We use cookies to enhance the usability of our website. If you continue, we'll assume that you are happy to receive all cookies. More information. Don't show this again.
S100A4
HPA
RESOURCES
  • TISSUE
  • BRAIN
  • SINGLE CELL
  • SUBCELLULAR
  • CANCER
  • BLOOD
  • CELL LINE
  • STRUCTURE & INTERACTION
ABOUT
  • INTRODUCTION
  • HISTORY
  • ORGANIZATION
  • PUBLICATIONS
  • ANTIBODY SUBMISSION
  • ANTIBODY AVAILABILITY
  • ACKNOWLEDGMENTS
  • CONTACT
NEWS
  • NEWS ARTICLES
  • PRESS ROOM
LEARN
  • DICTIONARY
  • PROTEIN CLASSES
  • PROTEIN EVIDENCE
  • METHODS
  • EDUCATIONAL VIDEOS
DATA
  • DOWNLOADABLE DATA
  • PUBLICATION DATA
  • RELEASE HISTORY
HELP
  • ANTIBODY VALIDATION
  • ASSAYS & ANNOTATION
  • DISCLAIMER
  • HELP & FAQ
  • PRIVACY STATEMENT
  • LICENCE & CITATION
Fields »
Search result

Field
Term
Gene name
Class
Subclass
Class
Keyword
Chromosome
External id
Tissue
Cell type
Expression
Antibody panel
Tissue
Main location
Patient ID
Annotation
Tissue
Category
Tau score
Cluster
Reliability
Brain region
Category
Tau score
Brain region
Category
Tau score
Brain region
Category
Tau score
Cluster
Reliability
Tissue
Cell type
Enrichment
Cell type
Category
Tau score
Cell type
Category
Tau score
Cell type
Category
Tau score
Cell lineage
Category
Tau score
Cluster
Cluster
Location
Searches
Location
Cell line
Class
Type
Phase
Reliability
Cancer
Prognosis
Cancer
Category
Cancer
Category
Tau score
Cluster
Variants
Interacting gene (ensg_id)
Type
Number of interactions
Pathway
Category
Score
Score
Score
Validation
Validation
Validation
Validation
Antibodies
Data type
Column


  • SUMMARY

  • TISSUE

  • BRAIN

  • SINGLE CELL

  • SUBCELL

  • CANCER

  • BLOOD

  • CELL LINE

  • STRUCT & INT

  • S100A4
TISSUE PRIMARY DATA STOMACH Show tissue menu
ADIPOSE TISSUE ADRENAL GLAND AMYGDALA APPENDIX BASAL GANGLIA BONE MARROW BREAST BRONCHUS CEREBELLUM CEREBRAL CORTEX CERVIX CHOROID PLEXUS COLON DUODENUM
ENDOMETRIUM EPIDIDYMIS ESOPHAGUS FALLOPIAN TUBE GALLBLADDER HEART MUSCLE HIPPOCAMPAL FORMATION HYPOTHALAMUS KIDNEY LIVER LUNG LYMPH NODE MIDBRAIN NASOPHARYNX
ORAL MUCOSA OVARY PANCREAS PARATHYROID GLAND PITUITARY GLAND PLACENTA PROSTATE RECTUM RETINA SALIVARY GLAND SEMINAL VESICLE SKELETAL MUSCLE SKIN SMALL INTESTINE
SMOOTH MUSCLE SOFT TISSUE SPINAL CORD SPLEEN STOMACH TESTIS THYMUS THYROID GLAND TONGUE TONSIL URINARY BLADDER VAGINA
ANTIBODIES
AND
VALIDATION
Dictionary
Tissue proteome
Stomach
STOMACH - Expression summary
Protein expression
Stomachi

On the top, protein expression in current human tissue, based on all annotated cell types, is reported with the units not detected (n), low (l), medium (m) and high (h). Underneath, protein expression in each annotated cell type are reported using the same units.

Protein expression data is based on knowledge-based annotation. For genes where more than one antibody has been used, a collective score is set.

If knowledge-based annotation could not be performed for a gene, no data is displayed here. View antibody staining data further down this page.

h
m
l
n
Glandular cells: Not detected
RNA expressioni

A summary of mRNA expression data available for current tissue based on several datasets. The mRNA expression levels in human tissues are based on RNA-seq data generated by the Human Protein Atlas (HPA), Genotype-Tissue Expression (GTEx) portal and CAGE data generated by the FANTOM5 consortium. Consensus normalized expression levels for human tissues was created by combining the data from HPA and GTEx datasets.

The mRNA expression levels in pig are based on RNA-seq data generated by the Human Protein Atlas (HPA), and for mouse, HPA data and in situ hybridization generated by the Allen brain atlas are reported.

Scroll down to view mRNA expression data in more detail.
Consensus:129.2 nTPM
HPA:80.5 nTPM
GTEx:129.2 nTPM

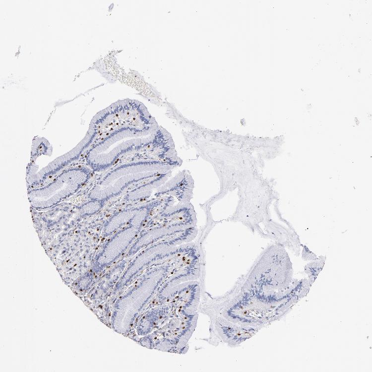
STOMACH 1 - Antibody stainingi

Antibody staining in the annotated cell types in the current human tissue is reported as not detected, low, medium, or high, based on conventional immunohistochemistry profiling in selected tissues. This score is based on the combination of the staining intensity and fraction of stained cells.

