We use cookies to enhance the usability of our website. If you continue, we'll assume that you are happy to receive all cookies. More information. Don't show this again.
ITGB4
HPA
RESOURCES
  • TISSUE
  • BRAIN
  • SINGLE CELL
  • SUBCELLULAR
  • CANCER
  • BLOOD
  • CELL LINE
  • STRUCTURE & INTERACTION
ABOUT
  • INTRODUCTION
  • HISTORY
  • ORGANIZATION
  • PUBLICATIONS
  • ANTIBODY SUBMISSION
  • ANTIBODY AVAILABILITY
  • ACKNOWLEDGMENTS
  • CONTACT
NEWS
  • NEWS ARTICLES
  • PRESS ROOM
LEARN
  • DICTIONARY
  • PROTEIN CLASSES
  • PROTEIN EVIDENCE
  • METHODS
  • EDUCATIONAL VIDEOS
DATA
  • DOWNLOADABLE DATA
  • PUBLICATION DATA
  • RELEASE HISTORY
HELP
  • ANTIBODY VALIDATION
  • ASSAYS & ANNOTATION
  • DISCLAIMER
  • HELP & FAQ
  • PRIVACY STATEMENT
  • LICENCE & CITATION
Fields »
Search result

Field
Term
Gene name
Class
Subclass
Class
Keyword
Chromosome
External id
Tissue
Cell type
Expression
Antibody panel
Tissue
Main location
Patient ID
Annotation
Tissue
Category
Tau score
Cluster
Reliability
Brain region
Category
Tau score
Brain region
Category
Tau score
Brain region
Category
Tau score
Cluster
Reliability
Tissue
Cell type
Enrichment
Cell type
Category
Tau score
Cell type
Category
Tau score
Cell type
Category
Tau score
Cell lineage
Category
Tau score
Cluster
Cluster
Location
Searches
Location
Cell line
Class
Type
Phase
Reliability
Cancer
Prognosis
Cancer
Category
Cancer
Category
Tau score
Cluster
Variants
Interacting gene (ensg_id)
Type
Number of interactions
Pathway
Category
Score
Score
Score
Validation
Validation
Validation
Validation
Antibodies
Data type
Column


  • SUMMARY

  • TISSUE

  • BRAIN

  • SINGLE CELL

  • SUBCELL

  • CANCER

  • BLOOD

  • CELL LINE

  • STRUCT & INT

  • ITGB4
TISSUE PRIMARY DATA ADIPOSE TISSUE Show tissue menu
ADIPOSE TISSUE ADRENAL GLAND AMYGDALA APPENDIX BASAL GANGLIA BONE MARROW BREAST BRONCHUS CEREBELLUM CEREBRAL CORTEX CERVIX CHOROID PLEXUS COLON DUODENUM
ENDOMETRIUM EPIDIDYMIS ESOPHAGUS FALLOPIAN TUBE GALLBLADDER HEART MUSCLE HIPPOCAMPAL FORMATION HYPOTHALAMUS KIDNEY LIVER LUNG LYMPH NODE MIDBRAIN NASOPHARYNX
ORAL MUCOSA OVARY PANCREAS PARATHYROID GLAND PITUITARY GLAND PLACENTA PROSTATE RECTUM RETINA SALIVARY GLAND SEMINAL VESICLE SKELETAL MUSCLE SKIN SMALL INTESTINE
SMOOTH MUSCLE SOFT TISSUE SPINAL CORD SPLEEN STOMACH TESTIS THYMUS THYROID GLAND TONGUE TONSIL URINARY BLADDER VAGINA
ANTIBODIES
AND
VALIDATION
Dictionary
Tissue proteome
Adipose tissue
ADIPOSE TISSUE - Expression summary
Protein expression
Adipose tissuei

On the top, protein expression in current human tissue, based on all annotated cell types, is reported with the units not detected (n), low (l), medium (m) and high (h). Underneath, protein expression in each annotated cell type are reported using the same units.

Protein expression data is based on knowledge-based annotation. For genes where more than one antibody has been used, a collective score is set.

If knowledge-based annotation could not be performed for a gene, no data is displayed here. View antibody staining data further down this page.

h
m
l
n
Adipocytes: Low
RNA expressioni

A summary of mRNA expression data available for current tissue based on several datasets. The mRNA expression levels in human tissues are based on RNA-seq data generated by the Human Protein Atlas (HPA), Genotype-Tissue Expression (GTEx) portal and CAGE data generated by the FANTOM5 consortium. Consensus normalized expression levels for human tissues was created by combining the data from HPA and GTEx datasets.

The mRNA expression levels in pig are based on RNA-seq data generated by the Human Protein Atlas (HPA), and for mouse, HPA data and in situ hybridization generated by the Allen brain atlas are reported.

Scroll down to view mRNA expression data in more detail.
Consensus:38.0 nTPM
HPA:9.3 nTPM
GTEx:38.0 nTPM
FANTOM5:27.4 Scaled Tags Per Million

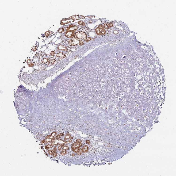
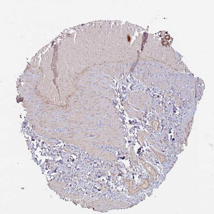
ADIPOSE TISSUE - Antibody stainingi

Antibody staining in the annotated cell types in the current human tissue is reported as not detected, low, medium, or high, based on conventional immunohistochemistry profiling in selected tissues. This score is based on the combination of the staining intensity and fraction of stained cells.

Each image is clickable and will lead to virtual microscopy that enables deeper exploration of all samples and also displays staining intensity scores, fraction scores and subcellular localization as well as patient and tissue information for each sample.

Antibody HPA036348Antibody HPA036349Antibody CAB002422Antibody CAB005258
Adipocytes LowNot detectedNot detectedLow


















ADIPOSE TISSUE - HPA RNA-seqi

The RNA-seq details section shows detailed information about the individual samples used for the transcript profiling and results of the RNA-seq analysis.

Information about each individual sample is listed below, including gender, age, a tissue section image and estimated fractions of cell types. nTPM (normalized transcripts per million) values give a quantification of the gene abundance which is comparable between different genes and samples.
Average nTPMi

Max subtype nTPM is the value for the subtype with the largest average nTPM across the subtype samples.

9.3
N/A
Female, age 80
Adipose tissue sample 86
nTPM: 7.8
Cell types%
Adipocytes:
95

Other cell types:
5

N/A
Female, age 45
Adipose tissue sample 115
nTPM: 12.1
N/A
Female, age 57
Adipose tissue sample 137
nTPM: 11.9
Cell types%
Adipocytes:
60

Fibroblasts:
20

Smooth muscle cells:
15

Other cell types:
5

overview
Female, age 74
Adipose tissue sample 329
nTPM: 11.8
Cell types%
Adipocytes:
50

Fibroblasts:
30

Smooth muscle cells:
15

Other cell types:
5

overview
Female, age 59
Adipose tissue sample 331
nTPM: 3.1
Cell types%
Adipocytes:
40

Fibroblasts:
40

Smooth muscle cells:
15

Other cell types:
5


ADIPOSE TISSUE - GTEx RNA-seqi

RNA-Seq data generated by the Genotype-Tissue Expression (GTEx) project from human tissues is reported as mean nTPM. More information can be found on the GTEx portal.

Distribution across the dataset is visualized with box plots, shown as median and 25th and 75th percentiles. Points are displayed as outliers if they are above or below 1.5 times the interquartile range. nTPM values of the individual samples are presented next to the box plot.
Max subtype nTPMi

Max subtype nTPM is the value for the subtype with the largest average nTPM across the subtype samples.

