We use cookies to enhance the usability of our website. If you continue, we'll assume that you are happy to receive all cookies. More information. Don't show this again.
CTSD
HPA
RESOURCES
  • TISSUE
  • BRAIN
  • SINGLE CELL
  • SUBCELLULAR
  • CANCER
  • BLOOD
  • CELL LINE
  • STRUCTURE & INTERACTION
ABOUT
  • INTRODUCTION
  • HISTORY
  • ORGANIZATION
  • PUBLICATIONS
  • ANTIBODY SUBMISSION
  • ANTIBODY AVAILABILITY
  • ACKNOWLEDGMENTS
  • CONTACT
NEWS
  • NEWS ARTICLES
  • PRESS ROOM
LEARN
  • DICTIONARY
  • PROTEIN CLASSES
  • PROTEIN EVIDENCE
  • METHODS
  • EDUCATIONAL VIDEOS
DATA
  • DOWNLOADABLE DATA
  • PUBLICATION DATA
  • RELEASE HISTORY
HELP
  • ANTIBODY VALIDATION
  • ASSAYS & ANNOTATION
  • DISCLAIMER
  • HELP & FAQ
  • PRIVACY STATEMENT
  • LICENCE & CITATION
Fields »
Search result

Field
Term
Gene name
Class
Subclass
Class
Keyword
Chromosome
External id
Tissue
Cell type
Expression
Antibody panel
Tissue
Main location
Patient ID
Annotation
Tissue
Category
Tau score
Cluster
Reliability
Brain region
Category
Tau score
Brain region
Category
Tau score
Brain region
Category
Tau score
Cluster
Reliability
Tissue
Cell type
Enrichment
Cell type
Category
Tau score
Cell type
Category
Tau score
Cell type
Category
Tau score
Cell lineage
Category
Tau score
Cluster
Cluster
Location
Searches
Location
Cell line
Class
Type
Phase
Reliability
Cancer
Prognosis
Cancer
Category
Cancer
Category
Tau score
Cluster
Variants
Interacting gene (ensg_id)
Type
Number of interactions
Pathway
Category
Score
Score
Score
Validation
Validation
Validation
Validation
Antibodies
Data type
Column


  • SUMMARY

  • TISSUE

  • BRAIN

  • SINGLE CELL

  • SUBCELL

  • CANCER

  • BLOOD

  • CELL LINE

  • STRUCT & INT

  • CTSD
TISSUE PRIMARY DATA COLON Show tissue menu
ADIPOSE TISSUE ADRENAL GLAND AMYGDALA APPENDIX BASAL GANGLIA BONE MARROW BREAST BRONCHUS CEREBELLUM CEREBRAL CORTEX CERVIX CHOROID PLEXUS COLON DUODENUM
ENDOMETRIUM EPIDIDYMIS ESOPHAGUS FALLOPIAN TUBE GALLBLADDER HEART MUSCLE HIPPOCAMPAL FORMATION HYPOTHALAMUS KIDNEY LIVER LUNG LYMPH NODE MIDBRAIN ORAL MUCOSA
OVARY PANCREAS PARATHYROID GLAND PITUITARY GLAND PLACENTA PROSTATE RECTUM RETINA SALIVARY GLAND SEMINAL VESICLE SKELETAL MUSCLE SKIN SMALL INTESTINE SMOOTH MUSCLE
SOFT TISSUE SPINAL CORD SPLEEN STOMACH TESTIS THYMUS THYROID GLAND TONGUE TONSIL URINARY BLADDER VAGINA
ANTIBODIES
AND
VALIDATION
Dictionary
Colon
Tissue proteome
Intestine
COLON - Expression summary
Protein expression
Coloni

On the top, protein expression in current human tissue, based on all annotated cell types, is reported with the units not detected (n), low (l), medium (m) and high (h). Underneath, protein expression in each annotated cell type are reported using the same units.

Protein expression data is based on knowledge-based annotation. For genes where more than one antibody has been used, a collective score is set.

If knowledge-based annotation could not be performed for a gene, no data is displayed here. View antibody staining data further down this page.

h
m
l
n
Endocrine cells: Medium
Endothelial cells: Not detected
Enterocytes: Medium
Enterocytes - Microvilli: Not detected
Fibroblasts: Not detected
Goblet cells: Not detected
Mucosal lymphoid cells: High
Peripheral nerve/ganglion: Medium
RNA expressioni

A summary of mRNA expression data available for current tissue based on several datasets. The mRNA expression levels in human tissues are based on RNA-seq data generated by the Human Protein Atlas (HPA), Genotype-Tissue Expression (GTEx) portal and CAGE data generated by the FANTOM5 consortium. Consensus normalized expression levels for human tissues was created by combining the data from HPA and GTEx datasets.

The mRNA expression levels in pig are based on RNA-seq data generated by the Human Protein Atlas (HPA), and for mouse, HPA data and in situ hybridization generated by the Allen brain atlas are reported.

Scroll down to view mRNA expression data in more detail.
Consensus:289.5 nTPM
HPA:271.0 nTPM
GTEx:289.5 nTPM
FANTOM5:405.1 Scaled Tags Per Million

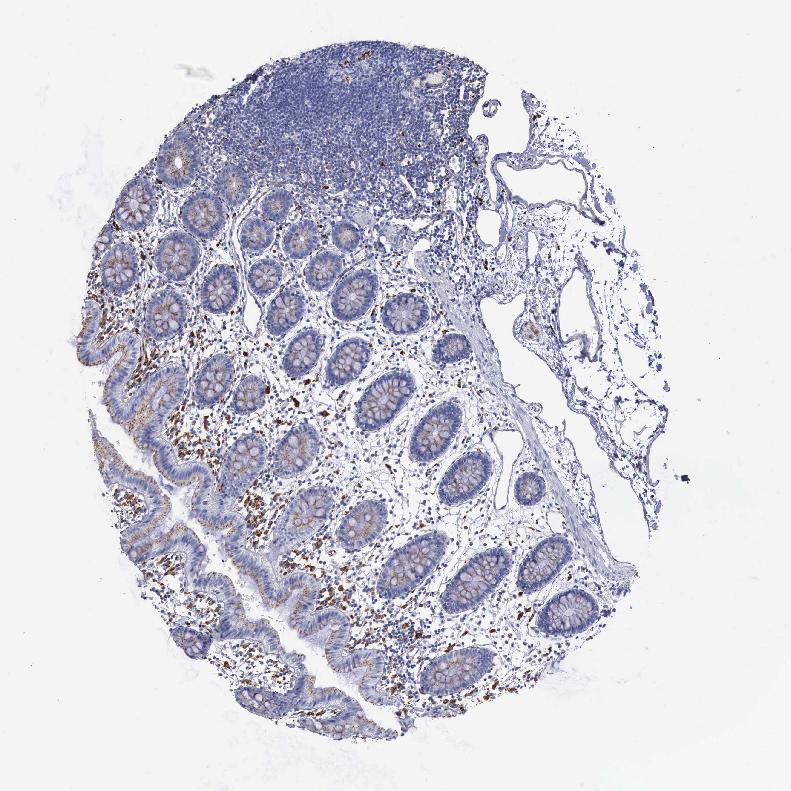
COLON - Antibody stainingi

Antibody staining in the annotated cell types in the current human tissue is reported as not detected, low, medium, or high, based on conventional immunohistochemistry profiling in selected tissues. This score is based on the combination of the staining intensity and fraction of stained cells.

Each image is clickable and will lead to virtual microscopy that enables deeper exploration of all samples and also displays staining intensity scores, fraction scores and subcellular localization as well as patient and tissue information for each sample.

Antibody HPA003001Antibody CAB000109
Endocrine cells -Medium
Endothelial cells Not detectedNot detected
Enterocytes -Medium
Enterocytes - Microvilli -Not detected
Fibroblasts -Not detected
Glandular cells Medium-
Goblet cells -Not detected
Mucosal lymphoid cells -High
Peripheral nerve/ganglion MediumMedium



COLON - HPA RNA-seqi

The RNA-seq details section shows detailed information about the individual samples used for the transcript profiling and results of the RNA-seq analysis.

Information about each individual sample is listed below, including gender, age, a tissue section image and estimated fractions of cell types. nTPM (normalized transcripts per million) values give a quantification of the gene abundance which is comparable between different genes and samples.
Average nTPMi

Max subtype nTPM is the value for the subtype with the largest average nTPM across the subtype samples.

271.0
overview
Male, age 54
Colon sample 67
nTPM: 409.2
Cell types%
Glandular cells:
65

Smooth muscle cells:
10

Other cell types:
25

overview
Female, age 57
Colon sample 68
nTPM: 418.8
Cell types%
Glandular cells:
40

Smooth muscle cells:
5

Other cell types:
55

overview
Male, age 80
Colon sample 69
nTPM: 259.9
Cell types%
Glandular cells:
55

Smooth muscle cells:
5

Other cell types:
40

overview
Male, age 68
Colon sample 70
nTPM: 388.4
Cell types%
Glandular cells:
35

Smooth muscle cells:
10

Other cell types:
55

overview
Female, age 68
Colon sample 76
nTPM: 313
Cell types%
Glandular cells:
25

Smooth muscle cells:
5

Other cell types:
70

overview
Female, age 61
Colon sample 299
nTPM: 136.3
Cell types%
Glandular cells:
5

Smooth muscle cells:
65

Other cell types:
30

overview
Male, age 80
Colon sample 300
nTPM: 97.7
Cell types%
Glandular cells:
15

Smooth muscle cells:
20

Other cell types:
65

overview
Female, age 78
Colon sample 368
nTPM: 266.8
Cell types%
Glandular cells:
45

Smooth muscle cells:
5

Other cell types:
50

overview
Male, age 84
Colon sample 381
nTPM: 170.7
Cell types%
Glandular cells:
50

Smooth muscle cells:
15

Other cell types:
35

overview
Male, age 80
Colon sample 384
nTPM: 209.1
Cell types%
Glandular cells:
20

Smooth muscle cells:
35

Other cell types:
45

overview
Female, age 78
Colon sample 389
nTPM: 315.9
Cell types%
Glandular cells:
35

Smooth muscle cells:
10

Other cell types:
55

overview
Female, age 69
Colon sample 391
nTPM: 242
Cell types%
Glandular cells:
10

Smooth muscle cells:
45

Other cell types:
45

overview
Female, age 72
Colon sample 403
nTPM: 294.8
Cell types%
Glandular cells:
20

Smooth muscle cells:
15

Other cell types:
65


COLON - GTEx RNA-seqi

RNA-Seq data generated by the Genotype-Tissue Expression (GTEx) project from human tissues is reported as mean nTPM. More information can be found on the GTEx portal.

