We use cookies to enhance the usability of our website. If you continue, we'll assume that you are happy to receive all cookies. More information. Don't show this again.
LYZ
HPA
RESOURCES
  • TISSUE
  • BRAIN
  • SINGLE CELL
  • SUBCELLULAR
  • CANCER
  • BLOOD
  • CELL LINE
  • STRUCTURE & INTERACTION
ABOUT
  • INTRODUCTION
  • HISTORY
  • ORGANIZATION
  • PUBLICATIONS
  • ANTIBODY SUBMISSION
  • ANTIBODY AVAILABILITY
  • ACKNOWLEDGMENTS
  • CONTACT
NEWS
  • NEWS ARTICLES
  • PRESS ROOM
LEARN
  • DICTIONARY
  • PROTEIN CLASSES
  • PROTEIN EVIDENCE
  • METHODS
  • EDUCATIONAL VIDEOS
DATA
  • DOWNLOADABLE DATA
  • PUBLICATION DATA
  • RELEASE HISTORY
HELP
  • ANTIBODY VALIDATION
  • ASSAYS & ANNOTATION
  • DISCLAIMER
  • HELP & FAQ
  • PRIVACY STATEMENT
  • LICENCE & CITATION
Fields »
Search result

Field
Term
Gene name
Class
Subclass
Class
Keyword
Chromosome
External id
Tissue
Cell type
Expression
Antibody panel
Tissue
Main location
Patient ID
Annotation
Tissue
Category
Tau score
Cluster
Reliability
Brain region
Category
Tau score
Brain region
Category
Tau score
Brain region
Category
Tau score
Cluster
Reliability
Tissue
Cell type
Enrichment
Cell type
Category
Tau score
Cell type
Category
Tau score
Cell type
Category
Tau score
Cell lineage
Category
Tau score
Cluster
Cluster
Location
Searches
Location
Cell line
Class
Type
Phase
Reliability
Cancer
Prognosis
Cancer
Category
Cancer
Category
Tau score
Cluster
Variants
Interacting gene (ensg_id)
Type
Number of interactions
Pathway
Category
Score
Score
Score
Validation
Validation
Validation
Validation
Antibodies
Data type
Column


  • SUMMARY

  • TISSUE

  • BRAIN

  • SINGLE CELL

  • SUBCELL

  • CANCER

  • BLOOD

  • CELL LINE

  • STRUCT & INT

  • LYZ
TISSUE PRIMARY DATA ESOPHAGUS Show tissue menu
ADIPOSE TISSUE ADRENAL GLAND AMYGDALA APPENDIX BASAL GANGLIA BONE MARROW BREAST BRONCHUS CEREBELLUM CEREBRAL CORTEX CERVIX CHOROID PLEXUS COLON DUODENUM
ENDOMETRIUM EPIDIDYMIS ESOPHAGUS FALLOPIAN TUBE GALLBLADDER HEART MUSCLE HIPPOCAMPAL FORMATION HYPOTHALAMUS KIDNEY LIVER LUNG LYMPH NODE MIDBRAIN NASOPHARYNX
ORAL MUCOSA OVARY PANCREAS PARATHYROID GLAND PITUITARY GLAND PLACENTA PROSTATE RECTUM RETINA SALIVARY GLAND SEMINAL VESICLE SKELETAL MUSCLE SKIN SMALL INTESTINE
SMOOTH MUSCLE SOFT TISSUE SPINAL CORD SPLEEN STOMACH TESTIS THYMUS THYROID GLAND TONGUE TONSIL URINARY BLADDER VAGINA
ANTIBODIES
AND
VALIDATION
Dictionary
Esophagus
Tissue proteome
Esophagus
ESOPHAGUS - Expression summary
Protein expression
Esophagusi

On the top, protein expression in current human tissue, based on all annotated cell types, is reported with the units not detected (n), low (l), medium (m) and high (h). Underneath, protein expression in each annotated cell type are reported using the same units.

Protein expression data is based on knowledge-based annotation. For genes where more than one antibody has been used, a collective score is set.

If knowledge-based annotation could not be performed for a gene, no data is displayed here. View antibody staining data further down this page.

h
m
l
n
Squamous epithelial cells: Not detected
RNA expressioni

A summary of mRNA expression data available for current tissue based on several datasets. The mRNA expression levels in human tissues are based on RNA-seq data generated by the Human Protein Atlas (HPA), Genotype-Tissue Expression (GTEx) portal and CAGE data generated by the FANTOM5 consortium. Consensus normalized expression levels for human tissues was created by combining the data from HPA and GTEx datasets.

The mRNA expression levels in pig are based on RNA-seq data generated by the Human Protein Atlas (HPA), and for mouse, HPA data and in situ hybridization generated by the Allen brain atlas are reported.

Scroll down to view mRNA expression data in more detail.
Consensus:102.7 nTPM
HPA:102.7 nTPM
GTEx:32.4 nTPM
FANTOM5:46.7 Scaled Tags Per Million

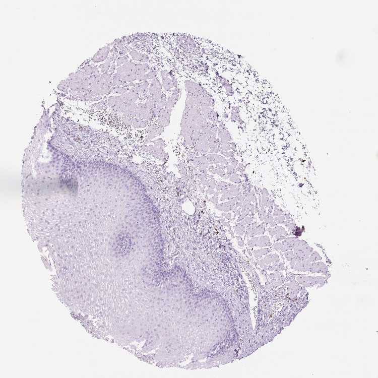
ESOPHAGUS - Antibody stainingi

Antibody staining in the annotated cell types in the current human tissue is reported as not detected, low, medium, or high, based on conventional immunohistochemistry profiling in selected tissues. This score is based on the combination of the staining intensity and fraction of stained cells.

Each image is clickable and will lead to virtual microscopy that enables deeper exploration of all samples and also displays staining intensity scores, fraction scores and subcellular localization as well as patient and tissue information for each sample.

Antibody HPA048284Antibody CAB000055
Squamous epithelial cells Not detectedNot detected





ESOPHAGUS - HPA RNA-seqi

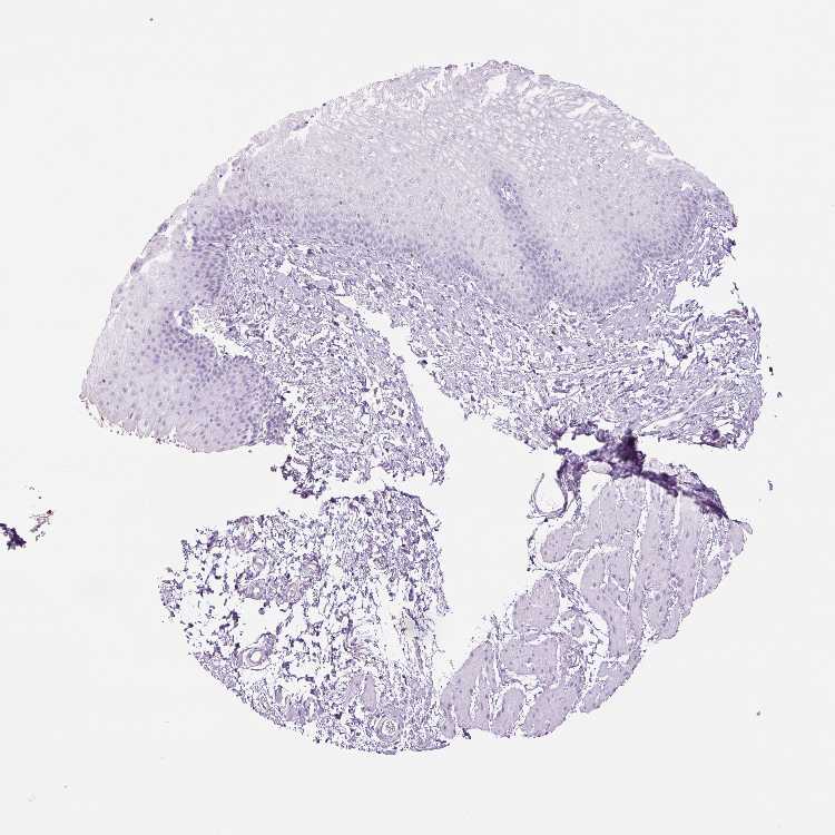
The RNA-seq details section shows detailed information about the individual samples used for the transcript profiling and results of the RNA-seq analysis.

