We use cookies to enhance the usability of our website. If you continue, we'll assume that you are happy to receive all cookies. More information. Don't show this again.
HNRNPUL1
HPA
RESOURCES
  • TISSUE
  • BRAIN
  • SINGLE CELL
  • SUBCELLULAR
  • CANCER
  • BLOOD
  • CELL LINE
  • STRUCTURE & INTERACTION
ABOUT
  • INTRODUCTION
  • HISTORY
  • ORGANIZATION
  • PUBLICATIONS
  • ANTIBODY SUBMISSION
  • ANTIBODY AVAILABILITY
  • ACKNOWLEDGMENTS
  • CONTACT
NEWS
  • NEWS ARTICLES
  • PRESS ROOM
LEARN
  • DICTIONARY
  • PROTEIN CLASSES
  • PROTEIN EVIDENCE
  • METHODS
  • EDUCATIONAL VIDEOS
DATA
  • DOWNLOADABLE DATA
  • PUBLICATION DATA
  • RELEASE HISTORY
HELP
  • ANTIBODY VALIDATION
  • ASSAYS & ANNOTATION
  • DISCLAIMER
  • HELP & FAQ
  • PRIVACY STATEMENT
  • LICENCE & CITATION
Fields »
Search result

Field
Term
Gene name
Class
Subclass
Class
Keyword
Chromosome
External id
Tissue
Cell type
Expression
Antibody panel
Tissue
Main location
Patient ID
Annotation
Tissue
Category
Tau score
Cluster
Reliability
Brain region
Category
Tau score
Brain region
Category
Tau score
Brain region
Category
Tau score
Cluster
Reliability
Tissue
Cell type
Enrichment
Cell type
Category
Tau score
Cell type
Category
Tau score
Cell type
Category
Tau score
Cell lineage
Category
Tau score
Cluster
Cluster
Location
Searches
Location
Cell line
Class
Type
Phase
Reliability
Cancer
Prognosis
Cancer
Category
Cancer
Category
Tau score
Cluster
Variants
Interacting gene (ensg_id)
Type
Number of interactions
Pathway
Category
Score
Score
Score
Validation
Validation
Validation
Validation
Antibodies
Data type
Column


  • SUMMARY

  • TISSUE

  • BRAIN

  • SINGLE CELL

  • SUBCELL

  • CANCER

  • BLOOD

  • CELL LINE

  • STRUCT & INT

  • HNRNPUL1
TISSUE PRIMARY DATA SKIN Show tissue menu
ADIPOSE TISSUE ADRENAL GLAND AMYGDALA APPENDIX BASAL GANGLIA BONE MARROW BREAST BRONCHUS CEREBELLUM CEREBRAL CORTEX CERVIX CHOROID PLEXUS COLON DUODENUM
ENDOMETRIUM EPIDIDYMIS ESOPHAGUS FALLOPIAN TUBE GALLBLADDER HEART MUSCLE HIPPOCAMPAL FORMATION HYPOTHALAMUS KIDNEY LIVER LUNG LYMPH NODE MIDBRAIN NASOPHARYNX
ORAL MUCOSA OVARY PANCREAS PARATHYROID GLAND PITUITARY GLAND PLACENTA PROSTATE RECTUM RETINA SALIVARY GLAND SEMINAL VESICLE SKELETAL MUSCLE SKIN SMALL INTESTINE
SMOOTH MUSCLE SOFT TISSUE SPINAL CORD SPLEEN STOMACH TESTIS THYMUS THYROID GLAND TONGUE TONSIL URINARY BLADDER VAGINA
ANTIBODIES
AND
VALIDATION
Dictionary
Skin
Tissue proteome
Skin
SKIN - Expression summary
Protein expression
Skini

On the top, protein expression in current human tissue, based on all annotated cell types, is reported with the units not detected (n), low (l), medium (m) and high (h). Underneath, protein expression in each annotated cell type are reported using the same units.

Protein expression data is based on knowledge-based annotation. For genes where more than one antibody has been used, a collective score is set.

If knowledge-based annotation could not be performed for a gene, no data is displayed here. View antibody staining data further down this page.

h
m
l
n
Epidermal cells: High
Fibroblasts: High
Keratinocytes: High
Langerhans: High
Melanocytes: High
RNA expressioni

A summary of mRNA expression data available for current tissue based on several datasets. The mRNA expression levels in human tissues are based on RNA-seq data generated by the Human Protein Atlas (HPA), Genotype-Tissue Expression (GTEx) portal and CAGE data generated by the FANTOM5 consortium. Consensus normalized expression levels for human tissues was created by combining the data from HPA and GTEx datasets.

The mRNA expression levels in pig are based on RNA-seq data generated by the Human Protein Atlas (HPA), and for mouse, HPA data and in situ hybridization generated by the Allen brain atlas are reported.

Scroll down to view mRNA expression data in more detail.
Consensus:89.4 nTPM
HPA:88.0 nTPM
GTEx:89.4 nTPM

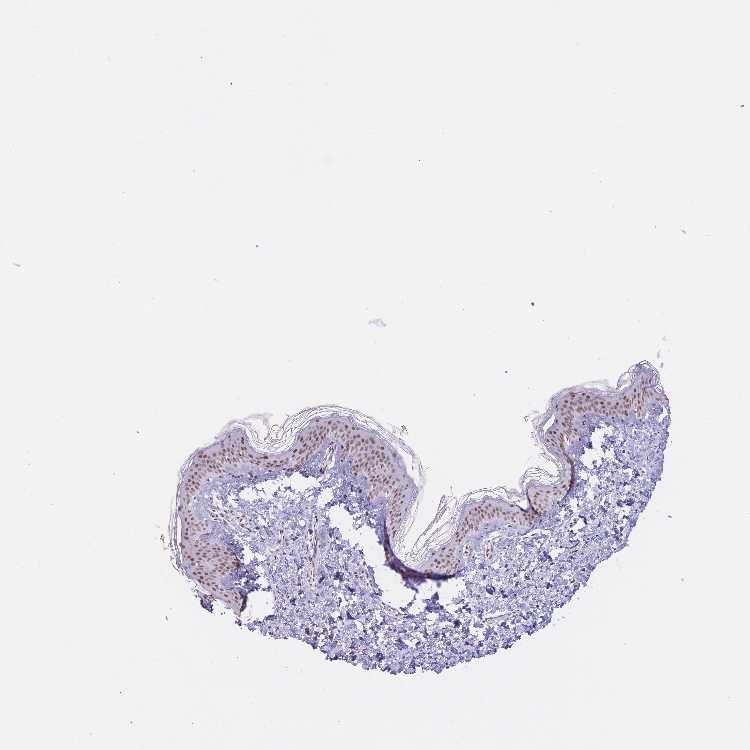
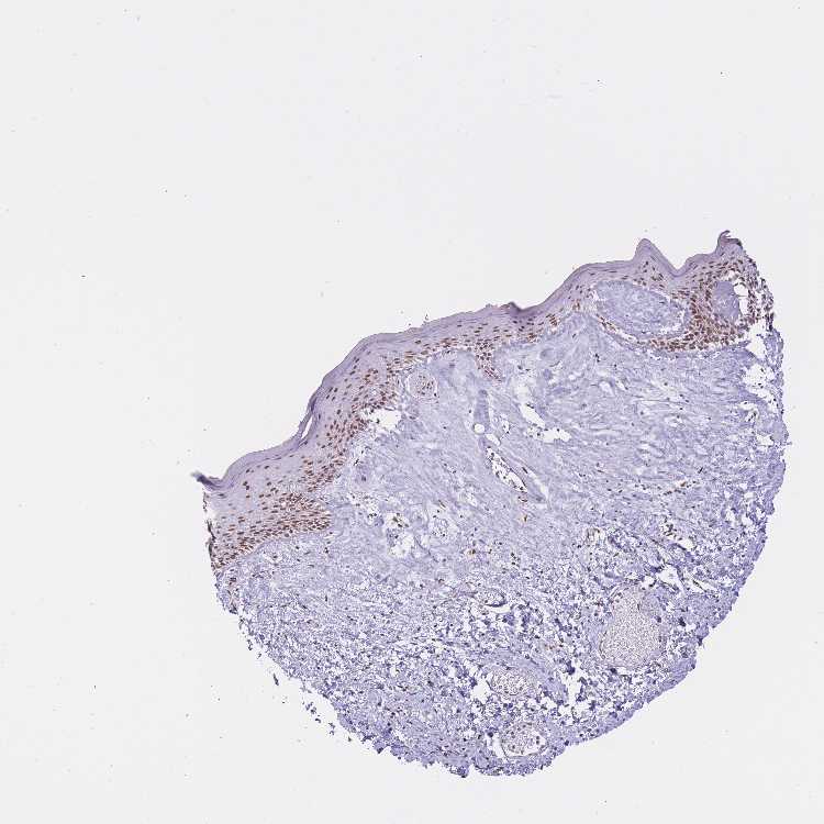
SKIN 1 - Antibody stainingi

Antibody staining in the annotated cell types in the current human tissue is reported as not detected, low, medium, or high, based on conventional immunohistochemistry profiling in selected tissues. This score is based on the combination of the staining intensity and fraction of stained cells.

Each image is clickable and will lead to virtual microscopy that enables deeper exploration of all samples and also displays staining intensity scores, fraction scores and subcellular localization as well as patient and tissue information for each sample.

Antibody HPA046290Antibody HPA049475Antibody CAB046477
Langerhans MediumLowHigh
Fibroblasts MediumMediumHigh
Keratinocytes MediumLowHigh
Melanocytes MediumLowHigh






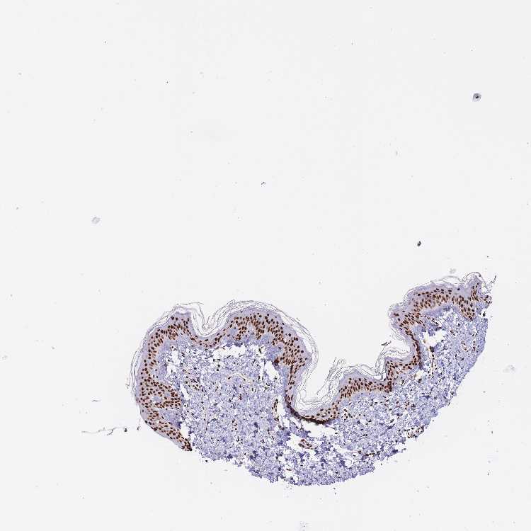
SKIN 2 - Antibody stainingi

Antibody staining in the annotated cell types in the current human tissue is reported as not detected, low, medium, or high, based on conventional immunohistochemistry profiling in selected tissues. This score is based on the combination of the staining intensity and fraction of stained cells.

Each image is clickable and will lead to virtual microscopy that enables deeper exploration of all samples and also displays staining intensity scores, fraction scores and subcellular localization as well as patient and tissue information for each sample.

Antibody HPA046290Antibody HPA049475Antibody CAB046477
Epidermal cells HighMediumHigh
   
   
   




SKIN - HPA RNA-seqi

The RNA-seq details section shows detailed information about the individual samples used for the transcript profiling and results of the RNA-seq analysis.

Information about each individual sample is listed below, including gender, age, a tissue section image and estimated fractions of cell types. nTPM (normalized transcripts per million) values give a quantification of the gene abundance which is comparable between different genes and samples.
Average nTPMi

Max subtype nTPM is the value for the subtype with the largest average nTPM across the subtype samples.

88.0
overview
Female, age 34
Skin sample 225
nTPM: 92.4
Cell types%
Keratinocytes:
60

Other cell types:
40

overview
Female, age 30
Skin sample 226
nTPM: 86.1
Cell types%
Keratinocytes:
55

Other cell types:
45

N/A
Male, age 57
Skin sample 227
nTPM: 85.6

SKIN - GTEx RNA-seqi

RNA-Seq data generated by the Genotype-Tissue Expression (GTEx) project from human tissues is reported as mean nTPM. More information can be found on the GTEx portal.

Distribution across the dataset is visualized with box plots, shown as median and 25th and 75th percentiles. Points are displayed as outliers if they are above or below 1.5 times the interquartile range. nTPM values of the individual samples are presented next to the box plot.
Max subtype nTPMi

Max subtype nTPM is the value for the subtype with the largest average nTPM across the subtype samples.

