We use cookies to enhance the usability of our website. If you continue, we'll assume that you are happy to receive all cookies. More information. Don't show this again.
S100A4
HPA
RESOURCES
  • TISSUE
  • BRAIN
  • SINGLE CELL
  • SUBCELLULAR
  • CANCER
  • BLOOD
  • CELL LINE
  • STRUCTURE & INTERACTION
ABOUT
  • INTRODUCTION
  • HISTORY
  • ORGANIZATION
  • PUBLICATIONS
  • ANTIBODY SUBMISSION
  • ANTIBODY AVAILABILITY
  • ACKNOWLEDGMENTS
  • CONTACT
NEWS
  • NEWS ARTICLES
  • PRESS ROOM
LEARN
  • DICTIONARY
  • PROTEIN CLASSES
  • PROTEIN EVIDENCE
  • METHODS
  • EDUCATIONAL VIDEOS
DATA
  • DOWNLOADABLE DATA
  • PUBLICATION DATA
  • RELEASE HISTORY
HELP
  • ANTIBODY VALIDATION
  • ASSAYS & ANNOTATION
  • DISCLAIMER
  • HELP & FAQ
  • PRIVACY STATEMENT
  • LICENCE & CITATION
Fields »
Search result

Field
Term
Gene name
Class
Subclass
Class
Keyword
Chromosome
External id
Tissue
Cell type
Expression
Antibody panel
Tissue
Main location
Patient ID
Annotation
Tissue
Category
Tau score
Cluster
Reliability
Brain region
Category
Tau score
Brain region
Category
Tau score
Brain region
Category
Tau score
Cluster
Reliability
Tissue
Cell type
Enrichment
Cell type
Category
Tau score
Cell type
Category
Tau score
Cell type
Category
Tau score
Cell lineage
Category
Tau score
Cluster
Cluster
Location
Searches
Location
Cell line
Class
Type
Phase
Reliability
Cancer
Prognosis
Cancer
Category
Cancer
Category
Tau score
Cluster
Variants
Interacting gene (ensg_id)
Type
Number of interactions
Pathway
Category
Score
Score
Score
Validation
Validation
Validation
Validation
Antibodies
Data type
Column


  • SUMMARY

  • TISSUE

  • BRAIN

  • SINGLE CELL

  • SUBCELL

  • CANCER

  • BLOOD

  • CELL LINE

  • STRUCT & INT

  • S100A4
TISSUE PRIMARY DATA SKELETAL MUSCLE Show tissue menu
ADIPOSE TISSUE ADRENAL GLAND AMYGDALA APPENDIX BASAL GANGLIA BONE MARROW BREAST BRONCHUS CEREBELLUM CEREBRAL CORTEX CERVIX CHOROID PLEXUS COLON DUODENUM
ENDOMETRIUM EPIDIDYMIS ESOPHAGUS FALLOPIAN TUBE GALLBLADDER HEART MUSCLE HIPPOCAMPAL FORMATION HYPOTHALAMUS KIDNEY LIVER LUNG LYMPH NODE MIDBRAIN NASOPHARYNX
ORAL MUCOSA OVARY PANCREAS PARATHYROID GLAND PITUITARY GLAND PLACENTA PROSTATE RECTUM RETINA SALIVARY GLAND SEMINAL VESICLE SKELETAL MUSCLE SKIN SMALL INTESTINE
SMOOTH MUSCLE SOFT TISSUE SPINAL CORD SPLEEN STOMACH TESTIS THYMUS THYROID GLAND TONGUE TONSIL URINARY BLADDER VAGINA
ANTIBODIES
AND
VALIDATION
Dictionary
Skeletal muscle
Tissue proteome
Skeletal muscle
SKELETAL MUSCLE - Expression summary
Protein expression
Skeletal musclei

On the top, protein expression in current human tissue, based on all annotated cell types, is reported with the units not detected (n), low (l), medium (m) and high (h). Underneath, protein expression in each annotated cell type are reported using the same units.

Protein expression data is based on knowledge-based annotation. For genes where more than one antibody has been used, a collective score is set.

If knowledge-based annotation could not be performed for a gene, no data is displayed here. View antibody staining data further down this page.

h
m
l
n
Myocytes: Not detected
RNA expressioni

A summary of mRNA expression data available for current tissue based on several datasets. The mRNA expression levels in human tissues are based on RNA-seq data generated by the Human Protein Atlas (HPA), Genotype-Tissue Expression (GTEx) portal and CAGE data generated by the FANTOM5 consortium. Consensus normalized expression levels for human tissues was created by combining the data from HPA and GTEx datasets.

The mRNA expression levels in pig are based on RNA-seq data generated by the Human Protein Atlas (HPA), and for mouse, HPA data and in situ hybridization generated by the Allen brain atlas are reported.

Scroll down to view mRNA expression data in more detail.
Consensus:157.4 nTPM
HPA:157.4 nTPM
GTEx:152.7 nTPM
FANTOM5:108.4 Scaled Tags Per Million

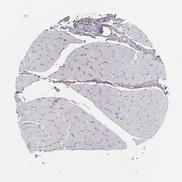
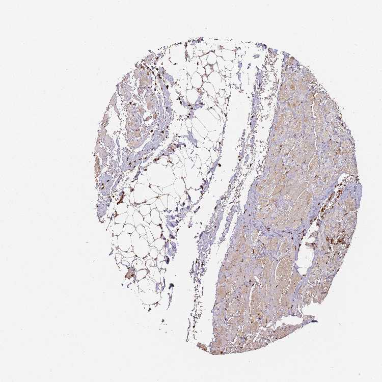
SKELETAL MUSCLE - Antibody stainingi

Antibody staining in the annotated cell types in the current human tissue is reported as not detected, low, medium, or high, based on conventional immunohistochemistry profiling in selected tissues. This score is based on the combination of the staining intensity and fraction of stained cells.

Each image is clickable and will lead to virtual microscopy that enables deeper exploration of all samples and also displays staining intensity scores, fraction scores and subcellular localization as well as patient and tissue information for each sample.

Antibody HPA007973Antibody CAB002618Antibody CAB027387Antibody CAB058698Antibody CAB068227Antibody CAB068228
Myocytes MediumNot detectedNot detectedNot detectedLowNot detected













SKELETAL MUSCLE - HPA RNA-seqi

The RNA-seq details section shows detailed information about the individual samples used for the transcript profiling and results of the RNA-seq analysis.

Information about each individual sample is listed below, including gender, age, a tissue section image and estimated fractions of cell types. nTPM (normalized transcripts per million) values give a quantification of the gene abundance which is comparable between different genes and samples.
Average nTPMi

Max subtype nTPM is the value for the subtype with the largest average nTPM across the subtype samples.

157.4
N/A
Male, age 23
Skeletal muscle sample 339
nTPM: 224.3
N/A
Female, age 25
Skeletal muscle sample 340
nTPM: 80.1
N/A
Female, age -
Skeletal muscle sample 341
nTPM: 129.9
N/A
Female, age 22
Skeletal muscle sample 342
nTPM: 96.4
N/A
Male, age 29
Skeletal muscle sample 343
nTPM: 256.3

SKELETAL MUSCLE - GTEx RNA-seqi

RNA-Seq data generated by the Genotype-Tissue Expression (GTEx) project from human tissues is reported as mean nTPM. More information can be found on the GTEx portal.

Distribution across the dataset is visualized with box plots, shown as median and 25th and 75th percentiles. Points are displayed as outliers if they are above or below 1.5 times the interquartile range. nTPM values of the individual samples are presented next to the box plot.
Max subtype nTPMi

Max subtype nTPM is the value for the subtype with the largest average nTPM across the subtype samples.

