We use cookies to enhance the usability of our website. If you continue, we'll assume that you are happy to receive all cookies. More information. Don't show this again.
ITGB4
HPA
RESOURCES
  • TISSUE
  • BRAIN
  • SINGLE CELL
  • SUBCELLULAR
  • CANCER
  • BLOOD
  • CELL LINE
  • STRUCTURE & INTERACTION
ABOUT
  • INTRODUCTION
  • HISTORY
  • ORGANIZATION
  • PUBLICATIONS
  • ANTIBODY SUBMISSION
  • ANTIBODY AVAILABILITY
  • ACKNOWLEDGMENTS
  • CONTACT
NEWS
  • NEWS ARTICLES
  • PRESS ROOM
LEARN
  • DICTIONARY
  • PROTEIN CLASSES
  • PROTEIN EVIDENCE
  • METHODS
  • EDUCATIONAL VIDEOS
DATA
  • DOWNLOADABLE DATA
  • PUBLICATION DATA
  • RELEASE HISTORY
HELP
  • ANTIBODY VALIDATION
  • ASSAYS & ANNOTATION
  • DISCLAIMER
  • HELP & FAQ
  • PRIVACY STATEMENT
  • LICENCE & CITATION
Fields »
Search result

Field
Term
Gene name
Class
Subclass
Class
Keyword
Chromosome
External id
Tissue
Cell type
Expression
Antibody panel
Tissue
Main location
Patient ID
Annotation
Tissue
Category
Tau score
Cluster
Reliability
Brain region
Category
Tau score
Brain region
Category
Tau score
Brain region
Category
Tau score
Cluster
Reliability
Tissue
Cell type
Enrichment
Cell type
Category
Tau score
Cell type
Category
Tau score
Cell type
Category
Tau score
Cell lineage
Category
Tau score
Cluster
Cluster
Location
Searches
Location
Cell line
Class
Type
Phase
Reliability
Cancer
Prognosis
Cancer
Category
Cancer
Category
Tau score
Cluster
Variants
Interacting gene (ensg_id)
Type
Number of interactions
Pathway
Category
Score
Score
Score
Validation
Validation
Validation
Validation
Antibodies
Data type
Column


  • SUMMARY

  • TISSUE

  • BRAIN

  • SINGLE CELL

  • SUBCELL

  • CANCER

  • BLOOD

  • CELL LINE

  • STRUCT & INT

  • ITGB4
TISSUE PRIMARY DATA STOMACH Show tissue menu
ADIPOSE TISSUE ADRENAL GLAND AMYGDALA APPENDIX BASAL GANGLIA BONE MARROW BREAST BRONCHUS CEREBELLUM CEREBRAL CORTEX CERVIX CHOROID PLEXUS COLON DUODENUM
ENDOMETRIUM EPIDIDYMIS ESOPHAGUS FALLOPIAN TUBE GALLBLADDER HEART MUSCLE HIPPOCAMPAL FORMATION HYPOTHALAMUS KIDNEY LIVER LUNG LYMPH NODE MIDBRAIN NASOPHARYNX
ORAL MUCOSA OVARY PANCREAS PARATHYROID GLAND PITUITARY GLAND PLACENTA PROSTATE RECTUM RETINA SALIVARY GLAND SEMINAL VESICLE SKELETAL MUSCLE SKIN SMALL INTESTINE
SMOOTH MUSCLE SOFT TISSUE SPINAL CORD SPLEEN STOMACH TESTIS THYMUS THYROID GLAND TONGUE TONSIL URINARY BLADDER VAGINA
ANTIBODIES
AND
VALIDATION
Dictionary
Tissue proteome
Stomach
STOMACH - Expression summary
Protein expression
Stomachi

On the top, protein expression in current human tissue, based on all annotated cell types, is reported with the units not detected (n), low (l), medium (m) and high (h). Underneath, protein expression in each annotated cell type are reported using the same units.

Protein expression data is based on knowledge-based annotation. For genes where more than one antibody has been used, a collective score is set.

If knowledge-based annotation could not be performed for a gene, no data is displayed here. View antibody staining data further down this page.

h
m
l
n
Glandular cells: Medium
RNA expressioni

A summary of mRNA expression data available for current tissue based on several datasets. The mRNA expression levels in human tissues are based on RNA-seq data generated by the Human Protein Atlas (HPA), Genotype-Tissue Expression (GTEx) portal and CAGE data generated by the FANTOM5 consortium. Consensus normalized expression levels for human tissues was created by combining the data from HPA and GTEx datasets.

The mRNA expression levels in pig are based on RNA-seq data generated by the Human Protein Atlas (HPA), and for mouse, HPA data and in situ hybridization generated by the Allen brain atlas are reported.

Scroll down to view mRNA expression data in more detail.
Consensus:77.6 nTPM
HPA:64.1 nTPM
GTEx:77.6 nTPM

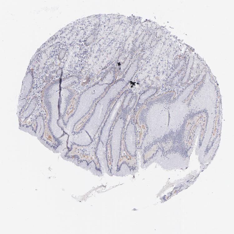
STOMACH 1 - Antibody stainingi

Antibody staining in the annotated cell types in the current human tissue is reported as not detected, low, medium, or high, based on conventional immunohistochemistry profiling in selected tissues. This score is based on the combination of the staining intensity and fraction of stained cells.

