We use cookies to enhance the usability of our website. If you continue, we'll assume that you are happy to receive all cookies. More information. Don't show this again.
SPARC
HPA
RESOURCES
  • TISSUE
  • BRAIN
  • SINGLE CELL
  • SUBCELLULAR
  • CANCER
  • BLOOD
  • CELL LINE
  • STRUCTURE & INTERACTION
ABOUT
  • INTRODUCTION
  • HISTORY
  • ORGANIZATION
  • PUBLICATIONS
  • ANTIBODY SUBMISSION
  • ANTIBODY AVAILABILITY
  • ACKNOWLEDGMENTS
  • CONTACT
NEWS
  • NEWS ARTICLES
  • PRESS ROOM
LEARN
  • DICTIONARY
  • PROTEIN CLASSES
  • PROTEIN EVIDENCE
  • METHODS
  • EDUCATIONAL VIDEOS
DATA
  • DOWNLOADABLE DATA
  • PUBLICATION DATA
  • RELEASE HISTORY
HELP
  • ANTIBODY VALIDATION
  • ASSAYS & ANNOTATION
  • DISCLAIMER
  • HELP & FAQ
  • PRIVACY STATEMENT
  • LICENCE & CITATION
Fields »
Search result

Field
Term
Gene name
Class
Subclass
Class
Keyword
Chromosome
External id
Tissue
Cell type
Expression
Antibody panel
Tissue
Main location
Patient ID
Annotation
Tissue
Category
Tau score
Cluster
Reliability
Brain region
Category
Tau score
Brain region
Category
Tau score
Brain region
Category
Tau score
Cluster
Reliability
Tissue
Cell type
Enrichment
Cell type
Category
Tau score
Cell type
Category
Tau score
Cell type
Category
Tau score
Cell lineage
Category
Tau score
Cluster
Cluster
Location
Searches
Location
Cell line
Class
Type
Phase
Reliability
Cancer
Prognosis
Cancer
Category
Cancer
Category
Tau score
Cluster
Variants
Interacting gene (ensg_id)
Type
Number of interactions
Pathway
Category
Score
Score
Score
Validation
Validation
Validation
Validation
Antibodies
Data type
Column


  • SUMMARY

  • TISSUE

  • BRAIN

  • SINGLE CELL

  • SUBCELL

  • CANCER

  • BLOOD

  • CELL LINE

  • STRUCT & INT

  • SPARC
TISSUE PRIMARY DATA STOMACH Show tissue menu
ADIPOSE TISSUE ADRENAL GLAND AMYGDALA APPENDIX BASAL GANGLIA BONE MARROW BREAST BRONCHUS CEREBELLUM CEREBRAL CORTEX CERVIX CHOROID PLEXUS COLON DUODENUM
ENDOMETRIUM EPIDIDYMIS ESOPHAGUS FALLOPIAN TUBE GALLBLADDER HEART MUSCLE HIPPOCAMPAL FORMATION HYPOTHALAMUS KIDNEY LIVER LUNG LYMPH NODE MIDBRAIN NASOPHARYNX
ORAL MUCOSA OVARY PANCREAS PARATHYROID GLAND PITUITARY GLAND PLACENTA PROSTATE RECTUM RETINA SALIVARY GLAND SEMINAL VESICLE SKELETAL MUSCLE SKIN SMALL INTESTINE
SMOOTH MUSCLE SOFT TISSUE SPINAL CORD SPLEEN STOMACH TESTIS THYMUS THYROID GLAND TONGUE TONSIL URINARY BLADDER VAGINA
ANTIBODIES
AND
VALIDATION
Dictionary
Tissue proteome
Stomach
STOMACH - Expression summary
Protein expression
Stomachi

On the top, protein expression in current human tissue, based on all annotated cell types, is reported with the units not detected (n), low (l), medium (m) and high (h). Underneath, protein expression in each annotated cell type are reported using the same units.

Protein expression data is based on knowledge-based annotation. For genes where more than one antibody has been used, a collective score is set.

If knowledge-based annotation could not be performed for a gene, no data is displayed here. View antibody staining data further down this page.

h
m
l
n
Glandular cells: Not detected
RNA expressioni

A summary of mRNA expression data available for current tissue based on several datasets. The mRNA expression levels in human tissues are based on RNA-seq data generated by the Human Protein Atlas (HPA), Genotype-Tissue Expression (GTEx) portal and CAGE data generated by the FANTOM5 consortium. Consensus normalized expression levels for human tissues was created by combining the data from HPA and GTEx datasets.

The mRNA expression levels in pig are based on RNA-seq data generated by the Human Protein Atlas (HPA), and for mouse, HPA data and in situ hybridization generated by the Allen brain atlas are reported.

