We use cookies to enhance the usability of our website. If you continue, we'll assume that you are happy to receive all cookies. More information. Don't show this again.
RPS21
HPA
RESOURCES
  • TISSUE
  • BRAIN
  • SINGLE CELL
  • SUBCELLULAR
  • CANCER
  • BLOOD
  • CELL LINE
  • STRUCTURE & INTERACTION
ABOUT
  • INTRODUCTION
  • HISTORY
  • ORGANIZATION
  • PUBLICATIONS
  • ANTIBODY SUBMISSION
  • ANTIBODY AVAILABILITY
  • ACKNOWLEDGMENTS
  • CONTACT
NEWS
  • NEWS ARTICLES
  • PRESS ROOM
LEARN
  • DICTIONARY
  • PROTEIN CLASSES
  • PROTEIN EVIDENCE
  • METHODS
  • EDUCATIONAL VIDEOS
DATA
  • DOWNLOADABLE DATA
  • PUBLICATION DATA
  • RELEASE HISTORY
HELP
  • ANTIBODY VALIDATION
  • ASSAYS & ANNOTATION
  • DISCLAIMER
  • HELP & FAQ
  • PRIVACY STATEMENT
  • LICENCE & CITATION
Fields »
Search result

Field
Term
Gene name
Class
Subclass
Class
Keyword
Chromosome
External id
Tissue
Cell type
Expression
Antibody panel
Tissue
Main location
Patient ID
Annotation
Tissue
Category
Tau score
Cluster
Reliability
Brain region
Category
Tau score
Brain region
Category
Tau score
Brain region
Category
Tau score
Cluster
Reliability
Tissue
Cell type
Enrichment
Cell type
Category
Tau score
Cell type
Category
Tau score
Cell type
Category
Tau score
Cell lineage
Category
Tau score
Cluster
Cluster
Location
Searches
Location
Cell line
Class
Type
Phase
Reliability
Cancer
Prognosis
Cancer
Category
Cancer
Category
Tau score
Cluster
Variants
Interacting gene (ensg_id)
Type
Number of interactions
Pathway
Category
Score
Score
Score
Validation
Validation
Validation
Validation
Antibodies
Data type
Column


  • SUMMARY

  • TISSUE

  • BRAIN

  • SINGLE CELL

  • SUBCELL

  • CANCER

  • BLOOD

  • CELL LINE

  • STRUCT & INT

  • RPS21
BRAIN CEREBELLUM Show tissue menu
AMYGDALA BASAL GANGLIA CEREBELLUM CEREBRAL CORTEX CHOROID PLEXUS HIPPOCAMPAL FORMATION HYPOTHALAMUS MEDULLA OBLONGATA
MIDBRAIN OLFACTORY BULB PITUITARY GLAND PONS RETINA SPINAL CORD THALAMUS WHITE MATTER
ANTIBODIES
AND
VALIDATION
Brain proteome
Cerebellum
CEREBELLUM - Expression summary
Protein expression
Cerebellumi

On the top, protein expression in current human tissue, based on all annotated cell types, is reported with the units not detected (n), low (l), medium (m) and high (h). Underneath, protein expression in each annotated cell type are reported using the same units.

Protein expression data is based on knowledge-based annotation. For genes where more than one antibody has been used, a collective score is set.

If knowledge-based annotation could not be performed for a gene, no data is displayed here. View antibody staining data further down this page.

h
m
l
n
Cells in granular layer: Low
Cells in molecular layer: Medium
Purkinje cells: High
RNA expressioni

A summary of mRNA expression data available for current tissue based on several datasets. The mRNA expression levels in human tissues are based on RNA-seq data generated by the Human Protein Atlas (HPA), Genotype-Tissue Expression (GTEx) portal and CAGE data generated by the FANTOM5 consortium. Consensus normalized expression levels for human tissues was created by combining the data from HPA and GTEx datasets.

The mRNA expression levels in pig are based on RNA-seq data generated by the Human Protein Atlas (HPA), and for mouse, HPA data and in situ hybridization generated by the Allen brain atlas are reported.

Scroll down to view mRNA expression data in more detail.
Consensus:1124.2 nTPM
HPA Brain:346.5 nTPM
GTEx:1124.2 nTPM
FANTOM5:264.2 Scaled Tags Per Million
Pig:266.8 nTPM
Mouse:1621.3 nTPM
Allen mouse:0.7 Expression energy

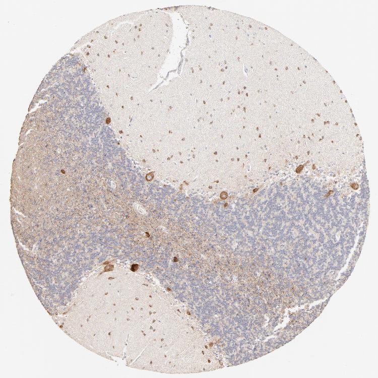
CEREBELLUM - Antibody stainingi

Antibody staining in the annotated cell types in the current human tissue is reported as not detected, low, medium, or high, based on conventional immunohistochemistry profiling in selected tissues. This score is based on the combination of the staining intensity and fraction of stained cells.

Each image is clickable and will lead to virtual microscopy that enables deeper exploration of all samples and also displays staining intensity scores, fraction scores and subcellular localization as well as patient and tissue information for each sample.

Antibody HPA003371
Purkinje cells High
Cells in granular layer Low
Cells in molecular layer Medium



CEREBELLUM - HPA Brain RNA-seq
Max subtype nTPMi

Max subtype nTPM is the value for the subtype with the largest average nTPM across the subtype samples.

346.5
Sample id Sample description nTPM
Cerebellar cortex
nTPM: 346.5
2006 Male, age 61, right hemisphere 462.4
2101 Male, age 74, right hemisphere 403.9
1768 Female, age 72, unknown 379.2
1788 Male, age 55, unknown 335.7
2055 Female, age 91, right hemisphere 334.3
2003 Female, age 85, right hemisphere 309.6
1769 Male, age 76, right hemisphere 297.0
1774 Male, age 80, left hemisphere 250.0
Cerebellar nuclei
nTPM: 287.4
2175 Male, age 61, right hemisphere 375.3
2783 Female, age 72, unknown 373.6
1966 Female, age 91, left hemisphere 302.8
2318 Male, age 74, left hemisphere 297.4
1879 Male, age 55, unknown 294.0
2005 Male, age 80, left hemisphere 286.1
1871 Male, age 74, unknown 275.3
2177 Female, age 85, both hemispheres 192.2
2882 Male, age 76, left hemisphere 190.3
Flocculonodular lobe
nTPM: 281.9
1792 Male, age 74, unknown 362.4
2004 Male, age 61, right hemisphere 330.3
2176 Female, age 91, right hemisphere 299.7
1765 Male, age 55, unknown 263.0
1767 Male, age 76, left hemisphere 259.5
1835 Female, age 85, right hemisphere 234.0
1771 Male, age 80, left hemisphere 224.2
Vermis
nTPM: 256.5
1928 Female, age 72, unknown 380.0
1988 Female, age 85, left hemisphere 334.7
1770 Male, age 76, left hemisphere 275.0
2834 Male, age 80, left hemisphere 271.2
1825 Male, age 74, unknown 249.5
1751 Male, age 74, right hemisphere 214.9
1766 Male, age 55, unknown 214.1
1778 Female, age 91, left hemisphere 196.6
2460 Male, age 61, both hemispheres 172.1