Distribution across the dataset is visualized with box plots, shown as median and 25th and 75th percentiles. Points are displayed as outliers if they are above or below 1.5 times the interquartile range. nTPM values of the individual samples are presented next to the box plot.
Max subtype nTPMi

Max subtype nTPM is the value for the subtype with the largest average nTPM across the subtype samples.

289.5
GTEx sample id Sample description nTPM
Colon - Sigmoid
Average nTPM: 142.4
Samples: 373

Max nTPM: 714.1
Min nTPM: 43.5
Std nTPM: 67.9
Median nTPM: 129.2
GTEX-ZQUD-1026-SM-4YCEZ 30-39 years, male 714.1
GTEX-WOFM-1926-SM-4OOSP 20-29 years, male 600.4
GTEX-13113-1426-SM-5EGHU 60-69 years, female 557.3
GTEX-Y5V6-1626-SM-4VDT2 60-69 years, male 489.6
GTEX-WH7G-1426-SM-4LVMU 40-49 years, male 420.7
GTEX-W5WG-2026-SM-4LMIB 50-59 years, female 400.3
GTEX-13W3W-2226-SM-5LU4M 60-69 years, female 377.6
GTEX-VJYA-2126-SM-4KL1O 60-69 years, male 361.9
GTEX-1OJC3-1826-SM-DTX93 20-29 years, male 324.1
GTEX-1AMEY-1826-SM-72D5L 30-39 years, female 316.3
GTEX-X5EB-1126-SM-46MVV 40-49 years, male 308.8
GTEX-1C64O-2426-SM-7P8R3 60-69 years, male 306.9
GTEX-WYJK-2326-SM-4ONDN 50-59 years, male 279.1
GTEX-ZF29-1826-SM-4WKG8 60-69 years, female 257.6
GTEX-11VI4-1426-SM-5GU6O 40-49 years, female 256.9
GTEX-15FZZ-1826-SM-6LLJP 30-39 years, female 245.6
GTEX-WRHK-1126-SM-4MVOJ 20-29 years, female 241.4
GTEX-15RJ7-1726-SM-6PAL3 40-49 years, male 237.4
GTEX-1PFEY-1726-SM-DPRZ4 30-39 years, male 236.6
GTEX-YEC3-2026-SM-DKPOL 50-59 years, male 233.2
GTEX-14PJ4-1826-SM-5YY97 60-69 years, male 224.4
GTEX-1RLM8-1726-SM-E9TKF 50-59 years, male 224.0
GTEX-13OVI-2126-SM-5KM3U 60-69 years, female 217.6
GTEX-Y8LW-1126-SM-4VDS4 50-59 years, female 215.8
GTEX-WY7C-1926-SM-4ONCI 50-59 years, male 213.9
GTEX-ZQG8-2426-SM-57WEE 60-69 years, female 210.0
GTEX-148VJ-2426-SM-5NQ9Y 70-79 years, male 209.6
GTEX-1PIEJ-1826-SM-EWRMN 20-29 years, female 207.7
GTEX-11P81-1426-SM-5P9JN 30-39 years, female 203.1
GTEX-1EU9M-2726-SM-7P8QD 60-69 years, male 202.2
GTEX-11EQ8-2626-SM-5N9BO 60-69 years, male 200.9
GTEX-ZAB4-2426-SM-5HL8A 40-49 years, male 195.2
GTEX-13FH7-1626-SM-5J2O9 50-59 years, female 195.0
GTEX-1LVAM-1726-SM-DHXKQ 50-59 years, female 194.8
GTEX-132AR-2826-SM-5IJFV 50-59 years, female 193.5
GTEX-1HSMO-2526-SM-A9SKP 60-69 years, male 192.6
GTEX-13X6I-2726-SM-5Q5ET 60-69 years, male 191.6
GTEX-13OVJ-1826-SM-5KM2D 50-59 years, female 190.2
GTEX-1F5PK-1726-SM-7RHHW 50-59 years, male 188.7
GTEX-Y5LM-1426-SM-5RQJL 40-49 years, female 187.8
GTEX-1R9K5-2226-SM-DTX9G 50-59 years, male 186.9
GTEX-1R9JW-2126-SM-E76QT 30-39 years, female 186.0
GTEX-15UF6-2726-SM-7KULY 70-79 years, female 185.5
GTEX-13SLW-2826-SM-5Q5ES 70-79 years, male 185.2
GTEX-1C6VQ-2626-SM-7IGMQ 50-59 years, male 183.3
GTEX-1J1R8-1426-SM-CL55O 40-49 years, male 182.5
GTEX-15ETS-2326-SM-7KUGC 40-49 years, female 182.3
GTEX-1QP2A-2226-SM-DTXF6 50-59 years, male 182.1
GTEX-1AMFI-1826-SM-73KWB 50-59 years, female 181.9
GTEX-1C475-1526-SM-7DHM3 40-49 years, female 180.8
GTEX-12ZZW-2426-SM-5DUWE 50-59 years, male 180.3
GTEX-1R9PO-2026-SM-E9J4N 60-69 years, female 180.3
GTEX-WFON-1326-SM-4LVMN 40-49 years, male 180.1
GTEX-1AYCT-1926-SM-793AE 50-59 years, male 179.4
GTEX-14PJ3-1226-SM-5ZZVY 50-59 years, male 179.1
GTEX-WHPG-1626-SM-4M1ZL 50-59 years, male 178.5
GTEX-17EUY-1726-SM-79OK4 20-29 years, male 177.8
GTEX-1IKOE-2126-SM-A96T5 30-39 years, female 177.0
GTEX-11TT1-0926-SM-5GU5M 20-29 years, male 176.5
GTEX-15UF7-1326-SM-7KUKV 40-49 years, male 175.5
GTEX-111CU-1226-SM-5EGIN 50-59 years, male 175.3
GTEX-ZVT2-1726-SM-51MRO 50-59 years, female 174.9
GTEX-1H1ZS-2626-SM-9QEIX 70-79 years, male 174.5
GTEX-1I6K6-1926-SM-A96SN 30-39 years, male 174.4
GTEX-14PHX-1126-SM-5YYA5 50-59 years, male 174.2
GTEX-13VXT-2026-SM-5L3EW 20-29 years, female 172.4
GTEX-1HBPN-2026-SM-B2LWA 50-59 years, male 171.4
GTEX-ZLV1-1326-SM-DO11Q 60-69 years, female 170.5
GTEX-1211K-1826-SM-5EGJ2 60-69 years, female 170.3
GTEX-1CAMS-2626-SM-7PBY3 40-49 years, female 170.1
GTEX-1JMPZ-2626-SM-ARU8Z 30-39 years, male 169.2
GTEX-14AS3-1026-SM-5TDD7 40-49 years, female 168.7
GTEX-1QPFJ-2426-SM-EVR3L 30-39 years, female 167.6
GTEX-11EQ9-1526-SM-5PNY7 30-39 years, male 166.4
GTEX-12WSJ-1426-SM-5GCON 40-49 years, female 166.4
GTEX-1RAZR-2026-SM-E9TKE 40-49 years, male 165.6
GTEX-13RTJ-1926-SM-5YYA2 60-69 years, male 164.9
GTEX-1RMOY-1726-SM-EVYC9 50-59 years, male 164.4
GTEX-1399U-2226-SM-5KLZI 50-59 years, female 163.8
GTEX-XV7Q-2226-SM-4BRVY 40-49 years, female 163.4
GTEX-132NY-2726-SM-5PNY2 60-69 years, male 163.1
GTEX-139T6-1426-SM-5P9J7 50-59 years, male 162.5
GTEX-11DXX-1926-SM-5EGJK 60-69 years, female 162.4
GTEX-14PN3-1926-SM-6EU1Y 60-69 years, female 162.1
GTEX-13111-1926-SM-5GCOL 50-59 years, male 161.6
GTEX-Y114-1626-SM-4TT7I 50-59 years, female 160.5
GTEX-14E1K-1626-SM-664MO 50-59 years, male 158.9
GTEX-ZAB5-1426-SM-5HL9D 50-59 years, male 158.0
GTEX-14PK6-1826-SM-69LOM 70-79 years, female 157.6
GTEX-1H3VY-2526-SM-9KNW1 50-59 years, male 157.4
GTEX-1J8QM-1226-SM-CY8HI 60-69 years, female 156.9
GTEX-ZPCL-1626-SM-57WGC 60-69 years, female 156.6
GTEX-17GQL-1626-SM-7LG69 60-69 years, male 155.6
GTEX-1IL2U-2526-SM-C1YQV 60-69 years, male 155.5
GTEX-11PRG-2026-SM-5GU5F 50-59 years, male 154.7
GTEX-1H3NZ-2526-SM-9KNVO 60-69 years, male 154.7
GTEX-1PPH8-2226-SM-EWRN7 20-29 years, male 154.7
GTEX-1ICG6-2226-SM-B2LY7 70-79 years, female 154.3
GTEX-13O61-1526-SM-5KM3P 60-69 years, male 152.9
GTEX-XUZC-1526-SM-4BRV4 30-39 years, female 152.3
GTEX-ZPU1-1726-SM-4WWFV 40-49 years, male 152.3
GTEX-1GMR3-2526-SM-7P8QS 40-49 years, male 151.9
GTEX-1HBPM-2626-SM-9WYU5 60-69 years, female 151.9
GTEX-WHWD-1526-SM-4OORV 50-59 years, male 151.2
GTEX-1J1OQ-2826-SM-D3L88 40-49 years, female 151.1
GTEX-1OFPY-1226-SM-E76OM 60-69 years, male 151.0
GTEX-131XG-1526-SM-5GCNQ 50-59 years, female 149.7
GTEX-1PIGE-1526-SM-DTXFC 20-29 years, male 149.7
GTEX-18A66-2626-SM-72D67 60-69 years, male 148.5
GTEX-14BMU-1326-SM-5RQIH 20-29 years, female 148.4
GTEX-WFG8-1726-SM-4LVM6 20-29 years, male 148.4
GTEX-ZTSS-1226-SM-51MSZ 40-49 years, male 147.0
GTEX-1EH9U-1926-SM-7P8QM 60-69 years, male 146.6
GTEX-145LS-2926-SM-5O99G 60-69 years, female 146.5
GTEX-ZZ64-0826-SM-5E449 20-29 years, male 145.7
GTEX-147JS-2626-SM-5S2UX 60-69 years, male 145.1
GTEX-ZLFU-1426-SM-4WWEU 40-49 years, male 144.7
