We use cookies to enhance the usability of our website. If you continue, we'll assume that you are happy to receive all cookies. More information. Don't show this again.
FLNA
HPA
RESOURCES
  • TISSUE
  • BRAIN
  • SINGLE CELL
  • SUBCELLULAR
  • CANCER
  • BLOOD
  • CELL LINE
  • STRUCTURE & INTERACTION
ABOUT
  • INTRODUCTION
  • HISTORY
  • ORGANIZATION
  • PUBLICATIONS
  • ANTIBODY SUBMISSION
  • ANTIBODY AVAILABILITY
  • ACKNOWLEDGMENTS
  • CONTACT
NEWS
  • NEWS ARTICLES
  • PRESS ROOM
LEARN
  • DICTIONARY
  • PROTEIN CLASSES
  • PROTEIN EVIDENCE
  • METHODS
  • EDUCATIONAL VIDEOS
DATA
  • DOWNLOADABLE DATA
  • PUBLICATION DATA
  • RELEASE HISTORY
HELP
  • ANTIBODY VALIDATION
  • ASSAYS & ANNOTATION
  • DISCLAIMER
  • HELP & FAQ
  • PRIVACY STATEMENT
  • LICENCE & CITATION
Fields »
Search result

Field
Term
Gene name
Class
Subclass
Class
Keyword
Chromosome
External id
Tissue
Cell type
Expression
Antibody panel
Tissue
Main location
Patient ID
Annotation
Tissue
Category
Tau score
Cluster
Reliability
Brain region
Category
Tau score
Brain region
Category
Tau score
Brain region
Category
Tau score
Cluster
Reliability
Tissue
Cell type
Enrichment
Cell type
Category
Tau score
Cell type
Category
Tau score
Cell type
Category
Tau score
Cell lineage
Category
Tau score
Cluster
Cluster
Location
Searches
Location
Cell line
Class
Type
Phase
Reliability
Cancer
Prognosis
Cancer
Category
Cancer
Category
Tau score
Cluster
Variants
Interacting gene (ensg_id)
Type
Number of interactions
Pathway
Category
Score
Score
Score
Validation
Validation
Validation
Validation
Antibodies
Data type
Column


  • SUMMARY

  • TISSUE

  • BRAIN

  • SINGLE CELL

  • SUBCELL

  • CANCER

  • BLOOD

  • CELL LINE

  • STRUCT & INT

  • FLNA
TISSUE PRIMARY DATA SKELETAL MUSCLE Show tissue menu
ADIPOSE TISSUE ADRENAL GLAND AMYGDALA APPENDIX BASAL GANGLIA BONE MARROW BREAST BRONCHUS CEREBELLUM CEREBRAL CORTEX CERVIX CHOROID PLEXUS COLON DUODENUM
ENDOMETRIUM EPIDIDYMIS ESOPHAGUS FALLOPIAN TUBE GALLBLADDER HEART MUSCLE HIPPOCAMPAL FORMATION HYPOTHALAMUS KIDNEY LIVER LUNG LYMPH NODE MIDBRAIN ORAL MUCOSA
OVARY PANCREAS PARATHYROID GLAND PITUITARY GLAND PLACENTA PROSTATE RECTUM RETINA SALIVARY GLAND SEMINAL VESICLE SKELETAL MUSCLE SKIN SMALL INTESTINE SMOOTH MUSCLE
SOFT TISSUE SPINAL CORD SPLEEN STOMACH TESTIS THYMUS THYROID GLAND TONGUE TONSIL URINARY BLADDER VAGINA
ANTIBODIES
AND
VALIDATION
Dictionary
Skeletal muscle
Tissue proteome
Skeletal muscle
SKELETAL MUSCLE - Expression summary
Protein expression
Skeletal musclei

On the top, protein expression in current human tissue, based on all annotated cell types, is reported with the units not detected (n), low (l), medium (m) and high (h). Underneath, protein expression in each annotated cell type are reported using the same units.

Protein expression data is based on knowledge-based annotation. For genes where more than one antibody has been used, a collective score is set.

If knowledge-based annotation could not be performed for a gene, no data is displayed here. View antibody staining data further down this page.

h
m
l
n
Myocytes: Not detected
RNA expressioni

A summary of mRNA expression data available for current tissue based on several datasets. The mRNA expression levels in human tissues are based on RNA-seq data generated by the Human Protein Atlas (HPA), Genotype-Tissue Expression (GTEx) portal and CAGE data generated by the FANTOM5 consortium. Consensus normalized expression levels for human tissues was created by combining the data from HPA and GTEx datasets.

The mRNA expression levels in pig are based on RNA-seq data generated by the Human Protein Atlas (HPA), and for mouse, HPA data and in situ hybridization generated by the Allen brain atlas are reported.

Scroll down to view mRNA expression data in more detail.
Consensus:47.9 nTPM
HPA:31.6 nTPM
GTEx:47.9 nTPM
FANTOM5:377.2 Scaled Tags Per Million

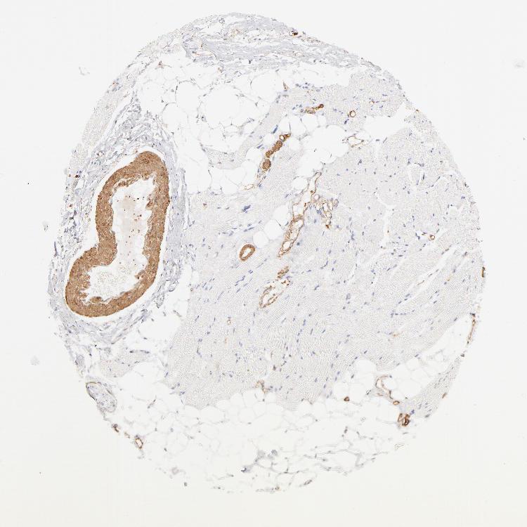
SKELETAL MUSCLE - Antibody stainingi

Antibody staining in the annotated cell types in the current human tissue is reported as not detected, low, medium, or high, based on conventional immunohistochemistry profiling in selected tissues. This score is based on the combination of the staining intensity and fraction of stained cells.

Each image is clickable and will lead to virtual microscopy that enables deeper exploration of all samples and also displays staining intensity scores, fraction scores and subcellular localization as well as patient and tissue information for each sample.

Antibody HPA001115Antibody HPA002925Antibody CAB000356
Myocytes Not detectedNot detectedNot detected






SKELETAL MUSCLE - HPA RNA-seqi

The RNA-seq details section shows detailed information about the individual samples used for the transcript profiling and results of the RNA-seq analysis.

Information about each individual sample is listed below, including gender, age, a tissue section image and estimated fractions of cell types. nTPM (normalized transcripts per million) values give a quantification of the gene abundance which is comparable between different genes and samples.
Average nTPMi

Max subtype nTPM is the value for the subtype with the largest average nTPM across the subtype samples.

31.6
N/A
Male, age 23
Skeletal muscle sample 339
nTPM: 51.3
N/A
Female, age 25
Skeletal muscle sample 340
nTPM: 16.2
N/A
Female, age -
Skeletal muscle sample 341
nTPM: 32.9
N/A
Female, age 22
Skeletal muscle sample 342
nTPM: 23.5
N/A
Male, age 29
Skeletal muscle sample 343
nTPM: 34.2

SKELETAL MUSCLE - GTEx RNA-seqi

RNA-Seq data generated by the Genotype-Tissue Expression (GTEx) project from human tissues is reported as mean nTPM. More information can be found on the GTEx portal.

Distribution across the dataset is visualized with box plots, shown as median and 25th and 75th percentiles. Points are displayed as outliers if they are above or below 1.5 times the interquartile range. nTPM values of the individual samples are presented next to the box plot.
Max subtype nTPMi

Max subtype nTPM is the value for the subtype with the largest average nTPM across the subtype samples.