CEREBELLUM - GTEx RNA-seqi

RNA-Seq data generated by the Genotype-Tissue Expression (GTEx) project from human tissues is reported as mean nTPM. More information can be found on the GTEx portal.

Distribution across the dataset is visualized with box plots, shown as median and 25th and 75th percentiles. Points are displayed as outliers if they are above or below 1.5 times the interquartile range. nTPM values of the individual samples are presented next to the box plot.
Max subtype nTPMi

Max subtype nTPM is the value for the subtype with the largest average nTPM across the subtype samples.

1124.2
GTEx sample id Sample description nTPM
Brain - Cerebellar Hemisphere
Average nTPM: 1124.2
Samples: 215

Max nTPM: 2976.8
Min nTPM: 562.5
Std nTPM: 328.5
Median nTPM: 1053.1
GTEX-16Z82-0011-R11a-SM-79OKJ 60-69 years, male 2976.8
GTEX-132Q8-0011-R11b-SM-5DUW9 60-69 years, male 2741.8
GTEX-13FLV-0011-R11a-SM-5LZZ7 50-59 years, male 2136.6
GTEX-1R9K4-0011-R11a-SM-EZ6N9 60-69 years, male 2112.7
GTEX-1B933-0011-R11a-SM-7P8PM 50-59 years, female 2015.5
GTEX-13X6J-0011-R11a-SM-5P9HE 50-59 years, male 1930.3
GTEX-NL4W-0011-R11A-SM-2I3DW 50-59 years, male 1930.1
GTEX-XMD1-0011-R11A-SM-4AT5J 60-69 years, male 1795.5
GTEX-1B8SG-0011-R11a-SM-7P8PF 50-59 years, male 1789.3
GTEX-1JJ6O-0011-R11b-SM-EXUS2 60-69 years, male 1775.2
GTEX-N7MS-0011-R11A-SM-2HMJS 60-69 years, male 1706.5
GTEX-1313W-0011-R11a-SM-5DUXN 50-59 years, female 1697.4
GTEX-1F75W-0011-R11b-SM-AHZ34 60-69 years, male 1666.9
GTEX-12WSC-0011-R11a-SM-5GU5J 50-59 years, male 1615.7
GTEX-17EVP-0011-R11a-SM-7EWDL 40-49 years, male 1563.3
GTEX-1LKK1-0011-R11a-SM-EXOIG 50-59 years, female 1560.1
GTEX-16NPV-0011-R11a-SM-7IGMK 50-59 years, female 1544.0
GTEX-1IGQW-0011-R11a-SM-C1YRV 60-69 years, male 1542.6
GTEX-ZF28-0011-R11a-SM-4WWEI 60-69 years, male 1537.3
GTEX-WL46-0011-R11A-SM-3MJFT 50-59 years, male 1535.9
GTEX-13NYS-0011-R11b-SM-5MR4P 60-69 years, male 1530.4
GTEX-13X6I-0011-R11a-SM-5P9HN 60-69 years, male 1498.0
GTEX-11ZUS-0011-R11b-SM-5BC7B 30-39 years, male 1496.6
GTEX-YJ89-0011-R11a-SM-4SOKA 60-69 years, male 1489.1
GTEX-1I19N-0011-R11b-SM-ARU6Y 70-79 years, male 1476.0
GTEX-145MI-0011-R11a-SM-5P9JZ 60-69 years, female 1462.3
GTEX-WWYW-0011-R11A-SM-3NB38 50-59 years, female 1461.0
GTEX-1F52S-0011-R11a-SM-CJI23 60-69 years, female 1454.6
GTEX-12WSI-0011-R11b-SM-5P9EZ 50-59 years, male 1446.7
GTEX-13JUV-0011-R11a-SM-5LZYH 40-49 years, female 1422.2
GTEX-1CAV2-0011-R11a-SM-ARU8D 40-49 years, female 1405.4
GTEX-13G51-0011-R11b-SM-5J2NE 60-69 years, male 1394.8
GTEX-17JCI-0011-R11a-SM-7189Y 60-69 years, female 1386.1
GTEX-1H3VE-0011-R11b-SM-C1YRP 40-49 years, male 1382.2
GTEX-11DZ1-0011-R11b-SM-DO11W 50-59 years, male 1375.1
GTEX-NPJ8-0011-R11A-SM-2YUMS 40-49 years, male 1372.1
GTEX-NL3H-0011-R11A-SM-2I3E6 60-69 years, male 1364.5
GTEX-X261-0011-R11A-SM-4E3JY 50-59 years, male 1353.6
GTEX-17F97-0011-R11b-SM-7KFRQ 50-59 years, male 1351.5
GTEX-1HGF4-0011-R11a-SM-C1YRR 60-69 years, male 1347.8
GTEX-14ASI-0011-R11b-SM-6AJBJ 60-69 years, male 1347.4
GTEX-17HII-0011-R11b-SM-7KFSX 50-59 years, male 1330.0
GTEX-15CHQ-0011-R11b-SM-686ZZ 60-69 years, male 1326.8
GTEX-11ZTS-0011-R11a-SM-DO113 60-69 years, female 1324.4
GTEX-11EMC-0011-R11b-SM-DNZZK 60-69 years, female 1324.0
GTEX-1F6I4-0011-R11b-SM-9OSWS 60-69 years, male 1305.3
GTEX-1ICLZ-0011-R11a-SM-CJI3N 60-69 years, male 1300.4
GTEX-ZVT3-0011-R11b-SM-57WBI 60-69 years, female 1293.3
GTEX-139TT-0011-R11b-SM-5LZV1 60-69 years, male 1289.1
GTEX-1I1GS-0011-R11a-SM-C1YRU 60-69 years, male 1270.1
GTEX-1F75A-0011-R11a-SM-AHZ35 50-59 years, male 1269.6
GTEX-1CB4G-0011-R11a-SM-9OSWG 60-69 years, male 1269.1
GTEX-1GF9W-0011-R11b-SM-9OSXG 60-69 years, male 1256.5
GTEX-1JMOU-0011-R11b-SM-EXUTA 60-69 years, female 1247.6
GTEX-13OVH-0011-R11b-SM-5KM4X 70-79 years, male 1244.9
GTEX-11EI6-0011-R11a-SM-DO11V 60-69 years, male 1228.3
GTEX-1IOXB-0011-R11a-SM-A9G1X 50-59 years, male 1222.1
GTEX-17EVQ-0011-R11a-SM-7LT9C 70-79 years, male 1218.3
GTEX-Z93S-0011-R11a-SM-4RGNN 50-59 years, male 1217.3
GTEX-14E7W-0011-R11a-SM-5ZZVA 70-79 years, male 1212.2
GTEX-1H4P4-0011-R11b-SM-CE6S8 50-59 years, male 1212.0
GTEX-1GZHY-0011-R11a-SM-C1YRQ 50-59 years, female 1210.3
