We use cookies to enhance the usability of our website. If you continue, we'll assume that you are happy to receive all cookies. More information. Don't show this again.
LYZ
HPA
RESOURCES
  • TISSUE
  • BRAIN
  • SINGLE CELL
  • SUBCELLULAR
  • CANCER
  • BLOOD
  • CELL LINE
  • STRUCTURE & INTERACTION
ABOUT
  • INTRODUCTION
  • HISTORY
  • ORGANIZATION
  • PUBLICATIONS
  • ANTIBODY SUBMISSION
  • ANTIBODY AVAILABILITY
  • ACKNOWLEDGMENTS
  • CONTACT
NEWS
  • NEWS ARTICLES
  • PRESS ROOM
LEARN
  • DICTIONARY
  • PROTEIN CLASSES
  • PROTEIN EVIDENCE
  • METHODS
  • EDUCATIONAL VIDEOS
DATA
  • DOWNLOADABLE DATA
  • PUBLICATION DATA
  • RELEASE HISTORY
HELP
  • ANTIBODY VALIDATION
  • ASSAYS & ANNOTATION
  • DISCLAIMER
  • HELP & FAQ
  • PRIVACY STATEMENT
  • LICENCE & CITATION
Fields »
Search result

Field
Term
Gene name
Class
Subclass
Class
Keyword
Chromosome
External id
Tissue
Cell type
Expression
Antibody panel
Tissue
Main location
Patient ID
Annotation
Tissue
Category
Tau score
Cluster
Reliability
Brain region
Category
Tau score
Brain region
Category
Tau score
Brain region
Category
Tau score
Cluster
Reliability
Tissue
Cell type
Enrichment
Cell type
Category
Tau score
Cell type
Category
Tau score
Cell type
Category
Tau score
Cell lineage
Category
Tau score
Cluster
Cluster
Location
Searches
Location
Cell line
Class
Type
Phase
Reliability
Cancer
Prognosis
Cancer
Category
Cancer
Category
Tau score
Cluster
Variants
Interacting gene (ensg_id)
Type
Number of interactions
Pathway
Category
Score
Score
Score
Validation
Validation
Validation
Validation
Antibodies
Data type
Column


  • SUMMARY

  • TISSUE

  • BRAIN

  • SINGLE CELL

  • SUBCELL

  • CANCER

  • BLOOD

  • CELL LINE

  • STRUCT & INT

  • LYZ
TISSUE PRIMARY DATA SALIVARY GLAND Show tissue menu
ADIPOSE TISSUE ADRENAL GLAND AMYGDALA APPENDIX BASAL GANGLIA BONE MARROW BREAST BRONCHUS CEREBELLUM CEREBRAL CORTEX CERVIX CHOROID PLEXUS COLON DUODENUM
ENDOMETRIUM EPIDIDYMIS ESOPHAGUS FALLOPIAN TUBE GALLBLADDER HEART MUSCLE HIPPOCAMPAL FORMATION HYPOTHALAMUS KIDNEY LIVER LUNG LYMPH NODE MIDBRAIN NASOPHARYNX
ORAL MUCOSA OVARY PANCREAS PARATHYROID GLAND PITUITARY GLAND PLACENTA PROSTATE RECTUM RETINA SALIVARY GLAND SEMINAL VESICLE SKELETAL MUSCLE SKIN SMALL INTESTINE
SMOOTH MUSCLE SOFT TISSUE SPINAL CORD SPLEEN STOMACH TESTIS THYMUS THYROID GLAND TONGUE TONSIL URINARY BLADDER VAGINA
ANTIBODIES
AND
VALIDATION
Dictionary
Salivary gland
Tissue proteome
Salivary gland
SALIVARY GLAND - Expression summary
Protein expression
Salivary glandi

On the top, protein expression in current human tissue, based on all annotated cell types, is reported with the units not detected (n), low (l), medium (m) and high (h). Underneath, protein expression in each annotated cell type are reported using the same units.

Protein expression data is based on knowledge-based annotation. For genes where more than one antibody has been used, a collective score is set.