47.9
GTEx sample id Sample description nTPM
Muscle - Skeletal
Average nTPM: 47.9
Samples: 803

Max nTPM: 560.7
Min nTPM: 0.4
Std nTPM: 49.7
Median nTPM: 34.6
GTEX-1A32A-0526-SM-731B9 50-59 years, female 560.7
GTEX-13FTY-0226-SM-5IJBW 40-49 years, female 525.8
GTEX-1LVAO-0526-SM-EWRNS 60-69 years, male 438.6
GTEX-1KANB-0126-SM-E6CJT 50-59 years, male 351.5
GTEX-139T4-0326-SM-5K7XN 50-59 years, female 348.7
GTEX-WHSE-0526-SM-5GZZD 20-29 years, male 316.4
GTEX-1R9K5-0326-SM-EWRNG 50-59 years, male 304.9
GTEX-18A7B-0326-SM-7LG65 70-79 years, male 290.1
GTEX-11ZU8-2326-SM-5EQMJ 60-69 years, male 285.7
GTEX-ZDYS-1726-SM-5HL4Y 50-59 years, male 263.8
GTEX-ZVZO-0326-SM-5HL4N 40-49 years, male 226.4
GTEX-1S82U-1426-SM-E6CJL 30-39 years, female 215.8
GTEX-131XH-2726-SM-5GCO2 50-59 years, male 211.3
GTEX-1EU9M-0126-SM-7P8P8 60-69 years, male 208.3
GTEX-14PJ6-2326-SM-6ETZR 60-69 years, female 203.2
GTEX-ZYW4-0526-SM-5GZZ5 60-69 years, male 196.5
GTEX-1QPFJ-0326-SM-E8VO2 30-39 years, female 196.0
GTEX-1ICLY-0326-SM-ARL7S 50-59 years, male 193.3
GTEX-139TT-0426-SM-5IJFA 60-69 years, male 182.9
GTEX-147F3-0226-SM-5NQBV 50-59 years, female 180.3
GTEX-1R7EU-0626-SM-DTX9N 60-69 years, male 172.7
GTEX-1A8G6-0126-SM-7DUFY 60-69 years, male 171.4
GTEX-1B97I-2026-SM-7DHN2 40-49 years, male 171.0
GTEX-Y111-0326-SM-4SOIX 50-59 years, male 163.5
GTEX-ZZ64-1526-SM-5E43K 20-29 years, male 161.0
GTEX-1C6VQ-0326-SM-7DHMS 50-59 years, male 145.3
GTEX-13QIC-1226-SM-5K7YR 60-69 years, female 144.4
GTEX-1H3O1-0626-SM-9MQM4 60-69 years, male 143.6
GTEX-13FTZ-2226-SM-5LZXI 60-69 years, male 143.0
GTEX-XYKS-2426-SM-4AT43 60-69 years, female 142.9
GTEX-11PRG-0326-SM-5GU53 50-59 years, male 142.2
GTEX-1IDJC-2026-SM-ADEIK 50-59 years, male 141.4
GTEX-15CHQ-0726-SM-6EU18 60-69 years, male 141.0
GTEX-1I19N-2026-SM-ACKXJ 70-79 years, male 141.0
GTEX-QXCU-1726-SM-2TC6L 50-59 years, male 139.3
GTEX-ZPIC-2526-SM-57WDP 40-49 years, female 137.9
GTEX-1IDJE-2426-SM-ACKWF 50-59 years, female 133.5
GTEX-ZUA1-0326-SM-5NQA3 40-49 years, male 131.5
GTEX-17EVQ-1226-SM-7LG59 70-79 years, male 131.0
GTEX-11DXX-2726-SM-5PNXO 60-69 years, female 129.8
GTEX-1IDFM-1526-SM-ARL7U 60-69 years, male 129.4
GTEX-146FQ-0326-SM-5NQAX 30-39 years, male 126.9
GTEX-16Z82-0126-SM-7DHLF 60-69 years, male 121.9
GTEX-1K9T9-0326-SM-EWRNQ 50-59 years, female 121.7
GTEX-OXRO-1726-SM-3LK6C 60-69 years, female 121.5
GTEX-1I1GP-2126-SM-CKZPJ 50-59 years, male 121.2
GTEX-17JCI-0326-SM-7LG5H 60-69 years, female 120.5
GTEX-1OFPY-2526-SM-DTXEK 60-69 years, male 116.0
GTEX-WOFL-0626-SM-3MJG3 60-69 years, male 113.5
GTEX-139UW-2626-SM-5K7W1 60-69 years, male 113.1
GTEX-1RAZA-0526-SM-E76R2 20-29 years, male 109.8
GTEX-13CF2-2726-SM-5LZWW 60-69 years, male 107.1
GTEX-132NY-0726-SM-5KLZM 60-69 years, male 105.3
GTEX-1J1OQ-0426-SM-A9SLI 40-49 years, female 105.3
GTEX-ZVT4-0326-SM-51MS5 50-59 years, female 105.0
GTEX-17HHY-0326-SM-7938H 50-59 years, male 104.3
GTEX-13X6I-0526-SM-5QGP8 60-69 years, male 104.0
GTEX-13G51-2726-SM-5LZZ9 60-69 years, male 102.9
GTEX-QEG5-0426-SM-2I5GJ 20-29 years, male 102.8
GTEX-1GF9U-2326-SM-7RHH9 40-49 years, female 102.7
GTEX-1GN1U-2226-SM-9MQK1 50-59 years, female 101.5
GTEX-1IKOH-0126-SM-COH4D 60-69 years, female 100.8
GTEX-13RTJ-2726-SM-73KVG 60-69 years, male 100.6
GTEX-11GSP-2726-SM-5A5LJ 60-69 years, female 99.5
GTEX-1C6WA-0326-SM-7DUGE 60-69 years, male 98.4
GTEX-WRHU-0826-SM-3MJFN 50-59 years, female 98.3
GTEX-145ME-2026-SM-5SIA5 40-49 years, female 97.4
GTEX-12WSM-0326-SM-5LZVI 60-69 years, male 96.5
GTEX-RU72-1326-SM-2TF6T 50-59 years, female 96.3
GTEX-11H98-0326-SM-5HL4S 50-59 years, male 95.2
GTEX-P4PQ-1626-SM-2HMKK 60-69 years, male 94.6
GTEX-13PLJ-0326-SM-5L3I7 60-69 years, female 94.1
GTEX-1GZ4I-0526-SM-9YFLX 50-59 years, male 93.5
GTEX-14PN4-0326-SM-6EU2N 50-59 years, male 93.1
GTEX-1AMFI-2226-SM-731C6 50-59 years, female 91.6
GTEX-12WSA-0726-SM-5FQU2 60-69 years, male 89.8
GTEX-11ONC-2426-SM-5GU7H 60-69 years, male 89.7
GTEX-YBZK-0326-SM-59HLN 50-59 years, female 87.6
GTEX-1JMPZ-0126-SM-CNPOZ 30-39 years, male 86.7
GTEX-U3ZH-1926-SM-4DXTR 30-39 years, male 86.6
GTEX-P44G-0526-SM-2XCD1 30-39 years, male 86.3
GTEX-1MCC2-2726-SM-EWRN3 30-39 years, female 85.5
GTEX-1N2EF-0526-SM-E76OK 60-69 years, male 85.4
GTEX-1JN1M-0526-SM-CJI3D 60-69 years, female 85.0
GTEX-13NYS-0326-SM-5MR4L 60-69 years, male 84.6
GTEX-1S82Y-2226-SM-EWRNV 40-49 years, male 82.9
GTEX-1J8EW-0326-SM-CYPSX 60-69 years, female 82.7
GTEX-13O3O-0526-SM-5J1NL 60-69 years, female 81.4
GTEX-1ICLZ-0626-SM-ARL83 60-69 years, male 80.9
GTEX-1KWVE-0926-SM-CXZKP 30-39 years, male 80.9
GTEX-QDVN-2426-SM-2S1Q4 50-59 years, male 80.3
GTEX-1B933-0426-SM-7DHMC 50-59 years, female 79.6
GTEX-11UD2-0326-SM-5EQLE 50-59 years, male 77.6
GTEX-ZE9C-2326-SM-5J1NT 60-69 years, male 76.2
GTEX-1JMQL-0126-SM-CY8HN 50-59 years, female 75.4
GTEX-12696-2826-SM-5FQTY 60-69 years, male 75.3
GTEX-14PJM-0426-SM-5ZZVN 50-59 years, female 74.8
GTEX-U412-0326-SM-3DB9L 60-69 years, male 74.8
GTEX-14ASI-0526-SM-5QGQP 60-69 years, male 73.7
GTEX-1E1VI-0426-SM-7DHN1 50-59 years, male 73.5
GTEX-13YAN-0526-SM-5O9BE 60-69 years, male 72.3
GTEX-13U4I-1826-SM-5IJD2 40-49 years, female 71.0
GTEX-OHPL-1626-SM-2HMIR 60-69 years, female 70.4
GTEX-13SLX-0326-SM-5Q5E4 50-59 years, female 70.3
GTEX-117XS-2526-SM-5H11G 60-69 years, male 70.1
GTEX-14BIL-0326-SM-5SI9Q 50-59 years, male 69.9
GTEX-Q2AG-0426-SM-2S1PU 40-49 years, female 69.8
GTEX-1IY9M-0326-SM-ARZMN 60-69 years, male 69.8
GTEX-1IDJD-1326-SM-CM2TQ 30-39 years, male 69.7
GTEX-1E2YA-0526-SM-7P8RY 50-59 years, male 69.6
GTEX-RWS6-2126-SM-2XCAV 60-69 years, female 69.3
GTEX-1H1E6-2126-SM-9KNVM 30-39 years, male 69.3
GTEX-1HSEH-0326-SM-A9G26 60-69 years, male 69.0
