We use cookies to enhance the usability of our website. If you continue, we'll assume that you are happy to receive all cookies. More information. Don't show this again.
HNRNPUL1
HPA
RESOURCES
  • TISSUE
  • BRAIN
  • SINGLE CELL
  • SUBCELLULAR
  • CANCER
  • BLOOD
  • CELL LINE
  • STRUCTURE & INTERACTION
ABOUT
  • INTRODUCTION
  • HISTORY
  • ORGANIZATION
  • PUBLICATIONS
  • ANTIBODY SUBMISSION
  • ANTIBODY AVAILABILITY
  • ACKNOWLEDGMENTS
  • CONTACT
NEWS
  • NEWS ARTICLES
  • PRESS ROOM
LEARN
  • DICTIONARY
  • PROTEIN CLASSES
  • PROTEIN EVIDENCE
  • METHODS
  • EDUCATIONAL VIDEOS
DATA
  • DOWNLOADABLE DATA
  • PUBLICATION DATA
  • RELEASE HISTORY
HELP
  • ANTIBODY VALIDATION
  • ASSAYS & ANNOTATION
  • DISCLAIMER
  • HELP & FAQ
  • PRIVACY STATEMENT
  • LICENCE & CITATION
Fields »
Search result

Field
Term
Gene name
Class
Subclass
Class
Keyword
Chromosome
External id
Tissue
Cell type
Expression
Antibody panel
Tissue
Main location
Patient ID
Annotation
Tissue
Category
Tau score
Cluster
Reliability
Brain region
Category
Tau score
Brain region
Category
Tau score
Brain region
Category
Tau score
Cluster
Reliability
Tissue
Cell type
Enrichment
Cell type
Category
Tau score
Cell type
Category
Tau score
Cell type
Category
Tau score
Cell lineage
Category
Tau score
Cluster
Cluster
Location
Searches
Location
Cell line
Class
Type
Phase
Reliability
Cancer
Prognosis
Cancer
Category
Cancer
Category
Tau score
Cluster
Variants
Interacting gene (ensg_id)
Type
Number of interactions
Pathway
Category
Score
Score
Score
Validation
Validation
Validation
Validation
Antibodies
Data type
Column


  • SUMMARY

  • TISSUE

  • BRAIN

  • SINGLE CELL

  • SUBCELL

  • CANCER

  • BLOOD

  • CELL LINE

  • STRUCT & INT

  • HNRNPUL1
TISSUE PRIMARY DATA ADIPOSE TISSUE Show tissue menu
ADIPOSE TISSUE ADRENAL GLAND AMYGDALA APPENDIX BASAL GANGLIA BONE MARROW BREAST BRONCHUS CEREBELLUM CEREBRAL CORTEX CERVIX CHOROID PLEXUS COLON DUODENUM
ENDOMETRIUM EPIDIDYMIS ESOPHAGUS FALLOPIAN TUBE GALLBLADDER HEART MUSCLE HIPPOCAMPAL FORMATION HYPOTHALAMUS KIDNEY LIVER LUNG LYMPH NODE MIDBRAIN NASOPHARYNX
ORAL MUCOSA OVARY PANCREAS PARATHYROID GLAND PITUITARY GLAND PLACENTA PROSTATE RECTUM RETINA SALIVARY GLAND SEMINAL VESICLE SKELETAL MUSCLE SKIN SMALL INTESTINE
SMOOTH MUSCLE SOFT TISSUE SPINAL CORD SPLEEN STOMACH TESTIS THYMUS THYROID GLAND TONGUE TONSIL URINARY BLADDER VAGINA
ANTIBODIES
AND
VALIDATION
Dictionary
Tissue proteome
Adipose tissue
ADIPOSE TISSUE - Expression summary
Protein expression
Adipose tissuei

On the top, protein expression in current human tissue, based on all annotated cell types, is reported with the units not detected (n), low (l), medium (m) and high (h). Underneath, protein expression in each annotated cell type are reported using the same units.

Protein expression data is based on knowledge-based annotation. For genes where more than one antibody has been used, a collective score is set.

If knowledge-based annotation could not be performed for a gene, no data is displayed here. View antibody staining data further down this page.

h
m
l
n
Adipocytes: Medium
RNA expressioni

A summary of mRNA expression data available for current tissue based on several datasets. The mRNA expression levels in human tissues are based on RNA-seq data generated by the Human Protein Atlas (HPA), Genotype-Tissue Expression (GTEx) portal and CAGE data generated by the FANTOM5 consortium. Consensus normalized expression levels for human tissues was created by combining the data from HPA and GTEx datasets.

The mRNA expression levels in pig are based on RNA-seq data generated by the Human Protein Atlas (HPA), and for mouse, HPA data and in situ hybridization generated by the Allen brain atlas are reported.

Scroll down to view mRNA expression data in more detail.
Consensus:82.5 nTPM
HPA:78.2 nTPM
GTEx:82.5 nTPM
FANTOM5:136.0 Scaled Tags Per Million

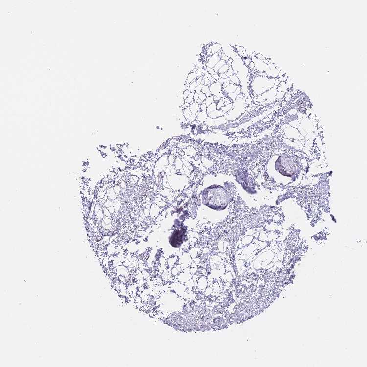
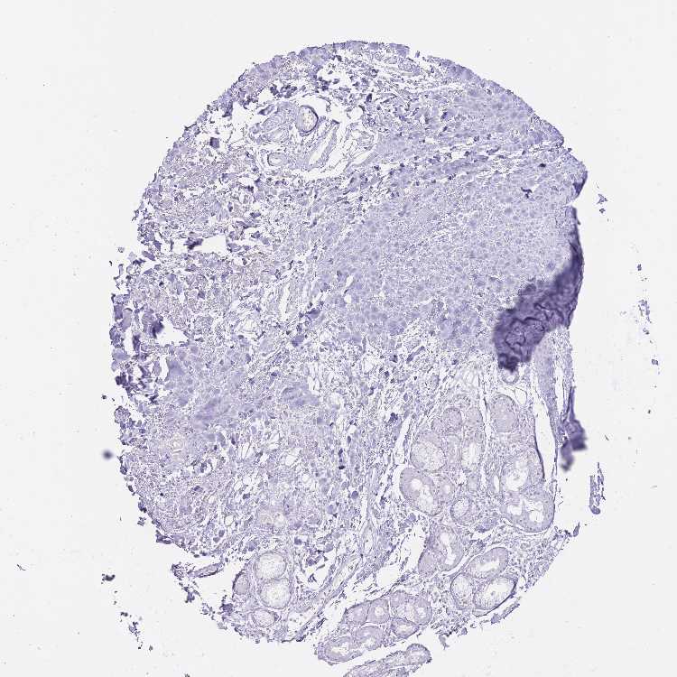
ADIPOSE TISSUE - Antibody stainingi

Antibody staining in the annotated cell types in the current human tissue is reported as not detected, low, medium, or high, based on conventional immunohistochemistry profiling in selected tissues. This score is based on the combination of the staining intensity and fraction of stained cells.

Each image is clickable and will lead to virtual microscopy that enables deeper exploration of all samples and also displays staining intensity scores, fraction scores and subcellular localization as well as patient and tissue information for each sample.

Antibody HPA046290Antibody HPA049475Antibody CAB046477
Adipocytes Not detectedLowMedium













ADIPOSE TISSUE - HPA RNA-seqi

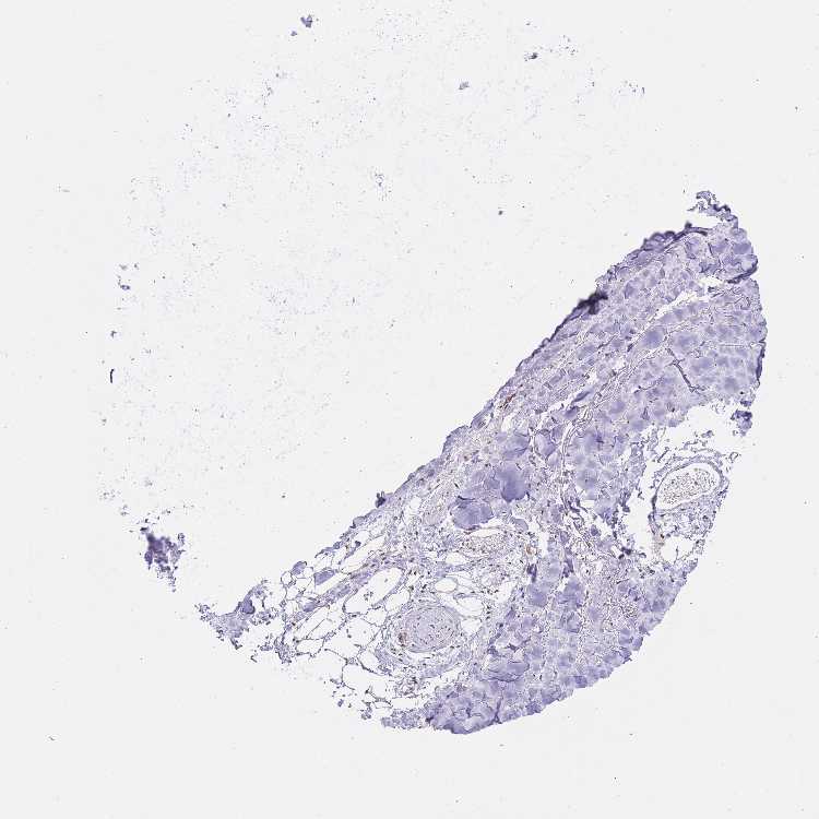
The RNA-seq details section shows detailed information about the individual samples used for the transcript profiling and results of the RNA-seq analysis.

Information about each individual sample is listed below, including gender, age, a tissue section image and estimated fractions of cell types. nTPM (normalized transcripts per million) values give a quantification of the gene abundance which is comparable between different genes and samples.
Average nTPMi

Max subtype nTPM is the value for the subtype with the largest average nTPM across the subtype samples.

78.2
N/A
Female, age 80
Adipose tissue sample 86
nTPM: 98
Cell types%
Adipocytes:
95

Other cell types:
5

N/A
Female, age 45
Adipose tissue sample 115
nTPM: 67.8
N/A
Female, age 57
Adipose tissue sample 137
nTPM: 72.6
Cell types%
Adipocytes:
60

Fibroblasts:
20

Smooth muscle cells:
15

Other cell types:
5

overview
Female, age 74
Adipose tissue sample 329
nTPM: 65.1
Cell types%
Adipocytes:
50

Fibroblasts:
30

Smooth muscle cells:
15

Other cell types:
5

overview
Female, age 59
Adipose tissue sample 331
nTPM: 87.8
Cell types%
Adipocytes:
40

Fibroblasts:
40

Smooth muscle cells:
15

Other cell types:
5


ADIPOSE TISSUE - GTEx RNA-seqi

RNA-Seq data generated by the Genotype-Tissue Expression (GTEx) project from human tissues is reported as mean nTPM. More information can be found on the GTEx portal.

Distribution across the dataset is visualized with box plots, shown as median and 25th and 75th percentiles. Points are displayed as outliers if they are above or below 1.5 times the interquartile range. nTPM values of the individual samples are presented next to the box plot.
Max subtype nTPMi

Max subtype nTPM is the value for the subtype with the largest average nTPM across the subtype samples.

