We use cookies to enhance the usability of our website. If you continue, we'll assume that you are happy to receive all cookies. More information. Don't show this again.
HNRNPUL1
HPA
RESOURCES
  • TISSUE
  • BRAIN
  • SINGLE CELL
  • SUBCELLULAR
  • CANCER
  • BLOOD
  • CELL LINE
  • STRUCTURE & INTERACTION
ABOUT
  • INTRODUCTION
  • HISTORY
  • ORGANIZATION
  • PUBLICATIONS
  • ANTIBODY SUBMISSION
  • ANTIBODY AVAILABILITY
  • ACKNOWLEDGMENTS
  • CONTACT
NEWS
  • NEWS ARTICLES
  • PRESS ROOM
LEARN
  • DICTIONARY
  • PROTEIN CLASSES
  • PROTEIN EVIDENCE
  • METHODS
  • EDUCATIONAL VIDEOS
DATA
  • DOWNLOADABLE DATA
  • PUBLICATION DATA
  • RELEASE HISTORY
HELP
  • ANTIBODY VALIDATION
  • ASSAYS & ANNOTATION
  • DISCLAIMER
  • HELP & FAQ
  • PRIVACY STATEMENT
  • LICENCE & CITATION
Fields »
Search result

Field
Term
Gene name
Class
Subclass
Class
Keyword
Chromosome
External id
Tissue
Cell type
Expression
Antibody panel
Tissue
Main location
Patient ID
Annotation
Tissue
Category
Tau score
Cluster
Reliability
Brain region
Category
Tau score
Brain region
Category
Tau score
Brain region
Category
Tau score
Cluster
Reliability
Tissue
Cell type
Enrichment
Cell type
Category
Tau score
Cell type
Category
Tau score
Cell type
Category
Tau score
Cell lineage
Category
Tau score
Cluster
Cluster
Location
Searches
Location
Cell line
Class
Type
Phase
Reliability
Cancer
Prognosis
Cancer
Category
Cancer
Category
Tau score
Cluster
Variants
Interacting gene (ensg_id)
Type
Number of interactions
Pathway
Category
Score
Score
Score
Validation
Validation
Validation
Validation
Antibodies
Data type
Column


  • SUMMARY

  • TISSUE

  • BRAIN

  • SINGLE CELL

  • SUBCELL

  • CANCER

  • BLOOD

  • CELL LINE

  • STRUCT & INT

  • HNRNPUL1
TISSUE PRIMARY DATA ADRENAL GLAND Show tissue menu
ADIPOSE TISSUE ADRENAL GLAND AMYGDALA APPENDIX BASAL GANGLIA BONE MARROW BREAST BRONCHUS CEREBELLUM CEREBRAL CORTEX CERVIX CHOROID PLEXUS COLON DUODENUM
ENDOMETRIUM EPIDIDYMIS ESOPHAGUS FALLOPIAN TUBE GALLBLADDER HEART MUSCLE HIPPOCAMPAL FORMATION HYPOTHALAMUS KIDNEY LIVER LUNG LYMPH NODE MIDBRAIN NASOPHARYNX
ORAL MUCOSA OVARY PANCREAS PARATHYROID GLAND PITUITARY GLAND PLACENTA PROSTATE RECTUM RETINA SALIVARY GLAND SEMINAL VESICLE SKELETAL MUSCLE SKIN SMALL INTESTINE
SMOOTH MUSCLE SOFT TISSUE SPINAL CORD SPLEEN STOMACH TESTIS THYMUS THYROID GLAND TONGUE TONSIL URINARY BLADDER VAGINA
ANTIBODIES
AND
VALIDATION
Dictionary
Adrenal gland
Tissue proteome
Adrenal gland
ADRENAL GLAND - Expression summary
Protein expression
Adrenal glandi

On the top, protein expression in current human tissue, based on all annotated cell types, is reported with the units not detected (n), low (l), medium (m) and high (h). Underneath, protein expression in each annotated cell type are reported using the same units.

Protein expression data is based on knowledge-based annotation. For genes where more than one antibody has been used, a collective score is set.

