We use cookies to enhance the usability of our website. If you continue, we'll assume that you are happy to receive all cookies. More information. Don't show this again.
HNRNPUL1
HPA
RESOURCES
  • TISSUE
  • BRAIN
  • SINGLE CELL
  • SUBCELLULAR
  • CANCER
  • BLOOD
  • CELL LINE
  • STRUCTURE & INTERACTION
ABOUT
  • INTRODUCTION
  • HISTORY
  • ORGANIZATION
  • PUBLICATIONS
  • ANTIBODY SUBMISSION
  • ANTIBODY AVAILABILITY
  • ACKNOWLEDGMENTS
  • CONTACT
NEWS
  • NEWS ARTICLES
  • PRESS ROOM
LEARN
  • DICTIONARY
  • PROTEIN CLASSES
  • PROTEIN EVIDENCE
  • METHODS
  • EDUCATIONAL VIDEOS
DATA
  • DOWNLOADABLE DATA
  • PUBLICATION DATA
  • RELEASE HISTORY
HELP
  • ANTIBODY VALIDATION
  • ASSAYS & ANNOTATION
  • DISCLAIMER
  • HELP & FAQ
  • PRIVACY STATEMENT
  • LICENCE & CITATION
Fields »
Search result

Field
Term
Gene name
Class
Subclass
Class
Keyword
Chromosome
External id
Tissue
Cell type
Expression
Antibody panel
Tissue
Main location
Patient ID
Annotation
Tissue
Category
Tau score
Cluster
Reliability
Brain region
Category
Tau score
Brain region
Category
Tau score
Brain region
Category
Tau score
Cluster
Reliability
Tissue
Cell type
Enrichment
Cell type
Category
Tau score
Cell type
Category
Tau score
Cell type
Category
Tau score
Cell lineage
Category
Tau score
Cluster
Cluster
Location
Searches
Location
Cell line
Class
Type
Phase
Reliability
Cancer
Prognosis
Cancer
Category
Cancer
Category
Tau score
Cluster
Variants
Interacting gene (ensg_id)
Type
Number of interactions
Pathway
Category
Score
Score
Score
Validation
Validation
Validation
Validation
Antibodies
Data type
Column


  • SUMMARY

  • TISSUE

  • BRAIN

  • SINGLE CELL

  • SUBCELL

  • CANCER

  • BLOOD

  • CELL LINE

  • STRUCT & INT

  • HNRNPUL1
TISSUE PRIMARY DATA HEART MUSCLE Show tissue menu
ADIPOSE TISSUE ADRENAL GLAND AMYGDALA APPENDIX BASAL GANGLIA BONE MARROW BREAST BRONCHUS CEREBELLUM CEREBRAL CORTEX CERVIX CHOROID PLEXUS COLON DUODENUM
ENDOMETRIUM EPIDIDYMIS ESOPHAGUS FALLOPIAN TUBE GALLBLADDER HEART MUSCLE HIPPOCAMPAL FORMATION HYPOTHALAMUS KIDNEY LIVER LUNG LYMPH NODE MIDBRAIN NASOPHARYNX
ORAL MUCOSA OVARY PANCREAS PARATHYROID GLAND PITUITARY GLAND PLACENTA PROSTATE RECTUM RETINA SALIVARY GLAND SEMINAL VESICLE SKELETAL MUSCLE SKIN SMALL INTESTINE
SMOOTH MUSCLE SOFT TISSUE SPINAL CORD SPLEEN STOMACH TESTIS THYMUS THYROID GLAND TONGUE TONSIL URINARY BLADDER VAGINA
ANTIBODIES
AND
VALIDATION
Dictionary
Heart muscle
Tissue proteome
Heart
HEART MUSCLE - Expression summary
Protein expression
Heart musclei

On the top, protein expression in current human tissue, based on all annotated cell types, is reported with the units not detected (n), low (l), medium (m) and high (h). Underneath, protein expression in each annotated cell type are reported using the same units.

Protein expression data is based on knowledge-based annotation. For genes where more than one antibody has been used, a collective score is set.

If knowledge-based annotation could not be performed for a gene, no data is displayed here. View antibody staining data further down this page.

h
m
l
n
Cardiomyocytes: High
RNA expressioni

A summary of mRNA expression data available for current tissue based on several datasets. The mRNA expression levels in human tissues are based on RNA-seq data generated by the Human Protein Atlas (HPA), Genotype-Tissue Expression (GTEx) portal and CAGE data generated by the FANTOM5 consortium. Consensus normalized expression levels for human tissues was created by combining the data from HPA and GTEx datasets.

The mRNA expression levels in pig are based on RNA-seq data generated by the Human Protein Atlas (HPA), and for mouse, HPA data and in situ hybridization generated by the Allen brain atlas are reported.

Scroll down to view mRNA expression data in more detail.
Consensus:73.0 nTPM
HPA:73.0 nTPM
GTEx:64.4 nTPM
FANTOM5:256.8 Scaled Tags Per Million

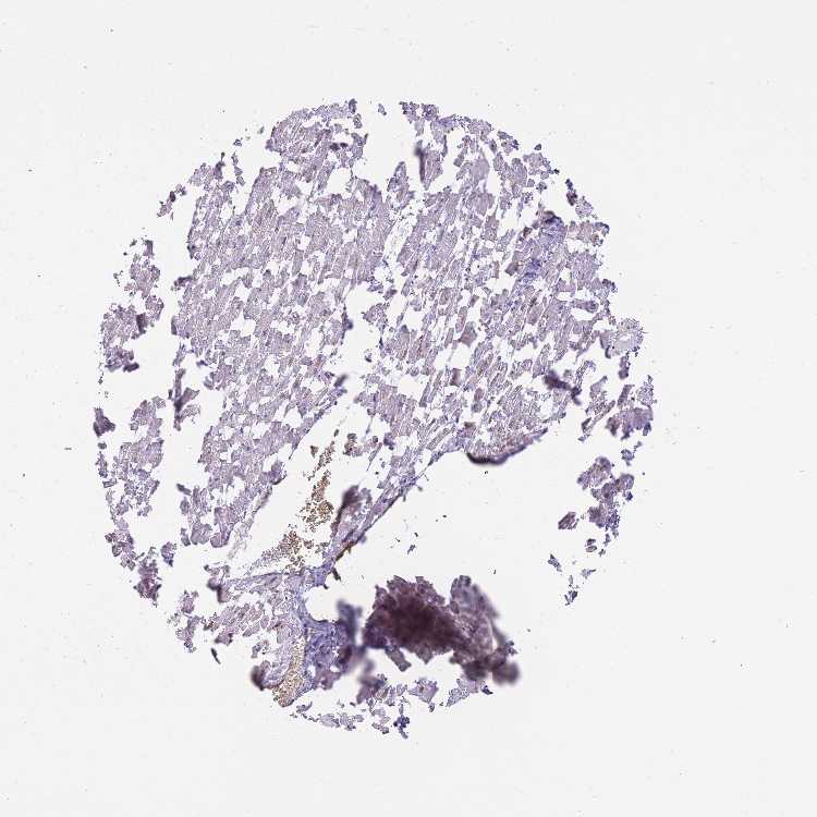
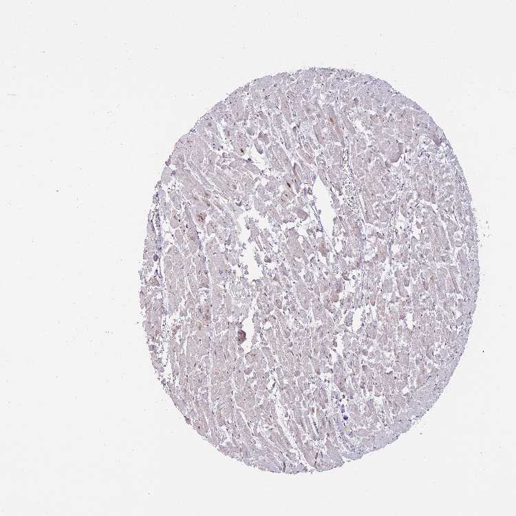
HEART MUSCLE - Antibody stainingi

Antibody staining in the annotated cell types in the current human tissue is reported as not detected, low, medium, or high, based on conventional immunohistochemistry profiling in selected tissues. This score is based on the combination of the staining intensity and fraction of stained cells.

Each image is clickable and will lead to virtual microscopy that enables deeper exploration of all samples and also displays staining intensity scores, fraction scores and subcellular localization as well as patient and tissue information for each sample.

Antibody HPA046290Antibody HPA049475Antibody CAB046477
Cardiomyocytes MediumNot detectedHigh






HEART MUSCLE - HPA RNA-seqi

The RNA-seq details section shows detailed information about the individual samples used for the transcript profiling and results of the RNA-seq analysis.

Information about each individual sample is listed below, including gender, age, a tissue section image and estimated fractions of cell types. nTPM (normalized transcripts per million) values give a quantification of the gene abundance which is comparable between different genes and samples.
Average nTPMi

Max subtype nTPM is the value for the subtype with the largest average nTPM across the subtype samples.

73.0
overview
Female, age 48
Heart muscle sample 149
nTPM: 58.3
Cell types%
Myocytes:
15

Fibroblasts:
55

Endothelial cells:
25

Other cell types:
5

overview
Female, age 42
Heart muscle sample 150
nTPM: 69.3
Cell types%
Myocytes:
20

Fibroblasts:
45

Endothelial cells:
30

Other cell types:
5

overview
Male, age 53
Heart muscle sample 151
nTPM: 82
Cell types%
Myocytes:
20

Fibroblasts:
45

Endothelial cells:
30

Other cell types:
5

overview
Female, age 69
Heart muscle sample 152
nTPM: 82.5
Cell types%
Myocytes:
20

Fibroblasts:
45

Endothelial cells:
30

Other cell types:
5


HEART MUSCLE - GTEx RNA-seqi

RNA-Seq data generated by the Genotype-Tissue Expression (GTEx) project from human tissues is reported as mean nTPM. More information can be found on the GTEx portal.

Distribution across the dataset is visualized with box plots, shown as median and 25th and 75th percentiles. Points are displayed as outliers if they are above or below 1.5 times the interquartile range. nTPM values of the individual samples are presented next to the box plot.
Max subtype nTPMi

Max subtype nTPM is the value for the subtype with the largest average nTPM across the subtype samples.