GTEX-13OVJ-0011-R11a-SM-5P9H8 50-59 years, female 1209.4
GTEX-11TTK-0011-R11b-SM-DO112 60-69 years, female 1203.0
GTEX-12WSH-0011-R11a-SM-5LZVM 50-59 years, male 1194.8
GTEX-16GPK-0011-R11b-SM-7MKFF 60-69 years, male 1187.0
GTEX-X4EP-0011-R11B-SM-4QASK 60-69 years, female 1184.7
GTEX-1IY9M-0011-R11b-SM-A96TI 60-69 years, male 1181.4
GTEX-139UW-0011-R11a-SM-5IJGN 60-69 years, male 1177.2
GTEX-Y8DK-0011-R11A-SM-4SOK2 60-69 years, male 1172.2
GTEX-1M4P7-0011-R11b-SM-EXOIK 60-69 years, male 1170.6
GTEX-N7MT-0011-R11A-SM-2I3DZ 60-69 years, female 1168.1
GTEX-1JJEA-0011-R11a-SM-EXUTE 60-69 years, male 1167.3
GTEX-15G19-0011-R11b-SM-6LPIH 60-69 years, male 1162.2
GTEX-1R9PO-0011-R11b-SM-EZ6NB 60-69 years, female 1160.6
GTEX-X585-0011-R11B-SM-46MUZ 50-59 years, male 1158.2
GTEX-1HBPI-0011-R11b-SM-CE6SH 50-59 years, male 1151.7
GTEX-ZUA1-0011-R11b-SM-51MTI 40-49 years, male 1149.2
GTEX-WHSE-0011-R11A-SM-3P5YY 20-29 years, male 1146.5
GTEX-14PN4-0011-R11a-SM-686ZW 50-59 years, male 1145.6
GTEX-ZVZQ-0011-R11a-SM-51MS6 60-69 years, female 1142.1
GTEX-1LVAO-0011-R11b-SM-EXOI8 60-69 years, male 1137.5
GTEX-16XZZ-0011-R11a-SM-7EPI3 60-69 years, male 1134.6
GTEX-ZE9C-0011-R11a-SM-4WKGG 60-69 years, male 1132.4
GTEX-1KD4Q-0011-R11b-SM-EXOIE 40-49 years, male 1131.2
GTEX-12WSD-0011-R11a-SM-9OSVC 60-69 years, female 1125.5
GTEX-1GMR8-0011-R11b-SM-9OSX2 50-59 years, female 1120.8
GTEX-1J8Q2-0011-R11a-SM-A9SKI 60-69 years, male 1119.6
GTEX-16YQH-0011-R11b-SM-7LT98 30-39 years, male 1118.2
GTEX-1H1ZS-0011-R11a-SM-C1YQM 70-79 years, male 1113.2
GTEX-T2IS-0011-R11A-SM-32QPC 20-29 years, female 1110.8
GTEX-13RTJ-0011-R11a-SM-5O9CK 60-69 years, male 1107.1
GTEX-1H1CY-0011-R11a-SM-C1YQR 60-69 years, female 1106.7
GTEX-1I1GR-0011-R11a-SM-CM2T5 60-69 years, male 1106.5
GTEX-13O3Q-0011-R11b-SM-5KM2W 50-59 years, male 1105.4
GTEX-18A6Q-0011-R11a-SM-72D6H 60-69 years, male 1104.5
GTEX-1JMQJ-0011-R11a-SM-EXOJY 50-59 years, male 1103.9
GTEX-1H1DG-0011-R11a-SM-C1YQK 70-79 years, male 1098.7
GTEX-145MH-0011-R11a-SM-5P9HQ 50-59 years, male 1098.4
GTEX-11DYG-0011-R11a-SM-DNZZP 60-69 years, male 1092.7
GTEX-1LG7Y-0011-R11a-SM-EXOIH 50-59 years, male 1091.1
GTEX-1EKGG-0011-R11a-SM-9QEHZ 60-69 years, male 1089.2
GTEX-ZAB4-0011-R11a-SM-4SOKI 40-49 years, male 1084.1
GTEX-131XH-0011-R11a-SM-5EGLN 50-59 years, male 1075.7
GTEX-14BIM-0011-R11b-SM-5S2RN 60-69 years, female 1065.7
GTEX-1F48J-0011-R11b-SM-9OSWV 50-59 years, female 1060.2
GTEX-1HB9E-0011-R11b-SM-ARU79 50-59 years, male 1057.7
GTEX-1B8L1-0011-R11b-SM-793DJ 60-69 years, male 1053.1
GTEX-ZDXO-0011-R11a-SM-4WWD9 60-69 years, male 1053.1
GTEX-T5JC-0011-R11A-SM-32PMB 20-29 years, male 1053.0
GTEX-14E6D-0011-R11b-SM-664NP 50-59 years, male 1052.1
GTEX-1I1GQ-0011-R11b-SM-CKZPA 50-59 years, male 1051.4
GTEX-1HSKV-0011-R11b-SM-AHZ2E 60-69 years, male 1050.0
GTEX-13SLW-0011-R11a-SM-5SI8Q 70-79 years, male 1048.5
GTEX-1J1OQ-0011-R11a-SM-A96S3 40-49 years, female 1048.5
GTEX-15EO6-0011-R11b-SM-6M47M 50-59 years, male 1042.5
GTEX-1IKK5-0011-R11a-SM-C1YRX 60-69 years, male 1041.7
GTEX-1C64N-0011-R11b-SM-7P8Q6 50-59 years, male 1040.0
GTEX-131XW-0011-R11a-SM-5DUV9 50-59 years, female 1039.1
GTEX-11WQC-0011-R11b-SM-57WD6 60-69 years, male 1037.0
GTEX-11DXY-0011-R11a-SM-DNZZN 60-69 years, male 1029.9
GTEX-13FHO-0011-R11b-SM-5LZYQ 60-69 years, male 1029.0
GTEX-1IDJH-0011-R11b-SM-C1YRT 70-79 years, male 1024.8
GTEX-ZE7O-0011-R11a-SM-57WBC 50-59 years, female 1017.3
GTEX-13NZA-0011-R11b-SM-5KM4W 60-69 years, male 1014.8
GTEX-14ABY-0011-R11a-SM-5SI7C 50-59 years, male 1014.3
GTEX-13PLJ-0011-R11b-SM-5O9BS 60-69 years, female 1013.0
GTEX-14C5O-0011-R11b-SM-6872H 60-69 years, male 1012.2
GTEX-RU72-0011-R11A-SM-CM2U1 50-59 years, female 1007.3
GTEX-12WSF-0011-R11a-SM-5LZVT 70-79 years, male 1006.9
GTEX-1N2DW-0011-R11b-SM-EXOIL 50-59 years, male 1006.1
GTEX-NPJ7-0011-R11A-SM-2I3E8 60-69 years, female 1005.1
GTEX-1GZ4I-0011-R11b-SM-9OSWR 50-59 years, male 1004.1
GTEX-1E1VI-0011-R11a-SM-9OSWI 50-59 years, male 1003.4
GTEX-13QIC-0011-R11b-SM-5O9BU 60-69 years, female 1002.8
GTEX-12ZZZ-0011-R11a-SM-5EGLC 60-69 years, male 995.4
GTEX-13FTY-0011-R11a-SM-5IJEA 40-49 years, female 992.5
GTEX-183WM-0011-R11a-SM-718A5 70-79 years, female 989.9
GTEX-1H3O1-0011-R11a-SM-A96RV 60-69 years, male 984.6