If knowledge-based annotation could not be performed for a gene, no data is displayed here. View antibody staining data further down this page.

h
m
l
n
Glandular cells: High
RNA expressioni

A summary of mRNA expression data available for current tissue based on several datasets. The mRNA expression levels in human tissues are based on RNA-seq data generated by the Human Protein Atlas (HPA), Genotype-Tissue Expression (GTEx) portal and CAGE data generated by the FANTOM5 consortium. Consensus normalized expression levels for human tissues was created by combining the data from HPA and GTEx datasets.

The mRNA expression levels in pig are based on RNA-seq data generated by the Human Protein Atlas (HPA), and for mouse, HPA data and in situ hybridization generated by the Allen brain atlas are reported.

Scroll down to view mRNA expression data in more detail.
Consensus:63.0 nTPM
HPA:53.7 nTPM
GTEx:63.0 nTPM

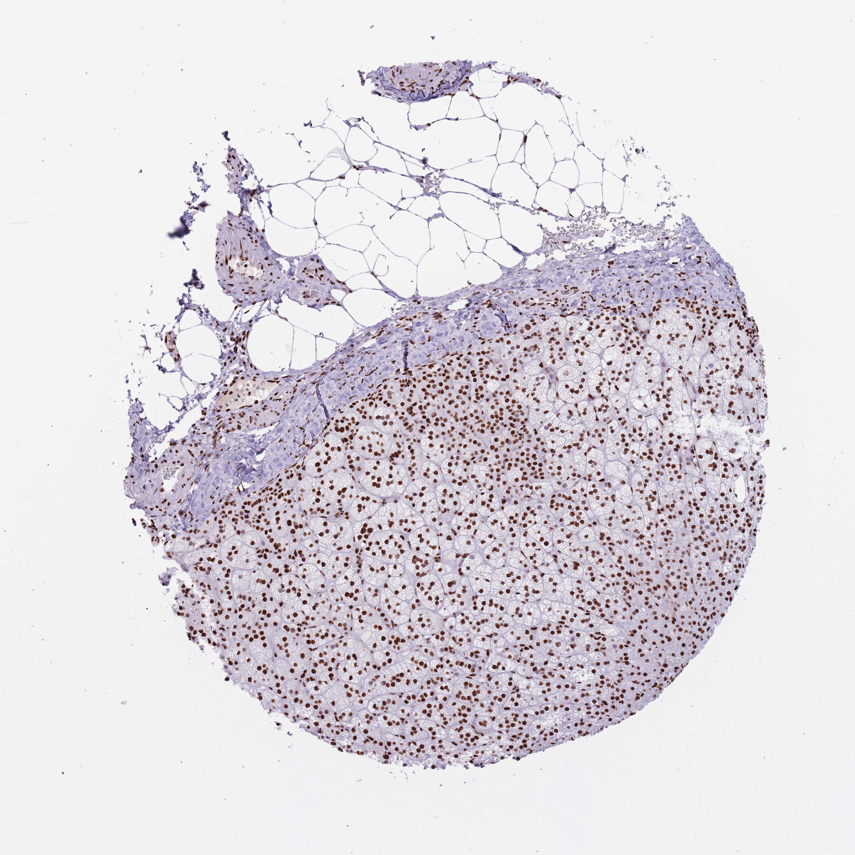
ADRENAL GLAND - Antibody stainingi

Antibody staining in the annotated cell types in the current human tissue is reported as not detected, low, medium, or high, based on conventional immunohistochemistry profiling in selected tissues. This score is based on the combination of the staining intensity and fraction of stained cells.

Each image is clickable and will lead to virtual microscopy that enables deeper exploration of all samples and also displays staining intensity scores, fraction scores and subcellular localization as well as patient and tissue information for each sample.

Antibody HPA046290Antibody HPA049475Antibody CAB046477
Glandular cells HighHighHigh







ADRENAL GLAND - HPA RNA-seqi

The RNA-seq details section shows detailed information about the individual samples used for the transcript profiling and results of the RNA-seq analysis.