GTEX-ZT9W-1726-SM-51MS3 50-59 years, male 144.7
GTEX-1JN76-1326-SM-ARU94 20-29 years, female 144.3
GTEX-1CAMR-1026-SM-7P8QI 20-29 years, male 144.2
GTEX-ZYFG-1826-SM-5GZWX 60-69 years, female 142.9
GTEX-16XZZ-2726-SM-7EWDO 60-69 years, male 142.7
GTEX-146FH-2426-SM-5Q5EW 50-59 years, female 142.0
GTEX-1HKZK-2026-SM-9WYUF 40-49 years, male 142.0
GTEX-15G1A-1926-SM-7KUFF 30-39 years, male 141.9
GTEX-1QP67-1426-SM-E8VOO 40-49 years, female 141.7
GTEX-XBED-1726-SM-47JYO 60-69 years, male 141.4
GTEX-ZLWG-1826-SM-DO11I 50-59 years, female 141.4
GTEX-13CF3-1326-SM-5LZXZ 60-69 years, female 141.3
GTEX-13FTW-2126-SM-5K7YG 40-49 years, male 140.6
GTEX-WFG7-1626-SM-4LVMF 20-29 years, male 140.5
GTEX-1I1GP-2826-SM-A9SKZ 50-59 years, male 140.5
GTEX-1LG7Z-1326-SM-DIPF3 30-39 years, male 140.3
GTEX-11EM3-1626-SM-5N9CO 20-29 years, female 140.1
GTEX-WI4N-2226-SM-4OOS9 40-49 years, female 140.1
GTEX-1HSGN-2226-SM-A9SL6 40-49 years, female 139.4
GTEX-ZA64-1426-SM-5CVMC 20-29 years, male 139.2
GTEX-17KNJ-1826-SM-7LT9N 50-59 years, male 139.1
GTEX-1GTWX-2626-SM-9WPOT 60-69 years, male 139.1
GTEX-1KXAM-1926-SM-D3LAG 60-69 years, male 139.0
GTEX-1GMR8-2926-SM-9KNW5 50-59 years, female 138.8
GTEX-12BJ1-2026-SM-5FQUH 60-69 years, male 138.5
GTEX-1399R-2126-SM-5K7WZ 30-39 years, male 138.4
GTEX-1B932-2126-SM-7IGMU 40-49 years, female 138.1
GTEX-117YX-0526-SM-5EGJH 50-59 years, male 138.0
GTEX-13FHO-2726-SM-5K7VG 60-69 years, male 137.6
GTEX-15EO6-2326-SM-6LPKK 50-59 years, male 137.2
GTEX-1P4AB-2626-SM-DTXEU 50-59 years, male 136.9
GTEX-1JMQK-2326-SM-ARZN4 60-69 years, male 136.5
GTEX-1HSMQ-2526-SM-A9SMK 50-59 years, male 136.4
GTEX-14E6E-1726-SM-5S2R6 30-39 years, male 136.2
GTEX-13PVR-1726-SM-5Q5EC 60-69 years, female 136.1
GTEX-1B97I-1526-SM-73KUK 40-49 years, male 136.1
GTEX-1JKYN-2226-SM-ARZNE 30-39 years, male 135.6
GTEX-13D11-0626-SM-5LZYY 50-59 years, female 135.5
GTEX-1K2DA-1626-SM-CGQGB 50-59 years, male 135.4
GTEX-1GL5R-1726-SM-9KNUX 50-59 years, male 135.1
GTEX-183FY-1426-SM-7DHLM 20-29 years, male 135.0
GTEX-ZV6S-1126-SM-57WE9 40-49 years, female 134.5
GTEX-WQUQ-2626-SM-4MVNP 60-69 years, male 134.3
GTEX-12KS4-2326-SM-5EGJB 30-39 years, male 134.1
GTEX-1339X-1726-SM-5P9J9 40-49 years, male 134.1
GTEX-1C4CL-1626-SM-7DUF3 30-39 years, male 134.0
GTEX-11ZU8-1126-SM-5EQ5K 60-69 years, male 133.7
GTEX-1AX9K-1626-SM-73KUS 50-59 years, male 133.6
GTEX-139UW-2326-SM-5KM1Y 60-69 years, male 133.5
GTEX-144GM-1126-SM-79OJK 20-29 years, male 133.5
GTEX-1H3VE-2326-SM-9KNVU 40-49 years, male 133.5
GTEX-1S82P-2026-SM-E9TIQ 60-69 years, female 133.5
GTEX-12WSG-2426-SM-5EQLZ 50-59 years, female 133.2
GTEX-1F5PL-1926-SM-7MXTP 40-49 years, female 133.0
GTEX-11P7K-1826-SM-5HL5A 30-39 years, male 132.8
GTEX-15RIF-1426-SM-7KUKQ 20-29 years, male 132.3
GTEX-1MGNQ-2126-SM-EV7AC 40-49 years, male 132.0
GTEX-1I1GT-2026-SM-CKZPK 60-69 years, female 131.8
GTEX-15DZA-1026-SM-6PAND 30-39 years, female 131.5
GTEX-15DYW-2426-SM-7KUG8 60-69 years, female 131.4
GTEX-1LSVX-2026-SM-E9TJD 60-69 years, male 131.1
GTEX-1C2JI-1726-SM-73KUW 50-59 years, male 130.9
GTEX-1JK1U-1426-SM-CNPOW 60-69 years, male 130.5
GTEX-1LG7Y-2226-SM-E9U5K 50-59 years, male 130.4
GTEX-ZY6K-1326-SM-5GZWP 50-59 years, male 130.3
GTEX-1H1E6-1826-SM-A9G21 30-39 years, male 130.1
GTEX-145ME-1126-SM-5SIAT 40-49 years, female 129.8
GTEX-145MO-2626-SM-5QGPD 60-69 years, male 129.6
GTEX-WYVS-1126-SM-4SOJX 40-49 years, female 129.5
GTEX-13QBU-2026-SM-5KLZB 40-49 years, female 129.2
GTEX-18D9A-1326-SM-7LT8P 30-39 years, female 129.1
GTEX-1E2YA-2526-SM-7IGOU 50-59 years, male 129.0
GTEX-1QW4Y-1426-SM-E76P3 30-39 years, male 129.0
GTEX-1JMQJ-2626-SM-CY8HQ 50-59 years, male 128.7
GTEX-X15G-1526-SM-4PQZM 50-59 years, female 128.6
GTEX-17MFQ-1226-SM-7KFSA 20-29 years, male 128.5
GTEX-Y3I4-1126-SM-4TT7Y 50-59 years, male 127.9
GTEX-1H23P-2626-SM-9KNVN 60-69 years, male 127.8
GTEX-15RIE-2026-SM-7KFRW 60-69 years, male 126.9
GTEX-1LSNL-1626-SM-E9TJY 50-59 years, male 126.8
GTEX-1LBAC-1726-SM-D3L9W 20-29 years, male 126.7
GTEX-131XE-1026-SM-5EGKE 50-59 years, male 126.6
GTEX-1RDX4-1926-SM-E6CJJ 50-59 years, female 126.3
GTEX-12WSD-2626-SM-5EGJE 60-69 years, female 126.2
GTEX-1H1DE-1626-SM-9KNU5 20-29 years, male 126.2
GTEX-1IDJU-1926-SM-CL53W 60-69 years, female 126.2
GTEX-1AX9J-2526-SM-73KUY 60-69 years, male 126.1
GTEX-1S831-1726-SM-EWROJ 20-29 years, male 126.1
GTEX-1GZ4H-1326-SM-7P8TE 50-59 years, female 125.7
GTEX-1122O-1426-SM-5H11R 60-69 years, female 125.4
GTEX-18QFQ-1726-SM-731C9 30-39 years, male 125.4
GTEX-1LKK1-2426-SM-DIPES 50-59 years, female 124.9
GTEX-1HFI7-1626-SM-9WYTR 50-59 years, female 124.6
GTEX-ZXES-1726-SM-5E43G 30-39 years, female 123.8
GTEX-1QP9N-0826-SM-DTX9O 30-39 years, male 123.8
GTEX-11EI6-2626-SM-5PNVT 60-69 years, male 123.6
GTEX-1I1CD-2826-SM-A9SL4 60-69 years, female 123.6
GTEX-1LGRB-2026-SM-COH47 50-59 years, female 123.6
GTEX-17F9Y-2626-SM-7IGN9 70-79 years, female 122.8
GTEX-ZYY3-2226-SM-5E45A 60-69 years, female 121.8
GTEX-14C39-1626-SM-5S2P4 40-49 years, male 121.6
GTEX-17HHE-1626-SM-7DHLN 50-59 years, male 121.6
GTEX-1JMPY-1026-SM-ARZN1 30-39 years, male 121.6
GTEX-1LGOU-1726-SM-D3L8P 20-29 years, female 121.5
GTEX-183WM-2526-SM-731BP 70-79 years, female 121.4
GTEX-WXYG-1726-SM-4ONCU 50-59 years, female 121.4
GTEX-ZE9C-2126-SM-4WKGY 60-69 years, male 121.4
GTEX-ZPIC-2626-SM-57WE2 40-49 years, female 121.4
GTEX-11DXZ-1626-SM-5GIDI 50-59 years, male 121.3
GTEX-18A67-2226-SM-7LT9Z 50-59 years, male 121.3
GTEX-ZDTS-2726-SM-5L3E2 60-69 years, male 121.2
GTEX-1EMGI-2626-SM-7IGNR 60-69 years, male 120.6
GTEX-131YS-2926-SM-5EGKI 60-69 years, female 120.5
GTEX-1HB9E-2526-SM-D4P35 50-59 years, male 120.4
GTEX-12696-1926-SM-5EGJT 60-69 years, male 119.9
GTEX-1B996-2726-SM-7DUGG 60-69 years, male 119.8
GTEX-1HCUA-1926-SM-B2LWE 50-59 years, female 119.8
GTEX-Y8E4-2326-SM-EAZAZ 40-49 years, male 119.6
GTEX-13OVK-1026-SM-7KFTC 40-49 years, male 119.3
GTEX-17JCI-2826-SM-7IGNA 60-69 years, female 119.0
GTEX-1PBJJ-2026-SM-DTX8U 30-39 years, male 119.0
GTEX-111YS-1826-SM-5GIEP 60-69 years, male 118.9
GTEX-YF7O-1626-SM-5IFII 50-59 years, male 118.9
GTEX-11ZTT-1626-SM-5EQKR 60-69 years, female 118.6
GTEX-16NGA-0926-SM-718AG 40-49 years, female 118.5
GTEX-15F5U-1426-SM-7KUN2 40-49 years, male 117.9
GTEX-1I1GR-2226-SM-ARL7F 60-69 years, male 117.9
GTEX-ZP4G-1526-SM-57WE5 20-29 years, female 117.3
