We use cookies to enhance the usability of our website. If you continue, we'll assume that you are happy to receive all cookies. More information. Don't show this again.
MT-CO1
HPA
RESOURCES
  • TISSUE
  • BRAIN
  • SINGLE CELL
  • SUBCELLULAR
  • CANCER
  • BLOOD
  • CELL LINE
  • STRUCTURE & INTERACTION
ABOUT
  • INTRODUCTION
  • HISTORY
  • ORGANIZATION
  • PUBLICATIONS
  • ANTIBODY SUBMISSION
  • ANTIBODY AVAILABILITY
  • ACKNOWLEDGMENTS
  • CONTACT
NEWS
  • NEWS ARTICLES
  • PRESS ROOM
LEARN
  • DICTIONARY
  • PROTEIN CLASSES
  • PROTEIN EVIDENCE
  • METHODS
  • EDUCATIONAL VIDEOS
DATA
  • DOWNLOADABLE DATA
  • PUBLICATION DATA
  • RELEASE HISTORY
HELP
  • ANTIBODY VALIDATION
  • ASSAYS & ANNOTATION
  • DISCLAIMER
  • HELP & FAQ
  • PRIVACY STATEMENT
  • LICENCE & CITATION
Fields »
Search result

Field
Term
Gene name
Class
Subclass
Class
Keyword
Chromosome
External id
Tissue
Cell type
Expression
Antibody panel
Tissue
Main location
Patient ID
Annotation
Tissue
Category
Tau score
Cluster
Reliability
Brain region
Category
Tau score
Brain region
Category
Tau score
Brain region
Category
Tau score
Cluster
Reliability
Tissue
Cell type
Enrichment
Cell type
Category
Tau score
Cell type
Category
Tau score
Cell type
Category
Tau score
Cell lineage
Category
Tau score
Cluster
Cluster
Location
Searches
Location
Cell line
Class
Type
Phase
Reliability
Cancer
Prognosis
Cancer
Category
Cancer
Category
Tau score
Cluster
Variants
Interacting gene (ensg_id)
Type
Number of interactions
Pathway
Category
Score
Score
Score
Validation
Validation
Validation
Validation
Antibodies
Data type
Column


  • SUMMARY

  • TISSUE

  • BRAIN

  • SINGLE CELL

  • SUBCELL

  • CANCER

  • BLOOD

  • CELL LINE

  • STRUCT & INT

  • MT-CO1
TISSUE PRIMARY DATA VAGINA Show tissue menu
ADIPOSE TISSUE ADRENAL GLAND AMYGDALA APPENDIX BASAL GANGLIA BONE MARROW BREAST BRONCHUS CEREBELLUM CEREBRAL CORTEX CERVIX CHOROID PLEXUS COLON DUODENUM
ENDOMETRIUM EPIDIDYMIS ESOPHAGUS FALLOPIAN TUBE GALLBLADDER HEART MUSCLE HIPPOCAMPAL FORMATION HYPOTHALAMUS KIDNEY LIVER LUNG LYMPH NODE MIDBRAIN NASOPHARYNX
ORAL MUCOSA OVARY PANCREAS PARATHYROID GLAND PITUITARY GLAND PLACENTA PROSTATE RECTUM RETINA SALIVARY GLAND SEMINAL VESICLE SKELETAL MUSCLE SKIN SMALL INTESTINE
SMOOTH MUSCLE SOFT TISSUE SPINAL CORD SPLEEN STOMACH TESTIS THYMUS THYROID GLAND TONGUE TONSIL URINARY BLADDER VAGINA
ANTIBODIES
AND
VALIDATION
Dictionary
Vagina
Tissue proteome
Vagina
VAGINA - Expression summary
Protein expression
Vaginai

On the top, protein expression in current human tissue, based on all annotated cell types, is reported with the units not detected (n), low (l), medium (m) and high (h). Underneath, protein expression in each annotated cell type are reported using the same units.

Protein expression data is based on knowledge-based annotation. For genes where more than one antibody has been used, a collective score is set.

If knowledge-based annotation could not be performed for a gene, no data is displayed here. View antibody staining data further down this page.

h
m
l
n
Squamous epithelial cells: Medium
RNA expressioni

A summary of mRNA expression data available for current tissue based on several datasets. The mRNA expression levels in human tissues are based on RNA-seq data generated by the Human Protein Atlas (HPA), Genotype-Tissue Expression (GTEx) portal and CAGE data generated by the FANTOM5 consortium. Consensus normalized expression levels for human tissues was created by combining the data from HPA and GTEx datasets.