152.7
GTEx sample id Sample description nTPM
Muscle - Skeletal
Average nTPM: 152.7
Samples: 803

Max nTPM: 1891.6
Min nTPM: 11.6
Std nTPM: 180.2
Median nTPM: 100.1
GTEX-1QEPI-0526-SM-E76QF 60-69 years, female 1891.6
GTEX-ZWKS-0326-SM-5NQ7G 30-39 years, male 1870.8
GTEX-13FXS-0326-SM-5K7TV 50-59 years, male 1490.6
GTEX-14ASI-0526-SM-5QGQP 60-69 years, male 1437.1
GTEX-18D9U-0626-SM-7LTA4 40-49 years, male 1240.1
GTEX-1MJIX-2126-SM-E9J3A 40-49 years, male 1185.2
GTEX-1R9PN-1826-SM-E8VO4 40-49 years, female 833.0
GTEX-13NZ9-0626-SM-5IJCO 50-59 years, male 826.9
GTEX-1H3VY-0326-SM-9WYU6 50-59 years, male 799.8
GTEX-1R9PM-2226-SM-E8VOC 20-29 years, male 796.0
GTEX-1EWIQ-0626-SM-7PBYW 70-79 years, female 782.4
GTEX-17MFQ-1926-SM-793A6 20-29 years, male 761.9
GTEX-X4XX-0626-SM-3NMC1 60-69 years, male 702.4
GTEX-ZQUD-1726-SM-7P8ON 30-39 years, male 698.8
GTEX-1MA7W-1826-SM-DIPFP 20-29 years, female 692.1
GTEX-1IGQW-0526-SM-CKZO3 60-69 years, male 667.3
GTEX-XAJ8-1026-SM-47JY9 40-49 years, male 652.8
GTEX-ZE7O-0326-SM-51MTH 50-59 years, female 643.8
GTEX-1N2EF-0526-SM-E76OK 60-69 years, male 636.5
GTEX-1EN7A-0326-SM-7P8T1 40-49 years, male 619.3
GTEX-1S83E-2126-SM-EWRO6 40-49 years, male 616.1
GTEX-12WSL-2726-SM-5CVNL 50-59 years, male 600.5
GTEX-1J8EW-0326-SM-CYPSX 60-69 years, female 592.7
GTEX-1F75A-0626-SM-7PBYI 50-59 years, male 587.5
GTEX-13FTY-0226-SM-5IJBW 40-49 years, female 582.2
GTEX-Y5V5-2526-SM-4VBQ4 60-69 years, female 581.1
GTEX-1KANB-0126-SM-E6CJT 50-59 years, male 565.1
GTEX-ZDXO-0326-SM-4WKHJ 60-69 years, male 551.9
GTEX-13SLW-0326-SM-5RQK5 70-79 years, male 550.9
GTEX-1R9K5-0326-SM-EWRNG 50-59 years, male 544.0
GTEX-139TU-0526-SM-5J2M8 60-69 years, male 541.9
GTEX-131XW-0326-SM-5KM1J 50-59 years, female 533.5
GTEX-18D9B-0426-SM-7LTAR 60-69 years, male 524.4
GTEX-13RTL-0326-SM-7LT89 40-49 years, male 523.5
GTEX-1MCQQ-0626-SM-E9U5Q 60-69 years, male 522.6
GTEX-1QCLY-0426-SM-E8VOH 30-39 years, male 509.6
GTEX-1JKYN-1826-SM-ARZMZ 30-39 years, male 503.2
GTEX-1I6K6-0326-SM-CJI4A 30-39 years, male 486.5
GTEX-YFCO-1926-SM-4W212 40-49 years, male 483.0
GTEX-1C4CL-0326-SM-7DHMH 30-39 years, male 480.0
GTEX-1LG7Z-2126-SM-CXKYU 30-39 years, male 479.7
GTEX-1IDJE-2426-SM-ACKWF 50-59 years, female 478.3
GTEX-1399Q-2426-SM-5J2MO 40-49 years, male 477.1
GTEX-12ZZZ-0226-SM-59HKU 60-69 years, male 476.8
GTEX-145MN-2426-SM-5NQA5 30-39 years, male 475.1
GTEX-16XZY-2226-SM-7938N 70-79 years, male 450.5
GTEX-13S86-2326-SM-5RQK1 40-49 years, male 449.1
GTEX-11UD1-0326-SM-5EQKX 40-49 years, female 449.0
GTEX-14A5H-0326-SM-5RQIB 60-69 years, male 422.3
GTEX-1RAZA-0526-SM-E76R2 20-29 years, male 411.5
GTEX-1PIEJ-0326-SM-EVYB5 20-29 years, female 403.3
GTEX-1F75W-0326-SM-7PC2Q 60-69 years, male 396.8
GTEX-14JIY-0426-SM-62LF7 60-69 years, male 392.8
GTEX-13G51-2726-SM-5LZZ9 60-69 years, male 387.7
GTEX-1R7EU-0626-SM-DTX9N 60-69 years, male 387.6
GTEX-1P4AB-0326-SM-EXUT3 50-59 years, male 376.2
GTEX-N7MS-0426-SM-2YUN6 60-69 years, male 365.1
GTEX-U8XE-0726-SM-3DB8O 30-39 years, male 357.6
GTEX-VUSG-2626-SM-4KKZI 50-59 years, male 357.2
GTEX-1A8FM-0526-SM-7P8SF 50-59 years, female 356.0
GTEX-1I1GQ-0326-SM-A9SKS 50-59 years, male 355.1
GTEX-14PII-0626-SM-69LPY 60-69 years, male 351.2
GTEX-YEC4-2226-SM-5IFJT 40-49 years, male 343.3
GTEX-S7PM-0526-SM-3NM92 60-69 years, male 342.2
GTEX-1I1GV-0126-SM-CL55G 60-69 years, male 334.7
GTEX-11WQC-2626-SM-5CVLF 60-69 years, male 333.4
GTEX-1F6IF-0226-SM-7PBZ6 60-69 years, male 332.7
GTEX-ZXG5-0326-SM-5GICH 60-69 years, male 328.8
GTEX-1IL2U-0726-SM-EAZ2Y 60-69 years, male 328.3
GTEX-1C6VR-2526-SM-7DHMT 60-69 years, male 327.6
GTEX-OIZG-1326-SM-2HMIQ 50-59 years, male 327.0
GTEX-132NY-0726-SM-5KLZM 60-69 years, male 322.3
GTEX-1IL2V-0526-SM-ARL8B 70-79 years, male 321.9
GTEX-1IKOH-0126-SM-COH4D 60-69 years, female 319.1
GTEX-1GN73-0126-SM-CNPPT 60-69 years, male 316.9
GTEX-17EVQ-1226-SM-7LG59 70-79 years, male 313.3
GTEX-18A6Q-0326-SM-718AT 60-69 years, male 310.7
GTEX-1KD4Q-0326-SM-E9TJA 40-49 years, male 310.3
GTEX-12WSC-0326-SM-5EQ5E 50-59 years, male 305.8
GTEX-1GF9U-2326-SM-7RHH9 40-49 years, female 301.1
GTEX-1A32A-0526-SM-731B9 50-59 years, female 301.0
GTEX-1B932-0526-SM-73KU7 40-49 years, female 300.7
GTEX-13X6I-0526-SM-5QGP8 60-69 years, male 298.0
GTEX-V955-2426-SM-3GAEF 60-69 years, male 297.8
GTEX-1S82U-1426-SM-E6CJL 30-39 years, female 297.3
GTEX-18A7B-0326-SM-7LG65 70-79 years, male 295.4
GTEX-WFG7-2226-SM-3GIKP 20-29 years, male 294.1
GTEX-1N2DV-0526-SM-DTX8W 40-49 years, male 290.3
GTEX-YJ8O-2826-SM-5CVM4 40-49 years, female 288.0
GTEX-1C6WA-0326-SM-7DUGE 60-69 years, male 287.4
GTEX-14A6H-5019-SM-793DH 30-39 years, male 285.9
GTEX-13OVL-1426-SM-5IJC1 50-59 years, male 282.2
GTEX-1H4P4-0626-SM-9YFKZ 50-59 years, male 279.1
GTEX-15UF7-2226-SM-6PAMQ 40-49 years, male 276.1
GTEX-15RIE-2426-SM-7KUDS 60-69 years, male 274.8
GTEX-13FHP-0526-SM-5K7UY 50-59 years, male 274.7
GTEX-1K9T9-0326-SM-EWRNQ 50-59 years, female 274.6
GTEX-WK11-2526-SM-3NM9Y 50-59 years, male 273.8
GTEX-WRHU-0826-SM-3MJFN 50-59 years, female 270.4
GTEX-1IKJJ-0326-SM-CL55L 60-69 years, male 267.7
GTEX-15DZA-2026-SM-6PANE 30-39 years, female 267.6
GTEX-11EQ8-0526-SM-5N9BC 60-69 years, male 263.6
GTEX-17HHY-0326-SM-7938H 50-59 years, male 257.2
GTEX-144GO-1326-SM-5Q5EL 60-69 years, male 256.4
GTEX-17GQL-1926-SM-718B9 60-69 years, male 254.4
GTEX-QLQ7-1726-SM-2S1QQ 60-69 years, male 252.9
GTEX-1HFI6-0426-SM-B2LXB 40-49 years, male 252.9
GTEX-16Z82-0126-SM-7DHLF 60-69 years, male 252.8
GTEX-11PRG-0326-SM-5GU53 50-59 years, male 252.7
GTEX-14ABY-0126-SM-62LDI 50-59 years, male 249.8
GTEX-1IDJD-1326-SM-CM2TQ 30-39 years, male 245.0
GTEX-Q2AH-1826-SM-2S1Q2 40-49 years, male 244.0
GTEX-13FTZ-2226-SM-5LZXI 60-69 years, male 243.5
GTEX-139UW-2626-SM-5K7W1 60-69 years, male 241.2