GTEX-ZF28-2526-SM-57WFH 60-69 years, male 116.9
GTEX-16Z82-2426-SM-7KUMS 60-69 years, male 116.4
GTEX-1CB4G-2726-SM-79OO4 60-69 years, male 116.4
GTEX-1PDJ9-2026-SM-E76PT 20-29 years, male 116.0
GTEX-YECK-2826-SM-5IFHF 60-69 years, male 115.4
GTEX-1JMLX-2526-SM-CY8HX 50-59 years, male 115.0
GTEX-1GN73-2726-SM-9WYUB 60-69 years, male 114.9
GTEX-14DAQ-2926-SM-664MV 60-69 years, female 114.8
GTEX-139D8-2926-SM-5IJBM 30-39 years, female 114.7
GTEX-YFCO-1526-SM-5YYB8 40-49 years, male 114.6
GTEX-13OW8-2726-SM-5L3FZ 60-69 years, male 114.3
GTEX-14A5I-2426-SM-5Q5CP 50-59 years, female 114.2
GTEX-1JJEA-2526-SM-CY8HJ 60-69 years, male 114.0
GTEX-1LVAN-2626-SM-CNPQF 50-59 years, female 113.9
GTEX-1RQEC-2626-SM-EVR3Z 60-69 years, male 113.7
GTEX-17F96-2126-SM-7KFSM 70-79 years, male 113.5
GTEX-ZF2S-1826-SM-4WKFF 50-59 years, female 112.9
GTEX-1A3MX-2326-SM-718B4 60-69 years, male 112.7
GTEX-1GPI7-1926-SM-9KNUH 20-29 years, male 112.6
GTEX-1F75W-2126-SM-7RHIA 60-69 years, male 112.5
GTEX-1QP28-2226-SM-DTX8C 50-59 years, female 112.5
GTEX-13U4I-2626-SM-5SI9C 40-49 years, female 112.4
GTEX-15G19-2726-SM-6LPKG 60-69 years, male 112.4
GTEX-18A6Q-2226-SM-7LG61 60-69 years, male 112.3
GTEX-1N2EF-1726-SM-EXUSI 60-69 years, male 112.1
GTEX-11ZTS-1526-SM-5N9G7 60-69 years, female 111.9
GTEX-1QP29-2526-SM-E6CQ3 50-59 years, male 111.3
GTEX-1LB8K-2526-SM-DIPEQ 50-59 years, male 111.0
GTEX-ZAJG-2626-SM-5S2NU 50-59 years, female 110.8
GTEX-1CB4F-1926-SM-7MKFN 60-69 years, male 110.7
GTEX-1HSEH-1926-SM-A96SB 60-69 years, male 110.6
GTEX-1KANA-1726-SM-CY8IG 20-29 years, male 110.6
GTEX-14JG6-1626-SM-5YYBC 30-39 years, female 110.5
GTEX-13G51-2126-SM-5IJD9 60-69 years, male 110.3
GTEX-1JKYR-2026-SM-CNPON 20-29 years, male 110.3
GTEX-1S5ZA-1426-SM-E6CJQ 20-29 years, male 109.8
GTEX-1N2DV-1826-SM-E6CJ5 40-49 years, male 109.7
GTEX-1HSKV-2326-SM-A9SL9 60-69 years, male 109.0
GTEX-1IDJI-2226-SM-CKZPM 50-59 years, female 109.0
GTEX-1B8KE-1526-SM-7DUG2 50-59 years, male 108.9
GTEX-1GMR2-1826-SM-9KNUP 50-59 years, male 108.4
GTEX-145LT-0826-SM-5S2QL 40-49 years, male 107.9
GTEX-ZC5H-2426-SM-4WAZ6 40-49 years, female 107.9
GTEX-11GS4-1826-SM-5HL4T 60-69 years, male 107.8
GTEX-117XS-2226-SM-5GIE1 60-69 years, male 107.7
GTEX-17HGU-2626-SM-79OKN 50-59 years, male 107.7
GTEX-11ONC-1926-SM-5GU75 60-69 years, male 107.3
GTEX-1212Z-1826-SM-5FQSH 60-69 years, male 106.3
GTEX-1477Z-2126-SM-5Q5CM 60-69 years, male 106.2
GTEX-13OW5-2826-SM-5KM1G 60-69 years, male 106.0
GTEX-1B8L1-1926-SM-7IGND 60-69 years, male 105.8
GTEX-12WSL-1826-SM-5LZW9 50-59 years, male 105.7
GTEX-14PKV-1926-SM-686YU 20-29 years, female 105.6
GTEX-13X6K-2726-SM-5O9DG 60-69 years, female 104.6
GTEX-139TS-2226-SM-5J2N1 60-69 years, male 104.5
GTEX-ZTTD-2626-SM-57WEX 50-59 years, male 104.3
GTEX-1A3MV-1026-SM-72D5U 30-39 years, male 103.8
GTEX-1LSNM-1426-SM-E6CIH 50-59 years, male 103.7
GTEX-16MTA-1626-SM-6M47N 50-59 years, male 103.5
GTEX-1R7EU-1826-SM-DTX9L 60-69 years, male 102.6
GTEX-XQ8I-2326-SM-4BOQC 50-59 years, male 102.3
GTEX-147GR-2826-SM-5RQK8 60-69 years, male 101.9
GTEX-13N2G-2226-SM-5IJCU 60-69 years, male 101.8
GTEX-1J8JJ-2426-SM-D4P4A 60-69 years, female 101.6
GTEX-1LVAO-2826-SM-E9TJH 60-69 years, male 101.3
GTEX-11I78-1326-SM-5PNY9 50-59 years, female 100.8
GTEX-1J8Q3-2426-SM-CL53S 60-69 years, male 100.4
GTEX-1IDJH-2826-SM-CJI49 70-79 years, male 100.3
GTEX-1L5NE-1926-SM-D3L9R 50-59 years, male 100.3
GTEX-15CHQ-2626-SM-686YZ 60-69 years, male 100.1
GTEX-14BIN-2426-SM-5TDCF 50-59 years, female 99.9
GTEX-16BQI-2026-SM-7KULQ 30-39 years, female 99.4
GTEX-XUW1-1826-SM-4BOQD 50-59 years, female 98.9
GTEX-1QCLZ-2026-SM-EAZ4A 60-69 years, female 98.3
GTEX-1HCU7-2726-SM-A9G3D 50-59 years, male 98.0
GTEX-1GMRU-2626-SM-9WPPM 50-59 years, male 96.4
GTEX-ZVT4-2626-SM-5N9GJ 50-59 years, female 96.3
GTEX-YJ8O-1426-SM-5PNV9 40-49 years, female 95.8
GTEX-1HCU6-2926-SM-B2LWV 60-69 years, female 95.8
GTEX-1HBPI-2226-SM-9WYTY 50-59 years, male 95.6
GTEX-ZG7Y-1826-SM-4WWD3 50-59 years, male 95.3
GTEX-1BAJH-2726-SM-7IGNJ 70-79 years, male 95.1
GTEX-13O1R-2426-SM-5KLZZ 60-69 years, male 94.4
GTEX-15ER7-2826-SM-6PAN2 20-29 years, female 94.4
GTEX-18465-2726-SM-7LT9I 50-59 years, male 94.0
GTEX-V955-1726-SM-4JBHF 60-69 years, male 93.7
GTEX-11EMC-1426-SM-5N9E4 60-69 years, female 93.5
GTEX-Z93S-2626-SM-57WBX 50-59 years, male 93.2
GTEX-1K9T9-2926-SM-E9TKD 50-59 years, female 92.8
GTEX-YJ8A-1726-SM-5P9IQ 20-29 years, male 90.2
GTEX-1PBJI-2526-SM-E6CP4 20-29 years, female 90.1
GTEX-WHSE-2726-SM-EZ6ML 20-29 years, male 89.7
GTEX-1GF9X-1426-SM-7RHGX 40-49 years, female 89.4
GTEX-13PL7-2426-SM-5J2N3 60-69 years, female 88.3
GTEX-1A32A-2626-SM-73KX9 50-59 years, female 87.8
GTEX-14A5H-1626-SM-5SIAN 60-69 years, male 87.6
GTEX-17HG3-1126-SM-7DUFC 30-39 years, female 87.5
GTEX-14E6C-2226-SM-5QGQG 40-49 years, male 86.4
GTEX-Y9LG-1326-SM-4VBQB 30-39 years, male 85.3
GTEX-ZYT6-2826-SM-5GICX 30-39 years, male 84.1
GTEX-11TUW-2326-SM-5EQMO 60-69 years, male 84.0
GTEX-ZVT3-2826-SM-5GU6A 60-69 years, female 84.0
GTEX-14C5O-2626-SM-5RQI5 60-69 years, male 83.1
GTEX-1QCLY-2026-SM-EVR4C 30-39 years, male 83.0
GTEX-1RAZQ-2026-SM-E76P7 30-39 years, male 82.7
GTEX-XAJ8-0726-SM-47JY5 40-49 years, male 82.4
GTEX-12ZZY-2726-SM-5EQ45 60-69 years, male 81.7
GTEX-13CF2-1826-SM-5N9GK 60-69 years, male 79.5
GTEX-1JJE9-2526-SM-ARU8K 70-79 years, male 79.1
GTEX-15RJE-2226-SM-6M46A 40-49 years, male 78.1
GTEX-13X6J-2826-SM-7EPGA 50-59 years, male 77.5
GTEX-13PVQ-2726-SM-5L3H7 50-59 years, male 76.9
GTEX-12WSM-1426-SM-5GCPA 60-69 years, male 75.4
GTEX-145MH-2726-SM-5QGQ6 50-59 years, male 75.4
GTEX-ZE7O-2626-SM-51MSS 50-59 years, female 75.2
GTEX-1HCVE-2326-SM-9WYUD 50-59 years, male 74.3
GTEX-X4EO-2726-SM-4E3HS 60-69 years, female 73.7
GTEX-13OW6-2226-SM-5N9FL 50-59 years, male 73.1
GTEX-1HBPH-2526-SM-ACKXK 40-49 years, female 73.1
GTEX-1C64N-2226-SM-7SB7C 50-59 years, male 72.3
GTEX-12ZZX-2726-SM-5N9FT 40-49 years, female 72.0
GTEX-ZYFD-2226-SM-5E43P 50-59 years, male 68.3
GTEX-1J8EW-2426-SM-CE6T5 60-69 years, female 68.3
GTEX-11DXY-2026-SM-5N9CZ 60-69 years, male 67.0
GTEX-XXEK-1826-SM-4BRVC 50-59 years, male 67.0
GTEX-1PIIG-2126-SM-EXUSD 30-39 years, male 64.4
GTEX-ZVZQ-2626-SM-59HLB 60-69 years, female 62.6
GTEX-1JN6P-2126-SM-ARL98 60-69 years, male 43.5
Show allShow less
Colon - Transverse
Average nTPM: 289.5
Samples: 406

