We use cookies to enhance the usability of our website. If you continue, we'll assume that you are happy to receive all cookies. More information. Don't show this again.
ITGB4
HPA
RESOURCES
  • TISSUE
  • BRAIN
  • SINGLE CELL
  • SUBCELLULAR
  • CANCER
  • BLOOD
  • CELL LINE
  • STRUCTURE & INTERACTION
ABOUT
  • INTRODUCTION
  • HISTORY
  • ORGANIZATION
  • PUBLICATIONS
  • ANTIBODY SUBMISSION
  • ANTIBODY AVAILABILITY
  • ACKNOWLEDGMENTS
  • CONTACT
NEWS
  • NEWS ARTICLES
  • PRESS ROOM
LEARN
  • DICTIONARY
  • PROTEIN CLASSES
  • PROTEIN EVIDENCE
  • METHODS
  • EDUCATIONAL VIDEOS
DATA
  • DOWNLOADABLE DATA
  • PUBLICATION DATA
  • RELEASE HISTORY
HELP
  • ANTIBODY VALIDATION
  • ASSAYS & ANNOTATION
  • DISCLAIMER
  • HELP & FAQ
  • PRIVACY STATEMENT
  • LICENCE & CITATION
Fields »
Search result

Field
Term
Gene name
Class
Subclass
Class
Keyword
Chromosome
External id
Tissue
Cell type
Expression
Antibody panel
Tissue
Main location
Patient ID
Annotation
Tissue
Category
Tau score
Cluster
Reliability
Brain region
Category
Tau score
Brain region
Category
Tau score
Brain region
Category
Tau score
Cluster
Reliability
Tissue
Cell type
Enrichment
Cell type
Category
Tau score
Cell type
Category
Tau score
Cell type
Category
Tau score
Cell lineage
Category
Tau score
Cluster
Cluster
Location
Searches
Location
Cell line
Class
Type
Phase
Reliability
Cancer
Prognosis
Cancer
Category
Cancer
Category
Tau score
Cluster
Variants
Interacting gene (ensg_id)
Type
Number of interactions
Pathway
Category
Score
Score
Score
Validation
Validation
Validation
Validation
Antibodies
Data type
Column


  • SUMMARY

  • TISSUE

  • BRAIN

  • SINGLE CELL

  • SUBCELL

  • CANCER

  • BLOOD

  • CELL LINE

  • STRUCT & INT

  • ITGB4
TISSUE PRIMARY DATA ESOPHAGUS Show tissue menu
ADIPOSE TISSUE ADRENAL GLAND AMYGDALA APPENDIX BASAL GANGLIA BONE MARROW BREAST BRONCHUS CEREBELLUM CEREBRAL CORTEX CERVIX CHOROID PLEXUS COLON DUODENUM
ENDOMETRIUM EPIDIDYMIS ESOPHAGUS FALLOPIAN TUBE GALLBLADDER HEART MUSCLE HIPPOCAMPAL FORMATION HYPOTHALAMUS KIDNEY LIVER LUNG LYMPH NODE MIDBRAIN NASOPHARYNX
ORAL MUCOSA OVARY PANCREAS PARATHYROID GLAND PITUITARY GLAND PLACENTA PROSTATE RECTUM RETINA SALIVARY GLAND SEMINAL VESICLE SKELETAL MUSCLE SKIN SMALL INTESTINE
SMOOTH MUSCLE SOFT TISSUE SPINAL CORD SPLEEN STOMACH TESTIS THYMUS THYROID GLAND TONGUE TONSIL URINARY BLADDER VAGINA
ANTIBODIES
AND
VALIDATION
Dictionary
Esophagus
Tissue proteome
Esophagus
ESOPHAGUS - Expression summary
Protein expression
Esophagusi

On the top, protein expression in current human tissue, based on all annotated cell types, is reported with the units not detected (n), low (l), medium (m) and high (h). Underneath, protein expression in each annotated cell type are reported using the same units.

Protein expression data is based on knowledge-based annotation. For genes where more than one antibody has been used, a collective score is set.

If knowledge-based annotation could not be performed for a gene, no data is displayed here. View antibody staining data further down this page.

h
m
l
n
Squamous epithelial cells: Not detected
RNA expressioni

A summary of mRNA expression data available for current tissue based on several datasets. The mRNA expression levels in human tissues are based on RNA-seq data generated by the Human Protein Atlas (HPA), Genotype-Tissue Expression (GTEx) portal and CAGE data generated by the FANTOM5 consortium. Consensus normalized expression levels for human tissues was created by combining the data from HPA and GTEx datasets.

The mRNA expression levels in pig are based on RNA-seq data generated by the Human Protein Atlas (HPA), and for mouse, HPA data and in situ hybridization generated by the Allen brain atlas are reported.

Scroll down to view mRNA expression data in more detail.
Consensus:98.4 nTPM
HPA:19.6 nTPM
GTEx:98.4 nTPM
FANTOM5:95.3 Scaled Tags Per Million

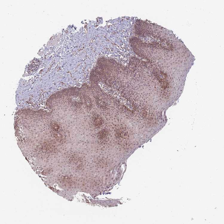
ESOPHAGUS - Antibody stainingi

Antibody staining in the annotated cell types in the current human tissue is reported as not detected, low, medium, or high, based on conventional immunohistochemistry profiling in selected tissues. This score is based on the combination of the staining intensity and fraction of stained cells.

Each image is clickable and will lead to virtual microscopy that enables deeper exploration of all samples and also displays staining intensity scores, fraction scores and subcellular localization as well as patient and tissue information for each sample.

Antibody HPA036348Antibody HPA036349Antibody CAB002422Antibody CAB005258
Squamous epithelial cells MediumMediumNot detectedNot detected






ESOPHAGUS - HPA RNA-seqi

The RNA-seq details section shows detailed information about the individual samples used for the transcript profiling and results of the RNA-seq analysis.

Information about each individual sample is listed below, including gender, age, a tissue section image and estimated fractions of cell types. nTPM (normalized transcripts per million) values give a quantification of the gene abundance which is comparable between different genes and samples.
Average nTPMi

Max subtype nTPM is the value for the subtype with the largest average nTPM across the subtype samples.

19.6
overview
Female, age 70
Esophagus sample 130
nTPM: 19.2
Cell types%
Squamous epithelial cells:
35

Smooth muscle cells:
15

Skeletal muscle cells:
5

Other cell types:
45

overview
Male, age 38
Esophagus sample 131
nTPM: 13
Cell types%
Squamous epithelial cells:
60

Smooth muscle cells:
20

Other cell types:
20

overview
Male, age 76
Esophagus sample 132
nTPM: 26.5
Cell types%
Squamous epithelial cells:
45

Smooth muscle cells:
15

Other cell types:
40


ESOPHAGUS - GTEx RNA-seqi

RNA-Seq data generated by the Genotype-Tissue Expression (GTEx) project from human tissues is reported as mean nTPM. More information can be found on the GTEx portal.