GTEX-1I1HK-0011-R11a-SM-B2LVN 60-69 years, male 982.6
GTEX-UTHO-0011-R11A-SM-3GIJE 60-69 years, male 982.5
GTEX-12WSM-0011-R11a-SM-5DUX8 60-69 years, male 979.8
GTEX-1A3MX-0011-R11b-SM-7DUGP 60-69 years, male 979.1
GTEX-1HFI6-0011-R11b-SM-A96RU 40-49 years, male 976.5
GTEX-OHPN-0011-R11A-SM-2I5FM 60-69 years, female 973.2
GTEX-14C39-0011-R11b-SM-5YYAF 40-49 years, male 971.5
GTEX-13O3O-0011-R11b-SM-5KM4G 60-69 years, female 970.7
GTEX-1I1GV-0011-R11a-SM-CJI3Z 60-69 years, male 969.8
GTEX-1LSVX-0011-R11b-SM-EXOIA 60-69 years, male 965.4
GTEX-13VXU-0011-R11b-SM-5O9DJ 50-59 years, male 957.7
GTEX-11OF3-0011-R11a-SM-57WCR 60-69 years, male 951.6
GTEX-1BAJH-0011-R11b-SM-7IGLM 70-79 years, male 948.6
GTEX-1N2EE-0011-R11b-SM-EXOIJ 60-69 years, male 948.1
GTEX-13N2G-0011-R11a-SM-5MR3F 60-69 years, male 947.5
GTEX-1HCU6-0011-R11b-SM-AHZ2F 60-69 years, female 945.5
GTEX-13SLX-0011-R11b-SM-5O9C8 50-59 years, female 943.3
GTEX-1GTWX-0011-R11b-SM-C1YQJ 60-69 years, male 936.7
GTEX-13FXS-0011-R11a-SM-5L3DM 50-59 years, male 932.7
GTEX-11PRG-0011-R11b-SM-DNZZY 50-59 years, male 930.4
GTEX-1GMRU-0011-R11b-SM-C1YQ4 50-59 years, male 928.9
GTEX-13NYB-0011-R11a-SM-5KM3Q 40-49 years, male 925.7
GTEX-RVPV-0011-R11A-SM-2TF6F 60-69 years, male 918.1
GTEX-YFC4-0011-R11a-SM-4SOK6 40-49 years, female 913.3
GTEX-11GSP-0011-R11b-SM-5NQ7V 60-69 years, female 912.7
GTEX-P44G-0011-R11A-SM-2I3FD 30-39 years, male 908.4
GTEX-13S7M-0011-R11b-SM-5P9HU 60-69 years, female 908.0
GTEX-144GL-0011-R11b-SM-5P9F6 50-59 years, male 903.6
GTEX-1EMGI-0011-R11b-SM-9OSWX 60-69 years, male 903.3
GTEX-13OW7-0011-R11a-SM-5O9DY 50-59 years, male 902.1
GTEX-1H3NZ-0011-R11b-SM-CE6SF 60-69 years, male 895.9
GTEX-13JVG-0011-R11a-SM-5KM53 60-69 years, male 891.1
GTEX-WZTO-0011-R11A-SM-4E3K9 40-49 years, male 891.0
GTEX-11H98-0011-R11b-SM-5NQ6U 50-59 years, male 889.2
GTEX-1399T-0011-R11a-SM-5J2O1 60-69 years, male 884.3
GTEX-15ER7-0011-R11a-SM-6LPIL 20-29 years, female 884.3
GTEX-13PVQ-0011-R11a-SM-5O9DU 50-59 years, male 881.1
GTEX-15DCD-0011-R11a-SM-D4P1R 70-79 years, female 879.4
GTEX-13OVL-0011-R11b-SM-5L3G7 50-59 years, male 876.2
GTEX-P44H-0011-R11A-SM-2XCER 40-49 years, male 875.5
GTEX-13X6K-0011-R11a-SM-5P9F5 60-69 years, female 872.4
GTEX-1F7RK-0011-R11b-SM-9QEI2 20-29 years, female 870.1
GTEX-13CZV-0011-R11b-SM-5N9FN 60-69 years, male 869.6
GTEX-15DYW-0011-R11a-SM-6LPIT 60-69 years, female 862.3
GTEX-18464-0011-R11a-SM-72D76 50-59 years, male 859.0
GTEX-13OW6-0011-R11a-SM-5L3H2 50-59 years, male 849.7
GTEX-S7SE-0011-R11A-SM-2XCDD 50-59 years, male 847.0
GTEX-1IKOH-0011-R11a-SM-AHZ38 60-69 years, female 846.9
GTEX-13OW5-0011-R11b-SM-5L3GG 60-69 years, male 845.0
GTEX-12126-0011-R11a-SM-5BC6X 20-29 years, male 844.2
GTEX-17HG3-0011-R11b-SM-7KFT4 30-39 years, female 842.3
GTEX-1GN73-0011-R11b-SM-9OSX4 60-69 years, male 840.9
GTEX-1IL2V-0011-R11a-SM-ARU6T 70-79 years, male 813.2
GTEX-12ZZX-0011-R11a-SM-5DUVJ 40-49 years, female 808.6
GTEX-131YS-0011-R11b-SM-5EGLM 60-69 years, female 792.8
GTEX-1IL2U-0011-R11a-SM-CE6SO 60-69 years, male 792.1
GTEX-13CF2-0011-R11b-SM-5LZXO 60-69 years, male 790.0
GTEX-1AX9I-0011-R11b-SM-7DHN4 60-69 years, male 785.4
GTEX-1B8SF-0011-R11a-SM-79OOP 60-69 years, male 784.2
GTEX-13OW8-0011-R11a-SM-5L3GT 60-69 years, male 761.6
GTEX-1HUB1-0011-R11b-SM-CE6SC 60-69 years, male 745.3
GTEX-14BIN-0011-R11a-SM-5SI79 50-59 years, female 742.4
GTEX-TSE9-0011-R11A-SM-3DB7N 60-69 years, female 740.0
GTEX-18465-0011-R11a-SM-72D78 50-59 years, male 728.1
GTEX-13FHP-0011-R11b-SM-5LZXP 50-59 years, male 726.7
GTEX-14DAQ-0011-R11a-SM-664NO 60-69 years, female 683.7
GTEX-X4XX-0011-R11A-SM-46MWQ 60-69 years, male 677.4
GTEX-QMR6-0011-R11A-SM-32PKK 50-59 years, male 669.4
GTEX-WVLH-0011-R11A-SM-3MJFO 50-59 years, male 656.9
GTEX-T6MN-0011-R11A-SM-32QOX 50-59 years, male 653.2
GTEX-12WSE-0011-R11b-SM-5P9JW 20-29 years, male 649.9
GTEX-QDT8-0011-R11A-SM-32PKD 30-39 years, female 639.0
GTEX-145LU-0011-R11b-SM-5P9JX 50-59 years, male 631.1
GTEX-Q2AG-0011-R11A-SM-2HMKZ 40-49 years, female 600.7
GTEX-1J8EW-0011-R11a-SM-AHZ37 60-69 years, female 595.3
GTEX-R55E-0011-R11A-SM-2TC6I 20-29 years, male 562.5
Show allShow less
Brain - Cerebellum
Average nTPM: 940.6
Samples: 241

