We use cookies to enhance the usability of our website. If you continue, we'll assume that you are happy to receive all cookies. More information. Don't show this again.
SPARC
HPA
RESOURCES
  • TISSUE
  • BRAIN
  • SINGLE CELL
  • SUBCELLULAR
  • CANCER
  • BLOOD
  • CELL LINE
  • STRUCTURE & INTERACTION
ABOUT
  • INTRODUCTION
  • HISTORY
  • ORGANIZATION
  • PUBLICATIONS
  • ANTIBODY SUBMISSION
  • ANTIBODY AVAILABILITY
  • ACKNOWLEDGMENTS
  • CONTACT
NEWS
  • NEWS ARTICLES
  • PRESS ROOM
LEARN
  • DICTIONARY
  • PROTEIN CLASSES
  • PROTEIN EVIDENCE
  • METHODS
  • EDUCATIONAL VIDEOS
DATA
  • DOWNLOADABLE DATA
  • PUBLICATION DATA
  • RELEASE HISTORY
HELP
  • ANTIBODY VALIDATION
  • ASSAYS & ANNOTATION
  • DISCLAIMER
  • HELP & FAQ
  • PRIVACY STATEMENT
  • LICENCE & CITATION
Fields »
Search result

Field
Term
Gene name
Class
Subclass
Class
Keyword
Chromosome
External id
Tissue
Cell type
Expression
Antibody panel
Tissue
Main location
Patient ID
Annotation
Tissue
Category
Tau score
Cluster
Reliability
Brain region
Category
Tau score
Brain region
Category
Tau score
Brain region
Category
Tau score
Cluster
Reliability
Tissue
Cell type
Enrichment
Cell type
Category
Tau score
Cell type
Category
Tau score
Cell type
Category
Tau score
Cell lineage
Category
Tau score
Cluster
Cluster
Location
Searches
Location
Cell line
Class
Type
Phase
Reliability
Cancer
Prognosis
Cancer
Category
Cancer
Category
Tau score
Cluster
Variants
Interacting gene (ensg_id)
Type
Number of interactions
Pathway
Category
Score
Score
Score
Validation
Validation
Validation
Validation
Antibodies
Data type
Column


  • SUMMARY

  • TISSUE

  • BRAIN

  • SINGLE CELL

  • SUBCELL

  • CANCER

  • BLOOD

  • CELL LINE

  • STRUCT & INT

  • SPARC
TISSUE PRIMARY DATA SKIN Show tissue menu
ADIPOSE TISSUE ADRENAL GLAND AMYGDALA APPENDIX BASAL GANGLIA BONE MARROW BREAST BRONCHUS CEREBELLUM CEREBRAL CORTEX CERVIX CHOROID PLEXUS COLON DUODENUM
ENDOMETRIUM EPIDIDYMIS ESOPHAGUS FALLOPIAN TUBE GALLBLADDER HEART MUSCLE HIPPOCAMPAL FORMATION HYPOTHALAMUS KIDNEY LIVER LUNG LYMPH NODE MIDBRAIN NASOPHARYNX
ORAL MUCOSA OVARY PANCREAS PARATHYROID GLAND PITUITARY GLAND PLACENTA PROSTATE RECTUM RETINA SALIVARY GLAND SEMINAL VESICLE SKELETAL MUSCLE SKIN SMALL INTESTINE
SMOOTH MUSCLE SOFT TISSUE SPINAL CORD SPLEEN STOMACH TESTIS THYMUS THYROID GLAND TONGUE TONSIL URINARY BLADDER VAGINA
ANTIBODIES
AND
VALIDATION
Dictionary
Skin
Tissue proteome
Skin
SKIN - Expression summary
Protein expression
Skini

On the top, protein expression in current human tissue, based on all annotated cell types, is reported with the units not detected (n), low (l), medium (m) and high (h). Underneath, protein expression in each annotated cell type are reported using the same units.

Protein expression data is based on knowledge-based annotation. For genes where more than one antibody has been used, a collective score is set.

If knowledge-based annotation could not be performed for a gene, no data is displayed here. View antibody staining data further down this page.

h
m
l
n
Cells in basal layer: Not detected
Cells in corneal layer: Not detected
Cells in granular layer: Not detected
Cells in spinous layer: Not detected
Endothelial cells: High
Extracellular matrix: Not detected
Fibrohistiocytic cells: High
Langerhans cells: Not detected
Lymphocytes: Not detected
Melanocytes: Medium
Vascular mural cells: Not detected
RNA expressioni

A summary of mRNA expression data available for current tissue based on several datasets. The mRNA expression levels in human tissues are based on RNA-seq data generated by the Human Protein Atlas (HPA), Genotype-Tissue Expression (GTEx) portal and CAGE data generated by the FANTOM5 consortium. Consensus normalized expression levels for human tissues was created by combining the data from HPA and GTEx datasets.

The mRNA expression levels in pig are based on RNA-seq data generated by the Human Protein Atlas (HPA), and for mouse, HPA data and in situ hybridization generated by the Allen brain atlas are reported.

Scroll down to view mRNA expression data in more detail.
Consensus:276.8 nTPM
HPA:253.1 nTPM
GTEx:276.8 nTPM

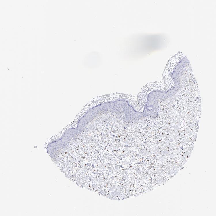
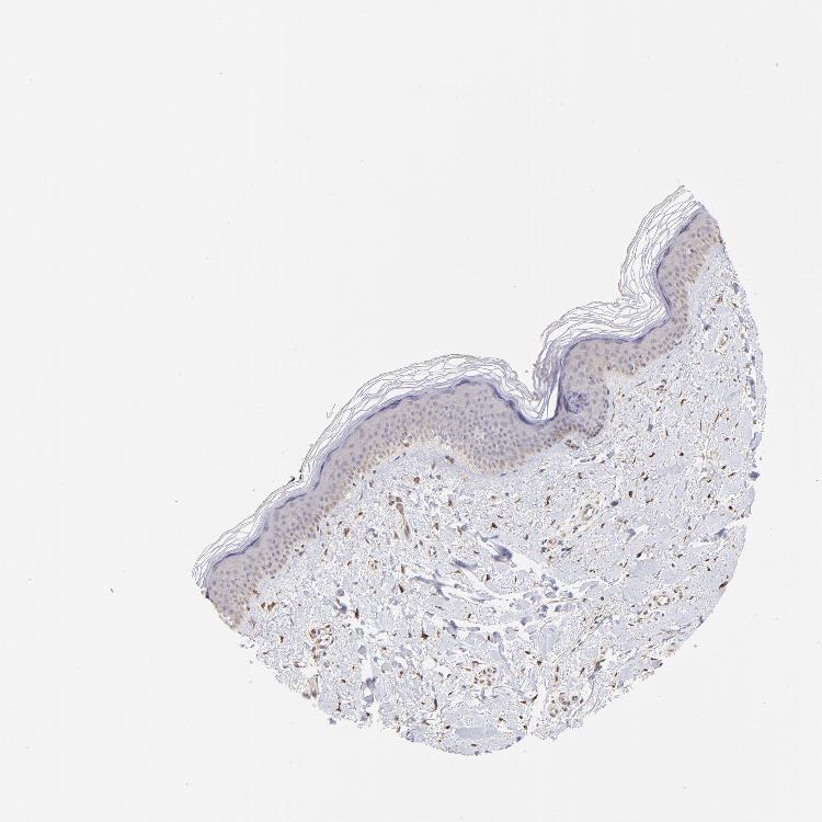
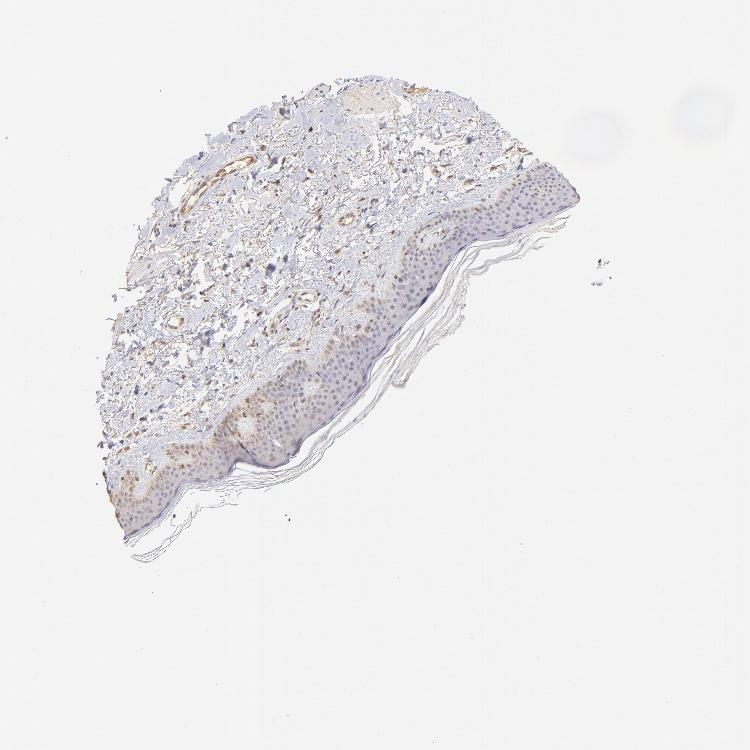
SKIN 1 - Antibody stainingi

Antibody staining in the annotated cell types in the current human tissue is reported as not detected, low, medium, or high, based on conventional immunohistochemistry profiling in selected tissues. This score is based on the combination of the staining intensity and fraction of stained cells.

Each image is clickable and will lead to virtual microscopy that enables deeper exploration of all samples and also displays staining intensity scores, fraction scores and subcellular localization as well as patient and tissue information for each sample.

Antibody HPA002989Antibody HPA003020Antibody CAB002306
Langerhans Not detectedNot detected-
Cells in basal layer --Not detected
Cells in corneal layer --Not detected
Cells in granular layer --Not detected
Cells in spinous layer --Not detected
Endothelial cells --High
Extracellular matrix --Not detected
Fibroblasts HighHigh-
Fibrohistiocytic cells --High
Keratinocytes Not detectedNot detected-
Langerhans cells --Not detected
Lymphocytes --Not detected
Melanocytes Not detectedNot detectedNot detected
Vascular mural cells --Not detected






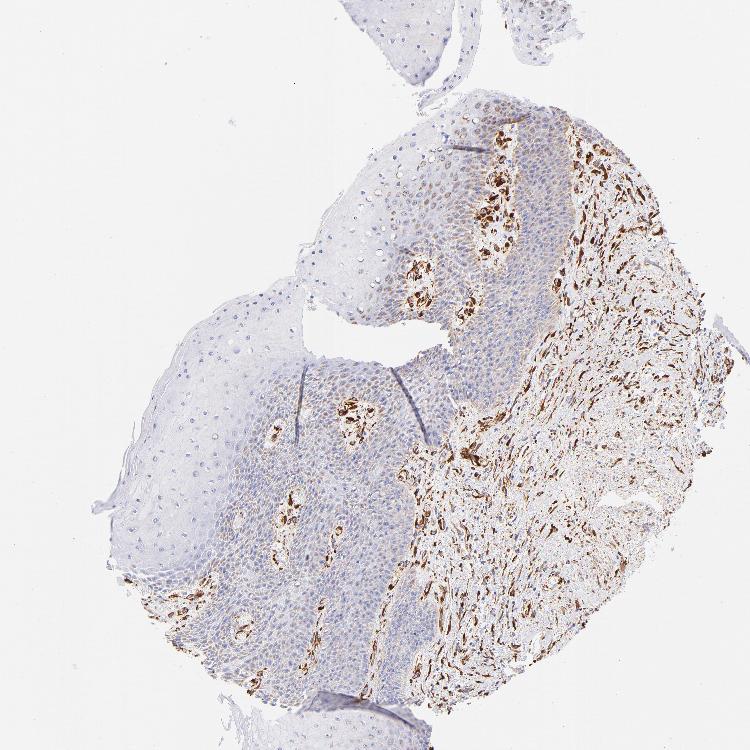
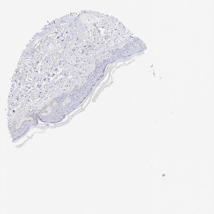
SKIN 2 - Antibody stainingi

Antibody staining in the annotated cell types in the current human tissue is reported as not detected, low, medium, or high, based on conventional immunohistochemistry profiling in selected tissues. This score is based on the combination of the staining intensity and fraction of stained cells.

Each image is clickable and will lead to virtual microscopy that enables deeper exploration of all samples and also displays staining intensity scores, fraction scores and subcellular localization as well as patient and tissue information for each sample.

Antibody HPA002989Antibody HPA003020Antibody CAB002306
Cells in basal layer --Not detected
Cells in corneal layer --Not detected
Cells in granular layer --Not detected
Cells in spinous layer --Not detected
Endothelial cells --High
Epidermal cells Not detectedMedium-
Extracellular matrix --Not detected
Fibrohistiocytic cells --High
Langerhans cells --Not detected
Lymphocytes --Not detected
Melanocytes --Medium
Vascular mural cells --Not detected
   
   






SKIN - HPA RNA-seqi

The RNA-seq details section shows detailed information about the individual samples used for the transcript profiling and results of the RNA-seq analysis.

Information about each individual sample is listed below, including gender, age, a tissue section image and estimated fractions of cell types. nTPM (normalized transcripts per million) values give a quantification of the gene abundance which is comparable between different genes and samples.
Average nTPMi

Max subtype nTPM is the value for the subtype with the largest average nTPM across the subtype samples.

253.1
overview
Female, age 34
Skin sample 225
nTPM: 300.3
Cell types%
Keratinocytes:
60

Other cell types:
40

overview
Female, age 30
Skin sample 226
nTPM: 207.5
Cell types%
Keratinocytes:
55

Other cell types:
45

N/A
Male, age 57
Skin sample 227
nTPM: 251.5

SKIN - GTEx RNA-seqi

RNA-Seq data generated by the Genotype-Tissue Expression (GTEx) project from human tissues is reported as mean nTPM. More information can be found on the GTEx portal.

Distribution across the dataset is visualized with box plots, shown as median and 25th and 75th percentiles. Points are displayed as outliers if they are above or below 1.5 times the interquartile range. nTPM values of the individual samples are presented next to the box plot.
Max subtype nTPMi

Max subtype nTPM is the value for the subtype with the largest average nTPM across the subtype samples.