If knowledge-based annotation could not be performed for a gene, no data is displayed here. View antibody staining data further down this page.

h
m
l
n
Glandular cells: Medium
Protein profiling
Multiplex tissuei

A summary of the protein localization in the current human tissue based on multiplex immunohistochemistry profiling in selected tissues is shown for genes where this analysis has been performed.

Weak cytoplasmic overlap with a subset of serous acini glands.

RNA expressioni

A summary of mRNA expression data available for current tissue based on several datasets. The mRNA expression levels in human tissues are based on RNA-seq data generated by the Human Protein Atlas (HPA), Genotype-Tissue Expression (GTEx) portal and CAGE data generated by the FANTOM5 consortium. Consensus normalized expression levels for human tissues was created by combining the data from HPA and GTEx datasets.

The mRNA expression levels in pig are based on RNA-seq data generated by the Human Protein Atlas (HPA), and for mouse, HPA data and in situ hybridization generated by the Allen brain atlas are reported.

Scroll down to view mRNA expression data in more detail.
Consensus:20501.5 nTPM
HPA:18039.8 nTPM
GTEx:20501.5 nTPM
FANTOM5:13748.3 Scaled Tags Per Million

SALIVARY GLAND - Multiplex stainingi

Antibody localization in the annotated cell types/states/structures of the current human tissue is reported as main/additional locations, percent overlap between the antibody and cell type/state/structure-specific markers, and, when applicable also subcellular localization. The scores are based on multiplex immunohistochemistry profiling in selected tissues.

Main locations are characterized by a high overlap between the antibody and the cell type/state-specific marker combined with strong antibody signal intensity, while additional locations are characterized by lower overlap and weaker antibody signal intensity.

The antibody of interest is reported in green, while cell types/states/structures are reported in various other colors, and DAPI (marks nucleus) is reported in blue. Colors can be toggled on and off by clicking on the name of the cell type/state of interest, “Antibody” or “DAPI”. To toggle between the different tissue samples, click on the miniature images at the right bottom corner of the main image. The miniature images appear upon hovering the mouse over that area.

- Antibody HPA048284
Additional location Serous acini
Antibody overlap<25%
LocationCytoplasm
No antibody overlap
No antibody overlap
No antibody overlap
No antibody overlap

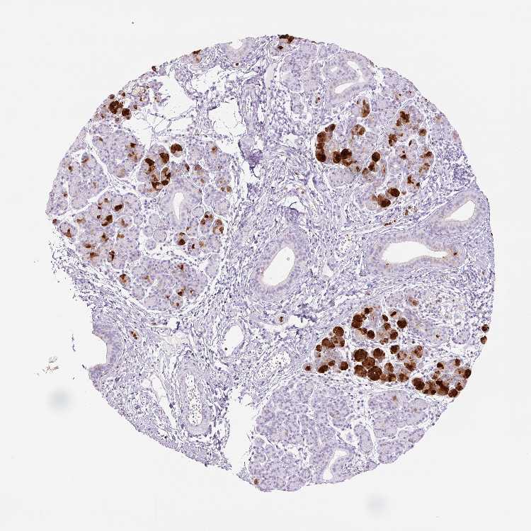
SALIVARY GLAND - Antibody stainingi

Antibody staining in the annotated cell types in the current human tissue is reported as not detected, low, medium, or high, based on conventional immunohistochemistry profiling in selected tissues. This score is based on the combination of the staining intensity and fraction of stained cells.

Each image is clickable and will lead to virtual microscopy that enables deeper exploration of all samples and also displays staining intensity scores, fraction scores and subcellular localization as well as patient and tissue information for each sample.

Antibody HPA048284Antibody CAB000055
Glandular cells MediumMedium





SALIVARY GLAND - HPA RNA-seqi

The RNA-seq details section shows detailed information about the individual samples used for the transcript profiling and results of the RNA-seq analysis.

Information about each individual sample is listed below, including gender, age, a tissue section image and estimated fractions of cell types. nTPM (normalized transcripts per million) values give a quantification of the gene abundance which is comparable between different genes and samples.
Average nTPMi

Max subtype nTPM is the value for the subtype with the largest average nTPM across the subtype samples.

