We use cookies to enhance the usability of our website. If you continue, we'll assume that you are happy to receive all cookies. More information. Don't show this again.
RPL17
HPA
RESOURCES
  • TISSUE
  • BRAIN
  • SINGLE CELL
  • SUBCELLULAR
  • CANCER
  • BLOOD
  • CELL LINE
  • STRUCTURE & INTERACTION
ABOUT
  • INTRODUCTION
  • HISTORY
  • ORGANIZATION
  • PUBLICATIONS
  • ANTIBODY SUBMISSION
  • ANTIBODY AVAILABILITY
  • ACKNOWLEDGMENTS
  • CONTACT
NEWS
  • NEWS ARTICLES
  • PRESS ROOM
LEARN
  • DICTIONARY
  • PROTEIN CLASSES
  • PROTEIN EVIDENCE
  • METHODS
  • EDUCATIONAL VIDEOS
DATA
  • DOWNLOADABLE DATA
  • PUBLICATION DATA
  • RELEASE HISTORY
HELP
  • ANTIBODY VALIDATION
  • ASSAYS & ANNOTATION
  • DISCLAIMER
  • HELP & FAQ
  • PRIVACY STATEMENT
  • LICENCE & CITATION
Fields »
Search result

Field
Term
Gene name
Class
Subclass
Class
Keyword
Chromosome
External id
Tissue
Cell type
Expression
Antibody panel
Tissue
Main location
Patient ID
Annotation
Tissue
Category
Tau score
Cluster
Reliability
Brain region
Category
Tau score
Brain region
Category
Tau score
Brain region
Category
Tau score
Cluster
Reliability
Tissue
Cell type
Enrichment
Cell type
Category
Tau score
Cell type
Category
Tau score
Cell type
Category
Tau score
Cell lineage
Category
Tau score
Cluster
Cluster
Location
Searches
Location
Cell line
Class
Type
Phase
Reliability
Cancer
Prognosis
Cancer
Category
Cancer
Category
Tau score
Cluster
Variants
Interacting gene (ensg_id)
Type
Number of interactions
Pathway
Category
Score
Score
Score
Validation
Validation
Validation
Validation
Antibodies
Data type
Column


  • SUMMARY

  • TISSUE

  • BRAIN

  • SINGLE CELL

  • SUBCELL

  • CANCER

  • BLOOD

  • CELL LINE

  • STRUCT & INT

  • RPL17
TISSUE PRIMARY DATA HEART MUSCLE Show tissue menu
ADIPOSE TISSUE ADRENAL GLAND AMYGDALA APPENDIX BASAL GANGLIA BONE MARROW BREAST BRONCHUS CEREBELLUM CEREBRAL CORTEX CERVIX CHOROID PLEXUS COLON DUODENUM
ENDOMETRIUM EPIDIDYMIS ESOPHAGUS FALLOPIAN TUBE GALLBLADDER HEART MUSCLE HIPPOCAMPAL FORMATION HYPOTHALAMUS KIDNEY LIVER LUNG LYMPH NODE MIDBRAIN NASOPHARYNX
ORAL MUCOSA OVARY PANCREAS PARATHYROID GLAND PITUITARY GLAND PLACENTA PROSTATE RECTUM RETINA SALIVARY GLAND SEMINAL VESICLE SKELETAL MUSCLE SKIN SMALL INTESTINE
SMOOTH MUSCLE SOFT TISSUE SPINAL CORD SPLEEN STOMACH TESTIS THYMUS THYROID GLAND TONGUE TONSIL URINARY BLADDER VAGINA
ANTIBODIES
AND
VALIDATION
Dictionary
Heart muscle
Tissue proteome
Heart
HEART MUSCLE - Expression summary
Protein expression
Heart musclei

On the top, protein expression in current human tissue, based on all annotated cell types, is reported with the units not detected (n), low (l), medium (m) and high (h). Underneath, protein expression in each annotated cell type are reported using the same units.

Protein expression data is based on knowledge-based annotation. For genes where more than one antibody has been used, a collective score is set.

If knowledge-based annotation could not be performed for a gene, no data is displayed here. View antibody staining data further down this page.

h
m
l
n
Cardiomyocytes: Medium
RNA expressioni

A summary of mRNA expression data available for current tissue based on several datasets. The mRNA expression levels in human tissues are based on RNA-seq data generated by the Human Protein Atlas (HPA), Genotype-Tissue Expression (GTEx) portal and CAGE data generated by the FANTOM5 consortium. Consensus normalized expression levels for human tissues was created by combining the data from HPA and GTEx datasets.

The mRNA expression levels in pig are based on RNA-seq data generated by the Human Protein Atlas (HPA), and for mouse, HPA data and in situ hybridization generated by the Allen brain atlas are reported.

Scroll down to view mRNA expression data in more detail.
Consensus:1370.4 nTPM
HPA:914.4 nTPM
GTEx:1370.4 nTPM
FANTOM5:46.5 Scaled Tags Per Million

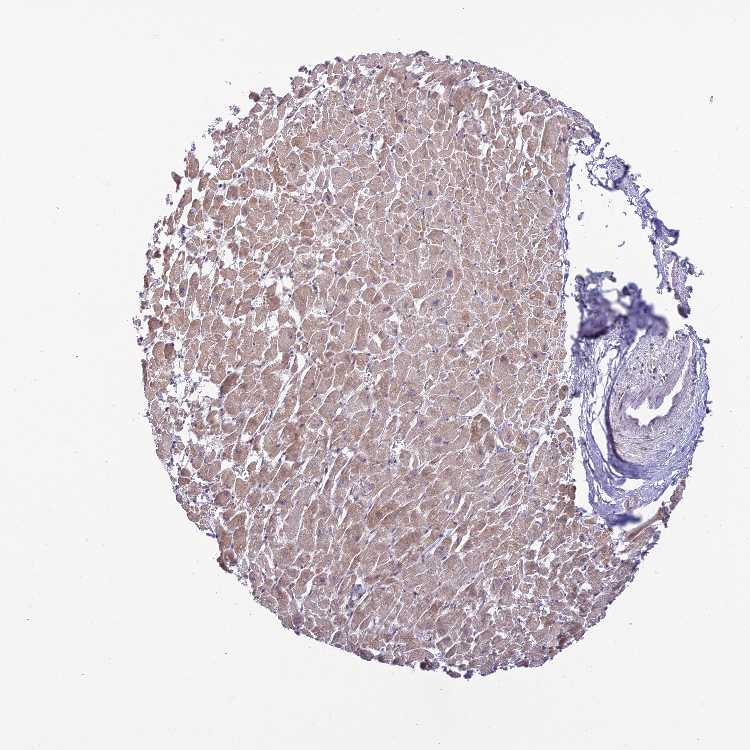
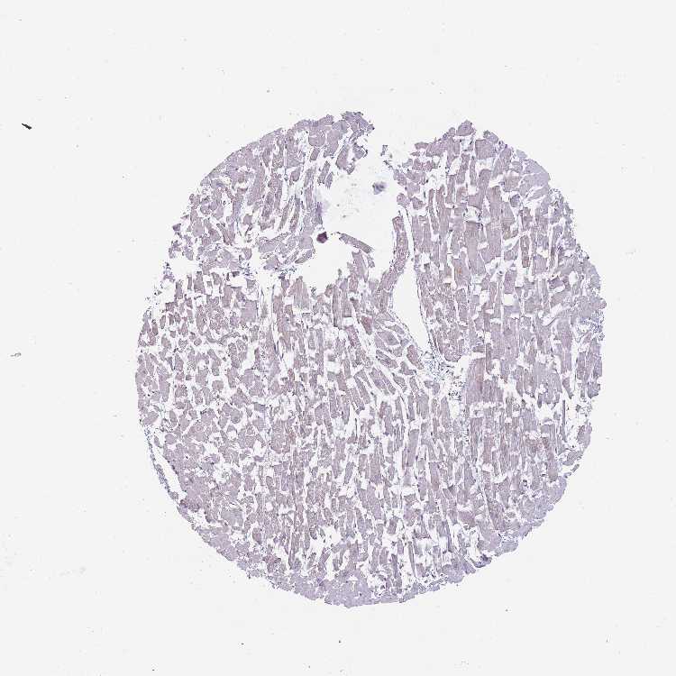
HEART MUSCLE - Antibody stainingi

Antibody staining in the annotated cell types in the current human tissue is reported as not detected, low, medium, or high, based on conventional immunohistochemistry profiling in selected tissues. This score is based on the combination of the staining intensity and fraction of stained cells.

Each image is clickable and will lead to virtual microscopy that enables deeper exploration of all samples and also displays staining intensity scores, fraction scores and subcellular localization as well as patient and tissue information for each sample.

Antibody HPA043724Antibody HPA046385
Cardiomyocytes MediumNot detected





HEART MUSCLE - HPA RNA-seqi

The RNA-seq details section shows detailed information about the individual samples used for the transcript profiling and results of the RNA-seq analysis.

Information about each individual sample is listed below, including gender, age, a tissue section image and estimated fractions of cell types. nTPM (normalized transcripts per million) values give a quantification of the gene abundance which is comparable between different genes and samples.
Average nTPMi

Max subtype nTPM is the value for the subtype with the largest average nTPM across the subtype samples.

914.4
overview
Female, age 48
Heart muscle sample 149
nTPM: 891.1
Cell types%
Myocytes:
15

Fibroblasts:
55

Endothelial cells:
25

Other cell types:
5

overview
Female, age 42
Heart muscle sample 150
nTPM: 1156.3
Cell types%
Myocytes:
20

Fibroblasts:
45

Endothelial cells:
30

Other cell types:
5

overview
Male, age 53
Heart muscle sample 151
nTPM: 810.3
Cell types%
Myocytes:
20

Fibroblasts:
45

Endothelial cells:
30

Other cell types:
5

overview
Female, age 69
Heart muscle sample 152
nTPM: 800
Cell types%
Myocytes:
20

Fibroblasts:
45

Endothelial cells:
30

Other cell types:
5


HEART MUSCLE - GTEx RNA-seqi

RNA-Seq data generated by the Genotype-Tissue Expression (GTEx) project from human tissues is reported as mean nTPM. More information can be found on the GTEx portal.

Distribution across the dataset is visualized with box plots, shown as median and 25th and 75th percentiles. Points are displayed as outliers if they are above or below 1.5 times the interquartile range. nTPM values of the individual samples are presented next to the box plot.
Max subtype nTPMi

Max subtype nTPM is the value for the subtype with the largest average nTPM across the subtype samples.

