We use cookies to enhance the usability of our website. If you continue, we'll assume that you are happy to receive all cookies. More information. Don't show this again.
MT-CO1
HPA
RESOURCES
  • TISSUE
  • BRAIN
  • SINGLE CELL
  • SUBCELLULAR
  • CANCER
  • BLOOD
  • CELL LINE
  • STRUCTURE & INTERACTION
ABOUT
  • INTRODUCTION
  • HISTORY
  • ORGANIZATION
  • PUBLICATIONS
  • ANTIBODY SUBMISSION
  • ANTIBODY AVAILABILITY
  • ACKNOWLEDGMENTS
  • CONTACT
NEWS
  • NEWS ARTICLES
  • PRESS ROOM
LEARN
  • DICTIONARY
  • PROTEIN CLASSES
  • PROTEIN EVIDENCE
  • METHODS
  • EDUCATIONAL VIDEOS
DATA
  • DOWNLOADABLE DATA
  • PUBLICATION DATA
  • RELEASE HISTORY
HELP
  • ANTIBODY VALIDATION
  • ASSAYS & ANNOTATION
  • DISCLAIMER
  • HELP & FAQ
  • PRIVACY STATEMENT
  • LICENCE & CITATION
Fields »
Search result

Field
Term
Gene name
Class
Subclass
Class
Keyword
Chromosome
External id
Tissue
Cell type
Expression
Antibody panel
Tissue
Main location
Patient ID
Annotation
Tissue
Category
Tau score
Cluster
Reliability
Brain region
Category
Tau score
Brain region
Category
Tau score
Brain region
Category
Tau score
Cluster
Reliability
Tissue
Cell type
Enrichment
Cell type
Category
Tau score
Cell type
Category
Tau score
Cell type
Category
Tau score
Cell lineage
Category
Tau score
Cluster
Cluster
Location
Searches
Location
Cell line
Class
Type
Phase
Reliability
Cancer
Prognosis
Cancer
Category
Cancer
Category
Tau score
Cluster
Variants
Interacting gene (ensg_id)
Type
Number of interactions
Pathway
Category
Score
Score
Score
Validation
Validation
Validation
Validation
Antibodies
Data type
Column


  • SUMMARY

  • TISSUE

  • BRAIN

  • SINGLE CELL

  • SUBCELL

  • CANCER

  • BLOOD

  • CELL LINE

  • STRUCT & INT

  • MT-CO1
TISSUE PRIMARY DATA THYROID GLAND Show tissue menu
ADIPOSE TISSUE ADRENAL GLAND AMYGDALA APPENDIX BASAL GANGLIA BONE MARROW BREAST BRONCHUS CEREBELLUM CEREBRAL CORTEX CERVIX CHOROID PLEXUS COLON DUODENUM
ENDOMETRIUM EPIDIDYMIS ESOPHAGUS FALLOPIAN TUBE GALLBLADDER HEART MUSCLE HIPPOCAMPAL FORMATION HYPOTHALAMUS KIDNEY LIVER LUNG LYMPH NODE MIDBRAIN NASOPHARYNX
ORAL MUCOSA OVARY PANCREAS PARATHYROID GLAND PITUITARY GLAND PLACENTA PROSTATE RECTUM RETINA SALIVARY GLAND SEMINAL VESICLE SKELETAL MUSCLE SKIN SMALL INTESTINE
SMOOTH MUSCLE SOFT TISSUE SPINAL CORD SPLEEN STOMACH TESTIS THYMUS THYROID GLAND TONGUE TONSIL URINARY BLADDER VAGINA
ANTIBODIES
AND
VALIDATION
Dictionary
Thyroid gland
Tissue proteome
Thyroid gland
THYROID GLAND - Expression summary
Protein expression
Thyroid glandi

On the top, protein expression in current human tissue, based on all annotated cell types, is reported with the units not detected (n), low (l), medium (m) and high (h). Underneath, protein expression in each annotated cell type are reported using the same units.

Protein expression data is based on knowledge-based annotation. For genes where more than one antibody has been used, a collective score is set.

If knowledge-based annotation could not be performed for a gene, no data is displayed here. View antibody staining data further down this page.

h
m
l
n
Glandular cells: High
RNA expressioni

A summary of mRNA expression data available for current tissue based on several datasets. The mRNA expression levels in human tissues are based on RNA-seq data generated by the Human Protein Atlas (HPA), Genotype-Tissue Expression (GTEx) portal and CAGE data generated by the FANTOM5 consortium. Consensus normalized expression levels for human tissues was created by combining the data from HPA and GTEx datasets.

The mRNA expression levels in pig are based on RNA-seq data generated by the Human Protein Atlas (HPA), and for mouse, HPA data and in situ hybridization generated by the Allen brain atlas are reported.

Scroll down to view mRNA expression data in more detail.
Consensus:13639.3 nTPM
HPA:7741.8 nTPM
GTEx:13639.3 nTPM

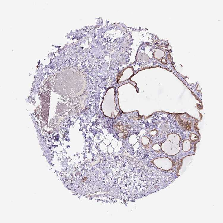
THYROID GLAND - Antibody stainingi

Antibody staining in the annotated cell types in the current human tissue is reported as not detected, low, medium, or high, based on conventional immunohistochemistry profiling in selected tissues. This score is based on the combination of the staining intensity and fraction of stained cells.

Each image is clickable and will lead to virtual microscopy that enables deeper exploration of all samples and also displays staining intensity scores, fraction scores and subcellular localization as well as patient and tissue information for each sample.

Antibody HPA069328Antibody CAB016241
Glandular cells HighHigh





THYROID GLAND - HPA RNA-seqi

The RNA-seq details section shows detailed information about the individual samples used for the transcript profiling and results of the RNA-seq analysis.

Information about each individual sample is listed below, including gender, age, a tissue section image and estimated fractions of cell types. nTPM (normalized transcripts per million) values give a quantification of the gene abundance which is comparable between different genes and samples.
Average nTPMi

Max subtype nTPM is the value for the subtype with the largest average nTPM across the subtype samples.

7741.8
overview
Female, age 20
Thyroid gland sample 249
nTPM: 650.9
Cell types%
Glandular cells:
70

Endothelial cells:
20

Other cell types:
10

overview
Female, age 55
Thyroid gland sample 250
nTPM: 7776.1
Cell types%
Glandular cells:
70

Endothelial cells:
20

Other cell types:
10

overview
Female, age 58
Thyroid gland sample 251
nTPM: 8396.2
Cell types%
Glandular cells:
70

Endothelial cells:
15

Other cell types:
15

overview
Female, age 48
Thyroid gland sample 252
nTPM: 11139.9
Cell types%
Glandular cells:
70

Endothelial cells:
20

Other cell types:
10

overview
Male, age 21
Thyroid gland sample 363
nTPM: 10746.2
Cell types%
Glandular cells:
75

Endothelial cells:
10

Other cell types:
15


THYROID GLAND - GTEx RNA-seqi

RNA-Seq data generated by the Genotype-Tissue Expression (GTEx) project from human tissues is reported as mean nTPM. More information can be found on the GTEx portal.

Distribution across the dataset is visualized with box plots, shown as median and 25th and 75th percentiles. Points are displayed as outliers if they are above or below 1.5 times the interquartile range. nTPM values of the individual samples are presented next to the box plot.
Max subtype nTPMi

Max subtype nTPM is the value for the subtype with the largest average nTPM across the subtype samples.