GTEX-1RQED-0426-SM-E6CJP 60-69 years, male 240.5
GTEX-11XUK-2226-SM-5CVLL 40-49 years, female 239.7
GTEX-S33H-2226-SM-DKPOP 30-39 years, male 237.1
GTEX-15DCD-0626-SM-7KUG7 70-79 years, female 236.2
GTEX-1JMPZ-0126-SM-CNPOZ 30-39 years, male 235.8
GTEX-13X6J-0326-SM-7EPGD 50-59 years, male 235.4
GTEX-1I1HK-0326-SM-ACKW5 60-69 years, male 234.8
GTEX-13OW7-0326-SM-5J1MP 50-59 years, male 234.2
GTEX-111YS-2326-SM-5987L 60-69 years, male 233.0
GTEX-YECK-0626-SM-4W1ZE 60-69 years, male 233.0
GTEX-1HSMP-0326-SM-A9SMC 70-79 years, male 230.9
GTEX-13RTJ-2726-SM-73KVG 60-69 years, male 229.6
GTEX-1IDJH-0226-SM-CYPSB 70-79 years, male 229.5
GTEX-1M4P7-0126-SM-DKPQF 60-69 years, male 228.1
GTEX-1QP6S-0426-SM-DTXG4 40-49 years, male 227.7
GTEX-1OFPY-2526-SM-DTXEK 60-69 years, male 227.5
GTEX-17HII-0426-SM-793A3 50-59 years, male 226.9
GTEX-1B8SF-0426-SM-79OL4 60-69 years, male 226.9
GTEX-1HBPH-0826-SM-ARZNB 40-49 years, female 226.3
GTEX-1B8KZ-2126-SM-73KYG 50-59 years, male 224.4
GTEX-1QW4Y-1726-SM-EWRN1 30-39 years, male 224.2
GTEX-146FQ-0326-SM-5NQAX 30-39 years, male 224.1
GTEX-144GL-0326-SM-5QGOY 50-59 years, male 223.1
GTEX-1IY9M-0326-SM-ARZMN 60-69 years, male 222.4
GTEX-OHPL-1626-SM-2HMIR 60-69 years, female 220.5
GTEX-OXRO-1726-SM-3LK6C 60-69 years, female 220.3
GTEX-1F88F-2526-SM-7PC2R 60-69 years, female 219.1
GTEX-ZV7C-2426-SM-5NQ7Q 50-59 years, male 218.2
GTEX-1MUQO-0226-SM-E9TJL 60-69 years, male 218.0
GTEX-1C2JI-2126-SM-793CG 50-59 years, male 217.9
GTEX-1I1GP-2126-SM-CKZPJ 50-59 years, male 217.2
GTEX-1GN1V-0326-SM-9WYTO 60-69 years, male 216.2
GTEX-ZVT4-0326-SM-51MS5 50-59 years, female 214.7
GTEX-16GPK-0526-SM-7KUER 60-69 years, male 214.3
GTEX-12WSG-5016-SM-7SB84 50-59 years, female 213.0
GTEX-17JCI-0326-SM-7LG5H 60-69 years, female 211.8
GTEX-12WSF-0926-SM-6PALU 70-79 years, male 211.5
GTEX-18A67-0326-SM-7LG5X 50-59 years, male 210.9
GTEX-1KAFJ-2326-SM-D3L8Z 50-59 years, male 210.1
GTEX-15RJ7-2426-SM-6M48L 40-49 years, male 209.5
GTEX-1AX9I-0326-SM-73KXQ 60-69 years, male 209.1
GTEX-1GF9X-2126-SM-7PBXN 40-49 years, female 208.1
GTEX-1A8G6-0126-SM-7DUFY 60-69 years, male 206.5
GTEX-1E1VI-0426-SM-7DHN1 50-59 years, male 206.1
GTEX-1LVAO-0526-SM-EWRNS 60-69 years, male 204.5
GTEX-1EU9M-0126-SM-7P8P8 60-69 years, male 203.8
GTEX-1ICLZ-0626-SM-ARL83 60-69 years, male 203.5
GTEX-ZZPU-2626-SM-5E45Y 50-59 years, female 200.4
GTEX-1S82Y-2226-SM-EWRNV 40-49 years, male 198.6
GTEX-1HC8U-2626-SM-CNPPH 40-49 years, female 198.4
GTEX-1I1GU-2126-SM-CGQF9 40-49 years, male 197.9
GTEX-WHSE-0526-SM-5GZZD 20-29 years, male 196.8
GTEX-1I1GR-0326-SM-CKZPI 60-69 years, male 195.6
GTEX-ZDTS-0526-SM-4WKH9 60-69 years, male 195.4
GTEX-ZDYS-1726-SM-5HL4Y 50-59 years, male 195.4
GTEX-1GN2E-0726-SM-9MQLU 60-69 years, male 195.3
GTEX-13QIC-1226-SM-5K7YR 60-69 years, female 195.0
GTEX-1CB4G-0426-SM-7MXUN 60-69 years, male 195.0
GTEX-P4PP-1626-SM-2HMJF 30-39 years, female 194.9
GTEX-17HG3-2726-SM-7DHL5 30-39 years, female 194.8
GTEX-12WSN-2526-SM-5LZU8 40-49 years, male 194.6
GTEX-12ZZX-0326-SM-5DUVH 40-49 years, female 193.2
GTEX-139T4-0326-SM-5K7XN 50-59 years, female 192.9
GTEX-11ZVC-2726-SM-5FQSZ 50-59 years, female 192.8
GTEX-ZEX8-2526-SM-DO92M 50-59 years, male 191.7
GTEX-ZZ64-1526-SM-5E43K 20-29 years, male 191.6
GTEX-11GSP-2726-SM-5A5LJ 60-69 years, female 190.4
GTEX-14PJ4-2426-SM-6EU1U 60-69 years, male 190.0
GTEX-1J8JJ-0126-SM-D3L93 60-69 years, female 189.8
GTEX-1KWVE-0926-SM-CXZKP 30-39 years, male 188.9
GTEX-111VG-2626-SM-5GZY2 60-69 years, male 188.8
GTEX-11EI6-0326-SM-5EQ6G 60-69 years, male 188.7
GTEX-Y8DK-0326-SM-4TT3P 60-69 years, male 187.8
GTEX-1QMI2-0526-SM-DTXFU 60-69 years, male 186.9
GTEX-14PJ6-2326-SM-6ETZR 60-69 years, female 185.5
GTEX-Y8E5-0326-SM-57WBM 60-69 years, male 185.5
GTEX-14XAO-2226-SM-6LLHU 60-69 years, female 185.2
GTEX-139TT-0426-SM-5IJFA 60-69 years, male 185.1
GTEX-WHPG-2226-SM-3NMBO 50-59 years, male 184.1
GTEX-1LH75-2626-SM-E9TKL 50-59 years, female 183.9
GTEX-1H11D-0326-SM-9WG71 40-49 years, male 183.2
GTEX-169BO-1526-SM-9KNVR 50-59 years, male 182.7
GTEX-14PJM-0426-SM-5ZZVN 50-59 years, female 182.3
GTEX-ZAKK-0326-SM-5EGHA 70-79 years, male 182.3
GTEX-1NHNU-1226-SM-DTX8I 50-59 years, male 182.3
GTEX-WRHK-1626-SM-3MJFH 20-29 years, female 181.8
GTEX-15CHQ-0726-SM-6EU18 60-69 years, male 180.8
GTEX-13D11-2526-SM-5KM28 50-59 years, female 180.4
GTEX-1ICLY-0326-SM-ARL7S 50-59 years, male 179.4
GTEX-ZAB4-0426-SM-5HL7N 40-49 years, male 178.7
GTEX-1LBAC-0326-SM-DIPF1 20-29 years, male 176.6
GTEX-131XH-2726-SM-5GCO2 50-59 years, male 175.7
GTEX-14PJ3-2026-SM-5ZZVK 50-59 years, male 175.5
GTEX-1JMPY-1226-SM-CJI3A 30-39 years, male 175.0
GTEX-WXYG-2526-SM-3NB3F 50-59 years, female 174.9
GTEX-ZPIC-2526-SM-57WDP 40-49 years, female 174.4
GTEX-1QPFJ-0326-SM-E8VO2 30-39 years, female 173.9
GTEX-1IDFM-1526-SM-ARL7U 60-69 years, male 173.1
GTEX-13YAN-0526-SM-5O9BE 60-69 years, male 171.4
GTEX-15CHR-2426-SM-7DUFX 50-59 years, male 171.4
GTEX-SE5C-1826-SM-2XCE4 40-49 years, female 170.8
GTEX-1B8KE-2226-SM-7939K 50-59 years, male 170.4
GTEX-1LGRB-2626-SM-CNPPR 50-59 years, female 170.3
GTEX-1LVA9-0326-SM-DLHBU 50-59 years, male 168.9
GTEX-11GS4-2526-SM-5A5KT 60-69 years, male 168.7
GTEX-1399T-2426-SM-5L3FJ 60-69 years, male 168.4
GTEX-1IDJV-0426-SM-COH3Z 60-69 years, male 168.2
GTEX-1PPGY-0426-SM-DTXFE 60-69 years, male 167.8
GTEX-XMD2-0526-SM-4YCDI 60-69 years, female 166.9
GTEX-13OW8-1426-SM-5IJDT 60-69 years, male 166.5
GTEX-OXRL-1626-SM-2YUMU 50-59 years, male 164.4
GTEX-12WSM-0326-SM-5LZVI 60-69 years, male 163.7
GTEX-P4QT-1626-SM-DHXIR 50-59 years, female 163.7
GTEX-QXCU-1726-SM-2TC6L 50-59 years, male 163.4
GTEX-1J1OQ-0426-SM-A9SLI 40-49 years, female 162.4
GTEX-WFON-2326-SM-3LK7M 40-49 years, male 161.4
GTEX-145LU-2026-SM-5Q5E8 50-59 years, male 160.9
