News Articles


The human adrenal gland proteome defined

adrenal_gland__1__example_1__overview.jpg

In a recent publication in Endocrinology, researchers from the Human Protein Atlas have performed a comprehensive analysis of the gene expression landscape of the adrenal glands to define genes with different degrees of "specific" expression compared to 31 other normal human organs and tissue types. The analysis showed that only 253 genes (approximately 1% of all putative protein coding genes) showed some level of adrenal gland specific expression pattern.

The adrenal gland is a composite endocrine organ with vital functions that include the synthesis and release of glucocorticoids and catecholamines...Read more


The secretome and membrane proteome

Multiple locations.jpg

Secreted and membrane-bound proteins are important for physiological processes and are potential drug targets as they are easily accessible in the extracellular space and provide a gateway to the intracellular environment. About 3,000 protein-coding genes are predicted members of the secretome; examples of secreted proteins are cytokines, coagulation factors, hormones, and growth factors. Important members of the membrane proteome, consisting of about 5,500 genes encoding predicted membrane-bound proteins, are ion channels of molecular transporters, enzymes, receptors, and anchors for other proteins.

A majority of the human genes encode several splice variants...Read more


The housekeeping proteome

RPL7.jpg

A large number of proteins are needed in all cells throughout the human body. These proteins are sometimes called housekeeping proteins, suggesting that their expression is crucial for the maintenance of basic functionality of all normally functioning cells.

A transcriptomics analysis shows that about 9,000 genes are expressed in all tissues and are therefore expected to fulfill these tasks, such as gene expression, metabolism, and cell structure.

As for gene expression, it is easily understood that every cell must have proteins that are involved in the genetic machinery of translating DNA to functional proteins, like RNA polymerases and ribosomal proteins...Read more


The urinary bladder proteome defined

journal.pone.0145301.g003.PNG

To understand the molecular functions of the urinary bladder, researchers including scientists from The Human Protein Atlas project have recently defined the expression of elevated genes in the bladder.

The main function of the urinary bladder is to store the urine made by the kidneys, allowing urination voluntarily. The urothelium also plays an important role in preventing rupture of urine storage and leakage of toxic urinary substances into the blood...Read more


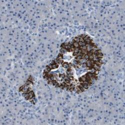
Potential new tool for measuring beta cell mass

ihc_selected.jpg

In a recent study, scientists including members of The Human Protein Atlas project have identified the beta cell specific protein GPR44 as a potentially novel tool for measuring beta cell mass in vivo, using radiolabeled PET ligands targeting GPR44.

The pancreatic beta cell is responsible for producing insulin and beta cell loss is one of the causes underlying diabetes. Blood biomarkers to measure beta cell function exist, but there is a lack of good tools for measuring the beta cell mass inside the body.

In this study, the ligand targeting GPR44 was compared to a ligand targeting the established beta cell marker VMAT2, and the performance was evaluated...Read more