We use cookies to enhance the usability of our website. If you continue, we'll assume that you are happy to receive all cookies. More information. Don't show this again.
ITGB4
HPA
RESOURCES
  • TISSUE
  • BRAIN
  • SINGLE CELL
  • SUBCELLULAR
  • CANCER
  • BLOOD
  • CELL LINE
  • STRUCTURE & INTERACTION
ABOUT
  • INTRODUCTION
  • HISTORY
  • ORGANIZATION
  • PUBLICATIONS
  • ANTIBODY SUBMISSION
  • ANTIBODY AVAILABILITY
  • ACKNOWLEDGMENTS
  • CONTACT
NEWS
  • NEWS ARTICLES
  • PRESS ROOM
LEARN
  • DICTIONARY
  • PROTEIN CLASSES
  • PROTEIN EVIDENCE
  • METHODS
  • EDUCATIONAL VIDEOS
DATA
  • DOWNLOADABLE DATA
  • PUBLICATION DATA
  • RELEASE HISTORY
HELP
  • ANTIBODY VALIDATION
  • ASSAYS & ANNOTATION
  • DISCLAIMER
  • HELP & FAQ
  • PRIVACY STATEMENT
  • LICENCE & CITATION
Fields »
Search result

Field
Term
Gene name
Class
Subclass
Class
Keyword
Chromosome
External id
Tissue
Cell type
Expression
Antibody panel
Tissue
Main location
Patient ID
Annotation
Tissue
Category
Tau score
Cluster
Reliability
Brain region
Category
Tau score
Brain region
Category
Tau score
Brain region
Category
Tau score
Cluster
Reliability
Tissue
Cell type
Enrichment
Cell type
Category
Tau score
Cell type
Category
Tau score
Cell type
Category
Tau score
Cell lineage
Category
Tau score
Cluster
Cluster
Location
Searches
Location
Cell line
Class
Type
Phase
Reliability
Cancer
Prognosis
Cancer
Category
Cancer
Category
Tau score
Cluster
Variants
Interacting gene (ensg_id)
Type
Number of interactions
Pathway
Category
Score
Score
Score
Validation
Validation
Validation
Validation
Antibodies
Data type
Column


  • SUMMARY

  • TISSUE

  • BRAIN

  • SINGLE CELL

  • SUBCELL

  • CANCER

  • BLOOD

  • CELL LINE

  • STRUCT & INT

  • ITGB4
TISSUE PRIMARY DATA BREAST Show tissue menu
ADIPOSE TISSUE ADRENAL GLAND AMYGDALA APPENDIX BASAL GANGLIA BONE MARROW BREAST BRONCHUS CEREBELLUM CEREBRAL CORTEX CERVIX CHOROID PLEXUS COLON DUODENUM
ENDOMETRIUM EPIDIDYMIS ESOPHAGUS FALLOPIAN TUBE GALLBLADDER HEART MUSCLE HIPPOCAMPAL FORMATION HYPOTHALAMUS KIDNEY LIVER LUNG LYMPH NODE MIDBRAIN NASOPHARYNX
ORAL MUCOSA OVARY PANCREAS PARATHYROID GLAND PITUITARY GLAND PLACENTA PROSTATE RECTUM RETINA SALIVARY GLAND SEMINAL VESICLE SKELETAL MUSCLE SKIN SMALL INTESTINE
SMOOTH MUSCLE SOFT TISSUE SPINAL CORD SPLEEN STOMACH TESTIS THYMUS THYROID GLAND TONGUE TONSIL URINARY BLADDER VAGINA
ANTIBODIES
AND
VALIDATION
Dictionary
Breast
Tissue proteome
Breast
BREAST - Expression summary
Protein expression
Breasti

On the top, protein expression in current human tissue, based on all annotated cell types, is reported with the units not detected (n), low (l), medium (m) and high (h). Underneath, protein expression in each annotated cell type are reported using the same units.

Protein expression data is based on knowledge-based annotation. For genes where more than one antibody has been used, a collective score is set.

If knowledge-based annotation could not be performed for a gene, no data is displayed here. View antibody staining data further down this page.

h
m
l
n
Adipocytes: Not detected
Glandular cells: Low
Myoepithelial cells: Low
RNA expressioni

A summary of mRNA expression data available for current tissue based on several datasets. The mRNA expression levels in human tissues are based on RNA-seq data generated by the Human Protein Atlas (HPA), Genotype-Tissue Expression (GTEx) portal and CAGE data generated by the FANTOM5 consortium. Consensus normalized expression levels for human tissues was created by combining the data from HPA and GTEx datasets.

The mRNA expression levels in pig are based on RNA-seq data generated by the Human Protein Atlas (HPA), and for mouse, HPA data and in situ hybridization generated by the Allen brain atlas are reported.

Scroll down to view mRNA expression data in more detail.
Consensus:64.4 nTPM
HPA:16.1 nTPM
GTEx:64.4 nTPM
FANTOM5:56.7 Scaled Tags Per Million