18039.8
overview
Female, age 68
Salivary gland sample 216
nTPM: 38086
Cell types%
Glandular cells:
45

Ductal cells:
25

Adipocytes:
5

Other cell types:
25

overview
Male, age 60
Salivary gland sample 217
nTPM: 5665.7
Cell types%
Glandular cells:
55

Ductal cells:
20

Adipocytes:
5

Endothelial cells:
5

Other cell types:
15

overview
Female, age 21
Salivary gland sample 218
nTPM: 10367.6
Cell types%
Glandular cells:
55

Ductal cells:
15

Adipocytes:
5

Endothelial cells:
5

Other cell types:
20


SALIVARY GLAND - GTEx RNA-seqi

RNA-Seq data generated by the Genotype-Tissue Expression (GTEx) project from human tissues is reported as mean nTPM. More information can be found on the GTEx portal.

Distribution across the dataset is visualized with box plots, shown as median and 25th and 75th percentiles. Points are displayed as outliers if they are above or below 1.5 times the interquartile range. nTPM values of the individual samples are presented next to the box plot.
Max subtype nTPMi

Max subtype nTPM is the value for the subtype with the largest average nTPM across the subtype samples.

20501.5
GTEx sample id Sample description nTPM
Minor Salivary Gland
Average nTPM: 20501.5
Samples: 162

Max nTPM: 153404.6
Min nTPM: 1.3
Std nTPM: 28837.4
Median nTPM: 8582.4
GTEX-1LSNL-2626-SM-EV7AT 50-59 years, male 153404.6
GTEX-1POEN-2226-SM-DPRXV 30-39 years, female 143279.4
GTEX-ZQUD-2126-SM-51MSY 30-39 years, male 128988.4
GTEX-14PJN-1726-SM-69LO7 30-39 years, male 122935.1
GTEX-13VXT-1726-SM-5IFF5 20-29 years, female 117131.2
GTEX-1IOXB-2826-SM-AHZ32 50-59 years, male 98440.2
GTEX-13OVL-2926-SM-5IFG3 50-59 years, male 94492.4
GTEX-1KD5A-2226-SM-EV79U 50-59 years, male 86075.0
GTEX-12WSM-1826-SM-5BC64 60-69 years, male 82016.9
GTEX-1LBAC-0626-SM-D3L9T 20-29 years, male 75244.5
GTEX-1RAZA-0626-SM-EAZ4H 20-29 years, male 67420.8
GTEX-1AMEY-1126-SM-72D79 30-39 years, female 66587.4
GTEX-1C4CL-2026-SM-731EB 30-39 years, male 61932.2
GTEX-14B4R-1426-SM-5Q5CG 30-39 years, male 61834.3
GTEX-1C64N-2926-SM-79OLM 50-59 years, male 57933.8
GTEX-12WSN-2226-SM-5DUXT 40-49 years, male 57718.0
GTEX-13NYB-2426-SM-5IFF4 40-49 years, male 55688.3
GTEX-15SHV-2226-SM-6M464 60-69 years, male 52309.9
GTEX-1B8KZ-1726-SM-73KV7 50-59 years, male 52002.2
GTEX-1A3MV-1726-SM-72D68 30-39 years, male 49003.6
GTEX-ZE7O-2926-SM-51MSG 50-59 years, female 45738.3
GTEX-11TUW-2426-SM-5EQKB 60-69 years, male 44441.8
GTEX-1B8SF-1826-SM-731DJ 60-69 years, male 43645.3
GTEX-1KD4Q-2526-SM-CXZKL 40-49 years, male 43203.9
GTEX-11WQK-2926-SM-5EQKT 50-59 years, male 42117.7
GTEX-1I1HK-2526-SM-A96SM 60-69 years, male 37649.5