The mRNA expression levels in pig are based on RNA-seq data generated by the Human Protein Atlas (HPA), and for mouse, HPA data and in situ hybridization generated by the Allen brain atlas are reported.

Scroll down to view mRNA expression data in more detail.
Consensus:10231.2 nTPM
GTEx:10231.2 nTPM

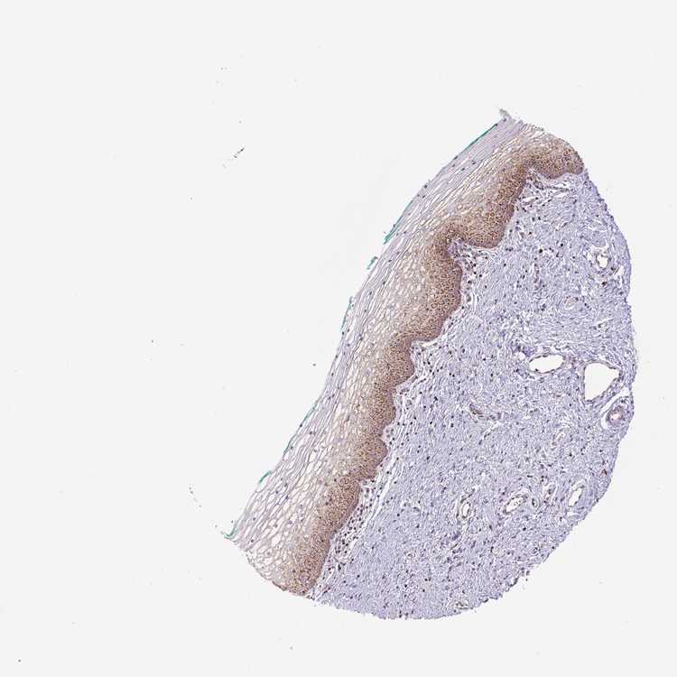
VAGINA - Antibody stainingi

Antibody staining in the annotated cell types in the current human tissue is reported as not detected, low, medium, or high, based on conventional immunohistochemistry profiling in selected tissues. This score is based on the combination of the staining intensity and fraction of stained cells.

Each image is clickable and will lead to virtual microscopy that enables deeper exploration of all samples and also displays staining intensity scores, fraction scores and subcellular localization as well as patient and tissue information for each sample.

Antibody HPA069328Antibody CAB016241
Squamous epithelial cells MediumMedium





VAGINA - GTEx RNA-seqi

RNA-Seq data generated by the Genotype-Tissue Expression (GTEx) project from human tissues is reported as mean nTPM. More information can be found on the GTEx portal.

Distribution across the dataset is visualized with box plots, shown as median and 25th and 75th percentiles. Points are displayed as outliers if they are above or below 1.5 times the interquartile range. nTPM values of the individual samples are presented next to the box plot.
Max subtype nTPMi

Max subtype nTPM is the value for the subtype with the largest average nTPM across the subtype samples.