Each image is clickable and will lead to virtual microscopy that enables deeper exploration of all samples and also displays staining intensity scores, fraction scores and subcellular localization as well as patient and tissue information for each sample.

Antibody HPA036348Antibody HPA036349Antibody CAB002422Antibody CAB005258
Glandular cells MediumMediumLowLow







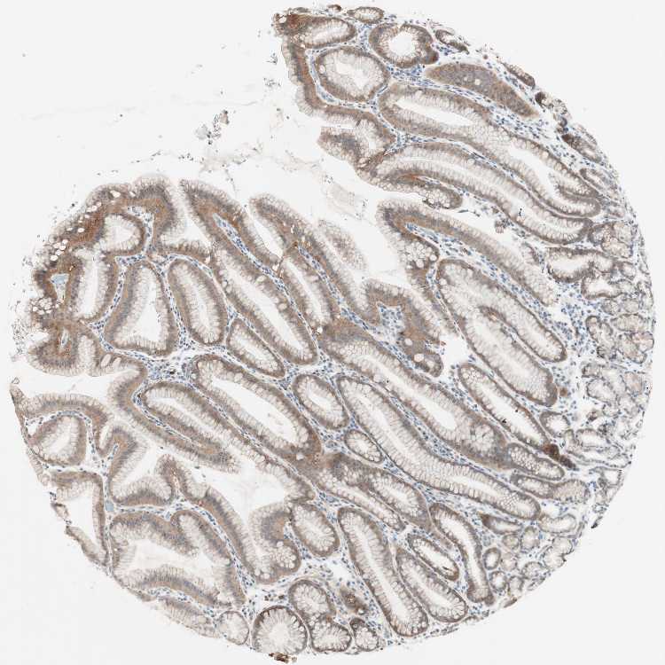
STOMACH 2 - Antibody stainingi

Antibody staining in the annotated cell types in the current human tissue is reported as not detected, low, medium, or high, based on conventional immunohistochemistry profiling in selected tissues. This score is based on the combination of the staining intensity and fraction of stained cells.

Each image is clickable and will lead to virtual microscopy that enables deeper exploration of all samples and also displays staining intensity scores, fraction scores and subcellular localization as well as patient and tissue information for each sample.

Antibody HPA036348Antibody HPA036349Antibody CAB002422Antibody CAB005258
Glandular cells MediumMediumHighLow









STOMACH - HPA RNA-seqi

The RNA-seq details section shows detailed information about the individual samples used for the transcript profiling and results of the RNA-seq analysis.

Information about each individual sample is listed below, including gender, age, a tissue section image and estimated fractions of cell types. nTPM (normalized transcripts per million) values give a quantification of the gene abundance which is comparable between different genes and samples.
Average nTPMi

Max subtype nTPM is the value for the subtype with the largest average nTPM across the subtype samples.

64.1
overview
Female, age 33
Stomach sample 61
nTPM: 22.8
Cell types%
Glandular cells:
60

Smooth muscle cells:
5

Other cell types:
35

N/A
Male, age 82
Stomach sample 240
nTPM: 62.7
Cell types%
Glandular cells:
65

Smooth muscle cells:
5

Other cell types:
30

overview
Male, age 71
Stomach sample 241
nTPM: 140.3
Cell types%
Glandular cells:
50

Smooth muscle cells:
5

Other cell types:
45

overview
Female, age 66
Stomach sample 369
nTPM: 30.6
Cell types%
Glandular cells:
50

Smooth muscle cells:
10

Other cell types:
40


STOMACH - GTEx RNA-seqi

RNA-Seq data generated by the Genotype-Tissue Expression (GTEx) project from human tissues is reported as mean nTPM. More information can be found on the GTEx portal.

Distribution across the dataset is visualized with box plots, shown as median and 25th and 75th percentiles. Points are displayed as outliers if they are above or below 1.5 times the interquartile range. nTPM values of the individual samples are presented next to the box plot.
Max subtype nTPMi

Max subtype nTPM is the value for the subtype with the largest average nTPM across the subtype samples.