Information about each individual sample is listed below, including gender, age, a tissue section image and estimated fractions of cell types. nTPM (normalized transcripts per million) values give a quantification of the gene abundance which is comparable between different genes and samples.
Average nTPMi

Max subtype nTPM is the value for the subtype with the largest average nTPM across the subtype samples.

102.7
overview
Female, age 70
Esophagus sample 130
nTPM: 195.9
Cell types%
Squamous epithelial cells:
35

Smooth muscle cells:
15

Skeletal muscle cells:
5

Other cell types:
45

overview
Male, age 38
Esophagus sample 131
nTPM: 87.7
Cell types%
Squamous epithelial cells:
60

Smooth muscle cells:
20

Other cell types:
20

overview
Male, age 76
Esophagus sample 132
nTPM: 24.6
Cell types%
Squamous epithelial cells:
45

Smooth muscle cells:
15

Other cell types:
40


ESOPHAGUS - GTEx RNA-seqi

RNA-Seq data generated by the Genotype-Tissue Expression (GTEx) project from human tissues is reported as mean nTPM. More information can be found on the GTEx portal.

Distribution across the dataset is visualized with box plots, shown as median and 25th and 75th percentiles. Points are displayed as outliers if they are above or below 1.5 times the interquartile range. nTPM values of the individual samples are presented next to the box plot.
Max subtype nTPMi

Max subtype nTPM is the value for the subtype with the largest average nTPM across the subtype samples.