82.5
GTEx sample id Sample description nTPM
Adipose - Subcutaneous
Average nTPM: 82.5
Samples: 663

Max nTPM: 138.9
Min nTPM: 51.9
Std nTPM: 13.6
Median nTPM: 81.8
GTEX-17HII-0326-SM-7LG4X 50-59 years, male 138.9
GTEX-14BIL-0226-SM-5SI9E 50-59 years, male 128.2
GTEX-REY6-0326-SM-2TF5A 60-69 years, male 125.8
GTEX-13OVI-1326-SM-5IJBO 60-69 years, female 125.4
GTEX-132QS-2526-SM-62LFJ 60-69 years, male 124.0
GTEX-XBEC-0326-SM-4AT4M 50-59 years, male 121.2
GTEX-1JMPY-1426-SM-ARL8Z 30-39 years, male 121.2
GTEX-1B8KE-2526-SM-73KYQ 50-59 years, male 117.3
GTEX-OXRO-0226-SM-3LK6F 60-69 years, female 117.1
GTEX-148VI-1726-SM-5S2W9 60-69 years, female 116.1
GTEX-ZYW4-0226-SM-5E44M 60-69 years, male 115.5
GTEX-146FH-0226-SM-5QGPQ 50-59 years, female 115.2
GTEX-XLM4-0226-SM-4AT4N 60-69 years, male 114.7
GTEX-12696-2526-SM-5EQLN 60-69 years, male 114.6
GTEX-13X6K-0226-SM-5QGPB 60-69 years, female 114.6
GTEX-1117F-0226-SM-5GZZ7 60-69 years, female 113.3
GTEX-1JJ6O-0226-SM-E6CI9 60-69 years, male 113.3
GTEX-ZPIC-1826-SM-57WFE 40-49 years, female 113.2
GTEX-13OW8-1226-SM-5K7XD 60-69 years, male 113.0
GTEX-1S5ZU-0226-SM-E6CHW 20-29 years, female 112.9
GTEX-XBED-2326-SM-47JYR 60-69 years, male 112.2
GTEX-14PHX-2426-SM-62LEN 50-59 years, male 111.7
GTEX-ZLFU-2626-SM-DO91L 40-49 years, male 110.5
GTEX-OOBJ-0226-SM-2YUMM 60-69 years, male 110.3
GTEX-17HGU-0326-SM-7DUER 50-59 years, male 109.8
GTEX-OHPK-0226-SM-3MJH6 50-59 years, female 109.8
GTEX-Y114-2326-SM-4TT7X 50-59 years, female 109.3
GTEX-14C5O-0226-SM-5SI6O 60-69 years, male 108.4
GTEX-11EMC-2826-SM-5PNY6 60-69 years, female 108.1
GTEX-13RTJ-2526-SM-5S2Q3 60-69 years, male 107.5
GTEX-Y3I4-2226-SM-4TT7O 50-59 years, male 107.5
GTEX-144GL-0226-SM-5QGOX 50-59 years, male 107.2
GTEX-1C6VQ-0226-SM-7P8S5 50-59 years, male 107.2
GTEX-ZZ64-1626-SM-5E43W 20-29 years, male 107.1
GTEX-P4QT-0226-SM-3LK68 50-59 years, female 107.0
GTEX-1B8SG-0226-SM-7939Q 50-59 years, male 106.9
GTEX-1JN76-0226-SM-CMKGO 20-29 years, female 106.5
GTEX-X5EB-2426-SM-4E3HX 40-49 years, male 105.9
GTEX-1CB4I-0426-SM-7IGPR 50-59 years, male 105.8
GTEX-17HHE-1926-SM-7EPGW 50-59 years, male 105.7
GTEX-ZTSS-2026-SM-5987K 40-49 years, male 105.6
GTEX-1AMFI-2126-SM-731BT 50-59 years, female 105.1
GTEX-ZF29-2226-SM-4WWB9 60-69 years, female 105.0
GTEX-144GO-1626-SM-7EPG5 60-69 years, male 104.5
GTEX-13O21-1526-SM-5K7W4 50-59 years, male 103.6
GTEX-1R7EU-0326-SM-EWRNJ 60-69 years, male 103.6
GTEX-13QJ3-0426-SM-5RQHP 50-59 years, male 103.4
GTEX-ZVZP-2326-SM-59HL4 50-59 years, male 103.2
GTEX-14DAR-1926-SM-5S2NQ 50-59 years, male 102.7
GTEX-14H4A-1026-SM-62LDY 40-49 years, female 102.4
GTEX-14E6C-0226-SM-5S2N3 40-49 years, male 102.1
GTEX-R55C-1626-SM-48FEG 40-49 years, male 102.1
GTEX-YJ8A-0526-SM-5IFHT 20-29 years, male 102.1
GTEX-1MUQO-0526-SM-E9J31 60-69 years, male 101.7
GTEX-11DXW-0326-SM-5H11W 40-49 years, male 101.5
GTEX-1HUB1-0326-SM-A9SKQ 60-69 years, male 101.5
GTEX-X15G-2326-SM-4PQZS 50-59 years, female 101.4
GTEX-1CB4J-1126-SM-7PBY1 60-69 years, male 101.1
GTEX-1GZ4H-1826-SM-9MQLE 50-59 years, female 101.1
GTEX-ZGAY-0626-SM-DO92E 40-49 years, female 101.1
GTEX-WH7G-2226-SM-3NMBN 40-49 years, male 101.0
GTEX-1QCLY-0526-SM-EAZ47 30-39 years, male 100.7
GTEX-1GN73-0326-SM-9KNTW 60-69 years, male 100.4
GTEX-P4PP-0226-SM-D4P1Z 30-39 years, female 100.3
GTEX-SN8G-0226-SM-4DM6B 50-59 years, female 100.1
GTEX-1211K-2226-SM-5FQU6 60-69 years, female 100.0
GTEX-WEY5-1926-SM-3GIL8 40-49 years, female 100.0
GTEX-OIZH-0226-SM-2YUMH 50-59 years, male 99.9
GTEX-1J1R8-2226-SM-ARZMP 40-49 years, male 99.7
GTEX-ZYT6-0326-SM-7LG5R 30-39 years, male 99.5
GTEX-1AX9J-0326-SM-73KXY 60-69 years, male 99.2
GTEX-1399U-2426-SM-5K7XB 50-59 years, female 99.1
GTEX-1C475-1926-SM-7DUFV 40-49 years, female 99.0
GTEX-S32W-2226-SM-2XCAY 50-59 years, female 99.0
GTEX-PLZ6-1326-SM-3NB24 30-39 years, male 98.9
GTEX-ZDTT-2626-SM-5S2OP 60-69 years, male 98.8
GTEX-139YR-2426-SM-5J1OB 50-59 years, male 98.6
GTEX-16BQI-0526-SM-6PAM8 30-39 years, female 98.6
GTEX-16MTA-2126-SM-6PALC 50-59 years, male 98.3
GTEX-13112-2726-SM-5DUW5 50-59 years, male 98.0
GTEX-1QP2A-0226-SM-EVYBC 50-59 years, male 98.0
GTEX-13O1R-0226-SM-5K7U5 60-69 years, male 97.8
GTEX-17MF6-0226-SM-7LG4G 40-49 years, male 97.8
GTEX-1LH75-2526-SM-E9U5A 50-59 years, female 97.7
GTEX-14E6D-0226-SM-62LDW 50-59 years, male 97.6
GTEX-11P7K-2026-SM-5GU74 30-39 years, male 97.4
GTEX-11LCK-1126-SM-5A5KC 30-39 years, male 97.2
GTEX-13OVJ-0326-SM-5L3GL 50-59 years, female 97.2
GTEX-139T6-2126-SM-5KM37 50-59 years, male 97.0
GTEX-117YX-2226-SM-5EGJJ 50-59 years, male 96.8
GTEX-X4XY-0326-SM-46MVZ 60-69 years, male 96.8
GTEX-13FTW-2526-SM-5IJC8 40-49 years, male 96.7
GTEX-PWCY-1926-SM-3NB25 20-29 years, female 96.7
GTEX-13JUV-2826-SM-5LZWU 40-49 years, female 96.5
GTEX-QESD-1526-SM-2S1QT 20-29 years, male 96.5
GTEX-1I6K6-0226-SM-ADEID 30-39 years, male 96.4
GTEX-1JMLX-0126-SM-CMKG9 50-59 years, male 96.4
GTEX-14PII-0326-SM-6LLIQ 60-69 years, male 96.3
GTEX-SNOS-1426-SM-32PLY 40-49 years, male 96.3
GTEX-1N2EF-0626-SM-E9J32 60-69 years, male 96.0
GTEX-1PIGE-0526-SM-DTXFA 20-29 years, male 96.0
GTEX-18465-0226-SM-7LG5M 50-59 years, male 95.8
GTEX-1H3O1-0526-SM-9MQLS 60-69 years, male 95.8
GTEX-1KXAM-2326-SM-CYPTD 60-69 years, male 95.7
GTEX-145MI-0426-SM-5O99V 60-69 years, female 95.4
GTEX-13CF3-2326-SM-5IFGL 60-69 years, female 95.3
GTEX-1B996-0126-SM-7PBYF 60-69 years, male 95.2
GTEX-13SLX-0426-SM-5QGRC 50-59 years, female 95.1
GTEX-XQ3S-1626-SM-4WAYN 20-29 years, male 95.1
GTEX-YB5K-2226-SM-4WWG1 40-49 years, female 95.1
GTEX-ZDYS-2126-SM-5S2P2 50-59 years, male 95.0
GTEX-14C39-2526-SM-5S2UH 40-49 years, male 94.9
GTEX-13111-1726-SM-5EGJZ 50-59 years, male 94.7
GTEX-14PN3-2526-SM-6EU15 60-69 years, female 94.6
GTEX-P44G-2326-SM-2XCCZ 30-39 years, male 94.6
GTEX-1S83E-0226-SM-EVYCW 40-49 years, male 94.6
GTEX-VUSH-0226-SM-EXUQV 30-39 years, male 94.5
GTEX-12C56-1626-SM-5FQUO 20-29 years, male 94.4
GTEX-14PJ4-2226-SM-6LLIS 60-69 years, male 94.4
GTEX-WI4N-1126-SM-3LK7Q 40-49 years, female 94.4
GTEX-1H1ZS-0526-SM-9WG5L 70-79 years, male 94.4
GTEX-145ME-1926-SM-5MR6T 40-49 years, female 94.2
GTEX-U412-0526-SM-3DB9I 60-69 years, male 94.1
GTEX-1I1GU-2326-SM-CGQFB 40-49 years, male 94.1
GTEX-1LG7Z-2026-SM-DLHBP 30-39 years, male 94.1
GTEX-131XE-2426-SM-5EQ5V 50-59 years, male 94.0
GTEX-1GN1U-0226-SM-9YFLQ 50-59 years, female 94.0
GTEX-1HSEH-0226-SM-ACKVV 60-69 years, male 94.0
GTEX-13IVO-0226-SM-5LZXU 70-79 years, male 93.9
GTEX-UJHI-1626-SM-3DB9A 50-59 years, female 93.9
GTEX-YF7O-2426-SM-5IFJL 50-59 years, male 93.9
GTEX-1LSNL-0526-SM-DIPFI 50-59 years, male 93.9
GTEX-111YS-2426-SM-5GZZQ 60-69 years, male 93.7
GTEX-RTLS-0226-SM-2TF5E 60-69 years, female 93.7
GTEX-1PPH8-0626-SM-EWRN9 20-29 years, male 93.7
GTEX-1C4CL-0426-SM-7939N 30-39 years, male 93.6
GTEX-13QBU-2526-SM-5LU4X 40-49 years, female 93.4
GTEX-13N1W-0226-SM-5K7W6 70-79 years, male 93.2
GTEX-169BO-1426-SM-9MQJT 50-59 years, male 92.8
GTEX-1I1GT-0526-SM-CGQEQ 60-69 years, female 92.8
GTEX-13OW6-0526-SM-5L3HY 50-59 years, male 92.7
GTEX-14753-0326-SM-5QGQB 60-69 years, male 92.7
GTEX-1212Z-2426-SM-5EQ5D 60-69 years, male 92.6
GTEX-1A3MX-0226-SM-731C4 60-69 years, male 92.6
GTEX-12WSM-0226-SM-5LZV6 60-69 years, male 92.5
GTEX-131XF-2226-SM-5EQKG 60-69 years, male 92.5
GTEX-1I4MK-2026-SM-B2LVR 50-59 years, female 92.5
GTEX-1JK1U-2126-SM-CNPOU 60-69 years, male 92.5
GTEX-1C2JI-2226-SM-7IGPJ 50-59 years, male 92.4
GTEX-ZYFC-0326-SM-5NQ7H 50-59 years, male 92.4
GTEX-WFON-2226-SM-3TW8W 40-49 years, male 92.3
GTEX-11DXX-2326-SM-9YFKS 60-69 years, female 92.2
GTEX-ZDTS-0226-SM-5HL7Q 60-69 years, male 92.1
GTEX-11P82-1726-SM-5Q5AT 20-29 years, male 92.0
GTEX-Z9EW-1826-SM-5CVMA 40-49 years, male 92.0
GTEX-1A8FM-0126-SM-7SB7P 50-59 years, female 91.9
GTEX-PWN1-0226-SM-DKPO9 40-49 years, female 91.9
GTEX-131XW-0526-SM-5PNXZ 50-59 years, female 91.8
GTEX-13FH7-2226-SM-5IJD4 50-59 years, female 91.8
GTEX-1KWVE-1326-SM-E6CJ1 30-39 years, male 91.8
GTEX-17EUY-0526-SM-7EWDE 20-29 years, male 91.7
GTEX-U4B1-1726-SM-3DB9F 40-49 years, male 91.7
GTEX-YEC3-1226-SM-5IFI8 50-59 years, male 91.7
