We use cookies to enhance the usability of our website. If you continue, we'll assume that you are happy to receive all cookies. More information. Don't show this again.
HNRNPUL1
HPA
RESOURCES
  • TISSUE
  • BRAIN
  • SINGLE CELL
  • SUBCELLULAR
  • CANCER
  • BLOOD
  • CELL LINE
  • STRUCTURE & INTERACTION
ABOUT
  • INTRODUCTION
  • HISTORY
  • ORGANIZATION
  • PUBLICATIONS
  • ANTIBODY SUBMISSION
  • ANTIBODY AVAILABILITY
  • ACKNOWLEDGMENTS
  • CONTACT
NEWS
  • NEWS ARTICLES
  • PRESS ROOM
LEARN
  • DICTIONARY
  • PROTEIN CLASSES
  • PROTEIN EVIDENCE
  • METHODS
  • EDUCATIONAL VIDEOS
DATA
  • DOWNLOADABLE DATA
  • PUBLICATION DATA
  • RELEASE HISTORY
HELP
  • ANTIBODY VALIDATION
  • ASSAYS & ANNOTATION
  • DISCLAIMER
  • HELP & FAQ
  • PRIVACY STATEMENT
  • LICENCE & CITATION
Fields »
Search result

Field
Term
Gene name
Class
Subclass
Class
Keyword
Chromosome
External id
Tissue
Cell type
Expression
Antibody panel
Tissue
Main location
Patient ID
Annotation
Tissue
Category
Tau score
Cluster
Reliability
Brain region
Category
Tau score
Brain region
Category
Tau score
Brain region
Category
Tau score
Cluster
Reliability
Tissue
Cell type
Enrichment
Cell type
Category
Tau score
Cell type
Category
Tau score
Cell type
Category
Tau score
Cell lineage
Category
Tau score
Cluster
Cluster
Location
Searches
Location
Cell line
Class
Type
Phase
Reliability
Cancer
Prognosis
Cancer
Category
Cancer
Category
Tau score
Cluster
Variants
Interacting gene (ensg_id)
Type
Number of interactions
Pathway
Category
Score
Score
Score
Validation
Validation
Validation
Validation
Antibodies
Data type
Column


  • SUMMARY

  • TISSUE

  • BRAIN

  • SINGLE CELL

  • SUBCELL

  • CANCER

  • BLOOD

  • CELL LINE

  • STRUCT & INT

  • HNRNPUL1
TISSUE PRIMARY DATA COLON Show tissue menu
ADIPOSE TISSUE ADRENAL GLAND AMYGDALA APPENDIX BASAL GANGLIA BONE MARROW BREAST BRONCHUS CEREBELLUM CEREBRAL CORTEX CERVIX CHOROID PLEXUS COLON DUODENUM
ENDOMETRIUM EPIDIDYMIS ESOPHAGUS FALLOPIAN TUBE GALLBLADDER HEART MUSCLE HIPPOCAMPAL FORMATION HYPOTHALAMUS KIDNEY LIVER LUNG LYMPH NODE MIDBRAIN NASOPHARYNX
ORAL MUCOSA OVARY PANCREAS PARATHYROID GLAND PITUITARY GLAND PLACENTA PROSTATE RECTUM RETINA SALIVARY GLAND SEMINAL VESICLE SKELETAL MUSCLE SKIN SMALL INTESTINE
SMOOTH MUSCLE SOFT TISSUE SPINAL CORD SPLEEN STOMACH TESTIS THYMUS THYROID GLAND TONGUE TONSIL URINARY BLADDER VAGINA
ANTIBODIES
AND
VALIDATION
Dictionary
Colon
Tissue proteome
Intestine
COLON - Expression summary
Protein expression
Coloni

On the top, protein expression in current human tissue, based on all annotated cell types, is reported with the units not detected (n), low (l), medium (m) and high (h). Underneath, protein expression in each annotated cell type are reported using the same units.

Protein expression data is based on knowledge-based annotation. For genes where more than one antibody has been used, a collective score is set.

If knowledge-based annotation could not be performed for a gene, no data is displayed here. View antibody staining data further down this page.

h
m
l
n
Endothelial cells: High
Glandular cells: High
Peripheral nerve/ganglion: High
RNA expressioni

A summary of mRNA expression data available for current tissue based on several datasets. The mRNA expression levels in human tissues are based on RNA-seq data generated by the Human Protein Atlas (HPA), Genotype-Tissue Expression (GTEx) portal and CAGE data generated by the FANTOM5 consortium. Consensus normalized expression levels for human tissues was created by combining the data from HPA and GTEx datasets.

The mRNA expression levels in pig are based on RNA-seq data generated by the Human Protein Atlas (HPA), and for mouse, HPA data and in situ hybridization generated by the Allen brain atlas are reported.

Scroll down to view mRNA expression data in more detail.
Consensus:82.4 nTPM
HPA:72.4 nTPM
GTEx:82.4 nTPM
FANTOM5:188.6 Scaled Tags Per Million

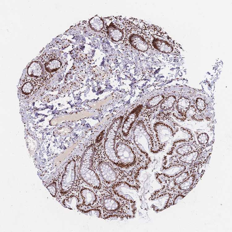
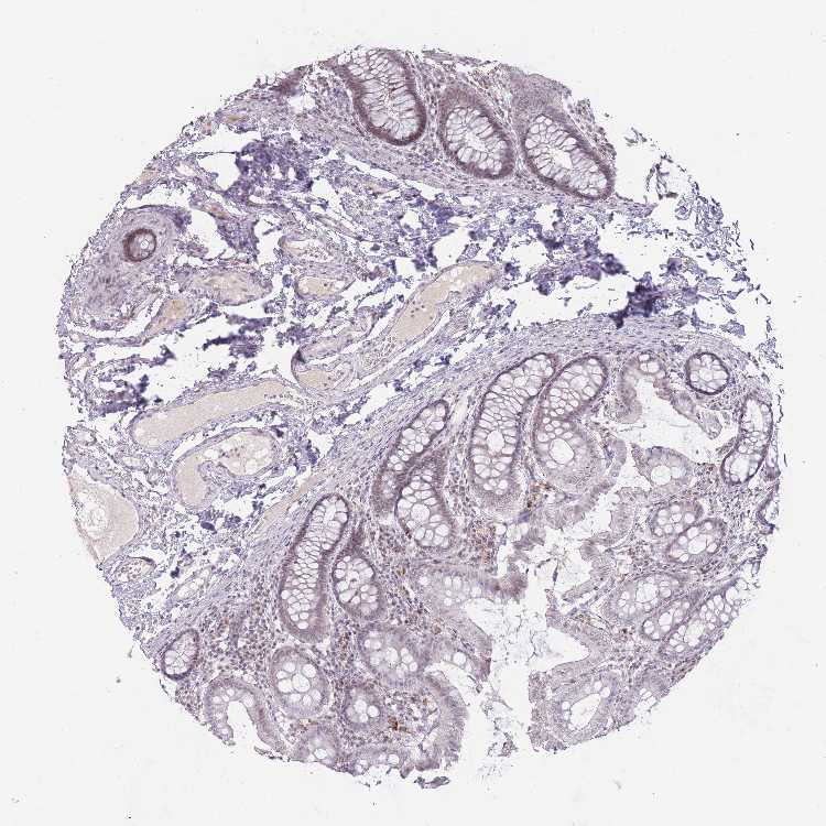
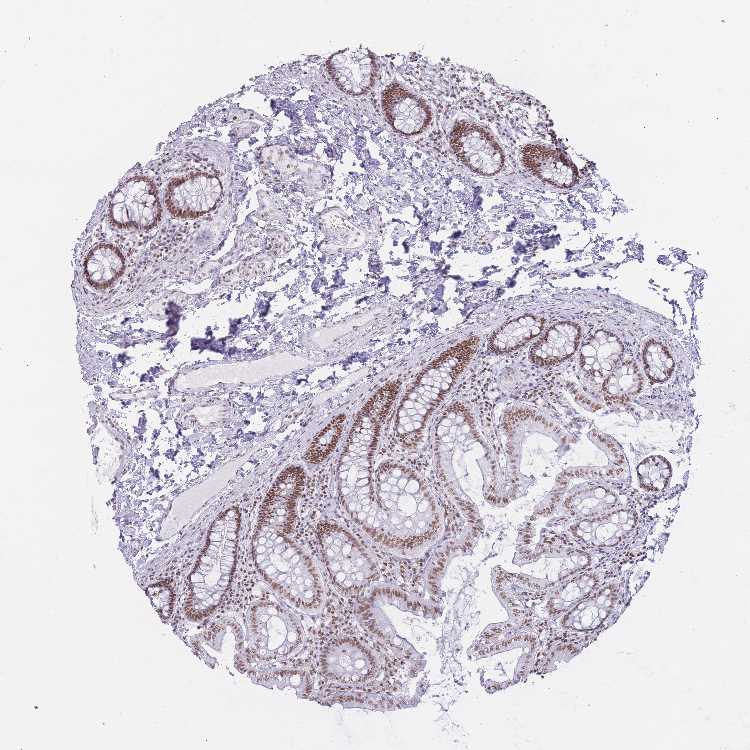
COLON - Antibody stainingi

Antibody staining in the annotated cell types in the current human tissue is reported as not detected, low, medium, or high, based on conventional immunohistochemistry profiling in selected tissues. This score is based on the combination of the staining intensity and fraction of stained cells.

Each image is clickable and will lead to virtual microscopy that enables deeper exploration of all samples and also displays staining intensity scores, fraction scores and subcellular localization as well as patient and tissue information for each sample.

Antibody HPA046290Antibody HPA049475Antibody CAB046477
Endothelial cells MediumNot detectedHigh
Glandular cells HighMediumHigh
Peripheral nerve/ganglion HighMediumHigh







COLON - HPA RNA-seqi

The RNA-seq details section shows detailed information about the individual samples used for the transcript profiling and results of the RNA-seq analysis.