77.6
GTEx sample id Sample description nTPM
Stomach
Average nTPM: 77.6
Samples: 359

Max nTPM: 415.4
Min nTPM: 17.8
Std nTPM: 50.6
Median nTPM: 65.2
GTEX-11NUK-2426-SM-5BC4U 50-59 years, male 415.4
GTEX-15G19-1526-SM-6LPKP 60-69 years, male 342.5
GTEX-ZYY3-1726-SM-5EGH3 60-69 years, female 307.2
GTEX-13OW6-2526-SM-5IJEC 50-59 years, male 282.5
GTEX-1JMPZ-1826-SM-CXZJT 30-39 years, male 253.4
GTEX-WHPG-0426-SM-4M1XW 50-59 years, male 220.5
GTEX-WFG8-1326-SM-4LVN3 20-29 years, male 207.7
GTEX-13S7M-1826-SM-5RQK6 60-69 years, female 200.0
GTEX-13PVQ-2126-SM-5L3FW 50-59 years, male 195.9
GTEX-ZVP2-1626-SM-5GU5D 50-59 years, male 194.9
GTEX-Y3IK-1426-SM-4YCES 50-59 years, female 190.6
GTEX-131XG-1226-SM-5EGH9 50-59 years, female 189.8
GTEX-P4PP-1526-SM-3P61M 30-39 years, female 186.6
GTEX-QDVN-1226-SM-48TZ5 50-59 years, male 185.0
GTEX-13CF3-1926-SM-5K7WF 60-69 years, female 184.8
GTEX-14PHX-1026-SM-664OL 50-59 years, male 182.2
GTEX-QCQG-0526-SM-48U2A 50-59 years, female 178.2
GTEX-QDVJ-1426-SM-48U1Y 50-59 years, male 169.0
GTEX-Q2AH-1126-SM-48TZM 40-49 years, male 167.3
GTEX-13FTW-1726-SM-5KM2B 40-49 years, male 164.6
GTEX-11DXX-1326-SM-5GIDZ 60-69 years, female 159.1
GTEX-ZVT3-2126-SM-59HL2 60-69 years, female 158.6
GTEX-Y8LW-0826-SM-4WWDO 50-59 years, female 157.3
GTEX-18A7A-2726-SM-7LG6U 50-59 years, female 157.1
GTEX-145ME-1026-SM-5O9B4 40-49 years, female 156.3
GTEX-1AYCT-1326-SM-7MKHB 50-59 years, male 156.3
GTEX-13O21-0926-SM-5IFGT 50-59 years, male 154.8
GTEX-117YX-1026-SM-5H11V 50-59 years, male 154.0
GTEX-145MN-1326-SM-5NQ9S 30-39 years, male 152.2
GTEX-1MGNQ-1826-SM-DPRYI 40-49 years, male 143.0
GTEX-1I6K7-1726-SM-B2LXQ 40-49 years, male 140.5
GTEX-ZE7O-3026-SM-51MS4 50-59 years, female 138.2
GTEX-1B97J-1826-SM-7IGPP 50-59 years, female 136.1
GTEX-TMMY-1626-SM-4DXTY 40-49 years, female 134.3
GTEX-POMQ-0826-SM-3P61H 20-29 years, female 134.1
GTEX-1JMLX-2426-SM-CXZJQ 50-59 years, male 133.9
GTEX-15UF7-1226-SM-6M46G 40-49 years, male 132.6
GTEX-Y9LG-1026-SM-5IFJN 30-39 years, male 131.5
GTEX-ZXES-1426-SM-5NQ8S 30-39 years, female 131.2
GTEX-18A67-2626-SM-718AD 50-59 years, male 130.4
GTEX-VJYA-1026-SM-4KL21 60-69 years, male 129.2
GTEX-1LG7Z-1226-SM-DHXK4 30-39 years, male 129.0
GTEX-13FTX-0726-SM-5N9BI 20-29 years, female 128.8
GTEX-S95S-0826-SM-4B64N 60-69 years, male 128.6
GTEX-WHSB-1226-SM-4M1XR 50-59 years, male 127.6
GTEX-1A3MV-1226-SM-718BW 30-39 years, male 126.6
GTEX-15DZA-1126-SM-6LPK8 30-39 years, female 126.1
GTEX-1JKYN-1726-SM-AHZ48 30-39 years, male 125.9
GTEX-1CAMR-0726-SM-7EPIE 20-29 years, male 125.3
GTEX-1399S-1626-SM-5P9GI 30-39 years, female 125.1
GTEX-14PKV-1826-SM-69LO9 20-29 years, female 124.1
GTEX-1LGRB-1726-SM-CNNRA 50-59 years, female 123.0
GTEX-14PJ5-0826-SM-6AJAR 60-69 years, female 121.2
GTEX-Y5LM-1326-SM-5RQIS 40-49 years, female 121.1
GTEX-ZLWG-1526-SM-DO12F 50-59 years, female 121.1
GTEX-1MJIX-1126-SM-EV7AO 40-49 years, male 119.3
GTEX-1F75I-1826-SM-7MKGX 40-49 years, male 118.9