1370.4
GTEx sample id Sample description nTPM
Heart - Atrial Appendage
Average nTPM: 1370.4
Samples: 429

Max nTPM: 4675.4
Min nTPM: 489.4
Std nTPM: 350.0
Median nTPM: 1311.9
GTEX-14PJM-0826-SM-6LLIW 50-59 years, female 4675.4
GTEX-14C5O-1226-SM-664N3 60-69 years, male 2984.8
GTEX-15SKB-0926-SM-7KUFC 60-69 years, male 2558.2
GTEX-1RLM8-0226-SM-E6CJY 50-59 years, male 2406.4
GTEX-1117F-0726-SM-5GIEN 60-69 years, female 2367.2
GTEX-13OW5-0926-SM-5L3GZ 60-69 years, male 2281.4
GTEX-13NYS-1926-SM-5IJCB 60-69 years, male 2245.9
GTEX-14BIM-2726-SM-5Q5EG 60-69 years, female 2181.6
GTEX-ZVT4-1326-SM-5NQ8E 50-59 years, female 2120.7
GTEX-W5X1-0826-SM-3GILN 40-49 years, female 2086.7
GTEX-1K2DU-0226-SM-DIPF6 20-29 years, male 2078.8
GTEX-17MF6-0926-SM-7LTAL 40-49 years, male 2071.9
GTEX-ZYFD-2026-SM-5E459 50-59 years, male 2064.5
GTEX-12WSI-0426-SM-5EQ5J 50-59 years, male 2062.2
GTEX-11WQK-0226-SM-5EQLI 50-59 years, male 2053.6
GTEX-1JMQL-1026-SM-CMKGV 50-59 years, female 2050.6
GTEX-1R9K4-1026-SM-EXUT1 60-69 years, male 2046.4
GTEX-ZTPG-1326-SM-51MSQ 20-29 years, female 2040.9
GTEX-ZYVF-1826-SM-5E44F 50-59 years, female 2016.5
GTEX-145LV-0226-SM-5S2QG 50-59 years, male 2007.4
GTEX-1JMQK-0926-SM-ARL96 60-69 years, male 1996.1
GTEX-13O3Q-0326-SM-5L3FE 50-59 years, male 1959.1
GTEX-132Q8-1126-SM-5K7XS 60-69 years, male 1956.8
GTEX-13FHO-1226-SM-5L3EF 60-69 years, male 1922.9
GTEX-1HUB1-0726-SM-CGQF4 60-69 years, male 1913.0
GTEX-ZYFC-1026-SM-5GZX9 50-59 years, male 1900.8
GTEX-X8HC-1026-SM-46MWH 50-59 years, female 1892.3
GTEX-1J1OQ-2226-SM-A96SS 40-49 years, female 1887.4
GTEX-11O72-1026-SM-5986B 40-49 years, male 1885.8
GTEX-139TU-1926-SM-5J2OC 60-69 years, male 1877.2
GTEX-14PJO-0826-SM-6ETZK 60-69 years, male 1874.4
GTEX-1LVAO-0626-SM-EWRNT 60-69 years, male 1873.7
GTEX-WI4N-0726-SM-3TW93 40-49 years, female 1871.1
GTEX-1H1ZS-1026-SM-9WG6E 70-79 years, male 1843.6
GTEX-14PN4-0826-SM-69LON 50-59 years, male 1828.2
GTEX-148VJ-1426-SM-5TDE3 70-79 years, male 1824.5
GTEX-1H1DG-0826-SM-9QEIW 70-79 years, male 1823.7
GTEX-14C38-1326-SM-62LDK 50-59 years, male 1816.8
GTEX-1A8FM-1026-SM-7PC26 50-59 years, female 1804.3
GTEX-1C6VQ-0826-SM-7PBZT 50-59 years, male 1800.0
GTEX-1GZ4I-0826-SM-9WG6O 50-59 years, male 1798.2
GTEX-14BIL-0926-SM-7DHKN 50-59 years, male 1794.8
GTEX-14A5I-1026-SM-5Q5E3 50-59 years, female 1785.8
GTEX-12BJ1-0326-SM-5FQUB 60-69 years, male 1785.2
GTEX-13PDP-1326-SM-5K7U9 60-69 years, male 1777.7
GTEX-1A32A-1326-SM-73KWW 50-59 years, female 1774.0
GTEX-1CB4J-0226-SM-7P8T4 60-69 years, male 1771.7
GTEX-183WM-0926-SM-718AN 70-79 years, female 1766.4
GTEX-1HSMO-1126-SM-CGQF2 60-69 years, male 1762.2
GTEX-1192X-0726-SM-5987R 50-59 years, male 1761.8
GTEX-1HBPM-1026-SM-ARL9D 60-69 years, female 1753.1
GTEX-ZZPT-0926-SM-5GICZ 50-59 years, male 1752.7
GTEX-13RTJ-0526-SM-62LDP 60-69 years, male 1748.3
GTEX-1EMGI-1126-SM-9KNUF 60-69 years, male 1745.0
GTEX-WHSE-0826-SM-4SOJU 20-29 years, male 1726.5
GTEX-18D9B-1126-SM-7KFSH 60-69 years, male 1725.5
GTEX-WOFL-1226-SM-4OOST 60-69 years, male 1725.3
GTEX-ZE7O-0626-SM-57WCD 50-59 years, female 1723.1
GTEX-1RB15-0426-SM-E9U4Y 60-69 years, male 1714.8
GTEX-1H2FU-0826-SM-9WYSU 60-69 years, female 1709.9
GTEX-1F75B-1126-SM-7RHGP 50-59 years, male 1705.8
GTEX-1EH9U-0626-SM-7PC33 60-69 years, male 1704.2
GTEX-147F4-1126-SM-5TDDE 50-59 years, male 1702.1
GTEX-14PJ2-1126-SM-69LOD 50-59 years, male 1699.9
GTEX-1I1GP-0626-SM-ARL7H 50-59 years, male 1695.6
GTEX-15D1Q-0426-SM-6AJ9G 40-49 years, male 1692.0
GTEX-1F75A-1026-SM-7PC3W 50-59 years, male 1691.7
GTEX-1GF9U-0526-SM-7P8SK 40-49 years, female 1688.8
GTEX-12696-1226-SM-5FQSM 60-69 years, male 1683.5
GTEX-1AX8Z-1126-SM-731CS 60-69 years, male 1669.7
GTEX-1IKOH-0926-SM-A9SLU 60-69 years, female 1665.9
GTEX-13X6K-1726-SM-7IGLG 60-69 years, female 1662.8
GTEX-XLM4-2026-SM-4AT4X 60-69 years, male 1661.7
GTEX-ZAJG-0926-SM-5Q5AB 50-59 years, female 1657.2
GTEX-131XE-0526-SM-5K7YT 50-59 years, male 1653.5
GTEX-145LS-1326-SM-5Q5EP 60-69 years, female 1652.2
GTEX-13SLW-0826-SM-5QGP7 70-79 years, male 1637.2
GTEX-ZVZQ-0726-SM-51MR3 60-69 years, female 1637.2
GTEX-WYBS-1226-SM-3NM9N 60-69 years, female 1637.1
GTEX-16MT8-0826-SM-7KULO 60-69 years, female 1628.0
GTEX-14C39-0726-SM-5RQIK 40-49 years, male 1627.4
GTEX-1GN1U-1426-SM-7P8TF 50-59 years, female 1627.2
GTEX-15RJE-0726-SM-7KUEG 40-49 years, male 1623.3
GTEX-13N11-0726-SM-5L3DP 50-59 years, female 1622.3
GTEX-13O3P-1426-SM-5L3DT 50-59 years, male 1618.3
GTEX-1445S-1226-SM-5O9BF 60-69 years, male 1616.9
GTEX-1LH75-0526-SM-DIPG2 50-59 years, female 1614.1
GTEX-1QMI2-1026-SM-DTX7T 60-69 years, male 1609.6
GTEX-17F9Y-1226-SM-7EPGE 70-79 years, female 1608.1
GTEX-1B933-0826-SM-79OMW 50-59 years, female 1588.8
GTEX-1CAMQ-0726-SM-7P8SG 40-49 years, male 1581.2
GTEX-ZDXO-0426-SM-4WKF6 60-69 years, male 1575.1
GTEX-13PL6-0826-SM-5IJBI 40-49 years, female 1575.0
GTEX-1339X-0326-SM-5K7Z8 40-49 years, male 1574.5
GTEX-146FH-1126-SM-5NQAT 50-59 years, female 1567.7
GTEX-Y3I4-0526-SM-4TT6X 50-59 years, male 1563.6
GTEX-1HC8U-0626-SM-B2LWB 40-49 years, female 1539.8
GTEX-1CAMS-1126-SM-7MXUQ 40-49 years, female 1536.8
GTEX-14PII-1026-SM-5ZZVW 60-69 years, male 1535.6
GTEX-11GSP-1226-SM-5985M 60-69 years, female 1534.7
GTEX-1C6WA-0826-SM-7PBXS 60-69 years, male 1531.6
GTEX-11UD2-0926-SM-5CVL6 50-59 years, male 1527.4
GTEX-1HT8W-1326-SM-CGQEN 30-39 years, male 1524.2
GTEX-12584-1026-SM-59HK3 40-49 years, male 1521.5
GTEX-1JMOU-0326-SM-ARL8X 60-69 years, female 1521.3
GTEX-11EQ8-1326-SM-5EGJQ 60-69 years, male 1519.6
GTEX-13PVQ-1326-SM-5LU4J 50-59 years, male 1519.1
GTEX-14JG1-0826-SM-5ZZWR 40-49 years, male 1517.9
GTEX-14E6C-0326-SM-5Q5EE 40-49 years, male 1517.1
GTEX-1JMLX-1826-SM-CNPOX 50-59 years, male 1514.8
GTEX-13FXS-1026-SM-62LFQ 50-59 years, male 1513.7
GTEX-ZVT3-0826-SM-5GIC8 60-69 years, female 1511.8
GTEX-1EU9M-1926-SM-7RHH4 60-69 years, male 1510.7
GTEX-15CHQ-1326-SM-6871Z 60-69 years, male 1507.5
GTEX-11TUW-1126-SM-5EQKJ 60-69 years, male 1504.1
GTEX-13JUV-0226-SM-5IJCC 40-49 years, female 1500.3
GTEX-1B996-1026-SM-793CF 60-69 years, male 1500.1
GTEX-1GMR8-1026-SM-9MQLA 50-59 years, female 1499.6
GTEX-13JVG-1126-SM-5KM2M 60-69 years, male 1499.2
GTEX-1GMR3-0426-SM-7PC17 40-49 years, male 1496.8
GTEX-ZPIC-0426-SM-DO91V 40-49 years, female 1494.7
GTEX-12WSE-0926-SM-5S2VX 20-29 years, male 1494.6
GTEX-13OW7-1626-SM-5IJDH 50-59 years, male 1491.5
GTEX-132NY-1426-SM-5J1MJ 60-69 years, male 1486.4
GTEX-18A7A-1226-SM-7LTAJ 50-59 years, female 1479.1
GTEX-1J8Q2-1026-SM-ARU8I 60-69 years, male 1472.9
GTEX-111FC-0626-SM-5N9CU 60-69 years, male 1472.0
GTEX-ZXG5-0626-SM-5NQ85 60-69 years, male 1471.4
GTEX-13VXT-0726-SM-5SIAD 20-29 years, female 1469.5
GTEX-1477Z-1126-SM-5P9GK 60-69 years, male 1467.1
GTEX-11DYG-1026-SM-5A5JQ 60-69 years, male 1466.8
GTEX-1HBPH-0226-SM-9WYSM 40-49 years, female 1462.9
GTEX-15DCE-0826-SM-7KULW 20-29 years, male 1460.2
GTEX-13N1W-0926-SM-5MR36 70-79 years, male 1457.0
GTEX-1HR98-1026-SM-CKZOM 60-69 years, male 1453.2
GTEX-1F48J-1126-SM-9WYSY 50-59 years, female 1449.9
GTEX-13NYB-0326-SM-5IJDP 40-49 years, male 1449.2
GTEX-11EMC-0826-SM-59862 60-69 years, female 1448.7
GTEX-13QBU-0226-SM-5LU48 40-49 years, female 1448.4
GTEX-13FTZ-0326-SM-5J1O1 60-69 years, male 1446.4
GTEX-1F75I-1326-SM-7PBZX 40-49 years, male 1445.0