GTEX-1PIIG-0126-SM-E9J46 30-39 years, male 160.7
GTEX-1IOXB-0326-SM-CL55M 50-59 years, male 157.9
GTEX-13SLX-0326-SM-5Q5E4 50-59 years, female 157.7
GTEX-YBZK-0326-SM-59HLN 50-59 years, female 156.7
GTEX-1HSKV-0126-SM-E6CI1 60-69 years, male 156.5
GTEX-WOFL-0626-SM-3MJG3 60-69 years, male 156.0
GTEX-1HSMQ-1326-SM-ADEHS 50-59 years, male 155.7
GTEX-13PDP-0326-SM-5K7XP 60-69 years, male 155.3
GTEX-13VXU-0326-SM-5LU36 50-59 years, male 155.1
GTEX-1IDJC-2026-SM-ADEIK 50-59 years, male 154.9
GTEX-SJXC-0526-SM-2XCFG 60-69 years, male 153.8
GTEX-U3ZG-0326-SM-47JXN 50-59 years, male 153.5
GTEX-13OVG-2126-SM-5KM1K 60-69 years, male 153.3
GTEX-14E6D-0326-SM-62LDX 50-59 years, male 152.9
GTEX-13CF2-2726-SM-5LZWW 60-69 years, male 152.6
GTEX-1GZHY-0126-SM-9WYUQ 50-59 years, female 152.1
GTEX-16NPX-0626-SM-7KULB 50-59 years, male 151.9
GTEX-1J8Q2-0126-SM-E9J2G 60-69 years, male 151.6
GTEX-117XS-2526-SM-5H11G 60-69 years, male 151.4
GTEX-Y3I4-2326-SM-4TT81 50-59 years, male 151.2
GTEX-1JJEA-0126-SM-D3L8A 60-69 years, male 151.1
GTEX-U3ZN-2226-SM-3DB88 30-39 years, female 150.8
GTEX-UTHO-0726-SM-3GAEN 60-69 years, male 150.8
GTEX-1GZ4I-0526-SM-9YFLX 50-59 years, male 150.3
GTEX-145MG-0226-SM-5TDDB 50-59 years, male 150.2
GTEX-16NPV-2426-SM-6M482 50-59 years, female 149.8
GTEX-15G1A-2026-SM-7KUFG 30-39 years, male 149.7
GTEX-ZE9C-2326-SM-5J1NT 60-69 years, male 149.0
GTEX-1B97I-2026-SM-7DHN2 40-49 years, male 148.4
GTEX-1LSNM-2326-SM-EWRO8 50-59 years, male 147.8
GTEX-146FR-1726-SM-5Q5DT 60-69 years, female 147.7
GTEX-15RIF-2126-SM-7KUM8 20-29 years, male 145.2
GTEX-Y5LM-2126-SM-4VDSY 40-49 years, female 145.2
GTEX-1GN1U-2226-SM-9MQK1 50-59 years, female 144.5
GTEX-ZUA1-0326-SM-5NQA3 40-49 years, male 144.4
GTEX-XBEC-0626-SM-4QARY 50-59 years, male 143.7
GTEX-183WM-0426-SM-731B1 70-79 years, female 143.6
GTEX-1GMRU-0326-SM-9WYT6 50-59 years, male 143.0
GTEX-ZVE1-0526-SM-5NQ71 50-59 years, female 141.5
GTEX-1HT8W-0326-SM-CM2SG 30-39 years, male 140.9
GTEX-1C64O-0326-SM-73KVW 60-69 years, male 140.4
GTEX-1C475-1726-SM-73KVX 40-49 years, female 140.0
GTEX-ZY6K-2026-SM-5GZXQ 50-59 years, male 139.6
GTEX-1GF9V-0126-SM-9WYT2 60-69 years, male 139.0
GTEX-11DXX-2726-SM-5PNXO 60-69 years, female 138.7
GTEX-ZVZO-0326-SM-5HL4N 40-49 years, male 138.4
GTEX-15SDE-2326-SM-6PAL4 50-59 years, female 138.2
GTEX-1F5PL-0426-SM-7P8PR 40-49 years, female 138.2
GTEX-13S7M-0326-SM-5S2PH 60-69 years, female 138.0
GTEX-1EX96-1526-SM-7PBXK 50-59 years, male 137.7
GTEX-1JMQI-2126-SM-CM2SC 50-59 years, male 136.5
GTEX-SSA3-0326-SM-32QPS 60-69 years, male 136.2
GTEX-ZAB5-2126-SM-5K7UN 50-59 years, male 136.2
GTEX-111FC-0326-SM-5GZZ1 60-69 years, male 135.7
GTEX-147F3-0226-SM-5NQBV 50-59 years, female 135.3
GTEX-13NZA-0526-SM-5L3D7 60-69 years, male 135.2
GTEX-TMZS-0326-SM-3DB9P 60-69 years, male 134.9
GTEX-15RIG-0426-SM-7KUF4 40-49 years, male 134.7
GTEX-16YQH-0426-SM-7KUL7 30-39 years, male 134.7
GTEX-NFK9-0626-SM-2HMIV 40-49 years, male 134.7
GTEX-VJYA-1926-SM-3GIJJ 60-69 years, male 134.5
GTEX-ZPCL-2026-SM-57WFD 60-69 years, female 134.5
GTEX-1JMQJ-0126-SM-E6CI2 50-59 years, male 134.4
GTEX-ZF28-0526-SM-4WKGW 60-69 years, male 132.1
GTEX-ZP4G-2026-SM-57WEH 20-29 years, female 132.0
GTEX-YEC3-2126-SM-4YCDB 50-59 years, male 131.7
GTEX-1EH9U-0326-SM-7P8S2 60-69 years, male 130.6
GTEX-147JS-0526-SM-5TDD3 60-69 years, male 130.0
GTEX-11NV4-0326-SM-5HL58 60-69 years, male 129.9
GTEX-13U4I-1826-SM-5IJD2 40-49 years, female 128.7
GTEX-13IVO-0626-SM-5LZYJ 70-79 years, male 128.5
GTEX-1K2DA-2226-SM-CGQGM 50-59 years, male 128.4
GTEX-12ZZY-0626-SM-5EQ5T 60-69 years, male 128.2
GTEX-WY7C-2526-SM-3NB2N 50-59 years, male 128.0
GTEX-XUYS-0326-SM-47JX2 50-59 years, male 127.8
GTEX-1J8Q3-1426-SM-CKZPU 60-69 years, male 127.7
GTEX-13O21-1726-SM-5MR5A 50-59 years, male 127.3
GTEX-1R7EV-2026-SM-DTX83 40-49 years, male 127.3
GTEX-1RQEC-0126-SM-E9J2H 60-69 years, male 127.1
GTEX-V1D1-2426-SM-3GAER 50-59 years, male 126.7
GTEX-1H3NZ-0326-SM-9MQL6 60-69 years, male 126.6
GTEX-13OVK-1926-SM-6M48G 40-49 years, male 126.0
GTEX-13PLJ-0326-SM-5L3I7 60-69 years, female 125.9
GTEX-139T6-2026-SM-5IFFL 50-59 years, male 125.7
GTEX-13N1W-0526-SM-5MR4I 70-79 years, male 125.5
GTEX-OHPN-2726-SM-2I5H4 60-69 years, female 125.0
GTEX-RWSA-0726-SM-2XCBE 40-49 years, male 125.0
GTEX-1GPI6-0326-SM-9MQM6 60-69 years, male 124.2
GTEX-XQ3S-0426-SM-4BOOA 20-29 years, male 123.7
GTEX-11OC5-0326-SM-5PNW5 60-69 years, male 123.3
GTEX-1HSEH-0326-SM-A9G26 60-69 years, male 122.0
GTEX-QLQW-1326-SM-2S1QS 30-39 years, male 121.9
GTEX-Y9LG-1926-SM-5IFHY 30-39 years, male 121.8
GTEX-Z93S-1326-SM-5CVMR 50-59 years, male 121.6
GTEX-ZF2S-2126-SM-4WWAY 50-59 years, female 121.3
GTEX-Y114-2526-SM-4TT8M 50-59 years, female 121.1
GTEX-1S5VW-0526-SM-E6CHL 60-69 years, male 120.0
GTEX-1F7RK-0326-SM-7RHH7 20-29 years, female 119.9
GTEX-13NYB-2726-SM-5J2MT 40-49 years, male 119.7
GTEX-1MCYP-2026-SM-DTXE4 20-29 years, female 119.7
GTEX-ZVZP-2526-SM-57WBR 50-59 years, male 118.8
GTEX-11ONC-2426-SM-5GU7H 60-69 years, male 118.7
GTEX-14BIM-0326-SM-5SI9B 60-69 years, female 118.5
GTEX-16XZZ-0526-SM-7KUF1 60-69 years, male 118.0
GTEX-1KANA-0926-SM-D3L9K 20-29 years, male 117.5
GTEX-1HFI7-1926-SM-A96TQ 50-59 years, female 117.3
GTEX-1IKK5-0426-SM-CL53X 60-69 years, male 117.2
GTEX-XYKS-2426-SM-4AT43 60-69 years, female 116.9
GTEX-12WSD-0526-SM-5EQ6F 60-69 years, female 116.7
GTEX-18A7A-0626-SM-718BJ 50-59 years, female 116.7
GTEX-15D79-0526-SM-6ETZP 50-59 years, male 115.9
GTEX-12BJ1-2526-SM-5FQUE 60-69 years, male 115.8
GTEX-14PN4-0326-SM-6EU2N 50-59 years, male 115.4
GTEX-X4EO-0526-SM-3P5Z3 60-69 years, female 115.4
GTEX-11DXW-0726-SM-5H12J 40-49 years, male 115.1
GTEX-Y8E4-1026-SM-4VBQ5 40-49 years, male 114.3
GTEX-147GR-0126-SM-62LER 60-69 years, male 113.2