Max nTPM: 989.9
Min nTPM: 70.2
Std nTPM: 182.5
Median nTPM: 230.6
GTEX-14E6E-1526-SM-5RQIG 30-39 years, male 989.9
GTEX-1122O-1526-SM-5N9CL 60-69 years, female 934.8
GTEX-14XAO-2026-SM-69LOI 60-69 years, female 899.3
GTEX-1JKYN-2326-SM-CGQG7 30-39 years, male 866.5
GTEX-ZVT2-1926-SM-5GU5T 50-59 years, female 859.0
GTEX-1K2DA-2026-SM-CGQGK 50-59 years, male 857.6
GTEX-ZLWG-1726-SM-DNZZ2 50-59 years, female 812.2
GTEX-UJHI-1126-SM-4IHLN 50-59 years, female 783.6
GTEX-1CAMR-0926-SM-7MXTD 20-29 years, male 779.1
GTEX-Q2AH-1226-SM-48TZL 40-49 years, male 748.9
GTEX-15RIF-1326-SM-6LPKO 20-29 years, male 739.8
GTEX-Y5LM-1526-SM-4VDTA 40-49 years, female 709.9
GTEX-ZV7C-1526-SM-5NQ72 50-59 years, male 706.9
GTEX-YB5E-1626-SM-5IFIQ 40-49 years, male 706.6
GTEX-131XG-1826-SM-5LZV4 50-59 years, female 706.1
GTEX-11EM3-1526-SM-5A5KN 20-29 years, female 698.8
GTEX-WFON-1426-SM-4LVMT 40-49 years, male 681.2
GTEX-1H11D-2626-SM-9JGH4 40-49 years, male 671.4
GTEX-WOFM-2026-SM-4OOSQ 20-29 years, male 669.4
GTEX-1LG7Z-1426-SM-CXKYV 30-39 years, male 669.3
GTEX-13FTW-1826-SM-5IJEN 40-49 years, male 662.6
GTEX-11DXX-1826-SM-5H126 60-69 years, female 658.6
GTEX-R55G-1226-SM-48FDC 40-49 years, female 658.6
GTEX-1H1E6-1926-SM-9OSWD 30-39 years, male 633.4
GTEX-ZDYS-2326-SM-4WKG6 50-59 years, male 632.4
GTEX-ZT9W-1826-SM-51MQX 50-59 years, male 630.2
GTEX-1KANC-0926-SM-D3LA9 50-59 years, female 626.6
GTEX-14PKV-2126-SM-664O3 20-29 years, female 621.5
GTEX-1N2DV-1426-SM-DPRYQ 40-49 years, male 616.5
GTEX-13D11-0826-SM-5KLZJ 50-59 years, female 614.6
GTEX-1LVAM-1626-SM-EV79Y 50-59 years, female 614.1
GTEX-1AMFI-1726-SM-7189L 50-59 years, female 612.5
GTEX-ZDTT-1926-SM-5HL5W 60-69 years, male 611.9
GTEX-1C475-1626-SM-731FP 40-49 years, female 600.2
GTEX-1I4MK-1126-SM-B2LWS 50-59 years, female 598.3
GTEX-1399S-1926-SM-5J2M5 30-39 years, female 590.8
GTEX-U3ZN-2126-SM-4DXU1 30-39 years, female 589.8
GTEX-12BJ1-2126-SM-5BC5O 60-69 years, male 574.7
GTEX-14PHX-1526-SM-68717 50-59 years, male 563.1
GTEX-1399U-1926-SM-5IFH7 50-59 years, female 549.7
GTEX-1KANA-1926-SM-DHXKF 20-29 years, male 548.4
GTEX-1399R-2226-SM-5P9JB 30-39 years, male 542.1
GTEX-ZLV1-1226-SM-4WWBX 60-69 years, female 540.2
GTEX-11P7K-1526-SM-5EGI7 30-39 years, male 534.8
GTEX-1B8KE-1926-SM-731EE 50-59 years, male 533.4
GTEX-14DAR-1526-SM-5RQIX 50-59 years, male 531.4
GTEX-1F5PK-1926-SM-7MXT7 50-59 years, male 529.3
GTEX-117YW-1826-SM-5PNY5 50-59 years, male 527.9
GTEX-145MN-1726-SM-5SIA6 30-39 years, male 525.5
GTEX-111CU-1426-SM-5GZYP 50-59 years, male 524.6
GTEX-1J1R8-1126-SM-CNPQ3 40-49 years, male 523.8
GTEX-QLQW-0426-SM-447A7 30-39 years, male 521.2
GTEX-14JIY-3326-SM-6871E 60-69 years, male 515.9
GTEX-14PK6-1726-SM-6871J 70-79 years, female 508.0
GTEX-XUZC-1326-SM-4BRV2 30-39 years, female 507.8
GTEX-OHPM-1426-SM-3TW8Y 50-59 years, male 502.7
GTEX-1IDJU-2026-SM-A9SLM 60-69 years, female 502.4
GTEX-13PL7-2526-SM-5IFGR 60-69 years, female 494.5
GTEX-144GM-1226-SM-5LU52 20-29 years, male 493.6
GTEX-16AAH-1326-SM-7KFRG 50-59 years, male 491.9
GTEX-Q2AI-0926-SM-48U1F 40-49 years, male 490.4
GTEX-ZTSS-1126-SM-5985O 40-49 years, male 489.7
GTEX-PLZ6-0926-SM-3P5ZQ 30-39 years, male 489.3
GTEX-1IOXB-2626-SM-CJI2N 50-59 years, male 483.9
GTEX-ZPIC-2226-SM-57WDX 40-49 years, female 479.3
GTEX-13X6H-1926-SM-7EWD3 50-59 years, female 478.4
GTEX-13O21-2426-SM-5MR4A 50-59 years, male 471.3
GTEX-OIZF-1426-SM-2HML2 60-69 years, male 465.8
GTEX-S4UY-0826-SM-4AD4Z 40-49 years, female 458.9
GTEX-P4PP-1426-SM-3NM9L 30-39 years, female 452.3
GTEX-132AR-2726-SM-5PNVN 50-59 years, female 451.9
GTEX-1F5PL-2126-SM-7PC2O 40-49 years, female 451.9
GTEX-1JN76-1226-SM-C1YRM 20-29 years, female 450.0
GTEX-Q734-1126-SM-48TZY 40-49 years, female 446.9
GTEX-139T6-1326-SM-5IFFO 50-59 years, male 441.0
GTEX-SNOS-1226-SM-4DM5H 40-49 years, male 437.6
GTEX-W5WG-2426-SM-4LMI6 50-59 years, female 434.9
GTEX-QV31-0826-SM-CKZNC 30-39 years, male 434.1
GTEX-14PJ4-1926-SM-6LLHG 60-69 years, male 431.9
GTEX-WHWD-1226-SM-4OOS1 50-59 years, male 431.5
GTEX-14BMU-1526-SM-5TDE6 20-29 years, female 430.2
GTEX-11I78-1226-SM-5A5K6 50-59 years, female 427.7
GTEX-11P82-1026-SM-5BC5J 20-29 years, male 427.1
GTEX-1S83E-1626-SM-EV7B9 40-49 years, male 425.5
GTEX-1MA7W-0626-SM-EV79Z 20-29 years, female 423.7
GTEX-11DXZ-1726-SM-5H12M 50-59 years, male 422.5
GTEX-ZEX8-1926-SM-4WKFR 50-59 years, male 422.5
GTEX-1RAZA-1726-SM-DPS13 20-29 years, male 421.6
GTEX-R55D-1826-SM-48FEF 50-59 years, male 416.7
GTEX-P4QT-1426-SM-3NMCX 50-59 years, female 415.6
GTEX-1QPFJ-2326-SM-E6CR7 30-39 years, female 414.6
GTEX-RM2N-0926-SM-48FD1 50-59 years, male 414.1
GTEX-ZG7Y-2126-SM-DO117 50-59 years, male 413.3
GTEX-UJMC-1326-SM-4IHLS 50-59 years, male 408.5
GTEX-1QP9N-1026-SM-E6CPX 30-39 years, male 406.3
GTEX-Y9LG-1526-SM-4WWDR 30-39 years, male 405.5
GTEX-QCQG-1626-SM-48U26 50-59 years, female 403.1
GTEX-144GN-1126-SM-5LU33 50-59 years, male 400.4
GTEX-1QP67-1326-SM-EAZ4D 40-49 years, female 399.3
GTEX-15G1A-1826-SM-7KUKO 30-39 years, male 397.0
GTEX-1PFEY-1426-SM-E9U6U 30-39 years, male 396.4
GTEX-ZXES-1626-SM-5NQ7L 30-39 years, female 393.9
GTEX-WFG7-1526-SM-4LVMG 20-29 years, male 393.1
GTEX-1R7EU-1926-SM-E9U62 60-69 years, male 393.1
GTEX-PWN1-1426-SM-48TDF 40-49 years, female 386.8