Each image is clickable and will lead to virtual microscopy that enables deeper exploration of all samples and also displays staining intensity scores, fraction scores and subcellular localization as well as patient and tissue information for each sample.

Antibody HPA007973Antibody CAB002618Antibody CAB027387Antibody CAB058698Antibody CAB068227Antibody CAB068228
Glandular cells Not detectedNot detectedNot detectedNot detectedNot detectedMedium












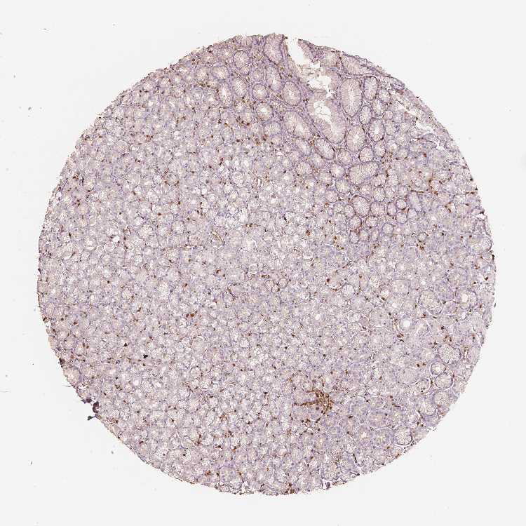
STOMACH 2 - Antibody stainingi

Antibody staining in the annotated cell types in the current human tissue is reported as not detected, low, medium, or high, based on conventional immunohistochemistry profiling in selected tissues. This score is based on the combination of the staining intensity and fraction of stained cells.

Each image is clickable and will lead to virtual microscopy that enables deeper exploration of all samples and also displays staining intensity scores, fraction scores and subcellular localization as well as patient and tissue information for each sample.

Antibody HPA007973Antibody CAB002618Antibody CAB027387Antibody CAB058698Antibody CAB068227Antibody CAB068228
Glandular cells Not detectedNot detectedNot detectedNot detectedNot detectedNot detected











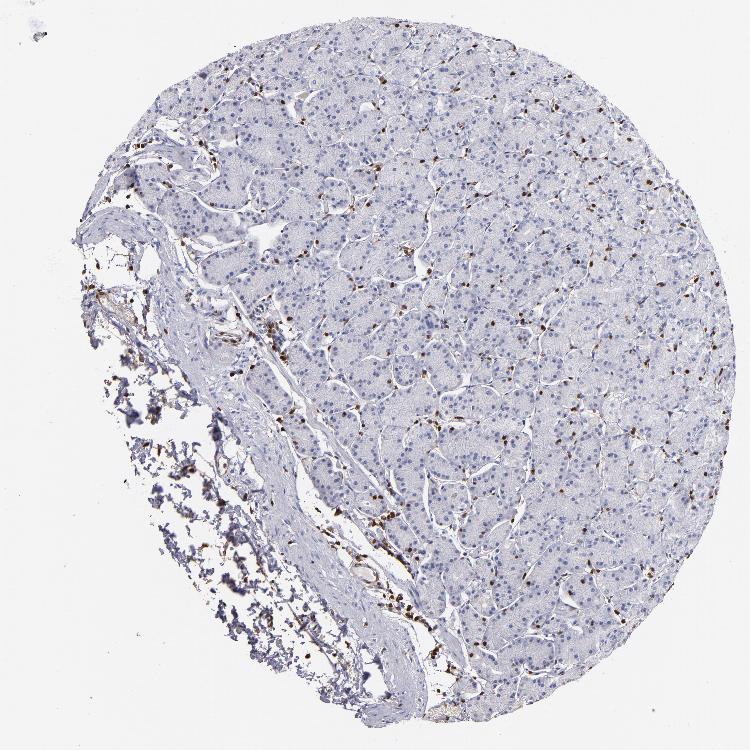
STOMACH - HPA RNA-seqi

The RNA-seq details section shows detailed information about the individual samples used for the transcript profiling and results of the RNA-seq analysis.

Information about each individual sample is listed below, including gender, age, a tissue section image and estimated fractions of cell types. nTPM (normalized transcripts per million) values give a quantification of the gene abundance which is comparable between different genes and samples.
Average nTPMi

Max subtype nTPM is the value for the subtype with the largest average nTPM across the subtype samples.

80.5
overview
Female, age 33
Stomach sample 61
nTPM: 120.7
Cell types%
Glandular cells:
60

Smooth muscle cells:
5

Other cell types:
35

N/A
Male, age 82
Stomach sample 240
nTPM: 79.2
Cell types%
Glandular cells:
65

Smooth muscle cells:
5

Other cell types:
30

overview
Male, age 71
Stomach sample 241
nTPM: 58.5
Cell types%
Glandular cells:
50

Smooth muscle cells:
5

Other cell types:
45

overview
Female, age 66
Stomach sample 369
nTPM: 63.5
Cell types%
Glandular cells:
50

Smooth muscle cells:
10

Other cell types:
40


STOMACH - GTEx RNA-seqi

RNA-Seq data generated by the Genotype-Tissue Expression (GTEx) project from human tissues is reported as mean nTPM. More information can be found on the GTEx portal.

