We use cookies to enhance the usability of our website. If you continue, we'll assume that you are happy to receive all cookies. More information. Don't show this again.
LYZ
HPA
RESOURCES
  • TISSUE
  • BRAIN
  • SINGLE CELL
  • SUBCELLULAR
  • CANCER
  • BLOOD
  • CELL LINE
  • STRUCTURE & INTERACTION
ABOUT
  • INTRODUCTION
  • HISTORY
  • ORGANIZATION
  • PUBLICATIONS
  • ANTIBODY SUBMISSION
  • ANTIBODY AVAILABILITY
  • ACKNOWLEDGMENTS
  • CONTACT
NEWS
  • NEWS ARTICLES
  • PRESS ROOM
LEARN
  • DICTIONARY
  • PROTEIN CLASSES
  • PROTEIN EVIDENCE
  • METHODS
  • EDUCATIONAL VIDEOS
DATA
  • DOWNLOADABLE DATA
  • PUBLICATION DATA
  • RELEASE HISTORY
HELP
  • ANTIBODY VALIDATION
  • ASSAYS & ANNOTATION
  • DISCLAIMER
  • HELP & FAQ
  • PRIVACY STATEMENT
  • LICENCE & CITATION
Fields »
Search result

Field
Term
Gene name
Class
Subclass
Class
Keyword
Chromosome
External id
Tissue
Cell type
Expression
Antibody panel
Tissue
Main location
Patient ID
Annotation
Tissue
Category
Tau score
Cluster
Reliability
Brain region
Category
Tau score
Brain region
Category
Tau score
Brain region
Category
Tau score
Cluster
Reliability
Tissue
Cell type
Enrichment
Cell type
Category
Tau score
Cell type
Category
Tau score
Cell type
Category
Tau score
Cell lineage
Category
Tau score
Cluster
Cluster
Location
Searches
Location
Cell line
Class
Type
Phase
Reliability
Cancer
Prognosis
Cancer
Category
Cancer
Category
Tau score
Cluster
Variants
Interacting gene (ensg_id)
Type
Number of interactions
Pathway
Category
Score
Score
Score
Validation
Validation
Validation
Validation
Antibodies
Data type
Column


  • SUMMARY

  • TISSUE

  • BRAIN

  • SINGLE CELL

  • SUBCELL

  • CANCER

  • BLOOD

  • CELL LINE

  • STRUCT & INT

  • LYZ
TISSUE PRIMARY DATA THYROID GLAND Show tissue menu
ADIPOSE TISSUE ADRENAL GLAND AMYGDALA APPENDIX BASAL GANGLIA BONE MARROW BREAST BRONCHUS CEREBELLUM CEREBRAL CORTEX CERVIX CHOROID PLEXUS COLON DUODENUM
ENDOMETRIUM EPIDIDYMIS ESOPHAGUS FALLOPIAN TUBE GALLBLADDER HEART MUSCLE HIPPOCAMPAL FORMATION HYPOTHALAMUS KIDNEY LIVER LUNG LYMPH NODE MIDBRAIN NASOPHARYNX
ORAL MUCOSA OVARY PANCREAS PARATHYROID GLAND PITUITARY GLAND PLACENTA PROSTATE RECTUM RETINA SALIVARY GLAND SEMINAL VESICLE SKELETAL MUSCLE SKIN SMALL INTESTINE
SMOOTH MUSCLE SOFT TISSUE SPINAL CORD SPLEEN STOMACH TESTIS THYMUS THYROID GLAND TONGUE TONSIL URINARY BLADDER VAGINA
ANTIBODIES
AND
VALIDATION
Dictionary
Thyroid gland
Tissue proteome
Thyroid gland
THYROID GLAND - Expression summary
Protein expression
Thyroid glandi

On the top, protein expression in current human tissue, based on all annotated cell types, is reported with the units not detected (n), low (l), medium (m) and high (h). Underneath, protein expression in each annotated cell type are reported using the same units.

Protein expression data is based on knowledge-based annotation. For genes where more than one antibody has been used, a collective score is set.

If knowledge-based annotation could not be performed for a gene, no data is displayed here. View antibody staining data further down this page.

h
m
l
n
Glandular cells: Not detected
RNA expressioni

A summary of mRNA expression data available for current tissue based on several datasets. The mRNA expression levels in human tissues are based on RNA-seq data generated by the Human Protein Atlas (HPA), Genotype-Tissue Expression (GTEx) portal and CAGE data generated by the FANTOM5 consortium. Consensus normalized expression levels for human tissues was created by combining the data from HPA and GTEx datasets.

The mRNA expression levels in pig are based on RNA-seq data generated by the Human Protein Atlas (HPA), and for mouse, HPA data and in situ hybridization generated by the Allen brain atlas are reported.

Scroll down to view mRNA expression data in more detail.
Consensus:27.0 nTPM
HPA:27.0 nTPM
GTEx:15.2 nTPM
FANTOM5:34.0 Scaled Tags Per Million

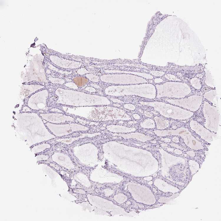
THYROID GLAND - Antibody stainingi

Antibody staining in the annotated cell types in the current human tissue is reported as not detected, low, medium, or high, based on conventional immunohistochemistry profiling in selected tissues. This score is based on the combination of the staining intensity and fraction of stained cells.

Each image is clickable and will lead to virtual microscopy that enables deeper exploration of all samples and also displays staining intensity scores, fraction scores and subcellular localization as well as patient and tissue information for each sample.

Antibody HPA048284Antibody CAB000055
Glandular cells Not detectedNot detected





THYROID GLAND - HPA RNA-seqi

The RNA-seq details section shows detailed information about the individual samples used for the transcript profiling and results of the RNA-seq analysis.

Information about each individual sample is listed below, including gender, age, a tissue section image and estimated fractions of cell types. nTPM (normalized transcripts per million) values give a quantification of the gene abundance which is comparable between different genes and samples.
Average nTPMi

Max subtype nTPM is the value for the subtype with the largest average nTPM across the subtype samples.

27.0
overview
Female, age 20
Thyroid gland sample 249
nTPM: 11.1
Cell types%
Glandular cells:
70

Endothelial cells:
20

Other cell types:
10

overview
Female, age 55
Thyroid gland sample 250
nTPM: 32.8
Cell types%
Glandular cells:
70

Endothelial cells:
20

Other cell types:
10

overview
Female, age 58
Thyroid gland sample 251
nTPM: 45.8
Cell types%
Glandular cells:
70

Endothelial cells:
15

Other cell types:
15

overview
Female, age 48
Thyroid gland sample 252
nTPM: 21.5
Cell types%
Glandular cells:
70

Endothelial cells:
20

Other cell types:
10

overview
Male, age 21
Thyroid gland sample 363
nTPM: 23.8
Cell types%
Glandular cells:
75

Endothelial cells:
10

Other cell types:
15


THYROID GLAND - GTEx RNA-seqi

RNA-Seq data generated by the Genotype-Tissue Expression (GTEx) project from human tissues is reported as mean nTPM. More information can be found on the GTEx portal.

Distribution across the dataset is visualized with box plots, shown as median and 25th and 75th percentiles. Points are displayed as outliers if they are above or below 1.5 times the interquartile range. nTPM values of the individual samples are presented next to the box plot.
Max subtype nTPMi

Max subtype nTPM is the value for the subtype with the largest average nTPM across the subtype samples.