GTEX-RWSA-0726-SM-2XCBE 40-49 years, male 68.9
GTEX-1F48J-0526-SM-9WYSX 50-59 years, female 68.9
GTEX-1GN2E-0726-SM-9MQLU 60-69 years, male 68.7
GTEX-1I1HK-0326-SM-ACKW5 60-69 years, male 68.4
GTEX-11UD1-0326-SM-5EQKX 40-49 years, female 68.0
GTEX-X4XY-0626-SM-4E3IN 60-69 years, male 67.2
GTEX-N7MS-0426-SM-2YUN6 60-69 years, male 67.1
GTEX-Z93S-1326-SM-5CVMR 50-59 years, male 67.0
GTEX-1HSMO-0526-SM-ACKXB 60-69 years, male 67.0
GTEX-113JC-2726-SM-5EGIS 50-59 years, female 66.4
GTEX-Y114-2526-SM-4TT8M 50-59 years, female 66.2
GTEX-15SHU-0626-SM-7KUFH 40-49 years, female 65.8
GTEX-1C6VR-2526-SM-7DHMT 60-69 years, male 65.8
GTEX-1F88E-1826-SM-9MQLV 60-69 years, female 65.2
GTEX-13OW8-1426-SM-5IJDT 60-69 years, male 64.8
GTEX-QEG4-0626-SM-2S1OY 30-39 years, male 64.7
GTEX-1N2DW-0426-SM-E9TK4 50-59 years, male 64.4
GTEX-1AYD5-2226-SM-73KX3 50-59 years, male 64.2
GTEX-P4PP-1626-SM-2HMJF 30-39 years, female 63.8
GTEX-17EVP-1326-SM-7DHMR 40-49 years, male 63.5
GTEX-13N1W-0526-SM-5MR4I 70-79 years, male 63.4
GTEX-14C39-2426-SM-5S2U5 40-49 years, male 63.3
GTEX-1R46S-0326-SM-EWRNE 60-69 years, female 63.1
GTEX-11ZVC-2726-SM-5FQSZ 50-59 years, female 62.8
GTEX-1F75W-0326-SM-7PC2Q 60-69 years, male 62.6
GTEX-144FL-0326-SM-5O99O 50-59 years, male 62.3
GTEX-14H4A-0926-SM-5ZZUU 40-49 years, female 62.3
GTEX-1I1GQ-0326-SM-A9SKS 50-59 years, male 62.0
GTEX-RNOR-0526-SM-2TF4O 50-59 years, female 61.9
GTEX-1H23P-0526-SM-9WG6S 60-69 years, male 61.9
GTEX-1IGQW-0526-SM-CKZO3 60-69 years, male 61.9
GTEX-1128S-2426-SM-5H11B 60-69 years, female 61.5
GTEX-1B8L1-2726-SM-793AL 60-69 years, male 61.5
GTEX-1LVA9-0326-SM-DLHBU 50-59 years, male 61.5
GTEX-OXRP-2326-SM-2S1NL 60-69 years, female 61.2
GTEX-1IL2V-0526-SM-ARL8B 70-79 years, male 60.9
GTEX-ZEX8-2526-SM-DO92M 50-59 years, male 60.8
GTEX-117YW-2426-SM-5Q5AE 50-59 years, male 59.6
GTEX-1HCU6-0526-SM-A9SKU 60-69 years, female 59.5
GTEX-14A5I-0326-SM-5NQ9J 50-59 years, female 59.3
GTEX-1IKK5-0426-SM-CL53X 60-69 years, male 59.2
GTEX-14E6C-1526-SM-664ND 40-49 years, male 58.8
GTEX-17HG3-2726-SM-7DHL5 30-39 years, female 58.6
GTEX-13X6K-0326-SM-5Q5D6 60-69 years, female 58.5
GTEX-11EM3-2126-SM-5H11M 20-29 years, female 58.4
GTEX-1H4P4-0626-SM-9YFKZ 50-59 years, male 58.3
GTEX-14DAQ-0326-SM-664MR 60-69 years, female 58.2
GTEX-VUSG-2626-SM-4KKZI 50-59 years, male 58.1
GTEX-1HB9E-0326-SM-D3LA5 50-59 years, male 58.1
GTEX-18A6Q-0326-SM-718AT 60-69 years, male 57.8
GTEX-1RQED-0426-SM-E6CJP 60-69 years, male 57.8
GTEX-X4XX-0626-SM-3NMC1 60-69 years, male 57.7
GTEX-14A5H-0326-SM-5RQIB 60-69 years, male 57.6
GTEX-15D79-0526-SM-6ETZP 50-59 years, male 57.5
GTEX-1GF9V-0126-SM-9WYT2 60-69 years, male 56.8
GTEX-11NV4-0326-SM-5HL58 60-69 years, male 56.6
GTEX-13OVJ-0226-SM-5L3GK 50-59 years, female 56.6
GTEX-1IL2U-0726-SM-EAZ2Y 60-69 years, male 56.4
GTEX-12ZZY-0626-SM-5EQ5T 60-69 years, male 56.3
GTEX-SIU8-0526-SM-2XCDP 50-59 years, male 56.3
GTEX-XOT4-0526-SM-4B66O 60-69 years, female 56.3
GTEX-1HFI6-0426-SM-B2LXB 40-49 years, male 56.3
GTEX-1HT8W-0326-SM-CM2SG 30-39 years, male 56.0
GTEX-1GF9X-2126-SM-7PBXN 40-49 years, female 55.7
GTEX-QDT8-0526-SM-3NMD8 30-39 years, female 55.5
GTEX-ZYFD-0326-SM-5NQ8I 50-59 years, male 55.3
GTEX-11DXW-0726-SM-5H12J 40-49 years, male 55.2
GTEX-17MF6-2026-SM-7LG5I 40-49 years, male 55.0
GTEX-1HSGN-0326-SM-ACKXQ 40-49 years, female 54.8
GTEX-13113-5019-SM-7EPH2 60-69 years, female 54.7
GTEX-XPVG-2526-SM-4B66D 50-59 years, male 54.6
GTEX-1IKJJ-0326-SM-CL55L 60-69 years, male 54.5
GTEX-111FC-0326-SM-5GZZ1 60-69 years, male 54.4
GTEX-13OW7-0326-SM-5J1MP 50-59 years, male 54.4
GTEX-1MCQQ-0626-SM-E9U5Q 60-69 years, male 54.1
GTEX-12WSC-0326-SM-5EQ5E 50-59 years, male 53.7
GTEX-OHPN-2726-SM-2I5H4 60-69 years, female 53.7
GTEX-1PWST-0426-SM-E76QV 70-79 years, male 53.7
GTEX-18D9B-0426-SM-7LTAR 60-69 years, male 53.4
GTEX-12WSD-0526-SM-5EQ6F 60-69 years, female 53.0
GTEX-16NPV-2426-SM-6M482 50-59 years, female 53.0
GTEX-1EWIQ-0626-SM-7PBYW 70-79 years, female 52.9
GTEX-OXRN-1326-SM-3LK5V 50-59 years, male 52.8
GTEX-1PBJJ-0326-SM-E8VNT 30-39 years, male 52.3
GTEX-ZTPG-0126-SM-5O9AL 20-29 years, female 51.9
GTEX-RTLS-0526-SM-2TF64 60-69 years, female 51.8
GTEX-1JMQK-0326-SM-ARZN5 60-69 years, male 51.6
GTEX-ZAK1-0526-SM-5K7X4 50-59 years, female 51.4
GTEX-1NHNU-1226-SM-DTX8I 50-59 years, male 51.4
GTEX-XUYS-0326-SM-47JX2 50-59 years, male 51.3
GTEX-1GMRU-0326-SM-9WYT6 50-59 years, male 51.3
GTEX-15SDE-2326-SM-6PAL4 50-59 years, female 50.7
GTEX-1H2FU-0526-SM-ACKXO 60-69 years, female 50.7
GTEX-1HBPI-0226-SM-ADEJ7 50-59 years, male 50.4
GTEX-1A8G7-0326-SM-72D5B 60-69 years, male 50.3
GTEX-QDVJ-1926-SM-2S1PJ 50-59 years, male 50.3
GTEX-1CB4H-0426-SM-7MXTL 60-69 years, female 50.2
GTEX-11EMC-2626-SM-59864 60-69 years, female 50.1
GTEX-1H1ZS-0626-SM-CNPPU 70-79 years, male 50.1
GTEX-U3ZG-0326-SM-47JXN 50-59 years, male 50.0
GTEX-S33H-2226-SM-DKPOP 30-39 years, male 50.0
GTEX-U8T8-1426-SM-3DB9H 60-69 years, male 49.8
GTEX-1314G-1726-SM-5LZUX 30-39 years, male 49.7
GTEX-1ICG6-2726-SM-CKZPN 70-79 years, female 49.7
GTEX-15UF7-2226-SM-6PAMQ 40-49 years, male 49.6
GTEX-1C475-1726-SM-73KVX 40-49 years, female 49.5
GTEX-XBEC-0626-SM-4QARY 50-59 years, male 49.5
GTEX-ZF3C-0326-SM-4WWBF 50-59 years, female 49.1
GTEX-ZF28-0526-SM-4WKGW 60-69 years, male 49.0
GTEX-1A3MW-0526-SM-731BY 60-69 years, female 48.9
GTEX-1AX9K-2726-SM-7DHMA 50-59 years, male 48.9
GTEX-WZTO-0826-SM-3NM8Q 40-49 years, male 48.8
GTEX-12ZZX-0326-SM-5DUVH 40-49 years, female 48.7
GTEX-139TS-2626-SM-5J1MT 60-69 years, male 48.4
GTEX-1JMQI-2126-SM-CM2SC 50-59 years, male 48.3
GTEX-ZF29-2426-SM-DO92G 60-69 years, female 48.2
GTEX-1LG7Z-2126-SM-CXKYU 30-39 years, male 47.8
GTEX-13QBU-2426-SM-5LU4L 40-49 years, female 47.6