Max nTPM: 1603.3
Min nTPM: 596.9
Std nTPM: 171.3
Median nTPM: 921.1
GTEX-XMD1-2826-SM-4AT5F 60-69 years, male 1603.3
GTEX-NPJ8-2626-SM-2D7W2 40-49 years, male 1552.7
GTEX-Y111-2826-SM-4TT3O 50-59 years, male 1518.6
GTEX-13OVJ-2726-SM-5IJG6 50-59 years, female 1353.1
GTEX-1JMQJ-3126-SM-EV79G 50-59 years, male 1325.2
GTEX-X261-3126-SM-4PQZC 50-59 years, male 1318.5
GTEX-1F75W-3126-SM-7P8SJ 60-69 years, male 1297.7
GTEX-UTHO-2926-SM-3P5Z9 60-69 years, male 1293.2
GTEX-1F48J-2726-SM-7P8PW 50-59 years, female 1292.0
GTEX-WWYW-3026-SM-3NB36 50-59 years, female 1287.3
GTEX-1RNSC-3126-SM-EVR4V 60-69 years, male 1275.5
GTEX-1B8SG-1926-SM-73KUB 50-59 years, male 1270.7
GTEX-1JN1M-3126-SM-AHZ4E 60-69 years, female 1261.3
GTEX-1GF9W-2726-SM-9JGGW 60-69 years, male 1257.0
GTEX-1F6I4-3026-SM-7P8SI 60-69 years, male 1251.1
GTEX-WL46-2826-SM-3LK81 50-59 years, male 1245.4
GTEX-13RTJ-3126-SM-5S2Q4 60-69 years, male 1245.2
GTEX-1EH9U-3126-SM-7MXU5 60-69 years, male 1241.8
GTEX-1H1ZS-2926-SM-9WPP2 70-79 years, male 1232.8
GTEX-1192X-3226-SM-5987D 50-59 years, male 1226.5
GTEX-1PWST-3026-SM-EAZ3H 70-79 years, male 1178.1
GTEX-1B8L1-3226-SM-7P8OX 60-69 years, male 1172.9
GTEX-13NYB-3226-SM-5J2ND 40-49 years, male 1171.1
GTEX-1HB9E-3126-SM-AHZ4M 50-59 years, male 1168.2
GTEX-14BIM-3126-SM-5Q5C7 60-69 years, female 1154.7
GTEX-1I1CD-2926-SM-A96SJ 60-69 years, female 1151.9
GTEX-13112-2926-SM-5DUWT 50-59 years, male 1148.8
GTEX-13OW5-3126-SM-5MR3Y 60-69 years, male 1142.7
GTEX-1MJK2-3026-SM-EV7A5 50-59 years, male 1141.5
GTEX-ZAB4-2926-SM-57WCV 40-49 years, male 1141.4
GTEX-ZZPT-2926-SM-5EQ5S 50-59 years, male 1131.3
GTEX-13O3Q-3026-SM-5IJGD 50-59 years, male 1117.7
GTEX-131YS-3026-SM-5EGHY 60-69 years, female 1116.0
GTEX-1JMLX-3026-SM-EV79Q 50-59 years, male 1113.5
GTEX-1128S-2826-SM-5N9DI 60-69 years, female 1112.6
GTEX-11GSP-3126-SM-5A5LL 60-69 years, female 1108.0
GTEX-WHSE-2926-SM-3NMBG 20-29 years, male 1105.3
GTEX-N7MT-1226-SM-DKPOK 60-69 years, female 1105.0
GTEX-PWO3-1026-SM-2I5F2 60-69 years, female 1102.0
GTEX-T5JC-2326-SM-32PMR 20-29 years, male 1096.9
GTEX-11DZ1-2926-SM-5A5KI 50-59 years, male 1092.0
GTEX-13N2G-3126-SM-5IJGL 60-69 years, male 1091.3
GTEX-183WM-2726-SM-7KFRF 70-79 years, female 1090.0
GTEX-1313W-3026-SM-5LZUZ 50-59 years, female 1085.7
GTEX-13OW7-2926-SM-5MR3Z 50-59 years, male 1083.1
GTEX-1RDX4-3226-SM-DPS14 50-59 years, female 1081.8
GTEX-13X6I-2926-SM-5Q5C3 60-69 years, male 1080.0
GTEX-1GZHY-3026-SM-7MXVA 50-59 years, female 1076.3
GTEX-13QIC-3026-SM-5LU58 60-69 years, female 1074.6
GTEX-1F75A-2926-SM-7MXVN 50-59 years, male 1074.0
GTEX-17F97-2926-SM-7DUEQ 50-59 years, male 1069.1
GTEX-14E6D-2926-SM-664OP 50-59 years, male 1064.2
GTEX-1QEPI-3026-SM-EXOIW 60-69 years, female 1062.1
GTEX-ZAK1-2926-SM-5HL9S 50-59 years, female 1061.4
GTEX-131XH-2926-SM-5LZU4 50-59 years, male 1061.2
GTEX-1IKOH-2826-SM-CNNRC 60-69 years, female 1061.0
GTEX-T2IS-2926-SM-32QPO 20-29 years, female 1044.9
GTEX-T6MN-2526-SM-32PMN 50-59 years, male 1036.5
GTEX-1H3VE-2826-SM-9WPOL 40-49 years, male 1028.3
GTEX-1HSMO-2926-SM-C1YR5 60-69 years, male 1027.8
GTEX-12ZZY-2926-SM-5DUXO 60-69 years, male 1027.6
GTEX-1JMQK-2926-SM-D4P2T 60-69 years, male 1026.4
GTEX-13FHO-2926-SM-5L3ES 60-69 years, male 1026.3
GTEX-132Q8-2926-SM-5IFFP 60-69 years, male 1014.0
GTEX-N7MS-2526-SM-2D7W3 60-69 years, male 1012.7
GTEX-XLM4-2926-SM-4AT59 60-69 years, male 1012.0
GTEX-1H3O1-1826-SM-A96TO 60-69 years, male 1011.9
GTEX-11DXY-3126-SM-5N9BT 60-69 years, male 1011.4
GTEX-ZF28-2926-SM-4WKG1 60-69 years, male 1008.9
GTEX-Z93S-2826-SM-57WBL 50-59 years, male 1008.6
GTEX-X4EP-3026-SM-3P5YP 60-69 years, female 1008.5
GTEX-1BAJH-3126-SM-7MGXY 70-79 years, male 1003.0
GTEX-1PIIG-2826-SM-DTX7O 30-39 years, male 1001.9
GTEX-14ABY-3026-SM-664NE 50-59 years, male 993.9
GTEX-13OVH-2926-SM-5IJFH 70-79 years, male 993.4
GTEX-1GTWX-2926-SM-7MXV4 60-69 years, male 990.9
GTEX-11ONC-3026-SM-5985W 60-69 years, male 990.8
GTEX-1E2YA-2926-SM-7MGWX 50-59 years, male 990.4
GTEX-1JJ6O-3026-SM-C1YQH 60-69 years, male 989.6