GTEX-XGQ4-2226-SM-4AT4Y 50-59 years, male 91.6
GTEX-QLQ7-1526-SM-2S1QA 60-69 years, male 91.5
GTEX-11I78-2626-SM-5Q5AI 50-59 years, female 91.3
GTEX-1HSMO-0226-SM-CGQEZ 60-69 years, male 91.3
GTEX-14PJM-0326-SM-62LF2 50-59 years, female 91.2
GTEX-1IY9M-0226-SM-CMKHP 60-69 years, male 91.2
GTEX-145MO-0426-SM-5QGP6 60-69 years, male 91.0
GTEX-1A32A-0226-SM-718B2 50-59 years, female 91.0
GTEX-1OJC4-1726-SM-EXUSV 50-59 years, female 91.0
GTEX-1CAMQ-0126-SM-7SB7S 40-49 years, male 90.9
GTEX-1A3MV-2126-SM-718BV 30-39 years, male 90.8
GTEX-13NYB-2626-SM-9YFMI 40-49 years, male 90.7
GTEX-1CAMS-0326-SM-7PC35 40-49 years, female 90.7
GTEX-1I1GQ-0226-SM-COH3I 50-59 years, male 90.6
GTEX-1PPGY-0326-SM-DTXFD 60-69 years, male 90.6
GTEX-13PVQ-0226-SM-5SIBG 50-59 years, male 90.5
GTEX-R55G-2426-SM-2TC5I 40-49 years, female 90.5
GTEX-Z93S-0226-SM-5HL7R 50-59 years, male 90.5
GTEX-1I1GR-0226-SM-CMKHQ 60-69 years, male 90.5
GTEX-X261-0226-SM-3NMD2 50-59 years, male 90.4
GTEX-Q2AG-0226-SM-2S1P4 40-49 years, female 90.3
GTEX-Q2AH-1726-SM-DIPDV 40-49 years, male 90.2
GTEX-13113-1826-SM-5LZW4 60-69 years, female 89.8
GTEX-X4EO-0426-SM-4QASA 60-69 years, female 89.8
GTEX-1HSKV-0326-SM-ADEJC 60-69 years, male 89.8
GTEX-1NHNU-1126-SM-E9J2C 50-59 years, male 89.8
GTEX-XUYS-0226-SM-47JX1 50-59 years, male 89.4
GTEX-15DDE-0226-SM-6LLJ6 50-59 years, female 89.3
GTEX-1C6WA-0226-SM-7IGPO 60-69 years, male 89.3
GTEX-OHPM-0226-SM-3LK61 50-59 years, male 89.3
GTEX-1HFI7-2026-SM-CGQFR 50-59 years, female 89.3
GTEX-1AYCT-2226-SM-7SB98 50-59 years, male 89.2
GTEX-1IKK5-0526-SM-CMKGG 60-69 years, male 89.2
GTEX-11ZTT-2526-SM-5EQM9 60-69 years, female 88.9
GTEX-Y111-0226-SM-4SOIW 50-59 years, male 88.8
GTEX-1GMR2-2526-SM-9MQKW 50-59 years, male 88.8
GTEX-1RAZA-0226-SM-E9U4W 20-29 years, male 88.8
GTEX-ZT9X-1926-SM-57WE7 40-49 years, male 88.7
GTEX-ZVTK-0526-SM-5GZWT 20-29 years, male 88.7
GTEX-1K2DA-2126-SM-CGQGL 50-59 years, male 88.7
GTEX-1QP66-1326-SM-DTXDQ 50-59 years, male 88.6
GTEX-14PJ2-0226-SM-6LLH4 50-59 years, male 88.5
GTEX-1R9K5-0226-SM-EWRNF 50-59 years, male 88.5
GTEX-X4LF-1726-SM-3NMBZ 50-59 years, male 88.4
GTEX-13VXT-0226-SM-5LU9Q 20-29 years, female 88.3
GTEX-XBEW-0726-SM-4QARX 40-49 years, male 88.3
GTEX-ZVT2-2226-SM-5NQ6P 50-59 years, female 88.3
GTEX-1AX9I-0226-SM-7SB75 60-69 years, male 88.3
GTEX-13YAN-0426-SM-5O9DR 60-69 years, male 88.2
GTEX-1MGNQ-0226-SM-EVYCK 40-49 years, male 88.2
GTEX-QEG5-0326-SM-2S1PB 20-29 years, male 88.1
GTEX-1KANA-0826-SM-D3L9J 20-29 years, male 88.1
GTEX-RU72-1026-SM-46MUG 50-59 years, female 87.9
GTEX-18A67-0226-SM-7LG67 50-59 years, male 87.8
GTEX-ZXES-2026-SM-5NQ6R 30-39 years, female 87.8
GTEX-145MN-2626-SM-5NQAH 30-39 years, male 87.7
GTEX-14JIY-0526-SM-62LFH 60-69 years, male 87.7
GTEX-16MT8-0526-SM-6PAM6 60-69 years, female 87.7
GTEX-1HSMQ-1426-SM-ADEHT 50-59 years, male 87.6
GTEX-17MFQ-1826-SM-7DHLS 20-29 years, male 87.2
GTEX-S95S-1326-SM-2XCDK 60-69 years, male 87.2
GTEX-13W3W-2526-SM-5SI9P 60-69 years, female 86.9
GTEX-ZZPU-2726-SM-5NQ8O 50-59 years, female 86.8
GTEX-Y8LW-1926-SM-4WWFZ 50-59 years, female 86.7
GTEX-1CAMR-1826-SM-7MXUJ 20-29 years, male 86.7
GTEX-12WSD-0226-SM-59HKO 60-69 years, female 86.6
GTEX-139TU-0226-SM-5J1NM 60-69 years, male 86.6
GTEX-ZXG5-0226-SM-59HJI 60-69 years, male 86.6
GTEX-1J8Q3-1526-SM-CMKGB 60-69 years, male 86.6
GTEX-1JN1M-0126-SM-D4P23 60-69 years, female 86.6
GTEX-VJWN-0226-SM-EZ6LF 50-59 years, female 86.6
GTEX-11TUW-2626-SM-5EQKZ 60-69 years, male 86.5
GTEX-13OW7-0226-SM-5MR3N 50-59 years, male 86.5
GTEX-14ICL-2026-SM-62LDN 30-39 years, male 86.5
GTEX-1F75A-0226-SM-7PC2K 50-59 years, male 86.5
GTEX-17F98-1126-SM-79OJS 40-49 years, female 86.4
GTEX-16XZZ-0226-SM-7MGVJ 60-69 years, male 86.3
GTEX-14BMV-0226-SM-5S2N2 50-59 years, male 86.2
GTEX-XUZC-1826-SM-4BRVO 30-39 years, female 86.2
GTEX-1QP9N-1526-SM-DTXFK 30-39 years, male 86.2
GTEX-111CU-1826-SM-5GZYN 50-59 years, male 86.1
GTEX-11EM3-2326-SM-5H12B 20-29 years, female 86.0
GTEX-11TT1-2426-SM-5EQMK 20-29 years, male 86.0
GTEX-WL46-0326-SM-3LK6Y 50-59 years, male 85.9
GTEX-1HCVE-0226-SM-CGQEV 50-59 years, male 85.9
GTEX-1B97I-1726-SM-7939V 40-49 years, male 85.8
GTEX-NFK9-0326-SM-3MJGV 40-49 years, male 85.7
GTEX-11DZ1-0226-SM-5A5KF 50-59 years, male 85.6
GTEX-139TT-0226-SM-5K7YH 60-69 years, male 85.6
GTEX-13N11-2626-SM-5K7UQ 50-59 years, female 85.6
GTEX-1RDX4-0226-SM-DTXG1 50-59 years, female 85.6
GTEX-12WSL-2426-SM-5GCN7 50-59 years, male 85.4
GTEX-QCQG-1826-SM-2S1P2 50-59 years, female 85.4
GTEX-1GTWX-0226-SM-9YFLL 60-69 years, male 85.4
GTEX-1H1DF-0226-SM-ARL9A 40-49 years, female 85.4
GTEX-1314G-1626-SM-5EQ67 30-39 years, male 85.3
GTEX-146FR-1826-SM-5QGPF 60-69 years, female 85.3
GTEX-145LT-1826-SM-5QGP4 40-49 years, male 85.2
GTEX-13PLJ-0126-SM-5L3HU 60-69 years, female 85.1
GTEX-1LGOU-2226-SM-E9U56 20-29 years, female 85.1
GTEX-QMRM-1726-SM-2S1QG 50-59 years, male 85.0
GTEX-147F3-0626-SM-5NQ9I 50-59 years, female 84.9
GTEX-ZAJG-0226-SM-5HL81 50-59 years, female 84.9
GTEX-1B933-0526-SM-7EPHM 50-59 years, female 84.8
GTEX-1MJK2-0526-SM-DTXE6 50-59 years, male 84.8
GTEX-13OVL-0326-SM-5IJCS 50-59 years, male 84.7
GTEX-WFG8-2326-SM-DIPDX 20-29 years, male 84.7
GTEX-TKQ1-1126-SM-4GIAZ 30-39 years, male 84.6
GTEX-18QFQ-0226-SM-731BQ 30-39 years, male 84.6
GTEX-1HSMP-0226-SM-CGQFI 70-79 years, male 84.5
GTEX-1LG7Y-0426-SM-DKPQB 50-59 years, male 84.5
GTEX-WYJK-0226-SM-EYYV8 50-59 years, male 84.5
GTEX-P78B-0226-SM-3NB1Z 40-49 years, female 84.4
GTEX-1R7EV-1926-SM-EVYBF 40-49 years, male 84.4
GTEX-OXRP-0226-SM-3NB14 60-69 years, female 84.3
GTEX-1I6K7-0226-SM-CJI46 40-49 years, male 84.3
GTEX-R55D-0326-SM-48FES 50-59 years, male 84.2
GTEX-11H98-0226-SM-5NQ89 50-59 years, male 84.1
GTEX-13PVR-2426-SM-5RQHN 60-69 years, female 84.1
GTEX-13VXU-0226-SM-5SI9R 50-59 years, male 84.1
GTEX-P4PQ-0226-SM-2S1NK 60-69 years, male 84.1
GTEX-1S831-0326-SM-EVYD3 20-29 years, male 84.1
GTEX-1B8L1-2626-SM-7SB77 60-69 years, male 84.0
GTEX-1QP29-0726-SM-DTXFM 50-59 years, male 84.0
GTEX-1GF9V-0226-SM-9MQKA 60-69 years, male 83.9
GTEX-1H23P-0226-SM-9YFLO 60-69 years, male 83.8
GTEX-132AR-0226-SM-5IJBE 50-59 years, female 83.7
GTEX-145MG-0126-SM-5TDDA 50-59 years, male 83.7
GTEX-Y9LG-2026-SM-62LFS 30-39 years, male 83.5
GTEX-1LSNM-2026-SM-E6CIJ 50-59 years, male 83.5
GTEX-1QP28-0226-SM-E9J2N 50-59 years, female 83.5
GTEX-T6MN-0226-SM-32PMD 50-59 years, male 83.4
GTEX-11EQ9-2526-SM-5HL66 30-39 years, male 83.3
GTEX-18D9A-2026-SM-718BL 30-39 years, female 83.3
GTEX-1HGF4-2526-SM-ADEIZ 60-69 years, male 83.3
GTEX-1IDJD-1226-SM-CM2TP 30-39 years, male 83.3
GTEX-1KAFJ-2426-SM-D4P32 50-59 years, male 83.3
GTEX-12ZZZ-0526-SM-5DUX6 60-69 years, male 83.2
GTEX-ZVT4-0226-SM-51MSD 50-59 years, female 83.2
GTEX-1FIGZ-1626-SM-7SB8L 40-49 years, male 83.2
GTEX-139D8-0326-SM-5IJCJ 30-39 years, female 83.1
GTEX-PLZ5-1826-SM-3NB22 50-59 years, male 83.1
GTEX-11TTK-0226-SM-5N9EC 60-69 years, female 83.0
GTEX-14BMU-2126-SM-5S2TS 20-29 years, female 83.0
GTEX-1PWST-0326-SM-EAZ42 70-79 years, male 83.0
GTEX-14ICK-0326-SM-6LLIZ 40-49 years, male 82.9
GTEX-1C6VS-0426-SM-79OJV 60-69 years, male 82.9
GTEX-XUW1-0526-SM-4BOP3 50-59 years, female 82.9
GTEX-OIZG-0826-SM-E9TI4 50-59 years, male 82.9
GTEX-QDVJ-1826-SM-2S1P3 50-59 years, male 82.7
GTEX-1RQEC-0526-SM-E6CHV 60-69 years, male 82.6
GTEX-YB5E-2126-SM-5IFI7 40-49 years, male 82.4
GTEX-1GF9X-1926-SM-ADEIC 40-49 years, female 82.4
GTEX-1H4P4-0226-SM-9YFKT 50-59 years, male 82.4
GTEX-1QPFJ-0126-SM-E9J4B 30-39 years, female 82.4
GTEX-RNOR-0226-SM-EZ6MF 50-59 years, female 82.4
GTEX-YFCO-2026-SM-4W21Q 40-49 years, male 82.3
GTEX-13U4I-0226-SM-5SIB1 40-49 years, female 82.2
GTEX-1A3MW-0226-SM-7939O 60-69 years, female 82.2
GTEX-SUCS-1826-SM-32PM1 70-79 years, male 82.2
GTEX-1LVAN-0126-SM-COH4H 50-59 years, female 82.2
GTEX-1JMQK-0126-SM-CM2S3 60-69 years, male 82.1
GTEX-OIZI-0226-SM-2XCEE 40-49 years, male 82.0
GTEX-1EH9U-0226-SM-7PBY8 60-69 years, male 82.0
GTEX-OOBK-0226-SM-2YUMF 40-49 years, male 81.9
GTEX-1GMR8-0226-SM-9YFL3 50-59 years, female 81.9
GTEX-111FC-0226-SM-5N9B8 60-69 years, male 81.8