32.4
GTEx sample id Sample description nTPM
Esophagus - Mucosa
Average nTPM: 32.4
Samples: 555

Max nTPM: 1153.2
Min nTPM: 0.3
Std nTPM: 71.8
Median nTPM: 14.0
GTEX-13O61-0926-SM-5IFFE 60-69 years, male 1153.2
GTEX-12WSG-5007-SM-7DUGZ 50-59 years, female 668.0
GTEX-P4QT-0626-SM-3NMCP 50-59 years, female 556.8
GTEX-1JMPZ-2026-SM-C1YR8 30-39 years, male 292.6
GTEX-11DYG-1326-SM-5N9DO 60-69 years, male 284.7
GTEX-ZQUD-0426-SM-57WFR 30-39 years, male 276.6
GTEX-14PJ6-1026-SM-686ZB 60-69 years, female 246.9
GTEX-1RAZS-2626-SM-EV79C 50-59 years, male 234.5
GTEX-12WSN-5013-SM-7P8P9 40-49 years, male 208.8
GTEX-UJMC-0926-SM-4IHLK 50-59 years, male 205.5
GTEX-ZPCL-1426-SM-57WEC 60-69 years, female 203.2
GTEX-144GO-2726-SM-5O9A2 60-69 years, male 189.6
GTEX-SNOS-0626-SM-4DM5F 40-49 years, male 171.5
GTEX-13G51-0926-SM-5IFFU 60-69 years, male 169.3
GTEX-16NGA-1426-SM-718AC 40-49 years, female 168.7
GTEX-WHWD-0926-SM-4OORY 50-59 years, male 159.6
GTEX-17KNJ-1326-SM-7KFTG 50-59 years, male 150.9
GTEX-ZF2S-1226-SM-4WWAX 50-59 years, female 150.6
GTEX-15RJ7-0926-SM-6LPJO 40-49 years, male 145.1
GTEX-ZT9X-0526-SM-5GCOP 40-49 years, male 142.2
GTEX-TML8-1526-SM-4DXUX 40-49 years, female 136.3
GTEX-1I1GV-2226-SM-ARU7E 60-69 years, male 133.8
GTEX-WH7G-0926-SM-4LVMJ 40-49 years, male 133.0
GTEX-QLQW-0526-SM-4R1KS 30-39 years, male 131.3
GTEX-15DCE-1326-SM-6LPJL 20-29 years, male 129.4
GTEX-QEL4-1426-SM-447AC 50-59 years, male 126.4
GTEX-15UF6-2326-SM-6M465 70-79 years, female 119.2
GTEX-17F98-1726-SM-7938O 40-49 years, female 117.5
GTEX-1RAZR-1226-SM-E6CRD 40-49 years, male 117.3
GTEX-147F3-0826-SM-5NQA7 50-59 years, female 112.7
GTEX-XYKS-1526-SM-4BRUP 60-69 years, female 112.2
GTEX-16MTA-0826-SM-6LLIC 50-59 years, male 110.2
GTEX-1LBAC-1226-SM-DHXK1 20-29 years, male 108.0
GTEX-1QP9N-0926-SM-E9U5S 30-39 years, male 105.1
GTEX-TMMY-1126-SM-4DXSX 40-49 years, female 104.5
GTEX-1QP67-0726-SM-DPRY1 40-49 years, female 99.8
GTEX-13QJ3-1726-SM-5RQK9 50-59 years, male 96.6
GTEX-ZYVF-2226-SM-5GIDD 50-59 years, female 95.9
GTEX-13OW8-2326-SM-5L3I9 60-69 years, male 94.7
GTEX-R53T-1126-SM-48FD4 50-59 years, female 91.4
GTEX-1QW4Y-0526-SM-EAZ3V 30-39 years, male 87.6
GTEX-15EOM-5013-SM-7MKF9 20-29 years, female 87.3
GTEX-18A66-1426-SM-7KFRT 60-69 years, male 87.3
GTEX-1HSGN-1626-SM-A96U2 40-49 years, female 84.8
GTEX-139UW-1126-SM-5IJEJ 60-69 years, male 84.4
GTEX-ZLFU-1126-SM-DO11K 40-49 years, male 83.8
GTEX-ZYFC-1626-SM-5N9EU 50-59 years, male 82.4
GTEX-1AX8Z-5016-SM-AHZ2B 60-69 years, male 82.0
GTEX-X3Y1-1326-SM-4PQZB 40-49 years, male 81.5
GTEX-13111-0826-SM-5LZV3 50-59 years, male 80.9
GTEX-1LGRB-1626-SM-CNNR7 50-59 years, female 80.9
GTEX-145MF-1426-SM-5O9B6 50-59 years, male 80.6
GTEX-1HCU8-2226-SM-9WPOV 60-69 years, female 78.6
GTEX-RM2N-0726-SM-48FD5 50-59 years, male 76.8
GTEX-1N2DV-2026-SM-EV7BL 40-49 years, male 72.8
GTEX-1HBPI-0626-SM-9WPP4 50-59 years, male 71.5
GTEX-1I6K7-1426-SM-B2LXP 40-49 years, male 70.6
GTEX-Y8E4-1726-SM-5LU9G 40-49 years, male 69.3
GTEX-ZF29-1326-SM-DNZYV 60-69 years, female 68.8
GTEX-XMK1-1326-SM-4B65Q 40-49 years, male 67.9
GTEX-14PJM-1526-SM-664NY 50-59 years, female 67.6
GTEX-ZAB5-0926-SM-5CVMV 50-59 years, male 67.4
GTEX-RUSQ-0826-SM-47JWW 50-59 years, male 65.1
GTEX-ZTX8-0226-SM-5E44D 20-29 years, male 63.5
GTEX-1211K-0926-SM-5FQTL 60-69 years, female 63.2
GTEX-14PK6-1326-SM-686ZE 70-79 years, female 61.3
GTEX-1PFEY-0826-SM-E9U6A 30-39 years, male 60.5
GTEX-RU1J-0326-SM-46MUM 20-29 years, female 59.4
GTEX-14BMU-0926-SM-5S2QB 20-29 years, female 58.9
GTEX-ZXES-1126-SM-5GZXN 30-39 years, female 58.7
GTEX-1JMLX-2326-SM-CXZJP 50-59 years, male 57.1
GTEX-ZEX8-1426-SM-4WKHQ 50-59 years, male 56.3
GTEX-R55D-1126-SM-48FEB 50-59 years, male 55.9
GTEX-13OVI-2626-SM-5KM4T 60-69 years, female 55.1
GTEX-15EU6-1626-SM-6LPKF 50-59 years, male 54.1
GTEX-1OJC3-0826-SM-DPRYU 20-29 years, male 53.9
GTEX-1QCLY-1526-SM-DPRXX 30-39 years, male 52.2
GTEX-15DCD-1626-SM-6AJBH 70-79 years, female 51.9
GTEX-17HGU-1426-SM-7938G 50-59 years, male 51.9
GTEX-146FQ-1026-SM-5LU8I 30-39 years, male 51.8
GTEX-YB5K-0826-SM-5YYB7 40-49 years, female 51.2
GTEX-1R7EU-0826-SM-DPRZL 60-69 years, male 50.8
GTEX-1R9K5-1526-SM-DPRZA 50-59 years, male 50.8
GTEX-ZPU1-1426-SM-4WWFU 40-49 years, male 50.1
GTEX-S7SF-0926-SM-4AD4M 20-29 years, female 49.5
GTEX-1AMEY-0226-SM-7189Q 30-39 years, female 49.1
GTEX-1MCQQ-1026-SM-EV7AX 60-69 years, male 48.7
GTEX-YF7O-0926-SM-5IFIF 50-59 years, male 47.5
GTEX-1C475-0926-SM-7MKFI 40-49 years, female 47.2
GTEX-12WSL-1526-SM-5GCP8 50-59 years, male 46.4
GTEX-1LSNL-2226-SM-DHXKM 50-59 years, male 46.1
