We use cookies to enhance the usability of our website. If you continue, we'll assume that you are happy to receive all cookies. More information. Don't show this again.
LYZ
HPA
RESOURCES
  • TISSUE
  • BRAIN
  • SINGLE CELL
  • SUBCELLULAR
  • CANCER
  • BLOOD
  • CELL LINE
  • STRUCTURE & INTERACTION
ABOUT
  • INTRODUCTION
  • HISTORY
  • ORGANIZATION
  • PUBLICATIONS
  • ANTIBODY SUBMISSION
  • ANTIBODY AVAILABILITY
  • ACKNOWLEDGMENTS
  • CONTACT
NEWS
  • NEWS ARTICLES
  • PRESS ROOM
LEARN
  • DICTIONARY
  • PROTEIN CLASSES
  • PROTEIN EVIDENCE
  • METHODS
  • EDUCATIONAL VIDEOS
DATA
  • DOWNLOADABLE DATA
  • PUBLICATION DATA
  • RELEASE HISTORY
HELP
  • ANTIBODY VALIDATION
  • ASSAYS & ANNOTATION
  • DISCLAIMER
  • HELP & FAQ
  • PRIVACY STATEMENT
  • LICENCE & CITATION
Fields »
Search result

Field
Term
Gene name
Class
Subclass
Class
Keyword
Chromosome
External id
Tissue
Cell type
Expression
Antibody panel
Tissue
Main location
Patient ID
Annotation
Tissue
Category
Tau score
Cluster
Reliability
Brain region
Category
Tau score
Brain region
Category
Tau score
Brain region
Category
Tau score
Cluster
Reliability
Tissue
Cell type
Enrichment
Cell type
Category
Tau score
Cell type
Category
Tau score
Cell type
Category
Tau score
Cell lineage
Category
Tau score
Cluster
Cluster
Location
Searches
Location
Cell line
Class
Type
Phase
Reliability
Cancer
Prognosis
Cancer
Category
Cancer
Category
Tau score
Cluster
Variants
Interacting gene (ensg_id)
Type
Number of interactions
Pathway
Category
Score
Score
Score
Validation
Validation
Validation
Validation
Antibodies
Data type
Column


  • SUMMARY

  • TISSUE

  • BRAIN

  • SINGLE CELL

  • SUBCELL

  • CANCER

  • BLOOD

  • CELL LINE

  • STRUCT & INT

  • LYZ
TISSUE PRIMARY DATA STOMACH Show tissue menu
ADIPOSE TISSUE ADRENAL GLAND AMYGDALA APPENDIX BASAL GANGLIA BONE MARROW BREAST BRONCHUS CEREBELLUM CEREBRAL CORTEX CERVIX CHOROID PLEXUS COLON DUODENUM
ENDOMETRIUM EPIDIDYMIS ESOPHAGUS FALLOPIAN TUBE GALLBLADDER HEART MUSCLE HIPPOCAMPAL FORMATION HYPOTHALAMUS KIDNEY LIVER LUNG LYMPH NODE MIDBRAIN NASOPHARYNX
ORAL MUCOSA OVARY PANCREAS PARATHYROID GLAND PITUITARY GLAND PLACENTA PROSTATE RECTUM RETINA SALIVARY GLAND SEMINAL VESICLE SKELETAL MUSCLE SKIN SMALL INTESTINE
SMOOTH MUSCLE SOFT TISSUE SPINAL CORD SPLEEN STOMACH TESTIS THYMUS THYROID GLAND TONGUE TONSIL URINARY BLADDER VAGINA
ANTIBODIES
AND
VALIDATION
Dictionary
Tissue proteome
Stomach
STOMACH - Expression summary
Protein expression
Stomachi

On the top, protein expression in current human tissue, based on all annotated cell types, is reported with the units not detected (n), low (l), medium (m) and high (h). Underneath, protein expression in each annotated cell type are reported using the same units.

Protein expression data is based on knowledge-based annotation. For genes where more than one antibody has been used, a collective score is set.

If knowledge-based annotation could not be performed for a gene, no data is displayed here. View antibody staining data further down this page.

h
m
l
n
Glandular cells: Medium
RNA expressioni

A summary of mRNA expression data available for current tissue based on several datasets. The mRNA expression levels in human tissues are based on RNA-seq data generated by the Human Protein Atlas (HPA), Genotype-Tissue Expression (GTEx) portal and CAGE data generated by the FANTOM5 consortium. Consensus normalized expression levels for human tissues was created by combining the data from HPA and GTEx datasets.

The mRNA expression levels in pig are based on RNA-seq data generated by the Human Protein Atlas (HPA), and for mouse, HPA data and in situ hybridization generated by the Allen brain atlas are reported.

Scroll down to view mRNA expression data in more detail.
Consensus:8699.4 nTPM
HPA:8699.4 nTPM
GTEx:423.3 nTPM

STOMACH 1 - Antibody stainingi

Antibody staining in the annotated cell types in the current human tissue is reported as not detected, low, medium, or high, based on conventional immunohistochemistry profiling in selected tissues. This score is based on the combination of the staining intensity and fraction of stained cells.