15.2
GTEx sample id Sample description nTPM
Thyroid
Average nTPM: 15.2
Samples: 653

Max nTPM: 329.4
Min nTPM: 0.4
Std nTPM: 23.0
Median nTPM: 9.0
GTEX-1QEPI-0726-SM-E76QG 60-69 years, female 329.4
GTEX-15FZZ-0226-SM-6LLI4 30-39 years, female 206.4
GTEX-1HUB1-1226-SM-B2LWX 60-69 years, male 151.6
GTEX-ZLV1-0126-SM-4WWBZ 60-69 years, female 135.3
GTEX-14PJM-1326-SM-664NX 50-59 years, female 129.7
GTEX-1QW4Y-0226-SM-EAZ3U 30-39 years, male 126.3
GTEX-1I1GQ-0826-SM-CNNQR 50-59 years, male 122.2
GTEX-1C475-0226-SM-7MGXM 40-49 years, female 111.8
GTEX-YFC4-2626-SM-5P9FQ 40-49 years, female 107.3
GTEX-11XUK-0226-SM-5EQLW 40-49 years, female 95.4
GTEX-1GN73-0826-SM-9OSW4 60-69 years, male 92.6
GTEX-15SHV-0426-SM-6M476 60-69 years, male 92.4
GTEX-YB5K-0526-SM-5LUAS 40-49 years, female 85.9
GTEX-14DAQ-0826-SM-73KWT 60-69 years, female 81.2
GTEX-178AV-0726-SM-6LPJI 40-49 years, male 79.8
GTEX-PWCY-2326-SM-2I3EQ 20-29 years, female 71.0
GTEX-1R9K4-0726-SM-EWRN2 60-69 years, male 69.5
GTEX-OHPL-2626-SM-2HMJA 60-69 years, female 68.8
GTEX-14BMU-0226-SM-5S2QA 20-29 years, female 66.3
GTEX-TMMY-0826-SM-33HB9 40-49 years, female 64.8
GTEX-111YS-0726-SM-5GZY8 60-69 years, male 64.5
GTEX-1QCLZ-0626-SM-E6CR2 60-69 years, female 62.3
GTEX-13D11-0226-SM-5LZXL 50-59 years, female 61.8
GTEX-WYVS-0326-SM-3NM9V 40-49 years, female 59.7
GTEX-1QMI2-0826-SM-EXUT4 60-69 years, male 59.1
GTEX-1HBPI-0826-SM-9WYTX 50-59 years, male 58.7
GTEX-16NPX-1426-SM-6LPK3 50-59 years, male 57.5
GTEX-13FHO-0926-SM-5N9EW 60-69 years, male 55.1
GTEX-14JG6-1326-SM-9OSXU 30-39 years, female 54.9
GTEX-1CB4G-1526-SM-7P8QG 60-69 years, male 50.5
GTEX-1LGOU-0126-SM-EV79W 20-29 years, female 49.0
GTEX-16MTA-0726-SM-7KUL4 50-59 years, male 48.4
GTEX-11NV4-0626-SM-5N9BR 60-69 years, male 48.2
GTEX-1LG7Z-0526-SM-D4P3Q 30-39 years, male 47.9
GTEX-131YS-0726-SM-5P9G9 60-69 years, female 44.9
GTEX-111VG-0526-SM-5N9BW 60-69 years, male 44.6
GTEX-13PVR-0626-SM-5S2RC 60-69 years, female 43.5
GTEX-WFJO-0226-SM-3GIKW 30-39 years, male 42.7
GTEX-1RAZR-1126-SM-E6CRC 40-49 years, male 42.5
GTEX-13FXS-0726-SM-5LZXJ 50-59 years, male 41.3
GTEX-U3ZH-0226-SM-3DB7B 30-39 years, male 41.2
GTEX-13U4I-0526-SM-5LU59 40-49 years, female 39.7
GTEX-139YR-1226-SM-5IFEU 50-59 years, male 37.6
GTEX-ZDYS-0626-SM-5J2N5 50-59 years, male 37.6
GTEX-WFG8-0426-SM-3GILD 20-29 years, male 37.3
GTEX-1I6K6-0726-SM-B2LX4 30-39 years, male 37.0
GTEX-139TS-0126-SM-5K7XJ 60-69 years, male 36.9
GTEX-ZAB5-0726-SM-5P9JG 50-59 years, male 36.8
GTEX-16NGA-0326-SM-718AJ 40-49 years, female 34.8
GTEX-ZTPG-0826-SM-5DUVC 20-29 years, female 34.8
GTEX-1J8QM-0726-SM-CE6RF 60-69 years, female 34.6
GTEX-1LB8K-0626-SM-D4P3Z 50-59 years, male 34.5
GTEX-13111-0226-SM-5EQ55 50-59 years, male 33.7
GTEX-12ZZX-1226-SM-5EGHS 40-49 years, female 33.4
GTEX-QLQ7-0726-SM-2I5G2 60-69 years, male 33.4
GTEX-145ME-0126-SM-5S2QM 40-49 years, female 32.7
GTEX-1O9I2-1226-SM-E6CQC 50-59 years, male 32.2
GTEX-139UW-0126-SM-5KM1B 60-69 years, male 31.8
GTEX-1H1ZS-0726-SM-A9G3K 70-79 years, male 31.8
GTEX-P78B-0526-SM-2I5F7 40-49 years, female 31.5
GTEX-13113-0126-SM-5LZVX 60-69 years, female 31.4
GTEX-1KD5A-0426-SM-D4P3X 50-59 years, male 31.3
GTEX-ZT9W-0226-SM-7SB6H 50-59 years, male 31.2
GTEX-1PIIG-2026-SM-EVR43 30-39 years, male 30.6
GTEX-17HGU-0826-SM-7EWE5 50-59 years, male 30.5
GTEX-Q2AI-0326-SM-2I3EK 40-49 years, male 30.5
GTEX-ZF29-0726-SM-DO92H 60-69 years, female 30.5
GTEX-1JJ6O-0626-SM-AHZ3H 60-69 years, male 30.4
GTEX-PX3G-2626-SM-2I3EG 20-29 years, female 30.2
GTEX-R55G-0726-SM-2TC6J 40-49 years, female 30.0
GTEX-1K9T9-0826-SM-EAZ4X 50-59 years, female 29.8
GTEX-1212Z-0426-SM-5FQT6 60-69 years, male 29.5
GTEX-1MCC2-0526-SM-DHXJS 30-39 years, female 29.3
GTEX-1JK1U-0326-SM-CXZJH 60-69 years, male 28.8
GTEX-131XG-0226-SM-5IFG1 50-59 years, female 28.7
GTEX-ZT9X-0226-SM-51MT2 40-49 years, male 28.0
GTEX-S7SF-0226-SM-5SI7H 20-29 years, female 27.7
GTEX-15RJ7-0326-SM-6M47H 40-49 years, male 27.2
GTEX-Y8E4-0126-SM-4VBQ2 40-49 years, male 26.9
GTEX-133LE-0326-SM-5P9G4 20-29 years, female 26.4
GTEX-WEY5-0526-SM-3GIKZ 40-49 years, female 26.4
GTEX-RU72-0126-SM-2TF6Z 50-59 years, female 26.2
GTEX-1AX8Z-0826-SM-7DUFZ 60-69 years, male 26.0
GTEX-1OJC4-0526-SM-E6CQV 50-59 years, female 25.7
GTEX-1HCU9-0226-SM-9WPNT 20-29 years, male 25.1
GTEX-1I1GP-0326-SM-CNPQ4 50-59 years, male 24.8
GTEX-1LBAC-0726-SM-D3L9U 20-29 years, male 24.8
GTEX-1J1OQ-0526-SM-A9G2P 40-49 years, female 24.5
GTEX-1R9K5-0726-SM-EAZ4E 50-59 years, male 24.1
GTEX-YF7O-0726-SM-4W213 50-59 years, male 23.9
GTEX-ZVP2-0426-SM-57WC2 50-59 years, male 23.9
GTEX-1CB4F-0826-SM-793CV 60-69 years, male 23.2