Distribution across the dataset is visualized with box plots, shown as median and 25th and 75th percentiles. Points are displayed as outliers if they are above or below 1.5 times the interquartile range. nTPM values of the individual samples are presented next to the box plot.
Max subtype nTPMi

Max subtype nTPM is the value for the subtype with the largest average nTPM across the subtype samples.

129.2
GTEx sample id Sample description nTPM
Stomach
Average nTPM: 129.2
Samples: 359

Max nTPM: 984.0
Min nTPM: 17.1
Std nTPM: 124.7
Median nTPM: 84.3
GTEX-UPK5-2126-SM-4JBJK 40-49 years, male 984.0
GTEX-ZE7O-3026-SM-51MS4 50-59 years, female 700.7
GTEX-1L5NE-1526-SM-DIPFW 50-59 years, male 665.0
GTEX-1NSGN-1926-SM-E9J36 50-59 years, male 652.5
GTEX-11EI6-2426-SM-5PNVS 60-69 years, male 613.1
GTEX-15RIF-1126-SM-7KUG2 20-29 years, male 602.9
GTEX-1QP29-2326-SM-EXOJO 50-59 years, male 563.1
GTEX-13QJ3-2726-SM-5SI6L 50-59 years, male 538.1
GTEX-1HT8W-2326-SM-A9SLA 30-39 years, male 529.0
GTEX-17EUY-1526-SM-793CA 20-29 years, male 511.5
GTEX-15SHW-2126-SM-6M46Y 60-69 years, male 505.9
GTEX-17JCI-2226-SM-7LTA1 60-69 years, female 480.2
GTEX-1E1VI-2826-SM-7MGWU 50-59 years, male 466.0
GTEX-ZYVF-2726-SM-5GID4 50-59 years, female 432.0
GTEX-14PHY-0926-SM-5ZZWL 60-69 years, female 417.3
GTEX-1IL2V-2026-SM-ARZMA 70-79 years, male 407.1
GTEX-Y8E4-1526-SM-4WWDI 40-49 years, male 375.0
GTEX-1MCYP-1126-SM-E9J2P 20-29 years, female 369.0
GTEX-S4P3-0726-SM-4AD57 50-59 years, female 368.1
GTEX-146FH-2126-SM-5SI9U 50-59 years, female 352.0
GTEX-14BMV-2226-SM-5RQHX 50-59 years, male 345.0
GTEX-15G1A-1226-SM-7KUF3 30-39 years, male 343.0
GTEX-13O3Q-2126-SM-5KM4C 50-59 years, male 341.3
GTEX-1HR9M-2326-SM-CNPPZ 60-69 years, male 336.3
GTEX-1S831-1126-SM-EWROI 20-29 years, male 329.9
GTEX-1E2YA-2426-SM-7EPIG 50-59 years, male 320.0
GTEX-1I4MK-0926-SM-A9SLD 50-59 years, female 305.5
GTEX-S4Z8-1226-SM-4AD6W 60-69 years, male 297.6
GTEX-1GF9U-1126-SM-AHZ4H 40-49 years, female 290.3
GTEX-WZTO-2126-SM-4PQYW 40-49 years, male 279.5
GTEX-XAJ8-0326-SM-47JYI 40-49 years, male 279.4
GTEX-12WSJ-0926-SM-5P9JD 40-49 years, female 274.3
GTEX-13X6H-1626-SM-5Q5CT 50-59 years, female 274.2
GTEX-11VI4-0326-SM-5EQ6L 40-49 years, female 271.1
GTEX-ZEX8-1626-SM-4WKG7 50-59 years, male 267.2
GTEX-POMQ-0826-SM-3P61H 20-29 years, female 266.1
GTEX-146FR-2026-SM-5NQAI 60-69 years, female 251.4
GTEX-17KNJ-1526-SM-7LTA9 50-59 years, male 249.9
GTEX-ZPIC-2026-SM-57WG3 40-49 years, female 246.8
GTEX-1S3DN-1526-SM-EVYCB 50-59 years, male 245.8
GTEX-PLZ5-1226-SM-EXOHA 50-59 years, male 245.6
GTEX-1PIGE-1126-SM-EWRMV 20-29 years, male 244.6
GTEX-1CB4E-1326-SM-7DUGD 60-69 years, male 244.0
GTEX-R55D-1526-SM-48FEJ 50-59 years, male 244.0
GTEX-1JMQJ-1326-SM-D4P3B 50-59 years, male 243.8
GTEX-1B8L1-1526-SM-79OLK 60-69 years, male 241.4
GTEX-1EH9U-2226-SM-7PBXX 60-69 years, male 236.8
GTEX-12C56-0526-SM-5FQST 20-29 years, male 233.7
GTEX-13111-1226-SM-5GCNC 50-59 years, male 231.6
GTEX-139YR-1926-SM-5LZXM 50-59 years, male 228.4
GTEX-WHPG-0426-SM-4M1XW 50-59 years, male 225.5
