We use cookies to enhance the usability of our website. If you continue, we'll assume that you are happy to receive all cookies. More information. Don't show this again.
ITGB4
HPA
RESOURCES
  • TISSUE
  • BRAIN
  • SINGLE CELL
  • SUBCELLULAR
  • CANCER
  • BLOOD
  • CELL LINE
  • STRUCTURE & INTERACTION
ABOUT
  • INTRODUCTION
  • HISTORY
  • ORGANIZATION
  • PUBLICATIONS
  • ANTIBODY SUBMISSION
  • ANTIBODY AVAILABILITY
  • ACKNOWLEDGMENTS
  • CONTACT
NEWS
  • NEWS ARTICLES
  • PRESS ROOM
LEARN
  • DICTIONARY
  • PROTEIN CLASSES
  • PROTEIN EVIDENCE
  • METHODS
  • EDUCATIONAL VIDEOS
DATA
  • DOWNLOADABLE DATA
  • PUBLICATION DATA
  • RELEASE HISTORY
HELP
  • ANTIBODY VALIDATION
  • ASSAYS & ANNOTATION
  • DISCLAIMER
  • HELP & FAQ
  • PRIVACY STATEMENT
  • LICENCE & CITATION
Fields »
Search result

Field
Term
Gene name
Class
Subclass
Class
Keyword
Chromosome
External id
Tissue
Cell type
Expression
Antibody panel
Tissue
Main location
Patient ID
Annotation
Tissue
Category
Tau score
Cluster
Reliability
Brain region
Category
Tau score
Brain region
Category
Tau score
Brain region
Category
Tau score
Cluster
Reliability
Tissue
Cell type
Enrichment
Cell type
Category
Tau score
Cell type
Category
Tau score
Cell type
Category
Tau score
Cell lineage
Category
Tau score
Cluster
Cluster
Location
Searches
Location
Cell line
Class
Type
Phase
Reliability
Cancer
Prognosis
Cancer
Category
Cancer
Category
Tau score
Cluster
Variants
Interacting gene (ensg_id)
Type
Number of interactions
Pathway
Category
Score
Score
Score
Validation
Validation
Validation
Validation
Antibodies
Data type
Column


  • SUMMARY

  • TISSUE

  • BRAIN

  • SINGLE CELL

  • SUBCELL

  • CANCER

  • BLOOD

  • CELL LINE

  • STRUCT & INT

  • ITGB4
TISSUE PRIMARY DATA SKIN Show tissue menu
ADIPOSE TISSUE ADRENAL GLAND AMYGDALA APPENDIX BASAL GANGLIA BONE MARROW BREAST BRONCHUS CEREBELLUM CEREBRAL CORTEX CERVIX CHOROID PLEXUS COLON DUODENUM
ENDOMETRIUM EPIDIDYMIS ESOPHAGUS FALLOPIAN TUBE GALLBLADDER HEART MUSCLE HIPPOCAMPAL FORMATION HYPOTHALAMUS KIDNEY LIVER LUNG LYMPH NODE MIDBRAIN NASOPHARYNX
ORAL MUCOSA OVARY PANCREAS PARATHYROID GLAND PITUITARY GLAND PLACENTA PROSTATE RECTUM RETINA SALIVARY GLAND SEMINAL VESICLE SKELETAL MUSCLE SKIN SMALL INTESTINE
SMOOTH MUSCLE SOFT TISSUE SPINAL CORD SPLEEN STOMACH TESTIS THYMUS THYROID GLAND TONGUE TONSIL URINARY BLADDER VAGINA
ANTIBODIES
AND
VALIDATION
Dictionary
Skin
Tissue proteome
Skin
SKIN - Expression summary
Protein expression
Skini

On the top, protein expression in current human tissue, based on all annotated cell types, is reported with the units not detected (n), low (l), medium (m) and high (h). Underneath, protein expression in each annotated cell type are reported using the same units.

Protein expression data is based on knowledge-based annotation. For genes where more than one antibody has been used, a collective score is set.

If knowledge-based annotation could not be performed for a gene, no data is displayed here. View antibody staining data further down this page.

h
m
l
n
Cells in basal layer: Not detected
Cells in corneal layer: Not detected
Cells in granular layer: Not detected
Cells in spinous layer: Not detected
Endothelial cells: Not detected
Extracellular matrix: Medium
Fibrohistiocytic cells: Not detected
Langerhans cells: Not detected
Lymphocytes: Not detected
Melanocytes: Not detected
Vascular mural cells: Not detected
RNA expressioni

A summary of mRNA expression data available for current tissue based on several datasets. The mRNA expression levels in human tissues are based on RNA-seq data generated by the Human Protein Atlas (HPA), Genotype-Tissue Expression (GTEx) portal and CAGE data generated by the FANTOM5 consortium. Consensus normalized expression levels for human tissues was created by combining the data from HPA and GTEx datasets.

The mRNA expression levels in pig are based on RNA-seq data generated by the Human Protein Atlas (HPA), and for mouse, HPA data and in situ hybridization generated by the Allen brain atlas are reported.

Scroll down to view mRNA expression data in more detail.
Consensus:199.3 nTPM
HPA:70.2 nTPM
GTEx:199.3 nTPM

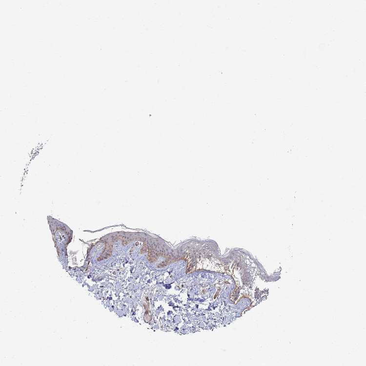
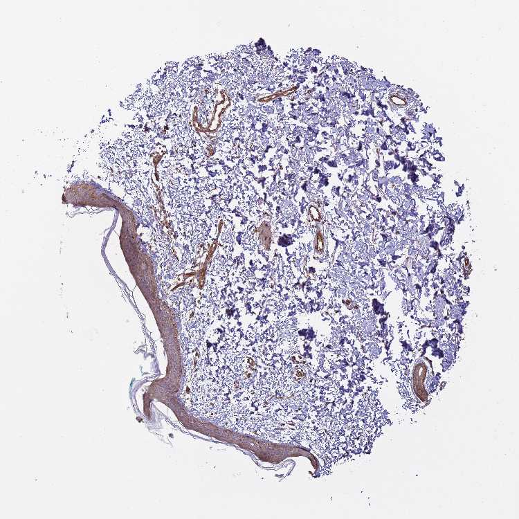
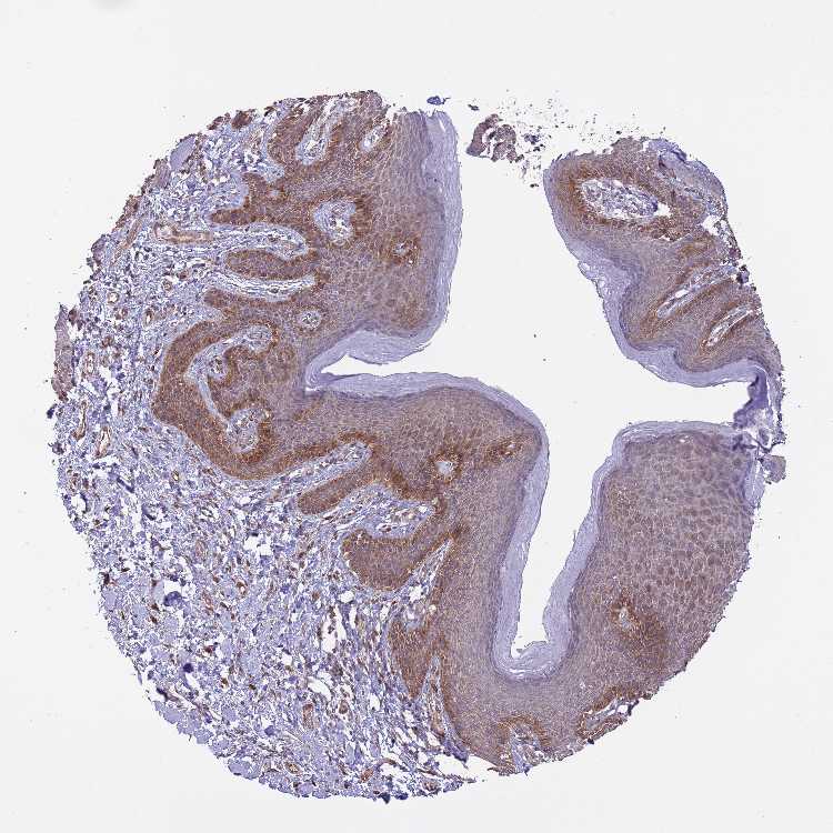
SKIN 1 - Antibody stainingi

Antibody staining in the annotated cell types in the current human tissue is reported as not detected, low, medium, or high, based on conventional immunohistochemistry profiling in selected tissues. This score is based on the combination of the staining intensity and fraction of stained cells.

Each image is clickable and will lead to virtual microscopy that enables deeper exploration of all samples and also displays staining intensity scores, fraction scores and subcellular localization as well as patient and tissue information for each sample.

Antibody HPA036348Antibody HPA036349Antibody CAB002422Antibody CAB005258
Langerhans LowLow-Not detected
Cells in basal layer --Not detected-
Cells in corneal layer --Not detected-
Cells in granular layer --Not detected-
Cells in spinous layer --Not detected-
Endothelial cells --Not detected-
Extracellular matrix --Not detected-
Fibroblasts LowMedium-Low
Fibrohistiocytic cells --Not detected-
Keratinocytes MediumMedium-Low
Langerhans cells --Not detected-
Lymphocytes --Not detected-
Melanocytes MediumMediumNot detectedMedium
Vascular mural cells --Not detected-




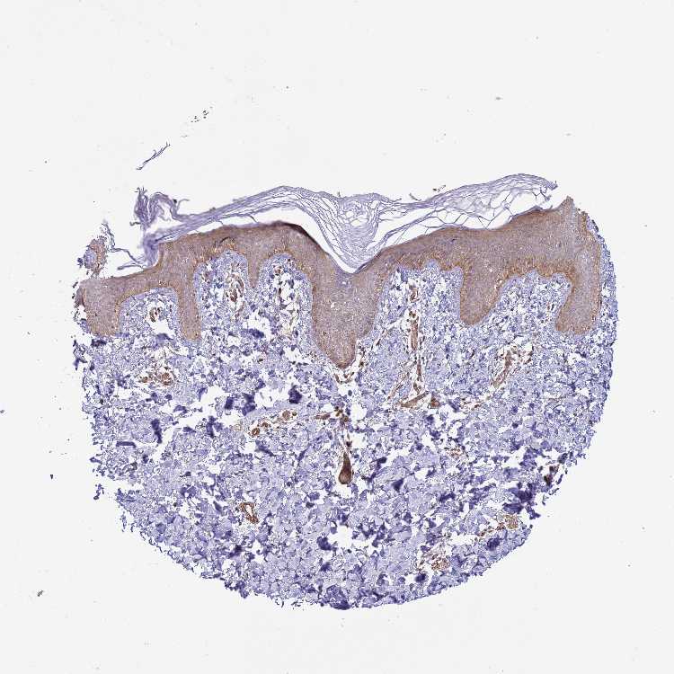
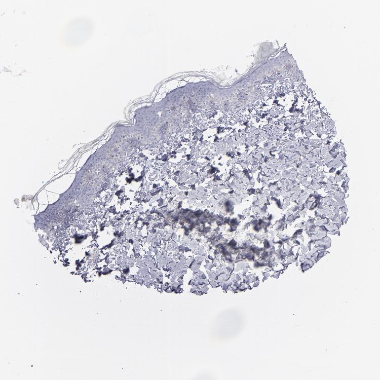
SKIN 2 - Antibody stainingi

Antibody staining in the annotated cell types in the current human tissue is reported as not detected, low, medium, or high, based on conventional immunohistochemistry profiling in selected tissues. This score is based on the combination of the staining intensity and fraction of stained cells.

Each image is clickable and will lead to virtual microscopy that enables deeper exploration of all samples and also displays staining intensity scores, fraction scores and subcellular localization as well as patient and tissue information for each sample.

Antibody HPA036348Antibody HPA036349Antibody CAB002422Antibody CAB005258
Cells in basal layer --Not detected-
Cells in corneal layer --Not detected-
Cells in granular layer --Not detected-
Cells in spinous layer --Not detected-
Endothelial cells --Not detected-
Epidermal cells MediumMedium-Medium
Extracellular matrix --Medium-
Fibrohistiocytic cells --Not detected-
Langerhans cells --Not detected-
Lymphocytes --Not detected-
Melanocytes --Not detected-
Vascular mural cells --Not detected-
    
    







SKIN - HPA RNA-seqi

The RNA-seq details section shows detailed information about the individual samples used for the transcript profiling and results of the RNA-seq analysis.

Information about each individual sample is listed below, including gender, age, a tissue section image and estimated fractions of cell types. nTPM (normalized transcripts per million) values give a quantification of the gene abundance which is comparable between different genes and samples.
Average nTPMi

Max subtype nTPM is the value for the subtype with the largest average nTPM across the subtype samples.

70.2
overview
Female, age 34
Skin sample 225
nTPM: 54.6
Cell types%
Keratinocytes:
60

Other cell types:
40

overview
Female, age 30
Skin sample 226
nTPM: 28
Cell types%
Keratinocytes:
55

Other cell types:
45

N/A
Male, age 57
Skin sample 227
nTPM: 127.9

SKIN - GTEx RNA-seqi

RNA-Seq data generated by the Genotype-Tissue Expression (GTEx) project from human tissues is reported as mean nTPM. More information can be found on the GTEx portal.

Distribution across the dataset is visualized with box plots, shown as median and 25th and 75th percentiles. Points are displayed as outliers if they are above or below 1.5 times the interquartile range. nTPM values of the individual samples are presented next to the box plot.
Max subtype nTPMi

Max subtype nTPM is the value for the subtype with the largest average nTPM across the subtype samples.