GTEX-11OF3-0626-SM-5BC4Y 60-69 years, male 23.1
GTEX-1EN7A-1026-SM-7IGPZ 40-49 years, male 23.1
GTEX-1GZ4H-0226-SM-9JGGJ 50-59 years, female 22.9
GTEX-1MJK3-0326-SM-DTX96 20-29 years, male 22.8
GTEX-1C6VS-0826-SM-7EWEI 60-69 years, male 22.6
GTEX-15EO6-0126-SM-6LPKJ 50-59 years, male 22.5
GTEX-13OVG-0226-SM-5LU93 60-69 years, male 22.2
GTEX-17HG3-0226-SM-7EWEA 30-39 years, female 21.7
GTEX-RWS6-0626-SM-2XCAS 60-69 years, female 21.5
GTEX-X8HC-0726-SM-46MWG 50-59 years, female 21.3
GTEX-1H2FU-0626-SM-9WPPS 60-69 years, female 21.3
GTEX-144GM-0226-SM-5Q5CB 20-29 years, male 21.2
GTEX-16XZZ-0826-SM-7IGM3 60-69 years, male 21.1
GTEX-1R46S-0426-SM-EVR48 60-69 years, female 21.1
GTEX-1QP28-0626-SM-E76P5 50-59 years, female 20.9
GTEX-13FTW-0626-SM-5IFEX 40-49 years, male 20.6
GTEX-13NZ9-1126-SM-5MR37 50-59 years, male 20.6
GTEX-11I78-0526-SM-5986A 50-59 years, female 20.4
GTEX-ZV7C-0126-SM-57WDE 50-59 years, male 20.4
GTEX-ZPCL-0126-SM-4WWC8 60-69 years, female 20.3
GTEX-13FLV-0226-SM-5J2OF 50-59 years, male 20.0
GTEX-14BIN-0126-SM-5TDCG 50-59 years, female 20.0
GTEX-ZC5H-0626-SM-5LU9K 40-49 years, female 20.0
GTEX-RNOR-0926-SM-2TF56 50-59 years, female 19.9
GTEX-12WSC-0826-SM-5EQ5Q 50-59 years, male 19.6
GTEX-T2IS-0626-SM-32QP6 20-29 years, female 19.6
GTEX-1JMQL-0926-SM-CJI3F 50-59 years, female 19.4
GTEX-16MT8-0626-SM-6M47Q 60-69 years, female 19.2
GTEX-OXRK-0626-SM-2HMJ5 50-59 years, female 19.2
GTEX-13CF3-0926-SM-5LZZC 60-69 years, female 19.0
GTEX-1OJC3-0626-SM-E8VMO 20-29 years, male 19.0
GTEX-1RQED-0926-SM-EWRNZ 60-69 years, male 19.0
GTEX-1AMEY-0126-SM-73KTX 30-39 years, female 18.9
GTEX-ZPU1-0426-SM-4WWCA 40-49 years, male 18.8
GTEX-1A8G7-1026-SM-73KVA 60-69 years, male 18.7
GTEX-1CB4J-1426-SM-7MKFR 60-69 years, male 18.7
GTEX-RM2N-0526-SM-2TF4N 50-59 years, male 18.6
GTEX-ZVZQ-0626-SM-59HJU 60-69 years, female 18.6
GTEX-1J8JJ-0726-SM-AHZ3E 60-69 years, female 18.6
GTEX-14PN4-1526-SM-6871V 50-59 years, male 18.5
GTEX-1GF9W-0626-SM-7MXVJ 60-69 years, male 18.5
GTEX-1IDJU-1626-SM-CJI4B 60-69 years, female 18.5
GTEX-1K2DA-1526-SM-CGQGQ 50-59 years, male 18.3
GTEX-W5WG-1426-SM-4KKZP 50-59 years, female 18.2
GTEX-ZDXO-1726-SM-5HL6L 60-69 years, male 18.2
GTEX-11NUK-1026-SM-5HL5J 50-59 years, male 18.1
GTEX-15CHR-1726-SM-7DUGW 50-59 years, male 18.1
GTEX-PWN1-2626-SM-2I3FH 40-49 years, female 18.1
GTEX-R53T-0526-SM-3GADL 50-59 years, female 18.1
GTEX-ZPIC-0226-SM-DO91T 40-49 years, female 17.9
GTEX-11EQ8-0826-SM-5N9FG 60-69 years, male 17.8
GTEX-11LCK-0526-SM-5A5M9 30-39 years, male 17.8
GTEX-1KAFJ-0426-SM-DHXJH 50-59 years, male 17.8
GTEX-15DZA-0226-SM-7KFS6 30-39 years, female 17.7
GTEX-ZF28-0826-SM-4WKGJ 60-69 years, male 17.7
GTEX-V1D1-0926-SM-4JBHQ 50-59 years, male 17.5
GTEX-ZVT3-0726-SM-5GICN 60-69 years, female 17.5
GTEX-13OVJ-0626-SM-5J2O2 50-59 years, female 17.2
GTEX-1LGRB-1226-SM-CNNPS 50-59 years, female 17.2
GTEX-1HKZK-0826-SM-A9G2C 40-49 years, male 17.1
GTEX-11EMC-0226-SM-5EGLP 60-69 years, female 17.0
GTEX-13X6H-0526-SM-5LU4Q 50-59 years, female 16.8
GTEX-OHPK-2626-SM-2HMK9 50-59 years, female 16.8
GTEX-T5JW-1226-SM-3GACY 20-29 years, female 16.8
GTEX-ZTSS-0226-SM-59877 40-49 years, male 16.8
GTEX-1RQEC-1026-SM-EVR5B 60-69 years, male 16.8
GTEX-1497J-0126-SM-5Q5BK 60-69 years, male 16.7
GTEX-14PK6-0426-SM-6EU1J 70-79 years, female 16.7
GTEX-1GZ2Q-0826-SM-7P8TK 40-49 years, male 16.7
GTEX-WFG7-0326-SM-DKPO8 20-29 years, male 16.7
GTEX-1269C-0226-SM-5EGKS 60-69 years, female 16.4
GTEX-1399U-0326-SM-5P9G5 50-59 years, female 16.3
GTEX-13QJC-0826-SM-5RQKC 60-69 years, female 16.3
GTEX-U3ZN-0326-SM-3DB86 30-39 years, female 16.3
GTEX-1S83E-0726-SM-EV7B6 40-49 years, male 16.3
GTEX-1QP67-0326-SM-EVR45 40-49 years, female 16.1
GTEX-14PJ6-0326-SM-6871H 60-69 years, female 16.0
GTEX-Q2AH-0726-SM-2I3EA 40-49 years, male 16.0
GTEX-146FR-0326-SM-5SI8U 60-69 years, female 15.9
GTEX-16AAH-0326-SM-7DHML 50-59 years, male 15.8
GTEX-17HII-1926-SM-79OLB 50-59 years, male 15.8
GTEX-ZGAY-1026-SM-4WWBR 40-49 years, female 15.8
GTEX-ZYT6-0426-SM-5GID3 30-39 years, male 15.8
GTEX-145MG-0826-SM-5Q5C2 50-59 years, male 15.7
GTEX-1GMR8-0826-SM-9KNUR 50-59 years, female 15.7
GTEX-R55C-0626-SM-2TF4Q 40-49 years, male 15.6
GTEX-13FH7-0126-SM-5KLZ1 50-59 years, female 15.5
GTEX-17KNJ-1026-SM-79ONK 50-59 years, male 15.5
GTEX-11GSP-0126-SM-5A5KU 60-69 years, female 15.4
GTEX-183FY-0626-SM-79OKR 20-29 years, male 15.4
GTEX-TKQ1-0126-SM-33HB3 30-39 years, male 15.4
GTEX-13FTY-0726-SM-5J2OH 40-49 years, female 15.0
GTEX-X5EB-0726-SM-46MVR 40-49 years, male 15.0
GTEX-1PDJ9-0826-SM-E76PS 20-29 years, male 15.0