GTEX-1PPGY-0926-SM-DTXFF 60-69 years, male 1443.9
GTEX-11DXY-1026-SM-5987V 60-69 years, male 1439.4
GTEX-117YW-0426-SM-5GZZZ 50-59 years, male 1439.2
GTEX-17JCI-0826-SM-7LT8W 60-69 years, female 1438.1
GTEX-1IKK5-1726-SM-CM2RU 60-69 years, male 1436.5
GTEX-18465-0726-SM-7LG4L 50-59 years, male 1433.3
GTEX-Y114-0126-SM-4TT8K 50-59 years, female 1427.0
GTEX-1MJK2-1626-SM-EVYCQ 50-59 years, male 1425.6
GTEX-1OFPY-0926-SM-DTX8Q 60-69 years, male 1425.4
GTEX-117XS-0726-SM-5H131 60-69 years, male 1425.1
GTEX-13O3O-1426-SM-5KM2S 60-69 years, female 1424.7
GTEX-1A8G6-1826-SM-73KY8 60-69 years, male 1423.7
GTEX-145MN-0726-SM-5NQBH 30-39 years, male 1422.1
GTEX-13NZA-0826-SM-5K7WS 60-69 years, male 1420.8
GTEX-12ZZY-1226-SM-5GCNK 60-69 years, male 1419.7
GTEX-1KANB-1126-SM-DHXJT 50-59 years, male 1419.6
GTEX-1POEN-0726-SM-DTXDU 30-39 years, female 1419.1
GTEX-13FHP-0826-SM-5K7V5 50-59 years, male 1418.3
GTEX-1GF9V-1726-SM-9KNW4 60-69 years, male 1416.0
GTEX-14ASI-0826-SM-5Q5EB 60-69 years, male 1415.6
GTEX-13YAN-1426-SM-7EPG8 60-69 years, male 1414.4
GTEX-1IY9M-0626-SM-D4P2L 60-69 years, male 1412.4
GTEX-13W3W-0526-SM-5LU3X 60-69 years, female 1408.4
GTEX-1R7EV-0426-SM-DTX7Z 40-49 years, male 1402.0
GTEX-ZF3C-1126-SM-57WEG 50-59 years, female 1400.3
GTEX-YFC4-0426-SM-4TT3J 40-49 years, female 1397.5
GTEX-15UF7-1526-SM-6LPI7 40-49 years, male 1396.0
GTEX-WFG8-0726-SM-3GILP 20-29 years, male 1395.8
GTEX-1P4AB-0926-SM-E76PV 50-59 years, male 1395.0
GTEX-1GTWX-0926-SM-9MQKM 60-69 years, male 1385.7
GTEX-1GZ2Q-0926-SM-7RHHN 40-49 years, male 1384.3
GTEX-1H3NZ-1026-SM-A9SM5 60-69 years, male 1383.4
GTEX-ZDTS-1226-SM-4WKGL 60-69 years, male 1376.5
GTEX-14BMV-1026-SM-5SI6B 50-59 years, male 1374.5
GTEX-1C64O-0926-SM-79OLN 60-69 years, male 1374.5
GTEX-11GS4-0426-SM-5N9CD 60-69 years, male 1372.1
GTEX-VJWN-1026-SM-4M1ZN 50-59 years, female 1371.8
GTEX-ZAK1-1126-SM-5PNXU 50-59 years, female 1366.2
GTEX-13SLX-0926-SM-5S2NM 50-59 years, female 1365.3
GTEX-YECK-1226-SM-4W21G 60-69 years, male 1365.1
GTEX-14XAO-0926-SM-69LPZ 60-69 years, female 1364.7
GTEX-1QP6S-1026-SM-DTXFW 40-49 years, male 1363.8
GTEX-1GN1W-0226-SM-7P8QY 50-59 years, female 1358.2
GTEX-1H3O1-0226-SM-9WYSW 60-69 years, male 1355.6
GTEX-1E1VI-1426-SM-793CY 50-59 years, male 1353.2
GTEX-WWYW-1126-SM-3NB2Q 50-59 years, female 1346.5
GTEX-XBEC-1226-SM-4AT65 50-59 years, male 1344.4
GTEX-14PK6-0726-SM-6LLIX 70-79 years, female 1343.7
GTEX-1212Z-0726-SM-5EGI5 60-69 years, male 1343.3
GTEX-1M5QR-1626-SM-E9U5O 40-49 years, male 1342.6
GTEX-1LG7Y-1426-SM-D4P31 50-59 years, male 1341.9
GTEX-1I19N-0626-SM-A9SKY 70-79 years, male 1341.5
GTEX-Y3IK-1026-SM-51MR7 50-59 years, female 1340.6
GTEX-WZTO-1226-SM-3NMAZ 40-49 years, male 1339.3
GTEX-13PVR-0926-SM-5S2RB 60-69 years, female 1339.1
GTEX-UTHO-1226-SM-3GAEE 60-69 years, male 1338.4
GTEX-1EX96-2626-SM-9MQJV 50-59 years, male 1336.1
GTEX-11TT1-1426-SM-5EGIA 20-29 years, male 1335.9
GTEX-Y5V5-0726-SM-4VBPY 60-69 years, female 1335.4
GTEX-16NPX-0826-SM-6M489 50-59 years, male 1332.9
GTEX-1F6I4-0826-SM-7RHGK 60-69 years, male 1329.7
GTEX-1HFI6-0826-SM-9YFM2 40-49 years, male 1328.3
GTEX-1QPFJ-0926-SM-EVR3K 30-39 years, female 1327.2
GTEX-1399T-0726-SM-5J1MH 60-69 years, male 1324.2
GTEX-1LSNL-0626-SM-DIPFJ 50-59 years, male 1324.2
GTEX-1KD5A-0926-SM-D4P3U 50-59 years, male 1323.5
GTEX-147JS-1326-SM-5SI6D 60-69 years, male 1318.4
GTEX-YB5K-0226-SM-5IFJE 40-49 years, female 1318.2
GTEX-1E2YA-0626-SM-7P8P4 50-59 years, male 1316.9
GTEX-12WSA-1126-SM-5EGKU 60-69 years, male 1315.9
GTEX-13NZB-0426-SM-5KM26 30-39 years, male 1315.4
GTEX-13O1R-0926-SM-5L3DS 60-69 years, male 1315.0
GTEX-1GN1V-1026-SM-CNPPS 60-69 years, male 1314.8
GTEX-XGQ4-0526-SM-4AT6C 50-59 years, male 1311.9
GTEX-13CF2-0226-SM-5L3DV 60-69 years, male 1310.9
GTEX-1JJ6O-2226-SM-AHZ3I 60-69 years, male 1309.3
GTEX-1IDJH-1126-SM-COH3R 70-79 years, male 1307.1
GTEX-1JN6P-0826-SM-ARL97 60-69 years, male 1304.9
GTEX-13OVG-0426-SM-5KM2T 60-69 years, male 1303.4
GTEX-14E7W-1126-SM-5ZZVS 70-79 years, male 1302.3
GTEX-13D11-1526-SM-5J2NA 50-59 years, female 1295.4
GTEX-1JJEA-0926-SM-CYPSO 60-69 years, male 1294.3
GTEX-16GPK-1226-SM-7LTAU 60-69 years, male 1291.5
GTEX-1F88F-0326-SM-9KNV3 60-69 years, female 1290.3
GTEX-13112-0526-SM-5EQ4S 50-59 years, male 1287.8
GTEX-ZDTT-0326-SM-4WKF9 60-69 years, male 1285.9
GTEX-1313W-1126-SM-5EQ5U 50-59 years, female 1282.2
GTEX-132AR-1926-SM-5EGK5 50-59 years, female 1280.9
GTEX-1A3MX-1226-SM-731B3 60-69 years, male 1280.7
GTEX-1R9JW-0426-SM-E76QL 30-39 years, female 1278.8
GTEX-13FH7-0826-SM-5J2NW 50-59 years, female 1272.7
GTEX-11ZVC-0526-SM-5N9G1 50-59 years, female 1272.4
GTEX-1EWIQ-1126-SM-7EPIK 70-79 years, female 1272.1
GTEX-12WSK-0526-SM-5CVNA 40-49 years, female 1271.7
GTEX-YJ8O-0826-SM-5CVM3 40-49 years, female 1271.0
GTEX-1CB4H-0626-SM-7IGN3 60-69 years, female 1269.5
GTEX-13X6J-1226-SM-79OMF 50-59 years, male 1269.3
GTEX-U8XE-0926-SM-3DB8V 30-39 years, male 1268.8
GTEX-131XG-0526-SM-5DUWF 50-59 years, female 1268.5
GTEX-ZG7Y-1426-SM-4WWBM 50-59 years, male 1260.1
GTEX-12ZZX-0726-SM-5EGKA 40-49 years, female 1258.4
GTEX-1211K-0226-SM-59HJY 60-69 years, female 1258.3
GTEX-111VG-0326-SM-5GZX7 60-69 years, male 1257.3
GTEX-1QEPI-1126-SM-E8VN7 60-69 years, female 1256.5
GTEX-13PL7-0726-SM-5KM1S 60-69 years, female 1256.4
GTEX-1I1HK-0626-SM-CNPQM 60-69 years, male 1256.4
GTEX-15CHC-0326-SM-5ZZVP 60-69 years, female 1252.9
GTEX-ZAB4-0926-SM-5CVN4 40-49 years, male 1251.8
GTEX-14A6H-0326-SM-5NQAN 30-39 years, male 1248.3
GTEX-14PHX-0626-SM-5YY8Z 50-59 years, male 1246.3
GTEX-13OW6-0926-SM-5L3GM 50-59 years, male 1245.7
GTEX-1IL2V-1126-SM-CMKGH 70-79 years, male 1245.4
GTEX-1J8EW-0626-SM-CM2TY 60-69 years, female 1244.3
GTEX-1QP29-1426-SM-DTX9Q 50-59 years, male 1241.4
GTEX-1HCVE-0826-SM-CM2SF 50-59 years, male 1239.3
GTEX-14PJ6-0626-SM-686Z6 60-69 years, female 1238.6
GTEX-1IL2U-1226-SM-CL53P 60-69 years, male 1237.8
GTEX-1GMRU-1326-SM-9WYUI 50-59 years, male 1237.0
GTEX-11EM3-0426-SM-5N9BZ 20-29 years, female 1236.1
GTEX-1LB8K-0926-SM-D4P42 50-59 years, male 1234.3
GTEX-13U4I-0626-SM-5LU5L 40-49 years, female 1233.3
GTEX-XQ3S-0526-SM-4BOQA 20-29 years, male 1232.8
GTEX-1I1GV-1426-SM-B2LXN 60-69 years, male 1232.0
GTEX-1GN2E-1426-SM-7RHHI 60-69 years, male 1229.6
GTEX-Z93S-0326-SM-5HL84 50-59 years, male 1229.2
GTEX-XQ8I-0226-SM-4BOPM 50-59 years, male 1226.5
GTEX-ZV7C-0526-SM-9WPNK 50-59 years, male 1224.9
GTEX-132QS-0526-SM-5IJC7 60-69 years, male 1224.1
GTEX-1AX9I-1026-SM-73KYF 60-69 years, male 1221.5
GTEX-1BAJH-1026-SM-7EWEG 70-79 years, male 1220.5
GTEX-X261-0926-SM-3NMCY 50-59 years, male 1219.9
GTEX-131YS-0826-SM-5PNYV 60-69 years, female 1219.2
GTEX-11ONC-1026-SM-5GU64 60-69 years, male 1214.6
GTEX-13O61-0426-SM-5L3ET 60-69 years, male 1214.6
GTEX-1B8L1-0426-SM-7SB76 60-69 years, male 1209.9
GTEX-ZYT6-0926-SM-5GIEM 30-39 years, male 1209.1
GTEX-12WSN-0226-SM-5DUXH 40-49 years, male 1208.3
GTEX-17KNJ-0626-SM-7LT9L 50-59 years, male 1206.7
GTEX-11NUK-0926-SM-5HL57 50-59 years, male 1206.1
GTEX-14PHY-0326-SM-62LE3 60-69 years, female 1204.4
GTEX-11ZUS-0326-SM-5EQ4W 30-39 years, male 1203.2
GTEX-XOT4-1126-SM-4B66E 60-69 years, female 1200.3
GTEX-YEC4-0226-SM-4W1YG 40-49 years, male 1198.5
GTEX-13OVI-0326-SM-5K7X1 60-69 years, female 1197.9
