We use cookies to enhance the usability of our website. If you continue, we'll assume that you are happy to receive all cookies. More information. Don't show this again.
FLNA
HPA
RESOURCES
  • TISSUE
  • BRAIN
  • SINGLE CELL
  • SUBCELLULAR
  • CANCER
  • BLOOD
  • CELL LINE
  • STRUCTURE & INTERACTION
ABOUT
  • INTRODUCTION
  • HISTORY
  • ORGANIZATION
  • PUBLICATIONS
  • ANTIBODY SUBMISSION
  • ANTIBODY AVAILABILITY
  • ACKNOWLEDGMENTS
  • CONTACT
NEWS
  • NEWS ARTICLES
  • PRESS ROOM
LEARN
  • DICTIONARY
  • PROTEIN CLASSES
  • PROTEIN EVIDENCE
  • METHODS
  • EDUCATIONAL VIDEOS
DATA
  • DOWNLOADABLE DATA
  • PUBLICATION DATA
  • RELEASE HISTORY
HELP
  • ANTIBODY VALIDATION
  • ASSAYS & ANNOTATION
  • DISCLAIMER
  • HELP & FAQ
  • PRIVACY STATEMENT
  • LICENCE & CITATION
Fields »
Search result

Field
Term
Gene name
Class
Subclass
Class
Keyword
Chromosome
External id
Tissue
Cell type
Expression
Antibody panel
Tissue
Main location
Patient ID
Annotation
Tissue
Category
Tau score
Cluster
Reliability
Brain region
Category
Tau score
Brain region
Category
Tau score
Brain region
Category
Tau score
Cluster
Reliability
Tissue
Cell type
Enrichment
Cell type
Category
Tau score
Cell type
Category
Tau score
Cell type
Category
Tau score
Cell lineage
Category
Tau score
Cluster
Cluster
Location
Searches
Location
Cell line
Class
Type
Phase
Reliability
Cancer
Prognosis
Cancer
Category
Cancer
Category
Tau score
Cluster
Variants
Interacting gene (ensg_id)
Type
Number of interactions
Pathway
Category
Score
Score
Score
Validation
Validation
Validation
Validation
Antibodies
Data type
Column


  • SUMMARY

  • TISSUE

  • BRAIN

  • SINGLE CELL

  • SUBCELL

  • CANCER

  • BLOOD

  • CELL LINE

  • STRUCT & INT

  • FLNA
TISSUE PRIMARY DATA COLON Show tissue menu
ADIPOSE TISSUE ADRENAL GLAND AMYGDALA APPENDIX BASAL GANGLIA BONE MARROW BREAST BRONCHUS CEREBELLUM CEREBRAL CORTEX CERVIX CHOROID PLEXUS COLON DUODENUM
ENDOMETRIUM EPIDIDYMIS ESOPHAGUS FALLOPIAN TUBE GALLBLADDER HEART MUSCLE HIPPOCAMPAL FORMATION HYPOTHALAMUS KIDNEY LIVER LUNG LYMPH NODE MIDBRAIN ORAL MUCOSA
OVARY PANCREAS PARATHYROID GLAND PITUITARY GLAND PLACENTA PROSTATE RECTUM RETINA SALIVARY GLAND SEMINAL VESICLE SKELETAL MUSCLE SKIN SMALL INTESTINE SMOOTH MUSCLE
SOFT TISSUE SPINAL CORD SPLEEN STOMACH TESTIS THYMUS THYROID GLAND TONGUE TONSIL URINARY BLADDER VAGINA
ANTIBODIES
AND
VALIDATION
Dictionary
Colon
Tissue proteome
Intestine
COLON - Expression summary
Protein expression
Coloni

On the top, protein expression in current human tissue, based on all annotated cell types, is reported with the units not detected (n), low (l), medium (m) and high (h). Underneath, protein expression in each annotated cell type are reported using the same units.

Protein expression data is based on knowledge-based annotation. For genes where more than one antibody has been used, a collective score is set.

If knowledge-based annotation could not be performed for a gene, no data is displayed here. View antibody staining data further down this page.

h
m
l
n
Endocrine cells: Not detected
Endothelial cells: Not detected
Enterocytes: Not detected
Enterocytes - Microvilli: Not detected
Fibroblasts: Not detected
Goblet cells: Not detected
Mucosal lymphoid cells: Medium
Peripheral nerve/ganglion: Not detected
RNA expressioni

A summary of mRNA expression data available for current tissue based on several datasets. The mRNA expression levels in human tissues are based on RNA-seq data generated by the Human Protein Atlas (HPA), Genotype-Tissue Expression (GTEx) portal and CAGE data generated by the FANTOM5 consortium. Consensus normalized expression levels for human tissues was created by combining the data from HPA and GTEx datasets.

The mRNA expression levels in pig are based on RNA-seq data generated by the Human Protein Atlas (HPA), and for mouse, HPA data and in situ hybridization generated by the Allen brain atlas are reported.

Scroll down to view mRNA expression data in more detail.
Consensus:1412.7 nTPM
HPA:197.9 nTPM
GTEx:1412.7 nTPM
FANTOM5:1928.2 Scaled Tags Per Million

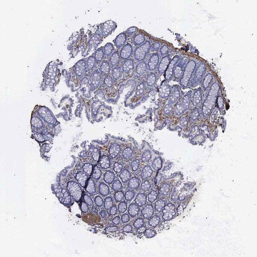
COLON - Antibody stainingi

Antibody staining in the annotated cell types in the current human tissue is reported as not detected, low, medium, or high, based on conventional immunohistochemistry profiling in selected tissues. This score is based on the combination of the staining intensity and fraction of stained cells.

Each image is clickable and will lead to virtual microscopy that enables deeper exploration of all samples and also displays staining intensity scores, fraction scores and subcellular localization as well as patient and tissue information for each sample.

Antibody HPA001115Antibody HPA002925Antibody CAB000356
Endocrine cells --Not detected
Endothelial cells MediumLowNot detected
Enterocytes --Not detected
Enterocytes - Microvilli --Not detected
Fibroblasts --Not detected
Glandular cells Not detectedMedium-
Goblet cells --Not detected
Mucosal lymphoid cells --Medium
Peripheral nerve/ganglion Not detected-Not detected




COLON - HPA RNA-seqi

The RNA-seq details section shows detailed information about the individual samples used for the transcript profiling and results of the RNA-seq analysis.

Information about each individual sample is listed below, including gender, age, a tissue section image and estimated fractions of cell types. nTPM (normalized transcripts per million) values give a quantification of the gene abundance which is comparable between different genes and samples.
Average nTPMi

Max subtype nTPM is the value for the subtype with the largest average nTPM across the subtype samples.

197.9
overview
Male, age 54
Colon sample 67
nTPM: 162.7
Cell types%
Glandular cells:
65

Smooth muscle cells:
10

Other cell types:
25

overview
Female, age 57
Colon sample 68
nTPM: 148.2
Cell types%
Glandular cells:
40

Smooth muscle cells:
5

Other cell types:
55

overview
Male, age 80
Colon sample 69
nTPM: 69.6
Cell types%
Glandular cells:
55

Smooth muscle cells:
5

Other cell types:
40

overview
Male, age 68
Colon sample 70
nTPM: 185.2
Cell types%
Glandular cells:
35

Smooth muscle cells:
10

Other cell types:
55

overview
Female, age 68
Colon sample 76
nTPM: 196.3
Cell types%
Glandular cells:
25

Smooth muscle cells:
5

Other cell types:
70

overview
Female, age 61
Colon sample 299
nTPM: 710.2
Cell types%
Glandular cells:
5

Smooth muscle cells:
65

Other cell types:
30

overview
Male, age 80
Colon sample 300
nTPM: 29
Cell types%
Glandular cells:
15

Smooth muscle cells:
20

Other cell types:
65

overview
Female, age 78
Colon sample 368
nTPM: 40.3
Cell types%
Glandular cells:
45

Smooth muscle cells:
5

Other cell types:
50

overview
Male, age 84
Colon sample 381
nTPM: 365.7
Cell types%
Glandular cells:
50

Smooth muscle cells:
15

Other cell types:
35

overview
Male, age 80
Colon sample 384
nTPM: 52.3
Cell types%
Glandular cells:
20

Smooth muscle cells:
35

Other cell types:
45

overview
Female, age 78
Colon sample 389
nTPM: 127.8
Cell types%
Glandular cells:
35

Smooth muscle cells:
10

Other cell types:
55

overview
Female, age 69
Colon sample 391
nTPM: 261.1
Cell types%
Glandular cells:
10

Smooth muscle cells:
45

Other cell types:
45

overview
Female, age 72
Colon sample 403
nTPM: 224.6
Cell types%
Glandular cells:
20

Smooth muscle cells:
15

Other cell types:
65


COLON - GTEx RNA-seqi

RNA-Seq data generated by the Genotype-Tissue Expression (GTEx) project from human tissues is reported as mean nTPM. More information can be found on the GTEx portal.

Distribution across the dataset is visualized with box plots, shown as median and 25th and 75th percentiles. Points are displayed as outliers if they are above or below 1.5 times the interquartile range. nTPM values of the individual samples are presented next to the box plot.
Max subtype nTPMi

Max subtype nTPM is the value for the subtype with the largest average nTPM across the subtype samples.