GTEX-15RIF-0326-SM-7KUFR 20-29 years, male 14.8
GTEX-12WSG-0226-SM-5EGIF 50-59 years, female 14.7
GTEX-X15G-0526-SM-3NMB7 50-59 years, female 14.7
GTEX-11ZVC-0126-SM-5986G 50-59 years, female 14.6
GTEX-15G1A-0326-SM-6M467 30-39 years, male 14.6
GTEX-1AX9K-0626-SM-73KVD 50-59 years, male 14.6
GTEX-1GMR3-0726-SM-9WPOF 40-49 years, male 14.6
GTEX-1JN6P-0626-SM-ARZN6 60-69 years, male 14.6
GTEX-1QP66-0326-SM-DTX7V 50-59 years, male 14.6
GTEX-14PII-0826-SM-6871S 60-69 years, male 14.5
GTEX-V955-0426-SM-3GAEL 60-69 years, male 14.5
GTEX-ZLWG-0526-SM-4WWFB 50-59 years, female 14.5
GTEX-13OVK-0226-SM-6M472 40-49 years, male 14.4
GTEX-14C39-0226-SM-5TDDW 40-49 years, male 14.4
GTEX-QV31-0726-SM-3GAEG 30-39 years, male 14.3
GTEX-ZQUD-0126-SM-7EPIS 30-39 years, male 14.3
GTEX-ZZPU-1326-SM-5GZWS 50-59 years, female 14.3
GTEX-1F88F-0726-SM-7P8R7 60-69 years, female 14.3
GTEX-XOT4-1526-SM-EAZ2W 60-69 years, female 14.3
GTEX-15RJE-1326-SM-6LPI6 40-49 years, male 14.2
GTEX-11GS4-0826-SM-5986J 60-69 years, male 14.1
GTEX-1399T-0126-SM-5KM15 60-69 years, male 14.1
GTEX-1HSMQ-0526-SM-A96TY 50-59 years, male 14.1
GTEX-1H1DE-0226-SM-ARZN8 20-29 years, male 14.0
GTEX-1J8Q3-0226-SM-C1YR4 60-69 years, male 13.9
GTEX-13YAN-0926-SM-5O9C3 60-69 years, male 13.8
GTEX-14PKU-0326-SM-6AJA7 40-49 years, female 13.7
GTEX-18QFQ-0726-SM-7LG6D 30-39 years, male 13.7
GTEX-1LSVX-0726-SM-E9TJG 60-69 years, male 13.7
GTEX-18A66-0826-SM-72D5Z 60-69 years, male 13.6
GTEX-11NSD-0126-SM-5987F 20-29 years, male 13.5
GTEX-18A67-0826-SM-7KFTI 50-59 years, male 13.5
GTEX-145LU-0426-SM-5O9AH 50-59 years, male 13.4
GTEX-11ZTS-1126-SM-5LU9X 60-69 years, female 13.2
GTEX-13O21-2226-SM-5MR3L 50-59 years, male 13.2
GTEX-15ETS-0526-SM-6PAN3 40-49 years, female 13.2
GTEX-Y114-0626-SM-4TT98 50-59 years, female 13.2
GTEX-WHPG-0226-SM-3NMB9 50-59 years, male 13.1
GTEX-169BO-0326-SM-7EPIM 50-59 years, male 13.0
GTEX-W5X1-0426-SM-3GILB 40-49 years, female 13.0
GTEX-1LVAM-0826-SM-EV79X 50-59 years, female 13.0
GTEX-13N11-1026-SM-5K7XQ 50-59 years, female 12.9
GTEX-14E6E-0326-SM-73KY6 30-39 years, male 12.9
GTEX-1I1GT-0826-SM-B2LWO 60-69 years, female 12.9
GTEX-Y5V5-0326-SM-5RQJG 60-69 years, female 12.8
GTEX-1399R-0126-SM-5IFEV 30-39 years, male 12.7
GTEX-14AS3-0226-SM-5Q5B6 40-49 years, female 12.7
GTEX-1A8FM-0726-SM-7DUGK 50-59 years, female 12.7
GTEX-13S86-1126-SM-5RQJX 40-49 years, male 12.6
GTEX-11DXZ-0926-SM-5N9CG 50-59 years, male 12.5
GTEX-111CU-0226-SM-5GZXC 50-59 years, male 12.4
GTEX-13NZA-1026-SM-5MR48 60-69 years, male 12.4
GTEX-14B4R-0126-SM-5TDE4 30-39 years, male 12.4
GTEX-1I6K7-1126-SM-A96SW 40-49 years, male 12.3
GTEX-1PFEY-0226-SM-EVR3M 30-39 years, male 12.3
GTEX-OIZF-2626-SM-7P8QZ 60-69 years, male 12.3
GTEX-Y9LG-0426-SM-4VBRT 30-39 years, male 12.2
GTEX-1HCUA-0126-SM-B2LWC 50-59 years, female 12.2
GTEX-R55E-0826-SM-2TC5M 20-29 years, male 12.1
GTEX-1RDX4-0926-SM-E9U6D 50-59 years, female 12.1
GTEX-1AX9J-2126-SM-731DD 60-69 years, male 12.0
GTEX-T6MN-0626-SM-32PM9 50-59 years, male 12.0
GTEX-Y3IK-0526-SM-4WWE3 50-59 years, female 12.0
GTEX-13O3P-0726-SM-5J2OM 50-59 years, male 11.9
GTEX-R3RS-0726-SM-3GIJR 40-49 years, female 11.9
GTEX-WXYG-0226-SM-3NB2Y 50-59 years, female 11.9
GTEX-11O72-2326-SM-5BC7H 40-49 years, male 11.8
GTEX-18D9U-1026-SM-72D5R 40-49 years, male 11.8
GTEX-14ICK-1626-SM-6ETZX 40-49 years, male 11.7
GTEX-ZA64-0426-SM-5HL96 20-29 years, male 11.6
GTEX-P4PQ-2626-SM-33HC9 60-69 years, male 11.5
GTEX-1GF9U-0226-SM-7P8TY 40-49 years, female 11.5
GTEX-16YQH-0326-SM-6LPJV 30-39 years, male 11.4
GTEX-1CAMS-0826-SM-7P8P1 40-49 years, female 11.4
GTEX-1J8EW-1126-SM-A96T8 60-69 years, female 11.3
GTEX-1PBJI-0726-SM-EXUSQ 20-29 years, female 11.3
GTEX-Z9EW-0226-SM-5CVM7 40-49 years, male 11.2
GTEX-ZUA1-0926-SM-4YCDX 40-49 years, male 11.2
GTEX-14C38-0826-SM-5S2U8 50-59 years, male 11.1
GTEX-VUSG-0426-SM-3GIKD 50-59 years, male 11.1
GTEX-1HBPM-0926-SM-ARL9C 60-69 years, female 11.1
GTEX-12ZZY-0826-SM-5EQMT 60-69 years, male 11.0
GTEX-PLZ4-1226-SM-2I5FE 50-59 years, female 11.0
GTEX-11EQ9-0626-SM-5A5K1 30-39 years, male 10.9
GTEX-13X6J-0826-SM-5LU32 50-59 years, male 10.9
GTEX-1C4CL-0726-SM-7IGP9 30-39 years, male 10.9
GTEX-1O97I-1026-SM-E76PI 60-69 years, male 10.9
GTEX-S341-0226-SM-D4P1Y 40-49 years, female 10.9
GTEX-QXCU-0326-SM-2TC63 50-59 years, male 10.8
GTEX-SJXC-0726-SM-2XCFJ 60-69 years, male 10.8
GTEX-1HSGN-0726-SM-A9G2F 40-49 years, female 10.8
GTEX-1JKYN-1126-SM-CGQG5 30-39 years, male 10.8
GTEX-17MF6-0626-SM-7LT8D 40-49 years, male 10.7
GTEX-VJYA-0426-SM-3GIJK 60-69 years, male 10.6
GTEX-1GL5R-0626-SM-7PBZY 50-59 years, male 10.6
GTEX-1CAMQ-1126-SM-7EWFE 40-49 years, male 10.5