GTEX-P4QS-0626-SM-3NMD1 60-69 years, male 46.0
GTEX-11EM3-0826-SM-5N9CC 20-29 years, female 45.9
GTEX-12BJ1-1626-SM-5HL8Y 60-69 years, male 45.8
GTEX-1R9JW-1526-SM-DPRZK 30-39 years, female 45.8
GTEX-WFJO-0826-SM-4LVM5 30-39 years, male 45.5
GTEX-1GTWX-1326-SM-9JGHU 60-69 years, male 45.4
GTEX-QDVN-1026-SM-48TZA 50-59 years, male 44.7
GTEX-178AV-0526-SM-6LPJH 40-49 years, male 44.5
GTEX-T2IS-0826-SM-4DM6L 20-29 years, female 44.4
GTEX-13CF3-1626-SM-5IFG9 60-69 years, female 43.6
GTEX-13D11-1926-SM-5IFGB 50-59 years, female 43.5
GTEX-OOBK-0625-SM-3LK5P 40-49 years, male 42.7
GTEX-X15G-0826-SM-4PQZD 50-59 years, female 42.6
GTEX-11DXX-1126-SM-5GZZK 60-69 years, female 41.7
GTEX-S341-0526-SM-4AD5U 40-49 years, female 41.7
GTEX-XLM4-2326-SM-4AT5E 60-69 years, male 41.6
GTEX-WFG8-1226-SM-4V6EI 20-29 years, male 41.4
GTEX-17F9E-1926-SM-7IGQF 50-59 years, male 41.0
GTEX-1QCLZ-1626-SM-E9U5R 60-69 years, female 41.0
GTEX-16NPX-1626-SM-6LLI5 50-59 years, male 40.8
GTEX-16A39-1026-SM-6LPJU 30-39 years, female 40.3
GTEX-ZGAY-1126-SM-4WWBS 40-49 years, female 40.0
GTEX-WFON-0826-SM-4LVMI 40-49 years, male 39.8
GTEX-YECK-1626-SM-5IFHQ 60-69 years, male 39.3
GTEX-Y5V6-1026-SM-4VBS2 60-69 years, male 39.2
GTEX-1NUQO-1126-SM-DTX98 20-29 years, female 39.2
GTEX-133LE-0626-SM-5IFFJ 20-29 years, female 39.1
GTEX-OIZG-1026-SM-3LK5X 50-59 years, male 37.9
GTEX-1HSKV-2426-SM-A8N8K 60-69 years, male 37.7
GTEX-16XZY-0926-SM-7938M 70-79 years, male 37.2
GTEX-1H3VY-2026-SM-9JGHK 50-59 years, male 36.9
GTEX-14PKV-1726-SM-6871U 20-29 years, female 36.1
GTEX-14JG6-0926-SM-6871Y 30-39 years, female 35.4
GTEX-1AX9K-1126-SM-731DQ 50-59 years, male 34.7
GTEX-146FR-0426-SM-5SI97 60-69 years, female 34.6
GTEX-17MFQ-0526-SM-7KFTX 20-29 years, male 34.6
GTEX-183FY-1526-SM-7IGOW 20-29 years, male 34.6
GTEX-ZY6K-0626-SM-59HJL 50-59 years, male 34.0
GTEX-144GM-1426-SM-5LU31 20-29 years, male 33.7
GTEX-13JVG-2026-SM-5KM1N 60-69 years, male 33.4
GTEX-14E6E-0726-SM-5S2R3 30-39 years, male 33.3
GTEX-1LGOU-0526-SM-D3LAO 20-29 years, female 33.3
GTEX-UJHI-0826-SM-4IHLM 50-59 years, female 33.2
GTEX-RU72-0726-SM-46MUW 50-59 years, female 32.6
GTEX-ZE9C-1126-SM-4WWBD 60-69 years, male 32.4
GTEX-1LB8K-1326-SM-CXZKB 50-59 years, male 32.3
GTEX-1GN73-1926-SM-9JGGS 60-69 years, male 31.5
GTEX-QLQ7-0926-SM-447BC 60-69 years, male 31.3
GTEX-S4P3-0426-SM-4AD56 50-59 years, female 31.1
GTEX-13S86-0826-SM-5SI6J 40-49 years, male 30.7
GTEX-1HCUA-1426-SM-9WPP7 50-59 years, female 30.6
GTEX-13FTW-1626-SM-5KM4N 40-49 years, male 30.5
GTEX-1C2JI-1126-SM-731FH 50-59 years, male 30.5
GTEX-145ME-5004-SM-7MGXP 40-49 years, female 30.4
GTEX-11XUK-0826-SM-5GU6P 40-49 years, female 30.3
GTEX-144GN-0626-SM-5O9B2 50-59 years, male 30.2
GTEX-11NSD-1126-SM-5N9BQ 20-29 years, male 30.1
GTEX-1IY9M-1626-SM-AHZ39 60-69 years, male 30.0
GTEX-XGQ4-1526-SM-4AT6H 50-59 years, male 29.8
GTEX-XBED-1026-SM-48TCB 60-69 years, male 29.7
GTEX-1BAJH-2026-SM-7P8OZ 70-79 years, male 29.3
GTEX-XQ8I-1526-SM-4BOOH 50-59 years, male 28.9
GTEX-13NZB-1226-SM-5J2MW 30-39 years, male 28.8
GTEX-Y3I4-1226-SM-4TT8N 50-59 years, male 28.3
GTEX-145MN-1026-SM-5NQ9G 30-39 years, male 27.9
GTEX-1N2EE-2426-SM-EXOIO 60-69 years, male 27.4
GTEX-146FH-1726-SM-5QGQ2 50-59 years, female 27.3
GTEX-QDVJ-0726-SM-48U1W 50-59 years, male 27.2
GTEX-X585-1226-SM-46MW7 50-59 years, male 27.1
GTEX-WFG7-1126-SM-4LMK3 20-29 years, male 27.0
GTEX-1R9K4-1926-SM-DPRZW 60-69 years, male 26.9
GTEX-Z9EW-0526-SM-5HL8S 40-49 years, male 26.6
GTEX-1I1GP-1026-SM-C1YRZ 50-59 years, male 26.6
GTEX-14PJ4-1526-SM-664OA 60-69 years, male 26.5
GTEX-13X6I-1026-SM-5LU4C 60-69 years, male 25.8
GTEX-13OVG-0626-SM-5IFEP 60-69 years, male 25.7
GTEX-16MT8-1326-SM-6M47R 60-69 years, female 25.4
GTEX-1399U-1026-SM-5J1OC 50-59 years, female 25.2
GTEX-14BIN-2726-SM-5RQIE 50-59 years, female 25.1
GTEX-PSDG-1326-SM-48TD2 50-59 years, male 25.0
GTEX-1I4MK-0426-SM-B2LWQ 50-59 years, female 25.0
GTEX-131XF-0826-SM-5GICG 60-69 years, male 24.7
GTEX-17JCI-1226-SM-793D9 60-69 years, female 24.6
GTEX-ZA64-0626-SM-5HL9O 20-29 years, male 24.4
GTEX-139YR-1726-SM-5IFFK 50-59 years, male 24.2
GTEX-13NYB-0926-SM-5IFFA 40-49 years, male 24.1
GTEX-14B4R-0326-SM-5TDDP 30-39 years, male 24.1
GTEX-1IDJF-1226-SM-C1YPX 20-29 years, male 24.1
GTEX-U3ZN-1726-SM-4DXUQ 30-39 years, female 23.9
GTEX-18D9B-2026-SM-7LT96 60-69 years, male 23.8
GTEX-1LG7Z-0926-SM-CXKYK 30-39 years, male 23.6
GTEX-14PJ5-0526-SM-664OE 60-69 years, female 23.5
GTEX-QV44-1126-SM-CL55C 50-59 years, male 23.4
GTEX-13U4I-1126-SM-5LU3S 40-49 years, female 23.3
GTEX-Q2AH-0826-SM-48TZN 40-49 years, male 23.3
GTEX-T2YK-1326-SM-4DM6S 50-59 years, male 23.1