Information about each individual sample is listed below, including gender, age, a tissue section image and estimated fractions of cell types. nTPM (normalized transcripts per million) values give a quantification of the gene abundance which is comparable between different genes and samples.
Average nTPMi

Max subtype nTPM is the value for the subtype with the largest average nTPM across the subtype samples.

72.4
overview
Male, age 54
Colon sample 67
nTPM: 56.4
Cell types%
Glandular cells:
65

Smooth muscle cells:
10

Other cell types:
25

overview
Female, age 57
Colon sample 68
nTPM: 86.6
Cell types%
Glandular cells:
40

Smooth muscle cells:
5

Other cell types:
55

overview
Male, age 80
Colon sample 69
nTPM: 93.6
Cell types%
Glandular cells:
55

Smooth muscle cells:
5

Other cell types:
40

overview
Male, age 68
Colon sample 70
nTPM: 64.3
Cell types%
Glandular cells:
35

Smooth muscle cells:
10

Other cell types:
55

overview
Female, age 68
Colon sample 76
nTPM: 75.1
Cell types%
Glandular cells:
25

Smooth muscle cells:
5

Other cell types:
70

overview
Female, age 61
Colon sample 299
nTPM: 79.6
Cell types%
Glandular cells:
5

Smooth muscle cells:
65

Other cell types:
30

overview
Male, age 80
Colon sample 300
nTPM: 82.6
Cell types%
Glandular cells:
15

Smooth muscle cells:
20

Other cell types:
65

overview
Female, age 78
Colon sample 368
nTPM: 74.7
Cell types%
Glandular cells:
45

Smooth muscle cells:
5

Other cell types:
50

overview
Male, age 84
Colon sample 381
nTPM: 69.7
Cell types%
Glandular cells:
50

Smooth muscle cells:
15

Other cell types:
35

overview
Male, age 80
Colon sample 384
nTPM: 68.2
Cell types%
Glandular cells:
20

Smooth muscle cells:
35

Other cell types:
45

overview
Female, age 78
Colon sample 389
nTPM: 72.2
Cell types%
Glandular cells:
35

Smooth muscle cells:
10

Other cell types:
55

overview
Female, age 69
Colon sample 391
nTPM: 60.3
Cell types%
Glandular cells:
10

Smooth muscle cells:
45

Other cell types:
45

overview
Female, age 72
Colon sample 403
nTPM: 57.9
Cell types%
Glandular cells:
20

Smooth muscle cells:
15

Other cell types:
65


COLON - GTEx RNA-seqi

RNA-Seq data generated by the Genotype-Tissue Expression (GTEx) project from human tissues is reported as mean nTPM. More information can be found on the GTEx portal.

Distribution across the dataset is visualized with box plots, shown as median and 25th and 75th percentiles. Points are displayed as outliers if they are above or below 1.5 times the interquartile range. nTPM values of the individual samples are presented next to the box plot.
Max subtype nTPMi

Max subtype nTPM is the value for the subtype with the largest average nTPM across the subtype samples.