GTEX-1LSNM-0426-SM-E9TIZ 50-59 years, male 1197.7
GTEX-1HBPN-0926-SM-CGQEG 50-59 years, male 1197.6
GTEX-1192W-0226-SM-5EGGT 60-69 years, male 1196.2
GTEX-12WSD-1226-SM-5HL9Q 60-69 years, female 1195.9
GTEX-1HCU7-1226-SM-B2LX8 50-59 years, male 1195.2
GTEX-146FR-0926-SM-5QGPE 60-69 years, female 1194.1
GTEX-1C64N-0826-SM-7RHGQ 50-59 years, male 1192.4
GTEX-XYKS-0226-SM-4BRW3 60-69 years, female 1191.0
GTEX-16YQH-0726-SM-7IGM1 30-39 years, male 1190.2
GTEX-14PN3-0726-SM-6EU14 60-69 years, female 1188.5
GTEX-111YS-0326-SM-5GZZ3 60-69 years, male 1186.6
GTEX-144GL-1026-SM-5O99R 50-59 years, male 1185.5
GTEX-1HSGN-0926-SM-CNNQM 40-49 years, female 1185.0
GTEX-X3Y1-0226-SM-3P5Z5 40-49 years, male 1182.2
GTEX-1CB4G-0726-SM-79OOJ 60-69 years, male 1180.1
GTEX-ZLFU-0326-SM-4WWBK 40-49 years, male 1175.6
GTEX-15EU6-1326-SM-6PANG 50-59 years, male 1173.8
GTEX-12WSC-1026-SM-5EQ5Y 50-59 years, male 1172.2
GTEX-VUSG-0726-SM-3GIK1 50-59 years, male 1170.2
GTEX-1GN73-2326-SM-9MQKV 60-69 years, male 1169.3
GTEX-1AX9K-0426-SM-73KUG 50-59 years, male 1168.8
GTEX-1HSKV-0726-SM-ACKWE 60-69 years, male 1168.4
GTEX-ZTTD-0626-SM-4YCCY 50-59 years, male 1166.9
GTEX-1H1CY-0426-SM-9KNVD 60-69 years, female 1166.4
GTEX-WQUQ-1326-SM-3MJFF 60-69 years, male 1165.2
GTEX-12WSG-1226-SM-5EQ4C 50-59 years, female 1164.0
GTEX-ZDYS-0326-SM-5HL4W 50-59 years, male 1162.0
GTEX-XV7Q-0726-SM-4BRV6 40-49 years, female 1159.8
GTEX-1H3VY-1126-SM-A96TP 50-59 years, male 1156.9
GTEX-1IOXB-0726-SM-A9G32 50-59 years, male 1156.6
GTEX-11P81-0526-SM-59873 30-39 years, female 1155.9
GTEX-1NHNU-0626-SM-E6CP1 50-59 years, male 1153.0
GTEX-XPVG-0726-SM-4B658 50-59 years, male 1147.8
GTEX-1B932-1326-SM-79OM4 40-49 years, female 1147.6
GTEX-11NV4-0826-SM-5BC4S 60-69 years, male 1146.6
GTEX-Y8E4-0426-SM-4V6GB 40-49 years, male 1142.5
GTEX-15SHU-0926-SM-6PAMK 40-49 years, female 1140.2
GTEX-18A6Q-1526-SM-731CO 60-69 years, male 1139.2
GTEX-17EVP-0526-SM-7EPGY 40-49 years, male 1137.7
GTEX-1AX9J-0926-SM-73KXA 60-69 years, male 1136.1
GTEX-ZF2S-0826-SM-4WWBI 50-59 years, female 1132.9
GTEX-WK11-0626-SM-3NMAV 50-59 years, male 1131.3
GTEX-1KXAM-1426-SM-D3LAC 60-69 years, male 1128.5
GTEX-1399U-0726-SM-5KM1D 50-59 years, female 1128.3
GTEX-11LCK-0826-SM-5PNYD 30-39 years, male 1124.7
GTEX-V955-0826-SM-CYPR5 60-69 years, male 1124.5
GTEX-14E1K-0826-SM-5ZZW9 50-59 years, male 1124.0
GTEX-131XF-0426-SM-5HL7U 60-69 years, male 1123.6
GTEX-ZVT2-0926-SM-5GICE 50-59 years, female 1123.2
GTEX-13S86-0326-SM-5SI6K 40-49 years, male 1122.1
GTEX-XPT6-0226-SM-4B65L 20-29 years, male 1120.9
GTEX-11DXZ-0326-SM-5EGH1 50-59 years, male 1119.6
GTEX-16XZZ-1026-SM-7DHKS 60-69 years, male 1117.7
GTEX-14H4A-0426-SM-5ZZWO 40-49 years, female 1116.3
GTEX-V1D1-0626-SM-4JBHN 50-59 years, male 1115.8
GTEX-13FTW-0826-SM-5K7XR 40-49 years, male 1105.1
GTEX-1122O-0626-SM-5N9B9 60-69 years, female 1104.7
GTEX-11ZTT-0526-SM-5EQLA 60-69 years, female 1103.0
GTEX-1B8SG-0726-SM-79ONS 50-59 years, male 1100.0
GTEX-ZZPU-1126-SM-5N9CW 50-59 years, female 1098.6
GTEX-1IDJF-0826-SM-ARU7N 20-29 years, male 1096.1
GTEX-17F96-0826-SM-7DHLU 70-79 years, male 1094.5
GTEX-11DXX-0526-SM-5PNVR 60-69 years, female 1094.4
GTEX-14PJ4-0926-SM-5YY98 60-69 years, male 1093.9
GTEX-ZT9W-0526-SM-57WFG 50-59 years, male 1088.2
GTEX-1QCLZ-1126-SM-EWRNB 60-69 years, female 1087.8
GTEX-1IKJJ-0626-SM-CY8GF 60-69 years, male 1087.2
GTEX-ZUA1-0726-SM-4YCD9 40-49 years, male 1086.3
GTEX-X62O-0826-SM-46MW8 50-59 years, male 1086.0
GTEX-1399S-0826-SM-5KM23 30-39 years, female 1084.2
GTEX-17HGU-1126-SM-793BP 50-59 years, male 1082.1
GTEX-139YR-0526-SM-5L3DG 50-59 years, male 1080.5
GTEX-WYJK-1126-SM-3NM9Z 50-59 years, male 1078.9
GTEX-1I1GR-1026-SM-A9SLC 60-69 years, male 1074.1
GTEX-17GQL-0626-SM-731CN 60-69 years, male 1072.1
GTEX-1MCC2-0226-SM-EVYD5 30-39 years, female 1071.9
GTEX-1KANC-0226-SM-E9TIW 50-59 years, female 1067.7
GTEX-1GMR2-1326-SM-9KNUT 50-59 years, male 1066.5
GTEX-13NZ9-0126-SM-5K7XV 50-59 years, male 1065.2
GTEX-1C2JI-0626-SM-7DHM1 50-59 years, male 1063.9
GTEX-1LGRB-1026-SM-CNPQD 50-59 years, female 1063.3
GTEX-1LGOU-0326-SM-D3LAM 20-29 years, female 1063.0
GTEX-16XZY-0526-SM-7DHKY 70-79 years, male 1059.9
GTEX-1B97J-0326-SM-7939H 50-59 years, female 1058.4
GTEX-1HFI7-0526-SM-A9SMA 50-59 years, female 1056.9
GTEX-XXEK-2026-SM-4BRVE 50-59 years, male 1055.2
GTEX-WHPG-1026-SM-3NMBA 50-59 years, male 1051.8
GTEX-ZGAY-0226-SM-4WWAL 40-49 years, female 1050.9
GTEX-1HCUA-0626-SM-ACKVT 50-59 years, female 1050.0
GTEX-WY7C-1126-SM-3NB3A 50-59 years, male 1049.0
GTEX-1H11D-1026-SM-9QEIU 40-49 years, male 1048.8
GTEX-WH7G-0326-SM-3NMBH 40-49 years, male 1048.6
GTEX-X4XX-1126-SM-3NMBY 60-69 years, male 1048.2
GTEX-14DAQ-1026-SM-793B1 60-69 years, female 1047.3
GTEX-14BIN-2126-SM-793AX 50-59 years, female 1046.4
GTEX-15ER7-0826-SM-6PALW 20-29 years, female 1042.6
GTEX-1CB4I-1526-SM-7DHMY 50-59 years, male 1040.2
GTEX-1GL5R-0426-SM-9WPOP 50-59 years, male 1039.6
GTEX-1CB4E-0626-SM-7DHMW 60-69 years, male 1039.3
GTEX-1399R-1726-SM-5K7YJ 30-39 years, male 1031.6
GTEX-ZPCL-0526-SM-DO91R 60-69 years, female 1030.4
GTEX-1I1CD-1326-SM-A9SMM 60-69 years, female 1029.5
GTEX-15RIE-1326-SM-6PAMM 60-69 years, male 1023.4
GTEX-1I1GQ-1226-SM-CL55J 50-59 years, male 1021.7
GTEX-15SHV-0526-SM-7KUEN 60-69 years, male 1015.8
GTEX-18D9U-1426-SM-718BO 40-49 years, male 1010.5
GTEX-1NSGN-1226-SM-E76OL 50-59 years, male 1009.6
GTEX-WRHU-1026-SM-4E3ID 50-59 years, female 1005.4
GTEX-1J8Q3-1126-SM-ARU8N 60-69 years, male 1004.8
GTEX-ZEX8-0326-SM-DO92C 50-59 years, male 1001.4
GTEX-1IDJD-0226-SM-CKZOA 30-39 years, male 1000.9
GTEX-ZF29-0426-SM-4WKFN 60-69 years, female 999.2
GTEX-117YX-0626-SM-5EGJI 50-59 years, male 995.4
GTEX-1MJIX-0426-SM-DTXEN 40-49 years, male 991.6
GTEX-1B8KE-0326-SM-73KTY 50-59 years, male 990.6
GTEX-18A67-1026-SM-731CE 50-59 years, male 990.0
GTEX-1L5NE-0526-SM-DIPG5 50-59 years, male 989.6
GTEX-UPK5-0226-SM-3GAEV 40-49 years, male 984.3
GTEX-1IKOE-0626-SM-A9G31 30-39 years, female 980.1
GTEX-ZPU1-0726-SM-5HL6O 40-49 years, male 973.0
GTEX-WL46-0726-SM-3LK5Z 50-59 years, male 967.4
GTEX-WFG7-0826-SM-3GIKU 20-29 years, male 965.1
GTEX-WEY5-0226-SM-3GIKN 40-49 years, female 962.8
GTEX-1ICG6-0726-SM-B2LY5 70-79 years, female 960.5
GTEX-1B8SF-1326-SM-7IGQJ 60-69 years, male 960.3
GTEX-X4EP-0326-SM-3P5Z6 60-69 years, female 955.5
GTEX-1AYCT-0526-SM-7RHHS 50-59 years, male 946.6
GTEX-1JK1U-0626-SM-CKZOJ 60-69 years, male 941.4
GTEX-17F9E-0726-SM-793A1 50-59 years, male 938.3
GTEX-1LVAN-1526-SM-CNPQN 50-59 years, female 934.1
GTEX-1IDJU-0626-SM-CKZOG 60-69 years, female 932.4
GTEX-18A66-1126-SM-731C5 60-69 years, male 926.1
GTEX-ZYFG-0526-SM-5GZXX 60-69 years, female 924.7
GTEX-1J8QM-0326-SM-CL53D 60-69 years, female 921.9
GTEX-13O21-0326-SM-5J1N9 50-59 years, male 914.0
GTEX-X5EB-0626-SM-46MVQ 40-49 years, male 907.9
GTEX-15SDE-1826-SM-7KUFN 50-59 years, female 897.1
GTEX-WFON-0226-SM-3GIKR 40-49 years, male 896.8
GTEX-YF7O-0526-SM-5P9IO 50-59 years, male 889.5
GTEX-YEC3-0426-SM-CYPS8 50-59 years, male 868.0
GTEX-ZAB5-0126-SM-5CVMT 50-59 years, male 851.0
GTEX-1HSMQ-0426-SM-ADEIM 50-59 years, male 843.1
GTEX-WHWD-0326-SM-3LK6L 50-59 years, male 824.6
GTEX-15CHR-0326-SM-7DHN3 50-59 years, male 489.4
Show allShow less
Heart - Left Ventricle
Average nTPM: 1338.1
Samples: 432