Distribution across the dataset is visualized with box plots, shown as median and 25th and 75th percentiles. Points are displayed as outliers if they are above or below 1.5 times the interquartile range. nTPM values of the individual samples are presented next to the box plot.
Max subtype nTPMi

Max subtype nTPM is the value for the subtype with the largest average nTPM across the subtype samples.

98.4
GTEx sample id Sample description nTPM
Esophagus - Mucosa
Average nTPM: 98.4
Samples: 555

Max nTPM: 315.7
Min nTPM: 35.1
Std nTPM: 36.5
Median nTPM: 89.7
GTEX-1I1GP-1026-SM-C1YRZ 50-59 years, male 315.7
GTEX-1AX8Z-5016-SM-AHZ2B 60-69 years, male 272.8
GTEX-12ZZW-1726-SM-5DUVD 50-59 years, male 261.7
GTEX-1RLM8-0726-SM-E6CRH 50-59 years, male 231.1
GTEX-15UF6-2326-SM-6M465 70-79 years, female 226.0
GTEX-1C6VQ-1826-SM-7EWEH 50-59 years, male 223.5
GTEX-RUSQ-0826-SM-47JWW 50-59 years, male 222.4
GTEX-1KANB-1826-SM-DHXJU 50-59 years, male 215.8
GTEX-ZV68-0926-SM-59HK7 50-59 years, female 207.4
GTEX-1JMLX-2326-SM-CXZJP 50-59 years, male 204.4
GTEX-145MF-1426-SM-5O9B6 50-59 years, male 202.0
GTEX-15EO6-1026-SM-7KUG9 50-59 years, male 200.5
GTEX-17F97-1326-SM-7MGVO 50-59 years, male 196.4
GTEX-1JMQK-2026-SM-C1YQN 60-69 years, male 194.9
GTEX-132Q8-1826-SM-5EGIY 60-69 years, male 193.4
GTEX-144FL-2726-SM-5O98Z 50-59 years, male 190.7
GTEX-1B933-2026-SM-7EWFC 50-59 years, female 185.7
GTEX-11GSP-1826-SM-5N9DQ 60-69 years, female 182.7
GTEX-132AR-2226-SM-5J2NT 50-59 years, female 182.7
GTEX-15DCD-1626-SM-6AJBH 70-79 years, female 181.8
GTEX-145ME-5004-SM-7MGXP 40-49 years, female 180.9
GTEX-13O1R-1326-SM-5IJF5 60-69 years, male 180.0
GTEX-1LVA9-2126-SM-DLHBY 50-59 years, male 179.0
GTEX-1M5QR-0726-SM-DHXK7 40-49 years, male 177.9
GTEX-T2YK-1326-SM-4DM6S 50-59 years, male 175.8
GTEX-QVUS-0626-SM-447CC 60-69 years, female 171.1
GTEX-18465-1126-SM-7LG6E 50-59 years, male 169.8
GTEX-R45C-1226-SM-48FEE 60-69 years, female 169.0
GTEX-13X6I-1026-SM-5LU4C 60-69 years, male 168.1
GTEX-1EN7A-1226-SM-7MGX9 40-49 years, male 167.6
GTEX-1269C-1026-SM-5N9EY 60-69 years, female 167.4
GTEX-WOFM-0626-SM-4OOS3 20-29 years, male 167.4
GTEX-11ZU8-1526-SM-5EGHX 60-69 years, male 165.8
GTEX-1BAJH-2026-SM-7P8OZ 70-79 years, male 165.2
GTEX-U8XE-1726-SM-4E3IF 30-39 years, male 164.9
GTEX-1HBPM-1426-SM-9WPPE 60-69 years, female 164.7
GTEX-11DZ1-2026-SM-5A5KG 50-59 years, male 164.4
GTEX-14BIM-1326-SM-7EWD1 60-69 years, female 164.2
GTEX-NPJ8-1926-SM-3MJGB 40-49 years, male 162.7
GTEX-S3XE-0926-SM-4AD4S 50-59 years, male 160.3
GTEX-1E1VI-1526-SM-7IGQ2 50-59 years, male 159.3
GTEX-1CB4J-2426-SM-7MXVC 60-69 years, male 159.2
GTEX-ZZPT-1426-SM-5N9C5 50-59 years, male 158.6
GTEX-YECK-1626-SM-5IFHQ 60-69 years, male 157.3
GTEX-13FLV-1126-SM-5J2NO 50-59 years, male 154.8
GTEX-13JVG-2026-SM-5KM1N 60-69 years, male 154.6
GTEX-XLM4-2326-SM-4AT5E 60-69 years, male 154.0
GTEX-13NYB-0926-SM-5IFFA 40-49 years, male 152.9
GTEX-13OVJ-1226-SM-5L3HA 50-59 years, female 149.6
GTEX-13OVI-2626-SM-5KM4T 60-69 years, female 149.2
GTEX-14C38-2126-SM-5RQJO 50-59 years, male 147.3
GTEX-1HCU7-2126-SM-A96SG 50-59 years, male 146.2
GTEX-1CB4H-1526-SM-7MXU4 60-69 years, female 144.6
GTEX-13QJ3-1726-SM-5RQK9 50-59 years, male 144.5
GTEX-14PJ5-0526-SM-664OE 60-69 years, female 144.2
GTEX-15EOM-5013-SM-7MKF9 20-29 years, female 143.6
GTEX-1H23P-1426-SM-9JGH5 60-69 years, male 142.5
GTEX-1CAMQ-2726-SM-7MKGD 40-49 years, male 141.8
GTEX-1HCU8-2226-SM-9WPOV 60-69 years, female 141.3
GTEX-1LB8K-1326-SM-CXZKB 50-59 years, male 140.6
GTEX-17HII-1526-SM-9OSVD 50-59 years, male 140.3
GTEX-1HFI6-1226-SM-A96SK 40-49 years, male 140.2
GTEX-1GMR8-1826-SM-9WYUE 50-59 years, female 140.1
GTEX-13X6H-1326-SM-5LU42 50-59 years, female 139.4
GTEX-16XZY-0926-SM-7938M 70-79 years, male 139.2
GTEX-X4XY-1726-SM-46MVO 60-69 years, male 138.4
GTEX-183WM-1726-SM-7KFT5 70-79 years, female 138.1
GTEX-TSE9-1226-SM-4DXTM 60-69 years, female 137.2
GTEX-11DYG-1326-SM-5N9DO 60-69 years, male 136.2
GTEX-REY6-1326-SM-48FDO 60-69 years, male 136.0
GTEX-WHWD-0926-SM-4OORY 50-59 years, male 136.0