82.4
GTEx sample id Sample description nTPM
Colon - Sigmoid
Average nTPM: 82.4
Samples: 373

Max nTPM: 141.1
Min nTPM: 49.9
Std nTPM: 15.5
Median nTPM: 80.5
GTEX-14C5O-2626-SM-5RQI5 60-69 years, male 141.1
GTEX-13OVI-2126-SM-5KM3U 60-69 years, female 140.8
GTEX-1B8KE-1526-SM-7DUG2 50-59 years, male 136.2
GTEX-14PK6-1826-SM-69LOM 70-79 years, female 129.1
GTEX-1399U-2226-SM-5KLZI 50-59 years, female 127.9
GTEX-13PVR-1726-SM-5Q5EC 60-69 years, female 123.9
GTEX-16MTA-1626-SM-6M47N 50-59 years, male 122.9
GTEX-ZLFU-1426-SM-4WWEU 40-49 years, male 122.8
GTEX-1GL5R-1726-SM-9KNUX 50-59 years, male 119.8
GTEX-139T6-1426-SM-5P9J7 50-59 years, male 119.3
GTEX-11P81-1426-SM-5P9JN 30-39 years, female 118.5
GTEX-ZT9W-1726-SM-51MS3 50-59 years, male 118.1
GTEX-1A3MX-2326-SM-718B4 60-69 years, male 116.8
GTEX-12BJ1-2026-SM-5FQUH 60-69 years, male 116.1
GTEX-1F5PL-1926-SM-7MXTP 40-49 years, female 114.4
GTEX-1LG7Z-1326-SM-DIPF3 30-39 years, male 110.3
GTEX-13FH7-1626-SM-5J2O9 50-59 years, female 110.0
GTEX-12WSG-2426-SM-5EQLZ 50-59 years, female 109.4
GTEX-13O1R-2426-SM-5KLZZ 60-69 years, male 109.0
GTEX-18D9A-1326-SM-7LT8P 30-39 years, female 108.5
GTEX-ZA64-1426-SM-5CVMC 20-29 years, male 108.2
GTEX-13O61-1526-SM-5KM3P 60-69 years, male 107.7
GTEX-14PN3-1926-SM-6EU1Y 60-69 years, female 107.3
GTEX-14PJ4-1826-SM-5YY97 60-69 years, male 106.8
GTEX-12696-1926-SM-5EGJT 60-69 years, male 106.7
GTEX-ZTSS-1226-SM-51MSZ 40-49 years, male 106.7
GTEX-1EH9U-1926-SM-7P8QM 60-69 years, male 106.4
GTEX-13CF3-1326-SM-5LZXZ 60-69 years, female 105.8
GTEX-139UW-2326-SM-5KM1Y 60-69 years, male 104.6
GTEX-131XG-1526-SM-5GCNQ 50-59 years, female 104.4
GTEX-11I78-1326-SM-5PNY9 50-59 years, female 103.9
GTEX-ZZ64-0826-SM-5E449 20-29 years, male 103.7
GTEX-14E6E-1726-SM-5S2R6 30-39 years, male 103.5
GTEX-1IDJU-1926-SM-CL53W 60-69 years, female 103.3
GTEX-Y114-1626-SM-4TT7I 50-59 years, female 103.2
GTEX-ZF29-1826-SM-4WKG8 60-69 years, female 103.2
GTEX-1R9K5-2226-SM-DTX9G 50-59 years, male 102.9
GTEX-1AX9K-1626-SM-73KUS 50-59 years, male 102.2
GTEX-1H1E6-1826-SM-A9G21 30-39 years, male 102.1
GTEX-1HSEH-1926-SM-A96SB 60-69 years, male 101.8
GTEX-13D11-0626-SM-5LZYY 50-59 years, female 101.7
GTEX-1B996-2726-SM-7DUGG 60-69 years, male 101.6
GTEX-1GZ4H-1326-SM-7P8TE 50-59 years, female 101.3
GTEX-1LSNM-1426-SM-E6CIH 50-59 years, male 101.3
GTEX-1I6K6-1926-SM-A96SN 30-39 years, male 101.1
GTEX-1S5ZA-1426-SM-E6CJQ 20-29 years, male 101.1
GTEX-1N2EF-1726-SM-EXUSI 60-69 years, male 101.0
GTEX-15RJ7-1726-SM-6PAL3 40-49 years, male 100.9
GTEX-1I1GT-2026-SM-CKZPK 60-69 years, female 100.3
GTEX-1C2JI-1726-SM-73KUW 50-59 years, male 99.6
GTEX-1C475-1526-SM-7DHM3 40-49 years, female 99.5
GTEX-11DXX-1926-SM-5EGJK 60-69 years, female 97.8
GTEX-1KANA-1726-SM-CY8IG 20-29 years, male 97.8
GTEX-1RAZQ-2026-SM-E76P7 30-39 years, male 97.8
GTEX-1PIEJ-1826-SM-EWRMN 20-29 years, female 97.7
GTEX-1J8Q3-2426-SM-CL53S 60-69 years, male 97.2
GTEX-1JMPY-1026-SM-ARZN1 30-39 years, male 97.2
GTEX-ZLV1-1326-SM-DO11Q 60-69 years, female 96.9
GTEX-183FY-1426-SM-7DHLM 20-29 years, male 96.7
GTEX-1S831-1726-SM-EWROJ 20-29 years, male 96.6
GTEX-1L5NE-1926-SM-D3L9R 50-59 years, male 96.2
GTEX-ZVT2-1726-SM-51MRO 50-59 years, female 96.1
GTEX-13RTJ-1926-SM-5YYA2 60-69 years, male 95.8
GTEX-1LVAM-1726-SM-DHXKQ 50-59 years, female 95.6
GTEX-13FTW-2126-SM-5K7YG 40-49 years, male 95.4
GTEX-13VXT-2026-SM-5L3EW 20-29 years, female 95.3
GTEX-ZPCL-1626-SM-57WGC 60-69 years, female 94.9
GTEX-1OFPY-1226-SM-E76OM 60-69 years, male 94.9
GTEX-145ME-1126-SM-5SIAT 40-49 years, female 94.8
GTEX-WFG8-1726-SM-4LVM6 20-29 years, male 94.6
GTEX-1H3VY-2526-SM-9KNW1 50-59 years, male 94.6
GTEX-ZLWG-1826-SM-DO11I 50-59 years, female 94.6
GTEX-1QP28-2226-SM-DTX8C 50-59 years, female 94.5
GTEX-ZPIC-2626-SM-57WE2 40-49 years, female 94.0
GTEX-Y9LG-1326-SM-4VBQB 30-39 years, male 93.2
GTEX-11P7K-1826-SM-5HL5A 30-39 years, male 92.7
GTEX-Y3I4-1126-SM-4TT7Y 50-59 years, male 92.4
GTEX-ZXES-1726-SM-5E43G 30-39 years, female 92.3
GTEX-1HCUA-1926-SM-B2LWE 50-59 years, female 92.3
GTEX-13111-1926-SM-5GCOL 50-59 years, male 92.1
GTEX-1AMFI-1826-SM-73KWB 50-59 years, female 92.1
GTEX-1AYCT-1926-SM-793AE 50-59 years, male 92.1
GTEX-15RIF-1426-SM-7KUKQ 20-29 years, male 92.0
GTEX-XUZC-1526-SM-4BRV4 30-39 years, female 91.9
GTEX-1QP2A-2226-SM-DTXF6 50-59 years, male 91.9
GTEX-1KXAM-1926-SM-D3LAG 60-69 years, male 91.8
GTEX-1MGNQ-2126-SM-EV7AC 40-49 years, male 91.8
GTEX-14BMU-1326-SM-5RQIH 20-29 years, female 91.6
GTEX-1I1CD-2826-SM-A9SL4 60-69 years, female 91.4
GTEX-1JKYN-2226-SM-ARZNE 30-39 years, male 91.4
GTEX-14PJ3-1226-SM-5ZZVY 50-59 years, male 91.3
GTEX-ZPU1-1726-SM-4WWFV 40-49 years, male 91.3
GTEX-1F5PK-1726-SM-7RHHW 50-59 years, male 91.2
GTEX-1211K-1826-SM-5EGJ2 60-69 years, female 90.7
GTEX-16XZZ-2726-SM-7EWDO 60-69 years, male 90.7
GTEX-17HGU-2626-SM-79OKN 50-59 years, male 90.7
GTEX-1IKOE-2126-SM-A96T5 30-39 years, female 90.5
GTEX-1LBAC-1726-SM-D3L9W 20-29 years, male 90.4
GTEX-14PHX-1126-SM-5YYA5 50-59 years, male 90.1
GTEX-11ZTT-1626-SM-5EQKR 60-69 years, female 90.0
GTEX-1HSMQ-2526-SM-A9SMK 50-59 years, male 90.0
GTEX-145LT-0826-SM-5S2QL 40-49 years, male 89.9
GTEX-111YS-1826-SM-5GIEP 60-69 years, male 89.8
GTEX-17F9Y-2626-SM-7IGN9 70-79 years, female 89.8
GTEX-1K2DA-1626-SM-CGQGB 50-59 years, male 89.8
GTEX-1QP67-1426-SM-E8VOO 40-49 years, female 89.7
GTEX-14AS3-1026-SM-5TDD7 40-49 years, female 89.6
GTEX-14E1K-1626-SM-664MO 50-59 years, male 89.5
GTEX-WRHK-1126-SM-4MVOJ 20-29 years, female 89.3
GTEX-1R9JW-2126-SM-E76QT 30-39 years, female 89.3
GTEX-1PIIG-2126-SM-EXUSD 30-39 years, male 89.2
GTEX-183WM-2526-SM-731BP 70-79 years, female 89.1
GTEX-15RJE-2226-SM-6M46A 40-49 years, male 89.0
GTEX-1BAJH-2726-SM-7IGNJ 70-79 years, male 88.8
GTEX-15ETS-2326-SM-7KUGC 40-49 years, female 88.6
GTEX-ZYFG-1826-SM-5GZWX 60-69 years, female 88.6
GTEX-14A5H-1626-SM-5SIAN 60-69 years, male 88.2
GTEX-1JJE9-2526-SM-ARU8K 70-79 years, male 88.2
GTEX-ZY6K-1326-SM-5GZWP 50-59 years, male 88.1
GTEX-117YX-0526-SM-5EGJH 50-59 years, male 87.9
GTEX-1GMR3-2526-SM-7P8QS 40-49 years, male 87.9
GTEX-145MO-2626-SM-5QGPD 60-69 years, male 87.8