1412.7
GTEx sample id Sample description nTPM
Colon - Sigmoid
Average nTPM: 1412.7
Samples: 373

Max nTPM: 3827.0
Min nTPM: 2.3
Std nTPM: 699.0
Median nTPM: 1433.6
GTEX-ZDTS-2726-SM-5L3E2 60-69 years, male 3827.0
GTEX-1PBJJ-2026-SM-DTX8U 30-39 years, male 3687.6
GTEX-1B996-2726-SM-7DUGG 60-69 years, male 3465.4
GTEX-139UW-2326-SM-5KM1Y 60-69 years, male 3188.0
GTEX-11EM3-1626-SM-5N9CO 20-29 years, female 3061.7
GTEX-1LB8K-2526-SM-DIPEQ 50-59 years, male 3060.0
GTEX-WY7C-1926-SM-4ONCI 50-59 years, male 2932.4
GTEX-1LGOU-1726-SM-D3L8P 20-29 years, female 2920.4
GTEX-1I1CD-2826-SM-A9SL4 60-69 years, female 2908.7
GTEX-1399R-2126-SM-5K7WZ 30-39 years, male 2840.4
GTEX-11ZTT-1626-SM-5EQKR 60-69 years, female 2810.9
GTEX-17HHE-1626-SM-7DHLN 50-59 years, male 2737.6
GTEX-15RIF-1426-SM-7KUKQ 20-29 years, male 2723.5
GTEX-1GN73-2726-SM-9WYUB 60-69 years, male 2720.9
GTEX-13G51-2126-SM-5IJD9 60-69 years, male 2687.6
GTEX-WFG7-1626-SM-4LVMF 20-29 years, male 2634.6
GTEX-14PK6-1826-SM-69LOM 70-79 years, female 2605.9
GTEX-ZA64-1426-SM-5CVMC 20-29 years, male 2594.6
GTEX-11I78-1326-SM-5PNY9 50-59 years, female 2558.6
GTEX-15DYW-2426-SM-7KUG8 60-69 years, female 2548.5
GTEX-1AYCT-1926-SM-793AE 50-59 years, male 2533.8
GTEX-11P7K-1826-SM-5HL5A 30-39 years, male 2526.8
GTEX-YF7O-1626-SM-5IFII 50-59 years, male 2510.9
GTEX-ZQG8-2426-SM-57WEE 60-69 years, female 2505.8
GTEX-14JG6-1626-SM-5YYBC 30-39 years, female 2495.9
GTEX-ZF2S-1826-SM-4WKFF 50-59 years, female 2449.1
GTEX-18A6Q-2226-SM-7LG61 60-69 years, male 2443.1
GTEX-1KXAM-1926-SM-D3LAG 60-69 years, male 2417.2
GTEX-1RAZR-2026-SM-E9TKE 40-49 years, male 2416.7
GTEX-1N2EF-1726-SM-EXUSI 60-69 years, male 2408.9
GTEX-11DXZ-1626-SM-5GIDI 50-59 years, male 2402.6
GTEX-1K2DA-1626-SM-CGQGB 50-59 years, male 2386.8
GTEX-1CB4F-1926-SM-7MKFN 60-69 years, male 2347.7
GTEX-WXYG-1726-SM-4ONCU 50-59 years, female 2345.1
GTEX-YFCO-1526-SM-5YYB8 40-49 years, male 2343.7
GTEX-1LG7Z-1326-SM-DIPF3 30-39 years, male 2298.6
GTEX-13CF2-1826-SM-5N9GK 60-69 years, male 2280.2
GTEX-1C2JI-1726-SM-73KUW 50-59 years, male 2280.0
GTEX-1OFPY-1226-SM-E76OM 60-69 years, male 2268.7
GTEX-14PJ3-1226-SM-5ZZVY 50-59 years, male 2259.9
GTEX-1JN76-1326-SM-ARU94 20-29 years, female 2257.1
GTEX-ZPIC-2626-SM-57WE2 40-49 years, female 2252.4
GTEX-1HCUA-1926-SM-B2LWE 50-59 years, female 2236.3
GTEX-1HBPN-2026-SM-B2LWA 50-59 years, male 2232.7
GTEX-XXEK-1826-SM-4BRVC 50-59 years, male 2223.8
GTEX-12BJ1-2026-SM-5FQUH 60-69 years, male 2222.8
GTEX-145LT-0826-SM-5S2QL 40-49 years, male 2209.6
GTEX-13CF3-1326-SM-5LZXZ 60-69 years, female 2201.2
GTEX-ZYFG-1826-SM-5GZWX 60-69 years, female 2200.6
GTEX-13QBU-2026-SM-5KLZB 40-49 years, female 2196.0
GTEX-1J8QM-1226-SM-CY8HI 60-69 years, female 2178.6
GTEX-1N2DV-1826-SM-E6CJ5 40-49 years, male 2166.0
GTEX-14PHX-1126-SM-5YYA5 50-59 years, male 2155.7
GTEX-1J8Q3-2426-SM-CL53S 60-69 years, male 2139.9
GTEX-ZP4G-1526-SM-57WE5 20-29 years, female 2138.5
GTEX-ZXES-1726-SM-5E43G 30-39 years, female 2129.9
GTEX-1F5PK-1726-SM-7RHHW 50-59 years, male 2107.0
GTEX-1B8KE-1526-SM-7DUG2 50-59 years, male 2100.6
GTEX-ZLWG-1826-SM-DO11I 50-59 years, female 2089.5
GTEX-13FTW-2126-SM-5K7YG 40-49 years, male 2084.7
GTEX-11ZTS-1526-SM-5N9G7 60-69 years, female 2081.0
GTEX-1GL5R-1726-SM-9KNUX 50-59 years, male 2078.9
GTEX-Y114-1626-SM-4TT7I 50-59 years, female 2066.3
GTEX-1S5ZA-1426-SM-E6CJQ 20-29 years, male 2024.3
GTEX-14PN3-1926-SM-6EU1Y 60-69 years, female 2021.8
GTEX-13PVR-1726-SM-5Q5EC 60-69 years, female 2016.5
GTEX-131XE-1026-SM-5EGKE 50-59 years, male 1999.7
GTEX-WYVS-1126-SM-4SOJX 40-49 years, female 1987.2
GTEX-11ZU8-1126-SM-5EQ5K 60-69 years, male 1975.8
GTEX-1C475-1526-SM-7DHM3 40-49 years, female 1972.3
GTEX-1AX9K-1626-SM-73KUS 50-59 years, male 1965.0
GTEX-183FY-1426-SM-7DHLM 20-29 years, male 1963.8
GTEX-1I1GP-2826-SM-A9SKZ 50-59 years, male 1961.6
GTEX-1HKZK-2026-SM-9WYUF 40-49 years, male 1961.2
GTEX-13RTJ-1926-SM-5YYA2 60-69 years, male 1959.8
GTEX-XQ8I-2326-SM-4BOQC 50-59 years, male 1933.1
GTEX-14A5H-1626-SM-5SIAN 60-69 years, male 1924.6
GTEX-13D11-0626-SM-5LZYY 50-59 years, female 1913.4
GTEX-1QP9N-0826-SM-DTX9O 30-39 years, male 1903.0
GTEX-1B97I-1526-SM-73KUK 40-49 years, male 1902.1
GTEX-WFG8-1726-SM-4LVM6 20-29 years, male 1893.3
GTEX-14E1K-1626-SM-664MO 50-59 years, male 1890.9
GTEX-1J1OQ-2826-SM-D3L88 40-49 years, female 1890.3
GTEX-ZLFU-1426-SM-4WWEU 40-49 years, male 1879.6
GTEX-1CAMR-1026-SM-7P8QI 20-29 years, male 1877.3
GTEX-1MGNQ-2126-SM-EV7AC 40-49 years, male 1876.4
GTEX-12KS4-2326-SM-5EGJB 30-39 years, male 1872.8
GTEX-16BQI-2026-SM-7KULQ 30-39 years, female 1864.2
GTEX-1RDX4-1926-SM-E6CJJ 50-59 years, female 1860.6
GTEX-1AX9J-2526-SM-73KUY 60-69 years, male 1859.6
GTEX-11EQ9-1526-SM-5PNY7 30-39 years, male 1859.0
GTEX-139T6-1426-SM-5P9J7 50-59 years, male 1853.1
GTEX-1R9JW-2126-SM-E76QT 30-39 years, female 1852.7
GTEX-12WSD-2626-SM-5EGJE 60-69 years, female 1835.4
GTEX-13FH7-1626-SM-5J2O9 50-59 years, female 1833.0
GTEX-XBED-1726-SM-47JYO 60-69 years, male 1831.1
GTEX-15G1A-1926-SM-7KUFF 30-39 years, male 1824.7
GTEX-1HSGN-2226-SM-A9SL6 40-49 years, female 1813.5
GTEX-14C5O-2626-SM-5RQI5 60-69 years, male 1813.3
GTEX-17GQL-1626-SM-7LG69 60-69 years, male 1812.2
GTEX-1H1ZS-2626-SM-9QEIX 70-79 years, male 1806.8
GTEX-14E6E-1726-SM-5S2R6 30-39 years, male 1803.8
GTEX-ZPU1-1726-SM-4WWFV 40-49 years, male 1801.7
GTEX-1JKYN-2226-SM-ARZNE 30-39 years, male 1799.2
GTEX-13OVI-2126-SM-5KM3U 60-69 years, female 1791.4
GTEX-17F96-2126-SM-7KFSM 70-79 years, male 1789.8
GTEX-1I1GT-2026-SM-CKZPK 60-69 years, female 1789.2
GTEX-1JKYR-2026-SM-CNPON 20-29 years, male 1780.2
GTEX-14BMU-1326-SM-5RQIH 20-29 years, female 1761.9
GTEX-16NGA-0926-SM-718AG 40-49 years, female 1754.6
GTEX-1RMOY-1726-SM-EVYC9 50-59 years, male 1753.6
GTEX-1QPFJ-2426-SM-EVR3L 30-39 years, female 1752.6
GTEX-131YS-2926-SM-5EGKI 60-69 years, female 1747.9
GTEX-1IDJI-2226-SM-CKZPM 50-59 years, female 1747.0
GTEX-1E2YA-2526-SM-7IGOU 50-59 years, male 1745.4
GTEX-1QP28-2226-SM-DTX8C 50-59 years, female 1738.9
GTEX-1IDJH-2826-SM-CJI49 70-79 years, male 1737.5
GTEX-11ONC-1926-SM-5GU75 60-69 years, male 1733.8
GTEX-1H1E6-1826-SM-A9G21 30-39 years, male 1730.7
GTEX-ZZ64-0826-SM-5E449 20-29 years, male 1730.0
GTEX-1I1GR-2226-SM-ARL7F 60-69 years, male 1728.9
GTEX-1JMPY-1026-SM-ARZN1 30-39 years, male 1726.5