GTEX-WVLH-1426-SM-4MVNX 50-59 years, male 135.8
GTEX-1H3VY-2026-SM-9JGHK 50-59 years, male 135.8
GTEX-1LSNL-2226-SM-DHXKM 50-59 years, male 135.8
GTEX-14BMU-0926-SM-5S2QB 20-29 years, female 135.7
GTEX-1EH9U-2426-SM-7EWFG 60-69 years, male 134.7
GTEX-14PJ6-1026-SM-686ZB 60-69 years, female 134.5
GTEX-QEG5-1426-SM-447AS 20-29 years, male 133.6
GTEX-11TT1-0526-SM-5P9JO 20-29 years, male 133.1
GTEX-14PK6-1326-SM-686ZE 70-79 years, female 133.0
GTEX-1497J-2726-SM-5SI9W 60-69 years, male 132.5
GTEX-17F96-2526-SM-7DHL3 70-79 years, male 132.5
GTEX-R55D-1126-SM-48FEB 50-59 years, male 131.8
GTEX-ZTX8-0226-SM-5E44D 20-29 years, male 131.4
GTEX-1LSVX-1226-SM-DHXJN 60-69 years, male 131.0
GTEX-131XE-1426-SM-5HL7V 50-59 years, male 130.8
GTEX-13PVQ-1726-SM-5IFF3 50-59 years, male 130.7
GTEX-144GO-2726-SM-5O9A2 60-69 years, male 130.7
GTEX-145MN-1026-SM-5NQ9G 30-39 years, male 129.4
GTEX-1R9K4-1926-SM-DPRZW 60-69 years, male 129.4
GTEX-17EVQ-1926-SM-7IGOF 70-79 years, male 128.8
GTEX-Y111-1626-SM-57WCY 50-59 years, male 128.8
GTEX-ZVP2-1326-SM-57WCE 50-59 years, male 128.8
GTEX-ZYW4-1326-SM-5E45N 60-69 years, male 128.7
GTEX-1HGF4-0926-SM-9WPP8 60-69 years, male 128.7
GTEX-1KAFJ-0626-SM-D3L8X 50-59 years, male 127.8
GTEX-13FHO-1726-SM-DPRZX 60-69 years, male 126.7
GTEX-1HC8U-1526-SM-9WPO4 40-49 years, female 124.8
GTEX-1AX9I-1426-SM-7DHM8 60-69 years, male 124.5
GTEX-1I6K7-1426-SM-B2LXP 40-49 years, male 123.6
GTEX-1HSGN-1626-SM-A96U2 40-49 years, female 123.5
GTEX-111YS-0926-SM-5EGGI 60-69 years, male 123.2
GTEX-X62O-2226-SM-46MW3 50-59 years, male 123.0
GTEX-1LG7Y-1726-SM-EV7AR 50-59 years, male 123.0
GTEX-1F75I-1726-SM-7MKGW 40-49 years, male 122.7
GTEX-11EMC-2226-SM-5A5JW 60-69 years, female 122.5
GTEX-148VJ-1026-SM-5LU98 70-79 years, male 122.5
GTEX-WH7G-0926-SM-4LVMJ 40-49 years, male 121.9
GTEX-13O61-0926-SM-5IFFE 60-69 years, male 121.6
GTEX-ZC5H-1326-SM-5HL7E 40-49 years, female 121.5
GTEX-15DCE-1326-SM-6LPJL 20-29 years, male 121.0
GTEX-X585-1226-SM-46MW7 50-59 years, male 120.9
GTEX-131XF-0826-SM-5GICG 60-69 years, male 120.5
GTEX-1F5PL-1726-SM-9QEGL 40-49 years, female 120.5
GTEX-11TUW-1326-SM-5EQKV 60-69 years, male 120.4
GTEX-POYW-1326-SM-48TCG 60-69 years, male 120.1
GTEX-X4EP-1626-SM-4QAS6 60-69 years, female 119.1
GTEX-QLQ7-0926-SM-447BC 60-69 years, male 118.5
GTEX-14ICK-2026-SM-6AJB2 40-49 years, male 118.4
GTEX-13W46-1926-SM-5J2MF 50-59 years, male 118.1
GTEX-1KD4Q-1126-SM-CXZKK 40-49 years, male 118.0
GTEX-S32W-0926-SM-4AD5X 50-59 years, female 117.9
GTEX-139TU-1226-SM-5J2NL 60-69 years, male 117.8
GTEX-ZYFG-1126-SM-5GICY 60-69 years, female 117.3
GTEX-PLZ5-0926-SM-3TW8L 50-59 years, male 116.8
GTEX-1QP67-0726-SM-DPRY1 40-49 years, female 116.6
GTEX-11XUK-0826-SM-5GU6P 40-49 years, female 115.5
GTEX-145LS-1826-SM-5LUAZ 60-69 years, female 115.4
GTEX-OXRN-1726-SM-3NM9B 50-59 years, male 115.3
GTEX-PSDG-1326-SM-48TD2 50-59 years, male 115.3
GTEX-OHPN-1026-SM-E9TI8 60-69 years, female 115.3
GTEX-1J1OQ-2526-SM-AHZ3Q 40-49 years, female 115.0
GTEX-SUCS-0726-SM-4DM7J 70-79 years, male 114.6
GTEX-WK11-1026-SM-4OOS8 50-59 years, male 114.5
GTEX-1A8FM-1526-SM-7MXTA 50-59 years, female 114.1
GTEX-RVPV-0526-SM-47JYL 60-69 years, male 113.5
GTEX-Q2AH-0826-SM-48TZN 40-49 years, male 113.1
GTEX-14JG6-0926-SM-6871Y 30-39 years, female 112.5
GTEX-O5YV-1026-SM-3LK72 60-69 years, female 112.5
GTEX-YEC4-1026-SM-9WG7N 40-49 years, male 112.5
GTEX-XBEW-1326-SM-4AT63 40-49 years, male 112.0
GTEX-1HB9E-1526-SM-D3LA6 50-59 years, male 111.2
GTEX-1F5PK-1526-SM-7MKGV 50-59 years, male 111.1
GTEX-OXRL-0626-SM-3NM9C 50-59 years, male 111.1
GTEX-ZVE2-1326-SM-5NQ94 50-59 years, male 110.7
GTEX-12ZZX-1326-SM-5DUWI 40-49 years, female 110.6
GTEX-Q2AG-1326-SM-43V8K 40-49 years, female 110.6
GTEX-1I1GV-2226-SM-ARU7E 60-69 years, male 110.4
GTEX-1B8KZ-0726-SM-7938W 50-59 years, male 109.9
GTEX-OXRP-0926-SM-48TC1 60-69 years, female 109.7
GTEX-1I1CD-1726-SM-A9G3P 60-69 years, female 109.6
GTEX-11P82-0526-SM-5986P 20-29 years, male 109.5
GTEX-147F3-0826-SM-5NQA7 50-59 years, female 109.3