GTEX-1313W-0526-SM-5P9FZ 50-59 years, female 113.1
GTEX-15ER7-0226-SM-7KUEU 20-29 years, female 113.0
GTEX-WL46-0626-SM-3LK7R 50-59 years, male 113.0
GTEX-11ZU8-2326-SM-5EQMJ 60-69 years, male 112.8
GTEX-QDT8-0526-SM-3NMD8 30-39 years, female 111.6
GTEX-11OF3-2526-SM-5P9JL 60-69 years, male 111.5
GTEX-QESD-1626-SM-2S1RB 20-29 years, male 111.1
GTEX-1122O-2426-SM-5GIDN 60-69 years, female 111.0
GTEX-144FL-0326-SM-5O99O 50-59 years, male 110.9
GTEX-1F6I4-0326-SM-7P8T8 60-69 years, male 110.9
GTEX-OIZI-0626-SM-2XCEH 40-49 years, male 110.7
GTEX-147F4-0326-SM-5TDCK 50-59 years, male 110.3
GTEX-1ICG6-2726-SM-CKZPN 70-79 years, female 110.0
GTEX-1LSNL-0126-SM-EWRNR 50-59 years, male 110.0
GTEX-14PK6-2126-SM-6ETZV 70-79 years, female 109.9
GTEX-14LLW-0526-SM-62LFB 70-79 years, female 109.7
GTEX-1N2DW-0426-SM-E9TK4 50-59 years, male 109.3
GTEX-RWS6-2126-SM-2XCAV 60-69 years, female 109.2
GTEX-11NUK-0226-SM-5A5L4 50-59 years, male 109.1
GTEX-113JC-2726-SM-5EGIS 50-59 years, female 108.4
GTEX-1HBPI-0226-SM-ADEJ7 50-59 years, male 108.3
GTEX-146FH-0526-SM-5QGQ3 50-59 years, female 107.6
GTEX-1AMEY-1526-SM-73KYW 30-39 years, female 107.6
GTEX-YB5E-2226-SM-5IFJ5 40-49 years, male 107.6
GTEX-1PIGE-0226-SM-E76OT 20-29 years, male 107.3
GTEX-131YS-0526-SM-5EGKJ 60-69 years, female 107.1
GTEX-17HHE-2126-SM-7DHLO 50-59 years, male 107.1
GTEX-1PBJJ-0326-SM-E8VNT 30-39 years, male 106.8
GTEX-1F88E-1826-SM-9MQLV 60-69 years, female 106.7
GTEX-Z9EW-1726-SM-5CVMO 40-49 years, male 106.1
GTEX-1B8L1-2726-SM-793AL 60-69 years, male 106.0
GTEX-1MJK3-1426-SM-E9TK1 20-29 years, male 105.7
GTEX-ZAK1-0526-SM-5K7X4 50-59 years, female 105.6
GTEX-WHSB-1826-SM-3TW8M 50-59 years, male 105.4
GTEX-15CHC-2426-SM-6EU22 60-69 years, female 104.2
GTEX-1497J-2626-SM-5SI9K 60-69 years, male 104.0
GTEX-14BMV-0326-SM-5RQHW 50-59 years, male 103.6
GTEX-POMQ-1926-SM-3NB1Y 20-29 years, female 103.4
GTEX-ZF29-2426-SM-DO92G 60-69 years, female 103.2
GTEX-14PJ2-0326-SM-6EU2Q 50-59 years, male 102.7
GTEX-1R9K4-0626-SM-E76OZ 60-69 years, male 102.0
GTEX-1A8G7-0326-SM-72D5B 60-69 years, male 101.9
GTEX-1KD5A-0726-SM-DIPEO 50-59 years, male 101.9
GTEX-11NSD-2026-SM-5HL5U 20-29 years, male 101.7
GTEX-13111-2226-SM-5LZUE 50-59 years, male 101.6
GTEX-1K2DU-2526-SM-D3L8V 20-29 years, male 101.2
GTEX-144GN-2426-SM-5LU4R 50-59 years, male 101.1
GTEX-12WSH-2526-SM-5CVNH 50-59 years, male 101.0
GTEX-1PDJ9-0526-SM-DTXDL 20-29 years, male 101.0
GTEX-Y8LW-2026-SM-4V6G8 50-59 years, female 100.6
GTEX-P44G-0526-SM-2XCD1 30-39 years, male 100.3
GTEX-X638-0326-SM-47JY1 70-79 years, female 100.3
GTEX-1GZ2Q-0426-SM-9WPOU 40-49 years, male 100.3
GTEX-17KNJ-2426-SM-7DHLR 50-59 years, male 100.1
GTEX-1B933-0426-SM-7DHMC 50-59 years, female 99.7
GTEX-1B97J-1226-SM-7PBZR 50-59 years, female 99.5
GTEX-OIZH-1626-SM-2HMKI 50-59 years, male 99.1
GTEX-12126-0526-SM-5PNW4 20-29 years, male 98.7
GTEX-WZTO-0826-SM-3NM8Q 40-49 years, male 98.7
GTEX-PSDG-0426-SM-5SI86 50-59 years, male 97.5
GTEX-1CB4F-0326-SM-9MQKD 60-69 years, male 97.0
GTEX-13PL6-0326-SM-5IJCP 40-49 years, female 96.9
GTEX-1LB8K-0126-SM-EVYCN 50-59 years, male 96.7
GTEX-1LNCM-1226-SM-E9U5C 50-59 years, female 96.7
GTEX-PW2O-1726-SM-2S1OO 20-29 years, male 96.5
GTEX-1LG7Y-0126-SM-E6CJ8 50-59 years, male 96.4
GTEX-14LZ3-0626-SM-5ZZWP 60-69 years, female 95.5
GTEX-Y111-0326-SM-4SOIX 50-59 years, male 95.4
GTEX-1AX9J-0126-SM-73KY2 60-69 years, male 95.0
GTEX-15SHW-0726-SM-7KUEI 60-69 years, male 94.5
GTEX-145LS-0526-SM-5LU8Y 60-69 years, female 94.2
GTEX-17EVP-1326-SM-7DHMR 40-49 years, male 94.2
GTEX-14JG1-0126-SM-5ZZUP 40-49 years, male 94.0
GTEX-18465-0326-SM-7LTAD 50-59 years, male 93.5
GTEX-ZYT6-1626-SM-5E45R 30-39 years, male 93.3
GTEX-TKQ2-0826-SM-33HB6 50-59 years, male 92.9
GTEX-SIU8-0526-SM-2XCDP 50-59 years, male 92.7
GTEX-1E2YA-0526-SM-7P8RY 50-59 years, male 92.7
GTEX-11DXY-2726-SM-5GID2 60-69 years, male 92.3
GTEX-145MH-0326-SM-5LU8H 50-59 years, male 92.3
GTEX-X88G-0326-SM-47JZ4 30-39 years, male 92.2
GTEX-ZYFC-0526-SM-5GIDF 50-59 years, male 92.2
GTEX-ZZPT-0626-SM-5GZXT 50-59 years, male 91.9
GTEX-T6MN-0526-SM-32PMS 50-59 years, male 91.8
GTEX-QCQG-2126-SM-DTXFV 50-59 years, female 91.7
GTEX-1H1CY-2726-SM-9MQLR 60-69 years, female 91.4
GTEX-1JMLX-0326-SM-CM2RP 50-59 years, male 91.1
GTEX-1I6K7-0326-SM-B2LXO 40-49 years, male 90.4
GTEX-1J8QM-2226-SM-CYPSK 60-69 years, female 89.9
GTEX-1HCU6-0526-SM-A9SKU 60-69 years, female 89.8
GTEX-1QP2A-0526-SM-E8VN5 50-59 years, male 89.4
GTEX-13QJ3-0726-SM-5SI68 50-59 years, male 88.8
GTEX-16BQI-0326-SM-6PAM4 30-39 years, female 88.7
GTEX-UPJH-0526-SM-4IHK8 50-59 years, male 88.6
GTEX-139D8-0726-SM-5P9GJ 30-39 years, female 88.1
GTEX-1HCVE-0326-SM-CGQEW 50-59 years, male 88.1
GTEX-U412-0326-SM-3DB9L 60-69 years, male 88.0
GTEX-1AX8Z-5004-SM-ARZLD 60-69 years, male 88.0
GTEX-1GMR3-2126-SM-9WYTZ 40-49 years, male 88.0
GTEX-1RAZQ-0426-SM-DTXFQ 30-39 years, male 87.8
GTEX-183FY-0226-SM-7LG54 20-29 years, male 87.6
GTEX-13O3O-0526-SM-5J1NL 60-69 years, female 87.5
GTEX-13RTK-1626-SM-5QGQS 20-29 years, male 87.2
GTEX-13112-2626-SM-5BC66 50-59 years, male 87.1
GTEX-RN64-0326-SM-2TC5J 50-59 years, male 87.0
GTEX-1H3O1-0626-SM-9MQM4 60-69 years, male 86.8
GTEX-ZVE2-0626-SM-5GU7I 50-59 years, male 86.6
GTEX-1F52S-0826-SM-7P8TQ 60-69 years, female 86.5
GTEX-13X6K-0326-SM-5Q5D6 60-69 years, female 86.3
GTEX-1399S-2726-SM-5KM22 30-39 years, female 86.0
GTEX-T5JW-1826-SM-3GAE1 20-29 years, female 85.4
GTEX-X4XY-0626-SM-4E3IN 60-69 years, male 85.4
GTEX-ZYW4-0526-SM-5GZZ5 60-69 years, male 85.4
GTEX-WWTW-0626-SM-4MVNS 50-59 years, male 85.3
GTEX-15UF6-1026-SM-7KUF7 70-79 years, female 85.0
GTEX-1LVAN-0526-SM-CNNQ1 50-59 years, female 85.0
GTEX-QV31-1426-SM-2S1QD 30-39 years, male 84.9
GTEX-1EMGI-0326-SM-9MQM5 60-69 years, male 84.6