GTEX-12BJ1-1726-SM-5HL9B 60-69 years, male 118.0
GTEX-YEC4-1426-SM-5IFHS 40-49 years, male 117.8
GTEX-S341-0626-SM-4AD5T 40-49 years, female 117.7
GTEX-RWS6-0926-SM-47JXE 60-69 years, female 117.3
GTEX-WFON-1126-SM-4LVMA 40-49 years, male 114.1
GTEX-RTLS-2626-SM-46MUJ 60-69 years, female 113.3
GTEX-U4B1-1026-SM-4DXT1 40-49 years, male 113.1
GTEX-OOBJ-1526-SM-3NB1Q 60-69 years, male 111.7
GTEX-S4Q7-0726-SM-4AD5F 20-29 years, male 110.9
GTEX-T5JW-0926-SM-4DM5K 20-29 years, female 110.9
GTEX-1399R-1126-SM-5IFIO 30-39 years, male 110.4
GTEX-17HGU-2126-SM-7IGOV 50-59 years, male 110.4
GTEX-ZY6K-0726-SM-5A5L8 50-59 years, male 109.8
GTEX-PWN1-1526-SM-48TDA 40-49 years, female 109.4
GTEX-ZLV1-0826-SM-DO11P 60-69 years, female 109.0
GTEX-WY7C-1726-SM-4ONCC 50-59 years, male 108.9
GTEX-1A8G6-1426-SM-731EZ 60-69 years, male 108.8
GTEX-111CU-0926-SM-5EGIK 50-59 years, male 108.6
GTEX-ZVZP-1726-SM-5GZWY 50-59 years, male 108.4
GTEX-12WSD-2326-SM-59HKQ 60-69 years, female 107.6
GTEX-WYJK-2526-SM-4ONDF 50-59 years, male 107.0
GTEX-1GMRU-2526-SM-9WG7T 50-59 years, male 107.0
GTEX-T8EM-1226-SM-4DM5J 40-49 years, male 106.8
GTEX-13RTK-0226-SM-5RQHR 20-29 years, male 105.8
GTEX-V1D1-1726-SM-4JBHB 50-59 years, male 105.8
GTEX-1B8KZ-1226-SM-793CP 50-59 years, male 105.2
GTEX-15DCE-1626-SM-6LPJM 20-29 years, male 104.9
GTEX-ZZ64-0426-SM-5E43F 20-29 years, male 104.2
GTEX-1C475-1026-SM-7MKFJ 40-49 years, female 103.9
GTEX-T6MO-0726-SM-4DM58 40-49 years, female 103.8
GTEX-1HBPN-1626-SM-9WPNP 50-59 years, male 103.2
GTEX-1R7EU-1126-SM-EAZ4M 60-69 years, male 103.2
GTEX-131XF-1226-SM-5HL8V 60-69 years, male 102.7
GTEX-YB5E-1126-SM-664NU 40-49 years, male 101.8
GTEX-11EM3-1026-SM-5A5KL 20-29 years, female 101.7
GTEX-1LBAC-1426-SM-CXZKT 20-29 years, male 101.3
GTEX-1KXAM-0926-SM-CXZKA 60-69 years, male 101.1
GTEX-ZYVF-2726-SM-5GID4 50-59 years, female 100.8
GTEX-13113-0726-SM-5LZUF 60-69 years, female 99.4
GTEX-WFG7-1326-SM-4LMK1 20-29 years, male 99.4
GTEX-XV7Q-1326-SM-4BRWM 40-49 years, female 98.5
GTEX-U3ZN-2026-SM-4DXUC 30-39 years, female 98.2
GTEX-ZLFU-1326-SM-DO11R 40-49 years, male 97.7
GTEX-1H3VY-2326-SM-9WG81 50-59 years, male 97.5
GTEX-1F5PL-1426-SM-7MKFH 40-49 years, female 96.8
GTEX-11EI6-2426-SM-5PNVS 60-69 years, male 96.7
GTEX-ZQUD-0826-SM-57WDQ 30-39 years, male 95.9
GTEX-1JK1U-1326-SM-AHZ45 60-69 years, male 95.5
GTEX-13QJ3-2726-SM-5SI6L 50-59 years, male 95.2
GTEX-11GSP-2126-SM-5HL5E 60-69 years, female 94.1
GTEX-144GN-1226-SM-5O991 50-59 years, male 93.2
GTEX-WXYG-1626-SM-4ONCR 50-59 years, female 92.9
GTEX-12696-1726-SM-5EQLH 60-69 years, male 92.4
GTEX-14BMU-1126-SM-5RQJ8 20-29 years, female 92.1
GTEX-1QCLY-1126-SM-EAZ4J 30-39 years, male 90.5
GTEX-QLQ7-0826-SM-447B3 60-69 years, male 90.4
GTEX-YFCO-0826-SM-5LUAG 40-49 years, male 89.2
GTEX-17F98-1526-SM-7EWD8 40-49 years, female 89.0
GTEX-S3XE-1026-SM-4AD4O 50-59 years, male 88.1
GTEX-11NSD-1426-SM-5HL67 20-29 years, male 87.3
GTEX-1KD5A-1426-SM-D4P3V 50-59 years, male 87.2
GTEX-OHPK-1526-SM-3MJGM 50-59 years, female 86.8