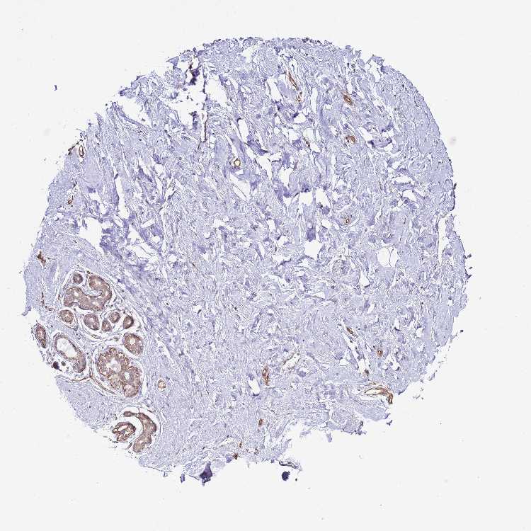
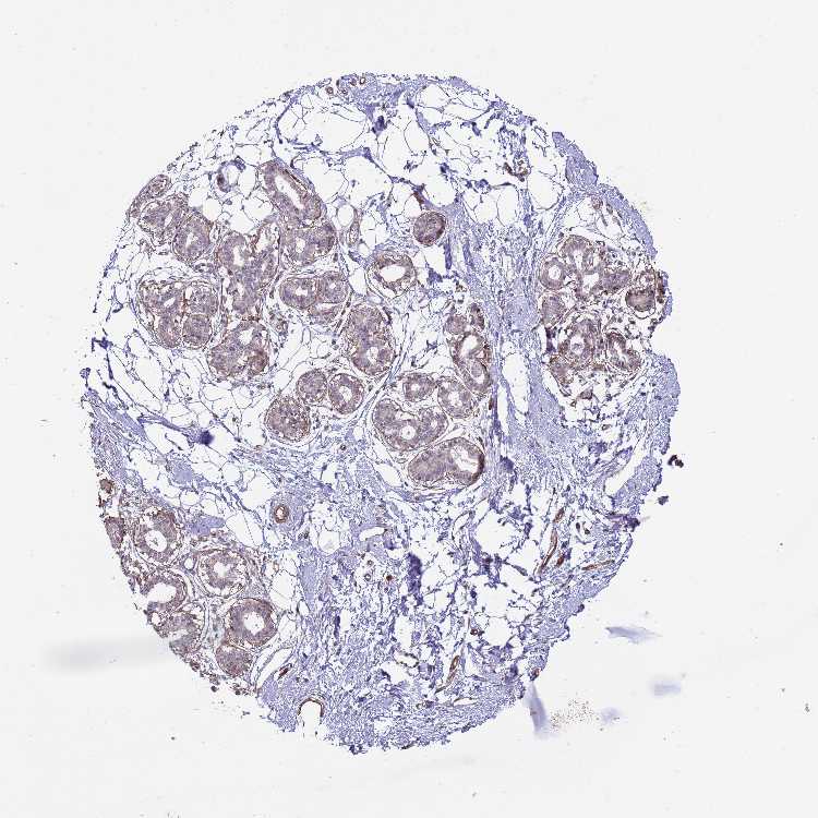
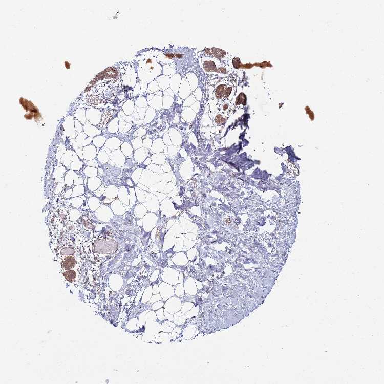
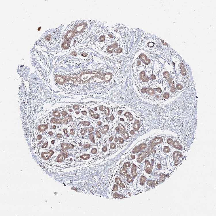
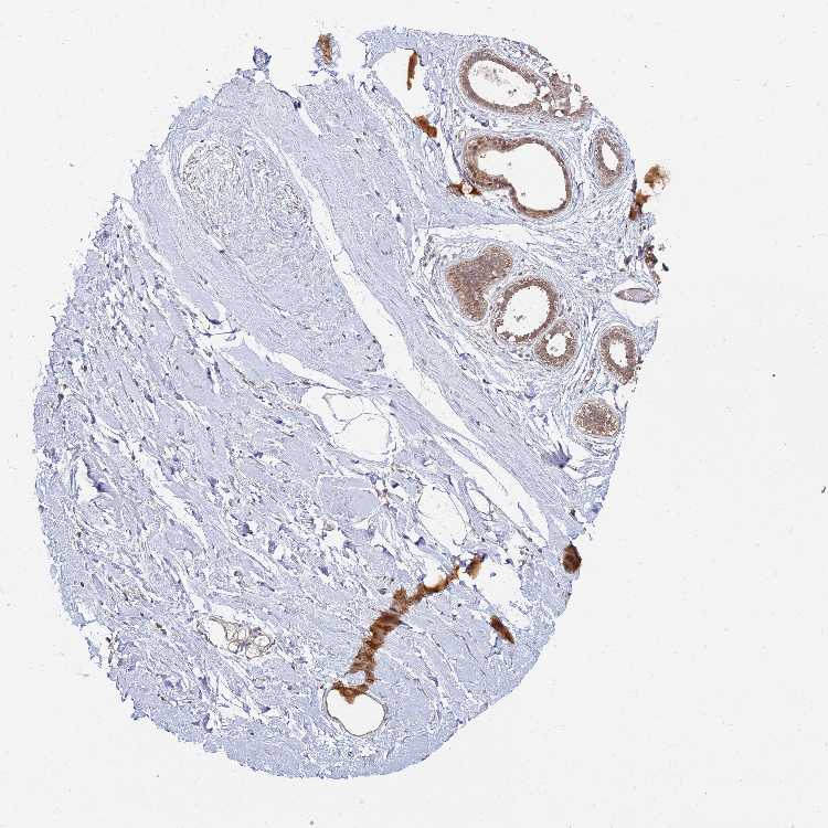
BREAST - Antibody stainingi

Antibody staining in the annotated cell types in the current human tissue is reported as not detected, low, medium, or high, based on conventional immunohistochemistry profiling in selected tissues. This score is based on the combination of the staining intensity and fraction of stained cells.

Each image is clickable and will lead to virtual microscopy that enables deeper exploration of all samples and also displays staining intensity scores, fraction scores and subcellular localization as well as patient and tissue information for each sample.

Antibody HPA036348Antibody HPA036349Antibody CAB002422Antibody CAB005258
Adipocytes Not detectedNot detectedNot detectedNot detected
Glandular cells LowMedium-Low
Myoepithelial cells MediumMedium-Low






BREAST - HPA RNA-seqi

The RNA-seq details section shows detailed information about the individual samples used for the transcript profiling and results of the RNA-seq analysis.

Information about each individual sample is listed below, including gender, age, a tissue section image and estimated fractions of cell types. nTPM (normalized transcripts per million) values give a quantification of the gene abundance which is comparable between different genes and samples.
Average nTPMi

Max subtype nTPM is the value for the subtype with the largest average nTPM across the subtype samples.

16.1
overview
Female, age 52
Breast sample 373
nTPM: 18.8
Cell types%
Glandular cells:
15

Adipocytes:
5

Other cell types:
80

overview
Female, age 80
Breast sample 390
nTPM: 22.2
Cell types%
Glandular cells:
5

Adipocytes:
15

Other cell types:
80

overview
Female, age 47
Breast sample 405
nTPM: 12.1
Cell types%
Glandular cells:
5

Adipocytes:
5

Other cell types:
90

overview
Female, age 38
Breast sample 410
nTPM: 11.2
Cell types%
Glandular cells:
40

Adipocytes:
5

Other cell types:
55


BREAST - GTEx RNA-seqi

RNA-Seq data generated by the Genotype-Tissue Expression (GTEx) project from human tissues is reported as mean nTPM. More information can be found on the GTEx portal.

Distribution across the dataset is visualized with box plots, shown as median and 25th and 75th percentiles. Points are displayed as outliers if they are above or below 1.5 times the interquartile range. nTPM values of the individual samples are presented next to the box plot.
Max subtype nTPMi

Max subtype nTPM is the value for the subtype with the largest average nTPM across the subtype samples.