13639.3
GTEx sample id Sample description nTPM
Thyroid
Average nTPM: 13639.3
Samples: 653

Max nTPM: 123770.7
Min nTPM: 256.9
Std nTPM: 12085.0
Median nTPM: 10783.2
GTEX-1GZ4H-0226-SM-9JGGJ 50-59 years, female 123770.7
GTEX-ZT9W-0226-SM-7SB6H 50-59 years, male 62985.6
GTEX-YEC3-0826-SM-4WWFP 50-59 years, male 54527.0
GTEX-145LT-0226-SM-5S2QK 40-49 years, male 52176.6
GTEX-14PJ6-0326-SM-6871H 60-69 years, female 49020.2
GTEX-1CB4E-0326-SM-7MXT3 60-69 years, male 48510.2
GTEX-1122O-0226-SM-5N9DA 60-69 years, female 47874.2
GTEX-1AMEY-0126-SM-73KTX 30-39 years, female 47023.1
GTEX-YFCO-0326-SM-4W1ZP 40-49 years, male 47017.9
GTEX-1C2JI-0326-SM-7EWFD 50-59 years, male 46116.3
GTEX-Y3I4-0226-SM-4TT27 50-59 years, male 46095.9
GTEX-TMMY-0826-SM-33HB9 40-49 years, female 45683.0
GTEX-15CHC-0126-SM-5YYBA 60-69 years, female 44220.5
GTEX-P4PQ-2626-SM-33HC9 60-69 years, male 43458.9
GTEX-1J1R8-0126-SM-CJI36 40-49 years, male 42660.4
GTEX-P4QT-2626-SM-2I3FM 50-59 years, female 40926.2
GTEX-1ICG6-0426-SM-ARU7M 70-79 years, female 39031.3
GTEX-QV31-0726-SM-3GAEG 30-39 years, male 38886.0
GTEX-S32W-0726-SM-2XCBL 50-59 years, female 38622.9
GTEX-1J8QM-0726-SM-CE6RF 60-69 years, female 38465.0
GTEX-11DXX-0226-SM-5P9HL 60-69 years, female 37520.8
GTEX-11P82-0226-SM-5HL4O 20-29 years, male 37481.3
GTEX-1HBPN-1226-SM-B2LW9 50-59 years, male 36902.5
GTEX-RWSA-0826-SM-2XCBF 40-49 years, male 35698.7
GTEX-ZQG8-0926-SM-57WFF 60-69 years, female 35153.0
GTEX-15FZZ-0226-SM-6LLI4 30-39 years, female 34139.6
GTEX-WH7G-0526-SM-3NMBI 40-49 years, male 34133.8
GTEX-13QBU-0626-SM-5J2OG 40-49 years, female 34087.2
GTEX-133LE-0326-SM-5P9G4 20-29 years, female 33782.9
GTEX-11ZTT-1026-SM-5EQKF 60-69 years, female 33650.0
GTEX-RUSQ-1026-SM-2TF6V 50-59 years, male 33625.6
GTEX-RWS6-0626-SM-2XCAS 60-69 years, female 33493.8
GTEX-12WSJ-0326-SM-5GCMT 40-49 years, female 33346.4
GTEX-15G1A-0326-SM-6M467 30-39 years, male 32688.7
GTEX-ZVZP-1026-SM-5GICI 50-59 years, male 32156.4
GTEX-ZZPU-1326-SM-5GZWS 50-59 years, female 32114.3
GTEX-X4LF-0426-SM-3NMB5 50-59 years, male 31737.2
GTEX-WFG8-0426-SM-3GILD 20-29 years, male 31697.2
GTEX-1OFPY-1526-SM-DTX8R 60-69 years, male 31570.2
GTEX-V1D1-0926-SM-4JBHQ 50-59 years, male 31355.7
GTEX-11I78-0526-SM-5986A 50-59 years, female 31117.4
GTEX-WFJO-0226-SM-3GIKW 30-39 years, male 31047.4
GTEX-1PPH8-0926-SM-DTX9U 20-29 years, male 30882.4
GTEX-ZVP2-0426-SM-57WC2 50-59 years, male 30860.8
GTEX-TKQ1-0126-SM-33HB3 30-39 years, male 30857.0
GTEX-12WSN-0726-SM-5GCMS 40-49 years, male 30712.0
GTEX-144GM-0226-SM-5Q5CB 20-29 years, male 30702.1
GTEX-QDVJ-0226-SM-2I5FV 50-59 years, male 30665.4
GTEX-XYKS-0826-SM-4BRVF 60-69 years, female 29867.3
GTEX-1LGRB-1226-SM-CNNPS 50-59 years, female 29860.3
GTEX-117YX-1226-SM-5H11S 50-59 years, male 29782.4
GTEX-1MUQO-0726-SM-E9TJM 60-69 years, male 29495.9
GTEX-OHPK-2626-SM-2HMK9 50-59 years, female 29436.7
GTEX-11TT1-1126-SM-5P9GV 20-29 years, male 29374.0
GTEX-NFK9-0726-SM-2HMJW 40-49 years, male 29328.7
GTEX-1I1GT-0826-SM-B2LWO 60-69 years, female 29108.5
GTEX-15RIF-0326-SM-7KUFR 20-29 years, male 28995.7
GTEX-1211K-0726-SM-5FQUW 60-69 years, female 28861.1
GTEX-14PKV-0626-SM-6AJA2 20-29 years, female 28682.5
GTEX-1GN1W-0126-SM-7MXV7 50-59 years, female 28621.6
GTEX-14PJ4-0326-SM-664OT 60-69 years, male 28616.5
GTEX-14AS3-0226-SM-5Q5B6 40-49 years, female 28351.5
GTEX-ZLFU-0626-SM-4WWBO 40-49 years, male 28319.0
GTEX-W5WG-1426-SM-4KKZP 50-59 years, female 28221.1
GTEX-R55C-0626-SM-2TF4Q 40-49 years, male 28165.5
GTEX-P44G-0626-SM-2I5EO 30-39 years, male 28160.4
GTEX-111YS-0726-SM-5GZY8 60-69 years, male 28137.8
GTEX-14E6E-0326-SM-73KY6 30-39 years, male 28129.1
GTEX-131XG-0226-SM-5IFG1 50-59 years, female 28099.2
GTEX-11EM3-0126-SM-5985K 20-29 years, female 28041.6
GTEX-WY7C-0226-SM-3NB37 50-59 years, male 27902.1
GTEX-1B8KE-0626-SM-7189H 50-59 years, male 27877.2
GTEX-13O61-0226-SM-5KM52 60-69 years, male 27701.0
GTEX-11EQ9-0626-SM-5A5K1 30-39 years, male 27668.9
GTEX-13S86-1126-SM-5RQJX 40-49 years, male 27488.7
GTEX-P4QS-2626-SM-2I3EV 60-69 years, male 27321.8
GTEX-12BJ1-0426-SM-5FQSO 60-69 years, male 27320.7
GTEX-OOBJ-2626-SM-2I3F6 60-69 years, male 27285.3
GTEX-WEY5-0526-SM-3GIKZ 40-49 years, female 27196.8
GTEX-RM2N-0526-SM-2TF4N 50-59 years, male 27144.0
GTEX-Y8E4-0126-SM-4VBQ2 40-49 years, male 27128.5
GTEX-1LG7Z-0526-SM-D4P3Q 30-39 years, male 27106.4
GTEX-1HFI7-0326-SM-9WPOX 50-59 years, female 27025.0
GTEX-SE5C-0726-SM-4BRWY 40-49 years, female 27009.8
GTEX-ZV7C-0126-SM-57WDE 50-59 years, male 26977.1
GTEX-V955-0426-SM-3GAEL 60-69 years, male 26852.9
GTEX-1QP67-0326-SM-EVR45 40-49 years, female 26813.4
GTEX-OXRK-0626-SM-2HMJ5 50-59 years, female 26732.4
GTEX-15DZA-0226-SM-7KFS6 30-39 years, female 26696.5
GTEX-S7SF-0226-SM-5SI7H 20-29 years, female 26610.5
