We use cookies to enhance the usability of our website. If you continue, we'll assume that you are happy to receive all cookies. More information. Don't show this again.
CTSD
HPA
RESOURCES
  • TISSUE
  • BRAIN
  • SINGLE CELL
  • SUBCELLULAR
  • CANCER
  • BLOOD
  • CELL LINE
  • STRUCTURE & INTERACTION
ABOUT
  • INTRODUCTION
  • HISTORY
  • ORGANIZATION
  • PUBLICATIONS
  • ANTIBODY SUBMISSION
  • ANTIBODY AVAILABILITY
  • ACKNOWLEDGMENTS
  • CONTACT
NEWS
  • NEWS ARTICLES
  • PRESS ROOM
LEARN
  • DICTIONARY
  • PROTEIN CLASSES
  • PROTEIN EVIDENCE
  • METHODS
  • EDUCATIONAL VIDEOS
DATA
  • DOWNLOADABLE DATA
  • PUBLICATION DATA
  • RELEASE HISTORY
HELP
  • ANTIBODY VALIDATION
  • ASSAYS & ANNOTATION
  • DISCLAIMER
  • HELP & FAQ
  • PRIVACY STATEMENT
  • LICENCE & CITATION
Fields »
Search result

Field
Term
Gene name
Class
Subclass
Class
Keyword
Chromosome
External id
Tissue
Cell type
Expression
Antibody panel
Tissue
Main location
Patient ID
Annotation
Tissue
Category
Tau score
Cluster
Reliability
Brain region
Category
Tau score
Brain region
Category
Tau score
Brain region
Category
Tau score
Cluster
Reliability
Tissue
Cell type
Enrichment
Cell type
Category
Tau score
Cell type
Category
Tau score
Cell type
Category
Tau score
Cell lineage
Category
Tau score
Cluster
Cluster
Location
Searches
Location
Cell line
Class
Type
Phase
Reliability
Cancer
Prognosis
Cancer
Category
Cancer
Category
Tau score
Cluster
Variants
Interacting gene (ensg_id)
Type
Number of interactions
Pathway
Category
Score
Score
Score
Validation
Validation
Validation
Validation
Antibodies
Data type
Column


  • SUMMARY

  • TISSUE

  • BRAIN

  • SINGLE CELL

  • SUBCELL

  • CANCER

  • BLOOD

  • CELL LINE

  • STRUCT & INT

  • CTSD
TISSUE PRIMARY DATA ESOPHAGUS Show tissue menu
ADIPOSE TISSUE ADRENAL GLAND AMYGDALA APPENDIX BASAL GANGLIA BONE MARROW BREAST BRONCHUS CEREBELLUM CEREBRAL CORTEX CERVIX CHOROID PLEXUS COLON DUODENUM
ENDOMETRIUM EPIDIDYMIS ESOPHAGUS FALLOPIAN TUBE GALLBLADDER HEART MUSCLE HIPPOCAMPAL FORMATION HYPOTHALAMUS KIDNEY LIVER LUNG LYMPH NODE MIDBRAIN ORAL MUCOSA
OVARY PANCREAS PARATHYROID GLAND PITUITARY GLAND PLACENTA PROSTATE RECTUM RETINA SALIVARY GLAND SEMINAL VESICLE SKELETAL MUSCLE SKIN SMALL INTESTINE SMOOTH MUSCLE
SOFT TISSUE SPINAL CORD SPLEEN STOMACH TESTIS THYMUS THYROID GLAND TONGUE TONSIL URINARY BLADDER VAGINA
ANTIBODIES
AND
VALIDATION
Dictionary
Esophagus
Tissue proteome
Esophagus
ESOPHAGUS - Expression summary
Protein expression
Esophagusi

On the top, protein expression in current human tissue, based on all annotated cell types, is reported with the units not detected (n), low (l), medium (m) and high (h). Underneath, protein expression in each annotated cell type are reported using the same units.

Protein expression data is based on knowledge-based annotation. For genes where more than one antibody has been used, a collective score is set.

If knowledge-based annotation could not be performed for a gene, no data is displayed here. View antibody staining data further down this page.

h
m
l
n
Squamous epithelial cells: Not detected
RNA expressioni

A summary of mRNA expression data available for current tissue based on several datasets. The mRNA expression levels in human tissues are based on RNA-seq data generated by the Human Protein Atlas (HPA), Genotype-Tissue Expression (GTEx) portal and CAGE data generated by the FANTOM5 consortium. Consensus normalized expression levels for human tissues was created by combining the data from HPA and GTEx datasets.

The mRNA expression levels in pig are based on RNA-seq data generated by the Human Protein Atlas (HPA), and for mouse, HPA data and in situ hybridization generated by the Allen brain atlas are reported.

Scroll down to view mRNA expression data in more detail.
Consensus:310.5 nTPM
HPA:196.7 nTPM
GTEx:310.5 nTPM
FANTOM5:344.8 Scaled Tags Per Million

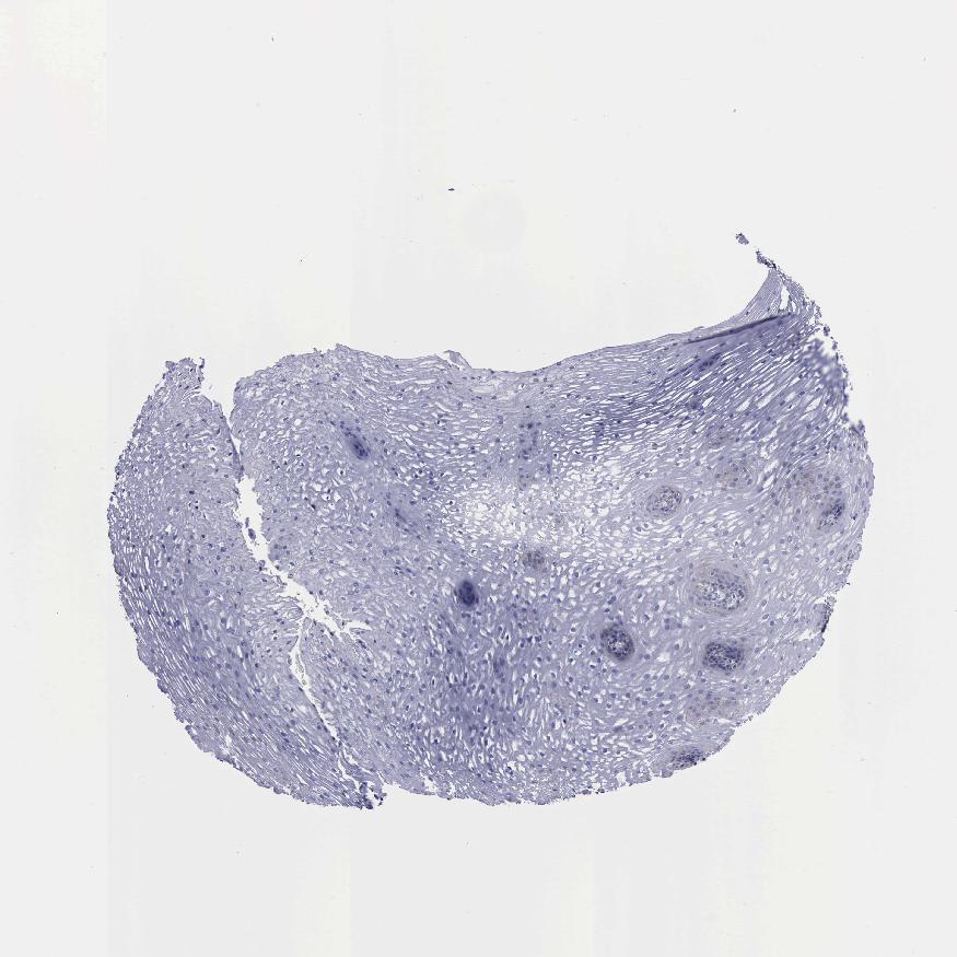
ESOPHAGUS - Antibody stainingi

Antibody staining in the annotated cell types in the current human tissue is reported as not detected, low, medium, or high, based on conventional immunohistochemistry profiling in selected tissues. This score is based on the combination of the staining intensity and fraction of stained cells.