GTEX-15CHR-2426-SM-7DUFX 50-59 years, male 47.6
GTEX-1I4MK-2326-SM-ADEHR 50-59 years, female 47.6
GTEX-13X6J-0326-SM-7EPGD 50-59 years, male 47.5
GTEX-14PQA-0526-SM-7KUFS 50-59 years, female 47.3
GTEX-12584-0526-SM-5FQTS 40-49 years, male 47.2
GTEX-T2IS-2626-SM-32QPP 20-29 years, female 47.2
GTEX-145LV-2326-SM-5LU8Z 50-59 years, male 47.1
GTEX-1LC47-0626-SM-DIPFE 60-69 years, male 47.0
GTEX-1J8JJ-0126-SM-D3L93 60-69 years, female 46.9
GTEX-12KS4-0826-SM-5BC5R 30-39 years, male 46.8
GTEX-QLQW-1326-SM-2S1QS 30-39 years, male 46.8
GTEX-1MJIX-2126-SM-E9J3A 40-49 years, male 46.8
GTEX-183WM-0426-SM-731B1 70-79 years, female 46.6
GTEX-X4EO-0526-SM-3P5Z3 60-69 years, female 46.6
GTEX-1GPI6-0326-SM-9MQM6 60-69 years, male 46.4
GTEX-ZVE2-0626-SM-5GU7I 50-59 years, male 46.3
GTEX-1H3NZ-0326-SM-9MQL6 60-69 years, male 46.2
GTEX-1IDJH-0226-SM-CYPSB 70-79 years, male 46.1
GTEX-183FY-0226-SM-7LG54 20-29 years, male 45.9
GTEX-Y8E5-0326-SM-57WBM 60-69 years, male 45.8
GTEX-Y8LW-2026-SM-4V6G8 50-59 years, female 45.7
GTEX-1HBPH-0826-SM-ARZNB 40-49 years, female 45.7
GTEX-ZDTS-0526-SM-4WKH9 60-69 years, male 45.6
GTEX-13NYB-2726-SM-5J2MT 40-49 years, male 45.4
GTEX-1399T-2426-SM-5L3FJ 60-69 years, male 45.3
GTEX-14PII-0626-SM-69LPY 60-69 years, male 45.3
GTEX-PX3G-1626-SM-2S1PT 20-29 years, female 45.3
GTEX-ZZPT-0626-SM-5GZXT 50-59 years, male 45.2
GTEX-1HSKV-0126-SM-E6CI1 60-69 years, male 45.2
GTEX-1LG7Y-0126-SM-E6CJ8 50-59 years, male 45.2
GTEX-146FH-0526-SM-5QGQ3 50-59 years, female 44.9
GTEX-1GN73-0126-SM-CNPPT 60-69 years, male 44.8
GTEX-1C2JI-2126-SM-793CG 50-59 years, male 44.5
GTEX-1AX9I-0326-SM-73KXQ 60-69 years, male 44.4
GTEX-1GN1V-0326-SM-9WYTO 60-69 years, male 44.4
GTEX-R55G-2326-SM-2TC61 40-49 years, female 44.3
GTEX-1CB4J-1226-SM-7P8P3 60-69 years, male 44.3
GTEX-1HR9M-0326-SM-CL549 60-69 years, male 44.2
GTEX-Y3I4-2326-SM-4TT81 50-59 years, male 44.1
GTEX-ZAB4-0426-SM-5HL7N 40-49 years, male 44.1
GTEX-145MI-0326-SM-5Q5EV 60-69 years, female 43.9
GTEX-1LSNL-0126-SM-EWRNR 50-59 years, male 43.9
GTEX-1313W-0526-SM-5P9FZ 50-59 years, female 43.8
GTEX-ZYT6-1626-SM-5E45R 30-39 years, male 43.7
GTEX-P4QS-1626-SM-2S1NH 60-69 years, male 43.4
GTEX-Q2AH-1826-SM-2S1Q2 40-49 years, male 43.3
GTEX-ZYFC-0526-SM-5GIDF 50-59 years, male 43.2
GTEX-145MO-0726-SM-5NQB9 60-69 years, male 43.0
GTEX-R55E-0526-SM-2TC6B 20-29 years, male 42.9
GTEX-13QJ3-0726-SM-5SI68 50-59 years, male 42.5
GTEX-12WSF-0926-SM-6PALU 70-79 years, male 42.3
GTEX-PLZ4-0926-SM-2S1OI 50-59 years, female 42.3
GTEX-XBED-2626-SM-4E3J5 60-69 years, male 42.2
GTEX-144GO-1326-SM-5Q5EL 60-69 years, male 42.0
GTEX-15UF6-1026-SM-7KUF7 70-79 years, female 42.0
GTEX-13FXS-0326-SM-5K7TV 50-59 years, male 41.9
GTEX-PWN1-1626-SM-2S1OL 40-49 years, female 41.9
GTEX-X638-0326-SM-47JY1 70-79 years, female 41.9
GTEX-1HC8U-2626-SM-CNPPH 40-49 years, female 41.9
GTEX-1EN7A-0326-SM-7P8T1 40-49 years, male 41.8
GTEX-1B8SF-0426-SM-79OL4 60-69 years, male 41.7
GTEX-1B97J-1226-SM-7PBZR 50-59 years, female 41.7
GTEX-144GM-2026-SM-5LU3D 20-29 years, male 41.6
GTEX-147F4-0326-SM-5TDCK 50-59 years, male 41.4
GTEX-13OVI-1726-SM-5L3DW 60-69 years, female 41.0
GTEX-147JS-0526-SM-5TDD3 60-69 years, male 41.0
GTEX-YEC4-2226-SM-5IFJT 40-49 years, male 40.9
GTEX-13O1R-0526-SM-5K7XU 60-69 years, male 40.7
GTEX-11XUK-2226-SM-5CVLL 40-49 years, female 40.6
GTEX-1EH9U-0326-SM-7P8S2 60-69 years, male 40.6
GTEX-1I1GR-0326-SM-CKZPI 60-69 years, male 40.5
GTEX-145MH-0326-SM-5LU8H 50-59 years, male 40.4
GTEX-16MT8-0326-SM-6PAM5 60-69 years, female 40.4
GTEX-1BAJH-0126-SM-7DHMF 70-79 years, male 40.3
GTEX-1C64O-0326-SM-73KVW 60-69 years, male 40.3
GTEX-R3RS-0526-SM-3GADG 40-49 years, female 40.3
GTEX-1CB4I-0326-SM-7DHMM 50-59 years, male 40.2
GTEX-13S86-2326-SM-5RQK1 40-49 years, male 40.1
GTEX-WHSB-1826-SM-3TW8M 50-59 years, male 40.1
GTEX-17F98-1626-SM-7938R 40-49 years, female 40.0
GTEX-1KD4Q-0326-SM-E9TJA 40-49 years, male 40.0
GTEX-RN64-0326-SM-2TC5J 50-59 years, male 39.9
GTEX-UPJH-0526-SM-4IHK8 50-59 years, male 39.9
GTEX-1S5ZA-0526-SM-EWRO1 20-29 years, male 39.9
GTEX-PW2O-1726-SM-2S1OO 20-29 years, male 39.7
GTEX-S7PM-0526-SM-3NM92 60-69 years, male 39.7
GTEX-11EQ9-2126-SM-5PNVW 30-39 years, male 39.6
GTEX-15DZA-2026-SM-6PANE 30-39 years, female 39.6
GTEX-WFON-2326-SM-3LK7M 40-49 years, male 39.6
GTEX-13RTL-0326-SM-7LT89 40-49 years, male 39.5
GTEX-1PPGY-0426-SM-DTXFE 60-69 years, male 39.5
GTEX-VJYA-1926-SM-3GIJJ 60-69 years, male 39.4
GTEX-1F52S-0826-SM-7P8TQ 60-69 years, female 39.3
GTEX-PLZ6-1526-SM-2S1OC 30-39 years, male 39.2
GTEX-V955-2426-SM-3GAEF 60-69 years, male 39.2
GTEX-P4QT-1626-SM-DHXIR 50-59 years, female 39.2
GTEX-144GL-0326-SM-5QGOY 50-59 years, male 39.1
GTEX-13PVR-2526-SM-5RQIT 60-69 years, female 39.0
GTEX-1R9PO-2426-SM-EVYBS 60-69 years, female 39.0
GTEX-14JIY-0426-SM-62LF7 60-69 years, male 38.9
GTEX-1LGOU-2126-SM-DIPFG 20-29 years, female 38.9
GTEX-1H3VY-0326-SM-9WYU6 50-59 years, male 38.8
GTEX-14LLW-0526-SM-62LFB 70-79 years, female 38.7
GTEX-YF7O-2526-SM-5IFJX 50-59 years, male 38.7
GTEX-13PVQ-0326-SM-5K7YF 50-59 years, male 38.6
GTEX-14JG6-2126-SM-6EU2F 30-39 years, female 38.6
GTEX-1HSMP-0326-SM-A9SMC 70-79 years, male 38.5
GTEX-1N2DV-0526-SM-DTX8W 40-49 years, male 38.5
GTEX-14XAO-2226-SM-6LLHU 60-69 years, female 38.4
GTEX-15ER7-0226-SM-7KUEU 20-29 years, female 38.4
GTEX-PSDG-0426-SM-5SI86 50-59 years, male 38.4
GTEX-RUSQ-1726-SM-2TF68 50-59 years, male 38.3
GTEX-1JJEA-0126-SM-D3L8A 60-69 years, male 38.2
GTEX-ZAB5-2126-SM-5K7UN 50-59 years, male 37.9
GTEX-13SLW-0326-SM-5RQK5 70-79 years, male 37.8
GTEX-1GZ2Q-0426-SM-9WPOU 40-49 years, male 37.7
GTEX-132AR-1026-SM-5PNVL 50-59 years, female 37.6
GTEX-1399Q-2426-SM-5J2MO 40-49 years, male 37.6
GTEX-139TU-0526-SM-5J2M8 60-69 years, male 37.6