Information about each individual sample is listed below, including gender, age, a tissue section image and estimated fractions of cell types. nTPM (normalized transcripts per million) values give a quantification of the gene abundance which is comparable between different genes and samples.
Average nTPMi

Max subtype nTPM is the value for the subtype with the largest average nTPM across the subtype samples.

53.7
overview
Female, age 62
Adrenal gland sample 87
nTPM: 49.2
Cell types%
Cortical cells:
50

Medullary cells:
40

Other cell types:
10

overview
Female, age 36
Adrenal gland sample 88
nTPM: 59.6
Cell types%
Cortical cells:
50

Medullary cells:
40

Other cell types:
10

overview
Female, age 63
Adrenal gland sample 89
nTPM: 52.2
Cell types%
Cortical cells:
50

Medullary cells:
40

Other cell types:
10


ADRENAL GLAND - GTEx RNA-seqi

RNA-Seq data generated by the Genotype-Tissue Expression (GTEx) project from human tissues is reported as mean nTPM. More information can be found on the GTEx portal.

Distribution across the dataset is visualized with box plots, shown as median and 25th and 75th percentiles. Points are displayed as outliers if they are above or below 1.5 times the interquartile range. nTPM values of the individual samples are presented next to the box plot.
Max subtype nTPMi

Max subtype nTPM is the value for the subtype with the largest average nTPM across the subtype samples.