Each image is clickable and will lead to virtual microscopy that enables deeper exploration of all samples and also displays staining intensity scores, fraction scores and subcellular localization as well as patient and tissue information for each sample.

Antibody HPA048284Antibody CAB000055
Glandular cells MediumLow




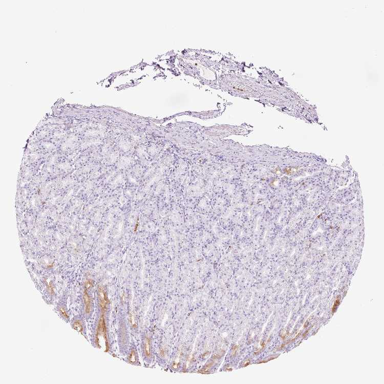
STOMACH 2 - Antibody stainingi

Antibody staining in the annotated cell types in the current human tissue is reported as not detected, low, medium, or high, based on conventional immunohistochemistry profiling in selected tissues. This score is based on the combination of the staining intensity and fraction of stained cells.

Each image is clickable and will lead to virtual microscopy that enables deeper exploration of all samples and also displays staining intensity scores, fraction scores and subcellular localization as well as patient and tissue information for each sample.

Antibody HPA048284Antibody CAB000055
Glandular cells HighHigh




STOMACH - HPA RNA-seqi

The RNA-seq details section shows detailed information about the individual samples used for the transcript profiling and results of the RNA-seq analysis.

Information about each individual sample is listed below, including gender, age, a tissue section image and estimated fractions of cell types. nTPM (normalized transcripts per million) values give a quantification of the gene abundance which is comparable between different genes and samples.
Average nTPMi

Max subtype nTPM is the value for the subtype with the largest average nTPM across the subtype samples.

8699.4
overview
Female, age 33
Stomach sample 61
nTPM: 1284.7
Cell types%
Glandular cells:
60

Smooth muscle cells:
5

Other cell types:
35

N/A
Male, age 82
Stomach sample 240
nTPM: 25033.5
Cell types%
Glandular cells:
65

Smooth muscle cells:
5

Other cell types:
30

overview
Male, age 71
Stomach sample 241
nTPM: 5760.5
Cell types%
Glandular cells:
50

Smooth muscle cells:
5

Other cell types:
45

overview
Female, age 66
Stomach sample 369
nTPM: 2719
Cell types%
Glandular cells:
50

Smooth muscle cells:
10

Other cell types:
40


STOMACH - GTEx RNA-seqi

RNA-Seq data generated by the Genotype-Tissue Expression (GTEx) project from human tissues is reported as mean nTPM. More information can be found on the GTEx portal.

Distribution across the dataset is visualized with box plots, shown as median and 25th and 75th percentiles. Points are displayed as outliers if they are above or below 1.5 times the interquartile range. nTPM values of the individual samples are presented next to the box plot.
Max subtype nTPMi

Max subtype nTPM is the value for the subtype with the largest average nTPM across the subtype samples.