64.4
GTEx sample id Sample description nTPM
Breast - Mammary Tissue
Average nTPM: 64.4
Samples: 459

Max nTPM: 550.9
Min nTPM: 3.6
Std nTPM: 48.1
Median nTPM: 57.4
GTEX-1NUQO-2226-SM-E9U68 20-29 years, female 550.9
GTEX-14H4A-2526-SM-5YYAY 40-49 years, female 321.6
GTEX-1HBPN-2326-SM-9WPPU 50-59 years, male 221.2
GTEX-11EM3-1326-SM-5N9C6 20-29 years, female 211.0
GTEX-14PHY-1926-SM-5YY95 60-69 years, female 200.8
GTEX-1I1GT-1126-SM-ARL7J 60-69 years, female 195.2
GTEX-1GZ4H-0326-SM-7P8QX 50-59 years, female 190.1
GTEX-1MCC2-2126-SM-EWRON 30-39 years, female 186.7
GTEX-1HCUA-0726-SM-ACKVU 50-59 years, female 184.1
GTEX-XUZC-1626-SM-4BRVP 30-39 years, female 181.5
GTEX-14BMU-1626-SM-5TDE7 20-29 years, female 180.3
GTEX-RU1J-0626-SM-4WAWY 20-29 years, female 178.0
GTEX-132Q8-1426-SM-5EGK7 60-69 years, male 176.1
GTEX-ZXES-0826-SM-5E43C 30-39 years, female 174.9
GTEX-1IE54-0626-SM-ARL8D 40-49 years, female 155.3
GTEX-ZAJG-0626-SM-5HL8X 50-59 years, female 155.1
GTEX-S4P3-1326-SM-4AD6V 50-59 years, female 147.9
GTEX-11P7K-0726-SM-5EGKX 30-39 years, male 147.1
GTEX-1CAMS-1426-SM-7IGPM 40-49 years, female 146.4
GTEX-131XW-0726-SM-5EGK3 50-59 years, female 145.0
GTEX-T2IS-1526-SM-32QPR 20-29 years, female 143.0
GTEX-11WQC-1726-SM-5GU4W 60-69 years, male 142.4
GTEX-Y5LM-1726-SM-4VDSX 40-49 years, female 139.6
GTEX-1269C-2426-SM-5FQSN 60-69 years, female 139.4
GTEX-T6MO-0326-SM-32QOK 40-49 years, female 136.5
GTEX-WYBS-0926-SM-3NM94 60-69 years, female 134.9
GTEX-1LVAN-1326-SM-CNPQE 50-59 years, female 133.8
GTEX-XUW1-2326-SM-4BOO5 50-59 years, female 133.6
GTEX-15UF6-0126-SM-6PAMB 70-79 years, female 133.4
GTEX-13PVR-2226-SM-7DHKP 60-69 years, female 132.5
GTEX-X15G-1626-SM-3NMB3 50-59 years, female 131.6
GTEX-ZGAY-1726-SM-DO91P 40-49 years, female 130.7
GTEX-1CB4J-1826-SM-7EWF9 60-69 years, male 130.2
GTEX-ZLV1-1426-SM-DO92Z 60-69 years, female 129.5
GTEX-13SLW-2526-SM-62LDQ 70-79 years, male 128.9
GTEX-15ETS-0626-SM-7KUMX 40-49 years, female 128.7
GTEX-ZZPU-0626-SM-5E43T 50-59 years, female 127.5
GTEX-1IKOE-1326-SM-CE6T6 30-39 years, female 127.4
GTEX-1399U-1826-SM-5PNZ1 50-59 years, female 126.7
GTEX-13W3W-1226-SM-5LU4H 60-69 years, female 126.2
GTEX-1KAFJ-0226-SM-DIPEL 50-59 years, male 125.4
GTEX-X4EP-2926-SM-3P5YQ 60-69 years, female 124.8
GTEX-14LLW-0626-SM-62LFC 70-79 years, female 124.1
GTEX-1GF9X-1026-SM-ACKX2 40-49 years, female 123.7
GTEX-1HSGN-1526-SM-A9SMO 40-49 years, female 122.9
GTEX-16NGA-0826-SM-718AF 40-49 years, female 122.8
GTEX-ZC5H-2626-SM-5J2MG 40-49 years, female 122.2
GTEX-13D11-1026-SM-5IJFB 50-59 years, female 121.9
GTEX-1CB4G-2326-SM-79OOI 60-69 years, male 120.5
GTEX-1GN1U-0526-SM-9KNTT 50-59 years, female 118.9
GTEX-Y8LW-1626-SM-5IFHX 50-59 years, female 118.3
GTEX-1IDJH-2226-SM-E6CJV 70-79 years, male 117.3
GTEX-14PKU-0426-SM-6EU1P 40-49 years, female 116.7
GTEX-14PN4-0626-SM-62LFP 50-59 years, male 115.7
GTEX-1MA7W-1026-SM-DKPQK 20-29 years, female 115.6
GTEX-ZTPG-2826-SM-57WGA 20-29 years, female 115.2
GTEX-14A5I-0726-SM-5TDEB 50-59 years, female 114.9
GTEX-17EVQ-0426-SM-7LG57 70-79 years, male 111.6
GTEX-1GN1W-1926-SM-7P8TH 50-59 years, female 110.9
GTEX-RWS6-1926-SM-47JXY 60-69 years, female 110.4
GTEX-1R9PN-0326-SM-DTX85 40-49 years, female 109.4
GTEX-SE5C-2126-SM-4BRUJ 40-49 years, female 108.4
GTEX-ZEX8-2226-SM-57WC6 50-59 years, male 107.6
GTEX-U3ZN-1926-SM-4DXSG 30-39 years, female 107.5
GTEX-R3RS-0626-SM-48FE1 40-49 years, female 106.7
GTEX-1JJE9-2326-SM-ARL8Q 70-79 years, male 106.0
GTEX-11EMC-2026-SM-5A5JV 60-69 years, female 105.8
GTEX-13NZ9-1026-SM-5MR5K 50-59 years, male 105.6
GTEX-WXYG-2226-SM-4E3IM 50-59 years, female 104.3
GTEX-WI4N-1426-SM-3LK7H 40-49 years, female 103.8
GTEX-13PL6-2926-SM-5L3I2 40-49 years, female 103.2
GTEX-UJHI-1426-SM-3DB9C 50-59 years, female 102.0
GTEX-1B8L1-2426-SM-9WYTE 60-69 years, male 101.6
GTEX-1P4AB-1826-SM-E76PU 50-59 years, male 101.2