276.8
GTEx sample id Sample description nTPM
Skin - Not Sun Exposed (Suprapubic)
Average nTPM: 189.7
Samples: 604

Max nTPM: 5279.2
Min nTPM: 32.4
Std nTPM: 241.7
Median nTPM: 143.4
GTEX-1QP29-1826-SM-DTX9S 50-59 years, male 5279.2
GTEX-18D9B-0926-SM-7LG4U 60-69 years, male 877.2
GTEX-YF7O-1526-SM-5IFI6 50-59 years, male 824.3
GTEX-14PKU-0126-SM-6LLHV 40-49 years, female 806.2
GTEX-X8HC-0626-SM-4E3HQ 50-59 years, female 730.3
GTEX-15SHW-0226-SM-7LTAT 60-69 years, male 702.3
GTEX-WYBS-0626-SM-3NMAS 60-69 years, female 684.6
GTEX-12WSL-2026-SM-5GCML 50-59 years, male 675.7
GTEX-WHSE-0126-SM-3NMBT 20-29 years, male 657.3
GTEX-13OVJ-0826-SM-5J1OK 50-59 years, female 641.3
GTEX-1EWIQ-0326-SM-7DHMQ 70-79 years, female 641.3
GTEX-1F6I4-2326-SM-7RHGL 60-69 years, male 629.7
GTEX-1R7EU-1626-SM-DTXG3 60-69 years, male 588.2
GTEX-ZT9W-1126-SM-57WDR 50-59 years, male 576.0
GTEX-1AX9J-1326-SM-731BJ 60-69 years, male 555.2
GTEX-1GZHY-0626-SM-9KNVC 50-59 years, female 551.5
GTEX-1EX96-1026-SM-7MKG2 50-59 years, male 540.4
GTEX-WYVS-1626-SM-3NM9R 40-49 years, female 538.1
GTEX-1HSKV-1226-SM-ADEI4 60-69 years, male 537.9
GTEX-11O72-0626-SM-5PNYE 40-49 years, male 523.7
GTEX-1HBPI-2126-SM-ARL9K 50-59 years, male 520.0
GTEX-16GPK-0626-SM-7KFSF 60-69 years, male 497.1
GTEX-145MG-1526-SM-5Q5EM 50-59 years, male 488.5
GTEX-X3Y1-2026-SM-3P5YM 40-49 years, male 478.7
GTEX-XBED-1926-SM-47JYP 60-69 years, male 475.6
GTEX-YJ8O-2526-SM-5HL85 40-49 years, female 473.4
GTEX-17HG3-2626-SM-7DUF2 30-39 years, female 468.0
GTEX-13113-1626-SM-5EQ4I 60-69 years, female 463.6
GTEX-1F75A-0726-SM-7RHHD 50-59 years, male 460.3
GTEX-ZUA1-2626-SM-5NQ92 40-49 years, male 450.9
GTEX-WY7C-2126-SM-3NB2R 50-59 years, male 444.5
GTEX-1PIIG-2326-SM-DTXFR 30-39 years, male 444.2
GTEX-15RJ7-2126-SM-6PAMD 40-49 years, male 437.9
GTEX-1S5ZU-2526-SM-E6CIF 20-29 years, female 428.8
GTEX-ZAK1-0626-SM-5HL8E 50-59 years, female 426.1
GTEX-Y8LW-1526-SM-5IFHL 50-59 years, female 425.4
GTEX-1BAJH-2426-SM-7IGP8 70-79 years, male 412.8
GTEX-ZDXO-3126-SM-5IJDF 60-69 years, male 409.4
GTEX-WFON-1926-SM-3LK7L 40-49 years, male 407.8
GTEX-1N5O9-0926-SM-E9J3C 60-69 years, male 394.5
GTEX-1H1CY-0126-SM-9YFLY 60-69 years, female 394.0
GTEX-15CHQ-0326-SM-69LQD 60-69 years, male 392.5
GTEX-11EM3-1226-SM-5N9DD 20-29 years, female 389.3
GTEX-1J8JJ-0626-SM-ARZMQ 60-69 years, female 385.4
GTEX-1AX9I-2226-SM-73KUO 60-69 years, male 381.9
GTEX-1R9K4-2826-SM-DTX8F 60-69 years, male 381.0
GTEX-11DYG-1526-SM-5A5JS 60-69 years, male 378.4
GTEX-1A32A-0626-SM-731AQ 50-59 years, female 375.8
GTEX-145ME-1726-SM-5Q5EU 40-49 years, female 375.6
GTEX-11DXW-0826-SM-5H118 40-49 years, male 373.0
GTEX-1KANA-1326-SM-DIPFA 20-29 years, male 371.6
GTEX-18A7B-2726-SM-7LG56 70-79 years, male 370.5
GTEX-ZYFC-0426-SM-5GICQ 50-59 years, male 365.2
GTEX-YB5K-2026-SM-4VDT3 40-49 years, female 362.4
GTEX-1GF9U-2026-SM-7SB92 40-49 years, female 354.2
GTEX-11ZTT-2126-SM-5CVLO 60-69 years, female 344.3
GTEX-1JKYN-0826-SM-ARU8S 30-39 years, male 339.1
GTEX-14E6E-0526-SM-793DN 30-39 years, male 338.2
GTEX-1POEN-2326-SM-E9J2L 30-39 years, female 337.4
GTEX-14BMU-1226-SM-5S2OR 20-29 years, female 334.8
GTEX-1H1DF-1126-SM-9WG7G 40-49 years, female 333.4
GTEX-14A5H-0826-SM-5QGPJ 60-69 years, male 328.2
GTEX-13X6J-0626-SM-5LU5F 50-59 years, male 328.1
GTEX-YEC4-1826-SM-4W1YP 40-49 years, male 327.4
GTEX-1F6IF-0926-SM-7SB7M 60-69 years, male 326.8
GTEX-1A8FM-0626-SM-7PC25 50-59 years, female 325.4
GTEX-WRHU-2826-SM-3MJG8 50-59 years, female 324.0
GTEX-ZPU1-1126-SM-4YCF3 40-49 years, male 321.6
GTEX-WFG8-2126-SM-3GIKQ 20-29 years, male 321.2
GTEX-U8XE-0226-SM-4E3J3 30-39 years, male 315.7
GTEX-14JG6-1426-SM-9WG7C 30-39 years, female 312.2
GTEX-1I1CD-0626-SM-CE6SW 60-69 years, female 306.4
GTEX-1IDJH-0126-SM-D3L92 70-79 years, male 306.1
GTEX-1IY9M-2826-SM-ARU8H 60-69 years, male 302.5
GTEX-1B933-2426-SM-7DHMD 50-59 years, female 301.5
GTEX-14E6C-2426-SM-5S2NF 40-49 years, male 297.5
GTEX-13OVG-1626-SM-5J1NF 60-69 years, male 296.9
GTEX-16YQH-2226-SM-7IGM2 30-39 years, male 295.9
GTEX-W5X1-2526-SM-3GILC 40-49 years, female 295.8
GTEX-17HHY-0426-SM-7DHLC 50-59 years, male 294.5
GTEX-1IKJJ-2226-SM-CJI4C 60-69 years, male 294.4
GTEX-14ABY-2026-SM-62LDL 50-59 years, male 291.3
GTEX-1B8KZ-0326-SM-73KY4 50-59 years, male 288.6
GTEX-1IDJE-1426-SM-ADEIW 50-59 years, female 287.7
GTEX-1A8G6-2726-SM-731AR 60-69 years, male 286.5
GTEX-1JMOU-1026-SM-CYPSS 60-69 years, female 285.7
GTEX-WFG7-2026-SM-5SI7P 20-29 years, male 284.6
GTEX-1LVA9-2626-SM-EVYD4 50-59 years, male 283.6
GTEX-11WQC-1826-SM-5GU59 60-69 years, male 282.1
GTEX-ZZ64-1026-SM-5GZXG 20-29 years, male 279.8
GTEX-1HCU6-2526-SM-ADEHL 60-69 years, female 276.4
GTEX-1RAZR-2126-SM-E9U6T 40-49 years, male 276.1
GTEX-12BJ1-0926-SM-5EQ62 60-69 years, male 274.3
GTEX-131YS-2826-SM-5EQ47 60-69 years, female 274.0
GTEX-13VXU-0626-SM-5L3F9 50-59 years, male 273.4
GTEX-1497J-0226-SM-5QGPU 60-69 years, male 271.0
GTEX-1J8Q3-0526-SM-ARL8U 60-69 years, male 264.9
GTEX-ZVTK-0226-SM-51MRG 20-29 years, male 262.5
GTEX-13N2G-0226-SM-5K7VF 60-69 years, male 262.0
GTEX-X5EB-1926-SM-4E3IW 40-49 years, male 261.1
GTEX-13X6K-0626-SM-5LU5D 60-69 years, female 260.0
GTEX-13N1W-2426-SM-5IJD1 70-79 years, male 259.7
GTEX-14PK6-0226-SM-62LF5 70-79 years, female 257.9
GTEX-1HCU9-0426-SM-9WYSD 20-29 years, male 257.4
GTEX-1HFI6-0126-SM-CNPPI 40-49 years, male 257.1
GTEX-WK11-2726-SM-3NMAQ 50-59 years, male 256.4
GTEX-1GMRU-2126-SM-7P8RA 50-59 years, male 255.6
GTEX-18A6Q-0626-SM-7KFRP 60-69 years, male 252.9
GTEX-Y5V5-0126-SM-5S2NW 60-69 years, female 252.0
GTEX-1I1GV-0626-SM-ARL7M 60-69 years, male 249.8
GTEX-1F75W-2726-SM-7SB8H 60-69 years, male 249.1
GTEX-17JCI-2926-SM-7DUFF 60-69 years, female 247.9
GTEX-13OVL-0126-SM-5L3GJ 50-59 years, male 247.0
GTEX-ZYFD-0626-SM-5E44E 50-59 years, male 247.0
GTEX-13FH7-1126-SM-5K7UG 50-59 years, female 246.7
GTEX-Y3IK-1626-SM-4YCF5 50-59 years, female 240.9
GTEX-1I1GP-1326-SM-A9G28 50-59 years, male 240.0
GTEX-1I6K7-1926-SM-B2LXR 40-49 years, male 239.8
GTEX-1I6K6-1726-SM-CGQFD 30-39 years, male 239.4
GTEX-1211K-1526-SM-5FQU4 60-69 years, female 237.7
GTEX-13JUV-2026-SM-5K7UA 40-49 years, female 237.3
GTEX-13NZ9-2626-SM-5L3FK 50-59 years, male 237.3
GTEX-1KWVE-1026-SM-D3L9O 30-39 years, male 236.9
GTEX-18A66-0626-SM-7LT8Z 60-69 years, male 234.1
GTEX-111FC-2526-SM-5GZXU 60-69 years, male 233.7
GTEX-12WSC-2826-SM-5BC5Y 50-59 years, male 233.7
GTEX-WHPG-2626-SM-3NMBR 50-59 years, male 233.7
GTEX-1RB15-1326-SM-E76Q9 60-69 years, male 233.1
GTEX-1HUB1-1426-SM-CGQF5 60-69 years, male 232.2
GTEX-1GN2E-0226-SM-9WG6K 60-69 years, male 231.9
GTEX-1E1VI-0326-SM-793D1 50-59 years, male 230.9
GTEX-1JMQL-2226-SM-CNPP4 50-59 years, female 229.8
GTEX-1QEPI-2626-SM-DTXF4 60-69 years, female 229.6
GTEX-12WSD-0626-SM-5GCMW 60-69 years, female 228.5
GTEX-131XW-0626-SM-5PNVD 50-59 years, female 227.7
GTEX-X4EO-2926-SM-4E3JH 60-69 years, female 227.6
GTEX-12584-0726-SM-5FQTK 40-49 years, male 227.4
GTEX-1ICLZ-0326-SM-ARL82 60-69 years, male 226.6
GTEX-XQ3S-1426-SM-4BOPR 20-29 years, male 226.3
GTEX-139YR-1026-SM-5LZYN 50-59 years, male 225.4
GTEX-1GF9V-0826-SM-9KNUV 60-69 years, male 223.5
GTEX-1AYD5-2626-SM-7PBXY 50-59 years, male 223.2
GTEX-13O61-1426-SM-5KM3D 60-69 years, male 222.4
GTEX-14JG1-1526-SM-5YY9X 40-49 years, male 221.9
GTEX-1GL5R-1326-SM-7RHHF 50-59 years, male 220.8
GTEX-XOT4-0626-SM-4B66L 60-69 years, female 220.4
GTEX-12126-0826-SM-5FQTZ 20-29 years, male 220.2
GTEX-1J8Q2-2626-SM-ACKWQ 60-69 years, male 219.1
GTEX-1N2EE-0626-SM-E76PW 60-69 years, male 217.1
GTEX-1C64N-2626-SM-7PC2N 50-59 years, male 216.4
GTEX-1RLM8-2926-SM-E8VON 50-59 years, male 216.3
GTEX-183FY-1026-SM-7939A 20-29 years, male 216.1
GTEX-1QCLZ-2426-SM-EVYBW 60-69 years, female 215.4
GTEX-ZLV1-1526-SM-DO91J 60-69 years, female 215.3
GTEX-1C6WA-2626-SM-7MKGM 60-69 years, male 213.5
GTEX-146FQ-2126-SM-5RQHU 30-39 years, male 210.8
GTEX-ZYFG-1526-SM-5GZYM 60-69 years, female 210.5
GTEX-16NPX-0726-SM-7KULC 50-59 years, male 210.0
GTEX-1H3NZ-2726-SM-9WYTQ 60-69 years, male 209.4
GTEX-15UF6-1926-SM-7KUDV 70-79 years, female 207.1
GTEX-13YAN-0226-SM-5TDC6 60-69 years, male 207.0
GTEX-13PVQ-0626-SM-5LU47 50-59 years, male 205.0
GTEX-1F48J-0726-SM-7RHGS 50-59 years, female 204.3
GTEX-1F75B-0726-SM-7PC3R 50-59 years, male 202.7
GTEX-1IL2V-1926-SM-B2LW8 70-79 years, male 202.6
GTEX-1JMLX-0626-SM-ARL8T 50-59 years, male 202.3
GTEX-14BIN-1126-SM-5RQJZ 50-59 years, female 202.0
GTEX-11EI6-2826-SM-5H11D 60-69 years, male 201.5
GTEX-1LSVX-2526-SM-DIPEU 60-69 years, male 201.5
GTEX-145LT-0526-SM-5LUB2 40-49 years, male 200.7
GTEX-12C56-1526-SM-5FQUQ 20-29 years, male 200.6
GTEX-1CAV2-0126-SM-7IGN7 40-49 years, female 199.8
GTEX-1117F-2926-SM-5GZYI 60-69 years, female 198.4
GTEX-17EVQ-0126-SM-7IGLR 70-79 years, male 198.3
GTEX-1CAMR-1326-SM-7PC1F 20-29 years, male 196.8
GTEX-1LSNL-2726-SM-E9TKJ 50-59 years, male 196.4
GTEX-139TT-2126-SM-5LZWC 60-69 years, male 196.1
GTEX-11P7K-1126-SM-5HL4L 30-39 years, male 196.0
GTEX-14DAR-1226-SM-73KYV 50-59 years, male 195.9
GTEX-14PJO-2526-SM-6AJBQ 60-69 years, male 195.9
GTEX-1EU9M-1426-SM-793AI 60-69 years, male 195.6
GTEX-ZDTS-0826-SM-4WKHL 60-69 years, male 195.3
GTEX-1314G-1326-SM-5BC6E 30-39 years, male 195.2
GTEX-145MO-2826-SM-5LU96 60-69 years, male 193.2
GTEX-145MF-0926-SM-5Q5EA 50-59 years, male 193.0
GTEX-1399R-1326-SM-5PNYS 30-39 years, male 192.0
GTEX-15ER7-0626-SM-6PANF 20-29 years, female 191.9
GTEX-1AX8Z-0726-SM-73KTS 60-69 years, male 190.5
GTEX-ZAJG-1526-SM-5CVML 50-59 years, female 190.5
GTEX-17F98-1326-SM-7DUEP 40-49 years, female 190.4
GTEX-139T8-0626-SM-5KLZX 60-69 years, male 189.4
GTEX-WEY5-2326-SM-3GIKK 40-49 years, female 187.6
GTEX-14PKV-1126-SM-6LLJ1 20-29 years, female 186.8
GTEX-XK95-0226-SM-4AT58 40-49 years, male 186.8
GTEX-1A3MW-0626-SM-731CB 60-69 years, female 186.3
GTEX-Y3I4-1726-SM-4TT89 50-59 years, male 185.9
GTEX-ZF2S-1626-SM-57WES 50-59 years, female 185.1
GTEX-1HSMQ-2626-SM-A9SML 50-59 years, male 184.6
GTEX-ZA64-1026-SM-5HL8R 20-29 years, male 184.5