GTEX-P4QT-1526-SM-3NMCT 50-59 years, female 225.4
GTEX-1R7EU-1126-SM-EAZ4M 60-69 years, male 224.9
GTEX-YEC3-1426-SM-D4P1S 50-59 years, male 224.3
GTEX-15EU6-2526-SM-7KUGB 50-59 years, male 224.0
GTEX-1QP28-2126-SM-DTX8B 50-59 years, female 223.6
GTEX-WFJO-1126-SM-4LVLZ 30-39 years, male 216.3
GTEX-TKQ2-0926-SM-4DXU5 50-59 years, male 213.5
GTEX-14E1K-1526-SM-664MN 50-59 years, male 207.1
GTEX-1JMPY-0926-SM-ARL92 30-39 years, male 207.0
GTEX-13RTK-0226-SM-5RQHR 20-29 years, male 206.4
GTEX-T5JC-1926-SM-4DM6Q 20-29 years, male 204.2
GTEX-1K2DA-0826-SM-CGQGD 50-59 years, male 202.3
GTEX-1N2DV-0926-SM-E9TJT 40-49 years, male 202.2
GTEX-1H1DE-1226-SM-9JGHH 20-29 years, male 201.5
GTEX-R55G-1126-SM-48FDG 40-49 years, female 200.7
GTEX-14DAQ-2826-SM-664MU 60-69 years, female 199.4
GTEX-13X6J-2126-SM-5TDCV 50-59 years, male 196.2
GTEX-ZZPU-1426-SM-5GZZ6 50-59 years, female 193.5
GTEX-OIZH-1526-SM-3NB1J 50-59 years, male 193.4
GTEX-18A67-2626-SM-718AD 50-59 years, male 192.2
GTEX-1HSEH-1526-SM-B2LXG 60-69 years, male 191.0
GTEX-UJHI-1026-SM-4IHJP 50-59 years, female 190.6
GTEX-139D8-2326-SM-5IFGE 30-39 years, female 188.6
GTEX-1KD5A-1426-SM-D4P3V 50-59 years, male 184.1
GTEX-1QW4Y-0726-SM-DTX8E 30-39 years, male 180.7
GTEX-WH7G-1526-SM-4LVMX 40-49 years, male 179.7
GTEX-Y3I4-1626-SM-4TT7W 50-59 years, male 179.6
GTEX-1AX9J-2626-SM-731EK 60-69 years, male 176.1
GTEX-R55C-1026-SM-48FCM 40-49 years, male 176.0
GTEX-RU1J-0526-SM-46MUT 20-29 years, female 175.2
GTEX-1RQEC-2126-SM-DPS15 60-69 years, male 170.3
GTEX-1HCUA-1626-SM-A9SMG 50-59 years, female 168.4
GTEX-1GN1W-2126-SM-9JGI7 50-59 years, female 167.9
GTEX-1211K-1426-SM-5FQTF 60-69 years, female 166.6
GTEX-ZV6S-0926-SM-57WGB 40-49 years, female 165.7
GTEX-1GPI7-1326-SM-9KNVA 20-29 years, male 163.6
GTEX-Y114-1226-SM-4TT88 50-59 years, female 161.2
GTEX-1F5PK-1826-SM-7RHHX 50-59 years, male 160.8
GTEX-11P82-0726-SM-5PNYL 20-29 years, male 160.3
GTEX-1S82Z-1726-SM-E6CHZ 30-39 years, female 159.1
GTEX-1H11D-2226-SM-9OSXN 40-49 years, male 157.5
GTEX-12WSG-2026-SM-5FQUU 50-59 years, female 156.8
GTEX-11EQ9-1226-SM-5987E 30-39 years, male 155.3
GTEX-1RAZR-1526-SM-EAZ4U 40-49 years, male 154.1
GTEX-1GMRU-2526-SM-9WG7T 50-59 years, male 152.3
GTEX-1JKYN-1726-SM-AHZ48 30-39 years, male 151.8
GTEX-1HSMQ-2426-SM-CE6RY 50-59 years, male 151.3
GTEX-1QP67-1026-SM-EVR47 40-49 years, female 150.1
GTEX-1CB4H-2426-SM-7PBYR 60-69 years, female 149.7
GTEX-ZVT3-2126-SM-59HL2 60-69 years, female 148.5
GTEX-11P7K-1726-SM-5GU6F 30-39 years, male 148.3
GTEX-1JN76-0926-SM-ARZNH 20-29 years, female 147.4
GTEX-1R9K5-1026-SM-EAZ4F 50-59 years, male 147.2
GTEX-QMRM-1126-SM-447BN 50-59 years, male 146.9
GTEX-1J8JJ-1726-SM-C1YQG 60-69 years, female 145.2
GTEX-1H3NZ-2226-SM-9WYUT 60-69 years, male 142.0
GTEX-13O61-1126-SM-5L3FI 60-69 years, male 140.8
GTEX-13N1W-2026-SM-5K7YU 70-79 years, male 138.3
GTEX-XBEW-1826-SM-4RTWX 40-49 years, male 137.7
GTEX-14PKU-1126-SM-69LOU 40-49 years, female 137.3
GTEX-13OVI-2426-SM-5KM4J 60-69 years, female 136.9
GTEX-QCQG-0526-SM-48U2A 50-59 years, female 135.5