63.0
GTEx sample id Sample description nTPM
Adrenal Gland
Average nTPM: 63.0
Samples: 258

Max nTPM: 148.1
Min nTPM: 41.4
Std nTPM: 11.7
Median nTPM: 62.3
GTEX-1KD4Q-1826-SM-DIPFV 40-49 years, male 148.1
GTEX-147F4-2526-SM-5NQBB 50-59 years, male 117.4
GTEX-1GF9V-2026-SM-9JGHS 60-69 years, male 96.7
GTEX-Y114-0526-SM-4TT8V 50-59 years, female 93.0
GTEX-1B996-2026-SM-7MKG7 60-69 years, male 88.5
GTEX-13OVI-1226-SM-5J2ME 60-69 years, female 87.9
GTEX-132QS-0126-SM-5IFH9 60-69 years, male 86.7
GTEX-Y5V5-1326-SM-4V6G9 60-69 years, female 84.1
GTEX-1B8KE-0926-SM-7189I 50-59 years, male 83.2
GTEX-11P7K-0126-SM-5986E 30-39 years, male 82.4
GTEX-1399U-0226-SM-5P9J2 50-59 years, female 82.4
GTEX-14H4A-0226-SM-5SI6Q 40-49 years, female 82.0
GTEX-QXCU-1326-SM-48FE2 50-59 years, male 81.1
GTEX-TKQ2-0226-SM-4DM6V 50-59 years, male 80.6
GTEX-1I1GT-0126-SM-B2LWM 60-69 years, female 78.8
GTEX-ZP4G-0126-SM-4YCE3 20-29 years, female 78.3
GTEX-ZT9W-0126-SM-4YCFD 50-59 years, male 78.3
GTEX-13W3W-1326-SM-5LU4T 60-69 years, female 77.8
GTEX-ZVP2-0126-SM-5NQ7D 50-59 years, male 77.5
GTEX-14PKV-0726-SM-686ZF 20-29 years, female 77.4
GTEX-1A8FM-1926-SM-7MXTX 50-59 years, female 77.3
GTEX-13PVR-0226-SM-5RQJI 60-69 years, female 76.9
GTEX-ZLFU-0826-SM-4WWBP 40-49 years, male 76.4
GTEX-ZA64-0226-SM-5HL9C 20-29 years, male 76.3
GTEX-11I78-1826-SM-5A5M4 50-59 years, female 76.2
GTEX-131XF-0126-SM-5DUVF 60-69 years, male 75.7
GTEX-UJMC-0226-SM-4IHLH 50-59 years, male 75.3
GTEX-12WSK-0326-SM-5GCOJ 40-49 years, female 75.0
GTEX-11EM3-0326-SM-5A5KJ 20-29 years, female 74.8
GTEX-12BJ1-0526-SM-5FQUD 60-69 years, male 74.8
GTEX-ZDTT-0126-SM-4WKHA 60-69 years, male 74.8
GTEX-1J8Q3-0326-SM-CE6TD 60-69 years, male 74.7
GTEX-RWSA-1726-SM-47JX7 40-49 years, male 74.5
GTEX-YB5E-0226-SM-5IFHI 40-49 years, male 74.1
GTEX-11EQ9-0126-SM-5986I 30-39 years, male 73.9
GTEX-ZVT2-0826-SM-5GIEO 50-59 years, female 73.9
GTEX-13CF3-0126-SM-5IFFM 60-69 years, female 73.8
GTEX-13FTW-0126-SM-5IJED 40-49 years, male 73.6
GTEX-1PPH8-0826-SM-DTX9T 20-29 years, male 73.4
GTEX-11GSP-0326-SM-5A5KW 60-69 years, female 73.3
GTEX-Q2AH-0126-SM-48U2B 40-49 years, male 73.2
GTEX-12WSD-2126-SM-5LZWK 60-69 years, female 73.1
GTEX-ZZPU-1226-SM-5N9CK 50-59 years, female 73.1
GTEX-13OW7-2726-SM-5L3HN 50-59 years, male 73.0
GTEX-XMK1-0226-SM-4B65D 40-49 years, male 72.3
GTEX-13QBU-0526-SM-5IJFE 40-49 years, female 71.9
GTEX-131XG-1326-SM-5DUX4 50-59 years, female 71.7
GTEX-O5YT-1326-SM-3MJGR 20-29 years, male 71.1
GTEX-ZYFG-0926-SM-5BC5U 60-69 years, female 71.0
GTEX-145LT-0126-SM-5S2QJ 40-49 years, male 70.9