GTEX-13X6H-1326-SM-5LU42 50-59 years, female 22.9
GTEX-Q2AI-0626-SM-48TZU 40-49 years, male 22.9
GTEX-T6MO-0526-SM-4DM6R 40-49 years, female 22.8
GTEX-ZZ64-0226-SM-5E44X 20-29 years, male 22.7
GTEX-1JKYR-2126-SM-CNNPC 20-29 years, male 22.7
GTEX-W5WG-1626-SM-4LMKG 50-59 years, female 22.5
GTEX-1J8QM-1926-SM-AHZ3Z 60-69 years, female 22.5
GTEX-WHSB-0426-SM-4M1XI 50-59 years, male 22.4
GTEX-1KXAM-0826-SM-CXZK9 60-69 years, male 22.4
GTEX-131XE-1426-SM-5HL7V 50-59 years, male 22.3
GTEX-1GMR8-1826-SM-9WYUE 50-59 years, female 22.1
GTEX-XXEK-0326-SM-4BRVV 50-59 years, male 22.0
GTEX-1HSMQ-2026-SM-B2LY1 50-59 years, male 22.0
GTEX-11EQ9-0726-SM-5A5K2 30-39 years, male 21.8
GTEX-1RAZA-1326-SM-DPS12 20-29 years, male 21.8
GTEX-1GPI7-1026-SM-7MGY2 20-29 years, male 21.7
GTEX-111YS-0926-SM-5EGGI 60-69 years, male 21.6
GTEX-14PHY-0626-SM-664NN 60-69 years, female 21.6
GTEX-18A67-2426-SM-7LT95 50-59 years, male 21.4
GTEX-14ICK-2026-SM-6AJB2 40-49 years, male 21.1
GTEX-WHPG-1126-SM-4M1XT 50-59 years, male 21.1
GTEX-ZT9W-1326-SM-51MTB 50-59 years, male 21.0
GTEX-V955-1126-SM-4JBH3 60-69 years, male 20.7
GTEX-1MA7W-0426-SM-E9TJ5 20-29 years, female 20.6
GTEX-12ZZX-1326-SM-5DUWI 40-49 years, female 20.5
GTEX-1IKOE-1526-SM-C1YSD 30-39 years, female 20.4
GTEX-ZC5H-1326-SM-5HL7E 40-49 years, female 20.1
GTEX-U3ZH-1026-SM-4DXUZ 30-39 years, male 20.0
GTEX-WXYG-1226-SM-4ONCJ 50-59 years, female 20.0
GTEX-Y8LW-0726-SM-5IFI1 50-59 years, female 19.8
GTEX-14PJN-0526-SM-68724 30-39 years, male 19.7
GTEX-111CU-0726-SM-5GZYD 50-59 years, male 19.6
GTEX-1KANB-1826-SM-DHXJU 50-59 years, male 19.5
GTEX-QEG4-0726-SM-CNNRF 30-39 years, male 19.4
GTEX-S4Q7-0626-SM-4AD5M 20-29 years, male 19.3
GTEX-169BO-0526-SM-793AK 50-59 years, male 19.2
GTEX-1B8KZ-0726-SM-7938W 50-59 years, male 19.1
GTEX-YEC3-2526-SM-CXZIH 50-59 years, male 18.8
GTEX-1HCU7-2126-SM-A96SG 50-59 years, male 18.7
GTEX-OIZH-0626-SM-3NB1L 50-59 years, male 18.6
GTEX-OXRL-0626-SM-3NM9C 50-59 years, male 18.6
GTEX-11TT1-0526-SM-5P9JO 20-29 years, male 18.5
GTEX-OXRK-1326-SM-3NB1A 50-59 years, female 18.4
GTEX-14DAR-0826-SM-73KYJ 50-59 years, male 18.3
GTEX-Y3IK-1126-SM-51MSV 50-59 years, female 18.3
GTEX-1LVAM-1126-SM-DHXKP 50-59 years, female 18.3
GTEX-1CAMQ-2726-SM-7MKGD 40-49 years, male 18.2
GTEX-1MJIX-0826-SM-DTXEO 40-49 years, male 18.2
GTEX-Y114-0926-SM-4TT7J 50-59 years, female 18.0
GTEX-11P82-0526-SM-5986P 20-29 years, male 17.9
GTEX-1GL5R-1526-SM-7MKHO 50-59 years, male 17.9
GTEX-1QPFJ-1226-SM-EAZ3M 30-39 years, female 17.6
GTEX-13W3W-1626-SM-5LU35 60-69 years, female 17.4
GTEX-1B97J-1026-SM-7MXTE 50-59 years, female 17.4
GTEX-1PIGE-0926-SM-E9U5Z 20-29 years, male 17.4
GTEX-Q2AG-1326-SM-43V8K 40-49 years, female 17.3
GTEX-WOFM-0626-SM-4OOS3 20-29 years, male 17.0
GTEX-132QS-1426-SM-5P9GE 60-69 years, male 16.9
GTEX-13PVR-1826-SM-5Q5CC 60-69 years, female 16.8
GTEX-13OVK-1126-SM-6PAMR 40-49 years, male 16.7
GTEX-P78B-1026-SM-3NMC4 40-49 years, female 16.6
GTEX-T5JW-1326-SM-4DM5G 20-29 years, female 16.6
GTEX-11TUW-1326-SM-5EQKV 60-69 years, male 16.5
GTEX-YEC4-1026-SM-9WG7N 40-49 years, male 16.5
GTEX-1C6VQ-1826-SM-7EWEH 50-59 years, male 16.4
GTEX-15F5U-5010-SM-AHZ2D 40-49 years, male 16.4
GTEX-17EUY-1426-SM-7938X 20-29 years, male 16.3
GTEX-1J1R8-0326-SM-AHZ3D 40-49 years, male 16.3
GTEX-1S83E-0826-SM-EV7B7 40-49 years, male 16.3
GTEX-ZAB4-1126-SM-5HL86 40-49 years, male 16.2
GTEX-1CB4I-1026-SM-7MKFZ 50-59 years, male 16.1
GTEX-15RIE-0826-SM-6M47X 60-69 years, male 16.0
GTEX-13FH7-0526-SM-5IJF8 50-59 years, female 15.8
GTEX-13O21-0626-SM-5IJDI 50-59 years, male 15.7
GTEX-14BIM-1326-SM-7EWD1 60-69 years, female 15.7
GTEX-1K2DU-1726-SM-EV79S 20-29 years, male 15.4
GTEX-ZVE2-1326-SM-5NQ94 50-59 years, male 15.1
GTEX-XUZC-0426-SM-4BOPE 30-39 years, female 15.0
GTEX-VJYA-0726-SM-4KL1T 60-69 years, male 14.9
GTEX-1HCU6-1326-SM-A96TZ 60-69 years, female 14.8
GTEX-R55E-1326-SM-48FCR 20-29 years, male 14.7
GTEX-17HII-1526-SM-9OSVD 50-59 years, male 14.7
GTEX-1A8FM-1526-SM-7MXTA 50-59 years, female 14.6
GTEX-1QP29-2126-SM-E6CPZ 50-59 years, male 14.6
GTEX-11LCK-1726-SM-5S2OQ 30-39 years, male 14.5
GTEX-16BQI-1526-SM-6LLIE 30-39 years, female 14.5
GTEX-1F5PL-1726-SM-9QEGL 40-49 years, female 14.3
GTEX-18A7A-2326-SM-7KFRH 50-59 years, female 14.2
GTEX-11P7K-1326-SM-5BC5G 30-39 years, male 14.1
GTEX-1497J-2726-SM-5SI9W 60-69 years, male 14.1
GTEX-12KS4-0926-SM-5BC5S 30-39 years, male 14.0
GTEX-139T6-0626-SM-5IFF9 50-59 years, male 13.9
GTEX-11VI4-0526-SM-5EQ48 40-49 years, female 13.8
GTEX-ZVP2-1326-SM-57WCE 50-59 years, male 13.7
GTEX-1399Q-1126-SM-5P9JA 40-49 years, male 13.5