GTEX-1IDJC-1626-SM-AHZ2R 50-59 years, male 37539.9
GTEX-18A7B-2826-SM-7KFTK 70-79 years, male 37188.2
GTEX-1IE54-0826-SM-AHZ2Z 40-49 years, female 36848.5
GTEX-11NV4-1926-SM-5N9D4 60-69 years, male 35756.8
GTEX-X3Y1-1926-SM-4PQZO 40-49 years, male 35175.2
GTEX-1IY9M-2926-SM-A96TH 60-69 years, male 34882.4
GTEX-1IDJD-2526-SM-C1YSA 30-39 years, male 33460.5
GTEX-WYVS-2026-SM-4RGNS 40-49 years, female 31504.8
GTEX-1LVA9-2526-SM-EVR5H 50-59 years, male 31106.7
GTEX-1MCQQ-2226-SM-DLHC4 60-69 years, male 30816.9
GTEX-13OVK-1826-SM-6PALE 40-49 years, male 27876.0
GTEX-1B97J-2126-SM-79OL6 50-59 years, female 27621.5
GTEX-1OJC4-3126-SM-EXOJK 50-59 years, female 27453.5
GTEX-1GZ2Q-2526-SM-9KNVW 40-49 years, male 27077.9
GTEX-15RJE-2726-SM-6LPJ1 40-49 years, male 25271.6
GTEX-1MCC2-2226-SM-EV7AJ 30-39 years, female 24943.0
GTEX-14PN4-2526-SM-686ZG 50-59 years, male 24794.6
GTEX-111FC-2926-SM-5GZY7 60-69 years, male 24605.2
GTEX-1S82P-0726-SM-EVR4O 60-69 years, female 23827.6
GTEX-1C6VR-0726-SM-7P8OV 60-69 years, male 23409.9
GTEX-1GN1V-2926-SM-9JGI3 60-69 years, male 23052.2
GTEX-1GN1W-2526-SM-9JGHX 50-59 years, female 22959.9
GTEX-13G51-2426-SM-5LZY8 60-69 years, male 22035.3
GTEX-1H4P4-2026-SM-9WPNV 50-59 years, male 21868.3
GTEX-11EQ9-2026-SM-5P9JI 30-39 years, male 21835.5
GTEX-1QP9N-2026-SM-DPRZT 30-39 years, male 21798.4
GTEX-17MFQ-1626-SM-7938Z 20-29 years, male 21360.4
GTEX-1445S-2926-SM-5O993 60-69 years, male 21182.8
GTEX-1EH9U-2926-SM-7DHLX 60-69 years, male 20032.0
GTEX-WHSB-2326-SM-4M1XK 50-59 years, male 19617.0
GTEX-11P82-0926-SM-5986X 20-29 years, male 19397.1
GTEX-14E1K-2626-SM-664OJ 50-59 years, male 19394.2
GTEX-1JN6P-2526-SM-CNNPX 60-69 years, male 19360.2
GTEX-Y111-2626-SM-4TT24 50-59 years, male 19061.6
GTEX-13O21-1926-SM-5MR39 50-59 years, male 18779.6
GTEX-1QEPI-0626-SM-E76QE 60-69 years, female 17874.6
GTEX-ZG7Y-2426-SM-DO11H 50-59 years, male 17374.4
GTEX-1R9K4-0526-SM-E76P1 60-69 years, male 17263.8
GTEX-1GF9X-0226-SM-7P8SM 40-49 years, female 16566.8
GTEX-YB5K-1726-SM-5IFIZ 40-49 years, female 16382.4
GTEX-11P81-2026-SM-5P9GT 30-39 years, female 14822.4
GTEX-1KANC-1326-SM-CYPT8 50-59 years, female 13912.8
GTEX-1HSEH-1826-SM-A96SA 60-69 years, male 13007.1
GTEX-1I6K6-0626-SM-ARU7J 30-39 years, male 12907.2
GTEX-1HSGN-0626-SM-A9G2E 40-49 years, female 12573.3
GTEX-YF7O-2226-SM-5CVN8 50-59 years, male 12432.9
GTEX-1HSMQ-0926-SM-A96SI 50-59 years, male 11103.2
GTEX-1GMR2-2026-SM-7MKHK 50-59 years, male 11014.9
GTEX-1RNSC-2926-SM-EV79L 60-69 years, male 10982.2
GTEX-ZC5H-2726-SM-5KLZW 40-49 years, female 10862.6
GTEX-1314G-2026-SM-5LZUM 30-39 years, male 9422.2