38.0
GTEx sample id Sample description nTPM
Adipose - Subcutaneous
Average nTPM: 38.0
Samples: 663

Max nTPM: 124.5
Min nTPM: 4.7
Std nTPM: 19.9
Median nTPM: 34.5
GTEX-1F75I-0426-SM-7PC3S 40-49 years, male 124.5
GTEX-147GR-0426-SM-5S2OL 60-69 years, male 123.2
GTEX-1GZ4H-1826-SM-9MQLE 50-59 years, female 121.5
GTEX-QDVN-2126-SM-33HBS 50-59 years, male 117.4
GTEX-1PPGY-0326-SM-DTXFD 60-69 years, male 115.6
GTEX-139TT-0226-SM-5K7YH 60-69 years, male 113.4
GTEX-11EQ8-0226-SM-5EQ5G 60-69 years, male 109.9
GTEX-16AAH-2026-SM-7LG5F 50-59 years, male 108.3
GTEX-14H4A-1026-SM-62LDY 40-49 years, female 106.0
GTEX-1GTWX-0226-SM-9YFLL 60-69 years, male 104.4
GTEX-11ONC-2526-SM-5986W 60-69 years, male 104.3
GTEX-1LB8K-0326-SM-E9TJC 50-59 years, male 98.3
GTEX-14E6D-0226-SM-62LDW 50-59 years, male 97.2
GTEX-1KD5A-0326-SM-D5OVD 50-59 years, male 95.2
GTEX-15CHQ-0226-SM-6EU2S 60-69 years, male 95.0
GTEX-1I1GV-0426-SM-ARZLX 60-69 years, male 94.7
GTEX-145MF-0526-SM-5LUA6 50-59 years, male 92.8
GTEX-18D9U-0726-SM-7LG5J 40-49 years, male 91.2
GTEX-13QJ3-0426-SM-5RQHP 50-59 years, male 86.7
GTEX-OIZG-0826-SM-E9TI4 50-59 years, male 84.7
GTEX-ZPU1-2426-SM-4WWFM 40-49 years, male 82.1
GTEX-11NUK-0326-SM-5HL5K 50-59 years, male 81.7
GTEX-Y111-0226-SM-4SOIW 50-59 years, male 81.4
GTEX-17KNJ-2226-SM-DKPOU 50-59 years, male 80.5
GTEX-1QP2A-0226-SM-EVYBC 50-59 years, male 79.5
GTEX-11XUK-2126-SM-5EQLR 40-49 years, female 79.4
GTEX-1IL2U-0326-SM-CE6T9 60-69 years, male 79.4
GTEX-13OW7-0226-SM-5MR3N 50-59 years, male 78.7
GTEX-14PJ4-2226-SM-6LLIS 60-69 years, male 78.7
GTEX-13OVL-0326-SM-5IJCS 50-59 years, male 78.1
GTEX-1JKYR-0226-SM-CNPOK 20-29 years, male 78.1
GTEX-146FR-1826-SM-5QGPF 60-69 years, female 76.0
GTEX-1B97I-1726-SM-7939V 40-49 years, male 75.6
GTEX-X638-0226-SM-47JZ9 70-79 years, female 75.5
GTEX-1EMGI-0226-SM-9MQL1 60-69 years, male 75.2
GTEX-OHPM-0226-SM-3LK61 50-59 years, male 75.0
GTEX-1R7EU-0326-SM-EWRNJ 60-69 years, male 74.8
GTEX-1B933-0526-SM-7EPHM 50-59 years, female 73.8
GTEX-1J8Q3-1526-SM-CMKGB 60-69 years, male 73.2
GTEX-12WSM-0226-SM-5LZV6 60-69 years, male 72.9
GTEX-1LSNM-2026-SM-E6CIJ 50-59 years, male 72.4
GTEX-1C6VR-2626-SM-7MGX2 60-69 years, male 71.0
GTEX-1HGF4-2526-SM-ADEIZ 60-69 years, male 70.9
GTEX-1BAJH-0426-SM-73KWY 70-79 years, male 70.3
GTEX-1HSMQ-1426-SM-ADEHT 50-59 years, male 69.3
GTEX-13112-2726-SM-5DUW5 50-59 years, male 68.2
GTEX-1QP9N-1526-SM-DTXFK 30-39 years, male 68.1
GTEX-13111-1726-SM-5EGJZ 50-59 years, male 67.9
GTEX-OOBJ-0226-SM-2YUMM 60-69 years, male 67.7
GTEX-ZVZP-2326-SM-59HL4 50-59 years, male 67.2
GTEX-OIZH-0226-SM-2YUMH 50-59 years, male 67.1
GTEX-12WSA-0326-SM-5BC6I 60-69 years, male 66.8
GTEX-139T4-0126-SM-5HL5G 50-59 years, female 66.0
GTEX-1HSKV-0326-SM-ADEJC 60-69 years, male 65.9
GTEX-1HUB1-0326-SM-A9SKQ 60-69 years, male 65.8
GTEX-1QCLY-0526-SM-EAZ47 30-39 years, male 65.8
GTEX-1EKGG-0126-SM-9YFLS 60-69 years, male 65.7
GTEX-148VI-1726-SM-5S2W9 60-69 years, female 65.6
GTEX-1H3O1-0526-SM-9MQLS 60-69 years, male 65.5
GTEX-1CB4I-0426-SM-7IGPR 50-59 years, male 65.4
GTEX-1211K-2226-SM-5FQU6 60-69 years, female 65.2
GTEX-1399T-2726-SM-5K7XK 60-69 years, male 64.3
GTEX-1H3VY-0226-SM-9YFMF 50-59 years, male 64.2
GTEX-1MJK2-0526-SM-DTXE6 50-59 years, male 63.8
GTEX-1314G-1626-SM-5EQ67 30-39 years, male 63.7
GTEX-1J1R8-2226-SM-ARZMP 40-49 years, male 63.0
GTEX-111FC-0226-SM-5N9B8 60-69 years, male 62.6
GTEX-XBED-2326-SM-47JYR 60-69 years, male 62.5
GTEX-R45C-0226-SM-EVYAJ 60-69 years, female 62.1
GTEX-131XF-2226-SM-5EQKG 60-69 years, male 62.0
GTEX-17MF6-0226-SM-7LG4G 40-49 years, male 61.8
GTEX-Y3I4-2226-SM-4TT7O 50-59 years, male 61.7
GTEX-18465-0226-SM-7LG5M 50-59 years, male 61.5
GTEX-1JJ6O-0226-SM-E6CI9 60-69 years, male 61.5
GTEX-13G51-2626-SM-5LZYW 60-69 years, male 61.4
GTEX-1HFI6-0326-SM-ADEI5 40-49 years, male 61.4
GTEX-XPVG-2726-SM-4B66W 50-59 years, male 61.2
GTEX-1J8JJ-0326-SM-CMKG6 60-69 years, female 60.7
GTEX-1LG7Y-0426-SM-DKPQB 50-59 years, male 60.6
GTEX-1RQEC-0526-SM-E6CHV 60-69 years, male 60.5
GTEX-SN8G-0226-SM-4DM6B 50-59 years, female 60.3
GTEX-14ABY-0326-SM-5TDDK 50-59 years, male 60.2
GTEX-14PII-0326-SM-6LLIQ 60-69 years, male 59.8
GTEX-1IL2V-0226-SM-CMKI2 70-79 years, male 59.3
GTEX-14C5O-0226-SM-5SI6O 60-69 years, male 58.7
GTEX-1117F-0226-SM-5GZZ7 60-69 years, female 58.6
GTEX-1MUQO-0526-SM-E9J31 60-69 years, male 58.4
GTEX-11LCK-1126-SM-5A5KC 30-39 years, male 58.2
GTEX-1OJC4-1726-SM-EXUSV 50-59 years, female 58.0
GTEX-11TTK-0226-SM-5N9EC 60-69 years, female 57.4
GTEX-1I19N-0426-SM-ACKVY 70-79 years, male 57.4
GTEX-YEC3-1226-SM-5IFI8 50-59 years, male 57.3
GTEX-13O21-1526-SM-5K7W4 50-59 years, male 57.0
GTEX-1LSNL-0526-SM-DIPFI 50-59 years, male 56.8
GTEX-RVPV-1526-SM-EXOHF 60-69 years, male 56.8
GTEX-ZUA1-0226-SM-5NQ9Q 40-49 years, male 56.6
GTEX-1399R-2626-SM-5KLZ7 30-39 years, male 56.4
GTEX-1GN73-0326-SM-9KNTW 60-69 years, male 56.4
GTEX-13U4I-0226-SM-5SIB1 40-49 years, female 56.0
GTEX-1I1GR-0226-SM-CMKHQ 60-69 years, male 56.0
GTEX-WYJK-0226-SM-EYYV8 50-59 years, male 56.0
GTEX-1RAZA-0226-SM-E9U4W 20-29 years, male 55.3
GTEX-131YS-0226-SM-5IJEH 60-69 years, female 55.2
GTEX-14PJ3-1926-SM-62LEY 50-59 years, male 54.8
GTEX-1JMQK-0126-SM-CM2S3 60-69 years, male 54.8
GTEX-1C6WA-0226-SM-7IGPO 60-69 years, male 54.5
GTEX-XXEK-2426-SM-4BRUS 50-59 years, male 54.4
GTEX-Z93S-0226-SM-5HL7R 50-59 years, male 54.1
GTEX-1I1GP-2326-SM-CGQFL 50-59 years, male 54.0
GTEX-1A8G7-0226-SM-731AS 60-69 years, male 53.9
GTEX-1F52S-0226-SM-7SB7U 60-69 years, female 53.8
GTEX-1JK1U-2126-SM-CNPOU 60-69 years, male 53.8
GTEX-XLM4-0226-SM-4AT4N 60-69 years, male 53.7
GTEX-ZYT6-0326-SM-7LG5R 30-39 years, male 53.7
GTEX-1I1HK-0226-SM-COH4A 60-69 years, male 53.5
GTEX-11GS4-2626-SM-5A5LD 60-69 years, male 53.4
GTEX-13N11-2626-SM-5K7UQ 50-59 years, female 53.4
GTEX-SJXC-0226-SM-2XCDU 60-69 years, male 53.4
GTEX-1JJEA-0226-SM-COH2X 60-69 years, male 53.2
GTEX-113IC-0226-SM-5HL5C 60-69 years, male 53.0
GTEX-11P7K-2026-SM-5GU74 30-39 years, male 53.0
GTEX-11EI6-0226-SM-5EQ64 60-69 years, male 52.7
GTEX-1AMFI-2126-SM-731BT 50-59 years, female 52.6
GTEX-1B8L1-2626-SM-7SB77 60-69 years, male 52.6
GTEX-1MA7X-2126-SM-E6CIX 60-69 years, male 52.6
GTEX-WL46-0326-SM-3LK6Y 50-59 years, male 52.1
GTEX-ZTSS-2026-SM-5987K 40-49 years, male 52.1
GTEX-13PVR-2426-SM-5RQHN 60-69 years, female 52.0
GTEX-XOT4-0226-SM-4B66Z 60-69 years, female 52.0
GTEX-14ICL-2026-SM-62LDN 30-39 years, male 51.9
GTEX-1IOXB-0226-SM-CMKHY 50-59 years, male 51.8
GTEX-X261-0226-SM-3NMD2 50-59 years, male 51.7
GTEX-XQ8I-0526-SM-4BOPS 50-59 years, male 51.7
GTEX-12ZZZ-0526-SM-5DUX6 60-69 years, male 51.4
GTEX-1AX9J-0326-SM-73KXY 60-69 years, male 51.3
GTEX-1PIGE-0526-SM-DTXFA 20-29 years, male 51.1
GTEX-1H1CY-2626-SM-9MQKJ 60-69 years, female 50.7
GTEX-OIZF-0226-SM-E9TI3 60-69 years, male 50.6
GTEX-13OW6-0526-SM-5L3HY 50-59 years, male 50.5
GTEX-Z9EW-1826-SM-5CVMA 40-49 years, male 50.5
GTEX-ZV68-0226-SM-59HJF 50-59 years, female 50.5
GTEX-11OF3-2426-SM-5Q5AS 60-69 years, male 50.1
GTEX-14753-0326-SM-5QGQB 60-69 years, male 49.9
GTEX-1IDJU-2526-SM-CMKGF 60-69 years, female 49.8
GTEX-13JUV-2826-SM-5LZWU 40-49 years, female 49.7
GTEX-WVJS-0226-SM-4MVOU 50-59 years, male 49.7
GTEX-1R9PM-2126-SM-E8VOB 20-29 years, male 49.6
GTEX-1JJE9-1226-SM-CNPOI 70-79 years, male 49.4
GTEX-14BMV-0226-SM-5S2N2 50-59 years, male 49.3
GTEX-15DDE-0226-SM-6LLJ6 50-59 years, female 49.0
GTEX-13NZB-2426-SM-5K7UF 30-39 years, male 48.8
GTEX-16YQH-0226-SM-6PALD 30-39 years, male 48.8
GTEX-1GN1V-0226-SM-9WYTN 60-69 years, male 48.8
GTEX-1GMRU-0226-SM-9YFLW 50-59 years, male 48.7
GTEX-11P81-2426-SM-5GU65 30-39 years, female 48.5
GTEX-1JMPY-1426-SM-ARL8Z 30-39 years, male 48.5
GTEX-UTHO-0426-SM-CE6QU 60-69 years, male 48.4
GTEX-XQ3S-1626-SM-4WAYN 20-29 years, male 48.3
GTEX-1H4P4-0226-SM-9YFKT 50-59 years, male 48.2
GTEX-Q2AI-1426-SM-2S1P5 40-49 years, male 48.1
GTEX-QEG4-0326-SM-DIPE3 30-39 years, male 48.1
GTEX-N7MS-0326-SM-4E3K2 60-69 years, male 47.8
GTEX-1CB4F-0526-SM-9KNW2 60-69 years, male 47.8
GTEX-13FH7-2226-SM-5IJD4 50-59 years, female 47.7