199.3
GTEx sample id Sample description nTPM
Skin - Not Sun Exposed (Suprapubic)
Average nTPM: 187.1
Samples: 604

Max nTPM: 613.4
Min nTPM: 47.4
Std nTPM: 67.6
Median nTPM: 173.3
GTEX-1ICLZ-0326-SM-ARL82 60-69 years, male 613.4
GTEX-ZTX8-1326-SM-4YCEL 20-29 years, male 502.3
GTEX-WI4N-2726-SM-3LK7Y 40-49 years, female 468.6
GTEX-1N2DV-1526-SM-DTXEP 40-49 years, male 419.1
GTEX-1PPH8-0126-SM-EWRN8 20-29 years, male 412.0
GTEX-WFG7-2026-SM-5SI7P 20-29 years, male 391.4
GTEX-1OJC3-1226-SM-DTXER 20-29 years, male 390.5
GTEX-Y114-2126-SM-4TT8B 50-59 years, female 381.8
GTEX-1399S-0126-SM-5IJCF 30-39 years, female 374.4
GTEX-1LKK1-2626-SM-DKPQE 50-59 years, female 371.6
GTEX-131XG-0326-SM-5L3DX 50-59 years, female 370.2
GTEX-1MCYP-0526-SM-E9U6Q 20-29 years, female 365.9
GTEX-1QP2A-1726-SM-E76QC 50-59 years, male 362.4
GTEX-ZVZP-1226-SM-5GID7 50-59 years, male 357.5
GTEX-ZYW4-0626-SM-59HJR 60-69 years, male 340.2
GTEX-1LVAN-0626-SM-CNPOQ 50-59 years, female 333.4
GTEX-13W3W-0726-SM-5IJDQ 60-69 years, female 333.0
GTEX-1GZ4H-0526-SM-9KNU9 50-59 years, female 329.7
GTEX-1JMQL-2226-SM-CNPP4 50-59 years, female 326.8
GTEX-1I1GU-0926-SM-ACKVS 40-49 years, male 324.4
GTEX-1CB4J-1326-SM-7P8RX 60-69 years, male 323.4
GTEX-1J1OQ-0126-SM-D4P2N 40-49 years, female 322.9
GTEX-1GPI7-1826-SM-9KNU1 20-29 years, male 322.5
GTEX-13O61-1426-SM-5KM3D 60-69 years, male 321.7
GTEX-12WSJ-1126-SM-5LZVJ 40-49 years, female 320.5
GTEX-XBEW-1126-SM-4QARW 40-49 years, male 319.4
GTEX-1K2DU-1226-SM-CYPT4 20-29 years, male 317.4
GTEX-1RMOY-1326-SM-E9TIH 50-59 years, male 317.2
GTEX-15RIG-0726-SM-7KUM7 40-49 years, male 316.9
GTEX-15G1A-1626-SM-7KUKN 30-39 years, male 316.8
GTEX-ZYY3-2926-SM-5GIEB 60-69 years, female 315.6
GTEX-13RTJ-0126-SM-5S2NN 60-69 years, male 314.3
GTEX-13NYC-0126-SM-5L3F4 60-69 years, male 312.5
GTEX-ZE7O-2726-SM-51MT5 50-59 years, female 312.1
GTEX-YFCO-1226-SM-5LUAT 40-49 years, male 309.8
GTEX-1QP28-1126-SM-EVYC4 50-59 years, female 307.5
GTEX-1J8QM-2426-SM-A9SLS 60-69 years, female 305.4
GTEX-1HSMQ-2626-SM-A9SML 50-59 years, male 304.2
GTEX-Y3I4-1726-SM-4TT89 50-59 years, male 302.6
GTEX-1IKOE-1426-SM-CE6T7 30-39 years, female 299.5
GTEX-1H23P-0626-SM-9WG6T 60-69 years, male 299.3
GTEX-1J1R8-2026-SM-CL53Y 40-49 years, male 298.4
GTEX-132AR-0326-SM-5KM2C 50-59 years, female 298.1
GTEX-14C39-1726-SM-5RQIL 40-49 years, male 297.8
GTEX-1QP9N-1226-SM-E76QN 30-39 years, male 297.3
GTEX-Y5V6-2326-SM-4VDSA 60-69 years, male 294.3
GTEX-1GMR2-0826-SM-7PC3V 50-59 years, male 294.3
GTEX-1F75I-2226-SM-7SB8U 40-49 years, male 293.2
GTEX-13NYS-0626-SM-5L3F1 60-69 years, male 292.6
GTEX-16AAH-0626-SM-793C9 50-59 years, male 292.3
GTEX-13OVK-1426-SM-6PAN7 40-49 years, male 291.9
GTEX-1497J-0226-SM-5QGPU 60-69 years, male 286.1
GTEX-14XAO-1226-SM-6EU1C 60-69 years, female 285.3
GTEX-13OVH-0526-SM-5L3E6 70-79 years, male 285.2
GTEX-1HBPN-0126-SM-CGQEF 50-59 years, male 284.6
GTEX-ZVP2-0326-SM-57WBP 50-59 years, male 284.1
GTEX-WHSB-1326-SM-3LK6W 50-59 years, male 283.4
GTEX-17F96-0126-SM-7EWDU 70-79 years, male 282.2
GTEX-12WSK-2126-SM-5CVNC 40-49 years, female 277.8
GTEX-1H1E6-0426-SM-9WYUS 30-39 years, male 276.4
GTEX-14C5O-0326-SM-5ZZUX 60-69 years, male 275.3
GTEX-131XF-2626-SM-5EQ6K 60-69 years, male 274.4
GTEX-13IVO-0726-SM-5LZYV 70-79 years, male 274.2
GTEX-1JMLX-0626-SM-ARL8T 50-59 years, male 274.2
GTEX-1JMPY-0226-SM-CKZOK 30-39 years, male 274.2
GTEX-X585-2426-SM-46MW2 50-59 years, male 273.9
GTEX-1HFI7-2326-SM-CGQFS 50-59 years, female 273.9
GTEX-145ME-1726-SM-5Q5EU 40-49 years, female 273.5
GTEX-14PJ3-1126-SM-5ZZVX 50-59 years, male 271.5
GTEX-1R9PN-0426-SM-DTXDT 40-49 years, female 271.5
GTEX-1H1ZS-2726-SM-9WG75 70-79 years, male 270.7
GTEX-12WSA-0426-SM-5EQ5X 60-69 years, male 270.5
GTEX-1QPFJ-1926-SM-EVYBD 30-39 years, female 270.2
GTEX-1H2FU-0926-SM-9WPPT 60-69 years, female 269.7
GTEX-11P7K-1126-SM-5HL4L 30-39 years, male 267.4
GTEX-Y8LW-1526-SM-5IFHL 50-59 years, female 265.4
GTEX-1H3VE-0726-SM-9YFL5 40-49 years, male 264.4
GTEX-183WM-0326-SM-72D5V 70-79 years, female 263.3
GTEX-17F9E-2326-SM-79OKD 50-59 years, male 262.7
GTEX-1LSNM-0826-SM-DIPG8 50-59 years, male 261.5
GTEX-1GTWX-2026-SM-9YFLM 60-69 years, male 261.0
GTEX-14PJ4-0226-SM-5YY92 60-69 years, male 259.8
GTEX-14PJO-2526-SM-6AJBQ 60-69 years, male 258.8
GTEX-1H1DF-1126-SM-9WG7G 40-49 years, female 257.6
GTEX-13X6H-0926-SM-5SIB2 50-59 years, female 256.7
GTEX-XQ8I-0926-SM-4BOOF 50-59 years, male 256.4
GTEX-16NGA-0726-SM-731AO 40-49 years, female 256.3
GTEX-14C38-0726-SM-5SI6M 50-59 years, male 256.1
GTEX-18D9U-0126-SM-731BM 40-49 years, male 254.8
GTEX-1HCUA-0826-SM-ADEHM 50-59 years, female 253.8
GTEX-11VI4-1126-SM-5EQMD 40-49 years, female 253.3
GTEX-ZLFU-1826-SM-4WWBV 40-49 years, male 251.2
GTEX-13FTX-1526-SM-5K7VJ 20-29 years, female 250.3
GTEX-XV7Q-1826-SM-4BRUV 40-49 years, female 250.3
GTEX-1211K-1526-SM-5FQU4 60-69 years, female 250.1
GTEX-12BJ1-0926-SM-5EQ62 60-69 years, male 250.1
GTEX-13VXT-1926-SM-5K7UO 20-29 years, female 248.5
GTEX-1C64O-1326-SM-7MGWR 60-69 years, male 247.9
GTEX-ZY6K-1426-SM-5GZX2 50-59 years, male 247.7
GTEX-18D9A-1426-SM-7LT8M 30-39 years, female 247.2
GTEX-1IDJV-0126-SM-COH3Y 60-69 years, male 246.9
GTEX-WHWD-1826-SM-3LK6I 50-59 years, male 246.8
GTEX-1B8KE-1126-SM-7EPHI 50-59 years, male 246.7
GTEX-WH7G-2026-SM-3NMBL 40-49 years, male 246.5
GTEX-XUW1-0926-SM-4BONX 50-59 years, female 245.5
GTEX-1MJK3-0726-SM-E6CJC 20-29 years, male 244.7
GTEX-16MT8-2926-SM-7DUFO 60-69 years, female 244.6
GTEX-11DXX-2126-SM-5PNYR 60-69 years, female 244.5
GTEX-1R46S-2426-SM-E76QA 60-69 years, female 244.2
GTEX-1EH9U-2826-SM-7DUGT 60-69 years, male 243.9
GTEX-1S82U-1026-SM-E6CJK 30-39 years, female 243.8
GTEX-1F5PK-2226-SM-7SB6N 50-59 years, male 243.3
GTEX-ZAB4-2126-SM-5HL8U 40-49 years, male 242.6
GTEX-1HKZK-0726-SM-ACKW2 40-49 years, male 242.2
GTEX-1I1GT-1026-SM-ARZLV 60-69 years, female 242.1
GTEX-14E6C-2426-SM-5S2NF 40-49 years, male 241.3
GTEX-1MCC2-1826-SM-DIPEX 30-39 years, female 241.1
GTEX-1F6RS-2026-SM-7RHHC 60-69 years, female 238.6
GTEX-1JMQK-1226-SM-D4P2S 60-69 years, male 238.3
GTEX-11DYG-1526-SM-5A5JS 60-69 years, male 238.2
GTEX-1I4MK-0126-SM-CY8G6 50-59 years, female 237.7
GTEX-111CU-1126-SM-5EGIM 50-59 years, male 236.7
GTEX-11WQK-1026-SM-5EQLX 50-59 years, male 236.3
GTEX-XXEK-1626-SM-4BRUZ 50-59 years, male 236.1
GTEX-1JK1U-0226-SM-ARZMX 60-69 years, male 235.8
GTEX-1CAMS-2226-SM-7PBXQ 40-49 years, female 235.5
GTEX-16MT9-0126-SM-7EPI8 60-69 years, female 234.5
GTEX-Y9LG-1126-SM-4VBQ7 30-39 years, male 234.3
GTEX-18QFQ-1826-SM-72D52 30-39 years, male 233.3
GTEX-1HBPM-0726-SM-9YFL7 60-69 years, female 232.7
GTEX-1HGF4-0126-SM-CNPPX 60-69 years, male 232.4
GTEX-1JN1M-2726-SM-CY8I4 60-69 years, female 231.4
GTEX-1399U-1126-SM-5L3DB 50-59 years, female 231.1
GTEX-ZYFD-0626-SM-5E44E 50-59 years, male 230.8
GTEX-ZPCL-1126-SM-4WWFE 60-69 years, female 229.9
GTEX-XPVG-2126-SM-4B667 50-59 years, male 229.1
GTEX-W5X1-2526-SM-3GILC 40-49 years, female 227.9
GTEX-12696-0126-SM-5EQ4L 60-69 years, male 227.5
GTEX-13OVJ-0826-SM-5J1OK 50-59 years, female 227.2
GTEX-1E2YA-2126-SM-7MXUO 50-59 years, male 227.1
GTEX-15DDE-2926-SM-6LLJ3 50-59 years, female 226.1
GTEX-WHSE-0126-SM-3NMBT 20-29 years, male 225.7
GTEX-ZLWG-0826-SM-59888 50-59 years, female 225.5
GTEX-1NSGN-0726-SM-DTXEF 50-59 years, male 225.3
GTEX-XAJ8-1426-SM-47JYM 40-49 years, male 225.1
GTEX-1IDJI-0126-SM-CMKHS 50-59 years, female 224.2
GTEX-144GO-2026-SM-5O99P 60-69 years, male 223.6
GTEX-139TS-2126-SM-5K7XC 60-69 years, male 221.9
GTEX-11TT1-1826-SM-5EQLV 20-29 years, male 221.2
GTEX-ZF3C-0626-SM-DO92O 50-59 years, female 220.3
GTEX-14E6E-0526-SM-793DN 30-39 years, male 219.3
GTEX-17F97-2626-SM-7IGM5 50-59 years, male 219.1
GTEX-131XH-0126-SM-5LZUY 50-59 years, male 218.4
GTEX-14PJ5-1526-SM-6LLIL 60-69 years, female 217.8
GTEX-1HCU6-2526-SM-ADEHL 60-69 years, female 217.5
GTEX-117YX-1926-SM-5GIEC 50-59 years, male 217.2
GTEX-144FL-0626-SM-5LU43 50-59 years, male 217.1
GTEX-16XZZ-0726-SM-7KUF2 60-69 years, male 216.8
GTEX-15G19-2426-SM-7KUMR 60-69 years, male 216.6
GTEX-12WSL-2026-SM-5GCML 50-59 years, male 216.5
GTEX-15UF6-1926-SM-7KUDV 70-79 years, female 216.2
GTEX-ZF29-0926-SM-4WKFZ 60-69 years, female 216.2
GTEX-ZAJG-1526-SM-5CVML 50-59 years, female 215.9
GTEX-1K2DA-1026-SM-CGQGF 50-59 years, male 215.3
GTEX-1PPH7-1126-SM-DTX9A 40-49 years, male 214.5
GTEX-148VJ-0626-SM-5LUAW 70-79 years, male 214.3
GTEX-1HSGN-0826-SM-ACKW3 40-49 years, female 213.8
GTEX-Y5LM-0926-SM-6LLJG 40-49 years, female 213.7
GTEX-1C475-1326-SM-7SB73 40-49 years, female 213.5
GTEX-13QJC-0126-SM-5ZZWJ 60-69 years, female 213.4
GTEX-1AMEY-0826-SM-72D65 30-39 years, female 213.3
GTEX-1LGRB-0926-SM-COH3K 50-59 years, female 213.1
GTEX-12C56-1526-SM-5FQUQ 20-29 years, male 212.8
GTEX-1QCLY-0226-SM-EWRNH 30-39 years, male 212.4
GTEX-145MN-1526-SM-5SI9T 30-39 years, male 212.2
GTEX-14PHY-1226-SM-5ZZWK 60-69 years, female 211.9
GTEX-ZA64-1026-SM-5HL8R 20-29 years, male 211.5
GTEX-ZTSS-1426-SM-5985P 40-49 years, male 211.3
GTEX-1GL5R-1326-SM-7RHHF 50-59 years, male 210.7
GTEX-18D9B-0926-SM-7LG4U 60-69 years, male 210.6
GTEX-XBED-1926-SM-47JYP 60-69 years, male 210.6
GTEX-11DXZ-2026-SM-5987S 50-59 years, male 210.5
GTEX-1JMQI-1726-SM-ARL93 50-59 years, male 210.1
GTEX-145MI-0626-SM-5SI8S 60-69 years, female 208.9
GTEX-1JKYN-0826-SM-ARU8S 30-39 years, male 207.4
GTEX-ZP4G-1426-SM-4WWCL 20-29 years, female 207.0
GTEX-14A5H-0826-SM-5QGPJ 60-69 years, male 206.9
GTEX-17HHE-1326-SM-7EWDZ 50-59 years, male 206.8
GTEX-1QAET-0326-SM-EVR3U 50-59 years, male 206.5
GTEX-1O9I2-0226-SM-EYYXD 50-59 years, male 206.0
GTEX-14BMU-1226-SM-5S2OR 20-29 years, female 205.5
GTEX-11PRG-0726-SM-5EGL1 50-59 years, male 205.4
GTEX-1S3DN-2126-SM-E9TIN 50-59 years, male 204.1
GTEX-1S82P-2126-SM-E6CI5 60-69 years, female 204.1
GTEX-1A3MV-1826-SM-731CD 30-39 years, male 203.9
GTEX-ZLV1-1526-SM-DO91J 60-69 years, female 203.2
GTEX-16MTA-0926-SM-6M47Z 50-59 years, male 203.0
GTEX-14ICL-1626-SM-5YYAO 30-39 years, male 202.4
GTEX-13JVG-0726-SM-5KM16 60-69 years, male 202.1