GTEX-1J8QM-1226-SM-CY8HI 60-69 years, female 87.8
GTEX-13OW5-2826-SM-5KM1G 60-69 years, male 87.6
GTEX-1I1GP-2826-SM-A9SKZ 50-59 years, male 87.6
GTEX-11ZU8-1126-SM-5EQ5K 60-69 years, male 87.4
GTEX-1A32A-2626-SM-73KX9 50-59 years, female 87.4
GTEX-148VJ-2426-SM-5NQ9Y 70-79 years, male 87.3
GTEX-1AX9J-2526-SM-73KUY 60-69 years, male 87.2
GTEX-ZP4G-1526-SM-57WE5 20-29 years, female 87.1
GTEX-1QPFJ-2426-SM-EVR3L 30-39 years, female 87.1
GTEX-111CU-1226-SM-5EGIN 50-59 years, male 86.9
GTEX-1399R-2126-SM-5K7WZ 30-39 years, male 86.9
GTEX-11EM3-1626-SM-5N9CO 20-29 years, female 86.8
GTEX-1JN76-1326-SM-ARU94 20-29 years, female 86.8
GTEX-131YS-2926-SM-5EGKI 60-69 years, female 86.6
GTEX-WI4N-2226-SM-4OOS9 40-49 years, female 86.6
GTEX-YJ8O-1426-SM-5PNV9 40-49 years, female 86.5
GTEX-ZDTS-2726-SM-5L3E2 60-69 years, male 86.4
GTEX-13OW8-2726-SM-5L3FZ 60-69 years, male 86.0
GTEX-YFCO-1526-SM-5YYB8 40-49 years, male 86.0
GTEX-1CAMS-2626-SM-7PBY3 40-49 years, female 85.9
GTEX-131XE-1026-SM-5EGKE 50-59 years, male 85.7
GTEX-Y5LM-1426-SM-5RQJL 40-49 years, female 85.7
GTEX-1HCU7-2726-SM-A9G3D 50-59 years, male 85.7
GTEX-1GMR2-1826-SM-9KNUP 50-59 years, male 85.5
GTEX-1H3VE-2326-SM-9KNVU 40-49 years, male 85.5
GTEX-XV7Q-2226-SM-4BRVY 40-49 years, female 85.3
GTEX-Z93S-2626-SM-57WBX 50-59 years, male 85.0
GTEX-1J1OQ-2826-SM-D3L88 40-49 years, female 85.0
GTEX-1F75W-2126-SM-7RHIA 60-69 years, male 84.9
GTEX-17KNJ-1826-SM-7LT9N 50-59 years, male 84.8
GTEX-WHPG-1626-SM-4M1ZL 50-59 years, male 84.8
GTEX-1HKZK-2026-SM-9WYUF 40-49 years, male 84.8
GTEX-12WSJ-1426-SM-5GCON 40-49 years, female 84.5
GTEX-1C4CL-1626-SM-7DUF3 30-39 years, male 84.5
GTEX-YF7O-1626-SM-5IFII 50-59 years, male 84.5
GTEX-1GN73-2726-SM-9WYUB 60-69 years, male 84.4
GTEX-15G1A-1926-SM-7KUFF 30-39 years, male 84.3
GTEX-11TUW-2326-SM-5EQMO 60-69 years, male 84.1
GTEX-1339X-1726-SM-5P9J9 40-49 years, male 83.9
GTEX-XUW1-1826-SM-4BOQD 50-59 years, female 83.8
GTEX-1R7EU-1826-SM-DTX9L 60-69 years, male 83.8
GTEX-1B97I-1526-SM-73KUK 40-49 years, male 83.7
GTEX-14PKV-1926-SM-686YU 20-29 years, female 83.6
GTEX-1JMQK-2326-SM-ARZN4 60-69 years, male 83.6
GTEX-1HFI7-1626-SM-9WYTR 50-59 years, female 83.5
GTEX-1S82P-2026-SM-E9TIQ 60-69 years, female 83.3
GTEX-13PVQ-2726-SM-5L3H7 50-59 years, male 82.9
GTEX-1B8L1-1926-SM-7IGND 60-69 years, male 82.7
GTEX-1PPH8-2226-SM-EWRN7 20-29 years, male 82.5
GTEX-WXYG-1726-SM-4ONCU 50-59 years, female 82.4
GTEX-YECK-2826-SM-5IFHF 60-69 years, male 82.3
GTEX-1HBPN-2026-SM-B2LWA 50-59 years, male 82.3
GTEX-15UF6-2726-SM-7KULY 70-79 years, female 82.2
GTEX-1JK1U-1426-SM-CNPOW 60-69 years, male 82.2
GTEX-1LGOU-1726-SM-D3L8P 20-29 years, female 82.2
GTEX-1LGRB-2026-SM-COH47 50-59 years, female 82.1
GTEX-WFG7-1626-SM-4LVMF 20-29 years, male 81.8
GTEX-1H1ZS-2626-SM-9QEIX 70-79 years, male 81.8
GTEX-WYVS-1126-SM-4SOJX 40-49 years, female 81.5
GTEX-1GMR8-2926-SM-9KNW5 50-59 years, female 81.5
GTEX-13QBU-2026-SM-5KLZB 40-49 years, female 81.4
GTEX-1JKYR-2026-SM-CNPON 20-29 years, male 81.1
GTEX-17JCI-2826-SM-7IGNA 60-69 years, female 80.6
GTEX-18A67-2226-SM-7LT9Z 50-59 years, male 80.6
GTEX-XAJ8-0726-SM-47JY5 40-49 years, male 80.5
GTEX-1IDJH-2826-SM-CJI49 70-79 years, male 80.5
GTEX-1P4AB-2626-SM-DTXEU 50-59 years, male 80.3
GTEX-ZTTD-2626-SM-57WEX 50-59 years, male 80.1
GTEX-ZYT6-2826-SM-5GICX 30-39 years, male 80.0
GTEX-15DYW-2426-SM-7KUG8 60-69 years, female 79.9
GTEX-1N2DV-1826-SM-E6CJ5 40-49 years, male 79.8
GTEX-132NY-2726-SM-5PNY2 60-69 years, male 79.7
GTEX-X4EO-2726-SM-4E3HS 60-69 years, female 79.7
GTEX-1HSKV-2326-SM-A9SL9 60-69 years, male 79.7
GTEX-11EI6-2626-SM-5PNVT 60-69 years, male 79.5
GTEX-13G51-2126-SM-5IJD9 60-69 years, male 79.5
GTEX-ZAJG-2626-SM-5S2NU 50-59 years, female 79.5
GTEX-1JN6P-2126-SM-ARL98 60-69 years, male 79.5
GTEX-132AR-2826-SM-5IJFV 50-59 years, female 79.4
GTEX-ZE9C-2126-SM-4WKGY 60-69 years, male 79.4
GTEX-1JMPZ-2626-SM-ARU8Z 30-39 years, male 79.4
GTEX-13X6K-2726-SM-5O9DG 60-69 years, female 79.3
GTEX-1QP9N-0826-SM-DTX9O 30-39 years, male 79.3
GTEX-1H1DE-1626-SM-9KNU5 20-29 years, male 79.2
GTEX-11DXZ-1626-SM-5GIDI 50-59 years, male 78.7
GTEX-11EQ9-1526-SM-5PNY7 30-39 years, male 78.7
GTEX-ZAB5-1426-SM-5HL9D 50-59 years, male 78.7
GTEX-1EMGI-2626-SM-7IGNR 60-69 years, male 78.6
GTEX-1PIGE-1526-SM-DTXFC 20-29 years, male 78.4
GTEX-YJ8A-1726-SM-5P9IQ 20-29 years, male 78.2
GTEX-18QFQ-1726-SM-731C9 30-39 years, male 78.1
GTEX-ZG7Y-1826-SM-4WWD3 50-59 years, male 78.1
GTEX-1CAMR-1026-SM-7P8QI 20-29 years, male 78.1
GTEX-117XS-2226-SM-5GIE1 60-69 years, male 78.0
GTEX-16BQI-2026-SM-7KULQ 30-39 years, female 77.8
GTEX-16NGA-0926-SM-718AG 40-49 years, female 77.8
GTEX-1LKK1-2426-SM-DIPES 50-59 years, female 77.8
GTEX-ZF28-2526-SM-57WFH 60-69 years, male 77.6
GTEX-ZQG8-2426-SM-57WEE 60-69 years, female 77.4
GTEX-13PL7-2426-SM-5J2N3 60-69 years, female 77.3
GTEX-1JJEA-2526-SM-CY8HJ 60-69 years, male 77.2
GTEX-147JS-2626-SM-5S2UX 60-69 years, male 77.1
GTEX-17GQL-1626-SM-7LG69 60-69 years, male 77.0
GTEX-11GS4-1826-SM-5HL4T 60-69 years, male 76.9
GTEX-14BIN-2426-SM-5TDCF 50-59 years, female 76.9
GTEX-1H3NZ-2526-SM-9KNVO 60-69 years, male 76.8
GTEX-1LSNL-1626-SM-E9TJY 50-59 years, male 76.8
GTEX-1122O-1426-SM-5H11R 60-69 years, female 76.6
GTEX-139TS-2226-SM-5J2N1 60-69 years, male 76.6
GTEX-XBED-1726-SM-47JYO 60-69 years, male 76.6
GTEX-14E6C-2226-SM-5QGQG 40-49 years, male 76.5
GTEX-12WSL-1826-SM-5LZW9 50-59 years, male 76.4
GTEX-1HSGN-2226-SM-A9SL6 40-49 years, female 76.1
GTEX-WHWD-1526-SM-4OORV 50-59 years, male 75.9
GTEX-13X6J-2826-SM-7EPGA 50-59 years, male 75.7
GTEX-15F5U-1426-SM-7KUN2 40-49 years, male 75.6
GTEX-13FHO-2726-SM-5K7VG 60-69 years, male 75.4
GTEX-13OVJ-1826-SM-5KM2D 50-59 years, female 75.3
GTEX-17HHE-1626-SM-7DHLN 50-59 years, male 75.2
GTEX-ZQUD-1026-SM-4YCEZ 30-39 years, male 75.2
GTEX-1CB4G-2726-SM-79OO4 60-69 years, male 75.1
GTEX-145MH-2726-SM-5QGQ6 50-59 years, male 75.0
GTEX-1GTWX-2626-SM-9WPOT 60-69 years, male 75.0
GTEX-1K9T9-2926-SM-E9TKD 50-59 years, female 74.9
GTEX-12ZZX-2726-SM-5N9FT 40-49 years, female 74.7
GTEX-1LSVX-2026-SM-E9TJD 60-69 years, male 74.7