GTEX-1NSGN-0626-SM-E9J35 50-59 years, male 9358.1
GTEX-1H1CY-2326-SM-9OSXW 60-69 years, female 8837.6
GTEX-11ZTT-2226-SM-5CVLP 60-69 years, female 8820.9
GTEX-13JVG-2926-SM-5J2N9 60-69 years, male 8633.1
GTEX-12WSL-2126-SM-5GCNG 50-59 years, male 8531.7
GTEX-X261-2426-SM-4PQZU 50-59 years, male 8081.9
GTEX-1LC47-2426-SM-DHXKK 60-69 years, male 8074.4
GTEX-X15G-2126-SM-4PQZR 50-59 years, female 7505.8
GTEX-146FR-1226-SM-5SIA7 60-69 years, female 7494.7
GTEX-XGQ4-2626-SM-4AT6B 50-59 years, male 7019.2
GTEX-1P4AB-2926-SM-EXOJR 50-59 years, male 6902.6
GTEX-17KNJ-2726-SM-7KFRE 50-59 years, male 6867.2
GTEX-WH7G-2126-SM-4M1XU 40-49 years, male 6485.4
GTEX-13QJC-2326-SM-5Q5CD 60-69 years, female 6471.3
GTEX-13CF2-2426-SM-5LZYL 60-69 years, male 6367.2
GTEX-1LVAO-2626-SM-EVR4S 60-69 years, male 6231.3
GTEX-14PJ3-1526-SM-664O9 50-59 years, male 6048.1
GTEX-1B932-0626-SM-731EM 40-49 years, female 6024.4
GTEX-1HFI7-2426-SM-B2LXV 50-59 years, female 5677.8
GTEX-1J8QM-1826-SM-A96TA 60-69 years, female 5570.0
GTEX-1I4MK-1326-SM-B2LWT 50-59 years, female 5446.8
GTEX-14JIY-3026-SM-6EU1R 60-69 years, male 5184.3
GTEX-1GTWX-2526-SM-9JGHG 60-69 years, male 5182.8
GTEX-1JN1M-2426-SM-ARU93 60-69 years, female 4850.7
GTEX-1LKK1-2926-SM-EVR4Z 50-59 years, female 4734.2
GTEX-WOFM-2126-SM-4OOSR 20-29 years, male 4496.3
GTEX-Y5V6-2226-SM-4VDTC 60-69 years, male 4232.7
GTEX-15CHC-1226-SM-686ZH 60-69 years, female 4225.7
GTEX-X5EB-1726-SM-4E3J7 40-49 years, male 4120.0
GTEX-13113-1526-SM-5EGHV 60-69 years, female 4058.2
GTEX-1QMI2-0426-SM-EWRND 60-69 years, male 3834.6
GTEX-18D9U-2226-SM-7KFTN 40-49 years, male 3546.9
GTEX-1R9PM-1726-SM-E8VOA 20-29 years, male 3526.2
GTEX-178AV-1426-SM-6LLID 40-49 years, male 3214.5
GTEX-131XF-2826-SM-5EGKH 60-69 years, male 2972.8
GTEX-WFJO-2026-SM-4LVM3 30-39 years, male 2904.9
GTEX-ZP4G-1926-SM-57WDZ 20-29 years, female 2676.9
GTEX-1HR9M-2526-SM-A9G3J 60-69 years, male 2414.7
GTEX-18QFQ-0626-SM-718AW 30-39 years, male 2406.0
GTEX-1I6K7-0926-SM-A96SV 40-49 years, male 2243.1
GTEX-1117F-3026-SM-5GZYU 60-69 years, female 2087.6
GTEX-1AX8Z-0626-SM-731EH 60-69 years, male 2003.5
GTEX-1QCLZ-2526-SM-EXUST 60-69 years, female 1767.0
GTEX-ZXG5-2826-SM-5NQ8T 60-69 years, male 1747.7
GTEX-1339X-2326-SM-5HL5B 40-49 years, male 1671.3
GTEX-1J8EW-2826-SM-A96T9 60-69 years, female 1654.5
GTEX-145ME-1626-SM-5RQI3 40-49 years, female 1652.6
GTEX-ZPU1-2326-SM-57WEP 40-49 years, male 1277.1
GTEX-1AYD5-2726-SM-7MXVG 50-59 years, male 963.4
GTEX-13OVI-2326-SM-5KM47 60-69 years, female 959.7
GTEX-XMK1-2626-SM-4B65R 40-49 years, male 838.0
GTEX-1GPI7-0326-SM-7MKH6 20-29 years, male 837.9