GTEX-T6MO-0226-SM-32QOL 40-49 years, female 26433.8
GTEX-14ICL-0426-SM-5RQJ3 30-39 years, male 26313.9
GTEX-15RJ7-0326-SM-6M47H 40-49 years, male 26257.8
GTEX-13OVI-0826-SM-5KLZ8 60-69 years, female 26091.8
GTEX-1AX9J-2126-SM-731DD 60-69 years, male 26036.6
GTEX-14PKU-0326-SM-6AJA7 40-49 years, female 25804.4
GTEX-ZPCL-0126-SM-4WWC8 60-69 years, female 25754.7
GTEX-18D9A-0126-SM-7KFSI 30-39 years, female 25666.5
GTEX-1CAMR-0226-SM-7DUGO 20-29 years, male 25514.0
GTEX-1399R-0126-SM-5IFEV 30-39 years, male 25456.9
GTEX-1399U-0326-SM-5P9G5 50-59 years, female 25422.4
GTEX-11P7K-0226-SM-5986Z 30-39 years, male 25413.3
GTEX-1QCLY-0826-SM-DTX8A 30-39 years, male 25334.6
GTEX-PWCY-2326-SM-2I3EQ 20-29 years, female 25286.4
GTEX-PWN1-2626-SM-2I3FH 40-49 years, female 25265.6
GTEX-YB5E-0626-SM-4VDSE 40-49 years, male 25251.2
GTEX-1JMPY-0126-SM-CJI39 30-39 years, male 25219.5
GTEX-11VI4-0226-SM-5GU6C 40-49 years, female 25198.5
GTEX-ZA64-0426-SM-5HL96 20-29 years, male 25187.2
GTEX-OHPM-2626-SM-33HC5 50-59 years, male 25163.2
GTEX-15ER7-0726-SM-7KUMF 20-29 years, female 25134.7
GTEX-18D9B-0726-SM-72D6K 60-69 years, male 25010.2
GTEX-WYVS-0326-SM-3NM9V 40-49 years, female 24967.9
GTEX-1J8Q3-0226-SM-C1YR4 60-69 years, male 24862.8
GTEX-1LVAM-0826-SM-EV79X 50-59 years, female 24848.6
GTEX-OIZF-2626-SM-7P8QZ 60-69 years, male 24788.9
GTEX-1A8G6-0626-SM-7IGNB 60-69 years, male 24623.9
GTEX-Y5V6-0526-SM-4VBRV 60-69 years, male 24503.9
GTEX-12WSK-0926-SM-5CVNQ 40-49 years, female 24500.8
GTEX-111VG-0526-SM-5N9BW 60-69 years, male 24479.7
GTEX-ZY6K-0226-SM-5SIAY 50-59 years, male 24427.3
GTEX-13O21-2226-SM-5MR3L 50-59 years, male 24418.3
GTEX-139T6-0326-SM-5J2LY 50-59 years, male 24390.0
GTEX-1JJ6O-0626-SM-AHZ3H 60-69 years, male 24367.2
GTEX-1F5PL-0826-SM-7MXU7 40-49 years, female 24320.7
GTEX-17F9E-0626-SM-79ON5 50-59 years, male 23966.2
GTEX-XGQ4-0426-SM-4AT4I 50-59 years, male 23904.4
GTEX-146FR-0326-SM-5SI8U 60-69 years, female 23894.7
GTEX-1RAZA-0826-SM-EAZ4I 20-29 years, male 23857.3
GTEX-1AYCT-0226-SM-73KVB 50-59 years, male 23847.7
GTEX-Q2AI-0326-SM-2I3EK 40-49 years, male 23846.1
GTEX-OIZG-0226-SM-2TC5L 50-59 years, male 23802.0
GTEX-1QP9N-0126-SM-DPRZS 30-39 years, male 23743.8
GTEX-18D9U-1026-SM-72D5R 40-49 years, male 23500.0
GTEX-T8EM-0226-SM-3DB7C 40-49 years, male 23430.3
GTEX-OXRL-2626-SM-2I3F1 50-59 years, male 23420.7
GTEX-14PN3-0826-SM-69LOS 60-69 years, female 23392.7
GTEX-SUCS-0226-SM-32PLQ 70-79 years, male 23352.6
GTEX-13RTK-0326-SM-5RQHS 20-29 years, male 23331.5
GTEX-1FIGZ-0226-SM-7P8QR 40-49 years, male 23147.8
GTEX-15CHR-1726-SM-7DUGW 50-59 years, male 23128.5
GTEX-YB5K-0526-SM-5LUAS 40-49 years, female 23117.8
GTEX-13111-0226-SM-5EQ55 50-59 years, male 23024.1
GTEX-13X6H-0526-SM-5LU4Q 50-59 years, female 22892.9
GTEX-Y5LM-0626-SM-4V6G4 40-49 years, female 22713.7
GTEX-YF7O-0726-SM-4W213 50-59 years, male 22662.7
GTEX-WFG7-0326-SM-DKPO8 20-29 years, male 22515.4
GTEX-Q2AH-0726-SM-2I3EA 40-49 years, male 22511.4
GTEX-11NSD-0126-SM-5987F 20-29 years, male 22492.5
GTEX-132QS-0326-SM-5IJFN 60-69 years, male 22453.1
GTEX-13FTW-0626-SM-5IFEX 40-49 years, male 22409.5
GTEX-13113-0126-SM-5LZVX 60-69 years, female 22354.6
GTEX-14E6C-2626-SM-5RQJP 40-49 years, male 22305.3
GTEX-XXEK-1326-SM-4BRV1 50-59 years, male 22189.9
GTEX-RU1J-0226-SM-2TF5Y 20-29 years, female 22184.4
GTEX-13PVR-0626-SM-5S2RC 60-69 years, female 22009.6
GTEX-VJYA-0426-SM-3GIJK 60-69 years, male 21981.1
GTEX-1HCUA-0126-SM-B2LWC 50-59 years, female 21928.2
GTEX-WHPG-0226-SM-3NMB9 50-59 years, male 21856.4
GTEX-14PK6-0426-SM-6EU1J 70-79 years, female 21821.5
GTEX-1AMFI-0526-SM-7189M 50-59 years, female 21775.0
GTEX-16XZY-0726-SM-79OMU 70-79 years, male 21700.2
GTEX-XBEW-0126-SM-4AT66 40-49 years, male 21645.9
GTEX-U3ZH-0226-SM-3DB7B 30-39 years, male 21592.6
GTEX-ZGAY-1026-SM-4WWBR 40-49 years, female 21510.8
GTEX-15ETS-0526-SM-6PAN3 40-49 years, female 21431.3
GTEX-13D11-0226-SM-5LZXL 50-59 years, female 21417.6
GTEX-16AAH-0326-SM-7DHML 50-59 years, male 21183.7
GTEX-17HHE-0426-SM-79OK3 50-59 years, male 21145.4
GTEX-132AR-1126-SM-5P9GA 50-59 years, female 21130.2
GTEX-1JKYN-1126-SM-CGQG5 30-39 years, male 21089.1
GTEX-17KNJ-1026-SM-79ONK 50-59 years, male 21009.0
GTEX-1B97J-0626-SM-7P8RU 50-59 years, female 20940.8
GTEX-145ME-0126-SM-5S2QM 40-49 years, female 20927.7
GTEX-Z9EW-0226-SM-5CVM7 40-49 years, male 20882.9
GTEX-ZPIC-0226-SM-DO91T 40-49 years, female 20867.0
GTEX-1H1E6-0326-SM-9OSWE 30-39 years, male 20863.7
GTEX-14PJ3-0126-SM-69LQP 50-59 years, male 20834.9
GTEX-R55G-0726-SM-2TC6J 40-49 years, female 20794.8
GTEX-1C475-0226-SM-7MGXM 40-49 years, female 20754.2
GTEX-1PFEY-0226-SM-EVR3M 30-39 years, male 20751.9
GTEX-U3ZM-0126-SM-3DB8M 40-49 years, male 20639.1
GTEX-Y3IK-0526-SM-4WWE3 50-59 years, female 20637.7
GTEX-QLQ7-0726-SM-2I5G2 60-69 years, male 20620.9