423.3
GTEx sample id Sample description nTPM
Stomach
Average nTPM: 423.3
Samples: 359

Max nTPM: 5883.2
Min nTPM: 1.6
Std nTPM: 602.0
Median nTPM: 232.4
GTEX-145ME-1026-SM-5O9B4 40-49 years, female 5883.2
GTEX-WHPG-0426-SM-4M1XW 50-59 years, male 3382.9
GTEX-WFG7-1326-SM-4LMK1 20-29 years, male 3298.5
GTEX-11NUK-2426-SM-5BC4U 50-59 years, male 2724.7
GTEX-15G19-1526-SM-6LPKP 60-69 years, male 2507.7
GTEX-14BMV-2226-SM-5RQHX 50-59 years, male 2409.3
GTEX-1HCU8-1326-SM-C1YQQ 60-69 years, female 2241.7
GTEX-ZYY3-1726-SM-5EGH3 60-69 years, female 2161.6
GTEX-13U4I-2526-SM-5SI8Z 40-49 years, female 2033.5
GTEX-P78B-1826-SM-3P5YX 40-49 years, female 1970.4
GTEX-OOBJ-1526-SM-3NB1Q 60-69 years, male 1898.2
GTEX-Y3IK-1426-SM-4YCES 50-59 years, female 1800.0
GTEX-QDVJ-1426-SM-48U1Y 50-59 years, male 1772.0
GTEX-12BJ1-1726-SM-5HL9B 60-69 years, male 1750.6
GTEX-1JKYN-1726-SM-AHZ48 30-39 years, male 1697.9
GTEX-14ICL-0826-SM-5YY9W 30-39 years, male 1666.8
GTEX-17F98-1526-SM-7EWD8 40-49 years, female 1634.1
GTEX-S7SF-0626-SM-4AD4V 20-29 years, female 1633.5
GTEX-WFG8-1326-SM-4LVN3 20-29 years, male 1623.8
GTEX-POMQ-0826-SM-3P61H 20-29 years, female 1576.4
GTEX-14PHX-1026-SM-664OL 50-59 years, male 1480.3
GTEX-TMMY-1626-SM-4DXTY 40-49 years, female 1447.4
GTEX-1399S-1626-SM-5P9GI 30-39 years, female 1398.2
GTEX-WHSB-1226-SM-4M1XR 50-59 years, male 1310.5
GTEX-WY7C-1726-SM-4ONCC 50-59 years, male 1288.9
GTEX-13PVQ-2126-SM-5L3FW 50-59 years, male 1287.1
GTEX-14PJ5-0826-SM-6AJAR 60-69 years, female 1275.6
GTEX-13FTX-0726-SM-5N9BI 20-29 years, female 1251.8
GTEX-1IDJU-1526-SM-CNNR3 60-69 years, female 1239.0
GTEX-QDVN-1226-SM-48TZ5 50-59 years, male 1175.2
GTEX-11DXX-1326-SM-5GIDZ 60-69 years, female 1150.3
GTEX-1H23P-2726-SM-9JGHN 60-69 years, male 1122.7
GTEX-QMRM-1126-SM-447BN 50-59 years, male 1098.1
GTEX-1QCLY-1126-SM-EAZ4J 30-39 years, male 1094.0
GTEX-1HBPI-0726-SM-9WG7Z 50-59 years, male 1084.8
GTEX-18A67-2626-SM-718AD 50-59 years, male 1077.6
GTEX-1MJIX-1126-SM-EV7AO 40-49 years, male 1064.7
GTEX-1I4MK-0926-SM-A9SLD 50-59 years, female 1058.7
GTEX-14BMU-1126-SM-5RQJ8 20-29 years, female 1055.0
GTEX-WRHK-0626-SM-4MVOE 20-29 years, female 1027.5
GTEX-13RTK-0226-SM-5RQHR 20-29 years, male 973.2
GTEX-Y9LG-1026-SM-5IFJN 30-39 years, male 969.7
GTEX-14JG6-1226-SM-664O6 30-39 years, female 952.3
GTEX-1B8KZ-1226-SM-793CP 50-59 years, male 941.4
GTEX-1LGRB-1726-SM-CNNRA 50-59 years, female 933.6
GTEX-1JK1U-1326-SM-AHZ45 60-69 years, male 916.9
GTEX-1R9K5-1026-SM-EAZ4F 50-59 years, male 914.6
GTEX-1KANA-1126-SM-D3L9M 20-29 years, male 906.9
GTEX-17HGU-2126-SM-7IGOV 50-59 years, male 898.7
GTEX-117YX-1026-SM-5H11V 50-59 years, male 871.8
GTEX-132AR-2426-SM-5IFFD 50-59 years, female 847.8
GTEX-1KXAM-0926-SM-CXZKA 60-69 years, male 826.8
GTEX-15DZA-1126-SM-6LPK8 30-39 years, female 815.4
GTEX-1HFI7-1526-SM-9WG7W 50-59 years, female 809.3
GTEX-Y8LW-0826-SM-4WWDO 50-59 years, female 803.5
GTEX-XV7Q-1326-SM-4BRWM 40-49 years, female 795.4
GTEX-ZGAY-1626-SM-DNZZ3 40-49 years, female 778.0