GTEX-15DZA-1026-SM-6PAND 30-39 years, female 74.6
GTEX-YEC3-2026-SM-DKPOL 50-59 years, male 74.6
GTEX-1QW4Y-1426-SM-E76P3 30-39 years, male 74.5
GTEX-13113-1426-SM-5EGHU 60-69 years, female 74.3
GTEX-15UF7-1326-SM-7KUKV 40-49 years, male 74.3
GTEX-ZVT4-2626-SM-5N9GJ 50-59 years, female 74.3
GTEX-1GPI7-1926-SM-9KNUH 20-29 years, male 74.3
GTEX-11VI4-1426-SM-5GU6O 40-49 years, female 74.2
GTEX-1J1R8-1426-SM-CL55O 40-49 years, male 74.2
GTEX-12WSD-2626-SM-5EGJE 60-69 years, female 74.1
GTEX-1LVAO-2826-SM-E9TJH 60-69 years, male 74.0
GTEX-1LG7Y-2226-SM-E9U5K 50-59 years, male 73.8
GTEX-1CB4F-1926-SM-7MKFN 60-69 years, male 73.5
GTEX-1PDJ9-2026-SM-E76PT 20-29 years, male 73.4
GTEX-1I1GR-2226-SM-ARL7F 60-69 years, male 73.3
GTEX-WH7G-1426-SM-4LVMU 40-49 years, male 73.2
GTEX-144GM-1126-SM-79OJK 20-29 years, male 73.1
GTEX-17MFQ-1226-SM-7KFSA 20-29 years, male 72.9
GTEX-1PBJJ-2026-SM-DTX8U 30-39 years, male 72.9
GTEX-1HSMO-2526-SM-A9SKP 60-69 years, male 72.7
GTEX-ZVT3-2826-SM-5GU6A 60-69 years, female 72.4
GTEX-15CHQ-2626-SM-686YZ 60-69 years, male 72.3
GTEX-ZE7O-2626-SM-51MSS 50-59 years, female 72.1
GTEX-13CF2-1826-SM-5N9GK 60-69 years, male 72.0
GTEX-14JG6-1626-SM-5YYBC 30-39 years, female 72.0
GTEX-1R9PO-2026-SM-E9J4N 60-69 years, female 72.0
GTEX-12ZZY-2726-SM-5EQ45 60-69 years, male 71.9
GTEX-1C64O-2426-SM-7P8R3 60-69 years, male 71.9
GTEX-17HG3-1126-SM-7DUFC 30-39 years, female 71.7
GTEX-WFON-1326-SM-4LVMN 40-49 years, male 71.7
GTEX-18A6Q-2226-SM-7LG61 60-69 years, male 71.6
GTEX-13SLW-2826-SM-5Q5ES 70-79 years, male 71.5
GTEX-XXEK-1826-SM-4BRVC 50-59 years, male 71.5
GTEX-1JMQJ-2626-SM-CY8HQ 50-59 years, male 71.4
GTEX-ZV6S-1126-SM-57WE9 40-49 years, female 71.3
GTEX-1EU9M-2726-SM-7P8QD 60-69 years, male 71.3
GTEX-1E2YA-2526-SM-7IGOU 50-59 years, male 71.1
GTEX-1HCU6-2926-SM-B2LWV 60-69 years, female 70.7
GTEX-1C64N-2226-SM-7SB7C 50-59 years, male 70.4
GTEX-11TT1-0926-SM-5GU5M 20-29 years, male 70.1
GTEX-ZYFD-2226-SM-5E43P 50-59 years, male 69.5
GTEX-1RAZR-2026-SM-E9TKE 40-49 years, male 69.5
GTEX-11EMC-1426-SM-5N9E4 60-69 years, female 69.4
GTEX-1HBPH-2526-SM-ACKXK 40-49 years, female 69.4
GTEX-1PFEY-1726-SM-DPRZ4 30-39 years, male 69.4
GTEX-1212Z-1826-SM-5FQSH 60-69 years, male 69.3
GTEX-13N2G-2226-SM-5IJCU 60-69 years, male 69.2
GTEX-18A66-2626-SM-72D67 60-69 years, male 69.1
GTEX-WOFM-1926-SM-4OOSP 20-29 years, male 69.1
GTEX-12WSM-1426-SM-5GCPA 60-69 years, male 69.0
GTEX-15EO6-2326-SM-6LPKK 50-59 years, male 68.9
GTEX-14DAQ-2926-SM-664MV 60-69 years, female 68.8
GTEX-1C6VQ-2626-SM-7IGMQ 50-59 years, male 68.7
GTEX-1ICG6-2226-SM-B2LY7 70-79 years, female 68.7
GTEX-1LB8K-2526-SM-DIPEQ 50-59 years, male 68.7
GTEX-15RIE-2026-SM-7KFRW 60-69 years, male 68.5
GTEX-1IDJI-2226-SM-CKZPM 50-59 years, female 68.2
GTEX-WHSE-2726-SM-EZ6ML 20-29 years, male 68.2
GTEX-11EQ8-2626-SM-5N9BO 60-69 years, male 68.1
GTEX-1477Z-2126-SM-5Q5CM 60-69 years, male 68.0
GTEX-17F96-2126-SM-7KFSM 70-79 years, male 67.9
GTEX-1GF9X-1426-SM-7RHGX 40-49 years, female 67.5
GTEX-1RMOY-1726-SM-EVYC9 50-59 years, male 67.4
GTEX-V955-1726-SM-4JBHF 60-69 years, male 67.3
GTEX-VJYA-2126-SM-4KL1O 60-69 years, male 67.3
GTEX-13U4I-2626-SM-5SI9C 40-49 years, female 67.2
GTEX-139D8-2926-SM-5IJBM 30-39 years, female 67.1
GTEX-1AMEY-1826-SM-72D5L 30-39 years, female 67.0
GTEX-WY7C-1926-SM-4ONCI 50-59 years, male 67.0
GTEX-145LS-2926-SM-5O99G 60-69 years, female 66.9
GTEX-X5EB-1126-SM-46MVV 40-49 years, male 66.9
GTEX-1B932-2126-SM-7IGMU 40-49 years, female 66.8
GTEX-1GMRU-2626-SM-9WPPM 50-59 years, male 66.8
GTEX-1OJC3-1826-SM-DTX93 20-29 years, male 66.8
GTEX-1HBPI-2226-SM-9WYTY 50-59 years, male 66.7
GTEX-11PRG-2026-SM-5GU5F 50-59 years, male 66.5
GTEX-ZC5H-2426-SM-4WAZ6 40-49 years, female 66.3
GTEX-13W3W-2226-SM-5LU4M 60-69 years, female 66.1
GTEX-1RQEC-2626-SM-EVR3Z 60-69 years, male 66.0
GTEX-1HCVE-2326-SM-9WYUD 50-59 years, male 65.7
GTEX-1RDX4-1926-SM-E6CJJ 50-59 years, female 65.4
GTEX-12ZZW-2426-SM-5DUWE 50-59 years, male 65.3
GTEX-147GR-2826-SM-5RQK8 60-69 years, male 65.1
GTEX-12KS4-2326-SM-5EGJB 30-39 years, male 64.7
GTEX-13OVK-1026-SM-7KFTC 40-49 years, male 64.7
GTEX-17EUY-1726-SM-79OK4 20-29 years, male 64.5
GTEX-1H23P-2626-SM-9KNVN 60-69 years, male 64.5
GTEX-1JMLX-2526-SM-CY8HX 50-59 years, male 63.8
GTEX-13OW6-2226-SM-5N9FL 50-59 years, male 63.7
GTEX-1HB9E-2526-SM-D4P35 50-59 years, male 63.5
GTEX-15FZZ-1826-SM-6LLJP 30-39 years, female 63.1
GTEX-1A3MV-1026-SM-72D5U 30-39 years, male 63.1
GTEX-ZAB4-2426-SM-5HL8A 40-49 years, male 62.8
GTEX-Y5V6-1626-SM-4VDT2 60-69 years, male 62.5
GTEX-11ZTS-1526-SM-5N9G7 60-69 years, female 62.3
GTEX-X15G-1526-SM-4PQZM 50-59 years, female 62.0
GTEX-1QP29-2526-SM-E6CQ3 50-59 years, male 62.0
GTEX-15G19-2726-SM-6LPKG 60-69 years, male 61.8
GTEX-XQ8I-2326-SM-4BOQC 50-59 years, male 61.4
GTEX-WQUQ-2626-SM-4MVNP 60-69 years, male 61.3
GTEX-18465-2726-SM-7LT9I 50-59 years, male 60.9
GTEX-146FH-2426-SM-5Q5EW 50-59 years, female 60.8
GTEX-ZVZQ-2626-SM-59HLB 60-69 years, female 60.8
GTEX-1J8EW-2426-SM-CE6T5 60-69 years, female 60.7
GTEX-1LVAN-2626-SM-CNPQF 50-59 years, female 60.3
GTEX-1HBPM-2626-SM-9WYU5 60-69 years, female 60.2
GTEX-11ONC-1926-SM-5GU75 60-69 years, male 59.9
GTEX-16Z82-2426-SM-7KUMS 60-69 years, male 59.8
GTEX-1J8JJ-2426-SM-D4P4A 60-69 years, female 59.7
GTEX-1QCLZ-2026-SM-EAZ4A 60-69 years, female 59.4
GTEX-1PBJI-2526-SM-E6CP4 20-29 years, female 59.2
GTEX-14A5I-2426-SM-5Q5CP 50-59 years, female 58.9
GTEX-W5WG-2026-SM-4LMIB 50-59 years, female 58.8
GTEX-11DXY-2026-SM-5N9CZ 60-69 years, male 58.6
GTEX-ZF2S-1826-SM-4WKFF 50-59 years, female 58.5
GTEX-1RLM8-1726-SM-E9TKF 50-59 years, male 58.1
GTEX-ZYY3-2226-SM-5E45A 60-69 years, female 57.4
GTEX-WYJK-2326-SM-4ONDN 50-59 years, male 55.9
GTEX-1IL2U-2526-SM-C1YQV 60-69 years, male 55.6
GTEX-1QCLY-2026-SM-EVR4C 30-39 years, male 55.1
GTEX-14C39-1626-SM-5S2P4 40-49 years, male 55.0
GTEX-13X6I-2726-SM-5Q5ET 60-69 years, male 53.3
GTEX-15ER7-2826-SM-6PAN2 20-29 years, female 52.4
GTEX-Y8E4-2326-SM-EAZAZ 40-49 years, male 51.2
GTEX-Y8LW-1126-SM-4VDS4 50-59 years, female 49.9
Show allShow less
Colon - Transverse
Average nTPM: 72.1
Samples: 406