GTEX-13FLV-0226-SM-5J2OF 50-59 years, male 20585.1
GTEX-1I1GQ-0826-SM-CNNQR 50-59 years, male 20548.8
GTEX-ZLWG-0526-SM-4WWFB 50-59 years, female 20428.8
GTEX-16NGA-0326-SM-718AJ 40-49 years, female 20415.4
GTEX-YEC4-0626-SM-5CVLU 40-49 years, male 20359.8
GTEX-T5JW-1226-SM-3GACY 20-29 years, female 20278.2
GTEX-ZYFG-0626-SM-5GZYA 60-69 years, female 20271.8
GTEX-14B4R-0126-SM-5TDE4 30-39 years, male 20249.0
GTEX-1MGNQ-0726-SM-DPRYH 40-49 years, male 20183.8
GTEX-13CF3-0926-SM-5LZZC 60-69 years, female 20157.0
GTEX-1MJK3-0326-SM-DTX96 20-29 years, male 20036.2
GTEX-S341-0226-SM-D4P1Y 40-49 years, female 19847.7
GTEX-XUZC-0126-SM-4BOO6 30-39 years, female 19831.7
GTEX-15RJE-1326-SM-6LPI6 40-49 years, male 19793.4
GTEX-1LBAC-0726-SM-D3L9U 20-29 years, male 19789.2
GTEX-1K2DA-1526-SM-CGQGQ 50-59 years, male 19768.2
GTEX-U4B1-0626-SM-3DB8L 40-49 years, male 19710.5
GTEX-X5EB-0726-SM-46MVR 40-49 years, male 19668.0
GTEX-13OVG-0226-SM-5LU93 60-69 years, male 19644.5
GTEX-1I6K7-1126-SM-A96SW 40-49 years, male 19643.1
GTEX-1HGF4-0726-SM-9WYU9 60-69 years, male 19613.3
GTEX-11ZTS-1126-SM-5LU9X 60-69 years, female 19538.5
GTEX-1OJC3-0626-SM-E8VMO 20-29 years, male 19521.9
GTEX-1IL2U-0826-SM-CL53Q 60-69 years, male 19516.9
GTEX-1JK1U-0326-SM-CXZJH 60-69 years, male 19493.6
GTEX-ZQUD-0126-SM-7EPIS 30-39 years, male 19419.9
GTEX-14ICK-1626-SM-6ETZX 40-49 years, male 19391.5
GTEX-XBED-0126-SM-47JY7 60-69 years, male 19378.5
GTEX-11XUK-0226-SM-5EQLW 40-49 years, female 19346.6
GTEX-1PWST-0726-SM-EWRMO 70-79 years, male 19338.0
GTEX-ZDYS-0626-SM-5J2N5 50-59 years, male 19144.3
GTEX-WHSB-1626-SM-3LK6J 50-59 years, male 18868.4
GTEX-1IDJU-1626-SM-CJI4B 60-69 years, female 18720.9
GTEX-14JG6-1326-SM-9OSXU 30-39 years, female 18702.5
GTEX-1GL5R-0626-SM-7PBZY 50-59 years, male 18674.2
GTEX-1NUQO-0926-SM-DTXEX 20-29 years, female 18630.9
GTEX-Q734-0526-SM-2I3EH 40-49 years, female 18507.8
GTEX-XMK1-0626-SM-4B65A 40-49 years, male 18439.3
GTEX-18A6Q-0726-SM-7LT8Y 60-69 years, male 18337.5
GTEX-ZV6S-0226-SM-59HJT 40-49 years, female 18306.5
GTEX-18A67-0826-SM-7KFTI 50-59 years, male 18083.2
GTEX-169BO-0326-SM-7EPIM 50-59 years, male 18077.0
GTEX-1CAMS-0826-SM-7P8P1 40-49 years, female 18062.6
GTEX-1QPFJ-0626-SM-DTX7Y 30-39 years, female 17955.9
GTEX-ZTX8-0626-SM-59HKC 20-29 years, male 17804.4
GTEX-ZZ64-0126-SM-5GZXA 20-29 years, male 17714.1
GTEX-1I1GU-0826-SM-ARZM5 40-49 years, male 17642.9
GTEX-X15G-0526-SM-3NMB7 50-59 years, female 17635.7
GTEX-Y9LG-0426-SM-4VBRT 30-39 years, male 17634.9
GTEX-QDVN-0626-SM-2I3FP 50-59 years, male 17632.2
GTEX-SNOS-0226-SM-32PLR 40-49 years, male 17569.2
GTEX-ZF29-0726-SM-DO92H 60-69 years, female 17533.4
GTEX-ZLV1-0126-SM-4WWBZ 60-69 years, female 17454.0
GTEX-1IKOE-0926-SM-ARU7X 30-39 years, female 17396.8
GTEX-1KXAM-1726-SM-D3LAE 60-69 years, male 17376.6
GTEX-11LCK-0526-SM-5A5M9 30-39 years, male 17253.2
GTEX-U3ZN-0326-SM-3DB86 30-39 years, female 17095.3
GTEX-Y114-0626-SM-4TT98 50-59 years, female 17045.6
GTEX-148VI-0526-SM-5TDDG 60-69 years, female 16914.2
GTEX-1KANC-0826-SM-D3LA8 50-59 years, female 16885.5
GTEX-1HC8U-1226-SM-9WYUW 40-49 years, female 16872.6
GTEX-14XAO-0426-SM-6AJB6 60-69 years, female 16724.1
GTEX-1QCLZ-0626-SM-E6CR2 60-69 years, female 16576.6
GTEX-ZTSS-0226-SM-59877 40-49 years, male 16555.1
GTEX-WXYG-0226-SM-3NB2Y 50-59 years, female 16541.6
GTEX-XV7Q-0326-SM-4BRVM 40-49 years, female 16457.3
GTEX-1B8KZ-0426-SM-731DP 50-59 years, male 16258.3
GTEX-1EKGG-0726-SM-7IGPX 60-69 years, male 16124.0
GTEX-PX3G-2626-SM-2I3EG 20-29 years, female 16124.0
GTEX-1RMOY-0126-SM-EWRNN 50-59 years, male 15997.5
GTEX-16MTA-0726-SM-7KUL4 50-59 years, male 15986.7
GTEX-1QW4Y-0226-SM-EAZ3U 30-39 years, male 15915.1
GTEX-15EU6-1426-SM-6M48E 50-59 years, male 15887.3
GTEX-13FH7-0126-SM-5KLZ1 50-59 years, female 15880.8
GTEX-11GSP-0126-SM-5A5KU 60-69 years, female 15825.3
GTEX-ZAB5-0726-SM-5P9JG 50-59 years, male 15781.4
GTEX-1A3MV-0326-SM-73KW7 30-39 years, male 15778.1
GTEX-1IDJH-0826-SM-CE6SY 70-79 years, male 15766.2
GTEX-131XF-1826-SM-5EGKG 60-69 years, male 15694.5
GTEX-1HSGN-0726-SM-A9G2F 40-49 years, female 15646.4
GTEX-OIZI-0726-SM-2XCEI 40-49 years, male 15586.0
GTEX-1GF9U-0226-SM-7P8TY 40-49 years, female 15576.7
GTEX-RTLS-0626-SM-5SI7Z 60-69 years, female 15561.3
GTEX-111CU-0226-SM-5GZXC 50-59 years, male 15553.0
GTEX-1B8L1-1626-SM-7IGMH 60-69 years, male 15551.0
GTEX-QXCU-0326-SM-2TC63 50-59 years, male 15545.5
GTEX-1JKYR-0826-SM-ARU8L 20-29 years, male 15364.2
GTEX-1MCC2-0526-SM-DHXJS 30-39 years, female 15286.2
GTEX-P78B-0526-SM-2I5F7 40-49 years, female 15278.2
GTEX-ZTPG-0826-SM-5DUVC 20-29 years, female 15242.7
GTEX-OHPL-2626-SM-2HMJA 60-69 years, female 15185.9
GTEX-17GQL-0226-SM-7LTAK 60-69 years, male 15161.2
GTEX-UJMC-0326-SM-3GAE2 50-59 years, male 14965.5
GTEX-15SHV-0426-SM-6M476 60-69 years, male 14934.5