GTEX-XBED-1026-SM-48TCB 60-69 years, male 109.3
GTEX-13NZB-1226-SM-5J2MW 30-39 years, male 108.9
GTEX-QEL4-1426-SM-447AC 50-59 years, male 108.8
GTEX-1H3NZ-1326-SM-9JGHI 60-69 years, male 108.8
GTEX-T5JW-1326-SM-4DM5G 20-29 years, female 108.6
GTEX-1AX9K-1126-SM-731DQ 50-59 years, male 108.4
GTEX-13CF3-1626-SM-5IFG9 60-69 years, female 108.3
GTEX-14BIN-2726-SM-5RQIE 50-59 years, female 108.3
GTEX-1HBPH-1126-SM-A96TU 40-49 years, female 108.1
GTEX-1N2EE-2426-SM-EXOIO 60-69 years, male 108.1
GTEX-UPJH-1026-SM-EAZB2 50-59 years, male 107.8
GTEX-16MT8-1326-SM-6M47R 60-69 years, female 107.1
GTEX-1EX96-2226-SM-7MKGT 50-59 years, male 107.0
GTEX-ZXES-1126-SM-5GZXN 30-39 years, female 106.9
GTEX-UJHI-0826-SM-4IHLM 50-59 years, female 106.6
GTEX-1H1ZS-1526-SM-9OSXR 70-79 years, male 106.6
GTEX-1F7RK-1526-SM-7P8T6 20-29 years, female 106.4
GTEX-1HKZK-1426-SM-A96U1 40-49 years, male 106.4
GTEX-XMK1-1326-SM-4B65Q 40-49 years, male 106.2
GTEX-Y3IK-1126-SM-51MSV 50-59 years, female 106.2
GTEX-1I1GU-1426-SM-B2LX3 40-49 years, male 106.1
GTEX-P4QT-0626-SM-3NMCP 50-59 years, female 105.7
GTEX-15SHU-1426-SM-6LPIN 40-49 years, female 105.4
GTEX-1HSKV-2426-SM-A8N8K 60-69 years, male 105.1
GTEX-1GF9U-0826-SM-7MXTZ 40-49 years, female 105.0
GTEX-1H1DG-1226-SM-9JGH3 70-79 years, male 104.9
GTEX-11EM3-0826-SM-5N9CC 20-29 years, female 104.5
GTEX-ZT9X-0526-SM-5GCOP 40-49 years, male 104.5
GTEX-139UW-1126-SM-5IJEJ 60-69 years, male 104.2
GTEX-XK95-1026-SM-4GIDV 40-49 years, male 103.9
GTEX-XMD2-1326-SM-4YCET 60-69 years, female 103.9
GTEX-ZYY3-1526-SM-5SIA9 60-69 years, female 103.8
GTEX-ZYFC-1626-SM-5N9EU 50-59 years, male 103.6
GTEX-1IDJH-2026-SM-CNNQX 70-79 years, male 103.6
GTEX-1HBPI-0626-SM-9WPP4 50-59 years, male 103.4
GTEX-1QCLZ-1626-SM-E9U5R 60-69 years, female 103.4
GTEX-1LGRB-1626-SM-CNNR7 50-59 years, female 103.3
GTEX-15UF7-0926-SM-6M46F 40-49 years, male 103.1
GTEX-1N2DW-1426-SM-EV7AZ 50-59 years, male 103.1
GTEX-PLZ4-1626-SM-3P618 50-59 years, female 103.0
GTEX-VUSG-1226-SM-4KKZF 50-59 years, male 102.9
GTEX-XXEK-0326-SM-4BRVV 50-59 years, male 102.8
GTEX-1RDX4-2126-SM-EV7B3 50-59 years, female 102.8
GTEX-18D9U-2126-SM-7LG4Y 40-49 years, male 102.7
GTEX-QESD-0826-SM-47J4G 20-29 years, male 102.5
GTEX-WFG8-1226-SM-4V6EI 20-29 years, male 102.5
GTEX-1MJIX-0826-SM-DTXEO 40-49 years, male 102.3
GTEX-QLQW-0526-SM-4R1KS 30-39 years, male 102.2
GTEX-1GN73-1926-SM-9JGGS 60-69 years, male 102.2
GTEX-SNOS-0626-SM-4DM5F 40-49 years, male 102.1
GTEX-WFON-0826-SM-4LVMI 40-49 years, male 102.1
GTEX-WFJO-0826-SM-4LVM5 30-39 years, male 101.7
GTEX-ZF3C-1626-SM-4WWB4 50-59 years, female 101.5
GTEX-ZYT6-1126-SM-5GZYR 30-39 years, male 101.5
GTEX-1F52S-1426-SM-7P8PU 60-69 years, female 101.2
GTEX-17F9E-1926-SM-7IGQF 50-59 years, male 101.0
GTEX-14E1K-1226-SM-5S2PD 50-59 years, male 100.7
GTEX-UPK5-1226-SM-4IHL8 40-49 years, male 100.7
GTEX-12WSL-1526-SM-5GCP8 50-59 years, male 100.5
GTEX-117YW-1926-SM-5H121 50-59 years, male 100.3
GTEX-TML8-1526-SM-4DXUX 40-49 years, female 100.1
GTEX-ZAJG-1326-SM-5S2NV 50-59 years, female 99.9
GTEX-15DYW-1826-SM-6LPIY 60-69 years, female 99.5
GTEX-1A3MV-1326-SM-7LG6C 30-39 years, male 99.5
GTEX-1MCQQ-1026-SM-EV7AX 60-69 years, male 99.4
GTEX-ZYVF-2226-SM-5GIDD 50-59 years, female 99.2
GTEX-12696-1326-SM-5FQTJ 60-69 years, male 99.1
GTEX-14PJ4-1526-SM-664OA 60-69 years, male 98.9
GTEX-1GMR2-1526-SM-7MXV6 50-59 years, male 98.8
GTEX-1399Q-1126-SM-5P9JA 40-49 years, male 98.5
GTEX-14PHY-0626-SM-664NN 60-69 years, female 98.1
GTEX-WHPG-1126-SM-4M1XT 50-59 years, male 97.8
GTEX-ZLV1-0526-SM-4WWD4 60-69 years, female 97.8
GTEX-RNOR-1226-SM-48FDQ 50-59 years, female 97.5
GTEX-U3ZM-0526-SM-4DXTB 40-49 years, male 97.5
GTEX-13OVG-0626-SM-5IFEP 60-69 years, male 97.4
GTEX-11EI6-1526-SM-5P9GL 60-69 years, male 97.1
GTEX-15EU6-1626-SM-6LPKF 50-59 years, male 97.0
GTEX-13YAN-1926-SM-7EPH9 60-69 years, male 96.9
GTEX-1K9T9-2026-SM-CXZK3 50-59 years, female 96.7
GTEX-145MO-1426-SM-DTX9W 60-69 years, male 96.6
GTEX-145LV-1326-SM-5S2QI 50-59 years, male 96.5
GTEX-1J8EW-1326-SM-AHZ3S 60-69 years, female 96.3