GTEX-145LS-1826-SM-5LUAZ 60-69 years, female 13.4
GTEX-WYJK-1926-SM-4ONDP 50-59 years, male 13.4
GTEX-ZVT2-1326-SM-5E45H 50-59 years, female 13.4
GTEX-1GN1W-2226-SM-9JGI5 50-59 years, female 13.3
GTEX-ZDYS-0826-SM-4WWCR 50-59 years, male 13.2
GTEX-QCQG-0626-SM-48U21 50-59 years, female 13.1
GTEX-139TU-1226-SM-5J2NL 60-69 years, male 13.0
GTEX-1H3NZ-1326-SM-9JGHI 60-69 years, male 13.0
GTEX-13RTK-0526-SM-5S2QF 20-29 years, male 12.9
GTEX-1LNCM-0626-SM-EV7AI 50-59 years, female 12.9
GTEX-Y5LM-1026-SM-4VDSQ 40-49 years, female 12.7
GTEX-QESD-0826-SM-47J4G 20-29 years, male 12.6
GTEX-PLZ5-0926-SM-3TW8L 50-59 years, male 12.5
GTEX-14ICL-0526-SM-5RQJ6 30-39 years, male 12.4
GTEX-X4LF-0626-SM-4QASB 50-59 years, male 12.4
GTEX-1JK1U-1726-SM-CNNPM 60-69 years, male 12.3
GTEX-1R9PM-0926-SM-DPRYA 20-29 years, male 12.3
GTEX-1RAZQ-1726-SM-EAZ4T 30-39 years, male 12.3
GTEX-1HC8U-1526-SM-9WPO4 40-49 years, female 12.2
GTEX-11DZ1-2026-SM-5A5KG 50-59 years, male 12.1
GTEX-16AAH-0726-SM-793A9 50-59 years, male 12.1
GTEX-117YW-1926-SM-5H121 50-59 years, male 12.0
GTEX-131XG-1026-SM-5GCMX 50-59 years, female 12.0
GTEX-1QP2A-1926-SM-EXOJ9 50-59 years, male 11.9
GTEX-1GMR3-1526-SM-9JGGL 40-49 years, male 11.6
GTEX-1CB4E-1026-SM-793AB 60-69 years, male 11.5
GTEX-1LVA9-2126-SM-DLHBY 50-59 years, male 11.5
GTEX-1M5QR-0726-SM-DHXK7 40-49 years, male 11.5
GTEX-SNMC-0526-SM-4DM69 20-29 years, male 11.4
GTEX-ZYT6-1126-SM-5GZYR 30-39 years, male 11.4
GTEX-15ETS-1926-SM-7KUN5 40-49 years, female 11.3
GTEX-WRHK-0526-SM-4MVOF 20-29 years, female 11.3
GTEX-ZLV1-0526-SM-4WWD4 60-69 years, female 11.2
GTEX-R55G-1026-SM-48FDI 40-49 years, female 11.1
GTEX-144FL-2726-SM-5O98Z 50-59 years, male 11.0
GTEX-1C64O-1826-SM-7DHM4 60-69 years, male 11.0
GTEX-13FLV-1126-SM-5J2NO 50-59 years, male 10.9
GTEX-1H1DE-1026-SM-9JGH6 20-29 years, male 10.9
GTEX-1RDX4-2126-SM-EV7B3 50-59 years, female 10.9
GTEX-OIZF-0626-SM-7MKHG 60-69 years, male 10.9
GTEX-ZYY3-1526-SM-5SIA9 60-69 years, female 10.8
GTEX-1MCYP-1026-SM-DPRYB 20-29 years, female 10.6
GTEX-13FTX-0526-SM-5IFGS 20-29 years, female 10.3
GTEX-SE5C-1226-SM-4BRWV 40-49 years, female 10.3
GTEX-18D9U-2126-SM-7LG4Y 40-49 years, male 10.1
GTEX-NFK9-1126-SM-3LK78 40-49 years, male 10.1
GTEX-WHSE-1526-SM-4M1XH 20-29 years, male 10.1
GTEX-P4PQ-0626-SM-3NMCU 60-69 years, male 10.0
GTEX-PLZ6-0526-SM-3P61C 30-39 years, male 10.0
GTEX-1GF9U-0826-SM-7MXTZ 40-49 years, female 10.0
GTEX-U4B1-0826-SM-4DXTW 40-49 years, male 9.9
GTEX-WVLH-1426-SM-4MVNX 50-59 years, male 9.9
GTEX-ZDTT-1326-SM-4WKFH 60-69 years, male 9.9
GTEX-ZF3C-1626-SM-4WWB4 50-59 years, female 9.9
GTEX-1B97I-0926-SM-731DZ 40-49 years, male 9.8
GTEX-11P81-0826-SM-5P9GR 30-39 years, female 9.7
GTEX-1JMQJ-1226-SM-D3L97 50-59 years, male 9.7
GTEX-1J1OQ-2526-SM-AHZ3Q 40-49 years, female 9.6
GTEX-1J8EW-1326-SM-AHZ3S 60-69 years, female 9.6
GTEX-XMD2-1326-SM-4YCET 60-69 years, female 9.5
GTEX-16Z82-1926-SM-6M47U 60-69 years, male 9.4
GTEX-12C56-1226-SM-5FQSU 20-29 years, male 9.3
GTEX-183WM-1726-SM-7KFT5 70-79 years, female 9.3
GTEX-1JMPY-0826-SM-AHZ4A 30-39 years, male 9.3
GTEX-12ZZW-1726-SM-5DUVD 50-59 years, male 9.2
GTEX-15RIF-0826-SM-6M47C 20-29 years, male 9.2
GTEX-1AX9J-1826-SM-731FM 60-69 years, male 9.2
GTEX-1CB4F-1526-SM-7MKFM 60-69 years, male 9.2
GTEX-1S82Y-1226-SM-EV7BD 40-49 years, male 9.2
GTEX-UPJH-1026-SM-EAZB2 50-59 years, male 9.2
GTEX-15UF7-0926-SM-6M46F 40-49 years, male 9.1
GTEX-S3XE-0926-SM-4AD4S 50-59 years, male 9.1
GTEX-15DYW-1826-SM-6LPIY 60-69 years, female 9.0
GTEX-1B933-2026-SM-7EWFC 50-59 years, female 9.0
GTEX-11I78-1526-SM-5A5K7 50-59 years, female 8.9
GTEX-14H4A-1626-SM-5SI69 40-49 years, female 8.9
GTEX-U3ZM-0526-SM-4DXTB 40-49 years, male 8.8
GTEX-1IKK5-1326-SM-AHZ2X 60-69 years, male 8.8
GTEX-1B8KE-1826-SM-731FD 50-59 years, male 8.7
GTEX-1MA7X-0726-SM-EV7AB 60-69 years, male 8.7
GTEX-13O3Q-0826-SM-5IFGF 50-59 years, male 8.6
GTEX-1AMFI-0226-SM-731D5 50-59 years, female 8.6
GTEX-17F97-1326-SM-7MGVO 50-59 years, male 8.6
GTEX-ZTPG-1626-SM-5DUX2 20-29 years, female 8.4
GTEX-1L5NE-1426-SM-DHXKV 50-59 years, male 8.4
GTEX-1269C-1026-SM-5N9EY 60-69 years, female 8.3
GTEX-1RLM8-0726-SM-E6CRH 50-59 years, male 8.3
GTEX-1122O-1726-SM-5GICM 60-69 years, female 8.2
GTEX-18QFQ-1026-SM-7LG6B 30-39 years, male 8.2
GTEX-1LG7Y-1726-SM-EV7AR 50-59 years, male 8.2
GTEX-1EU9M-2326-SM-7MKGS 60-69 years, male 8.1
GTEX-RWS6-0826-SM-47JXF 60-69 years, female 8.1
GTEX-YB5E-0926-SM-4WWDQ 40-49 years, male 8.1
GTEX-12WSD-1826-SM-5GCOA 60-69 years, female 8.0
GTEX-1F52S-1426-SM-7P8PU 60-69 years, female 7.9
GTEX-SUCS-0726-SM-4DM7J 70-79 years, male 7.8
