We use cookies to enhance the usability of our website. If you continue, we'll assume that you are happy to receive all cookies. More information. Don't show this again.
S100A4
HPA
RESOURCES
  • TISSUE
  • BRAIN
  • SINGLE CELL
  • SUBCELLULAR
  • CANCER
  • BLOOD
  • CELL LINE
  • STRUCTURE & INTERACTION
ABOUT
  • INTRODUCTION
  • HISTORY
  • ORGANIZATION
  • PUBLICATIONS
  • ANTIBODY SUBMISSION
  • ANTIBODY AVAILABILITY
  • ACKNOWLEDGMENTS
  • CONTACT
NEWS
  • NEWS ARTICLES
  • PRESS ROOM
LEARN
  • DICTIONARY
  • PROTEIN CLASSES
  • PROTEIN EVIDENCE
  • METHODS
  • EDUCATIONAL VIDEOS
DATA
  • DOWNLOADABLE DATA
  • PUBLICATION DATA
  • RELEASE HISTORY
HELP
  • ANTIBODY VALIDATION
  • ASSAYS & ANNOTATION
  • DISCLAIMER
  • HELP & FAQ
  • PRIVACY STATEMENT
  • LICENCE & CITATION
Fields »
Search result

Field
Term
Gene name
Class
Subclass
Class
Keyword
Chromosome
External id
Tissue
Cell type
Expression
Antibody panel
Tissue
Main location
Patient ID
Annotation
Tissue
Category
Tau score
Cluster
Reliability
Brain region
Category
Tau score
Brain region
Category
Tau score
Brain region
Category
Tau score
Cluster
Reliability
Tissue
Cell type
Enrichment
Cell type
Category
Tau score
Cell type
Category
Tau score
Cell type
Category
Tau score
Cell lineage
Category
Tau score
Cluster
Cluster
Location
Searches
Location
Cell line
Class
Type
Phase
Reliability
Cancer
Prognosis
Cancer
Category
Cancer
Category
Tau score
Cluster
Variants
Interacting gene (ensg_id)
Type
Number of interactions
Pathway
Category
Score
Score
Score
Validation
Validation
Validation
Validation
Antibodies
Data type
Column


  • SUMMARY

  • TISSUE

  • BRAIN

  • SINGLE CELL

  • SUBCELL

  • CANCER

  • BLOOD

  • CELL LINE

  • STRUCT & INT

  • S100A4
TISSUE PRIMARY DATA COLON Show tissue menu
ADIPOSE TISSUE ADRENAL GLAND AMYGDALA APPENDIX BASAL GANGLIA BONE MARROW BREAST BRONCHUS CEREBELLUM CEREBRAL CORTEX CERVIX CHOROID PLEXUS COLON DUODENUM
ENDOMETRIUM EPIDIDYMIS ESOPHAGUS FALLOPIAN TUBE GALLBLADDER HEART MUSCLE HIPPOCAMPAL FORMATION HYPOTHALAMUS KIDNEY LIVER LUNG LYMPH NODE MIDBRAIN NASOPHARYNX
ORAL MUCOSA OVARY PANCREAS PARATHYROID GLAND PITUITARY GLAND PLACENTA PROSTATE RECTUM RETINA SALIVARY GLAND SEMINAL VESICLE SKELETAL MUSCLE SKIN SMALL INTESTINE
SMOOTH MUSCLE SOFT TISSUE SPINAL CORD SPLEEN STOMACH TESTIS THYMUS THYROID GLAND TONGUE TONSIL URINARY BLADDER VAGINA
ANTIBODIES
AND
VALIDATION
Dictionary
Colon
Tissue proteome
Intestine
COLON - Expression summary
Protein expression
Coloni

On the top, protein expression in current human tissue, based on all annotated cell types, is reported with the units not detected (n), low (l), medium (m) and high (h). Underneath, protein expression in each annotated cell type are reported using the same units.

Protein expression data is based on knowledge-based annotation. For genes where more than one antibody has been used, a collective score is set.

If knowledge-based annotation could not be performed for a gene, no data is displayed here. View antibody staining data further down this page.

h
m
l
n
Endothelial cells: Not detected
Glandular cells: Not detected
Peripheral nerve/ganglion: Not detected
RNA expressioni

A summary of mRNA expression data available for current tissue based on several datasets. The mRNA expression levels in human tissues are based on RNA-seq data generated by the Human Protein Atlas (HPA), Genotype-Tissue Expression (GTEx) portal and CAGE data generated by the FANTOM5 consortium. Consensus normalized expression levels for human tissues was created by combining the data from HPA and GTEx datasets.

The mRNA expression levels in pig are based on RNA-seq data generated by the Human Protein Atlas (HPA), and for mouse, HPA data and in situ hybridization generated by the Allen brain atlas are reported.

Scroll down to view mRNA expression data in more detail.
Consensus:291.5 nTPM
HPA:231.3 nTPM
GTEx:291.5 nTPM
FANTOM5:80.8 Scaled Tags Per Million

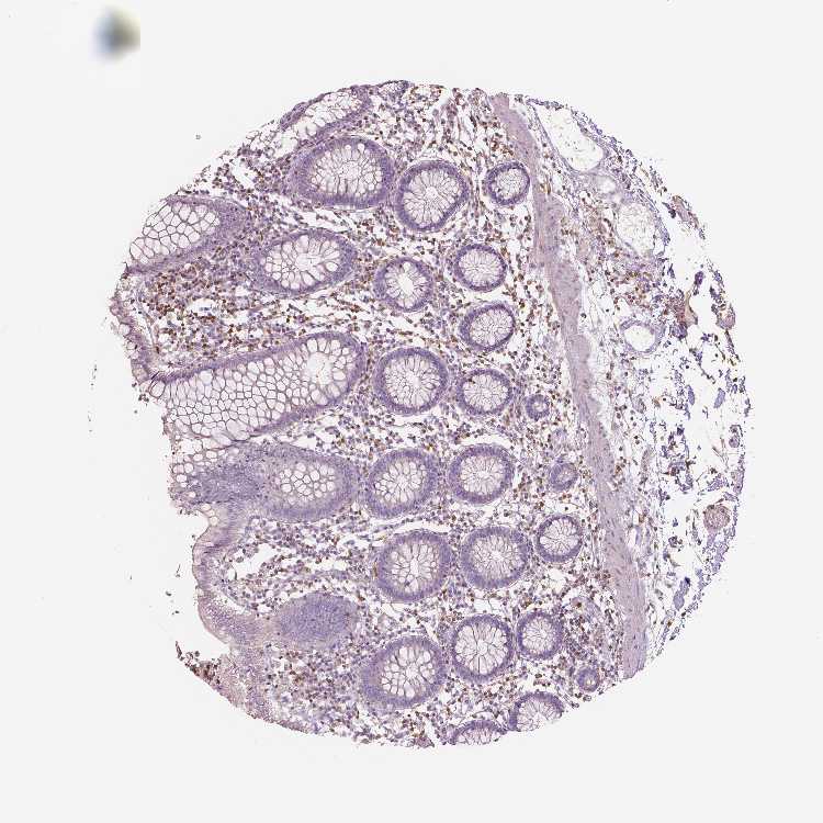
COLON - Antibody stainingi

Antibody staining in the annotated cell types in the current human tissue is reported as not detected, low, medium, or high, based on conventional immunohistochemistry profiling in selected tissues. This score is based on the combination of the staining intensity and fraction of stained cells.

Each image is clickable and will lead to virtual microscopy that enables deeper exploration of all samples and also displays staining intensity scores, fraction scores and subcellular localization as well as patient and tissue information for each sample.

Antibody HPA007973Antibody CAB002618Antibody CAB027387Antibody CAB058698Antibody CAB068227Antibody CAB068228
Endothelial cells HighNot detectedMediumNot detectedLowNot detected
Glandular cells Not detectedNot detectedNot detectedNot detectedNot detectedNot detected
Peripheral nerve/ganglion High--Not detectedNot detected-












COLON - HPA RNA-seqi

The RNA-seq details section shows detailed information about the individual samples used for the transcript profiling and results of the RNA-seq analysis.

Information about each individual sample is listed below, including gender, age, a tissue section image and estimated fractions of cell types. nTPM (normalized transcripts per million) values give a quantification of the gene abundance which is comparable between different genes and samples.
Average nTPMi

Max subtype nTPM is the value for the subtype with the largest average nTPM across the subtype samples.

231.3
overview
Male, age 54
Colon sample 67
nTPM: 106.1
Cell types%
Glandular cells:
65

Smooth muscle cells:
10

Other cell types:
25

overview
Female, age 57
Colon sample 68
nTPM: 174.6
Cell types%
Glandular cells:
40

Smooth muscle cells:
5

Other cell types:
55

overview
Male, age 80
Colon sample 69
nTPM: 115.1
Cell types%
Glandular cells:
55

Smooth muscle cells:
5

Other cell types:
40

overview
Male, age 68
Colon sample 70
nTPM: 244.1
Cell types%
Glandular cells:
35

Smooth muscle cells:
10

Other cell types:
55

overview
Female, age 68
Colon sample 76
nTPM: 448.9
Cell types%
Glandular cells:
25

Smooth muscle cells:
5

Other cell types:
70

overview
Female, age 61
Colon sample 299
nTPM: 327.6
Cell types%
Glandular cells:
5

Smooth muscle cells:
65

Other cell types:
30

overview
Male, age 80
Colon sample 300
nTPM: 275.8
Cell types%
Glandular cells:
15

Smooth muscle cells:
20

Other cell types:
65

overview
Female, age 78
Colon sample 368
nTPM: 177.1
Cell types%
Glandular cells:
45

Smooth muscle cells:
5

Other cell types:
50

overview
Male, age 84
Colon sample 381
nTPM: 256.7
Cell types%
Glandular cells:
50

Smooth muscle cells:
15

Other cell types:
35

overview
Male, age 80
Colon sample 384
nTPM: 148.2
Cell types%
Glandular cells:
20

Smooth muscle cells:
35

Other cell types:
45

overview
Female, age 78
Colon sample 389
nTPM: 215.7
Cell types%
Glandular cells:
35

Smooth muscle cells:
10

Other cell types:
55

overview
Female, age 69
Colon sample 391
nTPM: 247
Cell types%
Glandular cells:
10

Smooth muscle cells:
45

Other cell types:
45

overview
Female, age 72
Colon sample 403
nTPM: 269.9
Cell types%
Glandular cells:
20

Smooth muscle cells:
15

Other cell types:
65


COLON - GTEx RNA-seqi

RNA-Seq data generated by the Genotype-Tissue Expression (GTEx) project from human tissues is reported as mean nTPM. More information can be found on the GTEx portal.