Scroll down to view mRNA expression data in more detail.
Consensus:138.8 nTPM
HPA:105.4 nTPM
GTEx:138.8 nTPM

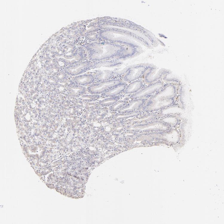
STOMACH 1 - Antibody stainingi

Antibody staining in the annotated cell types in the current human tissue is reported as not detected, low, medium, or high, based on conventional immunohistochemistry profiling in selected tissues. This score is based on the combination of the staining intensity and fraction of stained cells.

Each image is clickable and will lead to virtual microscopy that enables deeper exploration of all samples and also displays staining intensity scores, fraction scores and subcellular localization as well as patient and tissue information for each sample.

Antibody HPA002989Antibody HPA003020Antibody CAB002306
Glandular cells LowNot detectedNot detected






STOMACH 2 - Antibody stainingi

Antibody staining in the annotated cell types in the current human tissue is reported as not detected, low, medium, or high, based on conventional immunohistochemistry profiling in selected tissues. This score is based on the combination of the staining intensity and fraction of stained cells.

Each image is clickable and will lead to virtual microscopy that enables deeper exploration of all samples and also displays staining intensity scores, fraction scores and subcellular localization as well as patient and tissue information for each sample.

Antibody HPA002989Antibody HPA003020Antibody CAB002306
Glandular cells MediumLowNot detected







STOMACH - HPA RNA-seqi

The RNA-seq details section shows detailed information about the individual samples used for the transcript profiling and results of the RNA-seq analysis.

Information about each individual sample is listed below, including gender, age, a tissue section image and estimated fractions of cell types. nTPM (normalized transcripts per million) values give a quantification of the gene abundance which is comparable between different genes and samples.
Average nTPMi

Max subtype nTPM is the value for the subtype with the largest average nTPM across the subtype samples.

105.4
overview
Female, age 33
Stomach sample 61
nTPM: 109.1
Cell types%
Glandular cells:
60

Smooth muscle cells:
5

Other cell types:
35

N/A
Male, age 82
Stomach sample 240
nTPM: 93.1
Cell types%
Glandular cells:
65

Smooth muscle cells:
5

Other cell types:
30

overview
Male, age 71
Stomach sample 241
nTPM: 140.4
Cell types%
Glandular cells:
50

Smooth muscle cells:
5

Other cell types:
45

overview
Female, age 66
Stomach sample 369
nTPM: 79.1
Cell types%
Glandular cells:
50

Smooth muscle cells:
10

Other cell types:
40


STOMACH - GTEx RNA-seqi

RNA-Seq data generated by the Genotype-Tissue Expression (GTEx) project from human tissues is reported as mean nTPM. More information can be found on the GTEx portal.

Distribution across the dataset is visualized with box plots, shown as median and 25th and 75th percentiles. Points are displayed as outliers if they are above or below 1.5 times the interquartile range. nTPM values of the individual samples are presented next to the box plot.
Max subtype nTPMi

Max subtype nTPM is the value for the subtype with the largest average nTPM across the subtype samples.