GTEX-11TTK-2826-SM-5GU5K 60-69 years, female 988.8
GTEX-13S7M-3026-SM-5S2QQ 60-69 years, female 987.4
GTEX-1B933-3026-SM-731DB 50-59 years, female 985.4
GTEX-15G19-2826-SM-6M48K 60-69 years, male 981.4
GTEX-1F6IF-3026-SM-7P8QN 60-69 years, male 980.0
GTEX-1GF9V-3026-SM-7P8R8 60-69 years, male 977.6
GTEX-1KD4Q-3026-SM-EV7A7 40-49 years, male 977.2
GTEX-ZYFD-2926-SM-5GID9 50-59 years, male 976.5
GTEX-13G51-3126-SM-5IJG7 60-69 years, male 975.4
GTEX-1NV8Z-3026-SM-DTX8Z 60-69 years, male 974.2
GTEX-14ASI-2926-SM-5Q5DG 60-69 years, male 972.5
GTEX-11O72-2826-SM-5HL6W 40-49 years, male 971.2
GTEX-1HBPI-2726-SM-9WPPF 50-59 years, male 971.0
GTEX-1H1CY-3026-SM-9OSW7 60-69 years, female 969.9
GTEX-1R9PO-2826-SM-E6CPV 60-69 years, female 969.4
GTEX-15EO6-2926-SM-6M48D 50-59 years, male 967.9
GTEX-ZDXO-2926-SM-4WKFM 60-69 years, male 967.4
GTEX-1399T-3126-SM-5IJFS 60-69 years, male 965.6
GTEX-ZAJG-3026-SM-5HL92 50-59 years, female 963.8
GTEX-12WSM-2126-SM-5GCOC 60-69 years, male 963.7
GTEX-13FXS-3026-SM-5LZYO 50-59 years, male 963.6
GTEX-YFC4-3026-SM-5IFJK 40-49 years, female 958.4
GTEX-1C6VR-3026-SM-7IGLW 60-69 years, male 957.1
GTEX-14PN4-3026-SM-664O4 50-59 years, male 954.1
GTEX-ZUA1-2926-SM-59HL3 40-49 years, male 953.9
GTEX-1CB4G-2926-SM-7MKFQ 60-69 years, male 951.4
GTEX-12ZZZ-3126-SM-5LZU6 60-69 years, male 950.7
GTEX-1A3MX-2926-SM-718B7 60-69 years, male 950.4
GTEX-1LG7Y-3126-SM-EV7AS 50-59 years, male 946.9
GTEX-13O3O-3026-SM-5KM42 60-69 years, female 946.2
GTEX-13CF2-3026-SM-5IFFX 60-69 years, male 946.0
GTEX-12WSC-2926-SM-5BC5Z 50-59 years, male 945.7
GTEX-1F52S-3026-SM-7P8PV 60-69 years, female 940.9
GTEX-11OC5-0626-SM-5HL6M 60-69 years, male 938.6
GTEX-15DYW-3026-SM-7KFRM 60-69 years, female 938.6
GTEX-14A5I-2826-SM-5SIBF 50-59 years, female 934.2
GTEX-147GR-3126-SM-5S2PM 60-69 years, male 930.0
GTEX-1LSVX-2826-SM-EVR58 60-69 years, male 928.8
GTEX-13SLX-3226-SM-5YYA6 50-59 years, female 926.0
GTEX-16XZZ-2926-SM-6LPK4 60-69 years, male 924.0
GTEX-1C6WA-3326-SM-7MKGN 60-69 years, male 923.0
GTEX-R55E-2526-SM-2TC6H 20-29 years, male 921.1
GTEX-11ZUS-2826-SM-5EQKW 30-39 years, male 921.0
GTEX-16Z82-2926-SM-6LPJJ 60-69 years, male 920.1
GTEX-1GN73-3026-SM-7MXV8 60-69 years, male 919.1
GTEX-13OW6-2926-SM-5KM29 50-59 years, male 918.9
GTEX-14DAQ-3026-SM-5S2QZ 60-69 years, female 918.5
GTEX-18465-2926-SM-7KFSE 50-59 years, male 911.5
GTEX-13VXU-3026-SM-5LU3K 50-59 years, male 911.2
GTEX-13OVL-3026-SM-5IJF1 50-59 years, male 910.6
GTEX-1KANB-3226-SM-D4P3G 50-59 years, male 910.1
GTEX-145LU-2626-SM-5LU9Z 50-59 years, male 908.9
GTEX-Y8DK-0726-SM-4TT3S 60-69 years, male 907.3
GTEX-YJ89-2926-SM-5P9IT 60-69 years, male 906.5
GTEX-12WSE-2926-SM-5RQJ9 20-29 years, male 902.5
GTEX-Q2AG-2826-SM-2HMJQ 40-49 years, female 902.1
GTEX-17JCI-3026-SM-7EWDR 60-69 years, female 899.4
GTEX-18A6Q-2826-SM-7LTAO 60-69 years, male 898.1
GTEX-145LS-3026-SM-5O99S 60-69 years, female 897.6
GTEX-1IDJH-3126-SM-C1YQS 70-79 years, male 897.1
GTEX-14BIN-3326-SM-5Q5E6 50-59 years, female 896.9
GTEX-14E7W-2926-SM-5S2R8 70-79 years, male 896.4
GTEX-11EI6-2926-SM-5985U 60-69 years, male 892.8
GTEX-145MH-2926-SM-5Q5D2 50-59 years, male 890.7
GTEX-11DXW-1026-SM-5H11K 40-49 years, male 889.2
GTEX-13FHP-2926-SM-5IJG9 50-59 years, male 886.3
GTEX-QVJO-1325-SM-2S1QX 60-69 years, female 884.6
GTEX-1J1OQ-3126-SM-D4P2O 40-49 years, female 882.8
GTEX-11ZTS-3226-SM-5EGID 60-69 years, female 879.7
GTEX-1H4P4-2726-SM-9JGGB 50-59 years, male 879.5
GTEX-1JMPZ-2826-SM-C1YRA 30-39 years, male 877.0
GTEX-1E1VI-2926-SM-7IGLT 50-59 years, male 876.7
GTEX-14JIY-2326-SM-6AJAJ 60-69 years, male 875.6
GTEX-1EX96-3126-SM-9JGGC 50-59 years, male 869.9
GTEX-15SHU-3026-SM-6LPIB 40-49 years, female 869.5
GTEX-NPJ7-2826-SM-2I3FU 60-69 years, female 868.3
GTEX-1H1DG-2826-SM-9JGHB 70-79 years, male 867.3
GTEX-1R46S-3126-SM-DPRZ9 60-69 years, female 861.4
GTEX-139TS-3126-SM-5LZWX 60-69 years, male 860.7
GTEX-15ER7-3026-SM-6M47W 20-29 years, female 859.7
GTEX-139TT-2626-SM-5LZUB 60-69 years, male 853.5