64.4
GTEx sample id Sample description nTPM
Heart - Atrial Appendage
Average nTPM: 64.4
Samples: 429

Max nTPM: 98.1
Min nTPM: 42.8
Std nTPM: 9.5
Median nTPM: 63.6
GTEX-ZF29-0426-SM-4WKFN 60-69 years, female 98.1
GTEX-1B97J-0326-SM-7939H 50-59 years, female 95.4
GTEX-13OVI-0326-SM-5K7X1 60-69 years, female 93.6
GTEX-1B8KE-0326-SM-73KTY 50-59 years, male 92.3
GTEX-Y114-0126-SM-4TT8K 50-59 years, female 88.7
GTEX-13O1R-0926-SM-5L3DS 60-69 years, male 87.7
GTEX-13PVR-0926-SM-5S2RB 60-69 years, female 87.1
GTEX-ZZPT-0926-SM-5GICZ 50-59 years, male 86.0
GTEX-13OVG-0426-SM-5KM2T 60-69 years, male 85.6
GTEX-131XG-0526-SM-5DUWF 50-59 years, female 84.9
GTEX-1C2JI-0626-SM-7DHM1 50-59 years, male 84.9
GTEX-14H4A-0426-SM-5ZZWO 40-49 years, female 84.7
GTEX-1H1ZS-1026-SM-9WG6E 70-79 years, male 84.6
GTEX-1KXAM-1426-SM-D3LAC 60-69 years, male 84.4
GTEX-ZVT2-0926-SM-5GICE 50-59 years, female 84.2
GTEX-14E6C-0326-SM-5Q5EE 40-49 years, male 84.1
GTEX-14PN3-0726-SM-6EU14 60-69 years, female 84.1
GTEX-13FHO-1226-SM-5L3EF 60-69 years, male 83.5
GTEX-1GN73-2326-SM-9MQKV 60-69 years, male 83.2
GTEX-14PK6-0726-SM-6LLIX 70-79 years, female 81.6
GTEX-14PJ4-0926-SM-5YY98 60-69 years, male 81.5
GTEX-1LSNM-0426-SM-E9TIZ 50-59 years, male 81.3
GTEX-X5EB-0626-SM-46MVQ 40-49 years, male 80.9
GTEX-1211K-0226-SM-59HJY 60-69 years, female 80.8
GTEX-1QPFJ-0926-SM-EVR3K 30-39 years, female 80.8
GTEX-1IDJU-0626-SM-CKZOG 60-69 years, female 80.6
GTEX-11DXX-0526-SM-5PNVR 60-69 years, female 80.4
GTEX-1J8Q3-1126-SM-ARU8N 60-69 years, male 79.7
GTEX-14PJ6-0626-SM-686Z6 60-69 years, female 79.4
GTEX-ZDYS-0326-SM-5HL4W 50-59 years, male 79.3
GTEX-11ZTT-0526-SM-5EQLA 60-69 years, female 79.1
GTEX-13X6J-1226-SM-79OMF 50-59 years, male 79.1
GTEX-12696-1226-SM-5FQSM 60-69 years, male 79.0
GTEX-16XZZ-1026-SM-7DHKS 60-69 years, male 78.8
GTEX-11TT1-1426-SM-5EGIA 20-29 years, male 78.7
GTEX-ZG7Y-1426-SM-4WWBM 50-59 years, male 78.6
GTEX-13D11-1526-SM-5J2NA 50-59 years, female 78.4
GTEX-1399U-0726-SM-5KM1D 50-59 years, female 78.3
GTEX-13FH7-0826-SM-5J2NW 50-59 years, female 78.3
GTEX-YEC4-0226-SM-4W1YG 40-49 years, male 78.1
GTEX-Z93S-0326-SM-5HL84 50-59 years, male 77.6
GTEX-17F9E-0726-SM-793A1 50-59 years, male 77.4
GTEX-1GMR2-1326-SM-9KNUT 50-59 years, male 77.4
GTEX-1IKOE-0626-SM-A9G31 30-39 years, female 77.4
GTEX-1399S-0826-SM-5KM23 30-39 years, female 77.3
GTEX-146FR-0926-SM-5QGPE 60-69 years, female 76.9
GTEX-14XAO-0926-SM-69LPZ 60-69 years, female 76.9
GTEX-1R7EV-0426-SM-DTX7Z 40-49 years, male 76.6
GTEX-13O61-0426-SM-5L3ET 60-69 years, male 76.4
GTEX-132QS-0526-SM-5IJC7 60-69 years, male 76.2
GTEX-14C39-0726-SM-5RQIK 40-49 years, male 76.2
GTEX-ZDTS-1226-SM-4WKGL 60-69 years, male 76.2
GTEX-12WSG-1226-SM-5EQ4C 50-59 years, female 76.1
GTEX-13FTW-0826-SM-5K7XR 40-49 years, male 76.1
GTEX-ZT9W-0526-SM-57WFG 50-59 years, male 76.1
GTEX-1122O-0626-SM-5N9B9 60-69 years, female 75.9
GTEX-1P4AB-0926-SM-E76PV 50-59 years, male 75.9
GTEX-13O21-0326-SM-5J1N9 50-59 years, male 75.8
GTEX-14BMV-1026-SM-5SI6B 50-59 years, male 75.5
GTEX-1RB15-0426-SM-E9U4Y 60-69 years, male 75.4
GTEX-148VJ-1426-SM-5TDE3 70-79 years, male 75.2
GTEX-13X6K-1726-SM-7IGLG 60-69 years, female 75.1
GTEX-X8HC-1026-SM-46MWH 50-59 years, female 75.0
GTEX-ZTPG-1326-SM-51MSQ 20-29 years, female 74.8
GTEX-14E1K-0826-SM-5ZZW9 50-59 years, male 74.6
GTEX-ZPCL-0526-SM-DO91R 60-69 years, female 74.6
GTEX-YB5K-0226-SM-5IFJE 40-49 years, female 74.2
GTEX-11LCK-0826-SM-5PNYD 30-39 years, male 74.1
GTEX-XXEK-2026-SM-4BRVE 50-59 years, male 74.1
GTEX-14JG1-0826-SM-5ZZWR 40-49 years, male 73.9
GTEX-WH7G-0326-SM-3NMBH 40-49 years, male 73.9
GTEX-ZLFU-0326-SM-4WWBK 40-49 years, male 73.9
GTEX-ZAK1-1126-SM-5PNXU 50-59 years, female 73.8
GTEX-ZGAY-0226-SM-4WWAL 40-49 years, female 73.8
GTEX-131XF-0426-SM-5HL7U 60-69 years, male 73.6
GTEX-ZPU1-0726-SM-5HL6O 40-49 years, male 73.5
GTEX-YF7O-0526-SM-5P9IO 50-59 years, male 73.4
GTEX-1HCUA-0626-SM-ACKVT 50-59 years, female 73.1
GTEX-15CHC-0326-SM-5ZZVP 60-69 years, female 73.0
GTEX-13N1W-0926-SM-5MR36 70-79 years, male 72.8
GTEX-XGQ4-0526-SM-4AT6C 50-59 years, male 72.8
GTEX-1OFPY-0926-SM-DTX8Q 60-69 years, male 72.8
GTEX-X4EP-0326-SM-3P5Z6 60-69 years, female 72.7
GTEX-11TUW-1126-SM-5EQKJ 60-69 years, male 72.5
GTEX-ZYFG-0526-SM-5GZXX 60-69 years, female 72.5
GTEX-18D9U-1426-SM-718BO 40-49 years, male 72.2
GTEX-V955-0826-SM-CYPR5 60-69 years, male 72.2
GTEX-1192X-0726-SM-5987R 50-59 years, male 71.9
GTEX-WEY5-0226-SM-3GIKN 40-49 years, female 71.9
GTEX-ZYT6-0926-SM-5GIEM 30-39 years, male 71.8
GTEX-12WSN-0226-SM-5DUXH 40-49 years, male 71.6
GTEX-1HSMQ-0426-SM-ADEIM 50-59 years, male 71.6
GTEX-11GSP-1226-SM-5985M 60-69 years, female 71.5
GTEX-1J1OQ-2226-SM-A96SS 40-49 years, female 71.5
GTEX-1GL5R-0426-SM-9WPOP 50-59 years, male 71.4
GTEX-15ER7-0826-SM-6PALW 20-29 years, female 71.3
GTEX-13W3W-0526-SM-5LU3X 60-69 years, female 71.2
GTEX-17JCI-0826-SM-7LT8W 60-69 years, female 71.1
GTEX-18A67-1026-SM-731CE 50-59 years, male 71.1
GTEX-11EQ8-1326-SM-5EGJQ 60-69 years, male 71.0
GTEX-11WQK-0226-SM-5EQLI 50-59 years, male 71.0
GTEX-12WSK-0526-SM-5CVNA 40-49 years, female 71.0
GTEX-15RIE-1326-SM-6PAMM 60-69 years, male 70.9
GTEX-1B996-1026-SM-793CF 60-69 years, male 70.9
GTEX-ZZPU-1126-SM-5N9CW 50-59 years, female 70.3
GTEX-12WSE-0926-SM-5S2VX 20-29 years, male 70.1
GTEX-14BIM-2726-SM-5Q5EG 60-69 years, female 70.0
GTEX-13PVQ-1326-SM-5LU4J 50-59 years, male 69.9
GTEX-XYKS-0226-SM-4BRW3 60-69 years, female 69.9
GTEX-1HSGN-0926-SM-CNNQM 40-49 years, female 69.9
GTEX-1KANC-0226-SM-E9TIW 50-59 years, female 69.9
GTEX-15EU6-1326-SM-6PANG 50-59 years, male 69.8
GTEX-13NZB-0426-SM-5KM26 30-39 years, male 69.7
GTEX-12WSD-1226-SM-5HL9Q 60-69 years, female 69.6
GTEX-132Q8-1126-SM-5K7XS 60-69 years, male 69.5
GTEX-14PHX-0626-SM-5YY8Z 50-59 years, male 69.5
GTEX-WHSE-0826-SM-4SOJU 20-29 years, male 69.5
GTEX-1I1GP-0626-SM-ARL7H 50-59 years, male 69.2
GTEX-1CB4I-1526-SM-7DHMY 50-59 years, male 69.1
GTEX-15CHQ-1326-SM-6871Z 60-69 years, male 69.0
GTEX-1HSKV-0726-SM-ACKWE 60-69 years, male 68.8
GTEX-1LGOU-0326-SM-D3LAM 20-29 years, female 68.8
GTEX-1AYCT-0526-SM-7RHHS 50-59 years, male 68.7
GTEX-16XZY-0526-SM-7DHKY 70-79 years, male 68.5
GTEX-13PL7-0726-SM-5KM1S 60-69 years, female 68.4
GTEX-1AX9J-0926-SM-73KXA 60-69 years, male 68.4
GTEX-XOT4-1126-SM-4B66E 60-69 years, female 68.4
GTEX-1JMQL-1026-SM-CMKGV 50-59 years, female 68.4
GTEX-14PHY-0326-SM-62LE3 60-69 years, female 68.3
GTEX-1QCLZ-1126-SM-EWRNB 60-69 years, female 68.3
GTEX-15SDE-1826-SM-7KUFN 50-59 years, female 68.2
GTEX-1HBPH-0226-SM-9WYSM 40-49 years, female 68.2
GTEX-13YAN-1426-SM-7EPG8 60-69 years, male 68.1
GTEX-17F96-0826-SM-7DHLU 70-79 years, male 68.1
GTEX-13OW7-1626-SM-5IJDH 50-59 years, male 68.0
GTEX-147JS-1326-SM-5SI6D 60-69 years, male 68.0
GTEX-ZE7O-0626-SM-57WCD 50-59 years, female 68.0
GTEX-1MJIX-0426-SM-DTXEN 40-49 years, male 68.0
GTEX-15RJE-0726-SM-7KUEG 40-49 years, male 67.8
GTEX-1E1VI-1426-SM-793CY 50-59 years, male 67.8
GTEX-1445S-1226-SM-5O9BF 60-69 years, male 67.7