138.8
GTEx sample id Sample description nTPM
Stomach
Average nTPM: 138.8
Samples: 359

Max nTPM: 785.2
Min nTPM: 34.9
Std nTPM: 106.7
Median nTPM: 100.8
GTEX-15SHW-2126-SM-6M46Y 60-69 years, male 785.2
GTEX-17EUY-1526-SM-793CA 20-29 years, male 689.1
GTEX-ZE7O-3026-SM-51MS4 50-59 years, female 661.5
GTEX-1HT8W-2326-SM-A9SLA 30-39 years, male 612.9
GTEX-11EI6-2426-SM-5PNVS 60-69 years, male 549.1
GTEX-1F5PK-1826-SM-7RHHX 50-59 years, male 519.0
GTEX-1B8L1-1526-SM-79OLK 60-69 years, male 472.4
GTEX-ZYVF-2726-SM-5GID4 50-59 years, female 457.7
GTEX-13N1W-2026-SM-5K7YU 70-79 years, male 424.9
GTEX-13O3Q-2126-SM-5KM4C 50-59 years, male 408.8
GTEX-12WSJ-0926-SM-5P9JD 40-49 years, female 406.6
GTEX-13111-1226-SM-5GCNC 50-59 years, male 370.0
GTEX-R55G-1126-SM-48FDG 40-49 years, female 358.8
GTEX-11WQK-2626-SM-5EQ4K 50-59 years, male 357.6
GTEX-17JCI-2226-SM-7LTA1 60-69 years, female 357.0
GTEX-1E2YA-2426-SM-7EPIG 50-59 years, male 353.3
GTEX-1IL2V-2026-SM-ARZMA 70-79 years, male 349.0
GTEX-QDT8-2026-SM-EZ6LS 30-39 years, female 347.5
GTEX-ZPIC-2026-SM-57WG3 40-49 years, female 345.0
GTEX-T5JC-1926-SM-4DM6Q 20-29 years, male 342.8
GTEX-WFJO-1126-SM-4LVLZ 30-39 years, male 342.6
GTEX-1NSGN-1926-SM-E9J36 50-59 years, male 333.2
GTEX-UJHI-1026-SM-4IHJP 50-59 years, female 329.0
GTEX-UPK5-2126-SM-4JBJK 40-49 years, male 319.4
GTEX-1E1VI-2826-SM-7MGWU 50-59 years, male 319.0
GTEX-11VI4-0326-SM-5EQ6L 40-49 years, female 316.0
GTEX-1S831-1126-SM-EWROI 20-29 years, male 315.3
GTEX-1JKYN-1726-SM-AHZ48 30-39 years, male 302.7
GTEX-1H1DE-1226-SM-9JGHH 20-29 years, male 301.3
GTEX-12C56-0526-SM-5FQST 20-29 years, male 296.5
GTEX-13QJ3-2726-SM-5SI6L 50-59 years, male 288.5
GTEX-11NUK-2426-SM-5BC4U 50-59 years, male 280.8
GTEX-146FR-2026-SM-5NQAI 60-69 years, female 279.1
GTEX-15EU6-2526-SM-7KUGB 50-59 years, male 278.7
GTEX-1HR9M-2326-SM-CNPPZ 60-69 years, male 271.2
GTEX-1S3DN-1526-SM-EVYCB 50-59 years, male 270.3
GTEX-1L5NE-1526-SM-DIPFW 50-59 years, male 269.5
GTEX-1211K-1426-SM-5FQTF 60-69 years, female 259.4
GTEX-S4P3-0726-SM-4AD57 50-59 years, female 257.9
GTEX-17KNJ-1526-SM-7LTA9 50-59 years, male 257.3
GTEX-146FH-2126-SM-5SI9U 50-59 years, female 254.8
GTEX-WH7G-1526-SM-4LVMX 40-49 years, male 252.3
GTEX-14BMV-2226-SM-5RQHX 50-59 years, male 250.0
GTEX-13X6J-2126-SM-5TDCV 50-59 years, male 244.0
GTEX-1I4MK-0926-SM-A9SLD 50-59 years, female 239.2
GTEX-15G1A-1226-SM-7KUF3 30-39 years, male 238.5
GTEX-1H3NZ-2226-SM-9WYUT 60-69 years, male 238.1
GTEX-RU1J-0526-SM-46MUT 20-29 years, female 237.2
GTEX-TKQ2-0926-SM-4DXU5 50-59 years, male 236.8
GTEX-1EH9U-2226-SM-7PBXX 60-69 years, male 235.8
GTEX-14E1K-1526-SM-664MN 50-59 years, male 233.5
GTEX-Y114-1226-SM-4TT88 50-59 years, female 225.3
GTEX-1CB4H-2426-SM-7PBYR 60-69 years, female 225.0
GTEX-11P82-0726-SM-5PNYL 20-29 years, male 224.3
GTEX-1KD5A-1426-SM-D4P3V 50-59 years, male 223.3
GTEX-1QW4Y-0726-SM-DTX8E 30-39 years, male 223.2
GTEX-WZTO-2126-SM-4PQYW 40-49 years, male 222.9
GTEX-14PHY-0926-SM-5ZZWL 60-69 years, female 222.4