GTEX-T8EM-0526-SM-4DM64 40-49 years, male 7.8
GTEX-ZUA1-1226-SM-5NQ6O 40-49 years, male 7.7
GTEX-Y111-1626-SM-57WCY 50-59 years, male 7.6
GTEX-1K2DA-0626-SM-CGQGO 50-59 years, male 7.6
GTEX-Y9LG-0626-SM-4WWDH 30-39 years, male 7.5
GTEX-1IDJD-1626-SM-C1YRC 30-39 years, male 7.5
GTEX-OHPN-1026-SM-E9TI8 60-69 years, female 7.5
GTEX-15EO6-1026-SM-7KUG9 50-59 years, male 7.4
GTEX-12WSA-1426-SM-5EGJU 60-69 years, male 7.3
GTEX-145LT-1126-SM-5LUA1 40-49 years, male 7.3
GTEX-1OKEX-1326-SM-E9J2U 60-69 years, male 7.3
GTEX-132AR-2226-SM-5J2NT 50-59 years, female 7.2
GTEX-15ER7-2126-SM-7939E 20-29 years, female 7.2
GTEX-1F5PK-1526-SM-7MKGV 50-59 years, male 7.1
GTEX-TKQ1-0326-SM-4DXSM 30-39 years, male 7.1
GTEX-1MGNQ-1626-SM-EAZ4Z 40-49 years, male 7.0
GTEX-14A6H-1326-SM-5NQBC 30-39 years, male 6.9
GTEX-SJXC-1426-SM-EYYVB 60-69 years, male 6.9
GTEX-11ZTS-2626-SM-5EGIC 60-69 years, female 6.8
GTEX-1F75I-1726-SM-7MKGW 40-49 years, male 6.8
GTEX-1JKYN-1526-SM-CGQGA 30-39 years, male 6.8
GTEX-131YS-1426-SM-5IJF7 60-69 years, female 6.7
GTEX-14E1K-1226-SM-5S2PD 50-59 years, male 6.7
GTEX-QEG5-1426-SM-447AS 20-29 years, male 6.6
GTEX-V1D1-1026-SM-4JBHE 50-59 years, male 6.6
GTEX-UPK5-1226-SM-4IHL8 40-49 years, male 6.5
GTEX-1QP28-1826-SM-EAZ4L 50-59 years, female 6.5
GTEX-YFC4-1226-SM-5LU9R 40-49 years, female 6.4
GTEX-1HBPH-1126-SM-A96TU 40-49 years, female 6.4
GTEX-1ICG6-1926-SM-ARU7L 70-79 years, female 6.4
GTEX-1KD4Q-1126-SM-CXZKK 40-49 years, male 6.4
GTEX-N7MS-1225-SM-3LK5G 60-69 years, male 6.3
GTEX-ZG7Y-1126-SM-4WWEZ 50-59 years, male 6.3
GTEX-1CB4J-2426-SM-7MXVC 60-69 years, male 6.2
GTEX-1GN1U-1826-SM-9JGH2 50-59 years, female 6.2
GTEX-Y5V5-1626-SM-4VDSG 60-69 years, female 6.1
GTEX-145MO-1426-SM-DTX9W 60-69 years, male 6.1
GTEX-1K9T9-2026-SM-CXZK3 50-59 years, female 6.1
GTEX-17HHE-0926-SM-7938K 50-59 years, male 6.0
GTEX-1I1GQ-1726-SM-B2LWZ 50-59 years, male 6.0
GTEX-1N2DW-1426-SM-EV7AZ 50-59 years, male 6.0
GTEX-1PPH8-1626-SM-E6CQP 20-29 years, male 6.0
GTEX-12WSK-1126-SM-5LZV8 40-49 years, female 5.9
GTEX-P4PP-0626-SM-3NM9X 30-39 years, female 5.9
GTEX-S33H-0826-SM-4AD5Y 30-39 years, male 5.9
GTEX-1H1DG-1226-SM-9JGH3 70-79 years, male 5.9
GTEX-11DXZ-1226-SM-5H11L 50-59 years, male 5.8
GTEX-13O1R-1326-SM-5IJF5 60-69 years, male 5.8
GTEX-1399R-0826-SM-5IJEL 30-39 years, male 5.7
GTEX-145LU-0926-SM-79OJL 50-59 years, male 5.7
GTEX-N7MT-0326-SM-48TDP 60-69 years, female 5.7
GTEX-132Q8-1826-SM-5EGIY 60-69 years, male 5.6
GTEX-18D9A-0526-SM-7KFSW 30-39 years, female 5.6
GTEX-R55C-0826-SM-48FCL 40-49 years, male 5.6
GTEX-1GMR2-1526-SM-7MXV6 50-59 years, male 5.6
GTEX-1399S-1326-SM-5P9GH 30-39 years, female 5.5
GTEX-PWCY-0726-SM-48TCS 20-29 years, female 5.5
GTEX-1HBPM-1426-SM-9WPPE 60-69 years, female 5.5
GTEX-1MCC2-1926-SM-DHXJR 30-39 years, female 5.4
GTEX-WYVS-0726-SM-4ONDO 40-49 years, female 5.3
GTEX-R45C-1226-SM-48FEE 60-69 years, female 5.2
GTEX-WEY5-0926-SM-4LMI4 40-49 years, female 5.2
GTEX-WK11-1026-SM-4OOS8 50-59 years, male 5.2
GTEX-ZYW4-1326-SM-5E45N 60-69 years, male 5.2
GTEX-13FHO-1726-SM-DPRZX 60-69 years, male 5.2
GTEX-11GSP-1826-SM-5N9DQ 60-69 years, female 5.1
GTEX-PVOW-1626-SM-48TC9 40-49 years, male 5.1
GTEX-1HKZK-1426-SM-A96U1 40-49 years, male 5.1
GTEX-1KANA-0626-SM-D4P3I 20-29 years, male 5.1
GTEX-14DAQ-1426-SM-5RQJD 60-69 years, female 5.0
GTEX-ZYFG-1126-SM-5GICY 60-69 years, female 5.0
GTEX-1KAFJ-0626-SM-D3L8X 50-59 years, male 5.0
GTEX-1212Z-2126-SM-5FQTM 60-69 years, male 4.9
GTEX-1A3MV-1326-SM-7LG6C 30-39 years, male 4.9
GTEX-TSE9-1226-SM-4DXTM 60-69 years, female 4.9
GTEX-1HFI6-1226-SM-A96SK 40-49 years, male 4.9
GTEX-13PVQ-1726-SM-5IFF3 50-59 years, male 4.8
GTEX-14JIY-0926-SM-6871D 60-69 years, male 4.8
GTEX-1I1GU-1426-SM-B2LX3 40-49 years, male 4.8
GTEX-ZLWG-1326-SM-DNZYZ 50-59 years, female 4.8
GTEX-145LV-1326-SM-5S2QI 50-59 years, male 4.7
GTEX-U8XE-1726-SM-4E3IF 30-39 years, male 4.7
GTEX-ZAJG-1326-SM-5S2NV 50-59 years, female 4.7
GTEX-13QBU-1026-SM-5LU3R 40-49 years, female 4.6
GTEX-13X6K-2126-SM-5O9D4 60-69 years, female 4.6
GTEX-PLZ4-1626-SM-3P618 50-59 years, female 4.6
GTEX-YJ89-1526-SM-5P9IR 60-69 years, male 4.6
GTEX-1H11D-2126-SM-9OSXM 40-49 years, male 4.6
GTEX-11EMC-2226-SM-5A5JW 60-69 years, female 4.5
GTEX-NPJ8-1926-SM-3MJGB 40-49 years, male 4.5
GTEX-XV7Q-1126-SM-4BRVS 40-49 years, female 4.5
GTEX-1AYD5-0926-SM-793AF 50-59 years, male 4.4
GTEX-RNOR-1226-SM-48FDQ 50-59 years, female 4.4
GTEX-ZTSS-0626-SM-59867 40-49 years, male 4.4
GTEX-1B996-1826-SM-7MGY6 60-69 years, male 4.4
GTEX-11ONC-1526-SM-5GU6S 60-69 years, male 4.3
GTEX-1AX9I-1426-SM-7DHM8 60-69 years, male 4.3
