We use cookies to enhance the usability of our website. If you continue, we'll assume that you are happy to receive all cookies. More information. Don't show this again.
SPARC
HPA
RESOURCES
  • TISSUE
  • BRAIN
  • SINGLE CELL
  • SUBCELLULAR
  • CANCER
  • BLOOD
  • CELL LINE
  • STRUCTURE & INTERACTION
ABOUT
  • INTRODUCTION
  • HISTORY
  • ORGANIZATION
  • PUBLICATIONS
  • ANTIBODY SUBMISSION
  • ANTIBODY AVAILABILITY
  • ACKNOWLEDGMENTS
  • CONTACT
NEWS
  • NEWS ARTICLES
  • PRESS ROOM
LEARN
  • DICTIONARY
  • PROTEIN CLASSES
  • PROTEIN EVIDENCE
  • METHODS
  • EDUCATIONAL VIDEOS
DATA
  • DOWNLOADABLE DATA
  • PUBLICATION DATA
  • RELEASE HISTORY
HELP
  • ANTIBODY VALIDATION
  • ASSAYS & ANNOTATION
  • DISCLAIMER
  • HELP & FAQ
  • PRIVACY STATEMENT
  • LICENCE & CITATION
Fields »
Search result

Field
Term
Gene name
Class
Subclass
Class
Keyword
Chromosome
External id
Tissue
Cell type
Expression
Antibody panel
Tissue
Main location
Patient ID
Annotation
Tissue
Category
Tau score
Cluster
Reliability
Brain region
Category
Tau score
Brain region
Category
Tau score
Brain region
Category
Tau score
Cluster
Reliability
Tissue
Cell type
Enrichment
Cell type
Category
Tau score
Cell type
Category
Tau score
Cell type
Category
Tau score
Cell lineage
Category
Tau score
Cluster
Cluster
Location
Searches
Location
Cell line
Class
Type
Phase
Reliability
Cancer
Prognosis
Cancer
Category
Cancer
Category
Tau score
Cluster
Variants
Interacting gene (ensg_id)
Type
Number of interactions
Pathway
Category
Score
Score
Score
Validation
Validation
Validation
Validation
Antibodies
Data type
Column


  • SUMMARY

  • TISSUE

  • BRAIN

  • SINGLE CELL

  • SUBCELL

  • CANCER

  • BLOOD

  • CELL LINE

  • STRUCT & INT

  • SPARC
TISSUE PRIMARY DATA BREAST Show tissue menu
ADIPOSE TISSUE ADRENAL GLAND AMYGDALA APPENDIX BASAL GANGLIA BONE MARROW BREAST BRONCHUS CEREBELLUM CEREBRAL CORTEX CERVIX CHOROID PLEXUS COLON DUODENUM
ENDOMETRIUM EPIDIDYMIS ESOPHAGUS FALLOPIAN TUBE GALLBLADDER HEART MUSCLE HIPPOCAMPAL FORMATION HYPOTHALAMUS KIDNEY LIVER LUNG LYMPH NODE MIDBRAIN NASOPHARYNX
ORAL MUCOSA OVARY PANCREAS PARATHYROID GLAND PITUITARY GLAND PLACENTA PROSTATE RECTUM RETINA SALIVARY GLAND SEMINAL VESICLE SKELETAL MUSCLE SKIN SMALL INTESTINE
SMOOTH MUSCLE SOFT TISSUE SPINAL CORD SPLEEN STOMACH TESTIS THYMUS THYROID GLAND TONGUE TONSIL URINARY BLADDER VAGINA
ANTIBODIES
AND
VALIDATION
Dictionary
Breast
Tissue proteome
Breast
BREAST - Expression summary
Protein expression
Breasti

On the top, protein expression in current human tissue, based on all annotated cell types, is reported with the units not detected (n), low (l), medium (m) and high (h). Underneath, protein expression in each annotated cell type are reported using the same units.

Protein expression data is based on knowledge-based annotation. For genes where more than one antibody has been used, a collective score is set.

If knowledge-based annotation could not be performed for a gene, no data is displayed here. View antibody staining data further down this page.

h
m
l
n
Adipocytes: Not detected
Glandular cells: Not detected
Myoepithelial cells: Not detected
RNA expressioni

A summary of mRNA expression data available for current tissue based on several datasets. The mRNA expression levels in human tissues are based on RNA-seq data generated by the Human Protein Atlas (HPA), Genotype-Tissue Expression (GTEx) portal and CAGE data generated by the FANTOM5 consortium. Consensus normalized expression levels for human tissues was created by combining the data from HPA and GTEx datasets.

The mRNA expression levels in pig are based on RNA-seq data generated by the Human Protein Atlas (HPA), and for mouse, HPA data and in situ hybridization generated by the Allen brain atlas are reported.

Scroll down to view mRNA expression data in more detail.
Consensus:511.3 nTPM
HPA:355.2 nTPM
GTEx:511.3 nTPM
FANTOM5:675.7 Scaled Tags Per Million