Distribution across the dataset is visualized with box plots, shown as median and 25th and 75th percentiles. Points are displayed as outliers if they are above or below 1.5 times the interquartile range. nTPM values of the individual samples are presented next to the box plot.
Max subtype nTPMi

Max subtype nTPM is the value for the subtype with the largest average nTPM across the subtype samples.

291.5
GTEx sample id Sample description nTPM
Colon - Sigmoid
Average nTPM: 291.5
Samples: 373

Max nTPM: 1212.2
Min nTPM: 45.2
Std nTPM: 172.7
Median nTPM: 258.1
GTEX-15RJ7-1726-SM-6PAL3 40-49 years, male 1212.2
GTEX-11EQ8-2626-SM-5N9BO 60-69 years, male 1061.3
GTEX-1IL2U-2526-SM-C1YQV 60-69 years, male 909.5
GTEX-17HG3-1126-SM-7DUFC 30-39 years, female 889.8
GTEX-14AS3-1026-SM-5TDD7 40-49 years, female 854.7
GTEX-17EUY-1726-SM-79OK4 20-29 years, male 827.7
GTEX-1B8L1-1926-SM-7IGND 60-69 years, male 781.8
GTEX-18465-2726-SM-7LT9I 50-59 years, male 760.0
GTEX-1RLM8-1726-SM-E9TKF 50-59 years, male 740.3
GTEX-16Z82-2426-SM-7KUMS 60-69 years, male 726.0
GTEX-147GR-2826-SM-5RQK8 60-69 years, male 722.9
GTEX-1LSNL-1626-SM-E9TJY 50-59 years, male 702.0
GTEX-13OVK-1026-SM-7KFTC 40-49 years, male 697.8
GTEX-1P4AB-2626-SM-DTXEU 50-59 years, male 659.7
GTEX-131YS-2926-SM-5EGKI 60-69 years, female 646.1
GTEX-132NY-2726-SM-5PNY2 60-69 years, male 644.0
GTEX-15RIE-2026-SM-7KFRW 60-69 years, male 632.1
GTEX-X15G-1526-SM-4PQZM 50-59 years, female 626.8
GTEX-1GMRU-2626-SM-9WPPM 50-59 years, male 615.8
GTEX-1EU9M-2726-SM-7P8QD 60-69 years, male 598.2
GTEX-18QFQ-1726-SM-731C9 30-39 years, male 580.7
GTEX-11EI6-2626-SM-5PNVT 60-69 years, male 580.6
GTEX-1PBJJ-2026-SM-DTX8U 30-39 years, male 574.2
GTEX-1LBAC-1726-SM-D3L9W 20-29 years, male 568.6
GTEX-12ZZX-2726-SM-5N9FT 40-49 years, female 566.6
GTEX-13OW6-2226-SM-5N9FL 50-59 years, male 554.6
GTEX-11DXY-2026-SM-5N9CZ 60-69 years, male 547.2
GTEX-1CB4F-1926-SM-7MKFN 60-69 years, male 546.6
GTEX-14PJ3-1226-SM-5ZZVY 50-59 years, male 543.1
GTEX-Y114-1626-SM-4TT7I 50-59 years, female 538.9
GTEX-1LVAN-2626-SM-CNPQF 50-59 years, female 535.7
GTEX-139D8-2926-SM-5IJBM 30-39 years, female 529.5
GTEX-13X6I-2726-SM-5Q5ET 60-69 years, male 522.7
GTEX-11DXX-1926-SM-5EGJK 60-69 years, female 521.8
GTEX-ZDTS-2726-SM-5L3E2 60-69 years, male 521.0
GTEX-ZE7O-2626-SM-51MSS 50-59 years, female 518.0
GTEX-11DXZ-1626-SM-5GIDI 50-59 years, male 515.1
GTEX-Z93S-2626-SM-57WBX 50-59 years, male 506.6
GTEX-1J8JJ-2426-SM-D4P4A 60-69 years, female 502.2
GTEX-1R9PO-2026-SM-E9J4N 60-69 years, female 500.7
GTEX-1I1GR-2226-SM-ARL7F 60-69 years, male 498.5
GTEX-14BIN-2426-SM-5TDCF 50-59 years, female 494.8
GTEX-11ZTS-1526-SM-5N9G7 60-69 years, female 492.5
GTEX-WY7C-1926-SM-4ONCI 50-59 years, male 491.7
GTEX-117XS-2226-SM-5GIE1 60-69 years, male 490.5
GTEX-ZVT4-2626-SM-5N9GJ 50-59 years, female 488.3
GTEX-WHSE-2726-SM-EZ6ML 20-29 years, male 482.9
GTEX-1J1R8-1426-SM-CL55O 40-49 years, male 482.8
GTEX-YEC3-2026-SM-DKPOL 50-59 years, male 481.4
GTEX-15ER7-2826-SM-6PAN2 20-29 years, female 480.4
GTEX-1B932-2126-SM-7IGMU 40-49 years, female 480.3
GTEX-18A6Q-2226-SM-7LG61 60-69 years, male 478.4
GTEX-1CAMR-1026-SM-7P8QI 20-29 years, male 472.5
GTEX-1AYCT-1926-SM-793AE 50-59 years, male 472.1
GTEX-1PIIG-2126-SM-EXUSD 30-39 years, male 471.7
GTEX-14DAQ-2926-SM-664MV 60-69 years, female 469.1
GTEX-11P81-1426-SM-5P9JN 30-39 years, female 466.7
GTEX-1RMOY-1726-SM-EVYC9 50-59 years, male 466.1
GTEX-1PBJI-2526-SM-E6CP4 20-29 years, female 464.6
GTEX-ZP4G-1526-SM-57WE5 20-29 years, female 458.7
GTEX-1RQEC-2626-SM-EVR3Z 60-69 years, male 452.1
GTEX-ZVZQ-2626-SM-59HLB 60-69 years, female 451.1
GTEX-11PRG-2026-SM-5GU5F 50-59 years, male 446.9
GTEX-1CB4G-2726-SM-79OO4 60-69 years, male 446.5
GTEX-11EMC-1426-SM-5N9E4 60-69 years, female 443.7
GTEX-1GN73-2726-SM-9WYUB 60-69 years, male 442.1
GTEX-13G51-2126-SM-5IJD9 60-69 years, male 434.4
GTEX-1RDX4-1926-SM-E6CJJ 50-59 years, female 431.9
GTEX-1HBPH-2526-SM-ACKXK 40-49 years, female 431.3
GTEX-16BQI-2026-SM-7KULQ 30-39 years, female 429.8
GTEX-1E2YA-2526-SM-7IGOU 50-59 years, male 427.0
GTEX-1HSKV-2326-SM-A9SL9 60-69 years, male 424.6
GTEX-1PIEJ-1826-SM-EWRMN 20-29 years, female 423.7
GTEX-1RAZR-2026-SM-E9TKE 40-49 years, male 422.3
GTEX-145LS-2926-SM-5O99G 60-69 years, female 412.5
GTEX-1JMLX-2526-SM-CY8HX 50-59 years, male 411.3
GTEX-1R9K5-2226-SM-DTX9G 50-59 years, male 409.9
GTEX-YECK-2826-SM-5IFHF 60-69 years, male 409.7
GTEX-1LSVX-2026-SM-E9TJD 60-69 years, male 409.7
GTEX-11EQ9-1526-SM-5PNY7 30-39 years, male 407.3
GTEX-1HBPI-2226-SM-9WYTY 50-59 years, male 403.5
GTEX-14C5O-2626-SM-5RQI5 60-69 years, male 403.2
GTEX-1K2DA-1626-SM-CGQGB 50-59 years, male 403.0
GTEX-1IDJH-2826-SM-CJI49 70-79 years, male 399.9
GTEX-X4EO-2726-SM-4E3HS 60-69 years, female 399.0
GTEX-17F96-2126-SM-7KFSM 70-79 years, male 396.0
GTEX-17JCI-2826-SM-7IGNA 60-69 years, female 395.0
GTEX-1IKOE-2126-SM-A96T5 30-39 years, female 391.4
GTEX-1AMFI-1826-SM-73KWB 50-59 years, female 390.6
GTEX-1BAJH-2726-SM-7IGNJ 70-79 years, male 388.5
GTEX-14PHX-1126-SM-5YYA5 50-59 years, male 386.3
GTEX-13PVQ-2726-SM-5L3H7 50-59 years, male 381.6
GTEX-13X6J-2826-SM-7EPGA 50-59 years, male 375.6
GTEX-1H3NZ-2526-SM-9KNVO 60-69 years, male 374.1
GTEX-WFON-1326-SM-4LVMN 40-49 years, male 372.2
GTEX-18A66-2626-SM-72D67 60-69 years, male 365.0
GTEX-12ZZY-2726-SM-5EQ45 60-69 years, male 363.8
GTEX-ZE9C-2126-SM-4WKGY 60-69 years, male 363.2
GTEX-ZVT3-2826-SM-5GU6A 60-69 years, female 361.9
GTEX-ZV6S-1126-SM-57WE9 40-49 years, female 360.2
GTEX-18A67-2226-SM-7LT9Z 50-59 years, male 358.0
GTEX-ZYT6-2826-SM-5GICX 30-39 years, male 357.6
GTEX-1KXAM-1926-SM-D3LAG 60-69 years, male 352.9
GTEX-11GS4-1826-SM-5HL4T 60-69 years, male 352.4
GTEX-1EMGI-2626-SM-7IGNR 60-69 years, male 352.2
GTEX-ZLV1-1326-SM-DO11Q 60-69 years, female 348.6
GTEX-13OVJ-1826-SM-5KM2D 50-59 years, female 347.2
GTEX-XUZC-1526-SM-4BRV4 30-39 years, female 346.7
GTEX-147JS-2626-SM-5S2UX 60-69 years, male 345.5
GTEX-12WSG-2426-SM-5EQLZ 50-59 years, female 345.2
GTEX-WI4N-2226-SM-4OOS9 40-49 years, female 343.0
GTEX-YFCO-1526-SM-5YYB8 40-49 years, male 341.3
GTEX-1F75W-2126-SM-7RHIA 60-69 years, male 341.3
GTEX-1QP29-2526-SM-E6CQ3 50-59 years, male 338.3
GTEX-ZPU1-1726-SM-4WWFV 40-49 years, male 337.7
GTEX-144GM-1126-SM-79OJK 20-29 years, male 335.3
GTEX-183FY-1426-SM-7DHLM 20-29 years, male 335.1