GTEX-11I78-1726-SM-5A5M3 50-59 years, female 775.7
GTEX-PWN1-1526-SM-48TDA 40-49 years, female 767.9
GTEX-ZY6K-0726-SM-5A5L8 50-59 years, male 739.3
GTEX-13FTW-1726-SM-5KM2B 40-49 years, male 738.1
GTEX-ZXES-1426-SM-5NQ8S 30-39 years, female 735.2
GTEX-16AAH-1226-SM-79OO9 50-59 years, male 732.2
GTEX-Q2AH-1126-SM-48TZM 40-49 years, male 731.5
GTEX-133LE-1326-SM-5IFGO 20-29 years, female 718.7
GTEX-1MUQO-1926-SM-EAZ59 60-69 years, male 715.0
GTEX-1IDJD-2426-SM-C1YS6 30-39 years, male 710.4
GTEX-13OW6-2526-SM-5IJEC 50-59 years, male 696.9
GTEX-QCQG-0526-SM-48U2A 50-59 years, female 687.7
GTEX-14PKV-1826-SM-69LO9 20-29 years, female 678.7
GTEX-S4Q7-0726-SM-4AD5F 20-29 years, male 677.9
GTEX-U4B1-1026-SM-4DXT1 40-49 years, male 676.8
GTEX-18A66-2226-SM-7189E 60-69 years, male 671.8
GTEX-14PJ4-1626-SM-664OB 60-69 years, male 653.7
GTEX-1HBPN-1626-SM-9WPNP 50-59 years, male 641.5
GTEX-S3XE-1026-SM-4AD4O 50-59 years, male 636.8
GTEX-T8EM-1226-SM-4DM5J 40-49 years, male 631.6
GTEX-1I6K7-1726-SM-B2LXQ 40-49 years, male 613.7
GTEX-PWCY-0926-SM-48TD7 20-29 years, female 598.3
GTEX-1C475-1026-SM-7MKFJ 40-49 years, female 594.1
GTEX-18D9A-0626-SM-7KFTY 30-39 years, female 591.6
GTEX-ZA64-0826-SM-5HL9U 20-29 years, male 581.4
GTEX-13D11-2126-SM-5IFH2 50-59 years, female 578.6
GTEX-1A3MV-1226-SM-718BW 30-39 years, male 575.2
GTEX-1F5PL-1426-SM-7MKFH 40-49 years, female 573.3
GTEX-132QS-1826-SM-5IFFN 60-69 years, male 567.0
GTEX-YEC4-1426-SM-5IFHS 40-49 years, male 563.5
GTEX-145MN-1326-SM-5NQ9S 30-39 years, male 562.0
GTEX-1F75I-1826-SM-7MKGX 40-49 years, male 552.5
GTEX-1GN1W-2126-SM-9JGI7 50-59 years, female 547.1
GTEX-1B97J-1826-SM-7IGPP 50-59 years, female 545.1
GTEX-14B4R-0726-SM-5TDDR 30-39 years, male 543.9
GTEX-XQ8I-2026-SM-4BOOL 50-59 years, male 535.8
GTEX-ZLWG-1526-SM-DO12F 50-59 years, female 530.9
GTEX-VJYA-1026-SM-4KL21 60-69 years, male 526.5
GTEX-P4PP-1526-SM-3P61M 30-39 years, female 519.4
GTEX-S341-0626-SM-4AD5T 40-49 years, female 510.4
GTEX-15DCE-1626-SM-6LPJM 20-29 years, male 506.6
GTEX-V1D1-1726-SM-4JBHB 50-59 years, male 500.3
GTEX-1H3VY-2326-SM-9WG81 50-59 years, male 494.6
GTEX-1JMPZ-1826-SM-CXZJT 30-39 years, male 484.3
GTEX-T5JW-0926-SM-4DM5K 20-29 years, female 481.3
GTEX-WXYG-1626-SM-4ONCR 50-59 years, female 464.7
GTEX-S4UY-1626-SM-4AD55 40-49 years, female 463.2
GTEX-YB5E-1126-SM-664NU 40-49 years, male 460.6
GTEX-111CU-0926-SM-5EGIK 50-59 years, male 457.3
GTEX-131XG-1226-SM-5EGH9 50-59 years, female 453.6
GTEX-SNMC-0626-SM-4DM6H 20-29 years, male 444.5
GTEX-ZQUD-0826-SM-57WDQ 30-39 years, male 444.5
GTEX-1GL5R-1926-SM-9WG7U 50-59 years, male 440.9
GTEX-144GM-1726-SM-5O9AS 20-29 years, male 434.7
GTEX-ZLV1-0826-SM-DO11P 60-69 years, female 431.8
GTEX-ZP4G-1226-SM-4WWCJ 20-29 years, female 431.0
GTEX-14E6E-0926-SM-664N8 30-39 years, male 425.6
GTEX-1RAZR-1526-SM-EAZ4U 40-49 years, male 419.6
GTEX-Q2AI-0826-SM-48TZO 40-49 years, male 417.8
GTEX-O5YW-1526-SM-3MJGL 50-59 years, male 416.5
GTEX-14PJ3-1426-SM-664O8 50-59 years, male 413.3