GTEX-1JN1M-2926-SM-CNNPJ 60-69 years, female 222.4
GTEX-S4Z8-1226-SM-4AD6W 60-69 years, male 222.0
GTEX-1QMI2-2126-SM-DPRXQ 60-69 years, male 221.3
GTEX-1QP29-2326-SM-EXOJO 50-59 years, male 211.3
GTEX-R55D-1526-SM-48FEJ 50-59 years, male 209.0
GTEX-Y3I4-1626-SM-4TT7W 50-59 years, male 207.3
GTEX-1JN76-0926-SM-ARZNH 20-29 years, female 206.9
GTEX-15RIF-1126-SM-7KUG2 20-29 years, male 205.3
GTEX-13X6H-1626-SM-5Q5CT 50-59 years, female 205.2
GTEX-1PIGE-1126-SM-EWRMV 20-29 years, male 203.9
GTEX-1GPI7-1326-SM-9KNVA 20-29 years, male 203.7
GTEX-145MO-2226-SM-5Q5BN 60-69 years, male 202.3
GTEX-Y8E4-1526-SM-4WWDI 40-49 years, male 201.5
GTEX-1IDJF-1426-SM-ACKWK 20-29 years, male 198.3
GTEX-P4QT-1526-SM-3NMCT 50-59 years, female 197.1
GTEX-ZEX8-1626-SM-4WKG7 50-59 years, male 192.6
GTEX-1F75I-1826-SM-7MKGX 40-49 years, male 189.4
GTEX-1N2DV-0926-SM-E9TJT 40-49 years, male 188.6
GTEX-RTLS-2626-SM-46MUJ 60-69 years, female 188.2
GTEX-13OVI-2426-SM-5KM4J 60-69 years, female 187.2
GTEX-131XE-2226-SM-5PNYX 50-59 years, male 183.8
GTEX-17F98-1526-SM-7EWD8 40-49 years, female 182.1
GTEX-1QP67-1026-SM-EVR47 40-49 years, female 181.4
GTEX-1RQEC-2126-SM-DPS15 60-69 years, male 180.6
GTEX-1JMQJ-1326-SM-D4P3B 50-59 years, male 179.6
GTEX-1S82Z-1726-SM-E6CHZ 30-39 years, female 178.4
GTEX-1C64O-2226-SM-73KTV 60-69 years, male 176.7
GTEX-14PKU-1126-SM-69LOU 40-49 years, female 175.8
GTEX-1HSMQ-2426-SM-CE6RY 50-59 years, male 175.7
GTEX-13O61-1126-SM-5L3FI 60-69 years, male 175.0
GTEX-1HCUA-1626-SM-A9SMG 50-59 years, female 171.9
GTEX-XAJ8-0326-SM-47JYI 40-49 years, male 170.2
GTEX-11P7K-1726-SM-5GU6F 30-39 years, male 169.1
GTEX-1JMPY-0926-SM-ARL92 30-39 years, male 167.5
GTEX-1HSEH-1526-SM-B2LXG 60-69 years, male 167.1
GTEX-OIZH-1526-SM-3NB1J 50-59 years, male 166.9
GTEX-RUSQ-1126-SM-EAZAU 50-59 years, male 164.6
GTEX-139YR-1926-SM-5LZXM 50-59 years, male 162.9
GTEX-ZYY3-1726-SM-5EGH3 60-69 years, female 162.4
GTEX-1LVAM-1426-SM-E9TJ4 50-59 years, female 162.3
GTEX-1HCU8-1326-SM-C1YQQ 60-69 years, female 161.4
GTEX-1K2DA-0826-SM-CGQGD 50-59 years, male 161.4
GTEX-YEC3-1426-SM-D4P1S 50-59 years, male 161.4
GTEX-1MCYP-1126-SM-E9J2P 20-29 years, female 157.1
GTEX-12WSD-2326-SM-59HKQ 60-69 years, female 156.9
GTEX-1H11D-2226-SM-9OSXN 40-49 years, male 156.7
GTEX-TKQ1-0526-SM-4DXTG 30-39 years, male 155.3
GTEX-YJ8A-1526-SM-5P9FT 20-29 years, male 155.1
GTEX-1CB4E-1326-SM-7DUGD 60-69 years, male 153.9
GTEX-1JMPZ-1826-SM-CXZJT 30-39 years, male 152.0
GTEX-R55C-1026-SM-48FCM 40-49 years, male 151.6
GTEX-1399U-1626-SM-5P9J3 50-59 years, female 150.9
GTEX-ZV6S-0926-SM-57WGB 40-49 years, female 150.7
GTEX-11EQ9-1226-SM-5987E 30-39 years, male 150.5
GTEX-18A7A-2726-SM-7LG6U 50-59 years, female 150.5
GTEX-1GMRU-2526-SM-9WG7T 50-59 years, male 149.7
GTEX-Q734-1026-SM-48U16 40-49 years, female 149.0
GTEX-T8EM-1226-SM-4DM5J 40-49 years, male 147.2
GTEX-18A67-2626-SM-718AD 50-59 years, male 145.6
GTEX-PLZ6-0826-SM-3P61K 30-39 years, male 145.6
GTEX-1F5PL-1426-SM-7MKFH 40-49 years, female 142.4