GTEX-OOBJ-1526-SM-3NB1Q 60-69 years, male 135.1
GTEX-RUSQ-1126-SM-EAZAU 50-59 years, male 134.1
GTEX-1399U-1626-SM-5P9J3 50-59 years, female 133.9
GTEX-1IDJD-2426-SM-C1YS6 30-39 years, male 132.2
GTEX-13U4I-2526-SM-5SI8Z 40-49 years, female 132.0
GTEX-1JN1M-2926-SM-CNNPJ 60-69 years, female 130.4
GTEX-QDT8-2026-SM-EZ6LS 30-39 years, female 129.9
GTEX-131XE-2226-SM-5PNYX 50-59 years, male 129.7
GTEX-1LBAC-1426-SM-CXZKT 20-29 years, male 128.5
GTEX-T8EM-1226-SM-4DM5J 40-49 years, male 126.7
GTEX-ZGAY-1626-SM-DNZZ3 40-49 years, female 125.3
GTEX-PW2O-1226-SM-48TCH 20-29 years, male 124.6
GTEX-1LSNM-1026-SM-DHXL2 50-59 years, male 122.0
GTEX-P4PQ-1526-SM-3NMCK 60-69 years, male 120.5
GTEX-1PPH8-1326-SM-DTXFO 20-29 years, male 119.8
GTEX-1J8EW-2226-SM-AHZ3T 60-69 years, female 118.3
GTEX-QDVJ-1426-SM-48U1Y 50-59 years, male 117.4
GTEX-1QPFJ-1526-SM-DPRXT 30-39 years, female 117.3
GTEX-1IDJF-1426-SM-ACKWK 20-29 years, male 116.5
GTEX-ZY6K-0726-SM-5A5L8 50-59 years, male 116.1
GTEX-1C64O-2226-SM-73KTV 60-69 years, male 115.5
GTEX-ZF2S-1426-SM-57WET 50-59 years, female 113.7
GTEX-Q734-1026-SM-48U16 40-49 years, female 110.1
GTEX-145ME-1026-SM-5O9B4 40-49 years, female 109.0
GTEX-1LGRB-1726-SM-CNNRA 50-59 years, female 106.9
GTEX-12BJ1-1726-SM-5HL9B 60-69 years, male 106.3
GTEX-1QCLY-1126-SM-EAZ4J 30-39 years, male 104.8
GTEX-18A7A-2726-SM-7LG6U 50-59 years, female 104.0
GTEX-P78B-1826-SM-3P5YX 40-49 years, female 104.0
GTEX-V1D1-1726-SM-4JBHB 50-59 years, male 103.4
GTEX-RTLS-2626-SM-46MUJ 60-69 years, female 103.0
GTEX-1MUQO-1926-SM-EAZ59 60-69 years, male 102.9
GTEX-V955-1326-SM-4JBHR 60-69 years, male 102.5
GTEX-XPVG-1526-SM-4B66C 50-59 years, male 102.5
GTEX-133LE-1326-SM-5IFGO 20-29 years, female 101.6
GTEX-1MJIX-1126-SM-EV7AO 40-49 years, male 100.4
GTEX-WYVS-1326-SM-4ONCQ 40-49 years, female 98.6
GTEX-14DAR-0926-SM-73KUQ 50-59 years, male 98.2
GTEX-OXRK-1626-SM-3NB17 50-59 years, female 98.1
GTEX-1HCU8-1326-SM-C1YQQ 60-69 years, female 97.8
GTEX-144GN-1226-SM-5O991 50-59 years, male 96.4
GTEX-YB5E-1126-SM-664NU 40-49 years, male 96.3
GTEX-Y5V6-1326-SM-4VDTF 60-69 years, male 94.8
GTEX-1H3VY-2326-SM-9WG81 50-59 years, male 93.6
GTEX-ZPU1-1626-SM-4WWB2 40-49 years, male 93.5
GTEX-11DXX-1326-SM-5GIDZ 60-69 years, female 93.0
GTEX-SNOS-0826-SM-4DM5N 40-49 years, male 92.8
GTEX-17F9E-2226-SM-7IGNC 50-59 years, male 92.6
GTEX-1LVAM-1426-SM-E9TJ4 50-59 years, female 91.6
GTEX-15RIE-1026-SM-6LPJQ 60-69 years, male 90.6
GTEX-1CAMR-0726-SM-7EPIE 20-29 years, male 89.9
GTEX-145MO-2226-SM-5Q5BN 60-69 years, male 89.8
GTEX-1A8G6-1426-SM-731EZ 60-69 years, male 89.4
GTEX-ZP4G-1226-SM-4WWCJ 20-29 years, female 89.4
GTEX-1QMI2-2126-SM-DPRXQ 60-69 years, male 89.4
GTEX-OXRL-1526-SM-E6CHQ 50-59 years, male 88.8
GTEX-131XG-1226-SM-5EGH9 50-59 years, female 88.7
GTEX-1339X-1426-SM-5K7YO 40-49 years, male 87.9
GTEX-17HHE-1026-SM-79ON6 50-59 years, male 87.8
GTEX-1HBPI-0726-SM-9WG7Z 50-59 years, male 87.5
GTEX-WFG7-1326-SM-4LMK1 20-29 years, male 86.6
GTEX-1F75I-1826-SM-7MKGX 40-49 years, male 86.5
GTEX-1399R-1126-SM-5IFIO 30-39 years, male 86.1