GTEX-ZF2S-1426-SM-57WET 50-59 years, female 409.5
GTEX-12WSK-1426-SM-5CVNN 40-49 years, female 408.6
GTEX-1MGNQ-1826-SM-DPRYI 40-49 years, male 408.1
GTEX-13CF3-1926-SM-5K7WF 60-69 years, female 405.0
GTEX-ZF29-1526-SM-4WKF7 60-69 years, female 404.5
GTEX-14PJ6-0826-SM-686Z9 60-69 years, female 397.7
GTEX-17F9E-2226-SM-7IGNC 50-59 years, male 396.3
GTEX-T6MO-0726-SM-4DM58 40-49 years, female 390.2
GTEX-15UF7-1226-SM-6M46G 40-49 years, male 386.2
GTEX-Y3I4-1626-SM-4TT7W 50-59 years, male 381.3
GTEX-1LBAC-1426-SM-CXZKT 20-29 years, male 379.8
GTEX-ZZ64-0426-SM-5E43F 20-29 years, male 379.2
GTEX-17MF6-2126-SM-7KFS7 40-49 years, male 377.3
GTEX-11GSP-2126-SM-5HL5E 60-69 years, female 373.8
GTEX-OHPK-1526-SM-3MJGM 50-59 years, female 373.7
GTEX-139YR-1926-SM-5LZXM 50-59 years, male 365.9
GTEX-1F5PK-1826-SM-7RHHX 50-59 years, male 364.2
GTEX-Y5LM-1326-SM-5RQIS 40-49 years, female 360.5
GTEX-ZVP2-1626-SM-5GU5D 50-59 years, male 359.0
GTEX-13S7M-1826-SM-5RQK6 60-69 years, female 357.2
GTEX-17GQL-1226-SM-7KFTS 60-69 years, male 352.1
GTEX-1GZ4H-1026-SM-9OSXL 50-59 years, female 350.1
GTEX-1GF9U-1126-SM-AHZ4H 40-49 years, female 347.6
GTEX-13OVK-0926-SM-7KUFX 40-49 years, male 339.9
GTEX-QV31-0626-SM-447C5 30-39 years, male 338.4
GTEX-1R7EU-1126-SM-EAZ4M 60-69 years, male 333.8
GTEX-11NSD-1426-SM-5HL67 20-29 years, male 329.1
GTEX-13O21-0926-SM-5IFGT 50-59 years, male 328.5
GTEX-XUZC-0726-SM-4BOPH 30-39 years, female 324.1
GTEX-ZYFG-1326-SM-5GICJ 60-69 years, female 318.5
GTEX-1JMLX-2426-SM-CXZJQ 50-59 years, male 318.5
GTEX-1GMRU-2526-SM-9WG7T 50-59 years, male 318.3
GTEX-1LG7Z-1226-SM-DHXK4 30-39 years, male 318.3
GTEX-ZVZP-1726-SM-5GZWY 50-59 years, male 315.4
GTEX-145MO-2226-SM-5Q5BN 60-69 years, male 310.1
GTEX-XMK1-1526-SM-EYYVO 40-49 years, male 309.3
GTEX-YFCO-0826-SM-5LUAG 40-49 years, male 308.5
GTEX-QLQ7-0826-SM-447B3 60-69 years, male 308.4
GTEX-15CHR-1326-SM-79OLT 50-59 years, male 306.8
GTEX-144GN-1226-SM-5O991 50-59 years, male 303.1
GTEX-WYJK-2526-SM-4ONDF 50-59 years, male 298.0
GTEX-XBED-1226-SM-4AT5V 60-69 years, male 292.5
GTEX-1B8KE-1326-SM-73KVI 50-59 years, male 287.3
GTEX-14DAR-0926-SM-73KUQ 50-59 years, male 272.2
GTEX-Q734-1026-SM-48U16 40-49 years, female 271.4
GTEX-1QPFJ-1526-SM-DPRXT 30-39 years, female 270.4
GTEX-11EM3-1026-SM-5A5KL 20-29 years, female 263.7
GTEX-PW2O-1226-SM-48TCH 20-29 years, male 262.1
GTEX-1QP2A-2126-SM-DPRZ7 50-59 years, male 259.6
GTEX-RWS6-0926-SM-47JXE 60-69 years, female 257.5
GTEX-ZLFU-1326-SM-DO11R 40-49 years, male 252.8
GTEX-ZV7C-1626-SM-5NQ7E 50-59 years, male 252.3
GTEX-12WSD-2326-SM-59HKQ 60-69 years, female 247.6
GTEX-1399R-1126-SM-5IFIO 30-39 years, male 247.4
GTEX-ZDYS-1926-SM-5HL59 50-59 years, male 247.1
GTEX-13113-0726-SM-5LZUF 60-69 years, female 242.0
GTEX-U3ZN-2026-SM-4DXUC 30-39 years, female 240.2
GTEX-R53T-1226-SM-48FCT 50-59 years, female 237.6
GTEX-ZZPU-1426-SM-5GZZ6 50-59 years, female 236.8
GTEX-SNOS-0826-SM-4DM5N 40-49 years, male 234.6
GTEX-ZVT2-1626-SM-51MRC 50-59 years, female 232.7