GTEX-P44G-2526-SM-2I5EK 30-39 years, male 851.4
GTEX-ZYY3-3026-SM-5GIEJ 60-69 years, female 849.1
GTEX-S7SE-2526-SM-2XCDL 50-59 years, male 848.0
GTEX-111FC-3326-SM-5GZYV 60-69 years, male 845.2
GTEX-11NUK-3026-SM-5986K 50-59 years, male 845.0
GTEX-1HSKV-2926-SM-B2LWJ 60-69 years, male 844.7
GTEX-1GZ2Q-3026-SM-9JGG3 40-49 years, male 839.7
GTEX-1JJE9-3026-SM-CNNPA 70-79 years, male 836.1
GTEX-12WSH-3126-SM-5LZW8 50-59 years, male 833.3
GTEX-1EMGI-3126-SM-7MXUR 60-69 years, male 832.7
GTEX-1B996-2926-SM-7MXUH 60-69 years, male 832.0
GTEX-14C5O-2926-SM-5RQI1 60-69 years, male 831.8
GTEX-11NV4-2226-SM-5BC4T 60-69 years, male 830.7
GTEX-16YQH-2926-SM-6LPJE 30-39 years, male 830.5
GTEX-QDT8-3026-SM-32PKB 30-39 years, female 830.4
GTEX-1JMOU-2826-SM-EV79R 60-69 years, female 830.0
GTEX-13JVG-3226-SM-5IJGJ 60-69 years, male 828.8
GTEX-11GSO-3026-SM-5Q5AL 60-69 years, male 828.3
GTEX-145MG-3126-SM-5Q5D3 50-59 years, male 827.9
GTEX-17HG3-2826-SM-7EPGO 30-39 years, female 827.1
GTEX-11EMC-3326-SM-5P9JH 60-69 years, female 821.3
GTEX-1I1HK-2726-SM-AHZ2M 60-69 years, male 816.9
GTEX-13X6K-2826-SM-5O9DS 60-69 years, female 816.3
GTEX-17EVP-2926-SM-793BU 40-49 years, male 816.2
GTEX-OHPN-2626-SM-2I5H1 60-69 years, female 813.6
GTEX-1HBPH-3026-SM-9WPNY 40-49 years, female 812.1
GTEX-1EKGG-3126-SM-9WPO5 60-69 years, male 801.8
GTEX-14JG1-2926-SM-686ZK 40-49 years, male 798.2
GTEX-14PJM-3026-SM-6LLHM 50-59 years, female 793.8
GTEX-RU72-2926-SM-2TF66 50-59 years, female 792.1
GTEX-17EVQ-2726-SM-7EWDT 70-79 years, male 792.0
GTEX-1EWIQ-3026-SM-7IGOJ 70-79 years, female 789.8
GTEX-1QP6S-3026-SM-EAZ4N 40-49 years, male 788.9
GTEX-14C39-3026-SM-5S2QE 40-49 years, male 788.0
GTEX-1POEN-2726-SM-E9U6B 30-39 years, female 785.2
GTEX-WVLH-2926-SM-3MJG5 50-59 years, male 785.1
GTEX-1A8G7-3026-SM-73KTT 60-69 years, male 782.8
GTEX-1B8SF-3026-SM-731DX 60-69 years, male 781.6
GTEX-12WSD-3026-SM-5LZU7 60-69 years, female 779.4
GTEX-1IY9M-3126-SM-AHZ3A 60-69 years, male 778.2
GTEX-147F4-3026-SM-5Q5BJ 50-59 years, male 775.5
GTEX-WZTO-2826-SM-3NM8P 40-49 years, male 775.4
GTEX-14JFF-2826-SM-6871Q 60-69 years, male 773.3
GTEX-145MF-2826-SM-7EPGU 50-59 years, male 769.3
GTEX-QMR6-1326-SM-32PLB 50-59 years, male 768.8
GTEX-QVUS-2926-SM-3GIJB 60-69 years, female 762.7
GTEX-1I1GV-3026-SM-CNNR9 60-69 years, male 760.4
GTEX-1KWVE-2226-SM-CXZKN 30-39 years, male 753.9
GTEX-11ZVC-3026-SM-59HJM 50-59 years, female 751.5
GTEX-1CB4H-3026-SM-79OLX 60-69 years, female 750.7
GTEX-1269C-3126-SM-5EGI6 60-69 years, female 750.5
GTEX-1IL2V-3026-SM-CYPSA 70-79 years, male 749.6
GTEX-ZVT3-2926-SM-5GU6M 60-69 years, female 745.7
GTEX-1GZ4I-2926-SM-9JGGO 50-59 years, male 744.1
GTEX-1RQEC-3026-SM-DPRXM 60-69 years, male 741.7
GTEX-11DYG-2926-SM-5H132 60-69 years, male 741.3
GTEX-13JUV-3026-SM-5K7WX 40-49 years, female 739.8
GTEX-117XS-3126-SM-5GIDP 60-69 years, male 737.9
GTEX-TSE9-2926-SM-3DB77 60-69 years, female 736.7
GTEX-13PVQ-2926-SM-5L3HJ 50-59 years, male 733.4
GTEX-1P4AB-3026-SM-EXOJS 50-59 years, male 732.6
GTEX-12126-0926-SM-5FQTW 20-29 years, male 724.5
GTEX-1H3NZ-2926-SM-9WPQ8 60-69 years, male 723.8
GTEX-RNOR-2226-SM-2TF5O 50-59 years, female 721.1
GTEX-144GL-2926-SM-5O99F 50-59 years, male 719.5
GTEX-14PJO-2926-SM-686ZI 60-69 years, male 718.2
GTEX-14BMV-2926-SM-5TDEE 50-59 years, male 705.5
GTEX-11PRG-2826-SM-5BC54 50-59 years, male 704.1
GTEX-13OW8-2926-SM-5L3FV 60-69 years, male 702.4
GTEX-12ZZX-2826-SM-5BC6K 40-49 years, female 699.2
GTEX-1C64N-3126-SM-79OO3 50-59 years, male 696.1
GTEX-1HCVE-2926-SM-9WPPJ 50-59 years, male 695.3
GTEX-1JJEA-2926-SM-C1YSK 60-69 years, male 694.6
GTEX-PVOW-2626-SM-32PL8 40-49 years, male 692.0
GTEX-17HII-2926-SM-79OMK 50-59 years, male 686.1
GTEX-17HHY-2926-SM-79OJW 50-59 years, male 675.8
GTEX-X4XX-2926-SM-3NMB1 60-69 years, male 663.0
GTEX-1A8G6-3126-SM-731D8 60-69 years, male 658.9
GTEX-1EU9M-2926-SM-793DF 60-69 years, male 649.3
GTEX-P44H-2426-SM-2XCEJ 40-49 years, male 616.7
GTEX-13X6J-2926-SM-7EPGP 50-59 years, male 596.9
Show allShow less