GTEX-11TT1-1826-SM-5EQLV 20-29 years, male 183.3
GTEX-1JKYR-0626-SM-ARL8R 20-29 years, male 182.0
GTEX-1HC8U-1326-SM-9YFMJ 40-49 years, female 181.9
GTEX-12WSF-1626-SM-7KUG5 70-79 years, male 181.2
GTEX-1S831-1826-SM-EWROF 20-29 years, male 180.1
GTEX-1HSMO-0626-SM-ACKXC 60-69 years, male 179.9
GTEX-13OW8-1026-SM-5J1NQ 60-69 years, male 179.1
GTEX-147F3-1726-SM-5SIAW 50-59 years, female 178.5
GTEX-139TS-2126-SM-5K7XC 60-69 years, male 178.1
GTEX-1LGOU-1326-SM-D3L8M 20-29 years, female 177.7
GTEX-13X6I-1826-SM-5SIAO 60-69 years, male 176.9
GTEX-1H4P4-2126-SM-9WYSL 50-59 years, male 176.9
GTEX-1PBJJ-1026-SM-E76OS 30-39 years, male 176.5
GTEX-ZVT4-2426-SM-5GIEI 50-59 years, female 175.6
GTEX-1IOXB-2726-SM-CM2RI 50-59 years, male 175.1
GTEX-11GS4-0226-SM-5HL77 60-69 years, male 173.6
GTEX-1IDJC-1526-SM-B2LW4 50-59 years, male 171.9
GTEX-1GN1U-0626-SM-9MQL9 50-59 years, female 171.7
GTEX-145LU-1926-SM-79OJN 50-59 years, male 171.4
GTEX-WH7G-2026-SM-3NMBL 40-49 years, male 171.1
GTEX-12ZZY-0726-SM-5EQ66 60-69 years, male 170.8
GTEX-1F6RS-2026-SM-7RHHC 60-69 years, female 170.5
GTEX-131XH-0126-SM-5LZUY 50-59 years, male 170.3
GTEX-15SKB-2826-SM-6PAMH 60-69 years, male 169.1
GTEX-1B996-0426-SM-7EWF8 60-69 years, male 168.8
GTEX-11NSD-0626-SM-5A5LU 20-29 years, male 168.5
GTEX-12ZZZ-0726-SM-5GCNZ 60-69 years, male 168.2
GTEX-13OW7-0426-SM-5K7VK 50-59 years, male 168.2
GTEX-1L5NE-1126-SM-D3L9P 50-59 years, male 167.9
GTEX-13QBU-1226-SM-5LU4G 40-49 years, female 167.6
GTEX-1B8SF-0126-SM-7DUG3 60-69 years, male 167.4
GTEX-1I19N-0126-SM-CYPSF 70-79 years, male 166.3
GTEX-ZLWG-0826-SM-59888 50-59 years, female 166.1
GTEX-145MH-2826-SM-5RQJF 50-59 years, male 165.2
GTEX-ZU9S-1826-SM-5NQ9E 30-39 years, male 164.6
GTEX-1HBPM-0726-SM-9YFL7 60-69 years, female 164.5
GTEX-18465-2826-SM-7LT9J 50-59 years, male 164.3
GTEX-1CB4J-1326-SM-7P8RX 60-69 years, male 163.8
GTEX-11LCK-2226-SM-5HL4Q 30-39 years, male 163.3
GTEX-1GTWX-2026-SM-9YFLM 60-69 years, male 163.2
GTEX-1QP66-1226-SM-DTX7U 50-59 years, male 162.2
GTEX-ZLFU-1826-SM-4WWBV 40-49 years, male 161.2
GTEX-1J8EW-2726-SM-CY8HR 60-69 years, female 161.2
GTEX-XXEK-1626-SM-4BRUZ 50-59 years, male 160.8
GTEX-1RAZS-2526-SM-E6CHT 50-59 years, male 160.5
GTEX-Y8E4-2026-SM-5IFJB 40-49 years, male 160.4
GTEX-WYJK-0526-SM-3NM8Z 50-59 years, male 160.3
GTEX-12KS4-2126-SM-5FQUT 30-39 years, male 159.8
GTEX-13112-0126-SM-5P9IU 50-59 years, male 159.2
GTEX-111YS-1526-SM-5GZYW 60-69 years, male 158.9
GTEX-147JS-0226-SM-5S2U9 60-69 years, male 158.8
GTEX-XYKS-1426-SM-4BRUO 60-69 years, female 158.8
GTEX-1HR98-2226-SM-ADEI2 60-69 years, male 158.5
GTEX-11WQK-1026-SM-5EQLX 50-59 years, male 158.0
GTEX-18A7A-0126-SM-731AH 50-59 years, female 158.0
GTEX-ZVP2-0326-SM-57WBP 50-59 years, male 157.7
GTEX-13N11-2326-SM-5IJBF 50-59 years, female 157.6
GTEX-YEC3-1326-SM-DO92X 50-59 years, male 157.2
GTEX-WI4N-2726-SM-3LK7Y 40-49 years, female 156.1
GTEX-13OW5-2326-SM-5L3HO 60-69 years, male 156.0
GTEX-16AAH-0626-SM-793C9 50-59 years, male 155.3
GTEX-1CB4F-1026-SM-7DUH1 60-69 years, male 155.3
GTEX-11NUK-2726-SM-5A5MC 50-59 years, male 155.2
GTEX-WHWD-1826-SM-3LK6I 50-59 years, male 154.8
GTEX-16MT8-2926-SM-7DUFO 60-69 years, female 154.2
GTEX-139TU-0726-SM-5L3EK 60-69 years, male 154.1
GTEX-13PVR-0426-SM-5RQK2 60-69 years, female 154.0
GTEX-YECK-0326-SM-4W1YS 60-69 years, male 153.7
GTEX-15DYW-2726-SM-6EU2I 60-69 years, female 153.6
GTEX-145MN-1526-SM-5SI9T 30-39 years, male 153.3
GTEX-13U4I-2226-SM-5LU5H 40-49 years, female 153.0
GTEX-1I4MK-0126-SM-CY8G6 50-59 years, female 152.6
GTEX-1GMR2-0826-SM-7PC3V 50-59 years, male 152.5
GTEX-12WSK-2126-SM-5CVNC 40-49 years, female 152.3
GTEX-12ZZX-2426-SM-5GCOE 40-49 years, female 152.2
GTEX-1IDJF-2026-SM-CL53V 20-29 years, male 151.0
GTEX-ZE7O-2726-SM-51MT5 50-59 years, female 150.4
GTEX-1KANC-1226-SM-CYPT7 50-59 years, female 149.1
GTEX-13OVK-1426-SM-6PAN7 40-49 years, male 149.0
GTEX-1KD5A-0126-SM-E9U54 50-59 years, male 149.0
GTEX-1QP2A-1726-SM-E76QC 50-59 years, male 148.3
GTEX-144FL-0626-SM-5LU43 50-59 years, male 148.1
GTEX-1S82P-2126-SM-E6CI5 60-69 years, female 148.0
GTEX-1313W-0626-SM-5EQ4H 50-59 years, female 147.8
GTEX-16BQI-1326-SM-6M486 30-39 years, female 147.8
GTEX-1PIGE-1826-SM-E8VOU 20-29 years, male 147.7
GTEX-133LE-2326-SM-5K7W3 20-29 years, female 147.5
GTEX-13X6H-0926-SM-5SIB2 50-59 years, female 147.1
GTEX-YFCO-1226-SM-5LUAT 40-49 years, male 147.0
GTEX-1QMI2-2526-SM-E8VNZ 60-69 years, male 147.0
GTEX-13NYS-0626-SM-5L3F1 60-69 years, male 146.7
GTEX-1H1E6-0426-SM-9WYUS 30-39 years, male 146.5
GTEX-1JN76-0626-SM-CKZOQ 20-29 years, female 146.4
GTEX-13NYB-0126-SM-5J1MD 40-49 years, male 146.2
GTEX-14AS3-1526-SM-5Q5ED 40-49 years, female 146.2
GTEX-13PL6-1126-SM-5L3IE 40-49 years, female 145.7
GTEX-1A3MV-1826-SM-731CD 30-39 years, male 144.5
GTEX-1B8KE-1126-SM-7EPHI 50-59 years, male 144.4
GTEX-ZYW4-0626-SM-59HJR 60-69 years, male 144.3
GTEX-1LG7Z-1626-SM-CXKYR 30-39 years, male 144.3
GTEX-1N2DV-1526-SM-DTXEP 40-49 years, male 143.6
GTEX-12WSM-1926-SM-5BC65 60-69 years, male 143.5
GTEX-139D8-1126-SM-5LU8W 30-39 years, female 143.5
GTEX-117YX-1926-SM-5GIEC 50-59 years, male 143.3
GTEX-1M4P7-0726-SM-E6CJ3 60-69 years, male 142.5
GTEX-144GL-0626-SM-5LU4D 50-59 years, male 142.4
GTEX-1JN1M-2726-SM-CY8I4 60-69 years, female 141.6
GTEX-1E2YA-2126-SM-7MXUO 50-59 years, male 141.3
GTEX-1QAET-0326-SM-EVR3U 50-59 years, male 141.2
GTEX-178AV-1726-SM-7KUL8 40-49 years, male 140.5
GTEX-1C64O-1326-SM-7MGWR 60-69 years, male 140.5
GTEX-13FTW-0326-SM-5K7UW 40-49 years, male 140.4
GTEX-V1D1-2026-SM-3GAF4 50-59 years, male 140.1
GTEX-1IE54-1126-SM-A9G2Z 40-49 years, female 140.1
GTEX-147F4-0726-SM-5TDDD 50-59 years, male 139.7
GTEX-1C6VQ-1226-SM-73KYD 50-59 years, male 139.7
GTEX-12WSH-1526-SM-5BC5W 50-59 years, male 139.4
GTEX-13O3O-2326-SM-5IJD6 60-69 years, female 139.4
GTEX-1R9PM-1926-SM-EVR3O 20-29 years, male 139.4
GTEX-1RAZA-2226-SM-E9U4X 20-29 years, male 139.3
GTEX-ZVE2-2826-SM-5GU51 50-59 years, male 139.2
GTEX-1NV5F-0626-SM-DTXEG 60-69 years, female 139.0
GTEX-1R9PN-0426-SM-DTXDT 40-49 years, female 138.1
GTEX-1O9I2-0226-SM-EYYXD 50-59 years, male 137.9
GTEX-1PPGY-1626-SM-EVYBL 60-69 years, male 137.6
GTEX-14PJ2-0626-SM-6LLII 50-59 years, male 137.4
GTEX-ZDYS-2426-SM-4WKGI 50-59 years, male 137.1
GTEX-1GZ2Q-0126-SM-9WG6M 40-49 years, male 137.0
GTEX-13PDP-0726-SM-5L3HP 60-69 years, male 136.8
GTEX-1477Z-0326-SM-7IGLA 60-69 years, male 136.1
GTEX-15FZZ-0526-SM-7KUGD 30-39 years, female 136.1
GTEX-WXYG-2026-SM-4E3IY 50-59 years, female 135.6
GTEX-17HGU-2326-SM-7DUFE 50-59 years, male 134.9
GTEX-Y5LM-0926-SM-6LLJG 40-49 years, female 134.7
GTEX-16XZZ-0726-SM-7KUF2 60-69 years, male 134.5
GTEX-1GF9W-1426-SM-7PBYM 60-69 years, male 134.4
GTEX-1JMQI-1726-SM-ARL93 50-59 years, male 134.4
GTEX-11EQ9-1626-SM-5PNY8 30-39 years, male 134.1
GTEX-18QFQ-1826-SM-72D52 30-39 years, male 133.8
GTEX-11VI4-1126-SM-5EQMD 40-49 years, female 133.5
GTEX-ZDTT-0426-SM-4WKFL 60-69 years, male 133.4
GTEX-13VXT-1926-SM-5K7UO 20-29 years, female 133.3
GTEX-1GZ4H-0526-SM-9KNU9 50-59 years, female 133.3
GTEX-132AR-0326-SM-5KM2C 50-59 years, female 133.2
GTEX-1IDJD-2326-SM-ACKWX 30-39 years, male 133.2
GTEX-ZGAY-1826-SM-DO91Q 40-49 years, female 132.8
GTEX-ZPIC-0526-SM-DO91W 40-49 years, female 132.8
GTEX-1MJK3-0726-SM-E6CJC 20-29 years, male 132.5
GTEX-1F52S-2926-SM-7MKGA 60-69 years, female 132.3
GTEX-131XF-2626-SM-5EQ6K 60-69 years, male 131.6
GTEX-17F9Y-0126-SM-79OKX 70-79 years, female 131.3
GTEX-139UW-0326-SM-5J1ML 60-69 years, male 130.9
GTEX-15G1A-1626-SM-7KUKN 30-39 years, male 130.0
GTEX-1EN7A-2426-SM-793DB 40-49 years, male 129.6
GTEX-17MF6-2626-SM-79OKQ 40-49 years, male 129.4
GTEX-13IVO-0726-SM-5LZYV 70-79 years, male 128.7
GTEX-1GMR3-0126-SM-A9SLW 40-49 years, male 128.7
GTEX-1GN73-0726-SM-7P8TJ 60-69 years, male 128.7
GTEX-ZZPU-0826-SM-5GZX5 50-59 years, female 128.5
GTEX-131XG-0326-SM-5L3DX 50-59 years, female 128.1
GTEX-18D9A-1426-SM-7LT8M 30-39 years, female 127.9
GTEX-13SLX-2226-SM-62LEP 50-59 years, female 127.3
GTEX-Y111-0626-SM-4SOIT 50-59 years, male 126.9
GTEX-13FLV-0126-SM-5K7WT 50-59 years, male 126.8
GTEX-17F9E-2326-SM-79OKD 50-59 years, male 126.7
GTEX-1EKGG-0626-SM-7DUGJ 60-69 years, male 126.7
GTEX-11P81-2226-SM-5PNYI 30-39 years, female 126.4
GTEX-1LBAC-0826-SM-CY8IJ 20-29 years, male 126.3
GTEX-1HCU8-2526-SM-CE6RX 60-69 years, female 126.1
GTEX-1F5PL-0926-SM-7PC2W 40-49 years, female 125.8
GTEX-ZXG5-2126-SM-59HKD 60-69 years, male 125.7
GTEX-1IDJI-0126-SM-CMKHS 50-59 years, female 125.6
GTEX-1H3O1-1326-SM-9MQLD 60-69 years, male 125.5
GTEX-13G51-1826-SM-5KLZH 60-69 years, male 125.1
GTEX-Z93S-1626-SM-5CVMB 50-59 years, male 125.0
GTEX-17MFQ-1526-SM-7KFRR 20-29 years, male 124.7
GTEX-1JMQK-1226-SM-D4P2S 60-69 years, male 124.6
GTEX-VJYA-1526-SM-3GIJV 60-69 years, male 124.3
GTEX-13FTY-2126-SM-5IFFB 40-49 years, female 124.1
GTEX-UPJH-0226-SM-3GADV 50-59 years, male 124.1
GTEX-14DAQ-0626-SM-793DS 60-69 years, female 123.8
GTEX-1J8QM-2426-SM-A9SLS 60-69 years, female 123.8
GTEX-1JJEA-1826-SM-ARU8P 60-69 years, male 123.6
GTEX-XBEC-0726-SM-4QARZ 50-59 years, male 123.4
GTEX-11DZ1-2426-SM-5GZZX 50-59 years, male 122.8
GTEX-17EVP-2626-SM-7IGMA 40-49 years, male 122.8
GTEX-15EU6-2226-SM-6EU2L 50-59 years, male 122.7
GTEX-1F88F-0126-SM-9WYSZ 60-69 years, female 122.2
GTEX-13D11-0926-SM-5J2NC 50-59 years, female 120.7
GTEX-1HCUA-0826-SM-ADEHM 50-59 years, female 120.6
GTEX-145LS-0626-SM-7EPG7 60-69 years, female 120.3
GTEX-1EMGI-2326-SM-7PBYA 60-69 years, male 120.1
GTEX-17HII-1426-SM-7EPGG 50-59 years, male 119.4
GTEX-Y114-2126-SM-4TT8B 50-59 years, female 119.4
GTEX-1QP9N-1226-SM-E76QN 30-39 years, male 119.1
GTEX-11OF3-0126-SM-5PNYF 60-69 years, male 118.3
GTEX-1J1R8-2026-SM-CL53Y 40-49 years, male 118.3
GTEX-11TUW-0626-SM-5LU9M 60-69 years, male 118.1
GTEX-UPK5-0426-SM-3GAEK 40-49 years, male 118.0
GTEX-14753-0726-SM-5QGQO 60-69 years, male 117.9
GTEX-145MI-0626-SM-5SI8S 60-69 years, female 117.7
GTEX-XV7Q-1826-SM-4BRUV 40-49 years, female 117.6