GTEX-1GZ4I-0826-SM-9WG6O 50-59 years, male 67.7
GTEX-13N11-0726-SM-5L3DP 50-59 years, female 67.6
GTEX-111FC-0626-SM-5N9CU 60-69 years, male 67.5
GTEX-13NYS-1926-SM-5IJCB 60-69 years, male 67.4
GTEX-ZF2S-0826-SM-4WWBI 50-59 years, female 67.4
GTEX-ZEX8-0326-SM-DO92C 50-59 years, male 67.4
GTEX-14PJO-0826-SM-6ETZK 60-69 years, male 67.2
GTEX-15DCE-0826-SM-7KULW 20-29 years, male 67.2
GTEX-13NZ9-0126-SM-5K7XV 50-59 years, male 67.0
GTEX-14PN4-0826-SM-69LON 50-59 years, male 66.8
GTEX-12ZZX-0726-SM-5EGKA 40-49 years, female 66.7
GTEX-16NPX-0826-SM-6M489 50-59 years, male 66.6
GTEX-U8XE-0926-SM-3DB8V 30-39 years, male 66.5
GTEX-1L5NE-0526-SM-DIPG5 50-59 years, male 66.5
GTEX-1192W-0226-SM-5EGGT 60-69 years, male 66.4
GTEX-14PII-1026-SM-5ZZVW 60-69 years, male 66.4
GTEX-15SHV-0526-SM-7KUEN 60-69 years, male 66.4
GTEX-1B8SG-0726-SM-79ONS 50-59 years, male 66.4
GTEX-YEC3-0426-SM-CYPS8 50-59 years, male 66.4
GTEX-11P81-0526-SM-59873 30-39 years, female 66.3
GTEX-1MCC2-0226-SM-EVYD5 30-39 years, female 66.2
GTEX-11EM3-0426-SM-5N9BZ 20-29 years, female 66.0
GTEX-1IKOH-0926-SM-A9SLU 60-69 years, female 66.0
GTEX-1CB4E-0626-SM-7DHMW 60-69 years, male 65.9
GTEX-1C6WA-0826-SM-7PBXS 60-69 years, male 65.9
GTEX-XLM4-2026-SM-4AT4X 60-69 years, male 65.7
GTEX-111YS-0326-SM-5GZZ3 60-69 years, male 65.6
GTEX-13QBU-0226-SM-5LU48 40-49 years, female 65.6
GTEX-1477Z-1126-SM-5P9GK 60-69 years, male 65.5
GTEX-1R9JW-0426-SM-E76QL 30-39 years, female 65.5
GTEX-1313W-1126-SM-5EQ5U 50-59 years, female 65.3
GTEX-18D9B-1126-SM-7KFSH 60-69 years, male 65.3
GTEX-14ASI-0826-SM-5Q5EB 60-69 years, male 65.2
GTEX-ZYFD-2026-SM-5E459 50-59 years, male 65.2
GTEX-1GN1W-0226-SM-7P8QY 50-59 years, female 65.2
GTEX-1399R-1726-SM-5K7YJ 30-39 years, male 65.0
GTEX-13VXT-0726-SM-5SIAD 20-29 years, female 65.0
GTEX-15CHR-0326-SM-7DHN3 50-59 years, male 65.0
GTEX-16YQH-0726-SM-7IGM1 30-39 years, male 65.0
GTEX-1AX9K-0426-SM-73KUG 50-59 years, male 65.0
GTEX-11DYG-1026-SM-5A5JQ 60-69 years, male 64.9
GTEX-13CF2-0226-SM-5L3DV 60-69 years, male 64.9
GTEX-13O3P-1426-SM-5L3DT 50-59 years, male 64.9
GTEX-WHWD-0326-SM-3LK6L 50-59 years, male 64.9
GTEX-WL46-0726-SM-3LK5Z 50-59 years, male 64.9
GTEX-ZDTT-0326-SM-4WKF9 60-69 years, male 64.9
GTEX-1B8L1-0426-SM-7SB76 60-69 years, male 64.9
GTEX-1JMQK-0926-SM-ARL96 60-69 years, male 64.8
GTEX-ZV7C-0526-SM-9WPNK 50-59 years, male 64.8
GTEX-13112-0526-SM-5EQ4S 50-59 years, male 64.6
GTEX-13S86-0326-SM-5SI6K 40-49 years, male 64.6
GTEX-11DXZ-0326-SM-5EGH1 50-59 years, male 64.5
GTEX-WFG8-0726-SM-3GILP 20-29 years, male 64.5
GTEX-XV7Q-0726-SM-4BRV6 40-49 years, female 64.5
GTEX-1J8EW-0626-SM-CM2TY 60-69 years, female 64.5
GTEX-1LGRB-1026-SM-CNPQD 50-59 years, female 64.5
GTEX-139YR-0526-SM-5L3DG 50-59 years, male 64.3
GTEX-15UF7-1526-SM-6LPI7 40-49 years, male 64.3
GTEX-1IL2U-1226-SM-CL53P 60-69 years, male 64.3
GTEX-11DXY-1026-SM-5987V 60-69 years, male 64.2
GTEX-1339X-0326-SM-5K7Z8 40-49 years, male 64.2
GTEX-15SHU-0926-SM-6PAMK 40-49 years, female 64.2
GTEX-X3Y1-0226-SM-3P5Z5 40-49 years, male 64.2
GTEX-XPT6-0226-SM-4B65L 20-29 years, male 64.1
GTEX-17GQL-0626-SM-731CN 60-69 years, male 64.0
GTEX-Y5V5-0726-SM-4VBPY 60-69 years, female 63.9
GTEX-1HBPN-0926-SM-CGQEG 50-59 years, male 63.9
GTEX-12BJ1-0326-SM-5FQUB 60-69 years, male 63.8
GTEX-1F48J-1126-SM-9WYSY 50-59 years, female 63.8
GTEX-12WSC-1026-SM-5EQ5Y 50-59 years, male 63.6
GTEX-1B933-0826-SM-79OMW 50-59 years, female 63.6
GTEX-WI4N-0726-SM-3TW93 40-49 years, female 63.6
GTEX-1E2YA-0626-SM-7P8P4 50-59 years, male 63.6
GTEX-1IDJD-0226-SM-CKZOA 30-39 years, male 63.6
GTEX-12WSA-1126-SM-5EGKU 60-69 years, male 63.5
GTEX-13U4I-0626-SM-5LU5L 40-49 years, female 63.5
GTEX-YJ8O-0826-SM-5CVM3 40-49 years, female 63.5
GTEX-1IY9M-0626-SM-D4P2L 60-69 years, male 63.5
GTEX-13FXS-1026-SM-62LFQ 50-59 years, male 63.4
GTEX-1NHNU-0626-SM-E6CP1 50-59 years, male 63.4
GTEX-WK11-0626-SM-3NMAV 50-59 years, male 63.2
GTEX-16MT8-0826-SM-7KULO 60-69 years, female 63.1
GTEX-117YX-0626-SM-5EGJI 50-59 years, male 63.0
GTEX-13FHP-0826-SM-5K7V5 50-59 years, male 63.0
GTEX-14C38-1326-SM-62LDK 50-59 years, male 63.0
GTEX-18A66-1126-SM-731C5 60-69 years, male 63.0
GTEX-18A6Q-1526-SM-731CO 60-69 years, male 62.9
GTEX-ZUA1-0726-SM-4YCD9 40-49 years, male 62.9
GTEX-WHPG-1026-SM-3NMBA 50-59 years, male 62.8
GTEX-13JVG-1126-SM-5KM2M 60-69 years, male 62.7
GTEX-14A6H-0326-SM-5NQAN 30-39 years, male 62.7
GTEX-13OW6-0926-SM-5L3GM 50-59 years, male 62.6
GTEX-144GL-1026-SM-5O99R 50-59 years, male 62.4
GTEX-14DAQ-1026-SM-793B1 60-69 years, female 62.4
GTEX-183WM-0926-SM-718AN 70-79 years, female 62.4
GTEX-1A3MX-1226-SM-731B3 60-69 years, male 62.4
GTEX-1BAJH-1026-SM-7EWEG 70-79 years, male 62.4
GTEX-ZTTD-0626-SM-4YCCY 50-59 years, male 62.4
GTEX-ZYVF-1826-SM-5E44F 50-59 years, female 62.4
GTEX-1GF9U-0526-SM-7P8SK 40-49 years, female 62.4
GTEX-17MF6-0926-SM-7LTAL 40-49 years, male 62.3
GTEX-XQ8I-0226-SM-4BOPM 50-59 years, male 62.3
GTEX-1GZ2Q-0926-SM-7RHHN 40-49 years, male 62.3
GTEX-1HT8W-1326-SM-CGQEN 30-39 years, male 62.3
GTEX-131YS-0826-SM-5PNYV 60-69 years, female 62.2
GTEX-1IDJH-1126-SM-COH3R 70-79 years, male 62.2
GTEX-XPVG-0726-SM-4B658 50-59 years, male 62.1
GTEX-ZDXO-0426-SM-4WKF6 60-69 years, male 62.1
GTEX-12WSI-0426-SM-5EQ5J 50-59 years, male 62.0
GTEX-1399T-0726-SM-5J1MH 60-69 years, male 62.0
GTEX-1ICG6-0726-SM-B2LY5 70-79 years, female 62.0
GTEX-14E7W-1126-SM-5ZZVS 70-79 years, male 61.7
GTEX-WFG7-0826-SM-3GIKU 20-29 years, male 61.7
GTEX-1JK1U-0626-SM-CKZOJ 60-69 years, male 61.7
GTEX-W5X1-0826-SM-3GILN 40-49 years, female 61.6
GTEX-Y8E4-0426-SM-4V6GB 40-49 years, male 61.6
GTEX-1212Z-0726-SM-5EGI5 60-69 years, male 61.5
GTEX-ZYFC-1026-SM-5GZX9 50-59 years, male 61.3
GTEX-132AR-1926-SM-5EGK5 50-59 years, female 61.1
GTEX-1CB4G-0726-SM-79OOJ 60-69 years, male 61.0
GTEX-1EWIQ-1126-SM-7EPIK 70-79 years, female 61.0
GTEX-WWYW-1126-SM-3NB2Q 50-59 years, female 61.0
GTEX-Y3IK-1026-SM-51MR7 50-59 years, female 60.9
GTEX-1PPGY-0926-SM-DTXFF 60-69 years, male 60.9
GTEX-ZAB5-0126-SM-5CVMT 50-59 years, male 60.8
GTEX-1GMR3-0426-SM-7PC17 40-49 years, male 60.8
GTEX-1H3NZ-1026-SM-A9SM5 60-69 years, male 60.8
GTEX-17KNJ-0626-SM-7LT9L 50-59 years, male 60.7
GTEX-WYJK-1126-SM-3NM9Z 50-59 years, male 60.7
GTEX-132NY-1426-SM-5J1MJ 60-69 years, male 60.6
GTEX-Y3I4-0526-SM-4TT6X 50-59 years, male 60.6
GTEX-1HCU7-1226-SM-B2LX8 50-59 years, male 60.6
GTEX-1I19N-0626-SM-A9SKY 70-79 years, male 60.6
GTEX-ZAB4-0926-SM-5CVN4 40-49 years, male 60.5
GTEX-1QEPI-1126-SM-E8VN7 60-69 years, female 60.5
GTEX-145LV-0226-SM-5S2QG 50-59 years, male 60.4
GTEX-1GN1U-1426-SM-7P8TF 50-59 years, female 60.4
GTEX-1B8SF-1326-SM-7IGQJ 60-69 years, male 60.3
GTEX-1GMR8-1026-SM-9MQLA 50-59 years, female 60.3
GTEX-1LH75-0526-SM-DIPG2 50-59 years, female 60.3
GTEX-145MN-0726-SM-5NQBH 30-39 years, male 60.2
GTEX-1GN2E-1426-SM-7RHHI 60-69 years, male 60.2
GTEX-1117F-0726-SM-5GIEN 60-69 years, female 60.0
GTEX-ZXG5-0626-SM-5NQ85 60-69 years, male 59.9
GTEX-13SLW-0826-SM-5QGP7 70-79 years, male 59.8