GTEX-ZTPG-0226-SM-5O99I 20-29 years, female 81.8
GTEX-1F48J-0226-SM-7SB82 50-59 years, female 81.8
GTEX-1LVAO-0226-SM-E9U6O 60-69 years, male 81.8
GTEX-12WSA-0326-SM-5BC6I 60-69 years, male 81.7
GTEX-1HT8W-0226-SM-CMKGT 30-39 years, male 81.7
GTEX-ZPCL-2126-SM-57WFZ 60-69 years, female 81.6
GTEX-1MCYP-1826-SM-E9J2Q 20-29 years, female 81.6
GTEX-11XUK-2126-SM-5EQLR 40-49 years, female 81.5
GTEX-13S7M-0226-SM-5S2UG 60-69 years, female 81.4
GTEX-QV31-1326-SM-2S1QE 30-39 years, male 81.4
GTEX-1I1GP-2326-SM-CGQFL 50-59 years, male 81.4
GTEX-1313W-0226-SM-5LZV7 50-59 years, female 81.2
GTEX-15CHQ-0226-SM-6EU2S 60-69 years, male 81.1
GTEX-1F88E-0526-SM-7SB8J 60-69 years, female 81.0
GTEX-ZTX8-1526-SM-5N9GI 20-29 years, male 80.8
GTEX-XQ8I-0526-SM-4BOPS 50-59 years, male 80.6
GTEX-1GPI7-0226-SM-9MQKB 20-29 years, male 80.5
GTEX-13NZB-2426-SM-5K7UF 30-39 years, male 80.4
GTEX-13O61-2426-SM-5J1NV 60-69 years, male 80.4
GTEX-1PDJ9-0426-SM-E9J3E 20-29 years, male 80.4
GTEX-1F5PK-2526-SM-9MQKN 50-59 years, male 80.3
GTEX-1H1CY-2626-SM-9MQKJ 60-69 years, female 80.3
GTEX-13CF2-2626-SM-5LZZA 60-69 years, male 80.2
GTEX-16NGA-1826-SM-7LG5L 40-49 years, female 80.2
GTEX-16YQH-0226-SM-6PALD 30-39 years, male 80.2
GTEX-ZVP2-1826-SM-5GU62 50-59 years, male 80.2
GTEX-1LSVX-0126-SM-EVYCY 60-69 years, male 80.2
GTEX-1OFPY-2326-SM-E8VNU 60-69 years, male 80.2
GTEX-11ZVC-2626-SM-5FQTA 50-59 years, female 80.1
GTEX-11GSO-2326-SM-5A5LX 60-69 years, male 80.0
GTEX-ZYY3-0226-SM-5E45M 60-69 years, female 80.0
GTEX-1HSGN-0126-SM-CGQFU 40-49 years, female 80.0
GTEX-1HCU6-0226-SM-CGQES 60-69 years, female 79.9
GTEX-11UD1-0226-SM-5EQKL 40-49 years, female 79.8
GTEX-13O3Q-2326-SM-5KM3G 50-59 years, male 79.8
GTEX-18A66-0326-SM-718BE 60-69 years, male 79.8
GTEX-XAJ8-0926-SM-47JXZ 40-49 years, male 79.8
GTEX-ZQG8-1526-SM-5HL65 60-69 years, female 79.8
GTEX-1GN1W-0626-SM-9MQK3 50-59 years, female 79.8
GTEX-139T8-0226-SM-5L3EA 60-69 years, male 79.7
GTEX-14E1K-2126-SM-793DU 50-59 years, male 79.7
GTEX-ZF28-0226-SM-5S2OE 60-69 years, male 79.7
GTEX-1ICLY-0226-SM-ARL7R 50-59 years, male 79.7
GTEX-1LB8K-0326-SM-E9TJC 50-59 years, male 79.7
GTEX-14PJ3-1926-SM-62LEY 50-59 years, male 79.6
GTEX-YECK-0226-SM-4W215 60-69 years, male 79.6
GTEX-1IKJJ-0226-SM-COH3T 60-69 years, male 79.6
GTEX-1JKYR-0226-SM-CNPOK 20-29 years, male 79.4
GTEX-144GM-1926-SM-5LUAN 20-29 years, male 79.3
GTEX-ZP4G-2326-SM-57WEM 20-29 years, female 79.3
GTEX-145MF-0526-SM-5LUA6 50-59 years, male 79.2
GTEX-1CB4G-0326-SM-7SB8R 60-69 years, male 79.2
GTEX-14JG6-2326-SM-6LLH3 30-39 years, female 79.1
GTEX-X8HC-0226-SM-4E3K1 50-59 years, female 79.1
GTEX-14ABY-0326-SM-5TDDK 50-59 years, male 79.0
GTEX-13X6J-0226-SM-7EPGC 50-59 years, male 78.9
GTEX-U3ZM-1026-SM-EZ6LD 40-49 years, male 78.9
GTEX-11ONC-2526-SM-5986W 60-69 years, male 78.7
GTEX-1I19N-0426-SM-ACKVY 70-79 years, male 78.7
GTEX-14JG1-0526-SM-6LLHW 40-49 years, male 78.6
GTEX-1H3VY-0226-SM-9YFMF 50-59 years, male 78.6
GTEX-13NZA-0126-SM-5K7UH 60-69 years, male 78.5
GTEX-17HHY-0226-SM-793BQ 50-59 years, male 78.5
GTEX-P4QS-0226-SM-3NB1U 60-69 years, male 78.5
GTEX-1I1GV-0426-SM-ARZLX 60-69 years, male 78.5
GTEX-RVPV-1526-SM-EXOHF 60-69 years, male 78.5
GTEX-1AMEY-1426-SM-7939I 30-39 years, female 78.4
GTEX-TSE9-0226-SM-3DB84 60-69 years, female 78.4
GTEX-1269C-2726-SM-5EGJ4 60-69 years, female 78.3
GTEX-1B8SF-0526-SM-7939F 60-69 years, male 78.3
GTEX-W5X1-2626-SM-4LMI8 40-49 years, female 78.3
GTEX-YFC4-0226-SM-57WD2 40-49 years, female 78.3
GTEX-113IC-0226-SM-5HL5C 60-69 years, male 78.1
GTEX-11UD2-0126-SM-5EQL2 50-59 years, male 78.0
GTEX-P44H-0326-SM-2XCES 40-49 years, male 78.0
GTEX-PSDG-0326-SM-48TCP 50-59 years, male 78.0
GTEX-TMZS-0226-SM-3DB9N 60-69 years, male 77.9
GTEX-11GS4-2626-SM-5A5LD 60-69 years, male 77.8
GTEX-T8EM-1126-SM-3DB7D 40-49 years, male 77.8
GTEX-1JN6P-0226-SM-COH34 60-69 years, male 77.5
GTEX-18D9U-0726-SM-7LG5J 40-49 years, male 77.4
GTEX-17EVP-0426-SM-79OKG 40-49 years, male 77.2
GTEX-1R9PM-2126-SM-E8VOB 20-29 years, male 77.2
GTEX-1KD5A-0326-SM-D5OVD 50-59 years, male 77.1
GTEX-XOT4-0226-SM-4B66Z 60-69 years, female 77.1
GTEX-12WSC-0226-SM-5EQ52 50-59 years, male 77.0
GTEX-O5YV-0226-SM-48TBY 60-69 years, female 77.0
GTEX-U8XE-0426-SM-3DB91 30-39 years, male 77.0
GTEX-15RIE-2326-SM-7KFSC 60-69 years, male 76.9
GTEX-1QW4Y-1626-SM-EAZ41 30-39 years, male 76.9
GTEX-1E2YA-0226-SM-9MQLY 50-59 years, male 76.8
GTEX-11ZUS-0726-SM-59886 30-39 years, male 76.7
GTEX-1PIIG-0326-SM-EVYBV 30-39 years, male 76.7
GTEX-133LE-1926-SM-5N9FV 20-29 years, female 76.6
GTEX-1PFEY-1626-SM-E9J3M 30-39 years, male 76.6
GTEX-T5JW-1726-SM-3GADN 20-29 years, female 76.5
GTEX-ZUA1-0226-SM-5NQ9Q 40-49 years, male 76.5
GTEX-1IGQW-0226-SM-COH43 60-69 years, male 76.5
GTEX-14E6E-1926-SM-664N4 30-39 years, male 76.3
GTEX-UTHO-0426-SM-CE6QU 60-69 years, male 76.3
GTEX-14LLW-0226-SM-62LEL 70-79 years, female 76.2
GTEX-17F97-0426-SM-7LT9U 50-59 years, male 76.2
GTEX-1AX9K-2426-SM-73KZ4 50-59 years, male 76.2
GTEX-1IDJU-2526-SM-CMKGF 60-69 years, female 76.1
GTEX-1JJE9-1226-SM-CNPOI 70-79 years, male 76.1
GTEX-Y3IK-2526-SM-4WWDM 50-59 years, female 76.0
GTEX-1HCUA-2226-SM-ADEHF 50-59 years, female 76.0
GTEX-12ZZY-0326-SM-5LZVQ 60-69 years, male 75.9
GTEX-ZPU1-2426-SM-4WWFM 40-49 years, male 75.9
GTEX-131YS-0226-SM-5IJEH 60-69 years, female 75.8
GTEX-OXRL-0226-SM-3NB18 50-59 years, male 75.8
GTEX-RWSA-0226-SM-2XCBA 40-49 years, male 75.8
GTEX-ZVE2-0326-SM-57WFC 50-59 years, male 75.8
GTEX-13O3P-0226-SM-5KM3Z 50-59 years, male 75.6
GTEX-16NPX-0326-SM-7EWDI 50-59 years, male 75.6
GTEX-111VG-2326-SM-5N9BK 60-69 years, male 75.5
GTEX-147JS-0426-SM-5TDD2 60-69 years, male 75.5
GTEX-1BAJH-0426-SM-73KWY 70-79 years, male 75.5
GTEX-RM2N-1726-SM-2TF55 50-59 years, male 75.5
GTEX-1GMRU-0226-SM-9YFLW 50-59 years, male 75.5
GTEX-1L5NE-2626-SM-E9U6P 50-59 years, male 75.5
GTEX-15SDE-2426-SM-7KFRC 50-59 years, female 75.3
GTEX-Q2AI-1426-SM-2S1P5 40-49 years, male 75.3
GTEX-YEC4-2426-SM-57WFO 40-49 years, male 75.2
GTEX-1MA7W-1926-SM-E6CIO 20-29 years, female 75.2
GTEX-1QP67-1726-SM-E8VOP 40-49 years, female 75.2
GTEX-1CB4E-1826-SM-7RHG8 60-69 years, male 75.1
GTEX-1MA7X-2126-SM-E6CIX 60-69 years, male 75.1
GTEX-14PK6-2026-SM-6LLHP 70-79 years, female 75.0
GTEX-XPVG-2726-SM-4B66W 50-59 years, male 75.0
GTEX-1CB4F-0526-SM-9KNW2 60-69 years, male 75.0
GTEX-1J1OQ-0326-SM-CYPTJ 40-49 years, female 75.0
GTEX-11PRG-0626-SM-5BC56 50-59 years, male 74.8
GTEX-XXEK-2426-SM-4BRUS 50-59 years, male 74.8
GTEX-1H1E6-2026-SM-9KNVK 30-39 years, male 74.7
GTEX-R45C-0226-SM-EVYAJ 60-69 years, female 74.7
GTEX-1399T-2726-SM-5K7XK 60-69 years, male 74.6
GTEX-YJ89-0226-SM-4TT3Y 60-69 years, male 74.5
GTEX-1CB4H-0326-SM-9WG5G 60-69 years, female 74.5
GTEX-12584-0226-SM-5EQL5 40-49 years, male 74.3
GTEX-1B8KZ-1926-SM-7DUG8 50-59 years, male 74.3
GTEX-T5JC-0526-SM-32PM7 20-29 years, male 74.3
GTEX-WVLH-0226-SM-3MJG6 50-59 years, male 74.2
GTEX-1HR9M-0226-SM-COH3E 60-69 years, male 74.0
GTEX-QEG4-0326-SM-DIPE3 30-39 years, male 74.0
GTEX-QLQW-1226-SM-2S1Q9 30-39 years, male 73.8
GTEX-12126-0426-SM-5Q5AP 20-29 years, male 73.7
GTEX-Y8E4-0726-SM-4WWFN 40-49 years, male 73.7
GTEX-Y8E5-0226-SM-57WCM 60-69 years, male 73.7
GTEX-1HCU7-0326-SM-CMKGI 50-59 years, male 73.7
GTEX-YJ8O-2426-SM-5HL7S 40-49 years, female 73.6
GTEX-1EU9M-0326-SM-7RHGF 60-69 years, male 73.6
GTEX-1JJEA-0226-SM-COH2X 60-69 years, male 73.6
GTEX-1ICG6-2626-SM-CGQG1 70-79 years, female 73.5
GTEX-QEL4-0326-SM-3GAE5 50-59 years, male 73.4
GTEX-1EMGI-0226-SM-9MQL1 60-69 years, male 73.4
GTEX-12KS4-0426-SM-5EQMC 30-39 years, male 73.3
GTEX-11EI6-0226-SM-5EQ64 60-69 years, male 73.2
GTEX-14PJ6-2226-SM-6LLIV 60-69 years, female 73.2
GTEX-1F75I-0426-SM-7PC3S 40-49 years, male 73.2
GTEX-1E1VI-0226-SM-793CZ 50-59 years, male 73.1
GTEX-1H1DE-2026-SM-9WG6Q 20-29 years, male 73.1
GTEX-13D11-2326-SM-5IJCY 50-59 years, female 73.0
GTEX-13NZ8-0926-SM-5MR3U 60-69 years, female 73.0
GTEX-14AS3-2026-SM-5TDD9 40-49 years, female 73.0
GTEX-1JMQL-0326-SM-CNPP6 50-59 years, female 73.0
GTEX-1POEN-0226-SM-EYYXE 30-39 years, female 73.0
GTEX-139T4-0126-SM-5HL5G 50-59 years, female 72.9