Each image is clickable and will lead to virtual microscopy that enables deeper exploration of all samples and also displays staining intensity scores, fraction scores and subcellular localization as well as patient and tissue information for each sample.

Antibody HPA003001Antibody CAB000109
Squamous epithelial cells Not detectedNot detected





ESOPHAGUS - HPA RNA-seqi

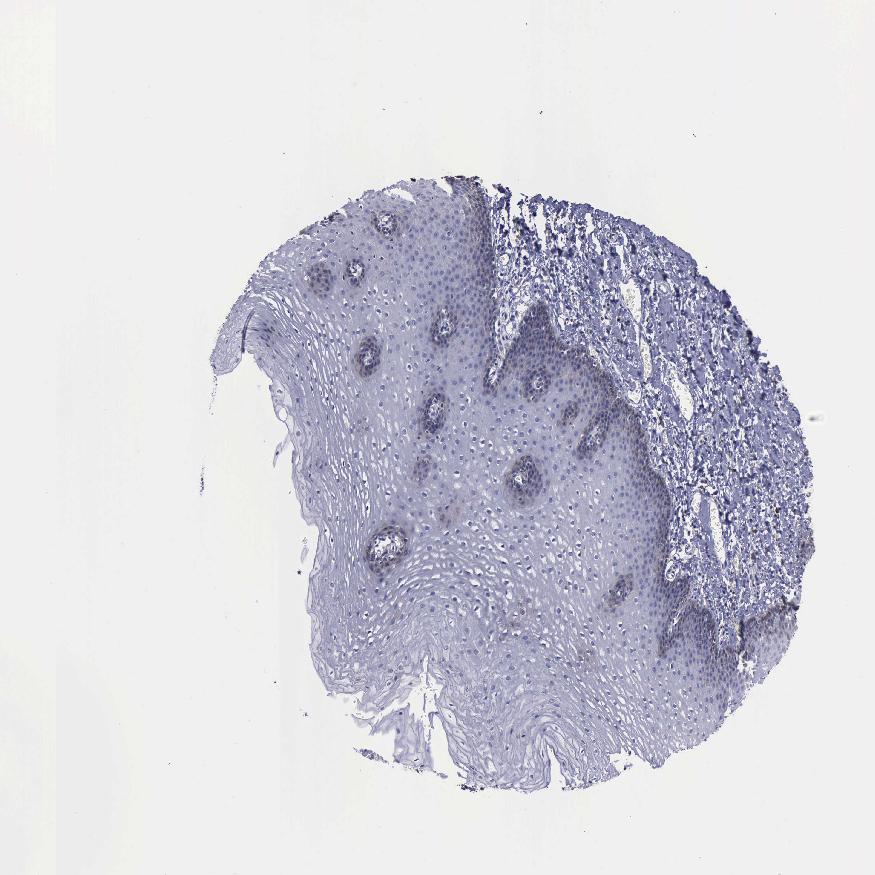
The RNA-seq details section shows detailed information about the individual samples used for the transcript profiling and results of the RNA-seq analysis.

Information about each individual sample is listed below, including gender, age, a tissue section image and estimated fractions of cell types. nTPM (normalized transcripts per million) values give a quantification of the gene abundance which is comparable between different genes and samples.
Average nTPMi

Max subtype nTPM is the value for the subtype with the largest average nTPM across the subtype samples.

196.7
overview
Female, age 70
Esophagus sample 130
nTPM: 248.4
Cell types%
Squamous epithelial cells:
35

Smooth muscle cells:
15

Skeletal muscle cells:
5

Other cell types:
45

overview
Male, age 38
Esophagus sample 131
nTPM: 145
Cell types%
Squamous epithelial cells:
60

Smooth muscle cells:
20

Other cell types:
20

overview
Male, age 76
Esophagus sample 132
nTPM: 196.8
Cell types%
Squamous epithelial cells:
45

Smooth muscle cells:
15

Other cell types:
40


ESOPHAGUS - GTEx RNA-seqi

RNA-Seq data generated by the Genotype-Tissue Expression (GTEx) project from human tissues is reported as mean nTPM. More information can be found on the GTEx portal.

Distribution across the dataset is visualized with box plots, shown as median and 25th and 75th percentiles. Points are displayed as outliers if they are above or below 1.5 times the interquartile range. nTPM values of the individual samples are presented next to the box plot.
Max subtype nTPMi

Max subtype nTPM is the value for the subtype with the largest average nTPM across the subtype samples.