GTEX-ZPCL-1826-SM-57WF1 60-69 years, female 386.4
GTEX-T5JW-1126-SM-4DM5V 20-29 years, female 385.0
GTEX-ZF2S-1926-SM-4WWAN 50-59 years, female 384.7
GTEX-PLZ5-1126-SM-3P613 50-59 years, male 380.7
GTEX-U4B1-1126-SM-4DXV3 40-49 years, male 378.0
GTEX-ZVP2-1526-SM-5NQ82 50-59 years, male 377.6
GTEX-13QBU-1826-SM-5IJG3 40-49 years, female 375.2
GTEX-XBED-1526-SM-4AT5W 60-69 years, male 373.9
GTEX-1211K-1726-SM-5FQUJ 60-69 years, female 373.0
GTEX-1S3DN-1826-SM-EV79K 50-59 years, male 372.5
GTEX-139YR-2126-SM-5KM11 50-59 years, male 367.9
GTEX-13PVR-1626-SM-73KVF 60-69 years, female 367.6
GTEX-15CHR-1426-SM-7DUGV 50-59 years, male 367.3
GTEX-12C56-0626-SM-5EGGC 20-29 years, male 362.7
GTEX-13111-0726-SM-5DUVE 50-59 years, male 360.3
GTEX-145LT-0926-SM-5LU9C 40-49 years, male 360.1
GTEX-XMK1-1726-SM-4B64Z 40-49 years, male 359.5
GTEX-ZY6K-1226-SM-5GZYL 50-59 years, male 358.3
GTEX-14ICK-1026-SM-6AJA4 40-49 years, male 355.7
GTEX-TML8-1326-SM-4DXTO 40-49 years, female 352.4
GTEX-178AV-1326-SM-6LPJX 40-49 years, male 351.0
GTEX-147F3-1926-SM-5SIB9 50-59 years, female 344.5
GTEX-XPVG-1826-SM-4B64X 50-59 years, male 341.7
GTEX-1HCU9-1326-SM-B2LXT 20-29 years, male 340.3
GTEX-18D9A-1126-SM-7KFRJ 30-39 years, female 338.1
GTEX-11VI4-1526-SM-5EQKC 40-49 years, female 337.3
GTEX-ZPU1-1926-SM-57WDT 40-49 years, male 333.9
GTEX-QMRM-1226-SM-447C6 50-59 years, male 331.6
GTEX-OIZH-1426-SM-3NB1O 50-59 years, male 330.5
GTEX-1IKOE-2026-SM-AHZ31 30-39 years, female 327.0
GTEX-1RAZR-1926-SM-E6CRF 40-49 years, male 326.5
GTEX-ZP4G-1726-SM-4WWCM 20-29 years, female 325.2
GTEX-1CAMS-2526-SM-7EPH7 40-49 years, female 324.8
GTEX-17KNJ-1726-SM-7LG6A 50-59 years, male 324.4
GTEX-133LE-1526-SM-5IFEN 20-29 years, female 324.1
GTEX-1LGRB-1426-SM-CNNPT 50-59 years, female 321.9
GTEX-R55C-1126-SM-48FCJ 40-49 years, male 320.3
GTEX-TKQ2-1326-SM-4DXT9 50-59 years, male 318.9
GTEX-1QCLZ-1926-SM-E6CR3 60-69 years, female 318.2
GTEX-11TT1-1026-SM-5PNW7 20-29 years, male 317.2
GTEX-O5YT-1426-SM-3MJHC 20-29 years, male 316.4
GTEX-YF7O-1726-SM-5IFJ9 50-59 years, male 314.9
GTEX-1KXAM-2126-SM-CY8I9 60-69 years, male 313.3
GTEX-17F98-1026-SM-7IGO8 40-49 years, female 308.6
GTEX-1B932-2826-SM-73KUD 40-49 years, female 307.3
GTEX-S7SF-1926-SM-4AT5B 20-29 years, female 301.6
GTEX-U3ZM-1126-SM-4DXUB 40-49 years, male 298.6
GTEX-1JKYR-1926-SM-C1YR7 20-29 years, male 294.1
GTEX-1H3VY-2426-SM-9WPPD 50-59 years, male 292.0
GTEX-13W3W-2126-SM-5K7UX 60-69 years, female 291.4
GTEX-SE5C-1526-SM-4BRWU 40-49 years, female 290.6
GTEX-S4Q7-0826-SM-4AD5E 20-29 years, male 288.4
GTEX-QDVN-1326-SM-48TZ3 50-59 years, male 288.0
GTEX-OXRK-1726-SM-3NB16 50-59 years, female 287.7
GTEX-1MGNQ-2026-SM-EAZ51 40-49 years, male 287.1
GTEX-X15G-1326-SM-4PQZJ 50-59 years, female 286.9
GTEX-15RIE-1826-SM-6M48P 60-69 years, male 283.9
GTEX-18A66-2426-SM-7KFSQ 60-69 years, male 283.6
GTEX-1QCLY-1726-SM-DPRXY 30-39 years, male 283.2
GTEX-1B8KZ-1326-SM-7DUG6 50-59 years, male 282.8
GTEX-ZZ64-0726-SM-5GZX4 20-29 years, male 282.8
GTEX-1HSEH-1726-SM-B2LXH 60-69 years, male 281.6
GTEX-WH7G-1326-SM-4LVMS 40-49 years, male 280.9
GTEX-1339X-1626-SM-5IJDN 40-49 years, male 280.7
GTEX-147GR-2726-SM-664OO 60-69 years, male 279.0
GTEX-17HHE-1826-SM-79OKE 50-59 years, male 278.8
GTEX-1IDJD-2226-SM-A96TD 30-39 years, male 276.2
GTEX-S3XE-1126-SM-4AD4N 50-59 years, male 273.9
GTEX-1AYCT-1826-SM-731EG 50-59 years, male 273.1
GTEX-1F75I-2426-SM-9WPOY 40-49 years, male 272.8
GTEX-14JG6-1726-SM-69LPL 30-39 years, female 272.5
GTEX-1LGOU-1626-SM-D3LAK 20-29 years, female 271.6
GTEX-ZGAY-2126-SM-4YCFB 40-49 years, female 266.6
GTEX-14E1K-1826-SM-793DT 50-59 years, male 265.3
GTEX-1C4CL-2126-SM-7IGQC 30-39 years, male 265.3
GTEX-13S86-1626-SM-5Q5C5 40-49 years, male 265.2
GTEX-13OVJ-1726-SM-5IJDZ 50-59 years, female 263.9
GTEX-12WSJ-1526-SM-5GCNI 40-49 years, female 263.1
GTEX-131XE-0826-SM-5HL9W 50-59 years, male 260.7
GTEX-1PIEJ-2026-SM-E6CPA 20-29 years, female 260.1
GTEX-PWCY-1026-SM-48TD4 20-29 years, female 253.1
GTEX-YEC3-2426-SM-DO11A 50-59 years, male 251.3
GTEX-1L5NE-2026-SM-CXZKR 50-59 years, male 250.3
GTEX-139TS-1926-SM-5IJFO 60-69 years, male 250.2
GTEX-1R9K5-2126-SM-E8VN1 50-59 years, male 250.1
GTEX-15SB6-1226-SM-7KUMP 50-59 years, female 245.8
GTEX-1JMPY-0426-SM-C1YQ3 30-39 years, male 245.7
GTEX-O5YW-1426-SM-3MJHF 50-59 years, male 244.6
GTEX-R53T-1326-SM-48FCQ 50-59 years, female 244.3
GTEX-OOBJ-1426-SM-E6CHH 60-69 years, male 240.7
GTEX-Y3IK-1826-SM-4WWDS 50-59 years, female 237.5
GTEX-XGQ4-1226-SM-4AT67 50-59 years, male 233.6
GTEX-1HKZK-2126-SM-A9SL3 40-49 years, male 233.4
GTEX-1R9JW-2026-SM-EAZ4O 30-39 years, female 233.3
GTEX-XV7Q-2126-SM-4BRVX 40-49 years, female 232.1
GTEX-146FQ-1926-SM-5NQBY 30-39 years, male 231.7
GTEX-WYJK-2226-SM-4ONDJ 50-59 years, male 231.7
GTEX-XQ8I-2126-SM-4BOOM 50-59 years, male 231.2
GTEX-17EUY-1826-SM-7DUEZ 20-29 years, male 229.9
GTEX-17HGU-2426-SM-7EWDP 50-59 years, male 229.9
GTEX-1PPH8-2026-SM-DTX7P 20-29 years, male 228.8
GTEX-18D9U-1926-SM-7KFTM 40-49 years, male 228.7
GTEX-X3Y1-1726-SM-4PQZL 40-49 years, male 228.6
GTEX-1JJ6O-2426-SM-ARU8J 60-69 years, male 225.5
GTEX-1PIGE-1426-SM-E9U61 20-29 years, male 225.0
GTEX-PX3G-1426-SM-48U1J 20-29 years, female 224.4