GTEX-ZV68-0226-SM-59HJF 50-59 years, female 72.9
GTEX-17F96-1726-SM-7IGMB 70-79 years, male 72.7
GTEX-1JKYN-1226-SM-CGQG8 30-39 years, male 72.7
GTEX-1128S-2126-SM-5H12U 60-69 years, female 72.4
GTEX-16XZY-2526-SM-7DHL2 70-79 years, male 72.2
GTEX-1GN2E-0326-SM-COH3C 60-69 years, male 72.2
GTEX-XMK1-2226-SM-4B673 40-49 years, male 72.1
GTEX-XYKS-2726-SM-4E3IC 60-69 years, female 72.1
GTEX-1122O-2026-SM-9YFMG 60-69 years, female 72.1
GTEX-18A6Q-0226-SM-718AS 60-69 years, male 72.0
GTEX-1HBPH-0526-SM-9YFMN 40-49 years, female 72.0
GTEX-1A8G6-0526-SM-7PC1E 60-69 years, male 71.9
GTEX-1I1GS-0226-SM-B2LVX 60-69 years, male 71.9
GTEX-11P81-2426-SM-5GU65 30-39 years, female 71.8
GTEX-SIU8-0226-SM-2XCDS 50-59 years, male 71.8
GTEX-T6MO-1726-SM-33HB8 40-49 years, female 71.8
GTEX-13G51-2626-SM-5LZYW 60-69 years, male 71.7
GTEX-147GR-0426-SM-5S2OL 60-69 years, male 71.6
GTEX-ZEX8-2326-SM-5S2MN 50-59 years, male 71.6
GTEX-1J8JJ-0326-SM-CMKG6 60-69 years, female 71.3
GTEX-ZLWG-2226-SM-DO92V 50-59 years, female 71.3
GTEX-XV7Q-2626-SM-4BRVA 40-49 years, female 71.2
GTEX-S7SE-0226-SM-2XCD4 50-59 years, male 71.1
GTEX-11OF3-2426-SM-5Q5AS 60-69 years, male 71.0
GTEX-W5WG-2526-SM-4SOJ2 50-59 years, female 71.0
GTEX-1HBPM-0326-SM-CMKGR 60-69 years, female 70.8
GTEX-1J8EW-0226-SM-CYPSW 60-69 years, female 70.8
GTEX-WFG7-2526-SM-EWRM5 20-29 years, male 70.8
GTEX-145LS-0226-SM-5O9A5 60-69 years, female 70.4
GTEX-1PBJI-0426-SM-E8VNM 20-29 years, female 70.4
GTEX-ZDXO-2426-SM-5S2NJ 60-69 years, male 70.3
GTEX-1RAZR-0226-SM-EVYC6 40-49 years, male 70.2
GTEX-1RAZQ-0626-SM-E8VOR 30-39 years, male 70.1
GTEX-1399R-2626-SM-5KLZ7 30-39 years, male 70.0
GTEX-VUSG-2426-SM-4KKZG 50-59 years, male 69.9
GTEX-1GMR3-2026-SM-9MQLG 40-49 years, male 69.9
GTEX-13SLW-0226-SM-5S2NA 70-79 years, male 69.8
GTEX-1F75W-0226-SM-9JGGP 60-69 years, male 69.8
GTEX-12ZZX-0226-SM-5DUXU 40-49 years, female 69.7
GTEX-15UKP-0526-SM-7KFRO 20-29 years, male 69.7
GTEX-1IDJF-0226-SM-CMKGE 20-29 years, male 69.6
GTEX-1EWIQ-0226-SM-793D3 70-79 years, female 69.5
GTEX-1HFI6-0326-SM-ADEI5 40-49 years, male 69.5
GTEX-O5YT-0226-SM-32PK5 20-29 years, male 69.4
GTEX-ZYFD-0226-SM-5NQ86 50-59 years, male 69.4
GTEX-1R46S-0526-SM-EVYBZ 60-69 years, female 69.4
GTEX-13FHO-0326-SM-5IJBH 60-69 years, male 69.3
GTEX-SJXC-0226-SM-2XCDU 60-69 years, male 69.3
GTEX-ZC5H-0126-SM-4WAYL 40-49 years, female 69.2
GTEX-1QEPI-0226-SM-EWRMR 60-69 years, female 69.2
GTEX-PX3G-0226-SM-DKPOF 20-29 years, female 69.2
GTEX-ZF3C-0226-SM-4WWB3 50-59 years, female 69.1
GTEX-1LGRB-2426-SM-CNPP3 50-59 years, female 69.0
GTEX-QV44-1825-SM-447CF 50-59 years, male 68.9
GTEX-146FQ-0226-SM-5NQAL 30-39 years, male 68.8
GTEX-1HBPI-1426-SM-B2LW7 50-59 years, male 68.8
GTEX-WY7C-2426-SM-3NB2V 50-59 years, male 68.7
GTEX-1HCU8-0726-SM-ADEIR 60-69 years, female 68.7
GTEX-PLZ4-0226-SM-CYPR1 50-59 years, female 68.7
GTEX-1F52S-0226-SM-7SB7U 60-69 years, female 68.6
GTEX-1497J-2326-SM-5NQBK 60-69 years, male 68.5
GTEX-11WQC-2426-SM-5EQKQ 60-69 years, male 68.3
GTEX-16AAH-2026-SM-7LG5F 50-59 years, male 68.2
GTEX-S4P3-1526-SM-E9J3W 50-59 years, female 68.2
GTEX-ZAK1-0226-SM-5CVMX 50-59 years, female 68.0
GTEX-1EKGG-0126-SM-9YFLS 60-69 years, male 68.0
GTEX-144FL-0226-SM-5Q5D4 50-59 years, male 67.9
GTEX-1I1CD-0226-SM-CM2TL 60-69 years, female 67.9
GTEX-11ZTS-0226-SM-5EQKD 60-69 years, female 67.7
GTEX-14DAQ-0226-SM-664MQ 60-69 years, female 67.7
GTEX-ZVZO-0226-SM-5A5LA 40-49 years, male 67.7
GTEX-1S82P-0226-SM-E6CI6 60-69 years, female 67.7
GTEX-ZYVF-0226-SM-5GIEG 50-59 years, female 67.6
GTEX-13NYS-0226-SM-5MR49 60-69 years, male 67.5
GTEX-15ETS-0426-SM-6PANI 40-49 years, female 67.5
GTEX-1IL2U-0326-SM-CE6T9 60-69 years, male 67.5
GTEX-11O72-0226-SM-59869 40-49 years, male 67.4
GTEX-Y5V5-2426-SM-5IFJA 60-69 years, female 67.4
GTEX-13PDP-0226-SM-5K7W9 60-69 years, male 67.3
GTEX-1J8QM-2326-SM-CYPSL 60-69 years, female 67.0
GTEX-ZE7O-0226-SM-5S2N1 50-59 years, female 66.8
GTEX-XMD2-0226-SM-4WWEE 60-69 years, female 66.7
GTEX-1F6RS-0226-SM-9MQKO 60-69 years, female 66.7
GTEX-1IOXB-0226-SM-CMKHY 50-59 years, male 66.7
GTEX-13FTY-0626-SM-5L3F8 40-49 years, female 66.5
GTEX-POMQ-2326-SM-DHXIS 20-29 years, female 66.5
GTEX-RUSQ-1626-SM-EZ6L4 50-59 years, male 66.3
GTEX-S33H-1126-SM-2XCB6 30-39 years, male 66.2
GTEX-18A7A-0326-SM-731AT 50-59 years, female 66.1
GTEX-1I1HK-0226-SM-COH4A 60-69 years, male 66.1
GTEX-1IL2V-0226-SM-CMKI2 70-79 years, male 66.0
GTEX-14A5H-0526-SM-5TDCN 60-69 years, male 65.8
GTEX-15ER7-0426-SM-6PAM3 20-29 years, female 65.8
GTEX-1LVA9-0226-SM-E9U5N 50-59 years, male 65.8
GTEX-TML8-2026-SM-32QOP 40-49 years, female 65.7
GTEX-WHPG-2126-SM-4M1ZM 50-59 years, male 65.7
GTEX-1MCC2-2326-SM-E9U5G 30-39 years, female 65.7
GTEX-POYW-0726-SM-2XCEO 60-69 years, male 65.6
GTEX-16GPK-0226-SM-7DUFI 60-69 years, male 65.5
GTEX-1AYD5-2326-SM-73KXF 50-59 years, male 65.5
GTEX-1C64O-0226-SM-73KXB 60-69 years, male 65.4
GTEX-17KNJ-2226-SM-DKPOU 50-59 years, male 65.3
GTEX-1HB9E-0426-SM-CNPPV 50-59 years, male 65.3
GTEX-1A8G7-0226-SM-731AS 60-69 years, male 65.2
GTEX-WVJS-0226-SM-4MVOU 50-59 years, male 65.2
GTEX-11ZU8-2426-SM-5EQMV 60-69 years, male 65.1
GTEX-17F9Y-0326-SM-7IGLS 70-79 years, female 65.1
GTEX-15DCD-0226-SM-6LPKC 70-79 years, female 64.8
GTEX-1F6I4-0226-SM-9MQMA 60-69 years, male 64.8
GTEX-1JMQI-2026-SM-CMKGP 50-59 years, male 64.8
GTEX-OIZF-0226-SM-E9TI3 60-69 years, male 64.6
GTEX-13NZ9-0526-SM-5J1OX 50-59 years, male 64.4
GTEX-14BIN-0726-SM-793DQ 50-59 years, female 64.4
GTEX-ZLV1-1826-SM-5FQU5 60-69 years, female 64.4
GTEX-11NUK-0326-SM-5HL5K 50-59 years, male 64.4
GTEX-Z93T-0226-SM-5HL5Z 50-59 years, male 64.2
GTEX-T2IS-0226-SM-32QPH 20-29 years, female 64.1
GTEX-13OVK-2126-SM-6PAN1 40-49 years, male 64.0
GTEX-XK95-0426-SM-4AT4R 40-49 years, male 63.9
GTEX-SSA3-0226-SM-32QPN 60-69 years, male 63.8
GTEX-OXRK-0326-SM-3NB3R 50-59 years, female 63.6
GTEX-1C6VR-2626-SM-7MGX2 60-69 years, male 63.6
GTEX-1LBAC-0226-SM-DHXJZ 20-29 years, male 63.3
GTEX-VJYA-1326-SM-3GIJC 60-69 years, male 63.2
GTEX-N7MS-0326-SM-4E3K2 60-69 years, male 62.8
GTEX-WFJO-1926-SM-3GILA 30-39 years, male 62.8
GTEX-R3RS-0226-SM-EYYVE 40-49 years, female 62.8
GTEX-1GZ2Q-0326-SM-9WG6N 40-49 years, male 62.6
GTEX-183FY-0326-SM-793BY 20-29 years, male 62.3
GTEX-Q734-1826-SM-2I3EL 40-49 years, female 62.3
GTEX-1H2FU-0226-SM-9YFKO 60-69 years, female 62.3
GTEX-17HG3-2326-SM-79OKH 30-39 years, female 62.2
GTEX-1N2DW-0326-SM-E9TK3 50-59 years, male 62.2
GTEX-1ICLZ-0226-SM-CKZPP 60-69 years, male 62.0
GTEX-1H3VE-0226-SM-9WYST 40-49 years, male 61.9
GTEX-1K9T9-0226-SM-E9U6K 50-59 years, female 61.9
GTEX-U3ZN-2626-SM-3DB7T 30-39 years, female 61.8
GTEX-OXRN-0226-SM-2I5EJ 50-59 years, male 61.5
GTEX-X638-0226-SM-47JZ9 70-79 years, female 61.3
GTEX-1IE54-0226-SM-CMKHX 40-49 years, female 61.1
GTEX-1F88F-2626-SM-9WG5K 60-69 years, female 60.6
GTEX-1M5QR-2126-SM-DKPQM 40-49 years, male 60.6
GTEX-13N2G-2726-SM-5J1MG 60-69 years, male 60.4
GTEX-11EQ8-0226-SM-5EQ5G 60-69 years, male 60.3
GTEX-1IDFM-0226-SM-CMKFX 60-69 years, male 60.2
GTEX-1HR98-0226-SM-CGQEK 60-69 years, male 59.7
GTEX-R53T-1626-SM-3GAEW 50-59 years, female 59.6
GTEX-13JVG-0226-SM-5J1MW 60-69 years, male 59.4
GTEX-1QP6S-0126-SM-E9J4K 40-49 years, male 59.4
GTEX-15G19-0226-SM-6PAL2 60-69 years, male 59.1
GTEX-SNMC-1326-SM-2XCFK 20-29 years, male 59.0
GTEX-13FHP-0226-SM-5K7WD 50-59 years, male 58.6
GTEX-1GZ4I-0226-SM-7RHHO 50-59 years, male 58.2
GTEX-Y5V6-2526-SM-5IFJV 60-69 years, male 57.3
GTEX-1B932-0226-SM-7PBYH 40-49 years, female 57.1
GTEX-1EX96-1426-SM-7PBZ5 50-59 years, male 57.0
GTEX-NPJ8-0226-SM-48TBN 40-49 years, male 56.9
GTEX-QDT8-0226-SM-32PL4 30-39 years, female 56.6
GTEX-ZE9C-2826-SM-5S2MO 60-69 years, male 56.5
GTEX-1QAET-1126-SM-E8VML 50-59 years, male 56.4
GTEX-OHPN-0226-SM-48TBV 60-69 years, female 56.1
GTEX-1GN1V-0226-SM-9WYTN 60-69 years, male 55.2
GTEX-X88G-0226-SM-4GIE4 30-39 years, male 52.6
GTEX-QDVN-2126-SM-33HBS 50-59 years, male 52.5
GTEX-183WM-0226-SM-7LT8T 70-79 years, female 51.9
Show allShow less
Adipose - Visceral (Omentum)
Average nTPM: 66.6
Samples: 541