GTEX-1H1DG-2426-SM-9QEHJ 70-79 years, male 117.5
GTEX-1JJE9-2626-SM-ARZMT 70-79 years, male 116.2
GTEX-14PJ6-2626-SM-6EU2T 60-69 years, female 115.0
GTEX-1JMQJ-0826-SM-CNPP7 50-59 years, male 115.0
GTEX-ZAB4-2126-SM-5HL8U 40-49 years, male 114.8
GTEX-13RTJ-0126-SM-5S2NN 60-69 years, male 114.6
GTEX-11P82-1426-SM-DTXFY 20-29 years, male 114.3
GTEX-1C475-1326-SM-7SB73 40-49 years, female 114.3
GTEX-1HCU7-0726-SM-A9SL1 50-59 years, male 113.9
GTEX-17F96-0126-SM-7EWDU 70-79 years, male 113.8
GTEX-X4EP-0626-SM-3P621 60-69 years, female 113.7
GTEX-XAJ8-1426-SM-47JYM 40-49 years, male 113.7
GTEX-1I1GS-2626-SM-B2LY3 60-69 years, male 113.5
GTEX-16NGA-0726-SM-731AO 40-49 years, female 112.8
GTEX-1QPFJ-1926-SM-EVYBD 30-39 years, female 111.9
GTEX-1F75I-2226-SM-7SB8U 40-49 years, male 111.5
GTEX-14PHX-2226-SM-6EU2P 50-59 years, male 110.6
GTEX-XMD2-2126-SM-4YCF8 60-69 years, female 110.6
GTEX-1GMR8-0626-SM-7RHI7 50-59 years, female 110.4
GTEX-14LZ3-0126-SM-69LPM 60-69 years, female 110.3
GTEX-14PJ5-1526-SM-6LLIL 60-69 years, female 110.3
GTEX-ZC5H-1526-SM-5HL9Y 40-49 years, female 110.2
GTEX-15D1Q-2826-SM-6LLH7 40-49 years, male 109.9
GTEX-15EO6-2426-SM-6PALZ 50-59 years, male 109.9
GTEX-ZTX8-1326-SM-4YCEL 20-29 years, male 109.8
GTEX-1KANB-2826-SM-CY8I6 50-59 years, male 108.5
GTEX-1H2FU-0926-SM-9WPPT 60-69 years, female 107.9
GTEX-1I1HK-2326-SM-CKZOH 60-69 years, male 107.9
GTEX-1LG7Y-2526-SM-EWRO7 50-59 years, male 107.9
GTEX-1H23P-0626-SM-9WG6T 60-69 years, male 106.8
GTEX-13OW6-2726-SM-5J2OE 50-59 years, male 106.7
GTEX-1GPI7-1826-SM-9KNU1 20-29 years, male 106.5
GTEX-11DXZ-2026-SM-5987S 50-59 years, male 105.7
GTEX-1C6VR-0126-SM-7RHGB 60-69 years, male 105.6
GTEX-1JMPZ-0726-SM-CY8HZ 30-39 years, male 105.6
GTEX-14C5O-0326-SM-5ZZUX 60-69 years, male 105.2
GTEX-1ICG6-1226-SM-A9SLN 70-79 years, female 105.2
GTEX-1B97I-0626-SM-73KUZ 40-49 years, male 104.8
GTEX-13NZ8-1226-SM-5KM4A 60-69 years, female 104.5
GTEX-1PPH7-1126-SM-DTX9A 40-49 years, male 104.4
GTEX-16Z82-2626-SM-7KULU 60-69 years, male 103.7
GTEX-XBEW-1126-SM-4QARW 40-49 years, male 103.7
GTEX-111CU-1126-SM-5EGIM 50-59 years, male 103.6
GTEX-15RIE-1926-SM-7KUKJ 60-69 years, male 103.6
GTEX-1IDFM-0326-SM-ARL7V 60-69 years, male 103.5
GTEX-ZVT2-0126-SM-5GIDQ 50-59 years, female 103.4
GTEX-1KAFJ-0126-SM-DIPEK 50-59 years, male 103.3
GTEX-11EQ8-0926-SM-5H12V 60-69 years, male 103.1
GTEX-13O3Q-0126-SM-5KM34 50-59 years, male 102.4
GTEX-1B932-2326-SM-79OL5 40-49 years, female 102.4
GTEX-XPVG-2126-SM-4B667 50-59 years, male 102.3
GTEX-1H1ZS-2726-SM-9WG75 70-79 years, male 102.2
GTEX-13FHO-0426-SM-5L3F5 60-69 years, male 101.4
GTEX-18D9U-0126-SM-731BM 40-49 years, male 101.4
GTEX-1ICLY-0826-SM-CMKG1 50-59 years, male 101.3
GTEX-1192X-2726-SM-5N9DN 50-59 years, male 100.6
GTEX-1399U-1126-SM-5L3DB 50-59 years, female 100.6
GTEX-1K2DU-1226-SM-CYPT4 20-29 years, male 100.4
GTEX-1NSGN-0726-SM-DTXEF 50-59 years, male 100.2
GTEX-1HCVE-2726-SM-CL54F 50-59 years, male 99.7
GTEX-1A8G7-1326-SM-73KVM 60-69 years, male 99.4
GTEX-Y5V6-2326-SM-4VDSA 60-69 years, male 99.4
GTEX-1HT8W-0626-SM-A9G2H 30-39 years, male 99.4
GTEX-1AMFI-1326-SM-7939R 50-59 years, female 99.0
GTEX-1OJC3-1226-SM-DTXER 20-29 years, male 98.9
GTEX-15CHC-1126-SM-6LLHQ 60-69 years, female 98.7
GTEX-1LVAN-0626-SM-CNPOQ 50-59 years, female 98.5
GTEX-144GO-2026-SM-5O99P 60-69 years, male 98.4
GTEX-1B8L1-2226-SM-7P8PT 60-69 years, male 98.1
GTEX-1HR9M-2226-SM-CNPPY 60-69 years, male 98.1
GTEX-ZPCL-1126-SM-4WWFE 60-69 years, female 97.4
GTEX-16MTA-0926-SM-6M47Z 50-59 years, male 97.2
GTEX-14ICL-1626-SM-5YYAO 30-39 years, male 97.1
GTEX-11GSP-2326-SM-5HL63 60-69 years, female 97.0
GTEX-15RJE-2826-SM-7KUM9 40-49 years, male 96.8
GTEX-X585-2426-SM-46MW2 50-59 years, male 96.7
GTEX-ZTTD-2826-SM-4YCFA 50-59 years, male 96.7
GTEX-15RIG-0726-SM-7KUM7 40-49 years, male 96.3
GTEX-144GM-0526-SM-79OJO 20-29 years, male 96.0
GTEX-14JFF-0626-SM-5ZZVT 60-69 years, male 95.9
GTEX-1LB8K-0726-SM-D5OV2 50-59 years, male 95.9
GTEX-1LGRB-0926-SM-COH3K 50-59 years, female 95.9
GTEX-1HSMP-0926-SM-A9SKX 70-79 years, male 95.5
GTEX-1QW4Y-1126-SM-DTXE3 30-39 years, male 95.4
GTEX-148VJ-0626-SM-5LUAW 70-79 years, male 94.9
GTEX-VUSG-2326-SM-4KL1U 50-59 years, male 94.8
GTEX-1122O-1026-SM-9WYSF 60-69 years, female 94.6
GTEX-1HFI7-2326-SM-CGQFS 50-59 years, female 94.5
GTEX-1IDJU-1726-SM-CMKHU 60-69 years, female 94.4
GTEX-1LVAM-0726-SM-E6CIL 50-59 years, female 94.0
GTEX-12696-0126-SM-5EQ4L 60-69 years, male 93.1
GTEX-14E1K-2026-SM-7DUEI 50-59 years, male 93.1
GTEX-1LSNM-0826-SM-DIPG8 50-59 years, male 92.8
GTEX-1LKK1-2626-SM-DKPQE 50-59 years, female 91.9
GTEX-1MCC2-1826-SM-DIPEX 30-39 years, female 91.7
GTEX-15G19-2426-SM-7KUMR 60-69 years, male 91.6
GTEX-14C38-0726-SM-5SI6M 50-59 years, male 91.4
GTEX-1H11D-1826-SM-9QEHM 40-49 years, male 91.4
GTEX-1LVAO-2726-SM-E9TJ8 60-69 years, male 91.4
GTEX-15DDE-2926-SM-6LLJ3 50-59 years, female 91.3
GTEX-14BMV-2826-SM-5TDED 50-59 years, male 91.1
GTEX-17F97-2626-SM-7IGM5 50-59 years, male 90.9
GTEX-ZT9X-1526-SM-5DUXD 40-49 years, male 90.9
GTEX-12WSJ-1126-SM-5LZVJ 40-49 years, female 90.6
GTEX-1CB4I-0126-SM-7RHGG 50-59 years, male 90.2
GTEX-11ZU8-0126-SM-5EQ58 60-69 years, male 89.6
GTEX-14PHY-1226-SM-5ZZWK 60-69 years, female 89.2
GTEX-1QCLY-0226-SM-EWRNH 30-39 years, male 88.9
GTEX-ZYY3-2926-SM-5GIEB 60-69 years, female 88.7
GTEX-1HKZK-0726-SM-ACKW2 40-49 years, male 88.6
GTEX-14LLW-2626-SM-62LDZ 70-79 years, female 88.5
GTEX-1K2DA-1026-SM-CGQGF 50-59 years, male 88.1
GTEX-1HSGN-0826-SM-ACKW3 40-49 years, female 87.7
GTEX-1269C-0126-SM-5EQ5L 60-69 years, female 86.8
GTEX-1F88E-1626-SM-7SB8Z 60-69 years, female 86.6
GTEX-1H1DE-1326-SM-9KNUG 20-29 years, male 86.5
GTEX-1JMPY-0226-SM-CKZOK 30-39 years, male 86.2
GTEX-1I1GU-0926-SM-ACKVS 40-49 years, male 86.1
GTEX-ZP4G-1426-SM-4WWCL 20-29 years, female 86.0
GTEX-16MT9-0126-SM-7EPI8 60-69 years, female 85.2
GTEX-1IDJV-0126-SM-COH3Y 60-69 years, male 84.5
GTEX-ZVE1-0726-SM-51MRN 50-59 years, female 84.2
GTEX-13OVH-0526-SM-5L3E6 70-79 years, male 83.8
GTEX-ZF3C-0626-SM-DO92O 50-59 years, female 83.8
GTEX-17KNJ-2126-SM-718AM 50-59 years, male 83.7
GTEX-1GZ4I-2626-SM-9KNU3 50-59 years, male 83.7
GTEX-1KXAM-1626-SM-D3LAD 60-69 years, male 83.6
GTEX-ZF29-0926-SM-4WKFZ 60-69 years, female 83.5
GTEX-1JK1U-0226-SM-ARZMX 60-69 years, male 83.1
GTEX-11DXY-0126-SM-5H11Q 60-69 years, male 83.0
GTEX-1AMEY-0826-SM-72D65 30-39 years, female 82.8
GTEX-1EH9U-2826-SM-7DUGT 60-69 years, male 82.2
GTEX-17HHE-1326-SM-7EWDZ 50-59 years, male 82.1
GTEX-11DXX-2126-SM-5PNYR 60-69 years, female 82.0
GTEX-12WSA-0426-SM-5EQ5X 60-69 years, male 81.6
GTEX-14PJ4-0226-SM-5YY92 60-69 years, male 81.4
GTEX-13NYC-0126-SM-5L3F4 60-69 years, male 81.3
GTEX-1PDJ9-1226-SM-EXUSX 20-29 years, male 81.3
GTEX-13FTX-1526-SM-5K7VJ 20-29 years, female 81.1
GTEX-1CB4H-1126-SM-7MKGL 60-69 years, female 81.0
GTEX-1GPI6-1926-SM-9KNV7 60-69 years, male 81.0
GTEX-ZYVF-0926-SM-5E44J 50-59 years, female 80.7
GTEX-1PPH8-0126-SM-EWRN8 20-29 years, male 80.4
GTEX-1S82U-1026-SM-E6CJK 30-39 years, female 80.4
GTEX-147GR-2426-SM-5ZZWQ 60-69 years, male 79.7
GTEX-14B4R-1326-SM-5Q5EZ 30-39 years, male 79.6
GTEX-14PJ3-1126-SM-5ZZVX 50-59 years, male 79.6
GTEX-1A3MX-2626-SM-7PC24 60-69 years, male 79.2
GTEX-1212Z-0126-SM-59HK4 60-69 years, male 78.6
GTEX-15CHR-1126-SM-7EWF4 50-59 years, male 78.4
GTEX-1GN1W-2426-SM-9KNUU 50-59 years, female 78.2
GTEX-13JVG-0726-SM-5KM16 60-69 years, male 77.7
GTEX-1IKOE-1426-SM-CE6T7 30-39 years, female 77.7
GTEX-13QJC-0126-SM-5ZZWJ 60-69 years, female 77.6
GTEX-183WM-0326-SM-72D5V 70-79 years, female 77.4
GTEX-1JJ6O-2726-SM-CNPOG 60-69 years, male 76.9
GTEX-111VG-1626-SM-5EGIO 60-69 years, male 76.7
GTEX-ZTSS-1426-SM-5985P 40-49 years, male 76.6
GTEX-14PJN-1826-SM-6AJ98 30-39 years, male 76.5
GTEX-XQ8I-0926-SM-4BOOF 50-59 years, male 76.3
GTEX-14A6H-2026-SM-5Q5DD 30-39 years, male 76.2
GTEX-11UD2-2526-SM-5CVNU 50-59 years, male 75.2
GTEX-11ZUS-2626-SM-5FQUR 30-39 years, male 74.8
GTEX-XUW1-0926-SM-4BONX 50-59 years, female 73.8
GTEX-1GF9X-1326-SM-7PC2Y 40-49 years, female 73.6
GTEX-ZE9C-2526-SM-5IJDR 60-69 years, male 73.1
GTEX-1OJC4-2726-SM-E76PJ 50-59 years, female 72.7
GTEX-1HB9E-0126-SM-CM2S5 50-59 years, male 71.2
GTEX-WHSB-1326-SM-3LK6W 50-59 years, male 70.7
GTEX-1JN6P-2926-SM-CL54D 60-69 years, male 70.7
GTEX-1RAZQ-1326-SM-E9TK6 30-39 years, male 69.6
GTEX-1H3VE-0726-SM-9YFL5 40-49 years, male 69.2
GTEX-14PII-0726-SM-6EU2B 60-69 years, male 67.6
GTEX-14XAO-1226-SM-6EU1C 60-69 years, female 67.6
GTEX-1CAMQ-1326-SM-7P8RV 40-49 years, male 67.4
GTEX-1C2JI-1026-SM-73KY1 50-59 years, male 67.1
GTEX-1I1GT-1026-SM-ARZLV 60-69 years, female 67.0
GTEX-1S83E-1326-SM-E6CJM 40-49 years, male 66.4
GTEX-14C39-1726-SM-5RQIL 40-49 years, male 66.3
GTEX-1QP28-1126-SM-EVYC4 50-59 years, female 66.2
GTEX-ZYT6-2326-SM-5GZY3 30-39 years, male 65.6
GTEX-1K9T9-1526-SM-DIPFR 50-59 years, female 63.5
GTEX-13W3W-0726-SM-5IJDQ 60-69 years, female 63.4
GTEX-1RMOY-1326-SM-E9TIH 50-59 years, male 63.4
GTEX-ZY6K-1426-SM-5GZX2 50-59 years, male 61.9
GTEX-1S3DN-2126-SM-E9TIN 50-59 years, male 60.5
GTEX-1R46S-2426-SM-E76QA 60-69 years, female 58.3
GTEX-18A67-1626-SM-7LT9T 50-59 years, male 58.1
GTEX-1HBPN-0126-SM-CGQEF 50-59 years, male 55.1
GTEX-1399S-0126-SM-5IJCF 30-39 years, female 54.8
GTEX-ZVZP-1226-SM-5GID7 50-59 years, male 54.3
GTEX-1HGF4-0126-SM-CNPPX 60-69 years, male 53.5
GTEX-Y9LG-1126-SM-4VBQ7 30-39 years, male 52.8
GTEX-13SLW-0626-SM-5Q5ER 70-79 years, male 52.4
GTEX-1CB4E-0926-SM-7EPHT 60-69 years, male 51.6
GTEX-1399Q-2326-SM-5KM2X 40-49 years, male 49.5
GTEX-ZWKS-0626-SM-5GIDV 30-39 years, male 49.1
GTEX-1F5PK-2226-SM-7SB6N 50-59 years, male 45.2
GTEX-1J1OQ-0126-SM-D4P2N 40-49 years, female 44.4
GTEX-1CAMS-2226-SM-7PBXQ 40-49 years, female 43.9
GTEX-11PRG-0726-SM-5EGL1 50-59 years, male 39.2
GTEX-1MCYP-0526-SM-E9U6Q 20-29 years, female 36.5
GTEX-1GN1V-2826-SM-9JGIA 60-69 years, male 32.4
Show allShow less
Skin - Sun Exposed (Lower leg)
Average nTPM: 276.8
Samples: 701