GTEX-X5EB-1926-SM-4E3IW 40-49 years, male 201.8
GTEX-Y111-0626-SM-4SOIT 50-59 years, male 201.6
GTEX-1LGOU-1326-SM-D3L8M 20-29 years, female 201.3
GTEX-1F48J-0726-SM-7RHGS 50-59 years, female 201.1
GTEX-133LE-2326-SM-5K7W3 20-29 years, female 201.0
GTEX-13N11-2326-SM-5IJBF 50-59 years, female 201.0
GTEX-1S831-1826-SM-EWROF 20-29 years, male 200.9
GTEX-WXYG-2026-SM-4E3IY 50-59 years, female 200.7
GTEX-WY7C-2126-SM-3NB2R 50-59 years, male 200.0
GTEX-12WSH-1526-SM-5BC5W 50-59 years, male 199.9
GTEX-1CAMR-1326-SM-7PC1F 20-29 years, male 199.9
GTEX-1A3MW-0626-SM-731CB 60-69 years, female 199.6
GTEX-1399Q-2326-SM-5KM2X 40-49 years, male 199.2
GTEX-ZYVF-0926-SM-5E44J 50-59 years, female 198.8
GTEX-X3Y1-2026-SM-3P5YM 40-49 years, male 198.5
GTEX-ZU9S-1826-SM-5NQ9E 30-39 years, male 198.3
GTEX-139T8-0626-SM-5KLZX 60-69 years, male 198.2
GTEX-1A3MX-2626-SM-7PC24 60-69 years, male 198.2
GTEX-111VG-1626-SM-5EGIO 60-69 years, male 198.0
GTEX-YEC4-1826-SM-4W1YP 40-49 years, male 198.0
GTEX-14LLW-2626-SM-62LDZ 70-79 years, female 197.9
GTEX-1HT8W-0626-SM-A9G2H 30-39 years, male 197.9
GTEX-Z93S-1626-SM-5CVMB 50-59 years, male 197.6
GTEX-1117F-2926-SM-5GZYI 60-69 years, female 197.5
GTEX-X4EP-0626-SM-3P621 60-69 years, female 197.5
GTEX-17F9Y-0126-SM-79OKX 70-79 years, female 197.4
GTEX-11LCK-2226-SM-5HL4Q 30-39 years, male 197.2
GTEX-14PHX-2226-SM-6EU2P 50-59 years, male 197.1
GTEX-13O3O-2326-SM-5IJD6 60-69 years, female 196.7
GTEX-ZVTK-0226-SM-51MRG 20-29 years, male 196.6
GTEX-ZT9X-1526-SM-5DUXD 40-49 years, male 196.5
GTEX-11OF3-0126-SM-5PNYF 60-69 years, male 196.2
GTEX-1J8EW-2726-SM-CY8HR 60-69 years, female 196.2
GTEX-WEY5-2326-SM-3GIKK 40-49 years, female 195.4
GTEX-ZDTT-0426-SM-4WKFL 60-69 years, male 195.2
GTEX-147F3-1726-SM-5SIAW 50-59 years, female 194.6
GTEX-11EQ9-1626-SM-5PNY8 30-39 years, male 194.5
GTEX-1HB9E-0126-SM-CM2S5 50-59 years, male 194.5
GTEX-1IL2V-1926-SM-B2LW8 70-79 years, male 194.1
GTEX-17F98-1326-SM-7DUEP 40-49 years, female 193.9
GTEX-1NV5F-0626-SM-DTXEG 60-69 years, female 193.5
GTEX-11DZ1-2426-SM-5GZZX 50-59 years, male 193.1
GTEX-1F52S-2926-SM-7MKGA 60-69 years, female 192.9
GTEX-1HCU7-0726-SM-A9SL1 50-59 years, male 192.7
GTEX-13PDP-0726-SM-5L3HP 60-69 years, male 192.6
GTEX-ZWKS-0626-SM-5GIDV 30-39 years, male 192.6
GTEX-1CAMQ-1326-SM-7P8RV 40-49 years, male 192.3
GTEX-17HII-1426-SM-7EPGG 50-59 years, male 192.0
GTEX-1RAZQ-1326-SM-E9TK6 30-39 years, male 192.0
GTEX-13D11-0926-SM-5J2NC 50-59 years, female 191.4
GTEX-ZC5H-1526-SM-5HL9Y 40-49 years, female 191.1
GTEX-139TU-0726-SM-5L3EK 60-69 years, male 190.3
GTEX-14PJ6-2626-SM-6EU2T 60-69 years, female 190.2
GTEX-1PDJ9-1226-SM-EXUSX 20-29 years, male 189.2
GTEX-14PKV-1126-SM-6LLJ1 20-29 years, female 188.9
GTEX-13PVR-0426-SM-5RQK2 60-69 years, female 188.1
GTEX-147GR-2426-SM-5ZZWQ 60-69 years, male 188.1
GTEX-11ZTT-2126-SM-5CVLO 60-69 years, female 187.9
GTEX-1212Z-0126-SM-59HK4 60-69 years, male 187.8
GTEX-13JUV-2026-SM-5K7UA 40-49 years, female 187.0
GTEX-12584-0726-SM-5FQTK 40-49 years, male 186.3
GTEX-15EU6-2226-SM-6EU2L 50-59 years, male 186.2
GTEX-1KAFJ-0126-SM-DIPEK 50-59 years, male 186.2
GTEX-1IDJC-1526-SM-B2LW4 50-59 years, male 185.5
GTEX-1LVAM-0726-SM-E6CIL 50-59 years, female 185.5
GTEX-13SLX-2226-SM-62LEP 50-59 years, female 185.3
GTEX-1KANA-1326-SM-DIPFA 20-29 years, male 185.3
GTEX-111FC-2526-SM-5GZXU 60-69 years, male 184.9
GTEX-1B97I-0626-SM-73KUZ 40-49 years, male 184.8
GTEX-1JN76-0626-SM-CKZOQ 20-29 years, female 184.5
GTEX-14E1K-2026-SM-7DUEI 50-59 years, male 184.1
GTEX-12ZZZ-0726-SM-5GCNZ 60-69 years, male 183.6
GTEX-1HC8U-1326-SM-9YFMJ 40-49 years, female 182.9
GTEX-18A7B-2726-SM-7LG56 70-79 years, male 182.5
GTEX-1192X-2726-SM-5N9DN 50-59 years, male 181.7
GTEX-15CHR-1126-SM-7EWF4 50-59 years, male 181.7
GTEX-1B996-0426-SM-7EWF8 60-69 years, male 181.2
GTEX-1HSMO-0626-SM-ACKXC 60-69 years, male 181.1
GTEX-131YS-2826-SM-5EQ47 60-69 years, female 181.0
GTEX-1H1DE-1326-SM-9KNUG 20-29 years, male 181.0
GTEX-13FH7-1126-SM-5K7UG 50-59 years, female 180.3
GTEX-1H1DG-2426-SM-9QEHJ 70-79 years, male 180.2
GTEX-14B4R-1326-SM-5Q5EZ 30-39 years, male 180.1
GTEX-1R9K4-2826-SM-DTX8F 60-69 years, male 179.8
GTEX-1I1GS-2626-SM-B2LY3 60-69 years, male 179.3
GTEX-14DAR-1226-SM-73KYV 50-59 years, male 179.2
GTEX-13OVG-1626-SM-5J1NF 60-69 years, male 179.1
GTEX-1HSMP-0926-SM-A9SKX 70-79 years, male 178.2
GTEX-1HFI6-0126-SM-CNPPI 40-49 years, male 177.0
GTEX-ZDTS-0826-SM-4WKHL 60-69 years, male 176.3
GTEX-12126-0826-SM-5FQTZ 20-29 years, male 176.2
GTEX-1HR9M-2226-SM-CNPPY 60-69 years, male 176.2
GTEX-XK95-0226-SM-4AT58 40-49 years, male 175.9
GTEX-1GN73-0726-SM-7P8TJ 60-69 years, male 175.7
GTEX-14PKU-0126-SM-6LLHV 40-49 years, female 175.6
GTEX-1JMPZ-0726-SM-CY8HZ 30-39 years, male 175.5
GTEX-1GN1W-2426-SM-9KNUU 50-59 years, female 175.2
GTEX-11TUW-0626-SM-5LU9M 60-69 years, male 175.1
GTEX-ZPIC-0526-SM-DO91W 40-49 years, female 174.3
GTEX-146FQ-2126-SM-5RQHU 30-39 years, male 174.2
GTEX-1122O-1026-SM-9WYSF 60-69 years, female 173.7
GTEX-11ZU8-0126-SM-5EQ58 60-69 years, male 173.5
GTEX-13X6I-1826-SM-5SIAO 60-69 years, male 173.4
GTEX-1ICG6-1226-SM-A9SLN 70-79 years, female 173.3
GTEX-1GF9V-0826-SM-9KNUV 60-69 years, male 173.1
GTEX-1JJ6O-2726-SM-CNPOG 60-69 years, male 172.9
GTEX-1JMOU-1026-SM-CYPSS 60-69 years, female 172.3
GTEX-VUSG-2326-SM-4KL1U 50-59 years, male 172.0
GTEX-16YQH-2226-SM-7IGM2 30-39 years, male 171.9
GTEX-15RJE-2826-SM-7KUM9 40-49 years, male 171.5
GTEX-12WSD-0626-SM-5GCMW 60-69 years, female 169.7
GTEX-ZYFG-1526-SM-5GZYM 60-69 years, female 169.3
GTEX-1PIGE-1826-SM-E8VOU 20-29 years, male 168.9
GTEX-11ZUS-2626-SM-5FQUR 30-39 years, male 168.7
GTEX-YEC3-1326-SM-DO92X 50-59 years, male 168.7
GTEX-1S5ZU-2526-SM-E6CIF 20-29 years, female 168.6
GTEX-14BIN-1126-SM-5RQJZ 50-59 years, female 168.5
GTEX-1J8Q2-2626-SM-ACKWQ 60-69 years, male 168.2
GTEX-ZYFC-0426-SM-5GICQ 50-59 years, male 168.0
GTEX-13QBU-1226-SM-5LU4G 40-49 years, female 167.8
GTEX-WFG8-2126-SM-3GIKQ 20-29 years, male 167.4
GTEX-1K9T9-1526-SM-DIPFR 50-59 years, female 167.4
GTEX-1KANC-1226-SM-CYPT7 50-59 years, female 167.4
GTEX-ZE9C-2526-SM-5IJDR 60-69 years, male 167.3
GTEX-11EM3-1226-SM-5N9DD 20-29 years, female 167.1
GTEX-XQ3S-1426-SM-4BOPR 20-29 years, male 167.1
GTEX-XBEC-0726-SM-4QARZ 50-59 years, male 166.7
GTEX-1ICLY-0826-SM-CMKG1 50-59 years, male 166.7
GTEX-ZDYS-2426-SM-4WKGI 50-59 years, male 166.6
GTEX-1F75B-0726-SM-7PC3R 50-59 years, male 166.6
GTEX-1AX8Z-0726-SM-73KTS 60-69 years, male 166.4
GTEX-13PVQ-0626-SM-5LU47 50-59 years, male 164.7
GTEX-ZVT4-2426-SM-5GIEI 50-59 years, female 164.7
GTEX-12WSF-1626-SM-7KUG5 70-79 years, male 163.7
GTEX-1JJE9-2626-SM-ARZMT 70-79 years, male 163.6
GTEX-1QW4Y-1126-SM-DTXE3 30-39 years, male 163.5
GTEX-111YS-1526-SM-5GZYW 60-69 years, male 163.3
GTEX-139YR-1026-SM-5LZYN 50-59 years, male 163.3
GTEX-13FTY-2126-SM-5IFFB 40-49 years, female 163.3
GTEX-1RLM8-2926-SM-E8VON 50-59 years, male 163.3
GTEX-11WQC-1826-SM-5GU59 60-69 years, male 163.0
GTEX-ZYT6-2326-SM-5GZY3 30-39 years, male 162.2
GTEX-1GMR8-0626-SM-7RHI7 50-59 years, female 161.7
GTEX-1IE54-1126-SM-A9G2Z 40-49 years, female 161.2
GTEX-1POEN-2326-SM-E9J2L 30-39 years, female 160.3
GTEX-1GZ2Q-0126-SM-9WG6M 40-49 years, male 160.1
GTEX-X4EO-2926-SM-4E3JH 60-69 years, female 160.0
GTEX-13O3Q-0126-SM-5KM34 50-59 years, male 159.9
GTEX-1LG7Y-2526-SM-EWRO7 50-59 years, male 159.9
GTEX-1313W-0626-SM-5EQ4H 50-59 years, female 159.6
GTEX-11P82-1426-SM-DTXFY 20-29 years, male 159.5
GTEX-1H3O1-1326-SM-9MQLD 60-69 years, male 159.5
GTEX-15EO6-2426-SM-6PALZ 50-59 years, male 158.6
GTEX-1A8G6-2726-SM-731AR 60-69 years, male 158.5
GTEX-1I1GP-1326-SM-A9G28 50-59 years, male 158.4
GTEX-14AS3-1526-SM-5Q5ED 40-49 years, female 158.2
GTEX-ZVE1-0726-SM-51MRN 50-59 years, female 158.2
GTEX-U8XE-0226-SM-4E3J3 30-39 years, male 158.0
GTEX-1R9PM-1926-SM-EVR3O 20-29 years, male 158.0
GTEX-WRHU-2826-SM-3MJG8 50-59 years, female 157.9
GTEX-14753-0726-SM-5QGQO 60-69 years, male 157.8
GTEX-1EN7A-2426-SM-793DB 40-49 years, male 157.8
GTEX-1C6VQ-1226-SM-73KYD 50-59 years, male 157.7
GTEX-1IKJJ-2226-SM-CJI4C 60-69 years, male 157.2
GTEX-1GZHY-0626-SM-9KNVC 50-59 years, female 156.9
GTEX-1F6I4-2326-SM-7RHGL 60-69 years, male 156.1
GTEX-1QP66-1226-SM-DTX7U 50-59 years, male 156.1
GTEX-13OVL-0126-SM-5L3GJ 50-59 years, male 155.9
GTEX-1HR98-2226-SM-ADEI2 60-69 years, male 155.8
GTEX-14PJN-1826-SM-6AJ98 30-39 years, male 155.7
GTEX-13FHO-0426-SM-5L3F5 60-69 years, male 155.4
GTEX-ZGAY-1826-SM-DO91Q 40-49 years, female 155.4
GTEX-1HCU9-0426-SM-9WYSD 20-29 years, male 155.1
GTEX-15SHW-0226-SM-7LTAT 60-69 years, male 154.9
GTEX-1C2JI-1026-SM-73KY1 50-59 years, male 154.6
GTEX-1LVAO-2726-SM-E9TJ8 60-69 years, male 154.3
GTEX-13OW5-2326-SM-5L3HO 60-69 years, male 154.2
GTEX-12WSM-1926-SM-5BC65 60-69 years, male 154.1
GTEX-13NZ8-1226-SM-5KM4A 60-69 years, female 154.0
GTEX-15CHQ-0326-SM-69LQD 60-69 years, male 153.9
GTEX-147F4-0726-SM-5TDDD 50-59 years, male 153.8
GTEX-15DYW-2726-SM-6EU2I 60-69 years, female 153.7
GTEX-1I6K6-1726-SM-CGQFD 30-39 years, male 153.6
GTEX-13N1W-2426-SM-5IJD1 70-79 years, male 153.4
GTEX-145MH-2826-SM-5RQJF 50-59 years, male 152.7
GTEX-1269C-0126-SM-5EQ5L 60-69 years, female 151.8
GTEX-1IY9M-2826-SM-ARU8H 60-69 years, male 151.8
GTEX-YB5K-2026-SM-4VDT3 40-49 years, female 151.6
GTEX-13113-1626-SM-5EQ4I 60-69 years, female 151.5
GTEX-13U4I-2226-SM-5LU5H 40-49 years, female 151.5
GTEX-1CB4E-0926-SM-7EPHT 60-69 years, male 151.5
GTEX-1PPGY-1626-SM-EVYBL 60-69 years, male 151.5
GTEX-144GM-0526-SM-79OJO 20-29 years, male 151.3
GTEX-139D8-1126-SM-5LU8W 30-39 years, female 151.2
GTEX-WHPG-2626-SM-3NMBR 50-59 years, male 150.8
GTEX-ZF2S-1626-SM-57WES 50-59 years, female 150.8
GTEX-1E1VI-0326-SM-793D1 50-59 years, male 150.2
GTEX-16NPX-0726-SM-7KULC 50-59 years, male 150.0
GTEX-ZPU1-1126-SM-4YCF3 40-49 years, male 150.0
GTEX-15RIE-1926-SM-7KUKJ 60-69 years, male 149.9
GTEX-1JJEA-1826-SM-ARU8P 60-69 years, male 149.9
GTEX-ZDXO-3126-SM-5IJDF 60-69 years, male 149.6
GTEX-17MF6-2626-SM-79OKQ 40-49 years, male 149.4