CEREBELLUM - FANTOM5 CAGEi

RNA expression in human tissues obtained through Cap Analysis of Gene Expression (CAGE) generated by the FANTOM5 project are reported as Scaled Tags Per Million.

Max subtype Scaled Tags Per Millioni

Max subtype Scaled Tags Per Million is the value for the subtype with the largest average Scaled Tags Per Million across the subtype samples.

264.2
FANTOM5 sample id Sample description Scaled Tags Per Million
Cerebellum
Scaled Tags Per Million: 264.2
FF:10083-102B2 22-68 years, mixed 379.6
FF:10166-103B4 76 years, female 148.8

CEREBELLUM - Pig RNA-seqi

RNA-seq data obtained from pig brain is reported as nTPM .

Normal distribution across the dataset is visualized with box plots, shown as median and 25th and 75th percentiles. Points are displayed as outliers if they are above or below 1.5 times the interquartile range. nTPM values of the individual samples are presented next to the box plot.
Max subtype nTPMi

Max subtype nTPM is the value for the subtype with the largest average nTPM across the subtype samples.

266.8
Pig sample Sample description nTPM
Cerebellum
nTPM: 266.8
Samples: 4

Max nTPM: 397.7
Min nTPM: 207.2
Sample A Female 397.7
Sample B Female 218.4
Sample C Male 243.9
Sample D Male 207.2

CEREBELLUM - Mouse RNA-seqi

RNA-seq data obtained from mouse brain is reported as nTPM .

Normal distribution across the dataset is visualized with box plots, shown as median and 25th and 75th percentiles. Points are displayed as outliers if they are above or below 1.5 times the interquartile range. nTPM values of the individual samples are presented next to the box plot.
Max subtype nTPMi

Max subtype nTPM is the value for the subtype with the largest average nTPM across the subtype samples.

1621.3
Mouse sample Sample description nTPM
Cerebellum
nTPM: 1621.3
Samples: 4

Max nTPM: 1863.3
Min nTPM: 1501.7
Sample A Male 1605.7
Sample B Male 1863.3
Sample C Female 1501.7
Sample D Female 1514.3

CEREBELLUM - Allen Mouse ISHi

In situ hybridization (ISH) data generated by the Allen brain atlas from mouse brain is reported as expression energy. For more details about a particular experiment, click on the corresponding Allen experiment ID.

Max subtype Expression energyi

Max subtype Expression energy is the value for the subtype with the largest average Expression energy across the subtype samples.

0.7
Allen experiment id Experiment description Expression energy
Cerebellum
Expression energy: 0.7
74425523 Antisense, RP_051214_02_E09, Mouse strain C57BL/6J (56 days, male) 1.4
68545854 Antisense, RP_050120_01_F03, Mouse strain C57BL/6J (56 days, male) 0.0

Contact

  • NEWS ARTICLES
  • PRESS ROOM

The Project

  • INTRODUCTION
  • ORGANIZATION
  • PUBLICATIONS

The Human Protein Atlas

  • DOWNLOADABLE DATA
  • LICENCE & CITATION
  • HELP & FAQ
The Human Protein Atlas project is funded
by the Knut & Alice Wallenberg Foundation.


contact@proteinatlas.org