GTEX-1NHNU-2326-SM-E6CQE 50-59 years, male 223.8
GTEX-1JK1U-1526-SM-AHZ46 60-69 years, male 222.9
GTEX-Y8E4-2426-SM-4WWDN 40-49 years, male 222.2
GTEX-11NSD-1626-SM-5986U 20-29 years, male 221.4
GTEX-11LCK-2026-SM-5A5MA 30-39 years, male 218.8
GTEX-117YX-0826-SM-5H11J 50-59 years, male 213.7
GTEX-WHSB-0926-SM-4M1XJ 50-59 years, male 212.7
GTEX-QEL4-1926-SM-D3L8D 50-59 years, male 212.4
GTEX-S4P3-1226-SM-4AD4Y 50-59 years, female 211.6
GTEX-145ME-0826-SM-5O9AF 40-49 years, female 210.9
GTEX-13VXT-2426-SM-5LU46 20-29 years, female 210.6
GTEX-1NSGN-2326-SM-E9U5X 50-59 years, male 209.9
GTEX-15UF6-2626-SM-6M466 70-79 years, female 207.9
GTEX-QDVJ-1326-SM-48U1X 50-59 years, male 207.9
GTEX-ZV6S-1226-SM-59HLH 40-49 years, female 206.9
GTEX-1OKEX-1226-SM-DTXEC 60-69 years, male 206.9
GTEX-11EQ9-1426-SM-5987G 30-39 years, male 202.5
GTEX-16XZZ-2626-SM-6M47S 60-69 years, male 201.4
GTEX-1AX8Z-2726-SM-73KUC 60-69 years, male 200.6
GTEX-1HSMP-2326-SM-D3L8R 70-79 years, male 200.4
GTEX-1PWST-2426-SM-EWRMP 70-79 years, male 200.0
GTEX-15DCE-2026-SM-7KUFE 20-29 years, male 196.6
GTEX-13OVG-1426-SM-5K7VP 60-69 years, male 196.4
GTEX-11TTK-2426-SM-5PNYO 60-69 years, female 196.0
GTEX-1HSMQ-2726-SM-C1YRE 50-59 years, male 194.9
GTEX-1GF9X-1526-SM-7P8QP 40-49 years, female 194.7
GTEX-13O3P-2326-SM-5KM55 50-59 years, male 194.6
GTEX-14PJ3-0926-SM-69LQG 50-59 years, male 193.4
GTEX-1RMOY-1626-SM-EVYC8 50-59 years, male 193.4
GTEX-1HFI7-1726-SM-A9G22 50-59 years, female 192.9
GTEX-R45C-2126-SM-EZ6KZ 60-69 years, female 192.5
GTEX-1QW4Y-1326-SM-EWRMZ 30-39 years, male 189.8
GTEX-ZF29-1726-SM-4WKFV 60-69 years, female 189.7
GTEX-WYVS-1826-SM-4OND6 40-49 years, female 189.1
GTEX-VJYA-2026-SM-4KL1K 60-69 years, male 185.0
GTEX-13QJ3-2626-SM-9OSXQ 50-59 years, male 183.7
GTEX-148VJ-2626-SM-5QGPI 70-79 years, male 181.4
GTEX-XUW1-1926-SM-4BOP1 50-59 years, female 180.6
GTEX-1NV5F-2226-SM-DTX8O 60-69 years, female 179.8
GTEX-QLQ7-1126-SM-CYPRB 60-69 years, male 177.4
GTEX-1GMR2-1726-SM-9JGI2 50-59 years, male 175.2
GTEX-ZYFG-1926-SM-5GID5 60-69 years, female 173.7
GTEX-1I1GT-1926-SM-ARU7D 60-69 years, female 172.6
GTEX-1C6VQ-2726-SM-73KUL 50-59 years, male 171.7
GTEX-1GF9U-1526-SM-7MXUW 40-49 years, female 171.6
GTEX-13OVI-2026-SM-5J1MU 60-69 years, female 170.8
GTEX-RU1J-1326-SM-46MUL 20-29 years, female 170.7
GTEX-1J1OQ-2726-SM-AHZ3R 40-49 years, female 170.6
GTEX-XBEW-1926-SM-4SOJO 40-49 years, male 170.3
GTEX-16NGA-1026-SM-7KFS3 40-49 years, female 169.3
GTEX-14PJM-2626-SM-686ZD 50-59 years, female 169.2
GTEX-1LSVX-1726-SM-DHXJP 60-69 years, male 168.6
GTEX-1AMEY-1926-SM-73KVT 30-39 years, female 166.3
GTEX-1JN1M-2626-SM-CY8I3 60-69 years, female 166.1
GTEX-WQUQ-2526-SM-4MVNO 60-69 years, male 166.0
GTEX-11P81-1126-SM-5GU5G 30-39 years, female 165.1
GTEX-1AYD5-1726-SM-7RHFW 50-59 years, male 165.1
GTEX-17EVQ-1826-SM-7IGPH 70-79 years, male 164.4
GTEX-145LS-2726-SM-5Q5D8 60-69 years, female 163.4
GTEX-1HSGN-2626-SM-CE6S1 40-49 years, female 162.9
GTEX-1H1DE-1526-SM-ARL9B 20-29 years, male 161.6
GTEX-1GMR3-2826-SM-9WPOG 40-49 years, male 161.1
GTEX-OXRO-0726-SM-E9U4C 60-69 years, female 160.2
GTEX-1I6K6-1826-SM-B2LX5 30-39 years, male 159.8
GTEX-U3ZH-1326-SM-4DXSF 30-39 years, male 159.5
GTEX-1IDJC-1326-SM-CL53H 50-59 years, male 157.1
GTEX-1RDX4-1826-SM-EVR54 50-59 years, female 157.1
GTEX-13OW5-2626-SM-5MR3M 60-69 years, male 155.9
GTEX-14H4A-1926-SM-5ZZWN 40-49 years, female 155.3
GTEX-11O72-2226-SM-5PNW2 40-49 years, male 152.7
GTEX-SNMC-1126-SM-4DM5M 20-29 years, male 151.8
GTEX-1GPI7-1726-SM-7P8R1 20-29 years, male 151.8
GTEX-1GL5R-2426-SM-7MXV1 50-59 years, male 151.6
GTEX-1MCC2-1626-SM-DIPEW 30-39 years, female 150.6
GTEX-XAJ8-0426-SM-47JYJ 40-49 years, male 150.0
GTEX-11ONC-2026-SM-5HL61 60-69 years, male 149.4
GTEX-15DYW-2326-SM-6PAMU 60-69 years, female 149.3
GTEX-1128S-1626-SM-5H12O 60-69 years, female 149.1
GTEX-1JMPZ-2426-SM-C1YQP 30-39 years, male 148.7
GTEX-12WSL-1626-SM-5GCMU 50-59 years, male 148.2
GTEX-S341-1426-SM-4AD6U 40-49 years, female 147.8
GTEX-1IGQW-2326-SM-CE6RV 60-69 years, male 147.3
GTEX-17JCI-2626-SM-7EWE6 60-69 years, female 146.9
GTEX-1EMGI-2726-SM-7P8S4 60-69 years, male 146.6
GTEX-XYKS-2226-SM-4E3IU 60-69 years, female 146.1
GTEX-1C64O-2326-SM-73KU8 60-69 years, male 145.9
GTEX-16MT8-2726-SM-7IGLJ 60-69 years, female 144.9
GTEX-WY7C-1626-SM-4ONC8 50-59 years, male 144.6
GTEX-13O3O-2526-SM-5L3DR 60-69 years, female 144.3
GTEX-145MO-2426-SM-5NQ9W 60-69 years, male 144.1
GTEX-OXRL-1426-SM-3NM9E 50-59 years, male 143.3
GTEX-OHPN-2026-SM-E9TIA 60-69 years, female 143.3
GTEX-1QMI2-2626-SM-E6CR4 60-69 years, male 142.9
GTEX-13OVK-0826-SM-7KULZ 40-49 years, male 142.8
GTEX-147JS-2526-SM-5S2Q8 60-69 years, male 142.8
GTEX-TKQ1-0626-SM-4DXTS 30-39 years, male 142.4
GTEX-WEY5-1426-SM-4LMJ3 40-49 years, female 142.3
GTEX-1LBAC-1626-SM-CXZKV 20-29 years, male 142.3
GTEX-15ER7-2926-SM-7KUFK 20-29 years, female 141.8
GTEX-111YS-1626-SM-5GZZ9 60-69 years, male 141.4
GTEX-1K9T9-2826-SM-D4P3F 50-59 years, female 141.2
GTEX-1S5VW-2926-SM-E9U6H 60-69 years, male 141.2
GTEX-Y8LW-1226-SM-4WWDP 50-59 years, female 140.8
GTEX-17F9E-1826-SM-7IGMC 50-59 years, male 140.7
GTEX-13O61-1626-SM-5KM3T 60-69 years, male 140.2
GTEX-1S82U-0726-SM-E9TKI 30-39 years, female 139.9