GTEX-VUSG-0726-SM-3GIK1 50-59 years, male 59.8
GTEX-WFON-0226-SM-3GIKR 40-49 years, male 59.8
GTEX-XQ3S-0526-SM-4BOQA 20-29 years, male 59.8
GTEX-15D1Q-0426-SM-6AJ9G 40-49 years, male 59.7
GTEX-WYBS-1226-SM-3NM9N 60-69 years, female 59.7
GTEX-1CAMS-1126-SM-7MXUQ 40-49 years, female 59.7
GTEX-13O3Q-0326-SM-5L3FE 50-59 years, male 59.6
GTEX-13RTJ-0526-SM-62LDP 60-69 years, male 59.3
GTEX-1CAMQ-0726-SM-7P8SG 40-49 years, male 59.2
GTEX-111VG-0326-SM-5GZX7 60-69 years, male 59.1
GTEX-WY7C-1126-SM-3NB3A 50-59 years, male 59.1
GTEX-11NV4-0826-SM-5BC4S 60-69 years, male 59.0
GTEX-15SKB-0926-SM-7KUFC 60-69 years, male 59.0
GTEX-1H11D-1026-SM-9QEIU 40-49 years, male 59.0
GTEX-18465-0726-SM-7LG4L 50-59 years, male 58.9
GTEX-14A5I-1026-SM-5Q5E3 50-59 years, female 58.8
GTEX-1H2FU-0826-SM-9WYSU 60-69 years, female 58.8
GTEX-1A32A-1326-SM-73KWW 50-59 years, female 58.7
GTEX-1QMI2-1026-SM-DTX7T 60-69 years, male 58.7
GTEX-1EMGI-1126-SM-9KNUF 60-69 years, male 58.6
GTEX-1LVAN-1526-SM-CNPQN 50-59 years, female 58.6
GTEX-11EMC-0826-SM-59862 60-69 years, female 58.5
GTEX-13FTZ-0326-SM-5J1O1 60-69 years, male 58.5
GTEX-1IDJF-0826-SM-ARU7N 20-29 years, male 58.5
GTEX-1F6I4-0826-SM-7RHGK 60-69 years, male 58.4
GTEX-1GMRU-1326-SM-9WYUI 50-59 years, male 58.0
GTEX-1J8Q2-1026-SM-ARU8I 60-69 years, male 58.0
GTEX-1JN6P-0826-SM-ARL97 60-69 years, male 58.0
GTEX-13PDP-1326-SM-5K7U9 60-69 years, male 57.9
GTEX-13PL6-0826-SM-5IJBI 40-49 years, female 57.8
GTEX-1HFI6-0826-SM-9YFM2 40-49 years, male 57.8
GTEX-1J8QM-0326-SM-CL53D 60-69 years, female 57.8
GTEX-1KANB-1126-SM-DHXJT 50-59 years, male 57.7
GTEX-131XE-0526-SM-5K7YT 50-59 years, male 57.5
GTEX-1HFI7-0526-SM-A9SMA 50-59 years, female 57.5
GTEX-13OW5-0926-SM-5L3GZ 60-69 years, male 57.4
GTEX-YFC4-0426-SM-4TT3J 40-49 years, female 57.4
GTEX-1EU9M-1926-SM-7RHH4 60-69 years, male 57.4
GTEX-1EX96-2626-SM-9MQJV 50-59 years, male 57.3
GTEX-13JUV-0226-SM-5IJCC 40-49 years, female 57.0
GTEX-1C64O-0926-SM-79OLN 60-69 years, male 57.0
GTEX-117YW-0426-SM-5GZZZ 50-59 years, male 56.9
GTEX-14BIN-2126-SM-793AX 50-59 years, female 56.8
GTEX-1C6VQ-0826-SM-7PBZT 50-59 years, male 56.8
GTEX-1K2DU-0226-SM-DIPF6 20-29 years, male 56.8
GTEX-1M5QR-1626-SM-E9U5O 40-49 years, male 56.7
GTEX-117XS-0726-SM-5H131 60-69 years, male 56.6
GTEX-17HGU-1126-SM-793BP 50-59 years, male 56.6
GTEX-ZVT3-0826-SM-5GIC8 60-69 years, female 56.6
GTEX-1CB4J-0226-SM-7P8T4 60-69 years, male 56.6
GTEX-1A8FM-1026-SM-7PC26 50-59 years, female 56.5
GTEX-ZPIC-0426-SM-DO91V 40-49 years, female 56.5
GTEX-14BIL-0926-SM-7DHKN 50-59 years, male 56.4
GTEX-18A7A-1226-SM-7LTAJ 50-59 years, female 56.4
GTEX-11O72-1026-SM-5986B 40-49 years, male 56.2
GTEX-1F75I-1326-SM-7PBZX 40-49 years, male 56.2
GTEX-147F4-1126-SM-5TDDE 50-59 years, male 56.1
GTEX-1IKJJ-0626-SM-CY8GF 60-69 years, male 56.1
GTEX-13NZA-0826-SM-5K7WS 60-69 years, male 56.0
GTEX-ZVZQ-0726-SM-51MR3 60-69 years, female 55.9
GTEX-1IL2V-1126-SM-CMKGH 70-79 years, male 55.8
GTEX-1JMOU-0326-SM-ARL8X 60-69 years, female 55.8
GTEX-1H3VY-1126-SM-A96TP 50-59 years, male 55.7
GTEX-11UD2-0926-SM-5CVL6 50-59 years, male 55.6
GTEX-XBEC-1226-SM-4AT65 50-59 years, male 55.6
GTEX-1HCVE-0826-SM-CM2SF 50-59 years, male 55.6
GTEX-146FH-1126-SM-5NQAT 50-59 years, female 55.5
GTEX-ZVT4-1326-SM-5NQ8E 50-59 years, female 55.4
GTEX-1I1CD-1326-SM-A9SMM 60-69 years, female 55.4
GTEX-17EVP-0526-SM-7EPGY 40-49 years, male 55.3
GTEX-1AX8Z-1126-SM-731CS 60-69 years, male 55.2
GTEX-1H3O1-0226-SM-9WYSW 60-69 years, male 55.2
GTEX-12ZZY-1226-SM-5GCNK 60-69 years, male 55.1
GTEX-1I1GR-1026-SM-A9SLC 60-69 years, male 55.1
GTEX-1LG7Y-1426-SM-D4P31 50-59 years, male 55.1
GTEX-1LVAO-0626-SM-EWRNT 60-69 years, male 54.9
GTEX-145LS-1326-SM-5Q5EP 60-69 years, female 54.8
GTEX-11ZVC-0526-SM-5N9G1 50-59 years, female 54.7
GTEX-X261-0926-SM-3NMCY 50-59 years, male 54.7
GTEX-16GPK-1226-SM-7LTAU 60-69 years, male 54.6
GTEX-1QP6S-1026-SM-DTXFW 40-49 years, male 54.6
GTEX-11ONC-1026-SM-5GU64 60-69 years, male 54.3
GTEX-13O3O-1426-SM-5KM2S 60-69 years, female 54.3
GTEX-1HC8U-0626-SM-B2LWB 40-49 years, female 54.2
GTEX-ZAJG-0926-SM-5Q5AB 50-59 years, female 54.1
GTEX-1AX9I-1026-SM-73KYF 60-69 years, male 54.0
GTEX-1B932-1326-SM-79OM4 40-49 years, female 54.0
GTEX-17F9Y-1226-SM-7EPGE 70-79 years, female 53.9
GTEX-UPK5-0226-SM-3GAEV 40-49 years, male 53.9
GTEX-12584-1026-SM-59HK3 40-49 years, male 53.8
GTEX-1F75B-1126-SM-7RHGP 50-59 years, male 53.8
GTEX-1GF9V-1726-SM-9KNW4 60-69 years, male 53.8
GTEX-11ZUS-0326-SM-5EQ4W 30-39 years, male 53.7
GTEX-1RLM8-0226-SM-E6CJY 50-59 years, male 53.7
GTEX-1HSMO-1126-SM-CGQF2 60-69 years, male 53.6
GTEX-VJWN-1026-SM-4M1ZN 50-59 years, female 53.5
GTEX-1H1CY-0426-SM-9KNVD 60-69 years, female 53.5
GTEX-1R9K4-1026-SM-EXUT1 60-69 years, male 53.5
GTEX-1HBPM-1026-SM-ARL9D 60-69 years, female 53.2
GTEX-139TU-1926-SM-5J2OC 60-69 years, male 53.0
GTEX-1IKK5-1726-SM-CM2RU 60-69 years, male 53.0
GTEX-1JMLX-1826-SM-CNPOX 50-59 years, male 52.9
GTEX-WQUQ-1326-SM-3MJFF 60-69 years, male 52.8
GTEX-11GS4-0426-SM-5N9CD 60-69 years, male 52.7
GTEX-X62O-0826-SM-46MW8 50-59 years, male 52.7
GTEX-1QP29-1426-SM-DTX9Q 50-59 years, male 52.7
GTEX-13SLX-0926-SM-5S2NM 50-59 years, female 52.5
GTEX-14PJM-0826-SM-6LLIW 50-59 years, female 52.3
GTEX-1I1HK-0626-SM-CNPQM 60-69 years, male 52.3
GTEX-13NYB-0326-SM-5IJDP 40-49 years, male 52.1
GTEX-1JJ6O-2226-SM-AHZ3I 60-69 years, male 52.1
GTEX-1MJK2-1626-SM-EVYCQ 50-59 years, male 52.1
GTEX-1LB8K-0926-SM-D4P42 50-59 years, male 51.9
GTEX-1IOXB-0726-SM-A9G32 50-59 years, male 51.7
GTEX-UTHO-1226-SM-3GAEE 60-69 years, male 51.6
GTEX-1GTWX-0926-SM-9MQKM 60-69 years, male 51.5
GTEX-ZF3C-1126-SM-57WEG 50-59 years, female 51.2
GTEX-WZTO-1226-SM-3NMAZ 40-49 years, male 51.1
GTEX-1JJEA-0926-SM-CYPSO 60-69 years, male 51.1
GTEX-14PJ2-1126-SM-69LOD 50-59 years, male 50.8
GTEX-1H1DG-0826-SM-9QEIW 70-79 years, male 50.3
GTEX-1HUB1-0726-SM-CGQF4 60-69 years, male 50.2
GTEX-WRHU-1026-SM-4E3ID 50-59 years, female 49.9
GTEX-11NUK-0926-SM-5HL57 50-59 years, male 49.3
GTEX-1I1GQ-1226-SM-CL55J 50-59 years, male 49.3
GTEX-1I1GV-1426-SM-B2LXN 60-69 years, male 49.3
GTEX-1NSGN-1226-SM-E76OL 50-59 years, male 49.3
GTEX-1KD5A-0926-SM-D4P3U 50-59 years, male 49.1
GTEX-V1D1-0626-SM-4JBHN 50-59 years, male 49.0
GTEX-1EH9U-0626-SM-7PC33 60-69 years, male 49.0
GTEX-1F88F-0326-SM-9KNV3 60-69 years, female 48.2
GTEX-1CB4H-0626-SM-7IGN3 60-69 years, female 48.1
GTEX-1HR98-1026-SM-CKZOM 60-69 years, male 48.0
GTEX-YECK-1226-SM-4W21G 60-69 years, male 47.5
GTEX-1F75A-1026-SM-7PC3W 50-59 years, male 47.2
GTEX-1A8G6-1826-SM-73KY8 60-69 years, male 46.3
GTEX-WOFL-1226-SM-4OOST 60-69 years, male 46.3
GTEX-14C5O-1226-SM-664N3 60-69 years, male 46.0
GTEX-1GN1V-1026-SM-CNPPS 60-69 years, male 45.8
GTEX-1C64N-0826-SM-7RHGQ 50-59 years, male 45.5
GTEX-1LSNL-0626-SM-DIPFJ 50-59 years, male 44.9
GTEX-X4XX-1126-SM-3NMBY 60-69 years, male 44.5
GTEX-1POEN-0726-SM-DTXDU 30-39 years, female 42.8
Show allShow less
Heart - Left Ventricle
Average nTPM: 60.8
Samples: 432