GTEX-ZTX8-0426-SM-59HLG 20-29 years, male 140.6
GTEX-ZXES-1426-SM-5NQ8S 30-39 years, female 140.4
GTEX-XPVG-1526-SM-4B66C 50-59 years, male 140.1
GTEX-1RAZR-1526-SM-EAZ4U 40-49 years, male 139.8
GTEX-132AR-2426-SM-5IFFD 50-59 years, female 137.6
GTEX-XBEW-1826-SM-4RTWX 40-49 years, male 137.4
GTEX-1JMLX-2426-SM-CXZJQ 50-59 years, male 137.2
GTEX-QXCU-1926-SM-48FE4 50-59 years, male 136.8
GTEX-1HBPI-0726-SM-9WG7Z 50-59 years, male 133.8
GTEX-O5YW-1526-SM-3MJGL 50-59 years, male 133.0
GTEX-1A3MX-1926-SM-72D7F 60-69 years, male 130.8
GTEX-Y5LM-1326-SM-5RQIS 40-49 years, female 130.8
GTEX-14PN3-1326-SM-6AJ9U 60-69 years, female 129.9
GTEX-1PPH8-1326-SM-DTXFO 20-29 years, male 129.7
GTEX-PLZ5-1226-SM-EXOHA 50-59 years, male 129.3
GTEX-17MF6-2126-SM-7KFS7 40-49 years, male 129.1
GTEX-13RTK-0226-SM-5RQHR 20-29 years, male 127.0
GTEX-1I1HK-2026-SM-CNNRB 60-69 years, male 126.5
GTEX-1QCLY-1126-SM-EAZ4J 30-39 years, male 126.0
GTEX-13OW6-2526-SM-5IJEC 50-59 years, male 125.1
GTEX-14BIL-1926-SM-73KYI 50-59 years, male 124.4
GTEX-1A3MV-1226-SM-718BW 30-39 years, male 124.3
GTEX-16NGA-1526-SM-72D56 40-49 years, female 122.6
GTEX-117YX-1026-SM-5H11V 50-59 years, male 121.7
GTEX-1339X-1426-SM-5K7YO 40-49 years, male 121.2
GTEX-1AX9J-2626-SM-731EK 60-69 years, male 120.1
GTEX-QDVJ-1426-SM-48U1Y 50-59 years, male 119.7
GTEX-1GN1W-2126-SM-9JGI7 50-59 years, female 119.6
GTEX-S7SF-0626-SM-4AD4V 20-29 years, female 117.8
GTEX-13S7M-1826-SM-5RQK6 60-69 years, female 117.3
GTEX-14DAQ-2826-SM-664MU 60-69 years, female 117.2
GTEX-1QP28-2126-SM-DTX8B 50-59 years, female 115.3
GTEX-13PVQ-2126-SM-5L3FW 50-59 years, male 115.2
GTEX-139D8-2326-SM-5IFGE 30-39 years, female 114.1
GTEX-1QPFJ-1526-SM-DPRXT 30-39 years, female 114.1
GTEX-14PHX-1026-SM-664OL 50-59 years, male 113.9
GTEX-1I6K7-1726-SM-B2LXQ 40-49 years, male 113.8
GTEX-1CAMR-0726-SM-7EPIE 20-29 years, male 113.7
GTEX-18QFQ-1226-SM-718AE 30-39 years, male 113.4
GTEX-13FH7-1026-SM-5IJGF 50-59 years, female 112.4
GTEX-18D9B-2226-SM-718BM 60-69 years, male 111.6
GTEX-131XF-1226-SM-5HL8V 60-69 years, male 111.1
GTEX-12WSG-2026-SM-5FQUU 50-59 years, female 109.4
GTEX-P4PQ-1526-SM-3NMCK 60-69 years, male 109.0
GTEX-WHSB-1226-SM-4M1XR 50-59 years, male 109.0
GTEX-WY7C-1726-SM-4ONCC 50-59 years, male 108.7
GTEX-1HFI7-1526-SM-9WG7W 50-59 years, female 108.5
GTEX-14DAR-0926-SM-73KUQ 50-59 years, male 107.5
GTEX-17HGU-2126-SM-7IGOV 50-59 years, male 107.4
GTEX-1J8JJ-1726-SM-C1YQG 60-69 years, female 107.1
GTEX-1399R-1126-SM-5IFIO 30-39 years, male 105.3
GTEX-OHPK-1526-SM-3MJGM 50-59 years, female 105.2
GTEX-1H1DG-2126-SM-9WPPB 70-79 years, male 105.2
GTEX-14ICL-0826-SM-5YY9W 30-39 years, male 104.3
GTEX-ZVT3-2126-SM-59HL2 60-69 years, female 104.3
GTEX-WHWD-1426-SM-4OORU 50-59 years, male 104.2
GTEX-OXRK-1626-SM-3NB17 50-59 years, female 104.0
GTEX-133LE-1326-SM-5IFGO 20-29 years, female 103.1
GTEX-WYVS-1326-SM-4ONCQ 40-49 years, female 103.1
GTEX-11GSP-2126-SM-5HL5E 60-69 years, female 101.9