GTEX-1C6WA-2626-SM-7MKGM 60-69 years, male 149.1
GTEX-14PK6-0226-SM-62LF5 70-79 years, female 149.0
GTEX-11NSD-0626-SM-5A5LU 20-29 years, male 148.9
GTEX-1LBAC-0826-SM-CY8IJ 20-29 years, male 148.9
GTEX-1IDJU-1726-SM-CMKHU 60-69 years, female 148.7
GTEX-ZT9W-1126-SM-57WDR 50-59 years, male 148.4
GTEX-1GF9X-1326-SM-7PC2Y 40-49 years, female 148.0
GTEX-1477Z-0326-SM-7IGLA 60-69 years, male 147.9
GTEX-ZVT2-0126-SM-5GIDQ 50-59 years, female 147.8
GTEX-11O72-0626-SM-5PNYE 40-49 years, male 147.6
GTEX-1H4P4-2126-SM-9WYSL 50-59 years, male 147.6
GTEX-14PII-0726-SM-6EU2B 60-69 years, male 147.5
GTEX-ZZ64-1026-SM-5GZXG 20-29 years, male 147.2
GTEX-1I1GV-0626-SM-ARL7M 60-69 years, male 147.2
GTEX-1LSVX-2526-SM-DIPEU 60-69 years, male 147.2
GTEX-1399R-1326-SM-5PNYS 30-39 years, male 147.1
GTEX-14JG6-1426-SM-9WG7C 30-39 years, female 147.1
GTEX-1J8Q3-0526-SM-ARL8U 60-69 years, male 146.9
GTEX-139TT-2126-SM-5LZWC 60-69 years, male 146.8
GTEX-145LT-0526-SM-5LUB2 40-49 years, male 146.7
GTEX-145LS-0626-SM-7EPG7 60-69 years, female 146.3
GTEX-1HCVE-2726-SM-CL54F 50-59 years, male 146.0
GTEX-13FTW-0326-SM-5K7UW 40-49 years, male 145.5
GTEX-17HHY-0426-SM-7DHLC 50-59 years, male 145.1
GTEX-Y8E4-2026-SM-5IFJB 40-49 years, male 145.0
GTEX-11P81-2226-SM-5PNYI 30-39 years, female 144.9
GTEX-1H3NZ-2726-SM-9WYTQ 60-69 years, male 144.8
GTEX-14LZ3-0126-SM-69LPM 60-69 years, female 144.6
GTEX-XYKS-1426-SM-4BRUO 60-69 years, female 144.6
GTEX-1R7EU-1626-SM-DTXG3 60-69 years, male 144.5
GTEX-1I19N-0126-SM-CYPSF 70-79 years, male 144.0
GTEX-1QCLZ-2426-SM-EVYBW 60-69 years, female 144.0
GTEX-1BAJH-2426-SM-7IGP8 70-79 years, male 143.5
GTEX-1I1HK-2326-SM-CKZOH 60-69 years, male 143.4
GTEX-1H11D-1826-SM-9QEHM 40-49 years, male 143.2
GTEX-13YAN-0226-SM-5TDC6 60-69 years, male 142.8
GTEX-1RAZS-2526-SM-E6CHT 50-59 years, male 142.7
GTEX-1B932-2326-SM-79OL5 40-49 years, female 142.3
GTEX-13SLW-0626-SM-5Q5ER 70-79 years, male 141.9
GTEX-1H1CY-0126-SM-9YFLY 60-69 years, female 141.7
GTEX-1F88F-0126-SM-9WYSZ 60-69 years, female 141.6
GTEX-15D1Q-2826-SM-6LLH7 40-49 years, male 140.7
GTEX-1QP29-1826-SM-DTX9S 50-59 years, male 140.7
GTEX-1EX96-1026-SM-7MKG2 50-59 years, male 140.6
GTEX-1F75W-2726-SM-7SB8H 60-69 years, male 140.2
GTEX-1LVA9-2626-SM-EVYD4 50-59 years, male 140.2
GTEX-X8HC-0626-SM-4E3HQ 50-59 years, female 140.1
GTEX-18A66-0626-SM-7LT8Z 60-69 years, male 138.7
GTEX-1I6K7-1926-SM-B2LXR 40-49 years, male 138.4
GTEX-1AYD5-2626-SM-7PBXY 50-59 years, male 138.0
GTEX-15SKB-2826-SM-6PAMH 60-69 years, male 137.9
GTEX-1JMQJ-0826-SM-CNPP7 50-59 years, male 137.9
GTEX-17MFQ-1526-SM-7KFRR 20-29 years, male 137.8
GTEX-1B8SF-0126-SM-7DUG3 60-69 years, male 137.7
GTEX-1RB15-1326-SM-E76Q9 60-69 years, male 137.2
GTEX-13N2G-0226-SM-5K7VF 60-69 years, male 136.4
GTEX-1JKYR-0626-SM-ARL8R 20-29 years, male 135.6
GTEX-1KXAM-1626-SM-D3LAD 60-69 years, male 135.6
GTEX-WFON-1926-SM-3LK7L 40-49 years, male 135.5
GTEX-1A8G7-1326-SM-73KVM 60-69 years, male 134.9
GTEX-WK11-2726-SM-3NMAQ 50-59 years, male 134.8
GTEX-1EMGI-2326-SM-7PBYA 60-69 years, male 134.6
GTEX-13112-0126-SM-5P9IU 50-59 years, male 134.4
GTEX-XOT4-0626-SM-4B66L 60-69 years, female 134.3
GTEX-1KD5A-0126-SM-E9U54 50-59 years, male 134.2
GTEX-1IDJD-2326-SM-ACKWX 30-39 years, male 134.1
GTEX-1A32A-0626-SM-731AQ 50-59 years, female 133.4
GTEX-1I1CD-0626-SM-CE6SW 60-69 years, female 133.2
GTEX-11NUK-2726-SM-5A5MC 50-59 years, male 133.0
GTEX-1IDJH-0126-SM-D3L92 70-79 years, male 133.0
GTEX-ZAK1-0626-SM-5HL8E 50-59 years, female 132.9
GTEX-14DAQ-0626-SM-793DS 60-69 years, female 132.8
GTEX-11EI6-2826-SM-5H11D 60-69 years, male 132.6
GTEX-17HGU-2326-SM-7DUFE 50-59 years, male 132.5
GTEX-ZVE2-2826-SM-5GU51 50-59 years, male 132.5
GTEX-1A8FM-0626-SM-7PC25 50-59 years, female 132.3
GTEX-13X6J-0626-SM-5LU5F 50-59 years, male 132.1
GTEX-1JN6P-2926-SM-CL54D 60-69 years, male 132.0
GTEX-11GSP-2326-SM-5HL63 60-69 years, female 131.9
GTEX-16BQI-1326-SM-6M486 30-39 years, female 131.7
GTEX-1GF9W-1426-SM-7PBYM 60-69 years, male 131.7
GTEX-15RJ7-2126-SM-6PAMD 40-49 years, male 131.4
GTEX-13NYB-0126-SM-5J1MD 40-49 years, male 131.2
GTEX-1IDJE-1426-SM-ADEIW 50-59 years, female 131.0
GTEX-1C6VR-0126-SM-7RHGB 60-69 years, male 130.9
GTEX-14ABY-2026-SM-62LDL 50-59 years, male 130.8
GTEX-12ZZX-2426-SM-5GCOE 40-49 years, female 130.1
GTEX-14PJ2-0626-SM-6LLII 50-59 years, male 130.1
GTEX-17EVP-2626-SM-7IGMA 40-49 years, male 130.1
GTEX-YECK-0326-SM-4W1YS 60-69 years, male 130.1
GTEX-11DXY-0126-SM-5H11Q 60-69 years, male 130.0
GTEX-13FLV-0126-SM-5K7WT 50-59 years, male 129.7
GTEX-ZTTD-2826-SM-4YCFA 50-59 years, male 129.6
GTEX-1OJC4-2726-SM-E76PJ 50-59 years, female 129.3
GTEX-1CB4I-0126-SM-7RHGG 50-59 years, male 129.1
GTEX-16Z82-2626-SM-7KULU 60-69 years, male 129.0
GTEX-XMD2-2126-SM-4YCF8 60-69 years, female 128.9
GTEX-145LU-1926-SM-79OJN 50-59 years, male 128.8
GTEX-1AMFI-1326-SM-7939R 50-59 years, female 128.5
GTEX-1RAZA-2226-SM-E9U4X 20-29 years, male 127.8
GTEX-12ZZY-0726-SM-5EQ66 60-69 years, male 127.7
GTEX-Y3IK-1626-SM-4YCF5 50-59 years, female 127.6
GTEX-1N5O9-0926-SM-E9J3C 60-69 years, male 127.5
GTEX-1AX9I-2226-SM-73KUO 60-69 years, male 127.1
GTEX-1CB4F-1026-SM-7DUH1 60-69 years, male 127.1
GTEX-13NZ9-2626-SM-5L3FK 50-59 years, male 126.0
GTEX-14BMV-2826-SM-5TDED 50-59 years, male 125.9
GTEX-1PBJJ-1026-SM-E76OS 30-39 years, male 125.9
GTEX-ZZPU-0826-SM-5GZX5 50-59 years, female 125.7
GTEX-1J8JJ-0626-SM-ARZMQ 60-69 years, female 125.7
GTEX-ZUA1-2626-SM-5NQ92 40-49 years, male 125.3
GTEX-1PIIG-2326-SM-DTXFR 30-39 years, male 125.2
GTEX-1B933-2426-SM-7DHMD 50-59 years, female 125.0
GTEX-13VXU-0626-SM-5L3F9 50-59 years, male 124.8
GTEX-1F75A-0726-SM-7RHHD 50-59 years, male 124.8
GTEX-131XW-0626-SM-5PNVD 50-59 years, female 124.7
GTEX-145MO-2826-SM-5LU96 60-69 years, male 124.7
GTEX-11GS4-0226-SM-5HL77 60-69 years, male 124.2
GTEX-1GN1U-0626-SM-9MQL9 50-59 years, female 124.0
GTEX-1LSNL-2726-SM-E9TKJ 50-59 years, male 123.1
GTEX-18A67-1626-SM-7LT9T 50-59 years, male 122.8
GTEX-18A6Q-0626-SM-7KFRP 60-69 years, male 122.7
GTEX-1C64N-2626-SM-7PC2N 50-59 years, male 122.3
GTEX-13OW8-1026-SM-5J1NQ 60-69 years, male 122.1
GTEX-1GZ4I-2626-SM-9KNU3 50-59 years, male 122.1
GTEX-11UD2-2526-SM-5CVNU 50-59 years, male 122.0
GTEX-1F88E-1626-SM-7SB8Z 60-69 years, female 122.0
GTEX-1GMRU-2126-SM-7P8RA 50-59 years, male 121.9
GTEX-1EKGG-0626-SM-7DUGJ 60-69 years, male 121.8
GTEX-1IOXB-2726-SM-CM2RI 50-59 years, male 120.7
GTEX-1L5NE-1126-SM-D3L9P 50-59 years, male 120.5
GTEX-1M4P7-0726-SM-E6CJ3 60-69 years, male 120.5
GTEX-17HG3-2626-SM-7DUF2 30-39 years, female 120.4
GTEX-1QMI2-2526-SM-E8VNZ 60-69 years, male 120.3
GTEX-147JS-0226-SM-5S2U9 60-69 years, male 120.0
GTEX-1N2EE-0626-SM-E76PW 60-69 years, male 120.0
GTEX-1HBPI-2126-SM-ARL9K 50-59 years, male 119.9
GTEX-145MF-0926-SM-5Q5EA 50-59 years, male 119.7
GTEX-183FY-1026-SM-7939A 20-29 years, male 119.5
GTEX-1314G-1326-SM-5BC6E 30-39 years, male 118.7
GTEX-1LG7Z-1626-SM-CXKYR 30-39 years, male 117.9
GTEX-1CB4H-1126-SM-7MKGL 60-69 years, female 117.5
GTEX-1IDJF-2026-SM-CL53V 20-29 years, male 117.5
GTEX-18A7A-0126-SM-731AH 50-59 years, female 117.4
GTEX-17JCI-2926-SM-7DUFF 60-69 years, female 117.1
GTEX-145MG-1526-SM-5Q5EM 50-59 years, male 116.8
GTEX-14JG1-1526-SM-5YY9X 40-49 years, male 116.1
GTEX-1EU9M-1426-SM-793AI 60-69 years, male 115.2
GTEX-178AV-1726-SM-7KUL8 40-49 years, male 115.1
GTEX-15FZZ-0526-SM-7KUGD 30-39 years, female 114.2
GTEX-1GN1V-2826-SM-9JGIA 60-69 years, male 114.2
GTEX-ZXG5-2126-SM-59HKD 60-69 years, male 113.8
GTEX-Y5V5-0126-SM-5S2NW 60-69 years, female 113.5
GTEX-13PL6-1126-SM-5L3IE 40-49 years, female 113.0
GTEX-144GL-0626-SM-5LU4D 50-59 years, male 112.8
GTEX-1CAV2-0126-SM-7IGN7 40-49 years, female 112.5
GTEX-11EQ8-0926-SM-5H12V 60-69 years, male 112.2
GTEX-13G51-1826-SM-5KLZH 60-69 years, male 111.7
GTEX-1GMR3-0126-SM-A9SLW 40-49 years, male 111.7
GTEX-15CHC-1126-SM-6LLHQ 60-69 years, female 111.2
GTEX-WYJK-0526-SM-3NM8Z 50-59 years, male 110.8
GTEX-14JFF-0626-SM-5ZZVT 60-69 years, male 110.5
GTEX-1B8KZ-0326-SM-73KY4 50-59 years, male 110.3
GTEX-1EWIQ-0326-SM-7DHMQ 70-79 years, female 110.3
GTEX-1IDFM-0326-SM-ARL7V 60-69 years, male 109.8
GTEX-1S83E-1326-SM-E6CJM 40-49 years, male 108.8
GTEX-1GN2E-0226-SM-9WG6K 60-69 years, male 107.7
GTEX-18465-2826-SM-7LT9J 50-59 years, male 107.5
GTEX-13X6K-0626-SM-5LU5D 60-69 years, female 107.2
GTEX-1HUB1-1426-SM-CGQF5 60-69 years, male 106.7
GTEX-139UW-0326-SM-5J1ML 60-69 years, male 105.7
GTEX-12KS4-2126-SM-5FQUT 30-39 years, male 105.1
GTEX-1GPI6-1926-SM-9KNV7 60-69 years, male 103.5
GTEX-1KWVE-1026-SM-D3L9O 30-39 years, male 103.1
GTEX-1HCU8-2526-SM-CE6RX 60-69 years, female 102.8
GTEX-13OW7-0426-SM-5K7VK 50-59 years, male 102.1
GTEX-1RAZR-2126-SM-E9U6T 40-49 years, male 102.0
GTEX-1QEPI-2626-SM-DTXF4 60-69 years, female 100.7
GTEX-1HSKV-1226-SM-ADEI4 60-69 years, male 99.6
GTEX-1LB8K-0726-SM-D5OV2 50-59 years, male 99.5
GTEX-1F6IF-0926-SM-7SB7M 60-69 years, male 98.9
GTEX-11DXW-0826-SM-5H118 40-49 years, male 97.5
GTEX-UPJH-0226-SM-3GADV 50-59 years, male 97.5
GTEX-1B8L1-2226-SM-7P8PT 60-69 years, male 97.5
GTEX-15ER7-0626-SM-6PANF 20-29 years, female 97.4
GTEX-WYBS-0626-SM-3NMAS 60-69 years, female 97.1
GTEX-WYVS-1626-SM-3NM9R 40-49 years, female 97.1
GTEX-13OW6-2726-SM-5J2OE 50-59 years, male 95.2
GTEX-1F5PL-0926-SM-7PC2W 40-49 years, female 93.3
GTEX-17KNJ-2126-SM-718AM 50-59 years, male 91.8
GTEX-YJ8O-2526-SM-5HL85 40-49 years, female 90.8
GTEX-YF7O-1526-SM-5IFI6 50-59 years, male 89.5
GTEX-12WSC-2826-SM-5BC5Y 50-59 years, male 89.1
GTEX-16GPK-0626-SM-7KFSF 60-69 years, male 86.1
GTEX-V1D1-2026-SM-3GAF4 50-59 years, male 86.0
GTEX-VJYA-1526-SM-3GIJV 60-69 years, male 84.9
GTEX-17EVQ-0126-SM-7IGLR 70-79 years, male 83.8
GTEX-1KANB-2826-SM-CY8I6 50-59 years, male 81.8
GTEX-14A6H-2026-SM-5Q5DD 30-39 years, male 79.6
GTEX-UPK5-0426-SM-3GAEK 40-49 years, male 79.5
GTEX-1AX9J-1326-SM-731BJ 60-69 years, male 73.8
GTEX-1GF9U-2026-SM-7SB92 40-49 years, female 47.4
Show allShow less
Skin - Sun Exposed (Lower leg)
Average nTPM: 199.3
Samples: 701