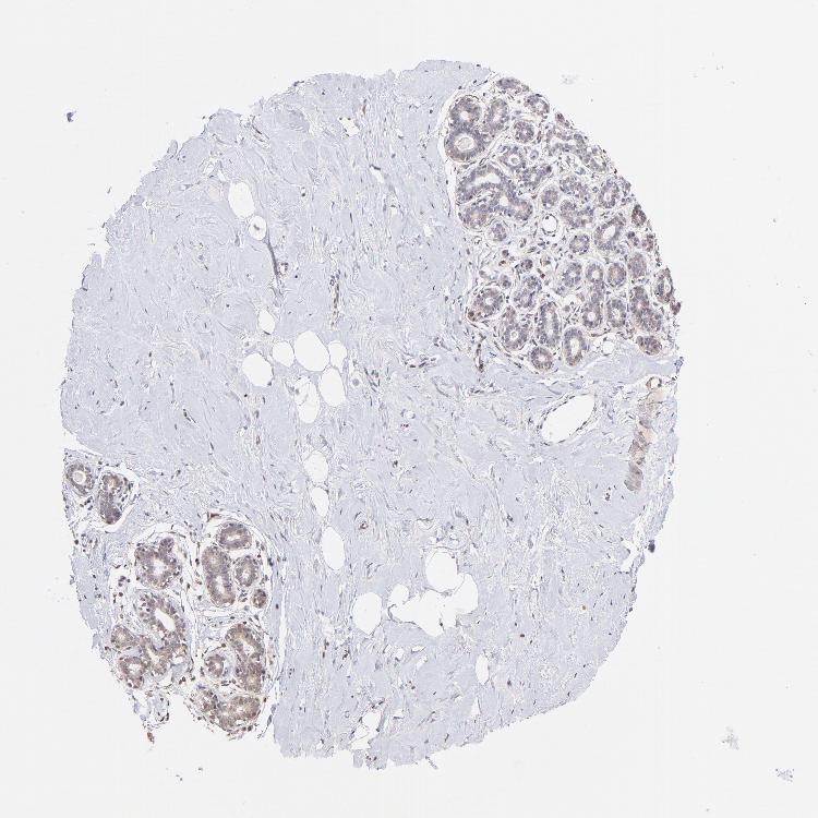
BREAST - Antibody stainingi

Antibody staining in the annotated cell types in the current human tissue is reported as not detected, low, medium, or high, based on conventional immunohistochemistry profiling in selected tissues. This score is based on the combination of the staining intensity and fraction of stained cells.

Each image is clickable and will lead to virtual microscopy that enables deeper exploration of all samples and also displays staining intensity scores, fraction scores and subcellular localization as well as patient and tissue information for each sample.

Antibody HPA002989Antibody HPA003020Antibody CAB002306
Adipocytes Not detectedNot detectedNot detected
Glandular cells LowNot detectedNot detected
Myoepithelial cells Not detectedNot detectedNot detected



BREAST - HPA RNA-seqi

The RNA-seq details section shows detailed information about the individual samples used for the transcript profiling and results of the RNA-seq analysis.

Information about each individual sample is listed below, including gender, age, a tissue section image and estimated fractions of cell types. nTPM (normalized transcripts per million) values give a quantification of the gene abundance which is comparable between different genes and samples.
Average nTPMi

Max subtype nTPM is the value for the subtype with the largest average nTPM across the subtype samples.

355.2
overview
Female, age 52
Breast sample 373
nTPM: 791.4
Cell types%
Glandular cells:
15

Adipocytes:
5

Other cell types:
80

overview
Female, age 80
Breast sample 390
nTPM: 486.3
Cell types%
Glandular cells:
5

Adipocytes:
15

Other cell types:
80

overview
Female, age 47
Breast sample 405
nTPM: 32.1
Cell types%
Glandular cells:
5

Adipocytes:
5

Other cell types:
90

overview
Female, age 38
Breast sample 410
nTPM: 110.9
Cell types%
Glandular cells:
40

Adipocytes:
5

Other cell types:
55


BREAST - GTEx RNA-seqi

RNA-Seq data generated by the Genotype-Tissue Expression (GTEx) project from human tissues is reported as mean nTPM. More information can be found on the GTEx portal.

Distribution across the dataset is visualized with box plots, shown as median and 25th and 75th percentiles. Points are displayed as outliers if they are above or below 1.5 times the interquartile range. nTPM values of the individual samples are presented next to the box plot.
Max subtype nTPMi

Max subtype nTPM is the value for the subtype with the largest average nTPM across the subtype samples.