GTEX-ZPCL-1626-SM-57WGC 60-69 years, female 334.9
GTEX-12WSM-1426-SM-5GCPA 60-69 years, male 334.7
GTEX-1OFPY-1226-SM-E76OM 60-69 years, male 333.2
GTEX-1B8KE-1526-SM-7DUG2 50-59 years, male 333.1
GTEX-15RJE-2226-SM-6M46A 40-49 years, male 332.1
GTEX-13OW8-2726-SM-5L3FZ 60-69 years, male 331.3
GTEX-13N2G-2226-SM-5IJCU 60-69 years, male 331.2
GTEX-1K9T9-2926-SM-E9TKD 50-59 years, female 331.1
GTEX-WFG7-1626-SM-4LVMF 20-29 years, male 328.0
GTEX-1A3MV-1026-SM-72D5U 30-39 years, male 323.1
GTEX-1C64N-2226-SM-7SB7C 50-59 years, male 323.0
GTEX-15ETS-2326-SM-7KUGC 40-49 years, female 321.0
GTEX-12KS4-2326-SM-5EGJB 30-39 years, male 319.7
GTEX-V955-1726-SM-4JBHF 60-69 years, male 315.4
GTEX-1JN6P-2126-SM-ARL98 60-69 years, male 314.7
GTEX-1JMQJ-2626-SM-CY8HQ 50-59 years, male 313.4
GTEX-17MFQ-1226-SM-7KFSA 20-29 years, male 313.1
GTEX-1QCLY-2026-SM-EVR4C 30-39 years, male 313.0
GTEX-1ICG6-2226-SM-B2LY7 70-79 years, female 312.2
GTEX-XAJ8-0726-SM-47JY5 40-49 years, male 311.9
GTEX-1MGNQ-2126-SM-EV7AC 40-49 years, male 311.7
GTEX-ZQG8-2426-SM-57WEE 60-69 years, female 310.9
GTEX-1J8EW-2426-SM-CE6T5 60-69 years, female 310.7
GTEX-1R7EU-1826-SM-DTX9L 60-69 years, male 310.2
GTEX-17HHE-1626-SM-7DHLN 50-59 years, male 306.4
GTEX-1JJEA-2526-SM-CY8HJ 60-69 years, male 304.7
GTEX-YJ8O-1426-SM-5PNV9 40-49 years, female 302.9
GTEX-ZVT2-1726-SM-51MRO 50-59 years, female 302.3
GTEX-139TS-2226-SM-5J2N1 60-69 years, male 300.4
GTEX-1QPFJ-2426-SM-EVR3L 30-39 years, female 298.2
GTEX-146FH-2426-SM-5Q5EW 50-59 years, female 297.8
GTEX-1LGRB-2026-SM-COH47 50-59 years, female 294.7
GTEX-1HSMO-2526-SM-A9SKP 60-69 years, male 292.7
GTEX-15F5U-1426-SM-7KUN2 40-49 years, male 291.8
GTEX-ZYY3-2226-SM-5E45A 60-69 years, female 291.3
GTEX-1477Z-2126-SM-5Q5CM 60-69 years, male 290.3
GTEX-111CU-1226-SM-5EGIN 50-59 years, male 289.2
GTEX-1GMR3-2526-SM-7P8QS 40-49 years, male 288.6
GTEX-ZF2S-1826-SM-4WKFF 50-59 years, female 288.2
GTEX-15RIF-1426-SM-7KUKQ 20-29 years, male 286.3
GTEX-12WSD-2626-SM-5EGJE 60-69 years, female 283.9
GTEX-11I78-1326-SM-5PNY9 50-59 years, female 283.6
GTEX-145MH-2726-SM-5QGQ6 50-59 years, male 283.1
GTEX-13SLW-2826-SM-5Q5ES 70-79 years, male 282.8
GTEX-1C4CL-1626-SM-7DUF3 30-39 years, male 282.6
GTEX-1LB8K-2526-SM-DIPEQ 50-59 years, male 282.4
GTEX-1212Z-1826-SM-5FQSH 60-69 years, male 281.5
GTEX-16MTA-1626-SM-6M47N 50-59 years, male 281.0
GTEX-14A5H-1626-SM-5SIAN 60-69 years, male 280.9
GTEX-1QCLZ-2026-SM-EAZ4A 60-69 years, female 280.0
GTEX-15CHQ-2626-SM-686YZ 60-69 years, male 278.4
GTEX-1H3VY-2526-SM-9KNW1 50-59 years, male 278.3
GTEX-145LT-0826-SM-5S2QL 40-49 years, male 277.5
GTEX-1I1CD-2826-SM-A9SL4 60-69 years, female 277.0
GTEX-WQUQ-2626-SM-4MVNP 60-69 years, male 276.6
GTEX-13OW5-2826-SM-5KM1G 60-69 years, male 276.5
GTEX-1HCU7-2726-SM-A9G3D 50-59 years, male 276.5
GTEX-1B97I-1526-SM-73KUK 40-49 years, male 275.4
GTEX-1JJE9-2526-SM-ARU8K 70-79 years, male 275.4
GTEX-1LVAO-2826-SM-E9TJH 60-69 years, male 274.8
GTEX-ZC5H-2426-SM-4WAZ6 40-49 years, female 272.5
GTEX-YJ8A-1726-SM-5P9IQ 20-29 years, male 269.9
GTEX-1J1OQ-2826-SM-D3L88 40-49 years, female 268.6
GTEX-1QP28-2226-SM-DTX8C 50-59 years, female 268.6
GTEX-14JG6-1626-SM-5YYBC 30-39 years, female 266.1
GTEX-1HCU6-2926-SM-B2LWV 60-69 years, female 262.2
GTEX-WHPG-1626-SM-4M1ZL 50-59 years, male 259.9
GTEX-1CAMS-2626-SM-7PBY3 40-49 years, female 259.3
GTEX-1AX9J-2526-SM-73KUY 60-69 years, male 258.7
GTEX-WRHK-1126-SM-4MVOJ 20-29 years, female 258.1
GTEX-ZAB4-2426-SM-5HL8A 40-49 years, male 257.5
GTEX-Y8E4-2326-SM-EAZAZ 40-49 years, male 255.9
GTEX-1PDJ9-2026-SM-E76PT 20-29 years, male 254.8
GTEX-1122O-1426-SM-5H11R 60-69 years, female 254.1
GTEX-1EH9U-1926-SM-7P8QM 60-69 years, male 253.8
GTEX-14PJ4-1826-SM-5YY97 60-69 years, male 253.5
GTEX-1N2DV-1826-SM-E6CJ5 40-49 years, male 250.1
GTEX-ZLWG-1826-SM-DO11I 50-59 years, female 249.4
GTEX-11P7K-1826-SM-5HL5A 30-39 years, male 249.3
GTEX-17F9Y-2626-SM-7IGN9 70-79 years, female 247.8
GTEX-1HSEH-1926-SM-A96SB 60-69 years, male 247.8
GTEX-13CF3-1326-SM-5LZXZ 60-69 years, female 247.5
GTEX-13CF2-1826-SM-5N9GK 60-69 years, male 246.3
GTEX-15FZZ-1826-SM-6LLJP 30-39 years, female 243.9
GTEX-183WM-2526-SM-731BP 70-79 years, female 242.3
GTEX-13FHO-2726-SM-5K7VG 60-69 years, male 242.0
GTEX-1JK1U-1426-SM-CNPOW 60-69 years, male 239.8
GTEX-1GPI7-1926-SM-9KNUH 20-29 years, male 239.7
GTEX-1LGOU-1726-SM-D3L8P 20-29 years, female 238.6
GTEX-15DYW-2426-SM-7KUG8 60-69 years, female 236.0
GTEX-131XG-1526-SM-5GCNQ 50-59 years, female 235.7
GTEX-12WSJ-1426-SM-5GCON 40-49 years, female 232.7
GTEX-1QP2A-2226-SM-DTXF6 50-59 years, male 232.5
GTEX-1LG7Y-2226-SM-E9U5K 50-59 years, male 230.4
GTEX-1PIGE-1526-SM-DTXFC 20-29 years, male 228.7
GTEX-1I1GP-2826-SM-A9SKZ 50-59 years, male 227.5
GTEX-1N2EF-1726-SM-EXUSI 60-69 years, male 227.2
GTEX-1S5ZA-1426-SM-E6CJQ 20-29 years, male 225.0
GTEX-13X6K-2726-SM-5O9DG 60-69 years, female 224.6
GTEX-ZZ64-0826-SM-5E449 20-29 years, male 223.9
GTEX-15DZA-1026-SM-6PAND 30-39 years, female 223.4
GTEX-1GTWX-2626-SM-9WPOT 60-69 years, male 222.1
GTEX-1HCVE-2326-SM-9WYUD 50-59 years, male 221.8
GTEX-11TUW-2326-SM-5EQMO 60-69 years, male 221.2
GTEX-1399R-2126-SM-5K7WZ 30-39 years, male 221.0
GTEX-11VI4-1426-SM-5GU6O 40-49 years, female 216.1
GTEX-14PK6-1826-SM-69LOM 70-79 years, female 215.9
GTEX-1399U-2226-SM-5KLZI 50-59 years, female 212.2
GTEX-11ONC-1926-SM-5GU75 60-69 years, male 211.8
GTEX-1QP9N-0826-SM-DTX9O 30-39 years, male 208.5
GTEX-1I6K6-1926-SM-A96SN 30-39 years, male 206.9
GTEX-1GMR8-2926-SM-9KNW5 50-59 years, female 206.0
GTEX-1JMPZ-2626-SM-ARU8Z 30-39 years, male 206.0
GTEX-1B996-2726-SM-7DUGG 60-69 years, male 204.6
GTEX-15UF7-1326-SM-7KUKV 40-49 years, male 203.5
GTEX-ZTSS-1226-SM-51MSZ 40-49 years, male 202.7
GTEX-ZYFG-1826-SM-5GZWX 60-69 years, female 200.4
GTEX-1GZ4H-1326-SM-7P8TE 50-59 years, female 200.1
GTEX-1RAZQ-2026-SM-E76P7 30-39 years, male 199.3
GTEX-13FTW-2126-SM-5K7YG 40-49 years, male 197.4
GTEX-14A5I-2426-SM-5Q5CP 50-59 years, female 197.4
GTEX-1OJC3-1826-SM-DTX93 20-29 years, male 197.0
GTEX-1HKZK-2026-SM-9WYUF 40-49 years, male 195.5
GTEX-139T6-1426-SM-5P9J7 50-59 years, male 194.9
GTEX-18D9A-1326-SM-7LT8P 30-39 years, female 192.6
GTEX-17GQL-1626-SM-7LG69 60-69 years, male 191.6
GTEX-1LKK1-2426-SM-DIPES 50-59 years, female 190.7
GTEX-1HSGN-2226-SM-A9SL6 40-49 years, female 190.1