89.4
GTEx sample id Sample description nTPM
Skin - Not Sun Exposed (Suprapubic)
Average nTPM: 82.8
Samples: 604

Max nTPM: 177.2
Min nTPM: 49.6
Std nTPM: 15.7
Median nTPM: 81.4
GTEX-1OJC3-1226-SM-DTXER 20-29 years, male 177.2
GTEX-ZTX8-1326-SM-4YCEL 20-29 years, male 160.7
GTEX-Y114-2126-SM-4TT8B 50-59 years, female 148.8
GTEX-11DYG-1526-SM-5A5JS 60-69 years, male 148.2
GTEX-1N2DV-1526-SM-DTXEP 40-49 years, male 147.4
GTEX-1497J-0226-SM-5QGPU 60-69 years, male 139.4
GTEX-131XF-2626-SM-5EQ6K 60-69 years, male 136.2
GTEX-148VJ-0626-SM-5LUAW 70-79 years, male 135.6
GTEX-1F75I-2226-SM-7SB8U 40-49 years, male 132.5
GTEX-WFG7-2026-SM-5SI7P 20-29 years, male 127.8
GTEX-131XG-0326-SM-5L3DX 50-59 years, female 126.9
GTEX-1IKJJ-2226-SM-CJI4C 60-69 years, male 126.9
GTEX-1HCU6-2526-SM-ADEHL 60-69 years, female 125.8
GTEX-X585-2426-SM-46MW2 50-59 years, male 123.5
GTEX-1HBPI-2126-SM-ARL9K 50-59 years, male 119.5
GTEX-1F6I4-2326-SM-7RHGL 60-69 years, male 119.3
GTEX-1EX96-1026-SM-7MKG2 50-59 years, male 118.8
GTEX-11P7K-1126-SM-5HL4L 30-39 years, male 117.6
GTEX-14ICL-1626-SM-5YYAO 30-39 years, male 116.1
GTEX-1CB4J-1326-SM-7P8RX 60-69 years, male 116.1
GTEX-15RJ7-2126-SM-6PAMD 40-49 years, male 113.9
GTEX-11WQC-1826-SM-5GU59 60-69 years, male 112.3
GTEX-1JMPY-0226-SM-CKZOK 30-39 years, male 112.1
GTEX-1HSMQ-2626-SM-A9SML 50-59 years, male 111.2
GTEX-1PIIG-2326-SM-DTXFR 30-39 years, male 111.1
GTEX-1NV5F-0626-SM-DTXEG 60-69 years, female 110.1
GTEX-12ZZZ-0726-SM-5GCNZ 60-69 years, male 109.8
GTEX-14PHX-2226-SM-6EU2P 50-59 years, male 109.6
GTEX-1B97I-0626-SM-73KUZ 40-49 years, male 109.3
GTEX-1I1GV-0626-SM-ARL7M 60-69 years, male 109.0
GTEX-12WSK-2126-SM-5CVNC 40-49 years, female 108.6
GTEX-139UW-0326-SM-5J1ML 60-69 years, male 108.4
GTEX-13O61-1426-SM-5KM3D 60-69 years, male 108.4
GTEX-13X6H-0926-SM-5SIB2 50-59 years, female 107.9
GTEX-145MH-2826-SM-5RQJF 50-59 years, male 107.2
GTEX-Y8E4-2026-SM-5IFJB 40-49 years, male 107.2
GTEX-13VXT-1926-SM-5K7UO 20-29 years, female 107.0
GTEX-13JVG-0726-SM-5KM16 60-69 years, male 106.5
GTEX-11O72-0626-SM-5PNYE 40-49 years, male 105.8
GTEX-1HCUA-0826-SM-ADEHM 50-59 years, female 105.7
GTEX-1F6RS-2026-SM-7RHHC 60-69 years, female 105.5
GTEX-12WSJ-1126-SM-5LZVJ 40-49 years, female 105.0
GTEX-11ZU8-0126-SM-5EQ58 60-69 years, male 104.5
GTEX-Y111-0626-SM-4SOIT 50-59 years, male 104.4
GTEX-13NYB-0126-SM-5J1MD 40-49 years, male 104.3
GTEX-1B8KE-1126-SM-7EPHI 50-59 years, male 104.2
GTEX-ZYFC-0426-SM-5GICQ 50-59 years, male 103.9
GTEX-1GPI6-1926-SM-9KNV7 60-69 years, male 103.8
GTEX-1IY9M-2826-SM-ARU8H 60-69 years, male 103.8
GTEX-WHWD-1826-SM-3LK6I 50-59 years, male 103.0
GTEX-17F9E-2326-SM-79OKD 50-59 years, male 102.8
GTEX-1JMLX-0626-SM-ARL8T 50-59 years, male 102.7
GTEX-1MJK3-0726-SM-E6CJC 20-29 years, male 102.7
GTEX-1GTWX-2026-SM-9YFLM 60-69 years, male 102.6
GTEX-17HII-1426-SM-7EPGG 50-59 years, male 102.4
GTEX-13G51-1826-SM-5KLZH 60-69 years, male 102.2
GTEX-12ZZY-0726-SM-5EQ66 60-69 years, male 102.1
GTEX-13OW5-2326-SM-5L3HO 60-69 years, male 102.1
GTEX-1GMRU-2126-SM-7P8RA 50-59 years, male 102.0
GTEX-ZVT4-2426-SM-5GIEI 50-59 years, female 101.7
GTEX-1JK1U-0226-SM-ARZMX 60-69 years, male 101.6
GTEX-17F98-1326-SM-7DUEP 40-49 years, female 101.5
GTEX-1B933-2426-SM-7DHMD 50-59 years, female 101.5
GTEX-17HHE-1326-SM-7EWDZ 50-59 years, male 101.0
GTEX-ZDTS-0826-SM-4WKHL 60-69 years, male 101.0
GTEX-1GZHY-0626-SM-9KNVC 50-59 years, female 101.0
GTEX-16AAH-0626-SM-793C9 50-59 years, male 100.7
GTEX-1PPH8-0126-SM-EWRN8 20-29 years, male 100.7
GTEX-1C6WA-2626-SM-7MKGM 60-69 years, male 100.4
GTEX-1H2FU-0926-SM-9WPPT 60-69 years, female 100.1
GTEX-14C5O-0326-SM-5ZZUX 60-69 years, male 99.9
GTEX-14PJO-2526-SM-6AJBQ 60-69 years, male 99.7
GTEX-1LVA9-2626-SM-EVYD4 50-59 years, male 99.6
GTEX-XBEW-1126-SM-4QARW 40-49 years, male 99.0
GTEX-1H4P4-2126-SM-9WYSL 50-59 years, male 98.7
GTEX-14E6C-2426-SM-5S2NF 40-49 years, male 98.5
GTEX-18QFQ-1826-SM-72D52 30-39 years, male 98.5
GTEX-1HSKV-1226-SM-ADEI4 60-69 years, male 98.4
GTEX-1MCYP-0526-SM-E9U6Q 20-29 years, female 98.4
GTEX-WHSB-1326-SM-3LK6W 50-59 years, male 98.3
GTEX-1ICLZ-0326-SM-ARL82 60-69 years, male 98.1
GTEX-1QP2A-1726-SM-E76QC 50-59 years, male 98.0
GTEX-1GPI7-1826-SM-9KNU1 20-29 years, male 97.8
GTEX-13112-0126-SM-5P9IU 50-59 years, male 97.5
GTEX-1IE54-1126-SM-A9G2Z 40-49 years, female 97.4
GTEX-1GN73-0726-SM-7P8TJ 60-69 years, male 97.3
GTEX-1399S-0126-SM-5IJCF 30-39 years, female 97.2
GTEX-13113-1626-SM-5EQ4I 60-69 years, female 97.1
GTEX-144GO-2026-SM-5O99P 60-69 years, male 97.0
GTEX-18D9U-0126-SM-731BM 40-49 years, male 96.9
GTEX-1C64N-2626-SM-7PC2N 50-59 years, male 96.8
GTEX-WHSE-0126-SM-3NMBT 20-29 years, male 96.2
GTEX-1JJEA-1826-SM-ARU8P 60-69 years, male 95.9
GTEX-1211K-1526-SM-5FQU4 60-69 years, female 95.8
GTEX-13D11-0926-SM-5J2NC 50-59 years, female 95.7
GTEX-1LSVX-2526-SM-DIPEU 60-69 years, male 95.7
GTEX-14C39-1726-SM-5RQIL 40-49 years, male 95.5
GTEX-ZDYS-2426-SM-4WKGI 50-59 years, male 95.5
GTEX-ZZ64-1026-SM-5GZXG 20-29 years, male 95.5
GTEX-12WSD-0626-SM-5GCMW 60-69 years, female 95.4
GTEX-11EQ9-1626-SM-5PNY8 30-39 years, male 95.1
GTEX-ZF29-0926-SM-4WKFZ 60-69 years, female 94.9
GTEX-13X6K-0626-SM-5LU5D 60-69 years, female 94.6
GTEX-1EH9U-2826-SM-7DUGT 60-69 years, male 94.6
GTEX-WHPG-2626-SM-3NMBR 50-59 years, male 94.5
GTEX-1AX9I-2226-SM-73KUO 60-69 years, male 94.2
GTEX-ZVP2-0326-SM-57WBP 50-59 years, male 94.1
GTEX-1F75A-0726-SM-7RHHD 50-59 years, male 94.1
GTEX-1B8SF-0126-SM-7DUG3 60-69 years, male 93.9
GTEX-1IKOE-1426-SM-CE6T7 30-39 years, female 93.8
GTEX-13O3O-2326-SM-5IJD6 60-69 years, female 93.6
GTEX-ZLFU-1826-SM-4WWBV 40-49 years, male 93.6
GTEX-Z93S-1626-SM-5CVMB 50-59 years, male 93.5
GTEX-15ER7-0626-SM-6PANF 20-29 years, female 93.4
GTEX-1A3MV-1826-SM-731CD 30-39 years, male 93.4
GTEX-1GF9W-1426-SM-7PBYM 60-69 years, male 93.4
GTEX-1HGF4-0126-SM-CNPPX 60-69 years, male 93.4
GTEX-11PRG-0726-SM-5EGL1 50-59 years, male 93.3
GTEX-1QP9N-1226-SM-E76QN 30-39 years, male 93.3
GTEX-14PJ5-1526-SM-6LLIL 60-69 years, female 93.2
GTEX-18A67-1626-SM-7LT9T 50-59 years, male 93.1
GTEX-1QP28-1126-SM-EVYC4 50-59 years, female 93.0
GTEX-1A32A-0626-SM-731AQ 50-59 years, female 92.9
GTEX-1399U-1126-SM-5L3DB 50-59 years, female 92.8
GTEX-14753-0726-SM-5QGQO 60-69 years, male 92.8
GTEX-15DYW-2726-SM-6EU2I 60-69 years, female 92.7
GTEX-ZXG5-2126-SM-59HKD 60-69 years, male 92.6
GTEX-1S5ZU-2526-SM-E6CIF 20-29 years, female 92.5
GTEX-1GZ4H-0526-SM-9KNU9 50-59 years, female 92.3
GTEX-13OVJ-0826-SM-5J1OK 50-59 years, female 92.2
GTEX-13VXU-0626-SM-5L3F9 50-59 years, male 92.2
GTEX-13PDP-0726-SM-5L3HP 60-69 years, male 92.1
GTEX-YJ8O-2526-SM-5HL85 40-49 years, female 92.1
GTEX-1HKZK-0726-SM-ACKW2 40-49 years, male 92.1
GTEX-1PDJ9-1226-SM-EXUSX 20-29 years, male 92.1
GTEX-1CB4F-1026-SM-7DUH1 60-69 years, male 92.0
GTEX-15DDE-2926-SM-6LLJ3 50-59 years, female 91.8
GTEX-WXYG-2026-SM-4E3IY 50-59 years, female 91.7
GTEX-1122O-1026-SM-9WYSF 60-69 years, female 91.7
GTEX-14PJ3-1126-SM-5ZZVX 50-59 years, male 91.6
GTEX-Y8LW-1526-SM-5IFHL 50-59 years, female 91.6
GTEX-1GF9V-0826-SM-9KNUV 60-69 years, male 91.6
GTEX-1I1GU-0926-SM-ACKVS 40-49 years, male 91.5
GTEX-11TUW-0626-SM-5LU9M 60-69 years, male 91.4
GTEX-16BQI-1326-SM-6M486 30-39 years, female 91.3
GTEX-1I1GP-1326-SM-A9G28 50-59 years, male 91.0
GTEX-1KAFJ-0126-SM-DIPEK 50-59 years, male 91.0
GTEX-1GN1U-0626-SM-9MQL9 50-59 years, female 90.9
GTEX-1J8Q2-2626-SM-ACKWQ 60-69 years, male 90.9
GTEX-11NUK-2726-SM-5A5MC 50-59 years, male 90.8
GTEX-X5EB-1926-SM-4E3IW 40-49 years, male 90.8
GTEX-ZY6K-1426-SM-5GZX2 50-59 years, male 90.8
GTEX-13YAN-0226-SM-5TDC6 60-69 years, male 90.6
GTEX-11DXZ-2026-SM-5987S 50-59 years, male 90.4
GTEX-1C6VQ-1226-SM-73KYD 50-59 years, male 90.4
GTEX-X8HC-0626-SM-4E3HQ 50-59 years, female 90.4
GTEX-15G1A-1626-SM-7KUKN 30-39 years, male 90.3
GTEX-YFCO-1226-SM-5LUAT 40-49 years, male 90.3
GTEX-1QCLY-0226-SM-EWRNH 30-39 years, male 90.3
GTEX-13X6J-0626-SM-5LU5F 50-59 years, male 90.1
GTEX-147F3-1726-SM-5SIAW 50-59 years, female 89.9
GTEX-ZA64-1026-SM-5HL8R 20-29 years, male 89.9
GTEX-14DAR-1226-SM-73KYV 50-59 years, male 89.8
GTEX-15UF6-1926-SM-7KUDV 70-79 years, female 89.7
GTEX-111VG-1626-SM-5EGIO 60-69 years, male 89.6
GTEX-131XH-0126-SM-5LZUY 50-59 years, male 89.6
GTEX-139TT-2126-SM-5LZWC 60-69 years, male 89.6
GTEX-13FTX-1526-SM-5K7VJ 20-29 years, female 89.6
GTEX-1N5O9-0926-SM-E9J3C 60-69 years, male 89.6
GTEX-1192X-2726-SM-5N9DN 50-59 years, male 89.3
GTEX-13IVO-0726-SM-5LZYV 70-79 years, male 89.2
GTEX-ZC5H-1526-SM-5HL9Y 40-49 years, female 89.2
GTEX-ZGAY-1826-SM-DO91Q 40-49 years, female 89.2
GTEX-ZVT2-0126-SM-5GIDQ 50-59 years, female 89.1
GTEX-15CHQ-0326-SM-69LQD 60-69 years, male 89.0
GTEX-15RJE-2826-SM-7KUM9 40-49 years, male 88.9
GTEX-1EU9M-1426-SM-793AI 60-69 years, male 88.8
GTEX-11NSD-0626-SM-5A5LU 20-29 years, male 88.7
GTEX-1HFI7-2326-SM-CGQFS 50-59 years, female 88.6
GTEX-12126-0826-SM-5FQTZ 20-29 years, male 88.5
GTEX-12696-0126-SM-5EQ4L 60-69 years, male 88.2
GTEX-1HC8U-1326-SM-9YFMJ 40-49 years, female 88.2
GTEX-17HHY-0426-SM-7DHLC 50-59 years, male 88.0
GTEX-1JKYR-0626-SM-ARL8R 20-29 years, male 88.0
GTEX-1B996-0426-SM-7EWF8 60-69 years, male 87.7
GTEX-1H1DE-1326-SM-9KNUG 20-29 years, male 87.7
GTEX-1HCU7-0726-SM-A9SL1 50-59 years, male 87.7
GTEX-1NSGN-0726-SM-DTXEF 50-59 years, male 87.7
GTEX-1S82U-1026-SM-E6CJK 30-39 years, female 87.7
GTEX-14LLW-2626-SM-62LDZ 70-79 years, female 87.6
GTEX-17HGU-2326-SM-7DUFE 50-59 years, male 87.6
GTEX-1CB4E-0926-SM-7EPHT 60-69 years, male 87.6
GTEX-1J8EW-2726-SM-CY8HR 60-69 years, female 87.6
GTEX-YEC4-1826-SM-4W1YP 40-49 years, male 87.5
GTEX-ZT9W-1126-SM-57WDR 50-59 years, male 87.5
GTEX-14PJ4-0226-SM-5YY92 60-69 years, male 87.4
GTEX-17F9Y-0126-SM-79OKX 70-79 years, female 87.2
GTEX-11P82-1426-SM-DTXFY 20-29 years, male 87.2
GTEX-18A7B-2726-SM-7LG56 70-79 years, male 87.0