GTEX-XYKS-2726-SM-4E3IC 60-69 years, female 47.3
GTEX-PSDG-0326-SM-48TCP 50-59 years, male 47.1
GTEX-1GN1W-0626-SM-9MQK3 50-59 years, female 46.9
GTEX-VUSH-0226-SM-EXUQV 30-39 years, male 46.8
GTEX-1HCU7-0326-SM-CMKGI 50-59 years, male 46.7
GTEX-15RIE-2326-SM-7KFSC 60-69 years, male 46.5
GTEX-1B932-0226-SM-7PBYH 40-49 years, female 46.5
GTEX-16NGA-1826-SM-7LG5L 40-49 years, female 46.4
GTEX-R55C-1626-SM-48FEG 40-49 years, male 46.4
GTEX-1IKK5-0526-SM-CMKGG 60-69 years, male 46.4
GTEX-139YR-2426-SM-5J1OB 50-59 years, male 46.3
GTEX-ZE9C-2826-SM-5S2MO 60-69 years, male 46.3
GTEX-131XW-0526-SM-5PNXZ 50-59 years, female 46.2
GTEX-16GPK-0226-SM-7DUFI 60-69 years, male 46.2
GTEX-139T8-0226-SM-5L3EA 60-69 years, male 46.1
GTEX-1IKJJ-0226-SM-COH3T 60-69 years, male 46.1
GTEX-11DZ1-0226-SM-5A5KF 50-59 years, male 45.9
GTEX-13VXU-0226-SM-5SI9R 50-59 years, male 45.9
GTEX-ZXG5-0226-SM-59HJI 60-69 years, male 45.6
GTEX-S7SE-0226-SM-2XCD4 50-59 years, male 45.4
GTEX-ZTX8-1526-SM-5N9GI 20-29 years, male 45.4
GTEX-1F75A-0226-SM-7PC2K 50-59 years, male 45.4
GTEX-Y8E4-0726-SM-4WWFN 40-49 years, male 45.3
GTEX-13OW8-1226-SM-5K7XD 60-69 years, male 45.2
GTEX-ZF28-0226-SM-5S2OE 60-69 years, male 45.2
GTEX-ZYFD-0226-SM-5NQ86 50-59 years, male 45.1
GTEX-11ZUS-0726-SM-59886 30-39 years, male 45.0
GTEX-1MGNQ-0226-SM-EVYCK 40-49 years, male 45.0
GTEX-ZGAY-0626-SM-DO92E 40-49 years, female 45.0
GTEX-ZYW4-0226-SM-5E44M 60-69 years, male 44.8
GTEX-1GN1U-0226-SM-9YFLQ 50-59 years, female 44.6
GTEX-1PIIG-0326-SM-EVYBV 30-39 years, male 44.6
GTEX-X15G-2326-SM-4PQZS 50-59 years, female 44.5
GTEX-X4LF-1726-SM-3NMBZ 50-59 years, male 44.4
GTEX-1C4CL-0426-SM-7939N 30-39 years, male 44.3
GTEX-13O3Q-2326-SM-5KM3G 50-59 years, male 44.1
GTEX-1I1GQ-0226-SM-COH3I 50-59 years, male 44.1
GTEX-1HFI7-2026-SM-CGQFR 50-59 years, female 44.0
GTEX-T6MN-0226-SM-32PMD 50-59 years, male 43.9
GTEX-RNOR-0226-SM-EZ6MF 50-59 years, female 43.9
GTEX-14LLW-0226-SM-62LEL 70-79 years, female 43.8
GTEX-1KAFJ-2426-SM-D4P32 50-59 years, male 43.8
GTEX-11ZU8-2426-SM-5EQMV 60-69 years, male 43.7
GTEX-145LS-0226-SM-5O9A5 60-69 years, female 43.6
GTEX-WFON-2226-SM-3TW8W 40-49 years, male 43.6
GTEX-13IVO-0226-SM-5LZXU 70-79 years, male 43.4
GTEX-1GF9X-1926-SM-ADEIC 40-49 years, female 43.3
GTEX-1I1CD-0226-SM-CM2TL 60-69 years, female 43.3
GTEX-13NYB-2626-SM-9YFMI 40-49 years, male 43.1
GTEX-1PDJ9-0426-SM-E9J3E 20-29 years, male 43.1
GTEX-XGQ4-2226-SM-4AT4Y 50-59 years, male 43.0
GTEX-XBEW-0726-SM-4QARX 40-49 years, male 42.9
GTEX-XAJ8-0926-SM-47JXZ 40-49 years, male 42.8
GTEX-1EH9U-0226-SM-7PBY8 60-69 years, male 42.8
GTEX-1KWVE-1326-SM-E6CJ1 30-39 years, male 42.8
GTEX-1LG7Z-2026-SM-DLHBP 30-39 years, male 42.8
GTEX-17F98-1126-SM-79OJS 40-49 years, female 42.7
GTEX-1C475-1926-SM-7DUFV 40-49 years, female 42.7
GTEX-1313W-0226-SM-5LZV7 50-59 years, female 42.6
GTEX-1QEPI-0226-SM-EWRMR 60-69 years, female 42.6
GTEX-UJHI-1626-SM-3DB9A 50-59 years, female 42.5
GTEX-W5WG-2526-SM-4SOJ2 50-59 years, female 42.4
GTEX-Y5V5-2426-SM-5IFJA 60-69 years, female 42.3
GTEX-14JG1-0526-SM-6LLHW 40-49 years, male 42.2
GTEX-TSE9-0226-SM-3DB84 60-69 years, female 42.1
GTEX-1CB4E-1826-SM-7RHG8 60-69 years, male 41.9
GTEX-1212Z-2426-SM-5EQ5D 60-69 years, male 41.7
GTEX-1EWIQ-0226-SM-793D3 70-79 years, female 41.6
GTEX-147JS-0426-SM-5TDD2 60-69 years, male 41.5
GTEX-11WQC-2426-SM-5EQKQ 60-69 years, male 41.3
GTEX-12WSD-0226-SM-59HKO 60-69 years, female 41.2
GTEX-OXRL-0226-SM-3NB18 50-59 years, male 41.2
GTEX-QV44-1825-SM-447CF 50-59 years, male 41.1
GTEX-1IY9M-0226-SM-CMKHP 60-69 years, male 41.1
GTEX-17HII-0326-SM-7LG4X 50-59 years, male 41.0
GTEX-1I6K7-0226-SM-CJI46 40-49 years, male 40.9
GTEX-13N1W-0226-SM-5K7W6 70-79 years, male 40.7
GTEX-17HGU-0326-SM-7DUER 50-59 years, male 40.7
GTEX-1JMLX-0126-SM-CMKG9 50-59 years, male 40.7
GTEX-1JN6P-0226-SM-COH34 60-69 years, male 40.7
GTEX-111CU-1826-SM-5GZYN 50-59 years, male 40.5
GTEX-1R9K5-0226-SM-EWRNF 50-59 years, male 40.5
GTEX-XMD2-0226-SM-4WWEE 60-69 years, female 40.4
GTEX-15SDE-2426-SM-7KFRC 50-59 years, female 40.3
GTEX-OHPK-0226-SM-3MJH6 50-59 years, female 40.3
GTEX-13OVI-1326-SM-5IJBO 60-69 years, female 40.2
GTEX-1J8EW-0226-SM-CYPSW 60-69 years, female 40.2
GTEX-1S83E-0226-SM-EVYCW 40-49 years, male 40.1
GTEX-R3RS-0226-SM-EYYVE 40-49 years, female 40.0
GTEX-14JG6-2326-SM-6LLH3 30-39 years, female 39.8
GTEX-Q2AG-0226-SM-2S1P4 40-49 years, female 39.7
GTEX-YF7O-2426-SM-5IFJL 50-59 years, male 39.5
GTEX-1S5ZU-0226-SM-E6CHW 20-29 years, female 39.5
GTEX-1J8QM-2326-SM-CYPSL 60-69 years, female 39.1
GTEX-TML8-2026-SM-32QOP 40-49 years, female 38.9
GTEX-YEC4-2426-SM-57WFO 40-49 years, male 38.9
GTEX-Y8LW-1926-SM-4WWFZ 50-59 years, female 38.8
GTEX-YECK-0226-SM-4W215 60-69 years, male 38.8
GTEX-ZAK1-0226-SM-5CVMX 50-59 years, female 38.7
GTEX-1H1E6-2026-SM-9KNVK 30-39 years, male 38.6
GTEX-11ZTS-0226-SM-5EQKD 60-69 years, female 38.5
GTEX-13S7M-0226-SM-5S2UG 60-69 years, female 38.4
GTEX-1OFPY-2326-SM-E8VNU 60-69 years, male 38.3
GTEX-1I1GU-2326-SM-CGQFB 40-49 years, male 38.2
GTEX-1I1GT-0526-SM-CGQEQ 60-69 years, female 38.1
GTEX-1LVAO-0226-SM-E9U6O 60-69 years, male 38.1
GTEX-1GMR2-2526-SM-9MQKW 50-59 years, male 38.0
GTEX-1GZ2Q-0326-SM-9WG6N 40-49 years, male 38.0
GTEX-ZDTS-0226-SM-5HL7Q 60-69 years, male 37.9
GTEX-17HHE-1926-SM-7EPGW 50-59 years, male 37.6
GTEX-P4QS-0226-SM-3NB1U 60-69 years, male 37.6
GTEX-W5X1-2626-SM-4LMI8 40-49 years, female 37.6
GTEX-WVLH-0226-SM-3MJG6 50-59 years, male 37.6
GTEX-13FTW-2526-SM-5IJC8 40-49 years, male 37.4
GTEX-1AX9I-0226-SM-7SB75 60-69 years, male 37.4
GTEX-11DXW-0326-SM-5H11W 40-49 years, male 37.3
GTEX-1399U-2426-SM-5K7XB 50-59 years, female 37.2
GTEX-P4PQ-0226-SM-2S1NK 60-69 years, male 37.2
GTEX-1IE54-0226-SM-CMKHX 40-49 years, female 37.2
GTEX-17F96-1726-SM-7IGMB 70-79 years, male 37.1
GTEX-Y114-2326-SM-4TT7X 50-59 years, female 37.1
GTEX-1F6I4-0226-SM-9MQMA 60-69 years, male 37.1
GTEX-1IDJD-1226-SM-CM2TP 30-39 years, male 37.1
GTEX-14E1K-2126-SM-793DU 50-59 years, male 37.0
GTEX-OXRO-0226-SM-3LK6F 60-69 years, female 37.0
GTEX-Y8E5-0226-SM-57WCM 60-69 years, male 36.9
GTEX-1HSEH-0226-SM-ACKVV 60-69 years, male 36.9
GTEX-1QP66-1326-SM-DTXDQ 50-59 years, male 36.9
GTEX-ZYFC-0326-SM-5NQ7H 50-59 years, male 36.8
GTEX-169BO-1426-SM-9MQJT 50-59 years, male 36.8
GTEX-X5EB-2426-SM-4E3HX 40-49 years, male 36.7
GTEX-111YS-2426-SM-5GZZQ 60-69 years, male 36.5
GTEX-145MI-0426-SM-5O99V 60-69 years, female 36.5
GTEX-15DCD-0226-SM-6LPKC 70-79 years, female 36.5
GTEX-YFCO-2026-SM-4W21Q 40-49 years, male 36.5
GTEX-1HCUA-2226-SM-ADEHF 50-59 years, female 36.5
GTEX-1KXAM-2326-SM-CYPTD 60-69 years, male 36.5
GTEX-1RAZQ-0626-SM-E8VOR 30-39 years, male 36.5
GTEX-13SLW-0226-SM-5S2NA 70-79 years, male 36.4
GTEX-1A8FM-0126-SM-7SB7P 50-59 years, female 36.4
GTEX-139T6-2126-SM-5KM37 50-59 years, male 36.3
GTEX-SIU8-0226-SM-2XCDS 50-59 years, male 36.3
GTEX-X4XY-0326-SM-46MVZ 60-69 years, male 36.3
GTEX-1JMQI-2026-SM-CMKGP 50-59 years, male 36.3
GTEX-WFG8-2326-SM-DIPDX 20-29 years, male 36.3
GTEX-14PK6-2026-SM-6LLHP 70-79 years, female 36.1
GTEX-1B8KE-2526-SM-73KYQ 50-59 years, male 36.0
GTEX-145MN-2626-SM-5NQAH 30-39 years, male 35.9
GTEX-14PJ2-0226-SM-6LLH4 50-59 years, male 35.9
GTEX-1B8KZ-1926-SM-7DUG8 50-59 years, male 35.7
GTEX-U412-0526-SM-3DB9I 60-69 years, male 35.7
GTEX-1H1ZS-0526-SM-9WG5L 70-79 years, male 35.7
GTEX-11ZTT-2526-SM-5EQM9 60-69 years, female 35.5
GTEX-1NHNU-1126-SM-E9J2C 50-59 years, male 35.5
GTEX-145MG-0126-SM-5TDDA 50-59 years, male 35.2
GTEX-1GMR8-0226-SM-9YFL3 50-59 years, female 35.1
GTEX-14DAR-1926-SM-5S2NQ 50-59 years, male 35.0
GTEX-17HHY-0226-SM-793BQ 50-59 years, male 35.0
GTEX-1497J-2326-SM-5NQBK 60-69 years, male 34.9
GTEX-1PFEY-1626-SM-E9J3M 30-39 years, male 34.9
GTEX-13RTJ-2526-SM-5S2Q3 60-69 years, male 34.8
GTEX-1A3MV-2126-SM-718BV 30-39 years, male 34.7
GTEX-XUW1-0526-SM-4BOP3 50-59 years, female 34.7
GTEX-Y5V6-2526-SM-5IFJV 60-69 years, male 34.7
GTEX-1HCVE-0226-SM-CGQEV 50-59 years, male 34.7
GTEX-17MFQ-1826-SM-7DHLS 20-29 years, male 34.6
GTEX-RM2N-1726-SM-2TF55 50-59 years, male 34.6