Max nTPM: 552.3
Min nTPM: 44.4
Std nTPM: 78.4
Median nTPM: 182.3
GTEX-1JMQL-0226-SM-CNPP5 50-59 years, female 552.3
GTEX-NPJ8-0126-SM-2YUNR 40-49 years, male 500.7
GTEX-P4QT-0126-SM-2I3FL 50-59 years, female 497.1
GTEX-P4PP-0126-SM-3LK69 30-39 years, female 481.5
GTEX-XUZC-1726-SM-4BRWS 30-39 years, female 464.9
GTEX-1K2DU-2326-SM-E9TIV 20-29 years, male 450.5
GTEX-14PN4-0126-SM-6EU2V 50-59 years, male 439.7
GTEX-13YAN-0326-SM-5O9DF 60-69 years, male 435.9
GTEX-145LV-2126-SM-5LU8N 50-59 years, male 434.6
GTEX-13X6H-2126-SM-7EWD5 50-59 years, female 422.3
GTEX-1QP9N-1426-SM-DTXFL 30-39 years, male 421.0
GTEX-TKQ1-1026-SM-4GICL 30-39 years, male 417.8
GTEX-12WSK-2326-SM-5GCOH 40-49 years, female 417.7
GTEX-1PPH8-0226-SM-E8VND 20-29 years, male 405.4
GTEX-WI4N-1026-SM-3LK7N 40-49 years, female 399.9
GTEX-1S5ZA-0126-SM-EVYCV 20-29 years, male 397.4
GTEX-1KANC-1526-SM-D3LAB 50-59 years, female 397.1
GTEX-169BO-1326-SM-9MQK2 50-59 years, male 394.7
GTEX-O5YT-0126-SM-48TBW 20-29 years, male 390.1
GTEX-1LH75-2426-SM-E9TJE 50-59 years, female 387.7
GTEX-11P7K-2126-SM-5GU7G 30-39 years, male 387.2
GTEX-ZTX8-1426-SM-5DUVO 20-29 years, male 385.1
GTEX-1H3VE-0326-SM-9YFLH 40-49 years, male 384.6
GTEX-12WSJ-1826-SM-5GCNY 40-49 years, female 380.0
GTEX-OHPM-0126-SM-2YUN9 50-59 years, male 374.4
GTEX-1LSNM-1926-SM-E6CII 50-59 years, male 370.5
GTEX-145MN-2226-SM-5SIAU 30-39 years, male 360.2
GTEX-1PFEY-1526-SM-E76PP 30-39 years, male 356.3
GTEX-1QAET-0926-SM-E76QM 50-59 years, male 355.7
GTEX-1NV5F-0226-SM-E8VNY 60-69 years, female 354.3
GTEX-1OFPY-2426-SM-DTXEJ 60-69 years, male 352.5
GTEX-1399U-2326-SM-5K7WY 50-59 years, female 350.9
GTEX-ZAJG-0126-SM-5HL94 50-59 years, female 350.7
GTEX-13OVH-0126-SM-5MR4B 70-79 years, male 347.9
GTEX-1B8KE-2126-SM-73KYX 50-59 years, male 344.6
GTEX-1K2DA-1826-SM-CGQGT 50-59 years, male 334.1
GTEX-UJHI-1526-SM-3DB99 50-59 years, female 333.7
GTEX-1211K-2026-SM-5EQ4Z 60-69 years, female 333.3
GTEX-13OVI-1426-SM-5L3EY 60-69 years, female 332.2
GTEX-1JJ6O-0126-SM-E6CI8 60-69 years, male 330.9
GTEX-OHPL-0126-SM-2HMJ7 60-69 years, female 329.7
GTEX-PLZ6-1426-SM-DKPOT 30-39 years, male 329.6
GTEX-Y114-2426-SM-4TT8A 50-59 years, female 329.1
GTEX-P4PQ-0126-SM-2S1NM 60-69 years, male 329.0
GTEX-1497J-2426-SM-7IGNX 60-69 years, male 328.6
GTEX-OXRL-0126-SM-2YUMP 50-59 years, male 328.1
GTEX-1GZ4H-1726-SM-7PBZJ 50-59 years, female 327.2
GTEX-1LC47-0326-SM-E9TJP 60-69 years, male 325.7
GTEX-11UD1-0126-SM-5PNYG 40-49 years, female 325.6
GTEX-1JMPY-1326-SM-ARL8Y 30-39 years, male 325.3
GTEX-WRHK-1426-SM-3MJF9 20-29 years, female 325.2
GTEX-1HSGN-0226-SM-CGQFV 40-49 years, female 323.0
GTEX-WYJK-0126-SM-3NMAB 50-59 years, male 322.0
GTEX-13RTK-1426-SM-5QGQJ 20-29 years, male 320.6
GTEX-Y5V6-2426-SM-4VDSB 60-69 years, male 318.8
GTEX-145MI-0526-SM-5O9A8 60-69 years, female 318.5
GTEX-SUCS-1926-SM-32PM3 70-79 years, male 318.3
GTEX-1CAV2-2226-SM-7P8P2 40-49 years, female 318.1
GTEX-1I4MK-2226-SM-ACKWD 50-59 years, female 316.4
GTEX-14A5I-0126-SM-5TDEA 50-59 years, female 315.9
GTEX-XQ8I-0426-SM-4BOPO 50-59 years, male 315.6
GTEX-1JMPZ-0226-SM-CNPP1 30-39 years, male 315.6
GTEX-1LVAN-0226-SM-COH3S 50-59 years, female 315.3
GTEX-PWCY-1826-SM-DHXIZ 20-29 years, female 314.4
GTEX-13113-5016-SM-7EPIP 60-69 years, female 313.4
GTEX-YB5E-2026-SM-5IFIS 40-49 years, male 311.7
GTEX-ZGAY-0526-SM-4WWBB 40-49 years, female 311.7
GTEX-13PVR-2326-SM-5QGR1 60-69 years, female 311.6
GTEX-15ETS-0126-SM-7KUMW 40-49 years, female 309.7
GTEX-1JN1M-0326-SM-CYPT3 60-69 years, female 306.0
GTEX-1OJC3-0126-SM-E76QX 20-29 years, male 304.9
GTEX-1HBPM-0226-SM-ARL9F 60-69 years, female 304.1
GTEX-16MT8-0426-SM-7KUEY 60-69 years, female 303.0
GTEX-1MCYP-1926-SM-E9J2R 20-29 years, female 302.7
GTEX-ZVZP-2426-SM-59HKJ 50-59 years, male 300.8
GTEX-14XAO-2326-SM-6EU1B 60-69 years, female 300.7
GTEX-O5YW-0126-SM-3LK6D 50-59 years, male 300.3
GTEX-1JMQK-0226-SM-CL543 60-69 years, male 299.4
GTEX-XPVG-2626-SM-4B669 50-59 years, male 299.2
GTEX-S32W-2126-SM-2XCB1 50-59 years, female 299.1
GTEX-15UF6-0826-SM-6PALJ 70-79 years, female 298.6
GTEX-11H98-0126-SM-5EGHG 50-59 years, male 298.0
GTEX-ZPIC-1726-SM-DHXIU 40-49 years, female 297.9
GTEX-ZQG8-1626-SM-DHXIT 60-69 years, female 296.1
GTEX-1JMQI-2226-SM-CM2SD 50-59 years, male 296.0
GTEX-145ME-1826-SM-5SI9G 40-49 years, female 294.6
GTEX-T2YK-0526-SM-32QPJ 50-59 years, male 293.9
GTEX-13111-1626-SM-5EGJY 50-59 years, male 293.6
GTEX-ZYFG-2326-SM-5E44B 60-69 years, female 293.6
GTEX-14C5O-0126-SM-5SI6N 60-69 years, male 293.5
GTEX-SN8G-0126-SM-32PLI 50-59 years, female 292.5
GTEX-1HCUA-2426-SM-ADEIS 50-59 years, female 291.9
GTEX-RTLS-0126-SM-447CA 60-69 years, female 291.5
GTEX-1R46S-0626-SM-E9J41 60-69 years, female 291.4
GTEX-W5X1-3026-SM-EAZAX 40-49 years, female 291.3
GTEX-ZXES-1826-SM-5E43S 30-39 years, female 289.8
GTEX-11TT1-2526-SM-5EGIB 20-29 years, male 288.6
GTEX-OIZH-0126-SM-2HMIS 50-59 years, male 288.4
GTEX-15RIG-0226-SM-7KFTL 40-49 years, male 288.1
GTEX-1HFI7-1826-SM-ACKXH 50-59 years, female 287.1
GTEX-1AX8Z-0126-SM-7DHM6 60-69 years, male 285.6
GTEX-1GTWX-0126-SM-9YFLK 60-69 years, male 285.4
GTEX-13NYS-0126-SM-5MR3W 60-69 years, male 285.2
GTEX-13W3W-2426-SM-5LU5B 60-69 years, female 284.2
GTEX-1N2DV-0226-SM-E6CJ6 40-49 years, male 284.0
GTEX-ZVZO-0126-SM-5A5L9 40-49 years, male 281.1
GTEX-1L5NE-2526-SM-E6CIE 50-59 years, male 280.7
GTEX-14BMU-2226-SM-5TDE9 20-29 years, female 279.8
GTEX-17GQL-2026-SM-718BA 60-69 years, male 277.9
GTEX-1R7EU-0226-SM-EVR4G 60-69 years, male 277.8
GTEX-14E6E-1826-SM-5S2R7 30-39 years, male 275.8
GTEX-18D9A-1926-SM-7LG6P 30-39 years, female 275.7
GTEX-131XE-2326-SM-5PNZ2 50-59 years, male 275.6
GTEX-17EUY-0426-SM-793BD 20-29 years, male 275.2
GTEX-YB5K-2126-SM-4WWDJ 40-49 years, female 275.1
GTEX-U3ZM-1526-SM-3DB9D 40-49 years, male 275.0
GTEX-1MA7W-2026-SM-E9TJ6 20-29 years, female 275.0
GTEX-11DXZ-2326-SM-5EGGV 50-59 years, male 273.2
GTEX-1GPI7-0126-SM-9MQL8 20-29 years, male 273.1
GTEX-OOBJ-0126-SM-E6CJW 60-69 years, male 272.8
GTEX-1A3MX-0126-SM-731BR 60-69 years, male 272.0
GTEX-Y5LM-1926-SM-5RQJH 40-49 years, female 271.3
GTEX-13O1R-0126-SM-5L3EH 60-69 years, male 270.4
GTEX-1NHNU-1026-SM-E9J2A 50-59 years, male 270.4
GTEX-12696-2426-SM-5EQ6H 60-69 years, male 270.2
GTEX-13FH7-2026-SM-E9J4I 50-59 years, female 269.9
GTEX-X8HC-0126-SM-4E3JW 50-59 years, female 269.0
GTEX-Q2AI-1326-SM-2S1PL 40-49 years, male 267.7
GTEX-ZWKS-0126-SM-5SIAA 30-39 years, male 267.3
GTEX-U8T8-0126-SM-3DB94 60-69 years, male 267.2
GTEX-1F75I-0326-SM-9YFLU 40-49 years, male 266.4
GTEX-X4XY-0226-SM-4E3IZ 60-69 years, male 265.8
GTEX-W5WG-1826-SM-4KL2Y 50-59 years, female 265.6
GTEX-1H23P-0126-SM-ADEJ3 60-69 years, male 265.5
GTEX-144FL-0126-SM-5TDC8 50-59 years, male 265.4
GTEX-1H1DG-0126-SM-9WYU2 70-79 years, male 265.3
GTEX-1ICLZ-0126-SM-CKZPO 60-69 years, male 265.1
GTEX-13RTJ-2426-SM-5S2Q2 60-69 years, male 264.4
GTEX-1128S-2326-SM-5GZZY 60-69 years, female 264.0
GTEX-XBEW-0626-SM-4QASP 40-49 years, male 262.4
GTEX-1JN76-0126-SM-CNPPE 20-29 years, female 262.0
GTEX-QESD-1426-SM-2S1R9 20-29 years, male 261.6
GTEX-145MO-0326-SM-5Q5B3 60-69 years, male 261.5
GTEX-15F5U-1526-SM-6PANO 40-49 years, male 261.2
GTEX-1J8QM-2126-SM-CYPSJ 60-69 years, female 261.0
GTEX-1HBPN-0226-SM-9YFM1 50-59 years, male 259.7
GTEX-11TUW-2726-SM-E9J4M 60-69 years, male 259.3
GTEX-1H1DE-2126-SM-9WG6R 20-29 years, male 258.8
GTEX-1QCLY-0326-SM-E8VOG 30-39 years, male 258.3
GTEX-OXRO-0126-SM-2YUN4 60-69 years, female 258.0
GTEX-1HCU9-1526-SM-A9SL7 20-29 years, male 256.2
GTEX-12WSA-0226-SM-5BC5V 60-69 years, male 255.4
GTEX-1I1GT-0626-SM-CGQER 60-69 years, female 255.4
GTEX-ZVT2-2526-SM-51MT1 50-59 years, female 254.9
GTEX-13O21-1426-SM-5K7XI 50-59 years, male 254.5
GTEX-131XG-2626-SM-5KM17 50-59 years, female 254.3
GTEX-13VXT-0126-SM-5LU4I 20-29 years, female 254.2
GTEX-12584-0126-SM-5EGKQ 40-49 years, male 254.1
GTEX-11DZ1-0126-SM-5985Q 50-59 years, male 253.1
GTEX-1122O-2126-SM-5EGIR 60-69 years, female 252.9
GTEX-15EU6-0426-SM-6PAN5 50-59 years, male 252.8
GTEX-Y3I4-2126-SM-4TT7C 50-59 years, male 252.6
GTEX-1H3VY-0126-SM-ACKXD 50-59 years, male 251.1
GTEX-1KXAM-2226-SM-CYPTC 60-69 years, male 250.9
GTEX-12C56-1726-SM-5EQ61 20-29 years, male 250.5
GTEX-POMQ-2226-SM-2I5FK 20-29 years, female 250.2
GTEX-ZYY3-0126-SM-5GZY5 60-69 years, female 250.0
GTEX-NFK9-0226-SM-2HMKQ 40-49 years, male 249.0
GTEX-13FTW-2626-SM-5K7WL 40-49 years, male 248.9
GTEX-1IDJF-0126-SM-CM2RS 20-29 years, male 248.9
GTEX-1AMEY-1326-SM-73KYK 30-39 years, female 248.2
GTEX-ZV6S-2326-SM-4YCEY 40-49 years, female 248.2
GTEX-PLZ5-2026-SM-2S1O4 50-59 years, male 246.9
GTEX-1N2DW-0226-SM-E9TK2 50-59 years, male 246.7
GTEX-14PK6-1926-SM-6ETZU 70-79 years, female 244.7