Max nTPM: 121.7
Min nTPM: 49.1
Std nTPM: 11.2
Median nTPM: 70.8
GTEX-ZF29-1726-SM-4WKFV 60-69 years, female 121.7
GTEX-Y114-1526-SM-4TT79 50-59 years, female 116.7
GTEX-1S82U-0726-SM-E9TKI 30-39 years, female 108.6
GTEX-1GL5R-2426-SM-7MXV1 50-59 years, male 108.1
GTEX-RWS6-1826-SM-47JXX 60-69 years, female 107.8
GTEX-11TTK-2426-SM-5PNYO 60-69 years, female 105.1
GTEX-1GZ4H-1226-SM-9KNUA 50-59 years, female 102.5
GTEX-1EH9U-2026-SM-7PBYS 60-69 years, male 101.6
GTEX-148VJ-2626-SM-5QGPI 70-79 years, male 101.0
GTEX-Y8LW-1226-SM-4WWDP 50-59 years, female 99.5
GTEX-ZV6S-1226-SM-59HLH 40-49 years, female 99.0
GTEX-14JIY-3326-SM-6871E 60-69 years, male 98.5
GTEX-1C2JI-1626-SM-7EPHC 50-59 years, male 98.3
GTEX-14H4A-1926-SM-5ZZWN 40-49 years, female 97.8
GTEX-T6MO-0826-SM-4DM51 40-49 years, female 97.5
GTEX-111YS-1626-SM-5GZZ9 60-69 years, male 95.1
GTEX-15CHC-1626-SM-5ZZWS 60-69 years, female 95.1
GTEX-ZZ64-0726-SM-5GZX4 20-29 years, male 94.6
GTEX-14C5O-2526-SM-73KU2 60-69 years, male 94.4
GTEX-18QFQ-1526-SM-72D57 30-39 years, male 93.8
GTEX-13FH7-1526-SM-5J2N6 50-59 years, female 93.2
GTEX-15G1A-1826-SM-7KUKO 30-39 years, male 93.2
GTEX-14PKV-2126-SM-664O3 20-29 years, female 92.8
GTEX-14PJ5-0926-SM-6LLIK 60-69 years, female 92.7
GTEX-ZYVF-2826-SM-5GIDK 50-59 years, female 92.7
GTEX-YEC4-1926-SM-5IFHJ 40-49 years, male 92.2
GTEX-ZYFG-1926-SM-5GID5 60-69 years, female 91.6
GTEX-1C64O-2326-SM-73KU8 60-69 years, male 91.3
GTEX-WEY5-1426-SM-4LMJ3 40-49 years, female 90.8
GTEX-1GMR2-1726-SM-9JGI2 50-59 years, male 90.8
GTEX-11P81-1126-SM-5GU5G 30-39 years, female 90.5
GTEX-131XG-1826-SM-5LZV4 50-59 years, female 90.1
GTEX-117YX-0826-SM-5H11J 50-59 years, male 90.0
GTEX-13CF3-1426-SM-5K7YY 60-69 years, female 89.8
GTEX-1QW4Y-1326-SM-EWRMZ 30-39 years, male 89.8
GTEX-ZDYS-2326-SM-4WKG6 50-59 years, male 88.8
GTEX-11EQ9-1426-SM-5987G 30-39 years, male 88.5
GTEX-1LH75-2126-SM-EVR5F 50-59 years, female 88.5
GTEX-XXEK-1926-SM-4BRVD 50-59 years, male 88.4
GTEX-12WSL-1626-SM-5GCMU 50-59 years, male 88.2
GTEX-14ICK-1026-SM-6AJA4 40-49 years, male 87.8
GTEX-WVJS-2426-SM-EZ6LI 50-59 years, male 87.8
GTEX-14ICL-1226-SM-5S2RD 30-39 years, male 87.4
GTEX-S341-1426-SM-4AD6U 40-49 years, female 87.2
GTEX-145ME-0826-SM-5O9AF 40-49 years, female 86.9
GTEX-17F96-2026-SM-79ON4 70-79 years, male 86.8
GTEX-V955-1626-SM-4JBHJ 60-69 years, male 86.2
GTEX-117YW-1826-SM-5PNY5 50-59 years, male 85.1
GTEX-1MUQO-2626-SM-EWRO3 60-69 years, male 84.9
GTEX-11GSP-1626-SM-5986N 60-69 years, female 84.7
GTEX-1IDJF-1826-SM-CKZOE 20-29 years, male 84.6
GTEX-14PJ3-0926-SM-69LQG 50-59 years, male 84.2
GTEX-1MCC2-1626-SM-DIPEW 30-39 years, female 84.1
GTEX-QLQ7-1126-SM-CYPRB 60-69 years, male 84.1
GTEX-S3XE-1126-SM-4AD4N 50-59 years, male 84.0
GTEX-X5EB-0926-SM-46MVT 40-49 years, male 84.0
GTEX-TKQ1-0626-SM-4DXTS 30-39 years, male 83.7
GTEX-1I1GT-1926-SM-ARU7D 60-69 years, female 83.5
GTEX-14E1K-1826-SM-793DT 50-59 years, male 82.9
GTEX-1CAMS-2526-SM-7EPH7 40-49 years, female 82.9
GTEX-13OVG-1426-SM-5K7VP 60-69 years, male 82.6
GTEX-14PK6-1726-SM-6871J 70-79 years, female 82.4
GTEX-ZXES-1626-SM-5NQ7L 30-39 years, female 81.9
GTEX-13OVI-2026-SM-5J1MU 60-69 years, female 81.4
GTEX-145MO-2426-SM-5NQ9W 60-69 years, male 81.3
GTEX-15SHU-2526-SM-6M47D 40-49 years, female 81.3
GTEX-O5YW-1426-SM-3MJHF 50-59 years, male 81.1
GTEX-1IOXB-2626-SM-CJI2N 50-59 years, male 81.0
GTEX-13X6H-1926-SM-7EWD3 50-59 years, female 80.8
GTEX-RU1J-1326-SM-46MUL 20-29 years, female 80.8
GTEX-12WSJ-1526-SM-5GCNI 40-49 years, female 80.6
GTEX-WH7G-1326-SM-4LVMS 40-49 years, male 80.6
GTEX-1OKEX-1226-SM-DTXEC 60-69 years, male 80.5
GTEX-U412-1726-SM-EZ6KX 60-69 years, male 80.5
GTEX-11TUW-2026-SM-5EQL8 60-69 years, male 80.0
GTEX-13O61-1626-SM-5KM3T 60-69 years, male 79.9
GTEX-13U4I-2426-SM-5LU34 40-49 years, female 79.9
GTEX-139T6-1326-SM-5IFFO 50-59 years, male 79.8
GTEX-17F9E-1826-SM-7IGMC 50-59 years, male 79.8
GTEX-XUW1-1926-SM-4BOP1 50-59 years, female 79.7
GTEX-1R9K5-2126-SM-E8VN1 50-59 years, male 79.7
GTEX-14XAO-2026-SM-69LOI 60-69 years, female 79.4
GTEX-1GN73-2626-SM-9KNUQ 60-69 years, male 79.2
GTEX-14AS3-1126-SM-5Q5CR 40-49 years, female 79.0
GTEX-1B996-2626-SM-73KZ1 60-69 years, male 78.9
GTEX-Q2AH-1226-SM-48TZL 40-49 years, male 78.9
GTEX-Y5LM-1526-SM-4VDTA 40-49 years, female 78.7
GTEX-11EM3-1526-SM-5A5KN 20-29 years, female 78.4
GTEX-1HCU6-2726-SM-A9SKV 60-69 years, female 78.4
GTEX-1JJE9-2426-SM-D3L8T 70-79 years, male 78.4
GTEX-13OW5-2626-SM-5MR3M 60-69 years, male 78.3
GTEX-15DCE-2026-SM-7KUFE 20-29 years, male 78.3
GTEX-ZPCL-1826-SM-57WF1 60-69 years, female 78.3
GTEX-ZPIC-2226-SM-57WDX 40-49 years, female 78.3
GTEX-1N2EF-1926-SM-DTX8M 60-69 years, male 78.3
GTEX-WFON-1426-SM-4LVMT 40-49 years, male 78.2
GTEX-11I78-1226-SM-5A5K6 50-59 years, female 78.1
GTEX-1F75I-2426-SM-9WPOY 40-49 years, male 78.0
GTEX-1RAZQ-2126-SM-DTX9V 30-39 years, male 78.0
GTEX-1IDJU-2026-SM-A9SLM 60-69 years, female 77.9
GTEX-1LBAC-1626-SM-CXZKV 20-29 years, male 77.8
GTEX-ZGAY-2126-SM-4YCFB 40-49 years, female 77.6
GTEX-1QPFJ-2326-SM-E6CR7 30-39 years, female 77.6
GTEX-OHPM-1426-SM-3TW8Y 50-59 years, male 77.5
GTEX-X3Y1-1726-SM-4PQZL 40-49 years, male 77.5
GTEX-13OVJ-1726-SM-5IJDZ 50-59 years, female 77.0
GTEX-OXRN-2026-SM-E6CHK 50-59 years, male 76.9
GTEX-145LS-2726-SM-5Q5D8 60-69 years, female 76.6
GTEX-YB5E-1626-SM-5IFIQ 40-49 years, male 76.6
GTEX-13PL7-2526-SM-5IFGR 60-69 years, female 76.5
GTEX-ZVT2-1926-SM-5GU5T 50-59 years, female 76.3
GTEX-13VXT-2426-SM-5LU46 20-29 years, female 76.2
GTEX-1KANA-1926-SM-DHXKF 20-29 years, male 76.1
GTEX-1R7EU-1926-SM-E9U62 60-69 years, male 76.1
GTEX-Q2AI-0926-SM-48U1F 40-49 years, male 76.0
GTEX-WY7C-1626-SM-4ONC8 50-59 years, male 76.0
GTEX-11P7K-1526-SM-5EGI7 30-39 years, male 75.9
GTEX-13FTW-1826-SM-5IJEN 40-49 years, male 75.9
GTEX-WFG7-1526-SM-4LVMG 20-29 years, male 75.8
GTEX-WOFM-2026-SM-4OOSQ 20-29 years, male 75.8
GTEX-15UF6-2626-SM-6M466 70-79 years, female 75.7
GTEX-1122O-1526-SM-5N9CL 60-69 years, female 75.6
GTEX-1JJ6O-2426-SM-ARU8J 60-69 years, male 75.6
GTEX-ZLWG-1726-SM-DNZZ2 50-59 years, female 75.6
GTEX-T5JW-1126-SM-4DM5V 20-29 years, female 75.4
GTEX-1JKYN-2326-SM-CGQG7 30-39 years, male 75.3
GTEX-12C56-0626-SM-5EGGC 20-29 years, male 75.2
GTEX-WHSB-0926-SM-4M1XJ 50-59 years, male 75.2
GTEX-14PHX-1526-SM-68717 50-59 years, male 75.1
GTEX-1C475-1626-SM-731FP 40-49 years, female 74.9
GTEX-UJMC-1326-SM-4IHLS 50-59 years, male 74.9
GTEX-13O21-2426-SM-5MR4A 50-59 years, male 74.8
GTEX-11TT1-1026-SM-5PNW7 20-29 years, male 74.7
GTEX-1399U-1926-SM-5IFH7 50-59 years, female 74.7
GTEX-17MF6-2426-SM-7LTAM 40-49 years, male 74.7
GTEX-OXRL-1426-SM-3NM9E 50-59 years, male 74.7
GTEX-QDVN-1326-SM-48TZ3 50-59 years, male 74.7
GTEX-YF7O-1726-SM-5IFJ9 50-59 years, male 74.7
GTEX-1PWST-2426-SM-EWRMP 70-79 years, male 74.7
GTEX-14PJ4-1926-SM-6LLHG 60-69 years, male 74.6