GTEX-1I19N-2026-SM-ACKXJ 70-79 years, male 84.6
GTEX-17HGU-0626-SM-7939Y 50-59 years, male 84.3
GTEX-11O72-0326-SM-5986D 40-49 years, male 83.9
GTEX-14AS3-2126-SM-5S2MK 40-49 years, female 83.8
GTEX-1AYD5-2226-SM-73KX3 50-59 years, male 83.6
GTEX-18QFQ-0326-SM-731C3 30-39 years, male 83.5
GTEX-1BAJH-0126-SM-7DHMF 70-79 years, male 83.5
GTEX-RU1J-1726-SM-2TF5S 20-29 years, female 83.4
GTEX-1JN6P-0526-SM-COH33 60-69 years, male 83.4
GTEX-WYVS-2326-SM-3NMAI 40-49 years, female 82.9
GTEX-12WSA-0726-SM-5FQU2 60-69 years, male 82.4
GTEX-11TUW-2526-SM-5EQKN 60-69 years, male 82.1
GTEX-144GM-2026-SM-5LU3D 20-29 years, male 82.1
GTEX-QVJO-0126-SM-3GIK4 60-69 years, female 81.5
GTEX-1JN1M-0526-SM-CJI3D 60-69 years, female 81.4
GTEX-X8HC-0526-SM-4E3JA 50-59 years, female 81.2
GTEX-ZC5H-0326-SM-5HL9F 40-49 years, female 80.8
GTEX-O5YT-1626-SM-32PK6 20-29 years, male 80.6
GTEX-1212Z-2626-SM-5YY8P 60-69 years, male 80.4
GTEX-1CB4E-2126-SM-793AP 60-69 years, male 80.2
GTEX-1HSMO-0526-SM-ACKXB 60-69 years, male 79.9
GTEX-OXRP-2326-SM-2S1NL 60-69 years, female 78.7
GTEX-R55E-0526-SM-2TC6B 20-29 years, male 78.7
GTEX-14C5O-0626-SM-664N2 60-69 years, male 78.6
GTEX-T2IS-2626-SM-32QPP 20-29 years, female 78.4
GTEX-QDVJ-1926-SM-2S1PJ 50-59 years, male 78.1
GTEX-1JMQL-0126-SM-CY8HN 50-59 years, female 77.6
GTEX-14JG6-2126-SM-6EU2F 30-39 years, female 77.3
GTEX-PLZ5-1726-SM-2I5F6 50-59 years, male 77.2
GTEX-13VXT-0326-SM-5LU4U 20-29 years, female 77.0
GTEX-1GTWX-0326-SM-9WYTP 60-69 years, male 77.0
GTEX-117YW-2426-SM-5Q5AE 50-59 years, male 76.8
GTEX-1GN1W-0726-SM-9KNTV 50-59 years, female 76.4
GTEX-13FTW-2326-SM-5K7YS 40-49 years, male 76.3
GTEX-1AMFI-2226-SM-731C6 50-59 years, female 76.2
GTEX-1HUB1-0526-SM-CL54N 60-69 years, male 76.0
GTEX-1MCC2-2726-SM-EWRN3 30-39 years, female 75.8
GTEX-14BIL-0326-SM-5SI9Q 50-59 years, male 75.6
GTEX-XUW1-0826-SM-4BOP6 50-59 years, female 75.6
GTEX-ZYFG-2426-SM-5GIE8 60-69 years, female 75.6
GTEX-1F5PK-2626-SM-7RHH6 50-59 years, male 75.3
GTEX-1F75B-0526-SM-7P8T5 50-59 years, male 75.1
GTEX-11EQ9-2126-SM-5PNVW 30-39 years, male 74.6
GTEX-15SHU-0626-SM-7KUFH 40-49 years, female 74.5
GTEX-15DDE-0526-SM-6ETZQ 50-59 years, female 74.4
GTEX-12696-2826-SM-5FQTY 60-69 years, male 74.3
GTEX-PX3G-1626-SM-2S1PT 20-29 years, female 74.1
GTEX-1HR9M-0326-SM-CL549 60-69 years, male 74.1
GTEX-14DAQ-0326-SM-664MR 60-69 years, female 74.0
GTEX-13PVQ-0326-SM-5K7YF 50-59 years, male 73.9
GTEX-1HKZK-0226-SM-9WYUG 40-49 years, male 73.4
GTEX-1C6VQ-0326-SM-7DHMS 50-59 years, male 73.1
GTEX-1AX9K-2726-SM-7DHMA 50-59 years, male 72.9
GTEX-ZTPG-0126-SM-5O9AL 20-29 years, female 72.8
GTEX-1S5ZA-0526-SM-EWRO1 20-29 years, male 72.5
GTEX-SUCS-1626-SM-32PLS 70-79 years, male 72.1
GTEX-13OW6-0626-SM-5L3IB 50-59 years, male 71.8
GTEX-14PQA-0526-SM-7KUFS 50-59 years, female 71.8
GTEX-WOFM-1326-SM-3MJFR 20-29 years, male 71.7
GTEX-131XG-2326-SM-5HL8F 50-59 years, female 71.6
GTEX-1HSGN-0326-SM-ACKXQ 40-49 years, female 71.6
GTEX-1PPH7-2526-SM-E76OJ 40-49 years, male 71.4
GTEX-1QP28-0526-SM-E8VNR 50-59 years, female 71.0
GTEX-11UD2-0326-SM-5EQLE 50-59 years, male 70.9
GTEX-13FTX-2026-SM-5L3D6 20-29 years, female 70.9
GTEX-1QAET-2026-SM-E9J3S 50-59 years, male 70.9
GTEX-1NUQO-0726-SM-E9J3K 20-29 years, female 70.8
GTEX-ZVT3-0526-SM-5GIE9 60-69 years, female 70.4
GTEX-1H2FU-0526-SM-ACKXO 60-69 years, female 70.4
GTEX-11TTK-0326-SM-5BC5N 60-69 years, female 70.0
GTEX-11VI4-1926-SM-5CVLI 40-49 years, female 69.9
GTEX-145ME-2026-SM-5SIA5 40-49 years, female 69.9
GTEX-1PWST-0426-SM-E76QV 70-79 years, male 69.8
GTEX-11LCK-1226-SM-5Q5AM 30-39 years, male 69.6
GTEX-145MI-0326-SM-5Q5EV 60-69 years, female 69.3
GTEX-1JK1U-2226-SM-CNNPL 60-69 years, male 69.3
GTEX-XOT4-0526-SM-4B66O 60-69 years, female 69.1
GTEX-YFC4-1026-SM-5RQJM 40-49 years, female 69.1
GTEX-1CB4H-0426-SM-7MXTL 60-69 years, female 68.4
GTEX-1F48J-0526-SM-9WYSX 50-59 years, female 67.8
GTEX-1JMQK-0326-SM-ARZN5 60-69 years, male 67.6
GTEX-148VJ-0326-SM-5QGQE 70-79 years, male 67.5
GTEX-ZTX8-1626-SM-51MRY 20-29 years, male 67.5
GTEX-16MTA-2026-SM-7KUL3 50-59 years, male 67.3
GTEX-VJWN-0426-SM-3GIJI 50-59 years, female 67.3
GTEX-1I1GT-0726-SM-B2LWN 60-69 years, female 67.3
GTEX-1LGOU-2126-SM-DIPFG 20-29 years, female 67.3
GTEX-R55G-2326-SM-2TC61 40-49 years, female 67.2
GTEX-U4B1-1626-SM-3DB8N 40-49 years, male 67.2
GTEX-1R9JW-2426-SM-DTXFI 30-39 years, female 66.9
GTEX-RTLS-0526-SM-2TF64 60-69 years, female 66.8
GTEX-13W46-0726-SM-5LU3Z 50-59 years, male 66.7
GTEX-OXRN-1326-SM-3LK5V 50-59 years, male 66.7
GTEX-1477Z-1626-SM-5SIA8 60-69 years, male 66.5
GTEX-1314G-1726-SM-5LZUX 30-39 years, male 66.4
GTEX-145MO-0726-SM-5NQB9 60-69 years, male 66.4
GTEX-14PJN-2126-SM-6AJBM 30-39 years, male 66.4
GTEX-R3RS-0526-SM-3GADG 40-49 years, female 66.2
GTEX-RU72-1326-SM-2TF6T 50-59 years, female 66.2
GTEX-ZQG8-1226-SM-51MRX 60-69 years, female 66.2
GTEX-1128S-2426-SM-5H11B 60-69 years, female 66.1
GTEX-1IDJF-0326-SM-ADEIG 20-29 years, male 66.1
GTEX-12C56-1926-SM-5FQUG 20-29 years, male 65.2
GTEX-Q734-2026-SM-3GADA 40-49 years, female 65.2
GTEX-T5JC-0626-SM-3NMA6 20-29 years, male 65.2
GTEX-11P81-2526-SM-5GU6H 30-39 years, female 65.0
GTEX-1O9I2-0526-SM-EYYXI 50-59 years, male 64.8
GTEX-11GSO-2526-SM-5PNVX 60-69 years, male 64.5
GTEX-ZA64-2026-SM-5PNXT 20-29 years, male 64.4
GTEX-WFG8-2426-SM-3GILL 20-29 years, male 64.0
GTEX-131XF-2326-SM-5BC6B 60-69 years, male 63.4
GTEX-XPVG-2526-SM-4B66D 50-59 years, male 63.4
GTEX-O5YV-2026-SM-2D7VS 60-69 years, female 63.0
GTEX-RNOR-0526-SM-2TF4O 50-59 years, female 63.0
GTEX-1IDJU-2426-SM-ARZM9 60-69 years, female 62.9
GTEX-ZLFU-2526-SM-DO91K 40-49 years, male 62.9
GTEX-Q2AG-0426-SM-2S1PU 40-49 years, female 62.6
GTEX-14E1K-2326-SM-664MP 50-59 years, male 62.3