GTEX-WH7G-2226-SM-3NMBN 40-49 years, male 34.5
GTEX-13SLX-0426-SM-5QGRC 50-59 years, female 34.4
GTEX-11PRG-0626-SM-5BC56 50-59 years, male 34.3
GTEX-14PJ6-2226-SM-6LLIV 60-69 years, female 34.3
GTEX-P4QT-0226-SM-3LK68 50-59 years, female 34.3
GTEX-13N2G-2726-SM-5J1MG 60-69 years, male 34.2
GTEX-18A7A-0326-SM-731AT 50-59 years, female 34.2
GTEX-1JKYN-1226-SM-CGQG8 30-39 years, male 34.2
GTEX-OXRN-0226-SM-2I5EJ 50-59 years, male 34.1
GTEX-1GPI7-0226-SM-9MQKB 20-29 years, male 34.1
GTEX-Z93T-0226-SM-5HL5Z 50-59 years, male 34.0
GTEX-1HBPM-0326-SM-CMKGR 60-69 years, female 34.0
GTEX-1LVA9-0226-SM-E9U5N 50-59 years, male 34.0
GTEX-12126-0426-SM-5Q5AP 20-29 years, male 33.9
GTEX-ZF3C-0226-SM-4WWB3 50-59 years, female 33.9
GTEX-12WSC-0226-SM-5EQ52 50-59 years, male 33.8
GTEX-1AX9K-2426-SM-73KZ4 50-59 years, male 33.8
GTEX-1B8SG-0226-SM-7939Q 50-59 years, male 33.8
GTEX-17F97-0426-SM-7LT9U 50-59 years, male 33.6
GTEX-RU72-1026-SM-46MUG 50-59 years, female 33.6
GTEX-1L5NE-2626-SM-E9U6P 50-59 years, male 33.6
GTEX-1ICG6-2626-SM-CGQG1 70-79 years, female 33.4
GTEX-13X6K-0226-SM-5QGPB 60-69 years, female 33.2
GTEX-1GMR3-2026-SM-9MQLG 40-49 years, male 33.2
GTEX-1HBPI-1426-SM-B2LW7 50-59 years, male 33.2
GTEX-1LSVX-0126-SM-EVYCY 60-69 years, male 33.2
GTEX-ZZPU-2726-SM-5NQ8O 50-59 years, female 33.1
GTEX-SNOS-1426-SM-32PLY 40-49 years, male 33.0
GTEX-1EU9M-0326-SM-7RHGF 60-69 years, male 33.0
GTEX-183FY-0326-SM-793BY 20-29 years, male 32.9
GTEX-18QFQ-0226-SM-731BQ 30-39 years, male 32.9
GTEX-1CB4G-0326-SM-7SB8R 60-69 years, male 32.8
GTEX-1HR9M-0226-SM-COH3E 60-69 years, male 32.7
GTEX-QCQG-1826-SM-2S1P2 50-59 years, female 32.6
GTEX-YJ89-0226-SM-4TT3Y 60-69 years, male 32.6
GTEX-1HSMP-0226-SM-CGQFI 70-79 years, male 32.6
GTEX-1I6K6-0226-SM-ADEID 30-39 years, male 32.6
GTEX-ZEX8-2326-SM-5S2MN 50-59 years, male 32.5
GTEX-ZLWG-2226-SM-DO92V 50-59 years, female 32.5
GTEX-XBEC-0326-SM-4AT4M 50-59 years, male 32.4
GTEX-139TU-0226-SM-5J1NM 60-69 years, male 32.3
GTEX-17EVP-0426-SM-79OKG 40-49 years, male 32.3
GTEX-WFJO-1926-SM-3GILA 30-39 years, male 32.3
GTEX-ZDXO-2426-SM-5S2NJ 60-69 years, male 32.3
GTEX-14PJM-0326-SM-62LF2 50-59 years, female 32.2
GTEX-13JVG-0226-SM-5J1MW 60-69 years, male 32.0
GTEX-NFK9-0326-SM-3MJGV 40-49 years, male 31.8
GTEX-18A67-0226-SM-7LG67 50-59 years, male 31.7
GTEX-1RDX4-0226-SM-DTXG1 50-59 years, female 31.7
GTEX-144GO-1626-SM-7EPG5 60-69 years, male 31.6
GTEX-13NZ8-0926-SM-5MR3U 60-69 years, female 31.5
GTEX-18D9A-2026-SM-718BL 30-39 years, female 31.5
GTEX-14BIL-0226-SM-5SI9E 50-59 years, male 31.3
GTEX-YJ8O-2426-SM-5HL7S 40-49 years, female 31.3
GTEX-1A32A-0226-SM-718B2 50-59 years, female 31.2
GTEX-12584-0226-SM-5EQL5 40-49 years, male 31.1
GTEX-14PN3-2526-SM-6EU15 60-69 years, female 31.1
GTEX-16XZY-2526-SM-7DHL2 70-79 years, male 31.1
GTEX-13CF3-2326-SM-5IFGL 60-69 years, female 31.0
GTEX-144GL-0226-SM-5QGOX 50-59 years, male 31.0
GTEX-S4P3-1526-SM-E9J3W 50-59 years, female 31.0
GTEX-13FHP-0226-SM-5K7WD 50-59 years, male 30.9
GTEX-13PDP-0226-SM-5K7W9 60-69 years, male 30.9
GTEX-TMZS-0226-SM-3DB9N 60-69 years, male 30.9
GTEX-XMK1-2226-SM-4B673 40-49 years, male 30.7
GTEX-1S82P-0226-SM-E6CI6 60-69 years, female 30.7
GTEX-133LE-1926-SM-5N9FV 20-29 years, female 30.6
GTEX-13NZ9-0526-SM-5J1OX 50-59 years, male 30.5
GTEX-1IDFM-0226-SM-CMKFX 60-69 years, male 30.5
GTEX-1S831-0326-SM-EVYD3 20-29 years, male 30.5
GTEX-NPJ8-0226-SM-48TBN 40-49 years, male 30.4
GTEX-PLZ5-1826-SM-3NB22 50-59 years, male 30.2
GTEX-1IGQW-0226-SM-COH43 60-69 years, male 30.1
GTEX-1E1VI-0226-SM-793CZ 50-59 years, male 30.0
GTEX-P44H-0326-SM-2XCES 40-49 years, male 30.0
GTEX-12696-2526-SM-5EQLN 60-69 years, male 29.9
GTEX-16NPX-0326-SM-7EWDI 50-59 years, male 29.7
GTEX-1A8G6-0526-SM-7PC1E 60-69 years, male 29.6
GTEX-13PVQ-0226-SM-5SIBG 50-59 years, male 29.5
GTEX-17F9Y-0326-SM-7IGLS 70-79 years, female 29.5
GTEX-P78B-0226-SM-3NB1Z 40-49 years, female 29.5
GTEX-X4EO-0426-SM-4QASA 60-69 years, female 29.5
GTEX-1PBJI-0426-SM-E8VNM 20-29 years, female 29.5
GTEX-1RAZR-0226-SM-EVYC6 40-49 years, male 29.5
GTEX-1QP28-0226-SM-E9J2N 50-59 years, female 29.4
GTEX-ZVZO-0226-SM-5A5LA 40-49 years, male 29.3
GTEX-11EQ9-2526-SM-5HL66 30-39 years, male 29.2
GTEX-QLQ7-1526-SM-2S1QA 60-69 years, male 29.2
GTEX-1I1GS-0226-SM-B2LVX 60-69 years, male 29.2
GTEX-145ME-1926-SM-5MR6T 40-49 years, female 29.0
GTEX-ZVE2-0326-SM-57WFC 50-59 years, male 28.9
GTEX-1AMEY-1426-SM-7939I 30-39 years, female 28.8
GTEX-18A6Q-0226-SM-718AS 60-69 years, male 28.7
GTEX-14E6E-1926-SM-664N4 30-39 years, male 28.6
GTEX-1AYCT-2226-SM-7SB98 50-59 years, male 28.6
GTEX-13113-1826-SM-5LZW4 60-69 years, female 28.5
GTEX-ZVT2-2226-SM-5NQ6P 50-59 years, female 28.5
GTEX-PLZ4-0226-SM-CYPR1 50-59 years, female 28.5
GTEX-1C64O-0226-SM-73KXB 60-69 years, male 28.4
GTEX-145LT-1826-SM-5QGP4 40-49 years, male 28.3
GTEX-WHPG-2126-SM-4M1ZM 50-59 years, male 28.3
GTEX-11UD1-0226-SM-5EQKL 40-49 years, female 28.2
GTEX-1B8SF-0526-SM-7939F 60-69 years, male 28.2
GTEX-1B996-0126-SM-7PBYF 60-69 years, male 28.2
GTEX-RWSA-0226-SM-2XCBA 40-49 years, male 28.1
GTEX-12ZZX-0226-SM-5DUXU 40-49 years, female 28.0
GTEX-15ETS-0426-SM-6PANI 40-49 years, female 27.8
GTEX-RTLS-0226-SM-2TF5E 60-69 years, female 27.8
GTEX-REY6-0326-SM-2TF5A 60-69 years, male 27.6
GTEX-U3ZN-2626-SM-3DB7T 30-39 years, female 27.6
GTEX-1R46S-0526-SM-EVYBZ 60-69 years, female 27.5
GTEX-WY7C-2426-SM-3NB2V 50-59 years, male 27.4
GTEX-1H1DE-2026-SM-9WG6Q 20-29 years, male 27.4
GTEX-ZLFU-2626-SM-DO91L 40-49 years, male 27.4
GTEX-12ZZY-0326-SM-5LZVQ 60-69 years, male 27.3
GTEX-145MO-0426-SM-5QGP6 60-69 years, male 27.3
GTEX-11O72-0226-SM-59869 40-49 years, male 27.1
GTEX-14JIY-0526-SM-62LFH 60-69 years, male 27.1
GTEX-ZZ64-1626-SM-5E43W 20-29 years, male 27.1
GTEX-Q2AH-1726-SM-DIPDV 40-49 years, male 27.1
GTEX-ZVTK-0526-SM-5GZWT 20-29 years, male 27.0
GTEX-1QP29-0726-SM-DTXFM 50-59 years, male 27.0
GTEX-13PLJ-0126-SM-5L3HU 60-69 years, female 26.8
GTEX-ZVP2-1826-SM-5GU62 50-59 years, male 26.8
GTEX-1JN1M-0126-SM-D4P23 60-69 years, female 26.7
GTEX-1POEN-0226-SM-EYYXE 30-39 years, female 26.7
GTEX-13NYS-0226-SM-5MR49 60-69 years, male 26.6
GTEX-14BIN-0726-SM-793DQ 50-59 years, female 26.6
GTEX-R55D-0326-SM-48FES 50-59 years, male 26.5
GTEX-1HB9E-0426-SM-CNPPV 50-59 years, male 26.5
GTEX-12C56-1626-SM-5FQUO 20-29 years, male 26.4
GTEX-SUCS-1826-SM-32PM1 70-79 years, male 26.4
GTEX-13W3W-2526-SM-5SI9P 60-69 years, female 26.3
GTEX-146FQ-0226-SM-5NQAL 30-39 years, male 26.2
GTEX-16MTA-2126-SM-6PALC 50-59 years, male 26.2
GTEX-1C6VQ-0226-SM-7P8S5 50-59 years, male 26.1
GTEX-17HG3-2326-SM-79OKH 30-39 years, female 25.9
GTEX-YB5K-2226-SM-4WWG1 40-49 years, female 25.9
GTEX-1GN2E-0326-SM-COH3C 60-69 years, male 25.9
GTEX-1HR98-0226-SM-CGQEK 60-69 years, male 25.9
GTEX-1M5QR-2126-SM-DKPQM 40-49 years, male 25.9
GTEX-13O61-2426-SM-5J1NV 60-69 years, male 25.8
GTEX-1QAET-1126-SM-E8VML 50-59 years, male 25.8
GTEX-1PPH8-0626-SM-EWRN9 20-29 years, male 25.7
GTEX-14BMU-2126-SM-5S2TS 20-29 years, female 25.6
GTEX-14PHX-2426-SM-62LEN 50-59 years, male 25.6
GTEX-1H23P-0226-SM-9YFLO 60-69 years, male 25.6
GTEX-POMQ-2326-SM-DHXIS 20-29 years, female 25.5
GTEX-11I78-2626-SM-5Q5AI 50-59 years, female 25.4
GTEX-QV31-1326-SM-2S1QE 30-39 years, male 25.4
GTEX-1HT8W-0226-SM-CMKGT 30-39 years, male 25.4
GTEX-1122O-2026-SM-9YFMG 60-69 years, female 25.2
GTEX-1QW4Y-1626-SM-EAZ41 30-39 years, male 25.2
GTEX-QDVJ-1826-SM-2S1P3 50-59 years, male 25.1
GTEX-ZF29-2226-SM-4WWB9 60-69 years, female 25.0
GTEX-13X6J-0226-SM-7EPGC 50-59 years, male 24.9
GTEX-16MT8-0526-SM-6PAM6 60-69 years, female 24.9
GTEX-1A3MX-0226-SM-731C4 60-69 years, male 24.8
GTEX-1F88E-0526-SM-7SB8J 60-69 years, female 24.8
GTEX-11ZVC-2626-SM-5FQTA 50-59 years, female 24.7
GTEX-14AS3-2026-SM-5TDD9 40-49 years, female 24.7
GTEX-OXRP-0226-SM-3NB14 60-69 years, female 24.7
GTEX-1IDJF-0226-SM-CMKGE 20-29 years, male 24.7
GTEX-117YX-2226-SM-5EGJJ 50-59 years, male 24.6
GTEX-13NZA-0126-SM-5K7UH 60-69 years, male 24.6
GTEX-139D8-0326-SM-5IJCJ 30-39 years, female 24.5
GTEX-13OVJ-0326-SM-5L3GL 50-59 years, female 24.5