GTEX-12ZZZ-2426-SM-5GCNN 60-69 years, male 74.5
GTEX-17HHE-1826-SM-79OKE 50-59 years, male 74.5
GTEX-Y9LG-1526-SM-4WWDR 30-39 years, male 74.5
GTEX-139TS-1926-SM-5IJFO 60-69 years, male 74.4
GTEX-17JCI-2626-SM-7EWE6 60-69 years, female 74.3
GTEX-11DXX-1826-SM-5H126 60-69 years, female 74.1
GTEX-16MT8-2726-SM-7IGLJ 60-69 years, female 74.1
GTEX-139YR-2126-SM-5KM11 50-59 years, male 74.0
GTEX-P4PP-1426-SM-3NM9L 30-39 years, female 74.0
GTEX-QMRM-1226-SM-447C6 50-59 years, male 74.0
GTEX-1GMR3-2826-SM-9WPOG 40-49 years, male 74.0
GTEX-R55C-1126-SM-48FCJ 40-49 years, male 73.9
GTEX-1EMGI-2726-SM-7P8S4 60-69 years, male 73.9
GTEX-111CU-1426-SM-5GZYP 50-59 years, male 73.8
GTEX-15RIE-1826-SM-6M48P 60-69 years, male 73.7
GTEX-15SB6-1226-SM-7KUMP 50-59 years, female 73.7
GTEX-1C4CL-2126-SM-7IGQC 30-39 years, male 73.7
GTEX-XBED-1526-SM-4AT5W 60-69 years, male 73.7
GTEX-147GR-2726-SM-664OO 60-69 years, male 73.6
GTEX-1HCU9-1326-SM-B2LXT 20-29 years, male 73.6
GTEX-1I6K6-1826-SM-B2LX5 30-39 years, male 73.6
GTEX-1PPH8-2026-SM-DTX7P 20-29 years, male 73.4
GTEX-13PVR-1626-SM-73KVF 60-69 years, female 73.3
GTEX-18A7B-2026-SM-72D71 70-79 years, male 73.3
GTEX-1IKOE-2026-SM-AHZ31 30-39 years, female 73.3
GTEX-PX3G-1426-SM-48U1J 20-29 years, female 73.2
GTEX-13D11-0826-SM-5KLZJ 50-59 years, female 73.1
GTEX-1HKZK-2126-SM-A9SL3 40-49 years, male 72.9
GTEX-1399S-1926-SM-5J2M5 30-39 years, female 72.8
GTEX-1B8KE-1926-SM-731EE 50-59 years, male 72.7
GTEX-ZT9W-1826-SM-51MQX 50-59 years, male 72.7
GTEX-Y3I4-1426-SM-4TT9C 50-59 years, male 72.5
GTEX-1JN76-1226-SM-C1YRM 20-29 years, female 72.5
GTEX-13O3O-2526-SM-5L3DR 60-69 years, female 72.3
GTEX-145MN-1726-SM-5SIA6 30-39 years, male 72.3
GTEX-QCQG-1626-SM-48U26 50-59 years, female 72.3
GTEX-ZG7Y-2126-SM-DO117 50-59 years, male 72.3
GTEX-18D9U-1926-SM-7KFTM 40-49 years, male 72.2
GTEX-13W3W-2126-SM-5K7UX 60-69 years, female 72.1
GTEX-ZP4G-1726-SM-4WWCM 20-29 years, female 72.1
GTEX-146FQ-1926-SM-5NQBY 30-39 years, male 71.8
GTEX-ZVP2-1526-SM-5NQ82 50-59 years, male 71.8
GTEX-1N2DV-1426-SM-DPRYQ 40-49 years, male 71.8
GTEX-OXRO-0726-SM-E9U4C 60-69 years, female 71.7
GTEX-14DAQ-2726-SM-5S2QY 60-69 years, female 71.6
GTEX-1GF9U-1526-SM-7MXUW 40-49 years, female 71.6
GTEX-PLZ6-0926-SM-3P5ZQ 30-39 years, male 71.5
GTEX-Z93S-2426-SM-5HL8N 50-59 years, male 71.5
GTEX-13QBU-1826-SM-5IJG3 40-49 years, female 71.4
GTEX-14JG6-1726-SM-69LPL 30-39 years, female 71.4
GTEX-1F5PK-1926-SM-7MXT7 50-59 years, male 71.4
GTEX-1B8KZ-1326-SM-7DUG6 50-59 years, male 71.2
GTEX-U4B1-1126-SM-4DXV3 40-49 years, male 71.2
GTEX-ZV7C-1526-SM-5NQ72 50-59 years, male 71.1
GTEX-11VI4-1526-SM-5EQKC 40-49 years, female 71.0
GTEX-17KNJ-1726-SM-7LG6A 50-59 years, male 71.0
GTEX-111VG-2226-SM-5N9DU 60-69 years, male 70.9
GTEX-14DAR-1526-SM-5RQIX 50-59 years, male 70.9
GTEX-18D9B-2526-SM-718BN 60-69 years, male 70.9
GTEX-WYJK-2226-SM-4ONDJ 50-59 years, male 70.9
GTEX-15DZA-0926-SM-69LQ3 30-39 years, female 70.8
GTEX-1I4MK-1126-SM-B2LWS 50-59 years, female 70.8
GTEX-1MA7W-0626-SM-EV79Z 20-29 years, female 70.8
GTEX-1S5VW-2926-SM-E9U6H 60-69 years, male 70.8
GTEX-XMK1-1726-SM-4B64Z 40-49 years, male 70.7
GTEX-1128S-1626-SM-5H12O 60-69 years, female 70.6
GTEX-1AMFI-1726-SM-7189L 50-59 years, female 70.6
GTEX-ZYFC-2626-SM-5NQ6S 50-59 years, male 70.6
GTEX-1NHNU-2326-SM-E6CQE 50-59 years, male 70.6
GTEX-1PIEJ-2026-SM-E6CPA 20-29 years, female 70.6
GTEX-1CB4I-2226-SM-7P8SL 50-59 years, male 70.5
GTEX-144GL-2526-SM-5TDDL 50-59 years, male 70.3
GTEX-ZDTT-1926-SM-5HL5W 60-69 years, male 70.3
GTEX-13111-0726-SM-5DUVE 50-59 years, male 70.2
GTEX-XAJ8-0426-SM-47JYJ 40-49 years, male 70.0
GTEX-1RMOY-1626-SM-EVYC8 50-59 years, male 70.0
GTEX-1AMEY-1926-SM-73KVT 30-39 years, female 69.9
GTEX-1PPGY-2826-SM-DTX9H 60-69 years, male 69.8
GTEX-13S86-1626-SM-5Q5C5 40-49 years, male 69.7
GTEX-14BMV-2426-SM-5S2PP 50-59 years, male 69.7
GTEX-17HGU-2426-SM-7EWDP 50-59 years, male 69.7
GTEX-1CAMR-0926-SM-7MXTD 20-29 years, male 69.7
GTEX-14BMU-1526-SM-5TDE6 20-29 years, female 69.6
GTEX-11O72-2226-SM-5PNW2 40-49 years, male 69.5
GTEX-16NPV-2626-SM-6M484 50-59 years, female 69.5
GTEX-15CHQ-2526-SM-6EU24 60-69 years, male 69.4
GTEX-1HCU7-2626-SM-C1YQO 50-59 years, male 69.4
GTEX-1AX8Z-2726-SM-73KUC 60-69 years, male 69.3
GTEX-ZTSS-1126-SM-5985O 40-49 years, male 69.3
GTEX-1H3VY-2426-SM-9WPPD 50-59 years, male 69.2
GTEX-1QCLZ-1926-SM-E6CR3 60-69 years, female 69.2
GTEX-14PJM-2626-SM-686ZD 50-59 years, female 69.1
GTEX-UJHI-1126-SM-4IHLN 50-59 years, female 69.1
GTEX-XGQ4-1226-SM-4AT67 50-59 years, male 69.1
GTEX-1IDJC-1326-SM-CL53H 50-59 years, male 69.1
GTEX-OIZH-1426-SM-3NB1O 50-59 years, male 69.0
GTEX-1J1OQ-2726-SM-AHZ3R 40-49 years, female 69.0
GTEX-1KXAM-2126-SM-CY8I9 60-69 years, male 68.9
GTEX-145LT-0926-SM-5LU9C 40-49 years, male 68.8
GTEX-PWN1-1426-SM-48TDF 40-49 years, female 68.7
GTEX-1GZ4I-2426-SM-9WPPP 50-59 years, male 68.7
GTEX-1H1E6-1926-SM-9OSWD 30-39 years, male 68.7
GTEX-1QCLY-1726-SM-DPRXY 30-39 years, male 68.6
GTEX-SNOS-1226-SM-4DM5H 40-49 years, male 68.5
GTEX-1LG7Y-2126-SM-DIPER 50-59 years, male 68.4
GTEX-1R9PM-1526-SM-DPRY8 20-29 years, male 68.4
GTEX-1339X-1626-SM-5IJDN 40-49 years, male 68.3
GTEX-17F98-1026-SM-7IGO8 40-49 years, female 68.3
GTEX-1MJK3-0926-SM-EV7AY 20-29 years, male 68.3
GTEX-1F5PL-2126-SM-7PC2O 40-49 years, female 68.1
GTEX-1PIGE-1426-SM-E9U61 20-29 years, male 68.1
GTEX-1RAZA-1726-SM-DPS13 20-29 years, male 68.0
GTEX-147F3-1926-SM-5SIB9 50-59 years, female 67.9
GTEX-147JS-2526-SM-5S2Q8 60-69 years, male 67.9
GTEX-15RIF-1326-SM-6LPKO 20-29 years, male 67.9
GTEX-SNMC-1126-SM-4DM5M 20-29 years, male 67.9
GTEX-ZF2S-1926-SM-4WWAN 50-59 years, female 67.9
GTEX-OOBJ-1426-SM-E6CHH 60-69 years, male 67.9
GTEX-QLQW-0426-SM-447A7 30-39 years, male 67.8
GTEX-12BJ1-2126-SM-5BC5O 60-69 years, male 67.7
GTEX-1LGRB-1426-SM-CNNPT 50-59 years, female 67.7
GTEX-16XZZ-2626-SM-6M47S 60-69 years, male 67.2
GTEX-U3ZM-1126-SM-4DXUB 40-49 years, male 67.2
GTEX-11NSD-1626-SM-5986U 20-29 years, male 67.1
GTEX-U3ZH-1326-SM-4DXSF 30-39 years, male 67.1
GTEX-1HCVE-2526-SM-A9G2G 50-59 years, male 67.1
GTEX-1S3DN-1826-SM-EV79K 50-59 years, male 67.1
GTEX-1399R-2226-SM-5P9JB 30-39 years, male 67.0
GTEX-17EVQ-1826-SM-7IGPH 70-79 years, male 66.9
GTEX-1PFEY-1426-SM-E9U6U 30-39 years, male 66.9
GTEX-OIZF-1426-SM-2HML2 60-69 years, male 66.8
GTEX-1J1R8-1126-SM-CNPQ3 40-49 years, male 66.7
GTEX-1H11D-2626-SM-9JGH4 40-49 years, male 66.6
GTEX-S7SF-1926-SM-4AT5B 20-29 years, female 66.5
GTEX-15DYW-2326-SM-6PAMU 60-69 years, female 66.4
GTEX-WHWD-1226-SM-4OOS1 50-59 years, male 66.4
GTEX-11ONC-2026-SM-5HL61 60-69 years, male 66.3
GTEX-1A3MV-1126-SM-718BS 30-39 years, male 66.2
GTEX-132AR-2726-SM-5PNVN 50-59 years, female 66.1
GTEX-X15G-1326-SM-4PQZJ 50-59 years, female 66.1
GTEX-XUZC-1326-SM-4BRV2 30-39 years, female 66.1
GTEX-1211K-1726-SM-5FQUJ 60-69 years, female 65.9