Max nTPM: 98.1
Min nTPM: 38.1
Std nTPM: 9.5
Median nTPM: 60.1
GTEX-13X6H-0426-SM-5LU4E 50-59 years, female 98.1
GTEX-12696-1126-SM-5FQTI 60-69 years, male 96.1
GTEX-14PN3-0526-SM-69LQF 60-69 years, female 96.0
GTEX-Y114-0226-SM-4TT8W 50-59 years, female 94.3
GTEX-14PK6-0826-SM-5ZZVO 70-79 years, female 91.5
GTEX-14PJ6-0726-SM-69LOL 60-69 years, female 90.6
GTEX-132QS-0426-SM-5KLZ6 60-69 years, male 85.3
GTEX-ZTPG-1226-SM-4YCDO 20-29 years, female 83.3
GTEX-14E6C-0426-SM-5YYA8 40-49 years, male 83.2
GTEX-1IKOE-1026-SM-ARZMF 30-39 years, female 81.8
GTEX-QDVN-0326-SM-2I3FS 50-59 years, male 80.3
GTEX-ZLFU-0226-SM-4WWFH 40-49 years, male 79.9
GTEX-1PWST-1026-SM-DTXF2 70-79 years, male 79.8
GTEX-ZF29-0226-SM-4WKHO 60-69 years, female 79.6
GTEX-ZVZP-0226-SM-5NQ73 50-59 years, male 79.5
GTEX-1B97J-0726-SM-7RHG3 50-59 years, female 79.2
GTEX-1CB4J-0326-SM-7PBZO 60-69 years, male 78.7
GTEX-1AX9J-1026-SM-72D6E 60-69 years, male 78.6
GTEX-1399U-0526-SM-5K7YM 50-59 years, female 78.1
GTEX-1B8KE-0126-SM-793AM 50-59 years, male 78.1
GTEX-QESD-0526-SM-2I5G5 20-29 years, male 77.8
GTEX-1OFPY-1026-SM-EXUSO 60-69 years, male 77.7
GTEX-15EOM-5007-SM-793DG 20-29 years, female 77.4
GTEX-U4B1-0326-SM-3DB8K 40-49 years, male 77.2
GTEX-1399S-1026-SM-5KLZ9 30-39 years, female 76.1
GTEX-13QBU-0426-SM-5J2O4 40-49 years, female 75.9
GTEX-11DXX-0326-SM-5PNWC 60-69 years, female 75.5
GTEX-14XAO-1126-SM-6EU11 60-69 years, female 75.5
GTEX-1AYCT-0426-SM-73KVZ 50-59 years, male 75.5
GTEX-14PHY-0226-SM-5ZZWM 60-69 years, female 75.4
GTEX-16BQI-0926-SM-6M485 30-39 years, female 75.2
GTEX-1C2JI-0526-SM-7EWEQ 50-59 years, male 74.8
GTEX-QLQ7-0526-SM-2I5G3 60-69 years, male 74.4
GTEX-11EM3-0626-SM-5H12Z 20-29 years, female 74.1
GTEX-12BJ1-0226-SM-5LUA2 60-69 years, male 74.1
GTEX-13CF3-0726-SM-5J2MY 60-69 years, female 74.0
GTEX-1211K-0626-SM-5FQUZ 60-69 years, female 73.9
GTEX-OHPL-0326-SM-33HC8 60-69 years, female 73.7
GTEX-13PVR-1026-SM-5QGQW 60-69 years, female 73.6
GTEX-13U4I-0826-SM-5SIBD 40-49 years, female 73.6
GTEX-148VJ-1526-SM-5Q5DU 70-79 years, male 73.4
GTEX-11I78-0826-SM-5A5K4 50-59 years, female 73.1
GTEX-15CHC-0426-SM-6LLHI 60-69 years, female 73.1
GTEX-13FTW-1026-SM-5L3E3 40-49 years, male 72.9
GTEX-PWCY-0526-SM-5P9HG 20-29 years, female 72.7
GTEX-UJHI-0426-SM-3DB8Y 50-59 years, female 72.7
GTEX-ZVT2-1026-SM-5GU55 50-59 years, female 72.5
GTEX-1CB4I-1626-SM-7RHGV 50-59 years, male 72.4
GTEX-14H4A-0626-SM-5ZZUT 40-49 years, female 72.2
GTEX-OHPK-0326-SM-2HMJO 50-59 years, female 72.0
GTEX-ZV7C-0326-SM-57WB1 50-59 years, male 72.0
GTEX-13O61-0526-SM-5J2M1 60-69 years, male 71.9
GTEX-13FH7-0926-SM-5J2MR 50-59 years, female 71.7
GTEX-1GMR2-1426-SM-7RHHK 50-59 years, male 71.5
GTEX-117YX-1126-SM-5H128 50-59 years, male 71.4
GTEX-15RJ7-0226-SM-7KUMN 40-49 years, male 71.3
GTEX-1KANC-0426-SM-CXZK5 50-59 years, female 71.2
GTEX-1HCVE-1126-SM-9WPPG 50-59 years, male 71.1
GTEX-ZUA1-0826-SM-4YCDL 40-49 years, male 70.8
GTEX-ZDTT-0726-SM-4WKFK 60-69 years, male 70.6
GTEX-1KXAM-1326-SM-E9TJW 60-69 years, male 70.3
GTEX-1L5NE-0426-SM-E9TIX 50-59 years, male 70.3
GTEX-ZGAY-0326-SM-57WF5 40-49 years, female 70.1
GTEX-ZZPU-0926-SM-5GZYT 50-59 years, female 70.1
GTEX-1122O-0826-SM-5GICV 60-69 years, female 69.9
GTEX-131XF-5001-SM-7DHLY 60-69 years, male 69.9
GTEX-1HCUA-0526-SM-A9SMH 50-59 years, female 69.9
GTEX-1LH75-0426-SM-E9TJF 50-59 years, female 69.9
GTEX-131XG-0626-SM-5GCMP 50-59 years, female 69.7
GTEX-1EU9M-1826-SM-7DUGU 60-69 years, male 69.7
GTEX-ZYT6-1726-SM-5E44P 30-39 years, male 69.7
GTEX-1LGRB-1126-SM-CNPP2 50-59 years, female 69.7
GTEX-1IDJU-0726-SM-CNPQ9 60-69 years, female 69.6
GTEX-13S86-0226-SM-5S2PJ 40-49 years, male 69.4
GTEX-ZPCL-0426-SM-DNZZ4 60-69 years, female 69.3
GTEX-POMQ-0326-SM-2I5FO 20-29 years, female 69.1
GTEX-XXEK-0926-SM-4BRWH 50-59 years, male 69.1
GTEX-12WSK-0626-SM-5LZUJ 40-49 years, female 68.6
GTEX-14C38-1426-SM-5RQHZ 50-59 years, male 68.6
GTEX-1B996-1126-SM-73KWN 60-69 years, male 68.6
GTEX-R55E-1026-SM-2TC5S 20-29 years, male 68.6
GTEX-1GL5R-0326-SM-9WYTJ 50-59 years, male 68.6
GTEX-139YR-0826-SM-5LZXY 50-59 years, male 68.5
GTEX-14BIL-1126-SM-79OMC 50-59 years, male 68.4
GTEX-ZDYS-0226-SM-5HL4K 50-59 years, male 68.4
GTEX-14E6D-0926-SM-5S2QV 50-59 years, male 68.2
GTEX-14PJ4-1126-SM-5YY91 60-69 years, male 68.2
GTEX-146FR-0626-SM-5RQJ1 60-69 years, female 67.9
GTEX-RNOR-0826-SM-2TF5C 50-59 years, female 67.8
GTEX-1339X-0426-SM-5KLZY 40-49 years, male 67.7
GTEX-OIZH-0326-SM-2HMKC 50-59 years, male 67.7
GTEX-PX3G-0326-SM-2I3EO 20-29 years, female 67.7
GTEX-YEC3-0726-SM-CMKFH 50-59 years, male 67.7
GTEX-ZPIC-0826-SM-4WWFJ 40-49 years, female 67.6
GTEX-11TT1-1326-SM-5PNYM 20-29 years, male 67.5
GTEX-13OVG-0526-SM-5K7YD 60-69 years, male 67.5
GTEX-13X6K-1826-SM-5O9CR 60-69 years, female 67.4
GTEX-RUSQ-0526-SM-2TF72 50-59 years, male 67.4
GTEX-111YS-0426-SM-5987O 60-69 years, male 67.3
GTEX-13SLX-1026-SM-5ZZUQ 50-59 years, female 67.3
GTEX-P4PP-0326-SM-33HC4 30-39 years, female 67.1
GTEX-1J8Q3-1226-SM-CKZPT 60-69 years, male 67.0
GTEX-ZYW4-0926-SM-59HJS 60-69 years, male 66.9
GTEX-1LGOU-0726-SM-E9TIY 20-29 years, female 66.9
GTEX-1QPFJ-1026-SM-E6CR6 30-39 years, female 66.9
GTEX-1RB15-0326-SM-E6CQB 60-69 years, male 66.9
GTEX-13O3O-1526-SM-5KM1C 60-69 years, female 66.6
GTEX-17GQL-0526-SM-72D5N 60-69 years, male 66.6
GTEX-1E1VI-1326-SM-7IGQD 50-59 years, male 66.6
GTEX-P4QS-0326-SM-2I3EU 60-69 years, male 66.6
GTEX-1OKEX-0726-SM-DPRYE 60-69 years, male 66.6