GTEX-OHPM-1526-SM-EV796 50-59 years, male 84.8
GTEX-12WSD-2326-SM-59HKQ 60-69 years, female 84.4
GTEX-NFK9-1526-SM-3LK7B 40-49 years, male 84.3
GTEX-U3ZN-2026-SM-4DXUC 30-39 years, female 84.3
GTEX-14PJ4-1626-SM-664OB 60-69 years, male 84.1
GTEX-17HGU-2126-SM-7IGOV 50-59 years, male 83.8
GTEX-XV7Q-1326-SM-4BRWM 40-49 years, female 83.3
GTEX-1AYCT-1326-SM-7MKHB 50-59 years, male 82.7
GTEX-ZLV1-0826-SM-DO11P 60-69 years, female 82.0
GTEX-13S7M-1826-SM-5RQK6 60-69 years, female 81.3
GTEX-13OVK-0926-SM-7KUFX 40-49 years, male 81.1
GTEX-18D9B-2226-SM-718BM 60-69 years, male 80.7
GTEX-1MGNQ-1826-SM-DPRYI 40-49 years, male 80.7
GTEX-14PJ3-1426-SM-664O8 50-59 years, male 80.4
GTEX-SUCS-0926-SM-4DM4Z 70-79 years, male 80.1
GTEX-1B97I-1226-SM-7MGWQ 40-49 years, male 80.1
GTEX-XMK1-1526-SM-EYYVO 40-49 years, male 80.0
GTEX-1HBPN-1626-SM-9WPNP 50-59 years, male 79.7
GTEX-1LVAN-2426-SM-CNNPZ 50-59 years, female 79.7
GTEX-15G19-1526-SM-6LPKP 60-69 years, male 79.6
GTEX-QDVN-1226-SM-48TZ5 50-59 years, male 79.3
GTEX-17HII-2426-SM-7KFTT 50-59 years, male 78.8
GTEX-WHWD-1426-SM-4OORU 50-59 years, male 77.2
GTEX-1JK1U-1326-SM-AHZ45 60-69 years, male 77.2
GTEX-13FH7-1026-SM-5IJGF 50-59 years, female 76.8
GTEX-1JMPZ-1826-SM-CXZJT 30-39 years, male 75.7
GTEX-QV44-1226-SM-CJI1S 50-59 years, male 75.7
GTEX-1JMLX-2426-SM-CXZJQ 50-59 years, male 75.3
GTEX-1B8KE-1326-SM-73KVI 50-59 years, male 75.1
GTEX-WRHK-0626-SM-4MVOE 20-29 years, female 74.5
GTEX-1F5PL-1426-SM-7MKFH 40-49 years, female 73.6
GTEX-1AMEY-1226-SM-731DU 30-39 years, female 73.4
GTEX-13O21-0926-SM-5IFGT 50-59 years, male 73.0
GTEX-14PN3-1326-SM-6AJ9U 60-69 years, female 72.9
GTEX-1I1GT-1726-SM-C1YS3 60-69 years, female 72.8
GTEX-S7SF-0626-SM-4AD4V 20-29 years, female 72.3
GTEX-1I6K7-1726-SM-B2LXQ 40-49 years, male 72.3
GTEX-17F98-1526-SM-7EWD8 40-49 years, female 72.1
GTEX-OHPK-1526-SM-3MJGM 50-59 years, female 71.5
GTEX-11GSP-2126-SM-5HL5E 60-69 years, female 71.3
GTEX-ZTX8-0426-SM-59HLG 20-29 years, male 71.3
GTEX-1399S-1626-SM-5P9GI 30-39 years, female 70.8
GTEX-PLZ6-0826-SM-3P61K 30-39 years, male 70.8
GTEX-18QFQ-1226-SM-718AE 30-39 years, male 70.7
GTEX-1B97J-1826-SM-7IGPP 50-59 years, female 70.4
GTEX-11NUK-2426-SM-5BC4U 50-59 years, male 69.9
GTEX-WY7C-1726-SM-4ONCC 50-59 years, male 69.9
GTEX-1KXAM-0926-SM-CXZKA 60-69 years, male 69.2
GTEX-17MF6-2126-SM-7KFS7 40-49 years, male 68.9
GTEX-11NSD-1426-SM-5HL67 20-29 years, male 68.4
GTEX-YFCO-0826-SM-5LUAG 40-49 years, male 67.8
GTEX-O5YV-1926-SM-EV797 60-69 years, female 67.5
GTEX-14PHX-1026-SM-664OL 50-59 years, male 67.0
GTEX-1HFI7-1526-SM-9WG7W 50-59 years, female 66.3
GTEX-1I1HK-2026-SM-CNNRB 60-69 years, male 66.0
GTEX-13PVQ-2126-SM-5L3FW 50-59 years, male 65.6
GTEX-YEC4-1426-SM-5IFHS 40-49 years, male 65.6
GTEX-VJYA-1026-SM-4KL21 60-69 years, male 64.9
GTEX-PWN1-1526-SM-48TDA 40-49 years, female 64.6
GTEX-117YX-1026-SM-5H11V 50-59 years, male 64.4
GTEX-R53T-1226-SM-48FCT 50-59 years, female 64.1
GTEX-1LG7Z-1226-SM-DHXK4 30-39 years, male 64.1
GTEX-18A66-2226-SM-7189E 60-69 years, male 63.6