GTEX-WI4N-1126-SM-3LK7Q 40-49 years, female 24.5
GTEX-1J1OQ-0326-SM-CYPTJ 40-49 years, female 24.5
GTEX-VJWN-0226-SM-EZ6LF 50-59 years, female 24.5
GTEX-1H3VE-0226-SM-9WYST 40-49 years, male 24.4
GTEX-15ER7-0426-SM-6PAM3 20-29 years, female 24.2
GTEX-XUZC-1826-SM-4BRVO 30-39 years, female 24.1
GTEX-XUYS-0226-SM-47JX1 50-59 years, male 24.0
GTEX-ZE7O-0226-SM-5S2N1 50-59 years, female 23.9
GTEX-VUSG-2426-SM-4KKZG 50-59 years, male 23.7
GTEX-S33H-1126-SM-2XCB6 30-39 years, male 23.6
GTEX-U3ZM-1026-SM-EZ6LD 40-49 years, male 23.6
GTEX-144FL-0226-SM-5Q5D4 50-59 years, male 23.5
GTEX-1AYD5-2326-SM-73KXF 50-59 years, male 23.5
GTEX-QEL4-0326-SM-3GAE5 50-59 years, male 23.5
GTEX-OXRK-0326-SM-3NB3R 50-59 years, female 23.4
GTEX-1H2FU-0226-SM-9YFKO 60-69 years, female 23.4
GTEX-QMRM-1726-SM-2S1QG 50-59 years, male 23.3
GTEX-132QS-2526-SM-62LFJ 60-69 years, male 23.1
GTEX-147F3-0626-SM-5NQ9I 50-59 years, female 23.1
GTEX-1HSGN-0126-SM-CGQFU 40-49 years, female 23.0
GTEX-146FH-0226-SM-5QGPQ 50-59 years, female 22.9
GTEX-RUSQ-1626-SM-EZ6L4 50-59 years, male 22.9
GTEX-11EM3-2326-SM-5H12B 20-29 years, female 22.8
GTEX-X88G-0226-SM-4GIE4 30-39 years, male 22.7
GTEX-OIZI-0226-SM-2XCEE 40-49 years, male 22.5
GTEX-15G19-0226-SM-6PAL2 60-69 years, male 22.4
GTEX-OOBK-0226-SM-2YUMF 40-49 years, male 22.4
GTEX-11UD2-0126-SM-5EQL2 50-59 years, male 22.3
GTEX-1C6VS-0426-SM-79OJV 60-69 years, male 22.3
GTEX-13D11-2326-SM-5IJCY 50-59 years, female 22.1
GTEX-ZLV1-1826-SM-5FQU5 60-69 years, female 21.9
GTEX-S95S-1326-SM-2XCDK 60-69 years, male 21.8
GTEX-1CAMQ-0126-SM-7SB7S 40-49 years, male 21.8
GTEX-1F48J-0226-SM-7SB82 50-59 years, female 21.7
GTEX-1QP6S-0126-SM-E9J4K 40-49 years, male 21.7
GTEX-13VXT-0226-SM-5LU9Q 20-29 years, female 21.6
GTEX-YFC4-0226-SM-57WD2 40-49 years, female 21.6
GTEX-XV7Q-2626-SM-4BRVA 40-49 years, female 21.4
GTEX-1CB4J-1126-SM-7PBY1 60-69 years, male 21.4
GTEX-17EUY-0526-SM-7EWDE 20-29 years, male 21.3
GTEX-1ICLZ-0226-SM-CKZPP 60-69 years, male 21.3
GTEX-P4PP-0226-SM-D4P1Z 30-39 years, female 21.2
GTEX-14DAQ-0226-SM-664MQ 60-69 years, female 21.1
GTEX-ZPIC-1826-SM-57WFE 40-49 years, female 21.0
GTEX-PWN1-0226-SM-DKPO9 40-49 years, female 21.0
GTEX-1LGOU-2226-SM-E9U56 20-29 years, female 20.8
GTEX-ZDYS-2126-SM-5S2P2 50-59 years, male 20.7
GTEX-1LH75-2526-SM-E9U5A 50-59 years, female 20.6
GTEX-13FHO-0326-SM-5IJBH 60-69 years, male 20.5
GTEX-1C2JI-2226-SM-7IGPJ 50-59 years, male 20.4
GTEX-1LVAN-0126-SM-COH4H 50-59 years, female 20.4
GTEX-11TUW-2626-SM-5EQKZ 60-69 years, male 20.3
GTEX-11GSO-2326-SM-5A5LX 60-69 years, male 20.2
GTEX-131XE-2426-SM-5EQ5V 50-59 years, male 20.2
GTEX-1CB4H-0326-SM-9WG5G 60-69 years, female 20.2
GTEX-1K2DA-2126-SM-CGQGL 50-59 years, male 20.2
GTEX-12KS4-0426-SM-5EQMC 30-39 years, male 20.1
GTEX-13FTY-0626-SM-5L3F8 40-49 years, female 20.1
GTEX-1HBPH-0526-SM-9YFMN 40-49 years, female 20.0
GTEX-Q734-1826-SM-2I3EL 40-49 years, female 19.9
GTEX-ZXES-2026-SM-5NQ6R 30-39 years, female 19.9
GTEX-T8EM-1126-SM-3DB7D 40-49 years, male 19.7
GTEX-11P82-1726-SM-5Q5AT 20-29 years, male 19.5
GTEX-1JN76-0226-SM-CMKGO 20-29 years, female 19.5
GTEX-1F6RS-0226-SM-9MQKO 60-69 years, female 19.4
GTEX-1N2EF-0626-SM-E9J32 60-69 years, male 19.4
GTEX-1ICLY-0226-SM-ARL7R 50-59 years, male 19.3
GTEX-16BQI-0526-SM-6PAM8 30-39 years, female 19.2
GTEX-ZVT4-0226-SM-51MSD 50-59 years, female 19.0
GTEX-1CAMR-1826-SM-7MXUJ 20-29 years, male 18.8
GTEX-16XZZ-0226-SM-7MGVJ 60-69 years, male 18.7
GTEX-XK95-0426-SM-4AT4R 40-49 years, male 18.6
GTEX-1LBAC-0226-SM-DHXJZ 20-29 years, male 18.6
GTEX-111VG-2326-SM-5N9BK 60-69 years, male 18.5
GTEX-T5JC-0526-SM-32PM7 20-29 years, male 18.3
GTEX-ZC5H-0126-SM-4WAYL 40-49 years, female 18.3
GTEX-1F75W-0226-SM-9JGGP 60-69 years, male 18.3
GTEX-11EMC-2826-SM-5PNY6 60-69 years, female 18.2
GTEX-ZAJG-0226-SM-5HL81 50-59 years, female 18.2
GTEX-ZP4G-2326-SM-57WEM 20-29 years, female 18.2
GTEX-1KANA-0826-SM-D3L9J 20-29 years, male 18.2
GTEX-SSA3-0226-SM-32QPN 60-69 years, male 18.0
GTEX-1I4MK-2026-SM-B2LVR 50-59 years, female 17.8
GTEX-1LGRB-2426-SM-CNPP3 50-59 years, female 17.8
GTEX-S32W-2226-SM-2XCAY 50-59 years, female 17.7
GTEX-1F5PK-2526-SM-9MQKN 50-59 years, male 17.7
GTEX-PLZ6-1326-SM-3NB24 30-39 years, male 17.6
GTEX-ZPCL-2126-SM-57WFZ 60-69 years, female 17.5
GTEX-ZYY3-0226-SM-5E45M 60-69 years, female 17.5
GTEX-1QPFJ-0126-SM-E9J4B 30-39 years, female 17.4
GTEX-WFG7-2526-SM-EWRM5 20-29 years, male 17.2
GTEX-WEY5-1926-SM-3GIL8 40-49 years, female 17.1
GTEX-ZT9X-1926-SM-57WE7 40-49 years, male 17.1
GTEX-X8HC-0226-SM-4E3K1 50-59 years, female 16.9
GTEX-QLQW-1226-SM-2S1Q9 30-39 years, male 16.8
GTEX-YJ8A-0526-SM-5IFHT 20-29 years, male 16.8
GTEX-1H1DF-0226-SM-ARL9A 40-49 years, female 16.7
GTEX-T5JW-1726-SM-3GADN 20-29 years, female 16.6
GTEX-1N2DW-0326-SM-E9TK3 50-59 years, male 16.6
GTEX-1K9T9-0226-SM-E9U6K 50-59 years, female 16.5
GTEX-TKQ1-1126-SM-4GIAZ 30-39 years, male 16.4
GTEX-13O3P-0226-SM-5KM3Z 50-59 years, male 16.3
GTEX-O5YV-0226-SM-48TBY 60-69 years, female 16.3
GTEX-1A3MW-0226-SM-7939O 60-69 years, female 15.9
GTEX-132AR-0226-SM-5IJBE 50-59 years, female 15.7
GTEX-U4B1-1726-SM-3DB9F 40-49 years, male 15.7
GTEX-1269C-2726-SM-5EGJ4 60-69 years, female 15.6
GTEX-13OVK-2126-SM-6PAN1 40-49 years, male 15.6
GTEX-1128S-2126-SM-5H12U 60-69 years, female 15.3
GTEX-1HCU8-0726-SM-ADEIR 60-69 years, female 15.3
GTEX-14A5H-0526-SM-5TDCN 60-69 years, male 15.1
GTEX-1JMQL-0326-SM-CNPP6 50-59 years, female 15.1
GTEX-13QBU-2526-SM-5LU4X 40-49 years, female 14.9
GTEX-1EX96-1426-SM-7PBZ5 50-59 years, male 14.8
GTEX-1GZ4I-0226-SM-7RHHO 50-59 years, male 14.8
GTEX-144GM-1926-SM-5LUAN 20-29 years, male 14.7
GTEX-183WM-0226-SM-7LT8T 70-79 years, female 14.7
GTEX-1MA7W-1926-SM-E6CIO 20-29 years, female 14.7
GTEX-13CF2-2626-SM-5LZZA 60-69 years, male 14.6
GTEX-11H98-0226-SM-5NQ89 50-59 years, male 14.5
GTEX-Y9LG-2026-SM-62LFS 30-39 years, male 14.4
GTEX-R55G-2426-SM-2TC5I 40-49 years, female 14.3
GTEX-1E2YA-0226-SM-9MQLY 50-59 years, male 14.3
GTEX-1HCU6-0226-SM-CGQES 60-69 years, female 13.9
GTEX-ZDTT-2626-SM-5S2OP 60-69 years, male 13.7
GTEX-ZQG8-1526-SM-5HL65 60-69 years, female 13.7
GTEX-P44G-2326-SM-2XCCZ 30-39 years, male 13.5
GTEX-14C39-2526-SM-5S2UH 40-49 years, male 12.9
GTEX-14E6C-0226-SM-5S2N3 40-49 years, male 12.7
GTEX-QEG5-0326-SM-2S1PB 20-29 years, male 12.6
GTEX-U8XE-0426-SM-3DB91 30-39 years, male 12.6
GTEX-1F88F-2626-SM-9WG5K 60-69 years, female 12.5
GTEX-11DXX-2326-SM-9YFKS 60-69 years, female 12.3
GTEX-12WSL-2426-SM-5GCN7 50-59 years, male 12.1
GTEX-1FIGZ-1626-SM-7SB8L 40-49 years, male 12.1
GTEX-1CAMS-0326-SM-7PC35 40-49 years, female 11.9
GTEX-1HSMO-0226-SM-CGQEZ 60-69 years, male 11.9
GTEX-PX3G-0226-SM-DKPOF 20-29 years, female 11.9
GTEX-T2IS-0226-SM-32QPH 20-29 years, female 11.8
GTEX-YB5E-2126-SM-5IFI7 40-49 years, male 11.2
GTEX-1QP67-1726-SM-E8VOP 40-49 years, female 10.9
GTEX-1GF9V-0226-SM-9MQKA 60-69 years, male 10.8
GTEX-1R7EV-1926-SM-EVYBF 40-49 years, male 10.8
GTEX-QESD-1526-SM-2S1QT 20-29 years, male 10.3
GTEX-13YAN-0426-SM-5O9DR 60-69 years, male 10.2
GTEX-Y3IK-2526-SM-4WWDM 50-59 years, female 10.2
GTEX-1MCC2-2326-SM-E9U5G 30-39 years, female 10.2
GTEX-ZYVF-0226-SM-5GIEG 50-59 years, female 10.1
GTEX-O5YT-0226-SM-32PK5 20-29 years, male 9.8
GTEX-18A66-0326-SM-718BE 60-69 years, male 9.6
GTEX-11TT1-2426-SM-5EQMK 20-29 years, male 9.3
GTEX-15UKP-0526-SM-7KFRO 20-29 years, male 9.2
GTEX-PWCY-1926-SM-3NB25 20-29 years, female 9.2
GTEX-QDT8-0226-SM-32PL4 30-39 years, female 8.9
GTEX-VJYA-1326-SM-3GIJC 60-69 years, male 8.9
GTEX-POYW-0726-SM-2XCEO 60-69 years, male 8.7
GTEX-SNMC-1326-SM-2XCFK 20-29 years, male 8.7
GTEX-1MCYP-1826-SM-E9J2Q 20-29 years, female 7.9
GTEX-14ICK-0326-SM-6LLIZ 40-49 years, male 7.6
GTEX-T6MO-1726-SM-33HB8 40-49 years, female 7.2
GTEX-OHPN-0226-SM-48TBV 60-69 years, female 6.5
GTEX-R53T-1626-SM-3GAEW 50-59 years, female 6.3
GTEX-1PWST-0326-SM-EAZ42 70-79 years, male 5.2
GTEX-ZTPG-0226-SM-5O99I 20-29 years, female 5.0
GTEX-13O1R-0226-SM-5K7U5 60-69 years, male 4.7
Show allShow less
Adipose - Visceral (Omentum)
Average nTPM: 23.3
Samples: 541