GTEX-WRHK-0626-SM-4MVOE 20-29 years, female 86.3
GTEX-ZYFG-1326-SM-5GICJ 60-69 years, female 85.8
GTEX-SNMC-0626-SM-4DM6H 20-29 years, male 85.6
GTEX-XBED-1226-SM-4AT5V 60-69 years, male 85.2
GTEX-1GL5R-1926-SM-9WG7U 50-59 years, male 83.2
GTEX-P78B-1826-SM-3P5YX 40-49 years, female 82.9
GTEX-1RB15-1026-SM-E9U6V 60-69 years, male 82.6
GTEX-14JG6-1226-SM-664O6 30-39 years, female 82.4
GTEX-SUCS-0926-SM-4DM4Z 70-79 years, male 82.2
GTEX-18A66-2226-SM-7189E 60-69 years, male 82.0
GTEX-1LGOU-1526-SM-D3LAJ 20-29 years, female 81.4
GTEX-1QPFJ-1526-SM-DPRXT 30-39 years, female 81.1
GTEX-1KANA-1126-SM-D3L9M 20-29 years, male 80.8
GTEX-17GQL-1226-SM-7KFTS 60-69 years, male 80.2
GTEX-18D9A-0626-SM-7KFTY 30-39 years, female 80.1
GTEX-UPK5-2126-SM-4JBJK 40-49 years, male 79.6
GTEX-QXCU-1926-SM-48FE4 50-59 years, male 78.4
GTEX-ZV7C-1626-SM-5NQ7E 50-59 years, male 78.4
GTEX-S4UY-1626-SM-4AD55 40-49 years, female 77.9
GTEX-ZVT2-1626-SM-51MRC 50-59 years, female 77.7
GTEX-SNOS-0826-SM-4DM5N 40-49 years, male 77.5
GTEX-1QP2A-2126-SM-DPRZ7 50-59 years, male 77.2
GTEX-133LE-1326-SM-5IFGO 20-29 years, female 77.0
GTEX-Y3I4-1626-SM-4TT7W 50-59 years, male 76.8
GTEX-PW2O-1226-SM-48TCH 20-29 years, male 76.0
GTEX-14B4R-0726-SM-5TDDR 30-39 years, male 75.6
GTEX-132QS-1826-SM-5IFFN 60-69 years, male 75.5
GTEX-1HT8W-2326-SM-A9SLA 30-39 years, male 75.5
GTEX-1H23P-2726-SM-9JGHN 60-69 years, male 75.4
GTEX-XMK1-1526-SM-EYYVO 40-49 years, male 75.4
GTEX-13D11-2126-SM-5IFH2 50-59 years, female 75.3
GTEX-ZGAY-1626-SM-DNZZ3 40-49 years, female 75.2
GTEX-15SHW-2126-SM-6M46Y 60-69 years, male 74.7
GTEX-12WSG-2026-SM-5FQUU 50-59 years, female 74.4
GTEX-14PJ3-1426-SM-664O8 50-59 years, male 73.8
GTEX-1HFI7-1526-SM-9WG7W 50-59 years, female 73.4
GTEX-1B8KE-1326-SM-73KVI 50-59 years, male 72.7
GTEX-UJMC-1226-SM-4IHLI 50-59 years, male 72.6
GTEX-1RAZR-1526-SM-EAZ4U 40-49 years, male 71.8
GTEX-Q2AI-0826-SM-48TZO 40-49 years, male 71.6
GTEX-ZA64-0826-SM-5HL9U 20-29 years, male 71.6
GTEX-QV31-0626-SM-447C5 30-39 years, male 71.2
GTEX-1MUQO-1926-SM-EAZ59 60-69 years, male 70.8
GTEX-16AAH-1226-SM-79OO9 50-59 years, male 69.3
GTEX-139YR-1926-SM-5LZXM 50-59 years, male 68.6
GTEX-1E1VI-2826-SM-7MGWU 50-59 years, male 68.3
GTEX-X15G-1126-SM-4PQZG 50-59 years, female 67.3
GTEX-ZP4G-1226-SM-4WWCJ 20-29 years, female 67.0
GTEX-ZPU1-1626-SM-4WWB2 40-49 years, male 66.6
GTEX-15CHR-1326-SM-79OLT 50-59 years, male 66.5
GTEX-PWCY-0926-SM-48TD7 20-29 years, female 66.3
GTEX-17F9E-2226-SM-7IGNC 50-59 years, male 66.2
GTEX-ZF29-1526-SM-4WKF7 60-69 years, female 66.2
GTEX-1IDJU-1526-SM-CNNR3 60-69 years, female 66.2
GTEX-15G1A-1226-SM-7KUF3 30-39 years, male 66.1
GTEX-1I4MK-0926-SM-A9SLD 50-59 years, female 66.1
GTEX-13U4I-2526-SM-5SI8Z 40-49 years, female 65.5
GTEX-XUZC-0726-SM-4BOPH 30-39 years, female 65.5
GTEX-14PJ6-0826-SM-686Z9 60-69 years, female 65.3
GTEX-1GZ4H-1026-SM-9OSXL 50-59 years, female 65.2
GTEX-1R9K5-1026-SM-EAZ4F 50-59 years, male 65.2