310.5
GTEx sample id Sample description nTPM
Esophagus - Mucosa
Average nTPM: 310.5
Samples: 555

Max nTPM: 912.3
Min nTPM: 79.7
Std nTPM: 108.8
Median nTPM: 297.0
GTEX-ZXES-1126-SM-5GZXN 30-39 years, female 912.3
GTEX-18D9U-2126-SM-7LG4Y 40-49 years, male 745.6
GTEX-14PJ5-0526-SM-664OE 60-69 years, female 692.3
GTEX-ZGAY-1126-SM-4WWBS 40-49 years, female 666.3
GTEX-Y114-0926-SM-4TT7J 50-59 years, female 655.5
GTEX-SUCS-0726-SM-4DM7J 70-79 years, male 642.8
GTEX-1399S-1326-SM-5P9GH 30-39 years, female 635.7
GTEX-18465-1126-SM-7LG6E 50-59 years, male 632.6
GTEX-1C2JI-1126-SM-731FH 50-59 years, male 617.4
GTEX-1KANB-1826-SM-DHXJU 50-59 years, male 605.8
GTEX-WXYG-1226-SM-4ONCJ 50-59 years, female 597.4
GTEX-Q2AG-1326-SM-43V8K 40-49 years, female 594.1
GTEX-145MN-1026-SM-5NQ9G 30-39 years, male 589.4
GTEX-1I4MK-0426-SM-B2LWQ 50-59 years, female 585.4
GTEX-15RIF-0826-SM-6M47C 20-29 years, male 578.0
GTEX-16BQI-1526-SM-6LLIE 30-39 years, female 570.5
GTEX-U3ZN-1726-SM-4DXUQ 30-39 years, female 559.7
GTEX-14ICL-0526-SM-5RQJ6 30-39 years, male 557.9
GTEX-13CF3-1626-SM-5IFG9 60-69 years, female 552.8
GTEX-1N2EE-2426-SM-EXOIO 60-69 years, male 550.3
GTEX-16MTA-0826-SM-6LLIC 50-59 years, male 531.6
GTEX-1LG7Z-0926-SM-CXKYK 30-39 years, male 529.2
GTEX-13OVI-2626-SM-5KM4T 60-69 years, female 528.1
GTEX-ZYFG-1126-SM-5GICY 60-69 years, female 521.9
GTEX-YF7O-0926-SM-5IFIF 50-59 years, male 521.7
GTEX-1GF9U-0826-SM-7MXTZ 40-49 years, female 517.7
GTEX-WOFM-0626-SM-4OOS3 20-29 years, male 516.5
GTEX-15EOM-5013-SM-7MKF9 20-29 years, female 515.1
GTEX-11DXX-1126-SM-5GZZK 60-69 years, female 513.8
GTEX-13111-0826-SM-5LZV3 50-59 years, male 508.6
GTEX-14JG6-0926-SM-6871Y 30-39 years, female 507.8
GTEX-131XE-1426-SM-5HL7V 50-59 years, male 505.4
GTEX-1269C-1026-SM-5N9EY 60-69 years, female 501.0
GTEX-WFG8-1226-SM-4V6EI 20-29 years, male 493.4
GTEX-1GPI7-1026-SM-7MGY2 20-29 years, male 492.2
GTEX-145ME-5004-SM-7MGXP 40-49 years, female 490.7
GTEX-XGQ4-1526-SM-4AT6H 50-59 years, male 486.7
GTEX-ZA64-0626-SM-5HL9O 20-29 years, male 486.5
GTEX-1LGRB-1626-SM-CNNR7 50-59 years, female 484.8
GTEX-1F5PK-1526-SM-7MKGV 50-59 years, male 479.4
GTEX-131XF-0826-SM-5GICG 60-69 years, male 475.3
GTEX-1HBPI-0626-SM-9WPP4 50-59 years, male 470.9
GTEX-144GN-0626-SM-5O9B2 50-59 years, male 470.2
GTEX-1AMEY-0226-SM-7189Q 30-39 years, female 468.8
GTEX-Y5V6-1026-SM-4VBS2 60-69 years, male 468.7
GTEX-YEC3-2526-SM-CXZIH 50-59 years, male 468.6
GTEX-QCQG-0626-SM-48U21 50-59 years, female 460.6
GTEX-XQ3S-1126-SM-4BOPK 20-29 years, male 460.0
GTEX-11I78-1526-SM-5A5K7 50-59 years, female 459.2
GTEX-11TT1-0526-SM-5P9JO 20-29 years, male 456.7
GTEX-ZTSS-0626-SM-59867 40-49 years, male 450.8
GTEX-QDVJ-0726-SM-48U1W 50-59 years, male 450.6
GTEX-111YS-0926-SM-5EGGI 60-69 years, male 448.8
GTEX-Y8LW-0726-SM-5IFI1 50-59 years, female 447.6
GTEX-ZEX8-1426-SM-4WKHQ 50-59 years, male 446.9
GTEX-13NYB-0926-SM-5IFFA 40-49 years, male 446.0
GTEX-1C475-0926-SM-7MKFI 40-49 years, female 438.2
GTEX-X15G-0826-SM-4PQZD 50-59 years, female 437.4
GTEX-13X6H-1326-SM-5LU42 50-59 years, female 433.4
GTEX-1QCLZ-1626-SM-E9U5R 60-69 years, female 430.8
GTEX-1MA7W-0426-SM-E9TJ5 20-29 years, female 430.0
GTEX-11XUK-0826-SM-5GU6P 40-49 years, female 429.8
GTEX-1QP67-0726-SM-DPRY1 40-49 years, female 429.8
GTEX-X3Y1-1326-SM-4PQZB 40-49 years, male 429.4
GTEX-ZTX8-0226-SM-5E44D 20-29 years, male 429.1
GTEX-14PKV-1726-SM-6871U 20-29 years, female 429.0
GTEX-UJHI-0826-SM-4IHLM 50-59 years, female 427.0
GTEX-1OKEX-1326-SM-E9J2U 60-69 years, male 424.5
GTEX-V955-1126-SM-4JBH3 60-69 years, male 423.7
GTEX-1H23P-1426-SM-9JGH5 60-69 years, male 422.0
GTEX-1CAMQ-2726-SM-7MKGD 40-49 years, male 420.6
GTEX-1KXAM-0826-SM-CXZK9 60-69 years, male 419.0
GTEX-1RAZR-1226-SM-E6CRD 40-49 years, male 417.6
GTEX-1MCC2-1926-SM-DHXJR 30-39 years, female 416.7
GTEX-1R7EU-0826-SM-DPRZL 60-69 years, male 415.8
GTEX-WFJO-0826-SM-4LVM5 30-39 years, male 414.9
GTEX-ZT9X-0526-SM-5GCOP 40-49 years, male 414.7
GTEX-1JK1U-1726-SM-CNNPM 60-69 years, male 414.5
GTEX-ZT9W-1326-SM-51MTB 50-59 years, male 412.5
GTEX-16NGA-1426-SM-718AC 40-49 years, female 411.5
GTEX-13OVG-0626-SM-5IFEP 60-69 years, male 411.3
GTEX-R55D-1126-SM-48FEB 50-59 years, male 411.1
GTEX-1RAZA-1326-SM-DPS12 20-29 years, male 409.6
GTEX-1LBAC-1226-SM-DHXK1 20-29 years, male 408.8
GTEX-YEC4-1026-SM-9WG7N 40-49 years, male 408.3
GTEX-1RAZQ-1726-SM-EAZ4T 30-39 years, male 407.8
GTEX-S4Q7-0626-SM-4AD5M 20-29 years, male 407.3
GTEX-1F5PL-1726-SM-9QEGL 40-49 years, female 407.0
GTEX-1J1R8-0326-SM-AHZ3D 40-49 years, male 406.7
GTEX-13FTW-1626-SM-5KM4N 40-49 years, male 405.7
GTEX-14PJ4-1526-SM-664OA 60-69 years, male 402.0
GTEX-Q2AI-0626-SM-48TZU 40-49 years, male 401.7