GTEX-QDVJ-0226-SM-2I5FV 50-59 years, male 10.5
GTEX-1HR9M-0626-SM-A96S6 60-69 years, male 10.5
GTEX-1JMPY-0126-SM-CJI39 30-39 years, male 10.5
GTEX-14753-0926-SM-5Q5BI 60-69 years, male 10.4
GTEX-1I1GR-1126-SM-A9G2I 60-69 years, male 10.4
GTEX-1C2JI-0326-SM-7EWFD 50-59 years, male 10.3
GTEX-WH7G-0526-SM-3NMBI 40-49 years, male 10.3
GTEX-ZE7O-1126-SM-57WC8 50-59 years, female 10.2
GTEX-147GR-0726-SM-5S2PL 60-69 years, male 10.1
GTEX-15SHU-0726-SM-7KUFI 40-49 years, female 10.1
GTEX-WWYW-0826-SM-3NB2X 50-59 years, female 10.1
GTEX-1NV5F-0726-SM-DTXEH 60-69 years, female 10.1
GTEX-131XE-0126-SM-5LZVC 50-59 years, male 10.0
GTEX-1GN1U-0826-SM-9WPPX 50-59 years, female 10.0
GTEX-1RAZA-0826-SM-EAZ4I 20-29 years, male 10.0
GTEX-146FQ-0726-SM-5LUA7 30-39 years, male 9.9
GTEX-WYJK-1626-SM-3NM9J 50-59 years, male 9.9
GTEX-1477Z-0226-SM-5TDCI 60-69 years, male 9.8
GTEX-14PJO-0626-SM-6LLHH 60-69 years, male 9.8
GTEX-RWSA-0826-SM-2XCBF 40-49 years, male 9.8
GTEX-1H1E6-0326-SM-9OSWE 30-39 years, male 9.8
GTEX-P4QS-2626-SM-2I3EV 60-69 years, male 9.7
GTEX-11DXX-0226-SM-5P9HL 60-69 years, female 9.6
GTEX-17GQL-0226-SM-7LTAK 60-69 years, male 9.6
GTEX-1PIGE-0726-SM-DPRZD 20-29 years, male 9.6
GTEX-15CHQ-0826-SM-69LOT 60-69 years, male 9.5
GTEX-16BQI-0726-SM-6LPJZ 30-39 years, female 9.5
GTEX-QV44-0826-SM-2S1RG 50-59 years, male 9.5
GTEX-U4B1-0626-SM-3DB8L 40-49 years, male 9.5
GTEX-1AMFI-0526-SM-7189M 50-59 years, female 9.4
GTEX-1F6IF-1126-SM-9KNV2 60-69 years, male 9.4
GTEX-1R9JW-0226-SM-EVR4K 30-39 years, female 9.3
GTEX-11EM3-0126-SM-5985K 20-29 years, female 9.2
GTEX-132AR-1126-SM-5P9GA 50-59 years, female 9.2
GTEX-OHPM-2626-SM-33HC5 50-59 years, male 9.2
GTEX-1JMPZ-0626-SM-CY8HY 30-39 years, male 9.2
GTEX-OIZI-0726-SM-2XCEI 40-49 years, male 9.1
GTEX-SNOS-0226-SM-32PLR 40-49 years, male 9.1
GTEX-YJ89-0726-SM-5P9F7 60-69 years, male 9.1
GTEX-1H1DF-1026-SM-9QEJ1 40-49 years, female 9.1
GTEX-1JMLX-0826-SM-CNNPP 50-59 years, male 9.1
GTEX-1BAJH-0926-SM-79OO6 70-79 years, male 9.0
GTEX-REY6-0526-SM-2TF5M 60-69 years, male 9.0
GTEX-RU1J-0226-SM-2TF5Y 20-29 years, female 9.0
GTEX-1C6VQ-0526-SM-7MGWD 50-59 years, male 9.0
GTEX-1JMQJ-2026-SM-CNPP9 50-59 years, male 9.0
GTEX-11P81-0126-SM-5HL5Y 30-39 years, female 8.9
GTEX-P4QT-2626-SM-2I3FM 50-59 years, female 8.9
GTEX-1HSKV-1026-SM-B2LWK 60-69 years, male 8.9
GTEX-14A6H-2426-SM-5Q5BO 30-39 years, male 8.8
GTEX-16Z82-0426-SM-7EPGX 60-69 years, male 8.8
GTEX-ZXG5-0926-SM-5NQ8H 60-69 years, male 8.8
GTEX-1HCVE-0726-SM-A96SH 50-59 years, male 8.8
GTEX-ZF3C-0826-SM-DO11E 50-59 years, female 8.8
GTEX-18D9A-0126-SM-7KFSI 30-39 years, female 8.7
GTEX-QDVN-0626-SM-2I3FP 50-59 years, male 8.7
GTEX-WL46-0126-SM-3TW8I 50-59 years, male 8.7
GTEX-ZYY3-1926-SM-5GZXS 60-69 years, female 8.7
GTEX-18A7A-0826-SM-7KFTJ 50-59 years, female 8.6
GTEX-1B8KZ-0426-SM-731DP 50-59 years, male 8.6
GTEX-1CB4I-0726-SM-7DUGS 50-59 years, male 8.6
GTEX-OIZG-0226-SM-2TC5L 50-59 years, male 8.6
GTEX-UJMC-0326-SM-3GAE2 50-59 years, male 8.6
GTEX-ZDTS-0926-SM-5YY9D 60-69 years, male 8.6
GTEX-1J1R8-0126-SM-CJI36 40-49 years, male 8.6
GTEX-XUZC-0126-SM-4BOO6 30-39 years, female 8.5
GTEX-ZTX8-0626-SM-59HKC 20-29 years, male 8.5
GTEX-YEC3-0826-SM-4WWFP 50-59 years, male 8.4
GTEX-14PKV-0626-SM-6AJA2 20-29 years, female 8.3
GTEX-ZAJG-0726-SM-5HL9A 50-59 years, female 8.3
GTEX-15DDE-0626-SM-69LOK 50-59 years, female 8.2
GTEX-1HFI7-0326-SM-9WPOX 50-59 years, female 8.2
GTEX-YEC4-0626-SM-5CVLU 40-49 years, male 8.1
GTEX-13W46-0926-SM-5LU3T 50-59 years, male 8.0
GTEX-1B932-0926-SM-73KUP 40-49 years, female 8.0
GTEX-OOBJ-2626-SM-2I3F6 60-69 years, male 8.0
GTEX-Q2AG-0826-SM-2HMKF 40-49 years, female 8.0
GTEX-1E1VI-0726-SM-7P8QJ 50-59 years, male 8.0
GTEX-1MGNQ-0726-SM-DPRYH 40-49 years, male 8.0
GTEX-13OW6-0726-SM-5L3FX 50-59 years, male 7.9
GTEX-ZY6K-0226-SM-5SIAY 50-59 years, male 7.9
GTEX-1EU9M-0626-SM-7MXUT 60-69 years, male 7.9
GTEX-1GPI7-0726-SM-9WG84 20-29 years, male 7.9
GTEX-1211K-0726-SM-5FQUW 60-69 years, female 7.8
GTEX-14E6C-2626-SM-5RQJP 40-49 years, male 7.8
GTEX-1CB4H-0126-SM-7IGN2 60-69 years, female 7.8
GTEX-RN64-0626-SM-2TC5V 50-59 years, male 7.8
GTEX-Y5LM-0626-SM-4V6G4 40-49 years, female 7.8
GTEX-ZZ64-0126-SM-5GZXA 20-29 years, male 7.8
GTEX-1KANC-0826-SM-D3LA8 50-59 years, female 7.8
GTEX-XYKS-0826-SM-4BRVF 60-69 years, female 7.7
GTEX-13O3O-0926-SM-5KM1F 60-69 years, female 7.6
GTEX-WY7C-0226-SM-3NB37 50-59 years, male 7.6
GTEX-1HB9E-0826-SM-CNNQJ 50-59 years, male 7.6
GTEX-1JJE9-0226-SM-CY8HU 70-79 years, male 7.6
GTEX-17HHE-0426-SM-79OK3 50-59 years, male 7.5
GTEX-S7SE-0726-SM-2XCD7 50-59 years, male 7.5