GTEX-W5X1-2526-SM-3GILC 40-49 years, female 86.9
GTEX-145MN-1526-SM-5SI9T 30-39 years, male 86.7
GTEX-1QW4Y-1126-SM-DTXE3 30-39 years, male 86.7
GTEX-14PHY-1226-SM-5ZZWK 60-69 years, female 86.6
GTEX-1HSMP-0926-SM-A9SKX 70-79 years, male 86.6
GTEX-1JN1M-2726-SM-CY8I4 60-69 years, female 86.6
GTEX-1J8Q3-0526-SM-ARL8U 60-69 years, male 86.5
GTEX-11EM3-1226-SM-5N9DD 20-29 years, female 86.4
GTEX-12WSH-1526-SM-5BC5W 50-59 years, male 86.4
GTEX-11DXY-0126-SM-5H11Q 60-69 years, male 86.3
GTEX-13PL6-1126-SM-5L3IE 40-49 years, female 86.3
GTEX-1HT8W-0626-SM-A9G2H 30-39 years, male 86.3
GTEX-1F48J-0726-SM-7RHGS 50-59 years, female 86.2
GTEX-1HCU9-0426-SM-9WYSD 20-29 years, male 86.2
GTEX-1GN2E-0226-SM-9WG6K 60-69 years, male 86.1
GTEX-17MFQ-1526-SM-7KFRR 20-29 years, male 86.0
GTEX-1GN1W-2426-SM-9KNUU 50-59 years, female 86.0
GTEX-11DXX-2126-SM-5PNYR 60-69 years, female 85.9
GTEX-131XW-0626-SM-5PNVD 50-59 years, female 85.9
GTEX-17F97-2626-SM-7IGM5 50-59 years, male 85.9
GTEX-1LB8K-0726-SM-D5OV2 50-59 years, male 85.9
GTEX-14PKU-0126-SM-6LLHV 40-49 years, female 85.8
GTEX-15CHR-1126-SM-7EWF4 50-59 years, male 85.8
GTEX-1F52S-2926-SM-7MKGA 60-69 years, female 85.8
GTEX-Y3IK-1626-SM-4YCF5 50-59 years, female 85.7
GTEX-13FHO-0426-SM-5L3F5 60-69 years, male 85.6
GTEX-147F4-0726-SM-5TDDD 50-59 years, male 85.6
GTEX-WI4N-2726-SM-3LK7Y 40-49 years, female 85.6
GTEX-1R9K4-2826-SM-DTX8F 60-69 years, male 85.6
GTEX-139TU-0726-SM-5L3EK 60-69 years, male 85.5
GTEX-1I1GT-1026-SM-ARZLV 60-69 years, female 85.5
GTEX-1QPFJ-1926-SM-EVYBD 30-39 years, female 85.5
GTEX-13NYC-0126-SM-5L3F4 60-69 years, male 85.4
GTEX-1LGRB-0926-SM-COH3K 50-59 years, female 85.4
GTEX-18D9B-0926-SM-7LG4U 60-69 years, male 85.3
GTEX-1LVAN-0626-SM-CNPOQ 50-59 years, female 85.3
GTEX-14BIN-1126-SM-5RQJZ 50-59 years, female 85.2
GTEX-14C38-0726-SM-5SI6M 50-59 years, male 85.2
GTEX-133LE-2326-SM-5K7W3 20-29 years, female 85.1
GTEX-13QJC-0126-SM-5ZZWJ 60-69 years, female 85.1
GTEX-14JG6-1426-SM-9WG7C 30-39 years, female 85.1
GTEX-1I1GS-2626-SM-B2LY3 60-69 years, male 85.1
GTEX-144FL-0626-SM-5LU43 50-59 years, male 85.0
GTEX-145MI-0626-SM-5SI8S 60-69 years, female 85.0
GTEX-1H11D-1826-SM-9QEHM 40-49 years, male 85.0
GTEX-15EO6-2426-SM-6PALZ 50-59 years, male 84.9
GTEX-16MT8-2926-SM-7DUFO 60-69 years, female 84.9
GTEX-1GN1V-2826-SM-9JGIA 60-69 years, male 84.9
GTEX-139YR-1026-SM-5LZYN 50-59 years, male 84.7
GTEX-12ZZX-2426-SM-5GCOE 40-49 years, female 84.6
GTEX-14XAO-1226-SM-6EU1C 60-69 years, female 84.4
GTEX-1GZ4I-2626-SM-9KNU3 50-59 years, male 84.4
GTEX-14PJN-1826-SM-6AJ98 30-39 years, male 84.3
GTEX-13PVQ-0626-SM-5LU47 50-59 years, male 84.1
GTEX-18A66-0626-SM-7LT8Z 60-69 years, male 84.1
GTEX-Y3I4-1726-SM-4TT89 50-59 years, male 84.0
GTEX-ZYW4-0626-SM-59HJR 60-69 years, male 84.0
GTEX-1PBJJ-1026-SM-E76OS 30-39 years, male 84.0
GTEX-145LU-1926-SM-79OJN 50-59 years, male 83.7
GTEX-ZDTT-0426-SM-4WKFL 60-69 years, male 83.7
GTEX-ZYVF-0926-SM-5E44J 50-59 years, female 83.7
GTEX-1H3O1-1326-SM-9MQLD 60-69 years, male 83.7
GTEX-14B4R-1326-SM-5Q5EZ 30-39 years, male 83.6
GTEX-XXEK-1626-SM-4BRUZ 50-59 years, male 83.6
GTEX-1F5PL-0926-SM-7PC2W 40-49 years, female 83.5
GTEX-1BAJH-2426-SM-7IGP8 70-79 years, male 83.4
GTEX-1S3DN-2126-SM-E9TIN 50-59 years, male 83.4
GTEX-1HR9M-2226-SM-CNPPY 60-69 years, male 83.3
GTEX-11ZTT-2126-SM-5CVLO 60-69 years, female 83.2
GTEX-13OW7-0426-SM-5K7VK 50-59 years, male 83.1
GTEX-1AX9J-1326-SM-731BJ 60-69 years, male 83.1
GTEX-1R46S-2426-SM-E76QA 60-69 years, female 83.1
GTEX-1JMQI-1726-SM-ARL93 50-59 years, male 83.0
GTEX-11P81-2226-SM-5PNYI 30-39 years, female 82.9
GTEX-15SKB-2826-SM-6PAMH 60-69 years, male 82.9
GTEX-1C64O-1326-SM-7MGWR 60-69 years, male 82.9
GTEX-1IDJC-1526-SM-B2LW4 50-59 years, male 82.9
GTEX-1JJE9-2626-SM-ARZMT 70-79 years, male 82.9
GTEX-1JN76-0626-SM-CKZOQ 20-29 years, female 82.9
GTEX-139TS-2126-SM-5K7XC 60-69 years, male 82.8
GTEX-13OVK-1426-SM-6PAN7 40-49 years, male 82.8
GTEX-XAJ8-1426-SM-47JYM 40-49 years, male 82.8
GTEX-ZE7O-2726-SM-51MT5 50-59 years, female 82.8
GTEX-1H1DF-1126-SM-9WG7G 40-49 years, female 82.8
GTEX-1JMQJ-0826-SM-CNPP7 50-59 years, male 82.7
GTEX-1PPGY-1626-SM-EVYBL 60-69 years, male 82.7
GTEX-1RB15-1326-SM-E76Q9 60-69 years, male 82.7
GTEX-14ABY-2026-SM-62LDL 50-59 years, male 82.6
GTEX-139D8-1126-SM-5LU8W 30-39 years, female 82.3
GTEX-13NYS-0626-SM-5L3F1 60-69 years, male 82.3
GTEX-14PKV-1126-SM-6LLJ1 20-29 years, female 82.3
GTEX-1H1CY-0126-SM-9YFLY 60-69 years, female 82.3
GTEX-1KANA-1326-SM-DIPFA 20-29 years, male 82.2
GTEX-1LGOU-1326-SM-D3L8M 20-29 years, female 82.2
GTEX-14E1K-2026-SM-7DUEI 50-59 years, male 82.1
GTEX-1LVAM-0726-SM-E6CIL 50-59 years, female 82.1
GTEX-WEY5-2326-SM-3GIKK 40-49 years, female 82.0
GTEX-XQ3S-1426-SM-4BOPR 20-29 years, male 81.9
GTEX-1HUB1-1426-SM-CGQF5 60-69 years, male 81.8
GTEX-144GM-0526-SM-79OJO 20-29 years, male 81.7
GTEX-1E2YA-2126-SM-7MXUO 50-59 years, male 81.5
GTEX-1GMR8-0626-SM-7RHI7 50-59 years, female 81.5
GTEX-1E1VI-0326-SM-793D1 50-59 years, male 81.4
GTEX-YF7O-1526-SM-5IFI6 50-59 years, male 81.4
GTEX-1PPH7-1126-SM-DTX9A 40-49 years, male 81.4
GTEX-YECK-0326-SM-4W1YS 60-69 years, male 81.3
GTEX-12C56-1526-SM-5FQUQ 20-29 years, male 81.2
GTEX-13FH7-1126-SM-5K7UG 50-59 years, female 81.1
GTEX-1C475-1326-SM-7SB73 40-49 years, female 81.1
GTEX-1R9PM-1926-SM-EVR3O 20-29 years, male 81.1
GTEX-13O3Q-0126-SM-5KM34 50-59 years, male 81.0
GTEX-13RTJ-0126-SM-5S2NN 60-69 years, male 81.0
GTEX-18A6Q-0626-SM-7KFRP 60-69 years, male 81.0
GTEX-1AYD5-2626-SM-7PBXY 50-59 years, male 81.0
GTEX-13OVH-0526-SM-5L3E6 70-79 years, male 80.9
GTEX-12KS4-2126-SM-5FQUT 30-39 years, male 80.8
GTEX-14PII-0726-SM-6EU2B 60-69 years, male 80.8
GTEX-ZPU1-1126-SM-4YCF3 40-49 years, male 80.8
GTEX-1A8FM-0626-SM-7PC25 50-59 years, female 80.8
GTEX-1HR98-2226-SM-ADEI2 60-69 years, male 80.7
GTEX-ZF2S-1626-SM-57WES 50-59 years, female 80.5
GTEX-1JMQK-1226-SM-D4P2S 60-69 years, male 80.5
GTEX-13QBU-1226-SM-5LU4G 40-49 years, female 80.4
GTEX-1QP29-1826-SM-DTX9S 50-59 years, male 80.4
GTEX-1S82P-2126-SM-E6CI5 60-69 years, female 80.4
GTEX-1AMFI-1326-SM-7939R 50-59 years, female 80.1
GTEX-11GS4-0226-SM-5HL77 60-69 years, male 80.0
GTEX-12WSL-2026-SM-5GCML 50-59 years, male 80.0
GTEX-12WSM-1926-SM-5BC65 60-69 years, male 80.0
GTEX-13OVG-1626-SM-5J1NF 60-69 years, male 80.0
GTEX-WFON-1926-SM-3LK7L 40-49 years, male 79.9
GTEX-111YS-1526-SM-5GZYW 60-69 years, male 79.7
GTEX-ZAK1-0626-SM-5HL8E 50-59 years, female 79.7
GTEX-145ME-1726-SM-5Q5EU 40-49 years, female 79.6
GTEX-1C2JI-1026-SM-73KY1 50-59 years, male 79.6
GTEX-13SLX-2226-SM-62LEP 50-59 years, female 79.5
GTEX-14BMV-2826-SM-5TDED 50-59 years, male 79.4
GTEX-1RAZS-2526-SM-E6CHT 50-59 years, male 79.3
GTEX-1CAMR-1326-SM-7PC1F 20-29 years, male 79.2
GTEX-1RAZQ-1326-SM-E9TK6 30-39 years, male 79.2
GTEX-UPJH-0226-SM-3GADV 50-59 years, male 79.1
GTEX-11VI4-1126-SM-5EQMD 40-49 years, female 78.9
GTEX-13PVR-0426-SM-5RQK2 60-69 years, female 78.9
GTEX-WH7G-2026-SM-3NMBL 40-49 years, male 78.9
GTEX-1KWVE-1026-SM-D3L9O 30-39 years, male 78.8
GTEX-13OW6-2726-SM-5J2OE 50-59 years, male 78.7
GTEX-18A7A-0126-SM-731AH 50-59 years, female 78.7
GTEX-ZT9X-1526-SM-5DUXD 40-49 years, male 78.7
GTEX-1RAZR-2126-SM-E9U6T 40-49 years, male 78.5
GTEX-1H3VE-0726-SM-9YFL5 40-49 years, male 78.3
GTEX-11LCK-2226-SM-5HL4Q 30-39 years, male 78.2
GTEX-15FZZ-0526-SM-7KUGD 30-39 years, female 78.2
GTEX-ZYT6-2326-SM-5GZY3 30-39 years, male 78.2
GTEX-1S831-1826-SM-EWROF 20-29 years, male 78.2
GTEX-11OF3-0126-SM-5PNYF 60-69 years, male 78.1
GTEX-13N1W-2426-SM-5IJD1 70-79 years, male 78.1
GTEX-ZTTD-2826-SM-4YCFA 50-59 years, male 78.1
GTEX-1HSMO-0626-SM-ACKXC 60-69 years, male 78.1
GTEX-Y9LG-1126-SM-4VBQ7 30-39 years, male 78.0
GTEX-11DZ1-2426-SM-5GZZX 50-59 years, male 77.9
GTEX-1I6K7-1926-SM-B2LXR 40-49 years, male 77.9
GTEX-13FTW-0326-SM-5K7UW 40-49 years, male 77.8
GTEX-11EI6-2826-SM-5H11D 60-69 years, male 77.7
GTEX-1LKK1-2626-SM-DKPQE 50-59 years, female 77.7
GTEX-X3Y1-2026-SM-3P5YM 40-49 years, male 77.6
GTEX-146FQ-2126-SM-5RQHU 30-39 years, male 77.4
GTEX-X4EO-2926-SM-4E3JH 60-69 years, female 77.3
GTEX-13X6I-1826-SM-5SIAO 60-69 years, male 77.2
GTEX-14BMU-1226-SM-5S2OR 20-29 years, female 77.2
GTEX-1CAV2-0126-SM-7IGN7 40-49 years, female 77.2
GTEX-XBED-1926-SM-47JYP 60-69 years, male 77.2
GTEX-13OVL-0126-SM-5L3GJ 50-59 years, male 77.1
GTEX-15EU6-2226-SM-6EU2L 50-59 years, male 77.1
GTEX-1CAMQ-1326-SM-7P8RV 40-49 years, male 77.1
GTEX-1RLM8-2926-SM-E8VON 50-59 years, male 77.1
GTEX-12WSF-1626-SM-7KUG5 70-79 years, male 77.0
GTEX-1IOXB-2726-SM-CM2RI 50-59 years, male 77.0
GTEX-1QMI2-2526-SM-E8VNZ 60-69 years, male 77.0
GTEX-15RIG-0726-SM-7KUM7 40-49 years, male 76.9
GTEX-1GZ2Q-0126-SM-9WG6M 40-49 years, male 76.9
GTEX-YEC3-1326-SM-DO92X 50-59 years, male 76.8
GTEX-183FY-1026-SM-7939A 20-29 years, male 76.6
GTEX-1EKGG-0626-SM-7DUGJ 60-69 years, male 76.4
GTEX-13SLW-0626-SM-5Q5ER 70-79 years, male 76.2
GTEX-1I1CD-0626-SM-CE6SW 60-69 years, female 76.1
GTEX-1399Q-2326-SM-5KM2X 40-49 years, male 76.0
GTEX-13N11-2326-SM-5IJBF 50-59 years, female 76.0
GTEX-144GL-0626-SM-5LU4D 50-59 years, male 76.0
GTEX-1EWIQ-0326-SM-7DHMQ 70-79 years, female 75.9
GTEX-ZAJG-1526-SM-5CVML 50-59 years, female 75.9
GTEX-1CAMS-2226-SM-7PBXQ 40-49 years, female 75.9
GTEX-1A8G6-2726-SM-731AR 60-69 years, male 75.8
GTEX-1F75B-0726-SM-7PC3R 50-59 years, male 75.8
GTEX-1R7EU-1626-SM-DTXG3 60-69 years, male 75.7
GTEX-1LBAC-0826-SM-CY8IJ 20-29 years, male 75.6
GTEX-147JS-0226-SM-5S2U9 60-69 years, male 75.5
GTEX-1A8G7-1326-SM-73KVM 60-69 years, male 75.5
GTEX-WRHU-2826-SM-3MJG8 50-59 years, female 75.5
GTEX-18465-2826-SM-7LT9J 50-59 years, male 75.4
GTEX-WY7C-2126-SM-3NB2R 50-59 years, male 75.2
GTEX-14JG1-1526-SM-5YY9X 40-49 years, male 75.1
GTEX-1H1E6-0426-SM-9WYUS 30-39 years, male 75.1
GTEX-1KXAM-1626-SM-D3LAD 60-69 years, male 75.1