GTEX-TKQ1-0526-SM-4DXTG 30-39 years, male 62.9
GTEX-SNMC-0626-SM-4DM6H 20-29 years, male 62.2
GTEX-WHSB-1226-SM-4M1XR 50-59 years, male 61.1
GTEX-OIZF-1526-SM-2I5GR 60-69 years, male 60.6
GTEX-14JG6-1226-SM-664O6 30-39 years, female 60.5
GTEX-P4PP-1526-SM-3P61M 30-39 years, female 60.0
GTEX-ZLWG-1526-SM-DO12F 50-59 years, female 59.7
GTEX-15DZA-1126-SM-6LPK8 30-39 years, female 59.6
GTEX-Y5LM-1326-SM-5RQIS 40-49 years, female 59.0
GTEX-ZVZP-1726-SM-5GZWY 50-59 years, male 58.4
GTEX-WEY5-1226-SM-4LMIQ 40-49 years, female 58.1
GTEX-14PJ6-0826-SM-686Z9 60-69 years, female 57.7
GTEX-O5YW-1526-SM-3MJGL 50-59 years, male 57.4
GTEX-Y3IK-1426-SM-4YCES 50-59 years, female 57.3
GTEX-16NGA-1526-SM-72D56 40-49 years, female 57.2
GTEX-YJ8A-1526-SM-5P9FT 20-29 years, male 57.0
GTEX-1J8QM-1126-SM-C1YQB 60-69 years, female 57.0
GTEX-W5WG-1726-SM-4LMI5 50-59 years, female 56.9
GTEX-QXCU-1926-SM-48FE4 50-59 years, male 56.5
GTEX-WFON-1126-SM-4LVMA 40-49 years, male 56.4
GTEX-13D11-2126-SM-5IFH2 50-59 years, female 56.1
GTEX-PX3G-1526-SM-48U11 20-29 years, female 55.6
GTEX-13CF3-1926-SM-5K7WF 60-69 years, female 54.9
GTEX-131XF-1226-SM-5HL8V 60-69 years, male 54.8
GTEX-15UF7-1226-SM-6M46G 40-49 years, male 54.7
GTEX-1RMOY-1126-SM-EV79E 50-59 years, male 54.7
GTEX-11I78-1726-SM-5A5M3 50-59 years, female 54.3
GTEX-1QCLZ-1826-SM-DPRXP 60-69 years, female 54.3
GTEX-13OW6-2526-SM-5IJEC 50-59 years, male 54.2
GTEX-15CHR-1326-SM-79OLT 50-59 years, male 54.2
GTEX-145LT-1426-SM-5O9B3 40-49 years, male 53.4
GTEX-1B8KZ-1226-SM-793CP 50-59 years, male 53.1
GTEX-ZXES-1426-SM-5NQ8S 30-39 years, female 52.8
GTEX-Q2AI-0826-SM-48TZO 40-49 years, male 52.4
GTEX-X15G-1126-SM-4PQZG 50-59 years, female 52.0
GTEX-111CU-0926-SM-5EGIK 50-59 years, male 51.8
GTEX-S4Q7-0726-SM-4AD5F 20-29 years, male 51.5
GTEX-18D9A-0626-SM-7KFTY 30-39 years, female 51.2
GTEX-ZV7C-1626-SM-5NQ7E 50-59 years, male 51.2
GTEX-14BIL-1926-SM-73KYI 50-59 years, male 51.1
GTEX-11WQK-2626-SM-5EQ4K 50-59 years, male 51.0
GTEX-1A3MX-1926-SM-72D7F 60-69 years, male 51.0
GTEX-13FTW-1726-SM-5KM2B 40-49 years, male 50.7
GTEX-1H1DG-2126-SM-9WPPB 70-79 years, male 50.0
GTEX-17GQL-1226-SM-7KFTS 60-69 years, male 49.6
GTEX-14ICL-0826-SM-5YY9W 30-39 years, male 48.6
GTEX-WFG8-1326-SM-4LVN3 20-29 years, male 47.7
GTEX-T5JW-0926-SM-4DM5K 20-29 years, female 47.4
GTEX-1A3MV-1226-SM-718BW 30-39 years, male 46.9
GTEX-XUZC-0726-SM-4BOPH 30-39 years, female 46.4
GTEX-ZAB4-1526-SM-5CVN7 40-49 years, male 45.8
GTEX-111YS-1126-SM-5GZYQ 60-69 years, male 45.7
GTEX-1AMFI-1226-SM-731CZ 50-59 years, female 45.7
GTEX-1QP2A-2126-SM-DPRZ7 50-59 years, male 45.6
GTEX-1H1E6-1626-SM-9OSWC 30-39 years, male 44.9
GTEX-117YW-2226-SM-5N9DB 50-59 years, male 44.8
GTEX-1RB15-1026-SM-E9U6V 60-69 years, male 44.8
GTEX-145MN-1326-SM-5NQ9S 30-39 years, male 44.7
GTEX-ZT9W-1526-SM-4YCDE 50-59 years, male 44.6
GTEX-TMMY-1626-SM-4DXTY 40-49 years, female 44.4
GTEX-S341-0626-SM-4AD5T 40-49 years, female 43.9
GTEX-1HKZK-1526-SM-B2LWG 40-49 years, male 43.9
GTEX-ZQUD-0826-SM-57WDQ 30-39 years, male 43.7