GTEX-14PJ3-0126-SM-69LQP 50-59 years, male 7.4
GTEX-14PJ4-0326-SM-664OT 60-69 years, male 7.4
GTEX-1C6VR-0426-SM-7IGN6 60-69 years, male 7.4
GTEX-ZYFD-0826-SM-5NQ9A 50-59 years, male 7.4
GTEX-117YW-0126-SM-5EGGN 50-59 years, male 7.3
GTEX-148VJ-0726-SM-5LU8J 70-79 years, male 7.3
GTEX-14C5O-0826-SM-5TDEG 60-69 years, male 7.3
GTEX-14PN3-0826-SM-69LOS 60-69 years, female 7.3
GTEX-15ER7-0726-SM-7KUMF 20-29 years, female 7.3
GTEX-WRHU-0926-SM-4E3IG 50-59 years, female 7.3
GTEX-11TUW-0226-SM-5LU8X 60-69 years, male 7.2
GTEX-13VXT-0626-SM-5SIA1 20-29 years, female 7.2
GTEX-18465-1426-SM-7KFTF 50-59 years, male 7.2
GTEX-1ICLZ-0526-SM-ARZM8 60-69 years, male 7.2
GTEX-1QAET-0226-SM-EVR3T 50-59 years, male 7.2
GTEX-RUSQ-1026-SM-2TF6V 50-59 years, male 7.1
GTEX-1HGF4-0726-SM-9WYU9 60-69 years, male 7.1
GTEX-117XS-0526-SM-5987Q 60-69 years, male 7.0
GTEX-1AYCT-0226-SM-73KVB 50-59 years, male 7.0
GTEX-1C64N-1026-SM-79ONM 50-59 years, male 7.0
GTEX-XV7Q-0326-SM-4BRVM 40-49 years, female 7.0
GTEX-1NUQO-0926-SM-DTXEX 20-29 years, female 7.0
GTEX-O5YV-1526-SM-EV799 60-69 years, female 7.0
GTEX-18D9B-0726-SM-72D6K 60-69 years, male 6.9
GTEX-1HCU7-0826-SM-B2LX7 50-59 years, male 6.9
GTEX-1IKOE-0926-SM-ARU7X 30-39 years, female 6.9
GTEX-1S5ZU-0726-SM-EWROH 20-29 years, female 6.9
GTEX-11VI4-0226-SM-5GU6C 40-49 years, female 6.8
GTEX-14JIY-1226-SM-6871R 60-69 years, male 6.8
GTEX-WHSB-1626-SM-3LK6J 50-59 years, male 6.8
GTEX-1H11D-0626-SM-9WPQ1 40-49 years, male 6.8
GTEX-11P82-0226-SM-5HL4O 20-29 years, male 6.7
GTEX-131XF-1826-SM-5EGKG 60-69 years, male 6.7
GTEX-NFK9-0726-SM-2HMJW 40-49 years, male 6.7
GTEX-S32W-0726-SM-2XCBL 50-59 years, female 6.7
GTEX-XLM4-0726-SM-4AT64 60-69 years, male 6.7
GTEX-ZV6S-0226-SM-59HJT 40-49 years, female 6.7
GTEX-1B933-1026-SM-7P8RO 50-59 years, female 6.7
GTEX-1GF9X-0126-SM-A9G38 40-49 years, female 6.7
GTEX-1IDJH-0826-SM-CE6SY 70-79 years, male 6.7
GTEX-1M4P7-0626-SM-EVR51 60-69 years, male 6.7
GTEX-ZYFC-0926-SM-5GZWW 50-59 years, male 6.6
GTEX-1IDJC-1026-SM-A96T2 50-59 years, male 6.6
GTEX-XMK1-0626-SM-4B65A 40-49 years, male 6.5
GTEX-13O1R-0826-SM-5J2MB 60-69 years, male 6.4
GTEX-17F9E-0626-SM-79ON5 50-59 years, male 6.4
GTEX-N7MS-2326-SM-2HMLD 60-69 years, male 6.4
GTEX-P44G-0626-SM-2I5EO 30-39 years, male 6.4
GTEX-1F5PL-0826-SM-7MXU7 40-49 years, female 6.4
GTEX-1HC8U-1226-SM-9WYUW 40-49 years, female 6.4
GTEX-14XAO-0426-SM-6AJB6 60-69 years, female 6.3
GTEX-17F97-0626-SM-7IGOH 50-59 years, male 6.2
GTEX-1HBPH-0926-SM-A9SME 40-49 years, female 6.2
GTEX-1HSMO-0726-SM-A96TM 60-69 years, male 6.2
GTEX-1QPFJ-0626-SM-DTX7Y 30-39 years, female 6.2
GTEX-13PVQ-0726-SM-5L3GI 50-59 years, male 6.1
GTEX-1EMGI-0826-SM-7EPHY 60-69 years, male 6.1
GTEX-TSE9-0626-SM-3DB8B 60-69 years, female 6.1
GTEX-Y111-1926-SM-4SOIS 50-59 years, male 6.1
GTEX-12WSE-1226-SM-73KUF 20-29 years, male 6.0
GTEX-14A5H-0726-SM-5Q5DW 60-69 years, male 6.0
GTEX-14ICL-0426-SM-5RQJ3 30-39 years, male 6.0
GTEX-1A8G6-0626-SM-7IGNB 60-69 years, male 6.0
GTEX-RTLS-0626-SM-5SI7Z 60-69 years, female 6.0
GTEX-1QP6S-2526-SM-DTX9Z 40-49 years, male 6.0
GTEX-1R9PM-0226-SM-DPRY7 20-29 years, male 6.0
GTEX-12WSK-0926-SM-5CVNQ 40-49 years, female 5.9
GTEX-X4LF-0426-SM-3NMB5 50-59 years, male 5.9
GTEX-1GZ4I-0626-SM-9WPPN 50-59 years, male 5.9
GTEX-1H1DG-0726-SM-A96TN 70-79 years, male 5.9
GTEX-1QP2A-0626-SM-DTX9C 50-59 years, male 5.9
GTEX-13N1W-0826-SM-5MR5J 70-79 years, male 5.8
GTEX-13OVI-0826-SM-5KLZ8 60-69 years, female 5.8
GTEX-Y3I4-0226-SM-4TT27 50-59 years, male 5.8
GTEX-1F75I-0926-SM-7MXUU 40-49 years, male 5.8
GTEX-OXRN-1526-SM-E6CHM 50-59 years, male 5.8
GTEX-17EVQ-0526-SM-7KFSK 70-79 years, male 5.7
GTEX-1B8SF-0626-SM-73KVV 60-69 years, male 5.7
GTEX-1B97I-0326-SM-7DUGB 40-49 years, male 5.7
GTEX-U3ZM-0126-SM-3DB8M 40-49 years, male 5.7
GTEX-1IKOH-0626-SM-CJI35 60-69 years, female 5.7
GTEX-1HSEH-0826-SM-B2LXE 60-69 years, male 5.6
GTEX-1PWST-0726-SM-EWRMO 70-79 years, male 5.6
GTEX-1QP9N-0126-SM-DPRZS 30-39 years, male 5.6
GTEX-1192X-1126-SM-5EGGU 50-59 years, male 5.5
GTEX-144GL-1226-SM-5O9A4 50-59 years, male 5.5
GTEX-ZQG8-0926-SM-57WFF 60-69 years, female 5.5
GTEX-1RAZQ-0926-SM-EAZ4Q 30-39 years, male 5.5
GTEX-1128S-0126-SM-5H12S 60-69 years, female 5.4
GTEX-11DXY-0426-SM-5H12R 60-69 years, male 5.4
GTEX-15SB6-1526-SM-7KUMQ 50-59 years, female 5.4
GTEX-SIU8-0626-SM-2XCDN 50-59 years, male 5.4
GTEX-Y5V6-0526-SM-4VBRV 60-69 years, male 5.4
GTEX-ZYW4-1126-SM-5SI99 60-69 years, male 5.4
GTEX-1CB4E-0326-SM-7MXT3 60-69 years, male 5.4
GTEX-1F75B-0826-SM-9QEIT 50-59 years, male 5.4
GTEX-1313W-0726-SM-5EGK1 50-59 years, female 5.3