GTEX-11ZUS-2626-SM-5FQUR 30-39 years, male 75.0
GTEX-1313W-0626-SM-5EQ4H 50-59 years, female 75.0
GTEX-13FLV-0126-SM-5K7WT 50-59 years, male 75.0
GTEX-1117F-2926-SM-5GZYI 60-69 years, female 74.9
GTEX-16NPX-0726-SM-7KULC 50-59 years, male 74.9
GTEX-145MG-1526-SM-5Q5EM 50-59 years, male 74.8
GTEX-16MTA-0926-SM-6M47Z 50-59 years, male 74.7
GTEX-WYBS-0626-SM-3NMAS 60-69 years, female 74.6
GTEX-11EQ8-0926-SM-5H12V 60-69 years, male 74.3
GTEX-1J8QM-2426-SM-A9SLS 60-69 years, female 74.3
GTEX-1GF9X-1326-SM-7PC2Y 40-49 years, female 74.2
GTEX-111CU-1126-SM-5EGIM 50-59 years, male 74.0
GTEX-1LSNM-0826-SM-DIPG8 50-59 years, male 74.0
GTEX-14PK6-0226-SM-62LF5 70-79 years, female 73.9
GTEX-16NGA-0726-SM-731AO 40-49 years, female 73.9
GTEX-YB5K-2026-SM-4VDT3 40-49 years, female 73.9
GTEX-ZVTK-0226-SM-51MRG 20-29 years, male 73.9
GTEX-1H23P-0626-SM-9WG6T 60-69 years, male 73.8
GTEX-XQ8I-0926-SM-4BOOF 50-59 years, male 73.7
GTEX-1HCVE-2726-SM-CL54F 50-59 years, male 73.7
GTEX-1IDFM-0326-SM-ARL7V 60-69 years, male 73.7
GTEX-1J1OQ-0126-SM-D4P2N 40-49 years, female 73.7
GTEX-1KANB-2826-SM-CY8I6 50-59 years, male 73.7
GTEX-117YX-1926-SM-5GIEC 50-59 years, male 73.6
GTEX-14LZ3-0126-SM-69LPM 60-69 years, female 73.6
GTEX-1IDJE-1426-SM-ADEIW 50-59 years, female 73.5
GTEX-1N2EE-0626-SM-E76PW 60-69 years, male 73.5
GTEX-1JMQL-2226-SM-CNPP4 50-59 years, female 73.4
GTEX-147GR-2426-SM-5ZZWQ 60-69 years, male 73.3
GTEX-ZPIC-0526-SM-DO91W 40-49 years, female 73.3
GTEX-14A6H-2026-SM-5Q5DD 30-39 years, male 73.2
GTEX-1IDJF-2026-SM-CL53V 20-29 years, male 73.2
GTEX-1S83E-1326-SM-E6CJM 40-49 years, male 73.2
GTEX-1269C-0126-SM-5EQ5L 60-69 years, female 73.1
GTEX-14PJ6-2626-SM-6EU2T 60-69 years, female 73.1
GTEX-14JFF-0626-SM-5ZZVT 60-69 years, male 73.1
GTEX-145MO-2826-SM-5LU96 60-69 years, male 73.0
GTEX-17EVP-2626-SM-7IGMA 40-49 years, male 73.0
GTEX-1HSGN-0826-SM-ACKW3 40-49 years, female 73.0
GTEX-1RAZA-2226-SM-E9U4X 20-29 years, male 73.0
GTEX-18D9A-1426-SM-7LT8M 30-39 years, female 72.9
GTEX-1LSNL-2726-SM-E9TKJ 50-59 years, male 72.9
GTEX-14AS3-1526-SM-5Q5ED 40-49 years, female 72.8
GTEX-1J1R8-2026-SM-CL53Y 40-49 years, male 72.8
GTEX-1B8L1-2226-SM-7P8PT 60-69 years, male 72.7
GTEX-1I6K6-1726-SM-CGQFD 30-39 years, male 72.7
GTEX-1F6IF-0926-SM-7SB7M 60-69 years, male 72.3
GTEX-1B8KZ-0326-SM-73KY4 50-59 years, male 72.2
GTEX-Y5V5-0126-SM-5S2NW 60-69 years, female 72.2
GTEX-1GMR2-0826-SM-7PC3V 50-59 years, male 72.1
GTEX-139T8-0626-SM-5KLZX 60-69 years, male 72.0
GTEX-1M4P7-0726-SM-E6CJ3 60-69 years, male 72.0
GTEX-ZAB4-2126-SM-5HL8U 40-49 years, male 71.9
GTEX-1LG7Z-1626-SM-CXKYR 30-39 years, male 71.9
GTEX-17HG3-2626-SM-7DUF2 30-39 years, female 71.8
GTEX-ZYFD-0626-SM-5E44E 50-59 years, male 71.7
GTEX-1JJ6O-2726-SM-CNPOG 60-69 years, male 71.7
GTEX-1KANC-1226-SM-CYPT7 50-59 years, female 71.6
GTEX-145LT-0526-SM-5LUB2 40-49 years, male 71.5
GTEX-ZZPU-0826-SM-5GZX5 50-59 years, female 71.5
GTEX-1GF9U-2026-SM-7SB92 40-49 years, female 71.4
GTEX-1HBPM-0726-SM-9YFL7 60-69 years, female 71.4
GTEX-1IDJH-0126-SM-D3L92 70-79 years, male 71.4
GTEX-ZLWG-0826-SM-59888 50-59 years, female 71.3
GTEX-1GL5R-1326-SM-7RHHF 50-59 years, male 71.3
GTEX-131YS-2826-SM-5EQ47 60-69 years, female 71.2
GTEX-1A3MW-0626-SM-731CB 60-69 years, female 71.2
GTEX-11WQK-1026-SM-5EQLX 50-59 years, male 70.9
GTEX-Y5LM-0926-SM-6LLJG 40-49 years, female 70.6
GTEX-1C6VR-0126-SM-7RHGB 60-69 years, male 70.6
GTEX-11DXW-0826-SM-5H118 40-49 years, male 70.5
GTEX-145MF-0926-SM-5Q5EA 50-59 years, male 70.3
GTEX-1477Z-0326-SM-7IGLA 60-69 years, male 70.3
GTEX-16XZZ-0726-SM-7KUF2 60-69 years, male 70.3
GTEX-ZUA1-2626-SM-5NQ92 40-49 years, male 70.3
GTEX-1JKYN-0826-SM-ARU8S 30-39 years, male 70.3
GTEX-1MCC2-1826-SM-DIPEX 30-39 years, female 70.3
GTEX-1QEPI-2626-SM-DTXF4 60-69 years, female 70.3
GTEX-12WSA-0426-SM-5EQ5X 60-69 years, male 70.2
GTEX-WFG8-2126-SM-3GIKQ 20-29 years, male 70.0
GTEX-1H1DG-2426-SM-9QEHJ 70-79 years, male 69.9
GTEX-ZE9C-2526-SM-5IJDR 60-69 years, male 69.8
GTEX-1HBPN-0126-SM-CGQEF 50-59 years, male 69.8
GTEX-11GSP-2326-SM-5HL63 60-69 years, female 69.7
GTEX-ZYY3-2926-SM-5GIEB 60-69 years, female 69.6
GTEX-1EMGI-2326-SM-7PBYA 60-69 years, male 69.6
GTEX-1J8JJ-0626-SM-ARZMQ 60-69 years, female 69.6
GTEX-12BJ1-0926-SM-5EQ62 60-69 years, male 69.5
GTEX-13FTY-2126-SM-5IFFB 40-49 years, female 69.4
GTEX-13NZ8-1226-SM-5KM4A 60-69 years, female 69.4
GTEX-13W3W-0726-SM-5IJDQ 60-69 years, female 69.4
GTEX-1EN7A-2426-SM-793DB 40-49 years, male 69.4
GTEX-1HFI6-0126-SM-CNPPI 40-49 years, male 69.4
GTEX-1CB4H-1126-SM-7MKGL 60-69 years, female 69.3
GTEX-U8XE-0226-SM-4E3J3 30-39 years, male 69.3
GTEX-183WM-0326-SM-72D5V 70-79 years, female 69.0
GTEX-1AMEY-0826-SM-72D65 30-39 years, female 69.0
GTEX-15SHW-0226-SM-7LTAT 60-69 years, male 68.8
GTEX-17F96-0126-SM-7EWDU 70-79 years, male 68.8
GTEX-17KNJ-2126-SM-718AM 50-59 years, male 68.8
GTEX-ZU9S-1826-SM-5NQ9E 30-39 years, male 68.8
GTEX-1RMOY-1326-SM-E9TIH 50-59 years, male 68.7
GTEX-17MF6-2626-SM-79OKQ 40-49 years, male 68.6
GTEX-ZP4G-1426-SM-4WWCL 20-29 years, female 68.6
GTEX-1GMR3-0126-SM-A9SLW 40-49 years, male 68.6
GTEX-ZVZP-1226-SM-5GID7 50-59 years, male 68.3
GTEX-12584-0726-SM-5FQTK 40-49 years, male 68.2
GTEX-1B932-2326-SM-79OL5 40-49 years, female 68.2
GTEX-11UD2-2526-SM-5CVNU 50-59 years, male 68.1
GTEX-1K2DU-1226-SM-CYPT4 20-29 years, male 68.1
GTEX-1L5NE-1126-SM-D3L9P 50-59 years, male 68.0
GTEX-1IDJD-2326-SM-ACKWX 30-39 years, male 67.8
GTEX-13NZ9-2626-SM-5L3FK 50-59 years, male 67.5
GTEX-15D1Q-2826-SM-6LLH7 40-49 years, male 67.5
GTEX-XUW1-0926-SM-4BONX 50-59 years, female 67.5
GTEX-1QCLZ-2426-SM-EVYBW 60-69 years, female 67.5
GTEX-ZVE2-2826-SM-5GU51 50-59 years, male 67.3
GTEX-ZWKS-0626-SM-5GIDV 30-39 years, male 67.3
GTEX-13N2G-0226-SM-5K7VF 60-69 years, male 67.1
GTEX-XK95-0226-SM-4AT58 40-49 years, male 67.1
GTEX-ZLV1-1526-SM-DO91J 60-69 years, female 67.0
GTEX-1AX8Z-0726-SM-73KTS 60-69 years, male 66.9
GTEX-1IL2V-1926-SM-B2LW8 70-79 years, male 66.7
GTEX-1F5PK-2226-SM-7SB6N 50-59 years, male 66.6
GTEX-1F88F-0126-SM-9WYSZ 60-69 years, female 66.6
GTEX-1I4MK-0126-SM-CY8G6 50-59 years, female 66.5
GTEX-16MT9-0126-SM-7EPI8 60-69 years, female 66.4
GTEX-17EVQ-0126-SM-7IGLR 70-79 years, male 66.4
GTEX-1H3NZ-2726-SM-9WYTQ 60-69 years, male 66.4
GTEX-1KD5A-0126-SM-E9U54 50-59 years, male 66.4
GTEX-13U4I-2226-SM-5LU5H 40-49 years, female 66.1
GTEX-1I1HK-2326-SM-CKZOH 60-69 years, male 66.1
GTEX-1IDJU-1726-SM-CMKHU 60-69 years, female 66.1
GTEX-13OW8-1026-SM-5J1NQ 60-69 years, male 65.9
GTEX-15CHC-1126-SM-6LLHQ 60-69 years, female 65.9
GTEX-1F75W-2726-SM-7SB8H 60-69 years, male 65.9
GTEX-1F88E-1626-SM-7SB8Z 60-69 years, female 65.9
GTEX-XOT4-0626-SM-4B66L 60-69 years, female 65.8
GTEX-1LG7Y-2526-SM-EWRO7 50-59 years, male 65.7
GTEX-1212Z-0126-SM-59HK4 60-69 years, male 65.6
GTEX-178AV-1726-SM-7KUL8 40-49 years, male 65.6
GTEX-1CB4I-0126-SM-7RHGG 50-59 years, male 65.3
GTEX-1QAET-0326-SM-EVR3U 50-59 years, male 65.3
GTEX-1QP66-1226-SM-DTX7U 50-59 years, male 65.3
GTEX-1OJC4-2726-SM-E76PJ 50-59 years, female 65.2
GTEX-WYVS-1626-SM-3NM9R 40-49 years, female 65.1
GTEX-1ICLY-0826-SM-CMKG1 50-59 years, male 65.1
GTEX-14E6E-0526-SM-793DN 30-39 years, male 65.0
GTEX-WYJK-0526-SM-3NM8Z 50-59 years, male 65.0
GTEX-1HB9E-0126-SM-CM2S5 50-59 years, male 65.0
GTEX-1JN6P-2926-SM-CL54D 60-69 years, male 64.9
GTEX-ZPCL-1126-SM-4WWFE 60-69 years, female 64.8
GTEX-1R9PN-0426-SM-DTXDT 40-49 years, female 64.6
GTEX-12WSC-2826-SM-5BC5Y 50-59 years, male 64.5
GTEX-16GPK-0626-SM-7KFSF 60-69 years, male 64.5
GTEX-1O9I2-0226-SM-EYYXD 50-59 years, male 64.4
GTEX-ZYFG-1526-SM-5GZYM 60-69 years, female 64.1
GTEX-13JUV-2026-SM-5K7UA 40-49 years, female 63.8
GTEX-1JMOU-1026-SM-CYPSS 60-69 years, female 63.8
GTEX-WK11-2726-SM-3NMAQ 50-59 years, male 63.7
GTEX-15RIE-1926-SM-7KUKJ 60-69 years, male 63.5
GTEX-1POEN-2326-SM-E9J2L 30-39 years, female 63.2
GTEX-ZTSS-1426-SM-5985P 40-49 years, male 62.9
GTEX-1LVAO-2726-SM-E9TJ8 60-69 years, male 62.7
GTEX-ZF3C-0626-SM-DO92O 50-59 years, female 62.6
GTEX-XYKS-1426-SM-4BRUO 60-69 years, female 62.3
GTEX-ZDXO-3126-SM-5IJDF 60-69 years, male 62.3
GTEX-1IDJV-0126-SM-COH3Y 60-69 years, male 62.3
GTEX-1JMPZ-0726-SM-CY8HZ 30-39 years, male 62.2
GTEX-1PIGE-1826-SM-E8VOU 20-29 years, male 62.0
GTEX-132AR-0326-SM-5KM2C 50-59 years, female 61.8
GTEX-1I19N-0126-SM-CYPSF 70-79 years, male 61.7
GTEX-VJYA-1526-SM-3GIJV 60-69 years, male 61.4
GTEX-1H1ZS-2726-SM-9WG75 70-79 years, male 61.1
GTEX-1K2DA-1026-SM-CGQGF 50-59 years, male 60.9
GTEX-1A3MX-2626-SM-7PC24 60-69 years, male 60.8
GTEX-16Z82-2626-SM-7KULU 60-69 years, male 60.7
GTEX-XBEC-0726-SM-4QARZ 50-59 years, male 60.6
GTEX-16YQH-2226-SM-7IGM2 30-39 years, male 60.5
GTEX-XMD2-2126-SM-4YCF8 60-69 years, female 60.5
GTEX-111FC-2526-SM-5GZXU 60-69 years, male 60.4
GTEX-1314G-1326-SM-5BC6E 30-39 years, male 60.1
GTEX-14A5H-0826-SM-5QGPJ 60-69 years, male 59.6
GTEX-1IDJI-0126-SM-CMKHS 50-59 years, female 59.3
GTEX-X4EP-0626-SM-3P621 60-69 years, female 58.9
GTEX-15G19-2426-SM-7KUMR 60-69 years, male 58.5
GTEX-17JCI-2926-SM-7DUFF 60-69 years, female 58.4
GTEX-1K9T9-1526-SM-DIPFR 50-59 years, female 58.4
GTEX-11TT1-1826-SM-5EQLV 20-29 years, male 58.0
GTEX-1ICG6-1226-SM-A9SLN 70-79 years, female 57.9
GTEX-XPVG-2126-SM-4B667 50-59 years, male 57.8
GTEX-V1D1-2026-SM-3GAF4 50-59 years, male 57.7
GTEX-145LS-0626-SM-7EPG7 60-69 years, female 57.2
GTEX-14PJ2-0626-SM-6LLII 50-59 years, male 57.1
GTEX-XV7Q-1826-SM-4BRUV 40-49 years, female 56.7
GTEX-1HCU8-2526-SM-CE6RX 60-69 years, female 56.6
GTEX-1399R-1326-SM-5PNYS 30-39 years, male 55.5
GTEX-VUSG-2326-SM-4KL1U 50-59 years, male 54.7
GTEX-UPK5-0426-SM-3GAEK 40-49 years, male 53.4
GTEX-ZVE1-0726-SM-51MRN 50-59 years, female 52.3
GTEX-14DAQ-0626-SM-793DS 60-69 years, female 52.0
GTEX-Y5V6-2326-SM-4VDSA 60-69 years, male 49.6
Show allShow less
Skin - Sun Exposed (Lower leg)
Average nTPM: 89.4
Samples: 701