GTEX-1C475-0126-SM-731DC 40-49 years, female 70.8
GTEX-16NGA-0126-SM-72D6U 40-49 years, female 70.7
GTEX-1AMFI-0626-SM-731DR 50-59 years, female 70.6
GTEX-ZTSS-0326-SM-5987M 40-49 years, male 70.6
GTEX-XUZC-0226-SM-4BOO7 30-39 years, female 70.5
GTEX-13O21-0126-SM-5IJE8 50-59 years, male 70.2
GTEX-13111-0326-SM-5DUXF 50-59 years, male 70.1
GTEX-P4QT-1326-SM-3NMD3 50-59 years, female 69.9
GTEX-1JKYN-0126-SM-AHZ4C 30-39 years, male 69.9
GTEX-WFG8-0126-SM-4LVMH 20-29 years, male 69.8
GTEX-1IDJU-0126-SM-CNNR2 60-69 years, female 69.8
GTEX-PWCY-0226-SM-48TD8 20-29 years, female 69.7
GTEX-QMRM-0126-SM-CJI1R 50-59 years, male 69.6
GTEX-14PJ6-0126-SM-686Z5 60-69 years, female 69.0
GTEX-14PK6-0126-SM-664O1 70-79 years, female 69.0
GTEX-1LVAN-0826-SM-CNNPG 50-59 years, female 69.0
GTEX-S4Q7-0226-SM-4AD5O 20-29 years, male 68.7
GTEX-WY7C-0326-SM-4OND5 50-59 years, male 68.6
GTEX-1LG7Z-0426-SM-D4P47 30-39 years, male 68.4
GTEX-1BAJH-2626-SM-7EPG6 70-79 years, male 68.1
GTEX-111YS-0126-SM-5987T 60-69 years, male 68.0
GTEX-14DAR-1726-SM-664MZ 50-59 years, male 68.0
GTEX-OHPL-1326-SM-3MJGG 60-69 years, female 68.0
GTEX-12WSJ-0126-SM-5GCOM 40-49 years, female 67.9
GTEX-13PL7-1026-SM-5MR5C 60-69 years, female 67.9
GTEX-1HBPI-1926-SM-CE6RT 50-59 years, male 67.9
GTEX-1RQEC-1926-SM-DTX7M 60-69 years, male 67.6
GTEX-Y9LG-0126-SM-5Q59W 30-39 years, male 67.5
GTEX-S3XE-0126-SM-4AD4R 50-59 years, male 67.4
GTEX-14PJ4-0426-SM-6871F 60-69 years, male 67.3
GTEX-1HCU6-1826-SM-C1YRN 60-69 years, female 67.2
GTEX-QDVN-0426-SM-48TZ6 50-59 years, male 66.9
GTEX-TMMY-0126-SM-4DXTP 40-49 years, female 66.8
GTEX-ZLWG-0126-SM-4WWC5 50-59 years, female 66.7
GTEX-14XAO-0326-SM-6ETZN 60-69 years, female 66.6
GTEX-ZPCL-0826-SM-DNZZ7 60-69 years, female 66.6
GTEX-Y5V6-1926-SM-5IFIL 60-69 years, male 66.4
GTEX-U3ZM-0226-SM-4DXTA 40-49 years, male 66.3
GTEX-1LGRB-0326-SM-CNPQC 50-59 years, female 66.3
GTEX-YF7O-0126-SM-5IFIR 50-59 years, male 66.0
GTEX-145MN-0226-SM-5QGPY 30-39 years, male 65.9
GTEX-V1D1-0226-SM-4JBHG 50-59 years, male 65.8
GTEX-1QP2A-2626-SM-EAZ3L 50-59 years, male 65.8
GTEX-QCQG-0126-SM-48U27 50-59 years, female 65.7
GTEX-14PN3-1426-SM-686Z8 60-69 years, female 65.5
GTEX-1GN73-1526-SM-9WPP1 60-69 years, male 65.5
GTEX-11TT1-0126-SM-5LUAA 20-29 years, male 65.4
GTEX-1A3MV-0226-SM-731FS 30-39 years, male 65.4
GTEX-11DXX-0126-SM-5EGH7 60-69 years, female 65.2
GTEX-1GN1V-1626-SM-7PBZF 60-69 years, male 64.8
GTEX-1339X-0826-SM-5J2O6 40-49 years, male 64.7
GTEX-1AX9J-0626-SM-72D7L 60-69 years, male 64.4
GTEX-1122O-0326-SM-5H124 60-69 years, female 64.3
GTEX-1I1GU-0226-SM-AHZ2J 40-49 years, male 64.3