GTEX-145MO-2626-SM-5QGPD 60-69 years, male 188.9
GTEX-12696-1926-SM-5EGJT 60-69 years, male 188.8
GTEX-1H1DE-1626-SM-9KNU5 20-29 years, male 187.9
GTEX-11ZTT-1626-SM-5EQKR 60-69 years, female 187.8
GTEX-14E1K-1626-SM-664MO 50-59 years, male 187.5
GTEX-11TT1-0926-SM-5GU5M 20-29 years, male 186.3
GTEX-17KNJ-1826-SM-7LT9N 50-59 years, male 185.9
GTEX-ZF28-2526-SM-57WFH 60-69 years, male 185.3
GTEX-1LG7Z-1326-SM-DIPF3 30-39 years, male 185.1
GTEX-1JMQK-2326-SM-ARZN4 60-69 years, male 184.8
GTEX-ZY6K-1326-SM-5GZWP 50-59 years, male 184.3
GTEX-YF7O-1626-SM-5IFII 50-59 years, male 182.8
GTEX-12WSL-1826-SM-5LZW9 50-59 years, male 182.0
GTEX-13111-1926-SM-5GCOL 50-59 years, male 181.6
GTEX-WFG8-1726-SM-4LVM6 20-29 years, male 181.2
GTEX-1IDJI-2226-SM-CKZPM 50-59 years, female 178.2
GTEX-12ZZW-2426-SM-5DUWE 50-59 years, male 177.1
GTEX-1GF9X-1426-SM-7RHGX 40-49 years, female 176.0
GTEX-1JKYN-2226-SM-ARZNE 30-39 years, male 175.2
GTEX-117YX-0526-SM-5EGJH 50-59 years, male 174.6
GTEX-1HB9E-2526-SM-D4P35 50-59 years, male 173.7
GTEX-1A3MX-2326-SM-718B4 60-69 years, male 173.3
GTEX-ZT9W-1726-SM-51MS3 50-59 years, male 173.2
GTEX-VJYA-2126-SM-4KL1O 60-69 years, male 172.4
GTEX-1339X-1726-SM-5P9J9 40-49 years, male 172.2
GTEX-15UF6-2726-SM-7KULY 70-79 years, female 171.2
GTEX-12BJ1-2026-SM-5FQUH 60-69 years, male 168.3
GTEX-13PVR-1726-SM-5Q5EC 60-69 years, female 167.3
GTEX-14C39-1626-SM-5S2P4 40-49 years, male 164.6
GTEX-ZA64-1426-SM-5CVMC 20-29 years, male 164.2
GTEX-139UW-2326-SM-5KM1Y 60-69 years, male 163.2
GTEX-ZAB5-1426-SM-5HL9D 50-59 years, male 161.5
GTEX-Y8LW-1126-SM-4VDS4 50-59 years, female 159.5
GTEX-XXEK-1826-SM-4BRVC 50-59 years, male 159.0
GTEX-1HBPN-2026-SM-B2LWA 50-59 years, male 158.5
GTEX-15EO6-2326-SM-6LPKK 50-59 years, male 158.4
GTEX-1LSNM-1426-SM-E6CIH 50-59 years, male 158.0
GTEX-1C64O-2426-SM-7P8R3 60-69 years, male 157.4
GTEX-WHWD-1526-SM-4OORV 50-59 years, male 157.3
GTEX-1S831-1726-SM-EWROJ 20-29 years, male 156.8
GTEX-1LVAM-1726-SM-DHXKQ 50-59 years, female 156.2
GTEX-1I1GT-2026-SM-CKZPK 60-69 years, female 155.2
GTEX-17HGU-2626-SM-79OKN 50-59 years, male 155.0
GTEX-1HFI7-1626-SM-9WYTR 50-59 years, female 154.8
GTEX-15G19-2726-SM-6LPKG 60-69 years, male 153.6
GTEX-1HCUA-1926-SM-B2LWE 50-59 years, female 152.8
GTEX-ZYFD-2226-SM-5E43P 50-59 years, male 152.3
GTEX-14E6E-1726-SM-5S2R6 30-39 years, male 151.7
GTEX-1JMPY-1026-SM-ARZN1 30-39 years, male 150.0
GTEX-ZG7Y-1826-SM-4WWD3 50-59 years, male 149.7
GTEX-145ME-1126-SM-5SIAT 40-49 years, female 148.0
GTEX-13U4I-2626-SM-5SI9C 40-49 years, female 147.4
GTEX-14BMU-1326-SM-5RQIH 20-29 years, female 147.0
GTEX-14PKV-1926-SM-686YU 20-29 years, female 145.4
GTEX-1C2JI-1726-SM-73KUW 50-59 years, male 144.9
GTEX-ZTTD-2626-SM-57WEX 50-59 years, male 144.3
GTEX-11EM3-1626-SM-5N9CO 20-29 years, female 142.3
GTEX-111YS-1826-SM-5GIEP 60-69 years, male 141.9
GTEX-Y5LM-1426-SM-5RQJL 40-49 years, female 139.5
GTEX-1QP67-1426-SM-E8VOO 40-49 years, female 138.9
GTEX-WYVS-1126-SM-4SOJX 40-49 years, female 137.8
GTEX-Y5V6-1626-SM-4VDT2 60-69 years, male 137.7
GTEX-11ZU8-1126-SM-5EQ5K 60-69 years, male 137.1
GTEX-ZLFU-1426-SM-4WWEU 40-49 years, male 136.6
GTEX-1PPH8-2226-SM-EWRN7 20-29 years, male 136.1
GTEX-1L5NE-1926-SM-D3L9R 50-59 years, male 135.8
GTEX-16NGA-0926-SM-718AG 40-49 years, female 135.7
GTEX-1QW4Y-1426-SM-E76P3 30-39 years, male 134.9
GTEX-131XE-1026-SM-5EGKE 50-59 years, male 134.7
GTEX-1H3VE-2326-SM-9KNVU 40-49 years, male 133.7
GTEX-ZF29-1826-SM-4WKG8 60-69 years, female 131.7
GTEX-1R9JW-2126-SM-E76QT 30-39 years, female 130.4
GTEX-1211K-1826-SM-5EGJ2 60-69 years, female 130.2
GTEX-1F5PK-1726-SM-7RHHW 50-59 years, male 129.5
GTEX-132AR-2826-SM-5IJFV 50-59 years, female 128.8
GTEX-1HSMQ-2526-SM-A9SMK 50-59 years, male 128.0
GTEX-13O1R-2426-SM-5KLZZ 60-69 years, male 127.7
GTEX-15G1A-1926-SM-7KUFF 30-39 years, male 127.1
GTEX-1A32A-2626-SM-73KX9 50-59 years, female 126.0
GTEX-1HBPM-2626-SM-9WYU5 60-69 years, female 125.5
GTEX-13W3W-2226-SM-5LU4M 60-69 years, female 125.2
GTEX-1JKYR-2026-SM-CNPON 20-29 years, male 124.7
GTEX-1PFEY-1726-SM-DPRZ4 30-39 years, male 123.4
GTEX-13D11-0626-SM-5LZYY 50-59 years, female 123.2
GTEX-1JN76-1326-SM-ARU94 20-29 years, female 121.9
GTEX-1H1ZS-2626-SM-9QEIX 70-79 years, male 121.2
GTEX-13QBU-2026-SM-5KLZB 40-49 years, female 120.8
GTEX-13PL7-2426-SM-5J2N3 60-69 years, female 118.2
GTEX-1C475-1526-SM-7DHM3 40-49 years, female 116.5
GTEX-1GMR2-1826-SM-9KNUP 50-59 years, male 115.4
GTEX-W5WG-2026-SM-4LMIB 50-59 years, female 115.3
GTEX-ZXES-1726-SM-5E43G 30-39 years, female 113.2
GTEX-1IDJU-1926-SM-CL53W 60-69 years, female 112.9
GTEX-148VJ-2426-SM-5NQ9Y 70-79 years, male 112.8
GTEX-X5EB-1126-SM-46MVV 40-49 years, male 112.0
GTEX-1S82P-2026-SM-E9TIQ 60-69 years, female 111.6
GTEX-WXYG-1726-SM-4ONCU 50-59 years, female 111.4
GTEX-1H1E6-1826-SM-A9G21 30-39 years, male 111.0
GTEX-Y3I4-1126-SM-4TT7Y 50-59 years, male 108.2
GTEX-1KANA-1726-SM-CY8IG 20-29 years, male 107.9
GTEX-1J8QM-1226-SM-CY8HI 60-69 years, female 107.5
GTEX-1AX9K-1626-SM-73KUS 50-59 years, male 107.1
GTEX-XQ8I-2326-SM-4BOQC 50-59 years, male 103.6
GTEX-13FH7-1626-SM-5J2O9 50-59 years, female 103.5
GTEX-XUW1-1826-SM-4BOQD 50-59 years, female 103.4
GTEX-1C6VQ-2626-SM-7IGMQ 50-59 years, male 100.7
GTEX-14PN3-1926-SM-6EU1Y 60-69 years, female 99.8
GTEX-1F5PL-1926-SM-7MXTP 40-49 years, female 99.3
GTEX-1J8Q3-2426-SM-CL53S 60-69 years, male 97.7
GTEX-13OVI-2126-SM-5KM3U 60-69 years, female 97.2
GTEX-1H23P-2626-SM-9KNVN 60-69 years, male 96.8
GTEX-13O61-1526-SM-5KM3P 60-69 years, male 92.4
GTEX-13RTJ-1926-SM-5YYA2 60-69 years, male 87.2
GTEX-13VXT-2026-SM-5L3EW 20-29 years, female 83.1
GTEX-XBED-1726-SM-47JYO 60-69 years, male 83.1
GTEX-16XZZ-2726-SM-7EWDO 60-69 years, male 82.2
GTEX-ZAJG-2626-SM-5S2NU 50-59 years, female 81.6
GTEX-1AMEY-1826-SM-72D5L 30-39 years, female 79.7
GTEX-Y9LG-1326-SM-4VBQB 30-39 years, male 79.4
GTEX-XV7Q-2226-SM-4BRVY 40-49 years, female 76.7
GTEX-1GL5R-1726-SM-9KNUX 50-59 years, male 74.9
GTEX-WYJK-2326-SM-4ONDN 50-59 years, male 74.3
GTEX-ZPIC-2626-SM-57WE2 40-49 years, female 73.5
GTEX-13113-1426-SM-5EGHU 60-69 years, female 69.0
GTEX-14E6C-2226-SM-5QGQG 40-49 years, male 66.8
GTEX-WH7G-1426-SM-4LVMU 40-49 years, male 65.7
GTEX-ZQUD-1026-SM-4YCEZ 30-39 years, male 60.9
GTEX-WOFM-1926-SM-4OOSP 20-29 years, male 45.2
Show allShow less
Colon - Transverse
Average nTPM: 221.5
Samples: 406