Max nTPM: 157.7
Min nTPM: 50.9
Std nTPM: 17.5
Median nTPM: 87.7
GTEX-13X6H-2126-SM-7EWD5 50-59 years, female 157.7
GTEX-1B8KE-2126-SM-73KYX 50-59 years, male 157.7
GTEX-139UW-2826-SM-5L3E7 60-69 years, male 155.6
GTEX-17HII-0226-SM-7LG4E 50-59 years, male 154.6
GTEX-11DYG-0126-SM-59883 60-69 years, male 145.9
GTEX-13YAN-0326-SM-5O9DF 60-69 years, male 143.9
GTEX-Y114-2426-SM-4TT8A 50-59 years, female 143.9
GTEX-11DXZ-2326-SM-5EGGV 50-59 years, male 142.0
GTEX-13FXS-0226-SM-5IJCK 50-59 years, male 139.1
GTEX-ZYFD-0126-SM-5GIDL 50-59 years, male 138.3
GTEX-13111-1626-SM-5EGJY 50-59 years, male 137.9
GTEX-14PN4-0126-SM-6EU2V 50-59 years, male 137.9
GTEX-Y3IK-2426-SM-4WWDU 50-59 years, female 137.5
GTEX-13CF2-2526-SM-5LZYX 60-69 years, male 135.1
GTEX-PX3G-0126-SM-2I3EN 20-29 years, female 133.7
GTEX-1399U-2326-SM-5K7WY 50-59 years, female 132.8
GTEX-1CAV2-2226-SM-7P8P2 40-49 years, female 131.5
GTEX-ZGAY-0526-SM-4WWBB 40-49 years, female 131.3
GTEX-ZTX8-1426-SM-5DUVO 20-29 years, male 130.7
GTEX-1HCU6-0126-SM-CL54K 60-69 years, female 130.6
GTEX-1JMLX-0226-SM-CM2RO 50-59 years, male 129.1
GTEX-U8T8-0126-SM-3DB94 60-69 years, male 129.0
GTEX-12WSK-2326-SM-5GCOH 40-49 years, female 128.6
GTEX-1JN6P-0126-SM-D3L98 60-69 years, male 128.6
GTEX-131XG-2626-SM-5KM17 50-59 years, female 127.1
GTEX-13OVI-1426-SM-5L3EY 60-69 years, female 126.7
GTEX-1EMGI-0126-SM-9KNUE 60-69 years, male 126.5
GTEX-1PIIG-0226-SM-EWRN6 30-39 years, male 126.4
GTEX-14E6C-0126-SM-5RQIP 40-49 years, male 125.7
GTEX-15ER7-0326-SM-7KUEV 20-29 years, female 125.1
GTEX-16XZZ-0126-SM-793DV 60-69 years, male 123.8
GTEX-1I4MK-2226-SM-ACKWD 50-59 years, female 123.4
GTEX-ZVTK-0426-SM-51MRS 20-29 years, male 122.2
GTEX-1GN1U-0126-SM-7PBZK 50-59 years, female 121.2
GTEX-1HSMO-0126-SM-CL547 60-69 years, male 120.9
GTEX-146FH-0126-SM-5QGPP 50-59 years, female 120.8
GTEX-YJ89-0126-SM-4TT3X 60-69 years, male 119.8
GTEX-12WSJ-1826-SM-5GCNY 40-49 years, female 119.0
GTEX-1C475-1826-SM-73KWA 40-49 years, female 119.0
GTEX-ZF3C-0126-SM-DO92D 50-59 years, female 119.0
GTEX-13X6J-0126-SM-5QGOU 50-59 years, male 118.7
GTEX-1211K-2026-SM-5EQ4Z 60-69 years, female 118.5
GTEX-S7PM-0126-SM-4AD6S 60-69 years, male 118.0
GTEX-WI4N-1026-SM-3LK7N 40-49 years, female 117.4
GTEX-1HGF4-2426-SM-ACKXM 60-69 years, male 117.2
GTEX-T6MN-0126-SM-32PLP 50-59 years, male 116.9
GTEX-1C4CL-0526-SM-73KVK 30-39 years, male 116.8
GTEX-1HFI6-0226-SM-ADEHZ 40-49 years, male 115.9
GTEX-1KANC-1526-SM-D3LAB 50-59 years, female 115.6
GTEX-13O1R-0126-SM-5L3EH 60-69 years, male 115.4
GTEX-13112-2826-SM-5DUWH 50-59 years, male 115.3
GTEX-P4QT-0126-SM-2I3FL 50-59 years, female 114.6
GTEX-1CB4G-0226-SM-7PC3O 60-69 years, male 114.5
GTEX-1JN76-0126-SM-CNPPE 20-29 years, female 114.5
GTEX-ZV68-0126-SM-59HKS 50-59 years, female 114.3
GTEX-1B8SF-1426-SM-7DUGL 60-69 years, male 114.1
GTEX-1B8SG-0126-SM-73KZ3 50-59 years, male 114.1
GTEX-Y8DK-0126-SM-4TT3L 60-69 years, male 114.1
GTEX-1EWIQ-0126-SM-7RHH2 70-79 years, female 114.0
GTEX-17GQL-2026-SM-718BA 60-69 years, male 113.5
GTEX-11H98-0126-SM-5EGHG 50-59 years, male 113.1
GTEX-14PII-0226-SM-6EU1T 60-69 years, male 113.0
GTEX-X5EB-2226-SM-46MW4 40-49 years, male 112.9
GTEX-1AX9I-0126-SM-7SB74 60-69 years, male 112.8
GTEX-18A6Q-0126-SM-731BZ 60-69 years, male 112.6
GTEX-QESD-1426-SM-2S1R9 20-29 years, male 112.6
GTEX-1HCUA-2426-SM-ADEIS 50-59 years, female 112.4
GTEX-ZDYS-2026-SM-5HL5L 50-59 years, male 112.3
GTEX-17EVP-0326-SM-7DHLG 40-49 years, male 112.2
GTEX-1H1DE-2126-SM-9WG6R 20-29 years, male 111.7
GTEX-15UF6-0826-SM-6PALJ 70-79 years, female 111.4
GTEX-Y111-0126-SM-4SOIV 50-59 years, male 111.4
GTEX-1N2EF-0226-SM-EYYXB 60-69 years, male 111.4
GTEX-1JMPY-1326-SM-ARL8Y 30-39 years, male 111.1
GTEX-OXRO-0126-SM-2YUN4 60-69 years, female 111.0
GTEX-S32W-2126-SM-2XCB1 50-59 years, female 111.0
GTEX-1QP9N-1426-SM-DTXFL 30-39 years, male 111.0
GTEX-145MO-0326-SM-5Q5B3 60-69 years, male 110.9
GTEX-WXYG-2326-SM-4E3I6 50-59 years, female 110.8
GTEX-13FHP-0126-SM-5IJBG 50-59 years, male 110.7
GTEX-131XE-2326-SM-5PNZ2 50-59 years, male 110.6
GTEX-ZYT6-0226-SM-5NQ6T 30-39 years, male 110.5
GTEX-ZPIC-1726-SM-DHXIU 40-49 years, female 110.3
GTEX-11UD1-0126-SM-5PNYG 40-49 years, female 110.2
GTEX-131YS-0126-SM-5KM1M 60-69 years, female 110.1
GTEX-14BIL-0126-SM-5SI92 50-59 years, male 110.0
GTEX-14PJM-0226-SM-62LF1 50-59 years, female 109.8
GTEX-1H1CY-2826-SM-9MQM3 60-69 years, female 109.5
GTEX-1JMQJ-0526-SM-CYPSU 50-59 years, male 109.1
GTEX-148VI-1626-SM-5SI6E 60-69 years, female 108.9
GTEX-1B97I-1626-SM-73KYO 40-49 years, male 108.9
GTEX-1HSKV-0226-SM-A9SKJ 60-69 years, male 108.7
GTEX-1PWST-0226-SM-E76QJ 70-79 years, male 108.5
GTEX-12696-2426-SM-5EQ6H 60-69 years, male 108.4
GTEX-ZDTS-0126-SM-4WAY5 60-69 years, male 108.4
GTEX-1GMRU-0126-SM-9YFLV 50-59 years, male 108.4
GTEX-RTLS-0126-SM-447CA 60-69 years, female 108.3
GTEX-1F75B-0126-SM-9KNVL 50-59 years, male 108.3
GTEX-14XAO-2326-SM-6EU1B 60-69 years, female 108.2
GTEX-15F5U-1526-SM-6PANO 40-49 years, male 108.2
GTEX-17HG3-2226-SM-7938L 30-39 years, female 108.0
GTEX-1PDJ9-0326-SM-DTX95 20-29 years, male 107.8
GTEX-1MJK2-0426-SM-DTXE5 50-59 years, male 107.5
GTEX-PLZ6-1426-SM-DKPOT 30-39 years, male 107.4
GTEX-1GF9W-0326-SM-9KNUN 60-69 years, male 107.2
GTEX-X8HC-0126-SM-4E3JW 50-59 years, female 106.8
GTEX-12584-0126-SM-5EGKQ 40-49 years, male 106.6
GTEX-YB5K-2126-SM-4WWDJ 40-49 years, female 106.6
GTEX-1I1GV-0526-SM-A9G29 60-69 years, male 106.6
GTEX-11TT1-2526-SM-5EGIB 20-29 years, male 106.5
GTEX-1BAJH-0526-SM-793CQ 70-79 years, male 106.4
GTEX-1KD4Q-0226-SM-E9TJ9 40-49 years, male 106.3
GTEX-12WSE-0526-SM-793B2 20-29 years, male 106.0
GTEX-13FTW-2626-SM-5K7WL 40-49 years, male 106.0
GTEX-1AX9J-0226-SM-73KXM 60-69 years, male 106.0
GTEX-1H3O1-0426-SM-9YFKY 60-69 years, male 105.9
GTEX-UJHI-1526-SM-3DB99 50-59 years, female 105.6
GTEX-11TUW-2726-SM-E9J4M 60-69 years, male 105.5
GTEX-11P81-2326-SM-59875 30-39 years, female 105.3
GTEX-13G51-2526-SM-5LZYK 60-69 years, male 105.1
GTEX-SN8G-0126-SM-32PLI 50-59 years, female 105.1
GTEX-139TS-2826-SM-5J1OO 60-69 years, male 104.9
GTEX-1IKK5-0626-SM-ARL8A 60-69 years, male 104.9
GTEX-17EVQ-0226-SM-7LG4P 70-79 years, male 104.7
GTEX-16GPK-0126-SM-7DHLE 60-69 years, male 104.5
GTEX-1IDJH-0326-SM-A9SLQ 70-79 years, male 104.4
GTEX-1CB4J-0626-SM-7DHMP 60-69 years, male 104.3
GTEX-148VJ-0126-SM-5TDDN 70-79 years, male 104.1
GTEX-11DZ1-0126-SM-5985Q 50-59 years, male 104.0
GTEX-ZWKS-0126-SM-5SIAA 30-39 years, male 104.0
GTEX-X261-0126-SM-3NMD6 50-59 years, male 103.9
GTEX-ZF29-2326-SM-DO92K 60-69 years, female 103.8
GTEX-1MGNQ-0126-SM-EVYCJ 40-49 years, male 103.7
GTEX-17HGU-0226-SM-7DHKV 50-59 years, male 103.6
GTEX-ZAB4-0226-SM-5N9F5 40-49 years, male 103.4
GTEX-13113-5016-SM-7EPIP 60-69 years, female 103.3
GTEX-1PPH8-0226-SM-E8VND 20-29 years, male 103.3
GTEX-XYKS-2126-SM-4E3IB 60-69 years, female 103.1
GTEX-YB5E-2026-SM-5IFIS 40-49 years, male 103.0
GTEX-14PHX-2326-SM-62LEM 50-59 years, male 102.9
GTEX-139TU-0126-SM-5K7WH 60-69 years, male 102.7
GTEX-1HFI7-1826-SM-ACKXH 50-59 years, female 102.7
GTEX-UPJH-0326-SM-3GADU 50-59 years, male 102.5
GTEX-1LG7Z-1726-SM-D3LA4 30-39 years, male 102.4
GTEX-16YQH-0126-SM-7DUFJ 30-39 years, male 102.1
GTEX-11GSP-2526-SM-5N9BP 60-69 years, female 102.0
GTEX-RWSA-0126-SM-2XCBB 40-49 years, male 102.0
GTEX-13RTK-1426-SM-5QGQJ 20-29 years, male 101.9
GTEX-1GTWX-0126-SM-9YFLK 60-69 years, male 101.9
GTEX-13NZ8-0826-SM-5MR3I 60-69 years, female 101.7
GTEX-1R7EU-0226-SM-EVR4G 60-69 years, male 101.7
GTEX-1GZ4H-1726-SM-7PBZJ 50-59 years, female 101.6
GTEX-1MA7W-2026-SM-E9TJ6 20-29 years, female 101.6
GTEX-13S7M-0126-SM-5SI6A 60-69 years, female 101.4
GTEX-1GZHY-0326-SM-9QEHI 50-59 years, female 101.3
GTEX-1H4P4-0726-SM-9YFLR 50-59 years, male 101.2
GTEX-1OJC3-0126-SM-E76QX 20-29 years, male 101.1
GTEX-14A5I-0126-SM-5TDEA 50-59 years, female 101.0
GTEX-13PVR-2326-SM-5QGR1 60-69 years, female 100.9
GTEX-131XH-2226-SM-5DUXJ 50-59 years, male 100.8
GTEX-1JMQK-0226-SM-CL543 60-69 years, male 100.8
GTEX-1H3VE-0326-SM-9YFLH 40-49 years, male 100.7
GTEX-1LGOU-2026-SM-DIPFF 20-29 years, female 100.5
GTEX-PSDG-0226-SM-DKPOZ 50-59 years, male 100.0
GTEX-XUZC-1726-SM-4BRWS 30-39 years, female 99.8
GTEX-15SHU-0126-SM-7KUEH 40-49 years, female 99.7
GTEX-12ZZX-0126-SM-5EGK9 40-49 years, female 99.6
GTEX-R55E-0126-SM-2TC5Y 20-29 years, male 99.6
GTEX-139TT-0126-SM-5K7Y5 60-69 years, male 99.5
GTEX-1F6IF-0726-SM-7P8TW 60-69 years, male 99.5
GTEX-14DAR-2026-SM-5S2O3 50-59 years, male 99.2
GTEX-1CB4E-2226-SM-793DC 60-69 years, male 99.2
GTEX-1AYD5-2426-SM-73KXR 50-59 years, male 99.1