GTEX-Q734-1026-SM-48U16 40-49 years, female 64.7
GTEX-XQ8I-2026-SM-4BOOL 50-59 years, male 64.6
GTEX-14BMV-2226-SM-5RQHX 50-59 years, male 64.5
GTEX-1QMI2-2126-SM-DPRXQ 60-69 years, male 64.2
GTEX-111YS-1126-SM-5GZYQ 60-69 years, male 64.1
GTEX-QMRM-1126-SM-447BN 50-59 years, male 64.1
GTEX-1122O-1926-SM-5EGIQ 60-69 years, female 63.5
GTEX-14PJ4-1626-SM-664OB 60-69 years, male 62.1
GTEX-V955-1326-SM-4JBHR 60-69 years, male 61.6
GTEX-1J8EW-2226-SM-AHZ3T 60-69 years, female 61.4
GTEX-1HR9M-2326-SM-CNPPZ 60-69 years, male 61.1
GTEX-OXRL-1526-SM-E6CHQ 50-59 years, male 60.9
GTEX-12C56-0526-SM-5FQST 20-29 years, male 60.8
GTEX-12WSK-1426-SM-5CVNN 40-49 years, female 60.5
GTEX-QV44-1226-SM-CJI1S 50-59 years, male 60.4
GTEX-132AR-2426-SM-5IFFD 50-59 years, female 59.9
GTEX-S4Z8-1226-SM-4AD6W 60-69 years, male 59.7
GTEX-1B97I-1226-SM-7MGWQ 40-49 years, male 59.7
GTEX-1LSNM-1026-SM-DHXL2 50-59 years, male 59.4
GTEX-1HSEH-1526-SM-B2LXG 60-69 years, male 59.1
GTEX-11TT1-0726-SM-5GU5A 20-29 years, male 59.0
GTEX-ZZPU-1426-SM-5GZZ6 50-59 years, female 59.0
GTEX-14E6E-0926-SM-664N8 30-39 years, male 58.8
GTEX-ZF2S-1426-SM-57WET 50-59 years, female 58.8
GTEX-XXEK-0826-SM-4BRWG 50-59 years, male 58.4
GTEX-1RMOY-1126-SM-EV79E 50-59 years, male 58.1
GTEX-1AMFI-1226-SM-731CZ 50-59 years, female 57.4
GTEX-1GF9U-1126-SM-AHZ4H 40-49 years, female 57.4
GTEX-Y5V6-1326-SM-4VDTF 60-69 years, male 57.3
GTEX-144GM-1726-SM-5O9AS 20-29 years, male 56.6
GTEX-WHWD-1426-SM-4OORU 50-59 years, male 56.3
GTEX-1EH9U-2226-SM-7PBXX 60-69 years, male 56.1
GTEX-1IDJD-2426-SM-C1YS6 30-39 years, male 56.1
GTEX-17MF6-2126-SM-7KFS7 40-49 years, male 55.7
GTEX-1HCUA-1626-SM-A9SMG 50-59 years, female 55.2
GTEX-ZDYS-1926-SM-5HL59 50-59 years, male 53.7
GTEX-1HCU8-1326-SM-C1YQQ 60-69 years, female 53.6
GTEX-O5YW-1526-SM-3MJGL 50-59 years, male 53.4
GTEX-1A3MX-1926-SM-72D7F 60-69 years, male 53.1
GTEX-1HKZK-1526-SM-B2LWG 40-49 years, male 52.8
GTEX-13OVI-2426-SM-5KM4J 60-69 years, female 52.7
GTEX-13OVK-0926-SM-7KUFX 40-49 years, male 52.5
GTEX-1GN1W-2126-SM-9JGI7 50-59 years, female 52.3
GTEX-1MCYP-1126-SM-E9J2P 20-29 years, female 51.9
GTEX-17HHE-1026-SM-79ON6 50-59 years, male 51.8
GTEX-S7SF-0626-SM-4AD4V 20-29 years, female 51.8
GTEX-1H1E6-1626-SM-9OSWC 30-39 years, male 51.6
GTEX-1QP29-2326-SM-EXOJO 50-59 years, male 51.6
GTEX-13111-1226-SM-5GCNC 50-59 years, male 51.4
GTEX-XBEW-1826-SM-4RTWX 40-49 years, male 51.4
GTEX-YJ8A-1526-SM-5P9FT 20-29 years, male 51.3
GTEX-1HBPI-0726-SM-9WG7Z 50-59 years, male 51.3
GTEX-1E2YA-2426-SM-7EPIG 50-59 years, male 50.9
GTEX-1211K-1426-SM-5FQTF 60-69 years, female 50.7
GTEX-ZEX8-1626-SM-4WKG7 50-59 years, male 49.8
GTEX-1LVAN-2426-SM-CNNPZ 50-59 years, female 49.4
GTEX-13PVR-2126-SM-73KVR 60-69 years, female 49.3
GTEX-Y8E4-1526-SM-4WWDI 40-49 years, male 49.3
GTEX-17JCI-2226-SM-7LTA1 60-69 years, female 48.6
GTEX-PX3G-1526-SM-48U11 20-29 years, female 48.6
GTEX-13QBU-1126-SM-5LU44 40-49 years, female 48.5
GTEX-1ICG6-1826-SM-AHZ2O 70-79 years, female 48.5