GTEX-T6MO-0826-SM-4DM51 40-49 years, female 139.8
GTEX-V955-1626-SM-4JBHJ 60-69 years, male 139.7
GTEX-14BMV-2426-SM-5S2PP 50-59 years, male 138.7
GTEX-18QFQ-1526-SM-72D57 30-39 years, male 137.8
GTEX-WVJS-2426-SM-EZ6LI 50-59 years, male 137.1
GTEX-1HCU7-2626-SM-C1YQO 50-59 years, male 136.2
GTEX-1R9PM-1526-SM-DPRY8 20-29 years, male 135.3
GTEX-1LH75-2126-SM-EVR5F 50-59 years, female 134.5
GTEX-1JJE9-2426-SM-D3L8T 70-79 years, male 134.3
GTEX-14DAQ-2726-SM-5S2QY 60-69 years, female 133.8
GTEX-OXRN-2026-SM-E6CHK 50-59 years, male 133.2
GTEX-1IDJF-1826-SM-CKZOE 20-29 years, male 132.7
GTEX-Y114-1526-SM-4TT79 50-59 years, female 132.6
GTEX-ZAB4-2226-SM-5HL97 40-49 years, male 132.5
GTEX-1A3MV-1126-SM-718BS 30-39 years, male 132.3
GTEX-12ZZZ-2426-SM-5GCNN 60-69 years, male 131.7
GTEX-18A7A-2226-SM-7LT8K 50-59 years, female 131.4
GTEX-Y3I4-1426-SM-4TT9C 50-59 years, male 131.3
GTEX-13U4I-2426-SM-5LU34 40-49 years, female 131.1
GTEX-1IKK5-2726-SM-CNPQ6 60-69 years, male 130.4
GTEX-15CHC-1626-SM-5ZZWS 60-69 years, female 130.0
GTEX-1MUQO-2626-SM-EWRO3 60-69 years, male 129.7
GTEX-111VG-2226-SM-5N9DU 60-69 years, male 129.6
GTEX-1GZ4H-1226-SM-9KNUA 50-59 years, female 128.1
GTEX-18D9B-2526-SM-718BN 60-69 years, male 127.9
GTEX-PSDG-1826-SM-EAZ2S 50-59 years, male 126.2
GTEX-1MJK3-0926-SM-EV7AY 20-29 years, male 125.8
GTEX-1E2YA-2626-SM-7MGWW 50-59 years, male 123.7
GTEX-15SHU-2526-SM-6M47D 40-49 years, female 122.3
GTEX-1N2EF-1926-SM-DTX8M 60-69 years, male 121.5
GTEX-1CB4F-2026-SM-79OLU 60-69 years, male 121.1
GTEX-11GSP-1626-SM-5986N 60-69 years, female 120.8
GTEX-1BAJH-2326-SM-7IGMO 70-79 years, male 120.5
GTEX-15DZA-0926-SM-69LQ3 30-39 years, female 120.2
GTEX-SJXC-2226-SM-EVYAK 60-69 years, male 119.8
GTEX-17F96-2026-SM-79ON4 70-79 years, male 119.6
GTEX-1RAZQ-2126-SM-DTX9V 30-39 years, male 118.4
GTEX-14C5O-2526-SM-73KU2 60-69 years, male 118.2
GTEX-15CHQ-2526-SM-6EU24 60-69 years, male 117.4
GTEX-18A7B-2026-SM-72D71 70-79 years, male 116.7
GTEX-1GN73-2626-SM-9KNUQ 60-69 years, male 116.7
GTEX-144GL-2526-SM-5TDDL 50-59 years, male 116.6
GTEX-1C2JI-1626-SM-7EPHC 50-59 years, male 115.7
GTEX-12KS4-2426-SM-5LU8P 30-39 years, male 115.3
GTEX-16Z82-2226-SM-6LPJ7 60-69 years, male 115.3
GTEX-ZYFC-2626-SM-5NQ6S 50-59 years, male 115.3
GTEX-1HCU6-2726-SM-A9SKV 60-69 years, female 115.3
GTEX-14AS3-1126-SM-5Q5CR 40-49 years, female 114.9
GTEX-17HII-2726-SM-7MGVM 50-59 years, male 114.4
GTEX-1LVAN-2526-SM-CNPPC 50-59 years, female 114.1
GTEX-1PPGY-2826-SM-DTX9H 60-69 years, male 113.7
GTEX-13CF3-1426-SM-5K7YY 60-69 years, female 113.4
GTEX-RWS6-1826-SM-47JXX 60-69 years, female 113.1
GTEX-P78B-1726-SM-3P5ZV 40-49 years, female 113.0
GTEX-YEC4-1926-SM-5IFHJ 40-49 years, male 112.4
GTEX-1B996-2626-SM-73KZ1 60-69 years, male 112.3
GTEX-17MF6-2426-SM-7LTAM 40-49 years, male 111.3
GTEX-11ZVC-2126-SM-5EGJ1 50-59 years, female 111.0
GTEX-X5EB-0926-SM-46MVT 40-49 years, male 111.0
GTEX-1CB4I-2226-SM-7P8SL 50-59 years, male 110.8
GTEX-1AX9I-2626-SM-73KU5 60-69 years, male 109.4
GTEX-16NPV-2626-SM-6M484 50-59 years, female 108.7
GTEX-1ICLZ-2426-SM-CKZOD 60-69 years, male 108.7
GTEX-1KANB-1526-SM-CXZK4 50-59 years, male 108.7
GTEX-14ICL-1226-SM-5S2RD 30-39 years, male 107.3
GTEX-13FH7-1526-SM-5J2N6 50-59 years, female 107.1
GTEX-13OW6-2126-SM-5N9GL 50-59 years, male 107.0
GTEX-1LG7Y-2126-SM-DIPER 50-59 years, male 106.9
GTEX-14BIN-3026-SM-5ZZUS 50-59 years, female 104.9
GTEX-1JMLX-2726-SM-CM2SB 50-59 years, male 104.8
GTEX-14PJ5-0926-SM-6LLIK 60-69 years, female 103.5
GTEX-1I1GR-2526-SM-CNNQF 60-69 years, male 102.2
GTEX-1EH9U-2026-SM-7PBYS 60-69 years, male 102.1
GTEX-13FHP-2426-SM-5KLZ5 50-59 years, male 100.7
GTEX-XXEK-1926-SM-4BRVD 50-59 years, male 100.5
GTEX-ZYVF-2826-SM-5GIDK 50-59 years, female 99.9
GTEX-17GQL-1526-SM-7LTAC 60-69 years, male 98.1
GTEX-1GZ4I-2426-SM-9WPPP 50-59 years, male 95.5
GTEX-14C39-1926-SM-5ZZW5 40-49 years, male 95.3
GTEX-1N5O9-2726-SM-E76QH 60-69 years, male 95.3
GTEX-U412-1726-SM-EZ6KX 60-69 years, male 95.1
GTEX-1H1DG-2226-SM-9WPPC 70-79 years, male 93.7
GTEX-Z93S-2426-SM-5HL8N 50-59 years, male 91.0
GTEX-1POEN-2026-SM-E6CRL 30-39 years, female 88.1
GTEX-1F75B-2726-SM-7P8QO 50-59 years, male 87.2
GTEX-1HCVE-2526-SM-A9G2G 50-59 years, male 82.6
GTEX-X4EO-2526-SM-EWRM8 60-69 years, female 80.0
GTEX-11TUW-2026-SM-5EQL8 60-69 years, male 76.6
GTEX-NFK9-2026-SM-3LK5K 40-49 years, male 70.2
Show allShow less

COLON - FANTOM5 CAGEi

RNA expression in human tissues obtained through Cap Analysis of Gene Expression (CAGE) generated by the FANTOM5 project are reported as Scaled Tags Per Million.

Max subtype Scaled Tags Per Millioni

Max subtype Scaled Tags Per Million is the value for the subtype with the largest average Scaled Tags Per Million across the subtype samples.

405.1
FANTOM5 sample id Sample description Scaled Tags Per Million
Colon
Scaled Tags Per Million: 405.1
FF:10014-101C5 62,83,84 years, mixed 405.1

Contact

  • NEWS ARTICLES
  • PRESS ROOM

The Project

  • INTRODUCTION
  • ORGANIZATION
  • PUBLICATIONS

The Human Protein Atlas

  • DOWNLOADABLE DATA
  • LICENCE & CITATION
  • HELP & FAQ
The Human Protein Atlas project is funded
by the Knut & Alice Wallenberg Foundation.


contact@proteinatlas.org