GTEX-ZYW4-0126-SM-5E44A 60-69 years, male 99.1
GTEX-1IKJJ-0126-SM-CNPQB 60-69 years, male 99.1
GTEX-1K2DA-1826-SM-CGQGT 50-59 years, male 99.0
GTEX-145MN-2226-SM-5SIAU 30-39 years, male 98.9
GTEX-WQUQ-0426-SM-3MJFU 60-69 years, male 98.9
GTEX-1JN1M-0326-SM-CYPT3 60-69 years, female 98.8
GTEX-1313W-0126-SM-5LZUN 50-59 years, female 98.7
GTEX-Z93S-0126-SM-5HL7M 50-59 years, male 98.7
GTEX-1GN2E-0426-SM-9MQKX 60-69 years, male 98.5
GTEX-12WSD-0126-SM-59HKN 60-69 years, female 98.3
GTEX-1F6RS-0126-SM-9MQKZ 60-69 years, female 98.3
GTEX-1GN73-0226-SM-9WG67 60-69 years, male 98.2
GTEX-1B8L1-2526-SM-9WYTF 60-69 years, male 98.1
GTEX-1AX8Z-0126-SM-7DHM6 60-69 years, male 98.0
GTEX-1L5NE-2526-SM-E6CIE 50-59 years, male 97.9
GTEX-18D9A-1926-SM-7LG6P 30-39 years, female 97.8
GTEX-X585-0226-SM-4QAS2 50-59 years, male 97.7
GTEX-Y3I4-2126-SM-4TT7C 50-59 years, male 97.7
GTEX-1HBPM-0226-SM-ARL9F 60-69 years, female 97.6
GTEX-1QAET-0926-SM-E76QM 50-59 years, male 97.6
GTEX-12WSC-0126-SM-5EQ4P 50-59 years, male 97.5
GTEX-12ZZZ-0626-SM-5DUXI 60-69 years, male 97.5
GTEX-1GMR3-1926-SM-9KNUZ 40-49 years, male 97.5
GTEX-TKQ1-1026-SM-4GICL 30-39 years, male 97.4
GTEX-XQ3S-1526-SM-4BOOC 20-29 years, male 97.3
GTEX-W5X1-3026-SM-EAZAX 40-49 years, female 97.3
GTEX-ZYFC-0226-SM-5NQ75 50-59 years, male 97.2
GTEX-1QMI2-0226-SM-EVYBX 60-69 years, male 97.1
GTEX-1EN7A-0126-SM-7SB81 40-49 years, male 96.9
GTEX-13NYS-0126-SM-5MR3W 60-69 years, male 96.8
GTEX-1LSNM-1926-SM-E6CII 50-59 years, male 96.8
GTEX-P44H-0226-SM-2XCEU 40-49 years, male 96.7
GTEX-11EM3-2426-SM-59861 20-29 years, female 96.6
GTEX-17HHE-2026-SM-79OKF 50-59 years, male 96.6
GTEX-1JMOU-1526-SM-CL54I 60-69 years, female 96.6
GTEX-1I6K6-0126-SM-A9SLE 30-39 years, male 96.5
GTEX-17HHY-0126-SM-7LG5D 50-59 years, male 96.3
GTEX-WYJK-0126-SM-3NMAB 50-59 years, male 96.3
GTEX-14BMV-0126-SM-5S2PO 50-59 years, male 96.1
GTEX-U412-0426-SM-3DB9O 60-69 years, male 96.0
GTEX-1JMQI-2226-SM-CM2SD 50-59 years, male 96.0
GTEX-1HCU9-1526-SM-A9SL7 20-29 years, male 95.9
GTEX-WFON-2126-SM-3LK7O 40-49 years, male 95.5
GTEX-X4EO-0326-SM-3P5YO 60-69 years, female 95.5
GTEX-1CB4F-0426-SM-9KNV4 60-69 years, male 95.5
GTEX-1IOXB-0126-SM-ARL8G 50-59 years, male 95.4
GTEX-13U4I-0126-SM-5LU38 40-49 years, female 95.2
GTEX-145MI-0526-SM-5O9A8 60-69 years, female 95.2
GTEX-1HBPI-1526-SM-C1YQ1 50-59 years, male 95.2
GTEX-113JC-2326-SM-5EQ4E 50-59 years, female 95.1
GTEX-13O3P-0126-SM-5KM4S 50-59 years, male 95.0
GTEX-1S5ZA-0126-SM-EVYCV 20-29 years, male 95.0
GTEX-11GS4-2726-SM-5A5LE 60-69 years, male 94.9
GTEX-11UD2-0226-SM-5EQKY 50-59 years, male 94.8
GTEX-144GL-0126-SM-5TDE2 50-59 years, male 94.8
GTEX-RU72-0926-SM-2TF6B 50-59 years, female 94.8
GTEX-1192X-0226-SM-5H12D 50-59 years, male 94.7
GTEX-QEG4-0226-SM-2S1PY 30-39 years, male 94.7
GTEX-T5JC-0426-SM-32PLO 20-29 years, male 94.7
GTEX-1JMQL-0226-SM-CNPP5 50-59 years, female 94.7
GTEX-1N2DW-0226-SM-E9TK2 50-59 years, male 94.7
GTEX-13NYB-2526-SM-5K7Z6 40-49 years, male 94.4
GTEX-145ME-1826-SM-5SI9G 40-49 years, female 94.4
GTEX-15DDE-0126-SM-6LPKH 50-59 years, female 94.4
GTEX-ZU9S-0226-SM-5E441 30-39 years, male 94.4
GTEX-11TTK-0126-SM-5987B 60-69 years, female 94.3
GTEX-1269C-2526-SM-5EGJ3 60-69 years, female 94.3
GTEX-OXRP-0126-SM-3NB32 60-69 years, female 94.3
GTEX-1LVAN-0226-SM-COH3S 50-59 years, female 94.3
GTEX-117XS-2726-SM-5N9BL 60-69 years, male 94.2
GTEX-T8EM-1026-SM-3DB7M 40-49 years, male 94.2
GTEX-WFG8-2226-SM-3GIL9 20-29 years, male 94.0
GTEX-S33H-1026-SM-EZ6L6 30-39 years, male 94.0
GTEX-1A3MW-0126-SM-73KXX 60-69 years, female 93.9
GTEX-Y5V5-2326-SM-4V6GA 60-69 years, female 93.9
GTEX-18A7A-0226-SM-718BH 50-59 years, female 93.8
GTEX-XBED-2226-SM-47JYQ 60-69 years, male 93.8
GTEX-1H2FU-0126-SM-9WYSI 60-69 years, female 93.8
GTEX-1HSGN-0226-SM-CGQFV 40-49 years, female 93.8
GTEX-1R46S-0626-SM-E9J41 60-69 years, female 93.8
GTEX-13O21-1426-SM-5K7XI 50-59 years, male 93.7
GTEX-1J1R8-1726-SM-ARL8M 40-49 years, male 93.7
GTEX-1H1DG-0126-SM-9WYU2 70-79 years, male 93.6
GTEX-1POEN-0126-SM-EYYXJ 30-39 years, female 93.6
GTEX-132NY-0326-SM-5IJBL 60-69 years, male 93.5
GTEX-13FTX-1826-SM-5J1NX 20-29 years, female 93.5
GTEX-ZVT2-2526-SM-51MT1 50-59 years, female 93.5
GTEX-ZVT4-0126-SM-DTXFN 50-59 years, female 93.4
GTEX-Q2AH-1626-SM-3GAF8 40-49 years, male 93.3
GTEX-1HUB1-0426-SM-E9U4U 60-69 years, male 93.3
GTEX-14C5O-0126-SM-5SI6N 60-69 years, male 93.2
GTEX-WH7G-2326-SM-3NMBC 40-49 years, male 93.2
GTEX-1JJEA-0326-SM-CNPOT 60-69 years, male 93.2
GTEX-Q2AI-1326-SM-2S1PL 40-49 years, male 93.1
GTEX-1OFPY-2426-SM-DTXEJ 60-69 years, male 93.1
GTEX-1AYCT-2426-SM-7IGQ3 50-59 years, male 92.8
GTEX-1JMPZ-0226-SM-CNPP1 30-39 years, male 92.8
GTEX-PWCY-1826-SM-DHXIZ 20-29 years, female 92.8
GTEX-12WSL-2526-SM-5GCNJ 50-59 years, male 92.6
GTEX-T2YK-0526-SM-32QPJ 50-59 years, male 92.6
GTEX-ZAK1-0126-SM-5IJD3 50-59 years, female 92.6
GTEX-WRHK-1426-SM-3MJF9 20-29 years, female 92.5
GTEX-1LGRB-2526-SM-CNPPQ 50-59 years, female 92.5
GTEX-11LCK-1026-SM-5A5KB 30-39 years, male 92.4
GTEX-11ZU8-2526-SM-5EQKI 60-69 years, male 92.4
GTEX-13VXU-0126-SM-5SI9F 50-59 years, male 92.3
GTEX-1212Z-2526-SM-5EGKP 60-69 years, male 92.2
GTEX-1J8JJ-0226-SM-CL53I 60-69 years, female 92.2
GTEX-13JUV-2726-SM-5LZZ8 40-49 years, female 91.9
GTEX-13OVG-1926-SM-5L3DK 60-69 years, male 91.7
GTEX-ZAJG-0126-SM-5HL94 50-59 years, female 91.7
GTEX-12WSG-2826-SM-E9J4H 50-59 years, female 91.7
GTEX-1H3VY-0126-SM-ACKXD 50-59 years, male 91.7
GTEX-11GSO-2426-SM-5A5LY 60-69 years, male 91.6
GTEX-1A3MX-0126-SM-731BR 60-69 years, male 91.5
GTEX-16MT8-0426-SM-7KUEY 60-69 years, female 91.4
GTEX-1IL2U-0226-SM-CE6T8 60-69 years, male 91.4
GTEX-11WQC-2526-SM-5CVLE 60-69 years, male 91.3
GTEX-13D11-2426-SM-5KM1V 50-59 years, female 91.3
GTEX-14BIN-0626-SM-793DP 50-59 years, female 91.2
GTEX-1LB8K-0226-SM-EWRNW 50-59 years, male 91.2
GTEX-1RDX4-0126-SM-E9J4P 50-59 years, female 91.2
GTEX-1S82Y-2026-SM-EVYCM 40-49 years, male 91.2
GTEX-11XUK-2026-SM-5EQLF 40-49 years, female 91.1
GTEX-14ICK-0226-SM-6EU25 40-49 years, male 91.1
GTEX-NFK9-0226-SM-2HMKQ 40-49 years, male 91.1
GTEX-YFC4-0126-SM-5CVLY 40-49 years, female 91.1
GTEX-1A8FM-0226-SM-7SB7Q 50-59 years, female 91.1
GTEX-1LBAC-0126-SM-DIPEZ 20-29 years, male 91.1
GTEX-SE5C-1626-SM-2XCE3 40-49 years, female 91.0
GTEX-13SLW-0126-SM-5SI6C 70-79 years, male 90.8
GTEX-1I1GR-0126-SM-CL55F 60-69 years, male 90.8
GTEX-OHPL-0126-SM-2HMJ7 60-69 years, female 90.7
GTEX-1399R-2726-SM-5IJBA 30-39 years, male 90.6
GTEX-XBEW-0626-SM-4QASP 40-49 years, male 90.6
GTEX-XUYS-0126-SM-47JWZ 50-59 years, male 90.6
GTEX-1F6I4-0126-SM-9MQL2 60-69 years, male 90.5
GTEX-117YW-2626-SM-5GZZH 50-59 years, male 90.4
GTEX-1IDJF-0126-SM-CM2RS 20-29 years, male 90.4
GTEX-QCQG-1726-SM-3GIJ9 50-59 years, female 90.3
GTEX-12ZZY-0226-SM-5LZVE 60-69 years, male 90.0
GTEX-16AAH-1726-SM-7939C 50-59 years, male 90.0
GTEX-ZZ64-1726-SM-5GZYB 20-29 years, male 89.9
GTEX-13OVH-0126-SM-5MR4B 70-79 years, male 89.8
GTEX-ZTSS-1926-SM-57WEW 40-49 years, male 89.8
GTEX-18D9U-0226-SM-718BP 40-49 years, male 89.7
GTEX-X4XX-0126-SM-3NMC2 60-69 years, male 89.7
GTEX-13N1W-0126-SM-5K7VT 70-79 years, male 89.6
GTEX-YJ8A-0426-SM-5IFID 20-29 years, male 89.6
GTEX-1F5PL-0326-SM-7P8PQ 40-49 years, female 89.5
GTEX-11ZVC-2526-SM-5FQTE 50-59 years, female 89.4
GTEX-145LV-2126-SM-5LU8N 50-59 years, male 89.4
GTEX-15DYW-0126-SM-7KULE 60-69 years, female 89.4
GTEX-O5YW-0126-SM-3LK6D 50-59 years, male 89.4
GTEX-1RB15-2126-SM-E9TIM 60-69 years, male 89.4
GTEX-1R9PM-2026-SM-E76OY 20-29 years, male 89.3
GTEX-PLZ5-2026-SM-2S1O4 50-59 years, male 89.2
GTEX-1S3DN-2226-SM-EVYCD 50-59 years, male 89.2
GTEX-1314G-1526-SM-5EGK2 30-39 years, male 89.1
GTEX-145MF-0626-SM-5LUAI 50-59 years, male 89.1
GTEX-14E6D-0126-SM-62LDV 50-59 years, male 89.1
GTEX-SUCS-1926-SM-32PM3 70-79 years, male 89.1
GTEX-1QP66-1726-SM-E8VO1 50-59 years, male 89.1
GTEX-XUW1-0426-SM-4BOOT 50-59 years, female 88.9
GTEX-1B996-0226-SM-7RHGO 60-69 years, male 88.9
GTEX-1HSMQ-1226-SM-CGQFX 50-59 years, male 88.9
GTEX-131XW-0426-SM-5LZWP 50-59 years, female 88.8
GTEX-13OVJ-0126-SM-5KM36 50-59 years, female 88.7
GTEX-18465-0126-SM-731BN 50-59 years, male 88.7
GTEX-1E1VI-0126-SM-7DHMZ 50-59 years, male 88.7
GTEX-15ETS-0126-SM-7KUMW 40-49 years, female 88.5
GTEX-ZE7O-0126-SM-57WC1 50-59 years, female 88.4
GTEX-13OVL-0226-SM-5L3E9 50-59 years, male 88.2
GTEX-1CB4I-0226-SM-79OLH 50-59 years, male 88.2
GTEX-1B8KZ-2026-SM-7DHMB 50-59 years, male 88.1
GTEX-17F98-0626-SM-79OMX 40-49 years, female 87.9
GTEX-T2IS-0126-SM-4DM6O 20-29 years, female 87.9
GTEX-13OW7-0126-SM-5MR3B 50-59 years, male 87.7