Max nTPM: 104.9
Min nTPM: 37.2
Std nTPM: 11.4
Median nTPM: 65.8
GTEX-ZTX8-0726-SM-59HL9 20-29 years, male 104.9
GTEX-14PHX-1626-SM-69LQB 50-59 years, male 103.0
GTEX-13OVJ-0926-SM-5K7U1 50-59 years, female 98.7
GTEX-ZQUD-0526-SM-57WG4 30-39 years, male 98.5
GTEX-1S5ZA-1026-SM-EWRO2 20-29 years, male 98.2
GTEX-YEC4-0926-SM-5PNXY 40-49 years, male 98.0
GTEX-12696-1826-SM-5EGJS 60-69 years, male 96.0
GTEX-WFON-1226-SM-3TW8F 40-49 years, male 95.3
GTEX-ZZ64-0626-SM-5GZWR 20-29 years, male 94.6
GTEX-1B8KE-0826-SM-72D6S 50-59 years, male 94.2
GTEX-1GMR2-0226-SM-9JGHO 50-59 years, male 93.9
GTEX-1JMPY-0326-SM-CM2S2 30-39 years, male 92.3
GTEX-ZT9W-1026-SM-57WG5 50-59 years, male 91.5
GTEX-14ICL-0926-SM-5S2TU 30-39 years, male 90.5
GTEX-XUZC-1126-SM-4BOPZ 30-39 years, female 90.5
GTEX-13FH7-1926-SM-5J2OL 50-59 years, female 90.1
GTEX-1399U-2026-SM-9WPNN 50-59 years, female 90.1
GTEX-132QS-0826-SM-5K7WV 60-69 years, male 89.9
GTEX-1AX9J-2226-SM-731CW 60-69 years, male 89.8
GTEX-1B97J-1126-SM-7SB79 50-59 years, female 89.3
GTEX-XBED-1326-SM-4AT4F 60-69 years, male 88.1
GTEX-14PKU-0226-SM-6EU16 40-49 years, female 88.0
GTEX-ZP4G-1326-SM-5EGIW 20-29 years, female 88.0
GTEX-1211K-1226-SM-5EQ4N 60-69 years, female 87.7
GTEX-1RB15-1126-SM-E8VMX 60-69 years, male 87.4
GTEX-11I78-0226-SM-5HL6R 50-59 years, female 86.5
GTEX-131XF-0726-SM-5GIE5 60-69 years, male 86.5
GTEX-ZVT2-0226-SM-5GIE3 50-59 years, female 86.5
GTEX-ZXES-0926-SM-5E43O 30-39 years, female 86.0
GTEX-11DXX-2026-SM-5EGJL 60-69 years, female 85.5
GTEX-1C475-0326-SM-7SB8O 40-49 years, female 84.9
GTEX-13PL7-1226-SM-5SIAR 60-69 years, female 84.8
GTEX-14PJ5-0426-SM-5ZZW2 60-69 years, female 84.8
GTEX-14PJO-1626-SM-69LPQ 60-69 years, male 84.7
GTEX-14PJ4-0126-SM-62LEZ 60-69 years, male 84.6
GTEX-1IDJC-0226-SM-CMKG2 50-59 years, male 84.5
GTEX-1GPI7-0826-SM-9JGG7 20-29 years, male 84.4
GTEX-1RAZQ-1526-SM-E6CJI 30-39 years, male 84.4
GTEX-1HCU9-0626-SM-ACKW6 20-29 years, male 84.0
GTEX-ZF29-0826-SM-5S2O2 60-69 years, female 84.0
GTEX-ZTSS-1026-SM-5985N 40-49 years, male 83.7
GTEX-1HKZK-1726-SM-ADEJ9 40-49 years, male 83.7
GTEX-ZA64-0926-SM-5HL7H 20-29 years, male 83.6
GTEX-1N2DV-0626-SM-E9U5H 40-49 years, male 83.6
GTEX-1LG7Z-0226-SM-E6CIG 30-39 years, male 83.5
GTEX-1I1GT-1326-SM-ACKWB 60-69 years, female 83.4
GTEX-ZVP2-0226-SM-57WBD 50-59 years, male 83.3
GTEX-1HCUA-0926-SM-ADEIX 50-59 years, female 83.3
GTEX-1MJK3-0626-SM-E6CJB 20-29 years, male 83.1
GTEX-1S831-1926-SM-EV79P 20-29 years, male 83.1
GTEX-1GL5R-0726-SM-9MQL5 50-59 years, male 82.8
GTEX-1K2DA-1126-SM-CGQGG 50-59 years, male 82.8
GTEX-1F5PL-1326-SM-7SB83 40-49 years, female 82.6
GTEX-ZDYS-2226-SM-5S2MI 50-59 years, male 82.0
GTEX-ZLWG-0726-SM-5S2N4 50-59 years, female 82.0
GTEX-1H1ZS-1326-SM-9WG74 70-79 years, male 81.9
GTEX-14PN3-0326-SM-6EU1X 60-69 years, female 81.7
GTEX-1AMEY-0526-SM-72D62 30-39 years, female 81.7
GTEX-1GZ4H-0926-SM-9WG6Y 50-59 years, female 81.4
GTEX-1J1R8-0526-SM-ACKWO 40-49 years, male 81.4
GTEX-XYKS-1826-SM-4E3JV 60-69 years, female 81.2
GTEX-1KXAM-0526-SM-DKPQN 60-69 years, male 81.2
GTEX-XGQ4-1026-SM-4AT4L 50-59 years, male 81.1
GTEX-1HSEH-1326-SM-ADEI1 60-69 years, male 81.0
GTEX-16MTA-1326-SM-6PALX 50-59 years, male 80.7
GTEX-Y9LG-1226-SM-4VBQA 30-39 years, male 80.6
GTEX-1QCLY-1226-SM-EVYC3 30-39 years, male 80.3
GTEX-WXYG-0926-SM-3NB2O 50-59 years, female 79.8
GTEX-1339X-0726-SM-5L3FF 40-49 years, male 79.7
GTEX-1MA7W-0526-SM-E6CIN 20-29 years, female 79.6
GTEX-YEC3-0926-SM-5Q5AC 50-59 years, male 79.5
GTEX-111YS-1326-SM-5EGGK 60-69 years, male 79.3
GTEX-1I4MK-0726-SM-ACKWC 50-59 years, female 79.3
GTEX-WRHK-0826-SM-3MJFG 20-29 years, female 79.1
GTEX-131XG-0126-SM-5K7UJ 50-59 years, female 79.0
GTEX-1C2JI-0826-SM-7EPHB 50-59 years, male 78.9
GTEX-ZV6S-1626-SM-5NQ81 40-49 years, female 78.9
GTEX-12C56-0826-SM-5EGJ5 20-29 years, male 78.8
GTEX-Y114-1326-SM-4TT9A 50-59 years, female 78.8
GTEX-ZVZP-1126-SM-5GICU 50-59 years, male 78.3
GTEX-1LSNM-0626-SM-DIPG7 50-59 years, male 78.3
GTEX-1MUQO-0826-SM-EVYCZ 60-69 years, male 78.3
GTEX-15DZA-0626-SM-6PANC 30-39 years, female 78.2
GTEX-1AYCT-1126-SM-79OO8 50-59 years, male 78.2
GTEX-16BQI-1126-SM-7KULF 30-39 years, female 78.1
GTEX-14ICK-1726-SM-6AJA5 40-49 years, male 77.9
GTEX-1GN73-0626-SM-7PC3I 60-69 years, male 77.7
GTEX-13OVG-1326-SM-5K7Y3 60-69 years, male 77.6
GTEX-WYJK-1426-SM-3NM8V 50-59 years, male 77.6
GTEX-13O21-3126-SM-5J1OI 50-59 years, male 77.5
GTEX-1CAMS-0926-SM-7SB7F 40-49 years, female 77.5
GTEX-13CF3-1126-SM-5LZXB 60-69 years, female 77.4
GTEX-13FTW-0426-SM-5K7X2 40-49 years, male 77.4
GTEX-12WSK-1026-SM-5CVNR 40-49 years, female 77.3
GTEX-X585-2526-SM-4QAS1 50-59 years, male 77.3
GTEX-1LVAM-1026-SM-DIPFK 50-59 years, female 77.3
GTEX-183FY-1226-SM-7DHLK 20-29 years, male 77.1
GTEX-1B8SG-1426-SM-7EWEM 50-59 years, male 77.1
GTEX-1OFPY-0826-SM-DTX8P 60-69 years, male 77.0
GTEX-17GQL-0826-SM-731AM 60-69 years, male 76.8
GTEX-11P82-0326-SM-5HL51 20-29 years, male 76.7
GTEX-12WSF-1526-SM-6PAN6 70-79 years, male 76.6
GTEX-13111-0626-SM-5LZVR 50-59 years, male 76.6
GTEX-Y5LM-0826-SM-4VDSW 40-49 years, female 76.6
GTEX-1HBPN-1526-SM-9WYSB 50-59 years, male 76.6
GTEX-14PJ3-0726-SM-69LQE 50-59 years, male 76.5
GTEX-17F98-0326-SM-7DHLH 40-49 years, female 76.5
GTEX-1B97I-0526-SM-73KXE 40-49 years, male 76.5
GTEX-1B996-1226-SM-73KWZ 60-69 years, male 76.5
GTEX-1CB4I-0826-SM-7MGX1 50-59 years, male 76.5
GTEX-XBEW-1726-SM-4RGMA 40-49 years, male 76.3
GTEX-18D9B-1726-SM-7LTAP 60-69 years, male 76.2
GTEX-13RTK-0726-SM-5Q5EN 20-29 years, male 76.1
GTEX-145MF-1026-SM-5Q5EQ 50-59 years, male 76.0
GTEX-1A3MV-0626-SM-731CH 30-39 years, male 75.9
GTEX-WH7G-1126-SM-3NMBK 40-49 years, male 75.9
GTEX-ZDTT-0526-SM-5HL4M 60-69 years, male 75.9
GTEX-15EU6-1726-SM-6M48H 50-59 years, male 75.8
GTEX-ZYVF-1026-SM-5E44V 50-59 years, female 75.7
GTEX-139T6-0526-SM-5IJC9 50-59 years, male 75.5
GTEX-14PN4-1426-SM-6LLJ4 50-59 years, male 75.5
GTEX-14PK6-0926-SM-62LF4 70-79 years, female 75.4
GTEX-ZYFG-1426-SM-5GICS 60-69 years, female 75.4
GTEX-18D9A-0726-SM-7LTA7 30-39 years, female 75.2
GTEX-1399S-1426-SM-5PNYQ 30-39 years, female 75.1
GTEX-14DAR-0426-SM-664MW 50-59 years, male 75.0
GTEX-18QFQ-1326-SM-731CF 30-39 years, male 75.0
GTEX-X3Y1-0926-SM-3P5YT 40-49 years, male 75.0
GTEX-Z9EW-0826-SM-5HL9T 40-49 years, male 75.0
GTEX-1LVAN-0926-SM-CNNQ2 50-59 years, female 75.0
GTEX-U8XE-1926-SM-3DB98 30-39 years, male 74.8
GTEX-13O61-1926-SM-5KM1R 60-69 years, male 74.7
GTEX-13X6H-1726-SM-5Q5EH 50-59 years, female 74.7
GTEX-YFCO-1126-SM-5S2N9 40-49 years, male 74.3
GTEX-13QBU-1326-SM-5LU4K 40-49 years, female 74.2
GTEX-13W3W-1126-SM-5L3DO 60-69 years, female 74.1
GTEX-1C6VS-1826-SM-73KXN 60-69 years, male 74.1
GTEX-1IDJU-0926-SM-ARL88 60-69 years, female 74.1
GTEX-13PVR-0526-SM-5S2OB 60-69 years, female 74.0
GTEX-1R7EV-1026-SM-DTX81 40-49 years, male 74.0
GTEX-1RAZA-0926-SM-E6CQ8 20-29 years, male 74.0
GTEX-ZGAY-1326-SM-5S2NS 40-49 years, female 73.9
GTEX-117YX-0726-SM-5GIET 50-59 years, male 73.6
GTEX-16AAH-1526-SM-7LT9W 50-59 years, male 73.6
GTEX-139D8-1626-SM-5IJFZ 30-39 years, female 73.5
GTEX-145LT-1526-SM-5O98P 40-49 years, male 73.5
GTEX-1122O-0926-SM-9YFLC 60-69 years, female 73.5
GTEX-11XUK-1726-SM-5GU61 40-49 years, female 73.4
GTEX-15SHU-2326-SM-7KUMC 40-49 years, female 73.4
GTEX-1A3MX-0826-SM-72D64 60-69 years, male 73.4
GTEX-13D11-0526-SM-5LZYM 50-59 years, female 73.2
GTEX-1S3DN-1626-SM-EVYCC 50-59 years, male 73.2
GTEX-WOFM-0726-SM-3MJF8 20-29 years, male 73.1
GTEX-1I1GU-0626-SM-CMKHR 40-49 years, male 73.1
GTEX-132Q8-1726-SM-5EGK8 60-69 years, male 73.0
GTEX-13X6K-0726-SM-5LU2Z 60-69 years, female 73.0
GTEX-14PHY-1026-SM-62LEV 60-69 years, female 73.0
GTEX-WEY5-1326-SM-3GILS 40-49 years, female 73.0
GTEX-14753-2526-SM-5LU97 60-69 years, male 72.9
GTEX-1L5NE-1726-SM-DHXKX 50-59 years, male 72.9
GTEX-1LH75-1026-SM-EWROK 50-59 years, female 72.9
GTEX-12WSA-1626-SM-5EGJV 60-69 years, male 72.8
GTEX-12WSL-1126-SM-5CVNK 50-59 years, male 72.8
GTEX-1AX9K-0926-SM-7939G 50-59 years, male 72.8
GTEX-1EU9M-1126-SM-793DE 60-69 years, male 72.8
GTEX-17MFQ-1126-SM-7LT9O 20-29 years, male 72.6
GTEX-1PPH8-1026-SM-DPRXN 20-29 years, male 72.6
GTEX-145ME-0726-SM-5O9A3 40-49 years, female 72.5
GTEX-ZPIC-0726-SM-57WFM 40-49 years, female 72.4
GTEX-1IKOE-1726-SM-CNNQ6 30-39 years, female 72.4
GTEX-12BJ1-0826-SM-5EQ5P 60-69 years, male 72.3
GTEX-1HCU7-2026-SM-A9G2B 50-59 years, male 72.2
GTEX-1PFEY-0726-SM-E76PO 30-39 years, male 72.2
GTEX-12WSG-0426-SM-5FQSE 50-59 years, female 72.1
GTEX-1HFI7-0726-SM-ACKVN 50-59 years, female 72.1
GTEX-14JG6-0526-SM-6LLIH 30-39 years, female 71.7
GTEX-17EVP-1426-SM-79OMN 40-49 years, male 71.7
GTEX-13OVH-1126-SM-5K7YP 70-79 years, male 71.6
GTEX-W5X1-1426-SM-3GIKH 40-49 years, female 71.6
GTEX-11LCK-0326-SM-5A5M7 30-39 years, male 71.5
GTEX-11VI4-1226-SM-5EQMP 40-49 years, female 71.5
GTEX-1RMOY-0826-SM-E9TIF 50-59 years, male 71.5
GTEX-1HSMQ-1026-SM-ADEHU 50-59 years, male 71.4
GTEX-1QP9N-0426-SM-DTXFT 30-39 years, male 71.2
GTEX-Y3I4-0726-SM-E9J3Y 50-59 years, male 71.2