GTEX-16MT8-0626-SM-6M47Q 60-69 years, female 14911.9
GTEX-16BQI-0726-SM-6LPJZ 30-39 years, female 14713.3
GTEX-ZPU1-0426-SM-4WWCA 40-49 years, male 14697.7
GTEX-178AV-0726-SM-6LPJI 40-49 years, male 14606.6
GTEX-1LGOU-0126-SM-EV79W 20-29 years, female 14390.8
GTEX-XUW1-1026-SM-4BONY 50-59 years, female 14251.5
GTEX-1HSKV-1026-SM-B2LWK 60-69 years, male 13938.0
GTEX-1PIGE-0726-SM-DPRZD 20-29 years, male 13839.9
GTEX-1LVAN-0726-SM-CNNPF 50-59 years, female 13838.5
GTEX-1GPI7-0726-SM-9WG84 20-29 years, male 13644.1
GTEX-1RAZQ-0926-SM-EAZ4Q 30-39 years, male 13595.3
GTEX-1R9JW-0226-SM-EVR4K 30-39 years, female 13520.2
GTEX-13QJC-0826-SM-5RQKC 60-69 years, female 13458.5
GTEX-1269C-0226-SM-5EGKS 60-69 years, female 13406.3
GTEX-183FY-0626-SM-79OKR 20-29 years, male 13353.6
GTEX-1HSEH-0826-SM-B2LXE 60-69 years, male 13215.5
GTEX-1IDJC-1026-SM-A96T2 50-59 years, male 13152.2
GTEX-13OW6-0726-SM-5L3FX 50-59 years, male 13031.1
GTEX-13VXT-0626-SM-5SIA1 20-29 years, female 13014.8
GTEX-1CB4I-0726-SM-7DUGS 50-59 years, male 12843.1
GTEX-11DXZ-0926-SM-5N9CG 50-59 years, male 12820.9
GTEX-1JMLX-0826-SM-CNNPP 50-59 years, male 12724.4
GTEX-R53T-0526-SM-3GADL 50-59 years, female 12667.3
GTEX-1HBPM-0926-SM-ARL9C 60-69 years, female 12431.0
GTEX-1F75I-0926-SM-7MXUU 40-49 years, male 12407.2
GTEX-17EVP-0126-SM-7EPHW 40-49 years, male 12359.3
GTEX-1QP2A-0626-SM-DTX9C 50-59 years, male 12287.2
GTEX-1LH75-0626-SM-DIPG3 50-59 years, female 12106.4
GTEX-1H1DE-0226-SM-ARZN8 20-29 years, male 12053.8
GTEX-1GN73-0826-SM-9OSW4 60-69 years, male 12009.8
GTEX-1S83E-0726-SM-EV7B6 40-49 years, male 11995.3
GTEX-1BAJH-0926-SM-79OO6 70-79 years, male 11940.2
GTEX-1JMQL-0926-SM-CJI3F 50-59 years, female 11796.2
GTEX-1PIIG-2026-SM-EVR43 30-39 years, male 11707.6
GTEX-1GF9X-0126-SM-A9G38 40-49 years, female 11651.6
GTEX-15SB6-1526-SM-7KUMQ 50-59 years, female 11384.0
GTEX-1CB4F-0826-SM-793CV 60-69 years, male 11377.0
GTEX-18A7A-0826-SM-7KFTJ 50-59 years, female 11372.4
GTEX-14C5O-0826-SM-5TDEG 60-69 years, male 11345.5
GTEX-ZT9X-0226-SM-51MT2 40-49 years, male 11254.2
GTEX-1AX9K-0626-SM-73KVD 50-59 years, male 11203.1
GTEX-1F48J-0926-SM-7P8PZ 50-59 years, female 11195.3
GTEX-1CAMQ-1126-SM-7EWFE 40-49 years, male 11189.3
GTEX-16YQH-0326-SM-6LPJV 30-39 years, male 11104.8
GTEX-1K9T9-0826-SM-EAZ4X 50-59 years, female 11057.6
GTEX-1HCU9-0226-SM-9WPNT 20-29 years, male 11025.8
GTEX-12WSL-0626-SM-5GCOY 50-59 years, male 10880.4
GTEX-1QP28-0626-SM-E76P5 50-59 years, female 10817.7
GTEX-1PBJI-0726-SM-EXUSQ 20-29 years, female 10783.2
GTEX-1HSMQ-0526-SM-A96TY 50-59 years, male 10773.1
GTEX-13U4I-0526-SM-5LU59 40-49 years, female 10739.0
GTEX-15RIE-0426-SM-7KUMH 60-69 years, male 10651.8
GTEX-Y5V5-0326-SM-5RQJG 60-69 years, female 10649.3
GTEX-1IKJJ-1026-SM-A96SQ 60-69 years, male 10596.5
GTEX-REY6-0526-SM-2TF5M 60-69 years, male 10536.2
GTEX-1LSVX-0726-SM-E9TJG 60-69 years, male 10440.7
GTEX-148VJ-0726-SM-5LU8J 70-79 years, male 10308.3
GTEX-13JVG-0926-SM-5IJE1 60-69 years, male 10305.9
GTEX-14BMU-0226-SM-5S2QA 20-29 years, female 10287.4
GTEX-1RDX4-0926-SM-E9U6D 50-59 years, female 10271.4
GTEX-1H1CY-0726-SM-9OSXX 60-69 years, female 10266.4
GTEX-17HGU-0826-SM-7EWE5 50-59 years, male 10181.6
GTEX-18QFQ-0726-SM-7LG6D 30-39 years, male 10134.0
GTEX-QV44-0826-SM-2S1RG 50-59 years, male 10035.2
GTEX-ZYW4-1126-SM-5SI99 60-69 years, male 9987.4
GTEX-131XE-0126-SM-5LZVC 50-59 years, male 9778.5
GTEX-1F88F-0726-SM-7P8R7 60-69 years, female 9769.5
GTEX-14A5H-0726-SM-5Q5DW 60-69 years, male 9765.6
GTEX-1212Z-0426-SM-5FQT6 60-69 years, male 9739.6
GTEX-12ZZY-0826-SM-5EQMT 60-69 years, male 9582.1
GTEX-1RAZR-1126-SM-E6CRC 40-49 years, male 9501.7
GTEX-14BMV-0726-SM-73KVE 50-59 years, male 9488.2
GTEX-1QP66-0326-SM-DTX7V 50-59 years, male 9299.2
GTEX-146FQ-0726-SM-5LUA7 30-39 years, male 9297.3
GTEX-1I6K6-0726-SM-B2LX4 30-39 years, male 9185.2
GTEX-1R46S-0426-SM-EVR48 60-69 years, female 9107.8
GTEX-139YR-1226-SM-5IFEU 50-59 years, male 9089.9
GTEX-1B932-0926-SM-73KUP 40-49 years, female 8965.2
GTEX-1EU9M-0626-SM-7MXUT 60-69 years, male 8888.3
GTEX-1B97I-0326-SM-7DUGB 40-49 years, male 8838.4
GTEX-W5X1-0426-SM-3GILB 40-49 years, female 8739.2
GTEX-17JCI-0626-SM-7IGM7 60-69 years, female 8637.1
GTEX-113JC-0126-SM-5EGJW 50-59 years, female 8573.7
GTEX-1EN7A-1026-SM-7IGPZ 40-49 years, male 8487.0
GTEX-1J8EW-1126-SM-A96T8 60-69 years, female 8152.8
GTEX-11TUW-0226-SM-5LU8X 60-69 years, male 8130.8
GTEX-1IL2V-0626-SM-ARU7S 70-79 years, male 8104.1
GTEX-14BIN-0126-SM-5TDCG 50-59 years, female 8004.3
GTEX-1GN1U-0826-SM-9WPPX 50-59 years, female 7983.0
GTEX-1AX8Z-0826-SM-7DUFZ 60-69 years, male 7852.9
GTEX-1EH9U-0926-SM-7EWF1 60-69 years, male 7852.7
GTEX-1C6VR-0426-SM-7IGN6 60-69 years, male 7845.4
GTEX-11P81-0126-SM-5HL5Y 30-39 years, female 7834.6
GTEX-13N11-1026-SM-5K7XQ 50-59 years, female 7793.5