511.3
GTEx sample id Sample description nTPM
Breast - Mammary Tissue
Average nTPM: 511.3
Samples: 459

Max nTPM: 1935.3
Min nTPM: 69.7
Std nTPM: 323.3
Median nTPM: 435.7
GTEX-11TUW-1826-SM-5BC5D 60-69 years, male 1935.3
GTEX-1HSMO-0826-SM-ADEIV 60-69 years, male 1728.8
GTEX-REY6-2426-SM-48FF5 60-69 years, male 1711.1
GTEX-XMK1-1126-SM-4IHJ8 40-49 years, male 1603.6
GTEX-183FY-1126-SM-7DHLJ 20-29 years, male 1573.9
GTEX-13N1W-0626-SM-5MR4U 70-79 years, male 1494.7
GTEX-WOFL-0826-SM-3MJG1 60-69 years, male 1488.5
GTEX-18A6Q-0926-SM-7LG4N 60-69 years, male 1460.0
GTEX-ZDYS-1126-SM-5K7UB 50-59 years, male 1392.6
GTEX-1GF9V-2526-SM-7SB8K 60-69 years, male 1371.8
GTEX-WFON-1826-SM-3GILG 40-49 years, male 1369.7
GTEX-11OF3-1926-SM-59889 60-69 years, male 1361.2
GTEX-11NV4-2026-SM-5N9DG 60-69 years, male 1341.4
GTEX-12WSN-1326-SM-5GCNT 40-49 years, male 1328.2
GTEX-X4XY-0926-SM-4E3JD 60-69 years, male 1281.6
GTEX-1IGQW-0926-SM-ADEH6 60-69 years, male 1268.9
GTEX-13O3Q-2226-SM-5KM4O 50-59 years, male 1233.7
GTEX-17HGU-1326-SM-79OKB 50-59 years, male 1212.3
GTEX-U8XE-0826-SM-4E3J1 30-39 years, male 1183.2
GTEX-13VXU-2826-SM-664MA 50-59 years, male 1177.2
GTEX-1S82Z-0726-SM-E6CHX 30-39 years, female 1171.1
GTEX-18465-2026-SM-718AP 50-59 years, male 1139.1
GTEX-T5JW-2026-SM-4DM63 20-29 years, female 1123.8
GTEX-144GM-0926-SM-5O994 20-29 years, male 1107.0
GTEX-YJ8O-2226-SM-5IFHW 40-49 years, female 1063.9
GTEX-1I1GV-2426-SM-CGQFM 60-69 years, male 1063.5
GTEX-16YQH-2826-SM-6PAMY 30-39 years, male 1053.1
GTEX-18A7B-2626-SM-7LG55 70-79 years, male 1052.8
GTEX-1QP9N-1826-SM-E8VMP 30-39 years, male 1051.6
GTEX-1I1GP-0426-SM-COH3N 50-59 years, male 1045.4
GTEX-Y5V6-2126-SM-4WWFX 60-69 years, male 1030.9
GTEX-ZYW4-0826-SM-5GIDG 60-69 years, male 1023.8
GTEX-1IOXB-1926-SM-ARL8E 50-59 years, male 1014.5
GTEX-1AX9I-0726-SM-73KWV 60-69 years, male 998.0
GTEX-ZDTT-2126-SM-DKPOM 60-69 years, male 996.1
GTEX-1I1GU-1026-SM-ADEHJ 40-49 years, male 990.2
GTEX-ZQG8-0726-SM-5P9H9 60-69 years, female 984.8
GTEX-13PVQ-1026-SM-5KM3M 50-59 years, male 979.5
GTEX-17GQL-0326-SM-7LG5U 60-69 years, male 979.1
GTEX-RUSQ-2026-SM-4GIAK 50-59 years, male 977.5
GTEX-ZVT4-1026-SM-57WC4 50-59 years, female 976.6
GTEX-11ZUS-0826-SM-5FQUY 30-39 years, male 966.8
GTEX-S7SE-0826-SM-4AT4D 50-59 years, male 963.8
GTEX-1AX9J-1126-SM-731B7 60-69 years, male 958.6
GTEX-ZYFC-0826-SM-5E44K 50-59 years, male 955.1
GTEX-V955-2026-SM-3GAFA 60-69 years, male 952.6
GTEX-144GL-2026-SM-5LU3O 50-59 years, male 944.5
GTEX-1LSVX-2426-SM-E6CJX 60-69 years, male 940.1
GTEX-1GZ2Q-2626-SM-7MXV9 40-49 years, male 939.7
GTEX-14B4R-1226-SM-5TDDT 30-39 years, male 938.2
GTEX-1JKYN-0726-SM-ARZMY 30-39 years, male 934.1
GTEX-13FTW-1426-SM-5LZWZ 40-49 years, male 933.4
GTEX-11EQ9-1826-SM-5Q5AJ 30-39 years, male 928.7
GTEX-WY7C-2726-SM-3NB3P 50-59 years, male 927.5
GTEX-132NY-0826-SM-5K7Y7 60-69 years, male 920.4
GTEX-1NV8Z-2826-SM-E8VME 60-69 years, male 910.4
GTEX-14E6E-1326-SM-5S2NR 30-39 years, male 904.2
GTEX-15RJE-2626-SM-7KFT1 40-49 years, male 900.9
GTEX-YECK-0726-SM-EZ6LV 60-69 years, male 900.2
GTEX-YEC3-1026-SM-5IFI5 50-59 years, male 897.8
GTEX-12BJ1-1826-SM-5HL9N 60-69 years, male 895.6
GTEX-11O72-2126-SM-5N9FO 40-49 years, male 888.8
GTEX-1MA7X-1626-SM-E9U5B 60-69 years, male 887.7
GTEX-1HR9M-2426-SM-ACKXI 60-69 years, male 886.2
GTEX-1IDJH-2226-SM-E6CJV 70-79 years, male 885.2
GTEX-17MFQ-0926-SM-7LG4S 20-29 years, male 882.3
GTEX-145ME-1526-SM-5Q5F2 40-49 years, female 863.4
GTEX-ZUA1-1526-SM-59HLS 40-49 years, male 863.3
GTEX-XGQ4-0926-SM-4AT4U 50-59 years, male 861.8
GTEX-ZQUD-1926-SM-51MSA 30-39 years, male 861.2
GTEX-1QPFJ-2026-SM-EVYBE 30-39 years, female 857.9
GTEX-1OKEX-0826-SM-E9J2B 60-69 years, male 851.5
GTEX-1EN7A-1426-SM-7PBY4 40-49 years, male 848.2
GTEX-1PPH7-0826-SM-E8VNX 40-49 years, male 846.6
GTEX-YB5K-1626-SM-5IFIN 40-49 years, female 840.8
GTEX-13CF3-2126-SM-5IFJP 60-69 years, female 828.6
GTEX-S32W-2026-SM-4AD6E 50-59 years, female 828.4
