteinatlas.org