GTEX-WFON-1126-SM-4LVMA 40-49 years, male 232.4
GTEX-1QMI2-2126-SM-DPRXQ 60-69 years, male 232.0
GTEX-RM2N-0826-SM-48FD3 50-59 years, male 230.9
GTEX-1B97I-1226-SM-7MGWQ 40-49 years, male 228.0
GTEX-1J8JJ-1726-SM-C1YQG 60-69 years, female 219.4
GTEX-11P82-0726-SM-5PNYL 20-29 years, male 218.9
GTEX-OXRK-1626-SM-3NB17 50-59 years, female 216.8
GTEX-131XF-1226-SM-5HL8V 60-69 years, male 212.5
GTEX-17HHE-1026-SM-79ON6 50-59 years, male 211.4
GTEX-1LGOU-1526-SM-D3LAJ 20-29 years, female 210.9
GTEX-S95S-0826-SM-4B64N 60-69 years, male 208.7
GTEX-1RB15-1026-SM-E9U6V 60-69 years, male 207.7
GTEX-12696-1726-SM-5EQLH 60-69 years, male 206.6
GTEX-ZVT3-2126-SM-59HL2 60-69 years, female 205.6
GTEX-139D8-2326-SM-5IFGE 30-39 years, female 205.5
GTEX-PX3G-1526-SM-48U11 20-29 years, female 202.7
GTEX-QV44-1226-SM-CJI1S 50-59 years, male 200.4
GTEX-18QFQ-1226-SM-718AE 30-39 years, male 194.1
GTEX-1QCLZ-1826-SM-DPRXP 60-69 years, female 185.7
GTEX-1J8QM-1126-SM-C1YQB 60-69 years, female 185.2
GTEX-13QBU-1126-SM-5LU44 40-49 years, female 180.4
GTEX-1AMFI-1226-SM-731CZ 50-59 years, female 179.9
GTEX-OIZF-1526-SM-2I5GR 60-69 years, male 177.5
GTEX-PLZ5-1226-SM-EXOHA 50-59 years, male 177.3
GTEX-13X6J-2126-SM-5TDCV 50-59 years, male 177.2
GTEX-UJMC-1226-SM-4IHLI 50-59 years, male 171.6
GTEX-V955-1326-SM-4JBHR 60-69 years, male 170.7
GTEX-1HKZK-1526-SM-B2LWG 40-49 years, male 166.3
GTEX-ZPU1-1626-SM-4WWB2 40-49 years, male 166.1
GTEX-1J8Q3-1926-SM-C1YSJ 60-69 years, male 166.1
GTEX-18A7A-2726-SM-7LG6U 50-59 years, female 162.4
GTEX-OHPM-1526-SM-EV796 50-59 years, male 161.4
GTEX-1CAMR-0726-SM-7EPIE 20-29 years, male 159.3
GTEX-1RMOY-1126-SM-EV79E 50-59 years, male 156.4
GTEX-1AYCT-1326-SM-7MKHB 50-59 years, male 155.2
GTEX-WEY5-1226-SM-4LMIQ 40-49 years, female 149.8
GTEX-117YW-2226-SM-5N9DB 50-59 years, male 144.2
GTEX-111YS-1126-SM-5GZYQ 60-69 years, male 142.1
GTEX-Y8E4-1526-SM-4WWDI 40-49 years, male 138.6
GTEX-QLQW-0726-SM-447AA 30-39 years, male 137.4
GTEX-1I1GT-1726-SM-C1YS3 60-69 years, female 135.6
GTEX-16NGA-1526-SM-72D56 40-49 years, female 133.0
GTEX-RTLS-2626-SM-46MUJ 60-69 years, female 128.9
GTEX-1H1DG-2126-SM-9WPPB 70-79 years, male 126.4
GTEX-1ICG6-1826-SM-AHZ2O 70-79 years, female 126.3
GTEX-1A8G6-1426-SM-731EZ 60-69 years, male 123.2
GTEX-1H1E6-1626-SM-9OSWC 30-39 years, male 117.2
GTEX-13FH7-1026-SM-5IJGF 50-59 years, female 116.1
GTEX-15RIE-1026-SM-6LPJQ 60-69 years, male 113.8
GTEX-1QP29-2326-SM-EXOJO 50-59 years, male 112.9
GTEX-ZT9W-1526-SM-4YCDE 50-59 years, male 112.2
GTEX-WHWD-1426-SM-4OORU 50-59 years, male 110.8
GTEX-X15G-1126-SM-4PQZG 50-59 years, female 109.5
GTEX-OXRL-1526-SM-E6CHQ 50-59 years, male 102.2
GTEX-QXCU-1926-SM-48FE4 50-59 years, male 99.7
GTEX-12WSG-2026-SM-5FQUU 50-59 years, female 98.5
GTEX-1QP67-1026-SM-EVR47 40-49 years, female 94.3
GTEX-1H11D-2226-SM-9OSXN 40-49 years, male 88.5
GTEX-1PPH8-1326-SM-DTXFO 20-29 years, male 88.1
GTEX-11TT1-0726-SM-5GU5A 20-29 years, male 88.0
GTEX-Y5V6-1326-SM-4VDTF 60-69 years, male 82.6
GTEX-14BIL-1926-SM-73KYI 50-59 years, male 81.6