GTEX-QMRM-1626-SM-D4P1U 50-59 years, male 826.6
GTEX-13O3P-0826-SM-5L3DH 50-59 years, male 826.2
GTEX-ZDXO-0126-SM-5S2ND 60-69 years, male 816.9
GTEX-14753-2426-SM-5LU8U 60-69 years, male 814.5
GTEX-1C6VQ-0426-SM-79OOX 50-59 years, male 813.8
GTEX-ZZ64-1226-SM-5E43R 20-29 years, male 802.0
GTEX-1HFI7-0126-SM-CGQFQ 50-59 years, female 800.2
GTEX-1PPGY-1526-SM-EVYBK 60-69 years, male 794.3
GTEX-TKQ1-0226-SM-33HB5 30-39 years, male 786.5
GTEX-139T6-1626-SM-5PNYZ 50-59 years, male 785.7
GTEX-Z9EW-1526-SM-EZ6LU 40-49 years, male 779.5
GTEX-ZT9W-2026-SM-51MRA 50-59 years, male 777.5
GTEX-1M5QR-2526-SM-E9U5P 40-49 years, male 774.1
GTEX-12WSM-1726-SM-5BC6J 60-69 years, male 771.3
GTEX-TKQ2-1826-SM-33HB2 50-59 years, male 759.0
GTEX-1HT8W-2226-SM-CGQEC 30-39 years, male 759.0
GTEX-1QW4Y-1026-SM-DTXE2 30-39 years, male 757.9
GTEX-11ZTT-2326-SM-5EQLG 60-69 years, female 755.8
GTEX-XQ3S-1326-SM-4BOPQ 20-29 years, male 755.7
GTEX-1J8Q3-1326-SM-CMKI1 60-69 years, male 750.0
GTEX-1C6WA-2426-SM-7SB86 60-69 years, male 744.1
GTEX-ZVZQ-0826-SM-51MRF 60-69 years, female 738.8
GTEX-1QCLZ-2326-SM-DTXDO 60-69 years, female 737.3
GTEX-1S82U-1126-SM-E9U6I 30-39 years, female 735.0
GTEX-1CAMR-1426-SM-793BO 20-29 years, male 730.1
GTEX-117XS-1926-SM-5GICO 60-69 years, male 729.9
GTEX-1EKGG-2626-SM-7IGPY 60-69 years, male 728.0
GTEX-1M4P7-2626-SM-E9U5F 60-69 years, male 726.6
GTEX-1F5PK-2126-SM-7PC28 50-59 years, male 719.3
GTEX-1NHNU-0926-SM-E9J2T 50-59 years, male 714.8
GTEX-1H4P4-2226-SM-9MQKQ 50-59 years, male 709.9
GTEX-S33H-0326-SM-4AD6N 30-39 years, male 709.4
GTEX-1MJK3-1126-SM-E9J3F 20-29 years, male 709.3
GTEX-1AX8Z-0926-SM-731AW 60-69 years, male 706.7
GTEX-11NSD-0926-SM-5N9DR 20-29 years, male 698.3
GTEX-11DXY-2326-SM-5GICW 60-69 years, male 693.8
GTEX-145MF-2226-SM-7EPIR 50-59 years, male 693.4
GTEX-14DAR-1326-SM-7DUEG 50-59 years, male 688.5
GTEX-14BMV-0626-SM-793AU 50-59 years, male 687.0
GTEX-13OW8-0226-SM-5K7UP 60-69 years, male 685.0
GTEX-1QMI2-0726-SM-E9J4F 60-69 years, male 684.3
GTEX-S4Q7-1126-SM-4AD6R 20-29 years, male 674.3
GTEX-18D9A-1526-SM-7LG4J 30-39 years, female 673.8
GTEX-1ICLZ-0426-SM-B2LW2 60-69 years, male 671.6
GTEX-WHSB-1926-SM-EXOHH 50-59 years, male 667.9
GTEX-11ONC-2126-SM-5HL6E 60-69 years, male 666.9
GTEX-12KS4-0126-SM-5Q5A5 30-39 years, male 666.8
GTEX-1H11D-1526-SM-9MQJY 40-49 years, male 658.3
GTEX-1E2YA-2726-SM-7IGPW 50-59 years, male 657.7
GTEX-1GN2E-2226-SM-9WG6J 60-69 years, male 656.0
GTEX-1QEPI-0926-SM-DTXF3 60-69 years, female 655.0
GTEX-14E7W-0826-SM-62LEJ 70-79 years, male 653.1
GTEX-1LG7Z-0726-SM-CXKYD 30-39 years, male 651.1
GTEX-1LC47-1226-SM-D4P44 60-69 years, male 647.6
GTEX-11P82-1326-SM-5HL62 20-29 years, male 641.2
GTEX-14PJ4-2126-SM-6ETZJ 60-69 years, male 638.7
GTEX-1GPI7-0926-SM-7PC3J 20-29 years, male 637.8
GTEX-1H1ZS-0126-SM-9YFKQ 70-79 years, male 635.9
GTEX-117YX-1426-SM-5H12H 50-59 years, male 628.0
GTEX-X62O-0526-SM-EWRMA 50-59 years, male 625.8
GTEX-145MO-0826-SM-5NQBL 60-69 years, male 619.9
GTEX-PSDG-1626-SM-48TCQ 50-59 years, male 618.4
GTEX-13S86-1226-SM-5S2OA 40-49 years, male 617.9
GTEX-11GSP-0926-SM-9WYSG 60-69 years, female 616.7
GTEX-139TU-0626-SM-5KM3X 60-69 years, male 614.1
GTEX-1B8KE-1226-SM-73KWK 50-59 years, male 609.6
GTEX-1R7EV-1526-SM-E8VOD 40-49 years, male 609.3
GTEX-YFCO-1826-SM-4W1YH 40-49 years, male 602.5
GTEX-1B8L1-2426-SM-9WYTE 60-69 years, male 597.4
GTEX-1I6K6-0826-SM-ARL7Z 30-39 years, male 597.4
GTEX-132AR-0826-SM-5EGK6 50-59 years, female 597.2
GTEX-11DXZ-1926-SM-5GZZL 50-59 years, male 593.8
GTEX-1JKYR-0926-SM-CMKGJ 20-29 years, male 593.5
GTEX-1GF9U-1726-SM-7MGY5 40-49 years, female 591.7
GTEX-1HCU8-0126-SM-ADEHH 60-69 years, female 588.2
GTEX-1H23P-0726-SM-9WG7K 60-69 years, male 588.0
GTEX-1IDJU-1826-SM-CMKHV 60-69 years, female 587.6
GTEX-13113-5013-SM-7SB7G 60-69 years, female 583.7
GTEX-14E6C-1326-SM-62LEQ 40-49 years, male 583.4
GTEX-17HG3-0126-SM-7IGNH 30-39 years, female 581.9