GTEX-XUW1-1826-SM-4BOQD 50-59 years, female 1726.0
GTEX-1CB4G-2726-SM-79OO4 60-69 years, male 1713.4
GTEX-1A32A-2626-SM-73KX9 50-59 years, female 1708.3
GTEX-WHPG-1626-SM-4M1ZL 50-59 years, male 1702.1
GTEX-11GS4-1826-SM-5HL4T 60-69 years, male 1698.0
GTEX-13PL7-2426-SM-5J2N3 60-69 years, female 1695.4
GTEX-111CU-1226-SM-5EGIN 50-59 years, male 1684.2
GTEX-1QP2A-2226-SM-DTXF6 50-59 years, male 1683.9
GTEX-11DXX-1926-SM-5EGJK 60-69 years, female 1672.3
GTEX-1LVAM-1726-SM-DHXKQ 50-59 years, female 1647.9
GTEX-1F5PL-1926-SM-7MXTP 40-49 years, female 1641.7
GTEX-13O61-1526-SM-5KM3P 60-69 years, male 1641.5
GTEX-1LGRB-2026-SM-COH47 50-59 years, female 1641.0
GTEX-1JMQJ-2626-SM-CY8HQ 50-59 years, male 1637.6
GTEX-1R9PO-2026-SM-E9J4N 60-69 years, female 1634.7
GTEX-1QP67-1426-SM-E8VOO 40-49 years, female 1633.8
GTEX-16MTA-1626-SM-6M47N 50-59 years, male 1630.9
GTEX-1S831-1726-SM-EWROJ 20-29 years, male 1626.1
GTEX-ZPCL-1626-SM-57WGC 60-69 years, female 1619.0
GTEX-1GPI7-1926-SM-9KNUH 20-29 years, male 1616.4
GTEX-1LVAO-2826-SM-E9TJH 60-69 years, male 1615.8
GTEX-ZAB5-1426-SM-5HL9D 50-59 years, male 1614.0
GTEX-14AS3-1026-SM-5TDD7 40-49 years, female 1606.3
GTEX-18A66-2626-SM-72D67 60-69 years, male 1605.4
GTEX-1C4CL-1626-SM-7DUF3 30-39 years, male 1597.8
GTEX-1KANA-1726-SM-CY8IG 20-29 years, male 1595.3
GTEX-1EH9U-1926-SM-7P8QM 60-69 years, male 1593.9
GTEX-1R9K5-2226-SM-DTX9G 50-59 years, male 1593.6
GTEX-18D9A-1326-SM-7LT8P 30-39 years, female 1587.8
GTEX-1JJEA-2526-SM-CY8HJ 60-69 years, male 1584.5
GTEX-1R7EU-1826-SM-DTX9L 60-69 years, male 1581.2
GTEX-ZG7Y-1826-SM-4WWD3 50-59 years, male 1578.1
GTEX-13OVK-1026-SM-7KFTC 40-49 years, male 1575.3
GTEX-XAJ8-0726-SM-47JY5 40-49 years, male 1573.5
GTEX-11P81-1426-SM-5P9JN 30-39 years, female 1569.7
GTEX-12WSJ-1426-SM-5GCON 40-49 years, female 1568.1
GTEX-1ICG6-2226-SM-B2LY7 70-79 years, female 1564.9
GTEX-111YS-1826-SM-5GIEP 60-69 years, male 1563.1
GTEX-13VXT-2026-SM-5L3EW 20-29 years, female 1554.8
GTEX-13111-1926-SM-5GCOL 50-59 years, male 1546.5
GTEX-V955-1726-SM-4JBHF 60-69 years, male 1544.1
GTEX-17HGU-2626-SM-79OKN 50-59 years, male 1534.6
GTEX-11EMC-1426-SM-5N9E4 60-69 years, female 1524.9
GTEX-1PIGE-1526-SM-DTXFC 20-29 years, male 1517.0
GTEX-Y3I4-1126-SM-4TT7Y 50-59 years, male 1516.5
GTEX-1HFI7-1626-SM-9WYTR 50-59 years, female 1504.9
GTEX-12ZZW-2426-SM-5DUWE 50-59 years, male 1492.4
GTEX-117YX-0526-SM-5EGJH 50-59 years, male 1491.9
GTEX-1QW4Y-1426-SM-E76P3 30-39 years, male 1484.3
GTEX-17KNJ-1826-SM-7LT9N 50-59 years, male 1483.7
GTEX-1211K-1826-SM-5EGJ2 60-69 years, female 1476.8
GTEX-1HSMO-2526-SM-A9SKP 60-69 years, male 1474.9
GTEX-1HSMQ-2526-SM-A9SMK 50-59 years, male 1468.6
GTEX-1IKOE-2126-SM-A96T5 30-39 years, female 1466.2
GTEX-1AMFI-1826-SM-73KWB 50-59 years, female 1460.7
GTEX-15EO6-2326-SM-6LPKK 50-59 years, male 1458.2
GTEX-1L5NE-1926-SM-D3L9R 50-59 years, male 1455.6
GTEX-WHWD-1526-SM-4OORV 50-59 years, male 1452.6
GTEX-132NY-2726-SM-5PNY2 60-69 years, male 1445.9
GTEX-YJ8A-1726-SM-5P9IQ 20-29 years, male 1444.4
GTEX-1GMR2-1826-SM-9KNUP 50-59 years, male 1440.9
GTEX-1QP29-2526-SM-E6CQ3 50-59 years, male 1439.5
GTEX-13OW8-2726-SM-5L3FZ 60-69 years, male 1435.8
GTEX-147JS-2626-SM-5S2UX 60-69 years, male 1435.2
GTEX-1LVAN-2626-SM-CNPQF 50-59 years, female 1433.6
GTEX-14PJ4-1826-SM-5YY97 60-69 years, male 1428.4
GTEX-1GZ4H-1326-SM-7P8TE 50-59 years, female 1404.7
GTEX-1GMR8-2926-SM-9KNW5 50-59 years, female 1404.2
GTEX-ZE9C-2126-SM-4WKGY 60-69 years, male 1404.0
GTEX-1122O-1426-SM-5H11R 60-69 years, female 1402.9
GTEX-ZC5H-2426-SM-4WAZ6 40-49 years, female 1399.6
GTEX-XV7Q-2226-SM-4BRVY 40-49 years, female 1393.8
GTEX-15ER7-2826-SM-6PAN2 20-29 years, female 1386.6
GTEX-1JMPZ-2626-SM-ARU8Z 30-39 years, male 1379.2
GTEX-1JK1U-1426-SM-CNPOW 60-69 years, male 1374.2
GTEX-ZV6S-1126-SM-57WE9 40-49 years, female 1372.5
GTEX-1IDJU-1926-SM-CL53W 60-69 years, female 1371.7
GTEX-1EU9M-2726-SM-7P8QD 60-69 years, male 1369.2
GTEX-1212Z-1826-SM-5FQSH 60-69 years, male 1367.4
GTEX-15ETS-2326-SM-7KUGC 40-49 years, female 1361.7
GTEX-X15G-1526-SM-4PQZM 50-59 years, female 1360.0
GTEX-1H1DE-1626-SM-9KNU5 20-29 years, male 1352.1
GTEX-ZLV1-1326-SM-DO11Q 60-69 years, female 1348.9
GTEX-1GMR3-2526-SM-7P8QS 40-49 years, male 1347.7
GTEX-15RJ7-1726-SM-6PAL3 40-49 years, male 1344.9
GTEX-12WSG-2426-SM-5EQLZ 50-59 years, female 1342.0
GTEX-14PKV-1926-SM-686YU 20-29 years, female 1341.3
GTEX-1PBJI-2526-SM-E6CP4 20-29 years, female 1335.8
GTEX-15DZA-1026-SM-6PAND 30-39 years, female 1333.7
GTEX-11TUW-2326-SM-5EQMO 60-69 years, male 1325.3
GTEX-ZF28-2526-SM-57WFH 60-69 years, male 1320.0
GTEX-ZVT3-2826-SM-5GU6A 60-69 years, female 1316.0
GTEX-1HSEH-1926-SM-A96SB 60-69 years, male 1315.3
GTEX-1K9T9-2926-SM-E9TKD 50-59 years, female 1299.4
GTEX-13N2G-2226-SM-5IJCU 60-69 years, male 1298.9
GTEX-15UF7-1326-SM-7KUKV 40-49 years, male 1295.3
GTEX-Y9LG-1326-SM-4VBQB 30-39 years, male 1291.0
GTEX-13U4I-2626-SM-5SI9C 40-49 years, female 1290.8
GTEX-117XS-2226-SM-5GIE1 60-69 years, male 1290.1
GTEX-11TT1-0926-SM-5GU5M 20-29 years, male 1289.7
GTEX-ZY6K-1326-SM-5GZWP 50-59 years, male 1283.8
GTEX-1S82P-2026-SM-E9TIQ 60-69 years, female 1281.4
GTEX-1J8EW-2426-SM-CE6T5 60-69 years, female 1271.8
GTEX-1PDJ9-2026-SM-E76PT 20-29 years, male 1265.5
GTEX-1399U-2226-SM-5KLZI 50-59 years, female 1249.6
GTEX-ZF29-1826-SM-4WKG8 60-69 years, female 1248.4
GTEX-1LG7Y-2226-SM-E9U5K 50-59 years, male 1243.3
GTEX-1QCLY-2026-SM-EVR4C 30-39 years, male 1235.9
GTEX-1LSNM-1426-SM-E6CIH 50-59 years, male 1230.2
GTEX-1LBAC-1726-SM-D3L9W 20-29 years, male 1221.1
GTEX-13OVJ-1826-SM-5KM2D 50-59 years, female 1200.8
GTEX-YECK-2826-SM-5IFHF 60-69 years, male 1189.7
GTEX-1JMQK-2326-SM-ARZN4 60-69 years, male 1185.6
GTEX-12696-1926-SM-5EGJT 60-69 years, male 1181.0
GTEX-1PPH8-2226-SM-EWRN7 20-29 years, male 1170.6
GTEX-1H3NZ-2526-SM-9KNVO 60-69 years, male 1156.7
GTEX-145ME-1126-SM-5SIAT 40-49 years, female 1153.5
GTEX-13FHO-2726-SM-5K7VG 60-69 years, male 1152.5
GTEX-11PRG-2026-SM-5GU5F 50-59 years, male 1151.7
GTEX-1H3VY-2526-SM-9KNW1 50-59 years, male 1141.8
GTEX-1C64N-2226-SM-7SB7C 50-59 years, male 1139.3
GTEX-15RIE-2026-SM-7KFRW 60-69 years, male 1128.2
GTEX-1JMLX-2526-SM-CY8HX 50-59 years, male 1126.7
GTEX-12WSM-1426-SM-5GCPA 60-69 years, male 1123.5
GTEX-1RAZQ-2026-SM-E76P7 30-39 years, male 1122.3