GTEX-YFC4-1426-SM-5IFJG 40-49 years, female 101.1
GTEX-1HKZK-1826-SM-ADEJ2 40-49 years, male 101.0
GTEX-1GMR8-0726-SM-9KNVI 50-59 years, female 100.6
GTEX-11GS4-2126-SM-5A5KR 60-69 years, male 100.4
GTEX-S341-1526-SM-4AD6K 40-49 years, female 100.4
GTEX-ZF3C-2326-SM-5S2NC 50-59 years, female 97.5
GTEX-1J8QM-2026-SM-ARZMW 60-69 years, female 97.3
GTEX-1GPI7-0926-SM-7PC3J 20-29 years, male 96.7
GTEX-1H1CY-2226-SM-9WG7E 60-69 years, female 96.0
GTEX-QDT8-0626-SM-48TYW 30-39 years, female 95.6
GTEX-1RAZS-1226-SM-E8VMT 50-59 years, male 95.5
GTEX-1IDJE-0826-SM-CKZNZ 50-59 years, female 93.5
GTEX-1QEPI-0926-SM-DTXF3 60-69 years, female 93.5
GTEX-Y111-2026-SM-4SOJA 50-59 years, male 93.4
GTEX-ZV7C-1826-SM-5NQ83 50-59 years, male 93.3
GTEX-1KD4Q-2326-SM-D4P3M 40-49 years, male 92.9
GTEX-1IKOH-2326-SM-CM2TW 60-69 years, female 92.3
GTEX-1J8EW-2626-SM-CL53E 60-69 years, female 91.7
GTEX-131YS-0626-SM-5EGKL 60-69 years, female 91.4
GTEX-17EUY-1926-SM-7DUF6 20-29 years, male 91.3
GTEX-13QIC-2326-SM-5LU5N 60-69 years, female 91.1
GTEX-17HHE-1426-SM-7EPH4 50-59 years, male 90.9
GTEX-XBED-1626-SM-47JYN 60-69 years, male 90.9
GTEX-1QPFJ-2026-SM-EVYBE 30-39 years, female 90.7
GTEX-1EN7A-1426-SM-7PBY4 40-49 years, male 90.4
GTEX-11PRG-0826-SM-5EQ6A 50-59 years, male 90.2
GTEX-1LVAM-0926-SM-E9TJ2 50-59 years, female 89.7
GTEX-1LGRB-1826-SM-CNPQL 50-59 years, female 89.4
GTEX-1HCVE-2626-SM-ADEJ8 50-59 years, male 89.3
GTEX-1R7EU-1226-SM-E8VMR 60-69 years, male 89.2
GTEX-1122O-1226-SM-5H113 60-69 years, female 89.0
GTEX-13O3O-0826-SM-5K7WE 60-69 years, female 89.0
GTEX-1B932-0826-SM-73KXG 40-49 years, female 89.0
GTEX-WYVS-1726-SM-3NMAY 40-49 years, female 88.4
GTEX-15FZZ-0726-SM-7KUFZ 30-39 years, female 88.2
GTEX-145MF-2226-SM-7EPIR 50-59 years, male 87.9
GTEX-18A7A-0726-SM-7LTAI 50-59 years, female 87.3
GTEX-ZF29-1926-SM-5S2P1 60-69 years, female 86.9
GTEX-133LE-1726-SM-5K7VQ 20-29 years, female 86.7
GTEX-Q2AG-0326-SM-48U1O 40-49 years, female 86.3
GTEX-1I4MK-1626-SM-CM2TJ 50-59 years, female 86.3
GTEX-ZAK1-1326-SM-EVYAS 50-59 years, female 86.3
GTEX-1CB4E-0226-SM-79OLW 60-69 years, male 86.0
GTEX-14AS3-1626-SM-5S2OY 40-49 years, female 85.9
GTEX-1MCYP-0126-SM-E6CIS 20-29 years, female 85.8
GTEX-1211K-1926-SM-5EQLB 60-69 years, female 85.7
GTEX-Y5V5-2126-SM-4WWFO 60-69 years, female 85.3
GTEX-11P81-1926-SM-5BC53 30-39 years, female 85.2
GTEX-ZVE2-1226-SM-5NQ8R 50-59 years, male 84.6
GTEX-13FTY-2226-SM-5J1ND 40-49 years, female 84.0
GTEX-ZTX8-1226-SM-4YCE9 20-29 years, male 83.6
GTEX-1R46S-2526-SM-E8VN2 60-69 years, female 83.6
GTEX-13NZB-2126-SM-5MR4Y 30-39 years, male 82.6
GTEX-1HSKV-2026-SM-CMKGX 60-69 years, male 82.3
GTEX-1F75I-2026-SM-7SB7N 40-49 years, male 82.1
GTEX-RU72-0626-SM-46MUI 50-59 years, female 82.0
GTEX-S4UY-0726-SM-4AD6X 40-49 years, female 81.2
GTEX-XMD1-0826-SM-4AT52 60-69 years, male 81.2
GTEX-1GZHY-0726-SM-9WG6B 50-59 years, female 80.8
GTEX-1KANA-2026-SM-DIPFB 20-29 years, male 80.8
GTEX-Y114-2026-SM-4TT7L 50-59 years, female 80.5
GTEX-1KXAM-1026-SM-CY8IA 60-69 years, male 80.4
GTEX-1IY9M-2726-SM-CMKG5 60-69 years, male 79.9
GTEX-XOT4-0726-SM-4GIAW 60-69 years, female 79.4
GTEX-1H1E6-0926-SM-9YFLT 30-39 years, male 79.2
GTEX-1JK1U-1826-SM-ARL8W 60-69 years, male 79.1
GTEX-1M5QR-2526-SM-E9U5P 40-49 years, male 79.1
GTEX-1POEN-0926-SM-DTX88 30-39 years, female 78.8
GTEX-13NZ8-0126-SM-5IJCT 60-69 years, female 78.4
GTEX-WFG8-2026-SM-EXOHO 20-29 years, male 78.2
GTEX-1N2EE-2126-SM-E8VNN 60-69 years, male 77.8
GTEX-1N5O9-1126-SM-DTXEQ 60-69 years, male 77.4
GTEX-17HG3-0126-SM-7IGNH 30-39 years, female 77.3
GTEX-13OW5-2226-SM-5L3HC 60-69 years, male 77.1
GTEX-12WSK-2226-SM-5GCO5 40-49 years, female 76.3
GTEX-13VXU-2826-SM-664MA 50-59 years, male 76.1
GTEX-ZVT2-1826-SM-5NQ8W 50-59 years, female 75.8
GTEX-XYKS-1326-SM-4BRUN 60-69 years, female 75.7
GTEX-11TT1-2126-SM-5GU5Y 20-29 years, male 75.2