GTEX-1399R-0326-SM-5KM1X 30-39 years, male 64.2
GTEX-15SHU-1926-SM-7KUMO 40-49 years, female 64.2
GTEX-WHPG-1526-SM-4M1ZK 50-59 years, male 64.2
GTEX-1K2DA-0226-SM-CGQGW 50-59 years, male 64.1
GTEX-111CU-0126-SM-5GZWZ 50-59 years, male 64.0
GTEX-1399S-0426-SM-5IFG5 30-39 years, female 64.0
GTEX-146FR-1526-SM-5SIB8 60-69 years, female 64.0
GTEX-Q2AI-0226-SM-48U1D 40-49 years, male 64.0
GTEX-1GL5R-1026-SM-7P8U1 50-59 years, male 64.0
GTEX-117YX-0126-SM-5EGH5 50-59 years, male 63.8
GTEX-1F5PL-2326-SM-7MKFC 40-49 years, female 63.8
GTEX-W5WG-1126-SM-4LMK4 50-59 years, female 63.7
GTEX-1AX9K-0126-SM-7PC1B 50-59 years, male 63.6
GTEX-S4Z8-0126-SM-4GICC 60-69 years, male 63.4
GTEX-1KXAM-0326-SM-EV7AQ 60-69 years, male 63.4
GTEX-14BMU-0126-SM-5S2Q9 20-29 years, female 63.3
GTEX-15EU6-0326-SM-6M48I 50-59 years, male 63.1
GTEX-1CAMR-0126-SM-79391 20-29 years, male 63.1
GTEX-ZT9X-0126-SM-4YCFC 40-49 years, male 62.8
GTEX-1PIIG-1426-SM-EXOIS 30-39 years, male 62.8
GTEX-13N11-0826-SM-5IJFP 50-59 years, female 62.6
GTEX-YFCO-0126-SM-4W1YT 40-49 years, male 62.6
GTEX-14JG6-0126-SM-68726 30-39 years, female 62.5
GTEX-11DXZ-0226-SM-5EGGZ 50-59 years, male 62.3
GTEX-13O1R-2326-SM-5IJF9 60-69 years, male 62.3
GTEX-NFK9-1726-SM-3TW8P 40-49 years, male 62.3
GTEX-1CAMS-0226-SM-79397 40-49 years, female 62.2
GTEX-PX3G-1326-SM-48U18 20-29 years, female 62.1
GTEX-S341-0126-SM-4AD64 40-49 years, female 62.1
GTEX-Y5LM-0126-SM-4VBRL 40-49 years, female 61.9
GTEX-1211K-0126-SM-59HJE 60-69 years, female 61.8
GTEX-1NUQO-0626-SM-E6CQT 20-29 years, female 61.5
GTEX-1F5PK-0826-SM-7MXVI 50-59 years, male 61.4
GTEX-11XUK-0126-SM-5CVLK 40-49 years, female 61.3
GTEX-1RAZQ-0226-SM-EV7BK 30-39 years, male 61.3
GTEX-12WSN-0926-SM-5GCN1 40-49 years, male 61.2
GTEX-14E1K-0626-SM-5S2PG 50-59 years, male 61.2
GTEX-U4B1-0126-SM-4DXSN 40-49 years, male 61.1
GTEX-ZF2S-0126-SM-4WKFO 50-59 years, female 61.1
GTEX-1HKZK-0126-SM-B2LWF 40-49 years, male 61.1
GTEX-OIZH-1326-SM-3NB1H 50-59 years, male 60.8
GTEX-13FH7-0226-SM-5IFGG 50-59 years, female 60.6
GTEX-QDVJ-1126-SM-48U1U 50-59 years, male 60.6
GTEX-13O61-0126-SM-5KM4P 60-69 years, male 60.2
GTEX-VJYA-0526-SM-4KL1R 60-69 years, male 60.2
GTEX-RM2N-0126-SM-48FDD 50-59 years, male 59.8
GTEX-ZUA1-1926-SM-5E45E 40-49 years, male 59.8
GTEX-OHPK-1326-SM-3MJGN 50-59 years, female 59.6
GTEX-17HGU-0126-SM-7DHLV 50-59 years, male 59.5
GTEX-1QPFJ-2526-SM-EXOJX 30-39 years, female 59.4
GTEX-13D11-0426-SM-5LZYA 50-59 years, female 59.2
GTEX-X4LF-0126-SM-4QAS7 50-59 years, male 59.2
GTEX-R55G-0126-SM-48FDS 40-49 years, female 58.9