GTEX-17MFQ-1226-SM-7KFSA 20-29 years, male 1121.0
GTEX-1PIEJ-1826-SM-EWRMN 20-29 years, female 1109.5
GTEX-1QCLZ-2026-SM-EAZ4A 60-69 years, female 1104.1
GTEX-XUZC-1526-SM-4BRV4 30-39 years, female 1096.9
GTEX-145MO-2626-SM-5QGPD 60-69 years, male 1095.1
GTEX-1CAMS-2626-SM-7PBY3 40-49 years, female 1093.6
GTEX-X4EO-2726-SM-4E3HS 60-69 years, female 1093.4
GTEX-13X6J-2826-SM-7EPGA 50-59 years, male 1088.9
GTEX-144GM-1126-SM-79OJK 20-29 years, male 1088.6
GTEX-WFON-1326-SM-4LVMN 40-49 years, male 1077.2
GTEX-15CHQ-2626-SM-686YZ 60-69 years, male 1074.5
GTEX-18QFQ-1726-SM-731C9 30-39 years, male 1072.9
GTEX-13X6K-2726-SM-5O9DG 60-69 years, female 1063.4
GTEX-1J1R8-1426-SM-CL55O 40-49 years, male 1057.9
GTEX-16XZZ-2726-SM-7EWDO 60-69 years, male 1057.6
GTEX-13O1R-2426-SM-5KLZZ 60-69 years, male 1056.1
GTEX-1HCVE-2326-SM-9WYUD 50-59 years, male 1056.0
GTEX-12WSL-1826-SM-5LZW9 50-59 years, male 1035.1
GTEX-1I6K6-1926-SM-A96SN 30-39 years, male 1028.0
GTEX-131XG-1526-SM-5GCNQ 50-59 years, female 1024.5
GTEX-ZAB4-2426-SM-5HL8A 40-49 years, male 1020.9
GTEX-14DAQ-2926-SM-664MV 60-69 years, female 1000.5
GTEX-146FH-2426-SM-5Q5EW 50-59 years, female 970.6
GTEX-YEC3-2026-SM-DKPOL 50-59 years, male 970.1
GTEX-1A3MX-2326-SM-718B4 60-69 years, male 949.5
GTEX-ZYY3-2226-SM-5E45A 60-69 years, female 949.3
GTEX-WQUQ-2626-SM-4MVNP 60-69 years, male 945.1
GTEX-1F75W-2126-SM-7RHIA 60-69 years, male 938.8
GTEX-17JCI-2826-SM-7IGNA 60-69 years, female 935.2
GTEX-14C39-1626-SM-5S2P4 40-49 years, male 931.3
GTEX-WRHK-1126-SM-4MVOJ 20-29 years, female 930.5
GTEX-Y5LM-1426-SM-5RQJL 40-49 years, female 923.9
GTEX-1339X-1726-SM-5P9J9 40-49 years, male 923.1
GTEX-1HCU7-2726-SM-A9G3D 50-59 years, male 921.7
GTEX-Z93S-2626-SM-57WBX 50-59 years, male 919.3
GTEX-1B932-2126-SM-7IGMU 40-49 years, female 918.1
GTEX-11EI6-2626-SM-5PNVT 60-69 years, male 917.5
GTEX-1LSNL-1626-SM-E9TJY 50-59 years, male 906.1
GTEX-1GF9X-1426-SM-7RHGX 40-49 years, female 905.1
GTEX-13OW5-2826-SM-5KM1G 60-69 years, male 888.3
GTEX-1A3MV-1026-SM-72D5U 30-39 years, male 887.0
GTEX-1RLM8-1726-SM-E9TKF 50-59 years, male 884.5
GTEX-139TS-2226-SM-5J2N1 60-69 years, male 875.2
GTEX-YJ8O-1426-SM-5PNV9 40-49 years, female 869.8
GTEX-11VI4-1426-SM-5GU6O 40-49 years, female 863.2
GTEX-1GTWX-2626-SM-9WPOT 60-69 years, male 860.6
GTEX-13PVQ-2726-SM-5L3H7 50-59 years, male 860.4
GTEX-ZYT6-2826-SM-5GICX 30-39 years, male 855.8
GTEX-1HSKV-2326-SM-A9SL9 60-69 years, male 843.1
GTEX-1H23P-2626-SM-9KNVN 60-69 years, male 840.7
GTEX-1C6VQ-2626-SM-7IGMQ 50-59 years, male 839.0
GTEX-ZTTD-2626-SM-57WEX 50-59 years, male 836.0
GTEX-ZVT4-2626-SM-5N9GJ 50-59 years, female 823.2
GTEX-ZT9W-1726-SM-51MS3 50-59 years, male 815.8
GTEX-13OW6-2226-SM-5N9FL 50-59 years, male 796.7
GTEX-1JJE9-2526-SM-ARU8K 70-79 years, male 793.4
GTEX-ZYFD-2226-SM-5E43P 50-59 years, male 792.9
GTEX-ZVT2-1726-SM-51MRO 50-59 years, female 791.8
GTEX-17EUY-1726-SM-79OK4 20-29 years, male 780.8
GTEX-1PFEY-1726-SM-DPRZ4 30-39 years, male 777.1
GTEX-12ZZX-2726-SM-5N9FT 40-49 years, female 753.4
GTEX-15UF6-2726-SM-7KULY 70-79 years, female 744.8
GTEX-14BIN-2426-SM-5TDCF 50-59 years, female 723.7
GTEX-1B8L1-1926-SM-7IGND 60-69 years, male 715.1
GTEX-1HBPI-2226-SM-9WYTY 50-59 years, male 713.2
GTEX-13SLW-2826-SM-5Q5ES 70-79 years, male 688.5
GTEX-15G19-2726-SM-6LPKG 60-69 years, male 688.3
GTEX-14E6C-2226-SM-5QGQG 40-49 years, male 685.1
GTEX-1C64O-2426-SM-7P8R3 60-69 years, male 680.3
GTEX-1RQEC-2626-SM-EVR3Z 60-69 years, male 659.6
GTEX-1BAJH-2726-SM-7IGNJ 70-79 years, male 657.2
GTEX-1EMGI-2626-SM-7IGNR 60-69 years, male 637.5
GTEX-1LKK1-2426-SM-DIPES 50-59 years, female 631.3
GTEX-ZTSS-1226-SM-51MSZ 40-49 years, male 628.3
GTEX-12ZZY-2726-SM-5EQ45 60-69 years, male 624.4
GTEX-1LSVX-2026-SM-E9TJD 60-69 years, male 611.4
GTEX-1HCU6-2926-SM-B2LWV 60-69 years, female 609.2
GTEX-132AR-2826-SM-5IJFV 50-59 years, female 588.0
GTEX-1H3VE-2326-SM-9KNVU 40-49 years, male 559.1
GTEX-1IL2U-2526-SM-C1YQV 60-69 years, male 552.9
GTEX-1HBPH-2526-SM-ACKXK 40-49 years, female 530.0
GTEX-148VJ-2426-SM-5NQ9Y 70-79 years, male 528.0
GTEX-1HBPM-2626-SM-9WYU5 60-69 years, female 527.1
GTEX-139D8-2926-SM-5IJBM 30-39 years, female 523.5
GTEX-WI4N-2226-SM-4OOS9 40-49 years, female 521.3
GTEX-15F5U-1426-SM-7KUN2 40-49 years, male 517.7
GTEX-18A67-2226-SM-7LT9Z 50-59 years, male 512.9
GTEX-13113-1426-SM-5EGHU 60-69 years, female 489.3
GTEX-1GMRU-2626-SM-9WPPM 50-59 years, male 482.1
GTEX-17F9Y-2626-SM-7IGN9 70-79 years, female 480.5
GTEX-1J8JJ-2426-SM-D4P4A 60-69 years, female 460.3
GTEX-14A5I-2426-SM-5Q5CP 50-59 years, female 446.4
GTEX-15RJE-2226-SM-6M46A 40-49 years, male 414.3
GTEX-18465-2726-SM-7LT9I 50-59 years, male 408.9
GTEX-ZAJG-2626-SM-5S2NU 50-59 years, female 396.6
GTEX-Y8LW-1126-SM-4VDS4 50-59 years, female 363.4
GTEX-13X6I-2726-SM-5Q5ET 60-69 years, male 347.6
GTEX-145MH-2726-SM-5QGQ6 50-59 years, male 343.4
GTEX-1OJC3-1826-SM-DTX93 20-29 years, male 317.0
GTEX-145LS-2926-SM-5O99G 60-69 years, female 298.6
GTEX-147GR-2826-SM-5RQK8 60-69 years, male 270.9
GTEX-WH7G-1426-SM-4LVMU 40-49 years, male 264.2
GTEX-1HB9E-2526-SM-D4P35 50-59 years, male 264.1
GTEX-11DXY-2026-SM-5N9CZ 60-69 years, male 201.3
GTEX-WHSE-2726-SM-EZ6ML 20-29 years, male 194.6
GTEX-WYJK-2326-SM-4ONDN 50-59 years, male 192.5
GTEX-13W3W-2226-SM-5LU4M 60-69 years, female 180.7
GTEX-1477Z-2126-SM-5Q5CM 60-69 years, male 159.1
GTEX-183WM-2526-SM-731BP 70-79 years, female 156.1
GTEX-16Z82-2426-SM-7KUMS 60-69 years, male 150.2
GTEX-ZE7O-2626-SM-51MSS 50-59 years, female 149.8
GTEX-WOFM-1926-SM-4OOSP 20-29 years, male 141.6
GTEX-Y5V6-1626-SM-4VDT2 60-69 years, male 139.7
GTEX-15FZZ-1826-SM-6LLJP 30-39 years, female 129.7
GTEX-1P4AB-2626-SM-DTXEU 50-59 years, male 124.8
GTEX-Y8E4-2326-SM-EAZAZ 40-49 years, male 108.1
GTEX-1JN6P-2126-SM-ARL98 60-69 years, male 106.4
GTEX-1AMEY-1826-SM-72D5L 30-39 years, female 101.8
GTEX-1PIIG-2126-SM-EXUSD 30-39 years, male 98.6
GTEX-VJYA-2126-SM-4KL1O 60-69 years, male 91.3
GTEX-W5WG-2026-SM-4LMIB 50-59 years, female 83.8
GTEX-17HG3-1126-SM-7DUFC 30-39 years, female 83.0
GTEX-11EQ8-2626-SM-5N9BO 60-69 years, male 78.6
GTEX-X5EB-1126-SM-46MVV 40-49 years, male 72.3
GTEX-ZQUD-1026-SM-4YCEZ 30-39 years, male 48.7
GTEX-ZVZQ-2626-SM-59HLB 60-69 years, female 2.3
Show allShow less
Colon - Transverse
Average nTPM: 647.3
Samples: 406