Max nTPM: 833.2
Min nTPM: 37.1
Std nTPM: 164.0
Median nTPM: 164.5
GTEX-1EMGI-2726-SM-7P8S4 60-69 years, male 833.2
GTEX-14BMV-2426-SM-5S2PP 50-59 years, male 825.8
GTEX-SJXC-2226-SM-EVYAK 60-69 years, male 805.1
GTEX-1IGQW-2326-SM-CE6RV 60-69 years, male 772.4
GTEX-ZXES-1626-SM-5NQ7L 30-39 years, female 764.3
GTEX-12ZZZ-2426-SM-5GCNN 60-69 years, male 737.8
GTEX-1IDJD-2226-SM-A96TD 30-39 years, male 728.5
GTEX-XAJ8-0426-SM-47JYJ 40-49 years, male 717.1
GTEX-1S5VW-2926-SM-E9U6H 60-69 years, male 713.6
GTEX-14E1K-1826-SM-793DT 50-59 years, male 706.8
GTEX-111VG-2226-SM-5N9DU 60-69 years, male 706.5
GTEX-1R9K5-2126-SM-E8VN1 50-59 years, male 693.2
GTEX-15DYW-2326-SM-6PAMU 60-69 years, female 673.0
GTEX-144GL-2526-SM-5TDDL 50-59 years, male 654.6
GTEX-17JCI-2626-SM-7EWE6 60-69 years, female 615.2
GTEX-12WSJ-1526-SM-5GCNI 40-49 years, female 607.5
GTEX-147JS-2526-SM-5S2Q8 60-69 years, male 604.1
GTEX-16Z82-2226-SM-6LPJ7 60-69 years, male 597.0
GTEX-X4EO-2526-SM-EWRM8 60-69 years, female 584.5
GTEX-1E2YA-2626-SM-7MGWW 50-59 years, male 579.5
GTEX-R45C-2126-SM-EZ6KZ 60-69 years, female 575.8
GTEX-13OVK-0826-SM-7KULZ 40-49 years, male 569.2
GTEX-1AX9I-2626-SM-73KU5 60-69 years, male 564.2
GTEX-1PWST-2426-SM-EWRMP 70-79 years, male 541.4
GTEX-13FHP-2426-SM-5KLZ5 50-59 years, male 540.6
GTEX-U412-1726-SM-EZ6KX 60-69 years, male 536.0
GTEX-1LSVX-1726-SM-DHXJP 60-69 years, male 520.5
GTEX-1CB4F-2026-SM-79OLU 60-69 years, male 517.7
GTEX-1LBAC-1626-SM-CXZKV 20-29 years, male 511.2
GTEX-13O3O-2526-SM-5L3DR 60-69 years, female 506.1
GTEX-1I1GR-2526-SM-CNNQF 60-69 years, male 503.0
GTEX-1OKEX-1226-SM-DTXEC 60-69 years, male 500.7
GTEX-15CHQ-2526-SM-6EU24 60-69 years, male 492.5
GTEX-1KXAM-2126-SM-CY8I9 60-69 years, male 489.0
GTEX-13QJ3-2626-SM-9OSXQ 50-59 years, male 488.6
GTEX-1I1GT-1926-SM-ARU7D 60-69 years, female 484.5
GTEX-1QMI2-2626-SM-E6CR4 60-69 years, male 482.3
GTEX-1POEN-2026-SM-E6CRL 30-39 years, female 481.0
GTEX-1LVAN-2526-SM-CNPPC 50-59 years, female 473.0
GTEX-14BIN-3026-SM-5ZZUS 50-59 years, female 465.3
GTEX-15DZA-0926-SM-69LQ3 30-39 years, female 463.2
GTEX-Z93S-2426-SM-5HL8N 50-59 years, male 461.9
GTEX-17F98-1026-SM-7IGO8 40-49 years, female 461.1
GTEX-13OVG-1426-SM-5K7VP 60-69 years, male 456.7
GTEX-1IKK5-2726-SM-CNPQ6 60-69 years, male 455.5
GTEX-14C5O-2526-SM-73KU2 60-69 years, male 447.0
GTEX-ZAB4-2226-SM-5HL97 40-49 years, male 446.5
GTEX-13OW6-2126-SM-5N9GL 50-59 years, male 443.8
GTEX-16NPV-2626-SM-6M484 50-59 years, female 442.9
GTEX-1GN73-2626-SM-9KNUQ 60-69 years, male 439.6
GTEX-1K9T9-2826-SM-D4P3F 50-59 years, female 439.5
GTEX-1IOXB-2626-SM-CJI2N 50-59 years, male 434.8
GTEX-1J1OQ-2726-SM-AHZ3R 40-49 years, female 427.9
GTEX-QLQ7-1126-SM-CYPRB 60-69 years, male 425.6
GTEX-11ONC-2026-SM-5HL61 60-69 years, male 419.8
GTEX-1ICLZ-2426-SM-CKZOD 60-69 years, male 414.9
GTEX-1BAJH-2326-SM-7IGMO 70-79 years, male 413.2
GTEX-1KANB-1526-SM-CXZK4 50-59 years, male 410.8
GTEX-PSDG-1826-SM-EAZ2S 50-59 years, male 400.5
GTEX-1QPFJ-2326-SM-E6CR7 30-39 years, female 389.4
GTEX-14DAQ-2726-SM-5S2QY 60-69 years, female 387.7
GTEX-18A7A-2226-SM-7LT8K 50-59 years, female 387.2
GTEX-14PJ3-0926-SM-69LQG 50-59 years, male 387.1
GTEX-145LS-2726-SM-5Q5D8 60-69 years, female 383.8
GTEX-1339X-1626-SM-5IJDN 40-49 years, male 382.4
GTEX-1PPGY-2826-SM-DTX9H 60-69 years, male 382.4
GTEX-145ME-0826-SM-5O9AF 40-49 years, female 381.5
GTEX-14AS3-1126-SM-5Q5CR 40-49 years, female 380.3
GTEX-11O72-2226-SM-5PNW2 40-49 years, male 374.0
GTEX-1N5O9-2726-SM-E76QH 60-69 years, male 369.7
GTEX-117YX-0826-SM-5H11J 50-59 years, male 364.8
GTEX-1HSMP-2326-SM-D3L8R 70-79 years, male 359.8
GTEX-17EVQ-1826-SM-7IGPH 70-79 years, male 354.2
GTEX-O5YT-1426-SM-3MJHC 20-29 years, male 353.0
GTEX-15ER7-2926-SM-7KUFK 20-29 years, female 347.0
GTEX-1HFI7-1726-SM-A9G22 50-59 years, female 346.3
GTEX-1RMOY-1626-SM-EVYC8 50-59 years, male 345.5
GTEX-11GSP-1626-SM-5986N 60-69 years, female 340.1
GTEX-1JMPZ-2426-SM-C1YQP 30-39 years, male 338.9
GTEX-11ZVC-2126-SM-5EGJ1 50-59 years, female 337.0
GTEX-144GN-1126-SM-5LU33 50-59 years, male 337.0
GTEX-1EH9U-2026-SM-7PBYS 60-69 years, male 335.0
GTEX-1HCU7-2626-SM-C1YQO 50-59 years, male 331.0
GTEX-15SHU-2526-SM-6M47D 40-49 years, female 330.0
GTEX-ZV6S-1226-SM-59HLH 40-49 years, female 329.1
GTEX-WVJS-2426-SM-EZ6LI 50-59 years, male 324.4
GTEX-1MUQO-2626-SM-EWRO3 60-69 years, male 314.9
GTEX-1RDX4-1826-SM-EVR54 50-59 years, female 306.3
GTEX-1GF9U-1526-SM-7MXUW 40-49 years, female 305.1
GTEX-1PIEJ-2026-SM-E6CPA 20-29 years, female 302.8
GTEX-1H1DE-1526-SM-ARL9B 20-29 years, male 297.8
GTEX-14PJM-2626-SM-686ZD 50-59 years, female 297.6
GTEX-17GQL-1526-SM-7LTAC 60-69 years, male 294.3
GTEX-11TTK-2426-SM-5PNYO 60-69 years, female 293.9
GTEX-145MO-2426-SM-5NQ9W 60-69 years, male 292.1
GTEX-17F96-2026-SM-79ON4 70-79 years, male 291.2
GTEX-1HCVE-2526-SM-A9G2G 50-59 years, male 289.4
GTEX-18QFQ-1526-SM-72D57 30-39 years, male 285.4
GTEX-17HII-2726-SM-7MGVM 50-59 years, male 284.1
GTEX-ZF29-1726-SM-4WKFV 60-69 years, female 281.9
GTEX-15CHC-1626-SM-5ZZWS 60-69 years, female 281.1
GTEX-15UF6-2626-SM-6M466 70-79 years, female 279.2
GTEX-ZYFC-2626-SM-5NQ6S 50-59 years, male 278.6
GTEX-1H1DG-2226-SM-9WPPC 70-79 years, male 275.4