Max nTPM: 3180.9
Min nTPM: 43.8
Std nTPM: 311.2
Median nTPM: 180.2
GTEX-12WSN-5019-SM-79OM6 40-49 years, male 3180.9
GTEX-ZYW4-0126-SM-5E44A 60-69 years, male 3029.4
GTEX-12WSL-2526-SM-5GCNJ 50-59 years, male 2673.6
GTEX-15SHW-0326-SM-6PAML 60-69 years, male 2371.0
GTEX-13OVJ-0126-SM-5KM36 50-59 years, female 2258.3
GTEX-ZDXO-3026-SM-5J1N5 60-69 years, male 2157.0
GTEX-14JIY-0126-SM-6LLH6 60-69 years, male 2044.8
GTEX-1C6VS-0526-SM-7DUEN 60-69 years, male 1434.4
GTEX-1MA7X-2226-SM-E6CIY 60-69 years, male 1232.5
GTEX-X8HC-0126-SM-4E3JW 50-59 years, female 1219.7
GTEX-QLQW-1126-SM-2S1Q8 30-39 years, male 1216.0
GTEX-13CF2-2526-SM-5LZYX 60-69 years, male 1182.8
GTEX-11DXW-0226-SM-5H122 40-49 years, male 1109.1
GTEX-1R9K4-0126-SM-DTX9X 60-69 years, male 1098.8
GTEX-13NZA-0226-SM-5K7Z7 60-69 years, male 1072.1
GTEX-14E6C-0126-SM-5RQIP 40-49 years, male 1046.0
GTEX-13N1W-0126-SM-5K7VT 70-79 years, male 1038.8
GTEX-17HHY-0126-SM-7LG5D 50-59 years, male 1036.0
GTEX-1POEN-0126-SM-EYYXJ 30-39 years, female 1024.3
GTEX-13OW7-0126-SM-5MR3B 50-59 years, male 1010.5
GTEX-1C6WA-0126-SM-7PC2B 60-69 years, male 1002.3
GTEX-1HFI6-0226-SM-ADEHZ 40-49 years, male 1002.0
GTEX-146FH-0126-SM-5QGPP 50-59 years, female 973.2
GTEX-RUSQ-1526-SM-2TF62 50-59 years, male 939.2
GTEX-R55E-0126-SM-2TC5Y 20-29 years, male 912.3
GTEX-113IC-0126-SM-5HL6T 60-69 years, male 912.1
GTEX-1F6IF-0726-SM-7P8TW 60-69 years, male 907.4
GTEX-Y8LW-1826-SM-5S2MV 50-59 years, female 898.0
GTEX-1J8EW-0126-SM-CJI4F 60-69 years, female 892.4
GTEX-1M4P7-0226-SM-DIPEV 60-69 years, male 873.0
GTEX-Q2AG-0126-SM-33HBV 40-49 years, female 859.5
GTEX-15DYW-0126-SM-7KULE 60-69 years, female 854.9
GTEX-YJ8A-0426-SM-5IFID 20-29 years, male 828.4
GTEX-13VXU-0126-SM-5SI9F 50-59 years, male 807.2
GTEX-X4EO-0326-SM-3P5YO 60-69 years, female 805.2
GTEX-1N2DW-0226-SM-E9TK2 50-59 years, male 796.2
GTEX-139TT-0126-SM-5K7Y5 60-69 years, male 787.8
GTEX-1HFI7-1826-SM-ACKXH 50-59 years, female 782.0
GTEX-1IY9M-0126-SM-D3L8S 60-69 years, male 779.9
GTEX-13S7M-0126-SM-5SI6A 60-69 years, female 767.7
GTEX-RN64-0126-SM-2TC68 50-59 years, male 740.3
GTEX-12584-0126-SM-5EGKQ 40-49 years, male 729.8
GTEX-ZUA1-0126-SM-5GU76 40-49 years, male 728.8
GTEX-YEC4-2126-SM-5IFJH 40-49 years, male 721.1
GTEX-14BIL-0126-SM-5SI92 50-59 years, male 718.7
GTEX-13OVG-1926-SM-5L3DK 60-69 years, male 697.8
GTEX-ZVT4-0126-SM-DTXFN 50-59 years, female 679.3
GTEX-ZYFD-0126-SM-5GIDL 50-59 years, male 676.4
GTEX-WY7C-2326-SM-3NB2U 50-59 years, male 664.8
GTEX-13FXS-0226-SM-5IJCK 50-59 years, male 662.0
GTEX-ZYFC-0226-SM-5NQ75 50-59 years, male 659.1
GTEX-14ABY-0226-SM-5TDCQ 50-59 years, male 657.4
GTEX-1I1GR-0126-SM-CL55F 60-69 years, male 656.3
GTEX-1C6VQ-0126-SM-7P8RI 50-59 years, male 646.4
GTEX-RWS6-2026-SM-2XCB5 60-69 years, female 638.6
GTEX-1F48J-0126-SM-7P8TT 50-59 years, female 625.6
GTEX-1F88F-2726-SM-7PBZZ 60-69 years, female 608.2
GTEX-11GS4-2726-SM-5A5LE 60-69 years, male 604.9
GTEX-Q734-1926-SM-2I5EV 40-49 years, female 602.1
GTEX-1HBPH-0426-SM-B2LW5 40-49 years, female 592.6
GTEX-148VI-1626-SM-5SI6E 60-69 years, female 587.8
GTEX-S7PM-0126-SM-4AD6S 60-69 years, male 579.2
GTEX-1I1HK-0126-SM-COH49 60-69 years, male 569.7
GTEX-1F7RK-0126-SM-7PC2S 20-29 years, female 564.9
GTEX-16YQH-0126-SM-7DUFJ 30-39 years, male 552.8
GTEX-131XW-0426-SM-5LZWP 50-59 years, female 542.8
GTEX-1A32A-0126-SM-718B1 50-59 years, female 536.7
GTEX-1B8L1-2526-SM-9WYTF 60-69 years, male 535.9
GTEX-11GSP-2526-SM-5N9BP 60-69 years, female 522.4
GTEX-13OVL-0226-SM-5L3E9 50-59 years, male 518.7
GTEX-11ZTS-0126-SM-5EQ6M 60-69 years, female 517.8
GTEX-1269C-2526-SM-5EGJ3 60-69 years, female 517.4
GTEX-1F6I4-0126-SM-9MQL2 60-69 years, male 515.8
GTEX-1EX96-1626-SM-7PBXR 50-59 years, male 511.0
GTEX-ZDTT-2726-SM-4WKF8 60-69 years, male 509.6
GTEX-1313W-0126-SM-5LZUN 50-59 years, female 502.5
GTEX-1PWST-0226-SM-E76QJ 70-79 years, male 499.2
GTEX-OXRP-0126-SM-3NB32 60-69 years, female 498.2
GTEX-1QEPI-0126-SM-EWRMQ 60-69 years, female 487.1
GTEX-147F3-0526-SM-5SI98 50-59 years, female 481.2
GTEX-13SLX-0526-SM-5S2ON 50-59 years, female 480.2
GTEX-1F75A-0126-SM-7RHGM 50-59 years, male 475.0
GTEX-117YW-2626-SM-5GZZH 50-59 years, male 464.5
GTEX-1HCU6-0126-SM-CL54K 60-69 years, female 462.8
GTEX-1AX9J-0226-SM-73KXM 60-69 years, male 461.5
GTEX-1AYD5-2426-SM-73KXR 50-59 years, male 458.5
GTEX-14PJM-0226-SM-62LF1 50-59 years, female 457.7
GTEX-17HII-0226-SM-7LG4E 50-59 years, male 453.3
GTEX-SSA3-0126-SM-32QPU 60-69 years, male 447.3
GTEX-ZF28-0126-SM-4WKGK 60-69 years, male 446.6
GTEX-1H3O1-0426-SM-9YFKY 60-69 years, male 443.8
GTEX-11LCK-1026-SM-5A5KB 30-39 years, male 442.7
GTEX-13G51-2526-SM-5LZYK 60-69 years, male 442.0
GTEX-146FR-1326-SM-E9J48 60-69 years, female 439.6
GTEX-1J8JJ-0226-SM-CL53I 60-69 years, female 431.9
GTEX-1I1CD-0126-SM-CM2TK 60-69 years, female 431.7
GTEX-X638-0126-SM-47JZ8 70-79 years, female 427.5
GTEX-18A6Q-0126-SM-731BZ 60-69 years, male 426.8
GTEX-17F97-0326-SM-7LG5B 50-59 years, male 426.4
GTEX-X4XY-0226-SM-4E3IZ 60-69 years, male 426.3
GTEX-145MI-0526-SM-5O9A8 60-69 years, female 425.3
GTEX-139TU-0126-SM-5K7WH 60-69 years, male 415.0
GTEX-14LLW-0126-SM-6LLIO 70-79 years, female 414.0
GTEX-1KD5A-0226-SM-D5OV3 50-59 years, male 410.1
GTEX-YFC4-0126-SM-5CVLY 40-49 years, female 409.5
GTEX-13X6J-0126-SM-5QGOU 50-59 years, male 409.3
GTEX-17HG3-2226-SM-7938L 30-39 years, female 407.4
GTEX-OXRO-0126-SM-2YUN4 60-69 years, female 405.7
GTEX-1RAZQ-0726-SM-EAZ43 30-39 years, male 404.8
GTEX-11XUK-2026-SM-5EQLF 40-49 years, female 404.5
GTEX-1PPH7-2326-SM-EVYB8 40-49 years, male 400.1
GTEX-11WQC-2526-SM-5CVLE 60-69 years, male 397.4
GTEX-1RDX4-0126-SM-E9J4P 50-59 years, female 395.1
GTEX-NFK9-0226-SM-2HMKQ 40-49 years, male 392.1
GTEX-12WSD-0126-SM-59HKN 60-69 years, female 388.0
GTEX-1HBPI-1526-SM-C1YQ1 50-59 years, male 387.6
GTEX-1CAV2-2226-SM-7P8P2 40-49 years, female 385.7
GTEX-131XG-2626-SM-5KM17 50-59 years, female 383.2
GTEX-RWSA-0126-SM-2XCBB 40-49 years, male 382.1
GTEX-ZVT3-0126-SM-5GU6I 60-69 years, female 379.4
GTEX-11NUK-0126-SM-5A5L3 50-59 years, male 377.1
GTEX-S33H-1026-SM-EZ6L6 30-39 years, male 376.8
GTEX-1JN76-0126-SM-CNPPE 20-29 years, female 376.4
GTEX-1IKOH-0226-SM-COH4E 60-69 years, female 375.0
GTEX-U8T8-0126-SM-3DB94 60-69 years, male 374.4
GTEX-15EOM-0126-SM-7KUGG 20-29 years, female 373.7
GTEX-1HSKV-0226-SM-A9SKJ 60-69 years, male 372.1
GTEX-XBED-2226-SM-47JYQ 60-69 years, male 368.0
GTEX-1RLM8-2326-SM-EWRN4 50-59 years, male 366.4
GTEX-113JC-2326-SM-5EQ4E 50-59 years, female 364.2
GTEX-11ZVC-2526-SM-5FQTE 50-59 years, female 364.1
GTEX-1LNCM-1126-SM-E9U5E 50-59 years, female 362.7
GTEX-1QMI2-0226-SM-EVYBX 60-69 years, male 361.8
GTEX-1QP67-1626-SM-EAZ3X 40-49 years, female 359.9
GTEX-14DAQ-0126-SM-5S2MQ 60-69 years, female 359.1
GTEX-1A8FM-0226-SM-7SB7Q 50-59 years, female 357.1
GTEX-12KS4-0326-SM-5EQ41 30-39 years, male 355.1
GTEX-1HUB1-0426-SM-E9U4U 60-69 years, male 352.9
GTEX-13CF3-2426-SM-5IFGX 60-69 years, female 351.8
GTEX-R55G-2526-SM-2TC6D 40-49 years, female 350.3
GTEX-XUYS-0126-SM-47JWZ 50-59 years, male 350.0
GTEX-11ZUS-0626-SM-59885 30-39 years, male 349.6
GTEX-1H3VE-0326-SM-9YFLH 40-49 years, male 348.3
GTEX-14PII-0226-SM-6EU1T 60-69 years, male 348.2
GTEX-1CB4G-0226-SM-7PC3O 60-69 years, male 346.0
GTEX-15DDE-0126-SM-6LPKH 50-59 years, female 344.4
GTEX-U3ZH-2026-SM-3DB78 30-39 years, male 343.2
GTEX-1B8KZ-2026-SM-7DHMB 50-59 years, male 341.6
GTEX-S32W-2126-SM-2XCB1 50-59 years, female 340.8
GTEX-T5JC-0426-SM-32PLO 20-29 years, male 339.4
GTEX-1I1GV-0526-SM-A9G29 60-69 years, male 338.8
GTEX-T2IS-0126-SM-4DM6O 20-29 years, female 338.2
GTEX-11EMC-2926-SM-5EQ4F 60-69 years, female 337.4
GTEX-11TT1-2526-SM-5EGIB 20-29 years, male 334.8
GTEX-11OF3-2626-SM-5GU7F 60-69 years, male 328.5
GTEX-1LG7Y-0526-SM-DKPQC 50-59 years, male 327.6
GTEX-Y8DK-0126-SM-4TT3L 60-69 years, male 327.3
GTEX-14XAO-2326-SM-6EU1B 60-69 years, female 324.8
GTEX-WYVS-2126-SM-3NMA3 40-49 years, female 324.8
GTEX-1EKGG-0226-SM-9WYTH 60-69 years, male 323.6
GTEX-144GN-2326-SM-5LU4F 50-59 years, male 322.8
GTEX-14E6D-0126-SM-62LDV 50-59 years, male 322.3
GTEX-1HB9E-0226-SM-E9U4R 50-59 years, male 321.8
GTEX-12ZZZ-0626-SM-5DUXI 60-69 years, male 321.7
GTEX-13O3O-0126-SM-E9J49 60-69 years, female 321.4
GTEX-1R7EV-2426-SM-EVYBG 40-49 years, male 320.7
GTEX-11ZTT-2426-SM-5EQLS 60-69 years, female 320.4
GTEX-15DCD-0126-SM-7KUEK 70-79 years, female 318.8
GTEX-13YAN-0326-SM-5O9DF 60-69 years, male 318.5
GTEX-11TUW-2726-SM-E9J4M 60-69 years, male 315.5
GTEX-1HSMO-0126-SM-CL547 60-69 years, male 313.9
GTEX-SJXC-0126-SM-2XCFF 60-69 years, male 310.0
GTEX-15UKP-0426-SM-7KUFQ 20-29 years, male 309.4
GTEX-ZZPT-0226-SM-5E43X 50-59 years, male 308.7
GTEX-1QW4Y-1526-SM-EAZ3Z 30-39 years, male 307.4