Max nTPM: 3223.5
Min nTPM: 12.3
Std nTPM: 627.1
Median nTPM: 435.7
GTEX-13FH7-1526-SM-5J2N6 50-59 years, female 3223.5
GTEX-15CHC-1626-SM-5ZZWS 60-69 years, female 2914.4
GTEX-11GSP-1626-SM-5986N 60-69 years, female 2797.6
GTEX-17F96-2026-SM-79ON4 70-79 years, male 2544.1
GTEX-1GMR2-1726-SM-9JGI2 50-59 years, male 2498.8
GTEX-1C2JI-1626-SM-7EPHC 50-59 years, male 2383.1
GTEX-WEY5-1426-SM-4LMJ3 40-49 years, female 2377.3
GTEX-14C5O-2526-SM-73KU2 60-69 years, male 2338.6
GTEX-TKQ1-0626-SM-4DXTS 30-39 years, male 2280.1
GTEX-1LBAC-1626-SM-CXZKV 20-29 years, male 2104.0
GTEX-17F9E-1826-SM-7IGMC 50-59 years, male 2098.1
GTEX-11ZVC-2126-SM-5EGJ1 50-59 years, female 1995.1
GTEX-14H4A-1926-SM-5ZZWN 40-49 years, female 1966.7
GTEX-WY7C-1626-SM-4ONC8 50-59 years, male 1961.8
GTEX-1S82U-0726-SM-E9TKI 30-39 years, female 1950.9
GTEX-14PJ5-0926-SM-6LLIK 60-69 years, female 1945.3
GTEX-U3ZH-1326-SM-4DXSF 30-39 years, male 1916.8
GTEX-15DZA-0926-SM-69LQ3 30-39 years, female 1915.6
GTEX-1GL5R-2426-SM-7MXV1 50-59 years, male 1877.7
GTEX-1AX8Z-2726-SM-73KUC 60-69 years, male 1873.8
GTEX-ZYFG-1926-SM-5GID5 60-69 years, female 1844.2
GTEX-1LVAN-2526-SM-CNPPC 50-59 years, female 1829.0
GTEX-13U4I-2426-SM-5LU34 40-49 years, female 1813.8
GTEX-14PJ3-0926-SM-69LQG 50-59 years, male 1803.0
GTEX-13VXT-2426-SM-5LU46 20-29 years, female 1778.9
GTEX-SNMC-1126-SM-4DM5M 20-29 years, male 1760.1
GTEX-117YX-0826-SM-5H11J 50-59 years, male 1752.6
GTEX-XAJ8-0426-SM-47JYJ 40-49 years, male 1744.7
GTEX-11EQ9-1426-SM-5987G 30-39 years, male 1730.7
GTEX-17JCI-2626-SM-7EWE6 60-69 years, female 1717.6
GTEX-1B996-2626-SM-73KZ1 60-69 years, male 1717.0
GTEX-Y3I4-1426-SM-4TT9C 50-59 years, male 1713.7
GTEX-14AS3-1126-SM-5Q5CR 40-49 years, female 1709.5
GTEX-ZF29-1726-SM-4WKFV 60-69 years, female 1708.8
GTEX-RWS6-1826-SM-47JXX 60-69 years, female 1689.1
GTEX-1CB4F-2026-SM-79OLU 60-69 years, male 1655.5
GTEX-13CF3-1426-SM-5K7YY 60-69 years, female 1643.8
GTEX-XGQ4-1226-SM-4AT67 50-59 years, male 1635.3
GTEX-Y114-1526-SM-4TT79 50-59 years, female 1622.5
GTEX-1MCC2-1626-SM-DIPEW 30-39 years, female 1598.6
GTEX-16NGA-1026-SM-7KFS3 40-49 years, female 1577.0
GTEX-1C64O-2326-SM-73KU8 60-69 years, male 1567.3
GTEX-18D9B-2526-SM-718BN 60-69 years, male 1547.6
GTEX-12WSL-1626-SM-5GCMU 50-59 years, male 1520.9
GTEX-T6MO-0826-SM-4DM51 40-49 years, female 1518.8
GTEX-Y8LW-1226-SM-4WWDP 50-59 years, female 1514.9
GTEX-YEC4-1926-SM-5IFHJ 40-49 years, male 1492.5
GTEX-18QFQ-1526-SM-72D57 30-39 years, male 1469.8
GTEX-1HCVE-2526-SM-A9G2G 50-59 years, male 1462.1
GTEX-OXRL-1426-SM-3NM9E 50-59 years, male 1461.5
GTEX-ZYFC-2626-SM-5NQ6S 50-59 years, male 1453.4
GTEX-13O61-1626-SM-5KM3T 60-69 years, male 1451.3
GTEX-1HSMP-2326-SM-D3L8R 70-79 years, male 1444.4
GTEX-1A3MV-1126-SM-718BS 30-39 years, male 1436.3
GTEX-1CB4I-2226-SM-7P8SL 50-59 years, male 1434.8
GTEX-XXEK-1926-SM-4BRVD 50-59 years, male 1432.9
GTEX-111YS-1626-SM-5GZZ9 60-69 years, male 1432.4
GTEX-ZV6S-1226-SM-59HLH 40-49 years, female 1423.7
GTEX-1GN73-2626-SM-9KNUQ 60-69 years, male 1419.0
GTEX-14ICL-1226-SM-5S2RD 30-39 years, male 1414.5
GTEX-S3XE-1126-SM-4AD4N 50-59 years, male 1374.1
GTEX-11ONC-2026-SM-5HL61 60-69 years, male 1373.8
GTEX-X5EB-0926-SM-46MVT 40-49 years, male 1369.4
GTEX-OXRN-2026-SM-E6CHK 50-59 years, male 1356.8
GTEX-U412-1726-SM-EZ6KX 60-69 years, male 1351.1
GTEX-1MUQO-2626-SM-EWRO3 60-69 years, male 1350.1
GTEX-145ME-0826-SM-5O9AF 40-49 years, female 1345.8
GTEX-18A7A-2226-SM-7LT8K 50-59 years, female 1339.4
GTEX-1RAZQ-2126-SM-DTX9V 30-39 years, male 1333.9
GTEX-1IDJC-1326-SM-CL53H 50-59 years, male 1298.7
GTEX-11TUW-2026-SM-5EQL8 60-69 years, male 1279.0
GTEX-XYKS-2226-SM-4E3IU 60-69 years, female 1275.7
GTEX-1JJ6O-2426-SM-ARU8J 60-69 years, male 1270.2
GTEX-17KNJ-1726-SM-7LG6A 50-59 years, male 1243.0
GTEX-O5YW-1426-SM-3MJHF 50-59 years, male 1235.7
GTEX-1IDJF-1826-SM-CKZOE 20-29 years, male 1235.6
GTEX-Z93S-2426-SM-5HL8N 50-59 years, male 1234.7
GTEX-14E1K-1826-SM-793DT 50-59 years, male 1234.3
GTEX-NFK9-2026-SM-3LK5K 40-49 years, male 1231.2
GTEX-1QW4Y-1326-SM-EWRMZ 30-39 years, male 1222.6
GTEX-11P81-1126-SM-5GU5G 30-39 years, female 1220.8
GTEX-1N2EF-1926-SM-DTX8M 60-69 years, male 1185.9
GTEX-1ICLZ-2426-SM-CKZOD 60-69 years, male 1185.6
GTEX-1AYD5-1726-SM-7RHFW 50-59 years, male 1181.2
GTEX-1GZ4H-1226-SM-9KNUA 50-59 years, female 1177.7
GTEX-1HCU6-2726-SM-A9SKV 60-69 years, female 1177.4
GTEX-QDVJ-1326-SM-48U1X 50-59 years, male 1165.1
GTEX-1IGQW-2326-SM-CE6RV 60-69 years, male 1147.5
GTEX-1PPGY-2826-SM-DTX9H 60-69 years, male 1117.6
GTEX-QLQ7-1126-SM-CYPRB 60-69 years, male 1114.0
GTEX-15DCE-2026-SM-7KUFE 20-29 years, male 1112.8
GTEX-14DAQ-2726-SM-5S2QY 60-69 years, female 1112.5
GTEX-1NHNU-2326-SM-E6CQE 50-59 years, male 1104.9
GTEX-P78B-1726-SM-3P5ZV 40-49 years, female 1100.4
GTEX-X3Y1-1726-SM-4PQZL 40-49 years, male 1085.9
GTEX-1IKK5-2726-SM-CNPQ6 60-69 years, male 1076.6
GTEX-11TTK-2426-SM-5PNYO 60-69 years, female 1075.4
GTEX-V955-1626-SM-4JBHJ 60-69 years, male 1066.0
GTEX-145LS-2726-SM-5Q5D8 60-69 years, female 1051.7
GTEX-1GMR3-2826-SM-9WPOG 40-49 years, male 1047.4
GTEX-S341-1426-SM-4AD6U 40-49 years, female 1019.4
GTEX-14PJM-2626-SM-686ZD 50-59 years, female 1013.3
GTEX-1KANB-1526-SM-CXZK4 50-59 years, male 1000.5