GTEX-1R9K4-0726-SM-EWRN2 60-69 years, male 7466.8
GTEX-13OVJ-0626-SM-5J2O2 50-59 years, female 7447.5
GTEX-1H1ZS-0726-SM-A9G3K 70-79 years, male 7395.5
GTEX-13OVK-0226-SM-6M472 40-49 years, male 7377.3
GTEX-QEL4-0726-SM-3GIJ5 50-59 years, male 7371.7
GTEX-144GL-1226-SM-5O9A4 50-59 years, male 7331.5
GTEX-13PVQ-0726-SM-5L3GI 50-59 years, male 7256.4
GTEX-1QMI2-0826-SM-EXUT4 60-69 years, male 7240.9
GTEX-16NPX-1426-SM-6LPK3 50-59 years, male 7210.9
GTEX-RNOR-0926-SM-2TF56 50-59 years, female 7107.4
GTEX-WYJK-1626-SM-3NM9J 50-59 years, male 7084.3
GTEX-1GTWX-0726-SM-9WPPA 60-69 years, male 7066.4
GTEX-1GN2E-0826-SM-9WYT8 60-69 years, male 7029.9
GTEX-1PDJ9-0826-SM-E76PS 20-29 years, male 7004.5
GTEX-1O97I-1026-SM-E76PI 60-69 years, male 6994.5
GTEX-1497J-0126-SM-5Q5BK 60-69 years, male 6955.1
GTEX-1HKZK-0826-SM-A9G2C 40-49 years, male 6947.6
GTEX-17EVQ-0526-SM-7KFSK 70-79 years, male 6933.3
GTEX-1ICLY-0726-SM-A96TB 50-59 years, male 6853.9
GTEX-1C4CL-0726-SM-7IGP9 30-39 years, male 6841.6
GTEX-17MF6-0626-SM-7LT8D 40-49 years, male 6724.3
GTEX-131YS-0726-SM-5P9G9 60-69 years, female 6703.2
GTEX-X8HC-0726-SM-46MWG 50-59 years, female 6556.0
GTEX-1RQED-0926-SM-EWRNZ 60-69 years, male 6545.7
GTEX-11UD2-0626-SM-5GU6L 50-59 years, male 6530.6
GTEX-1B8SG-1126-SM-7IGMT 50-59 years, male 6488.2
GTEX-1O9I2-1226-SM-E6CQC 50-59 years, male 6437.7
GTEX-1LB8K-0626-SM-D4P3Z 50-59 years, male 6399.4
GTEX-RU72-0126-SM-2TF6Z 50-59 years, female 6318.6
GTEX-13OW7-0826-SM-5L3EL 50-59 years, male 6309.1
GTEX-11NUK-1026-SM-5HL5J 50-59 years, male 6288.2
GTEX-15SHU-0726-SM-7KUFI 40-49 years, female 6285.2
GTEX-1RNSC-1126-SM-E9TIP 60-69 years, male 6281.2
GTEX-ZDXO-1726-SM-5HL6L 60-69 years, male 5992.9
GTEX-13G51-1226-SM-5K7Z3 60-69 years, male 5944.4
GTEX-XOT4-1526-SM-EAZ2W 60-69 years, female 5925.0
GTEX-14PJM-1326-SM-664NX 50-59 years, female 5816.5
GTEX-12ZZX-1226-SM-5EGHS 40-49 years, female 5815.7
GTEX-R3RS-0726-SM-3GIJR 40-49 years, female 5812.7
GTEX-139UW-0126-SM-5KM1B 60-69 years, male 5686.2
GTEX-1RAZS-1026-SM-E9TID 50-59 years, male 5655.1
GTEX-1C6VQ-0526-SM-7MGWD 50-59 years, male 5653.3
GTEX-12WSD-0926-SM-5GCNL 60-69 years, female 5630.5
GTEX-1GF9V-0926-SM-9KNW7 60-69 years, male 5623.1
GTEX-1K2DU-0126-SM-E9TIU 20-29 years, male 5618.4
GTEX-13OW8-0126-SM-5IJE5 60-69 years, male 5615.2
GTEX-ZYT6-0426-SM-5GID3 30-39 years, male 5570.0
GTEX-1JJEA-0626-SM-D3L96 60-69 years, male 5556.4
GTEX-ZAK1-0726-SM-5HL8Q 50-59 years, female 5533.6
GTEX-1QP6S-2526-SM-DTX9Z 40-49 years, male 5521.6
GTEX-132NY-1026-SM-5P9IY 60-69 years, male 5502.8
GTEX-1R9K5-0726-SM-EAZ4E 50-59 years, male 5487.6
GTEX-1QEPI-0726-SM-E76QG 60-69 years, female 5420.1
GTEX-117YW-0126-SM-5EGGN 50-59 years, male 5359.2
GTEX-12584-0826-SM-5FQSK 40-49 years, male 5351.2
GTEX-1JMQK-2126-SM-CY8I2 60-69 years, male 5343.2
GTEX-WOFL-0726-SM-3MJG4 60-69 years, male 5337.0
GTEX-13112-0326-SM-5P9IW 50-59 years, male 5278.7
GTEX-147GR-0726-SM-5S2PL 60-69 years, male 5216.9
GTEX-ZYY3-1926-SM-5GZXS 60-69 years, female 5204.8
GTEX-147F4-0826-SM-5QGRB 50-59 years, male 5029.2
GTEX-1R9PM-0226-SM-DPRY7 20-29 years, male 5019.0
GTEX-SJXC-0726-SM-2XCFJ 60-69 years, male 5000.9
GTEX-ZVZQ-0626-SM-59HJU 60-69 years, female 4994.5
GTEX-VUSG-0426-SM-3GIKD 50-59 years, male 4968.0
GTEX-13O3P-0726-SM-5J2OM 50-59 years, male 4949.7
GTEX-139TS-0126-SM-5K7XJ 60-69 years, male 4943.7
GTEX-1128S-0126-SM-5H12S 60-69 years, female 4924.9
GTEX-14JIY-1226-SM-6871R 60-69 years, male 4870.9
GTEX-ZC5H-0626-SM-5LU9K 40-49 years, female 4864.7
GTEX-ZVT3-0726-SM-5GICN 60-69 years, female 4838.8
GTEX-1IOXB-1026-SM-CJI4D 50-59 years, male 4743.0
GTEX-14DAQ-0826-SM-73KWT 60-69 years, female 4654.7
GTEX-1GZHY-1426-SM-9WG5H 50-59 years, female 4621.1
GTEX-18465-1426-SM-7KFTF 50-59 years, male 4610.5
GTEX-1A8G7-1026-SM-73KVA 60-69 years, male 4553.2
GTEX-1GZ4I-0626-SM-9WPPN 50-59 years, male 4529.5
GTEX-1F6IF-1126-SM-9KNV2 60-69 years, male 4523.2
GTEX-15EO6-0126-SM-6LPKJ 50-59 years, male 4505.6
GTEX-12696-0326-SM-5EGL4 60-69 years, male 4503.7
GTEX-1I1GP-0326-SM-CNPQ4 50-59 years, male 4481.5
GTEX-1H11D-0626-SM-9WPQ1 40-49 years, male 4462.4
GTEX-1E1VI-0726-SM-7P8QJ 50-59 years, male 4437.8
GTEX-WRHU-0926-SM-4E3IG 50-59 years, female 4388.4
GTEX-SIU8-0626-SM-2XCDN 50-59 years, male 4319.3
GTEX-16GPK-0926-SM-6LPJ9 60-69 years, male 4233.5
GTEX-1477Z-0226-SM-5TDCI 60-69 years, male 4210.9
GTEX-13O3O-0926-SM-5KM1F 60-69 years, female 4209.0
GTEX-131XH-0526-SM-5DUX7 50-59 years, male 4207.9
GTEX-1399T-0126-SM-5KM15 60-69 years, male 4205.9
GTEX-1NV5F-0726-SM-DTXEH 60-69 years, female 4137.8
GTEX-1HBPI-0826-SM-9WYTX 50-59 years, male 4092.2
GTEX-1HBPH-0926-SM-A9SME 40-49 years, female 4061.5
GTEX-1MA7X-0926-SM-DIPEJ 60-69 years, male 4032.7
GTEX-12WSG-0226-SM-5EGIF 50-59 years, female 3980.6