GTEX-1EWIQ-1726-SM-7SB7T 70-79 years, female 580.3
GTEX-13FTX-1126-SM-5N9EN 20-29 years, female 579.8
GTEX-17EVQ-0426-SM-7LG57 70-79 years, male 577.9
GTEX-1IDJF-2326-SM-ARL86 20-29 years, male 565.6
GTEX-R53T-1526-SM-48FEK 50-59 years, female 564.5
GTEX-1HSEH-2026-SM-ADEHN 60-69 years, male 563.2
GTEX-1LBAC-0926-SM-CXKY9 20-29 years, male 559.9
GTEX-1IDFM-0426-SM-B2LVV 60-69 years, male 556.1
GTEX-ZYT6-0126-SM-5E45J 30-39 years, male 555.8
GTEX-1JN6P-2426-SM-ARL99 60-69 years, male 555.7
GTEX-T6MN-0726-SM-32PML 50-59 years, male 548.6
GTEX-17HHY-0926-SM-793C1 50-59 years, male 546.6
GTEX-ZV6S-1826-SM-5NQ8D 40-49 years, female 546.1
GTEX-17F9E-2526-SM-7MGW2 50-59 years, male 543.4
GTEX-1F75A-1826-SM-7SB8G 50-59 years, male 542.5
GTEX-13O61-1826-SM-5KM4I 60-69 years, male 540.4
GTEX-ZLWG-1926-SM-DO92J 50-59 years, female 537.5
GTEX-YB5E-1726-SM-5IFJ3 40-49 years, male 536.1
GTEX-Q2AG-0326-SM-48U1O 40-49 years, female 535.2
GTEX-1QP28-1226-SM-E9J2M 50-59 years, female 535.0
GTEX-17KNJ-2026-SM-7LG53 50-59 years, male 532.1
GTEX-13QJ3-0826-SM-7DHKK 50-59 years, male 531.6
GTEX-R55D-0826-SM-48FEA 50-59 years, male 530.7
GTEX-1JMLX-2026-SM-CMKGN 50-59 years, male 524.5
GTEX-1LSNL-2826-SM-E9U5L 50-59 years, male 523.7
GTEX-1HR98-0426-SM-COH36 60-69 years, male 523.0
GTEX-ZAB4-2526-SM-5HL8M 40-49 years, male 518.6
GTEX-1B933-2526-SM-7IGO5 50-59 years, female 516.8
GTEX-147F4-2826-SM-5NQBN 50-59 years, male 515.1
GTEX-11DXW-0626-SM-5N9ER 40-49 years, male 513.5
GTEX-111YS-1926-SM-5GICC 60-69 years, male 509.3
GTEX-ZWKS-2826-SM-5NQ74 30-39 years, male 508.7
GTEX-WRHU-0326-SM-3MJFY 50-59 years, female 506.7
GTEX-145MN-1926-SM-5SIAI 30-39 years, male 506.2
GTEX-17EVP-0226-SM-79OND 40-49 years, male 504.4
GTEX-Y5V5-2126-SM-4WWFO 60-69 years, female 502.4
GTEX-1I19N-2826-SM-CL55D 70-79 years, male 501.6
GTEX-1R9PM-1826-SM-EVYBH 20-29 years, male 500.8
GTEX-1PDJ9-1126-SM-EXUSW 20-29 years, male 496.9
GTEX-X261-0626-SM-3NMD9 50-59 years, male 495.0
GTEX-XYKS-1326-SM-4BRUN 60-69 years, female 492.6
GTEX-1313W-0826-SM-5EQ4T 50-59 years, female 492.1
GTEX-1KD4Q-2326-SM-D4P3M 40-49 years, male 489.6
GTEX-XBED-1626-SM-47JYN 60-69 years, male 487.5
GTEX-13W46-0826-SM-5LU3H 50-59 years, male 483.8
GTEX-Y8E4-1626-SM-5S2MW 40-49 years, male 481.4
GTEX-17F97-2526-SM-7EWDV 50-59 years, male 480.1
GTEX-17MF6-0326-SM-7EPH5 40-49 years, male 478.2
GTEX-Y9LG-1426-SM-5IFJZ 30-39 years, male 476.1
GTEX-1GZHY-0726-SM-9WG6B 50-59 years, female 474.1
GTEX-Y3I4-1526-SM-4TT7K 50-59 years, male 473.1
GTEX-1A3MX-2726-SM-718B6 60-69 years, male 471.4
GTEX-1HCU7-1026-SM-ADEIP 50-59 years, male 470.2
GTEX-1I1HK-2426-SM-ADEHX 60-69 years, male 469.9
GTEX-17F96-2426-SM-7IGLN 70-79 years, male 468.4
GTEX-13QIC-2326-SM-5LU5N 60-69 years, female 464.6
GTEX-15UF7-0726-SM-6M46D 40-49 years, male 463.0
GTEX-11GS4-2126-SM-5A5KR 60-69 years, male 461.0
GTEX-11GSO-1926-SM-5A5K3 60-69 years, male 459.1
GTEX-169BO-1126-SM-7MGWN 50-59 years, male 455.7
GTEX-11LCK-2426-SM-5HL5F 30-39 years, male 453.7
GTEX-11P81-1926-SM-5BC53 30-39 years, female 452.8
GTEX-1ICLY-1726-SM-B2LVT 50-59 years, male 452.8
GTEX-11DZ1-0326-SM-5N9BN 50-59 years, male 451.8
GTEX-13O3O-0826-SM-5K7WE 60-69 years, female 449.6
GTEX-1211K-1926-SM-5EQLB 60-69 years, female 448.2
GTEX-1H1DG-0526-SM-9YFLN 70-79 years, male 446.3
GTEX-1KD5A-1926-SM-DKPQA 50-59 years, male 446.0
GTEX-1C475-1226-SM-7SB72 40-49 years, female 444.5
GTEX-1JMOU-2026-SM-CMKGU 60-69 years, female 439.5
GTEX-QVJO-1826-SM-447C9 60-69 years, female 439.2
GTEX-1N2EF-2226-SM-E9J33 60-69 years, male 437.7
GTEX-ZTTD-1026-SM-51MRD 50-59 years, male 435.7
GTEX-183WM-0726-SM-7LTAA 70-79 years, female 434.8
GTEX-17JCI-0726-SM-7EPH1 60-69 years, female 434.1
GTEX-XV7Q-2326-SM-4BRVZ 40-49 years, female 432.5
GTEX-1B8KZ-1526-SM-7DUG7 50-59 years, male 431.3
GTEX-1EU9M-2826-SM-7EWFH 60-69 years, male 431.3
GTEX-1AMEY-1026-SM-718AA 30-39 years, female 430.7
GTEX-14PJO-0726-SM-69LO8 60-69 years, male 430.5