GTEX-13O1R-0126-SM-5L3EH 60-69 years, male 306.5
GTEX-1HSMQ-1226-SM-CGQFX 50-59 years, male 305.5
GTEX-17EVQ-0226-SM-7LG4P 70-79 years, male 304.0
GTEX-148VJ-0126-SM-5TDDN 70-79 years, male 303.5
GTEX-XUW1-0426-SM-4BOOT 50-59 years, female 302.8
GTEX-11O72-0126-SM-59887 40-49 years, male 301.2
GTEX-T6MN-0126-SM-32PLP 50-59 years, male 298.7
GTEX-18A7A-0226-SM-718BH 50-59 years, female 293.2
GTEX-1C6VR-2426-SM-79OLD 60-69 years, male 292.1
GTEX-SIU8-0126-SM-2XCDT 50-59 years, male 291.5
GTEX-13X6H-2126-SM-7EWD5 50-59 years, female 289.4
GTEX-1PBJI-0526-SM-E8VNK 20-29 years, female 288.2
GTEX-1GN73-0226-SM-9WG67 60-69 years, male 287.1
GTEX-13112-2826-SM-5DUWH 50-59 years, male 284.5
GTEX-1H4P4-0726-SM-9YFLR 50-59 years, male 284.5
GTEX-VJYA-1126-SM-3GIJU 60-69 years, male 284.0
GTEX-1GMR8-0126-SM-9WYTM 50-59 years, female 283.2
GTEX-QEG4-0226-SM-2S1PY 30-39 years, male 281.9
GTEX-X5EB-2226-SM-46MW4 40-49 years, male 281.9
GTEX-Y111-0126-SM-4SOIV 50-59 years, male 281.6
GTEX-13FHO-0226-SM-5IFGY 60-69 years, male 279.1
GTEX-1ICG6-2526-SM-CGQFZ 70-79 years, female 278.8
GTEX-1AX9K-2326-SM-73KWU 50-59 years, male 275.4
GTEX-WVJS-0126-SM-4MVOT 50-59 years, male 273.5
GTEX-Y3I4-2126-SM-4TT7C 50-59 years, male 273.2
GTEX-1EMGI-0126-SM-9KNUE 60-69 years, male 272.3
GTEX-15ER7-0326-SM-7KUEV 20-29 years, female 271.3
GTEX-1B8SF-1426-SM-7DUGL 60-69 years, male 267.0
GTEX-14BIN-0626-SM-793DP 50-59 years, female 265.9
GTEX-S95S-1226-SM-4GICG 60-69 years, male 265.7
GTEX-12WSK-2326-SM-5GCOH 40-49 years, female 264.0
GTEX-1IOXB-0126-SM-ARL8G 50-59 years, male 263.8
GTEX-WOFL-0126-SM-3MJG2 60-69 years, male 263.6
GTEX-1KD4Q-0226-SM-E9TJ9 40-49 years, male 261.8
GTEX-1B933-0126-SM-7PC29 50-59 years, female 260.4
GTEX-1LC47-0326-SM-E9TJP 60-69 years, male 259.7
GTEX-16GPK-0126-SM-7DHLE 60-69 years, male 258.2
GTEX-16NPX-0226-SM-79OMT 50-59 years, male 258.1
GTEX-147F4-0226-SM-5QGPW 50-59 years, male 257.3
GTEX-17EVP-0326-SM-7DHLG 40-49 years, male 257.1
GTEX-13RTL-0126-SM-7LG5S 40-49 years, male 256.6
GTEX-1B8SG-0126-SM-73KZ3 50-59 years, male 255.4
GTEX-1GF9V-0326-SM-7RHI5 60-69 years, male 254.9
GTEX-145LT-1726-SM-5QGP3 40-49 years, male 252.6
GTEX-111VG-2426-SM-5GZXD 60-69 years, male 252.2
GTEX-1R9PO-2126-SM-E9J4O 60-69 years, female 251.5
GTEX-ZAK1-0126-SM-5IJD3 50-59 years, female 250.8
GTEX-ZE7O-0126-SM-57WC1 50-59 years, female 250.5
GTEX-11EI6-0126-SM-5985R 60-69 years, male 250.3
GTEX-1GF9U-2126-SM-7SB7L 40-49 years, female 249.9
GTEX-ZF29-2326-SM-DO92K 60-69 years, female 249.6
GTEX-1CB4J-0626-SM-7DHMP 60-69 years, male 249.4
GTEX-1GZHY-0326-SM-9QEHI 50-59 years, female 248.8
GTEX-ZU9S-0226-SM-5E441 30-39 years, male 248.7
GTEX-1AX9I-0126-SM-7SB74 60-69 years, male 248.4
GTEX-RVPV-0126-SM-EAZAW 60-69 years, male 247.6
GTEX-YB5K-2126-SM-4WWDJ 40-49 years, female 247.5
GTEX-1IKK5-0626-SM-ARL8A 60-69 years, male 247.5
GTEX-132NY-0326-SM-5IJBL 60-69 years, male 247.3
GTEX-12ZZX-0126-SM-5EGK9 40-49 years, female 246.2
GTEX-11TTK-0126-SM-5987B 60-69 years, female 244.8
GTEX-1GMRU-0126-SM-9YFLV 50-59 years, male 244.2
GTEX-145ME-1826-SM-5SI9G 40-49 years, female 244.1
GTEX-183FY-0126-SM-7LT9P 20-29 years, male 243.8
GTEX-1H2FU-0126-SM-9WYSI 60-69 years, female 243.5
GTEX-18465-0126-SM-731BN 50-59 years, male 243.0
GTEX-11UD1-0126-SM-5PNYG 40-49 years, female 241.3
GTEX-1C64N-0126-SM-793D7 50-59 years, male 239.4
GTEX-ZDYS-2026-SM-5HL5L 50-59 years, male 238.6
GTEX-U8XE-0326-SM-3DB8P 30-39 years, male 237.8
GTEX-1J8Q2-0526-SM-CM2RW 60-69 years, male 237.8
GTEX-1EN7A-0126-SM-7SB81 40-49 years, male 237.2
GTEX-1JKYN-1326-SM-CGQG9 30-39 years, male 235.8
GTEX-1LGOU-2026-SM-DIPFF 20-29 years, female 235.4
GTEX-1GZ2Q-0226-SM-7P8TL 40-49 years, male 234.9
GTEX-13N11-2526-SM-5K7UE 50-59 years, female 234.6
GTEX-1AYCT-2426-SM-7IGQ3 50-59 years, male 234.6
GTEX-1EWIQ-0126-SM-7RHH2 70-79 years, female 233.1
GTEX-ZC5H-0226-SM-4WAY9 40-49 years, female 232.7
GTEX-12WSG-2826-SM-E9J4H 50-59 years, female 231.1
GTEX-ZDTS-0126-SM-4WAY5 60-69 years, male 230.5
GTEX-1F75I-0326-SM-9YFLU 40-49 years, male 230.5
GTEX-1KAFJ-2026-SM-CY8ID 50-59 years, male 229.6
GTEX-12ZZY-0226-SM-5LZVE 60-69 years, male 229.5
GTEX-14E7W-0126-SM-6LLJ9 70-79 years, male 227.8
GTEX-131YS-0126-SM-5KM1M 60-69 years, female 227.2
GTEX-QDT8-0126-SM-48TZ1 30-39 years, female 227.0
GTEX-18D9B-0526-SM-7LTAS 60-69 years, male 226.4
GTEX-14PK6-1926-SM-6ETZU 70-79 years, female 225.5
GTEX-1AMEY-1326-SM-73KYK 30-39 years, female 224.7
GTEX-1JMPY-1326-SM-ARL8Y 30-39 years, male 224.2
GTEX-ZTPG-0326-SM-5O9AX 20-29 years, female 223.8
GTEX-145MO-0326-SM-5Q5B3 60-69 years, male 221.8
GTEX-131XH-2226-SM-5DUXJ 50-59 years, male 221.4
GTEX-1EU9M-0226-SM-7P8SP 60-69 years, male 219.7
GTEX-1B8KE-2126-SM-73KYX 50-59 years, male 219.5
GTEX-OXRL-0126-SM-2YUMP 50-59 years, male 218.0
GTEX-WQUQ-0426-SM-3MJFU 60-69 years, male 217.8
GTEX-1GTWX-0126-SM-9YFLK 60-69 years, male 217.7
GTEX-13PVR-2326-SM-5QGR1 60-69 years, female 217.6
GTEX-X62O-0126-SM-4E3JN 50-59 years, male 217.3
GTEX-11H98-0126-SM-5EGHG 50-59 years, male 215.7
GTEX-ZPIC-1726-SM-DHXIU 40-49 years, female 215.6
GTEX-WH7G-2326-SM-3NMBC 40-49 years, male 215.1
GTEX-1LB8K-0226-SM-EWRNW 50-59 years, male 214.3
GTEX-1JMOU-1526-SM-CL54I 60-69 years, female 213.9
GTEX-11DYG-0126-SM-59883 60-69 years, male 213.2
GTEX-1A3MW-0126-SM-73KXX 60-69 years, female 212.5
GTEX-1OJC4-0126-SM-E9J2E 50-59 years, female 212.5
GTEX-1J1R8-1726-SM-ARL8M 40-49 years, male 211.5
GTEX-11P7K-2126-SM-5GU7G 30-39 years, male 211.2
GTEX-U4B1-1826-SM-4DXSU 40-49 years, male 210.9
GTEX-XQ3S-1526-SM-4BOOC 20-29 years, male 210.8
GTEX-1B996-0226-SM-7RHGO 60-69 years, male 209.9
GTEX-13OVI-1426-SM-5L3EY 60-69 years, female 209.7
GTEX-ZQUD-1426-SM-57WER 30-39 years, male 209.4
GTEX-1I6K6-0126-SM-A9SLE 30-39 years, male 209.4
GTEX-1E1VI-0126-SM-7DHMZ 50-59 years, male 209.3
GTEX-WZTO-0126-SM-3NM95 40-49 years, male 209.2
GTEX-PVOW-0126-SM-2XCFA 40-49 years, male 208.2
GTEX-1IE54-0126-SM-CMKHW 40-49 years, female 207.6
GTEX-ZVT2-2526-SM-51MT1 50-59 years, female 206.1
GTEX-1GN1W-0526-SM-9MQJQ 50-59 years, female 206.0
GTEX-1H1DG-0126-SM-9WYU2 70-79 years, male 204.6
GTEX-UPJH-0326-SM-3GADU 50-59 years, male 204.4
GTEX-1I1GU-2226-SM-CGQFA 40-49 years, male 201.9
GTEX-111FC-0126-SM-5N9DL 60-69 years, male 201.8
GTEX-X88G-0126-SM-47JZ3 30-39 years, male 201.6
GTEX-1MCYP-1926-SM-E9J2R 20-29 years, female 200.8
GTEX-PLZ4-0126-SM-5SI8O 50-59 years, female 198.4
GTEX-XV7Q-2526-SM-4BRV9 40-49 years, female 198.1
GTEX-17MF6-0126-SM-7LG4F 40-49 years, male 197.6
GTEX-11EM3-2426-SM-59861 20-29 years, female 197.3
GTEX-QDVJ-1726-SM-2I5FX 50-59 years, male 196.8
GTEX-U3ZM-1526-SM-3DB9D 40-49 years, male 196.8
GTEX-15D1Q-0126-SM-7KUG6 40-49 years, male 196.6
GTEX-13VXT-0126-SM-5LU4I 20-29 years, female 195.8
GTEX-V1D1-2226-SM-3NMAX 50-59 years, male 195.8
GTEX-11P81-2326-SM-59875 30-39 years, female 195.7
GTEX-13X6I-0626-SM-5QGP9 60-69 years, male 195.6
GTEX-OIZG-0726-SM-33HBL 50-59 years, male 194.8
GTEX-139T8-0126-SM-5K7XZ 60-69 years, male 194.2
GTEX-17HGU-0226-SM-7DHKV 50-59 years, male 194.0
GTEX-Q2AI-1326-SM-2S1PL 40-49 years, male 192.8
GTEX-1H3VY-0126-SM-ACKXD 50-59 years, male 192.6
GTEX-1GN1U-0126-SM-7PBZK 50-59 years, female 192.5
GTEX-RU72-0926-SM-2TF6B 50-59 years, female 192.4
GTEX-12126-0326-SM-5PNW3 20-29 years, male 191.1
GTEX-13O3P-0126-SM-5KM4S 50-59 years, male 191.1
GTEX-12C56-1726-SM-5EQ61 20-29 years, male 190.9
GTEX-1A3MV-1926-SM-718BT 30-39 years, male 190.8
GTEX-ZQG8-1626-SM-DHXIT 60-69 years, female 190.6
GTEX-1N2EF-0226-SM-EYYXB 60-69 years, male 190.4
GTEX-1GF9X-2026-SM-7PC3A 40-49 years, female 190.2
GTEX-1I1GS-0126-SM-B2LVW 60-69 years, male 189.5
GTEX-T2YK-0526-SM-32QPJ 50-59 years, male 188.4
GTEX-18A66-0226-SM-718BD 60-69 years, male 188.3
GTEX-1IL2U-0226-SM-CE6T8 60-69 years, male 187.7
GTEX-1GN2E-0426-SM-9MQKX 60-69 years, male 187.6
GTEX-ZVTK-0426-SM-51MRS 20-29 years, male 187.1
GTEX-13NYS-0126-SM-5MR3W 60-69 years, male 185.6
GTEX-1PIGE-0126-SM-EVYBJ 20-29 years, male 185.3
GTEX-ZEX8-2426-SM-4WKG4 50-59 years, male 184.5
GTEX-1GPI6-0126-SM-9WG69 60-69 years, male 183.8
GTEX-RNOR-0126-SM-E9J4R 50-59 years, female 182.9
GTEX-14A6H-0126-SM-5QGPK 30-39 years, male 182.6
GTEX-ZAB4-0226-SM-5N9F5 40-49 years, male 182.6
GTEX-1HBPM-0226-SM-ARL9F 60-69 years, female 182.2
GTEX-Q2AH-1626-SM-3GAF8 40-49 years, male 181.8
GTEX-1GN1V-0126-SM-9WPOS 60-69 years, male 181.7
GTEX-1192X-0226-SM-5H12D 50-59 years, male 181.5
GTEX-SN8G-0126-SM-32PLI 50-59 years, female 181.5
GTEX-QCQG-1726-SM-3GIJ9 50-59 years, female 181.4
GTEX-1HR98-0126-SM-B2LWI 60-69 years, male 181.4
GTEX-13NZ8-0826-SM-5MR3I 60-69 years, female 180.3
GTEX-1JMQI-2226-SM-CM2SD 50-59 years, male 180.2
GTEX-1S82Y-2026-SM-EVYCM 40-49 years, male 179.9