GTEX-1RMOY-1626-SM-EVYC8 50-59 years, male 996.0
GTEX-PSDG-1826-SM-EAZ2S 50-59 years, male 995.4
GTEX-1OKEX-1226-SM-DTXEC 60-69 years, male 989.8
GTEX-ZGAY-2126-SM-4YCFB 40-49 years, female 982.7
GTEX-13OVK-0826-SM-7KULZ 40-49 years, male 975.6
GTEX-15G1A-1826-SM-7KUKO 30-39 years, male 974.8
GTEX-1NV5F-2226-SM-DTX8O 60-69 years, female 967.0
GTEX-1HKZK-2126-SM-A9SL3 40-49 years, male 957.2
GTEX-WYVS-1826-SM-4OND6 40-49 years, female 932.3
GTEX-1R9JW-2026-SM-EAZ4O 30-39 years, female 930.6
GTEX-XUW1-1926-SM-4BOP1 50-59 years, female 926.0
GTEX-1RDX4-1826-SM-EVR54 50-59 years, female 921.4
GTEX-1PPH8-2026-SM-DTX7P 20-29 years, male 918.6
GTEX-1JMPZ-2426-SM-C1YQP 30-39 years, male 915.2
GTEX-17GQL-1526-SM-7LTAC 60-69 years, male 907.4
GTEX-15ER7-2926-SM-7KUFK 20-29 years, female 896.9
GTEX-1AYCT-1826-SM-731EG 50-59 years, male 896.5
GTEX-1R9K5-2126-SM-E8VN1 50-59 years, male 885.1
GTEX-1LGOU-1626-SM-D3LAK 20-29 years, female 883.2
GTEX-WYJK-2226-SM-4ONDJ 50-59 years, male 882.1
GTEX-Y8E4-2426-SM-4WWDN 40-49 years, male 876.6
GTEX-ZYVF-2826-SM-5GIDK 50-59 years, female 870.3
GTEX-1BAJH-2326-SM-7IGMO 70-79 years, male 869.5
GTEX-ZZ64-0726-SM-5GZX4 20-29 years, male 868.5
GTEX-1QMI2-2626-SM-E6CR4 60-69 years, male 868.3
GTEX-13OW6-2126-SM-5N9GL 50-59 years, male 864.7
GTEX-13OW5-2626-SM-5MR3M 60-69 years, male 851.7
GTEX-PX3G-1426-SM-48U1J 20-29 years, female 845.0
GTEX-ZAB4-2226-SM-5HL97 40-49 years, male 832.8
GTEX-148VJ-2626-SM-5QGPI 70-79 years, male 830.9
GTEX-18A7B-2026-SM-72D71 70-79 years, male 826.2
GTEX-ZP4G-1726-SM-4WWCM 20-29 years, female 820.7
GTEX-WH7G-1326-SM-4LVMS 40-49 years, male 815.7
GTEX-15UF6-2626-SM-6M466 70-79 years, female 813.7
GTEX-RU1J-1326-SM-46MUL 20-29 years, female 807.7
GTEX-12WSJ-1526-SM-5GCNI 40-49 years, female 796.7
GTEX-13QJ3-2626-SM-9OSXQ 50-59 years, male 796.5
GTEX-1HSGN-2626-SM-CE6S1 40-49 years, female 792.8
GTEX-1J1OQ-2726-SM-AHZ3R 40-49 years, female 789.6
GTEX-X4EO-2526-SM-EWRM8 60-69 years, female 786.2
GTEX-1AMEY-1926-SM-73KVT 30-39 years, female 784.9
GTEX-1GF9U-1526-SM-7MXUW 40-49 years, female 779.8
GTEX-1EH9U-2026-SM-7PBYS 60-69 years, male 765.0
GTEX-1LH75-2126-SM-EVR5F 50-59 years, female 740.9
GTEX-17MF6-2426-SM-7LTAM 40-49 years, male 726.9
GTEX-145MO-2426-SM-5NQ9W 60-69 years, male 721.5
GTEX-SE5C-1526-SM-4BRWU 40-49 years, female 719.6
GTEX-1H1DG-2226-SM-9WPPC 70-79 years, male 717.2
GTEX-16MT8-2726-SM-7IGLJ 60-69 years, female 715.3
GTEX-1I1GT-1926-SM-ARU7D 60-69 years, female 713.0
GTEX-13O3P-2326-SM-5KM55 50-59 years, male 708.7
GTEX-13OVI-2026-SM-5J1MU 60-69 years, female 708.6
GTEX-15SHU-2526-SM-6M47D 40-49 years, female 706.2
GTEX-1LG7Y-2126-SM-DIPER 50-59 years, male 682.6
GTEX-WQUQ-2526-SM-4MVNO 60-69 years, male 678.3
GTEX-1GZ4I-2426-SM-9WPPP 50-59 years, male 675.3
GTEX-12KS4-2426-SM-5LU8P 30-39 years, male 672.4
GTEX-QMRM-1226-SM-447C6 50-59 years, male 660.4
GTEX-13FHP-2426-SM-5KLZ5 50-59 years, male 651.9
GTEX-1JJE9-2426-SM-D3L8T 70-79 years, male 640.4
GTEX-S4UY-0826-SM-4AD4Z 40-49 years, female 634.8
GTEX-OXRO-0726-SM-E9U4C 60-69 years, female 611.3
GTEX-S4P3-1226-SM-4AD4Y 50-59 years, female 603.9
GTEX-1N5O9-2726-SM-E76QH 60-69 years, male 603.1
GTEX-178AV-1326-SM-6LPJX 40-49 years, male 602.2
GTEX-11NSD-1626-SM-5986U 20-29 years, male 595.1
GTEX-1HCU7-2626-SM-C1YQO 50-59 years, male 593.6
GTEX-13W3W-2126-SM-5K7UX 60-69 years, female 580.9
GTEX-13OVG-1426-SM-5K7VP 60-69 years, male 579.3
GTEX-15DYW-2326-SM-6PAMU 60-69 years, female 578.7
GTEX-VJYA-2026-SM-4KL1K 60-69 years, male 577.0
GTEX-1POEN-2026-SM-E6CRL 30-39 years, female 574.0
GTEX-R45C-2126-SM-EZ6KZ 60-69 years, female 571.9
GTEX-XQ8I-2126-SM-4BOOM 50-59 years, male 569.6
GTEX-P4PP-1426-SM-3NM9L 30-39 years, female 565.2
GTEX-1H1DE-1526-SM-ARL9B 20-29 years, male 550.7
GTEX-1C6VQ-2726-SM-73KUL 50-59 years, male 549.9
GTEX-14JG6-1726-SM-69LPL 30-39 years, female 548.5
GTEX-PLZ6-0926-SM-3P5ZQ 30-39 years, male 542.0
GTEX-OHPM-1426-SM-3TW8Y 50-59 years, male 533.6
GTEX-111VG-2226-SM-5N9DU 60-69 years, male 516.9
GTEX-1JMLX-2726-SM-CM2SB 50-59 years, male 508.8
GTEX-16Z82-2226-SM-6LPJ7 60-69 years, male 504.5
GTEX-1IDJD-2226-SM-A96TD 30-39 years, male 499.6
GTEX-1JK1U-1526-SM-AHZ46 60-69 years, male 498.4
GTEX-Q734-1126-SM-48TZY 40-49 years, female 493.8
GTEX-1JN1M-2626-SM-CY8I3 60-69 years, female 490.6
GTEX-1IOXB-2626-SM-CJI2N 50-59 years, male 483.7
GTEX-117YW-1826-SM-5PNY5 50-59 years, male 482.6
GTEX-1I6K6-1826-SM-B2LX5 30-39 years, male 479.0
GTEX-OIZH-1426-SM-3NB1O 50-59 years, male 469.5
GTEX-1MJK3-0926-SM-EV7AY 20-29 years, male 468.8
GTEX-1MA7W-0626-SM-EV79Z 20-29 years, female 464.5
GTEX-ZG7Y-2126-SM-DO117 50-59 years, male 463.0
GTEX-ZTSS-1126-SM-5985O 40-49 years, male 461.2
GTEX-ZY6K-1226-SM-5GZYL 50-59 years, male 459.4
GTEX-11P7K-1526-SM-5EGI7 30-39 years, male 452.3
GTEX-ZPCL-1826-SM-57WF1 60-69 years, female 443.3
GTEX-1I1GR-2526-SM-CNNQF 60-69 years, male 443.2
GTEX-17EVQ-1826-SM-7IGPH 70-79 years, male 439.0
GTEX-X15G-1326-SM-4PQZJ 50-59 years, female 432.4
GTEX-R55C-1126-SM-48FCJ 40-49 years, male 431.0
GTEX-1HCU9-1326-SM-B2LXT 20-29 years, male 423.8
GTEX-1JKYR-1926-SM-C1YR7 20-29 years, male 420.8
GTEX-146FQ-1926-SM-5NQBY 30-39 years, male 409.3
GTEX-O5YT-1426-SM-3MJHC 20-29 years, male 409.3