GTEX-ZF29-1326-SM-DNZYV 60-69 years, female 399.3
GTEX-1N2DV-2026-SM-EV7BL 40-49 years, male 399.1
GTEX-132QS-1426-SM-5P9GE 60-69 years, male 398.4
GTEX-1HKZK-1426-SM-A96U1 40-49 years, male 397.8
GTEX-QEG5-1426-SM-447AS 20-29 years, male 397.6
GTEX-148VI-1026-SM-5TDDJ 60-69 years, female 397.5
GTEX-1IDJF-1226-SM-C1YPX 20-29 years, male 396.7
GTEX-1B97J-1026-SM-7MXTE 50-59 years, female 395.5
GTEX-1HC8U-1526-SM-9WPO4 40-49 years, female 394.1
GTEX-1HCUA-1426-SM-9WPP7 50-59 years, female 391.0
GTEX-1HSMQ-2026-SM-B2LY1 50-59 years, male 389.2
GTEX-1AX9K-1126-SM-731DQ 50-59 years, male 388.4
GTEX-144GM-1426-SM-5LU31 20-29 years, male 388.3
GTEX-1K2DA-0626-SM-CGQGO 50-59 years, male 388.2
GTEX-SNMC-0526-SM-4DM69 20-29 years, male 387.8
GTEX-1B97I-0926-SM-731DZ 40-49 years, male 387.7
GTEX-14ICK-2026-SM-6AJB2 40-49 years, male 387.6
GTEX-PSDG-1326-SM-48TD2 50-59 years, male 386.6
GTEX-1MGNQ-1626-SM-EAZ4Z 40-49 years, male 386.6
GTEX-S4P3-0426-SM-4AD56 50-59 years, female 386.2
GTEX-13PVR-1826-SM-5Q5CC 60-69 years, female 385.6
GTEX-11P7K-1326-SM-5BC5G 30-39 years, male 384.6
GTEX-12C56-1226-SM-5FQSU 20-29 years, male 383.6
GTEX-WFON-0826-SM-4LVMI 40-49 years, male 383.6
GTEX-1L5NE-1426-SM-DHXKV 50-59 years, male 383.4
GTEX-YB5E-0926-SM-4WWDQ 40-49 years, male 382.3
GTEX-145LV-1326-SM-5S2QI 50-59 years, male 381.7
GTEX-1JKYR-2126-SM-CNNPC 20-29 years, male 381.5
GTEX-NFK9-1126-SM-3LK78 40-49 years, male 380.9
GTEX-1OJC3-0826-SM-DPRYU 20-29 years, male 380.5
GTEX-16A39-1026-SM-6LPJU 30-39 years, female 380.1
GTEX-1HSGN-1626-SM-A96U2 40-49 years, female 380.1
GTEX-1122O-1726-SM-5GICM 60-69 years, female 379.5
GTEX-12BJ1-1626-SM-5HL8Y 60-69 years, male 379.0
GTEX-1NUQO-1126-SM-DTX98 20-29 years, female 378.0
GTEX-11ONC-1526-SM-5GU6S 60-69 years, male 377.0
GTEX-13RTK-0526-SM-5S2QF 20-29 years, male 376.9
GTEX-ZDYS-0826-SM-4WWCR 50-59 years, male 376.9
GTEX-OIZG-1026-SM-3LK5X 50-59 years, male 376.2
GTEX-UJMC-0926-SM-4IHLK 50-59 years, male 376.1
GTEX-1GL5R-1526-SM-7MKHO 50-59 years, male 373.4
GTEX-1LVAN-2326-SM-CNNPY 50-59 years, female 372.1
GTEX-1MJIX-0826-SM-DTXEO 40-49 years, male 371.3
GTEX-PWN1-0626-SM-48TDT 40-49 years, female 371.2
GTEX-1MCQQ-1026-SM-EV7AX 60-69 years, male 370.6
GTEX-1LB8K-1326-SM-CXZKB 50-59 years, male 370.0
GTEX-11ZTS-2626-SM-5EGIC 60-69 years, female 369.0
GTEX-12WSK-1126-SM-5LZV8 40-49 years, female 368.9
GTEX-15RJE-0926-SM-6LLHZ 40-49 years, male 368.9
GTEX-ZLWG-1326-SM-DNZYZ 50-59 years, female 368.6
GTEX-1IDJD-1626-SM-C1YRC 30-39 years, male 365.9
GTEX-11LCK-1726-SM-5S2OQ 30-39 years, male 363.8
GTEX-11VI4-0526-SM-5EQ48 40-49 years, female 363.3
GTEX-X4LF-0626-SM-4QASB 50-59 years, male 363.2
GTEX-18D9A-0526-SM-7KFSW 30-39 years, female 363.1
GTEX-1EX96-2226-SM-7MKGT 50-59 years, male 362.4
GTEX-13O1R-1326-SM-5IJF5 60-69 years, male 360.7
GTEX-11NUK-1326-SM-5P9GN 50-59 years, male 359.6
GTEX-12WSL-1526-SM-5GCP8 50-59 years, male 359.4
GTEX-18A7A-2326-SM-7KFRH 50-59 years, female 359.4
GTEX-WYJK-1926-SM-4ONDP 50-59 years, male 357.5
GTEX-139UW-1126-SM-5IJEJ 60-69 years, male 357.4
GTEX-QDVN-1026-SM-48TZA 50-59 years, male 356.5
GTEX-14JIY-0926-SM-6871D 60-69 years, male 356.3
GTEX-ZF3C-1626-SM-4WWB4 50-59 years, female 355.8
GTEX-PVOW-1626-SM-48TC9 40-49 years, male 354.8
GTEX-15F5U-5010-SM-AHZ2D 40-49 years, male 354.3
GTEX-SE5C-1226-SM-4BRWV 40-49 years, female 353.9
GTEX-16Z82-1926-SM-6M47U 60-69 years, male 352.0
GTEX-WFG7-1126-SM-4LMK3 20-29 years, male 350.2
GTEX-OXRL-0626-SM-3NM9C 50-59 years, male 349.9
GTEX-15DCE-1326-SM-6LPJL 20-29 years, male 349.8
GTEX-ZVT2-1326-SM-5E45H 50-59 years, female 349.2
GTEX-13NZB-1226-SM-5J2MW 30-39 years, male 347.3
GTEX-1B996-1826-SM-7MGY6 60-69 years, male 346.7
GTEX-145MF-1426-SM-5O9B6 50-59 years, male 346.3
GTEX-11P82-0526-SM-5986P 20-29 years, male 346.0
GTEX-PLZ6-0526-SM-3P61C 30-39 years, male 345.9
GTEX-1JMLX-2326-SM-CXZJP 50-59 years, male 345.4
GTEX-145LT-1126-SM-5LUA1 40-49 years, male 344.1
GTEX-Y5V5-1626-SM-4VDSG 60-69 years, female 343.3
GTEX-169BO-0526-SM-793AK 50-59 years, male 342.9
GTEX-ZLV1-0526-SM-4WWD4 60-69 years, female 342.6
GTEX-1HBPH-1126-SM-A96TU 40-49 years, female 342.5
GTEX-131XG-1026-SM-5GCMX 50-59 years, female 341.0
GTEX-X4XY-1726-SM-46MVO 60-69 years, male 341.0
GTEX-Y8E4-1726-SM-5LU9G 40-49 years, male 340.1
GTEX-1LVAM-1126-SM-DHXKP 50-59 years, female 339.5
GTEX-178AV-0526-SM-6LPJH 40-49 years, male 338.7
GTEX-ZAB4-1126-SM-5HL86 40-49 years, male 338.3
GTEX-1F88F-1126-SM-7MKHL 60-69 years, female 338.2
GTEX-S32W-0926-SM-4AD5X 50-59 years, female 337.9
GTEX-1I1GU-1426-SM-B2LX3 40-49 years, male 337.6
GTEX-1QCLY-1526-SM-DPRXX 30-39 years, male 337.6
GTEX-1QP2A-1926-SM-EXOJ9 50-59 years, male 337.1
GTEX-1HCU6-1326-SM-A96TZ 60-69 years, female 337.0