GTEX-W5WG-1826-SM-4KL2Y 50-59 years, female 179.5
GTEX-1IKJJ-0126-SM-CNPQB 60-69 years, male 179.5
GTEX-14JG1-0426-SM-6ETZZ 40-49 years, male 179.2
GTEX-1I4MK-2226-SM-ACKWD 50-59 years, female 178.9
GTEX-17HHE-2026-SM-79OKF 50-59 years, male 178.6
GTEX-1HGF4-2426-SM-ACKXM 60-69 years, male 178.5
GTEX-RTLS-0126-SM-447CA 60-69 years, female 178.3
GTEX-1IGQW-0126-SM-COH42 60-69 years, male 178.2
GTEX-QVJO-1626-SM-2S1QW 60-69 years, female 177.8
GTEX-16XZZ-0126-SM-793DV 60-69 years, male 176.8
GTEX-XAJ8-0826-SM-47JY6 40-49 years, male 176.4
GTEX-1HCUA-2426-SM-ADEIS 50-59 years, female 175.7
GTEX-11ZU8-2526-SM-5EQKI 60-69 years, male 175.5
GTEX-1JMQJ-0526-SM-CYPSU 50-59 years, male 175.4
GTEX-1399T-2826-SM-5KLYZ 60-69 years, male 174.2
GTEX-SUCS-1926-SM-32PM3 70-79 years, male 174.2
GTEX-1MCQQ-0826-SM-DLHC2 60-69 years, male 173.4
GTEX-1LBAC-0126-SM-DIPEZ 20-29 years, male 173.3
GTEX-1C4CL-0526-SM-73KVK 30-39 years, male 172.4
GTEX-Z9EW-1626-SM-5CVMN 40-49 years, male 172.3
GTEX-13W46-0226-SM-5SIAG 50-59 years, male 172.0
GTEX-PWCY-1826-SM-DHXIZ 20-29 years, female 171.9
GTEX-13OVK-2026-SM-7KUEO 40-49 years, male 171.4
GTEX-1QP2A-0126-SM-E9J43 50-59 years, male 171.4
GTEX-1314G-1526-SM-5EGK2 30-39 years, male 170.7
GTEX-139TS-2826-SM-5J1OO 60-69 years, male 170.1
GTEX-13OW6-0426-SM-5L3HM 50-59 years, male 169.5
GTEX-1HT8W-0126-SM-CNPPP 30-39 years, male 169.4
GTEX-WI4N-1026-SM-3LK7N 40-49 years, female 169.3
GTEX-11NSD-2226-SM-5986V 20-29 years, male 168.8
GTEX-XQ8I-0426-SM-4BOPO 50-59 years, male 168.6
GTEX-13QJ3-0326-SM-5S2RA 50-59 years, male 168.1
GTEX-15SDE-2226-SM-7IGLO 50-59 years, female 167.2
GTEX-16BQI-0226-SM-7KUEX 30-39 years, female 167.2
GTEX-15SHU-0126-SM-7KUEH 40-49 years, female 166.5
GTEX-1BAJH-0526-SM-793CQ 70-79 years, male 166.5
GTEX-R45C-0126-SM-EAZ2R 60-69 years, female 166.3
GTEX-ZVE2-0226-SM-59HJB 50-59 years, male 165.7
GTEX-145LU-0126-SM-5TDCB 50-59 years, male 165.6
GTEX-1N2DV-0226-SM-E6CJ6 40-49 years, male 165.6
GTEX-P4PQ-0126-SM-2S1NM 60-69 years, male 165.4
GTEX-RM2N-1426-SM-2TF4H 50-59 years, male 165.2
GTEX-13113-5016-SM-7EPIP 60-69 years, female 165.1
GTEX-13NYC-0326-SM-E9J4S 60-69 years, male 164.7
GTEX-14PN3-2426-SM-6LLHS 60-69 years, female 164.6
GTEX-13U4I-0126-SM-5LU38 40-49 years, female 164.5
GTEX-11DXZ-2326-SM-5EGGV 50-59 years, male 163.4
GTEX-U412-0426-SM-3DB9O 60-69 years, male 163.2
GTEX-OXRK-0226-SM-3NB2G 50-59 years, female 163.0
GTEX-1JN6P-0126-SM-D3L98 60-69 years, male 162.7
GTEX-T8EM-1026-SM-3DB7M 40-49 years, male 162.6
GTEX-1IDJH-0326-SM-A9SLQ 70-79 years, male 162.5
GTEX-17MFQ-1726-SM-793C7 20-29 years, male 162.0
GTEX-14753-0426-SM-5NQAM 60-69 years, male 161.9
GTEX-OIZH-0126-SM-2HMIS 50-59 years, male 161.9
GTEX-1399U-2326-SM-5K7WY 50-59 years, female 161.8
GTEX-1H1CY-2826-SM-9MQM3 60-69 years, female 161.8
GTEX-139D8-0226-SM-5KLZO 30-39 years, female 161.4
GTEX-1CB4E-2226-SM-793DC 60-69 years, male 161.2
GTEX-1H1DE-2126-SM-9WG6R 20-29 years, male 161.1
GTEX-1H1E6-1726-SM-ACKVK 30-39 years, male 161.1
GTEX-139T4-0226-SM-5HL5S 50-59 years, female 161.0
GTEX-S7SE-0126-SM-2XCD5 50-59 years, male 160.2
GTEX-1211K-2026-SM-5EQ4Z 60-69 years, female 160.1
GTEX-OXRN-0126-SM-48TDM 50-59 years, male 160.1
GTEX-XYKS-2126-SM-4E3IB 60-69 years, female 159.2
GTEX-ZY6K-1826-SM-5GZXK 50-59 years, male 158.9
GTEX-QESD-1426-SM-2S1R9 20-29 years, male 157.1
GTEX-TSE9-0126-SM-3DB83 60-69 years, female 157.1
GTEX-WYJK-0126-SM-3NMAB 50-59 years, male 156.8
GTEX-OHPL-0126-SM-2HMJ7 60-69 years, female 156.7
GTEX-OHPM-0126-SM-2YUN9 50-59 years, male 156.2
GTEX-14PN4-0126-SM-6EU2V 50-59 years, male 156.1
GTEX-12WSC-0126-SM-5EQ4P 50-59 years, male 156.0
GTEX-1MGNQ-0126-SM-EVYCJ 40-49 years, male 155.5
GTEX-17F98-0626-SM-79OMX 40-49 years, female 155.4
GTEX-1QCLY-0326-SM-E8VOG 30-39 years, male 155.4
GTEX-1I1GP-2226-SM-CGQFK 50-59 years, male 154.8
GTEX-1LSNM-1926-SM-E6CII 50-59 years, male 154.8
GTEX-1HCU7-0226-SM-CL545 50-59 years, male 154.7
GTEX-11VI4-1726-SM-5CVLH 40-49 years, female 154.2
GTEX-1R7EU-0226-SM-EVR4G 60-69 years, male 154.1
GTEX-16AAH-1726-SM-7939C 50-59 years, male 154.0
GTEX-1HSEH-0126-SM-ACKXN 60-69 years, male 154.0
GTEX-QLQ7-1626-SM-2S1R8 60-69 years, male 153.8
GTEX-1GZ4H-1726-SM-7PBZJ 50-59 years, female 153.7
GTEX-ZF3C-0126-SM-DO92D 50-59 years, female 153.4
GTEX-1H3NZ-0126-SM-ACKX7 60-69 years, male 153.0
GTEX-139UW-2826-SM-5L3E7 60-69 years, male 152.7
GTEX-1IDFM-0126-SM-COH2V 60-69 years, male 152.3
GTEX-1AX8Z-0126-SM-7DHM6 60-69 years, male 152.2
GTEX-147GR-0526-SM-5S2MY 60-69 years, male 152.1
GTEX-1KANB-0526-SM-E6CJH 50-59 years, male 151.8
GTEX-13O21-1426-SM-5K7XI 50-59 years, male 150.7
GTEX-146FQ-0126-SM-5NQA9 30-39 years, male 150.7
GTEX-1QP9N-1426-SM-DTXFL 30-39 years, male 150.6
GTEX-145LV-2126-SM-5LU8N 50-59 years, male 150.0
GTEX-ZGAY-0526-SM-4WWBB 40-49 years, female 150.0
GTEX-11WQK-0526-SM-5EQLD 50-59 years, male 149.8
GTEX-1J8Q3-1626-SM-CMKGC 60-69 years, male 149.2
GTEX-VUSG-2526-SM-4KL1V 50-59 years, male 148.8
GTEX-1CAMR-1926-SM-7EPI2 20-29 years, male 148.7
GTEX-11DZ1-0126-SM-5985Q 50-59 years, male 148.6
GTEX-1H23P-0126-SM-ADEJ3 60-69 years, male 148.0
GTEX-15ETS-0126-SM-7KUMW 40-49 years, female 147.7
GTEX-1192W-2626-SM-5Q5AF 60-69 years, male 147.6
GTEX-18A7B-0126-SM-7LG64 70-79 years, male 147.4
GTEX-ZF2S-2326-SM-4WWCE 50-59 years, female 147.4
GTEX-1C2JI-1826-SM-73KXC 50-59 years, male 147.2
GTEX-O5YW-0126-SM-3LK6D 50-59 years, male 147.0
GTEX-1HCVE-0126-SM-CGQEU 50-59 years, male 147.0
GTEX-13OW8-1326-SM-5J1OW 60-69 years, male 145.3
GTEX-1HKZK-0326-SM-9WYUH 40-49 years, male 145.0
GTEX-16XZY-2126-SM-79OK1 70-79 years, male 144.6
GTEX-OIZF-0126-SM-7SB8I 60-69 years, male 144.5
GTEX-131XE-2326-SM-5PNZ2 50-59 years, male 144.2
GTEX-1JMQK-0226-SM-CL543 60-69 years, male 144.2
GTEX-183WM-0126-SM-7LTAB 70-79 years, female 144.0
GTEX-1PPH8-0226-SM-E8VND 20-29 years, male 143.7
GTEX-11P82-1626-SM-59879 20-29 years, male 143.6
GTEX-144FL-0126-SM-5TDC8 50-59 years, male 143.1
GTEX-13FHP-0126-SM-5IJBG 50-59 years, male 142.8
GTEX-13OW5-0126-SM-DTXFS 60-69 years, male 142.8
GTEX-17EUY-0426-SM-793BD 20-29 years, male 142.5
GTEX-ZAJG-0126-SM-5HL94 50-59 years, female 142.3
GTEX-OOBK-0126-SM-2YUND 40-49 years, male 141.8
GTEX-14A5H-0426-SM-5QGQF 60-69 years, male 141.4
GTEX-X585-0226-SM-4QAS2 50-59 years, male 141.4
GTEX-15F5U-1526-SM-6PANO 40-49 years, male 141.2
GTEX-15RIG-0226-SM-7KFTL 40-49 years, male 141.1
GTEX-Z93T-0126-SM-5HL5N 50-59 years, male 140.9
GTEX-PLZ5-2026-SM-2S1O4 50-59 years, male 140.8
GTEX-11DXX-2426-SM-5GZZW 60-69 years, female 140.2
GTEX-ZZ64-1726-SM-5GZYB 20-29 years, male 140.2
GTEX-1O97I-0326-SM-EYYX7 60-69 years, male 140.0
GTEX-14C5O-0126-SM-5SI6N 60-69 years, male 139.6
GTEX-T6MO-1626-SM-32QOM 40-49 years, female 139.6
GTEX-1JMPZ-0226-SM-CNPP1 30-39 years, male 139.5
GTEX-1GPI7-0126-SM-9MQL8 20-29 years, male 138.7
GTEX-1S82Z-0826-SM-E6CHY 30-39 years, female 138.6
GTEX-18A67-0126-SM-7LG5P 50-59 years, male 138.0
GTEX-Y3IK-2426-SM-4WWDU 50-59 years, female 138.0
GTEX-1MUQO-0126-SM-EAZ58 60-69 years, male 137.9
GTEX-PW2O-1526-SM-7RHHB 20-29 years, male 137.7
GTEX-14BMV-0126-SM-5S2PO 50-59 years, male 137.6
GTEX-1RQEC-0426-SM-E6CHU 60-69 years, male 137.6
GTEX-1A3MX-0126-SM-731BR 60-69 years, male 137.4
GTEX-1IL2V-0126-SM-CM2TX 70-79 years, male 137.4
GTEX-1JMLX-0226-SM-CM2RO 50-59 years, male 137.2
GTEX-XMD2-0126-SM-4YCDU 60-69 years, female 137.0
GTEX-P44H-0226-SM-2XCEU 40-49 years, male 136.8
GTEX-1ICLZ-0126-SM-CKZPO 60-69 years, male 136.6
GTEX-1MA7W-2026-SM-E9TJ6 20-29 years, female 136.2
GTEX-13NZB-2526-SM-5J1OM 30-39 years, male 136.0
GTEX-117YX-2326-SM-5H12W 50-59 years, male 135.9
GTEX-X261-0126-SM-3NMD6 50-59 years, male 135.7
GTEX-WXYG-2326-SM-4E3I6 50-59 years, female 135.5
GTEX-PLZ6-1426-SM-DKPOT 30-39 years, male 135.5
GTEX-1HSMP-0126-SM-E6CJS 70-79 years, male 135.4
GTEX-X4XX-0126-SM-3NMC2 60-69 years, male 135.0
GTEX-1K2DA-1826-SM-CGQGT 50-59 years, male 135.0
GTEX-14ICK-0226-SM-6EU25 40-49 years, male 134.9
GTEX-1497J-2426-SM-7IGNX 60-69 years, male 134.8
GTEX-WRHK-1426-SM-3MJF9 20-29 years, female 134.1
GTEX-1S3DN-2226-SM-EVYCD 50-59 years, male 133.6
GTEX-1NHNU-1026-SM-E9J2A 50-59 years, male 133.2
GTEX-1NV5F-0226-SM-E8VNY 60-69 years, female 133.1
GTEX-VJWN-0126-SM-3GIK7 50-59 years, female 132.6
GTEX-13O3Q-2426-SM-5IJBR 50-59 years, male 132.2
GTEX-1IDJF-0126-SM-CM2RS 20-29 years, male 132.1
GTEX-12WSJ-1826-SM-5GCNY 40-49 years, female 131.9
GTEX-OOBJ-0126-SM-E6CJW 60-69 years, male 131.7
GTEX-11UD2-0226-SM-5EQKY 50-59 years, male 131.4
GTEX-1JJE9-0326-SM-CL53Z 70-79 years, male 131.3
GTEX-Z93S-0126-SM-5HL7M 50-59 years, male 131.2
GTEX-1HCU8-0626-SM-A9SM9 60-69 years, female 130.9
GTEX-15SB6-1726-SM-6PAME 50-59 years, female 130.1