GTEX-14BMV-0726-SM-73KVE 50-59 years, male 5.3
GTEX-14PHW-2926-SM-6AJBA 60-69 years, female 5.3
GTEX-1JJEA-0626-SM-D3L96 60-69 years, male 5.3
GTEX-1KXAM-1726-SM-D3LAE 60-69 years, male 5.3
GTEX-RN5K-2826-SM-EZ6L3 50-59 years, female 5.3
GTEX-1122O-0226-SM-5N9DA 60-69 years, female 5.2
GTEX-13NZ8-0226-SM-5J2OK 60-69 years, female 5.2
GTEX-13PDP-1026-SM-5L3FA 60-69 years, male 5.2
GTEX-17F96-0526-SM-79OLE 70-79 years, male 5.2
GTEX-SN8G-1526-SM-4DM79 50-59 years, female 5.2
GTEX-XUW1-1026-SM-4BONY 50-59 years, female 5.2
GTEX-ZVZP-1026-SM-5GICI 50-59 years, male 5.2
GTEX-1JKYR-0826-SM-ARU8L 20-29 years, male 5.2
GTEX-11P7K-0226-SM-5986Z 30-39 years, male 5.1
GTEX-14E7W-0926-SM-5YYA4 70-79 years, male 5.1
GTEX-16XZY-0726-SM-79OMU 70-79 years, male 5.1
GTEX-1CAMR-0226-SM-7DUGO 20-29 years, male 5.1
GTEX-OXRO-1226-SM-48TDL 60-69 years, female 5.1
GTEX-WHSE-0626-SM-4RGNF 20-29 years, male 5.1
GTEX-XGQ4-0426-SM-4AT4I 50-59 years, male 5.1
GTEX-1B97J-0626-SM-7P8RU 50-59 years, female 5.1
GTEX-1GF9V-0926-SM-9KNW7 60-69 years, male 5.1
GTEX-1I1GS-0726-SM-C1YS7 60-69 years, male 5.1
GTEX-1ICG6-0426-SM-ARU7M 70-79 years, female 5.1
GTEX-13N2G-0726-SM-5MR38 60-69 years, male 5.0
GTEX-13OW5-0626-SM-5J2N2 60-69 years, male 5.0
GTEX-148VI-0526-SM-5TDDG 60-69 years, female 5.0
GTEX-OXRP-0326-SM-33HBJ 60-69 years, female 5.0
GTEX-1IY9M-1026-SM-A96TG 60-69 years, male 5.0
GTEX-1RMOY-0126-SM-EWRNN 50-59 years, male 5.0
GTEX-12WSL-0626-SM-5GCOY 50-59 years, male 4.9
GTEX-131XH-0526-SM-5DUX7 50-59 years, male 4.9
GTEX-13NYC-2426-SM-5MR3K 60-69 years, male 4.9
GTEX-1A3MV-0326-SM-73KW7 30-39 years, male 4.9
GTEX-ZAK1-0726-SM-5HL8Q 50-59 years, female 4.8
GTEX-ZYVF-1126-SM-5E458 50-59 years, female 4.8
GTEX-1F48J-0926-SM-7P8PZ 50-59 years, female 4.8
GTEX-1GN1W-0126-SM-7MXV7 50-59 years, female 4.8
GTEX-1MA7X-0926-SM-DIPEJ 60-69 years, male 4.8
GTEX-11UD2-0626-SM-5GU6L 50-59 years, male 4.7
GTEX-14ABY-0926-SM-5Q5DY 50-59 years, male 4.7
GTEX-18A6Q-0726-SM-7LT8Y 60-69 years, male 4.7
GTEX-1B8SG-1126-SM-7IGMT 50-59 years, male 4.7
GTEX-1IKJJ-1026-SM-A96SQ 60-69 years, male 4.7
GTEX-1IOXB-1026-SM-CJI4D 50-59 years, male 4.7
GTEX-1MJK2-0826-SM-DTXE8 50-59 years, male 4.7
GTEX-12WSN-0726-SM-5GCMS 40-49 years, male 4.6
GTEX-XBED-0126-SM-47JY7 60-69 years, male 4.5
GTEX-1GN2E-0826-SM-9WYT8 60-69 years, male 4.5
GTEX-Z93S-0526-SM-EVYB4 50-59 years, male 4.5
GTEX-113JC-0126-SM-5EGJW 50-59 years, female 4.4
GTEX-147F4-0826-SM-5QGRB 50-59 years, male 4.4
GTEX-14PQA-1226-SM-6M47A 50-59 years, female 4.4
GTEX-16GPK-0926-SM-6LPJ9 60-69 years, male 4.4
GTEX-17JCI-0626-SM-7IGM7 60-69 years, female 4.4
GTEX-183WM-2626-SM-7KFRY 70-79 years, female 4.4
GTEX-1P4AB-1126-SM-DTX94 50-59 years, male 4.4
GTEX-13OW7-0826-SM-5L3EL 50-59 years, male 4.3
GTEX-13OW8-0126-SM-5IJE5 60-69 years, male 4.3
GTEX-1EX96-0126-SM-9KNVH 50-59 years, male 4.3
GTEX-1H3VE-0826-SM-9KNVQ 40-49 years, male 4.3
GTEX-1IL2V-0626-SM-ARU7S 70-79 years, male 4.3
GTEX-RVPV-1226-SM-2TF73 60-69 years, male 4.2
GTEX-SE5C-0726-SM-4BRWY 40-49 years, female 4.2
GTEX-WVLH-0626-SM-3MJG7 50-59 years, male 4.1
GTEX-1GMRU-1126-SM-9KNV1 50-59 years, male 4.1
GTEX-1QCLY-0826-SM-DTX8A 30-39 years, male 4.1
GTEX-12BJ1-0426-SM-5FQSO 60-69 years, male 4.0
GTEX-17HHY-0826-SM-7EPID 50-59 years, male 4.0
GTEX-1JMQK-2126-SM-CY8I2 60-69 years, male 4.0
GTEX-QDT8-1226-SM-EVR35 30-39 years, female 4.0
GTEX-139T6-0326-SM-5J2LY 50-59 years, male 3.9
GTEX-17EVP-0126-SM-7EPHW 40-49 years, male 3.9
GTEX-OXRL-2626-SM-2I3F1 50-59 years, male 3.9
GTEX-QEL4-0726-SM-3GIJ5 50-59 years, male 3.9
GTEX-SUCS-0226-SM-32PLQ 70-79 years, male 3.9
GTEX-U412-0726-SM-EVR2Y 60-69 years, male 3.9
GTEX-1B8L1-1626-SM-7IGMH 60-69 years, male 3.8
GTEX-1EKGG-0726-SM-7IGPX 60-69 years, male 3.8
GTEX-1H1CY-0726-SM-9OSXX 60-69 years, female 3.8
GTEX-12696-0326-SM-5EGL4 60-69 years, male 3.7
GTEX-QEG5-0826-SM-2I5GF 20-29 years, male 3.7
GTEX-T6MO-0226-SM-32QOL 40-49 years, female 3.7
GTEX-132QS-0326-SM-5IJFN 60-69 years, male 3.6
GTEX-13JVG-0926-SM-5IJE1 60-69 years, male 3.6
GTEX-1EWIQ-0826-SM-7MXTH 70-79 years, female 3.6
GTEX-1I1GV-0726-SM-ARZLY 60-69 years, male 3.6
GTEX-1ICLY-0726-SM-A96TB 50-59 years, male 3.6
GTEX-1PPGY-1426-SM-EVR3R 60-69 years, male 3.6
GTEX-13PL6-1026-SM-5L3E5 40-49 years, female 3.5
GTEX-Q734-0526-SM-2I3EH 40-49 years, female 3.5
GTEX-1HFI6-1326-SM-A9SL8 40-49 years, male 3.5
GTEX-1GTWX-0726-SM-9WPPA 60-69 years, male 3.4
GTEX-1LH75-0626-SM-DIPG3 50-59 years, female 3.4
GTEX-11EI6-0726-SM-59866 60-69 years, male 3.3
GTEX-11ZTT-1026-SM-5EQKF 60-69 years, female 3.3
GTEX-YFCO-0326-SM-4W1ZP 40-49 years, male 3.3