GTEX-1J1R8-1726-SM-ARL8M 40-49 years, male 244.7
GTEX-WVJS-0126-SM-4MVOT 50-59 years, male 244.4
GTEX-QLQ7-1626-SM-2S1R8 60-69 years, male 243.8
GTEX-WFG8-2226-SM-3GIL9 20-29 years, male 242.9
GTEX-11OC5-0126-SM-5HL6A 60-69 years, male 242.5
GTEX-1HSEH-0126-SM-ACKXN 60-69 years, male 241.9
GTEX-1I6K6-0126-SM-A9SLE 30-39 years, male 241.9
GTEX-ZYFD-0126-SM-5GIDL 50-59 years, male 241.7
GTEX-1B97I-1626-SM-73KYO 40-49 years, male 241.1
GTEX-17F98-0626-SM-79OMX 40-49 years, female 240.9
GTEX-ZAB4-0226-SM-5N9F5 40-49 years, male 240.4
GTEX-1CB4E-2226-SM-793DC 60-69 years, male 240.0
GTEX-11LCK-1026-SM-5A5KB 30-39 years, male 239.8
GTEX-14753-0426-SM-5NQAM 60-69 years, male 239.3
GTEX-1C475-1826-SM-73KWA 40-49 years, female 239.2
GTEX-13CF3-2426-SM-5IFGX 60-69 years, female 239.1
GTEX-X585-0226-SM-4QAS2 50-59 years, male 238.7
GTEX-1JMLX-0226-SM-CM2RO 50-59 years, male 237.9
GTEX-XBED-2226-SM-47JYQ 60-69 years, male 237.8
GTEX-Y3IK-2426-SM-4WWDU 50-59 years, female 237.5
GTEX-1GL5R-1826-SM-9KNUY 50-59 years, male 237.2
GTEX-13IVO-0126-SM-5J1NG 70-79 years, male 236.9
GTEX-XAJ8-0826-SM-47JY6 40-49 years, male 235.8
GTEX-X4EP-0126-SM-3P5YV 60-69 years, female 235.7
GTEX-X261-0126-SM-3NMD6 50-59 years, male 235.6
GTEX-1QP66-1726-SM-E8VO1 50-59 years, male 235.4
GTEX-1PDJ9-0326-SM-DTX95 20-29 years, male 235.2
GTEX-PSDG-0226-SM-DKPOZ 50-59 years, male 235.0
GTEX-R55G-2526-SM-2TC6D 40-49 years, female 234.7
GTEX-13NZ8-0826-SM-5MR3I 60-69 years, female 234.3
GTEX-1IKK5-0626-SM-ARL8A 60-69 years, male 233.7
GTEX-17F96-1626-SM-7DUFL 70-79 years, male 233.2
GTEX-1QPFJ-0226-SM-E76PB 30-39 years, female 233.0
GTEX-1J1OQ-0226-SM-CYPSH 40-49 years, female 232.5
GTEX-11EM3-2426-SM-59861 20-29 years, female 230.4
GTEX-1HSMP-0126-SM-E6CJS 70-79 years, male 230.3
GTEX-RUSQ-1526-SM-2TF62 50-59 years, male 230.2
GTEX-U4B1-1826-SM-4DXSU 40-49 years, male 230.1
GTEX-117YX-2326-SM-5H12W 50-59 years, male 229.7
GTEX-WH7G-2326-SM-3NMBC 40-49 years, male 229.3
GTEX-ZTPG-0326-SM-5O9AX 20-29 years, female 229.3
GTEX-1H1ZS-0426-SM-9WG6G 70-79 years, male 228.8
GTEX-WFON-2126-SM-3LK7O 40-49 years, male 228.4
GTEX-1F6RS-0126-SM-9MQKZ 60-69 years, female 227.3
GTEX-16XZZ-0126-SM-793DV 60-69 years, male 227.0
GTEX-11EQ9-2426-SM-5HL5T 30-39 years, male 226.5
GTEX-WXYG-2326-SM-4E3I6 50-59 years, female 226.4
GTEX-139D8-0226-SM-5KLZO 30-39 years, female 226.2
GTEX-13NZB-2526-SM-5J1OM 30-39 years, male 226.1
GTEX-OXRN-0126-SM-48TDM 50-59 years, male 225.4
GTEX-ZZ64-1726-SM-5GZYB 20-29 years, male 225.3
GTEX-YEC4-2126-SM-5IFJH 40-49 years, male 224.9
GTEX-1R7EV-2426-SM-EVYBG 40-49 years, male 224.9
GTEX-TMZS-0126-SM-3DB9Q 60-69 years, male 224.8
GTEX-1QP2A-0126-SM-E9J43 50-59 years, male 224.8
GTEX-13S7M-0126-SM-5SI6A 60-69 years, female 224.2
GTEX-U412-0426-SM-3DB9O 60-69 years, male 223.6
GTEX-14PJ3-1826-SM-62LEX 50-59 years, male 223.0
GTEX-1PPH7-2326-SM-EVYB8 40-49 years, male 222.6
GTEX-ZF29-2326-SM-DO92K 60-69 years, female 222.5
GTEX-14PHX-2326-SM-62LEM 50-59 years, male 221.1
GTEX-S95S-1226-SM-4GICG 60-69 years, male 221.0
GTEX-QV44-1926-SM-2S1RF 50-59 years, male 220.8
GTEX-TSE9-0126-SM-3DB83 60-69 years, female 219.7
GTEX-1M5QR-1226-SM-EWROB 40-49 years, male 219.4
GTEX-PWO3-1526-SM-48TCM 60-69 years, female 218.8
GTEX-18D9U-0226-SM-718BP 40-49 years, male 218.1
GTEX-1C64O-0126-SM-7SB8P 60-69 years, male 218.0
GTEX-X4XX-0126-SM-3NMC2 60-69 years, male 217.9
GTEX-13CF2-2526-SM-5LZYX 60-69 years, male 217.4
GTEX-14PII-0226-SM-6EU1T 60-69 years, male 217.3
GTEX-11DXX-2426-SM-5GZZW 60-69 years, female 216.5
GTEX-1LGRB-2526-SM-CNPPQ 50-59 years, female 216.5
GTEX-X88G-0126-SM-47JZ3 30-39 years, male 216.3
GTEX-ZV68-0126-SM-59HKS 50-59 years, female 215.1
GTEX-131XH-2226-SM-5DUXJ 50-59 years, male 214.8
GTEX-16NGA-1726-SM-731B4 40-49 years, female 214.5
GTEX-T8EM-1026-SM-3DB7M 40-49 years, male 214.3
GTEX-1AMFI-2026-SM-731BH 50-59 years, female 214.0
GTEX-1I1GS-0126-SM-B2LVW 60-69 years, male 213.7
GTEX-17EVQ-0226-SM-7LG4P 70-79 years, male 212.4
GTEX-ZTSS-1926-SM-57WEW 40-49 years, male 212.1
GTEX-ZF3C-0126-SM-DO92D 50-59 years, female 211.7
GTEX-1GF9W-0326-SM-9KNUN 60-69 years, male 211.1
GTEX-1I1GU-2226-SM-CGQFA 40-49 years, male 210.1
GTEX-11GSO-2426-SM-5A5LY 60-69 years, male 209.8
GTEX-11VI4-1726-SM-5CVLH 40-49 years, female 209.5
GTEX-XUW1-0426-SM-4BOOT 50-59 years, female 209.3
GTEX-RU72-0926-SM-2TF6B 50-59 years, female 209.2
GTEX-1R9PM-2026-SM-E76OY 20-29 years, male 208.8
GTEX-17MF6-0126-SM-7LG4F 40-49 years, male 208.7
GTEX-1CB4J-0626-SM-7DHMP 60-69 years, male 208.5
GTEX-1HGF4-2426-SM-ACKXM 60-69 years, male 208.5
GTEX-14PN3-2426-SM-6LLHS 60-69 years, female 208.3
GTEX-ZU9S-0226-SM-5E441 30-39 years, male 208.1
GTEX-13OVJ-0126-SM-5KM36 50-59 years, female 208.0
GTEX-146FH-0126-SM-5QGPP 50-59 years, female 207.9
GTEX-14DAR-2026-SM-5S2O3 50-59 years, male 207.6
GTEX-X62O-0126-SM-4E3JN 50-59 years, male 207.2
GTEX-Y111-0126-SM-4SOIV 50-59 years, male 206.4
GTEX-X5EB-2226-SM-46MW4 40-49 years, male 206.1
GTEX-11DYG-0126-SM-59883 60-69 years, male 205.8
GTEX-12WSL-2526-SM-5GCNJ 50-59 years, male 205.7
GTEX-14PJ6-2126-SM-6EU1V 60-69 years, female 204.8
GTEX-13X6I-0626-SM-5QGP9 60-69 years, male 204.6
GTEX-1IDJU-2626-SM-CM2RT 60-69 years, female 204.5
GTEX-1HSMQ-1226-SM-CGQFX 50-59 years, male 203.9
GTEX-144GN-2326-SM-5LU4F 50-59 years, male 203.7
GTEX-TMMY-0226-SM-33HBA 40-49 years, female 203.0
GTEX-18QFQ-0126-SM-731BE 30-39 years, male 202.0
GTEX-RVPV-0126-SM-EAZAW 60-69 years, male 201.9
GTEX-S7PM-0126-SM-4AD6S 60-69 years, male 201.2
GTEX-1H3O1-0426-SM-9YFKY 60-69 years, male 200.8
GTEX-WY7C-2326-SM-3NB2U 50-59 years, male 200.1
GTEX-1HB9E-0226-SM-E9U4R 50-59 years, male 200.1
GTEX-1HCVE-0126-SM-CGQEU 50-59 years, male 199.9
GTEX-1H1E6-1726-SM-ACKVK 30-39 years, male 199.4
GTEX-1F5PK-2426-SM-7RHHY 50-59 years, male 198.8
GTEX-17HHE-2026-SM-79OKF 50-59 years, male 198.7
GTEX-ZXG5-0126-SM-5GIEU 60-69 years, male 198.5
GTEX-1I1GP-2226-SM-CGQFK 50-59 years, male 198.3
GTEX-11TTK-0126-SM-5987B 60-69 years, female 198.1
GTEX-12126-0326-SM-5PNW3 20-29 years, male 197.3
GTEX-WQUQ-0426-SM-3MJFU 60-69 years, male 197.3
GTEX-15SHU-0126-SM-7KUEH 40-49 years, female 196.9
GTEX-ZE7O-0126-SM-57WC1 50-59 years, female 196.7
GTEX-1CB4I-0226-SM-79OLH 50-59 years, male 195.5
GTEX-1RAZA-0126-SM-E6CI3 20-29 years, male 195.4
GTEX-11ZTT-2426-SM-5EQLS 60-69 years, female 195.0
GTEX-1A3MV-1926-SM-718BT 30-39 years, male 194.5
GTEX-1KAFJ-2026-SM-CY8ID 50-59 years, male 194.5
GTEX-XYKS-2126-SM-4E3IB 60-69 years, female 194.4
GTEX-13N11-2526-SM-5K7UE 50-59 years, female 194.1
GTEX-1MUQO-0126-SM-EAZ58 60-69 years, male 194.1
GTEX-1ICLY-0126-SM-D4P36 50-59 years, male 193.8
GTEX-1CAMS-0426-SM-7P8T2 40-49 years, female 193.6
GTEX-15SB6-1726-SM-6PAME 50-59 years, female 192.4
GTEX-ZDYS-2026-SM-5HL5L 50-59 years, male 192.3
GTEX-1F75B-0126-SM-9KNVL 50-59 years, male 191.8
GTEX-13SLW-0126-SM-5SI6C 70-79 years, male 191.2
GTEX-1C6VQ-0126-SM-7P8RI 50-59 years, male 191.0
GTEX-13PDP-0126-SM-5L3HD 60-69 years, male 190.9
GTEX-13D11-2426-SM-5KM1V 50-59 years, female 190.7
GTEX-1HCU7-0226-SM-CL545 50-59 years, male 190.5
GTEX-1CB4H-0226-SM-7PBXM 60-69 years, female 190.4
GTEX-1JKYN-1326-SM-CGQG9 30-39 years, male 190.4
GTEX-1F48J-0126-SM-7P8TT 50-59 years, female 190.0
GTEX-146FQ-0126-SM-5NQA9 30-39 years, male 189.9
GTEX-15UKP-0426-SM-7KUFQ 20-29 years, male 189.4
GTEX-13FXS-0226-SM-5IJCK 50-59 years, male 189.2
GTEX-1GF9X-2026-SM-7PC3A 40-49 years, female 189.2
GTEX-1IDJH-0326-SM-A9SLQ 70-79 years, male 188.7
GTEX-1H2FU-0126-SM-9WYSI 60-69 years, female 188.6
GTEX-1S82Y-2026-SM-EVYCM 40-49 years, male 188.4
GTEX-1S83E-0126-SM-EWRO4 40-49 years, male 187.7
GTEX-ZVTK-0426-SM-51MRS 20-29 years, male 186.7
GTEX-1GMR8-0126-SM-9WYTM 50-59 years, female 186.7
GTEX-1GMR3-1926-SM-9KNUZ 40-49 years, male 186.6
GTEX-1LGOU-2026-SM-DIPFF 20-29 years, female 186.6
GTEX-133LE-1826-SM-5J1MV 20-29 years, female 185.8
GTEX-131XF-5016-SM-7MGWE 60-69 years, male 185.7
GTEX-1HSMO-0126-SM-CL547 60-69 years, male 185.6
GTEX-1192X-0226-SM-5H12D 50-59 years, male 185.2
GTEX-1RB15-2126-SM-E9TIM 60-69 years, male 185.2
GTEX-1B8SG-0126-SM-73KZ3 50-59 years, male 184.7
GTEX-T6MO-1626-SM-32QOM 40-49 years, female 184.5
GTEX-1EMGI-0126-SM-9KNUE 60-69 years, male 184.1
GTEX-13OVK-2026-SM-7KUEO 40-49 years, male 183.9
GTEX-T5JC-0426-SM-32PLO 20-29 years, male 183.8
GTEX-1J8Q2-0526-SM-CM2RW 60-69 years, male 183.7
GTEX-1GZHY-0326-SM-9QEHI 50-59 years, female 183.1
GTEX-1CAMR-1926-SM-7EPI2 20-29 years, male 182.9
GTEX-14ICK-0226-SM-6EU25 40-49 years, male 182.8
GTEX-1JKYR-0126-SM-CNPOJ 20-29 years, male 182.4
GTEX-1LG7Z-1726-SM-D3LA4 30-39 years, male 182.4
GTEX-1399R-2726-SM-5IJBA 30-39 years, male 182.3
GTEX-16AAH-1726-SM-7939C 50-59 years, male 182.3
GTEX-QVJO-1626-SM-2S1QW 60-69 years, female 181.9