GTEX-13W3W-2126-SM-5K7UX 60-69 years, female 274.2
GTEX-13OW5-2626-SM-5MR3M 60-69 years, male 270.7
GTEX-16MT8-2726-SM-7IGLJ 60-69 years, female 269.8
GTEX-15G1A-1826-SM-7KUKO 30-39 years, male 269.7
GTEX-1PIGE-1426-SM-E9U61 20-29 years, male 269.1
GTEX-1AYD5-1726-SM-7RHFW 50-59 years, male 268.2
GTEX-13X6H-1926-SM-7EWD3 50-59 years, female 267.9
GTEX-1JJE9-2426-SM-D3L8T 70-79 years, male 267.8
GTEX-1F75B-2726-SM-7P8QO 50-59 years, male 267.6
GTEX-WQUQ-2526-SM-4MVNO 60-69 years, male 266.2
GTEX-13O3P-2326-SM-5KM55 50-59 years, male 265.3
GTEX-1R9PM-1526-SM-DPRY8 20-29 years, male 261.6
GTEX-1GMR3-2826-SM-9WPOG 40-49 years, male 261.2
GTEX-SE5C-1526-SM-4BRWU 40-49 years, female 260.7
GTEX-1IDJC-1326-SM-CL53H 50-59 years, male 259.5
GTEX-OOBJ-1426-SM-E6CHH 60-69 years, male 259.4
GTEX-1NSGN-2326-SM-E9U5X 50-59 years, male 258.3
GTEX-ZP4G-1726-SM-4WWCM 20-29 years, female 257.3
GTEX-16XZZ-2626-SM-6M47S 60-69 years, male 256.2
GTEX-1128S-1626-SM-5H12O 60-69 years, female 255.4
GTEX-15SB6-1226-SM-7KUMP 50-59 years, female 253.0
GTEX-17F9E-1826-SM-7IGMC 50-59 years, male 250.4
GTEX-15RIE-1826-SM-6M48P 60-69 years, male 249.0
GTEX-1B932-2826-SM-73KUD 40-49 years, female 248.7
GTEX-QDVJ-1326-SM-48U1X 50-59 years, male 248.0
GTEX-1C4CL-2126-SM-7IGQC 30-39 years, male 246.7
GTEX-139YR-2126-SM-5KM11 50-59 years, male 246.5
GTEX-1AX8Z-2726-SM-73KUC 60-69 years, male 246.3
GTEX-1GZ4I-2426-SM-9WPPP 50-59 years, male 239.1
GTEX-1JMLX-2726-SM-CM2SB 50-59 years, male 239.0
GTEX-P78B-1726-SM-3P5ZV 40-49 years, female 235.8
GTEX-ZYFG-1926-SM-5GID5 60-69 years, female 233.9
GTEX-Y3I4-1426-SM-4TT9C 50-59 years, male 232.9
GTEX-11EQ9-1426-SM-5987G 30-39 years, male 231.3
GTEX-13OVI-2026-SM-5J1MU 60-69 years, female 225.6
GTEX-OXRN-2026-SM-E6CHK 50-59 years, male 225.0
GTEX-1MCC2-1626-SM-DIPEW 30-39 years, female 224.1
GTEX-1JJ6O-2426-SM-ARU8J 60-69 years, male 221.2
GTEX-1HSGN-2626-SM-CE6S1 40-49 years, female 217.9
GTEX-1N2EF-1926-SM-DTX8M 60-69 years, male 217.7
GTEX-12KS4-2426-SM-5LU8P 30-39 years, male 217.5
GTEX-12WSL-1626-SM-5GCMU 50-59 years, male 214.0
GTEX-18A7B-2026-SM-72D71 70-79 years, male 213.9
GTEX-11VI4-1526-SM-5EQKC 40-49 years, female 213.3
GTEX-1S82U-0726-SM-E9TKI 30-39 years, female 213.2
GTEX-17MF6-2426-SM-7LTAM 40-49 years, male 212.7
GTEX-TKQ2-1326-SM-4DXT9 50-59 years, male 212.0
GTEX-S341-1426-SM-4AD6U 40-49 years, female 211.5
GTEX-1LG7Y-2126-SM-DIPER 50-59 years, male 211.4
GTEX-147GR-2726-SM-664OO 60-69 years, male 210.1
GTEX-SNMC-1126-SM-4DM5M 20-29 years, male 209.0
GTEX-1AYCT-1826-SM-731EG 50-59 years, male 208.5
GTEX-OXRO-0726-SM-E9U4C 60-69 years, female 207.8
GTEX-14PK6-1726-SM-6871J 70-79 years, female 207.2
GTEX-17KNJ-1726-SM-7LG6A 50-59 years, male 205.8
GTEX-1F75I-2426-SM-9WPOY 40-49 years, male 203.6
GTEX-1NHNU-2326-SM-E6CQE 50-59 years, male 203.4
GTEX-1MJK3-0926-SM-EV7AY 20-29 years, male 202.9
GTEX-1A3MV-1126-SM-718BS 30-39 years, male 200.9
GTEX-18D9U-1926-SM-7KFTM 40-49 years, male 200.2
GTEX-ZZ64-0726-SM-5GZX4 20-29 years, male 196.9
GTEX-13S86-1626-SM-5Q5C5 40-49 years, male 194.9
GTEX-U3ZH-1326-SM-4DXSF 30-39 years, male 194.8
GTEX-14ICL-1226-SM-5S2RD 30-39 years, male 192.2
GTEX-13O61-1626-SM-5KM3T 60-69 years, male 190.9
GTEX-1HCU6-2726-SM-A9SKV 60-69 years, female 190.7
GTEX-R53T-1326-SM-48FCQ 50-59 years, female 188.4
GTEX-SNOS-1226-SM-4DM5H 40-49 years, male 187.5
GTEX-XGQ4-1226-SM-4AT67 50-59 years, male 187.5
GTEX-QLQW-0426-SM-447A7 30-39 years, male 187.3
GTEX-1I6K6-1826-SM-B2LX5 30-39 years, male 187.2
GTEX-1IKOE-2026-SM-AHZ31 30-39 years, female 186.5
GTEX-1QP67-1326-SM-EAZ4D 40-49 years, female 182.1
GTEX-1NV5F-2226-SM-DTX8O 60-69 years, female 181.4
GTEX-ZG7Y-2126-SM-DO117 50-59 years, male 181.4
GTEX-18A66-2426-SM-7KFSQ 60-69 years, male 180.4
GTEX-VJYA-2026-SM-4KL1K 60-69 years, male 180.0
GTEX-Y8E4-2426-SM-4WWDN 40-49 years, male 179.6
GTEX-1GPI7-1726-SM-7P8R1 20-29 years, male 178.9
GTEX-1MGNQ-2026-SM-EAZ51 40-49 years, male 177.5
GTEX-ZGAY-2126-SM-4YCFB 40-49 years, female 177.3
GTEX-146FQ-1926-SM-5NQBY 30-39 years, male 177.0
GTEX-1HSMQ-2726-SM-C1YRE 50-59 years, male 176.6
GTEX-QMRM-1226-SM-447C6 50-59 years, male 175.1
GTEX-1C6VQ-2726-SM-73KUL 50-59 years, male 173.8
GTEX-1QCLZ-1926-SM-E6CR3 60-69 years, female 173.7
GTEX-WY7C-1626-SM-4ONC8 50-59 years, male 173.2
GTEX-1H3VY-2426-SM-9WPPD 50-59 years, male 172.4
GTEX-QDVN-1326-SM-48TZ3 50-59 years, male 172.2
GTEX-1GF9X-1526-SM-7P8QP 40-49 years, female 170.6
GTEX-Y114-1526-SM-4TT79 50-59 years, female 170.2
GTEX-139TS-1926-SM-5IJFO 60-69 years, male 168.4
GTEX-1GMR2-1726-SM-9JGI2 50-59 years, male 166.8
GTEX-1L5NE-2026-SM-CXZKR 50-59 years, male 166.2
GTEX-1JK1U-1526-SM-AHZ46 60-69 years, male 165.9
GTEX-RU1J-1326-SM-46MUL 20-29 years, female 165.7
GTEX-131XE-0826-SM-5HL9W 50-59 years, male 165.0
GTEX-ZEX8-1926-SM-4WKFR 50-59 years, male 164.9
GTEX-17HHE-1826-SM-79OKE 50-59 years, male 164.6
GTEX-1R7EU-1926-SM-E9U62 60-69 years, male 164.3
GTEX-OXRL-1426-SM-3NM9E 50-59 years, male 163.6
GTEX-13CF3-1426-SM-5K7YY 60-69 years, female 163.1
GTEX-Y8LW-1226-SM-4WWDP 50-59 years, female 160.4
GTEX-11DXX-1826-SM-5H126 60-69 years, female 160.1
GTEX-14ICK-1026-SM-6AJA4 40-49 years, male 160.0
GTEX-17HGU-2426-SM-7EWDP 50-59 years, male 159.4