GTEX-1GMR2-1926-SM-9MQLZ 50-59 years, male 75.2
GTEX-1JN6P-2426-SM-ARL99 60-69 years, male 74.8
GTEX-13SLX-2326-SM-5ZZWE 50-59 years, female 74.7
GTEX-1GMRU-0826-SM-9WYT7 50-59 years, male 74.3
GTEX-1F5PL-1026-SM-7RHI1 40-49 years, female 74.1
GTEX-1BAJH-0826-SM-7EWEF 70-79 years, male 73.5
GTEX-Y3IK-2326-SM-4WWDT 50-59 years, female 73.5
GTEX-1B8SG-1226-SM-7IGPF 50-59 years, male 73.4
GTEX-TMMY-0726-SM-33HBE 40-49 years, female 73.0
GTEX-1RQEC-2026-SM-DTXDM 60-69 years, male 72.6
GTEX-11I78-2226-SM-5PNYA 50-59 years, female 72.3
GTEX-139T8-0826-SM-5L3DE 60-69 years, male 72.2
GTEX-15ER7-1626-SM-6PAMZ 20-29 years, female 71.7
GTEX-1C64O-0726-SM-7DUFU 60-69 years, male 71.5
GTEX-1JJEA-2726-SM-ARL8V 60-69 years, male 71.4
GTEX-ZY6K-1626-SM-5GZWV 50-59 years, male 71.0
GTEX-11EI6-0626-SM-5985T 60-69 years, male 70.6
GTEX-1GPI6-0626-SM-7RHHJ 60-69 years, male 70.5
GTEX-117XS-1926-SM-5GICO 60-69 years, male 70.2
GTEX-WYJK-1326-SM-3NB2T 50-59 years, male 69.9
GTEX-13O3P-0826-SM-5L3DH 50-59 years, male 69.7
GTEX-13N11-1726-SM-5J1OJ 50-59 years, female 69.6
GTEX-1C6VS-0726-SM-7EPHF 60-69 years, male 69.6
GTEX-1QCLY-1626-SM-DTXDW 30-39 years, male 69.2
GTEX-ZVT4-1026-SM-57WC4 50-59 years, female 69.1
GTEX-ZUA1-1526-SM-59HLS 40-49 years, male 69.0
GTEX-UPK5-2326-SM-3P5Z8 40-49 years, male 68.6
GTEX-T5JC-2126-SM-32PMO 20-29 years, male 68.5
GTEX-18QFQ-0826-SM-718AX 30-39 years, male 68.4
GTEX-1JMQK-2626-SM-COH2W 60-69 years, male 68.3
GTEX-WRHU-0326-SM-3MJFY 50-59 years, female 68.1
GTEX-1LNCM-0226-SM-DIPF4 50-59 years, female 67.6
GTEX-ZU9S-1926-SM-5NQBP 30-39 years, male 67.4
GTEX-1QCLZ-2326-SM-DTXDO 60-69 years, female 67.4
GTEX-U3ZH-1426-SM-4DXSR 30-39 years, male 66.7
GTEX-1IKJJ-2326-SM-COH3U 60-69 years, male 66.7
GTEX-1B933-2526-SM-7IGO5 50-59 years, female 66.6
GTEX-U412-1826-SM-4DXTJ 60-69 years, male 66.0
GTEX-13CF2-2026-SM-5K7VI 60-69 years, male 65.9
GTEX-1J8Q2-2726-SM-A9G2X 60-69 years, male 65.2
GTEX-1K2DA-1726-SM-CGQGS 50-59 years, male 65.2
GTEX-1AX8Z-0926-SM-731AW 60-69 years, male 65.0
GTEX-12ZZX-1126-SM-5EGKB 40-49 years, female 64.7
GTEX-17HHY-0926-SM-793C1 50-59 years, male 64.5
GTEX-13FHO-0826-SM-5L3E8 60-69 years, male 64.3
GTEX-1PPGY-1526-SM-EVYBK 60-69 years, male 64.3
GTEX-1H3VY-0926-SM-ACKXE 50-59 years, male 64.2
GTEX-Y3I4-1526-SM-4TT7K 50-59 years, male 64.0
GTEX-1F6I4-2526-SM-7SB8F 60-69 years, male 64.0
GTEX-145MN-1926-SM-5SIAI 30-39 years, male 63.9
GTEX-17F9E-2526-SM-7MGW2 50-59 years, male 63.7
GTEX-17EVP-0226-SM-79OND 40-49 years, male 63.3
GTEX-169BO-1126-SM-7MGWN 50-59 years, male 63.1
GTEX-1I1HK-2426-SM-ADEHX 60-69 years, male 63.1
GTEX-1313W-0826-SM-5EQ4T 50-59 years, female 63.0
GTEX-11DXW-0626-SM-5N9ER 40-49 years, male 62.7
GTEX-11NV4-2026-SM-5N9DG 60-69 years, male 62.6
GTEX-1HC8U-0826-SM-ADEIL 40-49 years, female 62.6
GTEX-18A6Q-0926-SM-7LG4N 60-69 years, male 62.5
GTEX-XMD2-0926-SM-4WWEF 60-69 years, female 62.4
GTEX-1RAZQ-1226-SM-EWRNL 30-39 years, male 61.7
GTEX-111YS-1926-SM-5GICC 60-69 years, male 61.2
GTEX-1B8KE-1226-SM-73KWK 50-59 years, male 60.7
GTEX-ZVTK-0326-SM-51MRR 20-29 years, male 60.5
GTEX-ZF2S-2026-SM-5E461 50-59 years, female 60.1
GTEX-1B97I-0426-SM-79OL7 40-49 years, male 60.0
GTEX-1K9T9-1426-SM-DIPFQ 50-59 years, female 59.5
GTEX-1EU9M-2826-SM-7EWFH 60-69 years, male 59.1
GTEX-1MJK2-2226-SM-EVYCR 50-59 years, male 58.9
GTEX-1A3MV-1626-SM-731C1 30-39 years, male 58.8
GTEX-1E2YA-2726-SM-7IGPW 50-59 years, male 58.7
GTEX-1JMPY-0526-SM-CL54O 30-39 years, male 58.6
GTEX-17JCI-0726-SM-7EPH1 60-69 years, female 58.4
GTEX-1EKGG-2626-SM-7IGPY 60-69 years, male 58.3
GTEX-12WSM-1726-SM-5BC6J 60-69 years, male 57.9
GTEX-1I6K7-1026-SM-A9SLK 40-49 years, male 57.7
GTEX-11OF3-1926-SM-59889 60-69 years, male 57.4
GTEX-145LT-0726-SM-5S2VM 40-49 years, male 56.5
GTEX-17KNJ-2026-SM-7LG53 50-59 years, male 56.4
GTEX-14ABY-2126-SM-5QGQZ 50-59 years, male 56.2
GTEX-1JMPZ-1626-SM-COH31 30-39 years, male 56.1