GTEX-1KANA-0726-SM-D3L9I 20-29 years, male 181.9
GTEX-13O3Q-2426-SM-5IJBR 50-59 years, male 181.8
GTEX-1C4CL-0526-SM-73KVK 30-39 years, male 181.3
GTEX-13OW5-0126-SM-DTXFS 60-69 years, male 181.2
GTEX-T6MN-0126-SM-32PLP 50-59 years, male 181.1
GTEX-1JN6P-0126-SM-D3L98 60-69 years, male 180.1
GTEX-139T4-0226-SM-5HL5S 50-59 years, female 179.9
GTEX-T5JW-1626-SM-3GADZ 20-29 years, female 179.9
GTEX-1H1CY-2826-SM-9MQM3 60-69 years, female 179.7
GTEX-U8XE-0326-SM-3DB8P 30-39 years, male 179.3
GTEX-1N2EF-0226-SM-EYYXB 60-69 years, male 179.1
GTEX-13FTX-1826-SM-5J1NX 20-29 years, female 179.0
GTEX-ZY6K-1826-SM-5GZXK 50-59 years, male 178.4
GTEX-1RLM8-2326-SM-EWRN4 50-59 years, male 178.2
GTEX-13O3P-0126-SM-5KM4S 50-59 years, male 177.9
GTEX-1R9PO-2126-SM-E9J4O 60-69 years, female 177.9
GTEX-1314G-1526-SM-5EGK2 30-39 years, male 177.4
GTEX-18A7B-0126-SM-7LG64 70-79 years, male 177.4
GTEX-1AX9J-0226-SM-73KXM 60-69 years, male 177.4
GTEX-139T8-0126-SM-5K7XZ 60-69 years, male 177.3
GTEX-183WM-0126-SM-7LTAB 70-79 years, female 177.3
GTEX-Z93S-0126-SM-5HL7M 50-59 years, male 177.2
GTEX-1ICG6-2526-SM-CGQFZ 70-79 years, female 176.9
GTEX-11NSD-2226-SM-5986V 20-29 years, male 176.7
GTEX-1AYCT-2426-SM-7IGQ3 50-59 years, male 176.7
GTEX-Y8DK-0126-SM-4TT3L 60-69 years, male 176.6
GTEX-1K9T9-0126-SM-EVYCF 50-59 years, female 175.4
GTEX-147F3-0526-SM-5SI98 50-59 years, female 173.8
GTEX-S33H-1026-SM-EZ6L6 30-39 years, male 173.5
GTEX-132NY-0326-SM-5IJBL 60-69 years, male 173.3
GTEX-13O3O-0126-SM-E9J49 60-69 years, female 173.3
GTEX-XXEK-2226-SM-4BRUM 50-59 years, male 172.7
GTEX-1PWST-0226-SM-E76QJ 70-79 years, male 172.3
GTEX-1PIGE-0126-SM-EVYBJ 20-29 years, male 171.6
GTEX-1S3DN-2226-SM-EVYCD 50-59 years, male 171.6
GTEX-1B996-0226-SM-7RHGO 60-69 years, male 171.1
GTEX-YJ8A-0426-SM-5IFID 20-29 years, male 170.4
GTEX-1JK1U-2026-SM-CM2RZ 60-69 years, male 170.4
GTEX-1HFI6-0226-SM-ADEHZ 40-49 years, male 169.8
GTEX-11P81-2326-SM-59875 30-39 years, female 169.4
GTEX-14A5H-0426-SM-5QGQF 60-69 years, male 169.4
GTEX-15D1Q-0126-SM-7KUG6 40-49 years, male 169.4
GTEX-139TS-2826-SM-5J1OO 60-69 years, male 169.2
GTEX-1F52S-0126-SM-9MQJU 60-69 years, female 169.2
GTEX-X4EO-0326-SM-3P5YO 60-69 years, female 168.8
GTEX-131XW-0426-SM-5LZWP 50-59 years, female 168.7
GTEX-OXRK-0226-SM-3NB2G 50-59 years, female 168.7
GTEX-15CHC-2126-SM-6EU21 60-69 years, female 168.6
GTEX-1HCU6-0126-SM-CL54K 60-69 years, female 167.7
GTEX-16BQI-0226-SM-7KUEX 30-39 years, female 167.3
GTEX-OOBK-0126-SM-2YUND 40-49 years, male 167.2
GTEX-1CAMQ-0226-SM-7IGPK 40-49 years, male 167.0
GTEX-1MGNQ-0126-SM-EVYCJ 40-49 years, male 167.0
GTEX-15DDE-0126-SM-6LPKH 50-59 years, female 166.9
GTEX-11ZTS-0126-SM-5EQ6M 60-69 years, female 166.5
GTEX-1GN73-0226-SM-9WG67 60-69 years, male 166.3
GTEX-1IL2U-0226-SM-CE6T8 60-69 years, male 166.3
GTEX-1IKJJ-0126-SM-CNPQB 60-69 years, male 165.6
GTEX-14JG6-2226-SM-6EU2G 30-39 years, female 165.1
GTEX-ZF2S-2326-SM-4WWCE 50-59 years, female 165.1
GTEX-1GN1U-0126-SM-7PBZK 50-59 years, female 165.1
GTEX-13NYC-0326-SM-E9J4S 60-69 years, male 164.8
GTEX-1I1GV-0526-SM-A9G29 60-69 years, male 164.2
GTEX-1H3NZ-0126-SM-ACKX7 60-69 years, male 164.0
GTEX-1M4P7-0226-SM-DIPEV 60-69 years, male 163.9
GTEX-11ZVC-2526-SM-5FQTE 50-59 years, female 163.7
GTEX-1J8EW-0126-SM-CJI4F 60-69 years, female 162.7
GTEX-13G51-2526-SM-5LZYK 60-69 years, male 162.4
GTEX-18D9B-0526-SM-7LTAS 60-69 years, male 161.8
GTEX-PX3G-0126-SM-2I3EN 20-29 years, female 161.8
GTEX-13W46-0226-SM-5SIAG 50-59 years, male 161.6
GTEX-1KWVE-1426-SM-E9TJO 30-39 years, male 161.5
GTEX-18A67-0126-SM-7LG5P 50-59 years, male 161.4
GTEX-R45C-0126-SM-EAZ2R 60-69 years, female 161.3
GTEX-1RDX4-0126-SM-E9J4P 50-59 years, female 160.8
GTEX-1JMOU-1526-SM-CL54I 60-69 years, female 160.6
GTEX-ZVT4-0126-SM-DTXFN 50-59 years, female 160.5
GTEX-14E6C-0126-SM-5RQIP 40-49 years, male 160.2
GTEX-145MF-0626-SM-5LUAI 50-59 years, male 159.9
GTEX-15ER7-0326-SM-7KUEV 20-29 years, female 159.9
GTEX-131YS-0126-SM-5KM1M 60-69 years, female 159.5
GTEX-183FY-0126-SM-7LT9P 20-29 years, male 159.0
GTEX-UPJH-0326-SM-3GADU 50-59 years, male 159.0
GTEX-1R9K4-0126-SM-DTX9X 60-69 years, male 158.9
GTEX-1QMI2-0226-SM-EVYBX 60-69 years, male 158.6
GTEX-1S82Z-0826-SM-E6CHY 30-39 years, female 158.3
GTEX-11WQK-0526-SM-5EQLD 50-59 years, male 158.2
GTEX-RM2N-1426-SM-2TF4H 50-59 years, male 157.7
GTEX-1HKZK-0326-SM-9WYUH 40-49 years, male 157.5
GTEX-148VJ-0126-SM-5TDDN 70-79 years, male 157.1
GTEX-11P82-1626-SM-59879 20-29 years, male 155.8
GTEX-11GSP-2526-SM-5N9BP 60-69 years, female 155.6
GTEX-11ZUS-0626-SM-59885 30-39 years, male 155.5
GTEX-1JMQJ-0526-SM-CYPSU 50-59 years, male 155.3
GTEX-1JJE9-0326-SM-CL53Z 70-79 years, male 155.0
GTEX-1H4P4-0726-SM-9YFLR 50-59 years, male 154.8
GTEX-ZZPT-0226-SM-5E43X 50-59 years, male 154.2
GTEX-14LLW-0126-SM-6LLIO 70-79 years, female 154.1
GTEX-PLZ4-0126-SM-5SI8O 50-59 years, female 154.1
GTEX-ZDTT-2726-SM-4WKF8 60-69 years, male 154.1
GTEX-1GN1W-0526-SM-9MQJQ 50-59 years, female 153.9
GTEX-XQ3S-1526-SM-4BOOC 20-29 years, male 153.7
GTEX-13QJ3-0326-SM-5S2RA 50-59 years, male 153.6
GTEX-QDT8-0126-SM-48TZ1 30-39 years, female 153.0
GTEX-1CB4F-0426-SM-9KNV4 60-69 years, male 152.8
GTEX-145LT-1726-SM-5QGP3 40-49 years, male 152.7
GTEX-1LB8K-0226-SM-EWRNW 50-59 years, male 152.7
GTEX-16YQH-0126-SM-7DUFJ 30-39 years, male 152.6
GTEX-ZQUD-1426-SM-57WER 30-39 years, male 152.6
GTEX-XV7Q-2526-SM-4BRV9 40-49 years, female 152.2
GTEX-1AX9I-0126-SM-7SB74 60-69 years, male 152.2
GTEX-1B8L1-2526-SM-9WYTF 60-69 years, male 151.7
GTEX-RNOR-0126-SM-E9J4R 50-59 years, female 151.6
GTEX-1F5PL-0326-SM-7P8PQ 40-49 years, female 151.3
GTEX-U3ZN-2326-SM-3DB7W 30-39 years, female 151.0
GTEX-13JUV-2726-SM-5LZZ8 40-49 years, female 150.9
GTEX-QEG4-0226-SM-2S1PY 30-39 years, male 150.4
GTEX-1LG7Y-0526-SM-DKPQC 50-59 years, male 150.4
GTEX-1HCU8-0626-SM-A9SM9 60-69 years, female 150.2
GTEX-ZC5H-0226-SM-4WAY9 40-49 years, female 150.1
GTEX-SIU8-0126-SM-2XCDT 50-59 years, male 149.8
GTEX-12WSD-0126-SM-59HKN 60-69 years, female 149.7
GTEX-1IOXB-0126-SM-ARL8G 50-59 years, male 149.7
GTEX-1J8Q3-1626-SM-CMKGC 60-69 years, male 149.6
GTEX-148VI-1626-SM-5SI6E 60-69 years, female 149.5
GTEX-147F4-0226-SM-5QGPW 50-59 years, male 148.8
GTEX-RWS6-2026-SM-2XCB5 60-69 years, female 148.8
GTEX-1PIIG-0226-SM-EWRN6 30-39 years, male 148.7
GTEX-13FHP-0126-SM-5IJBG 50-59 years, male 148.3
GTEX-17MFQ-1726-SM-793C7 20-29 years, male 148.2
GTEX-1GPI6-0126-SM-9WG69 60-69 years, male 148.2
GTEX-17EVP-0326-SM-7DHLG 40-49 years, male 148.0
GTEX-1GN2E-0426-SM-9MQKX 60-69 years, male 147.4
GTEX-111VG-2426-SM-5GZXD 60-69 years, male 147.2
GTEX-Y8LW-1826-SM-5S2MV 50-59 years, female 147.0
GTEX-1269C-2526-SM-5EGJ3 60-69 years, female 146.8
GTEX-ZAK1-0126-SM-5IJD3 50-59 years, female 146.2
GTEX-14E6D-0126-SM-62LDV 50-59 years, male 146.1
GTEX-T2IS-0126-SM-4DM6O 20-29 years, female 146.0
GTEX-16GPK-0126-SM-7DHLE 60-69 years, male 145.9
GTEX-1A3MW-0126-SM-73KXX 60-69 years, female 145.9
GTEX-17HII-0226-SM-7LG4E 50-59 years, male 145.8
GTEX-139TU-0126-SM-5K7WH 60-69 years, male 145.5
GTEX-18A66-0226-SM-718BD 60-69 years, male 145.2
GTEX-1O97I-0326-SM-EYYX7 60-69 years, male 144.8
GTEX-QDVN-2026-SM-3GAEP 50-59 years, male 144.7
GTEX-Q734-1926-SM-2I5EV 40-49 years, female 144.1
GTEX-117YW-2626-SM-5GZZH 50-59 years, male 143.8
GTEX-1LBAC-0126-SM-DIPEZ 20-29 years, male 143.5
GTEX-1IKOH-0226-SM-COH4E 60-69 years, female 143.2
GTEX-QLQW-1126-SM-2S1Q8 30-39 years, male 143.1
GTEX-13OW7-0126-SM-5MR3B 50-59 years, male 142.9
GTEX-14PJM-0226-SM-62LF1 50-59 years, female 142.7
GTEX-11EMC-2926-SM-5EQ4F 60-69 years, female 142.4
GTEX-1313W-0126-SM-5LZUN 50-59 years, female 142.3
GTEX-1AX9K-2326-SM-73KWU 50-59 years, male 141.8
GTEX-Z93T-0126-SM-5HL5N 50-59 years, male 141.5
GTEX-ZAB5-1826-SM-5HL7C 50-59 years, male 141.5
GTEX-16NPX-0226-SM-79OMT 50-59 years, male 141.4
GTEX-1E1VI-0126-SM-7DHMZ 50-59 years, male 141.4
GTEX-WOFL-0126-SM-3MJG2 60-69 years, male 141.4
GTEX-113JC-2326-SM-5EQ4E 50-59 years, female 141.1
GTEX-14BMV-0126-SM-5S2PO 50-59 years, male 141.0
GTEX-1KD4Q-0226-SM-E9TJ9 40-49 years, male 141.0
GTEX-18A6Q-0126-SM-731BZ 60-69 years, male 140.9
GTEX-1GF9U-2126-SM-7SB7L 40-49 years, female 140.8
GTEX-1HR98-0126-SM-B2LWI 60-69 years, male 140.8
GTEX-13N2G-2626-SM-5J1OT 60-69 years, male 140.7
GTEX-1GF9V-0326-SM-7RHI5 60-69 years, male 140.6
GTEX-VUSG-2526-SM-4KL1V 50-59 years, male 140.5
GTEX-ZYW4-0126-SM-5E44A 60-69 years, male 140.5
GTEX-1QP29-0626-SM-EWRMX 50-59 years, male 140.5
GTEX-117XS-2726-SM-5N9BL 60-69 years, male 140.4
GTEX-1C64N-0126-SM-793D7 50-59 years, male 140.3
GTEX-1C2JI-1826-SM-73KXC 50-59 years, male 140.2
GTEX-14JG1-0426-SM-6ETZZ 40-49 years, male 140.0
GTEX-139UW-2826-SM-5L3E7 60-69 years, male 139.9