GTEX-T6MO-0126-SM-4DM6X 40-49 years, female 58.9
GTEX-131YS-2026-SM-5P9J8 60-69 years, female 58.6
GTEX-14E6E-0126-SM-73KXH 30-39 years, male 58.6
GTEX-1QP29-0326-SM-E6CQ4 50-59 years, male 58.6
GTEX-12WSL-0326-SM-5CVMK 50-59 years, male 58.5
GTEX-1CB4F-0126-SM-9JGGZ 60-69 years, male 58.5
GTEX-16MT8-1626-SM-7EWDW 60-69 years, female 58.2
GTEX-1A32A-2126-SM-718AZ 50-59 years, female 58.2
GTEX-P4QS-1326-SM-3NMCD 60-69 years, male 58.2
GTEX-14PJM-2226-SM-6AJAT 50-59 years, female 58.0
GTEX-17HHE-0226-SM-79399 50-59 years, male 57.9
GTEX-SUCS-0526-SM-4DM56 70-79 years, male 57.9
GTEX-ZLV1-0226-SM-4WWC1 60-69 years, female 57.8
GTEX-1R7EV-1726-SM-E6CR8 40-49 years, male 57.6
GTEX-OIZF-1326-SM-3MJGU 60-69 years, male 57.6
GTEX-ZY6K-0126-SM-5SIAM 50-59 years, male 57.5
GTEX-11NSD-0226-SM-5A5LR 20-29 years, male 57.4
GTEX-18D9B-1926-SM-7KFSV 60-69 years, male 57.4
GTEX-13OW6-1726-SM-5IJGI 50-59 years, male 57.3
GTEX-U3ZN-0826-SM-4DXSZ 30-39 years, female 57.2
GTEX-1B8KZ-0126-SM-7DHM5 50-59 years, male 57.1
GTEX-1EKGG-2126-SM-7MKFT 60-69 years, male 57.1
GTEX-1JMLX-1126-SM-CXZJN 50-59 years, male 57.1
GTEX-QLQW-0226-SM-447BJ 30-39 years, male 57.0
GTEX-XYKS-0926-SM-4BRVG 60-69 years, female 57.0
GTEX-1H11D-2426-SM-9JGGN 40-49 years, male 57.0
GTEX-ZEX8-0626-SM-DO118 50-59 years, male 56.8
GTEX-12696-0626-SM-5EGGD 60-69 years, male 56.7
GTEX-15DYW-2126-SM-6M47B 60-69 years, female 56.6
GTEX-XV7Q-0226-SM-4BRVL 40-49 years, female 56.2
GTEX-1ICG6-0226-SM-AHZ2P 70-79 years, female 56.1
GTEX-1F75I-0126-SM-9WPPW 40-49 years, male 56.0
GTEX-15CHR-0626-SM-7938V 50-59 years, male 55.9
GTEX-14753-1726-SM-5NQ9X 60-69 years, male 55.7
GTEX-1EH9U-1726-SM-7P8QK 60-69 years, male 55.7
GTEX-1KWVE-0726-SM-D4P3O 30-39 years, male 55.7
GTEX-132NY-2226-SM-5J2LZ 60-69 years, male 55.2
GTEX-PLZ6-0226-SM-3P61I 30-39 years, male 55.2
GTEX-WQUQ-0126-SM-4OOSS 60-69 years, male 55.2
GTEX-11DXY-1626-SM-5H12L 60-69 years, male 55.1
GTEX-16AAH-0226-SM-793A8 50-59 years, male 55.1
GTEX-1B8L1-1326-SM-7MKG6 60-69 years, male 54.9
GTEX-QEG5-1826-SM-CE6QW 20-29 years, male 54.9
GTEX-PW2O-0226-SM-48TC7 20-29 years, male 54.8
GTEX-13O3O-1626-SM-5KM1O 60-69 years, female 54.7
GTEX-1H1E6-1026-SM-9JGFZ 30-39 years, male 54.7
GTEX-1J8EW-1826-SM-C1YQW 60-69 years, female 54.7
GTEX-R55E-1826-SM-EXOHD 20-29 years, male 54.5
GTEX-139YR-0126-SM-5IJEY 50-59 years, male 54.4
GTEX-11EMC-0526-SM-5EGJN 60-69 years, female 54.1
GTEX-14A5H-2126-SM-7IGNV 60-69 years, male 54.1
GTEX-1HC8U-0226-SM-9WG7Q 40-49 years, female 54.1
GTEX-1S82P-1126-SM-EV79M 60-69 years, female 54.1
GTEX-12ZZZ-0926-SM-5N9EQ 60-69 years, male 53.9