GTEX-17HHY-1426-SM-7EWDQ 50-59 years, male 66.5
GTEX-Q2AH-0526-SM-2I3ED 40-49 years, male 66.5
GTEX-OOBJ-0326-SM-33HBO 60-69 years, male 66.4
GTEX-PVOW-0426-SM-5MR5R 40-49 years, male 66.4
GTEX-13FHP-1026-SM-5K7Y2 50-59 years, male 66.3
GTEX-13PVQ-1226-SM-5IJDC 50-59 years, male 66.3
GTEX-1JMPZ-1426-SM-CJI3C 30-39 years, male 66.3
GTEX-YEC4-0326-SM-4W216 40-49 years, male 66.1
GTEX-1399T-0426-SM-5PNVJ 60-69 years, male 66.0
GTEX-13D11-1726-SM-5IFGQ 50-59 years, female 66.0
GTEX-NFK9-0926-SM-2HMJU 40-49 years, male 65.9
GTEX-ZYFC-1126-SM-5E44W 50-59 years, male 65.7
GTEX-1R7EV-0326-SM-E76PA 40-49 years, male 65.6
GTEX-12WSG-0526-SM-5FQTH 50-59 years, female 65.5
GTEX-1AX8Z-5007-SM-AHZ36 60-69 years, male 65.5
GTEX-132NY-1726-SM-5EGKK 60-69 years, male 65.4
GTEX-U8XE-1126-SM-3DB8W 30-39 years, male 65.3
GTEX-14A6H-0226-SM-5Q5DX 30-39 years, male 65.2
GTEX-1JJE9-1426-SM-ARL8P 70-79 years, male 65.1
GTEX-117YW-0326-SM-5N9CY 50-59 years, male 65.0
GTEX-1GN1W-0326-SM-9JGHF 50-59 years, female 65.0
GTEX-P4PQ-0326-SM-2HMJ8 60-69 years, male 64.9
GTEX-14E7W-1226-SM-5RQIU 70-79 years, male 64.8
GTEX-ZDXO-0726-SM-57WBT 60-69 years, male 64.8
GTEX-ZAB5-0226-SM-5CVMH 50-59 years, male 64.7
GTEX-1IDJI-1026-SM-A96TE 50-59 years, female 64.6
GTEX-18D9B-1226-SM-72D6V 60-69 years, male 64.5
GTEX-WEY5-0426-SM-3GIKT 40-49 years, female 64.4
GTEX-YB5K-0126-SM-5IFJ2 40-49 years, female 64.3
GTEX-1EKGG-1126-SM-7MGXB 60-69 years, male 64.3
GTEX-15SHU-1126-SM-7KUMB 40-49 years, female 64.1
GTEX-13VXT-1126-SM-5LU3A 20-29 years, female 64.0
GTEX-OHPM-0326-SM-33HCA 50-59 years, male 63.9
GTEX-13NYB-0226-SM-5N9G4 40-49 years, male 63.8
GTEX-QMRM-0526-SM-2I5GA 50-59 years, male 63.6
GTEX-1C6VQ-1126-SM-7EWET 50-59 years, male 63.5
GTEX-X3Y1-0426-SM-3P5Z4 40-49 years, male 63.5
GTEX-ZYFG-0426-SM-5E43M 60-69 years, female 63.4
GTEX-12WSN-5001-SM-7DHMK 40-49 years, male 63.3
GTEX-17HII-1326-SM-7IGOB 50-59 years, male 63.2
GTEX-ZPU1-0626-SM-4YCDM 40-49 years, male 63.2
GTEX-1GN73-2426-SM-7RHFQ 60-69 years, male 63.2
GTEX-1R9K4-1326-SM-DTX8G 60-69 years, male 63.1
GTEX-ZEX8-0426-SM-DO92Y 50-59 years, male 63.1
GTEX-12ZZZ-1726-SM-59HK5 60-69 years, male 63.0
GTEX-18A67-1226-SM-7KFRS 50-59 years, male 63.0
GTEX-UJMC-0526-SM-3GAE3 50-59 years, male 63.0
GTEX-XQ3S-0626-SM-4BOOB 20-29 years, male 63.0
GTEX-1JK1U-0526-SM-CYPSQ 60-69 years, male 63.0
GTEX-13O21-2326-SM-5MR3X 50-59 years, male 62.9
GTEX-R55G-0526-SM-2TC5O 40-49 years, female 62.9
GTEX-11ZUS-0226-SM-5FQT8 30-39 years, male 62.8
GTEX-1I1GV-1326-SM-A96SE 60-69 years, male 62.8
GTEX-YF7O-0426-SM-5P9FS 50-59 years, male 62.7
GTEX-X8HC-1626-SM-46MWE 50-59 years, female 62.6
GTEX-1JMQK-0626-SM-D4P2R 60-69 years, male 62.6
GTEX-XV7Q-0826-SM-4BRV7 40-49 years, female 62.5
GTEX-Y3I4-0626-SM-4TT7A 50-59 years, male 62.5
GTEX-ZG7Y-0926-SM-5EQ6O 50-59 years, male 62.5
GTEX-14C5O-1326-SM-5S2UW 60-69 years, male 62.3
GTEX-17F9E-0926-SM-7IGMG 50-59 years, male 62.3
GTEX-O5YW-0326-SM-2I5EI 50-59 years, male 62.3
GTEX-X261-1426-SM-4PQZ1 50-59 years, male 62.3
GTEX-Y5V6-0826-SM-4VBRU 60-69 years, male 62.2
GTEX-ZQUD-1526-SM-7IGO2 30-39 years, male 62.2
GTEX-1QP2A-1126-SM-EVR3H 50-59 years, male 62.2
GTEX-11TUW-1026-SM-5GU7D 60-69 years, male 62.1
GTEX-1HFI7-0826-SM-A9G23 50-59 years, female 62.1
GTEX-1MUQO-1226-SM-E9TJK 60-69 years, male 61.9
GTEX-1399R-1926-SM-5K7X8 30-39 years, male 61.8
GTEX-13JVG-1326-SM-5N9F8 60-69 years, male 61.7
GTEX-1CB4E-0526-SM-7MXTK 60-69 years, male 61.7
GTEX-1IKJJ-0826-SM-A96SP 60-69 years, male 61.6
GTEX-1GTWX-1026-SM-7P8QW 60-69 years, male 61.5
GTEX-OIZI-0926-SM-E6CHF 40-49 years, male 61.5
GTEX-11LCK-0926-SM-5A5KA 30-39 years, male 61.4
GTEX-13RTJ-0726-SM-5QGQN 60-69 years, male 61.4
GTEX-WH7G-0426-SM-3NMBJ 40-49 years, male 61.4
GTEX-XBED-0526-SM-47JY3 60-69 years, male 61.4
GTEX-ZAB4-1026-SM-5HL7T 40-49 years, male 61.4
GTEX-13N1W-1026-SM-5IJC5 70-79 years, male 61.3
GTEX-WHSE-0926-SM-3NMBS 20-29 years, male 61.3
GTEX-1B8SG-0826-SM-7EWF7 50-59 years, male 61.2
GTEX-1LVA9-0926-SM-EVR5G 50-59 years, male 61.2
GTEX-13YAN-1326-SM-5Q5F1 60-69 years, male 61.1
GTEX-XGQ4-0326-SM-4GIEE 50-59 years, male 61.1
GTEX-QEG5-0926-SM-2TC64 20-29 years, male 61.0
GTEX-1GMR3-0326-SM-7P8QT 40-49 years, male 61.0
GTEX-XPVG-0826-SM-4B654 50-59 years, male 60.9
GTEX-RU72-0326-SM-2TF5T 50-59 years, female 60.8
GTEX-1H1CY-0326-SM-9QEIZ 60-69 years, female 60.8
GTEX-SE5C-0626-SM-2XCDV 40-49 years, female 60.6
GTEX-SUCS-0326-SM-32PLL 70-79 years, male 60.6
GTEX-1H3NZ-1126-SM-9WYT9 60-69 years, male 60.6
GTEX-1S3DN-0726-SM-E9TIO 50-59 years, male 60.4
GTEX-OXRL-0326-SM-2I3F2 50-59 years, male 60.3
GTEX-13OVL-0526-SM-5KLZQ 50-59 years, male 60.2
GTEX-148VI-0326-SM-5RQK7 60-69 years, female 60.2
GTEX-14JG1-1026-SM-6ETZY 40-49 years, male 60.2
GTEX-ZDTS-1326-SM-6LLHE 60-69 years, male 60.2
GTEX-1R9PO-0326-SM-DTXA1 60-69 years, female 60.2
GTEX-1RMOY-0626-SM-E9TIE 50-59 years, male 60.2
GTEX-13W3W-0426-SM-5SI9D 60-69 years, female 60.1
GTEX-RWS6-0326-SM-2XCAP 60-69 years, female 60.1
GTEX-1HC8U-0726-SM-ACKXL 40-49 years, female 60.1
GTEX-1PPH7-2026-SM-E9J3N 40-49 years, male 60.1
GTEX-1CAMS-1326-SM-79OJR 40-49 years, female 60.0
GTEX-P78B-0426-SM-2I5F5 40-49 years, female 59.9
GTEX-1AX9K-0526-SM-73KV1 50-59 years, male 59.8
GTEX-11DXY-0826-SM-5EGGR 60-69 years, male 59.7
GTEX-14PHX-2126-SM-6EU2U 50-59 years, male 59.7
GTEX-1R9JW-0526-SM-EWRNK 30-39 years, female 59.7
GTEX-12ZZW-1026-SM-5GCMM 50-59 years, male 59.6
GTEX-1I1GP-0826-SM-A96SD 50-59 years, male 59.6
GTEX-1MCC2-0326-SM-EV7AK 30-39 years, female 59.5