GTEX-ZA64-0626-SM-5HL9O 20-29 years, male 96.1
GTEX-Y114-0926-SM-4TT7J 50-59 years, female 95.8
GTEX-1399U-1026-SM-5J1OC 50-59 years, female 95.7
GTEX-1JMPZ-2026-SM-C1YR8 30-39 years, male 95.5
GTEX-17JCI-1226-SM-793D9 60-69 years, female 95.3
GTEX-1I1GR-1326-SM-ARU7B 60-69 years, male 94.8
GTEX-15RIF-0826-SM-6M47C 20-29 years, male 94.7
GTEX-13FTW-1626-SM-5KM4N 40-49 years, male 94.5
GTEX-11ONC-1526-SM-5GU6S 60-69 years, male 94.3
GTEX-1PPH8-1626-SM-E6CQP 20-29 years, male 94.2
GTEX-1QP2A-1926-SM-EXOJ9 50-59 years, male 94.1
GTEX-1EKGG-1726-SM-7MXUP 60-69 years, male 94.0
GTEX-RWS6-0826-SM-47JXF 60-69 years, female 93.7
GTEX-Y9LG-0626-SM-4WWDH 30-39 years, male 93.7
GTEX-Y5V5-1626-SM-4VDSG 60-69 years, female 93.6
GTEX-13RTK-0526-SM-5S2QF 20-29 years, male 93.5
GTEX-1B996-1826-SM-7MGY6 60-69 years, male 93.4
GTEX-XUZC-0426-SM-4BOPE 30-39 years, female 93.3
GTEX-ZE9C-1126-SM-4WWBD 60-69 years, male 93.2
GTEX-1212Z-2126-SM-5FQTM 60-69 years, male 92.6
GTEX-Y8LW-0726-SM-5IFI1 50-59 years, female 92.6
GTEX-T2IS-0826-SM-4DM6L 20-29 years, female 92.3
GTEX-1GMR3-1526-SM-9JGGL 40-49 years, male 92.2
GTEX-SNMC-0526-SM-4DM69 20-29 years, male 92.1
GTEX-169BO-0526-SM-793AK 50-59 years, male 91.9
GTEX-UJMC-0926-SM-4IHLK 50-59 years, male 91.9
GTEX-PLZ6-0526-SM-3P61C 30-39 years, male 91.8
GTEX-1K2DU-1726-SM-EV79S 20-29 years, male 91.8
GTEX-RTLS-1126-SM-46MUQ 60-69 years, female 91.5
GTEX-S4Q7-0626-SM-4AD5M 20-29 years, male 91.5
GTEX-1HCU6-1326-SM-A96TZ 60-69 years, female 91.5
GTEX-14PJN-0526-SM-68724 30-39 years, male 91.3
GTEX-RN64-1026-SM-48FDX 50-59 years, male 91.1
GTEX-14C5O-1626-SM-73KYH 60-69 years, male 91.0
GTEX-XV7Q-1126-SM-4BRVS 40-49 years, female 90.9
GTEX-13O3Q-0826-SM-5IFGF 50-59 years, male 90.0
GTEX-14H4A-1626-SM-5SI69 40-49 years, female 90.0
GTEX-XGQ4-1526-SM-4AT6H 50-59 years, male 89.9
GTEX-15ER7-2126-SM-7939E 20-29 years, female 89.8
GTEX-XQ8I-1526-SM-4BOOH 50-59 years, male 89.8
GTEX-1I4MK-0426-SM-B2LWQ 50-59 years, female 89.7
GTEX-1QW4Y-0526-SM-EAZ3V 30-39 years, male 89.7
GTEX-PWN1-0626-SM-48TDT 40-49 years, female 89.6
GTEX-1HCVE-1226-SM-9WPPH 50-59 years, male 89.6
GTEX-P4QS-0626-SM-3NMD1 60-69 years, male 89.4
GTEX-1MA7X-0726-SM-EV7AB 60-69 years, male 89.3
GTEX-1RAZS-2626-SM-EV79C 50-59 years, male 89.3
GTEX-1C64O-1826-SM-7DHM4 60-69 years, male 89.1
GTEX-15F5U-5010-SM-AHZ2D 40-49 years, male 89.0
GTEX-146FR-0426-SM-5SI97 60-69 years, female 88.9
GTEX-QDVN-1026-SM-48TZA 50-59 years, male 88.9
GTEX-TMMY-1126-SM-4DXSX 40-49 years, female 88.7
GTEX-13111-0826-SM-5LZV3 50-59 years, male 88.6
GTEX-R3RS-1326-SM-48FE7 40-49 years, female 88.3
GTEX-ZTPG-1626-SM-5DUX2 20-29 years, female 88.2
GTEX-P78B-1026-SM-3NMC4 40-49 years, female 87.7
GTEX-YF7O-0926-SM-5IFIF 50-59 years, male 87.6
GTEX-1IDJD-1626-SM-C1YRC 30-39 years, male 87.6
GTEX-13G51-0926-SM-5IFFU 60-69 years, male 87.4
GTEX-1H11D-2126-SM-9OSXM 40-49 years, male 87.3
GTEX-1EU9M-2326-SM-7MKGS 60-69 years, male 87.2
GTEX-N7MT-0326-SM-48TDP 60-69 years, female 87.1
GTEX-Q2AI-0626-SM-48TZU 40-49 years, male 87.1
GTEX-ZT9W-1326-SM-51MTB 50-59 years, male 87.1
GTEX-1LVAM-1126-SM-DHXKP 50-59 years, female 86.9
GTEX-YFC4-1226-SM-5LU9R 40-49 years, female 86.8
GTEX-1HCUA-1426-SM-9WPP7 50-59 years, female 86.8
GTEX-11LCK-1726-SM-5S2OQ 30-39 years, male 86.6
GTEX-U3ZN-1726-SM-4DXUQ 30-39 years, female 86.6
GTEX-16A39-1026-SM-6LPJU 30-39 years, female 86.5
GTEX-146FQ-1026-SM-5LU8I 30-39 years, male 86.4
GTEX-16Z82-1926-SM-6M47U 60-69 years, male 86.4
GTEX-1L5NE-1426-SM-DHXKV 50-59 years, male 86.3
GTEX-1QCLY-1526-SM-DPRXX 30-39 years, male 86.3
GTEX-1N2DV-2026-SM-EV7BL 40-49 years, male 85.9
GTEX-R55G-1026-SM-48FDI 40-49 years, female 85.8
GTEX-SE5C-1226-SM-4BRWV 40-49 years, female 85.8
GTEX-12WSN-5013-SM-7P8P9 40-49 years, male 85.8
GTEX-WQUQ-1626-SM-4OOSH 60-69 years, male 85.5
GTEX-1PPGY-1726-SM-EVR3S 60-69 years, male 85.5
GTEX-1122O-1726-SM-5GICM 60-69 years, female 85.4
GTEX-RU72-0726-SM-46MUW 50-59 years, female 85.3
GTEX-X3Y1-1326-SM-4PQZB 40-49 years, male 85.3
GTEX-144GM-1426-SM-5LU31 20-29 years, male 85.0