10231.2
GTEx sample id Sample description nTPM
Vagina
Average nTPM: 10231.2
Samples: 156

Max nTPM: 32398.8
Min nTPM: 568.1
Std nTPM: 6833.4
Median nTPM: 10959.2
GTEX-Y8LW-1426-SM-5RQJJ 50-59 years, female 32398.8
GTEX-ZQG8-1126-SM-51MRL 60-69 years, female 30255.0
GTEX-146FR-2426-SM-5NQAU 60-69 years, female 24745.1
GTEX-ZZPU-2226-SM-5EGIV 50-59 years, female 23364.4
GTEX-1HBPM-2726-SM-9WYUA 60-69 years, female 22616.0
GTEX-11I78-2026-SM-5987C 50-59 years, female 22486.7
GTEX-13PL7-2726-SM-5L3GB 60-69 years, female 22337.4
GTEX-1IDJU-1026-SM-AHZ2U 60-69 years, female 21181.3
GTEX-ZLWG-1126-SM-4WWFQ 50-59 years, female 19949.4
GTEX-1I1GT-1226-SM-B2LVK 60-69 years, female 19861.8
GTEX-S341-1226-SM-4AD5S 40-49 years, female 19791.9
GTEX-SE5C-1126-SM-4BRWZ 40-49 years, female 19679.7
GTEX-ZXES-0626-SM-5E45P 30-39 years, female 19244.0
GTEX-14PKU-1326-SM-6871B 40-49 years, female 19042.6
GTEX-1LVAM-1926-SM-E6CIM 50-59 years, female 18495.2
GTEX-XUW1-0326-SM-4BOOR 50-59 years, female 18456.0
GTEX-S4P3-1126-SM-4AD52 50-59 years, female 18438.7
GTEX-1LGOU-1126-SM-D3LAI 20-29 years, female 18267.9
GTEX-ZGAY-2226-SM-4YCCX 40-49 years, female 18155.4
GTEX-WEY5-0826-SM-4LMIH 40-49 years, female 18086.0
GTEX-1JN76-1526-SM-CNPPF 20-29 years, female 17958.9
GTEX-14PJ6-1626-SM-6872D 60-69 years, female 17884.5
GTEX-11XUK-1326-SM-5EQM4 40-49 years, female 17810.6
GTEX-15SDE-1726-SM-6LPJS 50-59 years, female 17723.3
GTEX-S4UY-1326-SM-4AD4X 40-49 years, female 17635.8
GTEX-14PN3-1626-SM-6AJAV 60-69 years, female 17461.1
GTEX-1399S-2326-SM-5K7YV 30-39 years, female 17322.0
GTEX-11VI4-0726-SM-5GU5B 40-49 years, female 17011.9
GTEX-1PIEJ-1926-SM-EVYB7 20-29 years, female 16889.1
GTEX-1399U-1526-SM-5J2N7 50-59 years, female 16722.6
GTEX-1GN1W-1526-SM-7P8TG 50-59 years, female 16718.7
GTEX-XUZC-1226-SM-4BRVJ 30-39 years, female 16278.0
GTEX-T6MO-1226-SM-4DM5S 40-49 years, female 16258.5
GTEX-12WSJ-1326-SM-5GCOB 40-49 years, female 16157.0
GTEX-1JMQL-2326-SM-CNNPV 50-59 years, female 16039.1
GTEX-OHPK-2526-SM-3MJH9 50-59 years, female 16017.6
GTEX-1ICG6-1626-SM-ARL81 70-79 years, female 15834.0
GTEX-11EM3-1826-SM-5A5KO 20-29 years, female 15832.7
GTEX-11DXX-1726-SM-5H11T 60-69 years, female 15727.6
GTEX-1MCC2-1126-SM-EVYD6 30-39 years, female 15705.2
GTEX-ZVT2-0626-SM-5GICR 50-59 years, female 15500.1
GTEX-1MCYP-1326-SM-EV7AD 20-29 years, female 15299.1
GTEX-1I4MK-1726-SM-ARL7O 50-59 years, female 15264.0
GTEX-13PVR-1426-SM-5S2PW 60-69 years, female 15176.5
GTEX-ZP4G-0826-SM-4WWF3 20-29 years, female 15156.2
GTEX-1S5ZU-2626-SM-E9TII 20-29 years, female 14952.0
GTEX-P4PP-2526-SM-3P61P 30-39 years, female 14810.4
GTEX-16NGA-1626-SM-72D6M 40-49 years, female 14735.6
GTEX-1C475-0526-SM-793AC 40-49 years, female 14734.9
GTEX-1A8FM-2426-SM-7IGPE 50-59 years, female 14732.6
GTEX-Y114-1926-SM-4TT8J 50-59 years, female 14552.3
GTEX-14JG6-0726-SM-69LQH 30-39 years, female 14482.7