GTEX-1EMGI-1926-SM-7938Y 60-69 years, male 4.3
GTEX-R3RS-1326-SM-48FE7 40-49 years, female 4.3
GTEX-S32W-0926-SM-4AD5X 50-59 years, female 4.3
GTEX-T5JC-1726-SM-4DM6U 20-29 years, male 4.3
GTEX-11NUK-1326-SM-5P9GN 50-59 years, male 4.2
GTEX-1PPGY-1726-SM-EVR3S 60-69 years, male 4.2
GTEX-1F88F-1126-SM-7MKHL 60-69 years, female 4.1
GTEX-1EX96-2226-SM-7MKGT 50-59 years, male 4.0
GTEX-1HGF4-0926-SM-9WPP8 60-69 years, male 4.0
GTEX-18465-1126-SM-7LG6E 50-59 years, male 3.9
GTEX-18A6Q-1226-SM-7KFS9 60-69 years, male 3.9
GTEX-14PJ3-0626-SM-6UGC5 50-59 years, male 3.9
GTEX-1QEPI-1826-SM-EAZ3J 60-69 years, female 3.8
GTEX-X4EO-1226-SM-4QARR 60-69 years, female 3.7
GTEX-1F7RK-1526-SM-7P8T6 20-29 years, female 3.7
GTEX-1HCVE-1226-SM-9WPPH 50-59 years, male 3.7
GTEX-13SLX-1726-SM-5Q5E5 50-59 years, female 3.6
GTEX-15SB6-0726-SM-6M48F 50-59 years, female 3.6
GTEX-15SHU-1426-SM-6LPIN 40-49 years, female 3.6
GTEX-S95S-0426-SM-4B64I 60-69 years, male 3.5
GTEX-PWN1-0626-SM-48TDT 40-49 years, female 3.3
GTEX-1E1VI-1526-SM-7IGQ2 50-59 years, male 3.2
GTEX-OIZI-1426-SM-3NB1T 40-49 years, male 3.2
GTEX-REY6-1326-SM-48FDO 60-69 years, male 3.2
GTEX-XBEW-1326-SM-4AT63 40-49 years, male 3.2
GTEX-XQ3S-1126-SM-4BOPK 20-29 years, male 3.2
GTEX-11ZU8-1526-SM-5EGHX 60-69 years, male 3.1
GTEX-1CB4G-1326-SM-7MKFP 60-69 years, male 3.1
GTEX-RVPV-0526-SM-47JYL 60-69 years, male 3.0
GTEX-1H23P-1426-SM-9JGH5 60-69 years, male 2.9
GTEX-1H1ZS-1526-SM-9OSXR 70-79 years, male 2.8
GTEX-1IDJH-2026-SM-CNNQX 70-79 years, male 2.8
GTEX-1I1CD-1726-SM-A9G3P 60-69 years, female 2.7
GTEX-148VI-1026-SM-5TDDJ 60-69 years, female 2.6
GTEX-17F96-2526-SM-7DHL3 70-79 years, male 2.6
GTEX-RN64-1026-SM-48FDX 50-59 years, male 2.6
GTEX-XK95-1026-SM-4GIDV 40-49 years, male 2.6
GTEX-ZV68-0926-SM-59HK7 50-59 years, female 2.6
GTEX-1IDFM-1126-SM-A96SY 60-69 years, male 2.6
GTEX-13PL7-0226-SM-731DT 60-69 years, female 2.5
GTEX-14AS3-0626-SM-5QGQD 40-49 years, female 2.5
GTEX-15RJE-0926-SM-6LLHZ 40-49 years, male 2.5
GTEX-X62O-2226-SM-46MW3 50-59 years, male 2.5
GTEX-ZAK1-1526-SM-5S2OV 50-59 years, female 2.5
GTEX-1NSGN-2026-SM-DPRYM 50-59 years, male 2.5
GTEX-1A32A-1826-SM-72D5G 50-59 years, female 2.4
GTEX-12ZZY-1426-SM-5N9EI 60-69 years, male 2.3
GTEX-RTLS-1126-SM-46MUQ 60-69 years, female 2.2
GTEX-OXRN-1726-SM-3NM9B 50-59 years, male 2.0
GTEX-VUSG-1226-SM-4KKZF 50-59 years, male 2.0
GTEX-1EN7A-1226-SM-7MGX9 40-49 years, male 2.0
GTEX-1HB9E-1526-SM-D3LA6 50-59 years, male 2.0
GTEX-1LVAN-2326-SM-CNNPY 50-59 years, female 2.0
GTEX-11DXY-1426-SM-5N9CN 60-69 years, male 1.9
GTEX-13OVJ-1226-SM-5L3HA 50-59 years, female 1.9
GTEX-13W46-1926-SM-5J2MF 50-59 years, male 1.9
GTEX-WQUQ-1626-SM-4OOSH 60-69 years, male 1.8
GTEX-ZZPT-1426-SM-5N9C5 50-59 years, male 1.8
GTEX-1JMQK-2026-SM-C1YQN 60-69 years, male 1.8
GTEX-12696-1326-SM-5FQTJ 60-69 years, male 1.7
GTEX-1EKGG-1726-SM-7MXUP 60-69 years, male 1.7
GTEX-11EI6-1526-SM-5P9GL 60-69 years, male 1.6
GTEX-OXRP-0926-SM-48TC1 60-69 years, female 1.6
GTEX-148VJ-1026-SM-5LU98 70-79 years, male 1.5
GTEX-O5YV-1026-SM-3LK72 60-69 years, female 1.5
GTEX-1CB4H-1526-SM-7MXU4 60-69 years, female 1.5
GTEX-1I1GR-1326-SM-ARU7B 60-69 years, male 1.5
GTEX-X4EP-1626-SM-4QAS6 60-69 years, female 1.3
GTEX-1I1GS-2126-SM-ARU7G 60-69 years, male 0.9
GTEX-13YAN-1926-SM-7EPH9 60-69 years, male 0.8
GTEX-1EWIQ-1526-SM-79OO7 70-79 years, female 0.8
GTEX-QVUS-0626-SM-447CC 60-69 years, female 0.7
GTEX-1LSVX-1226-SM-DHXJN 60-69 years, male 0.7
GTEX-13FHP-1526-SM-5IJGE 50-59 years, male 0.4
GTEX-14C5O-1626-SM-73KYH 60-69 years, male 0.4
GTEX-17EVQ-1926-SM-7IGOF 70-79 years, male 0.4
GTEX-POYW-1326-SM-48TCG 60-69 years, male 0.4
GTEX-X4XY-1726-SM-46MVO 60-69 years, male 0.4
GTEX-14C38-2126-SM-5RQJO 50-59 years, male 0.3
GTEX-1EH9U-2426-SM-7EWFG 60-69 years, male 0.3
Show allShow less

ESOPHAGUS - FANTOM5 CAGEi

RNA expression in human tissues obtained through Cap Analysis of Gene Expression (CAGE) generated by the FANTOM5 project are reported as Scaled Tags Per Million.

Max subtype Scaled Tags Per Millioni

Max subtype Scaled Tags Per Million is the value for the subtype with the largest average Scaled Tags Per Million across the subtype samples.

46.7
FANTOM5 sample id Sample description Scaled Tags Per Million
Esophagus
Scaled Tags Per Million: 46.7
FF:10015-101C6 68,74,75 years, mixed 46.7

Contact

  • NEWS ARTICLES
  • PRESS ROOM

The Project

  • INTRODUCTION
  • ORGANIZATION
  • PUBLICATIONS

The Human Protein Atlas

  • DOWNLOADABLE DATA
  • LICENCE & CITATION
  • HELP & FAQ
The Human Protein Atlas project is funded
by the Knut & Alice Wallenberg Foundation.


contact@proteinatlas.org