Max nTPM: 3089.1
Min nTPM: 681.8
Std nTPM: 369.4
Median nTPM: 1271.7
GTEX-17HII-1326-SM-7IGOB 50-59 years, male 3089.1
GTEX-ZPIC-0826-SM-4WWFJ 40-49 years, female 3007.7
GTEX-11ONC-0126-SM-5PNW6 60-69 years, male 2869.7
GTEX-1O9I2-1126-SM-DTXEA 50-59 years, male 2594.3
GTEX-11EM3-0626-SM-5H12Z 20-29 years, female 2554.5
GTEX-1PWST-1026-SM-DTXF2 70-79 years, male 2552.6
GTEX-YB5K-0126-SM-5IFJ2 40-49 years, female 2413.9
GTEX-XV7Q-0826-SM-4BRV7 40-49 years, female 2301.5
GTEX-1JMOU-0226-SM-CNNPD 60-69 years, female 2243.2
GTEX-1N2EF-2826-SM-E6CQF 60-69 years, male 2241.9
GTEX-O5YV-0326-SM-2I5H2 60-69 years, female 2227.9
GTEX-12ZZW-1026-SM-5GCMM 50-59 years, male 2209.8
GTEX-1K9T9-1126-SM-D3L9E 50-59 years, female 2197.0
GTEX-R45C-0926-SM-3GAD4 60-69 years, female 2163.0
GTEX-13O1R-1226-SM-5J1NU 60-69 years, male 2151.1
GTEX-1HSMO-1226-SM-CL548 60-69 years, male 2144.6
GTEX-17MF6-0726-SM-7LT8E 40-49 years, male 2097.0
GTEX-14A6H-0226-SM-5Q5DX 30-39 years, male 2095.5
GTEX-14XAO-1126-SM-6EU11 60-69 years, female 2079.9
GTEX-13O3O-1526-SM-5KM1C 60-69 years, female 2051.0
GTEX-1JJE9-1426-SM-ARL8P 70-79 years, male 2050.4
GTEX-SIU8-0826-SM-2XCDQ 50-59 years, male 2047.0
GTEX-1POEN-0626-SM-EVR4B 30-39 years, female 1981.5
GTEX-13W3W-0426-SM-5SI9D 60-69 years, female 1976.5
GTEX-1RAZS-0826-SM-E76QP 50-59 years, male 1976.3
GTEX-1F48J-1026-SM-7P8SO 50-59 years, female 1970.7
GTEX-1LC47-1026-SM-D3LAH 60-69 years, male 1968.6
GTEX-1LGOU-0726-SM-E9TIY 20-29 years, female 1965.9
GTEX-1JMPZ-1426-SM-CJI3C 30-39 years, male 1965.1
GTEX-NPJ8-0426-SM-2HMK6 40-49 years, male 1959.7
GTEX-1RQEC-0926-SM-EWROG 60-69 years, male 1931.6
GTEX-1399T-0426-SM-5PNVJ 60-69 years, male 1918.8
GTEX-1314G-0126-SM-5LZUL 30-39 years, male 1918.3
GTEX-1M5QR-1026-SM-DHXK9 40-49 years, male 1915.4
GTEX-ZAJG-0826-SM-5PNVA 50-59 years, female 1912.1
GTEX-16MT8-0926-SM-6M487 60-69 years, female 1875.6
GTEX-14A5I-1226-SM-5NQBW 50-59 years, female 1871.5
GTEX-17GQL-0526-SM-72D5N 60-69 years, male 1862.8
GTEX-13X6K-1826-SM-5O9CR 60-69 years, female 1859.3
GTEX-15DDE-1126-SM-6LLHN 50-59 years, female 1853.1
GTEX-1PPH7-2026-SM-E9J3N 40-49 years, male 1847.3
GTEX-1ICLZ-1026-SM-A9SLF 60-69 years, male 1843.6
GTEX-1I6K7-0626-SM-ARL7Q 40-49 years, male 1829.4
GTEX-1A3MW-1326-SM-7189P 60-69 years, female 1811.8
GTEX-1F6I4-0726-SM-7PC2P 60-69 years, male 1791.6
GTEX-13RTJ-0726-SM-5QGQN 60-69 years, male 1788.4
GTEX-1497J-1226-SM-5Q5BL 60-69 years, male 1784.8
GTEX-14C38-1426-SM-5RQHZ 50-59 years, male 1782.9
GTEX-13CF2-0426-SM-5KM1H 60-69 years, male 1773.1
GTEX-1NV8Z-1526-SM-DTX8X 60-69 years, male 1744.4
GTEX-YFC4-0526-SM-5ZZVI 40-49 years, female 1744.2
GTEX-1LH75-0426-SM-E9TJF 50-59 years, female 1741.3
GTEX-17F9Y-1326-SM-7MGW9 70-79 years, female 1739.8
GTEX-13O3P-1626-SM-5K7X3 50-59 years, male 1731.9
GTEX-14E6C-0426-SM-5YYA8 40-49 years, male 1724.5
GTEX-13PVQ-1226-SM-5IJDC 50-59 years, male 1717.2
GTEX-145LV-0326-SM-5Q5BW 50-59 years, male 1716.4
GTEX-PWCY-0526-SM-5P9HG 20-29 years, female 1707.9
GTEX-1ICLY-1326-SM-CJI47 50-59 years, male 1700.2
GTEX-13112-0426-SM-5PNVC 50-59 years, male 1690.6
GTEX-1H1ZS-1126-SM-9MQLJ 70-79 years, male 1682.8
GTEX-1R9K4-1326-SM-DTX8G 60-69 years, male 1682.0
GTEX-1313W-1426-SM-5KLZU 50-59 years, female 1677.6
GTEX-1HCU6-1026-SM-A9G25 60-69 years, female 1677.5
GTEX-1R9PO-0326-SM-DTXA1 60-69 years, female 1669.0
GTEX-1A8G6-1626-SM-7MGWO 60-69 years, male 1666.3
GTEX-12584-0926-SM-5FQTN 40-49 years, male 1665.9
GTEX-1EH9U-0826-SM-7IGPT 60-69 years, male 1639.6
GTEX-QEG5-0926-SM-2TC64 20-29 years, male 1638.4
GTEX-1HCU7-1326-SM-CNPPW 50-59 years, male 1634.9
GTEX-1LB8K-1026-SM-DHXJJ 50-59 years, male 1633.9
GTEX-13N1W-1026-SM-5IJC5 70-79 years, male 1632.6
GTEX-148VI-0326-SM-5RQK7 60-69 years, female 1628.1
GTEX-131XE-0626-SM-5HL98 50-59 years, male 1628.0
GTEX-1GZ4I-1026-SM-9KNV5 50-59 years, male 1625.3
GTEX-1JMQK-0626-SM-D4P2R 60-69 years, male 1624.9
GTEX-14JG1-1026-SM-6ETZY 40-49 years, male 1619.9
GTEX-1HBPM-1226-SM-A9SM8 60-69 years, female 1617.5
GTEX-14PJ2-1026-SM-6EU1M 50-59 years, male 1609.1
GTEX-1EX96-2526-SM-7RHGW 50-59 years, male 1607.1
GTEX-S33H-0526-SM-COH1W 30-39 years, male 1600.3
GTEX-14C39-0926-SM-5TDDV 40-49 years, male 1599.8
GTEX-WY7C-0526-SM-3NB3D 50-59 years, male 1598.8
GTEX-ZDTS-1326-SM-6LLHE 60-69 years, male 1597.9
GTEX-1HBPH-0126-SM-CNNQ7 40-49 years, female 1596.3
GTEX-16NPX-0926-SM-7KUEZ 50-59 years, male 1586.8
GTEX-ZDXO-0726-SM-57WBT 60-69 years, male 1586.7
GTEX-13JVG-1326-SM-5N9F8 60-69 years, male 1578.8
GTEX-1JJ6O-2126-SM-CNNP6 60-69 years, male 1575.1
GTEX-OXRO-2026-SM-2YUMZ 60-69 years, female 1568.9
GTEX-P44G-0826-SM-2I5ES 30-39 years, male 1568.9
GTEX-N7MT-1326-SM-2I3FV 60-69 years, female 1566.0
GTEX-11EMC-0726-SM-5EGJO 60-69 years, female 1565.0
GTEX-1IDJU-0726-SM-CNPQ9 60-69 years, female 1563.8
GTEX-1269C-0826-SM-5N9EM 60-69 years, female 1563.1
GTEX-147F4-1226-SM-5NQAY 50-59 years, male 1561.7
GTEX-1GN1W-0326-SM-9JGHF 50-59 years, female 1559.9
GTEX-145MO-1126-SM-5NQBX 60-69 years, male 1554.1
GTEX-P78B-0426-SM-2I5F5 40-49 years, female 1550.3
GTEX-12ZZY-1126-SM-5DUWQ 60-69 years, male 1550.2
GTEX-1H3NZ-1126-SM-9WYT9 60-69 years, male 1549.5
GTEX-11O72-1126-SM-5N9E2 40-49 years, male 1546.1
GTEX-11ZVC-0426-SM-5CVLD 50-59 years, female 1541.4
GTEX-14E7W-1226-SM-5RQIU 70-79 years, male 1537.1
GTEX-13OW5-1126-SM-5J1NR 60-69 years, male 1525.7
GTEX-148VJ-1526-SM-5Q5DU 70-79 years, male 1521.4
GTEX-ZYW4-0926-SM-59HJS 60-69 years, male 1513.3
GTEX-1JMLX-1626-SM-ARZMV 50-59 years, male 1512.9
GTEX-1EWIQ-1426-SM-7IGOS 70-79 years, female 1507.7
GTEX-1JN1M-1026-SM-CNPOS 60-69 years, female 1506.6
GTEX-1F5PK-0326-SM-9KNUD 50-59 years, male 1504.2