GTEX-U3ZM-1126-SM-4DXUB 40-49 years, male 403.4
GTEX-131XE-0826-SM-5HL9W 50-59 years, male 401.6
GTEX-1F75B-2726-SM-7P8QO 50-59 years, male 400.9
GTEX-P4QT-1426-SM-3NMCX 50-59 years, female 397.2
GTEX-1339X-1626-SM-5IJDN 40-49 years, male 387.4
GTEX-1MGNQ-2026-SM-EAZ51 40-49 years, male 386.6
GTEX-11O72-2226-SM-5PNW2 40-49 years, male 379.0
GTEX-18D9U-1926-SM-7KFTM 40-49 years, male 370.3
GTEX-TKQ2-1326-SM-4DXT9 50-59 years, male 368.8
GTEX-ZDYS-2326-SM-4WKG6 50-59 years, male 365.2
GTEX-1AX9I-2626-SM-73KU5 60-69 years, male 362.9
GTEX-13PVR-1626-SM-73KVF 60-69 years, female 357.9
GTEX-1GF9X-1526-SM-7P8QP 40-49 years, female 354.7
GTEX-13S86-1626-SM-5Q5C5 40-49 years, male 353.5
GTEX-1EMGI-2726-SM-7P8S4 60-69 years, male 351.0
GTEX-1GPI7-1726-SM-7P8R1 20-29 years, male 350.5
GTEX-PWCY-1026-SM-48TD4 20-29 years, female 345.2
GTEX-139TS-1926-SM-5IJFO 60-69 years, male 339.1
GTEX-ZPU1-1926-SM-57WDT 40-49 years, male 335.5
GTEX-1E2YA-2626-SM-7MGWW 50-59 years, male 335.3
GTEX-1H3VY-2426-SM-9WPPD 50-59 years, male 333.0
GTEX-XBEW-1926-SM-4SOJO 40-49 years, male 331.9
GTEX-16NPV-2626-SM-6M484 50-59 years, female 329.5
GTEX-1R7EU-1926-SM-E9U62 60-69 years, male 329.3
GTEX-QEL4-1926-SM-D3L8D 50-59 years, male 328.2
GTEX-1KANA-1926-SM-DHXKF 20-29 years, male 327.9
GTEX-QLQW-0426-SM-447A7 30-39 years, male 327.3
GTEX-QDVN-1326-SM-48TZ3 50-59 years, male 323.3
GTEX-ZXES-1626-SM-5NQ7L 30-39 years, female 322.7
GTEX-18A66-2426-SM-7KFSQ 60-69 years, male 321.9
GTEX-17HGU-2426-SM-7EWDP 50-59 years, male 319.1
GTEX-15CHQ-2526-SM-6EU24 60-69 years, male 315.9
GTEX-16XZZ-2626-SM-6M47S 60-69 years, male 300.2
GTEX-1PWST-2426-SM-EWRMP 70-79 years, male 297.7
GTEX-147JS-2526-SM-5S2Q8 60-69 years, male 287.6
GTEX-14BIN-3026-SM-5ZZUS 50-59 years, female 282.5
GTEX-17EUY-1826-SM-7DUEZ 20-29 years, male 277.3
GTEX-1QPFJ-2326-SM-E6CR7 30-39 years, female 276.0
GTEX-UJMC-1326-SM-4IHLS 50-59 years, male 273.6
GTEX-XBED-1526-SM-4AT5W 60-69 years, male 271.1
GTEX-12ZZZ-2426-SM-5GCNN 60-69 years, male 267.0
GTEX-1R9PM-1526-SM-DPRY8 20-29 years, male 263.0
GTEX-OIZF-1426-SM-2HML2 60-69 years, male 258.4
GTEX-17HII-2726-SM-7MGVM 50-59 years, male 256.6
GTEX-14ICK-1026-SM-6AJA4 40-49 years, male 256.3
GTEX-14PKV-2126-SM-664O3 20-29 years, female 254.8
GTEX-1KXAM-2126-SM-CY8I9 60-69 years, male 252.7
GTEX-S7SF-1926-SM-4AT5B 20-29 years, female 251.3
GTEX-1IDJU-2026-SM-A9SLM 60-69 years, female 249.9
GTEX-17F98-1026-SM-7IGO8 40-49 years, female 249.7
GTEX-13X6H-1926-SM-7EWD3 50-59 years, female 246.1
GTEX-YEC3-2426-SM-DO11A 50-59 years, male 240.2
GTEX-1CAMS-2526-SM-7EPH7 40-49 years, female 238.1
GTEX-15SB6-1226-SM-7KUMP 50-59 years, female 235.1
GTEX-W5WG-2426-SM-4LMI6 50-59 years, female 224.8
GTEX-15RIE-1826-SM-6M48P 60-69 years, male 223.2
GTEX-13O3O-2526-SM-5L3DR 60-69 years, female 222.3
GTEX-13111-0726-SM-5DUVE 50-59 years, male 221.4
GTEX-15RIF-1326-SM-6LPKO 20-29 years, male 219.7
GTEX-Y3IK-1826-SM-4WWDS 50-59 years, female 201.2
GTEX-1LSVX-1726-SM-DHXJP 60-69 years, male 194.8
GTEX-Q2AI-0926-SM-48U1F 40-49 years, male 194.0
GTEX-14PHX-1526-SM-68717 50-59 years, male 192.8
GTEX-R55G-1226-SM-48FDC 40-49 years, female 190.2
GTEX-1HFI7-1726-SM-A9G22 50-59 years, female 166.2
GTEX-PWN1-1426-SM-48TDF 40-49 years, female 164.2
GTEX-SNOS-1226-SM-4DM5H 40-49 years, male 163.4
GTEX-11VI4-1526-SM-5EQKC 40-49 years, female 163.3
GTEX-1B932-2826-SM-73KUD 40-49 years, female 162.0
GTEX-14BMV-2426-SM-5S2PP 50-59 years, male 150.6
GTEX-1AMFI-1726-SM-7189L 50-59 years, female 149.2
GTEX-1128S-1626-SM-5H12O 60-69 years, female 148.4
GTEX-14JIY-3326-SM-6871E 60-69 years, male 145.5
GTEX-1PIGE-1426-SM-E9U61 20-29 years, male 145.5
GTEX-ZF2S-1926-SM-4WWAN 50-59 years, female 145.2
GTEX-14C39-1926-SM-5ZZW5 40-49 years, male 145.1
GTEX-OHPN-2026-SM-E9TIA 60-69 years, female 143.9
GTEX-1KANC-0926-SM-D3LA9 50-59 years, female 141.4
GTEX-18D9A-1126-SM-7KFRJ 30-39 years, female 137.5
GTEX-1S5VW-2926-SM-E9U6H 60-69 years, male 137.5
GTEX-131XG-1826-SM-5LZV4 50-59 years, female 136.2
GTEX-144GL-2526-SM-5TDDL 50-59 years, male 135.4
GTEX-OXRK-1726-SM-3NB16 50-59 years, female 130.4
GTEX-1I4MK-1126-SM-B2LWS 50-59 years, female 129.2
GTEX-SJXC-2226-SM-EVYAK 60-69 years, male 128.9
GTEX-144GN-1126-SM-5LU33 50-59 years, male 125.0
GTEX-ZDTT-1926-SM-5HL5W 60-69 years, male 122.6
GTEX-WVJS-2426-SM-EZ6LI 50-59 years, male 122.0
GTEX-1S3DN-1826-SM-EV79K 50-59 years, male 120.0
GTEX-R55D-1826-SM-48FEF 50-59 years, male 118.9
GTEX-13OVJ-1726-SM-5IJDZ 50-59 years, female 118.6
GTEX-ZLWG-1726-SM-DNZZ2 50-59 years, female 116.3
GTEX-11I78-1226-SM-5A5K6 50-59 years, female 115.6
GTEX-1F75I-2426-SM-9WPOY 40-49 years, male 112.4
GTEX-1JMPY-0426-SM-C1YQ3 30-39 years, male 110.0
GTEX-1HSEH-1726-SM-B2LXH 60-69 years, male 106.9
GTEX-1HSMQ-2726-SM-C1YRE 50-59 years, male 103.2
GTEX-S4Q7-0826-SM-4AD5E 20-29 years, male 102.3
GTEX-1B8KZ-1326-SM-7DUG6 50-59 years, male 100.9
GTEX-1F5PL-2126-SM-7PC2O 40-49 years, female 97.0
GTEX-1QCLY-1726-SM-DPRXY 30-39 years, male 96.6
GTEX-1K9T9-2826-SM-D4P3F 50-59 years, female 93.1
GTEX-1QCLZ-1926-SM-E6CR3 60-69 years, female 92.8
GTEX-1NSGN-2326-SM-E9U5X 50-59 years, male 91.3
GTEX-1L5NE-2026-SM-CXZKR 50-59 years, male 89.3
GTEX-145LT-0926-SM-5LU9C 40-49 years, male 87.7