GTEX-1F5PL-1826-SM-7P8PP 40-49 years, female 13623.8
GTEX-Y3IK-2226-SM-4YCD4 50-59 years, female 13600.1
GTEX-OHPL-2526-SM-3MJGT 60-69 years, female 13507.1
GTEX-14BMU-1926-SM-5S2QC 20-29 years, female 13496.4
GTEX-PWN1-2526-SM-48TDS 40-49 years, female 13467.6
GTEX-ZTPG-2226-SM-57WF9 20-29 years, female 13300.7
GTEX-W5WG-1026-SM-4LMIF 50-59 years, female 13283.1
GTEX-1R9JW-1426-SM-DTX9K 30-39 years, female 13132.4
GTEX-1AMFI-1526-SM-73KVY 50-59 years, female 13010.3
GTEX-145ME-1426-SM-5RQJS 40-49 years, female 12687.9
GTEX-1HFI7-1126-SM-A96S5 50-59 years, female 12489.9
GTEX-WYVS-1426-SM-4ONCV 40-49 years, female 12355.8
GTEX-13D11-1326-SM-5IJFY 50-59 years, female 12160.4
GTEX-RWS6-1726-SM-47JXP 60-69 years, female 12043.9
GTEX-TML8-1126-SM-4DXSS 40-49 years, female 11775.9
GTEX-PWCY-1726-SM-48TD3 20-29 years, female 11739.4
GTEX-1QCLZ-2226-SM-DTX7R 60-69 years, female 11647.9
GTEX-Q734-1426-SM-DTXFX 40-49 years, female 11469.4
GTEX-PX3G-2526-SM-48TZV 20-29 years, female 11421.8
GTEX-QCQG-1226-SM-48U23 50-59 years, female 11398.7
GTEX-TMMY-1926-SM-4DXUU 40-49 years, female 11308.9
GTEX-131XG-2126-SM-5DUXG 50-59 years, female 11308.1
GTEX-U3ZN-0926-SM-4DXTU 30-39 years, female 11219.2
GTEX-1LGRB-2126-SM-COH48 50-59 years, female 11006.5
GTEX-1LNCM-1026-SM-E9U5D 50-59 years, female 10993.6
GTEX-13N11-1526-SM-5L3FL 50-59 years, female 10981.0
GTEX-13OVI-0926-SM-5J1MI 60-69 years, female 10937.4
GTEX-15ER7-2526-SM-7KUFW 20-29 years, female 10375.2
GTEX-S7SF-1426-SM-4AT5A 20-29 years, female 10272.0
GTEX-13QBU-1726-SM-5IJFQ 40-49 years, female 10168.0
GTEX-X15G-1926-SM-4PQZQ 50-59 years, female 9834.7
GTEX-UJHI-1326-SM-4IHJO 50-59 years, female 9258.1
GTEX-1HCUA-1026-SM-A9SMI 50-59 years, female 9009.6
GTEX-1LVAN-1626-SM-CNPQ7 50-59 years, female 8179.4
GTEX-14H4A-2426-SM-664OQ 40-49 years, female 8100.5
GTEX-1HBPH-2926-SM-9WPNX 40-49 years, female 7909.9
GTEX-15SB6-1426-SM-7KUEM 50-59 years, female 7674.6
GTEX-RU1J-1426-SM-46MUV 20-29 years, female 7638.2
GTEX-1GF9U-1926-SM-7P8TZ 40-49 years, female 7288.1
GTEX-11TTK-2726-SM-5GU58 60-69 years, female 7136.8
GTEX-13U4I-2026-SM-5LU3L 40-49 years, female 6838.9
GTEX-13W3W-2326-SM-5LU4Y 60-69 years, female 6733.6
GTEX-1J1OQ-1826-SM-CL53R 40-49 years, female 6317.2
GTEX-N7MT-1926-SM-3LK5N 60-69 years, female 5798.1
GTEX-WRHU-2926-SM-4MVNQ 50-59 years, female 5761.7
GTEX-1QPFJ-1626-SM-DTX7X 30-39 years, female 5488.6
GTEX-QVJO-2526-SM-CYPRA 60-69 years, female 5444.4
GTEX-1117F-2526-SM-5GZY6 60-69 years, female 5386.4
GTEX-14AS3-1726-SM-5RQJV 40-49 years, female 5242.9
GTEX-1NUQO-1826-SM-E6CQU 20-29 years, female 5208.6
GTEX-11EMC-1926-SM-5A5JU 60-69 years, female 5119.0
GTEX-XV7Q-1626-SM-4BRWC 40-49 years, female 4919.4
GTEX-147F3-1526-SM-5SIAK 50-59 years, female 4824.6
GTEX-18D9A-1026-SM-7KFRU 30-39 years, female 4806.9
GTEX-QDT8-2526-SM-48TYX 30-39 years, female 4679.5