GTEX-1GN1W-2226-SM-9JGI5 50-59 years, female 336.8
GTEX-1AX9J-1826-SM-731FM 60-69 years, male 336.1
GTEX-11EM3-0826-SM-5N9CC 20-29 years, female 335.6
GTEX-132Q8-1826-SM-5EGIY 60-69 years, male 335.6
GTEX-15EU6-1626-SM-6LPKF 50-59 years, male 335.6
GTEX-O5YV-1026-SM-3LK72 60-69 years, female 335.0
GTEX-1R9PM-0926-SM-DPRYA 20-29 years, male 334.3
GTEX-1A3MV-1326-SM-7LG6C 30-39 years, male 333.9
GTEX-W5WG-1626-SM-4LMKG 50-59 years, female 333.8
GTEX-QEL4-1426-SM-447AC 50-59 years, male 333.4
GTEX-OOBK-0625-SM-3LK5P 40-49 years, male 333.1
GTEX-14B4R-0326-SM-5TDDP 30-39 years, male 331.3
GTEX-13O21-0626-SM-5IJDI 50-59 years, male 331.2
GTEX-RWS6-0826-SM-47JXF 60-69 years, female 331.1
GTEX-13W3W-1626-SM-5LU35 60-69 years, female 330.6
GTEX-QLQW-0526-SM-4R1KS 30-39 years, male 330.6
GTEX-14PJ6-1026-SM-686ZB 60-69 years, female 330.1
GTEX-1CB4I-1026-SM-7MKFZ 50-59 years, male 330.1
GTEX-139YR-1726-SM-5IFFK 50-59 years, male 329.5
GTEX-1KANA-0626-SM-D4P3I 20-29 years, male 329.5
GTEX-1B8KZ-0726-SM-7938W 50-59 years, male 329.3
GTEX-12696-1326-SM-5FQTJ 60-69 years, male 329.1
GTEX-1B8KE-1826-SM-731FD 50-59 years, male 328.7
GTEX-1IKOE-1526-SM-C1YSD 30-39 years, female 328.5
GTEX-Q2AH-0826-SM-48TZN 40-49 years, male 327.6
GTEX-16XZY-0926-SM-7938M 70-79 years, male 327.4
GTEX-1IKK5-1326-SM-AHZ2X 60-69 years, male 327.4
GTEX-RU1J-0326-SM-46MUM 20-29 years, female 326.6
GTEX-T5JW-1326-SM-4DM5G 20-29 years, female 326.6
GTEX-1I1GQ-1726-SM-B2LWZ 50-59 years, male 326.6
GTEX-14PJN-0526-SM-68724 30-39 years, male 326.5
GTEX-Y3I4-1226-SM-4TT8N 50-59 years, male 326.2
GTEX-13O61-0926-SM-5IFFE 60-69 years, male 325.7
GTEX-146FR-0426-SM-5SI97 60-69 years, female 325.2
GTEX-1PFEY-0826-SM-E9U6A 30-39 years, male 324.8
GTEX-139T6-0626-SM-5IFF9 50-59 years, male 324.6
GTEX-13FLV-1126-SM-5J2NO 50-59 years, male 324.6
GTEX-14H4A-1626-SM-5SI69 40-49 years, female 324.6
GTEX-S3XE-0926-SM-4AD4S 50-59 years, male 323.8
GTEX-1399U-1026-SM-5J1OC 50-59 years, female 323.2
GTEX-1R9K5-1526-SM-DPRZA 50-59 years, male 322.0
GTEX-1I6K7-1426-SM-B2LXP 40-49 years, male 321.9
GTEX-15RIE-0826-SM-6M47X 60-69 years, male 317.8
GTEX-12WSD-1826-SM-5GCOA 60-69 years, female 317.5
GTEX-11EQ9-0726-SM-5A5K2 30-39 years, male 316.6
GTEX-P4PQ-0626-SM-3NMCU 60-69 years, male 316.5
GTEX-1MCYP-1026-SM-DPRYB 20-29 years, female 315.8
GTEX-VJYA-0726-SM-4KL1T 60-69 years, male 315.6
GTEX-1HGF4-0926-SM-9WPP8 60-69 years, male 315.6
GTEX-YFC4-1226-SM-5LU9R 40-49 years, female 315.3
GTEX-183FY-1526-SM-7IGOW 20-29 years, male 315.2
GTEX-14PK6-1326-SM-686ZE 70-79 years, female 314.9
GTEX-13QBU-1026-SM-5LU3R 40-49 years, female 314.0
GTEX-1A32A-1826-SM-72D5G 50-59 years, female 313.0
GTEX-17EUY-1426-SM-7938X 20-29 years, male 312.9
GTEX-RNOR-1226-SM-48FDQ 50-59 years, female 312.9
GTEX-1HCU8-2226-SM-9WPOV 60-69 years, female 312.2
GTEX-1PPH8-1626-SM-E6CQP 20-29 years, male 311.7
GTEX-1IDJH-2026-SM-CNNQX 70-79 years, male 311.6
GTEX-1JMPZ-2026-SM-C1YR8 30-39 years, male 311.6
GTEX-Z9EW-0526-SM-5HL8S 40-49 years, male 310.9
GTEX-TMMY-1126-SM-4DXSX 40-49 years, female 310.1
GTEX-ZTPG-1626-SM-5DUX2 20-29 years, female 310.1
GTEX-13FH7-0526-SM-5IJF8 50-59 years, female 309.5
GTEX-SNOS-0626-SM-4DM5F 40-49 years, male 309.4
GTEX-147F3-0826-SM-5NQA7 50-59 years, female 308.3
GTEX-1LNCM-0626-SM-EV7AI 50-59 years, female 307.3
GTEX-14C38-2126-SM-5RQJO 50-59 years, male 307.2
GTEX-148VJ-1026-SM-5LU98 70-79 years, male 306.8
GTEX-PLZ4-1626-SM-3P618 50-59 years, female 304.2
GTEX-S7SF-0926-SM-4AD4M 20-29 years, female 304.0
GTEX-14PHY-0626-SM-664NN 60-69 years, female 303.6
GTEX-15DYW-1826-SM-6LPIY 60-69 years, female 303.3
GTEX-18D9B-2026-SM-7LT96 60-69 years, male 303.2
GTEX-RM2N-0726-SM-48FD5 50-59 years, male 302.8
GTEX-1LSNL-2226-SM-DHXKM 50-59 years, male 302.8
GTEX-1NSGN-2026-SM-DPRYM 50-59 years, male 302.4
GTEX-11P81-0826-SM-5P9GR 30-39 years, female 302.0
GTEX-117YW-1926-SM-5H121 50-59 years, male 301.8
GTEX-ZVP2-1326-SM-57WCE 50-59 years, male 301.1
GTEX-1JMQJ-1226-SM-D3L97 50-59 years, male 300.9
GTEX-14E6E-0726-SM-5S2R3 30-39 years, male 300.2
GTEX-U4B1-0826-SM-4DXTW 40-49 years, male 299.1
GTEX-1QP28-1826-SM-EAZ4L 50-59 years, female 299.1
GTEX-1QW4Y-0526-SM-EAZ3V 30-39 years, male 298.2
GTEX-ZAB5-0926-SM-5CVMV 50-59 years, male 297.8
GTEX-15SB6-0726-SM-6M48F 50-59 years, female 297.5
GTEX-1AX8Z-5016-SM-AHZ2B 60-69 years, male 297.5
GTEX-1CB4G-1326-SM-7MKFP 60-69 years, male 297.4
GTEX-WVLH-1426-SM-4MVNX 50-59 years, male 297.0
GTEX-OIZH-0626-SM-3NB1L 50-59 years, male 296.6
GTEX-WRHK-0526-SM-4MVOF 20-29 years, female 296.2
GTEX-TKQ1-0326-SM-4DXSM 30-39 years, male 295.8
GTEX-13D11-1926-SM-5IFGB 50-59 years, female 295.0
GTEX-POYW-1326-SM-48TCG 60-69 years, male 294.6
GTEX-R55G-1026-SM-48FDI 40-49 years, female 294.5