GTEX-OIZF-1426-SM-2HML2 60-69 years, male 158.5
GTEX-1AMEY-1926-SM-73KVT 30-39 years, female 158.1
GTEX-1C2JI-1626-SM-7EPHC 50-59 years, male 157.7
GTEX-QCQG-1626-SM-48U26 50-59 years, female 156.9
GTEX-1RAZQ-2126-SM-DTX9V 30-39 years, male 156.7
GTEX-ZDYS-2326-SM-4WKG6 50-59 years, male 155.7
GTEX-18D9B-2526-SM-718BN 60-69 years, male 155.5
GTEX-131XG-1826-SM-5LZV4 50-59 years, female 155.3
GTEX-1R9JW-2026-SM-EAZ4O 30-39 years, female 155.1
GTEX-1LVAM-1626-SM-EV79Y 50-59 years, female 154.1
GTEX-14C39-1926-SM-5ZZW5 40-49 years, male 153.4
GTEX-13U4I-2426-SM-5LU34 40-49 years, female 152.1
GTEX-ZPCL-1826-SM-57WF1 60-69 years, female 151.5
GTEX-YEC3-2426-SM-DO11A 50-59 years, male 149.8
GTEX-1B996-2626-SM-73KZ1 60-69 years, male 149.3
GTEX-1LGOU-1626-SM-D3LAK 20-29 years, female 149.2
GTEX-1LH75-2126-SM-EVR5F 50-59 years, female 149.1
GTEX-ZY6K-1226-SM-5GZYL 50-59 years, male 147.5
GTEX-1JN1M-2626-SM-CY8I3 60-69 years, female 147.3
GTEX-XBEW-1926-SM-4SOJO 40-49 years, male 146.9
GTEX-11DXZ-1726-SM-5H12M 50-59 years, male 145.6
GTEX-X15G-1326-SM-4PQZJ 50-59 years, female 144.3
GTEX-1PFEY-1426-SM-E9U6U 30-39 years, male 143.5
GTEX-18D9A-1126-SM-7KFRJ 30-39 years, female 143.4
GTEX-ZLWG-1726-SM-DNZZ2 50-59 years, female 142.2
GTEX-11LCK-2026-SM-5A5MA 30-39 years, male 142.0
GTEX-1S83E-1626-SM-EV7B9 40-49 years, male 142.0
GTEX-1HCU9-1326-SM-B2LXT 20-29 years, male 141.6
GTEX-1HSEH-1726-SM-B2LXH 60-69 years, male 141.4
GTEX-Q734-1126-SM-48TZY 40-49 years, female 141.0
GTEX-111YS-1626-SM-5GZZ9 60-69 years, male 140.9
GTEX-1399R-2226-SM-5P9JB 30-39 years, male 139.0
GTEX-1S3DN-1826-SM-EV79K 50-59 years, male 138.5
GTEX-117YW-1826-SM-5PNY5 50-59 years, male 137.6
GTEX-17EUY-1826-SM-7DUEZ 20-29 years, male 137.1
GTEX-V955-1626-SM-4JBHJ 60-69 years, male 137.1
GTEX-ZPU1-1926-SM-57WDT 40-49 years, male 136.4
GTEX-S4P3-1226-SM-4AD4Y 50-59 years, female 135.4
GTEX-13VXT-2426-SM-5LU46 20-29 years, female 134.9
GTEX-16NGA-1026-SM-7KFS3 40-49 years, female 134.9
GTEX-1HKZK-2126-SM-A9SL3 40-49 years, male 134.7
GTEX-15DCE-2026-SM-7KUFE 20-29 years, male 133.8
GTEX-1MA7W-0626-SM-EV79Z 20-29 years, female 132.7
GTEX-T6MO-0826-SM-4DM51 40-49 years, female 132.2
GTEX-PX3G-1426-SM-48U1J 20-29 years, female 131.5
GTEX-1C64O-2326-SM-73KU8 60-69 years, male 130.9
GTEX-11P81-1126-SM-5GU5G 30-39 years, female 130.8
GTEX-XMK1-1726-SM-4B64Z 40-49 years, male 130.8
GTEX-111CU-1426-SM-5GZYP 50-59 years, male 130.3
GTEX-148VJ-2626-SM-5QGPI 70-79 years, male 130.1
GTEX-WFON-1426-SM-4LVMT 40-49 years, male 130.1
GTEX-1GZ4H-1226-SM-9KNUA 50-59 years, female 129.4
GTEX-178AV-1326-SM-6LPJX 40-49 years, male 129.1
GTEX-ZYVF-2826-SM-5GIDK 50-59 years, female 129.0
GTEX-S3XE-1126-SM-4AD4N 50-59 years, male 126.8
GTEX-XV7Q-2126-SM-4BRVX 40-49 years, female 126.7
GTEX-X3Y1-1726-SM-4PQZL 40-49 years, male 126.6
GTEX-15CHR-1426-SM-7DUGV 50-59 years, male 125.5
GTEX-11TUW-2026-SM-5EQL8 60-69 years, male 125.3
GTEX-13111-0726-SM-5DUVE 50-59 years, male 124.7
GTEX-1PPH8-2026-SM-DTX7P 20-29 years, male 124.2
GTEX-11NSD-1626-SM-5986U 20-29 years, male 124.1
GTEX-1IDJF-1826-SM-CKZOE 20-29 years, male 123.2
GTEX-YEC4-1926-SM-5IFHJ 40-49 years, male 121.9
GTEX-U3ZN-2126-SM-4DXU1 30-39 years, female 121.8
GTEX-1QW4Y-1326-SM-EWRMZ 30-39 years, male 121.1
GTEX-1F5PL-2126-SM-7PC2O 40-49 years, female 120.0
GTEX-14JG6-1726-SM-69LPL 30-39 years, female 119.7
GTEX-1RAZA-1726-SM-DPS13 20-29 years, male 119.5
GTEX-1RAZR-1926-SM-E6CRF 40-49 years, male 119.2
GTEX-11P7K-1526-SM-5EGI7 30-39 years, male 118.5
GTEX-14JIY-3326-SM-6871E 60-69 years, male 116.7
GTEX-1CAMS-2526-SM-7EPH7 40-49 years, female 116.7
GTEX-1LG7Z-1426-SM-CXKYV 30-39 years, male 116.5
GTEX-P4QT-1426-SM-3NMCX 50-59 years, female 116.2
GTEX-1GL5R-2426-SM-7MXV1 50-59 years, male 115.2
GTEX-11TT1-1026-SM-5PNW7 20-29 years, male 114.8
GTEX-QEL4-1926-SM-D3L8D 50-59 years, male 114.2
GTEX-NFK9-2026-SM-3LK5K 40-49 years, male 113.1
GTEX-WYVS-1826-SM-4OND6 40-49 years, female 112.9
GTEX-1I4MK-1126-SM-B2LWS 50-59 years, female 112.3
GTEX-147F3-1926-SM-5SIB9 50-59 years, female 112.1
GTEX-X5EB-0926-SM-46MVT 40-49 years, male 110.9
GTEX-XXEK-1926-SM-4BRVD 50-59 years, male 108.8
GTEX-13PVR-1626-SM-73KVF 60-69 years, female 108.4
GTEX-OIZH-1426-SM-3NB1O 50-59 years, male 108.3
GTEX-1H11D-2626-SM-9JGH4 40-49 years, male 108.3
GTEX-WHSB-0926-SM-4M1XJ 50-59 years, male 107.3
GTEX-XYKS-2226-SM-4E3IU 60-69 years, female 106.7
GTEX-Q2AI-0926-SM-48U1F 40-49 years, male 106.3
GTEX-TKQ1-0626-SM-4DXTS 30-39 years, male 106.1
GTEX-14H4A-1926-SM-5ZZWN 40-49 years, female 105.4
GTEX-1CB4I-2226-SM-7P8SL 50-59 years, male 105.2
GTEX-T5JW-1126-SM-4DM5V 20-29 years, female 104.4
GTEX-ZV7C-1526-SM-5NQ72 50-59 years, male 104.2
GTEX-ZVP2-1526-SM-5NQ82 50-59 years, male 103.4
GTEX-P4PP-1426-SM-3NM9L 30-39 years, female 102.9
GTEX-U4B1-1126-SM-4DXV3 40-49 years, male 102.4
GTEX-145LT-0926-SM-5LU9C 40-49 years, male 100.9
GTEX-15RIF-1326-SM-6LPKO 20-29 years, male 100.8
GTEX-1JKYR-1926-SM-C1YR7 20-29 years, male 100.8
GTEX-1QCLY-1726-SM-DPRXY 30-39 years, male 100.6
GTEX-OHPN-2026-SM-E9TIA 60-69 years, female 99.4
GTEX-PWCY-1026-SM-48TD4 20-29 years, female 98.5
GTEX-WYJK-2226-SM-4ONDJ 50-59 years, male 97.3
GTEX-13D11-0826-SM-5KLZJ 50-59 years, female 97.1