GTEX-12WSC-1126-SM-5EQ4G 50-59 years, male 59.4
GTEX-N7MS-0826-SM-2HML4 60-69 years, male 59.4
GTEX-1HBPH-0126-SM-CNNQ7 40-49 years, female 59.4
GTEX-11GSP-1326-SM-5A5KY 60-69 years, female 59.3
GTEX-13N11-0426-SM-5KM3O 50-59 years, female 59.3
GTEX-YFC4-0526-SM-5ZZVI 40-49 years, female 59.3
GTEX-1HSMO-1226-SM-CL548 60-69 years, male 59.3
GTEX-1J8EW-0926-SM-A9G33 60-69 years, female 59.3
GTEX-ZF2S-1026-SM-9QEGK 50-59 years, female 59.3
GTEX-1GF9U-0426-SM-7RHHA 40-49 years, female 59.2
GTEX-1HSGN-1126-SM-CJI4G 40-49 years, female 59.2
GTEX-13112-0426-SM-5PNVC 50-59 years, male 59.0
GTEX-13O1R-1226-SM-5J1NU 60-69 years, male 58.8
GTEX-S32W-0626-SM-2XCBG 50-59 years, female 58.8
GTEX-1I6K7-0626-SM-ARL7Q 40-49 years, male 58.8
GTEX-145MN-0626-SM-5QGRH 30-39 years, male 58.7
GTEX-WHWD-0426-SM-3LK83 50-59 years, male 58.7
GTEX-WI4N-0626-SM-3TW8Z 40-49 years, female 58.7
GTEX-14E1K-1026-SM-73KUR 50-59 years, male 58.4
GTEX-OXRK-0826-SM-2HMK7 50-59 years, female 58.4
GTEX-1EX96-2526-SM-7RHGW 50-59 years, male 58.4
GTEX-13X6I-1426-SM-5SI9Z 60-69 years, male 58.3
GTEX-1J8QM-0426-SM-AHZ3X 60-69 years, female 58.3
GTEX-14PJM-1126-SM-6LLHK 50-59 years, female 58.2
GTEX-RN64-0826-SM-2TC62 50-59 years, male 58.2
GTEX-1A8G6-1626-SM-7MGWO 60-69 years, male 58.2
GTEX-1JMLX-1626-SM-ARZMV 50-59 years, male 58.2
GTEX-13OW6-1126-SM-5L3HL 50-59 years, male 58.1
GTEX-12584-0926-SM-5FQTN 40-49 years, male 58.0
GTEX-16XZY-0426-SM-793BI 70-79 years, male 58.0
GTEX-XPT6-0126-SM-4B65S 20-29 years, male 57.8
GTEX-1H23P-1226-SM-9QEJ2 60-69 years, male 57.8
GTEX-15DYW-1126-SM-6LPK5 60-69 years, female 57.7
GTEX-1GMRU-1526-SM-9WYT5 50-59 years, male 57.7
GTEX-REY6-1026-SM-2TF4Y 60-69 years, male 57.6
GTEX-WK11-0826-SM-EZ6LH 50-59 years, male 57.6
GTEX-QDVJ-0426-SM-2I5FW 50-59 years, male 57.5
GTEX-17HGU-1026-SM-79OKL 50-59 years, male 57.4
GTEX-WY7C-0526-SM-3NB3D 50-59 years, male 57.4
GTEX-14BIN-2226-SM-5YYA1 50-59 years, female 57.3
GTEX-1IDJE-0326-SM-CM2TD 50-59 years, female 57.3
GTEX-1RQEC-0926-SM-EWROG 60-69 years, male 57.3
GTEX-YJ8O-0926-SM-EAZ2Z 40-49 years, female 57.3
GTEX-11EMC-0726-SM-5EGJO 60-69 years, female 57.2
GTEX-1GZ4I-1026-SM-9KNV5 50-59 years, male 57.2
GTEX-1N2EF-2826-SM-E6CQF 60-69 years, male 57.2
GTEX-11O72-1126-SM-5N9E2 40-49 years, male 57.1
GTEX-1ICLZ-1026-SM-A9SLF 60-69 years, male 57.1
GTEX-R55C-0326-SM-3GAF1 40-49 years, male 56.8
GTEX-1HBPM-1226-SM-A9SM8 60-69 years, female 56.8
GTEX-1314G-0126-SM-5LZUL 30-39 years, male 56.7
GTEX-1R9K5-1326-SM-E6CPR 50-59 years, male 56.7
GTEX-1BAJH-1626-SM-73KUV 70-79 years, male 56.4
GTEX-WZTO-1326-SM-3NM8X 40-49 years, male 56.4
GTEX-14C39-0926-SM-5TDDV 40-49 years, male 56.3
GTEX-PLZ5-0626-SM-2I5F8 50-59 years, male 56.3
GTEX-RTLS-0826-SM-2TF5Q 60-69 years, female 56.3
GTEX-1GN2E-1326-SM-9KNVG 60-69 years, male 56.3
GTEX-1JMOU-0226-SM-CNNPD 60-69 years, female 56.3
GTEX-WYJK-1026-SM-3NM8W 50-59 years, male 56.2
GTEX-15CHQ-1526-SM-69LPW 60-69 years, male 56.1
GTEX-18D9U-1126-SM-72D5Y 40-49 years, male 56.0
GTEX-1AX9I-1126-SM-7EPHH 60-69 years, male 55.9
GTEX-1H1ZS-1126-SM-9MQLJ 70-79 years, male 55.9
GTEX-1RAZS-0826-SM-E76QP 50-59 years, male 55.9
GTEX-11DXZ-0626-SM-5GU77 50-59 years, male 55.8
GTEX-131XH-0226-SM-5LZVB 50-59 years, male 55.8
GTEX-X15G-0426-SM-4PQZ6 50-59 years, female 55.8
GTEX-15RIE-1726-SM-7KUMU 60-69 years, male 55.8
GTEX-111FC-0826-SM-5GZWO 60-69 years, male 55.7
GTEX-1O97I-0826-SM-E8VNE 60-69 years, male 55.7
GTEX-1212Z-0626-SM-5FQTB 60-69 years, male 55.6
GTEX-13FLV-0926-SM-5L3DZ 50-59 years, male 55.6
GTEX-14DAQ-1126-SM-664MT 60-69 years, female 55.6
GTEX-P44H-0726-SM-48TBT 40-49 years, male 55.4
GTEX-U3ZN-1426-SM-3DB87 30-39 years, female 55.3
GTEX-WL46-0926-SM-3LK7T 50-59 years, male 55.3
GTEX-QV44-0526-SM-2S1RE 50-59 years, male 55.2
GTEX-WHPG-0826-SM-3NMBF 50-59 years, male 55.2
GTEX-PSDG-0926-SM-2I5FP 50-59 years, male 55.1
GTEX-1NV8Z-1526-SM-DTX8X 60-69 years, male 55.1
GTEX-P44G-0826-SM-2I5ES 30-39 years, male 55.0
GTEX-13NZB-0226-SM-5KM1T 30-39 years, male 54.9
GTEX-XQ8I-0126-SM-4BOPL 50-59 years, male 54.9
GTEX-17MF6-0726-SM-7LT8E 40-49 years, male 54.8
GTEX-14JIY-1126-SM-6EU28 60-69 years, male 54.7
GTEX-1CB4G-0826-SM-7DUGF 60-69 years, male 54.7
GTEX-Y5V5-0626-SM-4VBPX 60-69 years, female 54.6
GTEX-15CHR-0226-SM-7PC2Z 50-59 years, male 54.6
GTEX-145MO-1126-SM-5NQBX 60-69 years, male 54.5
GTEX-16YQH-0926-SM-793BC 30-39 years, male 54.5
GTEX-1EMGI-1226-SM-793DD 60-69 years, male 54.4
GTEX-1POEN-0626-SM-EVR4B 30-39 years, female 54.4
GTEX-OIZG-1126-SM-2HMIU 50-59 years, male 54.3
GTEX-1IDJH-1026-SM-E9TKH 70-79 years, male 54.3
GTEX-1F75I-1126-SM-9WYUO 40-49 years, male 54.2
GTEX-1LB8K-1026-SM-DHXJJ 50-59 years, male 54.2
GTEX-1LSNM-0526-SM-DIPG6 50-59 years, male 54.2
GTEX-1C64O-0826-SM-79OKZ 60-69 years, male 54.1
GTEX-1HSMQ-0226-SM-C1YQL 50-59 years, male 54.1
GTEX-13OW8-2126-SM-5J1OS 60-69 years, male 54.0
GTEX-145LV-0326-SM-5Q5BW 50-59 years, male 54.0
GTEX-1F6I4-0726-SM-7PC2P 60-69 years, male 54.0
GTEX-146FH-1026-SM-5RQIF 50-59 years, female 53.9
GTEX-1F5PK-0326-SM-9KNUD 50-59 years, male 53.9
GTEX-1LC47-1026-SM-D3LAH 60-69 years, male 53.9
GTEX-1A3MX-1326-SM-72D58 60-69 years, male 53.7
GTEX-WRHU-1226-SM-4E3IJ 50-59 years, female 53.7
GTEX-17KNJ-0826-SM-793A4 50-59 years, male 53.4
GTEX-T6MN-0926-SM-32PLX 50-59 years, male 53.4
GTEX-OIZF-0326-SM-3MJGY 60-69 years, male 53.4
GTEX-S33H-0526-SM-COH1W 30-39 years, male 53.3
GTEX-1A3MW-1326-SM-7189P 60-69 years, female 53.1