GTEX-ZPIC-1126-SM-5BC7F 40-49 years, female 428.1
GTEX-1C6VS-0726-SM-7EPHF 60-69 years, male 427.8
GTEX-1I6K7-1026-SM-A9SLK 40-49 years, male 427.3
GTEX-U412-1826-SM-4DXTJ 60-69 years, male 426.6
GTEX-1GZ4I-2826-SM-9MQK5 50-59 years, male 419.8
GTEX-XUW1-2326-SM-4BOO5 50-59 years, female 419.0
GTEX-1HBPM-0126-SM-ARL9E 60-69 years, female 417.0
GTEX-1122O-1226-SM-5H113 60-69 years, female 416.8
GTEX-13PVR-2226-SM-7DHKP 60-69 years, female 414.6
GTEX-1117F-2826-SM-5GZXL 60-69 years, female 414.2
GTEX-1GMRU-0826-SM-9WYT7 50-59 years, male 413.2
GTEX-1R9PN-0326-SM-DTX85 40-49 years, female 410.7
GTEX-1B97I-0426-SM-79OL7 40-49 years, male 409.6
GTEX-1H3VY-0926-SM-ACKXE 50-59 years, male 409.1
GTEX-1A3MV-1626-SM-731C1 30-39 years, male 405.0
GTEX-1KXAM-1026-SM-CY8IA 60-69 years, male 404.4
GTEX-146FH-0826-SM-5SI8T 50-59 years, female 402.9
GTEX-1KANC-1426-SM-CYPT9 50-59 years, female 400.5
GTEX-1J8QM-2026-SM-ARZMW 60-69 years, female 400.2
GTEX-Y8LW-1626-SM-5IFHX 50-59 years, female 399.2
GTEX-ZLFU-2126-SM-DO931 40-49 years, male 398.0
GTEX-13CF2-2026-SM-5K7VI 60-69 years, male 394.8
GTEX-1HCU9-0326-SM-9WYSC 20-29 years, male 392.6
GTEX-ZLV1-1426-SM-DO92Z 60-69 years, female 391.2
GTEX-1CB4G-2326-SM-79OOI 60-69 years, male 388.1
GTEX-1JN1M-3026-SM-CMKGK 60-69 years, female 382.7
GTEX-11WQK-2426-SM-5GU5C 50-59 years, male 382.3
GTEX-14PKU-0426-SM-6EU1P 40-49 years, female 380.9
GTEX-16BQI-1026-SM-7KUEA 30-39 years, female 380.4
GTEX-1F6I4-2526-SM-7SB8F 60-69 years, male 379.2
GTEX-1HC8U-0826-SM-ADEIL 40-49 years, female 376.9
GTEX-17F98-0526-SM-79OK5 40-49 years, female 373.9
GTEX-1N2EE-2126-SM-E8VNN 60-69 years, male 371.0
GTEX-15EOM-5019-SM-793DK 20-29 years, female 370.9
GTEX-1ICG6-1326-SM-ACKWR 70-79 years, female 370.7
GTEX-133LE-1726-SM-5K7VQ 20-29 years, female 370.0
GTEX-11WQC-1726-SM-5GU4W 60-69 years, male 368.1
GTEX-SE5C-2126-SM-4BRUJ 40-49 years, female 366.4
GTEX-ZA64-1526-SM-5CVMD 20-29 years, male 365.9
GTEX-YFC4-1426-SM-5IFJG 40-49 years, female 364.8
GTEX-Y114-2026-SM-4TT7L 50-59 years, female 364.3
GTEX-1IY9M-2726-SM-CMKG5 60-69 years, male 364.3
GTEX-1B97J-0426-SM-79OLQ 50-59 years, female 361.1
GTEX-ZF2S-2026-SM-5E461 50-59 years, female 359.7
GTEX-UTHO-1026-SM-3GAF7 60-69 years, male 355.2
GTEX-WI4N-1426-SM-3LK7H 40-49 years, female 355.2
GTEX-14ICK-2426-SM-6EU27 40-49 years, male 349.7
GTEX-11I78-2226-SM-5PNYA 50-59 years, female 348.9
GTEX-11TT1-2126-SM-5GU5Y 20-29 years, male 344.8
GTEX-1L5NE-2126-SM-CY8IH 50-59 years, male 339.9
GTEX-1314G-1226-SM-5BC6D 30-39 years, male 339.3
GTEX-1MJK2-2226-SM-EVYCR 50-59 years, male 332.7
GTEX-Y111-2026-SM-4SOJA 50-59 years, male 332.0
GTEX-13W3W-1226-SM-5LU4H 60-69 years, female 330.4
GTEX-XQ8I-2426-SM-4WAXY 50-59 years, male 328.5
GTEX-1BAJH-0826-SM-7EWEF 70-79 years, male 327.9
GTEX-18QFQ-0826-SM-718AX 30-39 years, male 326.4
GTEX-ZZPU-0626-SM-5E43T 50-59 years, female 322.6
GTEX-ZXES-0826-SM-5E43C 30-39 years, female 320.0
GTEX-ZV7C-1826-SM-5NQ83 50-59 years, male 316.7
GTEX-17HHE-1426-SM-7EPH4 50-59 years, male 309.3
GTEX-1JJE9-2326-SM-ARL8Q 70-79 years, male 309.0
GTEX-1MCC2-2126-SM-EWRON 30-39 years, female 304.5
GTEX-1KANA-2026-SM-DIPFB 20-29 years, male 302.2
GTEX-11EI6-0626-SM-5985T 60-69 years, male 302.1
GTEX-1R46S-2526-SM-E8VN2 60-69 years, female 299.0
GTEX-1C64O-0726-SM-7DUFU 60-69 years, male 297.2
GTEX-1269C-2426-SM-5FQSN 60-69 years, female 296.7
GTEX-1IKJJ-2326-SM-COH3U 60-69 years, male 296.2
GTEX-1F75B-0626-SM-7SB8A 50-59 years, male 295.2
GTEX-15SHW-1326-SM-6PAL8 60-69 years, male 294.7
GTEX-18A7A-0726-SM-7LTAI 50-59 years, female 291.4
GTEX-T6MO-0326-SM-32QOK 40-49 years, female 288.6
GTEX-12WSK-2226-SM-5GCO5 40-49 years, female 287.1
GTEX-WYBS-0926-SM-3NM94 60-69 years, female 287.1
GTEX-15ETS-0626-SM-7KUMX 40-49 years, female 285.2
GTEX-ZF3C-2326-SM-5S2NC 50-59 years, female 285.2
GTEX-1H1CY-2226-SM-9WG7E 60-69 years, female 285.0
GTEX-13FHO-0826-SM-5L3E8 60-69 years, male 284.6
GTEX-1J8EW-2626-SM-CL53E 60-69 years, female 283.2