GTEX-QCQG-0526-SM-48U2A 50-59 years, female 100.8
GTEX-1AMEY-1226-SM-731DU 30-39 years, female 100.1
GTEX-QDVN-1226-SM-48TZ5 50-59 years, male 99.2
GTEX-OXRL-1526-SM-E6CHQ 50-59 years, male 98.9
GTEX-13FTW-1726-SM-5KM2B 40-49 years, male 98.5
GTEX-Y5V6-1326-SM-4VDTF 60-69 years, male 98.1
GTEX-O5YV-1926-SM-EV797 60-69 years, female 98.1
GTEX-NFK9-1526-SM-3LK7B 40-49 years, male 98.0
GTEX-12696-1726-SM-5EQLH 60-69 years, male 97.7
GTEX-POMQ-0826-SM-3P61H 20-29 years, female 97.1
GTEX-15G19-1526-SM-6LPKP 60-69 years, male 96.2
GTEX-15DZA-1126-SM-6LPK8 30-39 years, female 96.1
GTEX-XV7Q-1326-SM-4BRWM 40-49 years, female 95.6
GTEX-17HHE-1026-SM-79ON6 50-59 years, male 95.4
GTEX-145LT-1426-SM-5O9B3 40-49 years, male 95.2
GTEX-1B97J-1826-SM-7IGPP 50-59 years, female 95.1
GTEX-14JG6-1226-SM-664O6 30-39 years, female 93.6
GTEX-WHPG-0426-SM-4M1XW 50-59 years, male 93.6
GTEX-1GF9U-1126-SM-AHZ4H 40-49 years, female 93.6
GTEX-14E6E-0926-SM-664N8 30-39 years, male 93.2
GTEX-WEY5-1226-SM-4LMIQ 40-49 years, female 92.9
GTEX-Y3IK-1426-SM-4YCES 50-59 years, female 92.7
GTEX-1IDJD-2426-SM-C1YS6 30-39 years, male 91.7
GTEX-V955-1326-SM-4JBHR 60-69 years, male 91.4
GTEX-ZF2S-1426-SM-57WET 50-59 years, female 91.2
GTEX-W5WG-1726-SM-4LMI5 50-59 years, female 90.9
GTEX-1H3VY-2326-SM-9WG81 50-59 years, male 90.2
GTEX-17HII-2426-SM-7KFTT 50-59 years, male 90.0
GTEX-SNMC-0626-SM-4DM6H 20-29 years, male 90.0
GTEX-ZZPU-1426-SM-5GZZ6 50-59 years, female 90.0
GTEX-14PJ6-0826-SM-686Z9 60-69 years, female 89.1
GTEX-1H23P-2726-SM-9JGHN 60-69 years, male 89.1
GTEX-1J8EW-2226-SM-AHZ3T 60-69 years, female 88.5
GTEX-1B97I-1226-SM-7MGWQ 40-49 years, male 88.3
GTEX-PW2O-1226-SM-48TCH 20-29 years, male 87.1
GTEX-Q2AH-1126-SM-48TZM 40-49 years, male 86.9
GTEX-1KXAM-0926-SM-CXZKA 60-69 years, male 86.8
GTEX-PWN1-1526-SM-48TDA 40-49 years, female 86.7
GTEX-V1D1-1726-SM-4JBHB 50-59 years, male 86.4
GTEX-ZVZP-1726-SM-5GZWY 50-59 years, male 86.4
GTEX-WRHK-0626-SM-4MVOE 20-29 years, female 86.1
GTEX-1A8G6-1426-SM-731EZ 60-69 years, male 86.0
GTEX-16AAH-1226-SM-79OO9 50-59 years, male 85.8
GTEX-OOBJ-1526-SM-3NB1Q 60-69 years, male 85.7
GTEX-ZGAY-1626-SM-DNZZ3 40-49 years, female 84.9
GTEX-14PJ3-1426-SM-664O8 50-59 years, male 84.5
GTEX-XQ8I-2026-SM-4BOOL 50-59 years, male 84.4
GTEX-1LSNM-1026-SM-DHXL2 50-59 years, male 83.9
GTEX-131XG-1226-SM-5EGH9 50-59 years, female 83.3
GTEX-1C475-1026-SM-7MKFJ 40-49 years, female 83.2
GTEX-1MJIX-1126-SM-EV7AO 40-49 years, male 83.2
GTEX-1I1GT-1726-SM-C1YS3 60-69 years, female 83.1
GTEX-T5JW-0926-SM-4DM5K 20-29 years, female 83.0
GTEX-WFG7-1326-SM-4LMK1 20-29 years, male 82.8
GTEX-1HBPN-1626-SM-9WPNP 50-59 years, male 82.6
GTEX-18D9A-0626-SM-7KFTY 30-39 years, female 81.9
GTEX-P4PP-1526-SM-3P61M 30-39 years, female 81.0
GTEX-1J8QM-1126-SM-C1YQB 60-69 years, female 81.0
GTEX-ZY6K-0726-SM-5A5L8 50-59 years, male 80.9
GTEX-P78B-1826-SM-3P5YX 40-49 years, female 80.8
GTEX-Y9LG-1026-SM-5IFJN 30-39 years, male 80.5
GTEX-1LG7Z-1226-SM-DHXK4 30-39 years, male 79.8