GTEX-1A8G7-2426-SM-731AK 60-69 years, male 55.5
GTEX-1QP29-1726-SM-E8VMQ 50-59 years, male 55.3
GTEX-ZTTD-1026-SM-51MRD 50-59 years, male 55.1
GTEX-1GMR3-2626-SM-7RHHG 40-49 years, male 55.0
GTEX-1MA7X-1626-SM-E9U5B 60-69 years, male 54.8
GTEX-11LCK-2426-SM-5HL5F 30-39 years, male 54.3
GTEX-1PDJ9-1126-SM-EXUSW 20-29 years, male 54.0
GTEX-1S82U-1126-SM-E9U6I 30-39 years, female 54.0
GTEX-1LSNM-1326-SM-E9TJ1 50-59 years, male 53.7
GTEX-QVJO-1826-SM-447C9 60-69 years, female 53.0
GTEX-1GZ4I-2826-SM-9MQK5 50-59 years, male 53.0
GTEX-1JKYR-0926-SM-CMKGJ 20-29 years, male 52.9
GTEX-17F98-0526-SM-79OK5 40-49 years, female 52.4
GTEX-1HUB1-1626-SM-CM2SL 60-69 years, male 52.4
GTEX-1192X-2326-SM-5987X 50-59 years, male 51.7
GTEX-139TU-0626-SM-5KM3X 60-69 years, male 51.7
GTEX-1GN2E-2226-SM-9WG6J 60-69 years, male 51.6
GTEX-TML8-1226-SM-32QON 40-49 years, female 51.5
GTEX-1JMLX-2026-SM-CMKGN 50-59 years, male 51.5
GTEX-VJWN-0726-SM-3GIJ8 50-59 years, female 51.4
GTEX-16BQI-1026-SM-7KUEA 30-39 years, female 50.8
GTEX-1IOXB-1926-SM-ARL8E 50-59 years, male 49.8
GTEX-1HT8W-2226-SM-CGQEC 30-39 years, male 49.2
GTEX-11GSP-0926-SM-9WYSG 60-69 years, female 48.7
GTEX-QEG5-0726-SM-D4P1T 20-29 years, male 48.7
GTEX-1I6K6-0826-SM-ARL7Z 30-39 years, male 48.5
GTEX-YJ8O-2226-SM-5IFHW 40-49 years, female 48.4
GTEX-18D9A-1526-SM-7LG4J 30-39 years, female 48.2
GTEX-1ICLZ-0426-SM-B2LW2 60-69 years, male 48.2
GTEX-14ICK-2426-SM-6EU27 40-49 years, male 47.1
GTEX-183FY-1126-SM-7DHLJ 20-29 years, male 46.9
GTEX-YB5E-1726-SM-5IFJ3 40-49 years, male 46.6
GTEX-1NV8Z-2826-SM-E8VME 60-69 years, male 46.6
GTEX-1B97J-0426-SM-79OLQ 50-59 years, female 46.5
GTEX-1QP28-1226-SM-E9J2M 50-59 years, female 46.5
GTEX-146FH-0826-SM-5SI8T 50-59 years, female 46.3
GTEX-1B8KZ-1526-SM-7DUG7 50-59 years, male 46.1
GTEX-T6MN-0726-SM-32PML 50-59 years, male 45.3
GTEX-ZYT6-0126-SM-5E45J 30-39 years, male 45.3
GTEX-1R9PM-1826-SM-EVYBH 20-29 years, male 45.3
GTEX-13113-5013-SM-7SB7G 60-69 years, female 45.1
GTEX-ZVZQ-0826-SM-51MRF 60-69 years, female 45.0
GTEX-1IDJF-2326-SM-ARL86 20-29 years, male 44.8
GTEX-1AX9J-1126-SM-731B7 60-69 years, male 44.5
GTEX-1HCU8-0126-SM-ADEHH 60-69 years, female 44.2
GTEX-11DXZ-1926-SM-5GZZL 50-59 years, male 44.0
GTEX-11GSO-1926-SM-5A5K3 60-69 years, male 43.9
GTEX-13OW8-0226-SM-5K7UP 60-69 years, male 43.8
GTEX-VUSG-2226-SM-4KKZO 50-59 years, male 43.7
GTEX-X261-0626-SM-3NMD9 50-59 years, male 43.7
GTEX-1117F-2826-SM-5GZXL 60-69 years, female 43.4
GTEX-17F96-2426-SM-7IGLN 70-79 years, male 43.2
GTEX-ZPIC-1126-SM-5BC7F 40-49 years, female 43.1
GTEX-14B4R-1226-SM-5TDDT 30-39 years, male 43.0
GTEX-1C6WA-2426-SM-7SB86 60-69 years, male 42.9
GTEX-15RJE-2626-SM-7KFT1 40-49 years, male 42.8
GTEX-17MF6-0326-SM-7EPH5 40-49 years, male 42.5
GTEX-1H4P4-2226-SM-9MQKQ 50-59 years, male 42.1
GTEX-T5JW-2026-SM-4DM63 20-29 years, female 42.0
GTEX-14BMV-0626-SM-793AU 50-59 years, male 41.8
GTEX-1R9JW-0326-SM-EAZ45 30-39 years, female 41.7
GTEX-1314G-1226-SM-5BC6D 30-39 years, male 41.3
GTEX-15EOM-5019-SM-793DK 20-29 years, female 40.9
GTEX-ZV6S-1826-SM-5NQ8D 40-49 years, female 40.8
GTEX-147F4-2826-SM-5NQBN 50-59 years, male 40.6
GTEX-R55D-0826-SM-48FEA 50-59 years, male 40.6
GTEX-132NY-0826-SM-5K7Y7 60-69 years, male 40.5
GTEX-13FTX-1126-SM-5N9EN 20-29 years, female 39.8
GTEX-ZYW4-0826-SM-5GIDG 60-69 years, male 39.8
GTEX-T2YK-2226-SM-32QPT 50-59 years, male 39.5
GTEX-13FTW-1426-SM-5LZWZ 40-49 years, male 39.0
GTEX-14PJO-0726-SM-69LO8 60-69 years, male 39.0
GTEX-1I19N-2826-SM-CL55D 70-79 years, male 38.6
GTEX-1QMI2-0726-SM-E9J4F 60-69 years, male 38.5
GTEX-ZDTT-2126-SM-DKPOM 60-69 years, male 38.5
GTEX-W5X1-2326-SM-3GIL6 40-49 years, female 38.3
GTEX-14E7W-0826-SM-62LEJ 70-79 years, male 38.0
GTEX-1OKEX-0826-SM-E9J2B 60-69 years, male 37.9
GTEX-ZWKS-2826-SM-5NQ74 30-39 years, male 37.6
GTEX-ZDXO-0126-SM-5S2ND 60-69 years, male 37.5