GTEX-13OW8-2326-SM-5L3I9 60-69 years, male 84.7
GTEX-OOBK-0625-SM-3LK5P 40-49 years, male 84.3
GTEX-Y8E4-1726-SM-5LU9G 40-49 years, male 84.3
GTEX-13SLX-1726-SM-5Q5E5 50-59 years, female 84.2
GTEX-XYKS-1526-SM-4BRUP 60-69 years, female 84.1
GTEX-YB5E-0926-SM-4WWDQ 40-49 years, male 84.1
GTEX-1QP9N-0926-SM-E9U5S 30-39 years, male 84.1
GTEX-1ICG6-1926-SM-ARU7L 70-79 years, female 84.0
GTEX-1JMQJ-1226-SM-D3L97 50-59 years, male 83.9
GTEX-T5JC-1726-SM-4DM6U 20-29 years, male 83.8
GTEX-QDVJ-0726-SM-48U1W 50-59 years, male 83.7
GTEX-X4EO-1226-SM-4QARR 60-69 years, female 83.7
GTEX-OIZG-1026-SM-3LK5X 50-59 years, male 83.6
GTEX-1IKK5-1326-SM-AHZ2X 60-69 years, male 83.6
GTEX-1399S-1326-SM-5P9GH 30-39 years, female 83.5
GTEX-14PJM-1526-SM-664NY 50-59 years, female 83.5
GTEX-11NUK-1326-SM-5P9GN 50-59 years, male 83.2
GTEX-S95S-0426-SM-4B64I 60-69 years, male 83.1
GTEX-U4B1-0826-SM-4DXTW 40-49 years, male 83.1
GTEX-16NGA-1426-SM-718AC 40-49 years, female 82.8
GTEX-WXYG-1226-SM-4ONCJ 50-59 years, female 82.8
GTEX-ZDYS-0826-SM-4WWCR 50-59 years, male 82.6
GTEX-1GL5R-1526-SM-7MKHO 50-59 years, male 82.5
GTEX-QEG4-0726-SM-CNNRF 30-39 years, male 82.5
GTEX-11DXX-1126-SM-5GZZK 60-69 years, female 82.4
GTEX-S33H-0826-SM-4AD5Y 30-39 years, male 82.4
GTEX-1IY9M-1626-SM-AHZ39 60-69 years, male 82.4
GTEX-1NUQO-1126-SM-DTX98 20-29 years, female 82.4
GTEX-ZAB4-1126-SM-5HL86 40-49 years, male 82.3
GTEX-1GPI7-1026-SM-7MGY2 20-29 years, male 82.3
GTEX-11P81-0826-SM-5P9GR 30-39 years, female 82.0
GTEX-14AS3-0626-SM-5QGQD 40-49 years, female 82.0
GTEX-1A32A-1826-SM-72D5G 50-59 years, female 82.0
GTEX-ZQUD-0426-SM-57WFR 30-39 years, male 81.7
GTEX-1KANA-0626-SM-D4P3I 20-29 years, male 81.7
GTEX-15RJ7-0926-SM-6LPJO 40-49 years, male 81.6
GTEX-13QBU-1026-SM-5LU3R 40-49 years, female 81.5
GTEX-14JIY-0926-SM-6871D 60-69 years, male 81.3
GTEX-11EQ9-0726-SM-5A5K2 30-39 years, male 81.0
GTEX-1C475-0926-SM-7MKFI 40-49 years, female 80.9
GTEX-T8EM-0526-SM-4DM64 40-49 years, male 80.9
GTEX-NFK9-1126-SM-3LK78 40-49 years, male 80.6
GTEX-S4P3-0426-SM-4AD56 50-59 years, female 80.6
GTEX-X15G-0826-SM-4PQZD 50-59 years, female 80.5
GTEX-1IKOE-1526-SM-C1YSD 30-39 years, female 80.5
GTEX-VJYA-0726-SM-4KL1T 60-69 years, male 79.7
GTEX-13S86-0826-SM-5SI6J 40-49 years, male 79.6
GTEX-145LT-1126-SM-5LUA1 40-49 years, male 79.6
GTEX-OIZF-0626-SM-7MKHG 60-69 years, male 79.6
GTEX-ZPCL-1426-SM-57WEC 60-69 years, female 79.5
GTEX-12WSK-1126-SM-5LZV8 40-49 years, female 79.4
GTEX-13FH7-0526-SM-5IJF8 50-59 years, female 79.4
GTEX-XQ3S-1126-SM-4BOPK 20-29 years, male 79.3
GTEX-V955-1126-SM-4JBH3 60-69 years, male 79.2
GTEX-YEC3-2526-SM-CXZIH 50-59 years, male 79.2
GTEX-ZLWG-1326-SM-DNZYZ 50-59 years, female 79.1
GTEX-S341-0526-SM-4AD5U 40-49 years, female 78.8
GTEX-148VI-1026-SM-5TDDJ 60-69 years, female 78.6
GTEX-YJ89-1526-SM-5P9IR 60-69 years, male 78.5
GTEX-Y3I4-1226-SM-4TT8N 50-59 years, male 78.2
GTEX-R55E-1326-SM-48FCR 20-29 years, male 77.9
GTEX-1HSMQ-2026-SM-B2LY1 50-59 years, male 77.9
GTEX-V1D1-1026-SM-4JBHE 50-59 years, male 77.6
GTEX-17KNJ-1326-SM-7KFTG 50-59 years, male 77.5
GTEX-R55C-0826-SM-48FCL 40-49 years, male 77.5
GTEX-12WSA-1426-SM-5EGJU 60-69 years, male 77.4
GTEX-1AMEY-0226-SM-7189Q 30-39 years, female 77.4
GTEX-1EWIQ-1526-SM-79OO7 70-79 years, female 77.3
GTEX-1I1GS-2126-SM-ARU7G 60-69 years, male 77.3
GTEX-16NPX-1626-SM-6LLI5 50-59 years, male 77.2
GTEX-14B4R-0326-SM-5TDDP 30-39 years, male 76.9
GTEX-1211K-0926-SM-5FQTL 60-69 years, female 76.8
GTEX-139YR-1726-SM-5IFFK 50-59 years, male 76.6
GTEX-1MGNQ-1626-SM-EAZ4Z 40-49 years, male 76.4
GTEX-12BJ1-1626-SM-5HL8Y 60-69 years, male 76.3
GTEX-Y5V6-1026-SM-4VBS2 60-69 years, male 76.3
GTEX-11DXY-1426-SM-5N9CN 60-69 years, male 76.0
GTEX-14E6E-0726-SM-5S2R3 30-39 years, male 75.8
GTEX-ZUA1-1226-SM-5NQ6O 40-49 years, male 75.8
GTEX-ZEX8-1426-SM-4WKHQ 50-59 years, male 75.7
GTEX-1R9JW-1526-SM-DPRZK 30-39 years, female 75.6
GTEX-PVOW-1626-SM-48TC9 40-49 years, male 75.3
GTEX-Y5LM-1026-SM-4VDSQ 40-49 years, female 75.3
GTEX-17HGU-1426-SM-7938G 50-59 years, male 75.2
GTEX-1LNCM-0626-SM-EV7AI 50-59 years, female 75.1