GTEX-1C64O-0126-SM-7SB8P 60-69 years, male 130.1
GTEX-14PJ3-1826-SM-62LEX 50-59 years, male 130.0
GTEX-13W3W-2426-SM-5LU5B 60-69 years, female 129.9
GTEX-14DAR-2026-SM-5S2O3 50-59 years, male 129.2
GTEX-XXEK-2226-SM-4BRUM 50-59 years, male 129.1
GTEX-XBEW-0626-SM-4QASP 40-49 years, male 129.0
GTEX-1K9T9-0126-SM-EVYCF 50-59 years, female 128.8
GTEX-17JCI-0126-SM-7LG5G 60-69 years, female 128.6
GTEX-1I19N-0326-SM-ACKVX 70-79 years, male 128.4
GTEX-Y114-2426-SM-4TT8A 50-59 years, female 127.9
GTEX-15G19-0126-SM-6PANQ 60-69 years, male 127.2
GTEX-X4EP-0126-SM-3P5YV 60-69 years, female 125.8
GTEX-1RAZA-0126-SM-E6CI3 20-29 years, male 125.8
GTEX-1OFPY-2426-SM-DTXEJ 60-69 years, male 125.4
GTEX-Y5V5-2326-SM-4V6GA 60-69 years, female 124.9
GTEX-15UF6-0826-SM-6PALJ 70-79 years, female 124.4
GTEX-1F6RS-0126-SM-9MQKZ 60-69 years, female 123.5
GTEX-144GL-0126-SM-5TDE2 50-59 years, male 123.4
GTEX-ZYT6-0226-SM-5NQ6T 30-39 years, male 123.3
GTEX-1H1ZS-0426-SM-9WG6G 70-79 years, male 122.9
GTEX-11OC5-0126-SM-5HL6A 60-69 years, male 122.7
GTEX-1PIIG-0226-SM-EWRN6 30-39 years, male 122.4
GTEX-PX3G-0126-SM-2I3EN 20-29 years, female 122.3
GTEX-1399R-2726-SM-5IJBA 30-39 years, male 122.0
GTEX-11GSO-2426-SM-5A5LY 60-69 years, male 121.1
GTEX-16MT8-0426-SM-7KUEY 60-69 years, female 121.1
GTEX-ZV68-0126-SM-59HKS 50-59 years, female 121.0
GTEX-13FTX-1826-SM-5J1NX 20-29 years, female 120.9
GTEX-TKQ1-1026-SM-4GICL 30-39 years, male 120.6
GTEX-1J8QM-2126-SM-CYPSJ 60-69 years, female 120.4
GTEX-14PHW-0126-SM-6LLJI 60-69 years, female 120.1
GTEX-1QP29-0626-SM-EWRMX 50-59 years, male 119.6
GTEX-18QFQ-0126-SM-731BE 30-39 years, male 118.6
GTEX-QDVN-2026-SM-3GAEP 50-59 years, male 118.6
GTEX-1KANC-1526-SM-D3LAB 50-59 years, female 118.4
GTEX-Y5V6-2426-SM-4VDSB 60-69 years, male 118.3
GTEX-1KWVE-1426-SM-E9TJO 30-39 years, male 117.8
GTEX-1JKYR-0126-SM-CNPOJ 20-29 years, male 117.7
GTEX-14A5I-0126-SM-5TDEA 50-59 years, female 117.2
GTEX-1PDJ9-0326-SM-DTX95 20-29 years, male 117.2
GTEX-U3ZN-2326-SM-3DB7W 30-39 years, female 116.9
GTEX-R3RS-0126-SM-3GIJL 40-49 years, female 116.8
GTEX-14JG6-2226-SM-6EU2G 30-39 years, female 116.7
GTEX-14BMU-2226-SM-5TDE9 20-29 years, female 116.4
GTEX-TMZS-0126-SM-3DB9Q 60-69 years, male 116.3
GTEX-PSDG-0226-SM-DKPOZ 50-59 years, male 115.2
GTEX-ZXG5-0126-SM-5GIEU 60-69 years, male 115.1
GTEX-TMMY-0226-SM-33HBA 40-49 years, female 115.0
GTEX-P4PP-0126-SM-3LK69 30-39 years, female 114.4
GTEX-1GF9W-0326-SM-9KNUN 60-69 years, male 114.3
GTEX-1212Z-2526-SM-5EGKP 60-69 years, male 114.2
GTEX-1I1GQ-0126-SM-COH3H 50-59 years, male 114.1
GTEX-Y5LM-1926-SM-5RQJH 40-49 years, female 113.8
GTEX-ZE9C-2726-SM-57WB5 60-69 years, male 113.2
GTEX-14PHX-2326-SM-62LEM 50-59 years, male 113.0
GTEX-1GMR3-1926-SM-9KNUZ 40-49 years, male 112.8
GTEX-P4QT-0126-SM-2I3FL 50-59 years, female 112.2
GTEX-145MN-2226-SM-5SIAU 30-39 years, male 112.1
GTEX-1F5PK-2426-SM-7RHHY 50-59 years, male 112.0
GTEX-Y8E4-0626-SM-4WWDL 40-49 years, male 111.6
GTEX-ZXES-1826-SM-5E43S 30-39 years, female 111.6
GTEX-1ICLY-0126-SM-D4P36 50-59 years, male 111.1
GTEX-13D11-2426-SM-5KM1V 50-59 years, female 110.1
GTEX-ZAB5-1826-SM-5HL7C 50-59 years, male 109.7
GTEX-1R46S-0626-SM-E9J41 60-69 years, female 109.1
GTEX-ZV6S-2326-SM-4YCEY 40-49 years, female 109.0
GTEX-14BIM-0226-SM-7IGLD 60-69 years, female 108.4
GTEX-QV44-1926-SM-2S1RF 50-59 years, male 108.3
GTEX-TML8-1926-SM-32QOS 40-49 years, female 107.8
GTEX-1128S-2326-SM-5GZZY 60-69 years, female 107.6
GTEX-13FH7-2026-SM-E9J4I 50-59 years, female 107.6
GTEX-1JN1M-0326-SM-CYPT3 60-69 years, female 107.3
GTEX-ZYY3-0126-SM-5GZY5 60-69 years, female 107.2
GTEX-T5JW-1626-SM-3GADZ 20-29 years, female 106.2
GTEX-14E6E-1826-SM-5S2R7 30-39 years, male 106.0
GTEX-1JK1U-2026-SM-CM2RZ 60-69 years, male 104.3
GTEX-1HSGN-0226-SM-CGQFV 40-49 years, female 104.0
GTEX-13FTW-2626-SM-5K7WL 40-49 years, male 103.9
GTEX-SNMC-1226-SM-2XCFP 20-29 years, male 103.9
GTEX-1MJK2-0426-SM-DTXE5 50-59 years, male 103.3
GTEX-YJ89-0126-SM-4TT3X 60-69 years, male 103.1
GTEX-1LGRB-2526-SM-CNPPQ 50-59 years, female 102.5
GTEX-1F5PL-0326-SM-7P8PQ 40-49 years, female 102.2
GTEX-1KXAM-2226-SM-CYPTC 60-69 years, male 100.9
GTEX-1F52S-0126-SM-9MQJU 60-69 years, female 100.6
GTEX-WFG8-2226-SM-3GIL9 20-29 years, male 100.3
GTEX-1CB4F-0426-SM-9KNV4 60-69 years, male 100.3
GTEX-17GQL-2026-SM-718BA 60-69 years, male 99.9
GTEX-13FTY-0526-SM-5L3EV 40-49 years, female 99.7
GTEX-131XF-5016-SM-7MGWE 60-69 years, male 99.7
GTEX-1JJEA-0326-SM-CNPOT 60-69 years, male 99.2
GTEX-17F96-1626-SM-7DUFL 70-79 years, male 98.9
GTEX-1QP66-1726-SM-E8VO1 50-59 years, male 98.5
GTEX-15EU6-0426-SM-6PAN5 50-59 years, male 98.2
GTEX-13PDP-0126-SM-5L3HD 60-69 years, male 97.8
GTEX-O5YT-0126-SM-48TBW 20-29 years, male 97.8
GTEX-PWO3-1526-SM-48TCM 60-69 years, female 97.4
GTEX-WFON-2126-SM-3LK7O 40-49 years, male 96.7
GTEX-1RB15-2126-SM-E9TIM 60-69 years, male 96.7
GTEX-13RTK-1426-SM-5QGQJ 20-29 years, male 96.6
GTEX-13JUV-2726-SM-5LZZ8 40-49 years, female 96.5
GTEX-1AMFI-2026-SM-731BH 50-59 years, female 95.2
GTEX-1F75B-0126-SM-9KNVL 50-59 years, male 94.9
GTEX-15CHC-2126-SM-6EU21 60-69 years, female 93.0
GTEX-145MF-0626-SM-5LUAI 50-59 years, male 92.6
GTEX-16NGA-1726-SM-731B4 40-49 years, female 92.5
GTEX-XUZC-1726-SM-4BRWS 30-39 years, female 92.5
GTEX-UJHI-1526-SM-3DB99 50-59 years, female 92.3
GTEX-12696-2426-SM-5EQ6H 60-69 years, male 91.9
GTEX-1HBPN-0226-SM-9YFM1 50-59 years, male 90.9
GTEX-NPJ8-0126-SM-2YUNR 40-49 years, male 90.8
GTEX-1LH75-2426-SM-E9TJE 50-59 years, female 90.7
GTEX-W5X1-3026-SM-EAZAX 40-49 years, female 90.7
GTEX-13IVO-0126-SM-5J1NG 70-79 years, male 90.3
GTEX-133LE-1826-SM-5J1MV 20-29 years, female 90.0
GTEX-1IDJU-2626-SM-CM2RT 60-69 years, female 88.1
GTEX-1OJC3-0126-SM-E76QX 20-29 years, male 88.0
GTEX-1CB4H-0226-SM-7PBXM 60-69 years, female 87.7
GTEX-XPVG-2626-SM-4B669 50-59 years, male 87.3
GTEX-13111-1626-SM-5EGJY 50-59 years, male 86.7
GTEX-YB5E-2026-SM-5IFIS 40-49 years, male 86.5
GTEX-13N2G-2626-SM-5J1OT 60-69 years, male 86.3
GTEX-1LG7Z-1726-SM-D3LA4 30-39 years, male 86.2
GTEX-ZTSS-1926-SM-57WEW 40-49 years, male 85.8
GTEX-1H11D-0226-SM-9WG6Z 40-49 years, male 85.7
GTEX-POMQ-2226-SM-2I5FK 20-29 years, female 83.9
GTEX-1QAET-0926-SM-E76QM 50-59 years, male 83.3
GTEX-14LZ3-0226-SM-62LET 60-69 years, female 82.0
GTEX-13SLW-0126-SM-5SI6C 70-79 years, male 81.6
GTEX-ZWKS-0126-SM-5SIAA 30-39 years, male 81.6
GTEX-13OVH-0126-SM-5MR4B 70-79 years, male 81.4
GTEX-1C475-1826-SM-73KWA 40-49 years, female 81.2
GTEX-1K2DU-2326-SM-E9TIV 20-29 years, male 80.6
GTEX-1LVAN-0226-SM-COH3S 50-59 years, female 80.2
GTEX-18D9A-1926-SM-7LG6P 30-39 years, female 80.0
GTEX-1J1OQ-0226-SM-CYPSH 40-49 years, female 79.7
GTEX-1QPFJ-0226-SM-E76PB 30-39 years, female 78.5
GTEX-117XS-2726-SM-5N9BL 60-69 years, male 78.1
GTEX-SE5C-1626-SM-2XCE3 40-49 years, female 78.0
GTEX-1HCU9-1526-SM-A9SL7 20-29 years, male 77.9
GTEX-13RTJ-2426-SM-5S2Q2 60-69 years, male 77.8
GTEX-1122O-2126-SM-5EGIR 60-69 years, female 77.7
GTEX-1GL5R-1826-SM-9KNUY 50-59 years, male 76.3
GTEX-1B97I-1626-SM-73KYO 40-49 years, male 75.7
GTEX-1S5ZA-0126-SM-EVYCV 20-29 years, male 74.9
GTEX-11DXY-2626-SM-5GIE7 60-69 years, male 74.8
GTEX-14PJ6-2126-SM-6EU1V 60-69 years, female 74.3
GTEX-18D9U-0226-SM-718BP 40-49 years, male 73.8
GTEX-ZVZO-0126-SM-5A5L9 40-49 years, male 73.3
GTEX-145LS-0126-SM-5QGP1 60-69 years, female 72.1
GTEX-1KANA-0726-SM-D3L9I 20-29 years, male 72.0
GTEX-1E2YA-0126-SM-9KNUC 50-59 years, male 71.5
GTEX-1CAMS-0426-SM-7P8T2 40-49 years, female 70.5
GTEX-1PFEY-1526-SM-E76PP 30-39 years, male 69.9
GTEX-1JJ6O-0126-SM-E6CI8 60-69 years, male 68.0
GTEX-11EQ9-2426-SM-5HL5T 30-39 years, male 66.9
GTEX-169BO-1326-SM-9MQK2 50-59 years, male 66.8
GTEX-1I1GT-0626-SM-CGQER 60-69 years, female 66.7
GTEX-13NYB-2526-SM-5K7Z6 40-49 years, male 65.5
GTEX-17KNJ-2326-SM-7DHLQ 50-59 years, male 65.5
GTEX-ZTX8-1426-SM-5DUVO 20-29 years, male 65.5
GTEX-1CB4I-0226-SM-79OLH 50-59 years, male 62.4
GTEX-12WSA-0226-SM-5BC5V 60-69 years, male 62.3
GTEX-1M5QR-1226-SM-EWROB 40-49 years, male 62.0
GTEX-1R9PM-2026-SM-E76OY 20-29 years, male 62.0
GTEX-ZVZP-2426-SM-59HKJ 50-59 years, male 61.9
GTEX-1S83E-0126-SM-EWRO4 40-49 years, male 60.9
GTEX-ZYFG-2326-SM-5E44B 60-69 years, female 60.0
GTEX-12WSE-0526-SM-793B2 20-29 years, male 59.2
GTEX-1JMQL-0226-SM-CNPP5 50-59 years, female 55.2
GTEX-1CAMQ-0226-SM-7IGPK 40-49 years, male 53.3
GTEX-1L5NE-2526-SM-E6CIE 50-59 years, male 43.8
Show allShow less

Contact

  • NEWS ARTICLES
  • PRESS ROOM

The Project

  • INTRODUCTION
  • ORGANIZATION
  • PUBLICATIONS

The Human Protein Atlas

  • DOWNLOADABLE DATA
  • LICENCE & CITATION
  • HELP & FAQ
The Human Protein Atlas project is funded
by the Knut & Alice Wallenberg Foundation.


contact@proteinatlas.org