GTEX-13OW8-2126-SM-5J1OS 60-69 years, male 1504.0
GTEX-14DAQ-1126-SM-664MT 60-69 years, female 1501.7
GTEX-1QP2A-1126-SM-EVR3H 50-59 years, male 1499.5
GTEX-Y3IK-0826-SM-51MT8 50-59 years, female 1497.5
GTEX-15SHW-1226-SM-6M46C 60-69 years, male 1493.2
GTEX-1PPGY-1126-SM-E76OU 60-69 years, male 1489.2
GTEX-SUCS-0326-SM-32PLL 70-79 years, male 1487.4
GTEX-145MN-0626-SM-5QGRH 30-39 years, male 1486.5
GTEX-14JIY-1126-SM-6EU28 60-69 years, male 1486.4
GTEX-15DYW-1126-SM-6LPK5 60-69 years, female 1482.3
GTEX-15CHQ-1526-SM-69LPW 60-69 years, male 1481.3
GTEX-ZYFC-1126-SM-5E44W 50-59 years, male 1480.8
GTEX-WH7G-0426-SM-3NMBJ 40-49 years, male 1479.9
GTEX-15SHU-1126-SM-7KUMB 40-49 years, female 1479.5
GTEX-18D9B-1226-SM-72D6V 60-69 years, male 1469.1
GTEX-1OKEX-0726-SM-DPRYE 60-69 years, male 1467.7
GTEX-P4QS-0326-SM-2I3EU 60-69 years, male 1465.4
GTEX-1I1GP-0826-SM-A96SD 50-59 years, male 1465.2
GTEX-1LVA9-0926-SM-EVR5G 50-59 years, male 1464.1
GTEX-T2IS-0426-SM-32QPE 20-29 years, female 1459.9
GTEX-14C5O-1326-SM-5S2UW 60-69 years, male 1458.0
GTEX-1GTWX-1026-SM-7P8QW 60-69 years, male 1457.0
GTEX-11DXY-0826-SM-5EGGR 60-69 years, male 1456.7
GTEX-13CF3-0726-SM-5J2MY 60-69 years, female 1455.2
GTEX-1H23P-1226-SM-9QEJ2 60-69 years, male 1453.4
GTEX-1HCVE-1126-SM-9WPPG 50-59 years, male 1450.5
GTEX-1HC8U-0726-SM-ACKXL 40-49 years, female 1448.4
GTEX-13YAN-1326-SM-5Q5F1 60-69 years, male 1444.5
GTEX-1JJEA-0826-SM-CL53T 60-69 years, male 1443.3
GTEX-X15G-0426-SM-4PQZ6 50-59 years, female 1442.6
GTEX-1JN6P-1126-SM-CKZON 60-69 years, male 1440.7
GTEX-N7MS-0826-SM-2HML4 60-69 years, male 1440.4
GTEX-14BIL-1126-SM-79OMC 50-59 years, male 1439.1
GTEX-13N11-0426-SM-5KM3O 50-59 years, female 1434.2
GTEX-131XH-0226-SM-5LZVB 50-59 years, male 1430.0
GTEX-13X6I-1426-SM-5SI9Z 60-69 years, male 1427.3
GTEX-1C6VQ-1126-SM-7EWET 50-59 years, male 1424.7
GTEX-WHSE-0926-SM-3NMBS 20-29 years, male 1421.4
GTEX-12WSG-0526-SM-5FQTH 50-59 years, female 1420.8
GTEX-13VXT-1126-SM-5LU3A 20-29 years, female 1420.3
GTEX-Y3I4-0626-SM-4TT7A 50-59 years, male 1420.1
GTEX-1C64O-0826-SM-79OKZ 60-69 years, male 1417.6
GTEX-1AX9I-1126-SM-7EPHH 60-69 years, male 1415.1
GTEX-RTLS-0826-SM-2TF5Q 60-69 years, female 1413.6
GTEX-132AR-2026-SM-5IJG4 50-59 years, female 1413.2
GTEX-1IKK5-1526-SM-CKZPW 60-69 years, male 1413.2
GTEX-13NZB-0226-SM-5KM1T 30-39 years, male 1411.0
GTEX-12ZZZ-1726-SM-59HK5 60-69 years, male 1410.1
GTEX-1KD4Q-0726-SM-DIPGE 40-49 years, male 1409.5
GTEX-13X6H-0426-SM-5LU4E 50-59 years, female 1408.5
GTEX-WK11-0826-SM-EZ6LH 50-59 years, male 1407.0
GTEX-ZF3C-1226-SM-4WWCB 50-59 years, female 1405.9
GTEX-ZAB4-1026-SM-5HL7T 40-49 years, male 1403.4
GTEX-1E1VI-1326-SM-7IGQD 50-59 years, male 1402.8
GTEX-1F6IF-2526-SM-7P8TV 60-69 years, male 1401.3
GTEX-1EU9M-1826-SM-7DUGU 60-69 years, male 1394.6
GTEX-14E6D-0926-SM-5S2QV 50-59 years, male 1392.7
GTEX-WI4N-0626-SM-3TW8Z 40-49 years, female 1388.0
GTEX-ZUA1-0826-SM-4YCDL 40-49 years, male 1385.4
GTEX-11TT1-1326-SM-5PNYM 20-29 years, male 1385.1
GTEX-13SLX-1026-SM-5ZZUQ 50-59 years, female 1384.2
GTEX-X261-1426-SM-4PQZ1 50-59 years, male 1383.8
GTEX-111FC-0826-SM-5GZWO 60-69 years, male 1383.3
GTEX-15EOM-5007-SM-793DG 20-29 years, female 1382.7
GTEX-RNOR-0826-SM-2TF5C 50-59 years, female 1382.7
GTEX-13OVL-0526-SM-5KLZQ 50-59 years, male 1382.1
GTEX-1HT8W-1726-SM-CNNQB 30-39 years, male 1377.2
GTEX-XQ3S-0626-SM-4BOOB 20-29 years, male 1375.6
GTEX-WL46-0926-SM-3LK7T 50-59 years, male 1374.0
GTEX-R55E-1026-SM-2TC5S 20-29 years, male 1371.0
GTEX-13NYB-0226-SM-5N9G4 40-49 years, male 1353.2
GTEX-1I1GV-1326-SM-A96SE 60-69 years, male 1351.9
GTEX-1GMR3-0326-SM-7P8QT 40-49 years, male 1350.2
GTEX-ZTPG-1226-SM-4YCDO 20-29 years, female 1346.9
GTEX-XBEC-1326-SM-4AT69 50-59 years, male 1343.3
GTEX-1EN7A-0726-SM-7PBXT 40-49 years, male 1342.3
GTEX-18A66-1226-SM-7LT8G 60-69 years, male 1341.1
GTEX-WFG8-0626-SM-3GILJ 20-29 years, male 1340.2
GTEX-1R9JW-0526-SM-EWRNK 30-39 years, female 1338.3
GTEX-U3ZN-1426-SM-3DB87 30-39 years, female 1336.6
GTEX-13FHP-1026-SM-5K7Y2 50-59 years, male 1330.5
GTEX-17JCI-1126-SM-7IGMM 60-69 years, female 1330.5
GTEX-1B8SG-0826-SM-7EWF7 50-59 years, male 1327.0
GTEX-1R7EV-0326-SM-E76PA 40-49 years, male 1319.8
GTEX-132NY-1726-SM-5EGKK 60-69 years, male 1318.2
GTEX-13FLV-0926-SM-5L3DZ 50-59 years, male 1316.7
GTEX-YEC4-0326-SM-4W216 40-49 years, male 1313.8
GTEX-1HSMQ-0226-SM-C1YQL 50-59 years, male 1312.2
GTEX-1MJIX-0326-SM-EVR42 40-49 years, male 1311.9
GTEX-WYJK-1026-SM-3NM8W 50-59 years, male 1310.5
GTEX-14BIN-2226-SM-5YYA1 50-59 years, female 1309.3
GTEX-YJ8O-0926-SM-EAZ2Z 40-49 years, female 1300.7
GTEX-117YW-0326-SM-5N9CY 50-59 years, male 1295.9
GTEX-146FH-1026-SM-5RQIF 50-59 years, female 1293.7
GTEX-11TUW-1026-SM-5GU7D 60-69 years, male 1292.0
GTEX-1IDJF-0726-SM-CJI1U 20-29 years, male 1287.1
GTEX-1EMGI-1226-SM-793DD 60-69 years, male 1285.8
GTEX-131XG-0626-SM-5GCMP 50-59 years, female 1285.1
GTEX-1B996-1126-SM-73KWN 60-69 years, male 1284.9
GTEX-13QBU-0426-SM-5J2O4 40-49 years, female 1281.2
GTEX-ZGAY-0326-SM-57WF5 40-49 years, female 1276.8
GTEX-17F9E-0926-SM-7IGMG 50-59 years, male 1273.4
GTEX-OIZI-0926-SM-E6CHF 40-49 years, male 1273.4
GTEX-PLZ5-0626-SM-2I5F8 50-59 years, male 1273.2
GTEX-1QP29-1526-SM-EXUSY 50-59 years, male 1271.7
GTEX-UPK5-0326-SM-CYPR4 40-49 years, male 1271.7
GTEX-Y5V5-0626-SM-4VBPX 60-69 years, female 1271.2
GTEX-12WSK-0626-SM-5LZUJ 40-49 years, female 1268.1
GTEX-ZYT6-1726-SM-5E44P 30-39 years, male 1268.1
GTEX-1QCLZ-0926-SM-E6CQZ 60-69 years, female 1268.0
GTEX-1I1HK-0726-SM-B2LY4 60-69 years, male 1265.8
GTEX-WZTO-1326-SM-3NM8X 40-49 years, male 1265.7
GTEX-1CB4J-0326-SM-7PBZO 60-69 years, male 1265.2