GTEX-1NUQO-2226-SM-E9U68 20-29 years, female 281.9
GTEX-XMD2-0926-SM-4WWEF 60-69 years, female 281.1
GTEX-1B8SG-1226-SM-7IGPF 50-59 years, male 279.1
GTEX-WXYG-2226-SM-4E3IM 50-59 years, female 277.8
GTEX-1I1GT-1126-SM-ARL7J 60-69 years, female 275.8
GTEX-ZY6K-1626-SM-5GZWV 50-59 years, male 274.5
GTEX-ZU9S-1926-SM-5NQBP 30-39 years, male 273.2
GTEX-T2YK-2226-SM-32QPT 50-59 years, male 273.0
GTEX-139T8-0826-SM-5L3DE 60-69 years, male 272.9
GTEX-ZEX8-2226-SM-57WC6 50-59 years, male 271.5
GTEX-1RLM8-2226-SM-EVYD1 50-59 years, male 270.5
GTEX-RWS6-1926-SM-47JXY 60-69 years, female 269.9
GTEX-1KAFJ-0226-SM-DIPEL 50-59 years, male 268.6
GTEX-13SLW-2526-SM-62LDQ 70-79 years, male 268.5
GTEX-1MCYP-0126-SM-E6CIS 20-29 years, female 268.2
GTEX-U3ZH-1426-SM-4DXSR 30-39 years, male 267.5
GTEX-1GMR3-2626-SM-7RHHG 40-49 years, male 264.5
GTEX-18A66-1726-SM-7LG5N 60-69 years, male 264.3
GTEX-13OW5-2226-SM-5L3HC 60-69 years, male 262.4
GTEX-1POEN-0926-SM-DTX88 30-39 years, female 261.8
GTEX-15ER7-1626-SM-6PAMZ 20-29 years, female 257.8
GTEX-1RAZS-1226-SM-E8VMT 50-59 years, male 256.2
GTEX-1R9JW-0326-SM-EAZ45 30-39 years, female 254.2
GTEX-VUSG-2226-SM-4KKZO 50-59 years, male 254.0
GTEX-1HSKV-2026-SM-CMKGX 60-69 years, male 251.1
GTEX-1J8Q2-2726-SM-A9G2X 60-69 years, male 250.3
GTEX-15G19-2126-SM-6M48J 60-69 years, male 249.7
GTEX-1HCVE-2626-SM-ADEJ8 50-59 years, male 249.2
GTEX-13N11-1726-SM-5J1OJ 50-59 years, female 249.0
GTEX-1K9T9-1426-SM-DIPFQ 50-59 years, female 247.4
GTEX-1I4MK-1626-SM-CM2TJ 50-59 years, female 246.3
GTEX-13NZ8-0126-SM-5IJCT 60-69 years, female 244.3
GTEX-Y3IK-2326-SM-4WWDT 50-59 years, female 243.9
GTEX-1HUB1-1626-SM-CM2SL 60-69 years, male 240.3
GTEX-1RAZQ-1226-SM-EWRNL 30-39 years, male 240.3
GTEX-TML8-1226-SM-32QON 40-49 years, female 240.2
GTEX-1K2DA-1726-SM-CGQGS 50-59 years, male 236.2
GTEX-1F5PL-1026-SM-7RHI1 40-49 years, female 235.6
GTEX-WFG8-2026-SM-EXOHO 20-29 years, male 233.2
GTEX-13D11-1026-SM-5IJFB 50-59 years, female 231.5
GTEX-VJWN-0726-SM-3GIJ8 50-59 years, female 231.5
GTEX-1LSNM-1326-SM-E9TJ1 50-59 years, male 231.3
GTEX-S4UY-0726-SM-4AD6X 40-49 years, female 230.5
GTEX-ZVTK-0326-SM-51MRR 20-29 years, male 229.1
GTEX-QDT8-0626-SM-48TYW 30-39 years, female 229.0
GTEX-13NZB-2126-SM-5MR4Y 30-39 years, male 228.1
GTEX-UPK5-2326-SM-3P5Z8 40-49 years, male 227.0
GTEX-13NZ9-1026-SM-5MR5K 50-59 years, male 225.8
GTEX-QEL4-2126-SM-447AE 50-59 years, male 225.1
GTEX-1GF9X-1026-SM-ACKX2 40-49 years, female 225.0
GTEX-ZTX8-1226-SM-4YCE9 20-29 years, male 223.9
GTEX-145LT-0726-SM-5S2VM 40-49 years, male 223.5
GTEX-X4EP-2926-SM-3P5YQ 60-69 years, female 221.3
GTEX-11PRG-0826-SM-5EQ6A 50-59 years, male 219.0
GTEX-1CB4E-0226-SM-79OLW 60-69 years, male 217.7
GTEX-1IE54-0626-SM-ARL8D 40-49 years, female 217.2
GTEX-11P7K-0726-SM-5EGKX 30-39 years, male 216.7
GTEX-ZAK1-1326-SM-EVYAS 50-59 years, female 215.8
GTEX-QEG5-0726-SM-D4P1T 20-29 years, male 215.5
GTEX-XMD1-0826-SM-4AT52 60-69 years, male 210.4
GTEX-14BMU-1626-SM-5TDE7 20-29 years, female 209.8
GTEX-T5JC-2126-SM-32PMO 20-29 years, male 208.8
GTEX-15FZZ-0726-SM-7KUFZ 30-39 years, female 207.8
GTEX-1A8G7-2426-SM-731AK 60-69 years, male 207.4
GTEX-1IKOH-2326-SM-CM2TW 60-69 years, female 206.8
GTEX-17EUY-1926-SM-7DUF6 20-29 years, male 206.1
GTEX-14A5I-0726-SM-5TDEB 50-59 years, female 204.3
GTEX-1GPI6-0626-SM-7RHHJ 60-69 years, male 203.6
GTEX-14ABY-2126-SM-5QGQZ 50-59 years, male 202.5
GTEX-X15G-1626-SM-3NMB3 50-59 years, female 202.3
GTEX-15UF6-0126-SM-6PAMB 70-79 years, female 202.0
GTEX-1HBPN-2326-SM-9WPPU 50-59 years, male 201.5
GTEX-UJHI-1426-SM-3DB9C 50-59 years, female 200.3
GTEX-1JMPZ-1626-SM-COH31 30-39 years, male 199.7
GTEX-1LVAM-0926-SM-E9TJ2 50-59 years, female 199.6
GTEX-1CB4J-1826-SM-7EWF9 60-69 years, male 199.4
GTEX-ZF29-1926-SM-5S2P1 60-69 years, female 198.8
GTEX-S341-1526-SM-4AD6K 40-49 years, female 198.7
GTEX-1GMR2-1926-SM-9MQLZ 50-59 years, male 197.5
GTEX-1P4AB-1826-SM-E76PU 50-59 years, male 197.3