GTEX-QEG4-0626-SM-2S1OY 30-39 years, male 62.3
GTEX-1RB15-2226-SM-DTXFZ 60-69 years, male 62.3
GTEX-ZVTK-0626-SM-5GU6Y 20-29 years, male 62.1
GTEX-11ZTS-0526-SM-5CVL9 60-69 years, female 61.9
GTEX-139TS-2626-SM-5J1MT 60-69 years, male 61.8
GTEX-13X6H-2326-SM-7EWEB 50-59 years, female 61.8
GTEX-1HCU9-1926-SM-9WYSE 20-29 years, male 61.7
GTEX-OIZF-1626-SM-2YUNE 60-69 years, male 61.2
GTEX-11DXZ-2426-SM-5N9DT 50-59 years, male 60.6
GTEX-13N2G-2326-SM-5J1ON 60-69 years, male 60.6
GTEX-139T8-0526-SM-5KLZL 60-69 years, male 60.5
GTEX-1GF9W-0526-SM-9MQJP 60-69 years, male 60.5
GTEX-U3ZH-1926-SM-4DXTR 30-39 years, male 60.4
GTEX-1C6VS-0126-SM-7PC2H 60-69 years, male 60.4
GTEX-17MF6-2026-SM-7LG5I 40-49 years, male 60.3
GTEX-Y5V6-2626-SM-5IFIX 60-69 years, male 60.2
GTEX-1I4MK-2326-SM-ADEHR 50-59 years, female 59.7
GTEX-YF7O-2526-SM-5IFJX 50-59 years, male 59.5
GTEX-1GZ4H-1626-SM-7PC3F 50-59 years, female 59.5
GTEX-ZGAY-0726-SM-DO91O 40-49 years, female 58.9
GTEX-1CB4I-0326-SM-7DHMM 50-59 years, male 58.4
GTEX-11ZUS-1426-SM-5FQSP 30-39 years, male 58.3
GTEX-1B8SG-0326-SM-73KXW 50-59 years, male 58.3
GTEX-T8EM-1326-SM-3DB7G 40-49 years, male 58.2
GTEX-1C64N-0326-SM-7P8QC 50-59 years, male 58.2
GTEX-11I78-2426-SM-5A5K9 50-59 years, female 57.9
GTEX-XUZC-2126-SM-4BRW8 30-39 years, female 57.6
GTEX-1QCLZ-0326-SM-DTXG2 60-69 years, female 57.5
GTEX-XBED-2626-SM-4E3J5 60-69 years, male 57.4
GTEX-1LVAM-0326-SM-DIPFL 50-59 years, female 57.3
GTEX-QVUS-0226-SM-3GIJY 60-69 years, female 57.1
GTEX-1GPI7-0426-SM-7RHHP 20-29 years, male 57.1
GTEX-11H98-0326-SM-5HL4S 50-59 years, male 56.1
GTEX-11P7K-1926-SM-5GU6R 30-39 years, male 56.1
GTEX-139YR-2526-SM-5IJC6 50-59 years, male 56.0
GTEX-17F96-2726-SM-7LT9F 70-79 years, male 55.9
GTEX-U3ZM-1226-SM-3DB9G 40-49 years, male 55.9
GTEX-ZVT2-2426-SM-57WCQ 50-59 years, female 55.9
GTEX-1A3MX-0526-SM-718A9 60-69 years, male 55.4
GTEX-13O3Q-2726-SM-5KM51 50-59 years, male 55.0
GTEX-1FIGZ-1726-SM-9MQKS 40-49 years, male 54.5
GTEX-12KS4-0826-SM-5BC5R 30-39 years, male 54.4
GTEX-145LT-1626-SM-5O992 40-49 years, male 54.2
GTEX-ZLV1-2126-SM-4WWD2 60-69 years, female 54.2
GTEX-ZYFD-0326-SM-5NQ8I 50-59 years, male 54.0
GTEX-1HBPN-0526-SM-A9SM6 50-59 years, male 53.7
GTEX-17F97-0526-SM-7DUF8 50-59 years, male 53.5
GTEX-SNMC-1426-SM-2XCFM 20-29 years, male 53.3
GTEX-1JKYR-0326-SM-CNPOL 20-29 years, male 53.3
GTEX-117YX-2526-SM-5EQ4Q 50-59 years, male 53.1
GTEX-1JJ6O-0926-SM-CYPT1 60-69 years, male 52.7
GTEX-17EUY-0626-SM-793BE 20-29 years, male 52.4
GTEX-1R9PO-2426-SM-EVYBS 60-69 years, female 51.8
GTEX-PLZ4-0926-SM-2S1OI 50-59 years, female 51.7
GTEX-WWYW-0526-SM-3NB2W 50-59 years, female 51.7
GTEX-REY6-0826-SM-2TF4S 60-69 years, male 51.3
GTEX-1LC47-0626-SM-DIPFE 60-69 years, male 51.3
GTEX-ZLWG-2126-SM-DO91M 50-59 years, female 51.3
GTEX-ZV6S-2126-SM-4YCEM 40-49 years, female 51.2
GTEX-1QP67-1826-SM-DTX8D 40-49 years, female 51.0
GTEX-1RAZR-0326-SM-EWRNM 40-49 years, male 51.0
GTEX-1QP66-1626-SM-E76PC 50-59 years, male 50.9
GTEX-13NYC-0726-SM-5J2NQ 60-69 years, male 50.8
GTEX-R55D-0626-SM-3GAD5 50-59 years, male 50.6
GTEX-15ETS-0326-SM-6PANH 40-49 years, female 49.8
GTEX-QV44-2026-SM-2S1RD 50-59 years, male 49.6
GTEX-YB5K-2326-SM-5IFHD 40-49 years, female 49.4
GTEX-1M5QR-1326-SM-EWROC 40-49 years, male 49.4
GTEX-11EMC-2626-SM-59864 60-69 years, female 49.3
GTEX-13113-5019-SM-7EPH2 60-69 years, female 49.1
GTEX-R53T-1826-SM-3GIJX 50-59 years, female 49.1
GTEX-11DZ1-0926-SM-5EQ5R 50-59 years, male 48.9
GTEX-11ZTT-2626-SM-5EQKK 60-69 years, female 48.8
GTEX-1CAMS-0126-SM-79396 40-49 years, female 48.7
GTEX-PWN1-1626-SM-2S1OL 40-49 years, female 48.6
GTEX-1HCUA-2326-SM-ACKVJ 50-59 years, female 48.6
GTEX-1KXAM-2426-SM-DIPFC 60-69 years, male 48.4
GTEX-13CF3-1826-SM-5J1NK 60-69 years, female 48.3
GTEX-13NZB-2626-SM-5J2M7 30-39 years, male 48.2
GTEX-15SB6-1826-SM-6PALN 50-59 years, female 48.2
GTEX-15SHV-2526-SM-6PAMG 60-69 years, male 48.2
GTEX-1A3MW-0526-SM-731BY 60-69 years, female 48.2
GTEX-1KANC-1626-SM-E6CIA 50-59 years, female 48.2
GTEX-1HB9E-0326-SM-D3LA5 50-59 years, male 48.0
GTEX-W5WG-1926-SM-4KKZK 50-59 years, female 47.9
GTEX-1192X-0426-SM-5GIEE 50-59 years, male 47.8
GTEX-XMD1-0626-SM-EZ6MC 60-69 years, male 47.8
GTEX-TMMY-0426-SM-33HBB 40-49 years, female 47.7
GTEX-11EM3-2126-SM-5H11M 20-29 years, female 47.3
GTEX-1GMR8-0326-SM-9KNUO 50-59 years, female 47.1
GTEX-13OVI-1726-SM-5L3DW 60-69 years, female 46.8
GTEX-13PL7-0626-SM-5IJCD 60-69 years, female 46.7
GTEX-14753-0526-SM-5QGPR 60-69 years, male 46.6
GTEX-1A3MV-2026-SM-718BU 30-39 years, male 46.3
GTEX-PLZ6-1526-SM-2S1OC 30-39 years, male 46.0
GTEX-13FHO-0726-SM-5IJDG 60-69 years, male 45.7
GTEX-13O61-2326-SM-5J1NJ 60-69 years, male 45.5
GTEX-XV7Q-2926-SM-4BRUL 40-49 years, female 45.5
GTEX-QEG5-0426-SM-2I5GJ 20-29 years, male 45.4
GTEX-1CAMQ-0326-SM-7MXUI 40-49 years, male 45.3
GTEX-WEY5-2026-SM-CYPRC 40-49 years, female 45.3
GTEX-1399R-2526-SM-5IFG2 30-39 years, male 44.9
GTEX-P4QS-1626-SM-2S1NH 60-69 years, male 44.7
GTEX-ZT9X-1826-SM-57WDU 40-49 years, male 44.7
GTEX-1CAV2-2426-SM-7P8QF 40-49 years, female 44.6
GTEX-17F9E-0226-SM-79OKK 50-59 years, male 44.5
GTEX-Y3IK-2626-SM-4WWDK 50-59 years, female 44.3
GTEX-QDVN-2426-SM-2S1Q4 50-59 years, male 44.1
GTEX-ZF3C-0326-SM-4WWBF 50-59 years, female 43.7
GTEX-TSE9-0526-SM-3DB7Z 60-69 years, female 43.5
GTEX-1J1R8-2326-SM-CKZPS 40-49 years, male 43.5
GTEX-13OW5-0326-SM-5L3HK 60-69 years, male 43.3
GTEX-16MT8-0326-SM-6PAM5 60-69 years, female 43.0
GTEX-1CAMR-1726-SM-793CU 20-29 years, male 43.0
GTEX-15F5U-1826-SM-6LLJF 40-49 years, male 42.8
GTEX-TML8-1826-SM-32QOR 40-49 years, female 42.7
GTEX-1R46S-0326-SM-EWRNE 60-69 years, female 42.6
GTEX-1211K-2126-SM-59HJZ 60-69 years, female 42.5
GTEX-13JUV-2326-SM-5IJCE 40-49 years, female 42.0