GTEX-145MN-2426-SM-5NQA5 30-39 years, male 37.6
GTEX-1KD5A-0726-SM-DIPEO 50-59 years, male 37.4
GTEX-OXRL-1626-SM-2YUMU 50-59 years, male 37.3
GTEX-WWYW-0526-SM-3NB2W 50-59 years, female 37.3
GTEX-146FR-1726-SM-5Q5DT 60-69 years, female 37.2
GTEX-1A8FM-0526-SM-7P8SF 50-59 years, female 37.2
GTEX-OOBK-1626-SM-2HMKG 40-49 years, male 37.1
GTEX-13FHO-0726-SM-5IJDG 60-69 years, male 37.0
GTEX-WL46-0626-SM-3LK7R 50-59 years, male 37.0
GTEX-XV7Q-2926-SM-4BRUL 40-49 years, female 37.0
GTEX-1F6IF-0226-SM-7PBZ6 60-69 years, male 37.0
GTEX-1117F-0426-SM-5EGHI 60-69 years, female 36.9
GTEX-SN8G-0326-SM-32PLG 50-59 years, female 36.9
GTEX-T5JC-0626-SM-3NMA6 20-29 years, male 36.8
GTEX-1M4P7-0126-SM-DKPQF 60-69 years, male 36.8
GTEX-1RQEC-0126-SM-E9J2H 60-69 years, male 36.7
GTEX-131XW-0326-SM-5KM1J 50-59 years, female 36.6
GTEX-1QP2A-0526-SM-E8VN5 50-59 years, male 36.6
GTEX-131YS-0526-SM-5EGKJ 60-69 years, female 36.3
GTEX-13D11-2526-SM-5KM28 50-59 years, female 36.3
GTEX-ZLFU-2526-SM-DO91K 40-49 years, male 36.3
GTEX-TMZS-0326-SM-3DB9P 60-69 years, male 36.2
GTEX-145LU-2026-SM-5Q5E8 50-59 years, male 36.1
GTEX-WEY5-2026-SM-CYPRC 40-49 years, female 36.1
GTEX-WK11-2526-SM-3NM9Y 50-59 years, male 36.0
GTEX-1MA7W-1826-SM-DIPFP 20-29 years, female 36.0
GTEX-13NYC-0726-SM-5J2NQ 60-69 years, male 35.9
GTEX-17HII-0426-SM-793A3 50-59 years, male 35.9
GTEX-YEC3-2126-SM-4YCDB 50-59 years, male 35.9
GTEX-ZDXO-0326-SM-4WKHJ 60-69 years, male 35.9
GTEX-1HBPN-0526-SM-A9SM6 50-59 years, male 35.9
GTEX-1JK1U-2226-SM-CNNPL 60-69 years, male 35.9
GTEX-QCQG-2126-SM-DTXFV 50-59 years, female 35.8
GTEX-139T8-0526-SM-5KLZL 60-69 years, male 35.7
GTEX-1B996-0326-SM-7DHMU 60-69 years, male 35.7
GTEX-REY6-0826-SM-2TF4S 60-69 years, male 35.6
GTEX-16YQH-0426-SM-7KUL7 30-39 years, male 35.5
GTEX-1JMLX-0326-SM-CM2RP 50-59 years, male 35.5
GTEX-1QEPI-0526-SM-E76QF 60-69 years, female 35.4
GTEX-YB5K-2326-SM-5IFHD 40-49 years, female 35.3
GTEX-13FTW-2326-SM-5K7YS 40-49 years, male 35.2
GTEX-16XZY-2226-SM-7938N 70-79 years, male 35.1
GTEX-UJHI-1726-SM-3DB9B 50-59 years, female 35.1
GTEX-X88G-0326-SM-47JZ4 30-39 years, male 35.1
GTEX-XQ3S-0426-SM-4BOOA 20-29 years, male 35.1
GTEX-ZF2S-2126-SM-4WWAY 50-59 years, female 35.1
GTEX-WRHK-1626-SM-3MJFH 20-29 years, female 35.0
GTEX-11VI4-1926-SM-5CVLI 40-49 years, female 34.9
GTEX-1B8KZ-2126-SM-73KYG 50-59 years, male 34.9
GTEX-1H1DG-0326-SM-9QEHK 70-79 years, male 34.8
GTEX-14DAR-1826-SM-664N1 50-59 years, male 34.7
GTEX-11TUW-2526-SM-5EQKN 60-69 years, male 34.6
GTEX-13IVO-0626-SM-5LZYJ 70-79 years, male 34.5
GTEX-O5YT-1626-SM-32PK6 20-29 years, male 34.5
GTEX-SSA3-0326-SM-32QPS 60-69 years, male 34.5
GTEX-11OC5-0326-SM-5PNW5 60-69 years, male 34.4
GTEX-1CAMQ-0326-SM-7MXUI 40-49 years, male 34.4
GTEX-144GN-2426-SM-5LU4R 50-59 years, male 34.3
GTEX-1QMI2-0526-SM-DTXFU 60-69 years, male 34.3
GTEX-YJ8O-2826-SM-5CVM4 40-49 years, female 34.2
GTEX-U4B1-1626-SM-3DB8N 40-49 years, male 34.1
GTEX-1CB4G-0426-SM-7MXUN 60-69 years, male 34.1
GTEX-14BIM-0326-SM-5SI9B 60-69 years, female 34.0
GTEX-ZVT3-0526-SM-5GIE9 60-69 years, female 34.0
GTEX-111VG-2626-SM-5GZY2 60-69 years, male 33.9
GTEX-13112-2626-SM-5BC66 50-59 years, male 33.9
GTEX-QLQ7-1726-SM-2S1QQ 60-69 years, male 33.9
GTEX-14ABY-0126-SM-62LDI 50-59 years, male 33.7
GTEX-15DCD-0626-SM-7KUG7 70-79 years, female 33.6
GTEX-1GTWX-0326-SM-9WYTP 60-69 years, male 33.6
GTEX-1HUB1-0526-SM-CL54N 60-69 years, male 33.5
GTEX-XMD1-0626-SM-EZ6MC 60-69 years, male 33.1
GTEX-U3ZM-1226-SM-3DB9G 40-49 years, male 33.0
GTEX-148VJ-0326-SM-5QGQE 70-79 years, male 32.9
GTEX-YFC4-1026-SM-5RQJM 40-49 years, female 32.9
GTEX-11ZTS-0526-SM-5CVL9 60-69 years, female 32.8
GTEX-1H1CY-2726-SM-9MQLR 60-69 years, female 32.7
GTEX-14AS3-2126-SM-5S2MK 40-49 years, female 32.6
GTEX-TSE9-0526-SM-3DB7Z 60-69 years, female 32.4
GTEX-1LSNM-2326-SM-EWRO8 50-59 years, male 32.4
GTEX-13JVG-0126-SM-5L3D3 60-69 years, male 32.3
GTEX-15G1A-2026-SM-7KUFG 30-39 years, male 32.3
GTEX-SE5C-1826-SM-2XCE4 40-49 years, female 32.3
GTEX-11EI6-0326-SM-5EQ6G 60-69 years, male 32.2
GTEX-14E6D-0326-SM-62LDX 50-59 years, male 32.2
GTEX-T6MN-0526-SM-32PMS 50-59 years, male 32.2
GTEX-1J8QM-2226-SM-CYPSK 60-69 years, female 32.2
GTEX-1PIIG-0126-SM-E9J46 30-39 years, male 32.2
GTEX-13VXU-0326-SM-5LU36 50-59 years, male 32.1
GTEX-UTHO-0726-SM-3GAEN 60-69 years, male 32.1
GTEX-Y8DK-0326-SM-4TT3P 60-69 years, male 32.1
GTEX-ZV6S-2126-SM-4YCEM 40-49 years, female 32.1
GTEX-ZAKK-0326-SM-5EGHA 70-79 years, male 32.0
GTEX-18A67-0326-SM-7LG5X 50-59 years, male 31.9
GTEX-ZV68-0526-SM-59HKI 50-59 years, female 31.9
GTEX-13O21-1726-SM-5MR5A 50-59 years, male 31.8
GTEX-OHPK-1626-SM-2YUN3 50-59 years, female 31.5
GTEX-11O72-0326-SM-5986D 40-49 years, male 31.4
GTEX-13JUV-2326-SM-5IJCE 40-49 years, female 31.4
GTEX-15EO6-2826-SM-6PANB 50-59 years, male 31.4
GTEX-1CB4E-2126-SM-793AP 60-69 years, male 31.4
GTEX-1I1GS-0326-SM-ARL7X 60-69 years, male 31.4
GTEX-13OVL-1426-SM-5IJC1 50-59 years, male 31.3
GTEX-13VXT-0326-SM-5LU4U 20-29 years, female 31.3
GTEX-132Q8-0626-SM-5L3F3 60-69 years, male 31.2
GTEX-1497J-2626-SM-5SI9K 60-69 years, male 31.2
GTEX-1HCVE-0326-SM-CGQEW 50-59 years, male 31.2
GTEX-POMQ-1926-SM-3NB1Y 20-29 years, female 31.1
GTEX-12ZZZ-0226-SM-59HKU 60-69 years, male 31.0
GTEX-1EMGI-0326-SM-9MQM5 60-69 years, male 31.0
GTEX-1JKYR-0326-SM-CNPOL 20-29 years, male 31.0
GTEX-1JMQJ-0126-SM-E6CI2 50-59 years, male 31.0
GTEX-1477Z-1626-SM-5SIA8 60-69 years, male 30.9
GTEX-1A3MX-0526-SM-718A9 60-69 years, male 30.9
GTEX-1AX9J-0126-SM-73KY2 60-69 years, male 30.9
GTEX-18465-0326-SM-7LTAD 50-59 years, male 30.8
GTEX-TML8-1826-SM-32QOR 40-49 years, female 30.8
GTEX-ZA64-2026-SM-5PNXT 20-29 years, male 30.8