GTEX-13NZA-1026-SM-5MR48 60-69 years, male 3974.3
GTEX-14PJO-0626-SM-6LLHH 60-69 years, male 3935.8
GTEX-1PBJJ-1926-SM-DTX8T 30-39 years, male 3909.3
GTEX-1KD5A-0426-SM-D4P3X 50-59 years, male 3827.4
GTEX-14PN4-1526-SM-6871V 50-59 years, male 3737.8
GTEX-X4XX-0926-SM-46MV7 60-69 years, male 3703.4
GTEX-14A6H-2426-SM-5Q5BO 30-39 years, male 3702.6
GTEX-11GS4-0826-SM-5986J 60-69 years, male 3686.9
GTEX-14C39-0226-SM-5TDDW 40-49 years, male 3679.4
GTEX-14E7W-0926-SM-5YYA4 70-79 years, male 3666.5
GTEX-11EMC-0226-SM-5EGLP 60-69 years, female 3610.2
GTEX-1I19N-0226-SM-CE6ST 70-79 years, male 3531.0
GTEX-11DXY-0426-SM-5H12R 60-69 years, male 3522.4
GTEX-POYW-0826-SM-2XCEM 60-69 years, male 3521.5
GTEX-145LU-0426-SM-5O9AH 50-59 years, male 3504.8
GTEX-1F75B-0826-SM-9QEIT 50-59 years, male 3461.3
GTEX-OXRP-0326-SM-33HBJ 60-69 years, female 3439.4
GTEX-11ZVC-0126-SM-5986G 50-59 years, female 3414.0
GTEX-145MI-1126-SM-5O9AK 60-69 years, female 3361.1
GTEX-13N1W-0826-SM-5MR5J 70-79 years, male 3356.4
GTEX-1IY9M-1026-SM-A96TG 60-69 years, male 3318.3
GTEX-13VXU-0826-SM-5KLZ2 50-59 years, male 3314.8
GTEX-14PHW-2926-SM-6AJBA 60-69 years, female 3313.3
GTEX-TSE9-0626-SM-3DB8B 60-69 years, female 3267.0
GTEX-16XZZ-0826-SM-7IGM3 60-69 years, male 3241.0
GTEX-1RQEC-1026-SM-EVR5B 60-69 years, male 3220.2
GTEX-RVPV-1226-SM-2TF73 60-69 years, male 3152.5
GTEX-1CB4G-1526-SM-7P8QG 60-69 years, male 3148.8
GTEX-13FHO-0926-SM-5N9EW 60-69 years, male 3136.9
GTEX-1H2FU-0626-SM-9WPPS 60-69 years, female 3133.3
GTEX-1I1GR-1126-SM-A9G2I 60-69 years, male 3131.8
GTEX-1HUB1-1226-SM-B2LWX 60-69 years, male 3114.1
GTEX-1GMR3-0726-SM-9WPOF 40-49 years, male 3100.6
GTEX-18A66-0826-SM-72D5Z 60-69 years, male 3083.8
GTEX-QDT8-1226-SM-EVR35 30-39 years, female 3063.6
GTEX-1EMGI-0826-SM-7EPHY 60-69 years, male 3050.8
GTEX-13O1R-0826-SM-5J2MB 60-69 years, male 3028.0
GTEX-1CB4J-1426-SM-7MKFR 60-69 years, male 2978.9
GTEX-117XS-0526-SM-5987Q 60-69 years, male 2968.1
GTEX-1B8SF-0626-SM-73KVV 60-69 years, male 2967.8
GTEX-11TTK-0826-SM-5N9EG 60-69 years, female 2934.7
GTEX-1MJK2-0826-SM-DTXE8 50-59 years, male 2931.9
GTEX-Y111-1926-SM-4SOIS 50-59 years, male 2869.1
GTEX-WL46-0126-SM-3TW8I 50-59 years, male 2860.5
GTEX-17HG3-0226-SM-7EWEA 30-39 years, female 2813.8
GTEX-ZXG5-0926-SM-5NQ8H 60-69 years, male 2809.5
GTEX-17F96-0526-SM-79OLE 70-79 years, male 2780.7
GTEX-1S5ZU-0726-SM-EWROH 20-29 years, female 2778.2
GTEX-WVLH-0626-SM-3MJG7 50-59 years, male 2766.6
GTEX-1QAET-0226-SM-EVR3T 50-59 years, male 2757.6
GTEX-14C38-0826-SM-5S2U8 50-59 years, male 2750.0
GTEX-1B933-1026-SM-7P8RO 50-59 years, female 2744.0
GTEX-1I1GS-0726-SM-C1YS7 60-69 years, male 2702.5
GTEX-RN64-0626-SM-2TC5V 50-59 years, male 2700.0
GTEX-ZDTS-0926-SM-5YY9D 60-69 years, male 2644.3
GTEX-14753-0926-SM-5Q5BI 60-69 years, male 2643.3
GTEX-1A8FM-0726-SM-7DUGK 50-59 years, female 2631.2
GTEX-U412-0726-SM-EVR2Y 60-69 years, male 2608.9
GTEX-13FHP-0926-SM-5L3EC 50-59 years, male 2582.0
GTEX-11OF3-0626-SM-5BC4Y 60-69 years, male 2548.2
GTEX-1HFI6-1326-SM-A9SL8 40-49 years, male 2510.4
GTEX-13YAN-0926-SM-5O9C3 60-69 years, male 2504.6
GTEX-17F9Y-0526-SM-7EWDC 70-79 years, female 2502.2
GTEX-WWYW-0826-SM-3NB2X 50-59 years, female 2473.4
GTEX-1ICLZ-0526-SM-ARZM8 60-69 years, male 2468.9
GTEX-17HHY-0826-SM-7EPID 50-59 years, male 2411.2
GTEX-YFC4-2626-SM-5P9FQ 40-49 years, female 2406.3
GTEX-1JMPZ-0626-SM-CY8HY 30-39 years, male 2399.1
GTEX-1N5O9-1026-SM-DTX8Y 60-69 years, male 2381.2
GTEX-1313W-0726-SM-5EGK1 50-59 years, female 2368.1
GTEX-1CB4H-0126-SM-7IGN2 60-69 years, female 2356.8
GTEX-13RTJ-0326-SM-5YYAE 60-69 years, male 2335.9
GTEX-PLZ4-1226-SM-2I5FE 50-59 years, female 2330.6
GTEX-YJ89-0726-SM-5P9F7 60-69 years, male 2312.4
GTEX-13N2G-0726-SM-5MR38 60-69 years, male 2284.1
GTEX-1OJC4-0526-SM-E6CQV 50-59 years, female 2259.2
GTEX-OXRN-1526-SM-E6CHM 50-59 years, male 2251.1
GTEX-1JMQJ-2026-SM-CNPP9 50-59 years, male 2245.6
GTEX-T6MN-0626-SM-32PM9 50-59 years, male 2236.8
GTEX-111FC-1026-SM-5GZX1 60-69 years, male 2199.1
GTEX-1KD4Q-1026-SM-CXZKJ 40-49 years, male 2177.8
GTEX-1KAFJ-0426-SM-DHXJH 50-59 years, male 2141.4
GTEX-1LG7Y-0626-SM-DHXJM 50-59 years, male 2129.4
GTEX-1192W-0126-SM-5EGGS 60-69 years, male 2086.1
GTEX-Z93S-0526-SM-EVYB4 50-59 years, male 2075.7
GTEX-1J8JJ-0726-SM-AHZ3E 60-69 years, female 2057.3
GTEX-1AX9I-0626-SM-72D54 60-69 years, male 2038.3
GTEX-13O3Q-0626-SM-5IJG1 50-59 years, male 2022.1
GTEX-1C64N-1026-SM-79ONM 50-59 years, male 1979.7
GTEX-Q2AG-0826-SM-2HMKF 40-49 years, female 1970.8
GTEX-16Z82-0426-SM-7EPGX 60-69 years, male 1961.1
GTEX-1IKOH-0626-SM-CJI35 60-69 years, female 1955.8
GTEX-1JN6P-0626-SM-ARZN6 60-69 years, male 1922.7
GTEX-ZUA1-0926-SM-4YCDX 40-49 years, male 1920.1
GTEX-N7MS-2326-SM-2HMLD 60-69 years, male 1917.2
GTEX-183WM-2626-SM-7KFRY 70-79 years, female 1905.7