GTEX-1GMR3-1526-SM-9JGGL 40-49 years, male 293.8
GTEX-1211K-0926-SM-5FQTL 60-69 years, female 293.6
GTEX-U8XE-1726-SM-4E3IF 30-39 years, male 293.3
GTEX-1HFI6-1226-SM-A96SK 40-49 years, male 292.7
GTEX-1EH9U-2426-SM-7EWFG 60-69 years, male 292.1
GTEX-YB5K-0826-SM-5YYB7 40-49 years, female 292.1
GTEX-OXRK-1326-SM-3NB1A 50-59 years, female 291.7
GTEX-S341-0526-SM-4AD5U 40-49 years, female 290.2
GTEX-1399Q-1126-SM-5P9JA 40-49 years, male 289.7
GTEX-13O3Q-0826-SM-5IFGF 50-59 years, male 289.7
GTEX-T6MO-0526-SM-4DM6R 40-49 years, female 289.7
GTEX-1EKGG-1726-SM-7MXUP 60-69 years, male 289.7
GTEX-132AR-2226-SM-5J2NT 50-59 years, female 289.3
GTEX-ZC5H-1326-SM-5HL7E 40-49 years, female 289.2
GTEX-1A8FM-1526-SM-7MXTA 50-59 years, female 289.2
GTEX-11DXY-1426-SM-5N9CN 60-69 years, male 288.7
GTEX-WH7G-0926-SM-4LVMJ 40-49 years, male 288.6
GTEX-14DAR-0826-SM-73KYJ 50-59 years, male 288.4
GTEX-13U4I-1126-SM-5LU3S 40-49 years, female 287.8
GTEX-XLM4-2326-SM-4AT5E 60-69 years, male 286.7
GTEX-QLQ7-0926-SM-447BC 60-69 years, male 286.3
GTEX-13FTX-0526-SM-5IFGS 20-29 years, female 286.2
GTEX-13YAN-1926-SM-7EPH9 60-69 years, male 285.6
GTEX-WHSB-0426-SM-4M1XI 50-59 years, male 285.2
GTEX-15ER7-2126-SM-7939E 20-29 years, female 285.0
GTEX-ZZ64-0226-SM-5E44X 20-29 years, male 283.9
GTEX-ZY6K-0626-SM-59HJL 50-59 years, male 283.8
GTEX-11GSP-1826-SM-5N9DQ 60-69 years, female 283.7
GTEX-T8EM-0526-SM-4DM64 40-49 years, male 283.3
GTEX-144FL-2726-SM-5O98Z 50-59 years, male 283.0
GTEX-18A67-2426-SM-7LT95 50-59 years, male 282.8
GTEX-1ICG6-1926-SM-ARU7L 70-79 years, female 282.8
GTEX-12WSG-5007-SM-7DUGZ 50-59 years, female 282.6
GTEX-1J8EW-1326-SM-AHZ3S 60-69 years, female 282.3
GTEX-QESD-0826-SM-47J4G 20-29 years, male 281.4
GTEX-UPJH-1026-SM-EAZB2 50-59 years, male 281.3
GTEX-XMK1-1326-SM-4B65Q 40-49 years, male 281.2
GTEX-1HCU7-2126-SM-A96SG 50-59 years, male 281.2
GTEX-S95S-0426-SM-4B64I 60-69 years, male 280.4
GTEX-11TUW-1326-SM-5EQKV 60-69 years, male 278.0
GTEX-ZVE2-1326-SM-5NQ94 50-59 years, male 277.1
GTEX-PLZ5-0926-SM-3TW8L 50-59 years, male 276.9
GTEX-11NSD-1126-SM-5N9BQ 20-29 years, male 276.7
GTEX-145MO-1426-SM-DTX9W 60-69 years, male 274.5
GTEX-S33H-0826-SM-4AD5Y 30-39 years, male 274.4
GTEX-1R9JW-1526-SM-DPRZK 30-39 years, female 274.2
GTEX-1JMPY-0826-SM-AHZ4A 30-39 years, male 273.5
GTEX-Y9LG-0626-SM-4WWDH 30-39 years, male 273.3
GTEX-18A6Q-1226-SM-7KFS9 60-69 years, male 273.1
GTEX-ZDTT-1326-SM-4WKFH 60-69 years, male 273.1
GTEX-Y5LM-1026-SM-4VDSQ 40-49 years, female 273.0
GTEX-1S83E-0826-SM-EV7B7 40-49 years, male 272.7
GTEX-13S86-0826-SM-5SI6J 40-49 years, male 272.6
GTEX-1QP9N-0926-SM-E9U5S 30-39 years, male 272.6
GTEX-ZF2S-1226-SM-4WWAX 50-59 years, female 272.0
GTEX-12KS4-0926-SM-5BC5S 30-39 years, male 271.9
GTEX-P4QT-0626-SM-3NMCP 50-59 years, female 271.6
GTEX-12ZZX-1326-SM-5DUWI 40-49 years, female 271.2
GTEX-OIZF-0626-SM-7MKHG 60-69 years, male 271.1
GTEX-XUZC-0426-SM-4BOPE 30-39 years, female 271.0
GTEX-1CB4H-1526-SM-7MXU4 60-69 years, female 270.9
GTEX-XQ8I-1526-SM-4BOOH 50-59 years, male 270.2
GTEX-ZG7Y-1126-SM-4WWEZ 50-59 years, male 270.0
GTEX-XXEK-0326-SM-4BRVV 50-59 years, male 269.5
GTEX-146FQ-1026-SM-5LU8I 30-39 years, male 268.2
GTEX-1HSKV-2426-SM-A8N8K 60-69 years, male 267.7
GTEX-17JCI-1226-SM-793D9 60-69 years, female 266.9
GTEX-1497J-2726-SM-5SI9W 60-69 years, male 266.3
GTEX-P4PP-0626-SM-3NM9X 30-39 years, female 266.2
GTEX-1K2DU-1726-SM-EV79S 20-29 years, male 265.9
GTEX-1F75I-1726-SM-7MKGW 40-49 years, male 265.3
GTEX-17HII-1526-SM-9OSVD 50-59 years, male 265.2
GTEX-ZLFU-1126-SM-DO11K 40-49 years, male 265.0
GTEX-WEY5-0926-SM-4LMI4 40-49 years, female 264.4
GTEX-1EN7A-1226-SM-7MGX9 40-49 years, male 264.1
GTEX-1N2DW-1426-SM-EV7AZ 50-59 years, male 263.4
GTEX-T5JC-1726-SM-4DM6U 20-29 years, male 263.2
GTEX-WHPG-1126-SM-4M1XT 50-59 years, male 262.8
GTEX-17HHE-0926-SM-7938K 50-59 years, male 262.6
GTEX-1J8QM-1926-SM-AHZ3Z 60-69 years, female 262.6
GTEX-1JKYN-1526-SM-CGQGA 30-39 years, male 262.3
GTEX-U3ZM-0526-SM-4DXTB 40-49 years, male 262.1
GTEX-PWCY-0726-SM-48TCS 20-29 years, female 261.8
GTEX-TML8-1526-SM-4DXUX 40-49 years, female 261.5
GTEX-V1D1-1026-SM-4JBHE 50-59 years, male 261.2
GTEX-1S82Y-1226-SM-EV7BD 40-49 years, male 261.1
GTEX-ZPCL-1426-SM-57WEC 60-69 years, female 260.0
GTEX-XV7Q-1126-SM-4BRVS 40-49 years, female 259.9
GTEX-111CU-0726-SM-5GZYD 50-59 years, male 258.8
GTEX-18A66-1426-SM-7KFRT 60-69 years, male 258.7
GTEX-14PJ3-0626-SM-6UGC5 50-59 years, male 258.6
GTEX-133LE-0626-SM-5IFFJ 20-29 years, female 258.2
GTEX-14PJM-1526-SM-664NY 50-59 years, female 258.0
GTEX-14E1K-1226-SM-5S2PD 50-59 years, male 257.8
GTEX-1PPGY-1726-SM-EVR3S 60-69 years, male 257.6
GTEX-XBED-1026-SM-48TCB 60-69 years, male 257.2