Max nTPM: 87.4
Min nTPM: 1.9
Std nTPM: 11.2
Median nTPM: 21.3
GTEX-1QP66-0626-SM-E76PD 50-59 years, male 87.4
GTEX-11VI4-1226-SM-5EQMP 40-49 years, female 72.3
GTEX-17F97-1226-SM-79OJT 50-59 years, male 63.7
GTEX-1R9PO-0926-SM-E9U4Q 60-69 years, female 59.0
GTEX-1H4P4-0326-SM-9WYTD 50-59 years, male 57.9
GTEX-VJWN-2326-SM-EVYAP 50-59 years, female 55.8
GTEX-WL46-2026-SM-3LK7U 50-59 years, male 54.7
GTEX-11NUK-2026-SM-5PNVZ 50-59 years, male 54.1
GTEX-1212Z-0526-SM-5FQSQ 60-69 years, male 52.8
GTEX-18D9A-0726-SM-7LTA7 30-39 years, female 51.2
GTEX-1HT8W-0726-SM-A9SLB 30-39 years, male 50.9
GTEX-WK11-2426-SM-3NMAA 50-59 years, male 50.8
GTEX-1RB15-1126-SM-E8VMX 60-69 years, male 49.7
GTEX-ZQG8-1026-SM-51MR9 60-69 years, female 49.3
GTEX-13NZB-0826-SM-5K7X5 30-39 years, male 48.7
GTEX-XQ8I-1426-SM-4BOPW 50-59 years, male 48.2
GTEX-WOFM-0726-SM-3MJF8 20-29 years, male 47.9
GTEX-ZUA1-2126-SM-57YRB 40-49 years, male 47.9
GTEX-1HBPN-1526-SM-9WYSB 50-59 years, male 47.9
GTEX-1I19N-1026-SM-A96TT 70-79 years, male 47.8
GTEX-1C2JI-0826-SM-7EPHB 50-59 years, male 47.6
GTEX-ZDXO-2326-SM-5LU9W 60-69 years, male 47.6
GTEX-WYVS-0626-SM-4SOJY 40-49 years, female 46.5
GTEX-14BIM-1626-SM-7EWD2 60-69 years, female 46.2
GTEX-1QP9N-0426-SM-DTXFT 30-39 years, male 44.8
GTEX-14PJ3-0726-SM-69LQE 50-59 years, male 44.7
GTEX-1HFI6-1726-SM-CGQFH 40-49 years, male 43.9
GTEX-13VXU-1026-SM-5KLZE 50-59 years, male 43.7
GTEX-1GL5R-0726-SM-9MQL5 50-59 years, male 43.7
GTEX-13JUV-0626-SM-5J1MQ 40-49 years, female 43.2
GTEX-15D1Q-1326-SM-69LOA 40-49 years, male 43.1
GTEX-1S831-1926-SM-EV79P 20-29 years, male 43.1
GTEX-ZAB5-1126-SM-5Q5AD 50-59 years, male 42.9
GTEX-1313W-1626-SM-5J1OE 50-59 years, female 42.5
GTEX-16GPK-1326-SM-7KUE4 60-69 years, male 42.5
GTEX-13OVL-0826-SM-5L3GV 50-59 years, male 41.9
GTEX-11DYG-2026-SM-5EGGX 60-69 years, male 41.8
GTEX-1AMEY-0526-SM-72D62 30-39 years, female 41.4
GTEX-1HUB1-1526-SM-CGQF6 60-69 years, male 41.4
GTEX-ZE7O-1526-SM-5J1NH 50-59 years, female 40.8
GTEX-1KANB-2426-SM-EV7BE 50-59 years, male 40.7
GTEX-16NGA-0526-SM-731AJ 40-49 years, female 40.5
GTEX-WRHK-0826-SM-3MJFG 20-29 years, female 40.5
GTEX-1IDJU-0926-SM-ARL88 60-69 years, female 40.4
GTEX-1B8L1-0126-SM-9KNVS 60-69 years, male 39.9
GTEX-1IL2U-2726-SM-C1YSG 60-69 years, male 39.9
GTEX-X585-2526-SM-4QAS1 50-59 years, male 39.6
GTEX-1P4AB-1226-SM-DTXET 50-59 years, male 39.5
GTEX-YFCO-1126-SM-5S2N9 40-49 years, male 38.6
GTEX-1F6I4-2126-SM-7PC2J 60-69 years, male 38.6
GTEX-ZVP2-0226-SM-57WBD 50-59 years, male 38.4
GTEX-ZVZP-1126-SM-5GICU 50-59 years, male 38.4
GTEX-YEC4-0926-SM-5PNXY 40-49 years, male 38.3
GTEX-13PDP-1226-SM-5K7TW 60-69 years, male 37.8
GTEX-1HKZK-1726-SM-ADEJ9 40-49 years, male 37.6
GTEX-X3Y1-0926-SM-3P5YT 40-49 years, male 37.3
GTEX-1MCQQ-1426-SM-E6CJA 60-69 years, male 37.2
GTEX-ZC5H-1626-SM-5HL7L 40-49 years, female 36.9
GTEX-XUZC-1126-SM-4BOPZ 30-39 years, female 36.7
GTEX-1OFPY-0826-SM-DTX8P 60-69 years, male 36.7
GTEX-169BO-0426-SM-7EPI1 50-59 years, male 36.5
GTEX-14PKU-0226-SM-6EU16 40-49 years, female 36.3
GTEX-14E6D-1326-SM-62LES 50-59 years, male 36.1
GTEX-15ER7-1026-SM-7KUMD 20-29 years, female 36.1
GTEX-15SHU-2326-SM-7KUMC 40-49 years, female 36.0
GTEX-ZGAY-1326-SM-5S2NS 40-49 years, female 36.0
GTEX-1L5NE-1726-SM-DHXKX 50-59 years, male 35.9
GTEX-1AX9J-2226-SM-731CW 60-69 years, male 35.7
GTEX-1N2EE-1526-SM-DTXE9 60-69 years, male 35.7
GTEX-17KNJ-0426-SM-718AK 50-59 years, male 35.6
GTEX-1B8SF-1726-SM-73KZ5 60-69 years, male 35.6
GTEX-15G19-1126-SM-7KUEL 60-69 years, male 35.5
GTEX-1I1GT-1326-SM-ACKWB 60-69 years, female 35.3
GTEX-1KWVE-0226-SM-E9TKK 30-39 years, male 35.2
GTEX-145ME-0726-SM-5O9A3 40-49 years, female 35.1
GTEX-13NZ9-2026-SM-5KM1U 50-59 years, male 35.0
GTEX-1399T-1326-SM-5PNVH 60-69 years, male 34.9
GTEX-15CHC-0826-SM-686YW 60-69 years, female 34.9
GTEX-WFON-1226-SM-3TW8F 40-49 years, male 34.9
GTEX-Y8E4-1226-SM-5IFIM 40-49 years, male 34.9
GTEX-1A8G6-2026-SM-73KYC 60-69 years, male 34.8
GTEX-1192X-1526-SM-5H11I 50-59 years, male 34.7
GTEX-13W3W-1126-SM-5L3DO 60-69 years, female 34.7
GTEX-139D8-1626-SM-5IJFZ 30-39 years, female 34.6
GTEX-1GZ4I-2326-SM-9YFMO 50-59 years, male 34.6
GTEX-1GZ4H-0926-SM-9WG6Y 50-59 years, female 34.4
GTEX-1IDJI-0926-SM-ACKWZ 50-59 years, female 34.4
GTEX-1EWIQ-2526-SM-7EPIJ 70-79 years, female 34.2
GTEX-13S7M-0826-SM-5QGQX 60-69 years, female 34.1
GTEX-132NY-1126-SM-5PNVE 60-69 years, male 33.8
GTEX-131YS-1726-SM-5HL7G 60-69 years, female 33.7
GTEX-14E7W-2326-SM-69LQC 70-79 years, male 33.7
GTEX-13NYS-0726-SM-5J1OR 60-69 years, male 33.2
GTEX-1B97I-0526-SM-73KXE 40-49 years, male 33.2
GTEX-1IY9M-1226-SM-ACKX1 60-69 years, male 33.1
GTEX-139TU-1426-SM-5LZY9 60-69 years, male 33.0
GTEX-13FTX-0626-SM-5J2NS 20-29 years, female 33.0
GTEX-12WSC-1726-SM-5GCN3 50-59 years, male 32.9
GTEX-1GMR2-0226-SM-9JGHO 50-59 years, male 32.9
GTEX-131XH-0826-SM-5GCN8 50-59 years, male 32.8
GTEX-1H1CY-0826-SM-9WYTU 60-69 years, female 32.7
GTEX-Y5V6-0626-SM-4WWFY 60-69 years, male 32.6
GTEX-14PN3-0326-SM-6EU1X 60-69 years, female 32.4
GTEX-XMK1-0926-SM-4B66X 40-49 years, male 32.4
GTEX-1HBPI-1826-SM-ADEHE 50-59 years, male 32.4
GTEX-11ZUS-1826-SM-5FQTR 30-39 years, male 32.1
GTEX-1EMGI-0726-SM-7PBZ4 60-69 years, male 32.1
GTEX-11DXY-0326-SM-5H12F 60-69 years, male 32.0
GTEX-14BIN-1226-SM-5S2OM 50-59 years, female 31.9
GTEX-1KANC-0526-SM-D4P3T 50-59 years, female 31.9
GTEX-14PHY-1026-SM-62LEV 60-69 years, female 31.7
GTEX-17HHY-1026-SM-7LG5E 50-59 years, male 31.6
GTEX-12WSI-1526-SM-5GCNM 50-59 years, male 31.5
GTEX-1399S-1426-SM-5PNYQ 30-39 years, female 31.5
GTEX-Y9LG-1226-SM-4VBQA 30-39 years, male 31.5
GTEX-13FTW-0426-SM-5K7X2 40-49 years, male 31.2
GTEX-14JIY-1426-SM-6EU29 60-69 years, male 31.2
GTEX-17JCI-1626-SM-7EPGZ 60-69 years, female 31.1
GTEX-XQ3S-2426-SM-4WAYB 20-29 years, male 31.1
GTEX-Y111-0926-SM-4SOIU 50-59 years, male 31.1
GTEX-ZPIC-0726-SM-57WFM 40-49 years, female 31.1
GTEX-1ICG6-1726-SM-ARU7K 70-79 years, female 31.0
GTEX-1QEPI-2226-SM-E8VN6 60-69 years, female 30.5
GTEX-13PL6-0926-SM-5KLYY 40-49 years, female 30.3
GTEX-13OW7-1126-SM-5K7V6 50-59 years, male 30.2
GTEX-1I1GR-1726-SM-COH39 60-69 years, male 30.2
GTEX-1MCC2-0626-SM-DKPQI 30-39 years, female 30.2
GTEX-11GS4-1026-SM-5N9DE 60-69 years, male 30.1
GTEX-11NV4-1426-SM-5BC4W 60-69 years, male 30.1
GTEX-1C6VS-1826-SM-73KXN 60-69 years, male 29.9
GTEX-1GF9X-0926-SM-7PC2X 40-49 years, female 29.8
GTEX-1HCUA-0926-SM-ADEIX 50-59 years, female 29.8
GTEX-1LVAM-1026-SM-DIPFK 50-59 years, female 29.8
GTEX-1I6K7-1826-SM-CGQFO 40-49 years, male 29.7
GTEX-WYBS-1026-SM-4ONCY 60-69 years, female 29.6
GTEX-1S5ZA-1026-SM-EWRO2 20-29 years, male 29.6
GTEX-18D9B-1726-SM-7LTAP 60-69 years, male 29.4
GTEX-1GN1U-0726-SM-9MQKL 50-59 years, female 29.4
GTEX-VJYA-1626-SM-EXOHL 60-69 years, male 29.3
GTEX-17EVP-1426-SM-79OMN 40-49 years, male 29.2
GTEX-1211K-1226-SM-5EQ4N 60-69 years, female 29.1
GTEX-1H1E6-1126-SM-9JGGV 30-39 years, male 28.8
GTEX-11DXZ-1426-SM-5H12A 50-59 years, male 28.7
GTEX-13112-1126-SM-5GCMY 50-59 years, male 28.5
GTEX-1B8KE-0826-SM-72D6S 50-59 years, male 28.5
GTEX-Y5V5-0226-SM-5S2N8 60-69 years, female 28.5
GTEX-15UKP-1426-SM-7KUDX 20-29 years, male 28.4
GTEX-178AV-0626-SM-6PAM1 40-49 years, male 28.3
GTEX-11P81-0726-SM-5PNYH 30-39 years, female 28.2
GTEX-YJ89-1926-SM-5IFJ6 60-69 years, male 28.2
GTEX-1E1VI-1826-SM-9WG5J 50-59 years, male 28.1
GTEX-16AAH-1526-SM-7LT9W 50-59 years, male 28.0
GTEX-18A7A-0926-SM-7LT8H 50-59 years, female 28.0
GTEX-1CB4G-2126-SM-7IGQ8 60-69 years, male 28.0
GTEX-1H1ZS-1326-SM-9WG74 70-79 years, male 28.0
GTEX-17F9Y-0726-SM-7LT9G 70-79 years, female 27.9
GTEX-14753-2526-SM-5LU97 60-69 years, male 27.8
GTEX-ZV6S-1626-SM-5NQ81 40-49 years, female 27.8
GTEX-1GMR3-0826-SM-9WYT4 40-49 years, male 27.7
GTEX-XLM4-1026-SM-4AT51 60-69 years, male 27.6
GTEX-13113-1126-SM-5LZU9 60-69 years, female 27.5
GTEX-1QP67-1126-SM-EAZ4C 40-49 years, female 27.5
GTEX-1N2EF-0926-SM-E8VNW 60-69 years, male 27.3
GTEX-147JS-1026-SM-5S2MP 60-69 years, male 27.2
GTEX-11GSP-1026-SM-9WYSH 60-69 years, female 27.2
GTEX-14ICL-0926-SM-5S2TU 30-39 years, male 27.1
GTEX-18465-1826-SM-731BB 50-59 years, male 27.1
GTEX-WI4N-1526-SM-EZ6LG 40-49 years, female 27.1
GTEX-1A8FM-2126-SM-7PC27 50-59 years, female 27.0
GTEX-1GMRU-0726-SM-7PBZH 50-59 years, male 27.0
GTEX-13OVG-1326-SM-5K7Y3 60-69 years, male 26.9
GTEX-11PRG-1526-SM-5HL6Z 50-59 years, male 26.8
GTEX-ZP4G-1326-SM-5EGIW 20-29 years, female 26.8
GTEX-1PPH8-1026-SM-DPRXN 20-29 years, male 26.8
GTEX-17MF6-1326-SM-79ONE 40-49 years, male 26.7
GTEX-ZG7Y-1626-SM-5S2NO 50-59 years, male 26.7
GTEX-XOT4-0826-SM-4B66Y 60-69 years, female 26.6
GTEX-1GF9U-1226-SM-ARL9I 40-49 years, female 26.6
GTEX-1LSNL-1426-SM-E6CJ9 50-59 years, male 26.6
GTEX-12WSM-0626-SM-5GCOK 60-69 years, male 26.5
GTEX-17HII-0826-SM-7DUFH 50-59 years, male 26.5
GTEX-146FR-0226-SM-5Q5F6 60-69 years, female 26.3
GTEX-14DAQ-2526-SM-5RQIO 60-69 years, female 26.3
GTEX-ZTX8-0726-SM-59HL9 20-29 years, male 26.1
GTEX-1HSKV-1926-SM-CNPPN 60-69 years, male 26.1