GTEX-RM2N-0826-SM-48FD3 50-59 years, male 48.2
GTEX-1F5PK-1826-SM-7RHHX 50-59 years, male 47.9
GTEX-13X6J-2126-SM-5TDCV 50-59 years, male 47.4
GTEX-OHPM-1526-SM-EV796 50-59 years, male 47.3
GTEX-15RIE-1026-SM-6LPJQ 60-69 years, male 46.8
GTEX-14DAR-0926-SM-73KUQ 50-59 years, male 46.4
GTEX-WEY5-1226-SM-4LMIQ 40-49 years, female 45.7
GTEX-139D8-2326-SM-5IFGE 30-39 years, female 45.5
GTEX-QLQW-0726-SM-447AA 30-39 years, male 45.3
GTEX-14ICL-0826-SM-5YY9W 30-39 years, male 45.2
GTEX-1PPH8-1326-SM-DTXFO 20-29 years, male 45.2
GTEX-117YW-2226-SM-5N9DB 50-59 years, male 45.0
GTEX-1B8L1-1526-SM-79OLK 60-69 years, male 44.9
GTEX-1H3NZ-2226-SM-9WYUT 60-69 years, male 44.8
GTEX-13N1W-2026-SM-5K7YU 70-79 years, male 44.6
GTEX-1J8JJ-1726-SM-C1YQG 60-69 years, female 44.4
GTEX-ZAB4-1526-SM-5CVN7 40-49 years, male 44.2
GTEX-1QCLZ-1826-SM-DPRXP 60-69 years, female 44.1
GTEX-13FH7-1026-SM-5IJGF 50-59 years, female 43.6
GTEX-14DAQ-2826-SM-664MU 60-69 years, female 43.6
GTEX-16NGA-1526-SM-72D56 40-49 years, female 43.5
GTEX-1J8Q3-1926-SM-C1YSJ 60-69 years, male 43.3
GTEX-QDT8-2026-SM-EZ6LS 30-39 years, female 43.3
GTEX-PLZ5-1226-SM-EXOHA 50-59 years, male 42.9
GTEX-1399U-1626-SM-5P9J3 50-59 years, female 42.8
GTEX-145MO-2226-SM-5Q5BN 60-69 years, male 42.7
GTEX-S4P3-0726-SM-4AD57 50-59 years, female 42.5
GTEX-18D9B-2226-SM-718BM 60-69 years, male 42.3
GTEX-1AMEY-1226-SM-731DU 30-39 years, female 42.3
GTEX-1I1HK-2026-SM-CNNRB 60-69 years, male 41.7
GTEX-1CB4H-2426-SM-7PBYR 60-69 years, female 40.8
GTEX-13O3Q-2126-SM-5KM4C 50-59 years, male 40.7
GTEX-1HSMQ-2426-SM-CE6RY 50-59 years, male 40.0
GTEX-O5YV-1926-SM-EV797 60-69 years, female 39.9
GTEX-1H11D-2226-SM-9OSXN 40-49 years, male 39.7
GTEX-14BIL-1926-SM-73KYI 50-59 years, male 39.6
GTEX-UJHI-1026-SM-4IHJP 50-59 years, female 39.2
GTEX-OIZF-1526-SM-2I5GR 60-69 years, male 39.2
GTEX-1IDJF-1426-SM-ACKWK 20-29 years, male 39.1
GTEX-P4QT-1526-SM-3NMCT 50-59 years, female 38.6
GTEX-1IL2V-2026-SM-ARZMA 70-79 years, male 38.4
GTEX-WFJO-1126-SM-4LVLZ 30-39 years, male 37.6
GTEX-1L5NE-1526-SM-DIPFW 50-59 years, male 37.6
GTEX-1JMQJ-1326-SM-D4P3B 50-59 years, male 37.5
GTEX-WYVS-1326-SM-4ONCQ 40-49 years, female 37.2
GTEX-11VI4-0326-SM-5EQ6L 40-49 years, female 37.1
GTEX-13O61-1126-SM-5L3FI 60-69 years, male 37.0
GTEX-1C64O-2226-SM-73KTV 60-69 years, male 36.7
GTEX-13X6H-1626-SM-5Q5CT 50-59 years, female 36.6
GTEX-12WSJ-0926-SM-5P9JD 40-49 years, female 36.2
GTEX-14PKU-1126-SM-69LOU 40-49 years, female 36.1
GTEX-WZTO-2126-SM-4PQYW 40-49 years, male 36.1
GTEX-11I78-1726-SM-5A5M3 50-59 years, female 36.0
GTEX-18QFQ-1226-SM-718AE 30-39 years, male 36.0
GTEX-1H1DE-1226-SM-9JGHH 20-29 years, male 35.5
GTEX-ZPIC-2026-SM-57WG3 40-49 years, female 35.2
GTEX-1JMPY-0926-SM-ARL92 30-39 years, male 35.2
GTEX-17KNJ-1526-SM-7LTA9 50-59 years, male 34.3
GTEX-15EU6-2526-SM-7KUGB 50-59 years, male 34.0
GTEX-1GPI7-1326-SM-9KNVA 20-29 years, male 33.9
GTEX-1J8QM-1126-SM-C1YQB 60-69 years, female 33.7
GTEX-OXRK-1626-SM-3NB17 50-59 years, female 33.5