GTEX-ZY6K-0626-SM-59HJL 50-59 years, male 74.9
GTEX-11ZTS-2626-SM-5EGIC 60-69 years, female 74.7
GTEX-12C56-1226-SM-5FQSU 20-29 years, male 74.7
GTEX-131XG-1026-SM-5GCMX 50-59 years, female 74.6
GTEX-13FHP-1526-SM-5IJGE 50-59 years, male 74.6
GTEX-16BQI-1526-SM-6LLIE 30-39 years, female 74.6
GTEX-1F88F-1126-SM-7MKHL 60-69 years, female 74.6
GTEX-QCQG-0626-SM-48U21 50-59 years, female 74.5
GTEX-12WSD-1826-SM-5GCOA 60-69 years, female 74.4
GTEX-SJXC-1426-SM-EYYVB 60-69 years, male 74.4
GTEX-14DAQ-1426-SM-5RQJD 60-69 years, female 74.3
GTEX-18D9A-0526-SM-7KFSW 30-39 years, female 74.2
GTEX-1IDJF-1226-SM-C1YPX 20-29 years, male 74.2
GTEX-1LVAN-2326-SM-CNNPY 50-59 years, female 74.2
GTEX-1PFEY-0826-SM-E9U6A 30-39 years, male 74.1
GTEX-178AV-0526-SM-6LPJH 40-49 years, male 73.9
GTEX-ZAK1-1526-SM-5S2OV 50-59 years, female 73.9
GTEX-ZDTT-1326-SM-4WKFH 60-69 years, male 73.9
GTEX-16MTA-0826-SM-6LLIC 50-59 years, male 73.8
GTEX-S7SF-0926-SM-4AD4M 20-29 years, female 73.8
GTEX-1R9PM-0926-SM-DPRYA 20-29 years, male 73.7
GTEX-1J8QM-1926-SM-AHZ3Z 60-69 years, female 73.6
GTEX-1S82Y-1226-SM-EV7BD 40-49 years, male 73.5
GTEX-183FY-1526-SM-7IGOW 20-29 years, male 73.4
GTEX-1K2DA-0626-SM-CGQGO 50-59 years, male 73.4
GTEX-1JKYN-1526-SM-CGQGA 30-39 years, male 73.3
GTEX-1MCC2-1926-SM-DHXJR 30-39 years, female 73.2
GTEX-13U4I-1126-SM-5LU3S 40-49 years, female 73.1
GTEX-144GN-0626-SM-5O9B2 50-59 years, male 73.1
GTEX-1RAZA-1326-SM-DPS12 20-29 years, male 72.2
GTEX-146FH-1726-SM-5QGQ2 50-59 years, female 72.0
GTEX-X4LF-0626-SM-4QASB 50-59 years, male 72.0
GTEX-18A66-1426-SM-7KFRT 60-69 years, male 71.9
GTEX-1JMPY-0826-SM-AHZ4A 30-39 years, male 71.7
GTEX-13O21-0626-SM-5IJDI 50-59 years, male 71.6
GTEX-Z9EW-0526-SM-5HL8S 40-49 years, male 71.5
GTEX-P4PQ-0626-SM-3NMCU 60-69 years, male 71.1
GTEX-18A7A-2326-SM-7KFRH 50-59 years, female 70.9
GTEX-14DAR-0826-SM-73KYJ 50-59 years, male 70.7
GTEX-WRHK-0526-SM-4MVOF 20-29 years, female 70.6
GTEX-TKQ1-0326-SM-4DXSM 30-39 years, male 70.3
GTEX-12WSG-5007-SM-7DUGZ 50-59 years, female 70.2
GTEX-133LE-0626-SM-5IFFJ 20-29 years, female 70.1
GTEX-ZF2S-1226-SM-4WWAX 50-59 years, female 69.9
GTEX-OIZI-1426-SM-3NB1T 40-49 years, male 69.8
GTEX-ZG7Y-1126-SM-4WWEZ 50-59 years, male 69.7
GTEX-132QS-1426-SM-5P9GE 60-69 years, male 69.6
GTEX-ZAB5-0926-SM-5CVMV 50-59 years, male 69.3
GTEX-1AX9J-1826-SM-731FM 60-69 years, male 68.7
GTEX-1LG7Z-0926-SM-CXKYK 30-39 years, male 68.7
GTEX-WYJK-1926-SM-4ONDP 50-59 years, male 68.6
GTEX-1CB4I-1026-SM-7MKFZ 50-59 years, male 68.5
GTEX-ZGAY-1126-SM-4WWBS 40-49 years, female 68.5
GTEX-1B97J-1026-SM-7MXTE 50-59 years, female 68.4
GTEX-111CU-0726-SM-5GZYD 50-59 years, male 68.3
GTEX-145LU-0926-SM-79OJL 50-59 years, male 68.3
GTEX-15ETS-1926-SM-7KUN5 40-49 years, female 68.3
GTEX-T6MO-0526-SM-4DM6R 40-49 years, female 68.2
GTEX-14ICL-0526-SM-5RQJ6 30-39 years, male 68.1
GTEX-18D9B-2026-SM-7LT96 60-69 years, male 68.0
GTEX-12ZZY-1426-SM-5N9EI 60-69 years, male 67.9
GTEX-17F98-1726-SM-7938O 40-49 years, female 67.9
GTEX-1IDFM-1126-SM-A96SY 60-69 years, male 67.8
GTEX-1QEPI-1826-SM-EAZ3J 60-69 years, female 67.8
GTEX-12KS4-0926-SM-5BC5S 30-39 years, male 67.6
GTEX-13X6K-2126-SM-5O9D4 60-69 years, female 67.4
GTEX-1AYD5-0926-SM-793AF 50-59 years, male 66.9
GTEX-W5WG-1626-SM-4LMKG 50-59 years, female 66.6
GTEX-1LBAC-1226-SM-DHXK1 20-29 years, male 66.5
GTEX-ZPU1-1426-SM-4WWFU 40-49 years, male 66.4
GTEX-1GTWX-1326-SM-9JGHU 60-69 years, male 66.3
GTEX-1J1R8-0326-SM-AHZ3D 40-49 years, male 66.2
GTEX-ZF29-1326-SM-DNZYV 60-69 years, female 66.1
GTEX-131YS-1426-SM-5IJF7 60-69 years, female 66.0
GTEX-1OJC3-0826-SM-DPRYU 20-29 years, male 65.9
GTEX-1CB4E-1026-SM-793AB 60-69 years, male 65.8
GTEX-OIZH-0626-SM-3NB1L 50-59 years, male 65.8
GTEX-139T6-0626-SM-5IFF9 50-59 years, male 65.7
GTEX-WYVS-0726-SM-4ONDO 40-49 years, female 65.5
GTEX-ZZ64-0226-SM-5E44X 20-29 years, male 65.3
GTEX-1JK1U-1726-SM-CNNPM 60-69 years, male 65.3
GTEX-1EMGI-1926-SM-7938Y 60-69 years, male 63.9
GTEX-1KXAM-0826-SM-CXZK9 60-69 years, male 63.9
GTEX-QV44-1126-SM-CL55C 50-59 years, male 63.8