GTEX-1K9T9-1626-SM-DIPFS 50-59 years, female 26.1
GTEX-1RMOY-0826-SM-E9TIF 50-59 years, male 26.1
GTEX-11DXX-2026-SM-5EGJL 60-69 years, female 26.0
GTEX-1B8SG-1426-SM-7EWEM 50-59 years, male 26.0
GTEX-WY7C-0926-SM-3NB34 50-59 years, male 26.0
GTEX-1HBPH-2226-SM-9WYSO 40-49 years, female 26.0
GTEX-1IDJH-1626-SM-A9SLP 70-79 years, male 26.0
GTEX-1GN73-0626-SM-7PC3I 60-69 years, male 25.9
GTEX-1QPFJ-2126-SM-EXOJV 30-39 years, female 25.9
GTEX-1ICLZ-1626-SM-CE6SS 60-69 years, male 25.8
GTEX-1IE54-1426-SM-CL53C 40-49 years, female 25.8
GTEX-1JJE9-1526-SM-CM2RR 70-79 years, male 25.8
GTEX-1EU9M-1126-SM-793DE 60-69 years, male 25.7
GTEX-1IKOE-1726-SM-CNNQ6 30-39 years, female 25.6
GTEX-1QAET-1226-SM-DTX9I 50-59 years, male 25.6
GTEX-1I6K6-1526-SM-CGQFC 30-39 years, male 25.5
GTEX-1QW4Y-0826-SM-DTXE1 30-39 years, male 25.5
GTEX-1JJ6O-2826-SM-CNNP7 60-69 years, male 25.4
GTEX-13OW6-2426-SM-5K7WO 50-59 years, male 25.2
GTEX-13X6K-0726-SM-5LU2Z 60-69 years, female 25.2
GTEX-1HSMQ-1026-SM-ADEHU 50-59 years, male 25.2
GTEX-14PJO-1626-SM-69LPQ 60-69 years, male 25.1
GTEX-1JN76-1026-SM-ARZNI 20-29 years, female 25.0
GTEX-1QP28-0926-SM-EVR4D 50-59 years, female 25.0
GTEX-1F48J-1826-SM-7SB8T 50-59 years, female 24.8
GTEX-13OW8-0326-SM-5L3FB 60-69 years, male 24.7
GTEX-14PJN-0626-SM-6EU13 30-39 years, male 24.7
GTEX-ZYT6-2126-SM-5GZZ4 30-39 years, male 24.7
GTEX-13OVH-1126-SM-5K7YP 70-79 years, male 24.6
GTEX-1C6VQ-1526-SM-73KU9 50-59 years, male 24.6
GTEX-1H1DE-0826-SM-ARU8V 20-29 years, male 24.5
GTEX-1RAZR-1026-SM-E8VOJ 40-49 years, male 24.5
GTEX-1KD4Q-1426-SM-D4P3K 40-49 years, male 24.4
GTEX-1AX9I-1726-SM-731BX 60-69 years, male 24.3
GTEX-1IDJF-1726-SM-A9SLL 20-29 years, male 24.2
GTEX-1GPI7-0826-SM-9JGG7 20-29 years, male 24.1
GTEX-ZT9X-0926-SM-5O9C4 40-49 years, male 24.0
GTEX-1C475-0326-SM-7SB8O 40-49 years, female 24.0
GTEX-1OJC3-1326-SM-E9J3D 20-29 years, male 24.0
GTEX-13U4I-1726-SM-5J1MF 40-49 years, female 23.9
GTEX-18QFQ-1326-SM-731CF 30-39 years, male 23.9
GTEX-1AX8Z-1626-SM-73KWD 60-69 years, male 23.9
GTEX-1H23P-1726-SM-A9SMN 60-69 years, male 23.9
GTEX-WVLH-1626-SM-EXURN 50-59 years, male 23.9
GTEX-11ZTS-1326-SM-5EQMA 60-69 years, female 23.8
GTEX-1HSMO-1426-SM-CNNQN 60-69 years, male 23.8
GTEX-1LGOU-0826-SM-DHXKL 20-29 years, female 23.8
GTEX-13O3Q-1126-SM-5K7YK 50-59 years, male 23.7
GTEX-1I1GQ-1026-SM-CNNQS 50-59 years, male 23.7
GTEX-13PVR-0526-SM-5S2OB 60-69 years, female 23.6
GTEX-1JN6P-1626-SM-CYPSV 60-69 years, male 23.6
GTEX-WXYG-0926-SM-3NB2O 50-59 years, female 23.5
GTEX-1LG7Z-0226-SM-E6CIG 30-39 years, male 23.5
GTEX-14ABY-1926-SM-62LDJ 50-59 years, male 23.4
GTEX-15RIE-0126-SM-7KUF8 60-69 years, male 23.4
GTEX-12WSG-0426-SM-5FQSE 50-59 years, female 23.2
GTEX-18D9U-0426-SM-731AN 40-49 years, male 23.2
GTEX-12584-2126-SM-5FQUM 40-49 years, male 23.1
GTEX-X8HC-2326-SM-4QAS4 50-59 years, female 23.1
GTEX-145MF-1026-SM-5Q5EQ 50-59 years, male 23.0
GTEX-1B932-1726-SM-793A5 40-49 years, female 23.0
GTEX-XGQ4-1026-SM-4AT4L 50-59 years, male 23.0
GTEX-13OVK-0326-SM-7KUEJ 40-49 years, male 22.9
GTEX-16NPX-1026-SM-6PAM7 50-59 years, male 22.8
GTEX-18A67-1326-SM-7LT8V 50-59 years, male 22.8
GTEX-XXEK-1426-SM-4BRW1 50-59 years, male 22.8
GTEX-1GZ2Q-1226-SM-9MQM8 40-49 years, male 22.6
GTEX-1H1DG-2026-SM-9QEIV 70-79 years, male 22.5
GTEX-13G51-0526-SM-5IJCQ 60-69 years, male 22.4
GTEX-1I4MK-0726-SM-ACKWC 50-59 years, female 22.4
GTEX-11GSO-0226-SM-5A5LV 60-69 years, male 22.3
GTEX-ZEX8-1226-SM-5S2OK 50-59 years, male 22.3
GTEX-14PJ2-1426-SM-62LFF 50-59 years, male 22.2
GTEX-ZDTS-1826-SM-5S2N6 60-69 years, male 22.2
GTEX-13X6J-1926-SM-5TDCU 50-59 years, male 22.1
GTEX-14AS3-0426-SM-5QGQK 40-49 years, female 22.1
GTEX-1J1OQ-1526-SM-CJI4E 40-49 years, female 22.1
GTEX-1HCU7-2026-SM-A9G2B 50-59 years, male 21.8
GTEX-1RQEC-2526-SM-EVYD2 60-69 years, male 21.7
GTEX-17MFQ-1126-SM-7LT9O 20-29 years, male 21.6
GTEX-14PJM-1226-SM-686Z7 50-59 years, female 21.5
GTEX-14PHX-1626-SM-69LQB 50-59 years, male 21.4
GTEX-12WSA-1626-SM-5EGJV 60-69 years, male 21.3
GTEX-131XF-0726-SM-5GIE5 60-69 years, male 21.3
GTEX-13O61-1926-SM-5KM1R 60-69 years, male 21.3
GTEX-1CB4E-0826-SM-793CS 60-69 years, male 21.3
GTEX-Y8LW-0926-SM-4VBQ8 50-59 years, female 21.2
GTEX-ZF28-1426-SM-5S2OG 60-69 years, male 21.2
GTEX-13W46-1226-SM-5SIAS 50-59 years, male 21.0
GTEX-YJ8A-1926-SM-EZ6LQ 20-29 years, male 21.0
GTEX-144GN-0726-SM-5O98O 50-59 years, male 20.9
GTEX-ZDYS-2226-SM-5S2MI 50-59 years, male 20.9
GTEX-1HSMP-1126-SM-B2LXJ 70-79 years, male 20.8
GTEX-1K2DU-0726-SM-DIPF7 20-29 years, male 20.8
GTEX-1BAJH-2126-SM-7EWFB 70-79 years, male 20.7
GTEX-1HGF4-0226-SM-CNNQL 60-69 years, male 20.6
GTEX-1AMFI-1026-SM-73KYM 50-59 years, female 20.5
GTEX-ZZ64-0626-SM-5GZWR 20-29 years, male 20.5
GTEX-1OKEX-0926-SM-E8VNJ 60-69 years, male 20.5
GTEX-13FH7-1926-SM-5J2OL 50-59 years, female 20.4
GTEX-13O3P-0926-SM-5IFFI 50-59 years, male 20.4
GTEX-13VXT-0926-SM-5LU5K 20-29 years, female 20.4
GTEX-16XZZ-1626-SM-7KUEC 60-69 years, male 20.4
GTEX-WHPG-0626-SM-3NMBD 50-59 years, male 20.4
GTEX-1HCU6-1626-SM-CMKGW 60-69 years, female 20.4
GTEX-13RTK-0726-SM-5Q5EN 20-29 years, male 20.3
GTEX-1C6VR-1126-SM-7EPHD 60-69 years, male 20.3
GTEX-1N2DV-0626-SM-E9U5H 40-49 years, male 20.3
GTEX-12ZZW-2326-SM-5DUW2 50-59 years, male 20.2
GTEX-1JMQJ-1926-SM-D4P3A 50-59 years, male 20.2
GTEX-139T6-0526-SM-5IJC9 50-59 years, male 20.1
GTEX-XBEC-1826-SM-4QASN 50-59 years, male 20.1
GTEX-1J8Q2-2226-SM-CM2TZ 60-69 years, male 20.1
GTEX-145LT-1526-SM-5O98P 40-49 years, male 20.0
GTEX-1A3MX-0826-SM-72D64 60-69 years, male 20.0
GTEX-YECK-1426-SM-5IFHE 60-69 years, male 20.0
GTEX-1HCU9-0626-SM-ACKW6 20-29 years, male 20.0
GTEX-1IDJC-0226-SM-CMKG2 50-59 years, male 20.0
GTEX-WEY5-1326-SM-3GILS 40-49 years, female 19.9
GTEX-1H1DF-1426-SM-9YFMC 40-49 years, female 19.9
GTEX-15DZA-0626-SM-6PANC 30-39 years, female 19.8
GTEX-17EVQ-0626-SM-7KFTB 70-79 years, male 19.8
GTEX-1A8G7-1226-SM-73KYP 60-69 years, male 19.8
GTEX-1F52S-1326-SM-7SB6Q 60-69 years, female 19.8
GTEX-1B97J-1126-SM-7SB79 50-59 years, female 19.7
GTEX-145LU-1226-SM-5LU9B 50-59 years, male 19.6
GTEX-12WSL-1126-SM-5CVNK 50-59 years, male 19.5
GTEX-11P7K-0826-SM-5BC5F 30-39 years, male 19.4
GTEX-12C56-0826-SM-5EGJ5 20-29 years, male 19.4
GTEX-17F96-0726-SM-793CB 70-79 years, male 19.4
GTEX-1J8EW-1526-SM-CMKFZ 60-69 years, female 19.4
GTEX-15DYW-1526-SM-7KUEP 60-69 years, female 19.3
GTEX-183FY-1226-SM-7DHLK 20-29 years, male 19.3
GTEX-ZXG5-1626-SM-59HJK 60-69 years, male 19.3
GTEX-1POEN-1626-SM-EVYC2 30-39 years, female 19.3
GTEX-18A6Q-1026-SM-7LT9S 60-69 years, male 19.2
GTEX-1HR9M-1426-SM-A9SMB 60-69 years, male 19.2
GTEX-1JMPY-0326-SM-CM2S2 30-39 years, male 19.2
GTEX-13D11-0526-SM-5LZYM 50-59 years, female 19.1
GTEX-13FXS-1326-SM-62LFR 50-59 years, male 19.1
GTEX-Y3I4-0726-SM-E9J3Y 50-59 years, male 19.1
GTEX-1RAZA-0926-SM-E6CQ8 20-29 years, male 19.0
GTEX-1EH9U-1326-SM-79OM3 60-69 years, male 18.9
GTEX-1QCLY-1226-SM-EVYC3 30-39 years, male 18.9
GTEX-145MI-0826-SM-5SI95 60-69 years, female 18.8
GTEX-ZPU1-1226-SM-5HL71 40-49 years, male 18.6
GTEX-1KAFJ-0826-SM-CYPTF 50-59 years, male 18.6
GTEX-1N2DW-0726-SM-DTX97 50-59 years, male 18.6
GTEX-11EM3-1126-SM-5A5KM 20-29 years, female 18.5
GTEX-Y114-1326-SM-4TT9A 50-59 years, female 18.5
GTEX-ZYW4-2226-SM-5GZYG 60-69 years, male 18.5
GTEX-1KXAM-0526-SM-DKPQN 60-69 years, male 18.5
GTEX-12BJ1-0826-SM-5EQ5P 60-69 years, male 18.4
GTEX-1LG7Y-1126-SM-CYPTE 50-59 years, male 18.4
GTEX-14E1K-0426-SM-5S2PF 50-59 years, male 18.3
GTEX-11OF3-0826-SM-5BC51 60-69 years, male 18.2
GTEX-ZTSS-1026-SM-5985N 40-49 years, male 18.2
GTEX-1LVAO-2126-SM-DIPGA 60-69 years, male 18.2
GTEX-1PIGE-1226-SM-EVR3Q 20-29 years, male 18.2
GTEX-13N1W-1226-SM-5K7UM 70-79 years, male 18.1
GTEX-146FH-2026-SM-5SI9I 50-59 years, female 18.1
GTEX-YEC3-0926-SM-5Q5AC 50-59 years, male 18.1
GTEX-ZDTT-0526-SM-5HL4M 60-69 years, male 18.0
GTEX-1GN1W-1226-SM-9MQLW 50-59 years, female 18.0
GTEX-14E6C-1226-SM-5ZZUN 40-49 years, male 17.9
GTEX-1F6IF-2026-SM-7P8SE 60-69 years, male 17.9
GTEX-1J1R8-0526-SM-ACKWO 40-49 years, male 17.9
GTEX-14B4R-0526-SM-5QGQT 30-39 years, male 17.8
GTEX-Y5LM-0826-SM-4VDSW 40-49 years, female 17.8
GTEX-1EKGG-1426-SM-7PBY2 60-69 years, male 17.8
GTEX-1PFEY-0726-SM-E76PO 30-39 years, male 17.8
GTEX-ZAJG-1626-SM-5HL7I 50-59 years, female 17.7
GTEX-ZVE2-1826-SM-51MRZ 50-59 years, male 17.7
GTEX-1F5PL-1326-SM-7SB83 40-49 years, female 17.7
GTEX-ZF29-0826-SM-5S2O2 60-69 years, female 17.6
GTEX-132AR-0526-SM-5J2MJ 50-59 years, female 17.5
GTEX-133LE-0926-SM-5P9J1 20-29 years, female 17.5
GTEX-15CHQ-1126-SM-686YY 60-69 years, male 17.5
GTEX-1CAMQ-1226-SM-7SB7E 40-49 years, male 17.5
GTEX-13N11-1826-SM-5IJDS 50-59 years, female 17.4
GTEX-144GM-0626-SM-79OKY 20-29 years, male 17.4
GTEX-WHWD-0826-SM-3LK6R 50-59 years, male 17.4
GTEX-1QP29-1626-SM-EXUSZ 50-59 years, male 17.4
GTEX-13S86-0926-SM-5SI6I 40-49 years, male 17.3
GTEX-WH7G-1126-SM-3NMBK 40-49 years, male 17.3
GTEX-1LSVX-1326-SM-DIPET 60-69 years, male 17.2
GTEX-1I1GS-0926-SM-A9SL5 60-69 years, male 17.1