GTEX-14E6C-1226-SM-5ZZUN 40-49 years, male 71.0
GTEX-144GM-0626-SM-79OKY 20-29 years, male 70.8
GTEX-1H1E6-1126-SM-9JGGV 30-39 years, male 70.7
GTEX-111CU-1026-SM-5EGIL 50-59 years, male 70.6
GTEX-14BIM-1626-SM-7EWD2 60-69 years, female 70.6
GTEX-1QP28-0926-SM-EVR4D 50-59 years, female 70.6
GTEX-13N2G-1926-SM-5J1O3 60-69 years, male 70.5
GTEX-1AMFI-1026-SM-73KYM 50-59 years, female 70.3
GTEX-1LGOU-0826-SM-DHXKL 20-29 years, female 70.3
GTEX-1HSGN-1926-SM-CMKGS 40-49 years, female 70.2
GTEX-15CHC-0826-SM-686YW 60-69 years, female 70.1
GTEX-ZYW4-2226-SM-5GZYG 60-69 years, male 70.1
GTEX-1H2FU-1426-SM-9WPO6 60-69 years, female 70.1
GTEX-18A66-1926-SM-7LTAG 60-69 years, male 70.0
GTEX-16NGA-0526-SM-731AJ 40-49 years, female 69.8
GTEX-18D9U-0426-SM-731AN 40-49 years, male 69.7
GTEX-1JN76-1026-SM-ARZNI 20-29 years, female 69.7
GTEX-14E1K-0426-SM-5S2PF 50-59 years, male 69.6
GTEX-UTHO-1826-SM-3GAFE 60-69 years, male 69.6
GTEX-1OJC3-1326-SM-E9J3D 20-29 years, male 69.6
GTEX-ZYT6-2126-SM-5GZZ4 30-39 years, male 69.5
GTEX-Y8LW-0926-SM-4VBQ8 50-59 years, female 69.4
GTEX-11DXZ-1426-SM-5H12A 50-59 years, male 69.3
GTEX-Y5V6-0626-SM-4WWFY 60-69 years, male 69.2
GTEX-11EM3-1126-SM-5A5KM 20-29 years, female 68.9
GTEX-1K2DU-0726-SM-DIPF7 20-29 years, male 68.9
GTEX-13FHO-2026-SM-5J1OA 60-69 years, male 68.7
GTEX-ZV7C-0826-SM-59HK8 50-59 years, male 68.7
GTEX-1QP29-1626-SM-EXUSZ 50-59 years, male 68.7
GTEX-14BMU-0626-SM-73KZ6 20-29 years, female 68.6
GTEX-1IDJF-1726-SM-A9SLL 20-29 years, male 68.6
GTEX-Y111-0926-SM-4SOIU 50-59 years, male 68.5
GTEX-1JKYR-1226-SM-CM2S7 20-29 years, male 68.5
GTEX-1P4AB-1226-SM-DTXET 50-59 years, male 68.5
GTEX-YJ8A-1926-SM-EZ6LQ 20-29 years, male 68.5
GTEX-14PJN-0626-SM-6EU13 30-39 years, male 68.3
GTEX-15UKP-1426-SM-7KUDX 20-29 years, male 68.1
GTEX-1IL2U-2726-SM-C1YSG 60-69 years, male 68.1
GTEX-1F75I-1026-SM-7SB8B 40-49 years, male 68.0
GTEX-1KANC-0526-SM-D4P3T 50-59 years, female 67.8
GTEX-13OW7-1126-SM-5K7V6 50-59 years, male 67.6
GTEX-1H1DE-0826-SM-ARU8V 20-29 years, male 67.6
GTEX-1KWVE-0226-SM-E9TKK 30-39 years, male 67.6
GTEX-1IDJI-0926-SM-ACKWZ 50-59 years, female 67.5
GTEX-1QPFJ-2126-SM-EXOJV 30-39 years, female 67.5
GTEX-133LE-0926-SM-5P9J1 20-29 years, female 67.4
GTEX-13NZB-0826-SM-5K7X5 30-39 years, male 67.4
GTEX-14B4R-0526-SM-5QGQT 30-39 years, male 67.4
GTEX-1LGRB-0526-SM-COH3A 50-59 years, female 67.4
GTEX-15RIE-0126-SM-7KUF8 60-69 years, male 67.3
GTEX-1JJ6O-2826-SM-CNNP7 60-69 years, male 67.3
GTEX-13113-1126-SM-5LZU9 60-69 years, female 67.2
GTEX-13OW8-0326-SM-5L3FB 60-69 years, male 67.2
GTEX-WHWD-0826-SM-3LK6R 50-59 years, male 67.2
GTEX-XLM4-1026-SM-4AT51 60-69 years, male 67.2
GTEX-ZTPG-2326-SM-57WFL 20-29 years, female 67.1
GTEX-1F75B-1226-SM-7MXTW 50-59 years, male 67.1
GTEX-1GTWX-1526-SM-9MQLF 60-69 years, male 67.1
GTEX-1117F-1326-SM-5EGHH 60-69 years, female 67.0
GTEX-13YAN-1126-SM-5TDC7 60-69 years, male 67.0
GTEX-1I1GP-1426-SM-ACKVZ 50-59 years, male 67.0
GTEX-14BIL-2426-SM-5QGQR 50-59 years, male 66.9
GTEX-ZG7Y-1626-SM-5S2NO 50-59 years, male 66.9
GTEX-XXEK-1426-SM-4BRW1 50-59 years, male 66.8
GTEX-1GN1W-1226-SM-9MQLW 50-59 years, female 66.8
GTEX-13O3P-0926-SM-5IFFI 50-59 years, male 66.7
GTEX-13X6I-1526-SM-5SIAC 60-69 years, male 66.7
GTEX-1JKYN-0526-SM-CGQG3 30-39 years, male 66.6
GTEX-1PIGE-1226-SM-EVR3Q 20-29 years, male 66.6
GTEX-1OKEX-0926-SM-E8VNJ 60-69 years, male 66.5
GTEX-XPVG-1626-SM-EYYVK 50-59 years, male 66.4
GTEX-ZZPU-0326-SM-5N9BJ 50-59 years, female 66.3
GTEX-1GF9U-1226-SM-ARL9I 40-49 years, female 66.3
GTEX-XMK1-0926-SM-4B66X 40-49 years, male 66.2
GTEX-1I1GS-0926-SM-A9SL5 60-69 years, male 66.2
GTEX-1QP66-0626-SM-E76PD 50-59 years, male 66.2
GTEX-13S86-0926-SM-5SI6I 40-49 years, male 66.1
GTEX-17HGU-1726-SM-79OKM 50-59 years, male 66.1
GTEX-17MF6-1326-SM-79ONE 40-49 years, male 66.1
GTEX-1F52S-1326-SM-7SB6Q 60-69 years, female 66.1
GTEX-15EOM-2326-SM-7KUMV 20-29 years, female 66.0
GTEX-ZPCL-1026-SM-5GCOX 60-69 years, female 65.9
GTEX-ZT9X-0926-SM-5O9C4 40-49 years, male 65.9
GTEX-1A32A-0926-SM-718AB 50-59 years, female 65.8
GTEX-1I6K6-1526-SM-CGQFC 30-39 years, male 65.8
GTEX-1LVAO-2126-SM-DIPGA 60-69 years, male 65.8
GTEX-146FR-0226-SM-5Q5F6 60-69 years, female 65.7
GTEX-14E6D-1326-SM-62LES 50-59 years, male 65.7
GTEX-17F9E-1326-SM-7DHL4 50-59 years, male 65.7
GTEX-139YR-0326-SM-5J1MC 50-59 years, male 65.5
GTEX-11TT1-1926-SM-5PNYN 20-29 years, male 65.4
GTEX-13FTX-0626-SM-5J2NS 20-29 years, female 65.4
GTEX-13VXT-0926-SM-5LU5K 20-29 years, female 65.4
GTEX-145LV-1026-SM-5O9AE 50-59 years, male 65.4
GTEX-1GF9W-1026-SM-7SB8X 60-69 years, male 65.3
GTEX-1MCC2-0626-SM-DKPQI 30-39 years, female 65.2
GTEX-14C5O-0926-SM-793DM 60-69 years, male 65.1
GTEX-1KANA-1426-SM-CY8IF 20-29 years, male 65.1
GTEX-169BO-0426-SM-7EPI1 50-59 years, male 65.0
GTEX-1AX8Z-1626-SM-73KWD 60-69 years, male 65.0
GTEX-12WSM-0626-SM-5GCOK 60-69 years, male 64.9
GTEX-13112-1126-SM-5GCMY 50-59 years, male 64.9
GTEX-1CAMR-0326-SM-793AH 20-29 years, male 64.8
GTEX-1HSMP-1126-SM-B2LXJ 70-79 years, male 64.8
GTEX-1J8EW-1526-SM-CMKFZ 60-69 years, female 64.8
GTEX-11P7K-0826-SM-5BC5F 30-39 years, male 64.7
GTEX-14AS3-0426-SM-5QGQK 40-49 years, female 64.7
GTEX-1I19N-1026-SM-A96TT 70-79 years, male 64.7
GTEX-11GSO-0226-SM-5A5LV 60-69 years, male 64.6
GTEX-1QP67-1126-SM-EAZ4C 40-49 years, female 64.5
GTEX-16NPX-1026-SM-6PAM7 50-59 years, male 64.4
GTEX-14ABY-1926-SM-62LDJ 50-59 years, male 64.3
GTEX-11PRG-1526-SM-5HL6Z 50-59 years, male 64.2
GTEX-1CB4F-1126-SM-79OLG 60-69 years, male 64.2
GTEX-1H23P-1726-SM-A9SMN 60-69 years, male 64.2
GTEX-13FXS-1326-SM-62LFR 50-59 years, male 64.1
GTEX-1HT8W-0726-SM-A9SLB 30-39 years, male 64.1
GTEX-13PDP-1226-SM-5K7TW 60-69 years, male 64.0
GTEX-1KAFJ-0826-SM-CYPTF 50-59 years, male 64.0
GTEX-11ZUS-1826-SM-5FQTR 30-39 years, male 63.9
GTEX-13JUV-0626-SM-5J1MQ 40-49 years, female 63.9
GTEX-17HHE-1526-SM-793AS 50-59 years, male 63.9
GTEX-131XH-0826-SM-5GCN8 50-59 years, male 63.8
GTEX-146FH-2026-SM-5SI9I 50-59 years, female 63.8
GTEX-16XZZ-1626-SM-7KUEC 60-69 years, male 63.8
GTEX-1RLM8-1026-SM-EWROE 50-59 years, male 63.8
GTEX-1N2EF-0926-SM-E8VNW 60-69 years, male 63.7
GTEX-144GN-0726-SM-5O98O 50-59 years, male 63.6
GTEX-145LU-1226-SM-5LU9B 50-59 years, male 63.6
GTEX-WL46-2026-SM-3LK7U 50-59 years, male 63.6
GTEX-1H3VE-1926-SM-9YFL4 40-49 years, male 63.6
GTEX-1IDJD-0926-SM-ACKWW 30-39 years, male 63.6
GTEX-14C38-1026-SM-73KY7 50-59 years, male 63.3
GTEX-XAJ8-0226-SM-4GIB2 40-49 years, male 63.3
GTEX-ZQG8-1026-SM-51MR9 60-69 years, female 63.3
GTEX-1HFI6-1726-SM-CGQFH 40-49 years, male 63.2
GTEX-1JJE9-1526-SM-CM2RR 70-79 years, male 63.2
GTEX-1LKK1-1526-SM-EVYCO 50-59 years, female 63.2
GTEX-13IVO-2426-SM-5K7V9 70-79 years, male 63.0
GTEX-ZXG5-1626-SM-59HJK 60-69 years, male 63.0
GTEX-1128S-0926-SM-5GZZU 60-69 years, female 62.9
GTEX-1HSMO-1426-SM-CNNQN 60-69 years, male 62.9
GTEX-1445S-2426-SM-79ON2 60-69 years, male 62.8
GTEX-WFJO-1026-SM-3GIKL 30-39 years, male 62.8
GTEX-ZPU1-1226-SM-5HL71 40-49 years, male 62.5
GTEX-1212Z-0526-SM-5FQSQ 60-69 years, male 62.4
GTEX-XQ8I-1426-SM-4BOPW 50-59 years, male 62.4
GTEX-ZYFC-1826-SM-5GZZA 50-59 years, male 62.4
GTEX-WVLH-1626-SM-EXURN 50-59 years, male 62.4
GTEX-11EQ9-1126-SM-5987I 30-39 years, male 62.3
GTEX-18A7A-0926-SM-7LT8H 50-59 years, female 62.3
GTEX-1J8Q2-2226-SM-CM2TZ 60-69 years, male 62.3
GTEX-13X6J-1926-SM-5TDCU 50-59 years, male 62.0
GTEX-ZF28-1426-SM-5S2OG 60-69 years, male 62.0
GTEX-ZF2S-1526-SM-5S2OO 50-59 years, female 62.0
GTEX-1AX9I-1726-SM-731BX 60-69 years, male 61.9
GTEX-13PVQ-2226-SM-5L3G9 50-59 years, male 61.8
GTEX-17HII-0826-SM-7DUFH 50-59 years, male 61.7
GTEX-12ZZX-1726-SM-5BC63 40-49 years, female 61.6
GTEX-14BMV-1626-SM-73KVQ 50-59 years, male 61.6
GTEX-VUSG-1426-SM-3GIJN 50-59 years, male 61.4
GTEX-1NV5F-2526-SM-EXUSK 60-69 years, female 61.4
GTEX-13OW6-2426-SM-5K7WO 50-59 years, male 61.3
GTEX-WYBS-1026-SM-4ONCY 60-69 years, female 61.3
GTEX-ZDTS-1826-SM-5S2N6 60-69 years, male 61.3
GTEX-1POEN-1626-SM-EVYC2 30-39 years, female 61.3
GTEX-1LG7Y-1126-SM-CYPTE 50-59 years, male 61.2
GTEX-1H1DG-2026-SM-9QEIV 70-79 years, male 60.8
GTEX-1N2EE-1526-SM-DTXE9 60-69 years, male 60.8
GTEX-Y8E4-1226-SM-5IFIM 40-49 years, male 60.7
GTEX-1B933-1326-SM-7939U 50-59 years, female 60.6
GTEX-1CB4G-2126-SM-7IGQ8 60-69 years, male 60.6
GTEX-XQ3S-2426-SM-4WAYB 20-29 years, male 60.6
GTEX-1BAJH-2126-SM-7EWFB 70-79 years, male 60.5
GTEX-14PJ2-1426-SM-62LFF 50-59 years, male 60.3
GTEX-1HBPH-2226-SM-9WYSO 40-49 years, female 60.3
GTEX-ZDXO-2326-SM-5LU9W 60-69 years, male 60.2
GTEX-18A67-1326-SM-7LT8V 50-59 years, male 60.1
GTEX-1I1CD-1026-SM-COH3G 60-69 years, female 60.1
GTEX-1S82P-0926-SM-EWRNP 60-69 years, female 60.1
GTEX-12WSC-1726-SM-5GCN3 50-59 years, male 59.9
GTEX-1K9T9-1626-SM-DIPFS 50-59 years, female 59.9
GTEX-131YS-1726-SM-5HL7G 60-69 years, female 59.8
GTEX-17F96-0726-SM-793CB 70-79 years, male 59.8
GTEX-1I6K7-1826-SM-CGQFO 40-49 years, male 59.8
GTEX-1192X-1526-SM-5H11I 50-59 years, male 59.7
GTEX-11P81-0726-SM-5PNYH 30-39 years, female 59.7