GTEX-1C475-1026-SM-7MKFJ 40-49 years, female 43.6
GTEX-1KANA-1126-SM-D3L9M 20-29 years, male 43.0
GTEX-ZVP2-1626-SM-5GU5D 50-59 years, male 42.2
GTEX-Y9LG-1026-SM-5IFJN 30-39 years, male 41.8
GTEX-Q2AH-1126-SM-48TZM 40-49 years, male 41.2
GTEX-WXYG-1626-SM-4ONCR 50-59 years, female 41.2
GTEX-S3XE-1026-SM-4AD4O 50-59 years, male 41.1
GTEX-14PJ5-0826-SM-6AJAR 60-69 years, female 40.4
GTEX-1ICG6-1826-SM-AHZ2O 70-79 years, female 40.4
GTEX-1IDJU-1526-SM-CNNR3 60-69 years, female 39.8
GTEX-14PKV-1826-SM-69LO9 20-29 years, female 39.4
GTEX-ZVT2-1626-SM-51MRC 50-59 years, female 38.7
GTEX-13QBU-1126-SM-5LU44 40-49 years, female 38.6
GTEX-QLQW-0726-SM-447AA 30-39 years, male 38.5
GTEX-13FTX-0726-SM-5N9BI 20-29 years, female 38.1
GTEX-144GM-1726-SM-5O9AS 20-29 years, male 38.0
GTEX-Y8LW-0826-SM-4WWDO 50-59 years, female 37.8
GTEX-1J8Q3-1926-SM-C1YSJ 60-69 years, male 37.8
GTEX-16AAH-1226-SM-79OO9 50-59 years, male 37.3
GTEX-RM2N-0826-SM-48FD3 50-59 years, male 37.1
GTEX-14BMU-1126-SM-5RQJ8 20-29 years, female 36.9
GTEX-WYJK-2526-SM-4ONDF 50-59 years, male 35.8
GTEX-ZF29-1526-SM-4WKF7 60-69 years, female 34.4
GTEX-1122O-1926-SM-5EGIQ 60-69 years, female 34.3
GTEX-11TT1-0726-SM-5GU5A 20-29 years, male 33.7
GTEX-132AR-2426-SM-5IFFD 50-59 years, female 33.7
GTEX-XXEK-0826-SM-4BRWG 50-59 years, male 33.4
GTEX-1H23P-2726-SM-9JGHN 60-69 years, male 33.3
GTEX-ZDYS-1926-SM-5HL59 50-59 years, male 33.2
GTEX-132QS-1826-SM-5IFFN 60-69 years, male 33.0
GTEX-XQ8I-2026-SM-4BOOL 50-59 years, male 32.8
GTEX-1GZ4H-1026-SM-9OSXL 50-59 years, female 32.7
GTEX-S4UY-1626-SM-4AD55 40-49 years, female 32.3
GTEX-14B4R-0726-SM-5TDDR 30-39 years, male 31.8
GTEX-ZA64-0826-SM-5HL9U 20-29 years, male 31.7
GTEX-15DCE-1626-SM-6LPJM 20-29 years, male 31.4
GTEX-RWS6-0926-SM-47JXE 60-69 years, female 31.4
GTEX-U4B1-1026-SM-4DXT1 40-49 years, male 31.0
GTEX-ZLFU-1326-SM-DO11R 40-49 years, male 30.9
GTEX-QV31-0626-SM-447C5 30-39 years, male 30.6
GTEX-S95S-0826-SM-4B64N 60-69 years, male 30.4
GTEX-ZZ64-0426-SM-5E43F 20-29 years, male 30.0
GTEX-11EM3-1026-SM-5A5KL 20-29 years, female 29.5
GTEX-12696-1726-SM-5EQLH 60-69 years, male 28.2
GTEX-13PVR-2126-SM-73KVR 60-69 years, female 28.1
GTEX-QLQ7-0826-SM-447B3 60-69 years, male 27.3
GTEX-UJMC-1226-SM-4IHLI 50-59 years, male 26.8
GTEX-14E6E-0926-SM-664N8 30-39 years, male 26.7
GTEX-13113-0726-SM-5LZUF 60-69 years, female 24.9
GTEX-1GL5R-1926-SM-9WG7U 50-59 years, male 23.7
GTEX-12WSK-1426-SM-5CVNN 40-49 years, female 23.0
GTEX-ZYFG-1326-SM-5GICJ 60-69 years, female 22.9
GTEX-XBED-1226-SM-4AT5V 60-69 years, male 22.4
GTEX-T6MO-0726-SM-4DM58 40-49 years, female 22.1
GTEX-1LGOU-1526-SM-D3LAJ 20-29 years, female 22.0
GTEX-ZYY3-1726-SM-5EGH3 60-69 years, female 17.5
GTEX-PWCY-0926-SM-48TD7 20-29 years, female 17.1
Show allShow less

Contact

  • NEWS ARTICLES
  • PRESS ROOM

The Project

  • INTRODUCTION
  • ORGANIZATION
  • PUBLICATIONS

The Human Protein Atlas

  • DOWNLOADABLE DATA
  • LICENCE & CITATION
  • HELP & FAQ
The Human Protein Atlas project is funded
by the Knut & Alice Wallenberg Foundation.


contact@proteinatlas.org