GTEX-W5WG-1826-SM-4KL2Y 50-59 years, female 87.7
GTEX-1F48J-0126-SM-7P8TT 50-59 years, female 87.7
GTEX-13OW5-0126-SM-DTXFS 60-69 years, male 87.6
GTEX-14LLW-0126-SM-6LLIO 70-79 years, female 87.4
GTEX-1C6WA-0126-SM-7PC2B 60-69 years, male 87.4
GTEX-1NV5F-0226-SM-E8VNY 60-69 years, female 87.4
GTEX-1C64N-0126-SM-793D7 50-59 years, male 87.3
GTEX-OOBJ-0126-SM-E6CJW 60-69 years, male 87.1
GTEX-1E2YA-0126-SM-9KNUC 50-59 years, male 87.0
GTEX-TMZS-0126-SM-3DB9Q 60-69 years, male 86.9
GTEX-WYVS-2126-SM-3NMA3 40-49 years, female 86.9
GTEX-1GMR8-0126-SM-9WYTM 50-59 years, female 86.9
GTEX-13PDP-0126-SM-5L3HD 60-69 years, male 86.8
GTEX-ZTPG-0326-SM-5O9AX 20-29 years, female 86.8
GTEX-1GPI6-0126-SM-9WG69 60-69 years, male 86.8
GTEX-TML8-1926-SM-32QOS 40-49 years, female 86.6
GTEX-1A3MV-1926-SM-718BT 30-39 years, male 86.5
GTEX-1GF9V-0326-SM-7RHI5 60-69 years, male 86.5
GTEX-1HT8W-0126-SM-CNPPP 30-39 years, male 86.4
GTEX-1I1GS-0126-SM-B2LVW 60-69 years, male 86.4
GTEX-13CF3-2426-SM-5IFGX 60-69 years, female 86.3
GTEX-13NZB-2526-SM-5J1OM 30-39 years, male 86.3
GTEX-R55G-2526-SM-2TC6D 40-49 years, female 86.3
GTEX-1MUQO-0126-SM-EAZ58 60-69 years, male 86.3
GTEX-12126-0326-SM-5PNW3 20-29 years, male 86.2
GTEX-14JG1-0426-SM-6ETZZ 40-49 years, male 86.2
GTEX-1IY9M-0126-SM-D3L8S 60-69 years, male 86.1
GTEX-1PIGE-0126-SM-EVYBJ 20-29 years, male 86.1
GTEX-18A66-0226-SM-718BD 60-69 years, male 86.0
GTEX-14PN3-2426-SM-6LLHS 60-69 years, female 85.9
GTEX-17EUY-0426-SM-793BD 20-29 years, male 85.9
GTEX-1S83E-0126-SM-EWRO4 40-49 years, male 85.8
GTEX-PVOW-0126-SM-2XCFA 40-49 years, male 85.7
GTEX-U3ZH-2026-SM-3DB78 30-39 years, male 85.7
GTEX-1JJ6O-0126-SM-E6CI8 60-69 years, male 85.7
GTEX-13N11-2526-SM-5K7UE 50-59 years, female 85.5
GTEX-ZF2S-2326-SM-4WWCE 50-59 years, female 85.5
GTEX-17JCI-0126-SM-7LG5G 60-69 years, female 85.2
GTEX-YEC4-2126-SM-5IFJH 40-49 years, male 85.2
GTEX-1J8QM-2126-SM-CYPSJ 60-69 years, female 85.2
GTEX-RNOR-0126-SM-E9J4R 50-59 years, female 85.1
GTEX-14JIY-0126-SM-6LLH6 60-69 years, male 84.6
GTEX-12KS4-0326-SM-5EQ41 30-39 years, male 84.5
GTEX-131XF-5016-SM-7MGWE 60-69 years, male 84.5
GTEX-T5JW-1626-SM-3GADZ 20-29 years, female 84.4
GTEX-11EQ9-2426-SM-5HL5T 30-39 years, male 84.2
GTEX-1KWVE-1426-SM-E9TJO 30-39 years, male 84.2
GTEX-11P7K-2126-SM-5GU7G 30-39 years, male 84.1
GTEX-13OW6-0426-SM-5L3HM 50-59 years, male 84.1
GTEX-15SHW-0326-SM-6PAML 60-69 years, male 84.1
GTEX-13QJ3-0326-SM-5S2RA 50-59 years, male 84.0
GTEX-15EU6-0426-SM-6PAN5 50-59 years, male 84.0
GTEX-U8XE-0326-SM-3DB8P 30-39 years, male 83.7
GTEX-ZY6K-1826-SM-5GZXK 50-59 years, male 83.7
GTEX-XAJ8-0826-SM-47JY6 40-49 years, male 83.6
GTEX-1RAZA-0126-SM-E6CI3 20-29 years, male 83.4
GTEX-1GPI7-0126-SM-9MQL8 20-29 years, male 83.3
GTEX-QLQ7-1626-SM-2S1R8 60-69 years, male 83.2
GTEX-TSE9-0126-SM-3DB83 60-69 years, female 83.2
GTEX-ZZPT-0226-SM-5E43X 50-59 years, male 83.2
GTEX-SIU8-0126-SM-2XCDT 50-59 years, male 83.1
GTEX-1F75A-0126-SM-7RHGM 50-59 years, male 83.1
GTEX-1I1CD-0126-SM-CM2TK 60-69 years, female 83.1
GTEX-111FC-0126-SM-5N9DL 60-69 years, male 82.9
GTEX-ZXES-1826-SM-5E43S 30-39 years, female 82.9
GTEX-1R7EV-2426-SM-EVYBG 40-49 years, male 82.9
GTEX-1AMFI-2026-SM-731BH 50-59 years, female 82.8
GTEX-1IKOH-0226-SM-COH4E 60-69 years, female 82.8
GTEX-11EMC-2926-SM-5EQ4F 60-69 years, female 82.6
GTEX-13X6I-0626-SM-5QGP9 60-69 years, male 82.6
GTEX-Z9EW-1626-SM-5CVMN 40-49 years, male 82.6
GTEX-13OW8-1326-SM-5J1OW 60-69 years, male 82.5
GTEX-18A7B-0126-SM-7LG64 70-79 years, male 82.5
GTEX-1H23P-0126-SM-ADEJ3 60-69 years, male 82.5
GTEX-11ZTS-0126-SM-5EQ6M 60-69 years, female 82.4
GTEX-16BQI-0226-SM-7KUEX 30-39 years, female 82.4
GTEX-15RIG-0226-SM-7KFTL 40-49 years, male 82.3
GTEX-OHPM-0126-SM-2YUN9 50-59 years, male 82.2
GTEX-1H1ZS-0426-SM-9WG6G 70-79 years, male 82.2
GTEX-14E6E-1826-SM-5S2R7 30-39 years, male 82.1
GTEX-ZQUD-1426-SM-57WER 30-39 years, male 82.1
GTEX-1JKYR-0126-SM-CNPOJ 20-29 years, male 82.1
GTEX-117YX-2326-SM-5H12W 50-59 years, male 82.0
GTEX-11OF3-2626-SM-5GU7F 60-69 years, male 82.0
GTEX-13IVO-0126-SM-5J1NG 70-79 years, male 82.0
GTEX-1KAFJ-2026-SM-CY8ID 50-59 years, male 82.0
GTEX-1KXAM-2226-SM-CYPTC 60-69 years, male 82.0
GTEX-145LU-0126-SM-5TDCB 50-59 years, male 81.8
GTEX-1J8Q2-0526-SM-CM2RW 60-69 years, male 81.8
GTEX-12WSA-0226-SM-5BC5V 60-69 years, male 81.7
GTEX-1A32A-0126-SM-718B1 50-59 years, female 81.7
GTEX-ZVZO-0126-SM-5A5L9 40-49 years, male 81.6
GTEX-1GL5R-1826-SM-9KNUY 50-59 years, male 81.6
GTEX-14PJ3-1826-SM-62LEX 50-59 years, male 81.5
GTEX-11OC5-0126-SM-5HL6A 60-69 years, male 81.4
GTEX-13SLX-0526-SM-5S2ON 50-59 years, female 81.4
GTEX-RM2N-1426-SM-2TF4H 50-59 years, male 81.4
GTEX-1PFEY-1526-SM-E76PP 30-39 years, male 81.4
GTEX-1HCU7-0226-SM-CL545 50-59 years, male 81.2
GTEX-1LNCM-1126-SM-E9U5E 50-59 years, female 81.2
GTEX-1399T-2826-SM-5KLYZ 60-69 years, male 81.1
GTEX-18QFQ-0126-SM-731BE 30-39 years, male 81.1
GTEX-11ZTT-2426-SM-5EQLS 60-69 years, female 81.0
GTEX-11P82-1626-SM-59879 20-29 years, male 80.7
GTEX-147F4-0226-SM-5QGPW 50-59 years, male 80.7
GTEX-15SDE-2226-SM-7IGLO 50-59 years, female 80.7
GTEX-17MF6-0126-SM-7LG4F 40-49 years, male 80.6
GTEX-X4EP-0126-SM-3P5YV 60-69 years, female 80.6
GTEX-1QCLY-0326-SM-E8VOG 30-39 years, male 80.6
GTEX-1M5QR-1226-SM-EWROB 40-49 years, male 80.5
GTEX-13O3O-0126-SM-E9J49 60-69 years, female 80.4
GTEX-1HSEH-0126-SM-ACKXN 60-69 years, male 80.4
GTEX-1J8EW-0126-SM-CJI4F 60-69 years, female 80.4
GTEX-139D8-0226-SM-5KLZO 30-39 years, female 80.3
GTEX-1C6VQ-0126-SM-7P8RI 50-59 years, male 80.3
GTEX-17F96-1626-SM-7DUFL 70-79 years, male 80.1
GTEX-1I1GP-2226-SM-CGQFK 50-59 years, male 80.1
GTEX-11DXW-0226-SM-5H122 40-49 years, male 79.9
GTEX-ZVZP-2426-SM-59HKJ 50-59 years, male 79.9
GTEX-O5YT-0126-SM-48TBW 20-29 years, male 79.8
GTEX-1QP2A-0126-SM-E9J43 50-59 years, male 79.8
GTEX-146FR-1326-SM-E9J48 60-69 years, female 79.7
GTEX-XQ8I-0426-SM-4BOPO 50-59 years, male 79.5
GTEX-14E7W-0126-SM-6LLJ9 70-79 years, male 79.4
GTEX-13OVK-2026-SM-7KUEO 40-49 years, male 79.3
GTEX-OXRN-0126-SM-48TDM 50-59 years, male 79.3
GTEX-15SB6-1726-SM-6PAME 50-59 years, female 79.2
GTEX-1CAMR-1926-SM-7EPI2 20-29 years, male 79.1
GTEX-111VG-2426-SM-5GZXD 60-69 years, male 79.0
GTEX-12C56-1726-SM-5EQ61 20-29 years, male 79.0
GTEX-144GN-2326-SM-5LU4F 50-59 years, male 79.0
GTEX-145LT-1726-SM-5QGP3 40-49 years, male 79.0
GTEX-1J1OQ-0226-SM-CYPSH 40-49 years, female 79.0
GTEX-1JK1U-2026-SM-CM2RZ 60-69 years, male 79.0
GTEX-11WQK-0526-SM-5EQLD 50-59 years, male 78.9
GTEX-1C2JI-1826-SM-73KXC 50-59 years, male 78.9
GTEX-1HBPN-0226-SM-9YFM1 50-59 years, male 78.9
GTEX-1MCQQ-0826-SM-DLHC2 60-69 years, male 78.9
GTEX-ZQG8-1626-SM-DHXIT 60-69 years, female 78.8
GTEX-1B933-0126-SM-7PC29 50-59 years, female 78.6
GTEX-1LG7Y-0526-SM-DKPQC 50-59 years, male 78.6
GTEX-139T8-0126-SM-5K7XZ 60-69 years, male 78.4
GTEX-13VXT-0126-SM-5LU4I 20-29 years, female 78.3
GTEX-QVJO-1626-SM-2S1QW 60-69 years, female 78.3
GTEX-X88G-0126-SM-47JZ3 30-39 years, male 78.3
GTEX-1GF9U-2126-SM-7SB7L 40-49 years, female 78.3
GTEX-11EI6-0126-SM-5985R 60-69 years, male 78.2
GTEX-18A67-0126-SM-7LG5P 50-59 years, male 78.2
GTEX-ZVE2-0226-SM-59HJB 50-59 years, male 78.2
GTEX-1NHNU-1026-SM-E9J2A 50-59 years, male 78.2
GTEX-13W46-0226-SM-5SIAG 50-59 years, male 78.1
GTEX-1I1GU-2226-SM-CGQFA 40-49 years, male 78.1
GTEX-1K2DU-2326-SM-E9TIV 20-29 years, male 78.1
GTEX-14753-0426-SM-5NQAM 60-69 years, male 78.0
GTEX-S7SE-0126-SM-2XCD5 50-59 years, male 78.0
GTEX-1F5PK-2426-SM-7RHHY 50-59 years, male 78.0
GTEX-183FY-0126-SM-7LT9P 20-29 years, male 77.8
GTEX-1I19N-0326-SM-ACKVX 70-79 years, male 77.8
GTEX-1PPH7-2326-SM-EVYB8 40-49 years, male 77.8
GTEX-147F3-0526-SM-5SI98 50-59 years, female 77.7
GTEX-1CAMS-0426-SM-7P8T2 40-49 years, female 77.6
GTEX-1H11D-0226-SM-9WG6Z 40-49 years, male 77.6
GTEX-OIZH-0126-SM-2HMIS 50-59 years, male 77.5
GTEX-1GF9X-2026-SM-7PC3A 40-49 years, female 77.5
GTEX-R45C-0126-SM-EAZ2R 60-69 years, female 77.5
GTEX-145LS-0126-SM-5QGP1 60-69 years, female 77.4
GTEX-XPVG-2626-SM-4B669 50-59 years, male 77.3
GTEX-ZYFG-2326-SM-5E44B 60-69 years, female 77.2
GTEX-1I1GQ-0126-SM-COH3H 50-59 years, male 77.2
GTEX-1J8Q3-1626-SM-CMKGC 60-69 years, male 77.2
GTEX-17KNJ-2326-SM-7DHLQ 50-59 years, male 77.1
GTEX-P4PP-0126-SM-3LK69 30-39 years, female 77.1
GTEX-1CB4H-0226-SM-7PBXM 60-69 years, female 77.1
GTEX-1KANB-0526-SM-E6CJH 50-59 years, male 77.0
GTEX-13NZA-0226-SM-5K7Z7 60-69 years, male 76.9
GTEX-14A6H-0126-SM-5QGPK 30-39 years, male 76.9
GTEX-1LC47-0326-SM-E9TJP 60-69 years, male 76.9
GTEX-1ICLY-0126-SM-D4P36 50-59 years, male 76.7
GTEX-1O97I-0326-SM-EYYX7 60-69 years, male 76.7