GTEX-1JJE9-0226-SM-CY8HU 70-79 years, male 1856.3
GTEX-145MH-0426-SM-5LU8T 50-59 years, male 1848.0
GTEX-14PQA-1226-SM-6M47A 50-59 years, female 1835.2
GTEX-17HII-1926-SM-79OLB 50-59 years, male 1834.5
GTEX-1J1OQ-0526-SM-A9G2P 40-49 years, female 1816.8
GTEX-WYBS-1926-SM-3NM8N 60-69 years, female 1780.8
GTEX-1HB9E-0826-SM-CNNQJ 50-59 years, male 1732.0
GTEX-13X6J-0826-SM-5LU32 50-59 years, male 1729.5
GTEX-13OW5-0626-SM-5J2N2 60-69 years, male 1724.3
GTEX-R55E-0826-SM-2TC5M 20-29 years, male 1702.7
GTEX-11NV4-0626-SM-5N9BR 60-69 years, male 1696.9
GTEX-1GZ2Q-0826-SM-7P8TK 40-49 years, male 1673.9
GTEX-1H1DF-1026-SM-9QEJ1 40-49 years, female 1633.4
GTEX-13NYB-0726-SM-5MR4J 40-49 years, male 1630.6
GTEX-13FLW-0326-SM-5J2M4 50-59 years, male 1622.1
GTEX-13W46-0926-SM-5LU3T 50-59 years, male 1598.6
GTEX-WHSE-0626-SM-4RGNF 20-29 years, male 1597.3
GTEX-X4XY-0826-SM-4E3JM 60-69 years, male 1574.1
GTEX-11DYG-0826-SM-5N9GH 60-69 years, male 1564.3
GTEX-1HR9M-0626-SM-A96S6 60-69 years, male 1559.4
GTEX-ZYFC-0926-SM-5GZWW 50-59 years, male 1533.8
GTEX-QEG5-0826-SM-2I5GF 20-29 years, male 1503.9
GTEX-11EI6-0726-SM-59866 60-69 years, male 1497.1
GTEX-1EX96-0126-SM-9KNVH 50-59 years, male 1482.5
GTEX-1HCVE-0726-SM-A96SH 50-59 years, male 1471.2
GTEX-O5YV-1526-SM-EV799 60-69 years, female 1467.7
GTEX-13NYC-2426-SM-5MR3K 60-69 years, male 1420.1
GTEX-T2IS-0626-SM-32QP6 20-29 years, female 1418.1
GTEX-1GMRU-1126-SM-9KNV1 50-59 years, male 1412.5
GTEX-S7SE-0726-SM-2XCD7 50-59 years, male 1405.2
GTEX-ZYFD-0826-SM-5NQ9A 50-59 years, male 1403.0
GTEX-13FXS-0726-SM-5LZXJ 50-59 years, male 1364.0
GTEX-15D1Q-0626-SM-6AJAZ 40-49 years, male 1363.1
GTEX-1HCU7-0826-SM-B2LX7 50-59 years, male 1345.5
GTEX-1192X-1126-SM-5EGGU 50-59 years, male 1322.7
GTEX-13FTY-0726-SM-5J2OH 40-49 years, female 1315.0
GTEX-XLM4-0726-SM-4AT64 60-69 years, male 1270.0
GTEX-ZF3C-0826-SM-DO11E 50-59 years, female 1260.7
GTEX-1GF9W-0626-SM-7MXVJ 60-69 years, male 1257.5
GTEX-11GSO-0626-SM-5A5LW 60-69 years, male 1257.1
GTEX-1HT8W-1526-SM-CE6S3 30-39 years, male 1254.7
GTEX-1EWIQ-0826-SM-7MXTH 70-79 years, female 1229.0
GTEX-145MG-0826-SM-5Q5C2 50-59 years, male 1211.1
GTEX-ZE7O-1126-SM-57WC8 50-59 years, female 1209.0
GTEX-U8T8-2326-SM-3DB96 60-69 years, male 1199.9
GTEX-11O72-2326-SM-5BC7H 40-49 years, male 1197.7
GTEX-1H1DG-0726-SM-A96TN 70-79 years, male 1194.6
GTEX-ZF28-0826-SM-4WKGJ 60-69 years, male 1192.9
GTEX-1GN1V-0626-SM-7P8QU 60-69 years, male 1179.7
GTEX-X261-0726-SM-EZ6MH 50-59 years, male 1154.6
GTEX-1GMR8-0826-SM-9KNUR 50-59 years, female 1150.8
GTEX-11EQ8-0826-SM-5N9FG 60-69 years, male 1147.9
GTEX-1IE54-0926-SM-A9G2Y 40-49 years, female 1140.4
GTEX-15G19-0626-SM-6M474 60-69 years, male 1139.4
GTEX-WK11-0926-SM-3NMAU 50-59 years, male 1111.4
GTEX-RN5K-2826-SM-EZ6L3 50-59 years, female 1086.3
GTEX-1PPGY-1426-SM-EVR3R 60-69 years, male 1037.6
GTEX-ZYVF-1126-SM-5E458 50-59 years, female 1029.3
GTEX-13PL6-1026-SM-5L3E5 40-49 years, female 1008.3
GTEX-1C6VS-0826-SM-7EWEI 60-69 years, male 1008.0
GTEX-12WSE-1226-SM-73KUF 20-29 years, male 1005.5
GTEX-12WSC-0826-SM-5EQ5Q 50-59 years, male 991.3
GTEX-1P4AB-1126-SM-DTX94 50-59 years, male 987.7
GTEX-144GO-0126-SM-5LUAO 60-69 years, male 976.4
GTEX-17F97-0626-SM-7IGOH 50-59 years, male 953.3
GTEX-13QJ3-0926-SM-73KX5 50-59 years, male 951.4
GTEX-1I1GV-0726-SM-ARZLY 60-69 years, male 925.6
GTEX-13NZ8-0226-SM-5J2OK 60-69 years, female 914.6
GTEX-12ZZZ-1226-SM-59HK1 60-69 years, male 905.8
GTEX-14ABY-0926-SM-5Q5DY 50-59 years, male 900.7
GTEX-13NZ9-1126-SM-5MR37 50-59 years, male 861.5
GTEX-1F75A-0326-SM-7MXTR 50-59 years, male 855.8
GTEX-11DZ1-2726-SM-5A5KH 50-59 years, male 840.2
GTEX-13PDP-1026-SM-5L3FA 60-69 years, male 832.7
GTEX-15DDE-0626-SM-69LOK 50-59 years, female 791.1
GTEX-15CHQ-0826-SM-69LOT 60-69 years, male 788.9
GTEX-OXRO-1226-SM-48TDL 60-69 years, female 745.1
GTEX-1F52S-0526-SM-7P8TP 60-69 years, female 728.7
GTEX-1H3VE-0826-SM-9KNVQ 40-49 years, male 693.5
GTEX-1HSMO-0726-SM-A96TM 60-69 years, male 677.3
GTEX-14PII-0826-SM-6871S 60-69 years, male 623.5
GTEX-1HR98-0326-SM-CGQEL 60-69 years, male 621.2
GTEX-14ASI-0726-SM-5Q5DC 60-69 years, male 600.6
GTEX-15UF6-1126-SM-6LPJ3 70-79 years, female 578.6
GTEX-ZAJG-0726-SM-5HL9A 50-59 years, female 515.6
GTEX-SN8G-1526-SM-4DM79 50-59 years, female 503.7
GTEX-1M4P7-0626-SM-EVR51 60-69 years, male 444.9
GTEX-13IVO-0926-SM-5KLZP 70-79 years, male 414.6
GTEX-1IGQW-0626-SM-C1YR9 60-69 years, male 399.0
GTEX-12WSH-0226-SM-5GCOG 50-59 years, male 256.9
Show allShow less

Contact

  • NEWS ARTICLES
  • PRESS ROOM

The Project

  • INTRODUCTION
  • ORGANIZATION
  • PUBLICATIONS

The Human Protein Atlas

  • DOWNLOADABLE DATA
  • LICENCE & CITATION
  • HELP & FAQ
The Human Protein Atlas project is funded
by the Knut & Alice Wallenberg Foundation.


contact@proteinatlas.org