GTEX-144GN-1226-SM-5O991 50-59 years, male 79.7
GTEX-18A66-2226-SM-7189E 60-69 years, male 79.4
GTEX-1B8KE-1326-SM-73KVI 50-59 years, male 79.3
GTEX-15DCE-1626-SM-6LPJM 20-29 years, male 78.9
GTEX-S4Q7-0726-SM-4AD5F 20-29 years, male 78.9
GTEX-1R9K5-1026-SM-EAZ4F 50-59 years, male 78.4
GTEX-ZLV1-0826-SM-DO11P 60-69 years, female 78.3
GTEX-U3ZN-2026-SM-4DXUC 30-39 years, female 78.1
GTEX-SNOS-0826-SM-4DM5N 40-49 years, male 77.8
GTEX-ZQUD-0826-SM-57WDQ 30-39 years, male 77.6
GTEX-ZLWG-1526-SM-DO12F 50-59 years, female 77.1
GTEX-ZP4G-1226-SM-4WWCJ 20-29 years, female 76.8
GTEX-1JK1U-1326-SM-AHZ45 60-69 years, male 76.3
GTEX-1MUQO-1926-SM-EAZ59 60-69 years, male 76.1
GTEX-1QCLZ-1826-SM-DPRXP 60-69 years, female 76.0
GTEX-1KANA-1126-SM-D3L9M 20-29 years, male 75.7
GTEX-WFON-1126-SM-4LVMA 40-49 years, male 75.4
GTEX-1HKZK-1526-SM-B2LWG 40-49 years, male 75.3
GTEX-14PKV-1826-SM-69LO9 20-29 years, female 74.9
GTEX-13QBU-1126-SM-5LU44 40-49 years, female 73.4
GTEX-111CU-0926-SM-5EGIK 50-59 years, male 72.7
GTEX-QMRM-1126-SM-447BN 50-59 years, male 72.6
GTEX-ZYFG-1326-SM-5GICJ 60-69 years, female 72.6
GTEX-PX3G-1526-SM-48U11 20-29 years, female 72.5
GTEX-Y8LW-0826-SM-4WWDO 50-59 years, female 72.0
GTEX-1AYCT-1326-SM-7MKHB 50-59 years, male 71.9
GTEX-12BJ1-1726-SM-5HL9B 60-69 years, male 71.1
GTEX-1MGNQ-1826-SM-DPRYI 40-49 years, male 71.1
GTEX-X15G-1126-SM-4PQZG 50-59 years, female 70.8
GTEX-OIZF-1526-SM-2I5GR 60-69 years, male 70.2
GTEX-OHPM-1526-SM-EV796 50-59 years, male 70.1
GTEX-ZDYS-1926-SM-5HL59 50-59 years, male 69.7
GTEX-11TT1-0726-SM-5GU5A 20-29 years, male 69.5
GTEX-13113-0726-SM-5LZUF 60-69 years, female 68.7
GTEX-1IDJU-1526-SM-CNNR3 60-69 years, female 68.7
GTEX-YEC4-1426-SM-5IFHS 40-49 years, male 68.5
GTEX-117YW-2226-SM-5N9DB 50-59 years, male 68.3
GTEX-VJYA-1026-SM-4KL21 60-69 years, male 68.0
GTEX-1RMOY-1126-SM-EV79E 50-59 years, male 67.9
GTEX-1R7EU-1126-SM-EAZ4M 60-69 years, male 67.5
GTEX-1J8Q3-1926-SM-C1YSJ 60-69 years, male 67.0
GTEX-UJMC-1226-SM-4IHLI 50-59 years, male 66.6
GTEX-14B4R-0726-SM-5TDDR 30-39 years, male 65.8
GTEX-145MN-1326-SM-5NQ9S 30-39 years, male 65.0
GTEX-SUCS-0926-SM-4DM4Z 70-79 years, male 63.9
GTEX-ZVP2-1626-SM-5GU5D 50-59 years, male 63.8
GTEX-13D11-2126-SM-5IFH2 50-59 years, female 63.6
GTEX-R53T-1226-SM-48FCT 50-59 years, female 63.4
GTEX-11DXX-1326-SM-5GIDZ 60-69 years, female 63.3
GTEX-1B8KZ-1226-SM-793CP 50-59 years, male 62.7
GTEX-XUZC-0726-SM-4BOPH 30-39 years, female 62.3
GTEX-WFG8-1326-SM-4LVN3 20-29 years, male 62.0
GTEX-111YS-1126-SM-5GZYQ 60-69 years, male 61.8
GTEX-QLQ7-0826-SM-447B3 60-69 years, male 61.8
GTEX-13CF3-1926-SM-5K7WF 60-69 years, female 61.6
GTEX-Q2AI-0826-SM-48TZO 40-49 years, male 61.6
GTEX-XMK1-1526-SM-EYYVO 40-49 years, male 61.6
GTEX-1GZ4H-1026-SM-9OSXL 50-59 years, female 61.2
GTEX-1LBAC-1426-SM-CXZKT 20-29 years, male 61.2
GTEX-132QS-1826-SM-5IFFN 60-69 years, male 61.1
GTEX-S4UY-1626-SM-4AD55 40-49 years, female 60.3
GTEX-ZF29-1526-SM-4WKF7 60-69 years, female 59.6
GTEX-14BMU-1126-SM-5RQJ8 20-29 years, female 59.4