GTEX-11NUK-0126-SM-5A5L3 50-59 years, male 76.6
GTEX-VJYA-1126-SM-3GIJU 60-69 years, male 76.6
GTEX-15EOM-0126-SM-7KUGG 20-29 years, female 76.5
GTEX-1S82Z-0826-SM-E6CHY 30-39 years, female 76.5
GTEX-14ABY-0226-SM-5TDCQ 50-59 years, male 76.4
GTEX-OIZF-0126-SM-7SB8I 60-69 years, male 76.4
GTEX-11DXX-2426-SM-5GZZW 60-69 years, female 76.3
GTEX-1C6VR-2426-SM-79OLD 60-69 years, male 76.3
GTEX-X4XY-0226-SM-4E3IZ 60-69 years, male 76.3
GTEX-ZYY3-0126-SM-5GZY5 60-69 years, female 76.3
GTEX-16NGA-1726-SM-731B4 40-49 years, female 76.2
GTEX-Y5LM-1926-SM-5RQJH 40-49 years, female 76.2
GTEX-1HR98-0126-SM-B2LWI 60-69 years, male 76.2
GTEX-1N2DV-0226-SM-E6CJ6 40-49 years, male 76.2
GTEX-Z93T-0126-SM-5HL5N 50-59 years, male 76.1
GTEX-1HB9E-0226-SM-E9U4R 50-59 years, male 76.0
GTEX-PW2O-1526-SM-7RHHB 20-29 years, male 76.0
GTEX-15D1Q-0126-SM-7KUG6 40-49 years, male 75.9
GTEX-ZUA1-0126-SM-5GU76 40-49 years, male 75.9
GTEX-1HCU8-0626-SM-A9SM9 60-69 years, female 75.9
GTEX-13RTJ-2426-SM-5S2Q2 60-69 years, male 75.8
GTEX-1C64O-0126-SM-7SB8P 60-69 years, male 75.6
GTEX-14A5H-0426-SM-5QGQF 60-69 years, male 75.5
GTEX-1CAMQ-0226-SM-7IGPK 40-49 years, male 75.5
GTEX-PLZ4-0126-SM-5SI8O 50-59 years, female 75.4
GTEX-1I1GT-0626-SM-CGQER 60-69 years, female 75.4
GTEX-1192W-2626-SM-5Q5AF 60-69 years, male 75.3
GTEX-ZV6S-2326-SM-4YCEY 40-49 years, female 75.3
GTEX-14JG6-2226-SM-6EU2G 30-39 years, female 75.2
GTEX-13FH7-2026-SM-E9J4I 50-59 years, female 75.2
GTEX-1F75I-0326-SM-9YFLU 40-49 years, male 75.0
GTEX-SNMC-1226-SM-2XCFP 20-29 years, male 74.9
GTEX-XXEK-2226-SM-4BRUM 50-59 years, male 74.9
GTEX-11VI4-1726-SM-5CVLH 40-49 years, female 74.8
GTEX-POMQ-2226-SM-2I5FK 20-29 years, female 74.8
GTEX-13RTL-0126-SM-7LG5S 40-49 years, male 74.7
GTEX-144FL-0126-SM-5TDC8 50-59 years, male 74.7
GTEX-1AMEY-1326-SM-73KYK 30-39 years, female 74.6
GTEX-S95S-1226-SM-4GICG 60-69 years, male 74.6
GTEX-1H1E6-1726-SM-ACKVK 30-39 years, male 74.6
GTEX-1LH75-2426-SM-E9TJE 50-59 years, female 74.5
GTEX-12WSN-5019-SM-79OM6 40-49 years, male 74.4
GTEX-169BO-1326-SM-9MQK2 50-59 years, male 74.4
GTEX-1EU9M-0226-SM-7P8SP 60-69 years, male 74.4
GTEX-1QPFJ-0226-SM-E76PB 30-39 years, female 74.4
GTEX-VJWN-0126-SM-3GIK7 50-59 years, female 74.3
GTEX-ZDTT-2726-SM-4WKF8 60-69 years, male 74.3
GTEX-1F52S-0126-SM-9MQJU 60-69 years, female 74.1
GTEX-1GN1W-0526-SM-9MQJQ 50-59 years, female 74.0
GTEX-1QW4Y-1526-SM-EAZ3Z 30-39 years, male 73.8
GTEX-1RLM8-2326-SM-EWRN4 50-59 years, male 73.7
GTEX-OOBK-0126-SM-2YUND 40-49 years, male 73.6
GTEX-1ICLZ-0126-SM-CKZPO 60-69 years, male 73.4
GTEX-RN64-0126-SM-2TC68 50-59 years, male 73.3
GTEX-14DAQ-0126-SM-5S2MQ 60-69 years, female 73.2
GTEX-ZXG5-0126-SM-5GIEU 60-69 years, male 73.1
GTEX-1IGQW-0126-SM-COH42 60-69 years, male 73.1
GTEX-1JKYN-1326-SM-CGQG9 30-39 years, male 73.1
GTEX-QLQW-1126-SM-2S1Q8 30-39 years, male 73.0
GTEX-1GZ2Q-0226-SM-7P8TL 40-49 years, male 73.0
GTEX-1497J-2426-SM-7IGNX 60-69 years, male 72.9
GTEX-TMMY-0226-SM-33HBA 40-49 years, female 72.9
GTEX-1MCYP-1926-SM-E9J2R 20-29 years, female 72.9
GTEX-133LE-1826-SM-5J1MV 20-29 years, female 72.8
GTEX-RWS6-2026-SM-2XCB5 60-69 years, female 72.8
GTEX-18D9B-0526-SM-7LTAS 60-69 years, male 72.7
GTEX-1128S-2326-SM-5GZZY 60-69 years, female 72.6
GTEX-11ZUS-0626-SM-59885 30-39 years, male 72.6
GTEX-Y8E4-0626-SM-4WWDL 40-49 years, male 72.6
GTEX-147GR-0526-SM-5S2MY 60-69 years, male 72.5
GTEX-1AX9K-2326-SM-73KWU 50-59 years, male 72.4
GTEX-1F7RK-0126-SM-7PC2S 20-29 years, female 72.4
GTEX-1EKGG-0226-SM-9WYTH 60-69 years, male 72.2
GTEX-14BMU-2226-SM-5TDE9 20-29 years, female 71.9
GTEX-17MFQ-1726-SM-793C7 20-29 years, male 71.9
GTEX-1EX96-1626-SM-7PBXR 50-59 years, male 71.5
GTEX-NPJ8-0126-SM-2YUNR 40-49 years, male 71.4
GTEX-Q2AG-0126-SM-33HBV 40-49 years, female 71.4
GTEX-RVPV-0126-SM-EAZAW 60-69 years, male 71.2
GTEX-1IDJU-2626-SM-CM2RT 60-69 years, female 71.0
GTEX-14PJ6-2126-SM-6EU1V 60-69 years, female 70.9
GTEX-P4PQ-0126-SM-2S1NM 60-69 years, male 70.7
GTEX-ZC5H-0226-SM-4WAY9 40-49 years, female 70.7
GTEX-OXRK-0226-SM-3NB2G 50-59 years, female 70.5
GTEX-1OJC4-0126-SM-E9J2E 50-59 years, female 70.5
GTEX-SJXC-0126-SM-2XCFF 60-69 years, male 70.3
GTEX-U3ZM-1526-SM-3DB9D 40-49 years, male 70.2
GTEX-1F88F-2726-SM-7PBZZ 60-69 years, female 70.1
GTEX-13FTY-0526-SM-5L3EV 40-49 years, female 70.0
GTEX-16NPX-0226-SM-79OMT 50-59 years, male 70.0
GTEX-1H3NZ-0126-SM-ACKX7 60-69 years, male 69.8
GTEX-1MA7X-2226-SM-E6CIY 60-69 years, male 69.8
GTEX-146FQ-0126-SM-5NQA9 30-39 years, male 69.7
GTEX-1GN1V-0126-SM-9WPOS 60-69 years, male 69.7
GTEX-1R9K4-0126-SM-DTX9X 60-69 years, male 69.7
GTEX-11O72-0126-SM-59887 40-49 years, male 69.6
GTEX-QV44-1926-SM-2S1RF 50-59 years, male 69.5
GTEX-1QP67-1626-SM-EAZ3X 40-49 years, female 69.3
GTEX-1HSMP-0126-SM-E6CJS 70-79 years, male 68.9
GTEX-1122O-2126-SM-5EGIR 60-69 years, female 68.8
GTEX-1KANA-0726-SM-D3L9I 20-29 years, male 68.8
GTEX-1HKZK-0326-SM-9WYUH 40-49 years, male 68.7
GTEX-T6MO-1626-SM-32QOM 40-49 years, female 68.6
GTEX-XMD2-0126-SM-4YCDU 60-69 years, female 68.6
GTEX-ZE9C-2726-SM-57WB5 60-69 years, male 68.5
GTEX-QDT8-0126-SM-48TZ1 30-39 years, female 68.3
GTEX-1IL2V-0126-SM-CM2TX 70-79 years, male 68.3
GTEX-1C6VS-0526-SM-7DUEN 60-69 years, male 68.2
GTEX-13W3W-2426-SM-5LU5B 60-69 years, female 68.1
GTEX-OXRL-0126-SM-2YUMP 50-59 years, male 68.1
GTEX-1M4P7-0226-SM-DIPEV 60-69 years, male 68.1
GTEX-11NSD-2226-SM-5986V 20-29 years, male 68.0
GTEX-1QEPI-0126-SM-EWRMQ 60-69 years, female 68.0
GTEX-113IC-0126-SM-5HL6T 60-69 years, male 67.9
GTEX-ZVT3-0126-SM-5GU6I 60-69 years, female 67.8
GTEX-13NYC-0326-SM-E9J4S 60-69 years, male 67.8
GTEX-16XZY-2126-SM-79OK1 70-79 years, male 67.7
GTEX-WY7C-2326-SM-3NB2U 50-59 years, male 67.7
GTEX-15UKP-0426-SM-7KUFQ 20-29 years, male 67.6
GTEX-11DXY-2626-SM-5GIE7 60-69 years, male 67.3
GTEX-13FHO-0226-SM-5IFGY 60-69 years, male 67.3
GTEX-ZAB5-1826-SM-5HL7C 50-59 years, male 67.3
GTEX-14LZ3-0226-SM-62LET 60-69 years, female 67.2
GTEX-1KD5A-0226-SM-D5OV3 50-59 years, male 67.2
GTEX-14BIM-0226-SM-7IGLD 60-69 years, female 67.1
GTEX-V1D1-2226-SM-3NMAX 50-59 years, male 67.1
GTEX-WZTO-0126-SM-3NM95 40-49 years, male 66.8
GTEX-Y8LW-1826-SM-5S2MV 50-59 years, female 66.7
GTEX-PWO3-1526-SM-48TCM 60-69 years, female 66.5
GTEX-SSA3-0126-SM-32QPU 60-69 years, male 66.5
GTEX-U4B1-1826-SM-4DXSU 40-49 years, male 66.5
GTEX-15G19-0126-SM-6PANQ 60-69 years, male 66.0
GTEX-QDVJ-1726-SM-2I5FX 50-59 years, male 66.0
GTEX-1RAZQ-0726-SM-EAZ43 30-39 years, male 65.6
GTEX-1ICG6-2526-SM-CGQFZ 70-79 years, female 65.4
GTEX-15CHC-2126-SM-6EU21 60-69 years, female 65.1
GTEX-X638-0126-SM-47JZ8 70-79 years, female 65.1
GTEX-ZEX8-2426-SM-4WKG4 50-59 years, male 64.0
GTEX-RUSQ-1526-SM-2TF62 50-59 years, male 63.7
GTEX-1R9PO-2126-SM-E9J4O 60-69 years, female 63.6
GTEX-13N2G-2626-SM-5J1OT 60-69 years, male 63.5
GTEX-14PHW-0126-SM-6LLJI 60-69 years, female 63.4
GTEX-VUSG-2526-SM-4KL1V 50-59 years, male 63.4
GTEX-1HCVE-0126-SM-CGQEU 50-59 years, male 63.0
GTEX-1PBJI-0526-SM-E8VNK 20-29 years, female 62.7
GTEX-ZDXO-3026-SM-5J1N5 60-69 years, male 62.6
GTEX-1I1HK-0126-SM-COH49 60-69 years, male 62.4
GTEX-15DCD-0126-SM-7KUEK 70-79 years, female 62.3
GTEX-1RQEC-0426-SM-E6CHU 60-69 years, male 62.1
GTEX-1QP29-0626-SM-EWRMX 50-59 years, male 61.9
GTEX-1K9T9-0126-SM-EVYCF 50-59 years, female 61.7
GTEX-13O3Q-2426-SM-5IJBR 50-59 years, male 61.5
GTEX-R3RS-0126-SM-3GIJL 40-49 years, female 61.1
GTEX-QDVN-2026-SM-3GAEP 50-59 years, male 60.9
GTEX-X62O-0126-SM-4E3JN 50-59 years, male 60.8
GTEX-17F97-0326-SM-7LG5B 50-59 years, male 60.3
GTEX-WVJS-0126-SM-4MVOT 50-59 years, male 60.3
GTEX-183WM-0126-SM-7LTAB 70-79 years, female 60.2
GTEX-1HBPH-0426-SM-B2LW5 40-49 years, female 59.7
GTEX-1JJE9-0326-SM-CL53Z 70-79 years, male 59.6
GTEX-OIZG-0726-SM-33HBL 50-59 years, male 58.9
GTEX-1IDFM-0126-SM-COH2V 60-69 years, male 58.8
GTEX-ZF28-0126-SM-4WKGK 60-69 years, male 58.6
GTEX-Y5V6-2426-SM-4VDSB 60-69 years, male 58.5
GTEX-XV7Q-2526-SM-4BRV9 40-49 years, female 56.9
GTEX-1IE54-0126-SM-CMKHW 40-49 years, female 55.2
GTEX-WOFL-0126-SM-3MJG2 60-69 years, male 54.2
GTEX-139T4-0226-SM-5HL5S 50-59 years, female 54.0
GTEX-Q734-1926-SM-2I5EV 40-49 years, female 52.8
GTEX-U3ZN-2326-SM-3DB7W 30-39 years, female 51.2
GTEX-14PK6-1926-SM-6ETZU 70-79 years, female 50.9
Show allShow less

Contact

  • NEWS ARTICLES
  • PRESS ROOM

The Project

  • INTRODUCTION
  • ORGANIZATION
  • PUBLICATIONS

The Human Protein Atlas

  • DOWNLOADABLE DATA
  • LICENCE & CITATION
  • HELP & FAQ
The Human Protein Atlas project is funded
by the Knut & Alice Wallenberg Foundation.


contact@proteinatlas.org