GTEX-YJ89-0126-SM-4TT3X 60-69 years, male 139.8
GTEX-1IL2V-0126-SM-CM2TX 70-79 years, male 139.8
GTEX-P44H-0226-SM-2XCEU 40-49 years, male 139.6
GTEX-13N1W-0126-SM-5K7VT 70-79 years, male 139.5
GTEX-12WSE-0526-SM-793B2 20-29 years, male 139.0
GTEX-ZVE2-0226-SM-59HJB 50-59 years, male 138.6
GTEX-PW2O-1526-SM-7RHHB 20-29 years, male 138.0
GTEX-1B933-0126-SM-7PC29 50-59 years, female 137.8
GTEX-11ZU8-2526-SM-5EQKI 60-69 years, male 137.6
GTEX-14PHW-0126-SM-6LLJI 60-69 years, female 137.5
GTEX-1KANB-0526-SM-E6CJH 50-59 years, male 137.5
GTEX-TML8-1926-SM-32QOS 40-49 years, female 136.9
GTEX-11O72-0126-SM-59887 40-49 years, male 136.4
GTEX-14BIL-0126-SM-5SI92 50-59 years, male 136.1
GTEX-1EX96-1626-SM-7PBXR 50-59 years, male 136.1
GTEX-1KD5A-0226-SM-D5OV3 50-59 years, male 136.1
GTEX-OIZG-0726-SM-33HBL 50-59 years, male 135.8
GTEX-ZF28-0126-SM-4WKGK 60-69 years, male 135.6
GTEX-1MCQQ-0826-SM-DLHC2 60-69 years, male 135.5
GTEX-13U4I-0126-SM-5LU38 40-49 years, female 135.4
GTEX-1J8JJ-0226-SM-CL53I 60-69 years, female 135.2
GTEX-11XUK-2026-SM-5EQLF 40-49 years, female 135.1
GTEX-ZYFC-0226-SM-5NQ75 50-59 years, male 134.9
GTEX-1CB4G-0226-SM-7PC3O 60-69 years, male 134.5
GTEX-11NUK-0126-SM-5A5L3 50-59 years, male 134.4
GTEX-RWSA-0126-SM-2XCBB 40-49 years, male 134.4
GTEX-SNMC-1226-SM-2XCFP 20-29 years, male 134.4
GTEX-111FC-0126-SM-5N9DL 60-69 years, male 134.1
GTEX-13FTY-0526-SM-5L3EV 40-49 years, female 133.8
GTEX-S7SE-0126-SM-2XCD5 50-59 years, male 133.8
GTEX-ZDTS-0126-SM-4WAY5 60-69 years, male 133.8
GTEX-12ZZZ-0626-SM-5DUXI 60-69 years, male 133.6
GTEX-147GR-0526-SM-5S2MY 60-69 years, male 133.4
GTEX-QCQG-1726-SM-3GIJ9 50-59 years, female 133.0
GTEX-12ZZX-0126-SM-5EGK9 40-49 years, female 132.9
GTEX-11GS4-2726-SM-5A5LE 60-69 years, male 132.8
GTEX-1GMRU-0126-SM-9YFLV 50-59 years, male 132.8
GTEX-1B8SF-1426-SM-7DUGL 60-69 years, male 132.7
GTEX-1A8FM-0226-SM-7SB7Q 50-59 years, female 132.3
GTEX-16XZY-2126-SM-79OK1 70-79 years, male 132.2
GTEX-13X6J-0126-SM-5QGOU 50-59 years, male 131.9
GTEX-1PBJI-0526-SM-E8VNK 20-29 years, female 131.8
GTEX-1399T-2826-SM-5KLYZ 60-69 years, male 131.4
GTEX-13OW8-1326-SM-5J1OW 60-69 years, male 131.2
GTEX-Y5V5-2326-SM-4V6GA 60-69 years, female 131.1
GTEX-1QW4Y-1526-SM-EAZ3Z 30-39 years, male 130.7
GTEX-ZVT3-0126-SM-5GU6I 60-69 years, female 130.6
GTEX-1B8KZ-2026-SM-7DHMB 50-59 years, male 130.4
GTEX-14BIN-0626-SM-793DP 50-59 years, female 130.3
GTEX-QDVJ-1726-SM-2I5FX 50-59 years, male 130.1
GTEX-1F6I4-0126-SM-9MQL2 60-69 years, male 129.8
GTEX-13FHO-0226-SM-5IFGY 60-69 years, male 129.7
GTEX-17F97-0326-SM-7LG5B 50-59 years, male 129.7
GTEX-11DXY-2626-SM-5GIE7 60-69 years, male 129.1
GTEX-1MJK2-0426-SM-DTXE5 50-59 years, male 128.8
GTEX-15G19-0126-SM-6PANQ 60-69 years, male 128.7
GTEX-1H11D-0226-SM-9WG6Z 40-49 years, male 128.7
GTEX-1LNCM-1126-SM-E9U5E 50-59 years, female 128.7
GTEX-11OF3-2626-SM-5GU7F 60-69 years, male 128.6
GTEX-13NYB-2526-SM-5K7Z6 40-49 years, male 128.6
GTEX-1C6VR-2426-SM-79OLD 60-69 years, male 128.6
GTEX-Z9EW-1626-SM-5CVMN 40-49 years, male 128.5
GTEX-1212Z-2526-SM-5EGKP 60-69 years, male 128.2
GTEX-1IE54-0126-SM-CMKHW 40-49 years, female 128.0
GTEX-WYVS-2126-SM-3NMA3 40-49 years, female 127.5
GTEX-1F75A-0126-SM-7RHGM 50-59 years, male 126.8
GTEX-ZEX8-2426-SM-4WKG4 50-59 years, male 126.6
GTEX-1GZ2Q-0226-SM-7P8TL 40-49 years, male 126.5
GTEX-R55E-0126-SM-2TC5Y 20-29 years, male 126.4
GTEX-1EWIQ-0126-SM-7RHH2 70-79 years, female 126.4
GTEX-1JJEA-0326-SM-CNPOT 60-69 years, male 125.9
GTEX-17HG3-2226-SM-7938L 30-39 years, female 125.8
GTEX-OXRP-0126-SM-3NB32 60-69 years, female 125.8
GTEX-13112-2826-SM-5DUWH 50-59 years, male 125.7
GTEX-U3ZH-2026-SM-3DB78 30-39 years, male 125.3
GTEX-12KS4-0326-SM-5EQ41 30-39 years, male 125.2
GTEX-17HHY-0126-SM-7LG5D 50-59 years, male 125.1
GTEX-1BAJH-0526-SM-793CQ 70-79 years, male 124.9
GTEX-15SHW-0326-SM-6PAML 60-69 years, male 124.4
GTEX-YFC4-0126-SM-5CVLY 40-49 years, female 124.0
GTEX-18A7A-0226-SM-718BH 50-59 years, female 123.9
GTEX-17KNJ-2326-SM-7DHLQ 50-59 years, male 123.6
GTEX-ZE9C-2726-SM-57WB5 60-69 years, male 123.5
GTEX-145LS-0126-SM-5QGP1 60-69 years, female 123.2
GTEX-1I19N-0326-SM-ACKVX 70-79 years, male 122.7
GTEX-R3RS-0126-SM-3GIJL 40-49 years, female 122.2
GTEX-Q2AH-1626-SM-3GAF8 40-49 years, male 122.0
GTEX-1GN1V-0126-SM-9WPOS 60-69 years, male 122.0
GTEX-12WSC-0126-SM-5EQ4P 50-59 years, male 121.9
GTEX-1E2YA-0126-SM-9KNUC 50-59 years, male 121.5
GTEX-15SDE-2226-SM-7IGLO 50-59 years, female 121.4
GTEX-1F7RK-0126-SM-7PC2S 20-29 years, female 121.1
GTEX-13NZA-0226-SM-5K7Z7 60-69 years, male 120.4
GTEX-14A6H-0126-SM-5QGPK 30-39 years, male 120.3
GTEX-1IGQW-0126-SM-COH42 60-69 years, male 120.2
GTEX-1EU9M-0226-SM-7P8SP 60-69 years, male 120.0
GTEX-1HT8W-0126-SM-CNPPP 30-39 years, male 120.0
GTEX-1192W-2626-SM-5Q5AF 60-69 years, male 118.4
GTEX-1AYD5-2426-SM-73KXR 50-59 years, male 117.6
GTEX-15DCD-0126-SM-7KUEK 70-79 years, female 117.4
GTEX-14DAQ-0126-SM-5S2MQ 60-69 years, female 117.0
GTEX-RN64-0126-SM-2TC68 50-59 years, male 117.0
GTEX-OIZF-0126-SM-7SB8I 60-69 years, male 115.4
GTEX-13OVL-0226-SM-5L3E9 50-59 years, male 115.2
GTEX-17HGU-0226-SM-7DHKV 50-59 years, male 114.7
GTEX-14LZ3-0226-SM-62LET 60-69 years, female 114.6
GTEX-1HSKV-0226-SM-A9SKJ 60-69 years, male 114.6
GTEX-1I1GQ-0126-SM-COH3H 50-59 years, male 113.6
GTEX-144GL-0126-SM-5TDE2 50-59 years, male 113.4
GTEX-ZYT6-0226-SM-5NQ6T 30-39 years, male 113.2
GTEX-V1D1-2226-SM-3NMAX 50-59 years, male 113.1
GTEX-1HBPI-1526-SM-C1YQ1 50-59 years, male 113.0
GTEX-13VXU-0126-SM-5SI9F 50-59 years, male 112.8
GTEX-1C6WA-0126-SM-7PC2B 60-69 years, male 112.8
GTEX-17JCI-0126-SM-7LG5G 60-69 years, female 112.7
GTEX-11UD2-0226-SM-5EQKY 50-59 years, male 112.4
GTEX-1I1GR-0126-SM-CL55F 60-69 years, male 112.4
GTEX-11WQC-2526-SM-5CVLE 60-69 years, male 111.1
GTEX-XMD2-0126-SM-4YCDU 60-69 years, female 110.9
GTEX-Y8E4-0626-SM-4WWDL 40-49 years, male 110.6
GTEX-1F6IF-0726-SM-7P8TW 60-69 years, male 110.0
GTEX-VJWN-0126-SM-3GIK7 50-59 years, female 109.0
GTEX-WZTO-0126-SM-3NM95 40-49 years, male 109.0
GTEX-1MA7X-2226-SM-E6CIY 60-69 years, male 107.8
GTEX-14E7W-0126-SM-6LLJ9 70-79 years, male 107.5
GTEX-13OVG-1926-SM-5L3DK 60-69 years, male 106.3
GTEX-14BIM-0226-SM-7IGLD 60-69 years, female 106.2
GTEX-X638-0126-SM-47JZ8 70-79 years, female 105.3
GTEX-1C6VS-0526-SM-7DUEN 60-69 years, male 104.9
GTEX-1RAZQ-0726-SM-EAZ43 30-39 years, male 104.8
GTEX-12ZZY-0226-SM-5LZVE 60-69 years, male 104.7
GTEX-1IY9M-0126-SM-D3L8S 60-69 years, male 104.2
GTEX-1POEN-0126-SM-EYYXJ 30-39 years, female 104.2
GTEX-1A32A-0126-SM-718B1 50-59 years, female 103.8
GTEX-13OW6-0426-SM-5L3HM 50-59 years, male 103.5
GTEX-139TT-0126-SM-5K7Y5 60-69 years, male 103.0
GTEX-XUYS-0126-SM-47JWZ 50-59 years, male 102.3
GTEX-1HUB1-0426-SM-E9U4U 60-69 years, male 100.6
GTEX-15DYW-0126-SM-7KULE 60-69 years, female 100.4
GTEX-12WSG-2826-SM-E9J4H 50-59 years, female 100.4
GTEX-11DXW-0226-SM-5H122 40-49 years, male 99.9
GTEX-1EKGG-0226-SM-9WYTH 60-69 years, male 99.3
GTEX-1EN7A-0126-SM-7SB81 40-49 years, male 97.5
GTEX-13RTL-0126-SM-7LG5S 40-49 years, male 97.1
GTEX-13SLX-0526-SM-5S2ON 50-59 years, female 96.3
GTEX-1I1HK-0126-SM-COH49 60-69 years, male 96.2
GTEX-VJYA-1126-SM-3GIJU 60-69 years, male 95.4
GTEX-146FR-1326-SM-E9J48 60-69 years, female 94.4
GTEX-ZUA1-0126-SM-5GU76 40-49 years, male 94.3
GTEX-1RQEC-0426-SM-E6CHU 60-69 years, male 93.1
GTEX-1I1CD-0126-SM-CM2TK 60-69 years, female 91.3
GTEX-18465-0126-SM-731BN 50-59 years, male 91.1
GTEX-1HBPH-0426-SM-B2LW5 40-49 years, female 88.6
GTEX-15EOM-0126-SM-7KUGG 20-29 years, female 88.0
GTEX-14ABY-0226-SM-5TDCQ 50-59 years, male 87.8
GTEX-Q2AG-0126-SM-33HBV 40-49 years, female 87.8
GTEX-1QP67-1626-SM-EAZ3X 40-49 years, female 87.5
GTEX-1F88F-2726-SM-7PBZZ 60-69 years, female 87.2
GTEX-11EI6-0126-SM-5985R 60-69 years, male 87.1
GTEX-SJXC-0126-SM-2XCFF 60-69 years, male 86.6
GTEX-145LU-0126-SM-5TDCB 50-59 years, male 86.2
GTEX-1IDFM-0126-SM-COH2V 60-69 years, male 85.6
GTEX-SSA3-0126-SM-32QPU 60-69 years, male 84.7
GTEX-ZDXO-3026-SM-5J1N5 60-69 years, male 83.6
GTEX-14JIY-0126-SM-6LLH6 60-69 years, male 79.3
GTEX-12WSN-5019-SM-79OM6 40-49 years, male 78.8
GTEX-PVOW-0126-SM-2XCFA 40-49 years, male 78.3
GTEX-1QEPI-0126-SM-EWRMQ 60-69 years, female 77.1
GTEX-113IC-0126-SM-5HL6T 60-69 years, male 76.3
GTEX-1OJC4-0126-SM-E9J2E 50-59 years, female 69.7
GTEX-SE5C-1626-SM-2XCE3 40-49 years, female 44.4
Show allShow less

Contact

  • NEWS ARTICLES
  • PRESS ROOM

The Project

  • INTRODUCTION
  • ORGANIZATION
  • PUBLICATIONS

The Human Protein Atlas

  • DOWNLOADABLE DATA
  • LICENCE & CITATION
  • HELP & FAQ
The Human Protein Atlas project is funded
by the Knut & Alice Wallenberg Foundation.


contact@proteinatlas.org