GTEX-ZT9W-2126-SM-51MSF 50-59 years, male 746.7
GTEX-Y3I4-1926-SM-4TT8L 50-59 years, male 733.6
GTEX-Y5LM-1826-SM-4VDT9 40-49 years, female 716.9
GTEX-WY7C-1426-SM-4OND1 50-59 years, male 656.9
GTEX-ZA64-1726-SM-5CVMF 20-29 years, male 643.1
GTEX-1CB4I-2526-SM-7MKG1 50-59 years, male 561.7
GTEX-1MGNQ-1926-SM-DTX8L 40-49 years, male 517.9
GTEX-1PIEJ-0626-SM-DTX99 20-29 years, female 501.3
GTEX-18A67-0626-SM-7KFSL 50-59 years, male 460.8
GTEX-1R9PO-2626-SM-E6CPU 60-69 years, female 457.0
GTEX-1OJC3-1026-SM-E6CQK 20-29 years, male 431.1
GTEX-13111-2326-SM-5LZUQ 50-59 years, male 430.4
GTEX-1AX9K-2126-SM-72D7K 50-59 years, male 407.6
GTEX-1R9K5-0626-SM-DPRZB 50-59 years, male 315.0
GTEX-1JKYR-0726-SM-AHZ3K 20-29 years, male 280.9
GTEX-1PPH8-1526-SM-E6CQO 20-29 years, male 273.7
GTEX-1J1R8-1826-SM-AHZ3B 40-49 years, male 271.7
GTEX-1C64O-0626-SM-7DHL1 60-69 years, male 253.3
GTEX-XV7Q-2426-SM-4BRV8 40-49 years, female 243.5
GTEX-ZAB5-2326-SM-5IJFR 50-59 years, male 218.9
GTEX-15EU6-2626-SM-7KUN4 50-59 years, male 199.6
GTEX-11ZTS-3026-SM-5EQM7 60-69 years, female 163.2
GTEX-1S83E-0626-SM-E9TKC 40-49 years, male 158.7
GTEX-ZQG8-2126-SM-4YCF1 60-69 years, female 108.2
GTEX-1HCU7-0126-SM-C1YR3 50-59 years, male 43.1
GTEX-11EMC-2526-SM-5PNVU 60-69 years, female 18.5
GTEX-12BJ1-2226-SM-5BC6G 60-69 years, male 13.6
GTEX-ZLWG-2026-SM-DO11F 50-59 years, female 10.9
GTEX-131XH-2626-SM-5GCNP 50-59 years, male 9.7
GTEX-ZF29-2126-SM-DNZYX 60-69 years, female 9.1
GTEX-13QBU-2126-SM-5KLZN 40-49 years, female 7.1
GTEX-ZLFU-2226-SM-EXUS7 40-49 years, male 2.7
GTEX-1192X-2926-SM-5N9BA 50-59 years, male 1.3
Show allShow less

SALIVARY GLAND - FANTOM5 CAGEi

RNA expression in human tissues obtained through Cap Analysis of Gene Expression (CAGE) generated by the FANTOM5 project are reported as Scaled Tags Per Million.

Max subtype Scaled Tags Per Millioni

Max subtype Scaled Tags Per Million is the value for the subtype with the largest average Scaled Tags Per Million across the subtype samples.

13748.3
FANTOM5 sample id Sample description Scaled Tags Per Million
Parotid gland
Scaled Tags Per Million: 9359.6
FF:10199-103F1 23 years, male 9359.6
Salivary gland
Scaled Tags Per Million: 13080.5
FF:10093-102C3 16-60 years, mixed 13080.5
Submaxillary gland
Scaled Tags Per Million: 13748.3
FF:10202-103F4 24 years, male 13748.3

Contact

  • NEWS ARTICLES
  • PRESS ROOM

The Project

  • INTRODUCTION
  • ORGANIZATION
  • PUBLICATIONS

The Human Protein Atlas

  • DOWNLOADABLE DATA
  • LICENCE & CITATION
  • HELP & FAQ
The Human Protein Atlas project is funded
by the Knut & Alice Wallenberg Foundation.


contact@proteinatlas.org