GTEX-OXRK-0126-SM-3NB1E 50-59 years, female 53.9
GTEX-1I1GQ-2026-SM-ARU7F 50-59 years, male 53.7
GTEX-144GL-1826-SM-79OMB 50-59 years, male 53.3
GTEX-S32W-0126-SM-4AD61 50-59 years, female 53.0
GTEX-1I1GV-1826-SM-CNNR8 60-69 years, male 52.8
GTEX-WYVS-0226-SM-4ONDK 40-49 years, female 52.7
GTEX-1F88F-1526-SM-9JGG1 60-69 years, female 52.7
GTEX-REY6-1726-SM-48FDL 60-69 years, male 52.2
GTEX-17HHY-2226-SM-7KFS4 50-59 years, male 52.0
GTEX-Q734-0126-SM-48U1E 40-49 years, female 52.0
GTEX-1QMI2-1926-SM-EAZ4B 60-69 years, male 51.9
GTEX-X4EO-1726-SM-4QARN 60-69 years, female 51.8
GTEX-14C38-1726-SM-5RQJC 50-59 years, male 51.7
GTEX-XQ3S-1726-SM-4BOOD 20-29 years, male 51.7
GTEX-14DAQ-1826-SM-5S2VV 60-69 years, female 51.6
GTEX-1AX8Z-2426-SM-72D7D 60-69 years, male 51.3
GTEX-QLQ7-0126-SM-CL55R 60-69 years, male 51.3
GTEX-1H3VY-1826-SM-9JGI4 50-59 years, male 51.2
GTEX-OOBK-3125-SM-3LK5R 40-49 years, male 51.1
GTEX-Y3IK-0226-SM-51MRJ 50-59 years, female 51.0
GTEX-R55C-0226-SM-48FEO 40-49 years, male 50.5
GTEX-1IDJH-1726-SM-A96T3 70-79 years, male 50.5
GTEX-ZYVF-1626-SM-5N9EH 50-59 years, female 50.3
GTEX-18A6Q-1826-SM-72D6I 60-69 years, male 49.6
GTEX-18A7A-1826-SM-7KFTU 50-59 years, female 49.6
GTEX-1F75A-2026-SM-9KNTR 50-59 years, male 49.6
GTEX-S33H-1326-SM-4AD6A 30-39 years, male 48.8
GTEX-132AR-1726-SM-5EGHQ 50-59 years, female 48.7
GTEX-14A5I-2126-SM-5NQA8 50-59 years, female 48.6
GTEX-V955-0126-SM-4JBH5 60-69 years, male 48.2
GTEX-1PWST-2126-SM-DPRZ5 70-79 years, male 47.1
GTEX-R53T-0226-SM-48FEH 50-59 years, female 46.7
GTEX-1GMR3-0926-SM-9WPP9 40-49 years, male 46.7
GTEX-1I1GP-1826-SM-C1YS1 50-59 years, male 46.6
GTEX-1KANB-2626-SM-EV7BF 50-59 years, male 45.8
GTEX-1A3MW-2126-SM-731DO 60-69 years, female 45.6
GTEX-15ER7-1126-SM-6M47F 20-29 years, female 45.5
GTEX-12WSG-0726-SM-5EGIG 50-59 years, female 45.4
GTEX-1LNCM-0826-SM-DHXL6 50-59 years, female 45.1
GTEX-VUSG-1526-SM-4KKZH 50-59 years, male 44.4
GTEX-O5YV-1126-SM-3LK73 60-69 years, female 44.2
GTEX-PLZ5-0326-SM-3P614 50-59 years, male 44.0
GTEX-1M5QR-1726-SM-EV7AU 40-49 years, male 44.0
GTEX-RNOR-1626-SM-EZ6MM 50-59 years, female 43.5
GTEX-1K2DU-0826-SM-DHXKA 20-29 years, male 42.8
GTEX-RUSQ-0226-SM-47JWT 50-59 years, male 42.0
GTEX-17KNJ-0326-SM-7KFS5 50-59 years, male 41.4
Show allShow less

Contact

  • NEWS ARTICLES
  • PRESS ROOM

The Project

  • INTRODUCTION
  • ORGANIZATION
  • PUBLICATIONS

The Human Protein Atlas

  • DOWNLOADABLE DATA
  • LICENCE & CITATION
  • HELP & FAQ
The Human Protein Atlas project is funded
by the Knut & Alice Wallenberg Foundation.


contact@proteinatlas.org