GTEX-13PVR-2526-SM-5RQIT 60-69 years, female 41.6
GTEX-1S82P-0326-SM-E9TIR 60-69 years, female 41.4
GTEX-OXRK-1826-SM-2HMJE 50-59 years, female 41.1
GTEX-1B996-0326-SM-7DHMU 60-69 years, male 40.8
GTEX-POYW-0526-SM-2XCEY 60-69 years, male 40.8
GTEX-1HBPM-0426-SM-CKZOO 60-69 years, female 40.7
GTEX-111CU-2026-SM-5GZZC 50-59 years, male 40.1
GTEX-15SKB-2526-SM-6PALP 60-69 years, male 40.0
GTEX-U8T8-1426-SM-3DB9H 60-69 years, male 39.8
GTEX-14PJO-0526-SM-6EU2O 60-69 years, male 39.6
GTEX-12584-0526-SM-5FQTS 40-49 years, male 39.4
GTEX-SNOS-1526-SM-32PLW 40-49 years, male 39.3
GTEX-12WSJ-1726-SM-5LZVV 40-49 years, female 39.0
GTEX-145LV-2326-SM-5LU8Z 50-59 years, male 39.0
GTEX-14DAR-1826-SM-664N1 50-59 years, male 38.7
GTEX-SN8G-0326-SM-32PLG 50-59 years, female 38.6
GTEX-ZYY3-0526-SM-5E45G 60-69 years, female 38.3
GTEX-1H1E6-2126-SM-9KNVM 30-39 years, male 38.3
GTEX-15G19-0526-SM-6PAMT 60-69 years, male 38.2
GTEX-P4PQ-1626-SM-2HMKK 60-69 years, male 37.7
GTEX-16AAH-1826-SM-7939D 50-59 years, male 37.2
GTEX-13O3P-0626-SM-5L3D5 50-59 years, male 37.1
GTEX-132AR-1026-SM-5PNVL 50-59 years, female 37.0
GTEX-15EO6-2826-SM-6PANB 50-59 years, male 37.0
GTEX-UJHI-1726-SM-3DB9B 50-59 years, female 37.0
GTEX-1H1DG-0326-SM-9QEHK 70-79 years, male 36.9
GTEX-ZVP2-2126-SM-5GU6E 50-59 years, male 36.6
GTEX-14BMU-2026-SM-5S2W6 20-29 years, female 36.5
GTEX-1HGF4-2626-SM-CM2SJ 60-69 years, male 36.4
GTEX-1445S-0626-SM-5LU3C 60-69 years, male 36.3
GTEX-14PJ5-2026-SM-6LLIN 60-69 years, female 36.2
GTEX-13O1R-0526-SM-5K7XU 60-69 years, male 35.8
GTEX-1269C-2626-SM-5EQ5C 60-69 years, female 35.7
GTEX-13NYS-0326-SM-5MR4L 60-69 years, male 35.5
GTEX-14C38-0426-SM-5TDDZ 50-59 years, male 35.4
GTEX-1399U-2526-SM-5L3DL 50-59 years, female 34.9
GTEX-13W3W-2626-SM-5SIA2 60-69 years, female 34.8
GTEX-X5EB-2326-SM-46MW5 40-49 years, male 34.4
GTEX-11P82-1826-SM-5PNYJ 20-29 years, male 34.2
GTEX-13OVJ-0226-SM-5L3GK 50-59 years, female 34.2
GTEX-OHPK-1626-SM-2YUN3 50-59 years, female 34.1
GTEX-XGQ4-2326-SM-4AT53 50-59 years, male 34.1
GTEX-13OVH-0626-SM-5L3EI 70-79 years, male 33.9
GTEX-OOBK-1626-SM-2HMKG 40-49 years, male 33.9
GTEX-1CB4J-1226-SM-7P8P3 60-69 years, male 33.9
GTEX-13JVG-0126-SM-5L3D3 60-69 years, male 33.4
GTEX-14A5I-0326-SM-5NQ9J 50-59 years, female 33.3
GTEX-1JN76-0326-SM-ARZNJ 20-29 years, female 33.3
GTEX-XPT6-2026-SM-4B64V 20-29 years, male 32.9
GTEX-1L5NE-2226-SM-CXZKS 50-59 years, male 32.9
GTEX-131XE-2726-SM-5P9G7 50-59 years, male 32.8
GTEX-14E6E-2026-SM-664N5 30-39 years, male 32.4
GTEX-18A66-0126-SM-731CQ 60-69 years, male 32.4
GTEX-S95S-1426-SM-2XCDM 60-69 years, male 32.1
GTEX-1QP9N-1926-SM-E6CPY 30-39 years, male 32.1
GTEX-1H1ZS-0626-SM-CNPPU 70-79 years, male 32.0
GTEX-UJMC-1826-SM-3GADT 50-59 years, male 31.8
GTEX-R55C-1726-SM-3GADJ 40-49 years, male 31.6
GTEX-1HCU7-0426-SM-D3L8Q 50-59 years, male 31.5
GTEX-1PPH8-0326-SM-E76PR 20-29 years, male 31.0
GTEX-14E6C-1526-SM-664ND 40-49 years, male 30.9
GTEX-RM2N-1626-SM-2TF5N 50-59 years, male 30.8
GTEX-14ICL-1926-SM-5RQIZ 30-39 years, male 30.6
GTEX-PWCY-2026-SM-5SI8R 20-29 years, female 30.2
GTEX-XQ8I-0626-SM-4BOPT 50-59 years, male 30.0
GTEX-ZV68-0526-SM-59HKI 50-59 years, female 28.6
GTEX-15UKP-0326-SM-7KUFP 20-29 years, male 28.5
GTEX-1I1GS-0326-SM-ARL7X 60-69 years, male 28.5
GTEX-1339X-2426-SM-5KLYU 40-49 years, male 28.0
GTEX-13QBU-2426-SM-5LU4L 40-49 years, female 27.6
GTEX-1H1DE-1726-SM-A9G3G 20-29 years, male 27.6
GTEX-132Q8-0626-SM-5L3F3 60-69 years, male 27.2
GTEX-WYJK-1726-SM-3NM9U 50-59 years, male 27.1
GTEX-XBEW-1026-SM-4QARV 40-49 years, male 27.1
GTEX-1117F-0426-SM-5EGHI 60-69 years, female 26.6
GTEX-14H4A-0926-SM-5ZZUU 40-49 years, female 26.4
GTEX-P78B-1626-SM-5SI85 40-49 years, female 26.3
GTEX-14C39-2426-SM-5S2U5 40-49 years, male 25.4
GTEX-13N11-2726-SM-5L3ER 50-59 years, female 25.3
GTEX-13FH7-2126-SM-5L3DJ 50-59 years, female 25.2
GTEX-S32W-2326-SM-2XCAW 50-59 years, female 25.0
GTEX-1H23P-0526-SM-9WG6S 60-69 years, male 24.8
GTEX-1H3VE-0126-SM-9WYTW 40-49 years, male 24.4
GTEX-11WQK-0726-SM-5GU71 50-59 years, male 24.2
GTEX-OOBJ-1626-SM-2I3F7 60-69 years, male 24.1
GTEX-Q2AI-1526-SM-3GIJ3 40-49 years, male 22.4
GTEX-1IE54-0326-SM-ARZMD 40-49 years, female 22.3
GTEX-1GMR2-2126-SM-7P8TX 50-59 years, male 22.2
GTEX-18D9A-1826-SM-718BK 30-39 years, female 21.9
GTEX-17F98-1626-SM-7938R 40-49 years, female 21.2
GTEX-11TT1-2326-SM-5GU6N 20-29 years, male 20.8
GTEX-QEL4-0626-SM-3GIJM 50-59 years, male 20.5
GTEX-16NGA-1926-SM-7LTA6 40-49 years, female 20.4
GTEX-P44H-0426-SM-2XCEZ 40-49 years, male 19.1
GTEX-RUSQ-1726-SM-2TF68 50-59 years, male 18.9
GTEX-TKQ1-1426-SM-4GICK 30-39 years, male 18.9
GTEX-ZAJG-0526-SM-5S2MT 50-59 years, female 18.0
GTEX-133LE-2026-SM-5K7WM 20-29 years, female 17.5
GTEX-1F75I-0526-SM-7RHI3 40-49 years, male 13.5
GTEX-X261-0326-SM-3NMD4 50-59 years, male 11.6
Show allShow less

SKELETAL MUSCLE - FANTOM5 CAGEi

RNA expression in human tissues obtained through Cap Analysis of Gene Expression (CAGE) generated by the FANTOM5 project are reported as Scaled Tags Per Million.

Max subtype Scaled Tags Per Millioni

Max subtype Scaled Tags Per Million is the value for the subtype with the largest average Scaled Tags Per Million across the subtype samples.

108.4
FANTOM5 sample id Sample description Scaled Tags Per Million
Skeletal muscle
Scaled Tags Per Million: 108.4
FF:10023-101D5 55,79,79 years, mixed 108.4
Skeletal muscle - soleus muscle
Scaled Tags Per Million: 43.1
FF:10282-104F3 male 43.1

Contact

  • NEWS ARTICLES
  • PRESS ROOM

The Project

  • INTRODUCTION
  • ORGANIZATION
  • PUBLICATIONS

The Human Protein Atlas

  • DOWNLOADABLE DATA
  • LICENCE & CITATION
  • HELP & FAQ
The Human Protein Atlas project is funded
by the Knut & Alice Wallenberg Foundation.


contact@proteinatlas.org