GTEX-ZV6S-1326-SM-59HJA 40-49 years, female 4613.4
GTEX-113JC-1926-SM-5N9GE 50-59 years, female 4593.7
GTEX-ZC5H-2226-SM-4WAWS 40-49 years, female 4536.2
GTEX-14A5I-2726-SM-5SIB3 50-59 years, female 4396.6
GTEX-15SHU-2926-SM-7KUKT 40-49 years, female 4288.8
GTEX-1QP28-1426-SM-EVR4E 50-59 years, female 4281.1
GTEX-18A7A-2826-SM-7LT8J 50-59 years, female 4272.2
GTEX-1J8EW-2526-SM-CKZO2 60-69 years, female 4216.1
GTEX-1HCU6-2326-SM-ACKXP 60-69 years, female 3704.0
GTEX-16NPV-2526-SM-6M483 50-59 years, female 3687.3
GTEX-1LH75-1726-SM-DHXKZ 50-59 years, female 3654.2
GTEX-1GN1U-2426-SM-9KNTU 50-59 years, female 3382.6
GTEX-14PJM-2926-SM-69LOE 50-59 years, female 3371.1
GTEX-OHPN-2426-SM-E9TI5 60-69 years, female 3358.5
GTEX-183WM-2126-SM-7LG4I 70-79 years, female 3334.2
GTEX-11P81-2126-SM-5HL6N 30-39 years, female 3208.3
GTEX-T2IS-1926-SM-4DM74 20-29 years, female 3143.9
GTEX-P78B-2226-SM-3P5ZZ 40-49 years, female 3095.6
GTEX-12WSD-2926-SM-5LZUH 60-69 years, female 3074.4
GTEX-YJ8O-1226-SM-5P9JE 40-49 years, female 2998.0
GTEX-145LS-2526-SM-5TDC9 60-69 years, female 2892.2
GTEX-11GSP-2226-SM-5HL5Q 60-69 years, female 2857.7
GTEX-1F48J-2526-SM-7P8TU 50-59 years, female 2854.6
GTEX-TSE9-2526-SM-4DXUS 60-69 years, female 2661.8
GTEX-SN8G-2626-SM-EXUQT 50-59 years, female 2567.2
GTEX-1HCU8-2026-SM-9YFLE 60-69 years, female 2493.2
GTEX-17JCI-2526-SM-7DHLB 60-69 years, female 2440.2
GTEX-1CAMS-2326-SM-793CR 40-49 years, female 2381.5
GTEX-ZYY3-2626-SM-5N9DH 60-69 years, female 2232.0
GTEX-146FH-2626-SM-5Q5E1 50-59 years, female 2150.2
GTEX-15UF6-2126-SM-6M46Z 70-79 years, female 2067.1
GTEX-ZVT3-2726-SM-5GU5X 60-69 years, female 1987.6
GTEX-X8HC-2826-SM-46MWJ 50-59 years, female 1962.3
GTEX-1JN1M-2326-SM-ARZNG 60-69 years, female 1905.5
GTEX-12ZZX-1926-SM-5EGKC 40-49 years, female 1862.3
GTEX-1EWIQ-2326-SM-7IGNF 70-79 years, female 1747.5
GTEX-13QIC-1826-SM-5J1MY 60-69 years, female 1721.1
GTEX-ZYVF-0326-SM-5GIES 50-59 years, female 1703.6
GTEX-1IE54-2626-SM-CMKFY 40-49 years, female 1663.0
GTEX-15DYW-2926-SM-6PANA 60-69 years, female 1662.6
GTEX-ZE7O-2426-SM-57WD7 50-59 years, female 1564.5
GTEX-17F9Y-2326-SM-7DUFP 70-79 years, female 1491.7
GTEX-1GMR8-2526-SM-7RHI9 50-59 years, female 1483.5
GTEX-PLZ4-2726-SM-3P61A 50-59 years, female 1359.5
GTEX-ZAK1-2426-SM-EXOHM 50-59 years, female 1347.2
GTEX-14DAQ-2326-SM-5S2QX 60-69 years, female 1235.2
GTEX-131YS-2426-SM-5J2OD 60-69 years, female 1201.1
GTEX-NPJ7-2526-SM-EV79A 60-69 years, female 769.1
GTEX-YFC4-2926-SM-5IFJ8 40-49 years, female 568.1
Show allShow less

Contact

  • NEWS ARTICLES
  • PRESS ROOM

The Project

  • INTRODUCTION
  • ORGANIZATION
  • PUBLICATIONS

The Human Protein Atlas

  • DOWNLOADABLE DATA
  • LICENCE & CITATION
  • HELP & FAQ
The Human Protein Atlas project is funded
by the Knut & Alice Wallenberg Foundation.


contact@proteinatlas.org