GTEX-1GN1U-1826-SM-9JGH2 50-59 years, female 257.2
GTEX-11DXZ-1226-SM-5H11L 50-59 years, male 255.7
GTEX-11EMC-2226-SM-5A5JW 60-69 years, female 255.5
GTEX-VUSG-1226-SM-4KKZF 50-59 years, male 254.9
GTEX-1AX9I-1426-SM-7DHM8 60-69 years, male 254.5
GTEX-1212Z-2126-SM-5FQTM 60-69 years, male 254.1
GTEX-OIZI-1426-SM-3NB1T 40-49 years, male 253.6
GTEX-13OVK-1126-SM-6PAMR 40-49 years, male 253.5
GTEX-1B933-2026-SM-7EWFC 50-59 years, female 253.1
GTEX-12WSN-5013-SM-7P8P9 40-49 years, male 252.9
GTEX-ZYY3-1526-SM-5SIA9 60-69 years, female 252.2
GTEX-R55C-0826-SM-48FCL 40-49 years, male 251.9
GTEX-1AMFI-0226-SM-731D5 50-59 years, female 251.3
GTEX-14BIN-2726-SM-5RQIE 50-59 years, female 250.3
GTEX-1QPFJ-1226-SM-EAZ3M 30-39 years, female 249.5
GTEX-1LSVX-1226-SM-DHXJN 60-69 years, male 249.3
GTEX-17MFQ-0526-SM-7KFTX 20-29 years, male 248.8
GTEX-1399R-0826-SM-5IJEL 30-39 years, male 248.2
GTEX-U3ZH-1026-SM-4DXUZ 30-39 years, male 248.1
GTEX-1RAZS-2626-SM-EV79C 50-59 years, male 248.1
GTEX-13FHP-1526-SM-5IJGE 50-59 years, male 246.9
GTEX-15ETS-1926-SM-7KUN5 40-49 years, female 246.5
GTEX-1CB4E-1026-SM-793AB 60-69 years, male 246.3
GTEX-13OW8-2326-SM-5L3I9 60-69 years, male 245.8
GTEX-15UF7-0926-SM-6M46F 40-49 years, male 245.7
GTEX-1H3VY-2026-SM-9JGHK 50-59 years, male 245.6
GTEX-1J1OQ-2526-SM-AHZ3Q 40-49 years, female 245.2
GTEX-1H11D-2126-SM-9OSXM 40-49 years, male 245.1
GTEX-RVPV-0526-SM-47JYL 60-69 years, male 244.9
GTEX-1C64O-1826-SM-7DHM4 60-69 years, male 243.3
GTEX-1H1DE-1026-SM-9JGH6 20-29 years, male 242.7
GTEX-139TU-1226-SM-5J2NL 60-69 years, male 242.5
GTEX-1IY9M-1626-SM-AHZ39 60-69 years, male 242.5
GTEX-WHSE-1526-SM-4M1XH 20-29 years, male 242.4
GTEX-QV44-1126-SM-CL55C 50-59 years, male 242.2
GTEX-1M5QR-0726-SM-DHXK7 40-49 years, male 242.1
GTEX-1H1ZS-1526-SM-9OSXR 70-79 years, male 241.9
GTEX-OHPN-1026-SM-E9TI8 60-69 years, female 241.9
GTEX-1RDX4-2126-SM-EV7B3 50-59 years, female 241.6
GTEX-1KAFJ-0626-SM-D3L8X 50-59 years, male 241.1
GTEX-ZPU1-1426-SM-4WWFU 40-49 years, male 240.8
GTEX-145LU-0926-SM-79OJL 50-59 years, male 240.6
GTEX-17F98-1726-SM-7938O 40-49 years, female 240.5
GTEX-XYKS-1526-SM-4BRUP 60-69 years, female 240.1
GTEX-YJ89-1526-SM-5P9IR 60-69 years, male 240.1
GTEX-ZQUD-0426-SM-57WFR 30-39 years, male 239.8
GTEX-17F96-2526-SM-7DHL3 70-79 years, male 238.1
GTEX-XBEW-1326-SM-4AT63 40-49 years, male 236.5
GTEX-WHWD-0926-SM-4OORY 50-59 years, male 235.2
GTEX-17HGU-1426-SM-7938G 50-59 years, male 234.7
GTEX-UPK5-1226-SM-4IHL8 40-49 years, male 233.8
GTEX-P4QS-0626-SM-3NMD1 60-69 years, male 233.5
GTEX-15SHU-1426-SM-6LPIN 40-49 years, female 232.8
GTEX-13G51-0926-SM-5IFFU 60-69 years, male 231.9
GTEX-1LG7Y-1726-SM-EV7AR 50-59 years, male 231.4
GTEX-13PL7-0226-SM-731DT 60-69 years, female 231.2
GTEX-17EVQ-1926-SM-7IGOF 70-79 years, male 231.1
GTEX-1CB4J-2426-SM-7MXVC 60-69 years, male 230.3
GTEX-14BMU-0926-SM-5S2QB 20-29 years, female 229.3
GTEX-1GMR2-1526-SM-7MXV6 50-59 years, male 229.3
GTEX-1EWIQ-1526-SM-79OO7 70-79 years, female 228.7
GTEX-1HB9E-1526-SM-D3LA6 50-59 years, male 226.9
GTEX-15RJ7-0926-SM-6LPJO 40-49 years, male 226.6
GTEX-16MT8-1326-SM-6M47R 60-69 years, female 225.9
GTEX-11EI6-1526-SM-5P9GL 60-69 years, male 225.5
GTEX-14C5O-1626-SM-73KYH 60-69 years, male 225.3
GTEX-N7MT-0326-SM-48TDP 60-69 years, female 225.2
GTEX-ZYVF-2226-SM-5GIDD 50-59 years, female 225.0
GTEX-13FHO-1726-SM-DPRZX 60-69 years, male 222.2
GTEX-14AS3-0626-SM-5QGQD 40-49 years, female 220.2
GTEX-146FH-1726-SM-5QGQ2 50-59 years, female 219.7
GTEX-12ZZY-1426-SM-5N9EI 60-69 years, male 219.3
GTEX-R55E-1326-SM-48FCR 20-29 years, male 218.4
GTEX-12ZZW-1726-SM-5DUVD 50-59 years, male 216.3
GTEX-ZUA1-1226-SM-5NQ6O 40-49 years, male 216.1
GTEX-YECK-1626-SM-5IFHQ 60-69 years, male 216.0
GTEX-1I1GR-1326-SM-ARU7B 60-69 years, male 215.5
GTEX-RUSQ-0826-SM-47JWW 50-59 years, male 214.1
GTEX-1MA7X-0726-SM-EV7AB 60-69 years, male 213.2
GTEX-1LGOU-0526-SM-D3LAO 20-29 years, female 212.7
GTEX-12WSA-1426-SM-5EGJU 60-69 years, male 212.6
GTEX-18QFQ-1026-SM-7LG6B 30-39 years, male 212.3
GTEX-R53T-1126-SM-48FD4 50-59 years, female 211.0
GTEX-SJXC-1426-SM-EYYVB 60-69 years, male 211.0
GTEX-16NPX-1626-SM-6LLI5 50-59 years, male 210.4
GTEX-Y3IK-1126-SM-51MSV 50-59 years, female 210.4
GTEX-1EU9M-2326-SM-7MKGS 60-69 years, male 210.3
GTEX-1HCVE-1226-SM-9WPPH 50-59 years, male 210.3
GTEX-RN64-1026-SM-48FDX 50-59 years, male 210.0
GTEX-1H3NZ-1326-SM-9JGHI 60-69 years, male 209.8
GTEX-14A6H-1326-SM-5NQBC 30-39 years, male 208.6
GTEX-1RLM8-0726-SM-E6CRH 50-59 years, male 207.4
GTEX-1EMGI-1926-SM-7938Y 60-69 years, male 206.0
GTEX-1GTWX-1326-SM-9JGHU 60-69 years, male 205.2
GTEX-WQUQ-1626-SM-4OOSH 60-69 years, male 203.9
GTEX-15UF6-2326-SM-6M465 70-79 years, female 201.5