GTEX-12WSD-1126-SM-5EGJD 60-69 years, female 1264.5
GTEX-1IDJH-1026-SM-E9TKH 70-79 years, male 1263.9
GTEX-1211K-0626-SM-5FQUZ 60-69 years, female 1263.5
GTEX-18465-0926-SM-731AY 50-59 years, male 1261.7
GTEX-11GSP-1326-SM-5A5KY 60-69 years, female 1256.6
GTEX-14PHY-0226-SM-5ZZWM 60-69 years, female 1256.6
GTEX-U4B1-0326-SM-3DB8K 40-49 years, male 1254.3
GTEX-1J8Q2-1226-SM-A9G2W 60-69 years, male 1252.7
GTEX-12WSN-5001-SM-7DHMK 40-49 years, male 1252.0
GTEX-1IKJJ-0826-SM-A96SP 60-69 years, male 1251.5
GTEX-Y114-0226-SM-4TT8W 50-59 years, female 1251.0
GTEX-1CB4I-1626-SM-7RHGV 50-59 years, male 1248.7
GTEX-14PJM-1126-SM-6LLHK 50-59 years, female 1246.9
GTEX-U8XE-1126-SM-3DB8W 30-39 years, male 1245.6
GTEX-R55G-0526-SM-2TC5O 40-49 years, female 1244.8
GTEX-1CB4E-0526-SM-7MXTK 60-69 years, male 1244.4
GTEX-1B8L1-0526-SM-79ONX 60-69 years, male 1242.7
GTEX-15RJE-0626-SM-7KUKR 40-49 years, male 1237.6
GTEX-1GF9V-1626-SM-7PBXL 60-69 years, male 1236.9
GTEX-1BAJH-1626-SM-73KUV 70-79 years, male 1235.8
GTEX-18A6Q-1626-SM-7KFTA 60-69 years, male 1235.5
GTEX-O5YW-0326-SM-2I5EI 50-59 years, male 1235.0
GTEX-12696-1126-SM-5FQTI 60-69 years, male 1233.8
GTEX-1O97I-0826-SM-E8VNE 60-69 years, male 1232.8
GTEX-14H4A-0626-SM-5ZZUT 40-49 years, female 1232.1
GTEX-OOBJ-0326-SM-33HBO 60-69 years, male 1220.2
GTEX-13OW6-1126-SM-5L3HL 50-59 years, male 1219.5
GTEX-1MCC2-0326-SM-EV7AK 30-39 years, female 1218.4
GTEX-QEG4-0426-SM-33HC3 30-39 years, male 1216.9
GTEX-1ICG6-0626-SM-ACKWS 70-79 years, female 1212.2
GTEX-WEY5-0426-SM-3GIKT 40-49 years, female 1210.4
GTEX-1QPFJ-1026-SM-E6CR6 30-39 years, female 1210.2
GTEX-1KD5A-1026-SM-CY8I8 50-59 years, male 1209.5
GTEX-1LSNM-0526-SM-DIPG6 50-59 years, male 1209.4
GTEX-X8HC-1626-SM-46MWE 50-59 years, female 1208.3
GTEX-1H1CY-0326-SM-9QEIZ 60-69 years, female 1203.4
GTEX-13U4I-0826-SM-5SIBD 40-49 years, female 1200.5
GTEX-16BQI-0926-SM-6M485 30-39 years, female 1198.1
GTEX-1I1GQ-1426-SM-B2LWY 50-59 years, male 1197.1
GTEX-11ZUS-0226-SM-5FQT8 30-39 years, male 1194.2
GTEX-V955-0726-SM-3GAFG 60-69 years, male 1192.0
GTEX-XQ8I-0126-SM-4BOPL 50-59 years, male 1191.9
GTEX-QDVJ-0426-SM-2I5FW 50-59 years, male 1191.2
GTEX-1B932-1026-SM-793CL 40-49 years, female 1187.4
GTEX-WRHU-1226-SM-4E3IJ 50-59 years, female 1185.3
GTEX-1GN1V-0826-SM-9KNU6 60-69 years, male 1182.8
GTEX-1HSGN-1126-SM-CJI4G 40-49 years, female 1181.9
GTEX-147JS-1526-SM-5ZZWF 60-69 years, male 1179.1
GTEX-OXRL-0326-SM-2I3F2 50-59 years, male 1177.3
GTEX-WWYW-1326-SM-3NB2S 50-59 years, female 1175.5
GTEX-14PJ6-0726-SM-69LOL 60-69 years, female 1175.2
GTEX-REY6-1026-SM-2TF4Y 60-69 years, male 1170.5
GTEX-ZDTT-0726-SM-4WKFK 60-69 years, male 1170.4
GTEX-13FTZ-0226-SM-5K7X6 60-69 years, male 1169.7
GTEX-PVOW-0426-SM-5MR5R 40-49 years, male 1168.7
GTEX-RWSA-0626-SM-2XCBD 40-49 years, male 1168.0
GTEX-111YS-0426-SM-5987O 60-69 years, male 1166.0
GTEX-1CB4G-0826-SM-7DUGF 60-69 years, male 1164.4
GTEX-1IDJI-1026-SM-A96TE 50-59 years, female 1163.5
GTEX-12WSC-1126-SM-5EQ4G 50-59 years, male 1161.4
GTEX-13FH7-0926-SM-5J2MR 50-59 years, female 1155.0
GTEX-1122O-0826-SM-5GICV 60-69 years, female 1154.8
GTEX-15ER7-1726-SM-6PAMX 20-29 years, female 1150.4
GTEX-PSDG-0926-SM-2I5FP 50-59 years, male 1149.8
GTEX-P44H-0726-SM-48TBT 40-49 years, male 1146.1
GTEX-QVJO-1926-SM-2S1QZ 60-69 years, female 1144.6
GTEX-YF7O-0426-SM-5P9FS 50-59 years, male 1142.9
GTEX-16YQH-0926-SM-793BC 30-39 years, male 1142.3
GTEX-1IDJE-0326-SM-CM2TD 50-59 years, female 1137.9
GTEX-ZG7Y-0926-SM-5EQ6O 50-59 years, male 1137.1
GTEX-1J8EW-0926-SM-A9G33 60-69 years, female 1136.7
GTEX-ZQUD-1526-SM-7IGO2 30-39 years, male 1130.2
GTEX-1LG7Y-1226-SM-CXZKD 50-59 years, male 1127.0
GTEX-1212Z-0626-SM-5FQTB 60-69 years, male 1126.0
GTEX-1EKGG-1126-SM-7MGXB 60-69 years, male 1126.0
GTEX-QEL4-0926-SM-3GAD1 50-59 years, male 1125.9
GTEX-14PHX-2126-SM-6EU2U 50-59 years, male 1125.6
GTEX-1F75I-1126-SM-9WYUO 40-49 years, male 1121.1
GTEX-OIZF-0326-SM-3MJGY 60-69 years, male 1118.2
GTEX-17HHY-1426-SM-7EWDQ 50-59 years, male 1115.0
GTEX-1GN2E-1326-SM-9KNVG 60-69 years, male 1112.8
GTEX-1KXAM-1326-SM-E9TJW 60-69 years, male 1112.3
GTEX-1R9K5-1326-SM-E6CPR 50-59 years, male 1111.9
GTEX-15RIE-1726-SM-7KUMU 60-69 years, male 1110.6
GTEX-1GF9U-0426-SM-7RHHA 40-49 years, female 1109.9
GTEX-1J8QM-0426-SM-AHZ3X 60-69 years, female 1108.6
GTEX-1399R-1926-SM-5K7X8 30-39 years, male 1106.2
GTEX-ZF2S-1026-SM-9QEGK 50-59 years, female 1104.8
GTEX-OIZG-1126-SM-2HMIU 50-59 years, male 1104.2
GTEX-1IKOE-1026-SM-ARZMF 30-39 years, female 1102.5
GTEX-13PVR-1026-SM-5QGQW 60-69 years, female 1101.8
GTEX-1B97J-0726-SM-7RHG3 50-59 years, female 1100.6
GTEX-P4PQ-0326-SM-2HMJ8 60-69 years, male 1096.0
GTEX-1GN73-2426-SM-7RHFQ 60-69 years, male 1094.7
GTEX-OIZH-0326-SM-2HMKC 50-59 years, male 1094.6
GTEX-11GS4-0526-SM-5A5KQ 60-69 years, male 1094.0
GTEX-14PN3-0526-SM-69LQF 60-69 years, female 1089.6
GTEX-U3ZH-0326-SM-3DB7A 30-39 years, male 1086.7
GTEX-XPVG-0826-SM-4B654 50-59 years, male 1086.7
GTEX-1IL2U-1326-SM-A9G2O 60-69 years, male 1085.9
GTEX-14PK6-0826-SM-5ZZVO 70-79 years, female 1084.3
GTEX-YEC3-0726-SM-CMKFH 50-59 years, male 1084.1
GTEX-11I78-0826-SM-5A5K4 50-59 years, female 1082.2
GTEX-1A3MX-1326-SM-72D58 60-69 years, male 1079.7
GTEX-1AX9K-0526-SM-73KV1 50-59 years, male 1078.5
GTEX-16XZY-0426-SM-793BI 70-79 years, male 1073.7
GTEX-13OVG-0526-SM-5K7YD 60-69 years, male 1073.0
GTEX-WQUQ-1426-SM-3MJFD 60-69 years, male 1070.6
GTEX-1GMR2-1426-SM-7RHHK 50-59 years, male 1068.5
GTEX-P4PP-0326-SM-33HC4 30-39 years, female 1066.9
GTEX-1399S-1026-SM-5KLZ9 30-39 years, female 1064.0
GTEX-15CHC-0426-SM-6LLHI 60-69 years, female 1064.0
GTEX-1RB15-0326-SM-E6CQB 60-69 years, male 1054.1