GTEX-RM2N-0826-SM-48FD3 50-59 years, male 59.2
GTEX-QLQW-0726-SM-447AA 30-39 years, male 59.1
GTEX-1LVAN-2426-SM-CNNPZ 50-59 years, female 58.9
GTEX-13O21-0926-SM-5IFGT 50-59 years, male 58.5
GTEX-12WSK-1426-SM-5CVNN 40-49 years, female 58.3
GTEX-YB5E-1126-SM-664NU 40-49 years, male 57.7
GTEX-XBED-1226-SM-4AT5V 60-69 years, male 57.6
GTEX-14PJ4-1626-SM-664OB 60-69 years, male 57.2
GTEX-11EM3-1026-SM-5A5KL 20-29 years, female 56.9
GTEX-13OVK-0926-SM-7KUFX 40-49 years, male 56.8
GTEX-WYJK-2526-SM-4ONDF 50-59 years, male 56.7
GTEX-1LGRB-1726-SM-CNNRA 50-59 years, female 56.2
GTEX-1122O-1926-SM-5EGIQ 60-69 years, female 56.0
GTEX-U4B1-1026-SM-4DXT1 40-49 years, male 55.8
GTEX-T6MO-0726-SM-4DM58 40-49 years, female 55.6
GTEX-1H1E6-1626-SM-9OSWC 30-39 years, male 55.6
GTEX-ZZ64-0426-SM-5E43F 20-29 years, male 55.0
GTEX-13U4I-2526-SM-5SI8Z 40-49 years, female 54.2
GTEX-XXEK-0826-SM-4BRWG 50-59 years, male 54.2
GTEX-PWCY-0926-SM-48TD7 20-29 years, female 53.7
GTEX-15UF7-1226-SM-6M46G 40-49 years, male 53.4
GTEX-1GL5R-1926-SM-9WG7U 50-59 years, male 53.1
GTEX-S95S-0826-SM-4B64N 60-69 years, male 52.9
GTEX-S3XE-1026-SM-4AD4O 50-59 years, male 52.8
GTEX-QV44-1226-SM-CJI1S 50-59 years, male 51.8
GTEX-S341-0626-SM-4AD5T 40-49 years, female 51.6
GTEX-11NSD-1426-SM-5HL67 20-29 years, male 50.7
GTEX-ZVT2-1626-SM-51MRC 50-59 years, female 50.6
GTEX-1399S-1626-SM-5P9GI 30-39 years, female 50.1
GTEX-YFCO-0826-SM-5LUAG 40-49 years, male 50.1
GTEX-1AMFI-1226-SM-731CZ 50-59 years, female 49.7
GTEX-QV31-0626-SM-447C5 30-39 years, male 49.5
GTEX-WXYG-1626-SM-4ONCR 50-59 years, female 48.4
GTEX-144GM-1726-SM-5O9AS 20-29 years, male 47.9
GTEX-1QP2A-2126-SM-DPRZ7 50-59 years, male 47.5
GTEX-ZPU1-1626-SM-4WWB2 40-49 years, male 46.8
GTEX-145ME-1026-SM-5O9B4 40-49 years, female 46.4
GTEX-ZLFU-1326-SM-DO11R 40-49 years, male 46.4
GTEX-17GQL-1226-SM-7KFTS 60-69 years, male 46.1
GTEX-15CHR-1326-SM-79OLT 50-59 years, male 46.0
GTEX-TMMY-1626-SM-4DXTY 40-49 years, female 45.9
GTEX-ZAB4-1526-SM-5CVN7 40-49 years, male 45.4
GTEX-ZT9W-1526-SM-4YCDE 50-59 years, male 45.2
GTEX-ZA64-0826-SM-5HL9U 20-29 years, male 44.1
GTEX-1LGOU-1526-SM-D3LAJ 20-29 years, female 43.7
GTEX-15RIE-1026-SM-6LPJQ 60-69 years, male 43.4
GTEX-17F9E-2226-SM-7IGNC 50-59 years, male 43.3
GTEX-1RB15-1026-SM-E9U6V 60-69 years, male 43.3
GTEX-11I78-1726-SM-5A5M3 50-59 years, female 42.4
GTEX-1ICG6-1826-SM-AHZ2O 70-79 years, female 42.3
GTEX-13PVR-2126-SM-73KVR 60-69 years, female 41.5
GTEX-ZV7C-1626-SM-5NQ7E 50-59 years, male 38.7
GTEX-RWS6-0926-SM-47JXE 60-69 years, female 37.6
GTEX-13FTX-0726-SM-5N9BI 20-29 years, female 36.8
GTEX-14PJ5-0826-SM-6AJAR 60-69 years, female 34.9
Show allShow less

Contact

  • NEWS ARTICLES
  • PRESS ROOM

The Project

  • INTRODUCTION
  • ORGANIZATION
  • PUBLICATIONS

The Human Protein Atlas

  • DOWNLOADABLE DATA
  • LICENCE & CITATION
  • HELP & FAQ
The Human Protein Atlas project is funded
by the Knut & Alice Wallenberg Foundation.


contact@proteinatlas.org