GTEX-ZY6K-2026-SM-5GZXQ 50-59 years, male 30.8
GTEX-1QCLZ-0326-SM-DTXG2 60-69 years, female 30.8
GTEX-1MJK3-1426-SM-E9TK1 20-29 years, male 30.7
GTEX-13OVH-0626-SM-5L3EI 70-79 years, male 30.5
GTEX-11WQC-2626-SM-5CVLF 60-69 years, male 30.4
GTEX-SUCS-1626-SM-32PLS 70-79 years, male 30.4
GTEX-139YR-2526-SM-5IJC6 50-59 years, male 30.3
GTEX-14PJ2-0326-SM-6EU2Q 50-59 years, male 30.3
GTEX-16XZZ-0526-SM-7KUF1 60-69 years, male 30.3
GTEX-ZVT2-2426-SM-57WCQ 50-59 years, female 30.3
GTEX-1O9I2-0526-SM-EYYXI 50-59 years, male 30.3
GTEX-1211K-2126-SM-59HJZ 60-69 years, female 30.2
GTEX-145LT-1626-SM-5O992 40-49 years, male 30.2
GTEX-14C38-0426-SM-5TDDZ 50-59 years, male 30.2
GTEX-17MFQ-1926-SM-793A6 20-29 years, male 30.0
GTEX-O5YV-2026-SM-2D7VS 60-69 years, female 30.0
GTEX-WOFM-1326-SM-3MJFR 20-29 years, male 30.0
GTEX-ZVTK-0626-SM-5GU6Y 20-29 years, male 30.0
GTEX-11P81-2526-SM-5GU6H 30-39 years, female 29.9
GTEX-145LS-0526-SM-5LU8Y 60-69 years, female 29.7
GTEX-14PJ5-2026-SM-6LLIN 60-69 years, female 29.7
GTEX-11GS4-2526-SM-5A5KT 60-69 years, male 29.6
GTEX-X261-0326-SM-3NMD4 50-59 years, male 29.6
GTEX-1GF9W-0526-SM-9MQJP 60-69 years, male 29.6
GTEX-1C4CL-0326-SM-7DHMH 30-39 years, male 29.5
GTEX-ZP4G-2026-SM-57WEH 20-29 years, female 29.5
GTEX-ZYY3-0526-SM-5E45G 60-69 years, female 29.5
GTEX-11TTK-0326-SM-5BC5N 60-69 years, female 29.4
GTEX-13OW6-0626-SM-5L3IB 50-59 years, male 29.4
GTEX-PLZ5-1726-SM-2I5F6 50-59 years, male 29.4
GTEX-16NGA-1926-SM-7LTA6 40-49 years, female 29.3
GTEX-1NUQO-0726-SM-E9J3K 20-29 years, female 29.3
GTEX-15ETS-0326-SM-6PANH 40-49 years, female 29.1
GTEX-1QW4Y-1726-SM-EWRN1 30-39 years, male 29.1
GTEX-1KAFJ-2326-SM-D3L8Z 50-59 years, male 29.0
GTEX-ZVZP-2526-SM-57WBR 50-59 years, male 28.9
GTEX-12C56-1926-SM-5FQUG 20-29 years, male 28.8
GTEX-11TT1-2326-SM-5GU6N 20-29 years, male 28.7
GTEX-QV31-1426-SM-2S1QD 30-39 years, male 28.7
GTEX-1F6I4-0326-SM-7P8T8 60-69 years, male 28.7
GTEX-11WQK-0726-SM-5GU71 50-59 years, male 28.6
GTEX-11ZUS-1426-SM-5FQSP 30-39 years, male 28.6
GTEX-1JN76-0326-SM-ARZNJ 20-29 years, female 28.5
GTEX-1LGRB-2626-SM-CNPPR 50-59 years, female 28.5
GTEX-16BQI-0326-SM-6PAM4 30-39 years, female 28.4
GTEX-18D9U-0626-SM-7LTA4 40-49 years, male 28.4
GTEX-QVJO-0126-SM-3GIK4 60-69 years, female 28.4
GTEX-U3ZN-2226-SM-3DB88 30-39 years, female 28.4
GTEX-XQ8I-0626-SM-4BOPT 50-59 years, male 28.4
GTEX-1212Z-2626-SM-5YY8P 60-69 years, male 28.3
GTEX-1GZHY-0126-SM-9WYUQ 50-59 years, female 28.3
GTEX-1I1GV-0126-SM-CL55G 60-69 years, male 28.3
GTEX-11LCK-1226-SM-5Q5AM 30-39 years, male 28.2
GTEX-1EX96-1526-SM-7PBXK 50-59 years, male 28.2
GTEX-1A3MV-2026-SM-718BU 30-39 years, male 28.1
GTEX-1F75A-0626-SM-7PBYI 50-59 years, male 28.0
GTEX-1MCYP-2026-SM-DTXE4 20-29 years, female 28.0
GTEX-1PIGE-0226-SM-E76OT 20-29 years, male 28.0
GTEX-1F7RK-0326-SM-7RHH7 20-29 years, female 27.9
GTEX-1S83E-2126-SM-EWRO6 40-49 years, male 27.9
GTEX-12BJ1-2526-SM-5FQUE 60-69 years, male 27.8
GTEX-14LZ3-0626-SM-5ZZWP 60-69 years, female 27.8
GTEX-15RJ7-2426-SM-6M48L 40-49 years, male 27.8
GTEX-RM2N-1626-SM-2TF5N 50-59 years, male 27.8
GTEX-T5JW-1826-SM-3GAE1 20-29 years, female 27.8
GTEX-1KANC-1626-SM-E6CIA 50-59 years, female 27.8
GTEX-ZZPU-2626-SM-5E45Y 50-59 years, female 27.6
GTEX-111YS-2326-SM-5987L 60-69 years, male 27.5
GTEX-11DXZ-2426-SM-5N9DT 50-59 years, male 27.5
GTEX-UJMC-1826-SM-3GADT 50-59 years, male 27.5
GTEX-1PDJ9-0526-SM-DTXDL 20-29 years, male 27.5
GTEX-17F9E-0226-SM-79OKK 50-59 years, male 27.4
GTEX-13W3W-2626-SM-5SIA2 60-69 years, female 27.3
GTEX-1RAZQ-0426-SM-DTXFQ 30-39 years, male 27.3
GTEX-11GSO-2526-SM-5PNVX 60-69 years, male 27.2
GTEX-11OF3-2526-SM-5P9JL 60-69 years, male 27.2
GTEX-13OVG-2126-SM-5KM1K 60-69 years, male 27.2
GTEX-14A6H-5019-SM-793DH 30-39 years, male 27.2
GTEX-11DXY-2726-SM-5GID2 60-69 years, male 27.1
GTEX-YECK-0626-SM-4W1ZE 60-69 years, male 27.1
GTEX-1445S-0626-SM-5LU3C 60-69 years, male 27.0
GTEX-17KNJ-2426-SM-7DHLR 50-59 years, male 27.0
GTEX-ZPCL-2026-SM-57WFD 60-69 years, female 27.0
GTEX-14PJ3-2026-SM-5ZZVK 50-59 years, male 26.9
GTEX-16GPK-0526-SM-7KUER 60-69 years, male 26.9
GTEX-1GMR8-0326-SM-9KNUO 50-59 years, female 26.7
GTEX-12WSN-2526-SM-5LZU8 40-49 years, male 26.6
GTEX-11DZ1-0926-SM-5EQ5R 50-59 years, male 26.5
GTEX-15SHV-2526-SM-6PAMG 60-69 years, male 26.5
GTEX-SNOS-1526-SM-32PLW 40-49 years, male 26.5
GTEX-1HCUA-2326-SM-ACKVJ 50-59 years, female 26.5
GTEX-OIZG-1326-SM-2HMIQ 50-59 years, male 26.3
GTEX-1GN1W-0726-SM-9KNTV 50-59 years, female 26.3
GTEX-1R9PN-1826-SM-E8VO4 40-49 years, female 26.3
GTEX-11ZTT-2626-SM-5EQKK 60-69 years, female 26.2
GTEX-OIZI-0626-SM-2XCEH 40-49 years, male 26.2
GTEX-1QCLY-0426-SM-E8VOH 30-39 years, male 26.2
GTEX-POYW-0526-SM-2XCEY 60-69 years, male 26.1
GTEX-SJXC-0526-SM-2XCFG 60-69 years, male 26.1
GTEX-169BO-1526-SM-9KNVR 50-59 years, male 26.1
GTEX-14753-0526-SM-5QGPR 60-69 years, male 26.0
GTEX-XUW1-0826-SM-4BOP6 50-59 years, female 26.0
GTEX-13CF3-1826-SM-5J1NK 60-69 years, female 25.9
GTEX-17HGU-0626-SM-7939Y 50-59 years, male 25.9
GTEX-1F88F-2526-SM-7PC2R 60-69 years, female 25.9
GTEX-1HKZK-0226-SM-9WYUG 40-49 years, male 25.9
GTEX-1P4AB-0326-SM-EXUT3 50-59 years, male 25.9
GTEX-13NZA-0526-SM-5L3D7 60-69 years, male 25.8
GTEX-W5WG-1926-SM-4KKZK 50-59 years, female 25.8
GTEX-1H11D-0326-SM-9WG71 40-49 years, male 25.5
GTEX-13O3Q-2726-SM-5KM51 50-59 years, male 25.4
GTEX-YB5E-2226-SM-5IFJ5 40-49 years, male 25.4
GTEX-ZWKS-0326-SM-5NQ7G 30-39 years, male 25.3
GTEX-13X6H-2326-SM-7EWEB 50-59 years, female 25.2
GTEX-1GMR2-2126-SM-7P8TX 50-59 years, male 25.2
GTEX-1IDJU-2426-SM-ARZM9 60-69 years, female 25.2
GTEX-1QAET-2026-SM-E9J3S 50-59 years, male 25.2
GTEX-1CAMR-1726-SM-793CU 20-29 years, male 25.1