GTEX-147F3-1926-SM-5SIB9 50-59 years, female 86.9
GTEX-17HHE-1826-SM-79OKE 50-59 years, male 85.6
GTEX-YF7O-1726-SM-5IFJ9 50-59 years, male 85.2
GTEX-ZEX8-1926-SM-4WKFR 50-59 years, male 85.0
GTEX-1PIEJ-2026-SM-E6CPA 20-29 years, female 83.9
GTEX-QV31-0826-SM-CKZNC 30-39 years, male 79.6
GTEX-QCQG-1626-SM-48U26 50-59 years, female 78.9
GTEX-11EM3-1526-SM-5A5KN 20-29 years, female 76.1
GTEX-14BMU-1526-SM-5TDE6 20-29 years, female 75.5
GTEX-147GR-2726-SM-664OO 60-69 years, male 73.3
GTEX-1LGRB-1426-SM-CNNPT 50-59 years, female 72.4
GTEX-11TT1-1026-SM-5PNW7 20-29 years, male 71.4
GTEX-Y5LM-1526-SM-4VDTA 40-49 years, female 70.9
GTEX-139YR-2126-SM-5KM11 50-59 years, male 69.8
GTEX-OOBJ-1426-SM-E6CHH 60-69 years, male 69.7
GTEX-ZVT2-1926-SM-5GU5T 50-59 years, female 68.9
GTEX-111CU-1426-SM-5GZYP 50-59 years, male 68.7
GTEX-1QP9N-1026-SM-E6CPX 30-39 years, male 68.0
GTEX-1N2DV-1426-SM-DPRYQ 40-49 years, male 67.9
GTEX-Y9LG-1526-SM-4WWDR 30-39 years, male 66.7
GTEX-XMK1-1726-SM-4B64Z 40-49 years, male 66.2
GTEX-1S83E-1626-SM-EV7B9 40-49 years, male 66.1
GTEX-11LCK-2026-SM-5A5MA 30-39 years, male 65.8
GTEX-13QBU-1826-SM-5IJG3 40-49 years, female 64.2
GTEX-R53T-1326-SM-48FCQ 50-59 years, female 64.0
GTEX-1H11D-2626-SM-9JGH4 40-49 years, male 63.6
GTEX-1QP67-1326-SM-EAZ4D 40-49 years, female 63.4
GTEX-ZLV1-1226-SM-4WWBX 60-69 years, female 60.3
GTEX-1211K-1726-SM-5FQUJ 60-69 years, female 59.4
GTEX-1LVAM-1626-SM-EV79Y 50-59 years, female 59.0
GTEX-13FTW-1826-SM-5IJEN 40-49 years, male 58.0
GTEX-WFON-1426-SM-4LVMT 40-49 years, male 57.8
GTEX-1PFEY-1426-SM-E9U6U 30-39 years, male 57.8
GTEX-1JN76-1226-SM-C1YRM 20-29 years, female 57.6
GTEX-144GM-1226-SM-5LU52 20-29 years, male 57.4
GTEX-YB5E-1626-SM-5IFIQ 40-49 years, male 57.3
GTEX-RM2N-0926-SM-48FD1 50-59 years, male 56.7
GTEX-U3ZN-2126-SM-4DXU1 30-39 years, female 56.6
GTEX-1LG7Z-1426-SM-CXKYV 30-39 years, male 56.2
GTEX-1C475-1626-SM-731FP 40-49 years, female 56.1
GTEX-11DXZ-1726-SM-5H12M 50-59 years, male 56.0
GTEX-14PK6-1726-SM-6871J 70-79 years, female 55.8
GTEX-11P82-1026-SM-5BC5J 20-29 years, male 54.3
GTEX-13PL7-2526-SM-5IFGR 60-69 years, female 54.1
GTEX-13D11-0826-SM-5KLZJ 50-59 years, female 53.6
GTEX-14PJ4-1926-SM-6LLHG 60-69 years, male 53.2
GTEX-133LE-1526-SM-5IFEN 20-29 years, female 52.8
GTEX-12BJ1-2126-SM-5BC5O 60-69 years, male 52.7
GTEX-11DXX-1826-SM-5H126 60-69 years, female 52.0
GTEX-WHSB-0926-SM-4M1XJ 50-59 years, male 51.3
GTEX-ZVP2-1526-SM-5NQ82 50-59 years, male 51.1
GTEX-14XAO-2026-SM-69LOI 60-69 years, female 50.8
GTEX-12C56-0626-SM-5EGGC 20-29 years, male 50.5
GTEX-XPVG-1826-SM-4B64X 50-59 years, male 49.9
GTEX-XV7Q-2126-SM-4BRVX 40-49 years, female 47.5
GTEX-UJHI-1126-SM-4IHLN 50-59 years, female 47.4
GTEX-145MN-1726-SM-5SIA6 30-39 years, male 46.9
GTEX-14DAR-1526-SM-5RQIX 50-59 years, male 46.7
GTEX-15CHR-1426-SM-7DUGV 50-59 years, male 46.5
GTEX-1RAZA-1726-SM-DPS13 20-29 years, male 45.9
GTEX-1C4CL-2126-SM-7IGQC 30-39 years, male 45.6
GTEX-1F5PK-1926-SM-7MXT7 50-59 years, male 45.1
GTEX-139T6-1326-SM-5IFFO 50-59 years, male 44.7
GTEX-WFG7-1526-SM-4LVMG 20-29 years, male 44.5
GTEX-ZV7C-1526-SM-5NQ72 50-59 years, male 44.3
GTEX-1JKYN-2326-SM-CGQG7 30-39 years, male 43.4
GTEX-XUZC-1326-SM-4BRV2 30-39 years, female 42.8
GTEX-T5JW-1126-SM-4DM5V 20-29 years, female 42.1
GTEX-1B8KE-1926-SM-731EE 50-59 years, male 41.6
GTEX-PLZ5-1126-SM-3P613 50-59 years, male 41.1
GTEX-1J1R8-1126-SM-CNPQ3 40-49 years, male 40.3
GTEX-1H1E6-1926-SM-9OSWD 30-39 years, male 40.1
GTEX-U4B1-1126-SM-4DXV3 40-49 years, male 39.5
GTEX-TML8-1326-SM-4DXTO 40-49 years, female 38.6
GTEX-1399S-1926-SM-5J2M5 30-39 years, female 37.5
GTEX-1CAMR-0926-SM-7MXTD 20-29 years, male 37.5
GTEX-WHWD-1226-SM-4OOS1 50-59 years, male 36.3
GTEX-1399U-1926-SM-5IFH7 50-59 years, female 36.0
GTEX-1122O-1526-SM-5N9CL 60-69 years, female 34.8
GTEX-1IKOE-2026-SM-AHZ31 30-39 years, female 34.4
GTEX-ZPIC-2226-SM-57WDX 40-49 years, female 33.9
GTEX-Q2AH-1226-SM-48TZL 40-49 years, male 33.7
GTEX-132AR-2726-SM-5PNVN 50-59 years, female 31.7
GTEX-WOFM-2026-SM-4OOSQ 20-29 years, male 28.6
GTEX-1RAZR-1926-SM-E6CRF 40-49 years, male 28.1
GTEX-ZT9W-1826-SM-51MQX 50-59 years, male 24.5
GTEX-16AAH-1326-SM-7KFRG 50-59 years, male 22.6
GTEX-1399R-2226-SM-5P9JB 30-39 years, male 22.5
GTEX-1K2DA-2026-SM-CGQGK 50-59 years, male 20.7
GTEX-13O21-2426-SM-5MR4A 50-59 years, male 20.4
GTEX-14E6E-1526-SM-5RQIG 30-39 years, male 12.3
Show allShow less

COLON - FANTOM5 CAGEi

RNA expression in human tissues obtained through Cap Analysis of Gene Expression (CAGE) generated by the FANTOM5 project are reported as Scaled Tags Per Million.

Max subtype Scaled Tags Per Millioni

Max subtype Scaled Tags Per Million is the value for the subtype with the largest average Scaled Tags Per Million across the subtype samples.

1928.2
FANTOM5 sample id Sample description Scaled Tags Per Million
Colon
Scaled Tags Per Million: 1928.2
FF:10014-101C5 62,83,84 years, mixed 1928.2

Contact

  • NEWS ARTICLES
  • PRESS ROOM

The Project

  • INTRODUCTION
  • ORGANIZATION
  • PUBLICATIONS

The Human Protein Atlas

  • DOWNLOADABLE DATA
  • LICENCE & CITATION
  • HELP & FAQ
The Human Protein Atlas project is funded
by the Knut & Alice Wallenberg Foundation.


contact@proteinatlas.org