GTEX-131YS-1426-SM-5IJF7 60-69 years, female 200.2
GTEX-RTLS-1126-SM-46MUQ 60-69 years, female 199.9
GTEX-RU72-0726-SM-46MUW 50-59 years, female 199.0
GTEX-WYVS-0726-SM-4ONDO 40-49 years, female 197.7
GTEX-1AYD5-0926-SM-793AF 50-59 years, male 196.1
GTEX-ZYW4-1326-SM-5E45N 60-69 years, male 192.9
GTEX-1H1DG-1226-SM-9JGH3 70-79 years, male 192.5
GTEX-1F52S-1426-SM-7P8PU 60-69 years, female 192.4
GTEX-11ZU8-1526-SM-5EGHX 60-69 years, male 192.0
GTEX-1PIGE-0926-SM-E9U5Z 20-29 years, male 191.8
GTEX-TSE9-1226-SM-4DXTM 60-69 years, female 191.7
GTEX-T2IS-0826-SM-4DM6L 20-29 years, female 191.5
GTEX-13PVQ-1726-SM-5IFF3 50-59 years, male 190.7
GTEX-1I1CD-1726-SM-A9G3P 60-69 years, female 190.7
GTEX-X585-1226-SM-46MW7 50-59 years, male 190.3
GTEX-13QJ3-1726-SM-5RQK9 50-59 years, male 188.8
GTEX-1I1GS-2126-SM-ARU7G 60-69 years, male 188.0
GTEX-14BIM-1326-SM-7EWD1 60-69 years, female 186.8
GTEX-1HBPM-1426-SM-9WPPE 60-69 years, female 184.9
GTEX-17KNJ-1326-SM-7KFTG 50-59 years, male 184.0
GTEX-1CB4F-1526-SM-7MKFM 60-69 years, male 184.0
GTEX-X4EO-1226-SM-4QARR 60-69 years, female 183.8
GTEX-ZE9C-1126-SM-4WWBD 60-69 years, male 182.9
GTEX-145LS-1826-SM-5LUAZ 60-69 years, female 182.7
GTEX-1KD4Q-1126-SM-CXZKK 40-49 years, male 182.6
GTEX-OXRP-0926-SM-48TC1 60-69 years, female 182.4
GTEX-14DAQ-1426-SM-5RQJD 60-69 years, female 181.5
GTEX-QVUS-0626-SM-447CC 60-69 years, female 181.3
GTEX-ZAK1-1526-SM-5S2OV 50-59 years, female 181.3
GTEX-XK95-1026-SM-4GIDV 40-49 years, male 180.7
GTEX-13OVJ-1226-SM-5L3HA 50-59 years, female 179.8
GTEX-13SLX-1726-SM-5Q5E5 50-59 years, female 179.8
GTEX-P78B-1026-SM-3NMC4 40-49 years, female 177.4
GTEX-1BAJH-2026-SM-7P8OZ 70-79 years, male 177.0
GTEX-1K9T9-2026-SM-CXZK3 50-59 years, female 177.0
GTEX-1I1GV-2226-SM-ARU7E 60-69 years, male 176.2
GTEX-1GN73-1926-SM-9JGGS 60-69 years, male 175.6
GTEX-1C6VQ-1826-SM-7EWEH 50-59 years, male 174.9
GTEX-X4EP-1626-SM-4QAS6 60-69 years, female 174.7
GTEX-1QEPI-1826-SM-EAZ3J 60-69 years, female 173.7
GTEX-NPJ8-1926-SM-3MJGB 40-49 years, male 172.6
GTEX-ZV68-0926-SM-59HK7 50-59 years, female 171.5
GTEX-13W46-1926-SM-5J2MF 50-59 years, male 169.9
GTEX-17F9E-1926-SM-7IGQF 50-59 years, male 168.0
GTEX-1GMR8-1826-SM-9WYUE 50-59 years, female 167.4
GTEX-13X6I-1026-SM-5LU4C 60-69 years, male 163.3
GTEX-OXRN-1726-SM-3NM9B 50-59 years, male 161.4
GTEX-16AAH-0726-SM-793A9 50-59 years, male 160.1
GTEX-R45C-1226-SM-48FEE 60-69 years, female 159.8
GTEX-1I1GP-1026-SM-C1YRZ 50-59 years, male 159.6
GTEX-17F97-1326-SM-7MGVO 50-59 years, male 158.1
GTEX-15DCD-1626-SM-6AJBH 70-79 years, female 157.9
GTEX-183WM-1726-SM-7KFT5 70-79 years, female 157.8
GTEX-ZYFC-1626-SM-5N9EU 50-59 years, male 156.8
GTEX-REY6-1326-SM-48FDO 60-69 years, male 155.2
GTEX-1JMQK-2026-SM-C1YQN 60-69 years, male 153.0
GTEX-13X6K-2126-SM-5O9D4 60-69 years, female 151.8
GTEX-11DYG-1326-SM-5N9DO 60-69 years, male 150.9
GTEX-ZZPT-1426-SM-5N9C5 50-59 years, male 150.4
GTEX-R3RS-1326-SM-48FE7 40-49 years, female 142.2
GTEX-ZYT6-1126-SM-5GZYR 30-39 years, male 141.6
GTEX-X62O-2226-SM-46MW3 50-59 years, male 139.6
GTEX-144GO-2726-SM-5O9A2 60-69 years, male 139.4
GTEX-11DZ1-2026-SM-5A5KG 50-59 years, male 138.1
GTEX-13JVG-2026-SM-5KM1N 60-69 years, male 135.7
GTEX-QEG4-0726-SM-CNNRF 30-39 years, male 133.2
GTEX-ZAJG-1326-SM-5S2NV 50-59 years, female 127.5
GTEX-1R9K4-1926-SM-DPRZW 60-69 years, male 124.1
GTEX-1E1VI-1526-SM-7IGQ2 50-59 years, male 123.3
GTEX-WK11-1026-SM-4OOS8 50-59 years, male 122.7
GTEX-15EO6-1026-SM-7KUG9 50-59 years, male 116.2
GTEX-T2YK-1326-SM-4DM6S 50-59 years, male 109.8
GTEX-XMD2-1326-SM-4YCET 60-69 years, female 107.6
GTEX-1LVA9-2126-SM-DLHBY 50-59 years, male 106.7
GTEX-1QP29-2126-SM-E6CPZ 50-59 years, male 104.3
GTEX-Y111-1626-SM-57WCY 50-59 years, male 99.8
GTEX-1IDFM-1126-SM-A96SY 60-69 years, male 96.7
GTEX-1F7RK-1526-SM-7P8T6 20-29 years, female 88.7
GTEX-N7MS-1225-SM-3LK5G 60-69 years, male 79.7
Show allShow less

ESOPHAGUS - FANTOM5 CAGEi

RNA expression in human tissues obtained through Cap Analysis of Gene Expression (CAGE) generated by the FANTOM5 project are reported as Scaled Tags Per Million.

Max subtype Scaled Tags Per Millioni

Max subtype Scaled Tags Per Million is the value for the subtype with the largest average Scaled Tags Per Million across the subtype samples.

344.8
FANTOM5 sample id Sample description Scaled Tags Per Million
Esophagus
Scaled Tags Per Million: 344.8
FF:10015-101C6 68,74,75 years, mixed 344.8

Contact

  • NEWS ARTICLES
  • PRESS ROOM

The Project

  • INTRODUCTION
  • ORGANIZATION
  • PUBLICATIONS

The Human Protein Atlas

  • DOWNLOADABLE DATA
  • LICENCE & CITATION
  • HELP & FAQ
The Human Protein Atlas project is funded
by the Knut & Alice Wallenberg Foundation.


contact@proteinatlas.org