GTEX-X5EB-2326-SM-46MW5 40-49 years, male 25.1
GTEX-15G19-0526-SM-6PAMT 60-69 years, male 25.0
GTEX-X8HC-0526-SM-4E3JA 50-59 years, female 25.0
GTEX-139T6-2026-SM-5IFFL 50-59 years, male 24.9
GTEX-13RTK-1626-SM-5QGQS 20-29 years, male 24.9
GTEX-14JG1-0126-SM-5ZZUP 40-49 years, male 24.9
GTEX-13N11-2726-SM-5L3ER 50-59 years, female 24.8
GTEX-13NZ9-0626-SM-5IJCO 50-59 years, male 24.8
GTEX-ZC5H-0326-SM-5HL9F 40-49 years, female 24.8
GTEX-1R9JW-2426-SM-DTXFI 30-39 years, female 24.8
GTEX-1I1GT-0726-SM-B2LWN 60-69 years, female 24.7
GTEX-1KXAM-2426-SM-DIPFC 60-69 years, male 24.7
GTEX-1LB8K-0126-SM-EVYCN 50-59 years, male 24.7
GTEX-1CAV2-2426-SM-7P8QF 40-49 years, female 24.6
GTEX-1F75B-0526-SM-7P8T5 50-59 years, male 24.6
GTEX-1IOXB-0326-SM-CL55M 50-59 years, male 24.6
GTEX-1HGF4-2626-SM-CM2SJ 60-69 years, male 24.5
GTEX-1JJ6O-0926-SM-CYPT1 60-69 years, male 24.5
GTEX-1192X-0426-SM-5GIEE 50-59 years, male 24.4
GTEX-13OVK-1926-SM-6M48G 40-49 years, male 24.3
GTEX-1HBPM-0426-SM-CKZOO 60-69 years, female 24.2
GTEX-1S82P-0326-SM-E9TIR 60-69 years, female 24.2
GTEX-13111-2226-SM-5LZUE 50-59 years, male 24.1
GTEX-13PDP-0326-SM-5K7XP 60-69 years, male 24.1
GTEX-1FIGZ-1726-SM-9MQKS 40-49 years, male 24.0
GTEX-1I6K6-0326-SM-CJI4A 30-39 years, male 23.9
GTEX-17F96-2726-SM-7LT9F 70-79 years, male 23.8
GTEX-14BMV-0326-SM-5RQHW 50-59 years, male 23.7
GTEX-18A7A-0626-SM-718BJ 50-59 years, female 23.7
GTEX-1I6K7-0326-SM-B2LXO 40-49 years, male 23.7
GTEX-13FTX-2026-SM-5L3D6 20-29 years, female 23.6
GTEX-13O61-2326-SM-5J1NJ 60-69 years, male 23.6
GTEX-1IE54-0326-SM-ARZMD 40-49 years, female 23.6
GTEX-QV44-2026-SM-2S1RD 50-59 years, male 23.5
GTEX-117YX-2526-SM-5EQ4Q 50-59 years, male 23.4
GTEX-145MG-0226-SM-5TDDB 50-59 years, male 23.4
GTEX-14PJO-0526-SM-6EU2O 60-69 years, male 23.4
GTEX-ZVE1-0526-SM-5NQ71 50-59 years, female 23.4
GTEX-1QP28-0526-SM-E8VNR 50-59 years, female 23.4
GTEX-TKQ2-0826-SM-33HB6 50-59 years, male 23.3
GTEX-1JMPY-1226-SM-CJI3A 30-39 years, male 23.3
GTEX-111CU-2026-SM-5GZZC 50-59 years, male 23.2
GTEX-15SHW-0726-SM-7KUEI 60-69 years, male 23.2
GTEX-OXRK-1826-SM-2HMJE 50-59 years, female 23.2
GTEX-1KANA-0926-SM-D3L9K 20-29 years, male 23.2
GTEX-14PJN-2126-SM-6AJBM 30-39 years, male 23.1
GTEX-TMMY-0426-SM-33HBB 40-49 years, female 23.1
GTEX-1LVAN-0526-SM-CNNQ1 50-59 years, female 23.1
GTEX-147GR-0126-SM-62LER 60-69 years, male 23.0
GTEX-1B932-0526-SM-73KU7 40-49 years, female 22.8
GTEX-1J1R8-2326-SM-CKZPS 40-49 years, male 22.8
GTEX-1339X-2426-SM-5KLYU 40-49 years, male 22.7
GTEX-Y5V6-2626-SM-5IFIX 60-69 years, male 22.7
GTEX-1122O-2426-SM-5GIDN 60-69 years, female 22.5
GTEX-1F75I-0526-SM-7RHI3 40-49 years, male 22.5
GTEX-1CB4F-0326-SM-9MQKD 60-69 years, male 22.4
GTEX-15DDE-0526-SM-6ETZQ 50-59 years, female 22.3
GTEX-OIZF-1626-SM-2YUNE 60-69 years, male 22.3
GTEX-13OW5-0326-SM-5L3HK 60-69 years, male 22.2
GTEX-1269C-2626-SM-5EQ5C 60-69 years, female 22.1
GTEX-WY7C-2526-SM-3NB2N 50-59 years, male 22.1
GTEX-16NPX-0626-SM-7KULB 50-59 years, male 22.0
GTEX-ZE7O-0326-SM-51MTH 50-59 years, female 21.8
GTEX-12126-0526-SM-5PNW4 20-29 years, male 21.7
GTEX-131XG-2326-SM-5HL8F 50-59 years, female 21.7
GTEX-13PL7-0626-SM-5IJCD 60-69 years, female 21.7
GTEX-1B8KE-2226-SM-7939K 50-59 years, male 21.7
GTEX-XUZC-2126-SM-4BRW8 30-39 years, female 21.6
GTEX-14PK6-2126-SM-6ETZV 70-79 years, female 21.4
GTEX-WHPG-2226-SM-3NMBO 50-59 years, male 21.4
GTEX-1F5PL-0426-SM-7P8PR 40-49 years, female 21.4
GTEX-PWCY-2026-SM-5SI8R 20-29 years, female 21.3
GTEX-Y3IK-2626-SM-4WWDK 50-59 years, female 21.3
GTEX-XMD2-0526-SM-4YCDI 60-69 years, female 21.2
GTEX-13O3P-0626-SM-5L3D5 50-59 years, male 21.1
GTEX-13PL6-0326-SM-5IJCP 40-49 years, female 21.1
GTEX-17EUY-0626-SM-793BE 20-29 years, male 21.0
GTEX-1QP66-1626-SM-E76PC 50-59 years, male 21.0
GTEX-1QP6S-0426-SM-DTXG4 40-49 years, male 21.0
GTEX-QESD-1626-SM-2S1RB 20-29 years, male 20.9
GTEX-RU1J-1726-SM-2TF5S 20-29 years, female 20.9
GTEX-ZGAY-0726-SM-DO91O 40-49 years, female 20.9
GTEX-139D8-0726-SM-5P9GJ 30-39 years, female 20.8
GTEX-ZLV1-2126-SM-4WWD2 60-69 years, female 20.8
GTEX-1MUQO-0226-SM-E9TJL 60-69 years, male 20.8
GTEX-1F5PK-2626-SM-7RHH6 50-59 years, male 20.7
GTEX-131XF-2326-SM-5BC6B 60-69 years, male 20.6
GTEX-13S7M-0326-SM-5S2PH 60-69 years, female 20.6
GTEX-13W46-0726-SM-5LU3Z 50-59 years, male 20.6
GTEX-17F97-0526-SM-7DUF8 50-59 years, male 20.6
GTEX-1399S-2726-SM-5KM22 30-39 years, female 20.5
GTEX-1J8Q2-0126-SM-E9J2G 60-69 years, male 20.5
GTEX-1399R-2526-SM-5IFG2 30-39 years, male 20.4
GTEX-11NUK-0226-SM-5A5L4 50-59 years, male 20.3
GTEX-12WSH-2526-SM-5CVNH 50-59 years, male 20.3
GTEX-15SB6-1826-SM-6PALN 50-59 years, female 20.3
GTEX-ZYFG-2426-SM-5GIE8 60-69 years, female 20.3
GTEX-1I1GU-2126-SM-CGQF9 40-49 years, male 20.2
GTEX-ZLWG-2126-SM-DO91M 50-59 years, female 20.2
GTEX-17HHE-2126-SM-7DHLO 50-59 years, male 20.1
GTEX-OIZH-1626-SM-2HMKI 50-59 years, male 20.1
GTEX-Q734-2026-SM-3GADA 40-49 years, female 20.1
GTEX-XPT6-2026-SM-4B64V 20-29 years, male 20.1
GTEX-1IDJF-0326-SM-ADEIG 20-29 years, male 20.1
GTEX-12WSJ-1726-SM-5LZVV 40-49 years, female 20.0
GTEX-15F5U-1826-SM-6LLJF 40-49 years, male 20.0
GTEX-U8XE-0726-SM-3DB8O 30-39 years, male 20.0
GTEX-ZVP2-2126-SM-5GU6E 50-59 years, male 20.0
GTEX-1K2DU-2526-SM-D3L8V 20-29 years, male 20.0
GTEX-1LH75-2626-SM-E9TKL 50-59 years, female 20.0
GTEX-WFG8-2426-SM-3GILL 20-29 years, male 19.9
GTEX-Y5V5-2526-SM-4VBQ4 60-69 years, female 19.9
GTEX-1R9K4-0626-SM-E76OZ 60-69 years, male 19.8
GTEX-XAJ8-1026-SM-47JY9 40-49 years, male 19.7
GTEX-11P82-1826-SM-5PNYJ 20-29 years, male 19.6
GTEX-14E6E-2026-SM-664N5 30-39 years, male 19.6
GTEX-18QFQ-0326-SM-731C3 30-39 years, male 19.6
GTEX-1K2DA-2226-SM-CGQGM 50-59 years, male 19.6