GTEX-ZLFU-0626-SM-4WWBO 40-49 years, male 3.3
GTEX-12WSD-0926-SM-5GCNL 60-69 years, female 3.2
GTEX-12ZZZ-1226-SM-59HK1 60-69 years, male 3.2
GTEX-15RIE-0426-SM-7KUMH 60-69 years, male 3.2
GTEX-1B8KE-0626-SM-7189H 50-59 years, male 3.2
GTEX-WOFL-0726-SM-3MJG4 60-69 years, male 3.2
GTEX-1K2DU-0126-SM-E9TIU 20-29 years, male 3.2
GTEX-11DYG-0826-SM-5N9GH 60-69 years, male 3.1
GTEX-11DZ1-2726-SM-5A5KH 50-59 years, male 3.1
GTEX-13IVO-0926-SM-5KLZP 70-79 years, male 3.1
GTEX-13QJ3-0926-SM-73KX5 50-59 years, male 3.1
GTEX-WYBS-1926-SM-3NM8N 60-69 years, female 3.1
GTEX-1PBJJ-1926-SM-DTX8T 30-39 years, male 3.1
GTEX-13RTK-0326-SM-5RQHS 20-29 years, male 3.0
GTEX-YB5E-0626-SM-4VDSE 40-49 years, male 3.0
GTEX-1F75A-0326-SM-7MXTR 50-59 years, male 3.0
GTEX-1FIGZ-0226-SM-7P8QR 40-49 years, male 3.0
GTEX-1RAZS-1026-SM-E9TID 50-59 years, male 3.0
GTEX-13FLW-0326-SM-5J2M4 50-59 years, male 2.9
GTEX-13NYB-0726-SM-5MR4J 40-49 years, male 2.9
GTEX-1IL2U-0826-SM-CL53Q 60-69 years, male 2.9
GTEX-12584-0826-SM-5FQSK 40-49 years, male 2.8
GTEX-12WSH-0226-SM-5GCOG 50-59 years, male 2.8
GTEX-1AX9I-0626-SM-72D54 60-69 years, male 2.8
GTEX-111FC-1026-SM-5GZX1 60-69 years, male 2.7
GTEX-T8EM-0226-SM-3DB7C 40-49 years, male 2.7
GTEX-ZYFG-0626-SM-5GZYA 60-69 years, female 2.7
GTEX-1HT8W-1526-SM-CE6S3 30-39 years, male 2.7
GTEX-11TT1-1126-SM-5P9GV 20-29 years, male 2.6
GTEX-145MI-1126-SM-5O9AK 60-69 years, female 2.6
GTEX-15UF6-1126-SM-6LPJ3 70-79 years, female 2.6
GTEX-1HBPN-1226-SM-B2LW9 50-59 years, male 2.6
GTEX-13QBU-0626-SM-5J2OG 40-49 years, female 2.5
GTEX-15CHC-0126-SM-5YYBA 60-69 years, female 2.5
GTEX-U8T8-2326-SM-3DB96 60-69 years, male 2.5
GTEX-1F52S-0526-SM-7P8TP 60-69 years, female 2.5
GTEX-1KD4Q-1026-SM-CXZKJ 40-49 years, male 2.5
GTEX-1MUQO-0726-SM-E9TJM 60-69 years, male 2.5
GTEX-144GO-0126-SM-5LUAO 60-69 years, male 2.4
GTEX-145LT-0226-SM-5S2QK 40-49 years, male 2.4
GTEX-15EU6-1426-SM-6M48E 50-59 years, male 2.4
GTEX-1IGQW-0626-SM-C1YR9 60-69 years, male 2.4
GTEX-1RNSC-1126-SM-E9TIP 60-69 years, male 2.4
GTEX-1192W-0126-SM-5EGGS 60-69 years, male 2.3
GTEX-12WSJ-0326-SM-5GCMT 40-49 years, female 2.3
GTEX-1I19N-0226-SM-CE6ST 70-79 years, male 2.3
GTEX-1IE54-0926-SM-A9G2Y 40-49 years, female 2.3
GTEX-132NY-1026-SM-5P9IY 60-69 years, male 2.2
GTEX-13RTJ-0326-SM-5YYAE 60-69 years, male 2.2
GTEX-13VXU-0826-SM-5KLZ2 50-59 years, male 2.2
GTEX-1EH9U-0926-SM-7EWF1 60-69 years, male 2.2
GTEX-POYW-0826-SM-2XCEM 60-69 years, male 2.2
GTEX-1GZHY-1426-SM-9WG5H 50-59 years, female 2.2
GTEX-13O3Q-0626-SM-5IJG1 50-59 years, male 2.1
GTEX-XBEW-0126-SM-4AT66 40-49 years, male 2.1
GTEX-1GN1V-0626-SM-7P8QU 60-69 years, male 2.1
GTEX-11TTK-0826-SM-5N9EG 60-69 years, female 2.0
GTEX-13112-0326-SM-5P9IW 50-59 years, male 2.0
GTEX-145MH-0426-SM-5LU8T 50-59 years, male 2.0
GTEX-1I1GU-0826-SM-ARZM5 40-49 years, male 2.0
GTEX-1PPH8-0926-SM-DTX9U 20-29 years, male 2.0
GTEX-X4XX-0926-SM-46MV7 60-69 years, male 1.9
GTEX-15D1Q-0626-SM-6AJAZ 40-49 years, male 1.8
GTEX-13O61-0226-SM-5KM52 60-69 years, male 1.7
GTEX-17F9Y-0526-SM-7EWDC 70-79 years, female 1.7
GTEX-1HR98-0326-SM-CGQEL 60-69 years, male 1.7
GTEX-14ASI-0726-SM-5Q5DC 60-69 years, male 1.6
GTEX-X4XY-0826-SM-4E3JM 60-69 years, male 1.6
GTEX-XXEK-1326-SM-4BRV1 50-59 years, male 1.6
GTEX-1LVAN-0726-SM-CNNPF 50-59 years, female 1.6
GTEX-117YX-1226-SM-5H11S 50-59 years, male 1.5
GTEX-11GSO-0626-SM-5A5LW 60-69 years, male 1.5
GTEX-15G19-0626-SM-6M474 60-69 years, male 1.5
GTEX-1N5O9-1026-SM-DTX8Y 60-69 years, male 1.4
GTEX-13FHP-0926-SM-5L3EC 50-59 years, male 1.3
GTEX-13G51-1226-SM-5K7Z3 60-69 years, male 1.3
GTEX-1LG7Y-0626-SM-DHXJM 50-59 years, male 1.3
GTEX-1OFPY-1526-SM-DTX8R 60-69 years, male 1.2
GTEX-X261-0726-SM-EZ6MH 50-59 years, male 1.2
GTEX-WK11-0926-SM-3NMAU 50-59 years, male 0.4
Show allShow less

THYROID GLAND - FANTOM5 CAGEi

RNA expression in human tissues obtained through Cap Analysis of Gene Expression (CAGE) generated by the FANTOM5 project are reported as Scaled Tags Per Million.

Max subtype Scaled Tags Per Millioni

Max subtype Scaled Tags Per Million is the value for the subtype with the largest average Scaled Tags Per Million across the subtype samples.

34.0
FANTOM5 sample id Sample description Scaled Tags Per Million
Thyroid
Scaled Tags Per Million: 34.0
FF:10028-101E1 67,68,78 years, mixed 34.0

Contact

  • NEWS ARTICLES
  • PRESS ROOM

The Project

  • INTRODUCTION
  • ORGANIZATION
  • PUBLICATIONS

The Human Protein Atlas

  • DOWNLOADABLE DATA
  • LICENCE & CITATION
  • HELP & FAQ
The Human Protein Atlas project is funded
by the Knut & Alice Wallenberg Foundation.


contact@proteinatlas.org