GTEX-N7MT-1326-SM-2I3FV 60-69 years, female 53.1
GTEX-1B932-1026-SM-793CL 40-49 years, female 53.0
GTEX-18465-0926-SM-731AY 50-59 years, male 52.9
GTEX-1313W-1426-SM-5KLZU 50-59 years, female 52.7
GTEX-131XE-0626-SM-5HL98 50-59 years, male 52.7
GTEX-1EN7A-0726-SM-7PBXT 40-49 years, male 52.5
GTEX-1JJEA-0826-SM-CL53T 60-69 years, male 52.3
GTEX-1QCLZ-0926-SM-E6CQZ 60-69 years, female 52.3
GTEX-132AR-2026-SM-5IJG4 50-59 years, female 52.1
GTEX-147JS-1526-SM-5ZZWF 60-69 years, male 52.1
GTEX-16MT8-0926-SM-6M487 60-69 years, female 52.0
GTEX-18A66-1226-SM-7LT8G 60-69 years, male 52.0
GTEX-1HCU6-1026-SM-A9G25 60-69 years, female 52.0
GTEX-12WSD-1126-SM-5EGJD 60-69 years, female 51.8
GTEX-1EWIQ-1426-SM-7IGOS 70-79 years, female 51.8
GTEX-Y8E4-0326-SM-4VBRR 40-49 years, male 51.8
GTEX-1F48J-1026-SM-7P8SO 50-59 years, female 51.8
GTEX-1J8Q2-1226-SM-A9G2W 60-69 years, male 51.8
GTEX-1H11D-1226-SM-9WPQ2 40-49 years, male 51.7
GTEX-1HT8W-1726-SM-CNNQB 30-39 years, male 51.6
GTEX-1QP29-1526-SM-EXUSY 50-59 years, male 51.6
GTEX-15RJE-0626-SM-7KUKR 40-49 years, male 51.5
GTEX-15ER7-1726-SM-6PAMX 20-29 years, female 51.4
GTEX-1JN6P-1126-SM-CKZON 60-69 years, male 51.4
GTEX-1GF9V-1626-SM-7PBXL 60-69 years, male 51.3
GTEX-1IDJF-0726-SM-CJI1U 20-29 years, male 51.3
GTEX-13FTZ-0226-SM-5K7X6 60-69 years, male 51.2
GTEX-WFON-0326-SM-3GIKX 40-49 years, male 51.2
GTEX-1GN1V-0826-SM-9KNU6 60-69 years, male 51.2
GTEX-O5YV-0326-SM-2I5H2 60-69 years, female 51.1
GTEX-1I1GQ-1426-SM-B2LWY 50-59 years, male 51.1
GTEX-11GS4-0526-SM-5A5KQ 60-69 years, male 51.0
GTEX-18A6Q-1626-SM-7KFTA 60-69 years, male 50.6
GTEX-O5YT-0326-SM-32PKA 20-29 years, male 50.6
GTEX-R53T-0926-SM-3GADH 50-59 years, female 50.6
GTEX-1HCU7-1326-SM-CNPPW 50-59 years, male 50.6
GTEX-147F4-1226-SM-5NQAY 50-59 years, male 50.5
GTEX-WFG8-0626-SM-3GILJ 20-29 years, male 50.5
GTEX-12ZZY-1126-SM-5DUWQ 60-69 years, male 50.4
GTEX-13CF2-0426-SM-5KM1H 60-69 years, male 50.4
GTEX-1497J-1226-SM-5Q5BL 60-69 years, male 50.3
GTEX-11ZVC-0426-SM-5CVLD 50-59 years, female 50.2
GTEX-14PJ2-1026-SM-6EU1M 50-59 years, male 50.2
GTEX-WWYW-1326-SM-3NB2S 50-59 years, female 50.1
GTEX-Y3IK-0826-SM-51MT8 50-59 years, female 50.1
GTEX-1O9I2-1126-SM-DTXEA 50-59 years, male 49.8
GTEX-1F6IF-2526-SM-7P8TV 60-69 years, male 49.6
GTEX-13O3P-1626-SM-5K7X3 50-59 years, male 49.5
GTEX-V955-0726-SM-3GAFG 60-69 years, male 49.5
GTEX-ZF3C-1226-SM-4WWCB 50-59 years, female 49.4
GTEX-1LVAN-1726-SM-CNNR1 50-59 years, female 49.3
GTEX-17F9Y-1326-SM-7MGW9 70-79 years, female 49.2
GTEX-15DDE-1126-SM-6LLHN 50-59 years, female 49.0
GTEX-WQUQ-1426-SM-3MJFD 60-69 years, male 48.9
GTEX-1I1HK-0726-SM-B2LY4 60-69 years, male 48.9
GTEX-1KD5A-1026-SM-CY8I8 50-59 years, male 48.9
GTEX-UPK5-0326-SM-CYPR4 40-49 years, male 48.8
GTEX-1IKK5-1526-SM-CKZPW 60-69 years, male 48.7
GTEX-ZAJG-0826-SM-5PNVA 50-59 years, female 48.6
GTEX-13OW5-1126-SM-5J1NR 60-69 years, male 48.5
GTEX-1EH9U-0826-SM-7IGPT 60-69 years, male 48.5
GTEX-U3ZH-0326-SM-3DB7A 30-39 years, male 48.5
GTEX-1MJIX-0326-SM-EVR42 40-49 years, male 48.3
GTEX-1B8L1-0526-SM-79ONX 60-69 years, male 48.2
GTEX-SIU8-0826-SM-2XCDQ 50-59 years, male 48.1
GTEX-T2IS-0426-SM-32QPE 20-29 years, female 47.9
GTEX-QVJO-1926-SM-2S1QZ 60-69 years, female 47.7
GTEX-1JJ6O-2126-SM-CNNP6 60-69 years, male 47.5
GTEX-NPJ8-0426-SM-2HMK6 40-49 years, male 47.4
GTEX-1PPGY-1126-SM-E76OU 60-69 years, male 47.3
GTEX-QEL4-0926-SM-3GAD1 50-59 years, male 47.2
GTEX-RWSA-0626-SM-2XCBD 40-49 years, male 47.1
GTEX-1LG7Y-1226-SM-CXZKD 50-59 years, male 47.0
GTEX-1269C-0826-SM-5N9EM 60-69 years, female 46.9
GTEX-17JCI-1126-SM-7IGMM 60-69 years, female 46.9
GTEX-1K9T9-1126-SM-D3L9E 50-59 years, female 46.6
GTEX-14A5I-1226-SM-5NQBW 50-59 years, female 46.1
GTEX-V1D1-0526-SM-4JBGW 50-59 years, male 46.1
GTEX-1M5QR-1026-SM-DHXK9 40-49 years, male 46.1
GTEX-1KD4Q-0726-SM-DIPGE 40-49 years, male 44.8
GTEX-SNMC-0126-SM-2XCFO 20-29 years, male 44.7
GTEX-WFG7-0726-SM-3GIKO 20-29 years, male 44.2
GTEX-XBEC-1326-SM-4AT69 50-59 years, male 44.2
GTEX-1ICG6-0626-SM-ACKWS 70-79 years, female 43.8
GTEX-15SHW-1226-SM-6M46C 60-69 years, male 43.5
GTEX-16NPX-0926-SM-7KUEZ 50-59 years, male 43.3
GTEX-1IL2U-1326-SM-A9G2O 60-69 years, male 43.0
GTEX-QEG4-0426-SM-33HC3 30-39 years, male 42.8
GTEX-11ONC-0126-SM-5PNW6 60-69 years, male 41.4
GTEX-OXRO-2026-SM-2YUMZ 60-69 years, female 40.0
GTEX-R45C-0926-SM-3GAD4 60-69 years, female 40.0
GTEX-1JN1M-1026-SM-CNPOS 60-69 years, female 39.3
GTEX-1ICLY-1326-SM-CJI47 50-59 years, male 38.1
Show allShow less

HEART MUSCLE - FANTOM5 CAGEi

RNA expression in human tissues obtained through Cap Analysis of Gene Expression (CAGE) generated by the FANTOM5 project are reported as Scaled Tags Per Million.

Max subtype Scaled Tags Per Millioni

Max subtype Scaled Tags Per Million is the value for the subtype with the largest average Scaled Tags Per Million across the subtype samples.

256.8
FANTOM5 sample id Sample description Scaled Tags Per Million
Heart
Scaled Tags Per Million: 256.8
FF:10016-101C7 70,73,74 years, mixed 256.8
Left atrium
Scaled Tags Per Million: 115.8
FF:10079-102A7 40 years, male 115.8
Left ventricle
Scaled Tags Per Million: 152.3
FF:10078-102A6 73 years, female 152.3

Contact

  • NEWS ARTICLES
  • PRESS ROOM

The Project

  • INTRODUCTION
  • ORGANIZATION
  • PUBLICATIONS

The Human Protein Atlas

  • DOWNLOADABLE DATA
  • LICENCE & CITATION
  • HELP & FAQ
The Human Protein Atlas project is funded
by the Knut & Alice Wallenberg Foundation.


contact@proteinatlas.org