GTEX-R55D-0626-SM-3GAD5 50-59 years, male 19.5
GTEX-VJWN-0426-SM-3GIJI 50-59 years, female 19.5
GTEX-WYVS-2326-SM-3NMAI 40-49 years, female 19.5
GTEX-1GPI7-0426-SM-7RHHP 20-29 years, male 19.5
GTEX-1PIEJ-0326-SM-EVYB5 20-29 years, female 19.5
GTEX-11I78-2426-SM-5A5K9 50-59 years, female 19.4
GTEX-14C5O-0626-SM-664N2 60-69 years, male 19.2
GTEX-Y8E4-1026-SM-4VBQ5 40-49 years, male 19.2
GTEX-QVUS-0226-SM-3GIJY 60-69 years, female 19.1
GTEX-S95S-1426-SM-2XCDM 60-69 years, male 19.1
GTEX-11P7K-1926-SM-5GU6R 30-39 years, male 19.0
GTEX-12WSL-2726-SM-5CVNL 50-59 years, male 19.0
GTEX-13FH7-2126-SM-5L3DJ 50-59 years, female 19.0
GTEX-18A66-0126-SM-731CQ 60-69 years, male 19.0
GTEX-ZXG5-0326-SM-5GICH 60-69 years, male 19.0
GTEX-1RAZR-0326-SM-EWRNM 40-49 years, male 18.9
GTEX-Y9LG-1926-SM-5IFHY 30-39 years, male 18.7
GTEX-131XE-2726-SM-5P9G7 50-59 years, male 18.6
GTEX-NFK9-0626-SM-2HMIV 40-49 years, male 18.5
GTEX-1GMR3-2126-SM-9WYTZ 40-49 years, male 18.5
GTEX-13FHP-0526-SM-5K7UY 50-59 years, male 18.3
GTEX-1B8SG-0326-SM-73KXW 50-59 years, male 18.3
GTEX-T8EM-1326-SM-3DB7G 40-49 years, male 18.3
GTEX-1HSMQ-1326-SM-ADEHS 50-59 years, male 18.3
GTEX-16AAH-1826-SM-7939D 50-59 years, male 18.2
GTEX-1H3VE-0126-SM-9WYTW 40-49 years, male 18.2
GTEX-16MTA-2026-SM-7KUL3 50-59 years, male 18.1
GTEX-TKQ1-1426-SM-4GICK 30-39 years, male 18.1
GTEX-1CAMS-0126-SM-79396 40-49 years, female 18.0
GTEX-1HFI7-1926-SM-A96TQ 50-59 years, female 17.9
GTEX-17GQL-1926-SM-718B9 60-69 years, male 17.7
GTEX-1RB15-2226-SM-DTXFZ 60-69 years, male 17.7
GTEX-1H1DE-1726-SM-A9G3G 20-29 years, male 17.6
GTEX-1GZ4H-1626-SM-7PC3F 50-59 years, female 17.5
GTEX-15RIF-2126-SM-7KUM8 20-29 years, male 17.3
GTEX-Q2AI-1526-SM-3GIJ3 40-49 years, male 17.2
GTEX-12WSG-5016-SM-7SB84 50-59 years, female 17.2
GTEX-1R9PM-2226-SM-E8VOC 20-29 years, male 17.2
GTEX-XGQ4-2326-SM-4AT53 50-59 years, male 17.1
GTEX-1C64N-0326-SM-7P8QC 50-59 years, male 17.1
GTEX-1HCU7-0426-SM-D3L8Q 50-59 years, male 17.1
GTEX-WYJK-1726-SM-3NM9U 50-59 years, male 17.0
GTEX-15SKB-2526-SM-6PALP 60-69 years, male 16.9
GTEX-P44H-0426-SM-2XCEZ 40-49 years, male 16.9
GTEX-1PPH8-0326-SM-E76PR 20-29 years, male 16.8
GTEX-1R7EV-2026-SM-DTX83 40-49 years, male 16.7
GTEX-11EQ8-0526-SM-5N9BC 60-69 years, male 16.6
GTEX-1399U-2526-SM-5L3DL 50-59 years, female 16.6
GTEX-13N2G-2326-SM-5J1ON 60-69 years, male 16.6
GTEX-WWTW-0626-SM-4MVNS 50-59 years, male 16.2
GTEX-1LVAM-0326-SM-DIPFL 50-59 years, female 16.1
GTEX-ZTX8-1626-SM-51MRY 20-29 years, male 16.0
GTEX-14E1K-2326-SM-664MP 50-59 years, male 15.9
GTEX-1LNCM-1226-SM-E9U5C 50-59 years, female 15.9
GTEX-14PJ4-2426-SM-6EU1U 60-69 years, male 15.7
GTEX-1C6VS-0126-SM-7PC2H 60-69 years, male 15.7
GTEX-1M5QR-1326-SM-EWROC 40-49 years, male 15.6
GTEX-1QP9N-1926-SM-E6CPY 30-39 years, male 15.5
GTEX-1AMEY-1526-SM-73KYW 30-39 years, female 15.4
GTEX-18D9A-1826-SM-718BK 30-39 years, female 15.3
GTEX-1IDJV-0426-SM-COH3Z 60-69 years, male 15.3
GTEX-1PPH7-2526-SM-E76OJ 40-49 years, male 15.3
GTEX-15CHC-2426-SM-6EU22 60-69 years, female 15.2
GTEX-S32W-2326-SM-2XCAW 50-59 years, female 15.1
GTEX-Z9EW-1726-SM-5CVMO 40-49 years, male 15.1
GTEX-WFG7-2226-SM-3GIKP 20-29 years, male 14.8
GTEX-OOBJ-1626-SM-2I3F7 60-69 years, male 14.6
GTEX-15UKP-0326-SM-7KUFP 20-29 years, male 14.5
GTEX-1AX8Z-5004-SM-ARZLD 60-69 years, male 14.2
GTEX-ZAJG-0526-SM-5S2MT 50-59 years, female 14.1
GTEX-1L5NE-2226-SM-CXZKS 50-59 years, male 14.1
GTEX-ZV7C-2426-SM-5NQ7Q 50-59 years, male 14.0
GTEX-1JN6P-0526-SM-COH33 60-69 years, male 14.0
GTEX-1LBAC-0326-SM-DIPF1 20-29 years, male 14.0
GTEX-R55C-1726-SM-3GADJ 40-49 years, male 13.9
GTEX-XBEW-1026-SM-4QARV 40-49 years, male 13.9
GTEX-YFCO-1926-SM-4W212 40-49 years, male 13.6
GTEX-V1D1-2426-SM-3GAER 50-59 years, male 13.5
GTEX-1HCU9-1926-SM-9WYSE 20-29 years, male 13.5
GTEX-14BMU-2026-SM-5S2W6 20-29 years, female 13.4
GTEX-P78B-1626-SM-5SI85 40-49 years, female 13.4
GTEX-QEL4-0626-SM-3GIJM 50-59 years, male 13.4
GTEX-1J8Q3-1426-SM-CKZPU 60-69 years, male 13.2
GTEX-WXYG-2526-SM-3NB3F 50-59 years, female 13.1
GTEX-ZQG8-1226-SM-51MRX 60-69 years, female 12.9
GTEX-15RIE-2426-SM-7KUDS 60-69 years, male 12.5
GTEX-11NSD-2026-SM-5HL5U 20-29 years, male 12.3
GTEX-ZT9X-1826-SM-57WDU 40-49 years, male 12.3
GTEX-1QP67-1826-SM-DTX8D 40-49 years, female 11.9
GTEX-13NZB-2626-SM-5J2M7 30-39 years, male 11.7
GTEX-133LE-2026-SM-5K7WM 20-29 years, female 11.4
GTEX-14ICL-1926-SM-5RQIZ 30-39 years, male 11.3
GTEX-SNMC-1426-SM-2XCFM 20-29 years, male 11.3
GTEX-15RIG-0426-SM-7KUF4 40-49 years, male 10.5
GTEX-1S5VW-0526-SM-E6CHL 60-69 years, male 10.2
GTEX-1JKYN-1826-SM-ARZMZ 30-39 years, male 8.4
GTEX-R53T-1826-SM-3GIJX 50-59 years, female 7.7
GTEX-Y5LM-2126-SM-4VDSY 40-49 years, female 4.5
GTEX-ZQUD-1726-SM-7P8ON 30-39 years, male 0.4
Show allShow less

SKELETAL MUSCLE - FANTOM5 CAGEi

RNA expression in human tissues obtained through Cap Analysis of Gene Expression (CAGE) generated by the FANTOM5 project are reported as Scaled Tags Per Million.

Max subtype Scaled Tags Per Millioni

Max subtype Scaled Tags Per Million is the value for the subtype with the largest average Scaled Tags Per Million across the subtype samples.

377.2
FANTOM5 sample id Sample description Scaled Tags Per Million
Skeletal muscle
Scaled Tags Per Million: 377.2
FF:10023-101D5 55,79,79 years, mixed 377.2
Skeletal muscle - soleus muscle
Scaled Tags Per Million: 238.3
FF:10282-104F3 male 238.3

Contact

  • NEWS ARTICLES
  • PRESS ROOM

The Project

  • INTRODUCTION
  • ORGANIZATION
  • PUBLICATIONS

The Human Protein Atlas

  • DOWNLOADABLE DATA
  • LICENCE & CITATION
  • HELP & FAQ
The Human Protein Atlas project is funded
by the Knut & Alice Wallenberg Foundation.


contact@proteinatlas.org