GTEX-SUCS-0926-SM-4DM4Z 70-79 years, male 81.4
GTEX-ZAB4-1526-SM-5CVN7 40-49 years, male 80.6
GTEX-1122O-1926-SM-5EGIQ 60-69 years, female 80.4
GTEX-1AMEY-1226-SM-731DU 30-39 years, female 73.8
GTEX-ZEX8-1626-SM-4WKG7 50-59 years, male 73.5
GTEX-1HSEH-1526-SM-B2LXG 60-69 years, male 73.1
GTEX-146FH-2126-SM-5SI9U 50-59 years, female 71.1
GTEX-WFJO-1126-SM-4LVLZ 30-39 years, male 71.0
GTEX-1A3MX-1926-SM-72D7F 60-69 years, male 66.4
GTEX-1NSGN-1926-SM-E9J36 50-59 years, male 63.8
GTEX-S4P3-0726-SM-4AD57 50-59 years, female 61.5
GTEX-1PIGE-1126-SM-EWRMV 20-29 years, male 60.0
GTEX-1JN1M-2926-SM-CNNPJ 60-69 years, female 59.4
GTEX-XBEW-1826-SM-4RTWX 40-49 years, male 58.0
GTEX-1J8EW-2226-SM-AHZ3T 60-69 years, female 56.9
GTEX-WYVS-1326-SM-4ONCQ 40-49 years, female 54.2
GTEX-1MCYP-1126-SM-E9J2P 20-29 years, female 53.1
GTEX-ZV6S-0926-SM-57WGB 40-49 years, female 51.2
GTEX-ZE7O-3026-SM-51MS4 50-59 years, female 50.6
GTEX-17EUY-1526-SM-793CA 20-29 years, male 49.8
GTEX-1GPI7-1326-SM-9KNVA 20-29 years, male 48.9
GTEX-13PVR-2126-SM-73KVR 60-69 years, female 47.3
GTEX-QDT8-2026-SM-EZ6LS 30-39 years, female 44.6
GTEX-11EQ9-1226-SM-5987E 30-39 years, male 44.2
GTEX-15SHW-2126-SM-6M46Y 60-69 years, male 43.4
GTEX-1LVAN-2426-SM-CNNPZ 50-59 years, female 41.8
GTEX-1S831-1126-SM-EWROI 20-29 years, male 41.3
GTEX-1LSNM-1026-SM-DHXL2 50-59 years, male 40.9
GTEX-ZPIC-2026-SM-57WG3 40-49 years, female 39.9
GTEX-1I1HK-2026-SM-CNNRB 60-69 years, male 38.9
GTEX-15G1A-1226-SM-7KUF3 30-39 years, male 38.3
GTEX-UPK5-2126-SM-4JBJK 40-49 years, male 37.9
GTEX-1RQEC-2126-SM-DPS15 60-69 years, male 37.3
GTEX-1L5NE-1526-SM-DIPFW 50-59 years, male 35.2
GTEX-15RIF-1126-SM-7KUG2 20-29 years, male 35.1
GTEX-13OVI-2426-SM-5KM4J 60-69 years, female 33.8
GTEX-14PHY-0926-SM-5ZZWL 60-69 years, female 32.3
GTEX-P4PQ-1526-SM-3NMCK 60-69 years, male 31.3
GTEX-YJ8A-1526-SM-5P9FT 20-29 years, male 31.0
GTEX-R55D-1526-SM-48FEJ 50-59 years, male 30.3
GTEX-O5YV-1926-SM-EV797 60-69 years, female 29.3
GTEX-1HCUA-1626-SM-A9SMG 50-59 years, female 28.6
GTEX-W5WG-1726-SM-4LMI5 50-59 years, female 27.9
GTEX-17KNJ-1526-SM-7LTA9 50-59 years, male 27.2
GTEX-1JN76-0926-SM-ARZNH 20-29 years, female 26.1
GTEX-146FR-2026-SM-5NQAI 60-69 years, female 25.9
GTEX-PLZ6-0826-SM-3P61K 30-39 years, male 25.7
GTEX-YEC3-1426-SM-D4P1S 50-59 years, male 24.9
GTEX-1KD5A-1426-SM-D4P3V 50-59 years, male 24.8
GTEX-13111-1226-SM-5GCNC 50-59 years, male 24.6
GTEX-145LT-1426-SM-5O9B3 40-49 years, male 24.4
GTEX-1QW4Y-0726-SM-DTX8E 30-39 years, male 23.2
GTEX-14PKU-1126-SM-69LOU 40-49 years, female 22.7
GTEX-WH7G-1526-SM-4LVMX 40-49 years, male 22.5
GTEX-UJHI-1026-SM-4IHJP 50-59 years, female 22.2
GTEX-XXEK-0826-SM-4BRWG 50-59 years, male 21.6
GTEX-TKQ2-0926-SM-4DXU5 50-59 years, male 21.2
GTEX-1IDJF-1426-SM-ACKWK 20-29 years, male 21.1
GTEX-1211K-1426-SM-5FQTF 60-69 years, female 20.5
GTEX-1CB4E-1326-SM-7DUGD 60-69 years, male 20.4
GTEX-11VI4-0326-SM-5EQ6L 40-49 years, female 19.9
GTEX-RU1J-0526-SM-46MUT 20-29 years, female 19.6