GTEX-S4P3-1326-SM-4AD6V 50-59 years, female 196.9
GTEX-1IKOE-1326-SM-CE6T6 30-39 years, female 196.6
GTEX-1LNCM-0226-SM-DIPF4 50-59 years, female 190.3
GTEX-1N5O9-1126-SM-DTXEQ 60-69 years, male 190.1
GTEX-11EMC-2026-SM-5A5JV 60-69 years, female 190.0
GTEX-1JK1U-1826-SM-ARL8W 60-69 years, male 187.2
GTEX-14PN4-0626-SM-62LFP 50-59 years, male 186.1
GTEX-13PL6-2926-SM-5L3I2 40-49 years, female 184.7
GTEX-WYJK-1326-SM-3NB2T 50-59 years, male 184.1
GTEX-1JMPY-0526-SM-CL54O 30-39 years, male 184.1
GTEX-1JJEA-2726-SM-ARL8V 60-69 years, male 181.8
GTEX-1MA7W-1026-SM-DKPQK 20-29 years, female 181.8
GTEX-1192X-2326-SM-5987X 50-59 years, male 181.6
GTEX-132Q8-1426-SM-5EGK7 60-69 years, male 181.4
GTEX-11EM3-1326-SM-5N9C6 20-29 years, female 181.3
GTEX-XOT4-0726-SM-4GIAW 60-69 years, female 180.3
GTEX-1QP29-1726-SM-E8VMQ 50-59 years, male 179.8
GTEX-RU1J-0626-SM-4WAWY 20-29 years, female 179.5
GTEX-R3RS-0626-SM-48FE1 40-49 years, female 178.0
GTEX-1GN1W-1926-SM-7P8TH 50-59 years, female 177.5
GTEX-1GZ4H-0326-SM-7P8QX 50-59 years, female 176.2
GTEX-1LGRB-1826-SM-CNPQL 50-59 years, female 175.6
GTEX-1HCUA-0726-SM-ACKVU 50-59 years, female 174.9
GTEX-13FTY-2226-SM-5J1ND 40-49 years, female 174.6
GTEX-13SLX-2326-SM-5ZZWE 50-59 years, female 173.6
GTEX-1399U-1826-SM-5PNZ1 50-59 years, female 172.1
GTEX-1H1E6-0926-SM-9YFLT 30-39 years, male 172.1
GTEX-U3ZN-1926-SM-4DXSG 30-39 years, female 171.6
GTEX-ZVT2-1826-SM-5NQ8W 50-59 years, female 169.3
GTEX-131XW-0726-SM-5EGK3 50-59 years, female 167.8
GTEX-1IDJE-0826-SM-CKZNZ 50-59 years, female 167.1
GTEX-14AS3-1626-SM-5S2OY 40-49 years, female 166.4
GTEX-Y5LM-1726-SM-4VDSX 40-49 years, female 164.7
GTEX-1GN1U-0526-SM-9KNTT 50-59 years, female 161.6
GTEX-1QCLY-1626-SM-DTXDW 30-39 years, male 161.1
GTEX-ZC5H-2626-SM-5J2MG 40-49 years, female 159.9
GTEX-W5X1-2326-SM-3GIL6 40-49 years, female 159.6
GTEX-12ZZX-1126-SM-5EGKB 40-49 years, female 159.5
GTEX-TMMY-0726-SM-33HBE 40-49 years, female 157.1
GTEX-ZVE2-1226-SM-5NQ8R 50-59 years, male 155.7
GTEX-RU72-0626-SM-46MUI 50-59 years, female 155.4
GTEX-1R7EU-1226-SM-E8VMR 60-69 years, male 153.3
GTEX-16NGA-0826-SM-718AF 40-49 years, female 152.9
GTEX-131YS-0626-SM-5EGKL 60-69 years, female 150.5
GTEX-1B932-0826-SM-73KXG 40-49 years, female 147.3
GTEX-ZTPG-2826-SM-57WGA 20-29 years, female 147.1
GTEX-ZGAY-1726-SM-DO91P 40-49 years, female 145.5
GTEX-1HKZK-1826-SM-ADEJ2 40-49 years, male 143.7
GTEX-1HSGN-1526-SM-A9SMO 40-49 years, female 143.2
GTEX-14LLW-0626-SM-62LFC 70-79 years, female 141.8
GTEX-ZAJG-0626-SM-5HL8X 50-59 years, female 141.2
GTEX-1GMR8-0726-SM-9KNVI 50-59 years, female 134.9
GTEX-XUZC-1626-SM-4BRVP 30-39 years, female 127.2
GTEX-1RQEC-2026-SM-DTXDM 60-69 years, male 122.0
GTEX-14PHY-1926-SM-5YY95 60-69 years, female 120.8
GTEX-14H4A-2526-SM-5YYAY 40-49 years, female 112.5
GTEX-1F75I-2026-SM-7SB7N 40-49 years, male 107.3
GTEX-1JMQK-2626-SM-COH2W 60-69 years, male 105.5
GTEX-WYVS-1726-SM-3NMAY 40-49 years, female 99.0
GTEX-T2IS-1526-SM-32QPR 20-29 years, female 96.4
GTEX-1CAMS-1426-SM-7IGPM 40-49 years, female 71.7
GTEX-1LVAN-1326-SM-CNPQE 50-59 years, female 69.7
Show allShow less

BREAST - FANTOM5 CAGEi

RNA expression in human tissues obtained through Cap Analysis of Gene Expression (CAGE) generated by the FANTOM5 project are reported as Scaled Tags Per Million.

Max subtype Scaled Tags Per Millioni

Max subtype Scaled Tags Per Million is the value for the subtype with the largest average Scaled Tags Per Million across the subtype samples.

675.7
FANTOM5 sample id Sample description Scaled Tags Per Million
Breast
Scaled Tags Per Million: 675.7
FF:10080-102A8 77 years, female 675.7

Contact

  • NEWS ARTICLES
  • PRESS ROOM

The Project

  • INTRODUCTION
  • ORGANIZATION
  • PUBLICATIONS

The Human Protein Atlas

  • DOWNLOADABLE DATA
  • LICENCE & CITATION
  • HELP & FAQ
The Human Protein Atlas project is funded
by the Knut & Alice Wallenberg Foundation.


contact@proteinatlas.org