GTEX-RU1J-0526-SM-46MUT 20-29 years, female 33.5
GTEX-1S3DN-1526-SM-EVYCB 50-59 years, male 33.5
GTEX-14PHY-0926-SM-5ZZWL 60-69 years, female 33.1
GTEX-W5WG-1726-SM-4LMI5 50-59 years, female 32.9
GTEX-11P82-0726-SM-5PNYL 20-29 years, male 32.7
GTEX-145LT-1426-SM-5O9B3 40-49 years, male 32.7
GTEX-1N2DV-0926-SM-E9TJT 40-49 years, male 32.7
GTEX-11EQ9-1226-SM-5987E 30-39 years, male 32.6
GTEX-146FR-2026-SM-5NQAI 60-69 years, female 32.6
GTEX-R55D-1526-SM-48FEJ 50-59 years, male 32.3
GTEX-T5JC-1926-SM-4DM6Q 20-29 years, male 31.8
GTEX-17HII-2426-SM-7KFTT 50-59 years, male 31.6
GTEX-1CB4E-1326-SM-7DUGD 60-69 years, male 31.5
GTEX-1JN1M-2926-SM-CNNPJ 60-69 years, female 31.5
GTEX-1LVAM-1426-SM-E9TJ4 50-59 years, female 31.5
GTEX-TKQ1-0526-SM-4DXTG 30-39 years, male 31.1
GTEX-11P7K-1726-SM-5GU6F 30-39 years, male 30.7
GTEX-1339X-1426-SM-5K7YO 40-49 years, male 30.7
GTEX-1QP28-2126-SM-DTX8B 50-59 years, female 30.7
GTEX-XPVG-1526-SM-4B66C 50-59 years, male 30.4
GTEX-1QP67-1026-SM-EVR47 40-49 years, female 30.4
GTEX-1K2DA-0826-SM-CGQGD 50-59 years, male 30.3
GTEX-14PN3-1326-SM-6AJ9U 60-69 years, female 30.1
GTEX-ZV6S-0926-SM-57WGB 40-49 years, female 29.8
GTEX-131XE-2226-SM-5PNYX 50-59 years, male 29.7
GTEX-PLZ6-0826-SM-3P61K 30-39 years, male 29.7
GTEX-NFK9-1526-SM-3LK7B 40-49 years, male 29.6
GTEX-1I1GT-1726-SM-C1YS3 60-69 years, female 29.3
GTEX-146FH-2126-SM-5SI9U 50-59 years, female 29.1
GTEX-1S831-1126-SM-EWROI 20-29 years, male 28.3
GTEX-15RIF-1126-SM-7KUG2 20-29 years, male 28.0
GTEX-YEC3-1426-SM-D4P1S 50-59 years, male 28.0
GTEX-XAJ8-0326-SM-47JYI 40-49 years, male 27.9
GTEX-1JN76-0926-SM-ARZNH 20-29 years, female 27.9
GTEX-1NSGN-1926-SM-E9J36 50-59 years, male 27.9
GTEX-Y114-1226-SM-4TT88 50-59 years, female 27.5
GTEX-R55C-1026-SM-48FCM 40-49 years, male 27.4
GTEX-1QW4Y-0726-SM-DTX8E 30-39 years, male 26.1
GTEX-1H1DG-2126-SM-9WPPB 70-79 years, male 25.7
GTEX-TKQ2-0926-SM-4DXU5 50-59 years, male 25.5
GTEX-OIZH-1526-SM-3NB1J 50-59 years, male 25.0
GTEX-17EUY-1526-SM-793CA 20-29 years, male 24.3
GTEX-1S82Z-1726-SM-E6CHZ 30-39 years, female 24.0
GTEX-14E1K-1526-SM-664MN 50-59 years, male 23.8
GTEX-ZT9W-1526-SM-4YCDE 50-59 years, male 23.6
GTEX-1PIGE-1126-SM-EWRMV 20-29 years, male 23.4
GTEX-1AX9J-2626-SM-731EK 60-69 years, male 22.5
GTEX-R53T-1226-SM-48FCT 50-59 years, female 21.9
GTEX-R55G-1126-SM-48FDG 40-49 years, female 21.9
GTEX-WH7G-1526-SM-4LVMX 40-49 years, male 21.7
GTEX-P4PQ-1526-SM-3NMCK 60-69 years, male 21.5
GTEX-1RQEC-2126-SM-DPS15 60-69 years, male 20.9
GTEX-RUSQ-1126-SM-EAZAU 50-59 years, male 20.8
GTEX-11WQK-2626-SM-5EQ4K 50-59 years, male 20.7
GTEX-ZTX8-0426-SM-59HLG 20-29 years, male 17.8
Show allShow less

Contact

  • NEWS ARTICLES
  • PRESS ROOM

The Project

  • INTRODUCTION
  • ORGANIZATION
  • PUBLICATIONS

The Human Protein Atlas

  • DOWNLOADABLE DATA
  • LICENCE & CITATION
  • HELP & FAQ
The Human Protein Atlas project is funded
by the Knut & Alice Wallenberg Foundation.


contact@proteinatlas.org