GTEX-144GN-1126-SM-5LU33 50-59 years, male 65.9
GTEX-11DXZ-1726-SM-5H12M 50-59 years, male 65.7
GTEX-17HII-2726-SM-7MGVM 50-59 years, male 65.5
GTEX-11ZVC-2126-SM-5EGJ1 50-59 years, female 65.4
GTEX-15CHR-1426-SM-7DUGV 50-59 years, male 65.1
GTEX-1KANC-0926-SM-D3LA9 50-59 years, female 65.1
GTEX-1IKK5-2726-SM-CNPQ6 60-69 years, male 64.7
GTEX-1JMPY-0426-SM-C1YQ3 30-39 years, male 64.7
GTEX-16AAH-1326-SM-7KFRG 50-59 years, male 64.6
GTEX-Q734-1126-SM-48TZY 40-49 years, female 64.6
GTEX-QDVJ-1326-SM-48U1X 50-59 years, male 64.5
GTEX-S4UY-0826-SM-4AD4Z 40-49 years, female 64.4
GTEX-ZEX8-1926-SM-4WKFR 50-59 years, male 64.4
GTEX-1LG7Z-1426-SM-CXKYV 30-39 years, male 64.4
GTEX-ZY6K-1226-SM-5GZYL 50-59 years, male 64.3
GTEX-1HFI7-1726-SM-A9G22 50-59 years, female 64.3
GTEX-1JMPZ-2426-SM-C1YQP 30-39 years, male 64.3
GTEX-QV31-0826-SM-CKZNC 30-39 years, male 64.3
GTEX-R55D-1826-SM-48FEF 50-59 years, male 64.2
GTEX-1E2YA-2626-SM-7MGWW 50-59 years, male 64.2
GTEX-PWCY-1026-SM-48TD4 20-29 years, female 64.1
GTEX-1GPI7-1726-SM-7P8R1 20-29 years, male 64.1
GTEX-XQ8I-2126-SM-4BOOM 50-59 years, male 63.9
GTEX-18D9A-1126-SM-7KFRJ 30-39 years, female 63.8
GTEX-12KS4-2426-SM-5LU8P 30-39 years, male 63.5
GTEX-NFK9-2026-SM-3LK5K 40-49 years, male 63.4
GTEX-PLZ5-1126-SM-3P613 50-59 years, male 63.4
GTEX-ZLV1-1226-SM-4WWBX 60-69 years, female 63.4
GTEX-XPVG-1826-SM-4B64X 50-59 years, male 63.3
GTEX-1R9JW-2026-SM-EAZ4O 30-39 years, female 63.3
GTEX-1ICLZ-2426-SM-CKZOD 60-69 years, male 63.2
GTEX-1HSMP-2326-SM-D3L8R 70-79 years, male 63.1
GTEX-1KANB-1526-SM-CXZK4 50-59 years, male 63.1
GTEX-11LCK-2026-SM-5A5MA 30-39 years, male 63.0
GTEX-11P82-1026-SM-5BC5J 20-29 years, male 63.0
GTEX-13OW6-2126-SM-5N9GL 50-59 years, male 63.0
GTEX-ZPU1-1926-SM-57WDT 40-49 years, male 62.9
GTEX-1F75B-2726-SM-7P8QO 50-59 years, male 62.9
GTEX-1K9T9-2826-SM-D4P3F 50-59 years, female 62.9
GTEX-1CB4F-2026-SM-79OLU 60-69 years, male 62.8
GTEX-R55G-1226-SM-48FDC 40-49 years, female 62.8
GTEX-RM2N-0926-SM-48FD1 50-59 years, male 62.8
GTEX-13QJ3-2626-SM-9OSXQ 50-59 years, male 62.8
GTEX-1HSEH-1726-SM-B2LXH 60-69 years, male 62.7
GTEX-1AYD5-1726-SM-7RHFW 50-59 years, male 62.6
GTEX-1LVAM-1626-SM-EV79Y 50-59 years, female 62.5
GTEX-18A7A-2226-SM-7LT8K 50-59 years, female 62.3
GTEX-1K2DA-2026-SM-CGQGK 50-59 years, male 62.3
GTEX-18A66-2426-SM-7KFSQ 60-69 years, male 62.2
GTEX-1MGNQ-2026-SM-EAZ51 40-49 years, male 62.2
GTEX-1AX9I-2626-SM-73KU5 60-69 years, male 62.1
GTEX-ZAB4-2226-SM-5HL97 40-49 years, male 62.1
GTEX-1I1GR-2526-SM-CNNQF 60-69 years, male 61.9
GTEX-1LVAN-2526-SM-CNPPC 50-59 years, female 61.9
GTEX-1BAJH-2326-SM-7IGMO 70-79 years, male 61.7
GTEX-14C39-1926-SM-5ZZW5 40-49 years, male 61.6
GTEX-1LSVX-1726-SM-DHXJP 60-69 years, male 61.6
GTEX-1S83E-1626-SM-EV7B9 40-49 years, male 61.6
GTEX-1RAZR-1926-SM-E6CRF 40-49 years, male 61.5
GTEX-P4QT-1426-SM-3NMCX 50-59 years, female 61.4
GTEX-1JK1U-1526-SM-AHZ46 60-69 years, male 61.3
GTEX-144GM-1226-SM-5LU52 20-29 years, male 61.2
GTEX-SE5C-1526-SM-4BRWU 40-49 years, female 61.2
GTEX-Y3IK-1826-SM-4WWDS 50-59 years, female 61.2
GTEX-1H1DE-1526-SM-ARL9B 20-29 years, male 61.1
GTEX-1IDJD-2226-SM-A96TD 30-39 years, male 61.0
GTEX-O5YT-1426-SM-3MJHC 20-29 years, male 60.9
GTEX-W5WG-2426-SM-4LMI6 50-59 years, female 60.9
GTEX-1JMLX-2726-SM-CM2SB 50-59 years, male 60.9
GTEX-13FHP-2426-SM-5KLZ5 50-59 years, male 60.8
GTEX-S4P3-1226-SM-4AD4Y 50-59 years, female 60.8
GTEX-133LE-1526-SM-5IFEN 20-29 years, female 60.7
GTEX-QEL4-1926-SM-D3L8D 50-59 years, male 60.7
GTEX-17EUY-1826-SM-7DUEZ 20-29 years, male 60.6
GTEX-14E6E-1526-SM-5RQIG 30-39 years, male 60.5
GTEX-16NGA-1026-SM-7KFS3 40-49 years, female 60.4
GTEX-1LGOU-1626-SM-D3LAK 20-29 years, female 60.4
GTEX-13O3P-2326-SM-5KM55 50-59 years, male 60.3
GTEX-1JKYR-1926-SM-C1YR7 20-29 years, male 60.3
GTEX-XBEW-1926-SM-4SOJO 40-49 years, male 60.2
GTEX-1HSGN-2626-SM-CE6S1 40-49 years, female 60.1
GTEX-1N5O9-2726-SM-E76QH 60-69 years, male 60.1
GTEX-U3ZN-2126-SM-4DXU1 30-39 years, female 60.0
GTEX-1AYCT-1826-SM-731EG 50-59 years, male 59.8
GTEX-1QMI2-2626-SM-E6CR4 60-69 years, male 59.8
GTEX-1RDX4-1826-SM-EVR54 50-59 years, female 59.8
GTEX-1QP9N-1026-SM-E6CPX 30-39 years, male 59.2
GTEX-1NV5F-2226-SM-DTX8O 60-69 years, female 59.1
GTEX-VJYA-2026-SM-4KL1K 60-69 years, male 58.8
GTEX-13OVK-0826-SM-7KULZ 40-49 years, male 58.7
GTEX-XYKS-2226-SM-4E3IU 60-69 years, female 58.2
GTEX-1QP67-1326-SM-EAZ4D 40-49 years, female 58.1
GTEX-X4EO-2526-SM-EWRM8 60-69 years, female 58.1
GTEX-PSDG-1826-SM-EAZ2S 50-59 years, male 58.0
GTEX-1B932-2826-SM-73KUD 40-49 years, female 57.7
GTEX-OXRK-1726-SM-3NB16 50-59 years, female 57.7
GTEX-TKQ2-1326-SM-4DXT9 50-59 years, male 57.7
GTEX-1C6VQ-2726-SM-73KUL 50-59 years, male 57.6
GTEX-1L5NE-2026-SM-CXZKR 50-59 years, male 57.6
GTEX-17GQL-1526-SM-7LTAC 60-69 years, male 57.4
GTEX-WQUQ-2526-SM-4MVNO 60-69 years, male 57.2
GTEX-1GF9X-1526-SM-7P8QP 40-49 years, female 57.2
GTEX-16Z82-2226-SM-6LPJ7 60-69 years, male 56.9
GTEX-WYVS-1826-SM-4OND6 40-49 years, female 56.6
GTEX-YEC3-2426-SM-DO11A 50-59 years, male 56.6
GTEX-P78B-1726-SM-3P5ZV 40-49 years, female 56.5
GTEX-S4Q7-0826-SM-4AD5E 20-29 years, male 56.5
GTEX-TML8-1326-SM-4DXTO 40-49 years, female 56.5
GTEX-1POEN-2026-SM-E6CRL 30-39 years, female 56.3
GTEX-15ER7-2926-SM-7KUFK 20-29 years, female 56.2
GTEX-14BIN-3026-SM-5ZZUS 50-59 years, female 56.0
GTEX-Y8E4-2426-SM-4WWDN 40-49 years, male 56.0
GTEX-SJXC-2226-SM-EVYAK 60-69 years, male 55.8
GTEX-178AV-1326-SM-6LPJX 40-49 years, male 55.4
GTEX-XV7Q-2126-SM-4BRVX 40-49 years, female 54.8
GTEX-131XE-0826-SM-5HL9W 50-59 years, male 54.5
GTEX-1H1DG-2226-SM-9WPPC 70-79 years, male 54.4
GTEX-R45C-2126-SM-EZ6KZ 60-69 years, female 54.2
GTEX-1NSGN-2326-SM-E9U5X 50-59 years, male 54.1
GTEX-1IGQW-2326-SM-CE6RV 60-69 years, male 54.0
GTEX-1HSMQ-2726-SM-C1YRE 50-59 years, male 53.8
GTEX-R53T-1326-SM-48FCQ 50-59 years, female 52.4
GTEX-1JN1M-2626-SM-CY8I3 60-69 years, female 50.6
GTEX-OHPN-2026-SM-E9TIA 60-69 years, female 49.1
Show allShow less

COLON - FANTOM5 CAGEi

RNA expression in human tissues obtained through Cap Analysis of Gene Expression (CAGE) generated by the FANTOM5 project are reported as Scaled Tags Per Million.

Max subtype Scaled Tags Per Millioni

Max subtype Scaled Tags Per Million is the value for the subtype with the largest average Scaled Tags Per Million across the subtype samples.

188.6
FANTOM5 sample id Sample description Scaled Tags Per Million
Colon
Scaled Tags Per Million: 188.6
FF:10014-101C5 62,83,84 years, mixed 188.6

Contact

  • NEWS ARTICLES
  • PRESS ROOM

The Project

  • INTRODUCTION
  • ORGANIZATION
  • PUBLICATIONS

The Human Protein Atlas

  • DOWNLOADABLE DATA
  • LICENCE & CITATION
  • HELP & FAQ
The Human Protein Atlas project is funded
by the Knut & Alice Wallenberg Foundation.


contact@proteinatlas.org