GTEX-XUZC-1326-SM-4BRV2 30-39 years, female 96.6
GTEX-WEY5-1426-SM-4LMJ3 40-49 years, female 96.3
GTEX-UJHI-1126-SM-4IHLN 50-59 years, female 95.7
GTEX-1IDJU-2026-SM-A9SLM 60-69 years, female 94.7
GTEX-1KANC-0926-SM-D3LA9 50-59 years, female 94.6
GTEX-1KANA-1926-SM-DHXKF 20-29 years, male 94.5
GTEX-Y9LG-1526-SM-4WWDR 30-39 years, male 94.1
GTEX-Y3IK-1826-SM-4WWDS 50-59 years, female 93.8
GTEX-12BJ1-2126-SM-5BC5O 60-69 years, male 93.7
GTEX-1JMPY-0426-SM-C1YQ3 30-39 years, male 93.7
GTEX-1J1R8-1126-SM-CNPQ3 40-49 years, male 92.7
GTEX-1CAMR-0926-SM-7MXTD 20-29 years, male 92.4
GTEX-11EM3-1526-SM-5A5KN 20-29 years, female 91.9
GTEX-ZTSS-1126-SM-5985O 40-49 years, male 91.3
GTEX-OHPM-1426-SM-3TW8Y 50-59 years, male 91.2
GTEX-14XAO-2026-SM-69LOI 60-69 years, female 90.9
GTEX-14PJ4-1926-SM-6LLHG 60-69 years, male 90.7
GTEX-O5YW-1426-SM-3MJHF 50-59 years, male 90.3
GTEX-ZF2S-1926-SM-4WWAN 50-59 years, female 90.0
GTEX-13OVJ-1726-SM-5IJDZ 50-59 years, female 89.4
GTEX-R55C-1126-SM-48FCJ 40-49 years, male 88.4
GTEX-1B8KE-1926-SM-731EE 50-59 years, male 88.3
GTEX-13FH7-1526-SM-5J2N6 50-59 years, female 88.2
GTEX-1B8KZ-1326-SM-7DUG6 50-59 years, male 87.8
GTEX-WHWD-1226-SM-4OOS1 50-59 years, male 87.7
GTEX-S4Q7-0826-SM-4AD5E 20-29 years, male 87.1
GTEX-R55D-1826-SM-48FEF 50-59 years, male 86.5
GTEX-W5WG-2426-SM-4LMI6 50-59 years, female 86.3
GTEX-1C475-1626-SM-731FP 40-49 years, female 86.1
GTEX-1399U-1926-SM-5IFH7 50-59 years, female 85.4
GTEX-ZLV1-1226-SM-4WWBX 60-69 years, female 83.9
GTEX-ZDTT-1926-SM-5HL5W 60-69 years, male 83.4
GTEX-14PJ5-0926-SM-6LLIK 60-69 years, female 82.9
GTEX-145MN-1726-SM-5SIA6 30-39 years, male 82.6
GTEX-S4UY-0826-SM-4AD4Z 40-49 years, female 82.6
GTEX-YB5E-1626-SM-5IFIQ 40-49 years, male 82.4
GTEX-QV31-0826-SM-CKZNC 30-39 years, male 82.3
GTEX-RWS6-1826-SM-47JXX 60-69 years, female 81.3
GTEX-13FTW-1826-SM-5IJEN 40-49 years, male 80.6
GTEX-1AMFI-1726-SM-7189L 50-59 years, female 78.9
GTEX-14PHX-1526-SM-68717 50-59 years, male 78.8
GTEX-1122O-1526-SM-5N9CL 60-69 years, female 78.0
GTEX-XUW1-1926-SM-4BOP1 50-59 years, female 77.8
GTEX-11I78-1226-SM-5A5K6 50-59 years, female 77.7
GTEX-1K2DA-2026-SM-CGQGK 50-59 years, male 76.5
GTEX-XBED-1526-SM-4AT5W 60-69 years, male 76.2
GTEX-Q2AH-1226-SM-48TZL 40-49 years, male 75.4
GTEX-ZVT2-1926-SM-5GU5T 50-59 years, female 74.4
GTEX-14E6E-1526-SM-5RQIG 30-39 years, male 74.3
GTEX-12C56-0626-SM-5EGGC 20-29 years, male 74.2
GTEX-TML8-1326-SM-4DXTO 40-49 years, female 73.9
GTEX-1JN76-1226-SM-C1YRM 20-29 years, female 73.9
GTEX-YF7O-1726-SM-5IFJ9 50-59 years, male 71.9
GTEX-OXRK-1726-SM-3NB16 50-59 years, female 71.4
GTEX-1211K-1726-SM-5FQUJ 60-69 years, female 70.6
GTEX-Y5LM-1526-SM-4VDTA 40-49 years, female 70.2
GTEX-1N2DV-1426-SM-DPRYQ 40-49 years, male 69.6
GTEX-144GM-1226-SM-5LU52 20-29 years, male 69.3
GTEX-WFG7-1526-SM-4LVMG 20-29 years, male 69.3
GTEX-1LGRB-1426-SM-CNNPT 50-59 years, female 68.6
GTEX-U3ZM-1126-SM-4DXUB 40-49 years, male 67.5
GTEX-PLZ6-0926-SM-3P5ZQ 30-39 years, male 66.6
GTEX-PLZ5-1126-SM-3P613 50-59 years, male 65.8
GTEX-RM2N-0926-SM-48FD1 50-59 years, male 65.4
GTEX-PWN1-1426-SM-48TDF 40-49 years, female 63.7
GTEX-S7SF-1926-SM-4AT5B 20-29 years, female 63.6
GTEX-133LE-1526-SM-5IFEN 20-29 years, female 63.0
GTEX-1JKYN-2326-SM-CGQG7 30-39 years, male 62.7
GTEX-XQ8I-2126-SM-4BOOM 50-59 years, male 62.6
GTEX-139T6-1326-SM-5IFFO 50-59 years, male 62.3
GTEX-1399S-1926-SM-5J2M5 30-39 years, female 61.6
GTEX-13QBU-1826-SM-5IJG3 40-49 years, female 58.6
GTEX-13PL7-2526-SM-5IFGR 60-69 years, female 58.5
GTEX-14PKV-2126-SM-664O3 20-29 years, female 58.4
GTEX-1QP9N-1026-SM-E6CPX 30-39 years, male 58.4
GTEX-R55G-1226-SM-48FDC 40-49 years, female 56.2
GTEX-16AAH-1326-SM-7KFRG 50-59 years, male 55.9
GTEX-ZT9W-1826-SM-51MQX 50-59 years, male 55.8
GTEX-14BMU-1526-SM-5TDE6 20-29 years, female 54.5
GTEX-WOFM-2026-SM-4OOSQ 20-29 years, male 54.5
GTEX-WH7G-1326-SM-4LVMS 40-49 years, male 54.0
GTEX-132AR-2726-SM-5PNVN 50-59 years, female 52.6
GTEX-1F5PK-1926-SM-7MXT7 50-59 years, male 51.7
GTEX-ZPIC-2226-SM-57WDX 40-49 years, female 49.4
GTEX-XPVG-1826-SM-4B64X 50-59 years, male 44.8
GTEX-11P82-1026-SM-5BC5J 20-29 years, male 43.5
GTEX-1H1E6-1926-SM-9OSWD 30-39 years, male 40.7
GTEX-13O21-2426-SM-5MR4A 50-59 years, male 39.5
GTEX-UJMC-1326-SM-4IHLS 50-59 years, male 37.2
GTEX-14DAR-1526-SM-5RQIX 50-59 years, male 37.1
Show allShow less

COLON - FANTOM5 CAGEi

RNA expression in human tissues obtained through Cap Analysis of Gene Expression (CAGE) generated by the FANTOM5 project are reported as Scaled Tags Per Million.

Max subtype Scaled Tags Per Millioni

Max subtype Scaled Tags Per Million is the value for the subtype with the largest average Scaled Tags Per Million across the subtype samples.

80.8
FANTOM5 sample id Sample description Scaled Tags Per Million
Colon
Scaled Tags Per Million: 80.8
FF:10014-101C5 62,83,84 years, mixed 80.8

Contact

  • NEWS ARTICLES
  • PRESS ROOM

The Project

  • INTRODUCTION
  • ORGANIZATION
  • PUBLICATIONS

The Human Protein Atlas

  • DOWNLOADABLE DATA
  • LICENCE & CITATION
  • HELP & FAQ
The Human Protein Atlas project is funded
by the Knut & Alice Wallenberg Foundation.


contact@proteinatlas.org