GTEX-13X6H-1626-SM-5Q5CT 50-59 years, female 19.4
GTEX-18D9B-2226-SM-718BM 60-69 years, male 19.0
GTEX-12C56-0526-SM-5FQST 20-29 years, male 18.7
GTEX-1C64O-2226-SM-73KTV 60-69 years, male 18.6
GTEX-1N2DV-0926-SM-E9TJT 40-49 years, male 18.6
GTEX-1HSMQ-2426-SM-CE6RY 50-59 years, male 18.4
GTEX-1399U-1626-SM-5P9J3 50-59 years, female 18.2
GTEX-R55G-1126-SM-48FDG 40-49 years, female 18.0
GTEX-1JMPY-0926-SM-ARL92 30-39 years, male 17.8
GTEX-17JCI-2226-SM-7LTA1 60-69 years, female 17.2
GTEX-Y114-1226-SM-4TT88 50-59 years, female 16.5
GTEX-XAJ8-0326-SM-47JYI 40-49 years, male 16.4
GTEX-ZTX8-0426-SM-59HLG 20-29 years, male 16.4
GTEX-OIZH-1526-SM-3NB1J 50-59 years, male 16.2
GTEX-RUSQ-1126-SM-EAZAU 50-59 years, male 16.1
GTEX-14E1K-1526-SM-664MN 50-59 years, male 15.9
GTEX-1K2DA-0826-SM-CGQGD 50-59 years, male 15.4
GTEX-1S3DN-1526-SM-EVYCB 50-59 years, male 15.1
GTEX-14DAQ-2826-SM-664MU 60-69 years, female 14.8
GTEX-1AX9J-2626-SM-731EK 60-69 years, male 14.7
GTEX-P4QT-1526-SM-3NMCT 50-59 years, female 14.4
GTEX-NFK9-1526-SM-3LK7B 40-49 years, male 14.2
GTEX-TKQ1-0526-SM-4DXTG 30-39 years, male 13.6
GTEX-WZTO-2126-SM-4PQYW 40-49 years, male 12.7
GTEX-14PN3-1326-SM-6AJ9U 60-69 years, female 12.2
GTEX-ZYVF-2726-SM-5GID4 50-59 years, female 12.2
GTEX-15EU6-2526-SM-7KUGB 50-59 years, male 11.7
GTEX-R55C-1026-SM-48FCM 40-49 years, male 11.7
GTEX-1JMQJ-1326-SM-D4P3B 50-59 years, male 11.5
GTEX-1HT8W-2326-SM-A9SLA 30-39 years, male 11.2
GTEX-12WSJ-0926-SM-5P9JD 40-49 years, female 11.0
GTEX-1HR9M-2326-SM-CNPPZ 60-69 years, male 10.5
GTEX-17HII-2426-SM-7KFTT 50-59 years, male 10.2
GTEX-1EH9U-2226-SM-7PBXX 60-69 years, male 10.1
GTEX-1LVAM-1426-SM-E9TJ4 50-59 years, female 9.6
GTEX-11P7K-1726-SM-5GU6F 30-39 years, male 9.2
GTEX-1IL2V-2026-SM-ARZMA 70-79 years, male 9.2
GTEX-S4Z8-1226-SM-4AD6W 60-69 years, male 9.1
GTEX-1CB4H-2426-SM-7PBYR 60-69 years, female 8.0
GTEX-1QP28-2126-SM-DTX8B 50-59 years, female 7.6
GTEX-13O61-1126-SM-5L3FI 60-69 years, male 6.9
GTEX-131XE-2226-SM-5PNYX 50-59 years, male 6.6
GTEX-13QJ3-2726-SM-5SI6L 50-59 years, male 6.6
GTEX-T5JC-1926-SM-4DM6Q 20-29 years, male 5.7
GTEX-1H1DE-1226-SM-9JGHH 20-29 years, male 5.7
GTEX-1B8L1-1526-SM-79OLK 60-69 years, male 5.2
GTEX-1E2YA-2426-SM-7EPIG 50-59 years, male 5.0
GTEX-XPVG-1526-SM-4B66C 50-59 years, male 4.8
GTEX-1E1VI-2826-SM-7MGWU 50-59 years, male 4.7
GTEX-1S82Z-1726-SM-E6CHZ 30-39 years, female 4.7
GTEX-11EI6-2426-SM-5PNVS 60-69 years, male 3.7
GTEX-13O3Q-2126-SM-5KM4C 50-59 years, male 3.6
GTEX-11WQK-2626-SM-5EQ4K 50-59 years, male 3.4
GTEX-13N1W-2026-SM-5K7YU 70-79 years, male 2.9
GTEX-1339X-1426-SM-5K7YO 40-49 years, male 2.1
GTEX-1H3NZ-2226-SM-9WYUT 60-69 years, male 1.6
Show allShow less

Contact

  • NEWS ARTICLES
  • PRESS ROOM

The Project

  • INTRODUCTION
  • ORGANIZATION
  • PUBLICATIONS

The Human Protein Atlas

  • DOWNLOADABLE DATA
  • LICENCE & CITATION
  • HELP & FAQ
The Human Protein Atlas project is funded
by the Knut & Alice Wallenberg Foundation.


contact@proteinatlas.org