GTEX-1HR9M-2426-SM-ACKXI 60-69 years, male 37.4
GTEX-ZQUD-1926-SM-51MSA 30-39 years, male 37.3
GTEX-11NSD-0926-SM-5N9DR 20-29 years, male 37.2
GTEX-XQ8I-2426-SM-4WAXY 50-59 years, male 36.7
GTEX-1GZ2Q-2626-SM-7MXV9 40-49 years, male 36.6
GTEX-1QW4Y-1026-SM-DTXE2 30-39 years, male 36.5
GTEX-QEL4-2126-SM-447AE 50-59 years, male 36.1
GTEX-1LG7Z-0726-SM-CXKYD 30-39 years, male 36.0
GTEX-15G19-2126-SM-6M48J 60-69 years, male 35.7
GTEX-15SHW-1326-SM-6PAL8 60-69 years, male 35.6
GTEX-1HR98-0426-SM-COH36 60-69 years, male 35.6
GTEX-1KANC-1426-SM-CYPT9 50-59 years, female 35.0
GTEX-WFON-1826-SM-3GILG 40-49 years, male 34.9
GTEX-1PPH7-0826-SM-E8VNX 40-49 years, male 34.8
GTEX-11EQ9-1826-SM-5Q5AJ 30-39 years, male 34.7
GTEX-XQ3S-1326-SM-4BOPQ 20-29 years, male 34.7
GTEX-1H1DG-0526-SM-9YFLN 70-79 years, male 34.5
GTEX-1QP9N-1826-SM-E8VMP 30-39 years, male 34.3
GTEX-1C475-1226-SM-7SB72 40-49 years, female 34.1
GTEX-1LSVX-2426-SM-E6CJX 60-69 years, male 33.5
GTEX-17MFQ-0926-SM-7LG4S 20-29 years, male 33.4
GTEX-S4Q7-1126-SM-4AD6R 20-29 years, male 33.2
GTEX-1GF9U-1726-SM-7MGY5 40-49 years, female 33.2
GTEX-13O3Q-2226-SM-5KM4O 50-59 years, male 33.0
GTEX-13S86-1226-SM-5S2OA 40-49 years, male 33.0
GTEX-R53T-1526-SM-48FEK 50-59 years, female 33.0
GTEX-1JMOU-2026-SM-CMKGU 60-69 years, female 33.0
GTEX-Y5V6-2126-SM-4WWFX 60-69 years, male 32.2
GTEX-1KD5A-1926-SM-DKPQA 50-59 years, male 32.2
GTEX-1F75A-1826-SM-7SB8G 50-59 years, male 32.1
GTEX-1EWIQ-1726-SM-7SB7T 70-79 years, female 31.2
GTEX-Z9EW-1526-SM-EZ6LU 40-49 years, male 31.0
GTEX-WHSB-1926-SM-EXOHH 50-59 years, male 29.9
GTEX-15UF7-0726-SM-6M46D 40-49 years, male 29.2
GTEX-1HBPM-0126-SM-ARL9E 60-69 years, female 29.0
GTEX-ZYFC-0826-SM-5E44K 50-59 years, male 28.9
GTEX-139T6-1626-SM-5PNYZ 50-59 years, male 28.8
GTEX-1IGQW-0926-SM-ADEH6 60-69 years, male 28.5
GTEX-Y8E4-1626-SM-5S2MW 40-49 years, male 28.3
GTEX-13O61-1826-SM-5KM4I 60-69 years, male 28.2
GTEX-1MJK3-1126-SM-E9J3F 20-29 years, male 28.2
GTEX-XV7Q-2326-SM-4BRVZ 40-49 years, female 27.9
GTEX-144GL-2026-SM-5LU3O 50-59 years, male 27.3
GTEX-1H1ZS-0126-SM-9YFKQ 70-79 years, male 27.2
GTEX-1J8Q3-1326-SM-CMKI1 60-69 years, male 27.1
GTEX-1IDFM-0426-SM-B2LVV 60-69 years, male 26.9
GTEX-ZZ64-1226-SM-5E43R 20-29 years, male 26.8
GTEX-16YQH-2826-SM-6PAMY 30-39 years, male 26.7
GTEX-1HCU9-0326-SM-9WYSC 20-29 years, male 26.4
GTEX-1HFI7-0126-SM-CGQFQ 50-59 years, female 26.4
GTEX-YFCO-1826-SM-4W1YH 40-49 years, male 26.0
GTEX-12WSN-1326-SM-5GCNT 40-49 years, male 25.9
GTEX-X4XY-0926-SM-4E3JD 60-69 years, male 25.3
GTEX-11O72-2126-SM-5N9FO 40-49 years, male 25.0
GTEX-WY7C-2726-SM-3NB3P 50-59 years, male 24.9
GTEX-YB5K-1626-SM-5IFIN 40-49 years, female 24.7
GTEX-1ICG6-1326-SM-ACKWR 70-79 years, female 24.6
GTEX-1JN1M-3026-SM-CMKGK 60-69 years, female 24.1
GTEX-Y9LG-1426-SM-5IFJZ 30-39 years, male 24.0
GTEX-1A3MX-2726-SM-718B6 60-69 years, male 23.7
GTEX-13W46-0826-SM-5LU3H 50-59 years, male 23.3
GTEX-1I1GV-2426-SM-CGQFM 60-69 years, male 23.3
GTEX-18A7B-2626-SM-7LG55 70-79 years, male 23.2
GTEX-YEC3-1026-SM-5IFI5 50-59 years, male 23.1
GTEX-S33H-0326-SM-4AD6N 30-39 years, male 23.0
GTEX-1AMEY-1026-SM-718AA 30-39 years, female 22.9
GTEX-WOFL-0826-SM-3MJG1 60-69 years, male 22.9
GTEX-1IDJU-1826-SM-CMKHV 60-69 years, female 22.5
GTEX-1JKYN-0726-SM-ARZMY 30-39 years, male 22.5
GTEX-S32W-2026-SM-4AD6E 50-59 years, female 21.9
GTEX-18A66-1726-SM-7LG5N 60-69 years, male 21.8
GTEX-ZA64-1526-SM-5CVMD 20-29 years, male 21.7
GTEX-145MO-0826-SM-5NQBL 60-69 years, male 21.4
GTEX-11ZUS-0826-SM-5FQUY 30-39 years, male 21.1
GTEX-1M4P7-2626-SM-E9U5F 60-69 years, male 20.9
GTEX-ZLWG-1926-SM-DO92J 50-59 years, female 20.9
GTEX-S7SE-0826-SM-4AT4D 50-59 years, male 20.8
GTEX-12BJ1-1826-SM-5HL9N 60-69 years, male 20.7
GTEX-1LBAC-0926-SM-CXKY9 20-29 years, male 20.3
GTEX-11DXY-2326-SM-5GICW 60-69 years, male 19.6
GTEX-12KS4-0126-SM-5Q5A5 30-39 years, male 19.4