GTEX-13PL7-0226-SM-731DT 60-69 years, female 63.4
GTEX-13PVR-1826-SM-5Q5CC 60-69 years, female 62.8
GTEX-1S83E-0826-SM-EV7B7 40-49 years, male 62.7
GTEX-13D11-1926-SM-5IFGB 50-59 years, female 62.4
GTEX-PWCY-0726-SM-48TCS 20-29 years, female 62.3
GTEX-ZVT2-1326-SM-5E45H 50-59 years, female 62.3
GTEX-N7MS-1225-SM-3LK5G 60-69 years, male 61.9
GTEX-1QP28-1826-SM-EAZ4L 50-59 years, female 61.6
GTEX-13OVK-1126-SM-6PAMR 40-49 years, male 61.5
GTEX-1R7EU-0826-SM-DPRZL 60-69 years, male 61.5
GTEX-P4PP-0626-SM-3NM9X 30-39 years, female 61.2
GTEX-1H1DE-1026-SM-9JGH6 20-29 years, male 61.2
GTEX-11NSD-1126-SM-5N9BQ 20-29 years, male 61.1
GTEX-16AAH-0726-SM-793A9 50-59 years, male 60.5
GTEX-1MA7W-0426-SM-E9TJ5 20-29 years, female 60.4
GTEX-11DXZ-1226-SM-5H11L 50-59 years, male 60.3
GTEX-14PKV-1726-SM-6871U 20-29 years, female 59.2
GTEX-18A67-2426-SM-7LT95 50-59 years, male 59.2
GTEX-1C2JI-1126-SM-731FH 50-59 years, male 58.5
GTEX-1GN1W-2226-SM-9JGI5 50-59 years, female 58.4
GTEX-WHSB-0426-SM-4M1XI 50-59 years, male 58.2
GTEX-OXRK-1326-SM-3NB1A 50-59 years, female 58.1
GTEX-1AMFI-0226-SM-731D5 50-59 years, female 58.0
GTEX-U3ZH-1026-SM-4DXUZ 30-39 years, male 57.9
GTEX-1RAZQ-1726-SM-EAZ4T 30-39 years, male 57.9
GTEX-15RJE-0926-SM-6LLHZ 40-49 years, male 57.0
GTEX-13FTX-0526-SM-5IFGS 20-29 years, female 56.9
GTEX-14A6H-1326-SM-5NQBC 30-39 years, male 56.9
GTEX-11P7K-1326-SM-5BC5G 30-39 years, male 56.7
GTEX-WFG7-1126-SM-4LMK3 20-29 years, male 56.6
GTEX-15SB6-0726-SM-6M48F 50-59 years, female 56.5
GTEX-1R9K5-1526-SM-DPRZA 50-59 years, male 56.5
GTEX-11I78-1526-SM-5A5K7 50-59 years, female 56.4
GTEX-1MCYP-1026-SM-DPRYB 20-29 years, female 56.0
GTEX-1GN1U-1826-SM-9JGH2 50-59 years, female 55.7
GTEX-RM2N-0726-SM-48FD5 50-59 years, male 55.6
GTEX-13W3W-1626-SM-5LU35 60-69 years, female 55.2
GTEX-1LGOU-0526-SM-D3LAO 20-29 years, female 55.1
GTEX-WHSE-1526-SM-4M1XH 20-29 years, male 55.0
GTEX-YB5K-0826-SM-5YYB7 40-49 years, female 54.9
GTEX-11VI4-0526-SM-5EQ48 40-49 years, female 54.8
GTEX-1I1GQ-1726-SM-B2LWZ 50-59 years, male 54.8
GTEX-17EUY-1426-SM-7938X 20-29 years, male 54.7
GTEX-ZTSS-0626-SM-59867 40-49 years, male 54.7
GTEX-18A6Q-1226-SM-7KFS9 60-69 years, male 54.6
GTEX-1B8KE-1826-SM-731FD 50-59 years, male 54.5
GTEX-1RAZR-1226-SM-E6CRD 40-49 years, male 54.2
GTEX-ZLFU-1126-SM-DO11K 40-49 years, male 53.9
GTEX-15RIE-0826-SM-6M47X 60-69 years, male 53.7
GTEX-17HHE-0926-SM-7938K 50-59 years, male 53.6
GTEX-1399R-0826-SM-5IJEL 30-39 years, male 53.1
GTEX-1B97I-0926-SM-731DZ 40-49 years, male 53.1
GTEX-1JKYR-2126-SM-CNNPC 20-29 years, male 52.2
GTEX-1NSGN-2026-SM-DPRYM 50-59 years, male 51.5
GTEX-1QP29-2126-SM-E6CPZ 50-59 years, male 51.0
GTEX-14PJ3-0626-SM-6UGC5 50-59 years, male 50.8
GTEX-1OKEX-1326-SM-E9J2U 60-69 years, male 50.2
GTEX-RU1J-0326-SM-46MUM 20-29 years, female 49.9
GTEX-1CB4G-1326-SM-7MKFP 60-69 years, male 49.6
GTEX-1CB4F-1526-SM-7MKFM 60-69 years, male 49.3
GTEX-17MFQ-0526-SM-7KFTX 20-29 years, male 48.8
GTEX-WEY5-0926-SM-4LMI4 40-49 years, female 43.9
GTEX-R53T-1126-SM-48FD4 50-59 years, female 43.2
GTEX-1QPFJ-1226-SM-EAZ3M 30-39 years, female 42.9
GTEX-1PIGE-0926-SM-E9U5Z 20-29 years, male 37.2
GTEX-18QFQ-1026-SM-7LG6B 30-39 years, male 35.1
Show allShow less

ESOPHAGUS - FANTOM5 CAGEi

RNA expression in human tissues obtained through Cap Analysis of Gene Expression (CAGE) generated by the FANTOM5 project are reported as Scaled Tags Per Million.

Max subtype Scaled Tags Per Millioni

Max subtype Scaled Tags Per Million is the value for the subtype with the largest average Scaled Tags Per Million across the subtype samples.

95.3
FANTOM5 sample id Sample description Scaled Tags Per Million
Esophagus
Scaled Tags Per Million: 95.3
FF:10015-101C6 68,74,75 years, mixed 95.3

Contact

  • NEWS ARTICLES
  • PRESS ROOM

The Project

  • INTRODUCTION
  • ORGANIZATION
  • PUBLICATIONS

The Human Protein Atlas

  • DOWNLOADABLE DATA
  • LICENCE & CITATION
  • HELP & FAQ
The Human Protein Atlas project is funded
by the Knut & Alice Wallenberg Foundation.


contact@proteinatlas.org