GTEX-QDVN-0326-SM-2I3FS 50-59 years, male 1053.9
GTEX-V1D1-0526-SM-4JBGW 50-59 years, male 1052.5
GTEX-XXEK-0926-SM-4BRWH 50-59 years, male 1045.3
GTEX-11DXZ-0626-SM-5GU77 50-59 years, male 1041.0
GTEX-1MUQO-1226-SM-E9TJK 60-69 years, male 1040.9
GTEX-S32W-0626-SM-2XCBG 50-59 years, female 1039.6
GTEX-132QS-0426-SM-5KLZ6 60-69 years, male 1039.3
GTEX-1H11D-1226-SM-9WPQ2 40-49 years, male 1038.7
GTEX-Y5V6-0826-SM-4VBRU 60-69 years, male 1033.8
GTEX-XPT6-0126-SM-4B65S 20-29 years, male 1032.9
GTEX-R53T-0926-SM-3GADH 50-59 years, female 1031.5
GTEX-T6MN-0926-SM-32PLX 50-59 years, male 1031.4
GTEX-1OFPY-1026-SM-EXUSO 60-69 years, male 1023.3
GTEX-1C2JI-0526-SM-7EWEQ 50-59 years, male 1021.1
GTEX-11LCK-0926-SM-5A5KA 30-39 years, male 1020.3
GTEX-1JK1U-0526-SM-CYPSQ 60-69 years, male 1016.3
GTEX-1AX8Z-5007-SM-AHZ36 60-69 years, male 1015.0
GTEX-ZPCL-0426-SM-DNZZ4 60-69 years, female 1014.8
GTEX-ZAB5-0226-SM-5CVMH 50-59 years, male 1011.2
GTEX-117YX-1126-SM-5H128 50-59 years, male 1009.7
GTEX-13S86-0226-SM-5S2PJ 40-49 years, male 1002.5
GTEX-OHPM-0326-SM-33HCA 50-59 years, male 1002.5
GTEX-UJHI-0426-SM-3DB8Y 50-59 years, female 999.5
GTEX-Y8E4-0326-SM-4VBRR 40-49 years, male 997.4
GTEX-1S3DN-0726-SM-E9TIO 50-59 years, male 997.2
GTEX-RUSQ-0526-SM-2TF72 50-59 years, male 990.6
GTEX-RWS6-0326-SM-2XCAP 60-69 years, female 985.0
GTEX-1AX9J-1026-SM-72D6E 60-69 years, male 984.8
GTEX-XBED-0526-SM-47JY3 60-69 years, male 981.9
GTEX-ZEX8-0426-SM-DO92Y 50-59 years, male 981.3
GTEX-XGQ4-0326-SM-4GIEE 50-59 years, male 980.6
GTEX-13O61-0526-SM-5J2M1 60-69 years, male 979.3
GTEX-QV44-0526-SM-2S1RE 50-59 years, male 977.4
GTEX-X3Y1-0426-SM-3P5Z4 40-49 years, male 974.4
GTEX-RU72-0326-SM-2TF5T 50-59 years, female 973.0
GTEX-1J8Q3-1226-SM-CKZPT 60-69 years, male 971.9
GTEX-13D11-1726-SM-5IFGQ 50-59 years, female 970.0
GTEX-17HGU-1026-SM-79OKL 50-59 years, male 968.9
GTEX-146FR-0626-SM-5RQJ1 60-69 years, female 967.2
GTEX-1HCUA-0526-SM-A9SMH 50-59 years, female 964.2
GTEX-1CAMS-1326-SM-79OJR 40-49 years, female 962.6
GTEX-RN64-0826-SM-2TC62 50-59 years, male 961.8
GTEX-1339X-0426-SM-5KLZY 40-49 years, male 950.8
GTEX-ZZPU-0926-SM-5GZYT 50-59 years, female 943.0
GTEX-OHPK-0326-SM-2HMJO 50-59 years, female 942.2
GTEX-ZYFG-0426-SM-5E43M 60-69 years, female 941.8
GTEX-OXRK-0826-SM-2HMK7 50-59 years, female 938.4
GTEX-O5YT-0326-SM-32PKA 20-29 years, male 933.2
GTEX-13FTW-1026-SM-5L3E3 40-49 years, male 931.2
GTEX-11DXX-0326-SM-5PNWC 60-69 years, female 928.8
GTEX-OHPL-0326-SM-33HC8 60-69 years, female 925.1
GTEX-ZF29-0226-SM-4WKHO 60-69 years, female 923.9
GTEX-1LGRB-1126-SM-CNPP2 50-59 years, female 921.8
GTEX-1LVAN-1726-SM-CNNR1 50-59 years, female 919.5
GTEX-1RMOY-0626-SM-E9TIE 50-59 years, male 916.1
GTEX-WFG7-0726-SM-3GIKO 20-29 years, male 913.2
GTEX-QESD-0526-SM-2I5G5 20-29 years, male 912.6
GTEX-13O21-2326-SM-5MR3X 50-59 years, male 910.4
GTEX-R55C-0326-SM-3GAF1 40-49 years, male 910.2
GTEX-SNMC-0126-SM-2XCFO 20-29 years, male 908.1
GTEX-1KANC-0426-SM-CXZK5 50-59 years, female 905.7
GTEX-1GMRU-1526-SM-9WYT5 50-59 years, male 904.1
GTEX-WFON-0326-SM-3GIKX 40-49 years, male 898.4
GTEX-ZVZP-0226-SM-5NQ73 50-59 years, male 897.2
GTEX-WHPG-0826-SM-3NMBF 50-59 years, male 895.6
GTEX-18D9U-1126-SM-72D5Y 40-49 years, male 886.9
GTEX-14E1K-1026-SM-73KUR 50-59 years, male 878.6
GTEX-ZDYS-0226-SM-5HL4K 50-59 years, male 876.6
GTEX-SE5C-0626-SM-2XCDV 40-49 years, female 876.5
GTEX-14PJ4-1126-SM-5YY91 60-69 years, male 875.7
GTEX-1HFI7-0826-SM-A9G23 50-59 years, female 867.7
GTEX-12BJ1-0226-SM-5LUA2 60-69 years, male 867.2
GTEX-18A67-1226-SM-7KFRS 50-59 years, male 865.3
GTEX-POMQ-0326-SM-2I5FO 20-29 years, female 850.1
GTEX-1B8KE-0126-SM-793AM 50-59 years, male 849.3
GTEX-139YR-0826-SM-5LZXY 50-59 years, male 845.8
GTEX-ZPU1-0626-SM-4YCDM 40-49 years, male 829.5
GTEX-15RJ7-0226-SM-7KUMN 40-49 years, male 829.2
GTEX-ZLFU-0226-SM-4WWFH 40-49 years, male 827.9
GTEX-WHWD-0426-SM-3LK83 50-59 years, male 822.2
GTEX-1AYCT-0426-SM-73KVZ 50-59 years, male 810.5
GTEX-Q2AH-0526-SM-2I3ED 40-49 years, male 804.9
GTEX-1L5NE-0426-SM-E9TIX 50-59 years, male 804.9
GTEX-1399U-0526-SM-5K7YM 50-59 years, female 801.4
GTEX-ZV7C-0326-SM-57WB1 50-59 years, male 789.3
GTEX-17KNJ-0826-SM-793A4 50-59 years, male 788.5
GTEX-1GL5R-0326-SM-9WYTJ 50-59 years, male 780.6
GTEX-QLQ7-0526-SM-2I5G3 60-69 years, male 777.7
GTEX-QMRM-0526-SM-2I5GA 50-59 years, male 767.5
GTEX-UJMC-0526-SM-3GAE3 50-59 years, male 759.5
GTEX-131XF-5001-SM-7DHLY 60-69 years, male 757.4
GTEX-NFK9-0926-SM-2HMJU 40-49 years, male 751.6
GTEX-ZVT2-1026-SM-5GU55 50-59 years, female 738.6
GTEX-PX3G-0326-SM-2I3EO 20-29 years, female 737.3
GTEX-15CHR-0226-SM-7PC2Z 50-59 years, male 681.8
Show allShow less

HEART MUSCLE - FANTOM5 CAGEi

RNA expression in human tissues obtained through Cap Analysis of Gene Expression (CAGE) generated by the FANTOM5 project are reported as Scaled Tags Per Million.

Max subtype Scaled Tags Per Millioni

Max subtype Scaled Tags Per Million is the value for the subtype with the largest average Scaled Tags Per Million across the subtype samples.

46.5
FANTOM5 sample id Sample description Scaled Tags Per Million
Heart
Scaled Tags Per Million: 46.5
FF:10016-101C7 70,73,74 years, mixed 46.5
Left atrium
Scaled Tags Per Million: 41.3
FF:10079-102A7 40 years, male 41.3
Left ventricle
Scaled Tags Per Million: 46.5
FF:10078-102A6 73 years, female 46.5

Contact

  • NEWS ARTICLES
  • PRESS ROOM

The Project

  • INTRODUCTION
  • ORGANIZATION
  • PUBLICATIONS

The Human Protein Atlas

  • DOWNLOADABLE DATA
  • LICENCE & CITATION
  • HELP & FAQ
The Human Protein Atlas project is funded
by the Knut & Alice Wallenberg Foundation.


contact@proteinatlas.org