GTEX-117YX-1426-SM-5H12H 50-59 years, male 19.1
GTEX-X62O-0526-SM-EWRMA 50-59 years, male 18.9
GTEX-1LC47-1226-SM-D4P44 60-69 years, male 18.8
GTEX-1AX9I-0726-SM-73KWV 60-69 years, male 18.6
GTEX-14DAR-1326-SM-7DUEG 50-59 years, male 18.3
GTEX-14PJ4-2126-SM-6ETZJ 60-69 years, male 18.3
GTEX-1F75B-0626-SM-7SB8A 50-59 years, male 18.3
GTEX-1LSNL-2826-SM-E9U5L 50-59 years, male 17.9
GTEX-11ZTT-2326-SM-5EQLG 60-69 years, female 17.8
GTEX-1H11D-1526-SM-9MQJY 40-49 years, male 17.8
GTEX-1L5NE-2126-SM-CY8IH 50-59 years, male 17.5
GTEX-17GQL-0326-SM-7LG5U 60-69 years, male 17.2
GTEX-PSDG-1626-SM-48TCQ 50-59 years, male 16.9
GTEX-1NHNU-0926-SM-E9J2T 50-59 years, male 16.9
GTEX-1HSEH-2026-SM-ADEHN 60-69 years, male 16.7
GTEX-14753-2426-SM-5LU8U 60-69 years, male 16.6
GTEX-183WM-0726-SM-7LTAA 70-79 years, female 16.6
GTEX-YECK-0726-SM-EZ6LV 60-69 years, male 16.6
GTEX-17HGU-1326-SM-79OKB 50-59 years, male 16.4
GTEX-XGQ4-0926-SM-4AT4U 50-59 years, male 16.3
GTEX-1I1GU-1026-SM-ADEHJ 40-49 years, male 16.0
GTEX-13QJ3-0826-SM-7DHKK 50-59 years, male 15.7
GTEX-QMRM-1626-SM-D4P1U 50-59 years, male 15.6
GTEX-TKQ2-1826-SM-33HB2 50-59 years, male 15.5
GTEX-14E6E-1326-SM-5S2NR 30-39 years, male 15.4
GTEX-V955-2026-SM-3GAFA 60-69 years, male 15.0
GTEX-ZLFU-2126-SM-DO931 40-49 years, male 15.0
GTEX-1S82Z-0726-SM-E6CHX 30-39 years, female 14.9
GTEX-18465-2026-SM-718AP 50-59 years, male 14.8
GTEX-XMK1-1126-SM-4IHJ8 40-49 years, male 14.8
GTEX-ZT9W-2026-SM-51MRA 50-59 years, male 14.7
GTEX-17F97-2526-SM-7EWDV 50-59 years, male 14.6
GTEX-1ICLY-1726-SM-B2LVT 50-59 years, male 14.3
GTEX-1F5PK-2126-SM-7PC28 50-59 years, male 13.8
GTEX-145ME-1526-SM-5Q5F2 40-49 years, female 13.7
GTEX-132AR-0826-SM-5EGK6 50-59 years, female 13.5
GTEX-1HSMO-0826-SM-ADEIV 60-69 years, male 13.5
GTEX-RUSQ-2026-SM-4GIAK 50-59 years, male 13.3
GTEX-ZQG8-0726-SM-5P9H9 60-69 years, female 13.1
GTEX-1HCU7-1026-SM-ADEIP 50-59 years, male 13.0
GTEX-11ONC-2126-SM-5HL6E 60-69 years, male 12.5
GTEX-144GM-0926-SM-5O994 20-29 years, male 12.3
GTEX-14E6C-1326-SM-62LEQ 40-49 years, male 11.9
GTEX-11WQK-2426-SM-5GU5C 50-59 years, male 11.7
GTEX-1R7EV-1526-SM-E8VOD 40-49 years, male 11.7
GTEX-11TUW-1826-SM-5BC5D 60-69 years, male 11.2
GTEX-ZAB4-2526-SM-5HL8M 40-49 years, male 10.7
GTEX-ZDYS-1126-SM-5K7UB 50-59 years, male 10.6
GTEX-11DZ1-0326-SM-5N9BN 50-59 years, male 10.0
GTEX-1GF9V-2526-SM-7SB8K 60-69 years, male 10.0
GTEX-13CF3-2126-SM-5IFJP 60-69 years, female 9.7
GTEX-13N1W-0626-SM-5MR4U 70-79 years, male 9.7
GTEX-1I1GP-0426-SM-COH3N 50-59 years, male 9.5
GTEX-1RLM8-2226-SM-EVYD1 50-59 years, male 9.3
GTEX-1CAMR-1426-SM-793BO 20-29 years, male 8.6
GTEX-1H23P-0726-SM-9WG7K 60-69 years, male 8.2
GTEX-U8XE-0826-SM-4E3J1 30-39 years, male 7.8
GTEX-1C6VQ-0426-SM-79OOX 50-59 years, male 6.9
GTEX-TKQ1-0226-SM-33HB5 30-39 years, male 6.9
GTEX-11P82-1326-SM-5HL62 20-29 years, male 6.5
GTEX-13PVQ-1026-SM-5KM3M 50-59 years, male 5.8
GTEX-REY6-2426-SM-48FF5 60-69 years, male 5.1
GTEX-UTHO-1026-SM-3GAF7 60-69 years, male 4.4
GTEX-1N2EF-2226-SM-E9J33 60-69 years, male 3.6
Show allShow less

BREAST - FANTOM5 CAGEi

RNA expression in human tissues obtained through Cap Analysis of Gene Expression (CAGE) generated by the FANTOM5 project are reported as Scaled Tags Per Million.

Max subtype Scaled Tags Per Millioni

Max subtype Scaled Tags Per Million is the value for the subtype with the largest average Scaled Tags Per Million across the subtype samples.

56.7
FANTOM5 sample id Sample description Scaled Tags Per Million
Breast
Scaled Tags Per Million: 56.7
FF:10080-102A8 77 years, female 56.7

Contact

  • NEWS ARTICLES
  • PRESS ROOM

The Project

  • INTRODUCTION
  • ORGANIZATION
  • PUBLICATIONS

The Human Protein Atlas

  • DOWNLOADABLE DATA
  • LICENCE & CITATION
  • HELP & FAQ
The Human Protein Atlas project is funded
by the Knut & Alice Wallenberg Foundation.


contact@proteinatlas.org