GTEX-1K2DA-1126-SM-CGQGG 50-59 years, male 17.1
GTEX-16BQI-1126-SM-7KULF 30-39 years, female 17.0
GTEX-1AX9K-0926-SM-7939G 50-59 years, male 17.0
GTEX-1HFI7-0726-SM-ACKVN 50-59 years, female 17.0
GTEX-139YR-0326-SM-5J1MC 50-59 years, male 16.8
GTEX-13IVO-2426-SM-5K7V9 70-79 years, male 16.8
GTEX-1JMQI-1026-SM-COH2U 50-59 years, male 16.8
GTEX-1GF9V-1126-SM-9MQM7 60-69 years, male 16.7
GTEX-1I1GU-0626-SM-CMKHR 40-49 years, male 16.6
GTEX-1B933-1326-SM-7939U 50-59 years, female 16.5
GTEX-1EN7A-1626-SM-79OLV 40-49 years, male 16.5
GTEX-14PJ5-0426-SM-5ZZW2 60-69 years, female 16.3
GTEX-1AYD5-0126-SM-7DUG5 50-59 years, male 16.3
GTEX-WFJO-1026-SM-3GIKL 30-39 years, male 16.3
GTEX-1AYCT-1126-SM-79OO8 50-59 years, male 16.2
GTEX-ZLWG-0726-SM-5S2N4 50-59 years, female 16.2
GTEX-1339X-0726-SM-5L3FF 40-49 years, male 16.1
GTEX-14BMV-1626-SM-73KVQ 50-59 years, male 16.1
GTEX-1NV5F-2526-SM-EXUSK 60-69 years, female 16.1
GTEX-17F9E-1326-SM-7DHL4 50-59 years, male 15.9
GTEX-UPK5-1826-SM-3GAEB 40-49 years, male 15.9
GTEX-XAJ8-0226-SM-4GIB2 40-49 years, male 15.9
GTEX-13YAN-1126-SM-5TDC7 60-69 years, male 15.8
GTEX-1I1CD-1026-SM-COH3G 60-69 years, female 15.8
GTEX-1R9K4-1426-SM-DPRY4 60-69 years, male 15.7
GTEX-13CF3-1126-SM-5LZXB 60-69 years, female 15.6
GTEX-13N2G-1926-SM-5J1O3 60-69 years, male 15.6
GTEX-XBEW-1726-SM-4RGMA 40-49 years, male 15.5
GTEX-ZVT2-0226-SM-5GIE3 50-59 years, female 15.5
GTEX-1A32A-0926-SM-718AB 50-59 years, female 15.4
GTEX-ZLV1-0926-SM-5S2MR 60-69 years, female 15.4
GTEX-1CAMS-0926-SM-7SB7F 40-49 years, female 15.4
GTEX-1IDJD-0926-SM-ACKWW 30-39 years, male 15.4
GTEX-XV7Q-1726-SM-4BRUU 40-49 years, female 15.3
GTEX-117YX-0726-SM-5GIET 50-59 years, male 15.2
GTEX-17HHE-1526-SM-793AS 50-59 years, male 15.1
GTEX-ZAB4-1426-SM-5CVN6 40-49 years, male 15.1
GTEX-1F75B-1226-SM-7MXTW 50-59 years, male 15.1
GTEX-14BIL-2426-SM-5QGQR 50-59 years, male 15.0
GTEX-1QMI2-1626-SM-EYYXK 60-69 years, male 15.0
GTEX-ZE9C-1326-SM-5S2OW 60-69 years, male 14.9
GTEX-1LSNM-0626-SM-DIPG7 50-59 years, male 14.9
GTEX-11LCK-0326-SM-5A5M7 30-39 years, male 14.8
GTEX-12WSK-1026-SM-5CVNR 40-49 years, female 14.8
GTEX-18A7B-1226-SM-718AU 70-79 years, male 14.8
GTEX-1399U-2026-SM-9WPNN 50-59 years, female 14.8
GTEX-11XUK-1726-SM-5GU61 40-49 years, female 14.7
GTEX-13OVJ-0926-SM-5K7U1 50-59 years, female 14.6
GTEX-1CAV2-0226-SM-7IGPQ 40-49 years, female 14.6
GTEX-13X6H-1726-SM-5Q5EH 50-59 years, female 14.5
GTEX-1KD5A-1326-SM-CYPTB 50-59 years, male 14.5
GTEX-15EOM-2326-SM-7KUMV 20-29 years, female 14.4
GTEX-1JKYR-1226-SM-CM2S7 20-29 years, male 14.4
GTEX-14C5O-0926-SM-793DM 60-69 years, male 14.3
GTEX-14DAR-0426-SM-664MW 50-59 years, male 14.3
GTEX-11I78-0226-SM-5HL6R 50-59 years, female 14.2
GTEX-ZF3C-1026-SM-5S2OC 50-59 years, female 14.2
GTEX-12KS4-1526-SM-5EQ6E 30-39 years, male 14.1
GTEX-131XE-2026-SM-5LZW1 50-59 years, male 14.1
GTEX-131XG-0126-SM-5K7UJ 50-59 years, female 14.1
GTEX-ZQUD-0526-SM-57WG4 30-39 years, male 14.1
GTEX-11P82-0326-SM-5HL51 20-29 years, male 14.0
GTEX-1H11D-1126-SM-9YFM5 40-49 years, male 14.0
GTEX-1HCU8-1126-SM-CM2SA 60-69 years, female 13.8
GTEX-12WSF-1526-SM-6PAN6 70-79 years, male 13.7
GTEX-1R7EV-1026-SM-DTX81 40-49 years, male 13.6
GTEX-145LV-1026-SM-5O9AE 50-59 years, male 13.5
GTEX-14PK6-0926-SM-62LF4 70-79 years, female 13.5
GTEX-1GTWX-1526-SM-9MQLF 60-69 years, male 13.5
GTEX-ZXES-0926-SM-5E43O 30-39 years, female 13.4
GTEX-1JMLX-1026-SM-D3L8U 50-59 years, male 13.4
GTEX-1128S-0926-SM-5GZZU 60-69 years, female 13.3
GTEX-117YW-0826-SM-5H11O 50-59 years, male 13.3
GTEX-132Q8-1726-SM-5EGK8 60-69 years, male 13.3
GTEX-13O21-3126-SM-5J1OI 50-59 years, male 13.3
GTEX-13X6I-1526-SM-5SIAC 60-69 years, male 13.3
GTEX-1B8KZ-1026-SM-73KYN 50-59 years, male 13.2
GTEX-1MA7X-1026-SM-DKPQ8 60-69 years, male 13.2
GTEX-1122O-0926-SM-9YFLC 60-69 years, female 13.1
GTEX-1PBJI-1326-SM-E9J2V 20-29 years, female 13.1
GTEX-14E6E-0226-SM-7DUEF 30-39 years, male 13.0
GTEX-ZZPU-0326-SM-5N9BJ 50-59 years, female 12.7
GTEX-1117F-1326-SM-5EGHH 60-69 years, female 12.6
GTEX-17HGU-1726-SM-79OKM 50-59 years, male 12.6
GTEX-1B996-1226-SM-73KWZ 60-69 years, male 12.6
GTEX-ZV7C-0826-SM-59HK8 50-59 years, male 12.6
GTEX-1LVAN-0926-SM-CNNQ2 50-59 years, female 12.6
GTEX-1445S-2426-SM-79ON2 60-69 years, male 12.5
GTEX-15EU6-1726-SM-6M48H 50-59 years, male 12.5
GTEX-1A3MV-0626-SM-731CH 30-39 years, male 12.3
GTEX-12ZZX-1726-SM-5BC63 40-49 years, female 12.2
GTEX-13PVQ-2226-SM-5L3G9 50-59 years, male 12.2
GTEX-1MUQO-0826-SM-EVYCZ 60-69 years, male 12.2
GTEX-WWTW-1326-SM-4MVNT 50-59 years, male 12.1
GTEX-1F75I-1026-SM-7SB8B 40-49 years, male 12.1
GTEX-1HSGN-1926-SM-CMKGS 40-49 years, female 12.1
GTEX-1S5VW-2426-SM-EAZ52 60-69 years, male 12.1
GTEX-1S3DN-1626-SM-EVYCC 50-59 years, male 12.0
GTEX-111CU-1026-SM-5EGIL 50-59 years, male 11.9
GTEX-WYJK-1426-SM-3NM8V 50-59 years, male 11.9
GTEX-ZYVF-1026-SM-5E44V 50-59 years, female 11.9
GTEX-1C64N-1326-SM-7SB7D 50-59 years, male 11.9
GTEX-16NPV-0626-SM-7IGOR 50-59 years, female 11.8
GTEX-1QP6S-1626-SM-EVYC5 40-49 years, male 11.8
GTEX-113JC-0726-SM-5GZZR 50-59 years, female 11.7
GTEX-XBED-1326-SM-4AT4F 60-69 years, male 11.7
GTEX-1RAZQ-1526-SM-E6CJI 30-39 years, male 11.7
GTEX-1IKK5-0826-SM-ACKWN 60-69 years, male 11.6
GTEX-1S82P-0926-SM-EWRNP 60-69 years, female 11.6
GTEX-1MJK3-0626-SM-E6CJB 20-29 years, male 11.5
GTEX-1H2FU-1426-SM-9WPO6 60-69 years, female 11.4
GTEX-13111-0626-SM-5LZVR 50-59 years, male 11.2
GTEX-14PN4-1426-SM-6LLJ4 50-59 years, male 11.2
GTEX-1RNTQ-0826-SM-E9TK8 20-29 years, female 11.2
GTEX-1HSEH-1326-SM-ADEI1 60-69 years, male 11.0
GTEX-1H3VE-1926-SM-9YFL4 40-49 years, male 10.8
GTEX-XPVG-1626-SM-EYYVK 50-59 years, male 10.7
GTEX-15SKB-1626-SM-6PAL6 60-69 years, male 10.6
GTEX-VUSG-1426-SM-3GIJN 50-59 years, male 10.6
GTEX-1O9I2-1326-SM-E6CQD 50-59 years, male 10.6
GTEX-111YS-1326-SM-5EGGK 60-69 years, male 10.2
GTEX-11EQ9-1126-SM-5987I 30-39 years, male 10.2
GTEX-1CB4F-1126-SM-79OLG 60-69 years, male 10.1
GTEX-W5X1-1426-SM-3GIKH 40-49 years, female 10.0
GTEX-1CB4I-0826-SM-7MGX1 50-59 years, male 10.0
GTEX-14JG6-0526-SM-6LLIH 30-39 years, female 9.9
GTEX-ZT9W-1026-SM-57WG5 50-59 years, male 9.7
GTEX-ZTPG-2326-SM-57WFL 20-29 years, female 9.7
GTEX-ZYFC-1826-SM-5GZZA 50-59 years, male 9.7
GTEX-1JMQK-1326-SM-CNPOR 60-69 years, male 9.7
GTEX-12696-1826-SM-5EGJS 60-69 years, male 9.3
GTEX-1HC8U-0926-SM-A9G3L 40-49 years, female 9.3
GTEX-13QBU-1326-SM-5LU4K 40-49 years, female 9.2
GTEX-13PL7-1226-SM-5SIAR 60-69 years, female 9.1
GTEX-ZYFG-1426-SM-5GICS 60-69 years, female 8.6
GTEX-Z9EW-0826-SM-5HL9T 40-49 years, male 8.5
GTEX-17GQL-0826-SM-731AM 60-69 years, male 8.4
GTEX-1LBAC-1026-SM-CXKYA 20-29 years, male 8.3
GTEX-14PHW-1626-SM-6EU2H 60-69 years, female 8.2
GTEX-1CAMR-0326-SM-793AH 20-29 years, male 8.2
GTEX-13FHO-2026-SM-5J1OA 60-69 years, male 8.1
GTEX-16MTA-1326-SM-6PALX 50-59 years, male 7.9
GTEX-1HB9E-0526-SM-ARZNM 50-59 years, male 7.9
GTEX-1LGRB-0526-SM-COH3A 50-59 years, female 7.8
GTEX-1LKK1-1526-SM-EVYCO 50-59 years, female 7.7
GTEX-ZPCL-1026-SM-5GCOX 60-69 years, female 7.6
GTEX-17F98-0326-SM-7DHLH 40-49 years, female 7.5
GTEX-XYKS-1826-SM-4E3JV 60-69 years, female 7.4
GTEX-ZF2S-1526-SM-5S2OO 50-59 years, female 7.3
GTEX-1I1GP-1426-SM-ACKVZ 50-59 years, male 7.2
GTEX-1JKYN-0526-SM-CGQG3 30-39 years, male 7.1
GTEX-132QS-0826-SM-5K7WV 60-69 years, male 6.8
GTEX-14BMU-0626-SM-73KZ6 20-29 years, female 6.8
GTEX-1KANA-1426-SM-CY8IF 20-29 years, male 6.8
GTEX-14C38-1026-SM-73KY7 50-59 years, male 6.4
GTEX-1ICLY-1426-SM-CJI48 50-59 years, male 6.4
GTEX-1RLM8-1026-SM-EWROE 50-59 years, male 6.4
GTEX-18A66-1926-SM-7LTAG 60-69 years, male 6.1
GTEX-11WQK-1526-SM-5EGKN 50-59 years, male 6.0
GTEX-11TT1-1926-SM-5PNYN 20-29 years, male 5.5
GTEX-ZA64-0926-SM-5HL7H 20-29 years, male 5.5
GTEX-1MA7W-0526-SM-E6CIN 20-29 years, female 5.5
GTEX-U8XE-1926-SM-3DB98 30-39 years, male 5.2
GTEX-1LH75-1026-SM-EWROK 50-59 years, female 5.1
GTEX-UTHO-1826-SM-3GAFE 60-69 years, male 4.5
GTEX-1GF9W-1026-SM-7SB8X 60-69 years, male 3.9
GTEX-14ICK-1726-SM-6AJA5 40-49 years, male 3.4
GTEX-14PJ4-0126-SM-62LEZ 60-69 years, male 2.8
GTEX-14C39-0826-SM-5TDDU 40-49 years, male 1.9
Show allShow less

ADIPOSE TISSUE - FANTOM5 CAGEi

RNA expression in human tissues obtained through Cap Analysis of Gene Expression (CAGE) generated by the FANTOM5 project are reported as Scaled Tags Per Million.

Max subtype Scaled Tags Per Millioni

Max subtype Scaled Tags Per Million is the value for the subtype with the largest average Scaled Tags Per Million across the subtype samples.

27.4
FANTOM5 sample id Sample description Scaled Tags Per Million
Adipose tissue
Scaled Tags Per Million: 27.4
FF:10010-101C1 65,65,76 years, mixed 27.4

Contact

  • NEWS ARTICLES
  • PRESS ROOM

The Project

  • INTRODUCTION
  • ORGANIZATION
  • PUBLICATIONS

The Human Protein Atlas

  • DOWNLOADABLE DATA
  • LICENCE & CITATION
  • HELP & FAQ
The Human Protein Atlas project is funded
by the Knut & Alice Wallenberg Foundation.


contact@proteinatlas.org