GTEX-13U4I-1726-SM-5J1MF 40-49 years, female 59.7
GTEX-ZLV1-0926-SM-5S2MR 60-69 years, female 59.7
GTEX-XBEC-1826-SM-4QASN 50-59 years, male 59.6
GTEX-14DAQ-2526-SM-5RQIO 60-69 years, female 59.5
GTEX-17JCI-1626-SM-7EPGZ 60-69 years, female 59.5
GTEX-15CHQ-1126-SM-686YY 60-69 years, male 59.4
GTEX-13N1W-1226-SM-5K7UM 70-79 years, male 59.2
GTEX-WK11-2426-SM-3NMAA 50-59 years, male 59.2
GTEX-17F9Y-0726-SM-7LT9G 70-79 years, female 59.1
GTEX-1HB9E-0526-SM-ARZNM 50-59 years, male 59.1
GTEX-17HHY-1026-SM-7LG5E 50-59 years, male 59.0
GTEX-YECK-1426-SM-5IFHE 60-69 years, male 59.0
GTEX-ZUA1-2126-SM-57YRB 40-49 years, male 59.0
GTEX-1HBPI-1826-SM-ADEHE 50-59 years, male 59.0
GTEX-1EH9U-1326-SM-79OM3 60-69 years, male 58.9
GTEX-132NY-1126-SM-5PNVE 60-69 years, male 58.8
GTEX-14E6E-0226-SM-7DUEF 30-39 years, male 58.8
GTEX-1CB4E-0826-SM-793CS 60-69 years, male 58.7
GTEX-VJYA-1626-SM-EXOHL 60-69 years, male 58.7
GTEX-13W46-1226-SM-5SIAS 50-59 years, male 58.6
GTEX-132AR-0526-SM-5J2MJ 50-59 years, female 58.5
GTEX-1ICG6-1726-SM-ARU7K 70-79 years, female 58.5
GTEX-1313W-1626-SM-5J1OE 50-59 years, female 58.4
GTEX-X8HC-2326-SM-4QAS4 50-59 years, female 58.3
GTEX-1H11D-1126-SM-9YFM5 40-49 years, male 58.3
GTEX-1I1GQ-1026-SM-CNNQS 50-59 years, male 58.3
GTEX-11DYG-2026-SM-5EGGX 60-69 years, male 58.2
GTEX-15SKB-1626-SM-6PAL6 60-69 years, male 58.2
GTEX-ZAB5-1126-SM-5Q5AD 50-59 years, male 58.2
GTEX-1HCU6-1626-SM-CMKGW 60-69 years, female 58.1
GTEX-1O9I2-1326-SM-E6CQD 50-59 years, male 58.1
GTEX-12WSI-1526-SM-5GCNM 50-59 years, male 58.0
GTEX-1QW4Y-0826-SM-DTXE1 30-39 years, male 58.0
GTEX-1B8L1-0126-SM-9KNVS 60-69 years, male 57.9
GTEX-1H4P4-0326-SM-9WYTD 50-59 years, male 57.9
GTEX-1KD4Q-1426-SM-D4P3K 40-49 years, male 57.9
GTEX-1RAZR-1026-SM-E8VOJ 40-49 years, male 57.9
GTEX-1RNTQ-0826-SM-E9TK8 20-29 years, female 57.9
GTEX-ZE7O-1526-SM-5J1NH 50-59 years, female 57.8
GTEX-1AYD5-0126-SM-7DUG5 50-59 years, male 57.7
GTEX-WHPG-0626-SM-3NMBD 50-59 years, male 57.7
GTEX-15DYW-1526-SM-7KUEP 60-69 years, female 57.6
GTEX-ZVE2-1826-SM-51MRZ 50-59 years, male 57.6
GTEX-1JMQK-1326-SM-CNPOR 60-69 years, male 57.6
GTEX-1A8G6-2026-SM-73KYC 60-69 years, male 57.5
GTEX-XV7Q-1726-SM-4BRUU 40-49 years, female 57.5
GTEX-1GMR3-0826-SM-9WYT4 40-49 years, male 57.5
GTEX-1IY9M-1226-SM-ACKX1 60-69 years, male 57.5
GTEX-14E7W-2326-SM-69LQC 70-79 years, male 57.4
GTEX-1GF9X-0926-SM-7PC2X 40-49 years, female 57.4
GTEX-1S5VW-2426-SM-EAZ52 60-69 years, male 57.4
GTEX-11DXY-0326-SM-5H12F 60-69 years, male 57.1
GTEX-13NYS-0726-SM-5J1OR 60-69 years, male 57.1
GTEX-14PHW-1626-SM-6EU2H 60-69 years, female 57.0
GTEX-1JMLX-1026-SM-D3L8U 50-59 years, male 57.0
GTEX-1LSNL-1426-SM-E6CJ9 50-59 years, male 57.0
GTEX-1GN1U-0726-SM-9MQKL 50-59 years, female 56.9
GTEX-1MCQQ-1426-SM-E6CJA 60-69 years, male 56.8
GTEX-13NZ9-2026-SM-5KM1U 50-59 years, male 56.7
GTEX-14C39-0826-SM-5TDDU 40-49 years, male 56.7
GTEX-1EWIQ-2526-SM-7EPIJ 70-79 years, female 56.7
GTEX-VJWN-2326-SM-EVYAP 50-59 years, female 56.7
GTEX-11NUK-2026-SM-5PNVZ 50-59 years, male 56.6
GTEX-13G51-0526-SM-5IJCQ 60-69 years, male 56.6
GTEX-11GSP-1026-SM-9WYSH 60-69 years, female 56.6
GTEX-1GZ2Q-1226-SM-9MQM8 40-49 years, male 56.5
GTEX-13PL6-0926-SM-5KLYY 40-49 years, female 56.4
GTEX-ZC5H-1626-SM-5HL7L 40-49 years, female 56.1
GTEX-ZF3C-1026-SM-5S2OC 50-59 years, female 56.1
GTEX-1GF9V-1126-SM-9MQM7 60-69 years, male 56.1
GTEX-1ICLY-1426-SM-CJI48 50-59 years, male 56.0
GTEX-1JN6P-1626-SM-CYPSV 60-69 years, male 55.9
GTEX-13OVL-0826-SM-5L3GV 50-59 years, male 55.7
GTEX-13S7M-0826-SM-5QGQX 60-69 years, female 55.6
GTEX-14BIN-1226-SM-5S2OM 50-59 years, female 55.4
GTEX-14PJM-1226-SM-686Z7 50-59 years, female 55.4
GTEX-13OVK-0326-SM-7KUEJ 40-49 years, male 55.3
GTEX-1HGF4-0226-SM-CNNQL 60-69 years, male 55.3
GTEX-Y5V5-0226-SM-5S2N8 60-69 years, female 55.2
GTEX-ZAJG-1626-SM-5HL7I 50-59 years, female 55.2
GTEX-WI4N-1526-SM-EZ6LG 40-49 years, female 55.2
GTEX-12ZZW-2326-SM-5DUW2 50-59 years, male 55.1
GTEX-13N11-1826-SM-5IJDS 50-59 years, female 55.1
GTEX-15ER7-1026-SM-7KUMD 20-29 years, female 55.1
GTEX-ZAB4-1426-SM-5CVN6 40-49 years, male 55.0
GTEX-1C64N-1326-SM-7SB7D 50-59 years, male 55.0
GTEX-1JMQJ-1926-SM-D4P3A 50-59 years, male 55.0
GTEX-WYVS-0626-SM-4SOJY 40-49 years, female 54.8
GTEX-13O3Q-1126-SM-5K7YK 50-59 years, male 54.7
GTEX-1LSVX-1326-SM-DIPET 60-69 years, male 54.7
GTEX-11WQK-1526-SM-5EGKN 50-59 years, male 54.6
GTEX-ZEX8-1226-SM-5S2OK 50-59 years, male 54.5
GTEX-1EMGI-0726-SM-7PBZ4 60-69 years, male 54.4
GTEX-178AV-0626-SM-6PAM1 40-49 years, male 54.3
GTEX-1B8SF-1726-SM-73KZ5 60-69 years, male 54.3
GTEX-WY7C-0926-SM-3NB34 50-59 years, male 53.9
GTEX-1HUB1-1526-SM-CGQF6 60-69 years, male 53.8
GTEX-1IE54-1426-SM-CL53C 40-49 years, female 53.8
GTEX-1A8G7-1226-SM-73KYP 60-69 years, male 53.7
GTEX-YJ89-1926-SM-5IFJ6 60-69 years, male 53.7
GTEX-1I1GR-1726-SM-COH39 60-69 years, male 53.7
GTEX-UPK5-1826-SM-3GAEB 40-49 years, male 53.6
GTEX-1HC8U-0926-SM-A9G3L 40-49 years, female 53.6
GTEX-1399T-1326-SM-5PNVH 60-69 years, male 53.5
GTEX-12584-2126-SM-5FQUM 40-49 years, male 53.3
GTEX-18A6Q-1026-SM-7LT9S 60-69 years, male 53.3
GTEX-1B8KZ-1026-SM-73KYN 50-59 years, male 53.3
GTEX-139TU-1426-SM-5LZY9 60-69 years, male 53.1
GTEX-1ICLZ-1626-SM-CE6SS 60-69 years, male 53.1
GTEX-1KANB-2426-SM-EV7BE 50-59 years, male 53.1
GTEX-117YW-0826-SM-5H11O 50-59 years, male 53.0
GTEX-1CAMQ-1226-SM-7SB7E 40-49 years, male 53.0
GTEX-1QP6S-1626-SM-EVYC5 40-49 years, male 53.0
GTEX-1C6VQ-1526-SM-73KU9 50-59 years, male 52.9
GTEX-1F6I4-2126-SM-7PC2J 60-69 years, male 52.9
GTEX-1EN7A-1626-SM-79OLV 40-49 years, male 52.6
GTEX-ZE9C-1326-SM-5S2OW 60-69 years, male 52.6
GTEX-1KD5A-1326-SM-CYPTB 50-59 years, male 52.6
GTEX-1LBAC-1026-SM-CXKYA 20-29 years, male 52.6
GTEX-16GPK-1326-SM-7KUE4 60-69 years, male 52.5
GTEX-1F6IF-2026-SM-7P8SE 60-69 years, male 52.5
GTEX-1GMRU-0726-SM-7PBZH 50-59 years, male 52.3
GTEX-1H1DF-1426-SM-9YFMC 40-49 years, female 52.3
GTEX-1A8FM-2126-SM-7PC27 50-59 years, female 52.0
GTEX-1MA7X-1026-SM-DKPQ8 60-69 years, male 51.9
GTEX-18A7B-1226-SM-718AU 70-79 years, male 51.7
GTEX-11OF3-0826-SM-5BC51 60-69 years, male 51.5
GTEX-131XE-2026-SM-5LZW1 50-59 years, male 51.5
GTEX-1C6VR-1126-SM-7EPHD 60-69 years, male 51.5
GTEX-11NV4-1426-SM-5BC4W 60-69 years, male 51.4
GTEX-145MI-0826-SM-5SI95 60-69 years, female 51.3
GTEX-15G19-1126-SM-7KUEL 60-69 years, male 51.3
GTEX-14JIY-1426-SM-6EU29 60-69 years, male 51.0
GTEX-16NPV-0626-SM-7IGOR 50-59 years, female 51.0
GTEX-17KNJ-0426-SM-718AK 50-59 years, male 50.8
GTEX-XOT4-0826-SM-4B66Y 60-69 years, female 50.7
GTEX-1HSKV-1926-SM-CNPPN 60-69 years, male 50.7
GTEX-1IDJH-1626-SM-A9SLP 70-79 years, male 50.7
GTEX-1B932-1726-SM-793A5 40-49 years, female 50.4
GTEX-1R9K4-1426-SM-DPRY4 60-69 years, male 50.4
GTEX-17EVQ-0626-SM-7KFTB 70-79 years, male 50.0
GTEX-18465-1826-SM-731BB 50-59 years, male 49.9
GTEX-13VXU-1026-SM-5KLZE 50-59 years, male 49.6
GTEX-WWTW-1326-SM-4MVNT 50-59 years, male 49.5
GTEX-1JMQI-1026-SM-COH2U 50-59 years, male 49.5
GTEX-1RQEC-2526-SM-EVYD2 60-69 years, male 49.2
GTEX-147JS-1026-SM-5S2MP 60-69 years, male 48.8
GTEX-17F97-1226-SM-79OJT 50-59 years, male 48.8
GTEX-1QMI2-1626-SM-EYYXK 60-69 years, male 48.6
GTEX-12KS4-1526-SM-5EQ6E 30-39 years, male 48.3
GTEX-1EKGG-1426-SM-7PBY2 60-69 years, male 48.2
GTEX-1F48J-1826-SM-7SB8T 50-59 years, female 48.2
GTEX-1IKK5-0826-SM-ACKWN 60-69 years, male 48.2
GTEX-1HR9M-1426-SM-A9SMB 60-69 years, male 47.9
GTEX-1E1VI-1826-SM-9WG5J 50-59 years, male 46.6
GTEX-1GZ4I-2326-SM-9YFMO 50-59 years, male 46.4
GTEX-1H1CY-0826-SM-9WYTU 60-69 years, female 45.9
GTEX-1PBJI-1326-SM-E9J2V 20-29 years, female 45.6
GTEX-1QAET-1226-SM-DTX9I 50-59 years, male 45.3
GTEX-11ZTS-1326-SM-5EQMA 60-69 years, female 45.1
GTEX-1J1OQ-1526-SM-CJI4E 40-49 years, female 45.1
GTEX-15D1Q-1326-SM-69LOA 40-49 years, male 45.0
GTEX-1N2DW-0726-SM-DTX97 50-59 years, male 44.9
GTEX-1R9PO-0926-SM-E9U4Q 60-69 years, female 44.2
GTEX-1QEPI-2226-SM-E8VN6 60-69 years, female 44.0
GTEX-1CAV2-0226-SM-7IGPQ 40-49 years, female 43.9
GTEX-1HCU8-1126-SM-CM2SA 60-69 years, female 42.9
GTEX-11GS4-1026-SM-5N9DE 60-69 years, male 41.6
GTEX-113JC-0726-SM-5GZZR 50-59 years, female 37.2
Show allShow less

ADIPOSE TISSUE - FANTOM5 CAGEi

RNA expression in human tissues obtained through Cap Analysis of Gene Expression (CAGE) generated by the FANTOM5 project are reported as Scaled Tags Per Million.

Max subtype Scaled Tags Per Millioni

Max subtype Scaled Tags Per Million is the value for the subtype with the largest average Scaled Tags Per Million across the subtype samples.

136.0
FANTOM5 sample id Sample description Scaled Tags Per Million
Adipose tissue
Scaled Tags Per Million: 136.0
FF:10010-101C1 65,65,76 years, mixed 136.0

Contact

  • NEWS ARTICLES
  • PRESS ROOM

The Project

  • INTRODUCTION
  • ORGANIZATION
  • PUBLICATIONS

The Human Protein Atlas

  • DOWNLOADABLE DATA
  • LICENCE & CITATION
  • HELP & FAQ
The Human Protein Atlas project is funded
by the Knut & Alice Wallenberg Foundation.


contact@proteinatlas.org